时间:2025-09-29 04:26:50


1、多项选择题 Alzheimer病应与哪些疾病作鉴别()
A.正常老年性变化
B.Pick病
C.多发梗死性痴呆
D.橄榄脑桥小脑萎缩
E.亚急性动脉硬化脑病
2、判断题 CT用于大叶性肺炎检查的目的一是发现空洞,二是鉴别诊断。
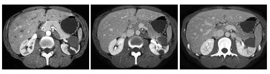
3、单项选择题
女,37岁,向心性肥胖2月,结合图像,最可能的诊断是()
A.右肾上腺腺瘤
B.右肾上腺腺癌
C.右肾上腺转移癌
D.右肾上腺嗜铬细胞瘤
E.右肾上腺增生
4、单项选择题 不属于脑外伤后常见的合并症是()
A.脑血管损伤
B.脑萎缩
C.脑穿通畸形
D.脑积水
E.脑室钙化
5、单项选择题 甲状腺癌晚期,诊断价值最高的检查方法()
A.CT
B.MRI
C.放射性核素检查
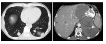
D.超声
E.平片
6、单项选择题 关于骨关节软组织CT扫描,错误的是()
A.在X线平片的指导下,确定扫描范围
B.肢体检查应双侧同时扫描
C.应用骨窗和软组织窗同时观察
D.有时可采用斜位扫描
E.为发现骨病变行增强扫描
7、单项选择题
男,56岁,骶部持续性疼痛,夜间加重,结合图像,最可能的诊断是()
A.脊索瘤
B.骨转移瘤
C.骨肉瘤
D.多发性骨髓瘤
E.骨巨细胞瘤
8、单项选择题 颞下窝的后界是()
A.颌后静脉
B.颞骨茎突
C.颞骨乳突前面
D.面动脉
E.颈内静脉
9、多项选择题 关于泪腺混合瘤,下列说法正确的是()
A.占泪腺上皮性肿瘤的50%
B.80%为良性,20%恶性
C.泪腺肿瘤中最常见的一种
D.肿瘤组织只起源于泪腺上皮组织的内层
E.瘤内不会见到软骨及骨化
10、单项选择题 小脑血管母细胞瘤可合并()
A.神经纤维瘤病Ⅰ型
B.神经纤维瘤病Ⅱ型
C.Von-Hippel-Lindau’病
D.Chiari畸形
E.结节性硬化
11、单项选择题 正常小肠能产生逆蠕动的部位在()
A.空肠上段
B.空肠下段
C.回肠近段
D.回肠末端
E.回肠中端
12、多项选择题 下列动静脉畸形(AVM)的CT征象哪些正确()
A.脑内血肿常呈不均匀高密度
B.血肿常不规则,可呈团块状
C.位置常较表浅,多见于额、顶、枕叶
D.血肿周围有脑水肿和占位表现
E.血肿附近有时可见钙化、小的软化灶
13、单项选择题 关于肾上腺转移癌的说法,下列哪项错误()
A.可为单侧或双侧
B.中央可出现坏死
C.可有出血或钙化
D.CT可鉴别原发或转移
E.可无内分泌症状
14、单项选择题 关于进展期胃癌CT的描述,错误的是()
A.胃应适度充盈、扩张,并应用低张药物。
B.异常增厚的胃壁在增强时有较明显强化
C.CT较容易发现肝胃韧带内增大的淋巴结
D.大弯侧癌可沿胃结肠韧带浸润
E.CT易显示肿块,难以显示癌性溃疡
15、单项选择题
男,11岁,持续性右足部疼痛,无发热。根据右足正、斜位X线片及CT平扫片,最可能的诊断为()
A.骨样骨瘤
B.疲劳性骨折
C.尤文肉瘤
D.骨软骨瘤
E.硬化性骨髓炎
16、单项选择题
肺内结节病灶具有CT值为-32HU的地方,最可能的诊断为()
A.腺癌
B.转移瘤
C.错构瘤
D.梗死液化
E.结核球
17、单项选择题
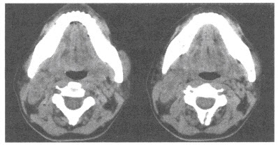
男,37岁,自觉颌下肿物7年。CT检查如图,应诊断为()
A.颌下皮样囊肿
B.颌下神经鞘瘤
C.颌下淋巴结结核
D.甲状舌管囊肿
E.以上均不是
18、单项选择题 图像显示技术中,应用最多而且最重要的技术是()
A.黑白反转
B.放大
C.窗口
D.图像方向旋转
E.三维图像重建
19、单项选择题
男,4个月,相貌怪异,结合图像,最可能的诊断()

A.颅缝早闭
B.小脑畸形
C.颅底陷凹
D.Dandy-Walker综合征
E.脑积水
20、单项选择题 女,46岁。两眼不能完全睁开,全身无力,前纵隔内发现肿块,最可能的是()
A.胸腺瘤
B.畸胎瘤
C.胸内甲状腺肿
D.心包囊肿
E.气管囊肿
21、单项选择题 CT能分辨组织间的最小密度差别是()
A.0.2%
B.0.1%
C.10%
D.0.5%
E.1%
22、单项选择题 小脑血管母细胞瘤和囊性星形细胞瘤的CT鉴别中,下列哪项最有意义()
A.肿瘤平扫密度
B.强化程度
C.钙化
D.囊变
E.第四脑室形态变化
23、单项选择题
CT示L4椎体后缘有一局限性软组织密度影,硬膜外脂肪层消失,硬膜囊受压,变形,神经根增粗。诊断为()
A.神经纤维瘤
B.神经根囊肿
C.椎间盘突出
D.椎间盘膨出
E.椎小关节病
24、单项选择题 关于容积效应的解释,下列哪个是错误的()
A.部分容积效应也是CT图像质量控制的重要参数
B.在扫描中凡小于层厚的病变,在其密度组织较低密度的病灶,呈现出的CT值偏高
C.在低密度组织中较小的高密度病灶,CT值偏低
D.高分辨力CT机不存在容积效应
E.部分容积效应是CT扫描中不可避免的
25、单项选择题
肝右前叶病灶,结合图像,最可能的诊断是()
A.肝血管瘤破裂
B.肝血管平滑肌瘤破裂
C.肝癌并破裂
D.布-加综合征
E.以上都不是
26、单项选择题
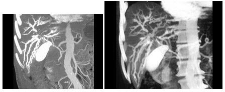
临床疑为胰头肿块,CT及CTA如图所示,最可能的诊断为()
A.胰腺癌
B.胰腺炎
C.假性动脉瘤
D.脓肿
E.以上都不是
27、单项选择题 关于鼻咽部纤维血管瘤的表述不正确的是()
A.为无包膜的血管性肿瘤
B.起源于鼻咽顶或翼腭窝
C.增强CT扫描病变显著强化
D.多见于50岁以上男性
E.相邻骨结构异常
28、单项选择题 常出现“线样征”的小肠疾病是()
A.节段性肠炎
B.淋巴瘤
C.小肠吸收不良
D.肠结核
E.坏死性肠炎
29、单项选择题
男,67岁,排便习惯改变,血便3月入院,CT检查如图所示,下列说法错误的是()

A.直肠肠腔局限性增厚
B.其表面欠光整,边界欠清晰
C.可做直肠指检及活检以确定病变性质
D.此为直肠息肉
E.此为直肠癌
30、单项选择题
男,56岁,右髋部疼痛,结合图像,最可能的诊断是()
A.骶髂关节炎
B.骶髂关节结核
C.强直性脊柱炎
D.骨转移瘤
E.类风湿关节炎
31、单项选择题
男,68岁,呼吸困难、轻度吞咽困难3月余,结合CT图像,最可能的诊断是()
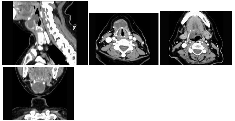
A.气管乳头状瘤
B.气管脓肿
C.气管炎性假瘤
D.食管癌
E.甲状腺癌
32、单项选择题 CT检查食管裂孔疝采用的方法是()
A.单纯CT平扫
B.平扫+增强
C.单纯增强扫描
D.口服高密度造影剂平扫
E.动态增强扫描
33、多项选择题
男,53岁,体重明显下降而行CT检查,如图所示,下列说法正确的是()
A.右肾区可见不规则的软组织块,增强为不均匀强化
B.肾平面以上的下腔静脉内均有软组织密度影
C.右心房内可见充盈缺损
D.此为右侧肾癌
E.癌栓侵入下腔静脉并扩散至右心房
34、单项选择题 下列疾病中,可以发生交通性脑积水的是()
A.桥小脑角肿瘤
B.先天性中脑导水管狭窄
C.脑膜炎
D.松果体瘤
E.小脑胶质瘤
35、单项选择题 膀胱癌盆腔淋巴转移的诊断标准是淋巴结直径大于()
A.5mm
B.10mm
C.15mm
D.20mm
E.25mm
36、单项选择题 患者60岁,女性,吞咽困难,正确的答案是()
A.甲状腺肿
B.前肠副囊肿
C.异位副甲状腺腺瘤
D.神经源性肿瘤
E.以上都不是
37、单项选择题 T1WI表现均匀低信号病灶,T2WI随着TE的延长肿瘤信号强度递增似灯炮,注入Gd-DTPA后病灶周边结节强化,延迟后增强范围逐渐扩大应诊断为()
A.肝癌
B.肝腺瘤
C.肝囊肿
D.肝海绵状血管瘤
E.胆管癌
38、单项选择题
女,54岁,腰背部隐痛不适1月余,根据所示图像,最可能的诊断是()
A.左侧单纯性肾囊肿,右肾未见异常
B.左侧肾盂积水合并右侧肾血管平滑肌脂肪瘤
C.左侧单纯性肾囊肿合并右侧肾癌
D.左侧肾盂积水合并右侧肾癌
E.左侧单纯性肾囊肿合并右侧肾血管平滑肌脂肪瘤
39、单项选择题 与产生伪影无关的准备工作是()
A.做好呼吸训练
B.不吃含金属药物
C.给予镇静剂或麻醉
D.更衣、换鞋入机房
E.摘掉金属饰物
40、单项选择题 上颌窦癌向后外蔓延可累及()
A.筛窦
B.眶下壁
C.颞下窝
D.上齿槽
E.咽旁间隙
41、单项选择题 关于颅底孔裂的描述正确的是()
A.舌下神经管内口位于中颅窝
B.棘孔位于后颅窝
C.内耳道通过听神经
D.茎乳孔通过迷走神经
E.卵圆孔通过三叉神经第二支
42、单项选择题
女,45岁,背部持续性隐痛半月余,6个月前被确诊为乳腺癌,结合影像学检查,最可能的诊断是()
A.骨转移瘤
B.脊椎结核
C.椎体压缩性骨折
D.化脓性脊柱炎
E.脊椎退行性变
43、单项选择题 眼球CT平扫中密度最高的是()
A.玻璃体
B.巩膜
C.晶状体
D.视乳头
E.房水
44、单项选择题 典型肝脓肿在CT上的表现,除中央低密度脓腔外,脓肿壁可出现三层环状结构,从内至外分别代表()
A.纤维肉芽组织,水肿带,炎性坏死组织
B.水肿带,炎性坏死组织,纤维肉芽组织
C.炎性坏死组织,水肿带,纤维肉芽组织
D.炎性坏死组织,纤维肉芽组织,水肿带
E.纤维肉芽组织,炎性坏死组织,水肿带
45、单项选择题
根据所提供的图像,该病例最可能的诊断为()

