时间:2025-10-02 01:54:54
1、单项选择题 松果体区最常见的肿瘤是()
A.畸胎瘤
B.表皮样囊肿
C.胶质瘤
D.生殖细胞瘤
E.松果体细胞瘤
2、单项选择题
该患者因血尿急诊,根据所提供图像,最可能的诊断是()
A.肾结石
B.血块
C.移行细胞癌
D.息肉
E.以上都不是
3、单项选择题
男,11岁,有遗传性多发性骨软骨瘤史,现左髋部肿胀、疼痛明显,结合图像,最可能的诊断是()
A.尤文肉瘤
B.软骨肉瘤
C.骨肉瘤
D.化脓性骨髓炎
E.骨软骨瘤
4、单项选择题 下列“脑脓肿”影像表现中,哪项正确()
A.第1周,边缘清晰低密度影
B.第2周,水肿最明显,无强化
C.第3周,水肿最明显,有“气液面”
D.多数病灶可结节样强化
E.常为单发
5、多项选择题 肝海绵状血管瘤的影像学表现中,包括()
A.抱球征
B.树上挂果征
C.早出晚归征
D.灯泡征
E.星状瘢痕征
6、单项选择题 指出下列中纵隔病变的CT鉴别要点:恶性淋巴瘤()
A.非对称性淋巴结肿大
B.气管旁囊状病灶
C.块状病灶,常压迫上腔静脉
D.对称性淋巴结肿大
E.膨胀性搏动肿块
7、单项选择题 下面关于肝脏CT增强扫描检查技术不合理的是()
A.肝脏增强通常采用"三期"扫描
B.动脉期延迟扫描时间25~30秒
C.门脉期延迟扫描时间60~70秒
D.实质期延迟扫描时间85~90秒
E.怀疑肝血管瘤,则实质期的延迟扫描时间为120秒
8、单项选择题 球形增大的肝右叶下段称为()
A.獭尾肝
B.尾状叶
C.利德尔叶
D.右前叶
E.右后叶
9、单项选择题 男,52岁,呼吸困难伴咳嗽1年余,逐渐加重,无咳痰,轻度杵状指。HRCT示双侧中下肺毛玻璃状斑片影伴细网状影,最可能的诊断是()
A.支气管肺炎
B.特发性肺间质纤维化
C.肺炎型肺泡癌
D.过敏性肺炎
E.成人呼吸窘迫综合征
10、单项选择题
女,46岁,胸痛,乳腺癌放、化疗术后,结合图像,最可能的诊断是()
A.化脓性骨髓炎
B.胸骨坏死
C.成骨性骨转移瘤
D.胸骨结核
E.以上都不正确
11、多项选择题 下列哪些参与鼻腔顶部的构成()
A.筛板
B.蝶骨
C.额骨鼻部
D.眶骨
E.鼻骨
12、单项选择题 常引起视神经孔增大的病变是()
A.骨纤维异常增殖症
B.畸形性骨炎
C.石骨症
D.眶内血管瘤
E.视神经脑膜瘤
13、单项选择题 多层螺旋CT的层厚最薄可达()
A.0.5mm
B.1mm
C.1.5mm
D.2mm
E.2.5mm
14、多项选择题 下列关于心室长轴面的描述,哪些是正确的()
A.电子束CT可直接显示心室长轴面
B.多层螺旋CT通道容积数据的重组获得心室长轴面
C.多层螺旋CT也可通过多时相重建获得心脏运动的信息
D.长轴面有利于显示瓣膜、左室流出道及心尖
E.常用层面包括升主动脉根部层面、左室流出道层面和左心室膈面
15、单项选择题 关于脾外伤CT检查的叙述,错误的是()
A.伤后立即做CT平扫和增强检查,结果正常不能完全除外脾破裂
B.随时间推移血肿密度逐渐减低,是血肿内的血红蛋白和水容量减少所致
C.平扫不易发现脾包膜下血肿
D.脾撕裂伤时可见脾外形不完整或模糊,脾边缘裂缝
E.脾破裂出血多积聚于左侧结肠旁
