时间:2025-10-29 04:48:51


1、单项选择题 男,12岁,CT示松果体区肿瘤,其内有点状钙化,增强扫描肿瘤和侧脑室室管膜强化,最可能的诊断为()
A.松果体瘤
B.生殖细胞瘤
C.畸胎瘤
D.转移瘤
E.室管膜瘤
2、多项选择题
男,56岁,无痛性全程血尿1月,CT平扫及增强检查如图,下列说法正确的是()
A.右肾上极,肾脏局部隆起,平扫时其密度与肾相近,不易分辨其轮廓
B.增强扫描皮质期,病灶强化明显,但仍低于肾皮质的强化
C.增强扫描实质期,病灶强化迅速减退,可清楚的分辨其轮廓
D.右肾静脉及下腔静脉内未见充盈缺损影
E.考虑为右肾上极的肾癌
3、单项选择题
女性,58岁。突感胸骨后疼痛来院就诊。行胸部CT平扫如图:

A.X线平片
B.胸部超声
C.MSCTA
D.MRI
E.放射性核素扫描
4、单项选择题 男性,因突发呕血、右上腹痛、不能进食2天。CT示十二指肠水平段内5cm×3cm占位,其CT值-30HU,有不均匀点状钙化,增强扫描无强化,最可能的诊断是()
A.十二指肠腺癌
B.十二指肠憩室
C.十二指肠内胆结石嵌顿
D.十二指肠乳头炎
E.十二指肠平滑肌瘤
5、单项选择题
患者,女,56岁,上腹隐痛半年余,黑便。上腹部CT增强扫描图像如下,最有可能的诊断是()
A.胃癌
B.胃溃疡
C.慢性胃窦炎
D.胃淋巴瘤
E.胃间质瘤
6、单项选择题 男,65岁,右侧肢体力弱,CT示左额顶有一3.5×4cm混杂密度,可见索条状钙化,中线右移,增强扫描示不均匀强化,有的呈结节样,最可能的诊断是()
A.脑膜瘤
B.少枝胶质细胞瘤
C.胶质母细胞瘤
D.出血性脑梗死
E.淋巴瘤
7、单项选择题 肺部的弥漫性间质性疾病,CT扫描的方法是()
A.增强扫描
B.目标扫描
C.高分辨率扫描
D.放大扫描
E.重叠扫描
8、单项选择题 男,3岁,间歇性头痛13天伴呕吐、低热,CT平扫左颞叶低密度病变,有占位表现,增强扫描病变区环状强化,壁完整较均匀,最可能的诊断为()
A.脑转移瘤
B.囊性脑膜瘤
C.脑脓肿
D.脑囊虫病
E.胶质瘤
9、多项选择题 局灶性肝脂肪浸润可有以下CT表现()
A.右叶较左叶多见
B.病变与正常肝组织分界十分清晰
C.增强后CT值升高,但不及正常肝组织
D.增强后病变内见走行正常的血管
E.无占位效应
10、单项选择题
根据所提供的图像,该病例最可能的诊断为()
A.溃疡性结肠炎
B.缺血坏死性结肠炎
C.巨细胞包涵体病毒感染性结肠炎
D.结肠癌
E.淋巴瘤
11、单项选择题 下述关于纵隔神经源性肿瘤的诊断要点,错误的是()
A.好发于后上纵隔脊柱旁
B.多为恶性肿瘤
C.多为均匀强化
D.平扫CT值30~50HU
E.形态规则,边缘光滑
12、单项选择题 40岁,女性,体检发现肾占位,平扫CT值-80HU,增强扫描无明显强化,超声为强回声,应首先考虑()
A.肾囊肿
B.肾腺癌
C.肾结核
D.肾脓肿
E.肾血管平滑肌脂肪瘤
13、单项选择题
女,37岁,因车祸胫骨骨折十余天,突发头痛头昏,根据所提供图像,最可能的诊断是()
A.右侧后颅窝硬膜外血肿
B.右侧后颅窝硬膜下血肿
C.右侧静脉窦血栓
D.右侧后颅窝硬膜下脓肿
E.右侧后颅窝硬膜外脓肿
14、单项选择题
男,31岁,感左坐骨区胀痛,无发热,结合所提供的图像,最可能的诊断是()
A.骨巨细胞瘤
B.骨囊肿
C.纤维异常增殖症
D.动脉瘤样骨囊肿
E.非骨化性纤维瘤
15、单项选择题 CT检查食管裂孔疝采用的方法是()
A.单纯CT平扫
B.平扫+增强
C.单纯增强扫描
D.口服高密度造影剂平扫
E.动态增强扫描
16、单项选择题
男,43岁,体检肾上腺CT扫描如图,最可能的诊断是()
A.肾上腺增生
B.肾上腺腺瘤
C.正常肾上腺
D.肾上腺癌
E.肾上腺错构瘤
17、单项选择题 男,43岁,发现右侧眼球突出伴视力下降、眼球运动障碍半年,CT显示右侧眼眶内球后胍锥内有一密度均匀的类圆形肿块,边缘光滑、清晰,增强扫描呈均匀性明显强化,视神经受压移位。同时眼眶内可见静脉石影。该患者最有可能的诊断是()
A.神经鞘瘤
B.横纹肌肉瘤
C.颈动脉-海绵窦瘘
D.视神经胶质瘤
E.海绵状血管瘤
18、单项选择题 CT鉴别肾盂旁囊肿和肾盂积水扩张时,应采用()
A.薄层扫描
B.增强扫描
C.冠状图像重组
D.平扫并测CT值
E.以上都不是
19、单项选择题
女,24岁,近日尿频明显,CT检查如图所示,最可能的诊断是()
A.膀胱癌
B.子宫肌瘤
C.卵巢癌
D.盆腔纤维瘤
E.卵巢囊肿
20、单项选择题 不属于良性星形细胞瘤征象的是()
A.位置表浅
B.轻度增强
C.轻度水肿
D.钙化
E.有出血,坏死
21、多项选择题 目前CT常用的检测器不包括()
A.晶体管检测器
B.液体检测器
C.绝缘体检测器
D.气体检测器
E.闪烁检测器
22、多项选择题 心肌梗死病灶的CT增强扫描表现为()
A.早期增强扫描呈高密度影
B.早期增强扫描呈局限性低密度影
C.延迟扫描原低密度影范围缩小
D.延迟扫描呈低密度影
E.延迟扫描呈片状高密度影
23、单项选择题
根据所提供的图像,最可能的诊断是()
A.囊腺瘤
B.囊腺癌
C.胰腺腺癌
D.Hamoudi瘤
E.以上都不是
24、单项选择题 不支持鼓室血管球瘤的是()
A.搏动性耳鸣
B.蓝色鼓膜
C.传导性耳聋
D.CT示鼓室内软组织小肿块
E.肿物增强明显,与颈静脉增强一致
25、单项选择题 与图像显示上下位置偏移有关的操作是()
A.病人摆位左右偏移
B.扫描机架倾角过大
C.床台升降调节有误
D.床台进出调节有误
E.扫描野选择有误
26、单项选择题 关于灰阶与CT值关系的叙述,正确的是()
A.高CT值部分被转换为黑色
B.高CT值部分被转换为白色
C.X线衰减越大,转换成灰阶后颜色越深
D.图像中X线未被衰减,将显示为白色图像
E.改变窗宽,也可改变被显示物体的CT值
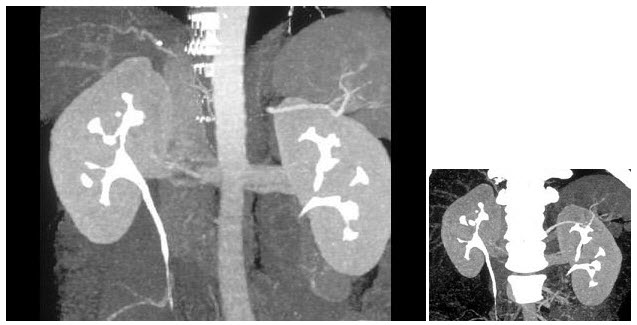
27、单项选择题
关于这两幅图像,哪项描述是不正确的()
A.第一张图像是MIP图
B.第二张图像是VRT图
C.肾内脉管在MIP图像上更清晰
D.肾内脉管在VRT图像上最清晰
E.以上都不是
28、单项选择题 在CT轴位增强扫描通过窦汇的层面上,天幕呈()
A.Y形
B.V形
C.八形
D.M形
E.O形
29、单项选择题 以下哪项是新鲜出血的CT值范围()
A.60~80HU
B.40~60HU
C.30~50HU
D.40~80HU
E.20~40HU
30、多项选择题 关于Dandy-Walker综合征的CT和MRI表现特征有()
A.小脑蚓部缺如或体积变小
B.第四脑室扩大
C.枕大池扩大
D.枕骨为薄
E.第四脑室侧隐窝消失
31、单项选择题
男,45岁,腰痛,结合图像,最可能的诊断是()
A.椎间盘膨出
B.椎间盘突出
C.椎间盘未见异常
D.腰椎骨质增生
E.前纵韧带钙化
32、单项选择题 女性,45岁,CT平扫,右肾影均匀增大,内有多房囊样结构,肾实质变薄,增强扫描对比剂进入囊腔形成“液-液面”,首先考虑的病变为()
A.多囊肾
B.肾盂癌
C.肾盂积水
D.多发性肾囊肿
E.肾结核
33、单项选择题
男,29岁,头颅外伤,结合CT图像,最可能的诊断是()


A.颅内出血
B.硬膜下血肿
C.硬膜外血肿
D.脑脓肿
E.脑挫裂伤
34、单项选择题 对于肾脏CT扫描的描述,下列哪项不正确()
A.肾皮质比肾髓质强化早
B.肾盂充盈期,对肾盂结石价值最高
C.强调平扫、动脉期、肾盂充盈期联合扫描
D.动脉期,对肾肿瘤价值高
E.疑结石者,必须平扫
35、单项选择题 患者,男,15岁,低热,胸痛4天,X线胸片示左下肺类圆形稍高密度影,边缘光滑;胸部CT示左下肺前内基底段类圆形液体密度影,直径约3cm,边缘光滑,其内CT值约12HU,邻近肺组织内见淡片状稍高密度影,抗炎治疗10天后症状明显改善,复查CT见类圆形病灶大小无明显变化,边缘更清楚,邻近淡片状影消散。最可能的诊断为()
A.大叶性肺炎
