时间:2025-09-25 04:45:26


1、多项选择题 下列需与非骨化性纤维瘤鉴别的肿瘤或肿瘤样病变有()
A.骨样骨瘤
B.骨巨细胞瘤
C.纤维性骨皮质缺损
D.骨纤维结构不良
E.良性间叶瘤
2、多项选择题 消化道粘膜的改变包括()
A.粘膜皱襞增粗、扭曲
B.龛影
C.粘膜破坏
D.粘膜皱襞纠集
E.微皱襞的改变
3、单项选择题 下列肺部炎症中哪项不易见到胸膜反应()
A.大叶性肺炎
B.化脓性肺炎
C.机化性肺炎
D.支原体肺炎
E.过敏性肺炎
4、名词解释 内骨痂
5、单项选择题 “硬化型”食管癌的特征性影像表现是()
A.食管局限性狭窄
B.食管腔内充盈缺损
C.不规则龛影
D.牵引性憩室
E.食管扩张下端呈鸟嘴状
6、单项选择题 类风湿肺病最常见的X线表现为()
A.胸膜增厚和胸腔积液
B.弥漫性肺间质纤维化
C.类风湿肺结节
D.两上肺纤维化合并空洞形成
E.肺动脉炎和肺动脉高压
7、单项选择题 下列不可复性食管裂孔疝的征象中,错误的是()
A.膈上幕状粗大粘膜较固定
B.心后区出现含液平面之囊状影,且固定存在
C.钡餐检查示部分胃疝入胸腔,固定存在
D.可伴有食管缩短现象
E.疝囊于立位片上显示不清
8、单项选择题 以下哪项不是肺气肿的分型()
A.全小叶型
B.部分小叶型
C.小叶中心型
D.小叶间隔旁型
E.瘢痕旁型
9、单项选择题 肺源性心脏病时心影有时可呈()
A.梨形心
B.靴形心
C.横位心
D.悬滴状心
E.主动脉型心脏
10、判断题 甲状旁腺功能亢进患者多数有骨骼病变,主要表现为骨质疏松。
11、多项选择题 胸片上,空洞可见于下列哪些疾病()
A.转移性肺癌
B.原发性肺癌
C.韦格肉芽肿
D.原发性肺结核
E.嗜酸性肉芽肿
12、单项选择题 大多数的膀胱上皮性肿瘤均为恶性,细胞类型依其发病率依次为()
A.鳞癌、腺癌、移行细胞癌
B.鳞癌、移行细胞癌、腺癌
C.移行细胞癌、鳞癌、腺癌
D.腺癌、鳞癌、移行细胞癌
E.移行细胞癌、腺癌、鳞癌
13、名词解释 哺乳期乳腺
14、配伍题 PTA可治疗()动脉化疗可治疗()血管动脉栓塞可治疗()非血管介入治疗()
A.胰腺癌动脉化疗
B.下腔静脉支架置入
C.脾动脉栓塞
D.前列腺支架置入
E.空肠造瘘
15、单项选择题 气管分叉上移,夹角大于90°,见于()
A.右心房增大
B.左心房增大
C.左心室增大
D.肺源性心脏病
E.膈肌上移
16、单项选择题 下列X线征象中,不是良性胃溃疡的为()
A.腔外龛影
B.腔内龛影
C.汉普顿线(Hampton线)
D.胃小弯缩短
E.粘膜纠集
17、填空题 1976年Wolfe等根据乳腺实质和脂肪所占比例与发生乳腺癌的危险性关系将乳腺分为_______、_______、_______和_______4型。
18、单项选择题 下述哪项除外,其余均为肺门病变的基本X线表现()
A.肺门增大
B.肺门缩小
C.肺门移位
D.肺门结核
E.肺门密度增高
19、单项选择题 下列疾病中,适用深呼气曝光的是()
A.肺炎
B.肺脓肿
C.肺大泡
D.肺癌
E.肺结核
20、单项选择题 X线产生过程中,电子高速运动所需能量主要取决于()
A.靶物质原子序数
B.管电流
C.管电压
D.旋转阳极转速
E.灯丝焦点大小
21、单项选择题 下列类风湿肺结节影像特点,错误的是()
A.多分布在肺野中内带
B.大小不等,多为1~2cm
C.边缘光整
D.可形成空洞
E.见于重度类风湿关节炎和多发皮下结节者
22、判断题 早期的胰体、尾癌症状常不明显,待发现时常已经是晚期。
23、单项选择题 心脏左右缘搏动减弱,大血管搏动正常,是诊断下述哪种疾病的特征性表现()
A.主动脉狭窄
B.联合瓣膜病
C.心肌病
D.心包积液
E.左心衰
24、单项选择题
女,2岁半,突然哭闹3小时,急性面容,腹部触诊上腹区似可扪及包块,行钡灌肠检查,如图所示,最可能的诊断为()

A.肠套叠
B.先天性巨结肠
C.结肠扭转
D.结肠炎
E.结肠癌
25、单项选择题 下列哪种尘肺,不属于职业病范畴()
A.矽肺
B.蔗尘肺
C.煤肺
D.石棉肺
E.滑石尘肺
26、单项选择题 下列关于散射线及其影响因素的描述哪项错误()
A.管电压越高,散射线越多
B.在一定厚度内,被照物体越厚散射线越多
C.增感屏速度越快,散射线越少
D.散射线是离开原射线束的折射光子
E.照射野的大小是产生散射线的重要因素
27、单项选择题 下列可出现爆米花样钙化的是()
A.肺癌
B.结核球
C.矽肺
D.胸膜间皮瘤
E.错构瘤
28、多项选择题 中耳继发性胆脂瘤的并发症为()
A.脑脓肿
B.乳突皮下脓肿
C.水平半规管瘘
D.乙状窦周围脓肿
E.乙状窦栓塞
29、判断题 先天性主动脉缩窄与特发性肺动脉扩张的肺血管改变均正常。
30、配伍题 肺动脉瓣位于()二尖瓣位于()主动脉瓣位于()
A.平第4前肋或第3前肋间水平
B.相当于第5肋软骨与胸骨右缘连接处
C.在第4肋软骨与胸骨左缘连接处
D.第3前肋水平
E.第4前肋水平
31、单项选择题
女,45岁,咽喉不适,异物感。体检:仅见慢性咽炎改变,结合图像,最可能的诊断为()

A.正常表现
B.会厌征
C.颈椎退变
D.食管型颈椎病
E.以上都不是
32、单项选择题
男,出生后2天。哭闹不止,腹胀。如图所示,最可能的诊断为()

