时间:2025-09-25 05:46:12


1、单项选择题 下列哪项不属于CT扫描成像基本步骤()
A.产生X线
B.采集数据
C.重建图像
D.显示图像
E.图像后处理
2、单项选择题
根据所提供的图像,最可能的诊断是()
A.转移癌
B.肝癌
C.局灶性结节增生
D.血管瘤
E.肝脓肿
3、单项选择题 下列哪项不属颅脑平扫适应证的是()
A.颅内出血
B.脑梗死
C.脑萎缩
D.脑血管畸形
E.先天性无脑
4、单项选择题 “小膀胱征”多见于()
A.膀胱息肉
B.膀胱结石
C.膀胱结核
D.膀胱移行上皮癌
E.急性膀胱炎
5、单项选择题
根据所提供的图像,该患者的最可能的诊断为直肠()
A.直肠静脉曲张
B.直肠癌
C.直肠息肉
D.直肠淋巴瘤
E.直肠炎症
6、多项选择题
男,45岁,间断性腰背痛4个月,突发左下肢全肢水肿,小腿有张力性水泡,胸腹部CT扫描如图,下列哪些征象或结论正确()
A.下腔静脉缺如
B.下腔静脉变细
C.奇静脉增粗
D.奇静脉变细
E.正常CT表现
7、单项选择题 右下肺门的主要构成为()
A.右下肺动脉及下肺静脉
B.右下肺动脉及上下肺静脉
C.右下肺静脉及动脉(除后回归支外)
D.右下肺静脉及相应支气管、淋巴结
E.右下肺动脉
8、单项选择题 下列CT表现中,不支持颅内表皮样囊肿诊断的是()
A.病变位于桥-小脑角,相邻岩骨有侵蚀吸收
B.病变外形不规则,沿脑池“塑形”生长
C.病变呈明显环形强化,内部可见分隔
D.相邻脑白质水肿改变不明显
E.CT平扫,病变内呈水样不均密度
9、单项选择题 图像显示技术中,应用最多而且最重要的技术是()
A.黑白反转
B.放大
C.窗口
D.图像方向旋转
E.三维图像重建
10、单项选择题 决定CT机连续工作时间长短的关键指标是()
A.磁盘容量
B.电源容量
C.X线管阳极热容量
D.X线管焦点
E.计算机性能
11、单项选择题
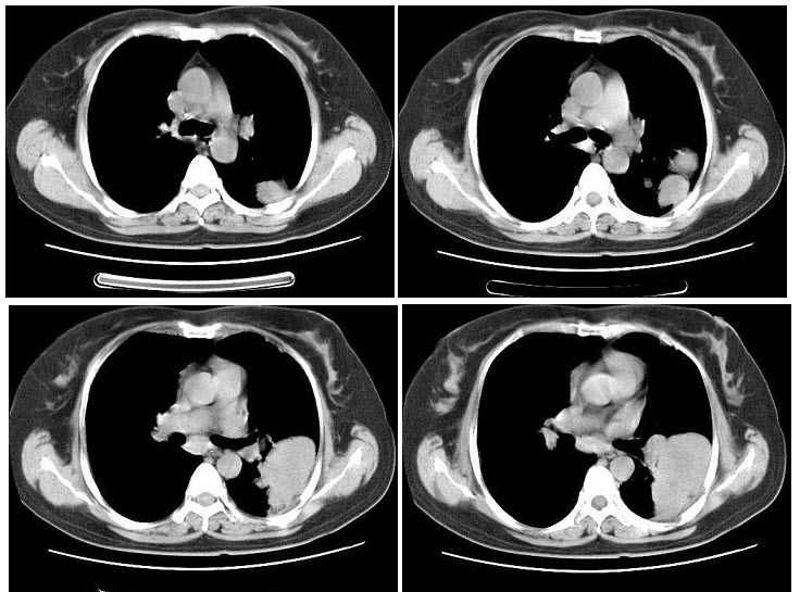
女,40岁,高热伴胸痛1周,CT如图,最可能的诊断是()
A.支气管囊肿
B.淋巴瘤
C.纵隔脓肿伴淋巴结反应性肿大
D.胸腺囊肿
E.恶性畸胎瘤
12、单项选择题 下列关于道格拉斯窝的描述,哪项是错误的()
A.后腹膜覆盖直肠前并反折形成陷窝
B.是指子宫直肠窝(女)或膀胱直肠窝(男)
C.积液时直肠与前方子宫/膀胱距离加宽
D.此窝与两侧直肠旁隐窝不相通
E.是腹腔积液的最低点
13、单项选择题 结核最常侵犯纵隔的()
A.气管右旁(奇静脉组)淋巴结
B.气管左旁淋巴结
C.气管隆突前淋巴结
D.食管旁组淋巴结
E.肺门淋巴结
14、单项选择题
女,34岁,反复咳嗽20余年,结合图像,最可能的诊断是()


A.左肺脓肿
B.肺炎
C.先天性支气管闭锁
D.支气管囊肿
E.肺隔离症
15、单项选择题
男,50岁,血便,大便形状改变,CT如图所示,最可能的诊断是()
A.直肠息肉
B.直肠内粪便
C.直肠癌
D.直肠腺瘤
E.直肠淋巴瘤
16、单项选择题 移植肾多位于()
A.原肾上方
B.原肾下方
C.左髂窝
D.右髂窝
E.原肾位置
17、单项选择题 急性胰腺炎增强扫描的主要目的是()
A.判断有无胰腺坏死灶及其范围,推断病变的程度
B.观察胰腺与十二指肠的关系
C.观察胰腺与肾前筋膜的关系
D.观察胰腺与结肠肝曲及脾曲的关系
E.观察胰腺与脾静脉的关系
18、单项选择题
根据所提供的图像,最可能的诊断是()
A.腹腔内动静脉畸形
B.肝硬化腹壁静脉曲张
C.下腔静脉阻塞
D.以上都有可能
E.以上都不是
19、单项选择题
女性,22岁,自觉右侧锁骨上窝处囊性肿块到医院就诊。CT增强扫描如图所示,最可能的诊断是()
A.海绵状血管瘤
B.腮裂囊肿
C.神经鞘瘤
D.淋巴结肿大
E.淋巴管瘤
20、单项选择题 将人的面颅分为三型的线是()
A.瞳间线鼻颏线及听眦线
B.听口线鼻颏线及听眦线
C.听眶线鼻颏线及听眦线
D.听鼻线鼻颏线及听眦线
E.额鼻线鼻颏线及听眦线
21、单项选择题 ①骨肉瘤、②软骨肉瘤、③纤维肉瘤、④脊索瘤、⑤Ewing瘤,其中可产生瘤骨的是()
A.①②④
B.①③⑤
C.①②⑤
D.①③④
E.①②③
22、单项选择题
男,47岁,右侧腰骶部、右髋部疼痛3年余,近期加重,无发热。根据骨盆平片及腰骶部、右髋CT平扫片,最可能的诊断为()
A.骨髓瘤
B.骨转移瘤
C.骨纤维异常增殖症
D.畸形性骨炎
E.骨结核
23、单项选择题 CT轴位图像上,关于鞍上池的描述,下列哪项是错误的哪项()
A.可以是四角形
B.可以是五角形
C.可以是六角形
D.其前部毗邻是额下回
E.垂体柄居鞍上池中部
24、单项选择题 CT成像的依据是()
A.横断面图像观察的特性
B.X线的吸收衰减特性
C.探测器的模数转换功能
D.多幅照像成像原理
E.多层面成像技术
25、单项选择题 下列关于脾梗死的描述,哪项说法是错误的()
A.多发生于脾边缘包膜下
B.梗死灶可出现增强
C.大小不等,单或多发
D.病灶基底部贴近被膜,尖端向脾门
E.梗死后可致脾轮廓变形
26、多项选择题
男,55岁,尿频,尿痛伴低热乏力1月。如图所示,下列说法正确的是()
A.左侧输尿管多发性狭窄
B.右侧肾积水
C.膀胱变形
D.左侧输尿管结核
E.左侧输尿管癌
27、单项选择题 胸膜凹陷征形成的病理基础是()
A.肿瘤瘢痕收缩
B.瘤内含气、扩张的细支气管
C.肿瘤内残存正常含气肺组织
D.肿瘤钙化或包埋原有钙化灶所致
E.癌细胞浸润及间质反应
28、多项选择题 关于肝囊肿的CT表现,正确的为()
A.单发或多发
B.圆形水样密度
C.边界光滑锐利
D.平扫囊壁一般不显示
E.增强扫描囊肿内无强化,囊壁强化而显影
29、多项选择题 平扫天幕与大脑镰可见V、Y、M形,幕上的病灶在()
A.V形外方
B.V形内侧
C.Y形内侧
D.M形内侧
E.M形外方
30、单项选择题
女,23岁,胸闷、气促1个月余,左侧锁骨上触及无痛性肿大淋巴结。胸部CT增强扫描片如图,最可能的诊断为()
A.淋巴瘤
B.肺动脉栓塞
C.右上肺肺癌
D.非侵袭性胸腺瘤
E.结节病
31、多项选择题 CT、MRI上有以下哪些表现,可提示胸腺瘤恶变()
A.肿瘤短期内明显增大
B.点状、曲线状钙化出现
C.肿瘤边界不清,向邻近组织浸润
D.轮廓不规则、分叶状
E.出现胸腔积液和胸膜肿瘤结节
32、单项选择题 70岁,女性,间断性咳嗽10余年,近来加重,有少量粘痰,CT扫描示双肺纹理增多,胸膜下区纹理更明显,呈网格状,结构欠清,肺内未见明显肿块影,最可能的诊断是()
A.慢性支气管炎
B.支气管扩张
C.间质性肺炎
D.特发性间质纤维化
E.矽肺
33、单项选择题 肺移植患者,有持久的咳嗽和体重减轻,正确的诊断是()
A.正常
B.曲霉菌病
C.淋巴瘤
D.肺癌
E.结核
34、单项选择题
女,38岁,有癫痫发作史,面部有皮脂腺瘤,结合CT检查,最可能的诊断是()

A.神经纤维瘤病
B.脑颜面部血管瘤病
C.脑囊虫病
D.结节性硬化
E.脑剪切伤
35、单项选择题 颅脑病变的非直接征象是()
A.脑室变形、正常结构移位、脑水肿
B.病灶增强,形态、中线结构移位
C.蛛网膜下腔增宽、骨质增生
D.脑室扩张、脑积水、病灶多发
E.病灶的结构、大小、密度
36、单项选择题 关于脾恶性淋巴瘤的CT表现,错误的是()
A.不均匀囊实性肿块边缘强化
B.边缘可不规则隆起
C.脾肿大
D.增强扫描结节显示清楚
E.多发或单发低密度结节
37、单项选择题
男,28岁,胸闷气急,伴干咳,查体见颈静脉显露,CT如图,最可能的诊断为()
A.心包肥厚
B.心包积液
C.心肌炎
D.贫血性心脏病
E.心包转移瘤
38、多项选择题
女,63岁,突发性肉眼血尿伴下腹胀,无外伤病史,左腰部叩击痛,CT扫描如图示,下列说法正确的是()
A.平扫左肾盂输尿管连接处可见高密度肿块影
B.增强后,肾实质强化明显而病灶处无强化,形成明显对比
C.病灶边缘光滑,清晰
D.考虑为肾盂血块
E.考虑为肾盂输尿管癌
39、单项选择题 膀胱癌最好发于()
A.三角区