A.肝细胞癌
B.梗塞、梗死
C.血行转移
D.门静脉栓塞
E.以上都不是
46、单项选择题 鼻咽鳞状细胞癌的下列描述,错误的是()
A.可破坏邻近组织
B.倾向于血行转移
C.倾向于淋巴道转移
D.与EB病毒感染有关
E.颈深上部淋巴结转移最常见
47、单项选择题 解剖学的基准线不包括()
A.水平线
B.冠状线
C.垂直线
D.正中矢状线
E.听鼻线
48、单项选择题 诊断右心房增大的主要方法是()①X线检查②超声心动图检查③心血管造影④心电图检查⑤MRI检查
A.①+②
B.①+③
C.②+③
D.③+④
E.②+⑤
49、单项选择题 以下关于脊索瘤的叙述,哪一项是错误的()
A.脊索瘤起源于脊椎或椎旁残存的脊索细胞
B.好发部位是骶尾部,其次是颅底
C.脊索瘤软组织肿块呈分叶状,50%~90%有钙化
D.几乎都有骨质破坏
E.好发于颈、胸、腰椎
50、多项选择题 有关结核瘤与周围型肺癌的鉴别点,正确的是()
A.结核瘤边缘光滑,癌有分叶及毛刺
B.癌有典型胸膜凹陷征
C.结核瘤周围有点片状钙化及卫星灶
D.癌无钙化及空洞
E.中老年人,以往胸片正常,肺内新发结节病变,首先考虑癌
51、单项选择题
男,35岁,皮肤可见咖啡色素斑,关节疼痛,结合图像,最可能的诊断是()
A.骨肉瘤
B.骨转移瘤
C.神经纤维瘤
D.骨软骨瘤
E.纤维肉瘤
52、多项选择题 软组织脂肪瘤的CT特点为()
A.肿瘤呈分叶状、均匀性极低密度区,CT值-120~-80HU
B.边缘光整,有包膜
C.内部可有分隔,周围组织受压
D.肿瘤的密度与周围正常脂肪组织容易区分
E.增强扫描无强化
53、单项选择题
根据所提供的图像该病例肾上腺团块的性质最可能为()
A.原发性肾上腺癌
B.转移癌
C.出血
D.淋巴瘤
E.嗜铬细胞瘤
54、单项选择题
区别肺叶发育不全与肺隔离症最佳的检查方法为()
A.CT平扫
B.X线平片
C.MR平扫
D.CT动态增强扫描
E.MRT2WI脂肪抑制序列
55、单项选择题
男,32岁,手足无力、颤抖、视力减弱,有时眩晕,时好时坏,查体发现四肢肌肉萎缩,CT检查如图,最可能的诊断为()
A.多发脑梗死
B.转移瘤
C.胶质瘤
D.多发性硬化
E.脑囊虫病
56、单项选择题
女性,58岁。突感胸骨后疼痛来院就诊。行胸部CT平扫如图:

A.X线平片
B.胸部超声
C.MSCTA
D.MRI
E.放射性核素扫描
57、单项选择题
患者70岁,最可能的诊断是()
A.胸腺瘤
B.淋巴瘤
C.神经纤维瘤
D.转移瘤
E.胸骨后甲状腺肿
58、单项选择题
患者70岁,女性,背痛,如图所示,最可能诊断为()
A.转移
B.骨髓瘤
C.疲劳骨折
D.骨质疏松症
E.以上都不是
59、单项选择题 将探测器接收的信息转换为数字信号的是()
A.信号放大器
B.探测器
C.A/D转换器
D.信号比较器
E.后组探测器
60、单项选择题 女,40岁,头部外伤4小时,CT示侧脑室旁白质、胼胝体压部、大脑脚散在斑点样高密度影,提示有可能是()
A.脑出血
B.蛛网膜下腔出血
C.丘脑出血
D.脑穿通伤
E.脑白质剪切伤
61、单项选择题
男,45岁,无不适,CT、MRI检查如图,最可能的诊断是()
A.四叠体池脂肪瘤
B.正常颅脑
C.四叠体池囊肿
D.四叠体池积气
E.四叠体池内结核性肉芽肿
62、单项选择题
患者中年,男性,黄疸,ERCP术后,三维图像如图,最可能的诊断为()
A.胰腺癌
B.末梢胆管狭窄
C.胆管癌
D.肝门区肝癌
E.十二指肠癌
63、多项选择题
男,67岁,无痛性血尿1月,IVP和MRI检查如图示,下列说法正确的是()
A.IVP示左侧中组肾盏未见显影
B.左肾中部内侧可见类圆形不均匀信号肿块突向外
C.左肾上极可见一T2WI为高信号圆形病灶,边界清楚
D.左肾中部病灶考虑为小肾癌
E.左肾上极病灶考虑为肾囊肿
64、单项选择题
女,57岁,颈部不适,CT如图所示,最可能的诊断是()
A.咽囊囊肿
B.鳃裂囊肿
C.甲状舌管囊肿
D.颈部淋巴管瘤
E.颈部神经鞘瘤
65、单项选择题
女,35岁,根据所示图像,最可能的诊断是()
A.左侧单纯性肾囊肿
B.左侧高密度肾囊肿
C.左侧肾积水
D.左侧肾盂旁囊肿
E.左侧囊性肾癌
66、单项选择题 下列关于冠状动脉夹层的CT表现哪项是正确的()
A.CT横断面图像不能显示内膜片,但可见真、假腔
B.CT横断面图像不能显示内膜片,但可见真腔
C.CT横断面图像不能显示内膜片,但可见假腔
D.CT横断面图像能显示内膜片,但不能显示真、假腔
E.CT横断面图像能显示内膜片,亦可以显示真、假腔
67、单项选择题 在化脓性鼻窦炎的CT征象中不应包括()
A.鼻甲肥大,鼻窦黏膜增厚
B.如黏膜水肿显著则可呈分叶状息肉样肥厚
C.增厚的黏膜多与窦壁垂直
D.窦内分泌物潴留,呈现气液平面,可随体位变动
E.窦壁骨质硬化增厚
68、单项选择题 下列关于乳腺癌CT平扫哪项不正确()
A.瘤体密度一般低于腺体密度
B.CT值多为25~56HU
C.肿瘤内有坏死液化后可出现低密度区
D.明显显示肿瘤内的短杆状、泥沙样钙化
E.累及胸壁者可见乳腺后间隙消失
69、单项选择题 诊断纵隔畸胎瘤的特征性CT征象是()
A.肿块位于前上纵隔
B.肿块有分叶
C.肿块内有齿样骨化
D.肺内转移
E.以上都不是
70、单项选择题 女,30岁,闭经,溢乳1年。CT检查技术采用()
A.头颅轴位平扫
B.头颅冠状位平扫
C.蝶鞍矢状位增强扫描
D.蝶鞍冠状位薄层增强扫描
E.蝶鞍矢状位薄层增强扫描
71、单项选择题
女,12岁,右上颌区硬性肿块。CT图像如下,最可能的诊断为()
A.骨肉瘤
B.非骨化性纤维瘤
C.骨化性纤维瘤
D.骨样骨瘤
E.Paget病
72、单项选择题 下面有关大脑半球的描述,正确的为()
A.脑岛位于额叶深部
B.中央前回属于顶叶
C.额顶叶以中央沟为界
D.半卵圆中心为灰质结构
E.扣带回在胼胝体下方
73、单项选择题 骨梗死最易累及的部位为()
A.桡骨下部
B.肱骨上部
C.胫腓骨骨干
D.肱骨下端
E.股骨上部
74、单项选择题 关于“多囊肾”的CT表现,下列哪项是错误的()
A.囊肿大小、分布不均呈蜂窝状
B.囊肿大小、密度、分布均匀
C.增强扫描囊肿不强化
D.婴儿型者,肾盂、肾盏、肾外形多正常
E.成人型者,肾影常增大,肾盂、肾盏受压、变形
75、单项选择题
男,54岁,胸痛1月伴加重,CT如图,最可能的诊断是()
A.淋巴瘤
B.左侧胸膜转移瘤
C.左侧胸膜间皮瘤
D.左侧胸膜增厚
E.左上肺不张伴胸膜增厚
76、单项选择题 男性,56岁,右面部隆起、肿胀,牙痛,右眼球突出6个月。CT显示:右侧上颌窦扩大,腔内见软组织密度影,窦壁变薄,局部骨质破坏消失。最可能的诊断是()
A.鼻息肉
B.黏液囊肿
C.纤维血管瘤
D.上颌骨骨髓炎
E.上颌窦癌
77、单项选择题 不能进行颅脑增强CT扫描的是下列哪项()
A.急性出血患者
B.肝肾功能损害严重者
C.昏迷患者
D.急性颅脑外伤
E.以上都是
78、单项选择题 海绵窦颈动脉瘘的确诊方法()
A.CT平扫
B.CT增强
C.MRI增强
D.MRI
E.颈动脉造影
79、单项选择题
女,51岁,上腹部隐痛不适,CT检查如图,最可能的诊断是()
A.胃癌
B.胃息肉
C.胃腺瘤
D.胃溃疡
E.胃间质瘤
80、单项选择题 腮腺混合瘤CT增强扫描常见表现是()
A.明显增强
B.均匀增强
C.不均匀增强
D.延迟增强
E.不增强
81、单项选择题 前交通动脉瘤破裂所致的蛛网膜下腔出血常见于()
A.脚间池
B.鞍上池
C.桥小脑角池
D.环池
E.大脑大静脉池
82、单项选择题 下列胆管细胞癌CT特点,错误的是()
A.肿瘤无包膜
B.CT平扫,肿瘤为略低密度
C.增强扫描动脉期,肿瘤明显强化
D.常有肝内胆管局限性扩张
E.瘤内可有细小的不规则钙化
83、单项选择题
男,50岁,中上腹饱胀、疼痛半年,消瘦,结合图像,最可能的诊断是()
A.淋巴瘤
B.胃腺瘤
C.胃癌
D.胃窦溃疡梗阻
E.胃平滑肌瘤
84、单项选择题 肝脏CTA检查时,导管应置于()
A.肠系膜上动脉内
B.脾动脉内
C.肝动脉内
D.腹主动脉内
E.肾动脉内
85、单项选择题 患者肾衰晚期,多骨的改变是什么引起的结果()
A.继发性甲状旁腺功能亢进
B.痛风
C.细菌性骨髓炎
D.骨髓瘤
E.以上都不是
86、单项选择题 女,10岁,右小腿肿块2年,CT示肿块内有静脉石,诊断()
A.纤维瘤
B.平滑肌瘤
C.软组织肉瘤
D.血管瘤
E.畸胎瘤
87、单项选择题 空间分辨率又称高对比分辨率,是指CT对于物体空间大小的鉴别能力,下列主要影响因素哪一项是错误的()
A.探测器的几何尺寸
B.被测物体的几何尺寸
C.探测器之间的间隙
D.图像重建的算法
E.探测器的数量和总数据量
88、单项选择题
患者女性,52岁。呼吸困难1个小时。CT肺动脉造影如下图,应诊断为()
A.急性肺动脉栓塞
B.慢性肺动脉栓塞
C.肺动脉高压
D.肺动脉损伤
E.肺动脉狭窄
89、多项选择题 关于Dandy-Walker综合征的CT和MRI表现特征有()
A.小脑蚓部缺如或体积变小
B.第四脑室扩大
C.枕大池扩大
D.枕骨为薄
E.第四脑室侧隐窝消失
90、单项选择题 下列不通过颈静脉孔的结构是()
A.Ⅴ颅神经的第三支
B.Ⅸ颅神经
C.Ⅹ神经
D.Ⅺ颅神经
E.颈内静脉
91、单项选择题 关于前列腺癌的影像特点,下列哪项不对()
A.膀胱精囊角消失
B.前列腺增大,边缘不规则
C.薄层CT扫描,前列腺内可见稍低密度处
D.常累及直肠
E.病灶多位于周边带
92、单项选择题 螺旋CT与传统CT相比最突出的优势是()
A.重建速度快
B.体积扫描
C.扫描速度快
D.二维或三维成像效果好
E.单层或多层连续扫描
93、单项选择题 Caroli病又称为()
A.硬化性胆管炎
B.多发肝囊肿
C.先天性肝内胆管囊肿
D.多囊肝
E.慢性胆囊炎
94、单项选择题
男,54岁,干咳,呼吸急促1月余,结合影像学检查,最可能的诊断是()