A.肠套叠
B.肠闭锁
C.胎粪性腹膜炎
D.肠扭转
E.肠狭窄
33、单项选择题
男,58岁,右大腿酸痛,弯曲变形,有外伤史,右股骨摄片如图所示,最可能的诊断是()
A.硬化性骨纤维结构不良
B.慢性化脓性骨髓炎
C.骨质软化症
D.慢性硬化性骨髓炎
E.以上均不正确
34、单项选择题 正常胰腺钩突位于()
A.肠系膜上动脉前方
B.脾静脉后方
C.下腔静脉后方
D.十二指肠内侧
E.肠系膜上静脉后方
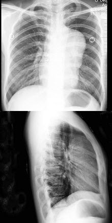
35、多项选择题 引起胸椎椎旁软组织肿胀的疾患有()
A.强直性脊柱炎
B.胸椎结核
C.胸椎肿瘤
D.嗜酸性肉芽肿
E.胸椎退行性变
36、单项选择题 下述“尤文肉瘤”知识,哪项正确()
A.成年人多见
B.常有骨、肺转移
C.常有特征性骨膜反应
D.好发于长骨干骺端
E.髓腔内可有成骨性改变
37、单项选择题 慢性化脓性骨髓炎的X线表现中,哪项不对()
A.广泛软组织肿胀
B.骨柩形成
C.虫蚀状、小片状骨质破坏
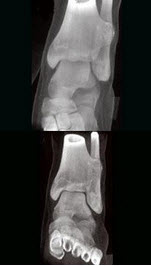
D.长条状死骨
E.骨质增生、硬化
38、单项选择题 诊断骨肿瘤重要的一项是()
A.良恶性鉴别
B.进行分类
C.确定部位
D.程度判断
E.名称的确定
39、多项选择题 下述哪些不是产生X线的具备条件()
A.光电管
B.电子源
C.高压电场和真空下产生的高速电子流
D.适当的障碍物
E.旋转阳极
40、判断题 华氏位蝶骨大翼正常时,边缘骨皮质致密均匀,而蝶骨小翼的边缘骨质菲薄,显影较淡。
41、单项选择题
女,19岁,跛行19年,结合影像学检查,最可能的诊断是()
A.先天性髋关节脱位
B.先天性髋内翻
C.骨盆骨折
D.髋臼骨折
E.股骨头缺血坏死
42、单项选择题 正常人一般左肺由几个肺段组成()
A.7
B.8
C.9
D.10
E.11
43、填空题 股骨头骨骺缺血坏死影像学表现可分为________、_______、________和______4期。
44、单项选择题 关于肺门的X线解剖,描述错误的是()
A.肺门的范围是2~4前肋之间,少数在3~5前肋之间
B.左侧肺门从上到下依次为支气管、肺动脉、肺静脉
C.右侧肺门从上到下依次为支气管、肺动脉、肺静脉
D.两侧肺门从前到后为肺静脉、肺动脉支气管
E.正常肺门血管成分和支气管成分可以分清
45、单项选择题 多发性骨髓瘤的X线诊断,下列摄片部位选择哪个没有意义()
A.腰椎
B.肋骨
C.颅骨
D.长骨
E.骨盆
46、单项选择题 乳突双15°侧位,亦称为()
A.劳氏位(LaW位)
B.许氏位(Schuller位)
C.伦氏位(Runstrom位)
D.梅氏位(Mayer位)
E.斯氏位(Stenever位)
47、多项选择题 诊断恶性骨肿瘤的诊断依据是()
A.浸润性骨质破坏
B.有骨膜反应
C.有软组织肿块
D.破坏区内有死骨
E.Codman三角
48、多项选择题 以被照体姿势命名的位置有()
A.经眶位
B.前弓位
C.蛙式位
D.谢氏位
E.切线位
49、单项选择题 下列右心室增大的X线表现中,错误的是()
A.心腰平直或隆起
B.肺动脉段延长
C.相反搏动点上移
D.心脏横径增大
E.主动脉结不明显
50、单项选择题 腹部平片发现右上腹石榴样致密阴影,侧位片见该影靠前方与肋骨相连,不随体位改位置,最可能的诊断是()
A.右肾结石
B.肠系膜淋巴结钙化
C.肋软骨钙化
D.阳性胆囊结石
E.肝包虫病
51、判断题 骨骼形成后,正常骨骼的骨盐达到平衡后,不再发生变化。
52、多项选择题 支气管气相可见于()
A.周围型燕麦细胞癌
B.肺透明膜病
C.大叶性肺炎
D.结节病
E.肺水肿
53、多项选择题 组成腕关节的骨有()
A.豌豆骨
B.舟骨
C.月骨
D.三角骨
E.桡骨
54、问答题 正位胸片上哪些正常软组织影易被误认为病变?
55、多项选择题 下列胸部疾患摄影位置,正确的是()
A.少量胸腔积液——侧卧水平正位或斜位
B.肺下积液——单纯后前位
C.包裹性积液——切线位
D.慢性支气管炎——常规正位深吸气与深呼气位对照
E.肺癌——常规正侧,体层摄影
56、问答题 子宫输卵管造影的适应证有哪些?其正常X线表现如何?
57、单项选择题 肾结核感染途径为下列哪种()
A.血行
B.淋巴
C.直接蔓延
D.以上均可
E.以上均不可
58、多项选择题 下列哪些不是早期食管癌的X线征象()
A.粘膜增粗、消失
B.浅小溃疡
C.小的充盈缺损
D.管壁广泛性僵硬
E.管腔明显狭窄
59、多项选择题 较常见的肺真菌病是()
A.肺曲菌病
B.肺念珠菌病
C.肺奴卡菌病
D.肺放线菌病
E.肺新型隐球菌病
60、单项选择题 眼眶异物定位时,金属标记不应放置在角膜的哪个方位上()
A.3点钟
B.6点钟
C.9点钟
D.10点钟
E.12点钟
61、单项选择题 下述造影剂的描述,错误的是()
A.高密度造影剂称为阳性造影剂
B.低密度造影剂称为阴性造影剂
C.非离子型造影剂比离子型安全
D.非离子型造影剂的渗透压比离子型的低
E.非离子型造影剂比离子型造影剂价格低廉
62、单项选择题 按骨折的好发部位可将上颌骨骨折分为三型,其中的Ⅲ型,骨折线不能穿过()
A.鼻嵴
B.翼突基底部
C.上颌窦底部
D.颧骨上部
E.眼眶内外壁
63、单项选择题 尾骨前后位摄片时,中心线的正确投射是()
A.垂直投射
B.向头侧倾斜15°
C.向足侧倾斜15°
D.向头侧倾斜45°
E.向足侧倾斜45°
64、配伍题 颧骨弓()胸骨()肺底积液()
A.立位+卧位
B.立位或水平位
C.侧位+斜位
D.倒立正侧位
E.轴位
65、单项选择题 下述疾病对骨化中心的出现及愈合均具有促进作用,但除外()
A.甲状腺功能亢进
B.性腺功能亢进
C.肾上腺皮质肿瘤
D.骨纤维异常增殖症
E.伸舌样痴呆
66、填空题 绞窄性肠梗阻的常见原因有哪些__________、_____________和_________。
67、填空题 包虫囊肿破入胸腔引起____________和_________,破入支气管时咳出大量_________。
68、单项选择题 正常右主支气管与正中矢状面夹角为()
A.60°~85°
B.40°~50°
C.30°~40°
D.20°~30°
E.10°~20°
69、单项选择题 下列关于"外伤性主动脉瘤"的描述,错误的是()
A.常见于突然速伤
B.上纵隔影增宽
C.多伴心脏挫伤
D.好发于降主动脉处
E.是主动脉假性动脉瘤常见原因
70、单项选择题 当柯氏位投照时,听眦线与暗盒的夹角为()
A.0°
B.23°
C.45°
D.37°
E.15°
71、单项选择题 消化道管壁由内向外第三层为()
A.粘膜下层
B.外膜层
C.肌层
D.粘膜层
E.内膜层
72、单项选择题 关于踝关节描述正确的是()
A.关节间隙约为4~5mm
B.两侧踝关节轴线,应与踝关节横轴线在侧方构成75°角
C.距骨属于骨性半月板
D.距骨上关节面前后长度等于胫骨下关节面
E.其各关节面可以不平行
73、单项选择题 扁平足,常用的摄影体位是()
A.足侧位
B.足轴位
C.足斜位
D.足负重水平侧位
E.双曝光全足正位
74、配伍题 肠套叠()新生儿胃穿孔()先天性肥厚型幽门狭窄()先天性十二指肠闭锁()
A.足球征
B.弹簧圈表现
C.双泡征
D.肩样征
E.单泡征
75、多项选择题 骨盆骨折的常见并发症有()
A.血管损伤
B.膀胱损伤
C.尿道损伤
D.直肠损伤
E.神经损伤
76、单项选择题 特发性肺间质纤维化好发于()
A.肺门附近
B.上叶尖后段或下叶背段
C.胸膜下区
D.双下肺野
E.双肺弥漫分布
77、单项选择题 内生软骨瘤最好发的部位是()
A.四肢长骨
B.骨盆
C.颅面骨
D.手足短骨
E.脊柱
78、多项选择题 下列关于肾癌的影像,正确的为()
A.肾影局限性增大
B.IVP正常也不能完全除外肾癌
C.肾盂、肾盏移位
D.均有肾盂积水、肾功能降低
E.肾盂内可有充盈缺损
79、多项选择题 下列哪些因素与辐射损伤有关()
A.辐射线的性质
B.X线剂量
C.照射部位和范围
D.血型
E.照射方式
80、单项选择题 肺叶外型肺隔离症的供血动脉来自()
A.肋间动脉
B.腹主动脉
C.升主动脉
D.门静脉
E.奇静脉
81、单项选择题
男,65岁,咳嗽,右胸痛,痰中带血丝1周。胸部后前位片示:右肺门影增大,右上肺大片状致密影,水平裂呈反“S”样改变。
被阻塞的支气管()
A.右主支气管
B.右肺上叶支气管
C.右肺上叶前段支气管
D.右肺中叶支气管
E.右肺上叶尖后段支气管
82、名词解释 染色体病
83、单项选择题 双乳肿块,月经前胀痛,月经来潮后缓解,应首先考虑()
A.乳腺纤维腺瘤
B.乳腺癌
C.急性乳腺炎
D.乳腺结核
E.乳腺囊性增生病
84、单项选择题 乳腺钼靶常规摄影位置为()
A.轴位+斜位
B.轴位+侧位
C.侧位+斜位
D.轴位+放大摄影
E.侧位+放大摄影
85、单项选择题 下述关于多发性骨软骨瘤恶变的征象,不正确的是()
A.远处出现转移性病灶
B.软骨帽增厚
C.钙化软骨帽密度变淡,边界不清
D.瘤体内出现透亮区
E.肿瘤生长缓慢或突然生长停止
86、单项选择题 关于胸部外伤,下列描述错误的是()
A.常有多发肋骨骨折
B.易并发皮下气肿、气胸
C.创伤性膈疝,右侧多见
D.常有肺不张
E.可有肺出血
87、判断题 骨髓瘤患者尿中的凝溶蛋白(Bence-Jones)均为阳性。
88、单项选择题 下列征象中,不符合诊断肠结核的X线表现是()
A.回盲部激惹现象
B.粘膜溃疡
C.小息肉样充盈缺损
D.病变偏于肠管一侧
E.可形成瘘管
89、单项选择题 人体由多少块骨组成()
A.204块
B.205块
C.206块
D.207块
E.208块
90、单项选择题 下列哪项关于乳腺癌的叙述不正确的是()
A.Paget病恶性程度较低
B.乳腺癌保乳术后应接受放疗
C.锁骨上淋巴结转移属远处转移
D.原位癌患者可以不行腋窝淋巴结清扫
E.雌孕激素受体阳性的病例内分泌治疗效果好
91、判断题 局限性纤维化表现为结节、肿块、肺段及肺叶阴影时,纤维化与增殖性病变不能鉴别。
92、单项选择题
男,28岁,右上肢疼痛,夜间加重,服用止痛药可缓解,结合图像,最可能的诊断是()
A.骨瘤
B.骨软骨瘤
C.骨样骨瘤
D.骨囊肿
E.成骨细胞瘤
93、多项选择题 含气支气管像或细支气管像多见于()
A.鳞状上皮癌
B.鳞腺癌
C.细支气管肺泡癌
D.腺癌
E.大细胞癌
94、单项选择题 肺静脉高压诊断的重要指征是()
A.间隔线出现
B.上肺静脉扩张
C.胸腔少量积液
D.钙化灶
E.含铁血黄素沉着
95、配伍题 胃癌的好发部位为()胃溃疡的好发部位在()哪个部位见到的溃疡性病变应疑为癌()十二指肠溃疡好发于()
A.小弯
B.大弯
C.胃角
D.胃窦
E.十二指肠球部
96、单项选择题 肺源性心脏病主要表现是()