B.膀胱底
C.后壁
D.顶部
E.侧壁
40、单项选择题 下列防护物质中,最理想的防护物是()
A.建筑材料
B.铅
C.铜
D.铁
E.铝
41、单项选择题 血管瘤的CT检查中,下列哪项征象描述不对()
A.球后肌锥内圆形、类圆形肿块、边界清楚
B.密度可因血窦和间质比例不同而异
C.部分可有斑点状或圆形高密度钙化
D.增强检查肿瘤强化明显
E.肿瘤较大可压迫眶骨变形,骨质破坏
42、单项选择题 下面哪种CT征象最有助于中耳胆脂瘤诊断()
A.鼓膜增厚内陷
B.中耳腔扩大
C.外耳道棘破坏
D.中耳内软组织影
E.听骨链移位
43、单项选择题 在肝内胆管结石和钙化灶鉴别时,不支持前者的是()
A.肝内见沿胆管走向分布的强回声团
B.强回声团后方伴声影
C.树枝状分布的强回声团,并所在肝叶萎缩
D.强回声团近端胆管扩张
E.肝实质内远离门静脉的强回声斑,周围无扩张的胆管
44、单项选择题 骨样骨瘤瘤巢直径一般不超过()
A.0.5cm
B.1.0cm
C.1.5cm
D.2.0cm
E.2.5cm
45、单项选择题 男,65岁,腰背痛3个月,尿本—周蛋白质阳性,CT示腰椎多个椎体有大小不等的圆形或不规则低度病灶,首先考虑()
A.转移瘤
B.血管瘤
C.多发性骨髓瘤
D.淋巴瘤
E.骨质疏松
46、单项选择题 关于肾囊肿的CT表现,错误的是()
A.圆形或椭圆形,边缘光滑
B.注射对比剂轻度强化
C.囊肿和肾实质分界锐利清楚
D.囊内密度均匀接近水
E.囊肿壁很薄不能测出
47、单项选择题 下面哪项不是颅脑扫描技术()
A.平扫
B.增强扫描
C.脑血管造影
D.脑血流灌注
E.脑池碘水造影
48、单项选择题
患者白血病,病史长,结合图像,最可能的诊断为()
A.脓肿
B.淋巴瘤
C.胃肠道间质瘤
D.神经纤维瘤
E.以上都不是
49、单项选择题 有关腰椎椎管CT检查和测量,错误的是()
A.前后径指测量椎体后缘中点至棘突基底部中线部位的距离
B.横径指测量两椎弓根内缘之间距离
C.前后径正常范围在15~20mm
D.横径正常范围在20~30mm
E.CT增强扫描较平扫更精确
50、单项选择题 下面对颅脑CT后处理技术应用正确的是()
A.颅脑CT图像常用软组织窗摄影
B.观察脑时用窗宽80~100HU,窗位35HU左右
C.骨窗的窗宽1500~2000HU,窗位300~500HU
D.观察软组织时用窗宽400~500HU,窗位30~60HU
E.疑桥小脑角区病变者用窗宽80~100HU,窗位35HU左右
51、单项选择题 下列脑囊虫病CT特点的描述,错误的是()
A.多发钙化型:钙化周围水肿明显,增强扫描呈明显强化
B.多发小囊型:在半球区有多发散在小圆形或卵圆形低密度影
C.多发结节型:增强扫描低密度影出现结节或环状强化
D.单发大囊型:脑内圆形、椭圆或分叶状的低密度影
E.急性脑炎型:全脑肿胀,脑室小,增强扫描无强化
52、单项选择题 结节性硬化的钙化特征是()
A.侧脑室周围,室管膜结节状钙化
B.脑内宽大全层脑回状,齿状或曲线状钙化
C.毛线团样或簇状钙化
D.局限性斑块状钙化
E.基底节区斑片状钙化
53、单项选择题 以下哪一代CT,其探测器排列成圆环且固定,仅X线管旋转()
A.第一代CT机
B.第二代CT机
C.第三代CT机
D.第四代CT机
E.第五代CT机
54、单项选择题 关于子宫肌瘤的CT表现,下列哪项说法是错误的()
A.子宫分叶状增大或呈外突的实性肿块
B.宫旁脂肪层多存在
C.肌瘤坏死可形成囊性低密度区
D.增强扫描实性肿块不增强
E.长期存在的肌瘤可发生钙化
55、单项选择题
结合图像,最可能的诊断为()
A.淋巴瘤
B.胃腺癌
C.卵巢癌
D.间皮瘤
E.以上都不是
56、单项选择题 腹膜后良性肿瘤中不包括()
A.脂肪瘤
B.平滑肌瘤
C.脂肪肉瘤
D.异位嗜铬细胞瘤
E.淋巴管瘤
57、单项选择题
男,75岁,吞咽有梗阻感,消瘦、乏力、中上腹痛,影像检查如图,最可能的诊断是()
A.食管癌
B.胃窦癌
C.贲门癌
D.慢性胃炎
E.胃淋巴瘤
58、多项选择题 动脉瘤样骨囊肿CT表现为()
A.病变呈囊状膨胀性骨破坏,骨壳菲薄
B.破坏区内可见多个含液囊腔
C.可见液液平面
D.囊腔间隔为软组织密度,并可见钙化和骨化
E.增强扫描囊间隔无强化
59、单项选择题 男性,28岁,腹痛呕吐。CT示胰腺弥漫增大,结构不清,胰周有较多渗液,部分包裹,结构不清,局部可见气泡影,诊断()
A.急性水肿性胰腺炎
B.急性坏死性胰腺炎
C.急性胰腺炎,假囊肿形成
D.急性胰腺炎,脓肿形成
E.急性胰腺炎,伴有出血
60、单项选择题 眼球异物定位检查的注意事项,错误的()
A.摄片体位正确
B.尽量采用小照射野
C.尽量使眼-片距加大
D.选用干净无破损的增感屏
E.必须使用滤线设备
61、单项选择题 CT设备中,气体探测器主要采用()
A.氮气
B.氢气
C.氖气
D.氧气
E.氙气
62、单项选择题 马蹄肾的影像学表现中,下列哪项不正确()
A.双肾轴线异常
B.双侧肾盂旋转不良
C.峡部位于腹主动脉、下腔静脉与肠系膜上动脉之间
D.峡部位于腹主动脉与下腔静脉的前方
E.峡部不含有肾实质组织
63、单项选择题 肾上腺转移癌最常来自()
A.肝癌
B.胃癌
C.结肠癌
D.肺癌
E.乳腺癌
64、单项选择题 CT与MRI相比,主要优势是下列哪项()
A.无射线损伤
B.造影剂安全系数较大
C.对钙化和骨质结构敏感
D.直接多轴面成像
E.化学成像,信息量大
65、单项选择题 真菌性鼻窦炎较具诊断意义的征象为()
A.窦腔密度增高
B.窦腔软组织肿块
C.都比骨质破坏
D.窦腔软组织块内的钙化斑点或斑块
E.以上都不是
66、单项选择题 关于颅脑扫描基线和应用,错误的是()
A.听眦线是外耳孔与眼外眦的连线
B.头部CT检查常以此听眦线作为扫描基线
C.听眉线是眉上缘的中点与外耳道的连线
D.经听眉线扫描的图像对眼窝、中颅凹和后颅凹上部显示较好
E.听眶线是眶下缘与外耳道的连线
67、单项选择题
男,56岁,食管癌术后,胸痛,呼吸困难,结合CT图像,最可能的诊断是()
A.食管癌肺转移
B.肺栓塞
C.支气管扩张
D.肺水肿
E.肺不张
68、单项选择题 有关颞骨矢状扫描体位摆法中,叙述错误的是()
A.患者俯卧
B.头向一侧旋转枕于20°头架上
C.矢状面前后对应点距床面等距
D.扫描架向头侧倾斜20°,平行矢状面
E.球管围绕头颅前后轴旋转
69、单项选择题 不符合化脓性脑膜炎CT表现的是()
A.基底池密度增高
B.增强后脑膜强化
C.脑室壁强化
D.脑实质内片状低密度区
E.脑室扩大
70、多项选择题
男,65岁,反复发作的下腹部疼痛向会阴部放射伴血尿1年余,CT如图所示,下列说法正确的是()
A.左肾位置形态无异常
B.右肾窝内未见肾影,于盆腔入口处L5~S1水平见异位肾影
C.左侧输尿管在膀胱入口处可见一高密度结石影
D.左侧输尿管扩张
E.考虑为先天性异位肾合并对侧输尿管下端结石
71、单项选择题 颅内动静脉畸形CT平扫,一般可为高、等、低三种密度。低密度是指()
A.胶质增生
B.尚未钙化的血栓
C.梗死区及脑萎缩的脑脊液充填区
D.周围水肿
E.脑实质
72、单项选择题 在扫描过程中,被扫部位随意和不随意的运动,可产生哪种伪影()
A.移动条纹伪影
B.帽状伪影
C.杯状伪影
D.环状伪影
E.以上都可以
73、单项选择题 多血供性肝转移者,原发灶常为()
A.肺癌
B.胃腺癌
C.结肠癌
D.肾癌
E.乳腺癌
74、单项选择题
女,25岁,上腹疼痛不适,低热,有阿米巴痢疾病史,CT检查发现肝右叶低密度病变,如图,最可能的诊断是()
A.原发性肝癌
B.肝血管瘤
C.肝错构瘤
D.阿米巴肝脓肿
E.肝转移癌
75、单项选择题
女,52岁,左侧背痛1月,胸部CT如图,最可能的诊断为()
A.左肺中央型肺癌
B.左肺周围型肺癌
C.左肺感染
D.左肺炎性假瘤
E.肺隔离征
76、单项选择题 下列哪项疾病容易发生腹膜腔种植转移()
A.宫颈癌
B.卵巢癌
C.宫体癌
D.直肠癌
E.子宫肌瘤