A.间质性肺炎
B.大叶性肺炎
C.特发性肺间质纤维化
D.卡氏肺囊虫性肺炎
E.肺癌
95、单项选择题
男性,40岁,CT平扫肝脏密度大片减低,肝内血管清晰呈较高密度,其分布走行规则,如图所示,应考虑()
A.肝癌
B.重度脂肪肝
C.肝硬化
D.肝血管瘤
E.不能作出初步诊断
96、单项选择题 输精管壶腹是()
A.输精管在膀胱底处的膨大
B.输精管在精索部的膨大
C.输精管在睾丸部的膨大
D.输精管在腹环处的膨大
E.输精管在腹股沟部的膨大
97、单项选择题 肾盂积脓病人的影像检查,显示梗阻原因和部位以及并发症的最佳方法是()
A.B超
B.CT
C.IVP
D.MRI
E.X线平片
98、单项选择题
女,35岁,无特殊临床表现,根据CT图像,最可能的诊断()
A.多囊肾
B.多发性肾囊肿
C.复杂性肾囊肿
D.囊性肾癌
E.单纯性肾囊肿
99、单项选择题 下面哪项是胸部CT扫描的适应证()
A.气管炎
B.支气管炎
C.肺炎
D.过敏性哮喘
E.咳嗽
100、单项选择题 颈椎管狭窄的CT诊断标准为正中矢状径小于()
A.10mm
B.11mm
C.12mm
D.13mm
E.15mm
101、单项选择题 肾上腺出现钙化较多的肿瘤是()
A.嗜铬细胞瘤及神经母细胞瘤
B.嗜铬细胞瘤及骨髓脂肪瘤
C.肾上腺皮质腺瘤及肾上腺囊肿
D.神经母细胞瘤及肾上腺癌
E.肾上腺皮质腺瘤及肾上腺癌
102、多项选择题
男,62岁,因排尿困难2年,加重伴二段排尿1月,CT扫描如图,下列说法正确的是()
A.膀胱后方可见多个囊性病灶
B.病灶壁薄,其囊内容物CT值与膀胱内尿液相同
C.增强后延迟扫描可见病灶内对比剂充盈,与膀胱之间可见一孔状通道
D.考虑为膀胱憩室
E.考虑为盆腔囊肿
103、单项选择题 与CT扫描伪影无关的是()
A.扫描中病人移动
B.显示器故障
C.探测器故障
D.体内金属异物
E.扫描层面中有高密度骨出现
104、单项选择题 根据冠状动脉直径减少的百分数可推算出其面积减少的百分数,狭窄直径减少70%相当于面积减少()
A.75%
B.80%
C.85%
D.90%
E.95%
105、单项选择题 椎管内血管畸形中最常见的是()
A.动脉畸形
B.静脉畸形
C.毛细血管扩张症
D.动静脉畸形
E.混合性畸形
106、单项选择题 以下哪征象有助于鉴别髓母细胞瘤和室管膜瘤()
A.密度稍高
B.均一增强
C.脑积水程度
D.沿脑脊液播散种植转移
E.第四脑室形态
107、单项选择题
女,68岁,突发右侧肢体轻度偏瘫,高血压病史多年,平扫CT检查如图,最可能的诊断为()

A.脑梗死
B.脑炎
C.脑出血
D.胶质瘤
E.脑脓肿
108、多项选择题 旋转性寰枢关节半脱位的CT诊断,正确的为()
A.儿童多见,预后良好
B.上呼吸道感染、微小的创伤、先天性畸形、强直性脊柱炎和类风湿性关节炎等均可致病
C.薄层CT横断面扫描并矢状面和冠状面重建可精确显示寰枢椎的相互关系
D.CT是诊断本病的最佳方法
E.儿童寰椎前结节后缘与枢椎齿状突前缘的距离大于4mm,提示横韧带撕裂
109、单项选择题 关于原发性硬化性胆管炎,下列观点错误的是()
A.肝内外胆管无明显扩张
B.反复发作性黄疸、发热
C.胆管造影示“枯枝征”
D.只影响肝外胆管
E.常见于溃疡性结肠炎、克罗恩病患者
110、单项选择题 下列胃溃疡并发症中,哪种不宜钡餐检查()
A.幽门梗阻
B.溃疡癌变
C.慢性胃穿孔
D.活动性大出血
E.纳差、消瘦
111、单项选择题
根据所提供的CT增强扫描时相的表现图像,最不可能的诊断为()
A.局灶性结节增生
B.胰岛细胞转移癌
C.血管瘤
D.肝细胞癌
E.以上都不对
112、单项选择题
男,28岁,右髋部疼痛2个月余,结合影像学检查,最可能的诊断是()
A.慢性骨脓肿
B.骨样骨瘤
C.骨巨细胞瘤
D.骨囊肿
E.骨转移瘤
113、单项选择题 脑脊液鼻漏,常见于()
A.筛骨骨折
B.额骨骨折
C.蝶骨骨折
D.颞骨骨折
E.鼻骨骨折
114、单项选择题 嗜铬细胞瘤可以出现()
A.5%异位,5%为双侧,5%为恶性
B.10%异位,10%双侧,10%为恶性
C.15%异位,15%双侧,15%为恶性
D.20%异位,20%双侧,20%为恶性
E.以上都不是
115、单项选择题 “小膀胱征”多见于()
A.膀胱息肉
B.膀胱结石
C.膀胱结核
D.膀胱移行上皮癌
E.急性膀胱炎
116、单项选择题
男,18岁,无明显症状,体检行CT检查如图,最可能的诊断为()