B.肺结核空洞
C.肺内支气管囊肿
D.急性肺脓肿
E.囊状支气管扩张
36、单项选择题 脑内肿瘤瘤周水肿属()
A.间质性水肿
B.血管源性水肿
C.细胞毒性水肿
D.梗阻性水肿
E.渗出性水肿
37、单项选择题 对下列哪种骨折,CT诊断价值不及平片()
A.肱骨小头骨折
B.环椎骨折
C.颈椎横突骨折
D.腰椎骨折
E.股骨干骨折
38、多项选择题 属于喉炎性肉芽肿的是()
A.韦格肉芽肿
B.梅毒性肉芽肿
C.外伤后肉芽肿
D.组织胞浆菌病
E.结核性肉芽肿
39、单项选择题
女,39岁,低热、乏力,腹胀,下腹触及明显肿块,体重减轻,影像检查如图,最可能的诊断是()
A.小肠结核
B.小肠Crohn病
C.小肠淋巴瘤
D.小肠癌
E.小肠重复畸形
40、单项选择题 在脑膜瘤的肿瘤包膜构成中,除哪项其他均正确()
A.肿瘤周围的水肿
B.肿瘤周围的神经胶质
C.肿瘤周围的薄层脑脊液
D.肿瘤周围的小血管
E.肿瘤周围萎缩的皮层
41、单项选择题 下列哪项对库欣综合征描述不正确()
A.属于肾上腺功能亢进性病变
B.70%~85%是由于肾上腺腺瘤,15%~30%是由于肾上腺结节增生
C.主要是由于肾上腺增生引起
D.腺瘤体积小,密度多低于水,呈负值,少数呈等密度
E.增强扫描腺瘤轻度强化
42、单项选择题 对于CT图像空间分辨率的叙述,以下哪项正确()
A.不同重建方法得到图像的空间分辨率不同
B.空间分辨率与探测器大小成正比
C.空间分辨率与被测物体间密度差成反比
D.空间分辨率与探测器数目成反比
E.空间分辨率与螺距无关
43、单项选择题 除神经鞘瘤外,腹膜后其他少见良性肿瘤不包括()
A.副神经节瘤
B.血管瘤
C.淋巴管瘤
D.脂肪瘤
E.炎性假瘤
44、单项选择题 颅脑CT增强扫描,一般作为判断增强效果优劣的参考标准是()
A.大脑镰显影的状况
B.脉络丛显影的状况
C.T增强效果优劣的参考标准
D.Willis环显影的状况
E.小脑幕显影的状况
45、单项选择题 关于骨纤维异常增殖症的描述正确的是()
A.骨增生肥厚、髓腔闭塞,皮质变薄,呈硬化、囊状或混合型改变
B.可致视神经管扩大
C.多见于中老年
D.常为双侧,也可为单侧
E.眶窝变大、变形
46、单项选择题 下列肝硬化CT表现错误的是()
A.肝体积缩小各叶比例失调
B.门静脉直径<13mm
C.脾大
D.腹水
E.密度不均
47、单项选择题 下述支气管扩张的CT特点,错误的是()
A.圆形、类圆形致密影
B.成簇、成串排列的厚壁囊腔
C.柱状或结节状致密影
D.肺纹理增粗,轮廓不光整
E.印戒征
48、单项选择题 关于Couinaud肝段划分,错误的是()
A.尾状叶(Ⅰ段)
B.左外叶分左外上段(Ⅱ段)和左外下段(Ⅲ段)
C.左内叶分为Ⅳ段、Ⅴ段
D.右前叶分右前下段(Ⅴ段)和右前上段(Ⅷ段)
E.右后叶分右后下段(Ⅵ段)和右后上段(Ⅶ段)
49、单项选择题 肾上腺营养不良的脑白质病理机制()
A.髓鞘脱失
B.髓鞘生成不良
C.炎性浸润
D.脑白质退变
E.脑白质缺血
50、单项选择题 对于肺间质病变细节的观察,最理想的CT技术是()
A.高分辨率CT扫描
B.动态增强CT扫描
C.Bolus注射,常规增强扫描
D.螺旋CT扫描
E.常规CT平扫
51、单项选择题 先天性输尿管囊肿最常见的好发部位在()
A.肾盂-输尿管交界处
B.输尿管上段
C.输尿管中段
D.输尿管下段
E.输尿管膀胱壁内段
52、单项选择题 临床怀疑蛛网膜下腔出血应采用以下哪种扫描方式()
A.增强扫描
B.平扫
C.快速CT扫描
D.灌注扫描
E.动态扫描
53、单项选择题
女,35岁,无特殊临床表现,根据CT图像,最可能的诊断()
A.多囊肾
B.多发性肾囊肿
C.复杂性肾囊肿
D.囊性肾癌
E.单纯性肾囊肿
54、单项选择题
男,33岁,颈部包块半年余,可随吞咽上下移动,结合影像学检查,最可能的诊断是()

A.胸腺瘤
B.淋巴瘤
C.纵隔畸胎瘤
D.淋巴管瘤
E.胸骨后甲状腺肿
55、单项选择题
男,2岁,左侧颜面部、右肩部肿块,疼痛,结合图像,最可能的诊断是()
A.骨结核
B.骨髓炎
C.骨嗜酸性肉芽肿
D.骨囊肿
E.骨肉瘤
56、多项选择题 下列动静脉畸形(AVM)的CT征象哪些正确()
A.脑内血肿常呈不均匀高密度
B.血肿常不规则,可呈团块状
C.位置常较表浅,多见于额、顶、枕叶
D.血肿周围有脑水肿和占位表现
E.血肿附近有时可见钙化、小的软化灶
57、单项选择题 骨样骨瘤瘤巢直径一般不超过()
A.0.5cm
B.1.0cm
C.1.5cm
D.2.0cm
E.2.5cm
58、多项选择题 纤维性骨皮质缺损的CT征象有()
A.皮质内囊状或不规则形的骨质缺损区,无膨胀
B.皮质内囊状或不规则形膨胀性骨质缺损区
C.病灶边缘清楚,外侧骨壳可完整或缺损
D.邻近可有轻度软组织肿胀
E.无骨膜反应
59、单项选择题 关于Ⅲ型肝包虫病CT扫描的影像特点是()
A.单纯囊肿,无子囊,钙化少见
B.子囊多,内囊常分离,常有钙化
C.实质性钙化灶,含少量囊性组织
D.有少数子囊
E.合并有脾脏,腹腔内多发囊性病变
60、单项选择题 颅内肿瘤头颅平片表现可以是()
A.正常
B.颅内压增高的征象;反映肿瘤的征象
C.正常;颅内压增高的征象
D.颅内压增高的征象;钙化
E.正常;颅内压增高的征象;钙化
61、单项选择题 CT对于诊断前列腺癌的主要意义在于()
A.早期诊断
B.与良性前列腺增生肥大鉴别
C.确定晚期病变范围
D.确定肿瘤是否穿破包膜
E.判断有无骨转移
62、单项选择题 关于降主动脉夹层动脉瘤的CT表现,下列说法错误的是()
A.内膜钙化内移
B.两个不同增强密度的主动脉腔
C.主动脉夹层真腔较小,假腔较大
D.平扫不能显示剥离的内膜瓣
E.假腔可无增强
63、单项选择题 细胞毒性水肿常见于()
A.肿瘤破坏血脑屏障致脑水肿
B.炎症致血脑屏障破坏形成脑水肿
C.急性脑梗死致缺血坏死
D.梗阻性脑积水致脑室压力增高,通过室管膜向外渗漏
E.以上都不对
64、单项选择题 CT值由高至低是()
A.骨髓,骨皮质,肌肉
B.肌肉,骨皮质,骨髓
C.骨皮质,肌肉,骨髓
D.水,肌肉,骨髓
E.血液,肌肉,骨髓
65、单项选择题 对于视网膜母细胞瘤的常见CT表现,下列描述错误的是()
A.肿瘤密度较低
B.位于眼球壁上
C.肿瘤呈轻中度强化
D.肿瘤内团块状钙化
E.肿瘤可向眼球外突出
66、单项选择题
根据所提供的CT增强扫描时相的表现图像,最不可能的诊断为()
A.局灶性结节增生
B.胰岛细胞转移癌
C.血管瘤
D.肝细胞癌
E.以上都不对
67、单项选择题 关于胸腺瘤与胸腺增生的鉴别要点,下列说法中错误的是()
A.胸腺增生多见于青少年
B.胸腺瘤很少发生于20岁以下者
C.伴有重症肌无力者为胸腺瘤,而非胸腺增生
D.胸腺增生多无明显肿块轮廓
E.胸腺瘤可出现坏死、囊变和出血
68、单项选择题 CT与MRI相比,主要优势是下列哪项()
A.无射线损伤
B.造影剂安全系数较大
C.对钙化和骨质结构敏感
D.直接多轴面成像
E.化学成像,信息量大
69、单项选择题 肾上腺营养不良主要发生在()
A.儿童
B.青年女性
C.青春期
D.中年
E.老年
70、单项选择题 不是颈部CT扫描适应证的是()
A.颈总动脉狭窄或扩张
B.气管炎
C.甲状腺肿瘤
D.舌骨骨折
E.淋巴结肿大
71、单项选择题
出生2天的男婴,鼻根部眉间正中有一肿块,CT检查如图,最可能的诊断是()
A.蛛网膜囊肿
B.脑膨出
C.硬膜外囊肿
D.鼻息肉
E.鼻咽癌
72、单项选择题 大动脉炎是一种()
A.以内膜损害为主的非特异性内层动脉炎
B.以中膜损害为主的非特异性中层动脉炎
C.以外膜损害为主的非特异性外层动脉炎
D.以中膜损害为主的非特异性全层动脉炎
E.以全层损害为主的非特异性全层动脉炎
73、多项选择题
男,50岁,声音嘶哑近1年,近来感呼吸困难,CT扫描如图所示,正确的描述或诊断是()
A.喉、气管壁增厚
B.气管后方见软组织肿块