77、单项选择题 周围型肺癌检查应首选()
A.CT
B.MR
C.超声
D.核素
E.血管造影
78、单项选择题 正常生理性基底节钙化主要分布在()
A.尾状核头部
B.尾状核体部
C.壳核
D.红核
E.苍白球
79、单项选择题
女,73岁,中上腹痛1月余,患者黄疸、消瘦,CT检查如下图,最可能的诊断是()
A.肝脓肿
B.巨块型肝癌
C.肝血管瘤
D.肝淋巴管瘤
E.肝胆管细胞癌
80、单项选择题 肾盂积脓病人的影像检查,显示梗阻原因和部位以及并发症的最佳方法是()
A.B超
B.CT
C.IVP
D.MRI
E.X线平片
81、单项选择题 肝细胞癌CT表现,错误的是()
A.肝实质内出现孤立的界限清楚的占位性病变
B.肝实质内见多发的界限清楚的占位性病变
C.增强动脉期显著增强静脉期密度最低平衡期为低密度
D.动脉期为低密度静脉期为高密度迟延扫描仍为高密度
E.肝实质内呈弥漫的界限不清的浸润性病灶
82、单项选择题 儿童小脑半球占位性病变,首先考虑()
A.血管母细胞瘤
B.髓母细胞瘤
C.生殖细胞瘤
D.星形细胞瘤
E.室管膜瘤
83、单项选择题 髓鞘形成异常病不包括()
A.脱髓鞘病
B.异染性脑白质营养不良
C.肾上腺脑白质营养不良
D.海绵状变性
E.髓鞘形成不足
84、单项选择题
男,25岁,外伤后行CT检查,最可能的诊断为()
A.脑膜瘤
B.脑挫裂伤
C.蛛网膜下腔出血
D.硬膜下血肿
E.硬膜外血肿
85、单项选择题 鳞癌的特点,错误的是()
A.男性多见
B.易形成空洞
C.中央型多见
D.多同时伴淋巴转移
E.血行转移早
86、单项选择题 转移瘤的常见CT表现不包括()
A.病灶多发
B.瘤周显著水肿
C.易出血、坏死
D.可见不同形式的强化
E.常见钙化
87、单项选择题 CT扫描示一侧球后肌锥内类圆形肿块,边缘光滑,眶壁受压扩大,增强扫描、病变随时间延长强化更明显,最可能的诊断为()
A.炎性假瘤
B.视神经胶质瘤
C.海绵状血管瘤
D.神经鞘瘤
E.脑膜瘤
88、单项选择题 颅脑CT扫描的扫描基线不包括()
A.听眦线
B.听眉线
C.听眶线
D.听鼻线
E.眶耳线
89、单项选择题 关于第六脑室的描述,不列哪项是错误的()
A.又称“Vergae”腔
B.透明隔向后延伸
C.脑脊液密度
D.位于第三脑室体部中间
E.与脑室相通
90、单项选择题 肾外伤不包括()
A.肾周血肿
B.包膜下出血
C.肾盂积血
D.肾挫伤
E.肾撕裂或肾断裂
91、多项选择题 下列关于“五腔心”层面描述,正确的是()
A.“五腔心”层面即为左心室流出道层面
B.此层面可见主动脉窦
C.可见左、右心房
D.可见左、右心室
E.可见下腔静脉
92、单项选择题
男,33岁,腹部外伤后2月余,腹部疼痛,行CT扫描所见如图,最可能的诊断是()
A.急性胰腺炎
B.慢性胰腺炎
C.胰腺创伤性假性囊肿
D.畸胎瘤
E.腹腔包裹性积血
93、单项选择题 CT和MRI上骨破坏区显示液.液平面,常见于()
A.动脉瘤样骨囊肿
B.内生软骨瘤
C.骨样骨瘤
D.骨纤维异常增殖症
E.骨肉瘤
94、单项选择题 关于面神经管第二段表述,错误的是()
A.又称水平段
B.也称为迷路段
C.位于中耳内
D.位于外半规管以下
E.冠状位CT上可以显示
95、多项选择题 CT的硬件构成包括()
A.扫描架
B.X线发生器
C.数据采集系统
D.数据处理系统
E.检查床
96、单项选择题
男,56岁,腹部包块伴高血压,CT扫描如图所示,下列说法错误的是()
A.双肾体积明显增大
B.双肾内可见多个大小不等的囊性病灶,呈蜂窝状改变
C.肝内可见多个大小不等的囊性病灶
D.考虑为多囊肾、多囊肝
E.考虑为双肾多发单纯性囊肿
97、单项选择题 判断纵隔淋巴结肿大的标准是()
A.横径≥1cm
B.横径>0.5cm
C.长径>1cm
D.长径>0.5cm
E.长径等于1cm
98、多项选择题 骨巨细胞瘤的典型CT征象包括()
A.多数肿瘤的骨壳并不完整连续,但无包壳外的软组织肿块
B.骨壳内面凹凸不平,肿瘤内并无真正的骨性间隔
C.肿瘤内密度不均,有时可见液平
D.肿瘤与松质骨交界多清楚,但无骨质增生硬化
E.清楚显示肿瘤周围的软组织情况及与周围神经、血管的关系
99、多项选择题 属于喉炎性肉芽肿的是()
A.韦格肉芽肿
B.梅毒性肉芽肿
C.外伤后肉芽肿
D.组织胞浆菌病
E.结核性肉芽肿
100、单项选择题 脑脓肿CT表现第三期脓肿壁形成早期是()
A.4~5天
B.5~8天
C.8~10天
D.10~14天
E.14~18天
101、单项选择题 肾上腺腺瘤的CT表现,下列说法错误的是()
A.多数为双侧发病
B.引起原醛症的瘤体较小(1~3cm)
C.皮质醇症的瘤体稍大(2cm以上)
D.类圆形、边缘光滑、清楚、密度均匀
E.注射对比剂后,瘤体轻度增强
102、多项选择题 与X线平片比较,CT显示以下哪一种骨的病变较好()
A.尺骨
B.腕骨
C.股骨
D.跖骨
E.骨盆
103、单项选择题 关于喉囊肿CT表现,下列说法哪项不对()
A.若伴发感染时CT值可升高
B.囊内若为气体,则呈极低密度
C.囊内若为液体,则为水样CT值
D.囊内同时含有气体和液体,可见到气液平面
E.与喉室不相通的囊状结构
104、单项选择题
男,28岁,外伤后1小时,胸部CT如图,最可能的诊断为()
A.肺炎
B.肺脓肿
C.肺囊肿
D.肺癌
E.双肺挫伤
105、单项选择题
男,24岁,四肢细长,蜘蛛指,肌张力降低,结合图像,最可能的诊断是()
A.软骨发育不全
B.骨斑点症
C.马方综合征
D.神经纤维瘤病
E.特发性骨质溶解症
106、单项选择题 易合并恶性胸膜间皮瘤的尘肺见于()
A.矽肺
B.煤矽肺
C.铁矽肺
D.石棉肺
E.滑石肺
107、单项选择题 肾盂癌的CT表现,正确的是()
A.肾实质内肿块
B.肿瘤明显增强
C.肾脏外形常发生变化
D.不易出现肾盂肾盏积水
E.CT对肿瘤的分期诊断价值较大
108、多项选择题 肝脓肿CT扫描所出现的“靶征”可以是()
A.无环
B.单环
C.双环
D.三环
E.以上都不是
109、单项选择题 CT诊断前列腺增生的标准是()
A.超过耻骨联合上缘
B.超过耻骨联合上缘10mm
C.超过耻骨联合上缘15mm
D.超过耻骨联合上缘20~30mm
E.超过耻骨联合上缘30~40mm
110、多项选择题
男,73岁,呼吸急促半天,CT扫描如图,正确的描述或诊断是()
A.冠状动脉壁可见钙化影,右侧明显
B.右侧冠状动脉局限性梭形扩张
C.心包肥厚
D.右侧冠状动脉瘤
E.左侧冠状动脉瘤
111、多项选择题 关于肾上腺结核,正确的说法有()
A.继发于身体其他部位的结核
B.常为双侧性
C.肾上腺增大、变形、密度不均
D.可形成脓肿
E.可出现不规则钙化
112、多项选择题 关于肾上腺增生,正确的说法是()
A.CT检查是诊断肾上腺增生的首选影像学检查方法
B.CT的软组织分辨率较高,可以显示软组织成分
C.MRI判断肾上腺病变内的组织成分好于CT,是CT检查的必要补充
D.超声检查是婴幼儿肾上腺异常的首选影像学检查方法
E.MRI空间分辨率高,可以发现小病灶
113、单项选择题
根据所提供图像,最可能的诊断是()
A.骨髓炎
B.骨梗死
C.蜂窝织炎
D.以上都有可能
E.以上都不是
114、单项选择题
女,35岁,咳嗽,咳痰,发热3月余,胸部CT如图,最可能的诊断为()
A.类风湿肺炎
B.红斑狼疮性肺炎
C.间质性肺炎
D.肺结节病
E.肺部感染
115、单项选择题 星形细胞瘤分四级,属Ⅰ级星形细胞瘤的是()
A.常无增强
B.花环状增强
C.团状增强
D.瘤周水肿明显
E.有占位效应
116、单项选择题
结合图像,最可能的诊断为()
A.肝局灶性脂肪肝
B.肝硬化
C.肝癌
D.布-加综合征
E.脂肪肝
117、多项选择题 关于前列腺的说法正确的有()
A.后方借直肠膀胱陷凹与直肠壶腹相邻
B.位于膀胱颈和尿生殖膈之间
C.尿道自底的前部穿入
D.射精管自底的后部穿入
E.周围有前列腺囊和鞘包裹
118、单项选择题
女,51岁,双髋部持续性隐痛1月余,结合影像学检查,最可能的诊断是()
