时间:2025-09-29 03:49:31


1、多项选择题 肾实质显影浅淡主要见于()
A.肾功能减退
B.尿路梗阻
C.肾结核
D.肾脓肿
E.低血压
2、单项选择题 关于散射线及其影响因素的叙述,错误的是()
A.散射线是离开原射线线束的折射光子
B.管电压越高,散射线越多
C.增感屏感度越高,散射线越少
D.在一定厚度内,被照体越厚散射线越多
E.照射野是产生散射线的重要因素之一
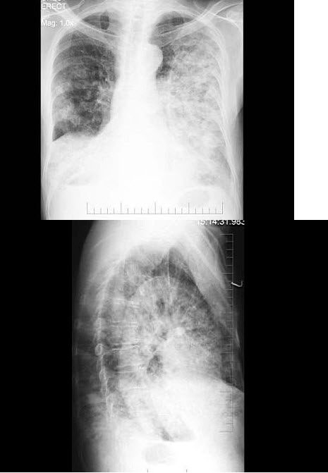
3、单项选择题 28岁,男性,咳嗽,胸闷1月余,持续2周,胸片示右下肺浅淡片状影,肺纹理增多,最可能的诊断是()
A.慢性纤维空洞型肺结核
B.慢性肺脓肿
C.自发性气胸
D.大叶性肺炎
E.支原体肺炎
4、单项选择题 人体骨数最多的时期为()
A.新生儿期
B.婴幼儿期
C.青春期
D.青春期到骨发育成熟期前
E.骨发育成熟期
5、名词解释 树上挂果征
6、名词解释 椎体融合
7、单项选择题 通常所说的肺内肿块性病灶,直径应()
A.≥2cm
B.≥4cm
C.≥6cm
D.≥7cm
E.≥8cm
8、多项选择题 胰头癌低张十二指肠造影的X线征象为()
A.十二指肠曲扩大
B.十二指肠曲缩小
C.十二指肠内缘呈反“3”字征
D.十二指肠内缘双边征
E.十二指肠内侧呈锯齿状
9、单项选择题 骨样骨瘤典型X线征象是()
A.瘤巢及伴有周围硬化
B.好发于胫股骨
C.发生于松质骨很少,出现钙化
D.骨膜下者为紧贴骨质的软组织肿块
E.好发于尺桡骨
10、单项选择题 下述单纯煤肺影像特点,错误的是()
A.类圆形小阴影
B.不规则形小阴影
C.常有大阴影
D.罕有胸膜斑
E.肺间质纤维化
11、多项选择题 十二指肠炎的影像特征是()
A.球部激惹征
B.球部龛影
C.球部痉挛
D.球部变形
E.球部无明显变形
12、单项选择题 原发性肺结核典型X线征象()
A.肺内浸润阴影
B.肺门淋巴结肿大
C.双极征
D.肺空洞形成
E.胸腔积液
13、单项选择题
男,52岁,从事矿井工作32年,近几年出现气喘,呼吸困难,胸片如图,其最可能的诊断为()

A.双肺浸润性结核
B.双肺真菌感染
C.两肺弥漫性间质性肺炎
D.两肺弥漫性纤维化
E.矽肺
14、判断题 左心室增大时,可使心脏顺时针方向旋转,漏斗部构成左心缘的上部。
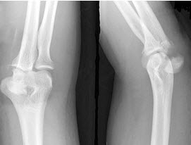
15、单项选择题
男,38岁,右肘关节外伤,结合图像,最可能诊断是()
A.肱骨外侧髁骨折
B.尺骨鹰嘴骨折
C.肱骨内侧髁骨折
D.肘关节脱位
E.未见异常
16、单项选择题 易与胰头肿块混淆的是()
A.门腔淋巴结
B.右肾上腺
C.右侧膈肌脚
D.十二指肠
E.胃幽门管
17、单项选择题 下列除哪项外均为肌源性肉瘤()
A.平滑肌肉瘤
B.血管外皮细胞瘤
C.纤维平滑肌肉瘤
D.横纹肌肉瘤
E.癌肉瘤
18、单项选择题 椎体一次化骨中心缺血坏死的特征性X线表现是()
A.多个椎体压缩似薄骨板,密度增高
B.脊柱呈圆驼状后突畸形
C.单个椎体前缘呈阶梯状改变
D.单个椎体显著变扁,呈钱币样
E.多个椎体前缘呈阶梯状改变
19、单项选择题 膈下脓肿的典型X线表现()
A.膈下液平面
B.膈肌活动度受限
C.膈肌局限性凸起
D.膈肌抬高
E.膈面模糊
20、判断题 尿路结石大多数能从平片上显示出来。
21、单项选择题
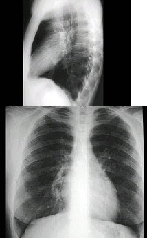
女,63岁,痰中带血2天,不咳嗽、发热,X线检查如图,最可能的诊断是()