A.左心房、右心室增大
B.左心房,右心室增大
C.右心房增大
D.左心室增大
E.右心室肥大
97、单项选择题 关于钼靶X线机的结构的叙述,错误的是()
A.按乳房生理特征设计
B.阳极为散热性好的铜体上嵌以钼
C.阳极倾角为19°
D.阴极接地
E.线焦点
98、多项选择题 可使脑膜中动脉压迹异常增粗、迂曲者()
A.血管瘤
B.颅骨恶性肿瘤
C.转移瘤
D.星型胶质细胞瘤
E.脑膜瘤
99、单项选择题 下述哪种病变,腹部平片价值最低()
A.肾结石
B.消化道穿孔
C.输尿管结石
D.原发性肝癌
E.大量腹水
100、单项选择题 支气管扩张的正确表现为()
A.后天病因有肺炎、慢性支气管炎
B.看不到气液平面
C.有支气管扩张的肺叶膨胀
D.可发生于各个肺叶,但上叶最多见
E.可有囊状扩张、柱状扩张
101、问答题 十二指肠溃疡的X线表现有哪些?
102、单项选择题 肺结核发病1~2周内,临床症状明显,X线表现阴性的是()
A.原发性肺结核
B.慢性纤维空洞型肺结核
C.血行播散型肺结核
D.结核性胸膜炎
E.浸润型肺结核
103、单项选择题 下列不属于肺实质的是()
A.肺泡管
B.肺泡囊
C.肺泡
D.肺泡壁
E.肺泡间隔
104、名词解释 间位结肠
105、单项选择题
在X线摄片中,下列解剖部位哪些能投影于眼眶当中()
a.内听道
b.上颌窦
c.蝶鞍
d.视神经孔
e.颞颌关节
A.a,b,c
B.a,d,e
C.a,b,d
D.b,c,d
E.c,d,e
106、判断题 骨瘤是一种成骨性良性肿瘤,均起源于膜内成骨。
107、单项选择题 先天性巨结肠的常见X线征象是()
A.近端结肠扩张而远端无狭窄段
B.近端结肠狭窄,远端结肠扩张,并伴有功能障碍
C.远端结肠狭窄,近端结肠扩张,并伴有功能障碍
D.结肠病变区无钡剂潴留现象
E.结肠仅有功能障碍
108、单项选择题 听小骨位于下列解剖部位中的哪项()
A.前庭
B.半规管
C.蜗牛
D.鼓室
E.外耳道
109、判断题 早期胃癌全部能在优质的双重对比造影片上显示出来。
110、单项选择题 下述不属于血源性肺脓肿的X线征象的是()
A.病变多发
B.形成薄壁空洞
C.空洞周围大片渗出
D.可有液平
E.可无液平
111、单项选择题 下列有关“椎弓崩裂”描述中,哪项错误()
A.90%位于第三腰椎
B.多为双侧性
C.常有脊椎滑脱
D.斜位片价值最高
E.椎弓峡部骨质缺损
112、单项选择题 男,38岁,钡餐示食管壁张力减低,蠕动减弱,钡剂排空延迟,并见食管下段有串珠状充盈缺损影,首先应考虑()
A.食管下段静脉曲张
B.食管粘膜下平滑肌瘤
C.返流性食管炎
D.食管裂孔疝
E.食管癌
113、单项选择题 白星是指星状形中央的肿块影,常见于()
A.乳腺纤维瘤透明变性
B.乳腺硬化性导管增生
C.乳腺浸润性导管癌
D.乳腺术后瘢痕
E.乳腺脓肿
114、单项选择题 下列“原发性肝癌高危人群”中,错误的是()
A.肝炎后肝硬化
B.血吸虫肝病
C.急性肝炎
D.肝癌家族
E.血色病性肝硬化
115、配伍题 慢性支气管炎可出现()肺癌可出现()间质性肺水肿可出现()
A.支气管憩室征
B.支气管截断征
C.空气支气管征
D.支气管宽径征
E.支气管周围袖套征
116、多项选择题 X线的化学特性有()
A.荧光特性
B.着色作用
C.物理特性
D.感光作用
E.生物特性
117、多项选择题 病理性骨折的全身性病变见于()
A.骨质软化
B.骨肿瘤
C.骨肿瘤样病变
D.骨发育障碍
E.骨质疏松
118、单项选择题 对影像增强器电子透镜的解释,下列错误的是()
A.由各电极组成
B.对电子起聚焦作用
C.对电子进行放大
D.对电子进行加速
E.形成缩小增强的电子像
119、单项选择题 下列哪项不是骨纤维结构不良的X线表现()
A.骨皮质膨胀,无骨膜反应
B.颅骨硬化及颅底畸形
C.骨干囊状透亮区,呈磨砂玻璃状
D.骨骺延迟闭合,无病理骨折
E.病变呈多房状
120、单项选择题 在静脉快速注入对比剂后的几分钟正常肾实质显影()
A.0.5分钟
B.1分钟
C.2分钟
D.3分钟
E.4分钟
121、单项选择题 有关解剖学方位的描述,下列错误的是()
A.近头为上
B.近体表为浅
C.近正中矢状面为内侧
D.近肢侧为近端
E.近腹为前
122、单项选择题
患者,女,46岁,胸闷气短1月,伴全身乏力,咳嗽,发热。胸片示:中上纵隔增宽,右缘呈波浪状改变。白细胞:8.5×10/L。
当病人出现声音嘶哑时,提示肿瘤已侵犯()
A.声带
B.迷走神经
C.喉上神经
D.喉返神经
E.气管隆突
123、单项选择题
女,50岁,因右侧骶髂关节疼痛半年伴左下腹部疼痛,血尿1天,X线检查如图所示,最可能的诊断是()
A.右侧骶髂关节炎
B.右侧致密性骶髂关节炎
C.左侧输尿管下端结石
D.右侧致密性骶髂关节炎;左侧输尿管下端结石
E.以上均不正确
124、多项选择题 下列组合,正确的是()
A.左前斜位——中心线经被照体的右后射向左前
B.右前斜位——中心线经被照体的左后射向右前
C.右后斜位——中心线经被照体的左前射向右后
D.左后斜位——中心线经被照体的左前射向右后
E.斜位——中心线经被照体的前面射向后面
125、单项选择题 男,5岁,腹痛,黏液便并偶带血10多天,钡灌肠见乙状结肠远端有1cm×1cm大小圆形充盈缺损,边缘光滑,可活动,最可能的诊断是()
A.结肠息肉恶变
B.结肠炎
C.结肠息肉
D.结肠癌
E.结肠憩室
126、单项选择题 肺内血肿可为()
A.X线胸片呈肺野磨玻璃样变或面纱征
B.X线胸片呈多发边缘锐利、密度均匀高密度影
C.X线胸片呈一侧胸腔一片致密均匀阴影,纵隔向健侧移位
D.X线胸片呈纵隔气肿,大量气胸
E.X线胸片呈心影明显增大,心脏各弧消失
127、填空题 鼻真菌病常见致病菌有__________、_________和__________。
128、多项选择题 下列属于扁骨者为()
A.颅骨
B.肩胛骨
C.脊椎骨
D.颞骨
E.跗骨
129、单项选择题 骨髓瘤的X线表现中错误的是()
A.好发于颅骨、脊椎、骨盆、肋骨等部位
B.骨质普广泛疏松
C.颅骨呈多发性穿凿状破坏
D.椎弓根破坏
E.肋骨呈膨胀性分房状骨破坏
130、名词解释 Perkin方格
131、单项选择题 胸膜粘连最常见的是()
A.肺尖部胸膜
B.肋膈角处
C.心膈角处
D.纵隔胸膜
E.以上都不是
132、单项选择题 大叶性肺炎的充血期是指发病后()
A.6~12小时
B.12~24小时
C.24~48小时
D.48~96小时
E.96~120小时
133、单项选择题
女,47岁,腰背痛并向髋部和下肢放射,结合图像,最可能的诊断是()
A.腰5压缩性骨折
B.移行椎
C.脊椎裂
D.腰5椎弓峡部不连
E.Klipple-Feil综合征
134、名词解释 血运性肠梗阻
135、多项选择题 引起纵隔血肿的原因为()
A.车祸挤压伤
B.主动脉瘤破裂
C.咽后壁出血
D.自发性纵隔血肿
E.主动脉夹层破裂
136、单项选择题 下述肺泡细胞癌的诊断要点,错误的是()
A.咳嗽、大量咳痰
B.咯血
C.全身硬皮病者发病率高
D.痰细胞学检查可有阳性发现
E.胸片表现可类似感染性病变
137、单项选择题 大叶性肺炎实变期一般出现在()
A.发病后立即出现
B.发病后6~12小时
C.发病后12~24小时
D.发病后2~3天
E.发病后5~7天
138、名词解释 泪滴征
139、单项选择题 X线产生过程中,电子高速运动所需能量主要取决于()
A.管电压
B.管电流
C.灯丝焦点大小
D.旋转阳极转速
E.靶物质原子序数
140、单项选择题 下列有关“Turner综合征”描述中,哪项错误()
A.婴儿,四肢末端软组织水肿
B.四肢末端萎缩
C.可有颅底凹陷表现
D.成人,第四掌骨短小
E.成人,骨骺端畸形
141、判断题 十二指肠癌常于第1段或第2段形成狭窄和充盈缺损。
142、单项选择题 下述良性骨肿瘤中,哪项不会发生恶变()
A.骨脂肪瘤
B.骨软骨瘤
C.软骨母细胞瘤
D.骨母细胞瘤
E.骨巨细胞瘤
143、单项选择题 侧位X线片成人眼眶呈()
A.正方形
B.圆形
C.长方形
D.卵圆形
E.锥形
144、单项选择题 在胸部X线诊断中,错误的是()
A.左心室增大——左前斜摄片
B.中叶综合征——侧位摄片
C.肺结核——前弓位摄片
D.肺气肿——呼气时摄片
E.液气胸——卧位摄片
145、单项选择题 下列关于肾脏X线解剖描述错误的是()
A.KUB片上肾脏位于第12胸椎到第2~3腰椎两侧
B.侧位片上肾脏影一般在脊柱前缘的后方
C.肾内缘较外缘靠前
D.KUB片上可观察到肾周围的脂肪组织
E.正常情况下,肾上下左右均有一定的移动度
146、单项选择题 下列除哪项外,均为肋骨骨折的继发征象()
A.骨折线
B.气胸
C.液气胸
D.皮下气肿
E.纵隔气肿
147、单项选择题 眼球异物定位检查的主要目的是()
A.确定有无异物
B.确定异物的大小
C.确定异物的位置
D.确定异物的性质
E.确定手术方案
148、配伍题 男婴儿尿道梗阻的重要原因()成人尿道梗阻最常见原因()输尿管梗阻最常见的原因是()
A.结石
B.结核
C.肿瘤
D.狭窄
E.先天性后尿道瓣膜
149、配伍题 巨大右房见于()巨大左房见于()
A.二尖瓣狭窄
B.二尖瓣关闭不全
C.房间隔缺损
D.动脉导管未闭
E.Ebstein畸形
150、单项选择题 有关胸腔内生殖细胞瘤,错误的是()
A.多见于20~40岁
B.多起源于胸腺
C.多位于中纵隔
D.可见有脂肪信号
E.可见有囊性信号
151、多项选择题 房间隔缺损在左、右前斜位可见的X线征象有()
A.肺动脉段隆起
B.心前间隙缩小
C.左心房不大
D.右心室段延长或隆起
E.心前缘与胸骨接触面增加
152、问答题 绞窄性小肠梗阻的X线表现有哪些?
153、多项选择题 脊椎结核的较常见X线表现有()
A.大块死骨
B.椎间隙变窄或消失
C.后突畸形
D.寒性脓肿
E.骨质破坏
154、单项选择题 大叶性肺炎可累及()
A.肺叶的大部
B.肺叶的全部
C.肺叶的一部
D.以上都不是
E.以上都是
155、名词解释 反柯莱斯(reversedColles)骨折
156、多项选择题 属于腹主动脉分支的有哪些()
A.胃左动脉
B.脾动脉
C.肠系膜下动脉
D.结肠动脉
E.肝总动脉
157、单项选择题 在胸部右前斜位片反映右心室增大的早期征象是()
A.肺动脉圆锥部膨突
B.心前缘膨隆
C.心前下间隙缩小
D.膈面延长
E.无特异性
158、单项选择题 导致空洞型肺病变的最常见致病菌是()
A.金黄色葡萄球菌
B.肺炎双球菌
C.流感病毒
D.肺炎支原体
E.立克次体
159、单项选择题 诊断小肠克罗恩病较为特征性的X线表现是()
A.多发生于回肠远端
B.“卵石征”
C.“跳跃征”
D.管腔狭窄
E.纵行溃疡
160、单项选择题
男,72岁,喉部异物感2~3天。体检:咽喉部慢性充血,结合图像,最可能的诊断为()