C.肿块内可见致密钙化影
D.喉气管淀粉样变性
E.气管结核
74、单项选择题 肝脏CT检查中,需采用窄窗的疾病是()
A.肝腹水
B.肝巨大恶性肿瘤
C.肝脓肿
D.脂肪肝
E.肝硬化
75、单项选择题 根据CT工作原理,以下选择哪项是错误的()
A.探测器接收的信号须放大并经过模/数转换
B.模/数转换后的数据为显示数据
C.AP(阵列处理机)处理后的数据为显示数据
D.计算机控制扫描、数据采集、图像重建、显示和存储各个环节
E.图像存储包括摄片、磁带及光盘存储
76、单项选择题 增强CT扫描可()
A.区别肿瘤的恶性程度
B.区别肿瘤的良恶性
C.将肿瘤与瘤周水肿分开
D.区分先天和后天性肿瘤
E.区别肿瘤和脑脓肿
77、多项选择题 关于鞍上池横断面解剖部位正确的是()
A.池内前部有"V"字形交叉
B.位于两个颅中窝之间
C.五角形的鞍上池左缘邻接大脑脚
D.鞍上池可呈"五角形"或"六角形"
E.鞍上池的后角位于后缘中央,为脚间池
78、单项选择题 肝转移癌“靶征”外晕环的病理基础是()
A.液化坏死
B.纤维结缔组织形成和凝固性坏死
C.生长活跃的肿瘤细胞和细胞坏死
D.脂肪浸润
E.肿瘤出血
79、单项选择题
男性,65岁。咳嗽,憋气就诊。CT肺动脉造影如下图,可考虑为()
A.急性肺动脉栓塞
B.慢性肺动脉栓塞
C.肺动脉高压
D.肺动脉损伤
E.肺动脉狭窄
80、多项选择题 关于肾上腺结核,正确的说法有()
A.继发于身体其他部位的结核
B.常为双侧性
C.肾上腺增大、变形、密度不均
D.可形成脓肿
E.可出现不规则钙化
81、单项选择题 下列哪种疾病,不会出现肝内胆管扩张表现()
A.Budd-Chiari综合征
B.胆管细胞癌
C.胆管炎
D.华支睾吸虫感染
E.Caroli病
82、单项选择题 腰椎术后不良综合征原因有()
A.椎间盘再脱出
B.假性脊髓膨出
C.小关节脱位
D.神经受损
E.以上均是
83、单项选择题 关于“鼻咽癌”的特点,下列说法哪项错误()
A.临床无"颈静脉窝综合征"
B.鼻咽癌以鳞癌居多
C.肿瘤多位于咽隐窝
D.咽后淋巴结最易受累
E.咽旁间隙多向外移位
84、单项选择题 能将模拟信号转换为数字信号的是()
A.探测器
B.准直器
C.阵列处理机
D.A/D转换器
E.D/A转换器
85、单项选择题 黄韧带增厚、钙化主要引起()
A.脊髓受压
B.神经受压
C.椎管狭窄
D.椎板受压
E.椎间孔狭窄
86、多项选择题 肝癌病灶可发生()
A.钙化
B.坏死
C.出血
D.骨化
E.脂肪变
87、单项选择题 眼球异物定位最主要的目的是()
A.确定有无异物
B.确定异物大小
C.确定异物位置
D.确定异物性质
E.确定手术方案
88、多项选择题 颅内动脉瘤最常见的临床表现为()
A.瘫痪
B.恶心
C.意识障碍
D.感觉异常
E.突发性头痛
89、多项选择题 肺结核应与哪种疾病鉴别()
A.周围型肺癌
B.真菌感染
C.大叶性肺炎
D.细支气管肺泡癌
E.肺脓肿
90、单项选择题 多幅相机成像胶片不适用于()
A.CT
B.MRI
C.CR
D.DSA
E.ECT
91、单项选择题 男,10岁,癫痫。CT示右顶叶表面有一裂隙,向内并延伸到侧脑室体旁,侧脑室外侧壁可见一局限性突起与其相连,最可能的诊断为()
A.穿通畸形
B.空洞脑
C.脑裂畸形
D.脑软化灶
E.蛛网膜囊肿
92、单项选择题 脑梗死的坏死液化期,CT表现为()
A.等密度,边界模糊
B.低密度,边界模糊
C.低密度,边界清楚
D.等密度,边界清楚
E.混杂密度,边界清楚
93、单项选择题 癫痫发作2次,CT平扫示侧脑室旁多发低密度灶,无占位效应,但强化后呈结节样增强。最可能的诊断是()
A.髓鞘形成异常
B.脑囊虫病
C.转移瘤
D.多发性硬化
E.脑脓肿
94、多项选择题 外中耳畸形包括()
A.前庭导水管扩大
B.听小骨畸形
C.面神经管异常
D.内耳道畸形
E.颈动脉移位
95、单项选择题 下列关于腹膜后脂肪肉瘤的描述,正确的是()
A.肿块越大,恶性程度越高
B.实体型肿瘤以脂肪组织成分为主
C.即使分化程度很高,肿块密度也不太均匀
D.脂肪组织成分越少,肿瘤分化越好
E.没有发现脂肪成分就不能诊断脂肪肉瘤
96、多项选择题 多囊肾的影像学表现为()
A.肾脏体积增大
B.囊壁无钙化
C.肾盂造影示肾盏受压
D.CT示多发大小不等类圆形低密度灶
E.肝脏也可见多发囊肿
97、单项选择题 12岁男性,左眼突出伴视力下降2月余。CT示左侧视神经柱形增粗,有轻度增强,左侧视神经孔扩大,视交叉左侧亦增粗、增强,最可能的诊断是()
A.视神经脑膜瘤
B.视神经胶质瘤
C.炎性假瘤
D.视神经母细胞瘤
E.视神经血管瘤
98、单项选择题
男,44岁,右下腹包块1年余,无压痛,质较硬,影像检查如图,最可能的诊断是()
A.腹膜后间质瘤
B.腹腔间皮瘤
C.腹膜后神经纤维瘤
D.腹膜后畸胎瘤
E.脂肪肉瘤
99、单项选择题
患者肝移植术后1月,结合图像,最可能的诊断为()
A.肝脓肿
B.正常术后表现
C.肝梗死
D.血肿
E.以上都不是
100、单项选择题 下列关于鼻窦囊肿的描述,错误的是()
A.黏液囊肿多见于额窦
B.黏液囊肿可引起窦壁骨质吸收
C.黏膜下囊肿好发于上颌窦
D.CT容易区别黏膜下囊肿和黏液腺囊肿
E.额窦黏液囊肿可压迫眼球移位
101、单项选择题
结合图像,最可能的诊断是()
A.肠套叠
B.肠癌
C.克罗恩病
D.肠结核
E.以上都不是
102、单项选择题 下列关于继发性肺结核的说法,正确的是()
A.早期病变好发于上叶前段
B.易于发生支气管播散
C.常可引起纵隔淋巴结肿大
D.结核瘤说明结核治愈
E.结核空洞多见液气平面
103、单项选择题 影响CT密度分辨率的是()
A.扫描层厚
B.X线光子数量
C.滤波函数
D.噪声
E.以上都是
104、单项选择题 单凭CT平扫,难以诊断以下哪种病变()
A.垂体微腺瘤
B.椎间盘突出
C.肺癌
D.肺结核
E.肾结石
105、单项选择题
女,67岁,腹部包块,行IVP和CT检查如图,应诊断为()
A.多囊肾
B.双肾多发单纯性肾囊肿
C.多发囊肿性肾发育不全
D.囊性肾癌
E.多房性囊性肾瘤
106、单项选择题
男,38岁,下腹疼痛、尿液混浊十余天,结合图像,最可能的诊断是()
A.阑尾周围脓肿
B.慢性膀胱炎
C.憩室炎膀胱瘘
D.结肠间质瘤
E.盆腔脓肿
107、单项选择题 胃憩室的好发部位是()
A.胃小弯
B.胃大弯
C.胃窦部
D.幽门部
E.以上都不是
108、单项选择题
女性,58岁。突感胸骨后疼痛来院就诊。行胸部CT平扫如图:

A.主动脉夹层(DeBakeyⅠ型或Ⅱ型)
B.主动脉夹层(DeBakeyⅡ型)
C.主动脉夹层(DeBakeyⅢ型)
D.主动脉夹层(StanfordB型)
E.无法确定
109、单项选择题 下面对胸部CT扫描技术叙述正确的是()
A.患者仰卧、头先进,两臂放在身体侧边
B.指示灯侧面定位线对正中矢状面
C.驼背病人可改为俯卧位
D.常规扫描一个胸部侧位像做定位像
E.扫描范围从肺尖开始,一直扫描到膈顶
110、单项选择题 额顶叶的分界为()
A.中央前回
B.中央后回
C.中央沟
D.中央前沟
E.中央后沟
111、单项选择题
男,36岁,腹胀、消化不良、消瘦、中上腹痛,影像检查如下图,最可能的诊断是()
A.胃间质肉瘤并肝转移
B.胃间质瘤并原发性肝癌
C.内胚窦瘤肝转移
D.胃淋巴瘤伴原发性肝癌
E.胃间质瘤并肝血管瘤
112、多项选择题
男,33岁,反复尿频,尿急,尿痛3年余,排尿困难4月,尿常规:蛋白(+),红细胞0~1个/HP,白细胞(++),CT扫描如图所示,下列诊断哪项正确()
A.膀胱结石
B.膀胱慢性炎性肉芽肿
C.膀胱癌
D.双侧肾积水,双侧输尿管扩张
E.膀胱多发性假性憩室
113、单项选择题 根据软骨所含纤维不同,软骨可分为()
A.透明软骨、纤维软骨、弹力软骨
B.骨软骨和瘤软骨
C.玻璃软骨
D.瘤软骨和软骨
E.软骨基质、钙化软化
