时间:2025-10-06 23:55:40
1、单项选择题
下图为眼睛正常声像图,请回答图中黄←、绿←、红←分别所指部位的名称()。见彩图。
A.黄←晶状体、绿←玻璃体、红←视神经
B.黄←前房、绿←玻璃体、红←视神经
C.黄←晶状体、绿←玻璃体、红←眼外肌
D.黄←睫状体、绿←玻璃体、红←视神经
2、单项选择题
临床资料:62岁,自述右眼渐进性视力减退,视物不清3年,加重半年余。超声综合描述:双眼球形态正常,晶状体内透声不清亮,内可见增强回声,玻璃体内透声清亮。
超声提示()。
A.晶状体混浊(白内障)
B.玻璃体内异物
C.晶状体脱位
D.正常晶状体声像图
3、单项选择题 患者女性,50岁,无症状,偶然发现颈粗,超声检查发现甲状腺轻度肿大,内见多个囊实性小结节,最可能是()。
A.甲状腺炎
B.毒性甲状腺肿
C.结节性甲状腺肿
D.单纯性甲状腺肿
E.甲状腺囊肿
4、单项选择题 与毒性甲状腺肿无关的是()。
A.甲状腺炎火海征
B.甲状腺海岛征
C.甲状腺上下动脉增宽
D.甲状腺上下动脉为高阻高速频谱,峰值速度70cm/s,静脉为低速宽带频谱
E.血流速度的增加随T3、T4的升高而加快
5、单项选择题
临床资料:男,44岁,自述患慢性顽固性咽炎多年,久治不愈。超声综合描述:右颈部可见数个长圆形低回声,边界清晰,形态规则。
超声提示()。
A.右颈部多发肿大淋巴结(慢性炎性肿大)
B.右颈部淋巴结转移瘤
C.右颈部正常淋巴结声像图
D.右颈部淋巴结结核
6、单项选择题 下肢动脉闭塞时,常用下列哪条动脉作对照()。
A.肱动脉
B.颈动脉
C.主动脉
D.对侧下肢动脉系统
7、单项选择题 眼球有几个腔,眼球内容物有()。
A.眼球为一圆形腔隙,内容物有晶状体、玻璃体
B.眼球有两腔:前房、后房,内容物有晶状体、玻璃体
C.眼球有三腔:前房、后房、玻璃体腔,内容物有晶状体、玻璃体
D.眼球有四腔:前房、后房、晶状体腔、玻璃体腔,内容物有晶状体、玻璃体
8、单项选择题
判断下图、彩图符合哪种眼睑疾病。
超声提示()。
A.眼睑神经纤维瘤
B.眼睑皮样囊肿
C.眼睑血肿
D.睑板腺癌
9、单项选择题 表现为实质性包块的颈部血管疾病是()。
A.真性动脉瘤
B.假性动脉瘤
C.夹层动脉瘤
D.颈动脉体瘤
E.颈动脉扭曲
10、单项选择题
临床资料:男,75岁,自述进行性视物模糊。超声综合描述:眼球形态正常,晶状体前后皮质回声增强,内透声不清亮,呈椭圆形强回声(箭头所指)。
超声提示()。
A.人工晶状体植入
B.晶状体混浊(白内障)
C.球内异物
D.玻璃体出血
11、单项选择题 腮腺位于下颌后窝咀嚼肌部皮下,解剖形态特点哪一项是错误的()。
A.形态不规则
B.大致呈三角形
C.导管开口于口腔
D.导管长3~6cm
E.导管宽1~2cm
12、单项选择题 腮腺的超声检查方法最适宜的是()。
A.采用7~10MHz频率探头,多切面进行检查
B.理发后,多切面进行检查
C.空腹进行多切面检查
D.主要观察腮腺的血管及神经分布
E.进行纵切面检查
13、单项选择题
临床资料:男,40岁,常规体检。超声综合描述:右颈部可见数个长圆形低回声,边界清晰,部分融合。
超声提示()。
A.右颈部多发肿大淋巴结
B.右颈部淋巴结转移瘤
C.右颈部正常淋巴结声像图
D.右颈部淋巴结结核
14、单项选择题
患者男,21岁,发现睾丸无痛肿块,局部不规则,结合超声图像,最可能的诊断是()。
A.精原细胞瘤
B.睾丸畸胎瘤
C.精母细胞瘤
D.睾丸腺癌
E.睾丸囊肿
15、单项选择题 人体不同组织声衰减的程度不同,指出下面何项不妥()。
A.骨骼、钙化衰减程度多
B.肌腱、瘢痕声衰减明显
C.肝、肾、肌肉属中等
D.皮下脂肪组织属低衰减
E.肺组织(含气)衰减程度更低
16、单项选择题 眼球壁分几层()。
A.分内外两层
B.分内、中、外3层
C.分角膜、巩膜、脉络膜、视网膜4层
D.分角膜、巩膜、色素膜、脉络膜、视网膜5层
E.以上均不是
17、单项选择题
临床资料:女性,25岁,自述心悸,多汗,食欲亢进,体重减轻6个月余,发现颈部增粗1周。临床物理检查:甲状腺对称性增大,随吞咽上下运动,听诊有血管杂音。超声综合描述:双侧甲状腺增大,回声减低,明显不均,内未见囊实性肿物,CDFI:内可见丰富动静脉血流信号,呈"火海"征。见下图及彩图。