A.正常表现
B.会厌征
C.颈椎退变
D.食管型颈椎病
E.以上都不是
161、单项选择题
男,38岁,感胸闷气逼2周余,近来加剧,不发热,X线检查如图,最可能的诊断是()

A.右侧肺不张
B.右侧胸膜肥厚
C.右侧大量胸腔积液
D.右侧中量胸腔积液
E.右侧气胸
162、单项选择题 包裹性胸腔积液的好发部位是()
A.后胸壁和侧胸壁
B.前、后肋膈角
C.叶间裂
D.前胸壁
E.肺尖部
163、单项选择题 先天性肛门闭锁,X线检查的最佳时间是()
A.婴儿出生后立即拍片
B.婴儿出生后10~12小时拍片
C.婴儿出生后20~24小时拍片
D.婴儿出生后8~10小时拍片
E.婴儿出生48小时后拍片
164、单项选择题
男,14岁,偶然发现双膝部肿块1天,双膝关节摄片如图,最可能的诊断是()
A.骨瘤
B.骨软骨瘤
C.局限性骨皮质增厚
D.软骨肉瘤
E.以上均不正确
165、单项选择题 下列哪项为组织来源未定的肿瘤为()
A.纤维肉瘤
B.骨巨细胞瘤
C.骨髓瘤
D.尤文肉瘤
E.脊索瘤
166、单项选择题 输尿管结核病变早期的表现为()
A.管腔狭窄甚至闭塞
B.管壁增厚
C.粘膜破坏,管腔扩张
D.输尿管发生钙化
E.管壁僵直
167、单项选择题
男,15天,进食呕吐5天、呼吸困难2天,如图所示,最可能的诊断为()