A.左下肺膈疝
B.左下肺肺隔离症
C.左下肺癌
D.神经纤维瘤
E.左下肺肺炎
117、单项选择题 大脑半球纵裂前2/3至侧脑室外侧壁之间的供血动脉为()
A.大脑前动脉
B.大脑后动脉
C.大脑中动脉
D.大脑前、中动脉
E.脉络膜前动脉
118、单项选择题
淋巴瘤患者放疗后3月出现气急咳嗽,CT如图,最可能的诊断是()
A.陈旧性结核
B.放射性肺炎
C.浸润型肺结核
D.瘢痕癌
E.矽肺结节
119、单项选择题 女性,52岁,右上腹疼痛伴黄疸,CT平扫见肝左内叶及右前叶密度减低,肝内胆管轻度扩张,正常胆囊不显示,局部见与肝密度相似的软组织肿块影,最可能的诊断是()
A.急性胆囊炎
B.慢性胆囊炎
C.胆囊结石
D.肝癌
E.胆囊癌
120、单项选择题
如图所示,该病例的鉴别诊断包括()
A.淋巴瘤
B.硬纤维瘤
C.肉瘤
D.以上都是
E.以上都不是
121、单项选择题 心肌梗死的延迟增强扫描图像上,延迟性强化代表()
A.心肌纤维化
B.心肌缺血
C.心肌坏死
D.心室壁瘤
E.心肌修复
122、单项选择题 高分辨率CT扫描,层厚必须采用()
A.1~2mm扫描层厚
B.3~4mm扫描层厚
C.5~6mm扫描层厚
D.8~10mm扫描层厚
E.10~20mm扫描层厚
123、单项选择题 关于胆管结石CT表现,错误的是()
A.胆管内环行或圆形致密影
B.扩张的胆总管末端无肿块征象
C.常伴有结石平面以上的胆总管扩张
D.可同时有肝内外胆管和胆囊结石
E.“靶征”表现为周边高密度、中心为水样密度的胆汁
124、单项选择题 男,49岁,癫痫发作3次。CT示左额叶有一圆形低密度区,病灶呈不规则环形增强,最大可能是()
A.化脓性脑炎
B.胶质瘤
C.病毒性脑炎
D.血管畸形
E.结节性硬化
125、单项选择题 下列正常胰腺CT表现,哪项不对()
A.平扫CT值:35~45HU
B.增强CT值:可达150~200HU
C.常规扫描不能显示正常胰管
D.随年龄增长,胰腺可萎缩、脂肪浸润
E.正常胰腺质地可不均,呈羽毛状
126、单项选择题
女,54岁,发现腹部包块,根据所示图像,最可能的诊断是()
A.左侧肾癌
B.左侧单纯性肾囊肿
C.左侧肾囊肿合并出血
D.左侧囊性肾癌
E.左侧肾血管平滑肌脂肪瘤
127、单项选择题 CT观察椎间盘一般使用()
A.增强窗
B.骨窗
C.肺窗
D.软组织窗
E.无特殊窗技术
128、单项选择题
女,37岁,产后10天,出现剧烈头痛头昏伴神志不清2天,根据所提供图像,最可能的诊断是()

A.右侧蛛网膜下腔出血
B.右侧脑膜脑炎
C.右侧硬膜下血肿
D.右侧脑梗死
E.右侧静脉窦血栓形成
129、单项选择题
男,27岁,左肩部扪及一硬结1月余,有轻压痛,结合影像学检查,最可能的诊断是()
A.骨肉瘤
B.骨软骨瘤
C.骨巨细胞瘤
D.尤文肉瘤
E.骨囊肿
130、多项选择题 神经纤维瘤病的CT和MRI表现有()
A.颅内单发或多发神经纤维瘤
B.颅内有异常钙化
C.伴发其他颅内肿瘤
D.颅骨的发育异常
E.脊柱骨质的发育异常
131、单项选择题 肺淀粉样变性分型,下列哪项不在其内()
A.肿瘤型
B.肺炎型
C.弥漫肺泡间隔型
D.气管支气管型
E.胸膜型
132、单项选择题
男,44岁,右下腹包块1年余,无压痛,质较硬,影像检查如图,最可能的诊断是()
A.腹膜后间质瘤
B.腹腔间皮瘤
C.腹膜后神经纤维瘤
D.腹膜后畸胎瘤
E.脂肪肉瘤
133、多项选择题 下列关于冠状动脉狭窄的描述,正确的是()
A.根据狭窄范围不同分为局限性狭窄、管状狭窄和弥漫性狭窄
B.弥漫性狭窄对冠状动脉血流动力学的影响远大于狭窄程度相同的局限性狭窄
C.冠状动脉狭窄的程度可采用狭窄直径减少的百分数表示
D.冠状动脉狭窄可分为4级
E.冠状动脉狭窄≥50%的患者,运动可以诱发心肌缺血
134、单项选择题
男,55岁。腹痛伴发热1周就诊。主动脉CTA检查MPR如图,考虑为()
A.主动脉夹层动脉瘤
B.主动脉瘤并附壁血栓
C.主动脉血栓形成
D.主动脉硬化
E.主动脉破裂
135、单项选择题 关于鼻咽癌CT扫描技术,描述错误的是()
A.常规平扫
B.扫描范围上至蝶鞍、下至第三颈椎下缘
C.颅底部分的图像应加骨窗
D.图像显示一般采用软组织窗
E.常规平扫+增强
136、单项选择题 青年男性,自觉无明显不适,CT示双下肺多发斑片状、边缘不清模糊影,有支气管气相,抗感染治疗30天后复查,病灶形态变化不大,但位置改变,最可能的诊断是()
A.过敏性肺炎
B.肺结核
C.支气管扩张
D.矽肺
E.肺放线菌病
137、单项选择题 CT机将模拟信号转换成数字信号的器件是()
A.探测器
B.阵列处理机
C.预放大器
D.A/D转换器
E.D/A转换器
138、单项选择题 静脉注射对比剂盆腔增强扫描注射速度1~2ml/秒,延时(开始注射对比剂至开始扫描的时间)最少应为()
A.10秒
B.20秒
C.60秒
D.30秒
E.40秒
139、单项选择题 鞍区肿瘤不包括()
A.第三脑室周围肿瘤
B.鞍内肿瘤
C.鞍旁肿瘤
D.松果体肿瘤
E.鞍上肿瘤
140、单项选择题
患者肺炎反复发作,结合图像,最可能的诊断为()
A.食管癌
B.贲门失弛缓症
C.(胃食管)返流
D.硬皮病
E.以上都不是
141、多项选择题 关于喉良性肿瘤,其CT征象包括()
A.多数肿瘤形态规则,边界清楚
B.CT平扫多呈等密度,密度均匀
C.周围组织可有侵袭性改变
D.晚期可向喉外发展,破坏喉软骨
E.有时肿瘤可见钙化
142、多项选择题 典型肝脓肿CT可表现为()
A.病灶呈圆形或椭圆形低密度
B.中心区域CT值略高于水而低于正常肝组织
C.密度均匀或不均匀
D.病灶周围往往出现不同密度的环形带
E.环状结构呈不同程度的增强
143、单项选择题 脑转移瘤好发于()
A.脑髓质
B.小脑皮层
C.脑皮层
D.大脑皮层
E.大脑皮层、皮层下区及皮髓质交界区
144、单项选择题
根据所提供的图像,该病灶最好的分期为()
A.Bosniak1
B.Bosniak2
C.Bosniak3
D.Bosniak4
E.以上都不是
145、单项选择题
男,42岁,高热,寒战,咳嗽,胸痛1周左右,CT检查如图,最可能的诊断是()
A.肺结核
B.肺癌
C.肺囊肿
D.肺脓肿
E.肺转移瘤
146、单项选择题 下列实现数字化最迟的是哪项技术()
A.CT
B.X线摄片
C.MRI
D.DSA
E.胃肠造影
147、单项选择题 下面对耳部CT扫描技术的叙述错误的是()
A.横断位扫描,两外耳孔与床面等距
B.颞骨横断位扫描常用0°和30°断面
C.0°轴位扫描时,头稍仰,使听眶线与床面垂直
D.30°轴位扫描时,头稍前屈,使听眉线与床面垂直
E.扫描范围从外耳道下缘至眼眶上缘
148、单项选择题 下列哪项临床表现对骨髓瘤的诊断最有价值()
A.50岁以上的男性
B.病理性骨折
C.尿中出现本—周氏蛋白
D.血清钙及球蛋白升高
E.进行性贫血
149、单项选择题
根据所提供的图像,该病例最可能的诊断为()
A.胆管癌
B.肝细胞癌
C.脓肿
D.梗死、梗塞
E.胆管结石
150、单项选择题
女,25岁,因眼部外伤来院就诊,CT如图所示,最可能的诊断是()
A.右侧颧弓骨折伴筛窦积血
B.右眼眶内侧壁骨折伴筛窦积血
C.右眼眶外侧壁骨折伴筛窦积血
D.右眼眶内外侧壁骨折伴筛窦积血
E.蝶骨骨折伴筛窦积血
151、单项选择题
女性,58岁。突感胸骨后疼痛来院就诊。行胸部CT平扫如图:

A.主动脉夹层(DeBakeyⅠ型或Ⅱ型)
B.主动脉夹层(DeBakeyⅡ型)
C.主动脉夹层(DeBakeyⅢ型)
D.主动脉夹层(StanfordB型)
E.无法确定
152、多项选择题 关于肾细胞癌的影像学诊断方法选择,哪些是错误的()
A.CT检查是首选
B.CT检查不明确者,可做MRI检查,以明确诊断及肿瘤分期
C.超声检查仅作为一种筛查手段
D.肾动脉血管造影一般用于术前了解肿瘤血管的解剖、肿瘤动脉有无栓塞
E.尿路造影诊断价值较大,亦较常应用
153、单项选择题 先天性支气管囊肿与后天性囊肿的区别在于前者()
A.上叶多见
B.下叶多见
C.壁内无尘埃沉着
D.囊内无液平面
E.直径多小于3cm
154、单项选择题
女,73岁,中上腹痛1月余,患者黄疸、消瘦,CT检查如下图,最可能的诊断是()
A.肝脓肿
B.巨块型肝癌
C.肝血管瘤
D.肝淋巴管瘤
E.肝胆管细胞癌
155、单项选择题 颌面部CT扫描技术不包括()
A.患者仰卧,头部正中矢状面与床面中线垂直
B.定位像为头部侧位定位像
C.腮腺,以听眉线为扫描基线
D.鼻咽部,从蝶鞍床突上扫描至硬腭上缘
E.腮腺,扫描层厚2~3mm,层间距2~3mm
156、单项选择题 水的衰减系数是()
A.0
B.1
C.2
D.10
E.100
157、单项选择题
女,42岁,1年前行肝癌手术,胸部CT扫描如图,最可能的诊断为()
A.肝癌肺转移
B.肺结核球
C.球形肺炎
D.肺多发囊肿
E.肺脓肿
158、单项选择题
男,42岁,右下腹痛、腹胀半年,无浅表淋巴结肿大,影像检查如图,最可能的诊断是()
A.淋巴瘤
B.结肠癌
C.Crohn病
D.肠结核
E.腹膜后纤维化
159、单项选择题 尾状核头部的占位病变引起侧脑室()
A.后角变形、受压、移位
B.体部受压、变形、移位
C.下角受压、变形、移位
D.三角区受压、变形、移位
E.前角受压、变形、移位
160、多项选择题 颅内动脉瘤最常见的临床表现为()
A.瘫痪
B.恶心
C.意识障碍
D.感觉异常
E.突发性头痛
161、单项选择题 脾肿大的诊断标准是()
A.上下>12cm,前后>5个肋单元
B.上下>14cm,前后>4个肋单元
C.上下>14cm,前后>6个肋单元
D.上下>15cm,前后>6个肋单元
E.上下>15cm,前后>5个肋单元
162、单项选择题 布—加综合征的病变部位在()
A.颈内静脉+上腔静脉
B.肝静脉+下腔静脉
C.肘静脉+锁骨下静脉
D.下肢静脉+髂静脉
E.门静脉+肠系膜上静脉
163、单项选择题
结合图像,最可能的诊断为()
A.肝局灶性脂肪肝
B.肝硬化
C.肝癌
D.布-加综合征
E.脂肪肝
164、单项选择题
女,22岁,躯体不成比例,结合影像学检查,最可能的诊断是()
A.蜡油骨病
B.成骨不全
C.马方综合征
D.软骨发育不全
E.石骨症
165、单项选择题 对CT机X线管窗口处准直器的叙述,错误的是()
A.选择层厚
B.保证成像质量
C.产生扇形线束
D.屏蔽不必要的射线
E.保证X线管中心与探测器中心准直
166、多项选择题
女,45岁,右腰痛伴腹部包块,结合图像,最可能的诊断是()
A.右肾区一巨大的囊性病灶,边界清楚,其内可见线样薄间隔
B.增强时病灶间隔强化,囊性成分无强化
C.右侧囊性肾癌
D.多囊肾
E.右侧多房性囊性肾瘤
167、单项选择题 关于Galen静脉瘤,下列CT特征哪项不符合()
A.瘤体位于大脑大静脉及四叠体池内
B.平扫为均匀略高密度
C.增强扫描,病变均匀强化
D.四脑室及其以上脑室积水
E.可有弧线样钙化
168、单项选择题
女,47岁,满月脸、向心性肥胖伴高血压1月,结合图像,最可能的诊断是()
A.左肾上腺腺瘤
B.左肾上腺腺癌
C.左肾上腺转移癌
D.左肾上腺嗜铬细胞瘤
E.左肾上腺增生
169、单项选择题 若要明确诊断,应首选的方法为()
A.X线平片
B.胸部超声
C.MSCTA
D.MRI
E.放射性核素扫描
170、单项选择题
男,32岁,右髂骨区疼痛、肿胀,结合图像,最可能的诊断是()
A.骨囊肿
B.骨巨细胞瘤
C.动脉瘤样骨囊肿
D.成软骨细胞瘤
E.骨肉瘤
171、单项选择题
女,18岁,平扫CT检查如图,最可能的诊断为()

A.脑裂畸形
B.脑梗死
C.脑炎
D.蛛网膜囊肿
E.脑积水
172、单项选择题 甲状腺CT扫描时,对于病人呼吸状态的要求应是()
A.不要屏气
B.吸气后屏气
C.呼气后屏气
D.平静呼吸状态下屏气
E.以上状态均可
173、单项选择题 肾细胞癌的影像检查中,哪些表现最为常见()
A.坏死、出血、非均质强化的肿块
B.囊性变并均质强化
C.不均质肿块并均质强化
D.囊变、钙化无强化
E.钙化囊变不伴有强化
174、单项选择题
男,45岁,左眼疼痛伴视力下降一个多月,左眼明显外突,CT扫描如图所示,最可能的诊断是()
A.左侧眶内炎性假瘤
B.左眶内血管瘤
C.左眶内纤维瘤
D.左眶内结核
E.左眶内转移瘤
175、单项选择题 关于鼻咽部纤维血管瘤的起源正确的是()
A.鼻咽腔的上皮组织受长期慢性刺激所致
B.起源于鼻咽腔顶壁的淋巴组织
C.起源于鼻咽腔顶壁的血管组织
D.起源于蝶、枕骨间的纤维软骨膜或骨膜
E.以上均不对
176、多项选择题
女,64岁,左侧腰部胀痛,行CT扫描,如图所示,下列说法正确的是()
A.左肾区可见一巨大的占位性病灶,境界较清楚,胰腺尾部受压向前推移
B.该病灶密度不均匀,其内可见脂肪密度影,且呈不均匀强化
C.考虑为左肾来源的血管平滑肌脂肪瘤
D.考虑为左侧肾上腺来源的髓样脂肪瘤
E.考虑为腹膜后来源的脂肪肉瘤
177、多项选择题 中国证券业协会基金公会成立后在()等方面做了很多工作。
A.加强行业自律
B.协调辅导
C.服务会员
D.提高基金收益
178、单项选择题 关于听神经瘤的CT表现,下列哪项说法错误()
A.常发生梗阻性脑积水
B.增强后明显强化
C.同侧岩骨骨质增生
D.同侧桥小脑角池增宽
E.可以双侧发病
179、单项选择题 筛窦黏液囊肿的特征性表现是()
A.窦腔内呈软组织密度
B.窦壁骨质有破坏
C.病变向相邻眶内侵犯
D.窦腔内病变无增强
E.窦腔呈气球样扩大
180、多项选择题 发生于脊髓内常见肿瘤为()
A.星形细胞瘤
B.神经纤维瘤
C.室管膜瘤
D.神经鞘瘤
E.淋巴瘤
181、单项选择题 生殖细胞瘤与松果体瘤鉴别,最有利于生殖细胞瘤诊断的CT表现是()
A.肿瘤在三脑室后部
B.松果体钙化被肿瘤包埋
C.松果体钙化受压移位
D.松果体无钙化
E.梗阻性脑积水
182、单项选择题 马方综合征最常见的心血管异常包括()
A.主动脉瘤或夹层及二尖瓣脱垂
B.主动脉瘤及心肌梗死
C.主动脉瘤及房、室间隔缺损
D.二尖瓣脱垂或动脉导管未闭
E.冠状动脉受累及法洛四联症
183、多项选择题 软组织脓肿的CT表现,正确的为()
A.局部软组织肿胀
B.可见圆形、类圆形肿块,分叶状,边界较清
C.中央坏死、液化区呈水样密度
D.可见气体影或气一液平面
E.增强扫描,脓肿边缘出现环状强化
184、单项选择题 碘制对比剂可发生过敏反应,下列不属于轻度反应的是()
A.恶心、呕吐
B.头晕、头痛
C.面色潮红
D.气喘、呼吸困难
E.荨麻疹
185、多项选择题 CT机设备本身可能产生哪些伪影()
A.环状伪影
B.混合状伪影
C.点状伪影
D.条状伪影
E.指纹状伪影
186、单项选择题
女,66岁,右上腹痛,发热伴有黄疸2月余,消瘦、纳差,影像检查如图,最可能的诊断是()

A.胆囊结石及脂肪肝
B.胆囊结石及肝血管瘤
C.胆囊癌肝转移
D.肝内胆管细胞癌
E.胆囊癌及原发性肝癌
187、单项选择题 下列哪一项不是肾上腺腺瘤的影像学表现()
A.肿瘤呈类圆形或椭圆形实性肿块
B.病变边缘光滑清晰与肾上腺相连
C.常可见条状或斑片状钙化
D.常因含有脂类,梯度回波同反相位检查反相位上信号明显降低
E.增强扫描呈轻度强化
188、单项选择题 下列哪项不是胰腺癌的改变()
A.局部实质肿块
B.肿块远侧的腺体萎缩
C.胰周脂肪消失
D.胰管不规则钙化
E.胰周血管受侵包裹
189、单项选择题
女性,28岁。2个月前发现右颈有一肿块,无压痛,可移动。肿块缓慢增大。患者有盗汗、红细胞沉降率加快。体检:右侧胸锁乳突肌后缘可触及串状肿大淋巴结,直径0.7~1.5cm。CT图像如下,可诊断为()
A.颈淋巴结结核
B.淋巴瘤
C.神经鞘瘤
D.转移瘤
E.淋巴管瘤
190、单项选择题
根据所提供的图像,最可能的诊断是()
A.肾细胞癌
B.移行细胞癌
C.肾静脉栓塞
D.急性肾盂肾炎
E.肾梗死
191、单项选择题 下列哪项不是肺气肿分型()
A.全小叶型
B.泡性气肿型
C.小叶中心型
D.小叶间隔旁型
E.瘢痕旁型
192、单项选择题
患者术后5天发热,如图所示,最可能的诊断为()

