时间:2025-09-25 04:43:12


1、多项选择题 衡量多层螺旋CT空间成像能力的重要指标是()
A.单个准直的宽度
B.横断面的分辨率
C.时间分辨率
D.探测器总宽度
E.Z轴空间分辨率
2、单项选择题 颅脑CT扫描的扫描基线不包括()
A.听眦线
B.听眉线
C.听眶线
D.听鼻线
E.眶耳线
3、单项选择题 CT显示颈前三角区囊性占位,可见钙化,囊壁有轻度增强,颈动脉受压与颈内静脉分离,最可能的诊断为()
A.动脉体瘤
B.鳃裂囊肿
C.神经鞘瘤
D.颈淋巴瘤
E.颌下腺混合瘤
4、单项选择题 “环行强化”是下列哪种肿瘤的强化特征()
A.室管膜瘤
B.听神经瘤
C.颅咽管瘤
D.松果体瘤
E.脑膜瘤
5、多项选择题 外伤性CCF最常见的三大临床表现为()
A.搏动性突眼
B.球结膜充血水肿
C.进行性视力下降
D.颅内杂音
E.视野缺损
6、单项选择题
男,62岁,左腹股沟可触及肿块,结合所示图像,正确答案是()
A.斜疝
B.精索脂肪肉瘤
C.淋巴瘤
D.黑色素瘤
E.以上都不是
7、单项选择题
男,56岁,尿频、尿急3月余,肉眼血尿1月余,结合所示图像,最可能的诊断()
A.膀胱癌伴出血
B.膀胱结石
C.膀胱憩室伴出血
D.慢性膀胱炎
E.膀胱憩室伴感染
8、单项选择题
根据所提供的图像,最可能的诊断为()
A.出血坏死性胰腺炎
B.脓肿
C.急性胰腺炎
D.假性囊肿
E.胰腺癌
9、单项选择题 腹内实质性脏器病变,宜先选用的检查是()
A.透视
B.摄片
C.B超
D.CT
E.脑血管造影
10、单项选择题
男,54岁,B超体检示肝左叶强回声团块影,CT表现如图,最可能的诊断是()
A.肝癌
B.肝腺瘤
C.肝母细胞瘤
D.肝血管瘤
E.肝脓肿
11、单项选择题 关于听小骨的描述,错误的是()
A.锤骨柄附着于鼓膜上
B.镫骨底板覆盖于卵圆窗
C.砧骨长突与镫骨头形成关节
D.锤骨头与砧骨短突形成关节
E.CT轴位图像,砧骨短突指向鼓窦入口
12、单项选择题 细胞毒性水肿常见于()
A.肿瘤破坏血脑屏障致脑水肿
B.炎症致血脑屏障破坏形成脑水肿
C.急性脑梗死致缺血坏死
D.梗阻性脑积水致脑室压力增高,通过室管膜向外渗漏
E.以上都不对
13、单项选择题 垂体瘤不会引起的症状是()
A.泌乳闭经综合征
B.Cushing综合征
C.肢体偏瘫
D.肢端肥大症和巨人症
E.视力障碍
14、单项选择题
男,50岁,中上腹饱胀、疼痛半年,消瘦,结合图像,最可能的诊断是()
A.淋巴瘤
B.胃腺瘤
C.胃癌
D.胃窦溃疡梗阻
E.胃平滑肌瘤
15、单项选择题 直肠癌腹会阴联合切口术后复发最常见的部位是()
A.会阴部
B.骶尾骨前区
C.盆腔侧壁
D.直肠吻合部
E.盆腔肠袢周围
16、单项选择题 已婚妇女,盆腔CT扫描为了显示阴道和宫颈的部位,应放置()
A.避孕环
B.碘油
C.纱布塞子或阴道栓
D.硫酸钡
E.碘水
17、单项选择题
女,42岁,经常头痛,近两个月出现抽搐四次,MRA检查如图,最可能的诊断为()
A.颅咽管瘤
B.脑膜瘤
C.动脉瘤
D.垂体瘤
E.颅内血肿
18、单项选择题
男,77岁,右侧肢体活动不灵伴昏迷1天余,右侧病理征(+),平扫CT检查如图,最可能的诊断为()

A.脑出血
B.脑梗死
C.脑炎
D.脑胶质瘤
E.脑转移瘤
19、单项选择题 肝脏的不规则增强是由于()
A.动脉期成像
B.肝转移
C.门静脉栓塞
D.胰腺癌
E.以上都不是
20、单项选择题 耳部冠状位扫描,患者的体位是()
A.坐位
