时间:2025-10-01 23:52:30
1、单项选择题 超声检查半月板最理想的探头频率是()。
A.3.0MHz
B.3.5MHz
C.4.0MHz
D.5.0MHz
E.7.5MHz
2、单项选择题
患者,女,14岁,眼部外伤两小时。超声检查如图,最可能的诊断为()。
A.玻璃体积血
B.玻璃体混淆
C.脉络膜脱离
D.视网膜脱离
E.以上均不是
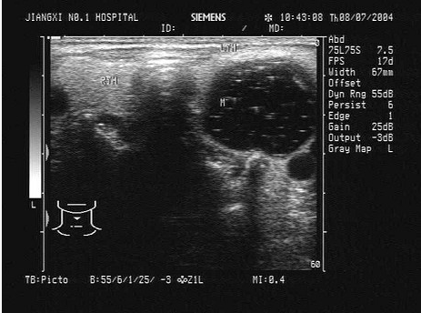
3、单项选择题
患者发现颈部肿块数年,无明显不适。甲状腺超声如图,最可能的诊断为()。
A.甲状腺癌
B.结节性甲状腺肿
C.甲状腺炎
D.甲状腺腺瘤并囊变
E.甲状腺囊肿
4、单项选择题 下列检查脑动脉的仪器条件中,哪项选择是正确的()。
A.高速度标尺
B.高滤波
C.长余辉
D.发射功率低
E.取样容积小
5、单项选择题 颈动脉硬化闭塞症的脉冲多普勒频谱表现()。①颈动脉轻度狭窄:频谱轻度增宽,Vmax无变化②颈动脉轻度狭窄:频谱轻度增宽,Vmax无明显变化或轻度增快③颈动脉中、重度狭窄:Vmax加快,频谱增宽④颈动脉中、重度狭窄:Vmax加快,舒张期反向血流消失,频谱增宽⑤颈动脉完全闭塞:测不出频谱,远心端Vmax平均速度减慢,舒张期反向血流消失,呈低幅连续单相血流频谱⑥颈动脉完全闭塞:测不出频谱,近心端Vmax平均速度加快,呈双向血流频谱
A.①③⑥
B.②④⑤
C.①④⑤
D.②③⑥
6、单项选择题
临床资料:男,49岁,自述左眼胀不适6个月,进行性眼球向外突出,视力下降。超声综合描述:左眼球后可见5.1cm×4.6cm圆形中等回声区(箭头所示),边界清晰,内回声不均,探头轻压前后径稍小,视神经被挤向鼻侧,CDFI:内未见明显动静脉血流信号。
超声提示()。
A.左眼脉络膜黑色素瘤
B.左眼球后海绵状血管瘤
C.视神经母细胞瘤
D.球后正常声像图
7、单项选择题 下列哪项超声所见为腰椎间盘脱出的特异性超声表现()。
A.局限性椎管狭窄,内径变小
B.椎板、椎体与椎间盘碎片形成的“三重密度”征象
C.硬膜前方无回声区受压变形
D.硬膜外脂肪的环状回声出现压迹
E.破裂脱出的椎间盘呈形态各异的强回声
8、单项选择题 乳腺外侧淋巴回流,首先流向()。
A.锁骨上
B.锁骨下
C.胸导管
D.腋下
E.颈侧方
9、单项选择题 最不适用于成人颅脑超声检查的探头频率是
A.2.0MHz
B.2.5MHz
C.3.5MHz
D.4.0MHz
E.5.0MHz
10、单项选择题
临床资料:女,59岁,自述无意中发现颈部肿物。临床物理检查:左侧颈部可扪及肿物,边界清晰,可随吞咽上下移动。超声综合描述:双侧甲状腺增大,内可见数个小低回声,边界欠清;左叶中部另可见2.4cm×1.5cm长圆形中等回声区,边界清晰,有完整包膜,内回声明显不均,中部可见形态不规则无回声区。
超声提示()。
A.结节性甲状腺肿合并腺瘤(左叶)
B.甲状腺腺瘤(左叶)
C.甲状腺癌(左叶)
D.单纯性甲状腺肿
11、单项选择题 眼部超声检查的频率应选择()。
A.2.5MHz
B.3.5MHz
C.5.0MHz
D.大于或等于7.5MHz
E.以上都不对
12、单项选择题 下肢深部血管包括()。①胫前静脉②腘静脉③股总静脉④胫后静脉⑤股深静脉⑥股浅静脉
A.①②③
B.①②③④
C.①②③④⑤
D.以上各项均是
13、单项选择题 单纯性甲状腺肿的超声声像图表现是()。
A.甲状腺均匀性显著肿大,压迫气管和颈部血管
B.早期光点增粗,有的可见散在性边界模糊的小结节
C.后期可形成多个薄壁的液性暗区
D.腺体中常发生液化、血块机化及钙化
E.以上都是
14、多项选择题 超声可鉴别视网膜脱离与玻璃体机化膜,其各自声像图特点是()。①玻璃体暗区内有膜状、树枝、条索状强回声②玻璃体暗区内凹面指向眼前的弧形膜状强回声③膜不与球壁环相连④膜与球壁环密切相连⑤与视神经无关系⑥与视神经有密切关系⑦膜活动度小⑧膜活动度大⑨膜内无彩色血流信号⑩膜内有彩色血流信号⑾膜内无动脉频谱⑿膜内有低速低阻动脉频谱
A.视网膜脱离:①③⑤⑦⑨⑾
B.视网膜脱离:②④⑥⑧⑩⑿
C.玻璃体机化膜:①③⑤⑦⑨⑩
D.玻璃体机化膜:②④⑥⑧⑩⑾
15、单项选择题 桥本病的声像图特点是()。