A.先天性肺气肿
B.左侧膈疝
C.右位心
D.右侧肺不张
E.右肺发育不全
168、单项选择题
属于颞骨的哪一部分()
a.乳突窦
b.上颌窦
c.蝶鞍
d.筛窦
e.内听道
A.a,b
B.a,e
C.a,c
D.c,d
E.d,e
169、单项选择题 胃癌最主要的转移方式是()
A.腹腔种植转移
B.血行转移
C.直接蔓延
D.淋巴结转移
E.以上都不是
170、多项选择题 摄片条件选择中可变因素的叙述,正确的是()
A.同厚度健康人的胸片,摄片条件一致
B.病理因素对摄片条件的影响非常重要
C.脂肪多的人需要增加照射量
D.骨结核与慢性骨髓炎相比,需增加摄片条件
E.组织构成比例是摄片条件选择的重要可变因素
171、单项选择题 女,25岁,低热,乏力,微咳,有蛔虫史,胸片见两肺下部斑状阴影,经抗结核治疗1周阴影消失,但其他部位又出现类似阴影,最可能的诊断是()
A.过敏性肺炎
B.支原体肺炎
C.葡萄球菌肺炎
D.肺结核
E.真菌性肺炎
172、单项选择题 胆脂瘤最多见于下列哪种类型乳突()
A.气化型乳突
B.混合型孔突
C.板障型乳突
D.与乳突类型无关
E.以上都不是
173、单项选择题 左前斜位上,心脏后下缘明显突出,提示()
A.左心房增大
B.右心房增大
C.左心室增大
D.右心室增大
E.主动脉增宽,迂曲
174、名词解释 水上浮莲征
175、单项选择题
男,32岁,因车祸致右髋关节肿痛,活动受限摄片如图示,最可能的诊断是()
A.骨盆Ⅰ型骨折
B.骨盆Ⅱ型骨折
C.骨盆Ⅲ型骨折
D.骨盆Ⅳ型骨折
E.以上均不是
176、单项选择题 IVP腹部立位像,左肾位于盆腔内,变换体位,可上下方向移位,左输尿管的长度与健侧相仿,应诊断为()
A.左侧游离肾
B.左侧异位肾
C.左侧移植肾
D.左侧肾下垂
E.左侧重复肾
177、单项选择题 女,35岁,右肺上叶后段薄壁空洞,直径3cm,内有较小的液面,空洞周围肺内有渗出病变,右下叶及左肺中下野有多发斑片状渗出影,最可能的诊断是()
A.肺结核病(干酪性肺炎)
B.肺脓肿
C.血源性肺脓肿
D.空洞型肺癌
E.肺霉菌病
178、单项选择题 有关环枢关节的描述,错误的是()
A.正常儿童齿状突至环椎前弓距离小于4.0mm
B.正常成人齿状突至环椎前弓距离为2.5~4.0mm
C.X线检查不能诊断半脱位
D.环枢关节半脱位可由齿状突发育畸形引起
E.MR检查有助于观察邻近结构的改变
179、单项选择题
女,6岁,低热,盗汗,咳痰,呼吸困难1月余,结合图像,最可能的诊断是()

A.肺脓肿
B.大叶性肺炎
C.右肺中叶综合征
D.肺癌
E.胸腔积液
180、单项选择题 骨瘤的好发部位是()
A.短骨
B.长骨
C.颜面骨
D.椎骨
E.肋骨
181、名词解释 狭颈征
182、多项选择题 下列哪几项属于乳腺恶性肿瘤的X线征象()
A.肿块边缘模糊
B.密度较均匀
C.肿块呈类圆形
D.密度增高
E.边缘有长或短毛刺
183、单项选择题
男,27岁,近2月来感胸闷,无咳嗽咳痰,不发热,X线检查如图,最可能的诊断是()

A.右侧包裹性胸腔积液
B.右侧肺不张
C.右侧游离性胸腔积液
D.右侧膈下脓肿
E.胸膜间皮瘤
184、单项选择题
男,17岁,来右前臂疼痛,肿胀近2年,2周前疼痛加剧,查体右前臂压痛明显,皮肤稍显红肿,结合图像,最可能诊断是()
A.骨囊肿
B.骨巨细胞瘤
C.动脉瘤样骨囊肿
D.软骨瘤
E.骨血管球瘤
185、单项选择题 下列胸腔积液影像,哪项不对()
A.正位片,100ml积液即可有肋膈角变钝、消失
B.立位片,中等量胸腔积液时不能显示患侧膈肌
C.正位片,后胸壁包裹性积液为边缘模糊致密影
D.切线位,包裹性积液为梭形致密影
E.正位片,斜裂叶间积液为片状模糊影
186、单项选择题
女,32岁,感胸闷、胸痛,X线检查如图,最可能的诊断是()