A.右上肺结核
B.右上肺炎症
C.右上肺不张
D.右上肺癌
E.右上肺错构瘤
22、单项选择题 间质性肺炎较特征的X线表现是()
A.蜂窝肺
B.网状阴影之间伴小点状致密阴影
C.肺纹理增粗模糊
D.肺气肿
E.肺门阴影增大,密度增高
23、单项选择题 充盈良好的胃CT像,胃的哪一部分最厚()
A.胃体前壁
B.胃体后壁
C.贲门区
D.胃窦部
E.胃底大弯侧
24、单项选择题 在典型的胃良性溃疡与恶性溃疡鉴别要点中,哪一项是良性溃疡的特征()
A.蠕动减弱
B.粘膜皱襞紊乱
C.龛影位于胃轮廓之内
D.龛影突出于胃轮廓之外
E.局部胃腔狭窄
25、问答题 泌尿系统X线检查有哪些方法?各有何优势与限度?
26、单项选择题 老年患者,呼吸困难,胸痛,上腹部不适,呕吐。X线胸片示:左侧膈肌明显升高至第3~4前肋水平,心脏向右移位,透视膈肌有矛盾运动,最可能的诊断是()
A.膈疝
B.肺下积液
C.膈膨升
D.肺不张
E.膈下脓肿
27、单项选择题 下述肺部病变X线描述,哪项不对()
A.癌性空洞,常有液平面
B.大叶性肺炎,渗出性改变
C.肺大量纤维化,纵隔常向患侧移位
D.肺内浅淡模糊影,渗出性病变
E.初染肺结核易经淋巴管播散,空洞少见
28、问答题 在排泄性尿路造影中各器官的正常X线所见有哪些?
29、单项选择题
男,15岁,右髋部疼痛、红肿,有压痛,皮温增高,结合图像,最可能的诊断是()
A.骨肉瘤
B.急性骨髓炎
C.尤文肉瘤
D.转移性神经母细胞瘤
E.骨结核
30、单项选择题 对激光照相机特点的描述,以下哪项不对()
A.成像分辨率与激光束宽度成反比
B.对胶片无特殊要求,凡双面药膜片均可
C.图像可任意放大、缩小
D.成像分辨率不能超过读取分辨率
E.只适用于数字信息图像
31、多项选择题 关于头颅侧位投照,正确的体位是()
A.矢状面与台面平行
B.听眦线与台面平行
C.听眦线与台面垂直
D.瞳间线与台面垂直
E.听眶线与台面平行
32、单项选择题 没有“肠壁内积气”表现的是()
A.小肠平滑肌瘤
B.缺血性结肠炎
C.坏死性小肠结肠炎
D.肠系膜上动脉栓塞
E.中毒性巨结肠
33、单项选择题 下列石棉肺表现,哪种最少出现()
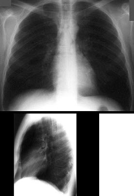
A.肺癌发病率升高
B.肺野透亮度减低
C.类圆形小阴影
D.八字型大阴影
E.不规则形小阴影
34、单项选择题 用于胃肠道造影的对比剂是()
A.硫化钡
B.氯化钡
C.碳酸钡
D.硫酸钡
E.氰化铂钡
35、单项选择题 “PTC”术前准备,一般不包括()
A.出血时间
B.碘过敏试验
C.凝血时间
D.全腹部CT检查
E.凝血酶原时间
36、判断题 浅表食管癌是指癌仅浸润至食管粘膜、粘膜下层,而无淋巴结转移者。
37、单项选择题 下列胰腺病变,哪种不发生钙化()
A.慢性胰腺炎
B.胰腺癌
C.胰岛细胞瘤
D.单纯性急性胰腺炎
E.胰腺囊肿
38、单项选择题 视神经孔后前轴位摄片,矢状面与台面呈()
A.33°
B.43°
C.53°
D.63°
E.73°
39、多项选择题 “继发孔型房间隔缺损”分为哪几型()
A.中央型/卵圆窝型
B.上腔型
C.下腔型
D.周边型
E.混合型
40、判断题 左侧肾脊角比右侧略大,女性者又较男性略大。
41、单项选择题 下列哪一项与紫绀性先天性心脏病无关()
A.发育迟缓
B.骨龄延迟
C.颅骨板障变薄
D.杵状指
E.肋骨切迹
42、单项选择题 慢性化脓性中耳乳突炎肉芽肿型,骨质破坏部位为()
A.乙状窦
B.上鼓室
C.乳突窦区
D.乳突窦入口
E.听小骨
43、单项选择题 关于干酪性肺炎不正确的描述是()
A.以渗出性和干酪性病变为主
B.好发于抵抗力极低,对结核菌素敏感性高的病人
C.X线表现为节段性实变
D.因干酪样坏死明显,故传染性低
E.病变内常见空洞形成
44、单项选择题 成人肾脏测量中,哪项正确()
A.长径10~12cm,宽径5~6cm
B.长径12~14cm,宽径6~8cm
C.长径12~13cm,宽径5~6cm
D.长径10~15cm,宽径6~8cm
E.长径12~13cm,宽径8~10cm
45、单项选择题 关节结核的关节面破坏首先发生在()
A.骨骺
B.骨骺板
C.干骺端
D.关节持重部位
E.关节非持重部位,滑膜附着处
46、单项选择题 以下选项中,乳突许氏位投照时,球管中心线应()
A.向足侧倾斜35°
B.向足侧倾斜25°~30°
C.向足侧倾斜35°~45°
D.向足侧、面侧各倾斜15°
E.向头侧倾斜35°~45°
47、判断题 系统性红斑狼疮在发病早期,即可见明显的X线征象。
48、单项选择题 先天性巨结肠的常见X线征象是()
A.近端结肠扩张而远端无狭窄段
B.近端结肠狭窄,远端结肠扩张,并伴有功能障碍
C.远端结肠狭窄,近端结肠扩张,并伴有功能障碍
D.结肠病变区无钡剂潴留现象
E.结肠仅有功能障碍
49、单项选择题 标准后前位胸片上可清楚见到()
A.第1~3胸椎
B.第1~4胸椎
C.第1~12胸椎
D.第1~10胸椎
E.第8~12胸椎
50、单项选择题 显示颈椎椎间孔的最佳体位是()
A.身体侧斜25°,中心线向头侧倾斜15°~20°
B.身体侧斜25°,中心线与床面垂直
C.身体侧斜35°,中心线向足侧倾斜10°
D.身体侧斜45°,中心线向头侧倾斜15°~20°
E.身体侧斜45°,中心线与床面垂直
51、多项选择题 下述疾病中可见关节内游离体的是()
A.色素沉着绒毛结节性滑膜炎
B.滑膜骨软骨瘤病
C.神经性关节病
D.非骨化性纤维瘤
E.退行性骨关节病
52、配伍题 可观察到肠系膜上动脉压迹的是()可观察到胰头病变的是()
A.十二指肠肠圈
B.十二指肠降部
C.十二指肠水平部
D.十二指肠升部
E.十二指肠球部
53、单项选择题 房间隔缺损在X线平片上表现为()
A.肺血增多,右心房、室增大,主动脉结小
B.肺血增多,左、右心室增大,主动脉结正常
C.肺血减少,右心房、室增大,主动脉结小
D.肺淤血,左心房、右心室增大,主动脉结小
E.肺淤血,右心房、左心室增大,主动脉结正常
54、判断题 在工作中,通常用密度的高与低表示影像的白与黑。
55、填空题 先天性肢体骨骼缺损是___________________,Frantz和O’Rahilly的先天性肢体骨骼缺损分类法是按骨骼缺损的部位和方向将肢体骨骼缺损分为___________、__________、____________和___________4大类。
56、单项选择题 关于“结肠癌”的说法,错误的是()
A.约5%为多发癌
B.增生型,多位于盲肠和直肠
C.增生型最常见
D.70%发生于右半结肠
E.右半结肠癌梗阻出现较晚
57、多项选择题 痛风的X线表现有()
A.早期为关节周围软组织肿胀
B.骨皮质出现硬化或多处波浪状凹陷
C.关节周围软组织出现结节状钙化影
D.骨性关节面不规则或穿凿状破坏
E.关节间隙变窄,甚至纤维性或骨性强直
58、多项选择题 胸部内脏平片检查主要包括()
A.锁骨平片检查
B.胸骨平片检查
C.肺的平片检查
D.心及大血管的平片检查
E.胸椎的平片检查
59、单项选择题 乳突双15°侧位,亦称为()
A.劳氏位(LaW位)
B.许氏位(Schuller位)
C.伦氏位(Runstrom位)
D.梅氏位(Mayer位)
E.斯氏位(Stenever位)
60、单项选择题 胸部正位片见纵隔旁两旁凸出阴影,是指下列哪组淋巴结肿大()
A.支气管肺淋巴结
B.隆突下淋巴结
C.气管支气管淋巴结
D.气管旁淋巴结
E.后纵隔淋巴结
61、单项选择题
男,66岁,咳嗽、发热2周余,无痰中带血,X线检查如图,最可能的诊断是()