A.骨转移瘤
B.化脓性骨髓炎
C.股骨头缺血坏死
D.骨巨细胞瘤
E.骨囊肿
119、多项选择题 关于继发型肺结核,下列说法正确的是()
A.在我国分类法中属于Ⅵ型
B.好发于肺尖区、上叶尖后段及下叶背段
C.病变形式多样,其中包括干酪性肺炎、结核性空洞、支气管播散性结核、结核球、慢性纤维空洞型结核等
D.该型是成年组多见的结核,均是内源性感染
E.肺内已经静止的结核病灶,不会引起继发型肺结核
120、单项选择题 男,8岁,头痛,CT示小脑桥脑角池,桥前池,右侧大脑角池,脚间池和鞍旁不规则的低密度病变无增强,最可能的诊断是()
A.皮样囊肿
B.蛛网膜囊肿
C.表皮样囊肿
D.脑萎缩
E.脑囊虫病
121、单项选择题 世界上第一台CT的制成时间是()
A.1956年
B.1962年
C.1972年
D.1982年
E.1976年
122、单项选择题 下面对耳部CT扫描技术的叙述错误的是()
A.横断位扫描,两外耳孔与床面等距
B.颞骨横断位扫描常用0°和30°断面
C.0°轴位扫描时,头稍仰,使听眶线与床面垂直
D.30°轴位扫描时,头稍前屈,使听眉线与床面垂直
E.扫描范围从外耳道下缘至眼眶上缘
123、多项选择题 关于肾细胞癌的影像学诊断方法选择,哪些是错误的()
A.CT检查是首选
B.CT检查不明确者,可做MRI检查,以明确诊断及肿瘤分期
C.超声检查仅作为一种筛查手段
D.肾动脉血管造影一般用于术前了解肿瘤血管的解剖、肿瘤动脉有无栓塞
E.尿路造影诊断价值较大,亦较常应用
124、单项选择题 关于螺旋CT扫描优点的描述,下列哪项不正确()
A.减少图像的运动伪影
B.明显提高空间分辨率
C.可动态扫描
D.减少患者的辐射量
E.缩短扫描时间
125、单项选择题 下列关于脾血管瘤的错误说法是()
A.边缘钙化常为薄蛋壳样
B.可以有大小不等的囊变区
C.均匀的低或高密度肿块
D.增强扫描肿块明显增强
E.常合并肝硬化和脾静脉曲张
126、单项选择题 下列骨关节疾病,除哪项外,均可见关节内游离体()
A.滑膜骨软骨瘤病
B.退行性骨关节病
C.非骨化性纤维瘤
D.神经性关节病
E.色素沉着绒毛结节性滑膜炎
127、单项选择题 CT的成像方式是()
A.透射成像
B.荧光成像
C.银盐成像
D.光电转换
E.数据重建
128、单项选择题 通常认为内耳道宽度小于多少为狭窄()
A.5mm
B.3mm
C.8mm
D.1mm
E.10mm
129、单项选择题 下列哪项不是引起输尿管梗阻的常见原因()
A.输尿管结石
B.输尿管肿瘤
C.输尿管炎性狭窄
D.下腔静脉后输尿管
E.输尿管结核
130、单项选择题
女,35岁,无特殊临床表现,根据CT图像,最可能的诊断()
A.多囊肾
B.多发性肾囊肿
C.复杂性肾囊肿
D.囊性肾癌
E.单纯性肾囊肿
131、单项选择题 中颅窝脑膜瘤是()
A.球形肿瘤
B.脑外肿瘤
C.良性肿瘤
D.恶性肿瘤
E.脑内肿瘤
132、单项选择题
根据所提供的图像,最可能的诊断是()
A.胃平滑肌瘤
B.胃癌
C.胃溃疡
D.胃淋巴瘤
E.以上都不是
133、单项选择题 男性脑转移瘤最多来自于哪种原发肿瘤()
A.结肠癌
B.乳腺癌
C.胃癌
D.肺癌
E.甲状腺癌
134、单项选择题 关于Ⅲ型肝包虫病CT扫描的影像特点是()
A.单纯囊肿,无子囊,钙化少见
B.子囊多,内囊常分离,常有钙化
C.实质性钙化灶,含少量囊性组织
D.有少数子囊
E.合并有脾脏,腹腔内多发囊性病变
135、单项选择题
男,31岁,急性腹痛、上腹部压痛反跳痛,腹肌紧张,CT扫描如图,最可能的诊断是()
A.上消化道穿孔
B.腹腔积液
C.气胸
D.间位结肠
E.肠梗阻
136、单项选择题 下述“卵巢囊性病变”影像,不正确的是()
A.CT能准确区分浆液性、粘液性囊腺瘤
B.滤泡囊肿多小于3cm
C.单纯囊肿多为单房性
D.单纯囊肿多小于5cm
E.多囊卵巢病,双侧卵巢常同时受累
137、单项选择题 多发性硬化的诊断要点,下列描述哪项不对()
A.60岁多见,男性居多
B.脑内多发脱髓鞘病变
C.病灶不大,多位于脑室旁
D.水肿及占位征轻
E.急性期或有恶变时,病灶可强化
138、单项选择题 过敏性鼻炎和鼻窦炎的影像学特点,错误的是()
A.息肉常见
B.急性期上颌窦粘膜呈分叶状
C.慢性期可见粘膜下囊肿
D.双侧粘膜肿胀,少见积液
E.蝶窦内为息肉好发区
139、单项选择题
男,56岁,间歇性血尿半年余,根据所示图像,最可能的诊断是()
A.膀胱结石
B.膀胱血块
C.膀胱结核
D.膀胱癌
E.膀胱息肉
140、单项选择题 黄韧带增厚、钙化主要引起()
A.脊髓受压
B.神经受压
C.椎管狭窄
D.椎板受压
E.椎间孔狭窄
141、多项选择题 颈动脉海绵窦瘘CT表现()
A.病侧眼球突出
B.横断面上呈粗大圆点状,冠状面上呈弯条状
C.在眼球上方横断层面上呈弯条状,可增强血管影
D.眼外肌普遍性中度增厚
E.冠状面上与上直肌下内方,呈粗大圆点形高密度影
142、单项选择题 44岁男性,上腹隐痛2月。CT示胰头肿大,密度尚均匀,肝内外胆管无明显扩张,半年后随访,病无明显变化,最可能的诊断是()
A.胰头炎
B.胰头癌
C.胆总管结石
D.十二指肠憩室炎
E.胆管炎
143、单项选择题 有关肝多房棘球蚴病的描述,错误的是()
A.可有血行、淋巴播散
B.囊泡的角皮质层相对较完整
C.大囊肿性病变边缘增强部分为炎性肉芽组织
D.病变边缘部分有星环状拉列的细颗粒状、多结节状或块状钙化
E.可表现为伴有钙化的实质性病变
144、单项选择题 CT平扫,肝脏密度一致性增高,最可能的诊断是()
A.肝淋巴瘤
B.弥漫性肝癌
C.血色病
D.肝脓肿
E.脂肪肝
145、单项选择题 下列腹膜后间隙恶性肿瘤中最常见的是()
A.淋巴瘤
B.脂肪肉瘤
C.平滑肌肉瘤
D.恶性纤维组织细胞瘤
E.类癌
146、单项选择题
女,25岁,颈部疼痛2年。CT示颈5右侧椎旁有一2cm×3cm软组织密度肿块,呈“哑铃”形,颈5~6右侧椎间孔扩大,诊断为()
A.神经源性肿瘤
B.淋巴瘤
C.巨细胞瘤
D.转移瘤
E.椎间盘突出
147、单项选择题
男,43岁,左下腹痛不适1月余,结合图像,最可能的诊断是()
A.结肠癌
B.淋巴瘤
C.腹膜后肉瘤
D.转移癌
E.畸胎瘤
148、单项选择题 Caroli病又称为()
A.硬化性胆管炎
B.多发肝囊肿
C.先天性肝内胆管囊肿
D.多囊肝
E.慢性胆囊炎
149、多项选择题 急性咽部脓肿常表现为()
A.椎前软组织一致性肿胀
B.咽后壁软组织呈弧形膨隆
C.可见骨质破坏,椎间隙变窄
D.生理曲度变直或后突
E.有时表现为环状强化
150、单项选择题 关于“星形胶质瘤”,下列描述哪项不对()
A.Ⅰ级:CT平扫为边缘清楚低密度灶
B.Ⅱ~Ⅳ级:CT平扫可为等、高混杂密度
C.小儿多发生于小脑
D.肿瘤强化程度与恶性程度成正比
E.成人以脑干居多
151、单项选择题 关于鼻咽部纤维血管瘤的表述,下列说法不正确的是()
A.该病起源于蝶、枕骨间纤维软骨膜或骨膜
B.内含丰富血管,损伤后不易收缩,常致大出血
C.瘤体呈肌组织相仿密度,注射对比剂后,瘤体则呈明显强化
D.瘤体内常含钙化灶或静脉石
E.对周围组织表现为推挤压迫改变,使骨结构受压变形
152、单项选择题 肺结核发生1~2周内,临床症状较重,而X线表现阴性的为()
A.原发性肺结核
B.急性粟粒型肺结核
C.浸润型肺结核
D.慢性血行播散型肺结核
E.以上都不对
153、多项选择题 胆结石的CT表现有哪些()
A.高密度结石表现为单发或多发,圆形、多边形或泥沙状的高密度影
B.胆结石分为高密度、等密度和低密度3种类型
C.肝内胆管结石呈点状、结节状、不规则状表现,常伴周围胆道扩张
D.胆总管结石时上部胆管扩张,结石部位的层面扩张的胆管突然消失
E.胆结石的CT值测定大致反映结石化学成分的含量
154、单项选择题
如图所示,这两个时相提示()
A.肾细胞癌
B.动静脉瘘
C.肾窦对比剂溢出
D.以上都有可能
E.以上都不是
155、单项选择题