A.畸胎瘤
B.胸腺瘤
C.淋巴瘤
D.胸骨后甲状腺肿
E.神经源性肿瘤
187、多项选择题 关于头颅侧位投照,正确的体位是()
A.矢状面与台面平行
B.听眦线与台面平行
C.听眦线与台面垂直
D.瞳间线与台面垂直
E.听眶线与台面平行
188、单项选择题 乳腺囊性增生病的典型临床特征为()
A.肿块有压痛
B.乳腺胀痛与月经周期有关
C.肿块界限不清
D.肿块有结节
E.以上都不对
189、多项选择题 骨嗜酸性肉芽肿好发于()
A.颅骨
B.骨盆
C.肋骨
D.脊柱
E.股骨
190、单项选择题 关于“真菌性食管炎”,下列描述哪项不正确()
A.多为白色念珠菌感染
B.主要侵犯食管中上段
C.常有胸骨后疼痛和进食梗阻
D.轻者粘膜增粗,呈串珠状,重者偶有“鹅卵石征”
E.主要侵犯食管中下段
191、多项选择题 头颅柯氏位观察眼眶诸骨,包括下列哪些()
A.蝶骨大小翼
B.内听道
C.额骨眶顶部
D.乳突
E.眶上裂
192、单项选择题 典型的颅骨缺损、尿崩症和突眼三联征出现于()
A.骨嗜酸性肉芽肿
B.尼曼-皮克病
C.勒-薛病
D.高雪病
E.韩-薛-柯病
193、单项选择题 骨样骨瘤由以下哪两部分组成()
A.瘤巢和周围骨质硬化区
B.瘤巢和周围骨质破坏区
C.砂粒样物质和周围骨质破坏区
D.砂粒样物质和周围骨质硬化区
E.瘤巢和砂粒样物质
194、多项选择题
女,37岁,咽部异物感、咽痛伴反射性耳痛、头颈部不适近1年余,如图所示,下列描述正确的是()
A.左侧茎突长约3.5cm
B.右侧茎突长约4.0cm
C.双侧茎突过长综合征
D.右侧茎突过长综合征
E.正常茎突
195、单项选择题
男,13岁,右跟骨疼痛不适3周,右跟骨侧、轴位摄片如图示,最可能的诊断是()
A.右跟骨结核
B.右跟骨骨囊肿
C.右跟骨骨巨细胞瘤
D.右跟骨血管瘤
E.以上均不正确
196、单项选择题 下列肺部病变好发部位的描述,错误的是()
A.支气管肺炎:双下肺
B.肺结核:上叶尖后段或下叶背段
C.特发性肺间质纤维化:胸膜下区
D.中央型肺癌:肺门附近
E.肺隔离症:右肺上叶
197、单项选择题 下述室间隔缺损的X线表现,错误的是()
A.缺损小者,可无异常
B.左心房增大
C.左右心室扩大
D.肺动脉段突出
E.主动脉结增大
198、单项选择题
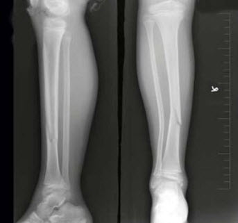
女,8岁,外伤后致右胫骨骨折,如图所示,下列描述正确的是()
A.对位好,对线差
B.对位差,对线好
C.对位对线好
D.对位对线差
E.以上均不正确
199、单项选择题 胰腺癌最好发于()
A.胰头
B.胰颈
C.胰体
D.胰尾
E.胰体、尾交界处
200、单项选择题 下列不属于成人化脓性骨髓炎特点的是()
A.多数只有局部症状和体征
B.发病缓慢
C.容易侵犯关节,导致功能障碍
D.无明显全身中毒症状
E.预后良好
201、单项选择题 先天性肩胛骨高位症,正确的摄片体位是()
A.双侧腕关节正位
B.双侧踝关节正位
C.双侧肩关节正位
D.双侧肩胛骨正位
E.双肩锁关节正位
202、单项选择题 观察左侧乳房时,常将其分为若干象限,下述哪种说法不正确()
A.时钟12~3点为外上象限
B.时钟3~6点为外下象限
C.时钟6~9点为内下象限
D.时钟9~12点为内上象限
E.乳头及乳晕区属外上象限
203、多项选择题
男,1岁零8个月,生长发育差,易患呼吸道感染,心悸气促,心脏正、侧位片检查如图所示,正确的描述和诊断是()

A.正位示心影向两侧扩大,心尖左移
B.肺纹理增多
C.侧位示心前间隙变窄,心后食管前三角间隙消失
D.房间隔缺损
E.室间隔缺损
204、配伍题 肘关节提携角()腕关节腕骨角()腕关节前倾角()股骨颈前倾角()
A.5°~20°
B.9°~20°
C.13°~20°
D.15°~20°
E.平均130°
205、单项选择题 间质性肺炎较特征的X线表现是()
A.蜂窝肺
B.网状阴影之间伴小点状致密阴影
C.肺纹理增粗模糊
D.肺气肿
E.肺门阴影增大,密度增高
206、单项选择题 金黄色葡萄球菌肺炎特征性X线征象是()
A.两肺多发团片影
B.肺脓肿形成
C.肺气囊形成
D.肺不张
E.脓气胸
207、判断题 癫痫的大发作及小发作都是原发性癫痫。
208、单项选择题 后纵隔最常见的肿瘤是()
A.胸内甲状腺肿
B.神经源性肿瘤
C.胸腺瘤
D.淋巴瘤
E.畸胎瘤
209、单项选择题 下述肺部病变X线描述,哪项不对()
A.癌性空洞,常有液平面
B.大叶性肺炎,渗出性改变
C.肺大量纤维化,纵隔常向患侧移位
D.肺内浅淡模糊影,渗出性病变
E.初染肺结核易经淋巴管播散,空洞少见
210、单项选择题 股骨干轴线与胫腓骨轴线的偏斜角度是()
A.5°
B.10°
C.15°
D.20°
E.25°
211、单项选择题 关于胶片γ值的叙述错误是()
A.γ值指胶片的反差系数
B.γ值大的胶片影像对比度小
C.γ值大的胶片宽容度小
D.γ值指的是直线部的斜率
E.X线胶片的γ值在2.5~3.0之间
212、判断题 Wolfe认为在P2和DY型的乳腺,其乳腺癌发病率远远高于N、P1型。
213、单项选择题 钡餐示“食管远端鸟嘴样狭窄”,则可除外()
A.贲门失弛缓症
B.食管裂孔疝
C.消化性溃疡
D.胃底贲门癌
E.食管静脉曲张
214、单项选择题 下述体表定位标志的描述,哪项不正确()
A.两侧髂嵴连线:第4腰椎水平
B.剑突:第7胸椎水平
C.喉结:第4颈椎水平
D.剑突与肚脐连线中点:第1腰椎水平
E.颈部棘突最长:第7颈椎
215、单项选择题 清晰可见肺野末梢血管的影像的细节指标是()
A.ф1mm
B.ф2mm
C.ф3mm
D.ф4mm
E.ф5mm
216、多项选择题 甲状旁腺功能亢进骨质硬化多见于()
A.下颌骨
B.骨盆
C.肋骨
D.脊柱
E.长骨
217、填空题 后天性食管裂孔疝的发病因素主要有_____________、_______________、______________、___________、_____________。
218、单项选择题
男,8岁,高热达38.5℃三天,如图所示,最可能的诊断为()

A.畸胎瘤
B.原发综合征
C.肺脓肿
D.包裹性胸腔积液
E.支气管肺炎
219、单项选择题 以间质改变为主的肺炎是()
A.支原体肺炎
B.肺炎球菌性肺炎
C.支气管肺炎
D.葡萄球菌性肺炎
E.放射性肺炎
220、名词解释 胃小区
221、判断题 中心型肺癌胸片上早期的X线表现是肺门肿块。
222、多项选择题 关于DR成像的叙述,正确的是()
A.X线数字摄片——Digital radiography
B.硒鼓技术利用硒接受X线照射后直接转换为电信号
C.直接放射成像是直接读取感应介质记录的X线信息
D.直接放射成像以数字化图像方式重放和记录
E.以上都正确
223、单项选择题 肺常见的球形病灶中,钙化特征不正确的()
A.错构瘤——爆米花样钙化
B.畸胎瘤——小骨块或牙齿影
C.肉芽肿——层板状钙化或中心钙化
D.肺癌——蛋壳样钙化
E.结核球——点状钙化
224、单项选择题
男,49岁,进行性吞咽困难1月,结合图像,最可能的诊断为()