114、单项选择题 采用下列哪种方法有助于鉴别小的肾血管平滑肌脂肪瘤与小肾癌()
A.薄层连续扫描以发现脂肪成分
B.增强扫描观察肿瘤强化情况
C.螺旋CT扫描
D.冠状位重建
E.以上都不是
115、多项选择题
女,50岁,体检发现右侧甲状腺有较硬结节,CT扫描如图所示,正确的描述或诊断是()
A.右侧甲状腺内见稍低密度影,周边围以环形致密钙化影
B.肿块影与周围结构分界清楚
C.结节性甲状腺肿
D.甲状腺癌
E.甲状腺腺瘤钙化
116、单项选择题 下面关于腹部CT图像的显示和摄影技术错误的是()
A.一般用腹窗和软组织窗观察
B.肝胆、胰、脾、肾及腹膜后腔的扫描图像一般用腹窗
C.肾上腺一般用软组织窗观察
D.腹窗:窗宽100~200HU,窗位30~50HU
E.软组织窗:窗宽100~200HU,窗位30~50HU
117、单项选择题 翼腭窝受侵犯主要见于()
A.鼻咽癌
B.上颌窦炎
C.颌骨成釉细胞瘤
D.上颌窦癌
E.腮腺混合瘤
118、单项选择题 有关椎间盘变性的叙述,错误的是()
A.多发生于中老年人
B.髓核含气量增加
C.椎间盘以低信号为主
D.椎间盘内信号可不均匀
E.可伴有椎间盘突出
119、单项选择题 一般对比剂产生的过敏反应不包括()
A.皮肤荨麻疹
B.呼吸困难
C.恶心呕吐
D.腹腔积气
E.血压下降
120、单项选择题
男,15岁,一星期前寒战,继而体温急剧升高,达39~40℃,发病后1~2天患肢右大腿出现功能障碍。局部出现红、肿、热、痛等症状,触之有波动感。实验室检查,血中白细胞升高,血沉增快,血培养阳性,中性粒细胞轻度升高,结合所提供的图像,最可能的诊断是()
A.急性化脓性骨髓炎
B.慢性化脓性骨髓炎
C.软骨肉瘤
D.动脉瘤样骨囊肿
E.骨巨细胞瘤
121、单项选择题
男,40岁,有血吸虫感染史,腹胀不适,食欲减退,CT扫描所见如图,最可能的诊断是()

A.肝炎后肝硬化
B.血吸虫后肝硬化
C.酒精性肝硬化
D.胆汁性肝硬化
E.脂肪肝
122、多项选择题
男,73岁,无痛性全程血尿2个月余,CT检查如图所示,下列说法正确的是()
A.右输尿管中下段可见沿输尿管走行的长约10.6cm,不规则的软组织肿块影
B.膀胱内可见宽基底的软组织肿块影
C.右肾及输尿管上段扩张积水
D.考虑为右侧输尿管中下段癌合并膀胱癌
E.考虑为右侧输尿管及膀胱结核
123、单项选择题 关于腹腔游离气体原因,以下哪项不对()
A.剖腹探察术后1周内
B.慢性胃炎
C.输卵管通气检查后第2天
D.消化道溃疡
E.个别正常女性
124、多项选择题 在诊断动脉瘤方面,与常规血管造影比较,CT的优点为()
A.可显示瘤体大小
B.可显示瘤内附壁血栓及其钙化
C.可显示瘤壁钙化
D.可显示瘤腔外的情况
E.可显示受累的动脉分支
125、多项选择题
女,28岁,持续性腰痛加重2天,伴尿频、尿急、尿痛及发热,MRI如图所示,下列说法正确的是()
A.单侧输尿管明显扩张,同侧的肾盂肾盏也扩张,但其程度轻于前者
B.考虑为先天性巨输尿管
C.考虑为输尿管下端结石并积水
D.考虑为输尿管癌所致的梗阻积水
E.考虑为输尿管囊肿
126、多项选择题 CT、MRI上有以下哪些表现,可提示胸腺瘤恶变()
A.肿瘤短期内明显增大
B.点状、曲线状钙化出现
C.肿瘤边界不清,向邻近组织浸润
D.轮廓不规则、分叶状
E.出现胸腔积液和胸膜肿瘤结节
127、单项选择题 有关病变大小的测量方法,不正确的论述是()
A.无论病变形态如何,都以其长轴作为测量的长度
B.长的半圆形病灶,可分段测量长度后相加得出长径
C.以长轴中心垂直的径为宽度
D.长×宽×层数×层厚为大致体积
E.各层面的面积叠加在一起得出精确的体积
128、单项选择题 下面关于肝脏CT增强扫描检查技术不合理的是()
A.肝脏增强通常采用"三期"扫描
B.动脉期延迟扫描时间25~30秒
C.门脉期延迟扫描时间60~70秒
D.实质期延迟扫描时间85~90秒
E.怀疑肝血管瘤,则实质期的延迟扫描时间为120秒
129、单项选择题
女,26岁,右腰部不适2年,根据所示图像,最可能的诊断是()
A.右侧髓质海绵肾
B.右肾结核瘤
C.甲状旁腺功能亢进所致的右肾改变
D.右侧慢性肾小管酸中毒
E.维生素D中毒所致的右肾改变
130、单项选择题 椎管内血管畸形中最常见的是()
A.动脉畸形
B.静脉畸形
C.毛细血管扩张症
D.动静脉畸形
E.混合性畸形
131、多项选择题 下述部位CT扫描检查需口服对比剂的是()
A.颅脑
B.盆腔
C.鼻咽部
D.腹部
E.肺的高分辨率扫描
132、单项选择题
患者踝痛,如图所示,最可能诊断为()
A.跟距骨桥
B.缺血坏死
C.骨髓炎
D.骨伤
E.以上都不是
133、单项选择题 关于脑皮质发育异常,下列哪项不包括在内()
A.无脑回畸形
B.巨脑回畸形
C.蛛网膜囊肿
D.多小脑回畸形
E.脑裂畸形
134、单项选择题
男,49岁,反复发作性癫痫,双手震颤5年,伴头昏行走不稳,生化检查:血清钙降低,血清磷升高,根据所提供图像,最可能的诊断是()
A.Fahr病
B.一氧化碳中毒性脑病
C.霉变甘蔗中毒
D.肝豆状核变性
E.甲旁低
135、单项选择题
患者约30岁,结合图像,最可能的诊断为()
A.缺血坏死性肠炎
B.炎性腹泻
C.克罗恩病
D.腺癌
E.溃疡性结肠炎
136、多项选择题 中耳继发性胆脂瘤的并发症为()
A.脑脓肿
B.乳突皮下脓肿
C.水平半规管瘘
D.乙状窦周围脓肿
E.乙状窦栓塞
137、单项选择题
女,19岁,右侧面颊部肿胀1年,CT检查如图所示,最可能的诊断是()
A.右颊部神经纤维瘤
B.右颊部血管瘤
C.右颊部脂肪瘤
D.右颊部横纹肌肉瘤
E.右颊部血肿
138、单项选择题
男,18岁,外伤后1小时,CT扫描如图,最可能的诊断是()
A.肾包膜下积液
B.肾脓肿
C.先天性肾萎缩
D.肾包膜下积血
E.肾挫裂伤
139、多项选择题
男,38岁,左侧腮腺渐进性肿大1年,无压痛,CT扫描如图所示,正确的描述或诊断是()
A.左侧腮腺区见低密度肿块,CT值约为-200Hu
B.肿块边缘清楚,未见邻近结构受侵
C.囊肿
D.脂肪瘤
E.血管瘤
140、单项选择题 有关腔隙性脑梗死错误的描述是()
A.好发于大脑深部、基底节区
B.皮层支动脉梗死
C.大小为0.5~1.5cm
D.临床症状可为纯运动或纯感觉障碍
E.常多发
141、单项选择题 正常成人腰椎侧隐窝前后径是()
A.>2mm
B.>3mm
C.>4mm
D.>5mm
E.>6mm
142、单项选择题 减轻或消除CT图像部分容积效应,可采用()
A.提高扫描矩阵
B.减小扫描层厚
C.骨算法重建
D.提高扫描X线条件
E.加大扫描层距
143、单项选择题 前列腺癌做CT检查可表现为()
A.前列腺内密度稍低的结节为癌结节
B.增强扫描可以确诊前列腺癌
C.前列腺外形轻度隆起是癌肿外侵的征象
D.CT扫描仅可以肯定晚期病变的受侵范围
E.以上都不对
144、单项选择题
男,25岁,头颅外伤,昏迷,意识丧失,结合CT图像,最可能的诊断是()
A.结节性硬化病
B.脑剪切伤
C.脑囊虫病
D.脑实质钙化灶
E.脑转移瘤
145、单项选择题
女,23岁,胸闷、气促1个月余,左侧锁骨上触及无痛性肿大淋巴结。胸部CT增强扫描片如图,最可能的诊断为()
A.淋巴瘤
B.肺动脉栓塞
C.右上肺肺癌
D.非侵袭性胸腺瘤
E.结节病
146、单项选择题 眶内壁骨折的CT表现不包括()
A.眶内容物向筛窦移位
B.眼内直肌向眶内移位
C.眶内可见积气眶内壁骨折的CT表现眼球发育异常永存原发玻璃体增生症
D.眼内直肌疝入筛窦内
E.筛窦密度增高
147、单项选择题 鼻窦黏液囊肿CT的典型征象为()
A.轮廓规则锐利
B.骨壁变薄外移或部分消失,可吸收破坏
C.腔内密度均匀而偏低
D.窦腔膨大,有环形均匀薄层囊壁包围
E.增强检查无强化效应
148、多项选择题 骨巨细胞瘤的CT表现为()
A.边缘硬化,有液-液平面
B.有钙化或骨化影
C.边缘无硬化,无液-液平面