A.细支气管肺泡癌
B.血行播散型肺结核
C.左肺浸润型肺结核
D.左肺炎症
E.肺转移瘤
62、单项选择题
男,15岁,从楼梯上滑倒,足部扭伤,结合图像,最可能的诊断是()
A.腓骨骨折
B.胫腓骨骨折
C.胫骨骨折
D.距骨骨折
E.跟骨骨折
63、单项选择题 胃癌最主要的转移方式是()
A.腹腔种植转移
B.血行转移
C.直接蔓延
D.淋巴结转移
E.以上都不是
64、单项选择题 以下选项中,“子宫输卵管造影”的最佳时机为()
A.月经前第3天
B.月经前第10天
C.月经期
D.月经后第3天
E.月经后第7天
65、名词解释 晕轮征
66、单项选择题 十二指肠降部位于哪几个脊椎的右缘()
A.第11~12胸椎
B.第1~3腰椎
C.第10~11胸椎
D.第2~5腰椎
E.第4~5腰椎
67、单项选择题 下列哪项不属于肢端肥大症X线表现()
A.跟垫增厚(>23mm)
B.鼻窦过度发育,蝶鞍增大
C.四肢长骨及颜面骨粗厚、增大
D.末节指骨近端甲丛增大、变宽
E.颅骨增大,颅板增厚
68、单项选择题 下述KerleyB线特点,哪项不对()
A.周围小叶间隔增厚所致
B.水平走向
C.可见于矽肺
D.是肺静脉压升高最早期表现
E.胸片上,其厚度约为1mm,长度为2~6cm
69、单项选择题 当掌心向下平放在暗盒垂直投照时,显示的是以下哪项()
A.拇指后前位
B.拇指侧位
C.拇指斜位
D.拇指前后位
E.拇指切线位
70、单项选择题 肾区及输尿管前后位摄片,中心线经()
A.肚脐
B.肚脐下3cm
C.剑突到肚脐连线中点
D.肚脐到耻骨联合连线中点
E.剑突到耻骨联合连线中点
71、单项选择题 胰腺癌最好发于()
A.胰头
B.胰颈
C.胰体
D.胰尾
E.胰体、尾交界处
72、单项选择题 第二斜位又称为()
A.右前斜位
B.左前斜位
C.左后斜位
D.右后斜位
E.侧位
73、单项选择题 静脉注射碘过敏试验,注药后观察反应的常规时间是()
A.5分钟
B.15分钟
C.25分钟
D.35分钟
E.45分钟
74、单项选择题 原发性肺结核是指()
A.原发综合征
B.胸内淋巴结结核
C.血行播散型肺结核
D.前两者均是
E.前三者均是
75、单项选择题 静脉尿路造影第一张照片的摄影时间为()
A.对比剂注射完毕后约3分钟
B.对比剂注射完毕后约7分钟
C.对比剂注射完毕后约10分钟
D.对比剂注射完毕后约15分钟
E.对比剂注射完毕后约20分钟
76、单项选择题 胆脂瘤最多见于下列哪种类型乳突()
A.气化型乳突
B.混合型孔突
C.板障型乳突
D.与乳突类型无关
E.以上都不是
77、多项选择题 下列中的哪些部位,不适合高电压摄片()
A.纵隔
B.喉
C.胸骨
D.乳腺
E.胸部
78、多项选择题 下列组合,正确的是()
A.左前斜位——中心线经被照体的右后射向左前
B.右前斜位——中心线经被照体的左后射向右前
C.右后斜位——中心线经被照体的左前射向右后
D.左后斜位——中心线经被照体的左前射向右后
E.斜位——中心线经被照体的前面射向后面
79、单项选择题 诊断额窦恶性肿瘤时,下列哪种位置摄影最佳()
A.华氏位
B.前额切线位
C.头颅侧位
D.柯氏位
E.汤氏位
80、单项选择题
女,1岁,身体发育异常,如图所示,最可能的诊断为()
A.成骨不全
B.粘多糖病
C.软骨发育不全
D.佝偻病
E.侏儒症
81、单项选择题 下列哪项类型的积液可出现外高内低的弧线()
A.游离性胸膜腔积液
B.包裹性胸膜腔积液
C.肺底积液
D.肺囊肿
E.肺脓肿
82、单项选择题 关于一侧肺不发育的X线表现,下列哪项是不正确的()
A.患侧胸部密度均匀增高
B.无血管纹理分布
C.心脏纵隔移向患侧
D.两侧胸廓大小形态对称
E.患侧动脉主干发育不良或缺如
83、单项选择题 胸腔积液罕见于()
A.细菌性肺炎
B.结核
C.乳腺癌胸膜转移
D.结节病
E.淋巴管腺肌瘤病
84、填空题 骨肉瘤据瘤骨多少可分为__________、________和_________。也可据肿瘤性骨样组织、肿瘤性软骨组织和纤维组织以及血腔的有无及多少分为_________、___________、____________、__________和______________。
85、多项选择题 中等量心包积液时可见的X线征象为()
A.心影普遍增大
B.上纵隔影变短变宽
C.心尖搏动减弱或消失
D.主动脉搏动正常
E.肺纹理正常或减少
86、单项选择题 下列关于“膀胱结核”的影像表现,错误的是()
A.膀胱壁线样钙化
B.病变早期,平片、造影价值有限
C.初段尿发现抗酸杆菌,均可诊断本病
D.对膀胱周围结核性病变,CT价值高
E.临床常有肾脏、输尿管结核相应表现
87、单项选择题 在肝转移病灶中,钙化发生率高的是()
A.肾癌
B.直肠癌
C.胰腺癌
D.平滑肌肉瘤
E.甲状腺癌
88、单项选择题 下列中央型错构瘤影像特点,错误的是()
A.肺内肿块
B.局限性肺不张
C.局限性阻塞性肺炎
D.支气管腔内半球形肿块
E.支气管壁不增厚
89、单项选择题 踝关节正位摄片,中心线应对准()
A.内踝
B.外踝
C.内外踝连线中点
D.内外踝连线中点上1cm
E.内外踝连线中点上5cm
90、单项选择题
患者,12岁,跌倒时手掌撑地。查:肘关节半屈状,肘肿胀压痛,外突畸形,肘后三角存在,桡动脉搏动正常。
摄X线片后,最可能的诊断是()
A.肘关节脱位
B.伸直型肱骨髁上骨折
C.屈曲型肱骨髁上骨折
D.桡骨小头半脱位
E.尺骨鹰嘴骨折
91、多项选择题 关于X线质的叙述,正确的是()
A.X线的硬度
B.X线的强度
C.X线的波长越短,X线质越硬
D.常以管电压(kV)值间接表示X线质
E.常以管电流(mA)值间接表示X线质
92、单项选择题 关于增生型结肠癌的X线表现,错误的是()
A.肠腔内出现不规则的充盈缺损
B.肠腔内有较大的龛影
C.表面粘膜皱襞破坏中断或消失
D.局部肠壁僵硬平直,结肠袋消失
E.轮廓不规则,病变多发生于肠壁的一侧
93、单项选择题
男,21岁,曾多次有过骨折史,结合图像,最可能的诊断是()
A.石骨症
B.成骨不全
C.畸形性骨炎
D.转移性骨肿瘤
E.氟骨症
94、填空题 肺脓肿按感染途径的不同可分为_________、__________和___________________。
95、单项选择题 中心型肺癌最早出现征象是()
A.黏液嵌塞征
B.局限性肺气肿
C.段或叶肺不张
D.阻塞性肺炎
E.肺门阴影增浓
96、填空题 肺内出血表现为__________、___________或__________阴影。
97、单项选择题 关于鼻真菌病的X线表现,下列哪项描述不准确()
A.鼻腔软组织肿块
B.受侵鼻窦内有结节状软组织影
C.窦壁骨质无破坏
D.鼻甲增大
E.一般窦内无积液
98、填空题 骨盆骨折常有________、________、________、________和____________并发症。
99、单项选择题 下列关于心脏左前斜位的描述,错误的是()
A.又称第二斜位
B.可观察左心室
C.可观察右心房
D.可观察右心室
E.可观察左主支气管位置
100、单项选择题 矽肺造成的肺部纤维化是()
A.稳定而无明显变化的弥漫性肺纤维化
B.局部性纤维化
C.时轻时重的纤维化
D.慢性进行性弥漫性纤维化
E.纤维化的吸收与肺实质的修复同时进行
101、单项选择题 下述矽肺间接征象,哪项不对()
A.肺气肿
B.肺不张
C.胸膜增厚、粘连
D.胸腔积液
E.肺源性心脏病
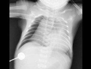
102、单项选择题
男,12天。呼吸困难,哭闹不止。X线检查如图,最可能的诊断为()