B.左侧卧位
C.右侧卧位
D.俯卧或仰卧
E.侧斜卧位
21、单项选择题
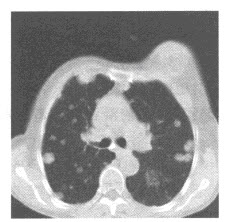
女,64岁,发热、咳嗽1周。胸部CT扫描如下图。
患者抗炎治疗2周后,行胸部CT增强扫描检查,如下图,则最具诊断意义的征象为()

A.多发钙化灶
B.多发含气囊腔
C.多发短毛刺
D.供血动脉起自降主动脉
E.供血动脉起自腹主动脉
22、多项选择题
女,33岁,右肋腹痛7天,尿检可见大量的脓细胞,CT平扫+增强如图所示,下列说法正确的是()
A.右肾体积增大,其内可见类圆形低密度病灶
B.增强扫描可见该病灶不均匀强化,其内有无强化的坏死灶
C.右肾病灶边界模糊不清
D.考虑为右肾囊肿合并感染
E.考虑为右肾脓肿
23、单项选择题
女,25岁,上腹疼痛不适,低热,有阿米巴痢疾病史,CT检查发现肝右叶低密度病变,如图,最可能的诊断是()
A.原发性肝癌
B.肝血管瘤
C.肝错构瘤
D.阿米巴肝脓肿
E.肝转移癌
24、单项选择题 构成骨组织的是()
A.骨细胞
B.软骨细胞
C.骨细胞、基质纤维和矿物质
D.骨细胞、脂肪细胞
E.基质、纤维
25、单项选择题
根据所提供的图像,最可能的诊断是()
A.单纯囊肿
B.囊肿出血
C.肾细胞癌
D.腺瘤
E.以上都不是
26、单项选择题
女,50岁,左下颈部扪及一质软、表面光整的包块,逐渐增大,现感疼痛,CT如图所示,最可能的诊断是()

A.甲状腺癌
B.食管癌
C.喉癌
D.甲状腺原发淋巴瘤
E.颈部神经鞘瘤
27、单项选择题 肝脏增强扫描动脉期,对以下哪种病变诊断价值最高()
A.原发性肝癌
B.肝脏炎性假瘤
C.局灶性结节增生
D.转移性肝癌
E.肝囊肿
28、单项选择题
女,43岁,两眼不能完全睁开,全身无力两年余。胸部CT扫描前纵隔内发现肿块,如图,最可能的诊断是()
A.畸胎瘤
B.心包囊肿
C.气管囊肿
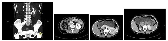
D.胸内甲状腺肿
E.胸腺瘤
29、单项选择题 下面对腹部CT扫描技术的描述错误的是()
A.患者仰卧,也可根据观察部位的需要采用侧卧位或俯卧位
B.摄取一个正位定位像
C.肝脏和脾脏以AM顶为扫描基线
D.胆囊和胰腺以肾门为扫描基线
E.腹膜后腔以肝门为扫描基线
30、单项选择题 患者感觉喉部通气不畅,呼吸短促,最可能的诊断为()
A.淋巴瘤
B.结节病
C.胸骨后甲状腺
D.结核
E.以上都不是
31、单项选择题 门静脉主干正常宽径()
A.≤9mm
B.≤15mm
C.15~20mm
D.≥20mm
E.≥25mm
32、单项选择题 脑静脉和静脉窦血栓形成的特征表现是()
A.平扫有"带"征,增强有"空三角征"
B.靠近脑表面的大片低密度区内见小的高密度影
C.双侧出血性脑梗死
D.脑萎缩,脑室系统扩大
E.大片低密度区内见高密度影
33、单项选择题 早期声带癌CT可表现为()
A.正常
B.声带固定于内侧位
C.杓状软骨移位
D.钙化性斑块
E.喉软骨破坏
34、单项选择题 右侧腮腺均匀低密度病变,病变中心CT值约为-100HU,最可能的诊断是()
A.血管瘤
B.脂肪瘤
C.多性形腺癌
D.腮腺囊肿
E.腮腺脓肿
35、单项选择题 在扫描过程中,被扫部位随意和不随意的运动,可产生哪种伪影()
A.移动条纹伪影
B.帽状伪影
C.杯状伪影
D.环状伪影
E.以上都可以
36、单项选择题 横轴位鼻咽腔的CT图像形态为()
A.硬腭水平呈长方形
B.软腭之上水平呈方形