16、单项选择题 脑三叉神经血管瘤病(sturge-Weber综合征)的特征描述,下列哪项是错误的()
A.前额血管痣
B.面颊血管痣
C.枕叶血管瘤
D.额叶血管瘤
E.癫痫
17、单项选择题
肾部分切除术后出现血尿,最可能的诊断是()
A.肿瘤复发
B.脓肿
C.假性动脉瘤
D.囊肿
E.以上都不是
18、单项选择题 颅骨骨折分型,较全面、正确的是()
A.线样骨折、粉碎骨折、凹陷骨折
B.线样骨折、粉碎骨折
C.凹陷骨折、穿入骨折
D.线样骨折、穿入骨折
E.线样骨折、粉碎骨折、凹陷骨折、穿通骨折
19、单项选择题 对增强扫描原理和意义的论述,错误的是()
A.不同的组织结构对对比剂吸收数量和分布会不同
B.不同的病变性质对对比剂吸收数量和分布会不同
C.当两种组织对X线的吸收差加大时,图像对比减弱
D.增强扫描会使组织密度、形态、大小显示更为突出
E.增强扫描主要增加了组织间的人工对比
20、单项选择题
该病例为少见病,正确的诊断为()
A.局灶性肺气肿
B.肺隔离症
C.肺炎
D.肺胚胎发育变异
E.以上都不是
21、单项选择题
影像检查如图,右心房的充盈缺损是下列哪项的可能性最大()
A.心房黏液瘤
B.肝癌侵入心脏
C.肾癌侵入心脏
D.血液凝固性过高
E.以上都不是
22、单项选择题 胸部连续扫描,个别层面CT图像出现重复,多见原因是()
A.操作有误
B.设备故障
C.床动错误
D.呼吸运动
E.心脏搏动
23、多项选择题 下列有关主动脉缩窄的描述,哪些是正确的()
A.可疑主动脉缩窄时,CT扫描范围为主动脉弓和降主动脉
B.缩窄常发生于主动脉峡部和主动脉弓部
C.正常主动脉峡部直径为25~30mm
D.局限性狭窄上端或下端主动脉可见狭窄前或狭窄后扩张
E.部分严重的缩窄者可见扩张的肋间动脉和内乳动脉
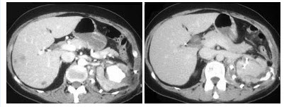
24、单项选择题
男,32岁,上腹部持续性疼痛,放射至胸背部,高热,恶心呕吐,上腹部压痛反跳痛,CT检查如图,最可能的诊断是()
A.急性单纯性胰腺炎
B.出血坏死性胰腺炎
C.慢性胰腺炎
D.慢性胰腺炎急性发作
E.胰腺癌
25、单项选择题 CT成像设备发展方向是()
A.平板探测器CT
B.全身螺旋CT
C.多层螺旋CT
D.双层螺旋CT
E.大孔径CT
26、单项选择题
1986年Bosniak根据CT征象提出肾囊性病变四级分类法,下列图像中的肾囊肿属于哪一类()
A.BosniakⅠ类
B.BosniakⅡ类
C.BosniakⅢ类
D.BosniakⅣ类
E.以上都错误
27、单项选择题
根据所提供的图像,该病例的最可能的诊断为()
A.肝癌
B.布-加氏综合征
C.脂肪瘤
D.肝硬化
E.以上都不是
28、单项选择题
C3~C7正常骨性椎管前后径下限为()
A.10mm
B.12mm
C.14mm
D.16mm
E.18mm
29、单项选择题
如图所示,这两个时相提示()
A.肾细胞癌
B.动静脉瘘
C.肾窦对比剂溢出
D.以上都有可能
E.以上都不是
30、单项选择题 下列哪种眼部异物,一般不首选CT检查()
A.低密度异物
B.多发异物
C.金属异物
D.眼球壁部边界的异物
E.细小异物