A.新生儿胸腔积液
B.新生儿心包积液
C.新生儿白肺
D.新生儿肺炎
E.新生儿气胸
103、单项选择题 经过锁骨中点并与身体正中线平行的直线为()
A.腋前线
B.腋中线
C.腋后线
D.锁骨中线
E.正中线
104、单项选择题 下列慢性肺炎胸片所见,哪项不对()
A.肺纹理增多、紊乱
B.蜂窝状、杵状阴影
C.肿块规则圆形,边缘光整
D.局限性或弥漫性肺气肿
E.肺门影增大,模糊
105、单项选择题 关于肘关节正位摄片的说法,错误的是()
A.检查肘关节及周围软组织
B.使肘关节屈曲约成为120°
C.背侧置于暗盒上
D.尺骨鹰嘴突置胶片中心
E.照片显示肘关节间隙清晰
106、多项选择题 滑膜关节在X线片上可见()
A.关节间隙
B.骨性关节面
C.关节囊
D.韧带
E.关节内外脂肪层
107、单项选择题 十二指肠球部溃疡龛影的显示,首选以下哪项()
A.压迫像
B.双重像
C.充气像
D.卧位充盈像
E.立位充盈像
108、多项选择题 成人骨髓炎的特点有()
A.无明显全身中毒症状
B.症状较轻
C.发病缓慢
D.骨质破坏较局限
E.预后较好
109、单项选择题 先天性肛门闭锁,X线检查的最佳时间是()
A.婴儿出生后立即拍片
B.婴儿出生后10~12小时拍片
C.婴儿出生后20~24小时拍片
D.婴儿出生后8~10小时拍片
E.婴儿出生48小时后拍片
110、多项选择题 下述表现中,哪些与“胃溃疡”无关()
A.胃空腹滞留液较多
B.激惹征
C.“B”形胃
D.胃排空速度加速或延缓
E.袖口征
111、单项选择题 右前斜位,心脏前缘自上而下依次为()
A.左心房、左心室
B.右心房、右心室
C.右心室、左心室
D.左心房、右心室
E.左心室、右心房
112、单项选择题 胸部右前斜位身体冠状面与暗盒呈()
A.15°
B.25°
C.35°
D.45°
E.60°
113、单项选择题 中心线与地面垂直为()
A.水平投射
B.垂直投射
C.向上投射
D.向下投射
E.倾射投射
114、判断题 纵隔气肿常与气胸及皮下气肿并存。
115、单项选择题 肾性骨营养不良最常见的特点是()
A.骨质软化
B.纤维性骨炎
C.骨硬化
D.软组织钙化
E.软组织肿块
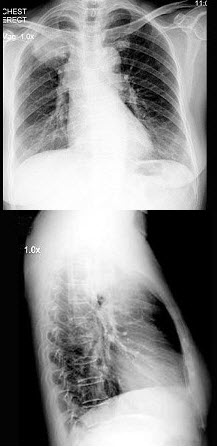
116、单项选择题
男,75岁,胸痛,咳嗽半年,气逼,多年前曾因黑色素瘤手术,胸片如图,最可能的诊断是()

A.原发性肺癌
B.肺结核瘤
C.黑色素瘤肺转移
D.炎性假瘤
E.韦格肉芽肿
117、单项选择题 右主支气管与气管中线成多少度角()
A.10~20°
B.20~30°
C.30~40°
D.40~55°
E.50~60°
118、判断题 右位主动脉弓常合并迷走左锁骨下动脉。
119、配伍题 进行X线摄片检查是利用什么作用()测试辐射量的闪烁晶体是利用什么作用制成的()
A.穿透作用
B.荧光作用
C.电离作用
D.感光作用
E.着色作用
120、多项选择题 关节外伤脱位常发生在()
A.肘关节
B.肩关节
C.踝关节
D.腕关节
E.胸椎
121、判断题 逆行尿路造影时,前尿道显示较排泄性造影为宽。
122、多项选择题 下列哪些器官组织常被筛窦恶性肿瘤侵及()
A.眼眶
B.口腔
C.上颌窦
D.鼻腔
E.蝶窦
123、判断题 先天性肛门直肠畸形临床症状出现的早晚与畸形的类型有关。
124、多项选择题 影响骨代谢的因素包括()
A.食物中蛋白质和钙磷的含量
B.小肠和肾的功能
C.内分泌作用
D.维生素A、C、D
E.人体的运动和力的作用
125、单项选择题 单手正位摄片,中心线应垂直对准()
A.第2掌骨头
B.第3掌骨头
C.第3掌骨头基底部
D.第4掌骨头
E.第5掌骨基底部
126、单项选择题 下列胃肠道造影能证实能明确诊断胆系疾病是()
A.胆囊癌
B.胆囊腺肌增生症
C.胆道蛔虫
D.重复胆囊
E.慢性胆囊炎
127、单项选择题 下述不是肺水肿的X线表现的是()
A.肺水肿阴影可融合为蝶翼状大片阴影
B.有时伴有胸水
C.肺水肿多为两侧,但也有一侧的
D.阴影中见不到含气支气管影
E.由于造成肺水肿疾病的改善,阴影迅速吸收
128、判断题 骨质疏松严重者骨密度与周围软组织接近,骨小梁几乎完全消失。
129、单项选择题 唐氏(Down)综合征,又称()
A.21-三体综合征
B.奴南综合征
C.杜纳综合征
D.克氏综合征
E.5p综合征
130、单项选择题
女,26岁,体检发现右中肺野病变,胸片如图,最可能的诊断为()

A.肺错构瘤
B.肺动静脉瘘
C.周围型肺癌
D.肺结核球
E.肺转移瘤
131、单项选择题 软组织摄片中X线管阳极的靶面材料是下列哪项()
A.钨
B.铅
C.铜
D.铝
E.建筑材料
132、单项选择题
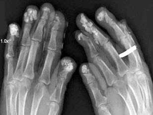
女,45岁,发现双手指无痛性肿大的结节20年,质硬,X线摄片示双手掌侧大小不等钙化影,境界清,软组织无明显肿胀,最可能的诊断是()
A.骨化性肌炎
B.钙质沉着病
C.痛风
D.以上均可能
E.以上都不可能
133、单项选择题 下列“脊柱先天畸形”中,哪项错误()
A.先天性斜颈
B.环椎枕化
C.枢椎齿状突缺如
D.椎弓崩裂
E.Klippel-Feil综合征
134、多项选择题 弥漫性肺间质纤维化常见于下列哪些疾病()
A.肺类风湿病
B.系统性红斑狼疮
C.皮肌炎
D.系统性硬皮病
E.风湿性肺炎
135、判断题 舌癌多发生于舌缘,以腺癌更为多见。
136、判断题 肺隐球菌病的慢性肺部病灶可为孤立性的大空洞,周围常有炎症反应。
137、单项选择题 上颌窦摄影,常规位置是()
A.柯氏位
B.瓦氏位
C.斯氏位
D.劳氏位
E.瑞氏位
138、单项选择题 气管隆突是指气管()
A.分叉部
B.分叉部偏左侧
C.分叉部上壁
D.分叉部右壁
E.分叉部下壁
139、多项选择题 肺动脉狭窄的X线表现有()
A.心脏大小正常或轻度增大
B.肺动脉段明显突向前上方
C.右肺门大于左肺门
D.主动脉结正常
E.肺血较少
140、问答题 地中海贫血的X线表现有哪些?
141、单项选择题 可复性食管裂孔疝的定性征象是()
A.胃、食管返流
B.膈上出现胃粘膜
C.食管胃环出现在膈上
D.胃、食管前庭段增宽
E.以上都不是
142、单项选择题
女,49岁,脐周疼痛近1月,大便有时稀。体检:脐周有压痛,结合图像,最可能的诊断为()