A.正常食管
B.食管炎
C.食管癌
D.食管静脉曲张
E.胃炎
225、多项选择题 影响X线量的因素是()
A.靶物质的原子序数
B.高压电缆长度
C.X线管灯丝加热电流
D.管电压
E.自耦变压器
226、单项选择题 心房间隔缺损主要X线征象是()
A.主动脉结缩小或正常
B.肺门舞蹈征
C.右心房增大
D.左心室增大
E.肺动脉段突出
227、多项选择题 关于X线影像重叠的叙述,正确的是()
A.用前后和左右几个方向的摄片表现人体结构
B.胸片中看不到胸骨影像,是大物体(纵隔)密度大于小物体
C.膝关节正位照片中髌骨影像,是大小物体组织密度相等
D.肺野中的肋骨阴影很明显,是大小物体组织密度相等
E.以上都是
228、单项选择题 关于小儿胸腺影像错误的是()
A.位于前上纵隔
B.上缘界限不清
C.随呼吸改变形状
D.随体位改变形状
E.船帆征为病理征象
229、单项选择题 CR系统影像信息具有的动态范围是()
A.1:10
B.1:100
C.1:1000
D.1:10000
E.1:100000
230、单项选择题
女,35岁,左侧外踝可扪及一硬结,有轻压痛,结合影像学检查,最可能的诊断是()
A.骨瘤
B.骨软骨瘤
C.骨巨细胞瘤
D.骨肉瘤
E.骨样骨瘤
231、判断题 片状、结节状或球形影多数为间质性病变。
232、单项选择题 肾区及输尿管前后位摄片,中心线经()
A.肚脐
B.肚脐下3cm
C.剑突到肚脐连线中点
D.肚脐到耻骨联合连线中点
E.剑突到耻骨联合连线中点
233、单项选择题 关于阳性对比剂的叙述,错误的是()
A.与周围组织相比X线衰减系数大
B.与阴性对比剂相比X线衰减系数大
C.阳性对比剂易被X线透过
D.碘剂和钡剂均为阳性对比剂
E.非离子型对比剂毒性较小
234、单项选择题 观察上颌窦首选()
A.头颅正位
B.头颅侧位
C.柯氏位
D.颅底位
E.华氏位
235、问答题 心脏各房室增大的X线表现有哪些?
236、问答题 怎样诊断椎弓崩裂和脊椎滑脱?
237、判断题 腹膜后诸组织器官均没有良好的天然对比,也不需要引入对比剂。
238、单项选择题 放射线照射急性障碍在早期反复出现的症状是()
A.白细胞数减少
B.皮肤烧伤
C.肺纤维化
D.癌发生
E.口腔炎
239、单项选择题 椎间小关节囊是指()
A.包绕关节突后、外侧
B.包绕关节突前、后侧
C.包绕关节突前、内侧
D.若肥厚,可压迫神经根
E.关节囊松弛对关节稳定性无影响
240、判断题 Alexander型与Scheibe型畸形均为膜迷路发育畸形。
241、判断题 在疾病的早期进行X线检查,多有阳性发现。
242、单项选择题 X线管阳极靶面材料的特点不包括下列哪项 ( )
A.原子序数高
B.X线发生效率高
C.熔点高
D.焦点小
E.金属蒸发率低
243、单项选择题 下述ARDS影像,哪项不对()
A.7天以后:少数数病人可遗留肺纤维化
B.1天以内,多数患者胸片可无明显异常
C.1~3天:大片状融合影,内带分布
D.3~7天:两肺广泛大片影,可合并感染
E.1天以内:肺纹理增多、模糊,有斑片影
244、单项选择题 周围型肺癌短细毛刺的形成与下列哪项关系不大()
A.癌性浸润
B.癌性淋巴管炎
C.阻塞性肺气肿
D.支气管扩张
E.阻塞性肺炎
245、填空题 骨软骨瘤由___________、__________和_________3部分组成。
246、单项选择题
女,17岁,左髋部酸胀不适半年,骨盆正位片如图所示,最可能的诊断是()
A.骨髓炎
B.内生软骨瘤
C.骨纤维结构不良
D.骨斑点症
E.以上均不正确
247、单项选择题 下列疾病不属于骨关节肿瘤的是()
A.关节内骨软骨瘤病
B.动脉瘤样骨囊肿
C.骨软骨瘤
D.骨囊肿
E.腱鞘巨细胞瘤
248、单项选择题 心脏左前斜位摄片,身体冠状面与胶片夹角为()
A.20~25°
B.30~35°
C.40~45°
D.50~60°
E.60~70°
249、单项选择题 胸部后前立位标准片所见,哪项是错误的()
A.自肺门到肺外带肺纹理能连续追踪到
B.锁骨与第4后肋重叠,肺尖显示充分
C.肩胛骨投影于肺野之内
D.心影及膈肌后肺纹能追踪显示
E.肺野最大密度应在D小于1.75
250、单项选择题 骨膜增生的病因包括()
A.肿瘤
B.骨膜下出血
C.炎症或外伤
D.血管性病变
E.以上都是
251、问答题 二尖瓣关闭不全的X线表现有哪些?
252、单项选择题 下列组合,哪个是对的()
A.第1、2颈椎摄片——开口位
B.腰椎正位摄片——双膝要伸展
C.髋关节正位摄片——足尖外旋
D.消化道急腹症摄片——卧位
E.腕关节正位——前后位
253、名词解释 外侧髌股角(Laurin角)
254、单项选择题 左心室增大一般不出现于下列哪项()
A.二尖瓣狭窄
B.主动脉瓣狭窄
C.二尖瓣关闭不全
D.主动脉瓣关闭不全
E.高血压心脏病
255、判断题 肺动静脉瘘有两种病理类型,在临床都可出现青紫。
256、单项选择题
女,61岁,腹痛腹胀2年,结合图像,最可能的诊断为()