A.肠套叠
B.脓肿
C.缺血坏死性肠炎
D.纱布置留
E.以上都不是
193、单项选择题 下列的肾癌影像,哪项说法不正确()
A.肾影局限性增大
B.IVP正常也不能完全除外本病
C.肾盂、肾盏移位
D.都有肾盂积水、肾功能降低
E.肾盂内可有充盈缺损
194、单项选择题 关于囊形肝包虫病CT影像,下列描述错误的是()
A.囊壁可钙化
B.肝内大小、数目不等的囊性病灶
C.子囊密度比母囊高
D.“水上荷花征”
E.“双边征”
195、单项选择题 空间分辨率是指()
A.对组织对比差异的显示能力
B.对解剖细微结构的显示能力
C.评估影像灰阶的参数
D.评估信号强度的参数
E.评估伪影大小的参数
196、多项选择题 化脓性脑膜炎的CT表现是()
A.脑室系统扩大
B.脑内不规则形低密度区
C.软脑膜、蛛网膜可见线形强化
D.基底池及脑沟显影模糊
E.颅骨内板下新月形低密度区
197、单项选择题
该新生儿右下肺团块,CT血管造影提示诊断为()
A.假性囊肿
B.肺隔离症
C.肺炎
D.动静脉畸形
E.以上都不是
198、单项选择题 下述支气管扩张的CT特点,错误的是()
A.圆形、类圆形致密影
B.成簇、成串排列的厚壁囊腔
C.柱状或结节状致密影
D.肺纹理增粗,轮廓不光整
E.印戒征
199、单项选择题 椎间盘扫描时,机架倾斜角度的依据是()
A.与椎间隙平行
B.与椎间盘垂直
C.与椎体成45°
D.与椎体垂直
E.与椎间盘成15°
200、单项选择题 与CT的扫描成像步骤无关的是()
A.激光相机中激光束的调制
B.探测器将接收到的参考信号和衰减信号比较
C.阵列处理器作图像的卷积处理
D.模拟和数字图像的转换
E.数据采集系统将二进制数据送往计算机
201、单项选择题 毛发细胞型星形细胞仅见于哪级星形细胞瘤()
A.Ⅰ级
B.Ⅱ级
C.Ⅲ级
D.Ⅳ级
E.混合型
202、单项选择题 颞叶底部血肿,出血动脉是()
A.颈内动脉
B.大脑前动脉
C.大脑中动脉
D.大脑前、中动脉
E.大脑后动脉
203、单项选择题 下列哪项不是引起输尿管梗阻的常见原因()
A.输尿管结石
B.输尿管肿瘤
C.输尿管炎性狭窄
D.下腔静脉后输尿管
E.输尿管结核
204、单项选择题 关于卵巢浆液性囊腺癌的描述,哪项不正确()
A.多为单侧卵巢受累
B.早期就可有腹腔转移
C.可为囊实性质地
D.就诊时,瘤体多较大
E.囊壁厚,且厚度不均,可强化
205、单项选择题
成年男性,癫痫,颅脑CT平扫图像如下,最可能的诊断为()
A.脑炎
B.脑挫裂伤
C.脑囊虫病
D.脑出血
E.脑脓肿
206、单项选择题
女性,58岁。突感胸骨后疼痛来院就诊。行胸部CT平扫如图:

A.胸主动脉硬化
B.主动脉壁内血肿
C.胸主动脉夹层并破裂
D.胸主动脉破裂
E.主动脉炎
207、单项选择题 关于软组织血肿,描述正确的是()
A.如没有外伤,不应怀疑血肿
B.X线平片可初步确定血肿的范围
C.急性血肿显示为囊性密度减低区
D.血肿的囊壁无强化效应
E.增强扫描仅在于发现血肿与周围组织的关系
208、多项选择题
女,38岁,低热乏力并消瘦2月余,CT如图所示,下列说法正确的是()
A.左侧肾上腺区巨大的占位性病灶考虑为肾上腺癌
B.左侧肾上腺区巨大的占位性病灶考虑为嗜铬细胞瘤
C.左侧肾上腺区巨大的占位性病灶考虑为肾上腺腺瘤
D.肺内多发小结节病灶,考虑为肺转移癌
E.肺内多发小结节病灶,考虑为肺结核
209、单项选择题
男,16岁,大腿可触及柔软、无痛性肿块,结合图像,最可能的诊断是()
A.滑膜肉瘤
B.脂肪肉瘤
C.脂肪瘤
D.血管瘤
E.淋巴管瘤
210、多项选择题 骨髓瘤好发部位为()
A.颅骨
B.脊椎
C.肋骨
D.骨盆
E.胫腓骨
211、多项选择题 在诊断动脉瘤方面,与常规血管造影比较,CT的优点为()
A.可显示瘤体大小
B.可显示瘤内附壁血栓及其钙化
C.可显示瘤壁钙化
D.可显示瘤腔外的情况
E.可显示受累的动脉分支
212、单项选择题 脑出血CT水肿高峰发生于发病后()
A.12小时
B.24小时
C.72小时
D.4~6天
E.10天左右
213、单项选择题 鼻咽癌向颅内转移的最常见途径为()
A.卵圆孔
B.颈静脉孔
C.眶下裂
D.破裂孔
E.棘孔
214、单项选择题
女,19岁,左侧胸部疼痛3月余,结合影像学检查,最可能的诊断是()
A.骨巨细胞瘤
B.动脉瘤样骨囊肿
C.骨肉瘤
D.骨瘤
E.骨转移瘤
215、单项选择题 下述哪项关于“眶内血管瘤”的CT特点说法是错误的()
A.肿瘤形态不规则
B.肿瘤常有纤维性假包膜
C.平扫软组组密度
D.分布于球后肌锥外
E.增强扫描病灶明显强化
216、多项选择题 “脑萎缩”影像包括()
A.健侧脑组织向患侧移位
B.脑沟增宽,脑回变窄
C.侧脑室周围低密度水肿带
D.侧脑室顶部夹角大于40°
E.视隐窝变钝、变浅、消失
217、单项选择题 对于肾盂旁囊肿,最有价值的CT检查技术是()
A.增强后动脉期扫描
B.增强后静脉期扫描
C.螺旋容积扫描
D.增强后延迟扫描
E.图像重建
218、单项选择题
女,43岁,左侧腰部不适2年余,结合所示图像,最可能的诊断是()
A.左肾髓样脂肪瘤
B.左肾盏憩室
C.左肾囊肿
D.左肾积水
E.左肾错构瘤
219、单项选择题 下列哪种病不出现眼球钙化()
A.视乳头玻璃样小体
B.脉络膜肿瘤
C.视网膜母细胞瘤
D.甲状腺性突眼
E.海绵状血管瘤
220、单项选择题
因静脉吸毒染上艾滋病的患者,如图所示,最可能的诊断是()
A.椎旁脓肿
B.肌肉转移
C.肌肉梗死
D.骨髓炎
E.出血
221、单项选择题 最容易损伤脊髓的外伤是()
A.横突孔骨折伴其它附件骨折
B.椎体压缩性骨折伴横突骨折
C.胸椎骨折伴肋骨骨折
D.下腰椎骨折,骨折碎片进入椎管
E.胸椎附件骨折,骨折碎片进入椎管
222、单项选择题 影响CT密度分辨率的是()
A.扫描层厚
B.X线光子数量
C.滤波函数
D.噪声
E.以上都是
223、单项选择题
女性,43岁,发现左侧颌下包块2年多,近3个月明显增大。行CT增强扫描如图所示:

A.X线平片
B.CT
C.超声
D.MRI
E.DSA
224、单项选择题 起源于脉管组织的恶性肿瘤(相对恶性)为()
A.血管瘤
B.血管球瘤
C.血管内皮瘤
D.淋巴管瘤
E.血管瘤病
225、单项选择题 CT表现为脑基底池增强的炎性病变通常不包括()
A.病毒性
B.化脓性
C.霉菌性
D.脑膜型囊虫病
E.结核性
226、单项选择题 直肠癌腹会阴联合切口术后复发最常见的部位是()
A.会阴部
B.骶尾骨前区
C.盆腔侧壁
D.直肠吻合部
E.盆腔肠袢周围
227、单项选择题 甲状舌管囊肿最好发于()
A.下颌骨下缘后方,舌骨水平
B.胸锁乳突肌前缘下1/3
C.靠近颈中线,舌骨附近
D.耳垂前下方
E.以上都不是
228、单项选择题 应首先排除()
A.胸主动脉硬化
B.主动脉壁内血肿
C.胸主动脉夹层并破裂
D.胸主动脉破裂
E.主动脉炎
229、单项选择题 囊尾蚴寄生人体的部位按顺序排列为以下哪项()
A.腹膜→肺→肝→心→眼→脑→肌肉→皮下组织
B.皮下组织→肌肉→脑→眼→心→肝→肺→腹膜
C.皮下组织→肌肉→心→肝→肺→眼→脑→腹膜
D.皮下组织→肌肉→腹膜→脑→眼→心→肝→肺
E.肝→心→肺→脑→眼→腹膜→皮下组织→肌肉
230、多项选择题 关于肾上腺转移瘤的说法,正确的是()
A.可为单侧或双侧
B.中央可出现坏死
C.可伴有出血
D.CT可鉴别原发或转移
E.可无内分泌症状
231、单项选择题 两肺血减少,肺动脉段突出,两肺动脉干不对称,左侧粗,右侧细,见于哪种心脏病()
A.法洛四联征
B.动脉导管未闭
C.原发性肺动脉高压
D.肺动脉瓣狭窄
E.高位室间隔缺损
232、多项选择题 心肌梗死的并发症包括()
A.室壁瘤
B.乳头肌梗死
C.心脏破裂
D.心律失常
E.以上都不是
233、单项选择题 多房滤泡囊肿与造釉细胞瘤区别点为()
A.囊腔大小差异是否明显
B.囊状透光区的数目
C.颌骨是否膨胀变形
D.囊状透光区周围是否有硬化环
E.囊内是否含牙
234、多项选择题
男,47岁,腰痛、腰胀2月余伴低热、乏力,结合影像资料所示,下列哪项说法正确()
A.右侧输尿管多发性狭窄,呈“串珠样”改变
B.右侧输尿管多发性生理性狭窄
C.右侧肾盂轻度积水
D.考虑为右输尿管占位病变
E.考虑为右输尿管结核
235、单项选择题
女,28岁,反复咯血半月余,CT检查如图,最可能的诊断是()
A.肺结核
B.肺癌
C.间质性肺炎
D.支气管扩张
E.肺脓肿
236、单项选择题
女,23岁,左颌部疼痛肿胀一年余,近来加重,CT表现如图,最可能的诊断是()
A.造釉细胞瘤
B.混合性牙瘤
C.中央性颌骨癌
D.颌骨血管瘤
E.牙龈癌
237、多项选择题
男,40岁,半年前因双下肢麻木、发凉、疼痛于外院诊断血栓闭塞性脉管炎,近1周腹痛、腹胀,以中下腹为著,呈阵发性加剧就诊,行CT增强扫描,如图所示,下列描述正确的是()
A.胰头部略膨隆,内部密度不均
B.门静脉及肠系膜上静脉增宽
C.门静脉及肠系膜静脉内见条形充盈缺损
D.考虑为胰头癌
E.考虑为门静脉及肠系膜内血栓形成
238、多项选择题 有关局灶性肝脂肪浸润,以下哪些是正确的()
A.病灶呈球状
B.与正常肝组织分界不清
C.无占位效应
D.周围血管无推移受压现象
E.增强后病灶区CT值升高不及正常肝组织
239、单项选择题 女,50岁,右眼突,CT示右侧视神经区肿块,视神经呈双轨征,视神经孔扩大、邻近骨质增生,肿块增强明显,最可能的诊断是()
A.胶质瘤
B.血管瘤
C.炎性假瘤
D.转移瘤
E.脑膜瘤
240、单项选择题
女,58岁,上腹部疼痛半月,无畏寒、发热、黄疸等症状,CT检查如图,最可能的诊断是()
A.慢性胆囊炎
B.胆囊癌(胆囊壁增厚型)
C.胆囊腺肌增生症
D.胆囊息肉
E.胆囊转移癌
241、多项选择题
男,53岁,无痛性血尿2个月余,CT扫描如图示,下列说法正确的是()
A.右侧输尿管下段可见沿输尿管走行的软组织肿块影
B.软组织肿块边缘毛糙不平
C.其上方的输尿管扩张
D.考虑为输尿管移行细胞癌
E.考虑为输尿管内血块
242、多项选择题 中枢神经系统结节性硬化包括()
A.皮层和皮层下白质、白质和侧脑室室管膜下错构瘤
B.室管膜下巨细胞星形细胞瘤
C.放射状异位白质
D.室管膜下结节
E.视网膜星形细胞错构瘤
243、多项选择题 CT的硬件构成包括()
A.扫描架
B.X线发生器
C.数据采集系统
D.数据处理系统
E.检查床
244、单项选择题 下面关于肝脏CT增强扫描检查技术不合理的是()
A.肝脏增强通常采用"三期"扫描
B.动脉期延迟扫描时间25~30秒
C.门脉期延迟扫描时间60~70秒
D.实质期延迟扫描时间85~90秒
E.怀疑肝血管瘤,则实质期的延迟扫描时间为120秒
245、单项选择题
男,19岁,右上臂扪及一硬结,有轻压痛,结合影像学检查,最可能的诊断是()
A.骨肉瘤
B.骨瘤
C.骨巨细胞瘤
D.骨软骨瘤
E.骨髓瘤
246、单项选择题 脑动静脉畸形是常见的脑血管畸形,下面描述正确的是()
A.脑动静脉畸形好发于幕下
B.脑动静脉畸形好发于基底节、丘脑
C.CT平扫示等或高密度团块,可确诊
D.增强CT扫描示曲张血管增强,占位效应轻或不明显
E.MRI不能显示钙化,诊断脑动静脉畸形不如CT好
247、单项选择题
患者偶然发现肾上腺团块,结合所示图像,最可能的诊断是()
A.转移
B.脂肪瘤
C.腺瘤
D.嗜铬细胞瘤
E.以上都不是
248、单项选择题 男,13岁,体温38.5℃.右腮腺区肿痛,皮温稍高,略红,压痛,软。CT示腮腺普遍增大,边缘模糊,密度增高,内有小气液面。诊断为()
A.恶性肿瘤
B.流行性病毒性腮腺炎
C.化脓性腮腺炎,脓肿形成
D.混合瘤
E.囊肿
249、单项选择题 以下哪种病变CT增强扫描的诊断价值最低()
A.胆结石
B.垂体瘤
C.脾脏转移瘤
D.原发性肝癌
E.脊索瘤
250、单项选择题 不符合弥漫性脂肪肝中残留正常肝岛的CT表现的是()
A.为正常肝组织密度
B.增强扫描可见小血管进入其内,相邻血管有移位
C.增强前后密度始终均匀
D.边缘常较清楚且规则
E.通常位于胆囊附近或包膜下
251、单项选择题
女,66岁,右上腹痛,发热伴有黄疸2月余,消瘦、纳差,影像检查如图,最可能的诊断是()
A.胆囊结石及脂肪肝
B.胆囊结石及肝血管瘤
C.胆囊癌肝转移
D.肝内胆管细胞癌
E.胆囊癌及原发性肝癌
252、多项选择题 纤维性骨质缺损的CT征象为()
A.皮质内囊状或不规则、无膨胀性的骨质缺损区
B.皮质内囊状或不规则、膨胀性的骨质缺损区
C.病灶边缘清楚,外侧骨壳可完整或缺损
D.邻近可有轻度软组织肿胀
E.常无骨膜反应
253、单项选择题 显示颅脑CT图像的窗宽、窗位选择正确的是()
A.颅脑CT图像常用脑窗摄影
B.窗宽100~150HU,窗位35HU左右
C.窗宽80~100HU,窗位35HU左右
D.窗宽90~120HU,窗位40HU左右
E.窗宽100~120HU,窗位45HU左右
254、单项选择题 下面关于颈部肿瘤的描述中,不正确的是()
A.颈动脉体瘤位于颈总动脉分叉处颈动脉间隙,可导致颈内外动脉移位,呈杯口状扩大
B.颈部海绵状血管瘤多见于婴幼儿,常见于皮下或颈深部,可单发或多发
C.若为神经鞘瘤,CT可显示囊性变和钙化,可以强化
D.颈部恶性肿瘤中80%的为转移瘤,其中80%来源于头颈部恶性肿瘤
E.由于神经纤维瘤血供丰富,可显著强化,藉此易与神经鞘瘤鉴别
255、单项选择题 如经肘正中静脉进行增强扫描,下列结构中哪一项最迟强化()
A.胰腺
B.左右髂静脉
C.脾脏
D.上腔静脉
E.肝脏
256、单项选择题 蛛网膜下腔出血首选的检查方法应为()
A.MRI
B.PET
C.ECG
D.CT
E.ECT
257、单项选择题
男,5岁,左踝部肿痛2周,CT平扫MPR图像如下,最可能的诊断是()
A.Brodie脓肿
B.骨结核
C.骨肉瘤
D.尤文肉瘤
E.骨巨细胞瘤
258、单项选择题 下述哪种技术,对于提高胃CT图像质量没有价值()
A.仰卧左前斜位扫描
B.适量高密度胃肠道对比剂
C.适量阴性胃肠道对比剂
D.增强扫描
E.扫描前用盐酸山莨菪碱
259、单项选择题 喉腔最狭窄的部位为()
A.喉前庭
B.假声带
C.喉室
D.声门
E.声门下腔
260、单项选择题 关于肾癌的CT检查,错误的是()
A.肾实质癌表现为形态不规则的软组织肿块,产生肾外形扩大或局部隆起
B.增强扫描是绝对不能省略的,增强后肾癌整体密度较肾实质为高
C.增强扫描具有诊断价值,同时可以确定有无血管瘤栓形成
D.对于较大肾癌,可以观察判断其外延浸润的其他征象
E.CT对肾癌诊断和分期的准确率超过90%