患者发热,结合图像,最可能的诊断为()
A.假膜性结肠炎
B.克罗恩病
C.溃疡性结肠炎
D.淋巴瘤
E.结核
156、单项选择题 关于结肠癌的描述不确切的是()
A.溃疡型多见
B.腺癌为主
C.升结肠易形成腔内肿块
D.降结肠癌多为浸润型
E.早期结肠癌可呈菜花状
157、单项选择题 颧弓平面以下是()
A.颞下窝
B.颞窝
C.翼腭窝
D.蝶额孔
E.咽旁间隙
158、单项选择题 脑内占位病变的CT定位表现为()
A.D字征
B.O字征
C.脑池扩大
D.脑白质挤压征
E.中线结构移位
159、单项选择题 以下哪项是新鲜出血的CT值范围()
A.60~80HU
B.40~60HU
C.30~50HU
D.40~80HU
E.20~40HU
160、单项选择题
根据所提供的图像,可除外下列哪种诊断()
A.类癌瘤
B.淋巴瘤
C.硬化性肠系膜炎
D.憩室炎
E.以上都不是
161、单项选择题
男,40岁,体重减轻,乏力,结合所示图像,最可能的诊断是()
A.淋巴瘤
B.精原细胞瘤
C.结核
D.血管曲张
E.以上都不是
162、单项选择题
男,56岁,右髋部疼痛,结合图像,最可能的诊断是()
A.骶髂关节炎
B.骶髂关节结核
C.强直性脊柱炎
D.骨转移瘤
E.类风湿关节炎
163、单项选择题 下列哪项不是颅脑增强扫描的目的()
A.区分梗死与水肿
B.观察肿瘤的血运情况
C.明确肿瘤边界
D.鉴别脑内外肿瘤
E.观察血脑屏障的破坏
164、单项选择题
男,55岁,左下腹胀痛、并可触及包块,结合图像,最可能的诊断为()
A.结肠Crohn病
B.结肠癌
C.结肠腺瘤
D.肠结核
E.慢性溃疡性结肠炎
165、单项选择题
男,70岁,上腹痛不适伴黄疸1个月余,AFP阴性。肝脏增强CT扫描如下图所示,该患者最可能的诊断为()
A.肝细胞癌
B.肝脓肿
C.慢性胆管炎
D.胆管细胞癌
E.肝血管瘤
166、单项选择题 脑内肿瘤瘤周水肿属()
A.间质性水肿
B.血管源性水肿
C.细胞毒性水肿
D.梗阻性水肿
E.渗出性水肿
167、多项选择题 对于肝脏CT解剖,描述正确的有()
A.肝静脉进入下腔静脉的部位称为第二肝门,约平第3腰椎
B.肝静脉分为肝右、肝左、肝中静脉三支
C.肝静脉支走行于肝脏叶或段间裂内,可以用肝静脉划分肝叶、肝段
D.胸主动脉的左后方有半奇静脉,右后方有奇静脉,奇静脉的前方有胸导管
E.第二肝门的左侧可见食管影,食管后方为胸主动脉
168、单项选择题 患者无痛性血尿数周,肾盂造影示肾盂内不规则充盈缺损,首先考虑以下哪种疾病()
A.乳头状瘤
B.移行细胞癌
C.鳞状细胞癌
D.肾腺癌
E.肾腺瘤
169、单项选择题 子宫内膜异位最常见于()
A.腹膜
B.双侧卵巢
C.单侧卵巢
D.子宫直肠窝
E.膀胱子宫隐窝
170、单项选择题
男,23岁,右耳流脓十余年,右外耳道流脓,鼓膜穿孔,CT检查如图,最可能的诊断是()

A.慢性中耳乳突炎
B.中耳乳突结核
C.中耳癌
D.嗜酸性肉芽肿
E.(海绵化期)耳硬化症
171、单项选择题 关于胆管系统功能紊乱,下列叙述哪项是错误的()
A.胆囊收缩功能减低
B.多为功能性,个别可为器质性
C.胆汁排出延迟、胆管扩张
D.胆囊浓缩功能减低
E.胆总管末端括约肌痉挛、肥大、炎症、纤维化
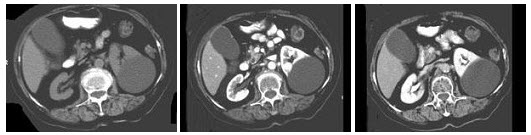
172、单项选择题
1986年Bosniak根据CT征象提出肾囊性病变四级分类法,下列图像中的肾囊肿属于哪一类()
A.BosniakⅠ类
B.BosniakⅡ类
C.BosniakⅢ类
D.BosniakⅣ类
E.以上都错误
173、单项选择题
结合图像,该胰腺团块,最不可能的诊断为()
A.肉瘤
B.脂肪瘤
C.胰腺囊肿
D.以上都有可能
E.以上都不是
174、单项选择题
女,22岁。反复头痛伴双下肢水肿10余年,有多饮、多尿,近1个月来咳嗽,呈阵发性,有时伴有脓痰,低热,头部可触及柔软的软组织肿块及边缘不规则的骨缺损,四肢及躯干皮肤可见散在出血点,双下肢凹陷性水肿,结合所提供的图像,最可能的诊断是()

A.韩-雪病
B.非骨化性纤维瘤
C.骨巨细胞瘤
D.骨纤维结构不良
E.内生软骨瘤
175、单项选择题
男,54岁,有乙肝病史,现腹胀,右上腹痛,消化不良,消瘦、乏力、贫血、黄疸,血清转氨酶升高,白蛋白/球蛋白比值倒置,CT、MRI检查如图,最可能的诊断是()
A.肝脓肿
B.局灶性结节增生
C.原发性肝癌
D.肝转移癌
E.肝炎性假瘤
176、单项选择题 鞍区CT扫描技术的叙述正确的是()
A.横断位扫描鞍区CT检查常规做增强扫描
B.冠状位扫描可用颅脑颌顶位或顶颌位
C.冠状位扫描层面尽可能与鞍底平行
D.冠状位扫描层厚和层间距视蝶鞍大小选择3~5mm
E.放大动态扫描主要用于大腺瘤
177、单项选择题 肺部CT图像的拍摄,需要加拍骨窗的疾病是()
A.发现结节性病灶
B.并大血管疾病
C.侵犯胸膜病变
D.严重肺气肿的病人
E.疑有骨转移者
178、单项选择题
男,32岁,几天前踝部扭伤,疼痛,不能行走,结合CT图像,最可能的诊断是()
A.骨囊肿
B.动脉瘤样骨囊肿
C.骨纤维异常增殖症
D.骨巨细胞瘤
E.畸形性骨炎
179、单项选择题
男,28岁,咳痰,咯血伴盗汗1月,CT如图,最可能的诊断为()
A.干酪性肺炎
B.大叶性肺炎
C.过敏性肺炎
D.肺不张
E.肺泡细胞癌
180、单项选择题 以下CT表现更倾向于硬膜外血肿而非硬膜下血肿的是()
A.血肿不超过中线
B.血肿不超越颅缝
C.血肿为等密度
D.边缘不甚清楚
E.占位效应更重
181、单项选择题 关于视神经胶质瘤的描述,正确的是()
A.多为分化好的星形细胞瘤
B.多为少枝胶质瘤
C.原发于颅内者侵袭性小
D.后视路多发
E.起自眶内视神经多呈球形
182、单项选择题 胼胝体发育不全的直接征象是()
A.大脑纵裂增宽与第三脑室前部相连
B.室间孔不同程度的扩大和分离
C.第三脑室扩大上升位于侧脑室之间
D.双侧侧脑室扩大、分离
E.以上都不是
183、单项选择题 下面对颈部血管造影扫描技术的描述错误的是()
A.患者仰卧,头后仰,使下颌支与扫描床面垂直
B.在颈部侧位定位像上,设定从胸腔入口至颅底的扫描区域
C.静脉注射对比剂100ml,流速5ml/s
D.单层螺旋的扫描层厚2~3mm,间隔1~1.5mm;多层螺旋的扫描层厚0.75~1mm,重建层厚1mm,间隔0.7~1mm
E.延迟扫描时间15~18秒
184、单项选择题
男,43岁,体检X线发现肺部一占位性病变,CT检查如图,最可能的诊断是()
A.周围型肺癌
B.肺脓肿
C.肺结核
D.肺错构瘤
E.肺转移瘤
185、单项选择题
男,56岁,咳嗽,咯血1月余,有吸烟史30余年,结合CT检查,最可能的诊断是()
A.肺结核
B.肺炎
C.结节病
D.肺错构瘤
E.中央型肺癌
186、单项选择题 男,16岁,头痛5个月,CT示松果体区有一3cm×2cm稍高密度影,边界清楚,中等均匀强化,最大可能为()
A.肿瘤
B.囊肿
C.结核
D.脓肿
E.动静脉畸形
187、多项选择题 下列哪些是典型肝脓肿的CT表现()
A.平扫示低密度占位,中心区CT值略高于水
B.多为圆或椭圆形,部分腔内有分隔
C.脓肿内可见小气泡
D.脓肿周围出现不同密度环形带
E.增强扫描脓肿壁有较明显的强化,但强化持续时间很短
188、多项选择题 内分泌性突眼见于()
A.甲状腺功能亢进期
B.甲状腺功能亢进期前
C.单纯性甲状腺肿
D.甲状腺功能减退者
E.甲状腺功能亢进期后
189、单项选择题 下列哪个部位,横断面扫描价值高于其他断面()
A.股骨干
B.脊髓
C.半月板
D.脑垂体
E.肝脏
190、单项选择题 下列脾脏原发性恶性肿瘤中,哪种最为常见()
A.脾血管肉瘤
B.脾原发性腺癌
C.脾原发性恶性淋巴瘤
D.脾原发性纤维肉瘤
E.脾原发性鳞癌
191、单项选择题
男,78岁,糖尿病17年,低热、右侧胸痛伴咳嗽两月余,常规抗炎治疗,症状改善不明显,痰培养结核菌(-),胸部CT平扫如图

A.肺脓肿
B.结核空洞