A.正常肠圈
B.十二指肠炎
C.降段憩室
D.水平段憩室
E.占位
257、单项选择题 下列哪项检查不属于X线特殊检查()
A.透视
B.高千伏摄影
C.记波摄影
D.荧光缩影
E.体层摄影
258、单项选择题 骨皮质内2/3的供血主要来源于()
A.滋养动脉
B.骨骺动脉
C.干骺动脉
D.骨膜动脉
E.骨内小动脉
259、单项选择题 右心室增大的X线表现中,错误的是()
A.后前位心尖抬高
B.后前位心尖下移
C.右前斜位,心前缘“圆锥部”膨凸
D.左前斜位,心前缘下段向前膨凸,相反搏动点上移
E.后前位心腰位置抬高
260、单项选择题 慢性肺源性心脏病的X线诊断依据是()
A.心脏突然增大,肺动脉段突出,上腔静脉扩张
B.肺部淤血,肺动脉高压,右心室增大
C.肺血管增粗,右心房增大,肺动脉段突出
D.肺部慢性病变,肺动脉高压,右心室增大
E.肺部充血,肺循环高压,右心房增大
261、名词解释 齿状线
262、多项选择题 观察气液平面或腹腔内游离气体可采用()
A.腹部仰卧前后位
B.腹部仰卧水平侧位
C.腹部站立前后位
D.部俯卧后前位
E.腹部左侧卧后前位
263、填空题 胸膜转移瘤其来源主要见于______、_________、____________及____________等。
264、单项选择题
男,63岁,进行性吞咽困难1月。食管钡餐示:食管下段粘膜不规则充盈缺损,管腔狭窄,贲门扩张欠佳。
病变侵及食管的()
A.粘膜层
B.粘膜下层
C.肌层
D.外膜
E.粘膜肌层
265、单项选择题 下列“先天性马蹄内翻足”骨质改变中,哪项不正确()
A.跖趾骨内收、跖曲
B.跟骨短而宽,跖曲内翻,向后下方移位
C.第一跖骨萎缩,第五跖骨肥大
D.舟骨短而宽,并向内旋转移位
E.距骨短而宽,距骨头脱位
266、单项选择题 长管状骨急性化脓性骨髓炎发病率从高到低的次序是()
A.胫骨>肱骨>股骨>桡骨
B.股骨>胫骨>肱骨>桡骨
C.肱骨>桡骨>胫骨>股骨
D.桡骨>肱骨>股骨>胫骨
E.胫骨>股骨>肱骨>桡骨
267、单项选择题 下列骨肿瘤样病变中,骨质膨胀呈“皂泡状”征象的是()
A.畸形性骨炎
B.孤立性骨囊肿
C.上皮样骨囊肿
D.动脉瘤样骨囊肿
E.骨纤维异常增殖症
268、多项选择题 有关中心线的叙述错误的是()
A.中心线是摄片方向的代表
B.远离中心线的射线能正确反映被照体的状况
C.中心线一般通过被摄部位的中心
D.可用准直器(遮线器)模拟指示
E.从X线管窗口射出的线即是中心线
269、多项选择题 下述哪些原因属毛细血管内静水压升高引起的肺水肿()
A.心肌病致左心衰竭
B.心肌炎致左心衰竭
C.左心瓣膜病变致左心衰竭
D.急性肾小球肾炎致左心衰竭
E.急性心肌梗死致左心衰竭
270、单项选择题 下列不同类型“肠梗阻”影像描述,哪项是错误的()
A.粘连性肠梗阻,假肿瘤征
B.小肠高位梗阻,消化管无明显积气、扩张
C.绞窄性肠梗阻,空回肠换位征
D.不完全性肠梗阻,结肠内可见到少量气体影
E.麻痹性肠梗阻,全消化道不同程度积气、扩张
271、单项选择题 脊柱骨软骨瘤多发生于()
A.椎体
B.棘突
C.小关节突
D.横突
E.椎弓
272、单项选择题 下列肺结核分型中,错误的是()
A.Ⅰ型肺结核:原发性肺结核
B.Ⅱ型肺结核:血行播散型肺结核
C.Ⅲ型肺结核:继发型肺结核
D.Ⅳ型肺结核:空洞型肺结核
E.Ⅴ型肺结核:其他肺外结核
273、单项选择题 食管贲门失弛缓症与食管下端癌的鉴别要点是()
A.狭窄上方食管明显扩张
B.食管蠕动减弱或消失
C.狭窄段粘膜完整,管壁柔软
D.钡剂通过缓慢
E.扩张食管内出现液平
274、单项选择题 以下成像方法,哪项对诊断颅脑病变价值最小()
A.CT
B.MRI
C.DSA
D.平片
E.透视
275、单项选择题 腹部平片对显示哪种肾先天性发育异常没有价值()
A.单纯异位肾
B.肾缺如
C.分叶肾
D.马蹄肾
E.侏儒肾
276、单项选择题 单侧肾绞痛伴血尿者,腹部平片无异常,静脉肾盂造影不显影,而逆行肾盂造影显示正常,应首先考虑()
A.结石
B.急性尿路感染
C.肾动脉感染
D.肾静脉栓塞
E.输尿管肿瘤
277、单项选择题 “蓬发心”是哪种疾病的特征影像()
A.结核性心包炎
B.石棉肺
C.心肌病
D.尿毒症
E.心包积液
278、多项选择题 哪些征象与良性胃溃疡有关()
A.激惹征
B.胃空腹滞留液较多
C.胃排空速度减慢
D.袖口征
E.肩胛征
279、判断题 同样大小的心脏,室间隔缺损的肺血较房间隔缺损肺血少。
280、名词解释 创伤性骨关节病
281、单项选择题 泌尿系统结核最常见的感染途径是()
A.淋巴系统途径
B.呼吸系统途径
C.消化系统途径
D.血行播散
E.接触传染途径
282、多项选择题 缩窄性心包炎的X线征象为()
A.心影增大
B.心影边缘不规则
C.上纵隔阴影增宽
D.心包钙化
E.胸膜增厚、粘连
283、多项选择题 下述哪些属硅酸盐肺()
A.石棉肺
B.滑石肺
C.矽肺
D.农民肺
E.棉尘肺
284、单项选择题 “消化道恶性肿瘤”,钡餐检查不能显示的是()
A.管壁僵硬
B.管腔狭窄
C.粘膜破坏、消失
D.腔内充盈缺损
E.狭颈征
285、单项选择题 先天性膈疝在以下各项中,哪种最常见()
A.主动脉裂孔疝
B.食管裂孔疝
C.腔静脉裂孔疝
D.Bochdalek孔疝
E.Morgagni孔疝
286、问答题 恶性骨肿瘤的X线表现有哪些?
287、配伍题 支气管异物可见于()食管自发破裂可见于()右上纵隔积液可见于()
A.V型征
B.上纵隔液平面影
C.右上纵隔增宽尖角征
D.纵隔压迫征
E.纵隔钟摆运动
288、单项选择题 下列哪项是胆管癌的直接征象()
A.扩张胆总管的远端显示肿块
B.肝脏弥漫性肿大
C.阻塞近端胆管明显扩张
D.肝门区显示肿大淋巴结
E.肝内见多发转移灶
289、问答题 上颌窦恶性肿瘤的X线表现有哪些?
290、单项选择题
男,38岁,口干,多饮多尿消瘦2月,结合图像,最可能的诊断为()

A.正常表现
B.胃憩室
C.胃溃疡
D.胃窦炎
E.胃癌
291、单项选择题 下述纵隔病变知识,错误的是()
A.急性纵隔炎,多继发于食管穿孔
B.慢性肉芽肿性纵隔炎,多位于前上1/4纵隔
C.纵隔炎症可致纵隔影增宽
D.慢性硬化性纵隔炎,多位于后下1/4纵隔
E.自发性纵隔气肿,与间质性肺气肿关系密切
292、多项选择题 下列脊椎结核的X线表现有()
A.椎体破坏
B.椎间隙变窄
C.椎旁软组织阴影增宽
D.椎旁韧带钙化
E.脊柱后突畸形
293、单项选择题 渗出性病变的胸片表现特点是()
A.云絮状浅淡模糊影
B.条索状密度增高影
C.边缘清楚致密影,密度比肋骨低
D.边缘清楚致密影,密度比肋骨高
E.肺透亮度增加,局部肺纹理缺如
294、单项选择题 除下列哪种疾病外,其余均可出现"肺血流再分配"现象()
A.肺动脉高压
B.二尖瓣狭窄
C.肺结核
D.左房黏液瘤
E.基底段支气管扩张
295、单项选择题 隆起型胃炎又称之为()
A.炎性息肉
B.浅表性胃炎
C.肥大性胃炎
D.萎缩性胃炎
E.疣状胃炎
296、单项选择题 十二指肠溃疡最常见的部位是()
A.水平部
B.球部
C.降部
D.球后部
E.小弯侧
297、填空题 常见腹主动脉病变有_______________、______________和_____________。
298、单项选择题
女,54岁,上腹部胀痛1月余,结合图像,最可能的诊断为()

A.正常胃
B.胃炎
C.胃窦炎
D.胃癌
E.胃溃疡
299、多项选择题 关节基本病变的X线表现为()
A.关节肿胀
B.关节破坏
C.关节退行性变
D.关节强直
E.关节脱位
300、多项选择题 Esenmenger综合征患者,可有哪些异常()
A.主动脉骑跨
B.完全性肺静脉异位引流
C.室间隔缺损
D.右心室肥大
E.房间隔缺损