超声提示()。
A.结节性甲状腺肿
B.毒性甲状腺肿(原发性甲状腺功能亢进)
C.甲状腺腺瘤
D.甲状腺正常声像图
18、单项选择题 腮腺囊肿的声像图特征是()。
A.形态不规整,轮廓边界清晰,多呈多边形或锯齿状
B.边界完整,内为无回声,后方回声增强
C.内呈不均质混合回声
D.透声不清亮,后方轻度衰减
19、单项选择题 颈动脉硬化闭塞症的脉冲多普勒频谱表现()。①颈动脉轻度狭窄:频谱轻度增宽,Vmax无变化②颈动脉轻度狭窄:频谱轻度增宽,Vmax无明显变化或轻度增快③颈动脉中、重度狭窄:Vmax加快,频谱增宽④颈动脉中、重度狭窄:Vmax加快,舒张期反向血流消失,频谱增宽⑤颈动脉完全闭塞:测不出频谱,远心端Vmax平均速度减慢,舒张期反向血流消失,呈低幅连续单相血流频谱⑥颈动脉完全闭塞:测不出频谱,近心端Vmax平均速度加快,呈双向血流频谱
A.①③⑥
B.②④⑤
C.①④⑤
D.②③⑥
20、单项选择题
临床资料:男,63岁,自述心前区闷痛不适;临床诊断冠心病,心梗,行冠状脉动脉造影术后48小时。临床物理检查:穿刺点处皮下大片淤血斑伴有搏动、持续性血管杂音。超声综合描述:右股浅动脉旁可见混合性回声区,内回声由无一低回声,中部为无回声;混合性回声形态不规则,边界欠清,缺乏动脉壁各层结构,与右股浅动脉相通,CDFI:内见五彩镶嵌血流信号,收缩期自右股浅动脉流入混合性回声区内,舒张期血流自混合性回声区返回右股浅动脉,PW:呈双期双向动脉频谱。见彩图97。
超声提示()。
A.右股浅动脉真性动脉瘤
B.右股浅动脉一右股总静脉动静脉瘘
C.右股浅动脉假性动脉瘤
D.右股浅动脉闭塞
21、单项选择题
临床资料:男,52岁,常规体检,确诊糖尿病、高血压、高血脂3年余。超声综合描述:双侧颈总动脉内膜粗糙,连续中断,中内膜回声强弱不均,节段性增厚,分叉处最大厚度:左0.14cm。右0.13cm。
超声提示()。
A.双侧颈动脉粥样硬化并软斑形成
B.双侧颈动脉粥样硬化并钙化斑形成
C.双侧颈动脉轻度粥样硬化(节段性中内膜增厚)
D.正常颈动脉声像图
22、单项选择题 经颅超声使用的超声频率为()。①二维常用频率2.0~3.5MHz②CDFI常用频率2.0MHz③二维常用频率5.0~7.0MHz④CDFI常用频率5.0~7.0MHz
A.①②
B.③④
C.①②③④
D.以上各项均不是
23、单项选择题
患者,女,65岁,近半月颈部明显增大。超声检查如图,最可能的诊断为()。
A.甲状腺囊肿
B.结节性甲状腺肿
C.甲状腺腺瘤并囊变
D.甲状腺乳头状囊腺癌
E.甲状腺炎
24、单项选择题 一中年女性,颈部肿大。超声显示:甲状腺不规则、非对称性肿大,实质回声增粗,内见多个结节,结节边界欠清晰,有的内部可见液性暗区,CDFI:血流丰富,粗大迂曲的分支血管在结节间穿行、绕行。最可能的诊断是()。
A.甲状腺腺瘤
B.甲状腺癌
C.结节性甲状腺肿
D.桥本病
E.毒性甲状腺肿
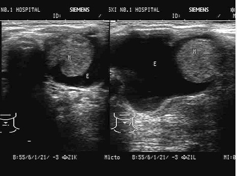
25、单项选择题
患者,女,25岁,颈部触及肿块半年余,无明显不适。甲状腺超声见右侧甲状腺一单发异常光团,如图。最可能的诊断为()。
A.甲状腺癌
B.结节性甲状腺肿
C.甲状腺腺瘤
D.甲状腺炎
E.甲状腺囊肿
26、单项选择题 血管内径减少多少是区分颈动脉狭窄为轻度或中度的指标()。
A.≥30%
B.≥40%
C.≥50%
D.≥60%
E.≥70%
27、单项选择题 胸壁胸膜超声检查最重要的扫查途径是()。
A.经肋间扫查
B.经锁骨上扫查
C.经肋缘下扫查
D.经剑突下扫查
E.经肝脾扫查
28、单项选择题 关于原发性视网膜脱离的描述,正确的是()。
A.亦称孔源性视网膜脱离
B.是一种原因不明的视网膜层间分离
C.视力减退,相应的视野缺乏
D.眼底检查可发现视网膜灰色隆起
E.以上都对
29、单项选择题 如果用颈内动脉速度/颈总动脉速度作为诊断近端颈内动脉狭窄的指标,以下哪个收缩期峰值流速比值,提示颈内动脉管径狭窄率超过70%()。
A.1.5
B.2.0
C.4.0
D.5.0
E.5.5
30、单项选择题
患者颈部肿大,可扪及肿块。如图,提示为()。
A.甲状腺腺瘤
B.结节性状腺肿大
C.甲状腺癌
D.甲状腺炎症
E.甲状腺囊肿