A.胃体炎
B.胃体癌
C.胃窦炎
D.胃窦癌
E.胃溃疡
143、单项选择题 下列疾患,不能由腹部平片诊断的是()
A.胆囊阳性结石
B.肠梗阻
C.慢性胰腺炎
D.消化道穿孔
E.小儿先天性肛门闭锁
144、多项选择题 常可发生少血管型肝转移的是()
A.平滑肌肉瘤
B.甲状腺癌
C.胃癌
D.肾癌
E.恶性淋巴瘤
145、单项选择题 心房间隔缺损主要X线征象是()
A.主动脉结缩小或正常
B.肺门舞蹈征
C.右心房增大
D.左心室增大
E.肺动脉段突出
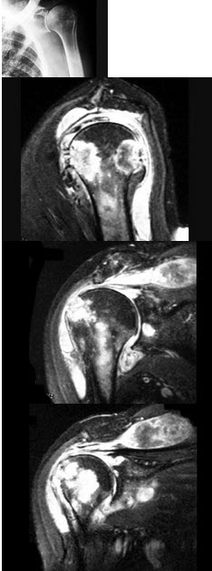
146、单项选择题
女,71岁,左肩痛,系统性红斑狼疮服用高剂量的类固醇半年,结合图像,最可能的诊断是()
A.化脓性关节炎
B.类风湿关节炎
C.骨纤维肉瘤
D.肱骨头缺血坏死
E.肩关节结核
147、多项选择题 可进行功能位检查的是哪些部位()
A.颈椎
B.下颌关节
C.胰腺
D.颞骨
E.胆囊
148、问答题 肺脓肿的X线表现有哪些?
149、单项选择题 急性化脓性骨髓炎的特征性X线表现为()
A.软组织充血、水肿
B.骨质破坏
C.骨质增生
D.死骨形成
E.软组织有窦道形成
150、单项选择题 关于肺脓肿,下列描述哪项不对()
A.葡萄球菌、肺炎双球菌为常见致病菌
B.常有高热、寒战、大量脓痰
C.多数急性空洞壁薄,内壁光整
D.邻近胸膜增厚,甚至脓胸形成
E.急性空洞常有液平面
151、单项选择题 肺静脉高压诊断的重要指征是()
A.间隔线出现
B.上肺静脉扩张
C.胸腔少量积液
D.钙化灶
E.含铁血黄素沉着
152、单项选择题 关于头颅应用解剖的叙述,错误的是()
A.头颅骨可分为脑颅骨和面颅骨
B.大多数头颅骨借骨缝连接
C.前后径为眉间至枕骨最远点的距离
D.横径是两侧颞鳞缝上缘间的距离
E.鼻窦位于脑颅中部
153、判断题 双侧膈肌位于同一平面上,说明一定有病变存在。
154、名词解释 颈静脉窝综合征
155、单项选择题 为了提高早期胃癌的诊断率,首选下列哪种检查方法()
A.充盈法
B.粘膜法
C.气钡双重造影
D.加压法
E.低张胃气钡双重造影
156、单项选择题 胸片上,正常肺门位于()
A.第1~3前肋内带
B.第2~4前肋内带
C.第4~6前肋内带
D.第5~7前肋内带
E.第7~9前肋内带
157、单项选择题 胸部摄片,中心线经()
A.第6胸椎入射
B.第7胸椎入射
C.第8胸椎入射
D.第9胸椎入射
E.第10胸椎入射
158、单项选择题 最容易损伤椎动脉的骨折部位是()
A.腰椎骨折
B.棘突骨折
C.横突孔骨折
D.胸椎骨折
E.颈椎椎体
159、单项选择题 旋转阳极X线管的代表容量是指三相六脉冲整流中,多少曝光时间所能承受的最大负荷()
A.0.05s
B.0.1s
C.0.5s
D.0.8s
E.1.0s
160、单项选择题 MPSI-H型的临床表现中,哪项正确()
A.出生后生长障碍,发病早
B.明显智力障碍
C.特征性面容,角膜混浊
D.X线骨骼主要为骨成形差
E.尿中含有大量DS和HS(基本比例为1:1)
161、多项选择题 移行椎尾侧移行的特点有()
A.第7颈椎横突过长
B.第1尾椎骶化
C.第1骶椎腰化
D.第4腰椎横突过长
E.第12肋骨过长
162、名词解释 充盈缺损
163、多项选择题 肺泡性肺水肿的X线征象有()
A.间隔线阴影
B.病变动态变化较快
C.胸腔积液
D.蝶翼征
E.上肺静脉扩张
164、单项选择题 下述有关骨软骨缺血坏死的命名组合中,哪项错误()
A.跗舟骨缺血坏死——Kōhler病
B.跖骨头骨骺骨缺血坏死——Freiberg病
C.腕舟状骨缺血坏死——Kienbōck病
D.胫骨结节缺血坏死——Osgood-schlatter病
E.股骨头骨骺缺血坏死——Legg-Perthes病
165、单项选择题 大剂量静脉尿路造影时,肾盏、肾盂、输尿管达到饱和程度的时间是注射开始后()
A.25~30分钟
B.6~10分钟
C.15~20分钟
D.11~14分钟
E.30~60分钟
166、单项选择题 特发性肺间质纤维化好发于()
A.肺门附近
B.上叶尖后段或下叶背段
C.胸膜下区
D.双下肺野
E.双肺弥漫分布
167、单项选择题 下列哪项为乳房癌的临床特征()
A.漏斗征
B.帐篷征
C.彗星尾征
D.晕圈征
E.酒窝征
168、单项选择题
男,58岁,咳嗽、发热1周余,无痰中带血,无胸痛,X线胸片如图,最可能的诊断是()

A.右上肺不张
B.右上肺结核
C.右上肺炎症
D.右上胸膜肥厚
E.右上肺癌
169、单项选择题 下列关于肺气肿的描述,错误的是()
A.胸片正常就可除外肺气肿
B.上叶肺血增加
C.膈顶变平
D.可有肺大泡
E.少数正常人也可出现肺体积增大、肺野透亮度增加等肺气肿类似表现
170、单项选择题 一般不引起右心房增大的是()
A.心肌病
B.风湿性心脏病,左房室瓣狭窄
C.先天性心脏病,房间隔缺损
D.风湿性心脏病,左房室瓣关闭不全
E.以上都是
171、判断题 慢性炎症所致的肺段或肺叶阴影常大于正常肺段肺叶。
172、单项选择题 在成人女性,平均宫腔容量为()
A.5ml
B.4ml
C.3ml
D.8ml
E.6ml
173、单项选择题 服装市场开发所采用的策略有价格规划、广告市场、购买力和()。
A.价格规划
B.广告市场
C.购买力
D.购买欲望
174、单项选择题 下列哪种疾患在食管的位置或形态上不发生变化()
A.左心房扩大
B.胸腺肥大
C.膈疝
D.食管静脉曲张
E.主动脉扩张
175、单项选择题 人体最大、最复杂的关节是()
A.踝关节
B.肩关节
C.髋关节
D.膝关节
E.肘关节
176、单项选择题
男,38岁,口干,多饮多尿消瘦2月,结合图像,最可能的诊断为()