C.肺曲菌病
D.肺棘球蚴病
E.大叶性肺炎
192、多项选择题 MSCT血管造影可用于显示主动脉夹层的()
A.内膜片
B.内破口
C.主动脉真腔
D.主动脉假腔
E.假腔内血栓
193、单项选择题
根据所提供的图像,可除外下列哪种诊断()
A.十二指肠癌
B.胃肠道间质瘤
C.十二指肠溃疡
D.淋巴瘤
E.以上都不是
194、多项选择题 “脑萎缩”影像包括()
A.健侧脑组织向患侧移位
B.脑沟增宽,脑回变窄
C.侧脑室周围低密度水肿带
D.侧脑室顶部夹角大于40°
E.视隐窝变钝、变浅、消失
195、单项选择题 关于“鼻咽癌”的CT特点,下述哪项说法不对()
A.邻近骨质常有破坏
B.破裂孔可扩大
C.肿瘤呈轻度强化
D.患侧咀嚼肌群萎缩
E.鼻咽部软组织肿块影
196、单项选择题
男,54岁,B超体检示肝左叶强回声团块影,CT表现如图,最可能的诊断是()
A.肝癌
B.肝腺瘤
C.肝母细胞瘤
D.肝血管瘤
E.肝脓肿
197、单项选择题 数字量转换为模拟量称作()
A.D/B转换
B.D/C转换
C.D/A转换
D.B/D转换
E.C/D转换
198、单项选择题
患者高血压,结合所示图像,最可能的诊断是()
A.肝细胞癌
B.胰腺胰岛细胞瘤
C.异位肾上腺嗜铬细胞瘤
D.腺瘤
E.以上都不是
199、单项选择题 颞窝前界的解剖结构为()
A.蝶骨大翼和岩骨尖
B.上颌窦后外侧壁
C.颌支,冠状突和颞肌
D.茎突和颈鞘
E.鼻腔和鼻咽
200、单项选择题
女,15天。吸吮反射减弱。CT检查,最可能的诊断为()
A.脑水肿
B.新生儿缺氧缺血性脑病
C.脑出血
D.先天性无脑回
E.先天性巨脑回
201、单项选择题
男,26岁,进行性鼻腔阻塞、流涕来院就诊,近两年持续性头痛、头晕,筛窦区病变影像检查如图,最可能的诊断是()

A.脊索瘤伴左上颌窦炎
B.软骨瘤伴左上颌窦炎
C.骨化性纤维瘤伴左上颌窦炎
D.骨结核伴左上颌窦炎
E.骨纤维异常增殖症伴左上颌窦炎
202、单项选择题
男,27岁,根据所示图像,最可能的诊断是()
A.右侧肾盂血块
B.右侧肾盂结石
C.右侧肾盂癌
D.右肾结核
E.右肾钙化
203、单项选择题 一般不引起视神经孔变小的疾病是()
A.骨纤维异常增殖症
B.畸形性骨炎
C.石骨症
D.眶内血管瘤
E.脑膜瘤
204、单项选择题 泛影葡胺属于以下哪种对比剂()
A.阴性对比剂
B.离子型对比剂
C.阳性非离子型对比剂
D.阴性离子型对比剂
E.非离子型对比剂
205、多项选择题 女,35岁,闭经泌乳1年,CT冠状扫描示垂体右侧低密度灶,直径约9mm,关于影像学分析,下列哪些是正确的()
A.增强早期垂体显示最佳,病灶最易显示
B.后延迟扫描显示病灶最清楚
C.现鞍底骨质改变,不管是否与低密度灶有关均应诊断为垂体微腺瘤
D.右侧低密度灶向上凸起应考虑垂体微腺瘤
E.病人无视物模糊,可除外垂体微腺瘤
206、单项选择题 肾细胞癌的影像检查中,哪些表现最为常见()
A.坏死、出血、非均质强化的肿块
B.囊性变并均质强化
C.不均质肿块并均质强化
D.囊变、钙化无强化
E.钙化囊变不伴有强化
207、单项选择题 下列关于肝豆状核变性的描述,哪项是错误的()
A.是一种遗传性铜代谢障碍性疾病
B.神经系统主要为豆状核变性
C.由于铜在肝内蓄积而引起肝脏CT值明显增高
D.眼角膜有Kayser-Fleioker环出现
E.肝脏主要为坏死后肝硬化
208、单项选择题
男,32岁,上腹部持续性疼痛,放射至胸背部,高热,恶心呕吐,上腹部压痛反跳痛,CT检查如图,最可能的诊断是()
A.急性单纯性胰腺炎
B.出血坏死性胰腺炎
C.慢性胰腺炎
D.慢性胰腺炎急性发作
E.胰腺癌
209、单项选择题 胃憩室的好发部位是()
A.胃小弯
B.胃大弯
C.胃窦部
D.幽门部
E.以上都不是
210、单项选择题 关于腹腔壁层肿瘤,下列说法错误的是()
A.肿瘤沿腹膜面生长,呈板块状
B.肿瘤结节以腹膜壁层为基底向腹内突起
C.腹内脏器表面有肿块或板块状增厚
D.肿瘤结节可多发
E.合并大量积液
211、多项选择题 进展期中央型肺癌的瘤体CT征象可以有()
A.支气管狭窄
B.支气管梗阻
C.支气管壁增厚
D.支气管管腔内结节
E.肺门肿块
212、多项选择题
女,6个月,CT扫描如图所示,下列说法正确的是()
A.双侧肾盂积水
B.双侧肾门朝向前内方
C.双肾下极融合
D.考虑为异位肾
E.考虑为马蹄肾
213、单项选择题 直肠癌腹会阴联合切口术后复发最常见的部位是()
A.会阴部
B.骶尾骨前区
C.盆腔侧壁
D.直肠吻合部
E.盆腔肠袢周围
214、单项选择题
女,53岁,右侧轻度腰背酸痛,CT检查如图所示,最可能的诊断是()
A.右肾上腺髓样脂肪瘤
B.右肾上腺腺瘤
C.右肾上腺嗜铬细胞瘤
D.右腹膜后脂肪瘤
E.右肾血管平滑肌脂肪瘤
215、单项选择题 CT可以检出的最少心包积液量是()
A.30ml
B.40ml
C.50ml
D.60ml
E.70ml
216、单项选择题 霉菌性上颌窦炎最常见的致病菌为()
A.曲霉菌
B.毛霉菌
C.鼻孢子菌
D.念珠菌
E.隐球菌
217、单项选择题 肝脏增强扫描动脉期,对以下哪种病变诊断价值最高()
A.原发性肝癌
B.肝脏炎性假瘤
C.局灶性结节增生
D.转移性肝癌
E.肝囊肿
218、单项选择题
女,40岁,右眼反复溢泪伴眼球渐进性突出2年余,眼球运动受限,CT检查如图所示,最可能的诊断是()
A.泪腺囊肿
B.泪囊囊肿
C.泪腺血肿
D.泪囊血肿
E.眶内结核
219、单项选择题 不属于CT特殊功能的是()
A.定位扫描
B.动态扫描
C.靶扫描
D.轴位扫描
E.特殊重建扫描
220、单项选择题 为减少运动伪影产生,采取的措施中最重要的是()
A.耐心解释、消除病人顾虑和紧张情绪
B.做好病人呼吸训练
C.对不合作病人给予镇静或麻醉
D.缩短曝光时间
E.采取固定措施
221、单项选择题 下列哪一个器官不在肾前间隙内()
A.胰腺
B.降结肠
C.十二指肠
D.升结肠
E.肾上腺
222、多项选择题 通过眶上裂的脑神经为()
A.动眼神经
B.滑车神经
C.外展神经
D.三叉神经眼支
E.三叉神经上颌支
223、多项选择题 肾盂癌CT表现,错误的是()
A.较小的肾盂癌,CT检查是首选
B.CT检查可以定性诊断、分期诊断
C.肾盂或肾盏内的结节状软组织密度灶
D.肿瘤与相邻肾实质分界清楚
E.肿块轻度强化,分泌期扫描肾盂内充盈缺损灶
224、单项选择题
男,68岁,根据所示图像,最可能的诊断是()
A.输尿管囊肿
B.先天性巨输尿管
C.膀胱假性憩室
D.膀胱癌
E.膀胱憩室
225、单项选择题 60岁男性,颜面肿痛、鼻衄5个月。CT显示右上颌窦壁破坏,内有不规则软组织密度肿块,侵犯眼眶、鼻腔,最可能的诊断是()
A.鼻息肉
B.上颌窦癌
C.黏液囊肿
D.乳头状瘤
E.纤维血管瘤
226、多项选择题 胰腺CT解剖描述,正确的有哪些()
A.胰位于腹膜后肾前间隙中,前为腹膜壁层,后为肾前筋膜
B.正常胰头宽径最大范围不应超过同层面上椎体的横径
C.胰体、尾层面高于胰头,钩突最低
D.胰体、胰尾宽径不得大于同层面椎体横径的2/3,也不应小于它的1/3
E.胰头在十二指肠内呈圆形或分叶状,十二指肠球部在其右缘,下腔静脉在其后方,这是确定胰头的标志
227、多项选择题 眼眶炎性假瘤的分型,包括()
A.眶隔前型
B.肌炎型
C.泪腺炎型
D.巩膜周围炎型
E.神经束膜炎型
228、单项选择题
男,45岁,右下腹胀痛、并可触及质硬包块,结合图像,最可能的诊断是()
A.结肠Crohn病
B.结肠癌
C.肠结核
D.结肠淋巴瘤
E.慢性溃疡性结肠炎
229、单项选择题
男,61岁,寒颤高热,右上腹痛,白细胞计数升高,CT检查如图,最可能的诊断是()

A.原发性肝癌
B.肝血管瘤
C.肝脓肿
D.炎性肉芽肿
E.肝转移癌
230、单项选择题 关于水、冰、水蒸气的质量衰减系数,正确的是()
A.水和冰相同,比水蒸气的大
B.冰和水蒸气相同,比水的大
C.水和水蒸气相同,比冰的大