D.无钙化
E.无液-液平面,无增强
149、多项选择题 下列关于大血管和冠状动脉异常的表现包括()
A.位置的异常
B.管径的异常
C.密度的异常
D.冠状动脉的异常,如钙化及其程度
E.心肌收缩功能的异常
150、单项选择题
女,40岁,高热伴胸痛1周,CT如图,最可能的诊断是()
A.支气管囊肿
B.淋巴瘤
C.纵隔脓肿伴淋巴结反应性肿大
D.胸腺囊肿
E.恶性畸胎瘤
151、单项选择题 易出现骨转移的盆腔内肿瘤是()
A.卵巢癌
B.子宫癌
C.膀胱癌
D.前列腺癌
E.精囊癌
152、单项选择题 CT扫描广泛应用于临床的根本原因是()
A.密度分辨力高
B.空间分辨力高
C.可获得冠状面、矢状面图像
D.患者接受X线少
E.显示的范围大
153、单项选择题 患者头痛3年。CT示右小脑桥脑角有一3cm×5cm囊实性占位性病变跨越到鞍旁,实性部分增强,内听道正常。最大可能是()
A.听神经瘤
B.三叉神经鞘瘤
C.转移瘤
D.胶质瘤
E.表皮样囊肿
154、单项选择题
患者中年,腹痛,如图所示,最可能诊断为()
A.淋巴瘤
B.神经纤维瘤病
C.卵巢囊肿
D.转移瘤
E.以上都不是
155、单项选择题
根据所提供的图像,该患者的最可能的诊断为直肠()
A.直肠静脉曲张
B.直肠癌
C.直肠息肉
D.直肠淋巴瘤
E.直肠炎症
156、单项选择题 关于眶内正常结构的CT解剖,下列描述哪项错误()
A.两侧眼上静脉可不对称
B.视神经直径3~4mm
C.内直肌最厚,上斜肌最薄
D.眼上静脉直径2~3.5mm
E.眼环厚度1~2mm
157、多项选择题 肾髓质钙化可见于下列哪种情况()
A.原发性甲状旁腺功能亢进
B.先天性肾小管性酸中毒
C.痛风性肾病
D.急性肾皮质坏死
E.髓质海绵肾
158、单项选择题 新月样空气征见于()
A.肺曲霉菌病
B.肺脓肿
C.农民肺
D.肺泡蛋白沉积症
E.肺类风湿性病
159、多项选择题 CT扫描的优点包括()
A.密度分辨力高
B.真正的断面图像
C.空间分辨力高
D.图像无层面以外的结构干扰
E.极限分辨力高
160、单项选择题 下列哪类肿瘤一般不发生钙化()
A.颅咽管瘤
B.垂体微腺瘤
C.脑膜瘤
D.室管膜瘤
E.少枝胶质细胞瘤
161、单项选择题 男,30岁,搏动性耳鸣,蓝色鼓膜,传导性耳聋2年。CT示鼓室内软组织肿物,最可能的诊断是()
A.胆脂瘤,中耳炎
B.胆脂瘤,听骨链破坏
C.面神经瘤,听骨链破坏
D.血管球瘤,颈内静脉裸露
E.中耳乳突炎,听骨链破坏
162、单项选择题 骨巨细胞瘤与动脉瘤样骨囊肿CT鉴别诊断中,最有意义的征象为()
A.前者可见骨性包壳,后者无
B.前者有明显膨胀性改变,后者无
C.前者病灶内可见分隔,后者无
D.前者病变中心可见坏死、液化,后者无
E.前者病变周围可见软组织肿块,后者无
163、多项选择题 美国心脏病协会关于冠状动脉节段分法包括()
A.左冠状动脉主干
B.右冠状动脉主干
C.左前降支近、中、远段
D.左回旋支近、远段
E.右冠状动脉近、中、远段
164、多项选择题 大叶性肺炎的CT征象包括()
A.病变呈叶或段分布
B.支气管充气征
C.病变密度均匀,边缘平直
D.实变肺叶体积与正常相等
E.病灶可完全吸收消散
165、单项选择题 尿液酸度增高见于()
A.膀胱炎
B.痛风
C.代谢性碱中毒
D.呼吸性碱中毒
E.肾小管性酸中毒
166、单项选择题 下列实现数字化最迟的是哪项技术()
A.CT
B.X线摄片
C.MRI
D.DSA
E.胃肠造影
167、单项选择题 盆腔CT检查,需求在膀胱充盈的状态扫描,目的是()
A.观察膀胱的蓄水量
B.与邻近的子宫区别
C.更清楚地显示膀胱内壁
D.观察膀胱壁的厚度
E.稀释肾脏排泄的对比剂
168、单项选择题 典型霉菌球的CT表现是()
A.肺内囊状或空洞内软组织球状阴影,可随体位移动
B.肺内单纯球状阴影
C.圆形阴影密度不均
D.圆形阴影增强明显
E.圆形阴影可见引流支气管
169、单项选择题 青年女性,低热、乏力、左腰痛3月余。CT示左肾影增大,左肾上极密度不均,有斑点样钙化,增强扫描左肾上极有多个囊腔,囊壁中等强度环形强化,邻近肾实质受压变薄,肾盏轻度扩大,应首先考虑左肾上极病变为()
A.左肾上极肾盂癌
B.左肾上极脓肿
C.左肾上极错构瘤
D.左肾上极囊肿
E.左肾上极结核
170、单项选择题
男,68岁,胸闷、气逼1年余,加重1周,右胸有手术史,结合CT图像,最可能的诊断是()
A.右侧气胸并皮下气肿、左侧肺气肿
B.右侧气胸并皮下气肿、左侧肺不张
C.双侧肺气肿
D.右侧气胸并皮下气肿
E.右侧肺间质病变、左侧肺气肿
171、多项选择题 “Parkinson病”患者,CT扫描上可见到()
A.中央型脑萎缩
B.外周型脑萎缩
C.局限性脑萎缩
D.苍白球对称性钙化
E.基底节区偶有低密度灶
172、单项选择题
女性,58岁。突感胸骨后疼痛来院就诊。行胸部CT平扫如图:

A.胸主动脉硬化
B.主动脉壁内血肿
C.胸主动脉夹层并破裂
D.胸主动脉破裂
E.主动脉炎
173、单项选择题
结合所示图像,右肾、骨盆和膀胱的充盈缺损是()
A.血凝块
B.肿瘤
C.感染
D.对比剂(延时扫描)
E.结石
174、多项选择题 退变性脊椎滑脱X线、CT特点为()
A.椎体移位程度较轻
B.椎间关节退行性骨关节炎程度较重
C.椎管狭窄较重
D.椎弓峡部骨质无断裂
E.多有外伤史
175、单项选择题
女,28岁,左侧鼻塞伴耳鸣5月余,CT如图所示,最可能的诊断为()
A.鼻咽癌
B.鼻咽部神经鞘瘤
C.鼻咽部淋巴瘤
D.鼻咽部转移瘤
E.鼻咽部血管纤维瘤
176、多项选择题 关于继发型肺结核,下列说法正确的是()
A.在我国分类法中属于Ⅵ型
B.好发于肺尖区、上叶尖后段及下叶背段
C.病变形式多样,其中包括干酪性肺炎、结核性空洞、支气管播散性结核、结核球、慢性纤维空洞型结核等
D.该型是成年组多见的结核,均是内源性感染
E.肺内已经静止的结核病灶,不会引起继发型肺结核
177、单项选择题
男,42岁,头痛、恶心半年余,逐步加重,右侧肌力减弱,CT检查如图,最可能的诊断是()

A.脑膜瘤
B.胶质瘤
C.转移瘤
D.畸胎瘤
E.室管膜瘤
178、单项选择题
男,35岁,有乙肝病史多年,AFP阳性,影像检查如图,最可能的诊断是()
A.肝硬化腹水
B.肝血管瘤
C.肝脓肿
D.肝癌、肝硬化、腹水
E.肝硬化,结节性增生
179、单项选择题 大细胞癌与腺癌的不同点是()
A.周围型肺癌多见
B.肿块边缘分叶多见
C.转移出现晚
D.空洞少见
E.转移出现早
180、单项选择题 椎间盘扫描时,机架倾斜角度的依据是()
A.与椎间隙平行
B.与椎间盘垂直
C.与椎体成45°
D.与椎体垂直
E.与椎间盘成15°
181、单项选择题 螺旋CT的基本结构属于第几代CT()
A.第一代CT机
B.第二代CT机
C.第三代CT机
D.第四代CT机
E.第五代CT机
182、单项选择题 下列哪项是诊断肺隔离症的最有特征性的影像学表现()
A.病变多位于下叶后基底段
B.若不充气,表现为膈上椎旁高密度病变
C.若与支气管交通,表现囊性病变,内有液平面
D.增强扫描显示来自主动脉的血管进入病变区
E.必须具备A、B、C、D四项
183、单项选择题 生殖细胞瘤与松果体瘤鉴别,最有利于生殖细胞瘤诊断的CT表现是()
A.肿瘤在三脑室后部
B.松果体钙化被肿瘤包埋
C.松果体钙化受压移位
D.松果体无钙化
E.梗阻性脑积水
184、单项选择题 下列哪项不属于CT机硬件结构范畴()
A.扫描机架
B.扫描检查床
C.X线发生系统
D.多幅照相机
E.自动洗片机
185、单项选择题
男,55岁,肝区不适,CT扫描如图,最可能的诊断为()
A.原发性肝癌
B.黄色肉芽肿
C.肝转移癌
D.肝血管瘤
E.肝脓肿
186、单项选择题 室管膜瘤的影像特点,下列哪项是错误()
A.常有脑积水表现
B.幕上者,侧脑室多见
C.幕下者,四脑室居多
D.平扫,多为混杂密度
E.增强扫描,多呈均匀强化