A.甲状腺非对称性肿大
B.内部回声普遍减低、增粗,呈网格状
C.内部回声普遍增强、增粗,呈网格状
D.常有多发强回声结节
E.正常的实质内见片状强回声
16、单项选择题 视网膜母细胞瘤USG重要的声学特征为()。
A.玻璃体内实质性光团
B.光与球壁紧密相连
C.内部回声不均
D.常有无回声区出现
E.内部出现钙斑反射
17、单项选择题 超声生物显微镜检测扫查的眼前段结构包括()。
A.角膜、巩膜、前房、前房角、虹膜、睫状体、后房、周边玻璃体、晶状体和悬韧带
B.角膜、前房、前房角、后房、晶状体和悬韧带
C.角膜、巩膜、前房、前房角、虹膜、睫状体
D.角膜、巩膜、前房、前房角
18、单项选择题
临床资料:女,40岁,自诉右侧颈部不适.临床物理检查:右颈部可扪及一肿物,边界清晰,可随吞咽上下移动。超声综合描述:甲状腺右叶中部可见3.0cm×1.4cm不均质回声区,内可见数个强回声光团,最大直径0.4cm,后伴声影,CDFI:不均回声内血供丰富。见下图及彩图。
超声提示()。
A.甲状腺癌(右叶)
B.甲状腺腺瘤合并钙化(右叶)
C.结节性甲状腺肿
D.甲状腺钙化灶(右叶)
19、单项选择题
患者,女,25岁,颈部触及肿块半年余,无明显不适。甲状腺超声见右侧甲状腺一单发异常光团,如图。最可能的诊断为()。
A.甲状腺癌
B.结节性甲状腺肿
C.甲状腺腺瘤
D.甲状腺炎
E.甲状腺囊肿
20、单项选择题 正常甲状腺横切时的超声特征是()。
A.甲状腺包膜完整,呈蝶形,强回声
B.甲状腺为蝶形,包膜完整,均质,中等回声
C.甲状腺包膜完整,呈圆形,均质弱回声
D.甲状腺包膜不完整,呈蝶形,均质弱回声
E.甲状腺包膜不完整,呈蝶形,不均质强回声
21、单项选择题 以下哪项声像图表现不是眼眶横纹肌肉瘤的特点()。
A.肿瘤内有挖空征
B.肿瘤边界较清楚,后方无明显声衰减
C.肿瘤呈圆形、椭圆形或扁圆形低回声
D.CDFI:肿瘤内有丰富的彩色血流,PW:多呈动脉频谱
22、单项选择题 关于黏液表皮样瘤的描述,错误的是()。
A.又称黏液表皮样癌
B.为涎腺少见疾病
C.病程长者生长慢,无痛,质硬,体积小
D.病程短者生长快,疼痛,可溃破
E.瘤体无包膜,周围界限欠清晰,可侵犯邻近组织
23、单项选择题
临床资料:女,41岁,自述无意中发现颈部肿物半年。临床物理检查:左侧颈部可扪及肿物,边界清晰,可随吞咽上下移动。超声综合描述:甲状腺左叶增大,中部可见2.9cm×2.6cm圆形不均质回声区,边界清晰,有完整包膜,内回声由无一低一中等回声,CDFI:内血流信号不丰富。
超声提示()。
A.甲状腺癌(左叶)
B.甲状腺腺瘤并囊性变(左叶)
C.甲状腺囊肿(左叶)
D.甲状腺炎性结节(左叶)
24、单项选择题 甲状腺囊肿是指
A.单纯性囊肿
B.囊腺瘤
C.甲状腺癌囊性变
D.出血性囊肿
E.以上都对
25、单项选择题 某男,36岁,睾丸肿大、疼痛就诊,超声检查可见:睾丸增大、肿块呈椭圆形、轮廓整齐、呈中低回声,最可能是()。
A.精原细胞瘤
B.胚胎癌
C.绒毛膜上皮癌
D.畸胎癌
E.混合性肿瘤
26、单项选择题 颈总动脉分叉处可有以下彩色多普勒血流显像的正常变异()。
A.彩色血流呈明显的五彩镶嵌
B.分叉处靠近膨大部有一些颜色不一的翻转彩色血流
C.彩色血流明显变细或时有时无
D.血流的彩色信号完全翻转
E.血流完全中断
27、单项选择题
临床资料:男,40岁,常规体检。超声综合描述:右颈部可见数个长圆形低回声,边界清晰,部分融合。
超声提示()。
A.右颈部多发肿大淋巴结
B.右颈部淋巴结转移瘤
C.右颈部正常淋巴结声像图
D.右颈部淋巴结结核
28、单项选择题 穿支静脉是()。
A.下肢静脉与盆腔静脉的交通静脉
B.小腿静脉与大腿静脉的交通静脉
C.慢性静脉疾病时的侧支静脉
D.浅静脉相深静脉的交通静脉
E.曲张的静脉
29、单项选择题 下列检查脑动脉的仪器条件中,正确的是()。
A.高速度标尺
B.高滤波
C.长余辉
D.发射功率低
E.取样容积小
30、单项选择题
患者全身骨关节疼痛,有肾结石病史。行超声检查甲状腺,如图。最可能的诊断为()。
A.甲状腺腺瘤
B.甲状腺癌
C.甲状旁腺腺瘤
D.甲状腺囊肿
E.以上均不是