C.咽隐窝水平呈梯形
D.咽鼓管隆突水平呈梯形
E.咽隐窝水平呈双梯形
37、单项选择题 根据CT工作原理,以下选择哪项是错误的()
A.探测器接收的信号须放大并经过模/数转换
B.模/数转换后的数据为显示数据
C.AP(阵列处理机)处理后的数据为显示数据
D.计算机控制扫描、数据采集、图像重建、显示和存储各个环节
E.图像存储包括摄片、磁带及光盘存储
38、单项选择题 有关正常成人肾脏,描述正确的是()
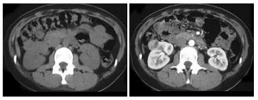
A.左肾体积较右肾略大,右肾位置较左肾低
B.左肾体积较右肾略大,右肾位置较左肾高
C.右肾体积较左肾略大,右肾位置较左肾高
D.右肾体积较左肾略大,右肾位置较左肾低
E.右肾体积与左肾等大,右肾位置较左肾高
39、单项选择题 脑外伤1年后CT扫描,下列哪种表现不易显示()
A.脑萎缩
B.脑积水
C.脑水肿
D.脑穿通畸形
E.脑软化
40、单项选择题 不是CT检查前患者的准备工作的是()
A.做盆腔扫描检查的患者,还需提前一天作好口服对比剂的准备
B.做腹部检查的患者,须根据检查的需要,事先作好口服对比剂或水等的准备
C.需要作增强的患者,应详细询问有无药物过敏史
D.昏迷的患者,须事先给予镇静剂
E.检查并去除被检部位的金属物品
41、多项选择题
女,14岁,左腰部胀痛,CT平扫+增强如图所示,下列说法正确的是()
A.左肾实质内可见两个类圆形的囊性病灶,边缘光整,增强后不强化
B.左肾后外侧缘可见一较大的囊性病灶,其壁薄而光整,考虑为肾包膜下囊肿
C.左肾后外侧缘可见一较大的囊性病灶,其壁薄而光滑,考虑为肾外囊性病灶
D.考虑为多囊肾
E.考虑为多发性肾囊肿
42、单项选择题 鞍区肿瘤平扫示混杂密度影,最可能的诊断是()
A.垂体瘤
B.脑膜瘤
C.颅咽管瘤
D.动脉瘤
E.脊索瘤
43、单项选择题 Cushing综合征最常见原因是()
A.嗜铬细胞瘤
B.肾上腺腺瘤
C.功能性肾上腺癌
D.胰岛细胞瘤
E.肾上腺皮质增生
44、单项选择题 急性出血坏死型胰腺炎的并发症不包括()
A.蜂窝织炎
B.脓肿
C.假性囊肿
D.胰腺管扩张
E.门静脉系统血管闭塞和血栓形成
45、单项选择题 在哪个时期,脑血肿与脑梗死的CT表现相仿()
A.超急性期
B.急性期
C.亚急性早期
D.亚急性晚期
E.慢性期
46、单项选择题 胶质母细胞瘤的鉴别诊断包括()
A.转移瘤
B.脑脓肿
C.吸收期血肿
D.梗死
E.以上都是
47、多项选择题 CT扫描的优点包括()
A.密度分辨力高
B.真正的断面图像
C.空间分辨力高
D.图像无层面以外的结构干扰
E.极限分辨力高
48、单项选择题
男,50岁,有吸烟史,自觉左侧颌下肿物1个月余。CT增强扫描如下图,应诊断为()
A.左侧颌下淋巴结转移
B.左侧颌下神经鞘瘤
C.左侧颌下淋巴结结核
D.颌下腺多形性腺瘤
E.颌下腺腺淋巴瘤
49、多项选择题 关于继发型肺结核,下列说法正确的是()
A.在我国分类法中属于Ⅵ型
B.好发于肺尖区、上叶尖后段及下叶背段
C.病变形式多样,其中包括干酪性肺炎、结核性空洞、支气管播散性结核、结核球、慢性纤维空洞型结核等
D.该型是成年组多见的结核,均是内源性感染
E.肺内已经静止的结核病灶,不会引起继发型肺结核
50、单项选择题 腔隙性脑梗死最常发生下列哪个部位()
A.枕叶
B.基底节区
C.脑干
D.顶叶
E.小脑半球
51、单项选择题 矩阵256×256、显示野20cm与矩阵512×512、显示野10cm,两种图像的像素大小()