187、多项选择题 小脑星形细胞瘤CT检查时,可见下列哪些征象()
A.多位于小脑半球,少数在小脑蚓部
B.肿瘤可为囊性或实性
C.囊性瘤平扫为均匀的低密度
D.实性瘤平扫为均匀的高密度
E.多有水肿,第三脑室受压移位、闭塞
188、单项选择题 在脑梗死与脑水肿的鉴别中,哪种CT表现更倾向于脑水肿()
A.灰、白质都累及
B.主要发生在顶叶
C.棕榈叶形态
D.主要累及灰质
E.脑回样强化
189、单项选择题 下列关于脑膜瘤的描述中正确的是()
A.男性发病率高
B.青少年多见
C.多为良性
D.多见邻骨质破坏
E.CT增强扫描多无明显强化
190、单项选择题 结节性硬化的钙化特征是()
A.侧脑室周围,室管膜结节状钙化
B.脑内宽大全层脑回状,齿状或曲线状钙化
C.毛线团样或簇状钙化
D.局限性斑块状钙化
E.基底节区斑片状钙化
191、单项选择题
男,24岁,左大腿及膝部痛,结合图像,最可能的诊断是()
A.骨巨细胞瘤
B.骨囊肿
C.成软骨细胞瘤
D.动脉瘤样骨囊肿
E.骨肉瘤
192、单项选择题 当窗宽为250,窗位为50时,其CT值显示范围为()
A.50~250
B.-75~175
C.-125~125
D.0~250
E.50~300
193、单项选择题
男,50岁,中上腹饱胀、疼痛半年,消瘦,结合图像,最可能的诊断是()
A.淋巴瘤
B.胃腺瘤
C.胃癌
D.胃窦溃疡梗阻
E.胃平滑肌瘤
194、单项选择题
女,28岁,反复咯血半月余,CT检查如图,最可能的诊断是()
A.肺结核
B.肺癌
C.间质性肺炎
D.支气管扩张
E.肺脓肿
195、单项选择题 关于“星形胶质瘤”,下列描述哪项不对()
A.Ⅰ级:CT平扫为边缘清楚低密度灶
B.Ⅱ~Ⅳ级:CT平扫可为等、高混杂密度
C.小儿多发生于小脑
D.肿瘤强化程度与恶性程度成正比
E.成人以脑干居多
196、单项选择题 真菌性鼻窦炎的CT征象()
A.窦腔内可见软组织密度影,其内可见散在斑片状或沙粒状钙化
B.增强不明显
C.气-液平面多见
D.积液多见
E.多为双侧
197、单项选择题 关于过敏性肺炎,下列哪项不是其诊断要点()
A.症状轻或无症状
B.血中嗜酸性粒细胞增多
C.病灶具有迁移性
D.病灶易形成空洞
E.病变短期内吸收
198、单项选择题
患者60多岁,男性,胸部不适加重,最可能的诊断为()
A.食管癌
B.肺癌
C.主动脉瘤破裂
D.淋巴瘤
E.以上都不是
199、多项选择题 慢性腮腺炎的影像表现有哪些()
A.有脓液时,CT检查偶可见气体征象
B.平片偶可发现涎石
C.腮腺X线造影可见主导管扩张及不规则或增粗不均
D.腮腺X线造影可见“手握球”征
E.腮腺X线造影对比剂可至腮腺外
200、单项选择题 CT鉴别小脑星形细胞瘤与血管网状细胞瘤的主要依据是()
A.囊性变特点
B.有无壁结节
C.肿瘤钙化量
D.瘤周水肿
E.壁结节增强程度
201、多项选择题 男,21岁,视力障碍2个月,CT示鞍区囊实性占位病变,关于影像学分析下列哪些是正确的()
A.囊壁见蛋壳样钙化应首先考虑颅咽管瘤
B.增强后实性部分强化,应考虑:垂体瘤、颅咽管瘤等
C.确定病灶起源于蝶鞍内或蝶鞍上应着重观察轴位图像
D.如确定病灶起源于鞍上,应首先考虑颅咽管瘤等
E.病灶囊性部分位于实性部分上方,应首先考虑垂体瘤
202、单项选择题 水的衰减系数是()
A.0
B.1
C.2
D.10
E.100
203、单项选择题 根据CT工作原理,指出下列哪一项是错误的()
A.计算机控制扫描数据采集图像重建显示和存储各个环节
B.探测器接受的信号须放大并经过模/数转换
C.模/数转换后的数据为显示数据
D.Ap(阵列处理机)处理后的数据为显示数据
E.图像存储
204、单项选择题 以下哪项CT表现不支持支气管囊肿的诊断()
A.肿物呈卵圆形
B.肿物内无气体影
C.肿物内有气体影
D.肿物均匀轻度强化
E.肿物边缘光滑锐利
205、单项选择题 可见骨骼和牙齿的纵隔肿瘤是()
A.神经源性肿瘤
B.支气管囊肿
C.食管囊肿
D.恶性淋巴瘤
E.畸胎瘤
206、单项选择题
男,45岁,外伤后行CT检查,最可能的诊断为()

A.左颞顶部硬膜下血肿
B.左颞顶部硬膜外血肿
C.左顶枕叶出血
D.脑挫裂伤
E.脑膜瘤
207、多项选择题 脑挫裂伤的CT征象有()
A.损伤区局部呈低密度改变
B.散在点片状出血
C.不合并蛛网膜下腔出血
D.占位及萎缩表现
E.合并脑内血肿等征
208、多项选择题 颅骨骨折的间接征象为()
A.颅内积气
B.乳突气房消失
C.骨折线
D.软组织肿胀
E.蝶窦内气液平面
209、单项选择题
男,50岁,血便,大便形状改变,CT如图所示,最可能的诊断是()
A.直肠息肉
B.直肠内粪便
C.直肠癌
D.直肠腺瘤
E.直肠淋巴瘤
210、单项选择题
女,19岁,低热,盗汗,乏力,咳嗽1月余,CT检查如图,最可能的诊断是()
A.间质性肺炎
B.弥漫型肺癌
C.粟粒型肺结核
D.矽肺
E.大叶性肺炎
211、单项选择题 常规副鼻窦扫描参数选择,下述哪项是错误的()
A.采用标准FOV
B.层厚5mm
C.层距5mm
D.了解薄的骨壁是否破坏可改用1.5~2.0mm薄层扫描
E.薄层扫描时要比常规扫描降低条件
212、单项选择题
患者有一个可疑的肾团块,结合所示图像,最可能的诊断是()
A.肾细胞癌
B.淋巴瘤
C.黄色肉芽肿性肾盂肾炎
D.肾动静脉畸形
E.以上都不是
213、单项选择题 正常前庭导水管的宽度小于()
A.3mm
B.4mm
C.1.5mm
D.1mm
E.2mm
214、单项选择题 下述颅脑CT的异常表现中,除哪项外其他的与脑瘤有关()
A.颅内正常结构移位
B.脑水肿
C.脑沟增宽加深
D.脑积水
E.颅骨骨质吸收或破坏
215、单项选择题 男,2岁,头痛。CT轴位平扫示:双侧额顶部颅骨内板下方半月形脑脊液密度影,脑实质受压,中线结构居中。最可能的诊断为()
A.急性硬膜下血肿
B.双侧硬膜下血肿
C.双额顶慢性硬膜下血肿
D.双额顶硬膜下水瘤
E.双额顶蛛网膜囊肿
216、单项选择题 下列正常胰腺CT表现,哪项不对()
A.平扫CT值:35~45HU
B.增强CT值:可达150~200HU
C.常规扫描不能显示正常胰管
D.随年龄增长,胰腺可萎缩、脂肪浸润
E.正常胰腺质地可不均,呈羽毛状
217、单项选择题
男,56岁,咳嗽,咯血1月余,有吸烟史30余年,结合CT检查,最可能的诊断是()
A.肺结核
B.肺炎
C.结节病
D.肺错构瘤
E.中央型肺癌
218、单项选择题 X线平片怀疑骨肉瘤,CT检查的主要目的是()
A.明确病变位置及与周围组织的关系
B.更加清楚显示病变内部的结构
C.清楚准确地显示病变的范围和扩展
D.发现平片不能发现的细小病灶
E.以上均是
219、单项选择题 男性,9岁,右眼突、运动障碍2个半月,CT示视神经呈梭形增粗,视交叉增粗,中度、均匀强化。最可能的诊断是()
A.视神经母细胞瘤
B.视神经胶质瘤
C.黑色素瘤
D.视神经脑膜瘤
E.海绵状血管瘤
220、单项选择题 下列哪种方法是目前肾上腺疾病最佳影像检查方法()
A.USC
B.CT
C.MRI
D.核素显像
E.X线检查
221、单项选择题 下列哪种病其1/3的病人患有神经纤维瘤病()
A.眶内炎性假瘤
B.视网膜母细胞瘤
C.眼型Grave病
D.黑色素瘤
E.视神经胶质瘤
222、单项选择题 关于囊形包虫病,下列描述错误的是()
A.外囊为纤维组织,壁厚,可钙化
B.子囊由内囊生发层长出
C.囊壁分三层
D.子囊与头节源自母囊生发层
E.应避免穿刺活检
223、单项选择题
男,52岁,双眼突出2-3年,结合图像,最可能的诊断是()

A.淋巴瘤
B.肌炎型炎性假瘤
C.眼肌发育异常
D.眼型Graves病
E.眼眶血管畸型
224、单项选择题 男,40岁,头痛,CT示斜坡破坏,有一3cm×4cm混杂密度影伴斑点状钙化,脑干后移,最可能的诊断是()
A.脊索瘤
B.脑膜瘤
C.垂体瘤
D.颅咽管瘤
E.基底动脉