D.水、冰、水蒸气三者相同
E.水和水蒸气相同,比冰的小
231、单项选择题 关于腹部CT扫描技术叙述错误的是()
A.肝脏和脾脏以AM顶为扫描基线
B.腹膜后腔以肝门为扫描基线
C.胆囊和胰腺以肝门为扫描基线
D.肾和肾上腺以肾上极为扫描基线
E.腹部扫描采用标准或高分辨率模式
232、单项选择题
女,22岁,躯体不成比例,结合影像学检查,最可能的诊断是()
A.蜡油骨病
B.成骨不全
C.马方综合征
D.软骨发育不全
E.石骨症
233、单项选择题
患者,女性,50岁,右股骨下端疼痛2个月余,近期加重,右股骨下端外侧触及软组织肿块。膝关节CT图像如下,右股骨下端病变考虑为何种疾病可能性大()

A.软骨肉瘤
B.骨肉瘤
C.骨髓炎
D.骨软骨瘤
E.软骨瘤
234、多项选择题
女,38岁,左腰部胀痛不适,CT平扫+增强如图所示,下列说法正确的是()
A.平扫时可见左肾一类圆形囊性病灶
B.病灶边界清晰,表面光整
C.增强扫描皮质期和实质期该病灶均未见强化
D.考虑为左肾囊性肾癌
E.考虑为左肾囊肿
235、单项选择题 下列人体组织器官CT值低于0时的是()
A.肝脏
B.脑白质
C.肺
D.甲状腺
E.肌肉
236、单项选择题 下列哪种疾病,不会出现“中脑导水管狭窄”()
A.结节性硬化
B.先天性心脏病
C.弓形虫感染
D.炎症
E.Dandy-Walker综合征
237、单项选择题
男,38岁,下腹疼痛、尿液混浊十余天,结合图像,最可能的诊断是()
A.阑尾周围脓肿
B.慢性膀胱炎
C.憩室炎膀胱瘘
D.结肠间质瘤
E.盆腔脓肿
238、单项选择题 “轨道征”常见于下列哪种病变()
A.黑色素瘤
B.视神经鞘脑膜瘤
C.眶内炎性假瘤
D.视网膜母细胞瘤
E.视神经胶质瘤
239、单项选择题
男,36岁,呼吸困难,咳嗽,咳黏稠痰,糖原PAS染色阳性,结合CT图像,最可能的诊断是()
A.肺泡性肺水肿
B.肺泡蛋白沉积症
C.肺泡癌
D.系统性红斑狼疮
E.肺泡微石症
240、单项选择题
根据所提供的图像,最可能的诊断是()
A.胃平滑肌瘤
B.胃癌
C.胃息肉
D.胃炎
E.以上都不是
241、单项选择题
男,38岁,外伤后半个月,行CT复查如图,最可能的诊断为()
A.脑出血
B.硬膜外血肿
C.脑萎缩
D.脑挫裂伤
E.亚急性硬膜下血肿
242、单项选择题 女,49岁,发现右乳肿块2个月,质硬,表面不光滑,与皮肤及深部无明显粘连,无压痛。右腋窝可触及一个杏仁大淋巴结,尚活动。若为乳腺癌,应选择的治疗方案为()
A.全乳切除术,术前化疗
B.乳腺癌根治术,术前化疗
C.全乳切除术,术后辅以放疗
D.乳腺癌根治术,术后辅以放疗或化疗
E.应用CMF方案化疗
243、单项选择题
女,49岁,骶部隐痛1月余,结合影像学检查,最可能的诊断是()
A.脊索瘤
B.骨转移瘤
C.骨巨细胞瘤
D.骨囊肿
E.骨结核
244、单项选择题 不是腹部CT扫描技术的适应证的是()
A.慢性胰腺炎
B.肾结石
C.肾动脉狭窄
D.库欣综合征
E.胃痉挛
245、多项选择题 下列属于数字化影像设备的是()
A.CT
B.MR
C.B超
D.DR
E.DSA
246、单项选择题 根据疾病诊断的需要,灵活选用窗宽、窗位。颅脑CT图像常用脑窗摄影。窗宽80~100HU,窗位35HU左右。颅底、内听道病变;颅脑外伤;颅骨病变,或颅内病变侵犯颅骨,必须加摄骨窗。骨窗的窗宽1000~1400HU,窗位300~500HU。耳鸣及疑桥小脑角区病变者,应利用调节窗口技术,以观察内听道有无扩大,并根据需要对局部进行放大。头皮下软组织病变,用软组织窗摄影:窗宽300~400HU,窗位35~45HU。根据不同的部位和病变灵活选用窗宽和窗位。若病变和周围组织密度接近时,可适当调窄窗宽;若伪影较多或需观察局部组织的丰富层次,可调低窗位,并适当调宽窗宽。鞍区CT图像常用软组织窗和骨窗,软组织窗窗宽350~400HU.窗位35~40HU。 与胸部CT后处理技术无关的是()
A.摄影常规用双窗技术,即肺窗和纵隔窗
B.纵隔窗:窗宽300~500HU,窗位30~50HU
C.肺窗:窗宽800~1500HU,窗位800~600HU
D.对于外伤病人,应观察和摄影骨窗
E.对肺部的片状影,块状影及结节病灶,可选择最佳的中间窗观察和摄影
247、单项选择题 在左上腔静脉畸形中,左上腔静脉流入心腔的最常见部位是()
A.左心房
B.左心室
C.右心房
D.右心室
E.冠状静脉窦
248、单项选择题 腰椎间盘突出症直接CT征象是()
A."局限性"软组织影
B.硬膜囊前缘受压
C.硬膜囊外脂肪间隙消失
D.神经根肿胀
E.反应性骨质硬化
249、单项选择题 Caroli氏病属于先天性胆管囊肿哪一型()
A.Ⅰ型
B.Ⅱ型
C.Ⅲ型
D.Ⅳ型
E.Ⅴ型
250、单项选择题 生殖细胞瘤最常发生部位是()
A.四叠体区
B.松果体区
C.垂体漏斗部
D.基底节区
E.三脑室底部
251、单项选择题 下列哪种肿瘤在肝脏的转移可出现钙化()
A.卵巢癌
B.脑星形细胞瘤
C.肺癌
D.膀胱癌
E.胰腺癌
252、多项选择题 多囊肾的影像学表现为()
A.肾脏体积增大
B.囊壁无钙化
C.肾盂造影示肾盏受压
D.CT示多发大小不等类圆形低密度灶
E.肝脏也可见多发囊肿
253、单项选择题 结核瘤CT表现,下列哪项是错误的()
A.早期为等密度病灶,无水肿带
B.中期为密度略高的圆形灶伴有水肿带
C.后期为高密度病灶,水肿带消失
D.可为结节状增强
E.可为小环状增强
254、多项选择题
女,26岁,临床诊断为绒毛膜癌,行经腹子宫全切术后1月,CT检查如图所示,下列说法正确的是()
A.左肾周可见低密度区,增强后无强化,其内有散在的片状稍高密度影
B.双肾未见异常
C.考虑为左肾外伤性出血
D.考虑为绒毛膜癌肾转移
E.合并有左肾周自发性血肿
255、单项选择题 乳腺纤维腺瘤的CT表现中,下列哪项描述错误()
A.多数肿瘤边缘可呈分叶状
B.当其周围有低密度脂肪环绕时边缘清楚
C.平扫表现为圆形或椭圆形高密度影
D.平扫可清楚显示肿瘤内的钙化
E.伴有钙化的纤维腺瘤CT值可达40~50HU
256、多项选择题 幕上良性Ⅰ、Ⅱ级星形细胞肿瘤影像CT征象为()
A.约1/4的病例侧有钙化
B.大多数表现为脑内混合密度病灶
C.肿瘤边界大多数清楚
D.增强扫描Ⅰ级星形细胞的肿瘤多无明显变化
E.90%瘤周出现水肿
257、多项选择题 关于EBCT检查心脏的描述,正确的是()
A.大多数需要静脉注射对比剂增强扫描
B.检查床向右侧倾斜24°
C.平扫主要用于冠状动脉的钙化评价
D.不能实现真正意义上的容积采集
E.以上都不是
258、单项选择题 要求必须闭眼扫描的是()
A.视神经孔扫描
B.观察眶壁骨折
C.观察球内细小异物
D.眶部毛细血管瘤
E.眶内球外肿瘤
259、单项选择题 颅面血管瘤病和结节性硬化共有的征象为()
A.脑水肿
B.脑实质钙化
C.中线移位
D.脑室扩大
E.颅板增厚
260、单项选择题
男,36岁,胸痛半月伴发高热,胸片发现占位性病变,CT检查如图,最可能的诊断为()
A.左下肺肺脓肿
B.左下肺癌并空洞形成
C.左侧胸腔积脓
D.左下肺囊肿
E.左下肺肺炎
261、单项选择题 关于CT检查防护的解释,错误的是()
A.CT检查比较安全不等于没有损伤
B.生物效应是造成X线对人体损伤的根本
C.随机和非随机效应均属辐射生物效应
D.随机效应存在着剂量的阈值
E.重点防止非随机效应,限制随机效应
262、单项选择题 侧脑室三角区对应的脑叶是()
A.额颞顶叶交界区
B.额颞枕叶交界区
C.颞顶枕叶交界区
D.颞枕叶和小脑半球交界区
E.颞枕岛叶交界区
263、单项选择题 对小肝癌(SHCC)与肝血管瘤的鉴别方法是()
A.增加对比剂的注射量
B.动脉期扫描和延迟扫描
C.加快对比剂的注射速度
D.有肝炎和肝硬化病史
E.测量CT值比较病灶的增强程度
264、单项选择题 囊尾蚴寄生人体的部位按顺序排列为以下哪项()
A.腹膜→肺→肝→心→眼→脑→肌肉→皮下组织
B.皮下组织→肌肉→脑→眼→心→肝→肺→腹膜