261、单项选择题 临床上,CT扫描最多应用最广的是()
A.影像诊断
B.CT导向介入
C.放疗计划制定
D.手术路径方案
E.骨矿物质含量测定
262、单项选择题
男,25岁,头颅外伤,昏迷,意识丧失,结合CT图像,最可能的诊断是()
A.结节性硬化病
B.脑剪切伤
C.脑囊虫病
D.脑实质钙化灶
E.脑转移瘤
263、单项选择题 颅脑CT没有病理意义的钙化是()
A.侧脑室三角区内球形钙化
B.额—颞部脑回状钙化
C.室管膜下结节状钙化
D.灰白质交界小环形钙化
E.松果体直径>10mm不均匀钙化
264、单项选择题 胆总管扩张分五型,最常见的是()
A.Ⅰ型:胆总管囊状或梭形扩张
B.Ⅱ型:胆总管单发憩室
C.Ⅲ型:胆总管下端在十二指肠壁内扩张并突入肠腔
D.Ⅳ型:多发囊肿,肝内和肝外囊肿或多发肝外囊肿
E.Ⅴ型:单发或多发肝内胆管囊肿即Caroli病
265、单项选择题 在CT轴位增强扫描通过窦汇的层面上,天幕呈()
A.Y形
B.V形
C.八形
D.M形
E.O形
266、单项选择题
男,67岁,右上腹痛、腹胀,右季肋区叩击痛,体温39℃,CT检查如图,最可能的诊断是()
A.多发性肝囊肿
B.多发性肝脓肿
C.肝包膜下出血伴囊变
D.肝转移癌
E.肝淋巴管瘤
267、单项选择题 男,30岁,右面部疼痛。CT示右桥小脑角区类椭圆形囊样病变,沿脑池生长,CT值-10HU,无强化,局部脑组织及脑干轻度受压。最可能的诊断为()
A.囊性脑膜瘤
B.蛛网膜囊肿
C.皮样囊肿
D.表皮样囊肿
E.听神经瘤囊变
268、单项选择题 脑外、脑内占位性病变的最主要鉴别点是()
A.增强扫描
B.中线结构的移位
C.脑室大小的改变
D.病变周围的脑皮髓质的移位及局部蛛网膜下腔的改变
E.病变密度
269、单项选择题
患者60岁,血尿,结合所示图像,结合所示图像,最可能的诊断是()
A.膀胱移行上皮细胞癌
B.血凝块
C.动静脉畸形
D.结石
E.结核
270、单项选择题 颈动脉体瘤的CT表现中,颈总动脉分叉表现为()
A.无扩大
B.轻度扩大
C.扩大,呈杯状
D.向前移位
E.缩小
271、多项选择题 关于继发型肺结核,下列说法正确的是()
A.在我国分类法中属于Ⅵ型
B.好发于肺尖区、上叶尖后段及下叶背段
C.病变形式多样,其中包括干酪性肺炎、结核性空洞、支气管播散性结核、结核球、慢性纤维空洞型结核等
D.该型是成年组多见的结核,均是内源性感染
E.肺内已经静止的结核病灶,不会引起继发型肺结核
272、多项选择题 肾上腺腺瘤的CT表现,错误的有哪些()
A.边界清楚、密度均匀的软组织肿块
B.肿块呈等密度
C.功能性腺瘤时,对侧肾上腺大小、形态正常
D.增强扫描呈一过性强化
E.肿块易出血、坏死
273、单项选择题 缺氧所致的颅内出血以下列哪种较常见()
A.蛛网膜下腔出血
B.硬膜窦撕裂出血
C.皮质桥静脉出血
D.脉络丛静脉破裂出血
E.脑内出血
274、单项选择题 RBL是指()
A.眶下线
B.听眉线
C.听眦线
D.听鼻线
E.听眶线
275、单项选择题 多血供性肝转移者,原发灶常为()
A.肺癌
B.胃腺癌
C.结肠癌
D.肾癌
E.乳腺癌
276、单项选择题
根据所提供的图像,最可能的诊断是()
A.正常
B.胃气肿
C.气肿性胃炎
D.胃癌
E.以上都不是
277、单项选择题 肺叶不张的CT表现,错误的是()
A.胸廓变小
B.肺体积收缩
C.纵隔向健侧移位
D.同侧膈肌升高
E.叶间胸膜移位
278、多项选择题 男,49岁,CT示颅后窝水样低密度灶,3cm×3cm大小,关于影像学分析,下列哪些是正确的()
A.诊断应考虑血管母细胞瘤、毛细胞星形细胞瘤和脑脓肿等
B.壁薄,仅见壁结节明显强化,首先考虑血管母细胞瘤
C.壁薄,无强化,仅见壁结节明显强化,首先考虑星形细胞瘤
D.壁较厚,呈环样强化,壁结节较大且明显强化,首先考虑毛细胞型星形细胞瘤
E.脑室受压、灶周水肿明显,首先考虑血管膜瘤
279、单项选择题 关于“脑膜瘤”的病理、影像描述,下列哪项不对()
A.是最常见的脑外肿瘤
B.易引起颅骨增厚,破坏,变薄
C.不发生于脑室内
D.脑膜中动脉供血为主,脉络膜动脉次之
E.囊变、坏死与肿瘤良恶性无关
280、单项选择题
女,24岁,发热畏寒数天,右眼睛疼痛,PE:右眼睑肿胀,结膜充血,伴右眼突出,CT如图所示,最可能的诊断是()
A.Coats病
B.炎性假瘤
C.淋巴瘤
D.眼眶蜂窝织炎
E.眼型Graves病
281、单项选择题
患者有淋巴瘤病史,结合图像,最可能的诊断是()
A.肝癌
B.肝纤维化
C.肝淋巴瘤
D.肝硬化
E.以上都不是
282、多项选择题 慢性化脓性中耳乳突炎单纯型CT表现有()
A.听小骨部分吸收、破坏
B.鼓室粘膜增厚
C.乳突窦或较大的气房粘膜增厚
D.上鼓室、乳突窦入口可见骨壁破坏
E.气房间隔增粗、密度增加
283、单项选择题 下列对于鼻咽癌的CT表现,哪项描述错误()
A.一侧咽隐窝变浅
B.一侧翼内肌肿大
C.同侧鼓室含气消失
D.咽旁间隙正常
E.两侧咽腔不对称
284、单项选择题 脱屑性间质性肺炎的CT特征()
A.斑片状、网状、毛玻璃样密度影
B.不规则形,线状或蜂窝状阴影
C.散在分布斑片状阴影
D.多发5~7mm结节影,半数有空洞
E.钙化
285、单项选择题 CT图像中心环状伪影产生的常见原因是()
A.病人自主或不自主运动
B.高密度结构,如金属
C.数据收集系统故障
D.X线强度变化
E.AP重建故障
286、单项选择题 下列与胸部CT增强扫描技术不相关的是()
A.静脉团注对比剂60~70ml
B.流速2~2.5ml/s
C.延迟扫描时间20秒
D.扫描范围和扫描参数同平扫
E.采用螺旋扫描
287、单项选择题 良好充盈CT像上,正常消化道壁解剖,下列哪项不对()
A.食管壁厚度应≤3mm
B.胃壁厚度应≤8mm
C.小肠壁厚度应≤3mm
D.结肠壁厚度应≤3mm
E.贲门区处胃壁可较其余胃壁略厚
288、单项选择题 关于垂体瘤的描述哪项不正确()
A.大腺瘤可突入鞍上池
B.大腺瘤可导致鞍底下陷
C.大腺瘤不引起脑积水
D.腺瘤可侵犯海绵窦
E.腺瘤可呈哑铃状
289、单项选择题 房间沟、后室间沟和冠状沟的交叉处称为()
A.心房交点
B.心室交点
C.房室交点
D.心房切迹
E.以上都不是
290、单项选择题
患者,女,83岁,胸部CT图像如下。则最确定的诊断为()
A.食管裂孔疝
B.胸主动脉瘤
C.胸主动脉夹层破裂
D.后纵隔囊实性占位性病变
E.无明显异常
291、单项选择题
男,36岁,双眼球突出5月余,CT如图所示,最可能的诊断是()
A.眼型Graves病
B.肌炎型炎性假瘤
C.未见异常
D.眶内脑膜瘤
E.眶内淋巴瘤
292、单项选择题 CT与常规X线体层摄片比较,最主要的不同是()
A.采用激光机相拍照
B.无层面外组织结构干扰
C.X线辐射剂量较小
D.可使用对比剂增加
E.以上均不是
293、单项选择题
患者中年,结合图像,最不可能的诊断为()
A.Gaucher’s病(家族性脾性贫血)
B.淋巴瘤
C.转移性黑色素瘤
D.镰刀形红细胞病
E.以上都不是
294、单项选择题 关于脊柱CT平扫的技术描述错误的是()
A.颈椎扫描,患者头部略垫高,使椎体尽可能与床面平行
B.胸椎扫描,患者双手抱头
C.腰椎扫描,用一专用的腿垫,把患者的双腿抬高
D.骶椎扫描,患者侧卧
E.颈椎和腰椎常规扫描做侧位定位像
295、多项选择题
男,50岁,声音嘶哑近1年,近来感呼吸困难,CT扫描如图所示,正确的描述或诊断是()
A.喉、气管壁增厚
B.气管后方见软组织肿块
C.肿块内可见致密钙化影
D.喉气管淀粉样变性
E.气管结核
296、单项选择题
女,12岁,头痛、恶心、呕吐1周,平扫CT检查如图

女,9岁,视力下降1月余,CT检查如图,最可能的诊断为()

A.胶质瘤
B.脑膜瘤
C.脊索瘤
D.垂体瘤
E.颅咽管瘤
297、单项选择题 单层螺旋CT在硬件方面的重要改进是()
A.增加了机架的重量,以抵抗滑环连续旋转的离心力
B.增加了探测器的数量
C.采用了滑环技术
D.采用了飞焦点技术
E.采用了电子束和四个阳极靶面
298、单项选择题 在HD中,最常见的是()
A.淋巴细胞为主型
B.混合细胞型
C.结节硬化型
D.淋巴细胞耗竭型
E.以上都不是
299、单项选择题
女,79岁,步行时突然摔倒,结合图像,最可能的诊断是()

A.右大脑中动脉破裂出血
B.脑转移瘤出血
C.脑膜炎
D.脑梗死
E.脑脓肿
300、单项选择题 Modic将椎间盘脱出分为四型,不包含下列哪项()
A.挤出(extrudeD.
B.突出(protrusion)
C.椎体滑脱
D.髓核游离
E.膨出