225、多项选择题 下列脾脏病变,哪些可以出现钙化()
A.皮样囊肿
B.脾脏血管瘤
C.脾梗死早期
D.贫血
E.结节病
226、单项选择题 根据CT工作原理,X线穿过人体后首先被下列哪部分接受()
A.计算机
B.照相机
C.磁盘
D.探测器
E.阵列处理机
227、单项选择题
女,73岁。左侧腰部不适1月余,加重伴血尿10天。CT表现如图,最可能是哪种疾病()
A.肾癌
B.肾盂癌
C.错构瘤
D.肾腺瘤
E.肾结核
228、单项选择题 男,32岁,反复咳嗽咳痰多年,加重3月,伴咯血10天,CT示左下肺串珠状软组织结节影,可见一小液平,最可能的诊断是()
A.肺支气管动静脉瘘
B.癌性淋巴管炎
C.支气管扩张症
D.支气管肺癌
E.肺内转移癌
229、单项选择题
男,36岁,左大腿可触及软组织肿块,结合图像,最可能的诊断是()
A.脂肪瘤
B.脂肪肉瘤
C.血管瘤
D.淋巴管瘤
E.纤维肉瘤
230、单项选择题
根据所提供的图像,推断此三维图像的数据是静脉注射后几秒采集的()
A.30s
B.60s
C.90s
D.180s
E.210s
231、单项选择题
女,45岁,急性右上腹剧痛2小时,向右肩放射,影像检查如图,最可能的诊断为()
A.急性胆囊炎
B.慢性胆囊炎
C.胆囊穿孔
D.胆囊腺肌增生症
E.胆道梗阻
232、单项选择题 眼眶肿瘤最佳检查方法()
A.平片
B.CT
C.MRI
D.眼眶造影
E.血管造影
233、多项选择题 CT在肺癌诊断中的价值是()
A.肺癌术前分期
B.显示隐匿性病灶
C.为纤维支气管镜检作向导
D.筛选行纵隔镜检查的病例
E.CT导向经皮穿刺
234、单项选择题 非离子型对比剂是()
A.泛影葡胺
B.优维显
C.泛影钠
D.碘苯酯
E.胆影葡胺
235、单项选择题 脑脓肿的CT表现分为四期,脓肿壁形成晚期是指发病()
A.7天后
B.14天后
C.21天后
D.28天后
E.60天后
236、单项选择题 泌尿系统先天性发育异常最常见的部位是()
A.肾脏
B.输尿管
C.肾动脉
D.膀胱
E.尿道
237、单项选择题 关于骨关节软组织CT扫描,错误的是()
A.在X线平片的指导下,确定扫描范围
B.肢体检查应双侧同时扫描
C.应用骨窗和软组织窗同时观察
D.有时可采用斜位扫描
E.为发现骨病变行增强扫描
238、单项选择题
男,63岁,咽喉部不适约1年,近两个月经常咳嗽,痰中带有血丝,CT如图所示,最可能的诊断是()
A.梨状窝癌
B.声门型喉癌
C.声门下型喉癌
D.声门上型喉癌
E.混合型喉癌
239、单项选择题
男,33岁,外伤后3天,肝区疼痛,CT、MRI检查如图,最可能的诊断是()
A.肝脓肿
B.肝囊肿
C.肝包膜下血肿
D.肝包虫病
E.肝癌
240、单项选择题 患者,女,26岁,无明显不适,CT平扫发现肝右叶低密度病灶,呈圆形,边界清晰,增强扫描动脉期病灶明显强化,静脉期密度下降,延迟扫描呈稍低密度。 下列哪一项资料对鉴别诊断无意义()
A.AFP升高
B.患者长期服用避孕药
C.腹主动脉旁见肿大淋巴结
D.患者出现腹水
E.上腹部疼痛
241、单项选择题 在CT征象上与血管网状细胞瘤表现最相似的肿瘤是()
A.囊状星形细胞瘤
B.室管膜瘤
C.髓母细胞瘤
D.皮样囊肿
E.囊性转移瘤
242、多项选择题 扩张型心肌病应与下列哪些疾病鉴别()
A.心肌梗死
B.心包积液
C.风湿性心脏病
D.三尖瓣下移
E.以上都不对
243、单项选择题 女,28岁,产后突发剧烈头疼,视物模糊,一侧肢体轻偏瘫。CT平扫示双侧脑白质大片低密度改变,皮层斑点状出血,脑室变小。最可能的诊断为()
A.静脉窦血栓形成
B.脑梗死
C.出血性脑梗死
D.多发性硬化活动期
E.脑炎
244、单项选择题 有关间脑结构的正确描述是()
A.双侧丘脑与穹窿相连接
B.间脑又称丘脑
C.间脑连接大脑半球和小脑
D.间脑包括丘脑、丘脑上部、丘脑底部、丘脑下部
E.间脑前部有松果体
245、单项选择题
男,29岁,左侧髋部疼痛1月余,夜间加重,结合影像学检查,最可能的诊断是()
A.慢性骨脓肿
B.动脉瘤样骨囊肿
C.骨样骨瘤
D.骨结核
E.骨瘤
246、单项选择题 颅内动静脉畸形CT平扫,一般可为高、等、低三种密度。低密度是指()
A.胶质增生
B.尚未钙化的血栓
C.梗死区及脑萎缩的脑脊液充填区
D.周围水肿
E.脑实质
247、单项选择题
男,29岁,右肩肿物4年,质地硬,压痛不明显,结合图像,最可能的诊断是()
A.结核
B.骨转移瘤
C.成软骨细胞瘤
D.巨细胞瘤
E.软骨肉瘤
248、单项选择题 关于胰腺癌的描述,错误的是()
A.起源于腺管或腺泡细胞
B.大多数肿块边界不清
C.以“围管浸润”方式侵犯胆总管
D.常形成乳头状息肉突入胆总管内
E.转移发生较早
249、多项选择题 脊柱退行性变主要是椎间盘的改变,下列属于椎间盘改变的是()
A.纤维环变性并出现裂隙
B.软骨板变薄和玻璃样变
C.“真空”征象
D.椎间盘形成Schmorl氏结节
E.髓核脱出
250、单项选择题
女,38岁,因右大腿远端部有疼痛,可摸到肿块,结合图像,最可能的诊断是()
A.非骨化性纤维瘤
B.骨囊肿
C.骨纤维异常增殖症
D.动脉瘤样骨囊肿
E.骨巨细胞瘤
251、多项选择题 股骨头缺血坏死时,CT诊断股骨头塌陷的征象包括()
A.股骨头皮质成角
B.台阶征
C.双边征
D.裂隙征
E.股骨头内簇状、条带状和斑片状高密度硬化影
252、单项选择题 肺肉瘤的CT征象,错误的是()
A.周围型多见
B.多数可见明显分叶
C.多数瘤体较大
D.肺门纵隔淋巴结转移多见
E.可见钙化
253、单项选择题 女,35岁,发现前纵隔囊实性肿块,增强后明显强化,与大血管之间的脂肪层消失,右前胸膜不规则增厚,后肋膈角胸膜可见结节,右侧少量胸水,最可能的诊断是()
A.恶性胸骨后甲状腺肿
B.霍奇金病
C.侵袭性胸腺瘤
D.恶性皮样囊肿
E.纵隔型肺癌
254、单项选择题 下列哪项不属于首选肾脏CT检查的疾病是()
A.肾上腺肿瘤
B.输尿管结石
C.肾动脉狭窄
D.肾结核
E.肾周脓肿
255、单项选择题 关于胆囊结石的表述,错误的是()
A.CT检查能反映结石的化学成分
B.口服胆囊造影CT检查可表现为低密度充盈缺损
C.CT可作为胆囊结石的常规检查手段
D.结石的中心可由蛔虫皮或虫卵构成
E.泥沙样结石可与胆汁形成密度不同的液平面
256、多项选择题 关于心包肿瘤,下列哪些是正确的()
A.原发性心包肿瘤极为少见
B.转移性心包肿瘤远多于原发性肿瘤,以淋巴瘤、乳腺癌和肺癌的转移最常见
C.无论是原发性还是转移性肿瘤最主要临床并发症为心包积液和心包埂塞
D.CT增强扫描有利于观察心包肿瘤的大小和范围
E.CT增强检查不能区分是大量渗出所致的心包填塞还是肿瘤直接侵犯心包合并腔静脉阻塞
257、多项选择题
女,38岁,体检时B超在左肾探及一中强回声光团,边界清,内部回声均匀,CT检查如图所示,下列说法正确的是()
A.左肾中部靠后方可见一类圆形低密度病灶
B.病灶与周围肾组织界限清楚
C.病灶密度为脂肪密度
D.考虑为左肾血管平滑肌脂肪瘤
E.考虑为左肾脂肪瘤
258、单项选择题 脑转移瘤最常见的部位是()
A.大脑灰质
B.大脑白质
C.灰白质交界
D.小脑半球
E.脑干和脑膜
259、多项选择题 关于髓外硬膜下肿瘤X线造影表现正确者()
A.脊髓受压,向健侧移位
B.脊髓膨大,无移位
C.脊髓受压,向患侧移位
D.脊髓常常无变化
E.阻塞近端蛛网膜下腔呈小杯口状,远端逐渐移行为正常
260、单项选择题 根据我国小肝癌的诊断标准,两个瘤结节的最大直径总和应是()
A.≤2.5cm
B.≤3.0cm
C.≤4.0cm
D.≤5.0cm
E.≤6.0cm
261、多项选择题 关于脊椎椎体爆裂骨折,正确的表述为()
A.骨折累及脊柱前、中柱,同时可累及后柱
B.是常见的不稳定骨折
C.常引起椎体后壁骨折
D.骨折碎片移位常突入椎管,压迫脊髓,引起神经症状
E.可仅累及脊柱前柱,而中、后柱结构完整