C.皮下组织→肌肉→心→肝→肺→眼→脑→腹膜
D.皮下组织→肌肉→腹膜→脑→眼→心→肝→肺
E.肝→心→肺→脑→眼→腹膜→皮下组织→肌肉
265、单项选择题 颈内静脉二腹肌淋巴结属于()
A.颈下淋巴结
B.颌下淋巴结
C.颈深淋巴结上组
D.颈深淋巴结中组
E.颈深淋巴结下组
266、单项选择题 CT发现侵袭性胸腺瘤侵犯纵隔脂肪,肿瘤为()
A.一期
B.二期
C.三期
D.四期
E.五期
267、单项选择题 在颌骨骨化性纤维瘤CT征象中,下列哪项不正确()
A.病灶呈良性局限性缓慢生长
B.无完整的骨壳
C.呈等或高密度软组织肿块
D.局部骨皮质膨胀变薄
E.病灶内可见斑点状骨化影
268、多项选择题
男,53岁,体重明显下降而行CT检查,如图所示,下列说法正确的是()
A.右肾区可见不规则的软组织块,增强为不均匀强化
B.肾平面以上的下腔静脉内均有软组织密度影
C.右心房内可见充盈缺损
D.此为右侧肾癌
E.癌栓侵入下腔静脉并扩散至右心房
269、多项选择题 股骨头缺血坏死时,CT诊断股骨头塌陷的征象包括()
A.股骨头皮质成角
B.台阶征
C.双边征
D.裂隙征
E.股骨头内簇状、条带状和斑片状高密度硬化影
270、单项选择题
男,35岁,有乙肝病史多年,AFP阳性,影像检查如图,最可能的诊断是()
A.肝硬化腹水
B.肝血管瘤
C.肝脓肿
D.肝癌、肝硬化、腹水
E.肝硬化,结节性增生
271、单项选择题 良好充盈CT像上,正常消化道壁解剖,下列哪项不对()
A.食管壁厚度应≤3mm
B.胃壁厚度应≤8mm
C.小肠壁厚度应≤3mm
D.结肠壁厚度应≤3mm
E.贲门区处胃壁可较其余胃壁略厚
272、单项选择题 女,22岁。发现左乳下方肿块,活动,光滑,与皮肤无粘连,2个月来,肿块无明显增大,腋窝淋巴结阴性,有乳癌家族史。首选检查是()
A.红外线
B.MRI
C.CT
D.钼靶
E.B超
273、单项选择题 颅内静脉窦闭塞最常发生于()
A.横窦
B.乙状窦
C.上矢状窦
D.海绵窦
E.下矢状窦
274、单项选择题
女,8岁,头痛,鼻塞半年余,CT如图,最可能的诊断是()
A.鼻咽癌
B.鼻咽部炎症
C.腺样体肥大
D.神经纤维瘤
E.咽后脓肿
275、单项选择题 下列关于嗜铬细胞瘤的描述,错误的是()
A.多见于14岁以下儿童
B.为圆形或卵圆形的肿块
C.既可有实质性肿块,也可有囊性肿块
D.增强扫描后肿瘤强化明显
E.肿瘤大小不能鉴别良恶性
276、单项选择题
男,67岁,胸骨后撕裂样疼痛1小时就诊。主动脉CT增强扫描图像如下,应诊断为()
A.主动脉未见异常
B.主动脉夹层动脉瘤
C.主动脉弓动脉瘤
D.主动脉硬化
E.以上均不正确
277、单项选择题
男,59岁,右眼视力缺陷,结合图像,最可能的诊断是()

A.脑室内脑膜瘤
B.脑室内囊肿
C.脑膜炎
D.松果体瘤
E.脑转移瘤
278、单项选择题
女,35岁,养鸽,咳嗽、咳痰,结合CT图像,最可能的诊断是()
A.肺隐球菌病
B.肺转移瘤
C.支气管肺炎
D.肺结核
E.肺泡癌
279、单项选择题 CT扫描中常用的FOV是指()
A.矩阵大小
B.兴趣区
C.灰阶标尺
D.扫描野
E.激光胶片的分辨力
280、单项选择题
根据所提供的图像,最可能的诊断是()
A.起源于神经组织的团块
B.囊腺瘤
C.假性囊肿
D.囊肿
E.以上都不是
281、单项选择题 以下对鼻咽常规CT扫描范围的描述,哪项是正确的()
A.上颌骨齿槽突至会厌上缘
B.会厌上缘至环状软骨下缘
C.硬腭至舌骨
D.舌骨至胸廓入口水平
E.听鼻线至硬腭
282、单项选择题 胆囊癌的特点不包括()
A.多发生于50~80岁,女性多见
B.约75%的病例合并胆囊结石
C.多发生在胆囊体部
D.可分为胆囊壁厚型、腔内型和肿块型
E.增强后病灶早期较明显强化,且持续时间长
283、单项选择题 以下肾肿瘤中,哪种最常发生肺转移()
A.乳头状瘤
B.移行上皮癌
C.鳞状细胞癌
D.肾母细胞瘤
E.错构瘤
284、单项选择题 与产生伪影无关的准备工作是()
A.做好呼吸训练
B.不吃含金属药物
C.给予镇静剂或麻醉
D.更衣、换鞋入机房
E.摘掉金属饰物
285、单项选择题
女,51岁,心脏手术后,突感胸痛,结合CT图像,最可能的诊断是()
A.肺栓塞
B.支气管扩张
C.肺水肿
D.肺癌
E.肺不张
286、单项选择题 肾复合性囊肿不包括()
A.钙化性囊肿
B.不典型囊肿
C.感染性囊肿
D.出血性囊肿
E.囊性肿瘤
287、多项选择题
女,64岁,反复尿频尿急尿痛6年余,尿常规检查:红细胞(++),白细胞(++)。CT扫描如图示,下列说法正确的是()
A.右侧输尿管下段管壁增厚,管腔狭窄
B.右肾积水
C.右侧输尿管上段扩张
D.考虑为慢性输尿管炎
E.考虑为输尿管移行细胞癌
288、单项选择题 下面关于颈部肿瘤的描述中,不正确的是()
A.颈动脉体瘤位于颈总动脉分叉处颈动脉间隙,可导致颈内外动脉移位,呈杯口状扩大
B.颈部海绵状血管瘤多见于婴幼儿,常见于皮下或颈深部,可单发或多发
C.若为神经鞘瘤,CT可显示囊性变和钙化,可以强化
D.颈部恶性肿瘤中80%的为转移瘤,其中80%来源于头颈部恶性肿瘤
E.由于神经纤维瘤血供丰富,可显著强化,藉此易与神经鞘瘤鉴别
289、单项选择题
男,56岁,排便形状改变,便后不尽感,CT检查如图所示,下列说法正确的是()
A.肠壁上有蒂状新生物
B.其表面光滑,边界清楚
C.肠腔未见狭窄
D.此为直肠息肉
E.此为直肠癌
290、单项选择题 关于宫颈癌的CT表现,下列说法错误的是()
A.宫颈增大,形成软组织密度肿块
B.肿块内坏死形成低密度区
C.子宫侧壁向外延伸的不规则软组织影提示为肿瘤向盆腔侵犯
D.肿瘤与邻近器官间脂肪消失应诊断为该器官受侵
E.CT未见淋巴结肿大不能排除淋巴转移
291、单项选择题 下列病变,关于输尿管特点的描述哪项是错误的()
A.单纯型输尿管囊肿:眼镜蛇头征
B.输尿管肿瘤:Bergman征
C.输尿管结核:输尿管串珠征
D.前列腺肥大:鱼钩状输尿管
E.原发性巨输尿管:双侧输尿管全程扩张
292、多项选择题 烟雾病CT平扫的表现有()
A.蛛网膜下腔出血
B.脑室缩小
C.高密度病灶
D.局部脑萎缩
E.低密度病灶
293、单项选择题 眶内壁骨折的CT表现不包括()
A.眶内容物向筛窦移位
B.眼内直肌向眶内移位
C.眶内可见积气眶内壁骨折的CT表现眼球发育异常永存原发玻璃体增生症
D.眼内直肌疝入筛窦内
E.筛窦密度增高
294、单项选择题 男,60岁,头痛,前额部局部隆起。查体:前额部局部隆起处可触及乒乓球样肿块。CT显示:额窦腔扩大,内为低密度软组织影,边缘光滑呈弧形,可见细线样囊壁,其内CT值为20HU。拟诊为()
A.额窦黏液囊肿
B.额窦黏膜下囊肿
C.额窦急性炎症
D.额窦脓肿
E.额窦癌囊变
295、单项选择题 以下哪项CT表现不支持视网膜母细胞瘤的诊断()
A.病变眼球小
B.病变内钙化
C.视网膜弥漫性增厚
D.相邻视网膜剥离
E.病变增强明显
296、单项选择题 膈脚外侧积液提示()
A.腹水
B.肺内结节
C.心包积液
D.胸水+腹水
E.无定位意义
297、单项选择题 以下关于对比剂副反应救治的论述哪项是错误的()
A.对于对比剂副反应一般采用对症治疗
B.症状不明显的轻度反应不必处理
C.注射对比剂发生副反应时应注意保留静脉内的针头
D.对于中度副反应病人的主要处理为留院观察
E.重度副反应的病人在CT检查室及时处理后应尽快转科治疗
298、单项选择题 髓鞘形成不良病不包括()
A.髓鞘形成不足
B.脱髓鞘病
C.肾上腺脑白质营养不良
D.海绵状变性
E.异染性脑白质营养不良
299、单项选择题 眼球异物定位方法中定位最准确的是()
A.巴尔金氏定位法
B.角膜缘定位环法
C.吸盘式定位器法
D.薄骨位摄片法
E.无骨位摄片法
300、单项选择题
男,16岁,左膝痛,结合图像,最可能的诊断是()
A.胫骨成软骨细胞瘤合并骨折
B.骨巨细胞瘤合并骨折
C.内生软骨瘤合并骨折
D.软骨黏液样纤维瘤合并骨折
E.干骺结核合并骨折