A.正常表现
B.胃憩室
C.胃溃疡
D.胃窦炎
E.胃癌
177、单项选择题 发生率最高的“腕骨骨折”是()
A.舟状骨骨折
B.三角骨骨折
C.大多角骨骨折
D.月骨骨折
E.豆状骨骨折
178、单项选择题 不能显示跟骨影像的摄影体位是()
A.足正位
B.足侧位
C.全足正位
D.跟骨侧位
E.跟骨轴位像
179、单项选择题 下列X线防护知识,哪项不对 ( )
A.机房有用射线束朝向墙厚度:不低于2mm铅当量
B.机房侧壁、顶壁墙厚度:不低于1mm铅当量
C.铅围裙等个人防护用品:不低于0.125mm铅当量
D.控制台屏敝室防护能力:不低于0.25mm铅当量
E.球管、病人间距不小于35cm
180、填空题 股骨头骨骺缺血坏死影像学表现可分为________、_______、________和______4期。
181、多项选择题 有关胸膜的描述哪些是对的()
A.分四部分
B.斜裂胸膜面为一个平面
C.横裂内端止于肺门
D.有肺的部位必有胸膜
E.胸膜腔的界限和肺边缘是不一致的
182、单项选择题 下列新生儿正常胸片影像错误的是()
A.“船帆征”提示有胸腺瘤
B.心胸比例比成人大
C.左膈常比右膈高
D.外带无肺纹理
E.心尖不明显
183、单项选择题 食管贲门失弛缓症的典型X线表现是()
A.食管蠕动减弱
B.食管下端不规则狭窄
C.食管下端鸟嘴样或漏斗状狭窄
D.钡剂通过缓慢
E.食管极度扩张
184、单项选择题 Ebstein畸形的X线表现中,哪项错误()
A.右心房明显增大
B.左心房明显增大
C.三尖瓣下移畸形
D.肺血减少
E.肺动脉段平直或凹陷
185、单项选择题
女,77岁,发现右手部肿块2周,结合图像,最可能的诊断是()
A.肌内脓肿
B.多发性腱鞘囊肿
C.骨囊肿
D.血管瘤
E.以上都不是
186、问答题 心脏各房室增大的X线表现有哪些?
187、多项选择题 对于侧隐窝的描述,正确的有()
A.其前界是椎体和椎间盘的后缘,侧缘是椎弓根的内缘,后界是上关节突前内缘
B.侧隐窝是椎管内神经根通向椎间孔的部位又称神经管
C.侧隐窝前后宽度即椎弓根高度
D.测量侧隐窝宽度的正确方法是测量椎管前缘到关节突关节前内方的距离即可
E.侧隐窝的宽度若在5mm以上即不存在狭窄
188、单项选择题 “心脏局部出现矛盾运动”是下列哪种疾病的特点()
A.心肌炎
B.心包积液
C.室壁瘤
D.克山病
E.缩窄性心包炎
189、单项选择题 平静呼吸下屏气,常用于哪个部位的检查()
A.手
B.下肢
C.前臂
D.心脏
E.躯干
190、判断题 Crohn病好发生于回盲部,亦可发生于空、回肠。
191、单项选择题 多发性骨髓瘤的X线诊断,下列摄片部位选择哪个没有意义()
A.腰椎
B.肋骨
C.颅骨
D.长骨
E.骨盆
192、问答题 鼻咽部恶性肿瘤的X线表现有哪些?
193、单项选择题 关于一侧肺不张的影像特征,下列说法正确的是()
A.近肺底的横行条状致密
B.尖端指向肺门的三角形致密影
C.弥漫分布斑片状影
D.一侧肺致密影伴纵隔向患侧移位
E.3~5cm大小肿块影,伴“彗星尾”征
194、多项选择题 关于恶性骨肿瘤描述正确的有()
A.生长快,常侵及邻近组织
B.可发生肺部或骨转移
C.骨皮质或髓腔有破坏缺损区
D.与正常组织无明显界限,边界不清
E.骨膜常受累,呈葱皮状、针样、放射状、三角形
195、单项选择题 下列肿瘤性病变中,不属于椎管髓内肿瘤范畴的是()
A.室管膜瘤
B.血管母细胞瘤
C.星形细胞瘤
D.少突神经胶质瘤
E.神经纤维瘤
196、单项选择题 男性,50岁。有动脉粥样硬化病史。突然感到剧烈刀割样胸痛2小时,向背部放射。体检发现主动脉瓣区可闻及舒张期杂音。考虑为主动脉夹层可能。为显示病变段全貌,下列哪项检查方法较好()
A.透视
B.胸片
C.CT
D.MRI
E.DSA
197、单项选择题 摄片示“骨龄延迟”,则可除外()
A.Turner综合征
B.垂体功能亢进
C.营养不良
D.类固醇治疗
E.先天性绀型心脏病
198、单项选择题 多发性骨髓瘤的X线表现中,下列哪项不正确()
A.约10%~15%的病人,X线表现正常
B.多发、“穿凿样”骨质破坏以颅骨最常见最典型
C.常合并广泛骨质疏松
D.常合并骨质硬化
E.四肢短管状骨少见
199、问答题 原发性心肌病的X线表现有哪些?
200、单项选择题 人体各组织对X线的衰减,由大变小的顺序是()
A.骨、脂肪、肌肉、空气
B.骨、肌肉、脂肪、空气
C.脂肪、骨、肌肉、空气
D.肌肉、骨、脂肪、空气
E.肌肉、脂肪、骨、空气
201、填空题 最常见的三种小肠恶性肿瘤是________、_____________和____________,其发生部位与__________有关。
202、单项选择题 关于膈肌矛盾运动透视表现,正确的是()
A.吸气时,健侧膈肌下降,病侧上升
B.吸气时,健侧膈肌上升,病侧下降
C.呼气时,健侧膈肌上升,病侧下降
D.呼气时,健侧膈肌下降,病侧上升
E.以上描述都不是
203、单项选择题 上肢骨提携角的角度是()
A.5°角
B.5°~10°角
C.10°角
D.10°~15°角
E.15°~20°角
204、判断题 右中叶肺不张侧位呈底向前壁尖向肺门的三角形阴影。
205、单项选择题
男,63岁,进行性吞咽困难1月。食管钡餐示:食管下段粘膜不规则充盈缺损,管腔狭窄,贲门扩张欠佳。
病变侵及食管的()
A.粘膜层
B.粘膜下层
C.肌层
D.外膜
E.粘膜肌层
206、单项选择题
男,7岁,该患儿患有先天性脊柱畸形,根据所示图像,最可能的诊断是()
A.移行椎
B.阻滞椎
C.脊椎侧弯
D.半椎畸形
E.蝴蝶椎畸形
207、单项选择题
男,32岁,中上腹空腹痛,进食后缓解,剑突下轻度压痛,钡餐检查如图,最可能的诊断是()

A.十二指肠癌
B.十二指肠憩室
C.十二指肠球部溃疡
D.十二指肠节段性肠炎
E.十二指肠结核
208、单项选择题 大剂量静脉尿路造影,肾盏、肾盂、输尿管达到饱和程度的时间是注射开始后()
A.6~10分钟
B.10~15分钟
C.15~30分钟
D.45分钟
E.30~60分钟
209、单项选择题 与外科手术相比,人们容易接受介入治疗的主要原因在于()
A.安全可靠
B.并发症少
C.少创伤以至无创伤
D.术后效果好
E.术中时间短
210、单项选择题 关于卡氏肺囊虫病,下列观点哪项不对()
A.双侧发病
B.胸膜炎
C.弥漫性支气管肺炎
D.抗生素治疗效果不佳
E.可有空洞
211、单项选择题 法洛三联症的病理畸形是指()
A.肺动脉狭窄、右心室肥厚、主动脉骑跨
B.肺动脉狭窄、右心室肥厚、高位室间隔缺损
C.肺动脉狭窄、右心室肥厚、低位室间隔缺损
D.肺动脉狭窄、右心室肥厚、卵圆孔未闭或房间隔缺损
E.肺动脉狭窄、右位主动脉弓、卵圆孔未闭或房间隔缺损
212、多项选择题 下列属于纵隔结构的是()
A.肺动脉
B.左锁骨下动脉
C.半奇静脉
D.膈静脉
E.交感神经链
213、单项选择题 下列关于“霍奇金病”骨质改变,哪项错误()
A.可有椎旁软组织肿块
B.可由硬化型向溶骨型转变
C.放疗后,可由溶骨型向硬化型转变
D.椎体可呈硬化、膨大改变
E.肋骨溶骨型者不伴骨膨胀
214、判断题 X线诊断的结果,基本上都是肯定性诊断。
215、填空题 眼眶异物按异物吸收X线程度可分为__________、___________和_________。
216、名词解释 陈旧性关节脱位
217、多项选择题 输尿管的三个生理狭窄包括()
A.肾盂、输尿管连接处
B.膀胱入口处
C.与髂总动脉交叉处
D.平第3腰椎处
E.输尿管与精索交叉处
218、单项选择题 诊断肾动脉狭窄、肾动脉瘤等肾血管疾病的金标准为()
A.血管造影检查
B.CTA检查
C.MRA检查
D.DSA检查
E.MRI检查
219、单项选择题 目前世界公认的医学图像传输与存储的标准是()
A.ACR-NEMA1.0
B.ACR-NEMA2.0
C.DICOM3.0
D.HL7
E.TCP/IP
220、多项选择题 下列有关主动脉硬化的表现,正确的有()
A.由于升主动脉扩张,右心缘第一弓突出
B.主动脉钙化为线状,大多见于主动脉弓
C.降主动脉迂曲,多偏向左侧
D.左前斜位,主动脉弓向前向后上方移位,主动脉窗扩大
E.左心缘第一弓明显突出
221、单项选择题 下列类风湿关节炎的X线表现中哪项不正确()
A.关节肿胀
B.骨质疏松
C.关节间隙变窄
D.皮下组织钙化
E.纤维性骨性强直
222、名词解释 外骨痂
223、单项选择题 下列关于胸膜斑知识,哪项正确()
A.接触石棉15年左右出现
B.常累及壁层胸膜
C.10cm以上
D.多数厚度大于2cm
E.边缘模糊
224、多项选择题 骨髓瘤好发于下列哪些部位()
A.肱骨
B.脊椎
C.肋骨
D.骨盆
E.胸骨
225、单项选择题 X线管的代表容量又称()
A.热容量
B.额定容量
C.瞬时负荷
D.连续负荷
E.最大负荷
226、单项选择题
女,4岁,大便潜血(++),结合图像,最可能的诊断为()