262、单项选择题 颅内动静脉畸形CT平扫,一般可为高,等,低三种密度。等密度是指()
A.胶质增生
B.尚未钙化的血栓
C.梗死区及脑萎缩的脑脊液充填区
D.脑血管钙化
E.周围水肿
263、单项选择题
女,45岁,右耳听力下降半年余,CT检查如图,最可能的诊断是()

A.继发性胆脂瘤
B.脑膜瘤
C.三叉神经瘤
D.原发性胆脂瘤
E.听神经瘤
264、单项选择题
双肾CT平扫图像如下,符合下列何种疾病()
A.错构瘤
B.肾癌
C.肾囊肿
D.多囊肾
E.肾结石
265、单项选择题 颅脑CT扫描的扫描基线不包括()
A.听眦线
B.听眉线
C.听眶线
D.听鼻线
E.眶耳线
266、单项选择题 腹主动脉瘤的直径为多少容易发生破裂()
A.<3.5cm
B.<4.0cm
C.>5cm
D.>8cm
E.<1.0cm
267、单项选择题
女,64岁,发现双甲状腺肿大1个月余,CT如图所示,最可能的诊断是()
A.结节性甲状腺肿
B.甲状腺腺瘤
C.甲状腺癌并淋巴结转移
D.甲状腺转移瘤
E.甲状腺结核
268、单项选择题 一般不引起视神经孔变小的疾病是()
A.骨纤维异常增殖症
B.畸形性骨炎
C.石骨症
D.眶内血管瘤
E.脑膜瘤
269、单项选择题 关于门脉癌栓,下列观点错误的是()
A.可伴门脉海绵样变
B.增强扫描,癌栓可强化
C.个别患者肝内可见不到明显肿瘤
D.转移性肝癌者,出现率高
E.少数癌栓可与肿瘤不在同一肝叶
270、单项选择题
男,20岁,头痛、鼻塞、鼻出血,CT如图所示,最可能的诊断是()
A.鼻咽癌
B.巨大的鼻息肉
C.鼻咽纤维血管瘤
D.鼻咽神经纤维瘤
E.鼻咽腺样体增生
271、单项选择题 诊断肺隔离症最有价值的检查方法是()
A.CT扫描
B.体层摄影
C.主动脉造影
D.支气管造影
E.胸部平片
272、单项选择题 直肠癌腹会阴联合切口术后复发最常见的部位是()
A.会阴部
B.骶尾骨前区
C.盆腔侧壁
D.直肠吻合部
E.盆腔肠袢周围
273、单项选择题 肾移植术后最常用的检查方法是()
A.CT
B.超声
C.MRI
D.核素
E.血管造影
274、多项选择题 发生于脊髓内常见肿瘤为()
A.星形细胞瘤
B.神经纤维瘤
C.室管膜瘤
D.神经鞘瘤
E.淋巴瘤
275、单项选择题
女,75岁,右上颌疼痛肿胀半年余,CT检查如图,最可能的诊断是()
A.造釉细胞瘤
B.牙龈癌
C.上颌骨骨肉瘤
D.混合性牙瘤
E.颌骨转移瘤
276、单项选择题 下列与胸部CT增强扫描技术不相关的是()
A.静脉团注对比剂60~70ml
B.流速2~2.5ml/s
C.延迟扫描时间20秒
D.扫描范围和扫描参数同平扫
E.采用螺旋扫描
277、多项选择题 肝岛CT表现()
A.胆囊床附近最常见
B.脂肪肝基础上呈相对高密度
C.边界清楚,形态各异
D.无占位效应
E.增强后无早期异常强化
278、单项选择题 脑肿瘤CT扫描,不能显示的是()
A.肿瘤大小
B.肿瘤形态
C.肿瘤与周围组织关系
D.肿瘤的病理组织类型
E.肿瘤的位置
279、单项选择题
男,45岁,右下腹包块伴进行性增大5月,有钝痛,体检:右下腹明显隆起,可触及一5cm×6cm包块,质中,活动差,影像检查如图,最可能的诊断为()
A.精原细胞瘤
B.腹股沟阴囊恶性间皮细胞瘤
C.腹外疝
D.阑尾脓肿
E.淋巴瘤
280、单项选择题 心肌梗死的延迟增强扫描图像上,延迟性强化代表()
A.心肌纤维化
B.心肌缺血
C.心肌坏死
D.心室壁瘤
E.心肌修复
281、单项选择题 前脑无裂畸形是由于在胚胎第几周前孕育形成障碍()
A.10~14周
B.16~18周
C.4~8周
D.20~24周
E.26~28周
282、单项选择题 喉部CT扫描体位,仰头目的在于()
A.病人舒服
B.头不易动
C.便于定位
D.喉室打开
E.防止下颌骨伪影
283、单项选择题 下列关于肥厚型心肌病的描述,正确的为()
A.Ⅰ型,非对称性室间隔肥厚型
B.Ⅱ型,右心室普遍性肥厚型
C.Ⅲ型,右心室游离壁的局限性增厚
D.Ⅰ型,对称性室间隔肥厚
E.以上都不对
284、多项选择题 旋转性寰枢关节半脱位的CT诊断,正确的为()
A.儿童多见,预后良好
B.上呼吸道感染、微小的创伤、先天性畸形、强直性脊柱炎和类风湿性关节炎等均可致病
C.薄层CT横断面扫描并矢状面和冠状面重建可精确显示寰枢椎的相互关系
D.CT是诊断本病的最佳方法
E.儿童寰椎前结节后缘与枢椎齿状突前缘的距离大于4mm,提示横韧带撕裂
285、单项选择题
男,45岁,左眼疼痛伴视力下降一个多月,左眼明显外突,CT扫描如图所示,最可能的诊断是()
A.左侧眶内炎性假瘤
B.左眶内血管瘤
C.左眶内纤维瘤
D.左眶内结核
E.左眶内转移瘤
286、单项选择题 男,52岁,呼吸困难伴咳嗽1年余,逐渐加重,无咳痰,轻度杵状指。HRCT示双侧中下肺毛玻璃状斑片影伴细网状影,最可能的诊断是()
A.支气管肺炎
B.特发性肺间质纤维化
C.肺炎型肺泡癌
D.过敏性肺炎
E.成人呼吸窘迫综合征
287、单项选择题
男,56岁,骶部持续性疼痛,夜间加重,结合图像,最可能的诊断是()
A.脊索瘤
B.骨转移瘤
C.骨肉瘤
D.多发性骨髓瘤
E.骨巨细胞瘤
288、单项选择题 下列关于HRCT的间质性阴影,错误的描述是()
A.正常人HRCT常可见的清晰的小叶间隔影
B.结节病患者的HRCT可见串珠状小叶间隔增厚
C.肺长线状影通常提示明显的间质纤维化
D.胸膜下线也可见于非石棉肺的其他间质性肺疾病
E.与蜂窝阴影相连的胸膜常呈轻度增厚
289、单项选择题 脾肿大的诊断标准是()
A.上下>12cm,前后>5个肋单元
B.上下>14cm,前后>4个肋单元
C.上下>14cm,前后>6个肋单元
D.上下>15cm,前后>6个肋单元
E.上下>15cm,前后>5个肋单元
290、多项选择题 关于肝内胆管细胞癌的叙述,正确的是()
A.多见于60岁以上
B.血供多丰富
C.与肝硬化无关
D.胆管及肝外门脉阻塞常见
E.发现时肿瘤通常较大
291、单项选择题
骨髓移植患者发热,结合图像,最可能的诊断为()
A.脾念珠菌病
B.脾囊肿
C.肿瘤浸润脾
D.淋巴瘤
E.以上都不是
292、单项选择题 骨关节结核的主要感染来源是()
A.经消化道传染
B.经呼吸道传染
C.继发于肠结核
D.继发于肺结核
E.经皮肤直接侵入
293、单项选择题 病人眩晕,CT示左侧桥脑小脑角池内低密度病灶,与脑池形态一致,增强扫描无强化,脑干轻度受压,最可能的诊断为()
A.畸胎瘤
B.胆脂瘤
C.听神经瘤
D.三叉神经纤维瘤
E.室管膜瘤
294、单项选择题
男,77岁,右侧肢体活动不灵伴昏迷1天余,右侧病理征(+),平扫CT检查如图,最可能的诊断为()

A.脑出血
B.脑梗死
C.脑炎
D.脑胶质瘤
E.脑转移瘤
295、单项选择题 35岁女性,经血增多、痛经,CT示子宫一致性增大,子宫壁增厚,内有囊状影,囊液CT值15~28HU,宫腔形态尚可,应首先考虑为()
A.子宫转移癌
B.子宫肌瘤
C.子宫腺肌症
D.子宫内膜癌
E.子宫平滑肌肉瘤
296、多项选择题 小脑星形细胞的肿瘤应与下列哪些病变相鉴别()
A.小脑梗死
B.室管膜瘤
C.神经胶质肉瘤
D.髓母细胞瘤
E.血管母细胞瘤
297、单项选择题
患者70岁,最可能的诊断是()
A.胸腺瘤
B.淋巴瘤
C.神经纤维瘤
D.转移瘤
E.胸骨后甲状腺肿
298、多项选择题 螺旋CT的特点包括()
A.不使用滑环技术
B.扫描时X线连续发生
C.扫描时探测器间断采集数据
D.扫描时床面带动病人连续匀速移动
E.扫描时病人一次屏气可完成一个区段扫描
299、单项选择题
男,59岁,呼吸困难,胸痛,有发热,结合CT图像,最可能的诊断是()

A.脓胸
B.肺脓肿
C.大叶性肺炎
D.肺囊虫病
E.肺癌
300、单项选择题
男,36岁,踝关节肿胀,肢体麻木,有糖尿病史,结合图像,最可能的诊断是()
A.痛风
B.退行性骨关节变
C.类风湿关节炎
D.创伤性关节病
E.神经性关节病