A.正常表现
B.胃炎
C.胃溃疡
D.胃窦炎
E.胃癌
227、单项选择题 纵隔神经源性肿瘤的好发部位是()
A.后纵隔脊柱旁沟区
B.前下纵隔
C.中纵隔上部
D.中纵隔下部
E.前上纵隔
228、单项选择题 在立位透视时,节育环正常位置通常在()
A.与耻骨联合重叠
B.耻骨联合上2~5cm
C.耻骨联合上5~8cm
D.耻骨联合上8cm以上
E.耻骨联合下2~5cm
229、单项选择题 关于胆囊叙述不正确的是()
A.分颈、漏斗、体、底四部分
B.胆总管连于漏斗部
C.容积约40ml
D.服油餐后半小时胆囊开始缩小
E.服油餐后胆囊2小时内排空
230、配伍题 脾栓塞适应证()脾栓塞禁忌证()脾栓塞并发症()
A.败血症
B.原发脾亢
C.肝癌
D.肾衰
E.胰腺梗死
231、多项选择题 下列关于食管的描述,哪些是正确的()
A.一般食管全长为10~20cm
B.食管有二个生理狭窄区和三个压迹
C.老年人常见第三收缩波
D.第三收缩波常见于主动脉弓水平以下
E.食管原发蠕动波始于主动脉弓水平
232、单项选择题 男,12岁,发热头痛半月,右小腿肿痛20天,X线片示右小腿软组织肿胀,内有网状阴影,层次不清,胫骨上端骨质稀疏,骨小梁模糊,似有斑点状透明区,最可能的诊断是()
A.类风湿关节炎
B.尤文肉瘤
C.急性化脓性骨髓炎
D.骨肉瘤
E.右膝关节结核
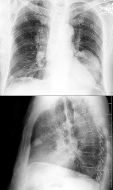
233、单项选择题
男,56岁,痰中带血1月余,X线检查如图,最可能的诊断是()

A.两肺炎症
B.肺转移瘤
C.血行播散型肺结核
D.细支气管肺泡癌
E.矽肺
234、单项选择题 不透光性肾结石的首选影像学检查方法是()
A.超声检查
B.腹部平片
C.CT扫描
D.MRI
E.IVP
235、单项选择题 下述“家族性结肠息肉病”临床特点,哪项正确()
A.罕有恶变
B.青年发病
C.好发于直肠
D.常染色体隐性遗传
E.常因腹部绞痛就诊
236、单项选择题 新生儿患者,生后即发现呼吸困难,胸部X线检查左侧膈肌升高至第3肋间,其下方是胃泡影,膈肌呈现矛盾运动,心脏纵隔移向对侧,可能的诊断是()
A.膈疝
B.膈膨升
C.胃扭转
D.肺不张
E.肺下积液
237、判断题 腹水型结核性腹膜炎常表现为肠曲间距增宽,小肠呈漂浮状。
238、单项选择题
男,63岁,进行性吞咽困难1月。食管钡餐示:食管下段粘膜不规则充盈缺损,管腔狭窄,贲门扩张欠佳。
最可能的诊断是()
A.食管下段炎症
B.食管下段溃疡侵及贲门
C.食管下段癌侵及贲门
D.食管下段静脉曲张
E.以上都不对
239、单项选择题 关于骨质软化,下列描述哪项错误()
A.骨密度减低
B.耻骨联合后凹畸形
C.假骨折线
D.骨小梁稀少,边缘模糊
E.骨皮质变薄,边缘模糊
240、单项选择题 关于“小肠Crohn病”影像的描述,错误的是()
A.环肠壁对称性侵犯
B.鹅卵石征
C.小肠多发狭窄
D.肠壁增厚
E.口疮样小溃疡
241、判断题 5岁以后股骨头骨骺的血液供应主要依靠外骺动脉和内骺动脉供血。
242、单项选择题 下列关于皮革状胃的X线征象,错误的是()
A.胃粘膜皱襞形态不变
B.胃腔缩小
C.幽门管多呈关闭状态
D.胃壁蠕动消失
E.食管可继发扩张
243、单项选择题 法洛四联征,不包括下列哪项()
A.室间隔缺损
B.主动脉骑跨
C.肺动脉狭窄
D.动脉导管未闭
E.右心室肥厚
244、单项选择题 下述肺动脉高压的诊断标准,错误的是()
A.肺动脉平均超2.66kPa即可诊断
B.肺动脉平均压>6.65kPa时为重度
C.肺动脉平均压在2.79~3.99kPa时为轻度
D.肺动脉平均压在4.12~6.65kPa时为中度
E.以上都不是
245、单项选择题 过敏性肺炎的X线特征是()
A.密度较低的云雾状影
B.病变可见与其重叠的肺纹理
C.病变不按肺段分布
D.病灶具有散在性和游走性
E.呈结节状和粟粒状
246、单项选择题 下列哪项不是心包积液典型X线表现()
A.部分病例可伴有不同程度的上腔静脉扩张
B.心缘搏动普遍显著减弱以致消失,主动脉搏动可正常
C.“心包层”增厚
D.短期内心影无变化
E.心影向两侧增大,呈“普大型”或球型
247、判断题 肺包虫囊肿病若外囊破裂并与支气管相通,即形成“水上浮莲”征。
248、单项选择题 关于下肢摄影,错误的是()
A.长骨长轴应平行于胶片长轴
B.与上肢等厚部位应略增kV
C.至少应包括一端关节
D.股骨近端不用滤线器
E.焦-片距通常多采用100cm
249、单项选择题 在平片上,蝶鞍增大和(或)破坏见于下列哪种情况()
A.垂体瘤、视交叉胶质瘤、颅咽管瘤
B.垂体瘤、颅咽管瘤
C.视交叉胶质瘤、蝶鞍或后组筛窦黏液囊肿或肿瘤
D.蝶鞍或后组筛窦黏液囊肿或肿瘤
E.以上都正确
250、多项选择题 在婴儿腹部立位片上见不到“双泡征”的疾病有()
A.环状胰腺
B.胎粪性肠梗阻
C.肥大性幽门狭窄
D.肠旋转不良
E.先天性十二指肠闭锁
251、单项选择题 下列关于自发性主动脉夹层的描述,错误的是()
A.常有高血压史
B.主动脉真腔变窄
C.病变范围较广泛
D.常伴强直性脊柱炎
E.升主动脉者一般要求手术
252、判断题 非骨化性纤维瘤少数病灶可以自愈。
253、名词解释 漏斗征
254、多项选择题
男,12岁,上腹痛1周,无规律,无黑便史。体检:剑突下有压痛,结合图像,最可能的诊断是()

A.正常表现
B.胃炎
C.十二指肠炎
D.十二指肠溃疡
E.十二指肠占位
255、单项选择题 以下对比剂的描述,哪项不正确()
A.低密度对比剂称为“阴性”对比剂
B.高密度对比剂称为“阳性”对比剂
C.非离子型对比剂的渗透压比离子型的低
D.非离子型对比剂比离子型安全
E.欧乃派克、优维显是常用的离子型对比剂
256、填空题 克氏(Klinefelter)综合征的典型体征为___________、___________和_____________。
257、单项选择题 小腿前后位摄片时,足的位置应为()
A.足尖垂直向上
B.足尖向上并内旋10°
C.足尖向上并内旋15°
D.足尖向上并外旋10°
E.足尖向上并外旋15°
258、多项选择题 下列疾病X线摄片诊断价值最高的是()
A.胰腺癌
B.肾结石
C.肠梗阻
D.阑尾炎
E.胆囊炎
259、单项选择题 下述肺血减少的X线影像,可不出现的是()
A.肺纹理纤细、减少
B.肺门搏动减弱
C.肺门影缩小
D.肺透亮度增加
E.心腰凹陷
260、单项选择题 下列哪一征象不支持纵隔肿瘤的诊断()
A.透视下见肿块随呼吸变形
B.透视下见肿块随呼吸上下移动
C.肿块最大径在纵隔内
D.肿块压迫气管
E.肿块外缘与纵隔交角呈钝角
261、单项选择题 下列胸部疾病不随深呼吸而变形的应是()
A.先天性肺囊肿
B.囊性畸胎瘤
C.肺包虫囊肿病
D.心包囊肿
E.神经纤维瘤
262、判断题 早期棉尘肺患者胸片即表现为慢性支气管炎征象。
263、单项选择题 关于钼靶X线机的结构的叙述,错误的是()
A.按乳房生理特征设计
B.阳极为散热性好的铜体上嵌以钼
C.阳极倾角为19°
D.阴极接地
E.线焦点
264、判断题 鼻窦内含有气体,所以鼻窦内粘膜较容易显示。
265、单项选择题
男,46岁,腹部不适多年,结合图像,最可能的诊断为()

A.正常空肠
B.空肠结核
C.克罗恩病
D.空肠多发憩室
E.空肠占位
266、单项选择题 “口服胆囊造影”,脂餐后胆囊正常收缩率为()
A.不缩小
B.20%左右
C.40%左右
D.≥50%
E.以上都错误
267、单项选择题 对骨巨细胞瘤和动脉瘤样骨囊肿的描述中,错误的是()
A.骨巨细胞瘤较多侵犯脊柱
B.两者放疗效果均好
C.骨骺板对动脉瘤样骨囊肿有限制作用
D.骨巨细胞瘤多发生于成熟期骨骼
E.动脉瘤样骨囊肿既见于生长期也见于成熟期骨骼
268、判断题 食管膈壶腹是正常的生理现象,表现为膈上4~5cm一段食管,管腔扩大呈椭圆形。
269、判断题 Turcot综合征是结肠腺瘤性息肉伴发脑部恶性肿瘤。
270、单项选择题
根据图像,最可能的诊断是()

A.肺气肿
B.慢性支气管炎
C.气胸
D.纵隔气肿
E.肺转移瘤
271、单项选择题 女,35岁,右肺上叶后段薄壁空洞,直径3cm,内有较小的液面,空洞周围肺内有渗出病变,右下叶及左肺中下野有多发斑片状渗出影,最可能的诊断是()
A.肺结核病(干酪性肺炎)
B.肺脓肿
C.血源性肺脓肿
D.空洞型肺癌
E.肺霉菌病
272、单项选择题 关于神经鞘瘤和神经纤维瘤的描述哪项错误()
A.组织来源不同
B.神经纤维瘤多为神经纤维瘤病的局部表现
C.神经鞘瘤可多发,恶变多见
D.4%~11%神经纤维瘤病并发神经纤维肉瘤
E.神经鞘瘤可通过椎间孔侵蚀到椎管外
273、名词解释 咽后脓肿
274、多项选择题 右心室流出道增宽,主要观察体位是()
A.后前位
B.右前斜位
C.左前斜位
D.左侧位
E.右侧位
275、判断题 结核性空洞壁外面整齐清楚,空洞内常无或仅有少量液体。
276、单项选择题 "外耳、中耳明显畸形伴颌面骨发育不良"被称为()
A.Dandy-Walker综合征
B.Treacher-Collins综合征
C.Von Recklinghausen病
D.Moya-moya病
E.Sturge-Weber综合征
277、填空题 骨转移瘤的X线表现可分为__________、________和__________,以_________多见。
278、判断题 Kerley线的出现可作为诊断间质性肺水肿的依据。
279、单项选择题 关于“肾血管平滑肌脂肪瘤”描述,错误的是()
A.孤立性肿瘤多见于女性
B.双侧多发者,常有皮脂腺瘤
C.DSA,肿瘤血供丰富
D.可伴发微小动脉瘤
E.常转移至肺
280、单项选择题 女,25岁,初产妇哺乳期,右乳腺疼痛2天,体温39℃,局部有明显压痛,诊断为急性乳腺炎,在诊断依据分析中,下列哪项是错误的()
A.哺乳期局部疼痛
B.局部有明显压痛
C.体温高
D.好发于初产妇
E.因病人局部皮肤不红,表皮温度较对侧升高不明显,诊断不能肯定
281、多项选择题 观察气液平面或腹腔内游离气体可采用()
A.腹部仰卧前后位
B.腹部仰卧水平侧位
C.腹部站立前后位
D.部俯卧后前位
E.腹部左侧卧后前位
282、名词解释 肾盂输尿管重复畸形
283、填空题 胆管囊状扩张分为______________、_________________、___________________、_____________________和___________________五种类型。
284、填空题 胃肉瘤以_________多见,其次为_________,少见者有_________、__________、_____________及________等。
285、问答题 绞窄性小肠梗阻的X线表现有哪些?
286、单项选择题 先天性肩胛骨高位症,正确的摄片体位是()
A.双侧腕关节正位
B.双侧踝关节正位
C.双侧肩关节正位
D.双侧肩胛骨正位
E.双肩锁关节正位
287、多项选择题 在胸片上表现为肺血增多的心脏病有()
A.室间隔缺损
B.三尖瓣闭锁不全
C.房间隔缺损
D.肺动脉狭窄
E.动脉导管未闭
288、单项选择题 我国1978年制订的肺结核病分类方法,将肺结核病分几类()
A.4类
B.5类
C.6类
D.7类
E.8类
289、多项选择题 骨膜内含有下述哪些组织()
A.血管
B.神经
C.淋巴管
D.成骨细胞
E.破骨细胞
290、单项选择题 甲状旁腺功能亢进的早期骨骼改变主要是()
A.骨质密度普遍减低
B.骨骼变形和病理性骨折
C.骨膜下骨吸收
D.骨内囊状透光区
E.以上都不是
291、单项选择题 关于肺隔离症的描述,下列哪项正确()
A.右侧比左侧常见
B.与支气管树相通较常见
C.如发生于叶内,通常见于婴儿
D.上叶与下叶的发生率相等
E.绝大多数血供来自腹主动脉
292、单项选择题 四肢长管状骨摄片时至少应包括()
A.长骨的两端
B.邻近两个关节
C.长骨的上端或下端
D.长骨的软组织
E.邻近一个关节
293、单项选择题 用胸片估计胸腔积液量,下列描述哪项不对()
A.微量积液:后肋膈角略钝
B.少量积液:液面低于第三前肋下缘
C.中量积液:液面低于第二前肋下缘
D.大量积液:液面超过第二前肋下缘
E.中量积液液面大于第四前肋上缘
294、单项选择题 属“生理积聚造影方法”的是以下哪种()
A.钡灌肠检查
B.IVU
C.钡餐检查
D.ERCP
E.PTC
295、单项选择题 梗阻以上结肠扩张,有宽大液平面,小肠轻度扩张,有少许液平面,最可能的诊断是()
A.单纯性结肠梗阻
B.绞窄性小肠梗阻
C.单纯性小肠梗阻
D.结肠扭转
E.肠套叠
296、单项选择题
出生6个月的男婴,摔地后右手红肿,结合CR片,正确的骨折类型是()
A.青枝骨折
B.横行骨折
C.斜行骨折
D.粉碎性骨折
E.压缩骨折
297、单项选择题 下列气管支气管病变影像特点描述,错误的是()
A.剑鞘状气管,气管扁平状,壁有钙化
B.支气管扩张,病变支气管囊柱状或葡萄状
C.气管软骨瘤,气管腔内软组织肿块
D.气管支气管软化症,气管、支气管狭窄
E.复发性多软骨炎,气管壁增厚、钙化、管腔狭窄
298、单项选择题 肺淤血在平片上表现为()(1)肺门增大,血管边缘清楚(2)肺门增大,结构不清,血管边缘模糊(3)肺血管普遍扩张,边缘模糊,呈条纹状(4)肺内血管成比例增粗,边缘锐利(5)上肺静脉增粗,下肺静脉变细
A.(1)(2)(3)
B.(1)(3)(5)
C.(2)(4)(5)
D.(2)(3)(5)
E.(1)(3)(4)
299、单项选择题 法洛四联征包括一组复杂的心血管畸形()
A.肺动脉狭窄
B.高位室间隔缺损
C.主动脉骑跨
D.右心室肥厚
E.以上都是
300、单项选择题 下述哪项为胰岛D细胞瘤()
A.生长抑素瘤
B.胰岛素瘤
C.舒血管肠肽瘤
D.胃泌素瘤
E.胰高血糖素瘤