A.前者0.5mm,后者0.25mm
B.前者较后者大
C.前者lmm,后者2mm
D.相等
E.前者较后者小
52、单项选择题
患者肝移植术后1月,结合图像,最可能的诊断为()
A.肝脓肿
B.正常术后表现
C.肝梗死
D.血肿
E.以上都不是
53、多项选择题 松果体瘤含有多种细胞成分可含有主质细胞以及胶质细胞和胚胎残余细胞,这些细胞可发生以下哪些肿瘤()
A.松果体细胞瘤
B.胶质细胞瘤
C.生殖细胞瘤
D.畸胎瘤
E.胚胎细胞瘤
54、单项选择题 数字量转换为模拟量称作()
A.D/B转换
B.D/C转换
C.D/A转换
D.B/D转换
E.C/D转换
55、单项选择题
女,25岁,颈部疼痛2年。CT示颈5右侧椎旁有一2cm×3cm软组织密度肿块,呈“哑铃”形,颈5~6右侧椎间孔扩大,诊断为()
A.神经源性肿瘤
B.淋巴瘤
C.巨细胞瘤
D.转移瘤
E.椎间盘突出
56、单项选择题
男孩,2岁,双眼疼痛1年,右侧眼球突出。CT平扫如图:

A.脉络膜
B.睫状体
C.虹膜
D.视网膜
E.玻璃体
57、单项选择题 肾上腺区示有含脂肪性肿块,边缘整齐,内有钙化,CT示有轻度强化,应首先诊断为()
A.肾上腺腺瘤
B.血管平滑肌脂肪瘤
C.肾上腺纤维瘤
D.髓样脂肪瘤
E.脂肪瘤
58、多项选择题 CT扫描常见的伪影有()
A.环形伪影
B.放射状伪影
C.月牙状伪影
D.条纹状伪影
E.以上全不是
59、单项选择题 下列哪项CT图像不如X线平片()
A.密度分辨率
B.空间分辨率
C.灰度等级
D.最大密度
E.最小密度
60、单项选择题
如图所示,最可能的诊断为()
A.脂肪肉瘤
B.肠系膜炎纤维化
C.肾血管肌肉脂肪瘤
D.肾出血后
E.以上都不是
61、单项选择题 以脑沟、脑池、脑裂增宽表现为主的“脑萎缩”称为()
A.外周型脑萎缩
B.中央型脑萎缩
C.髓质型脑萎缩
D.混合型脑萎缩
E.以上都不对
62、单项选择题
女,50岁,曾患乙型肝炎,肝硬化多年,右上腹胀痛1月余,CT检查如图所示,最可能的诊断为()
A.肝硬化、腹水伴胆管细胞癌
B.肝硬化、腹水伴原发性肝癌
C.肝硬化、腹水、肝癌并门脉癌栓
D.肝硬化、腹水并肝脓肿
E.肝硬化、腹水并肝血管瘤
63、多项选择题 位于CT扫描架中的部件是()
A.X线管
B.探测器
C.准直器
D.计算机
E.监视器
64、单项选择题 下列哪种肿瘤在肝脏的转移可出现钙化()
A.卵巢癌
B.脑星形细胞瘤
C.肺癌
D.膀胱癌
E.胰腺癌
65、单项选择题
女性,58岁。突感胸骨后疼痛来院就诊。行胸部CT平扫如图:

A.X线平片
B.胸部超声
C.MSCTA
D.MRI
E.放射性核素扫描
66、单项选择题
肺内结节病灶具有CT值为-32HU的地方,最可能的诊断为()
A.腺癌
B.转移瘤
C.错构瘤
D.梗死液化
E.结核球
67、多项选择题
男,45岁,心悸气促乏力,下肢肿胀半年余,胸部CT如图,最可能的诊断是()
A.考虑为缩窄性心包炎
B.心包钙化显著时也可称之为“盔甲心”
C.心包钙化多见于结核
D.X线、CT为常用检查方法
E.MRI显示增厚的心包较X线、CT优越,但显示心包钙化不敏感
68、单项选择题 盆腔CT扫描技术错误的是()
A.患者仰卧,头先进,侧面定位线平人体正中冠状面
B.定位像为身体盆腔正位定位像
C.扫描范围从髂嵴扫描至耻骨联合上缘
D.盆腔扫描采用标准或软组织模式
E.扫描膀胱和前列腺时采用5mm层厚,5mm间距
69、多项选择题 缩窄性心包炎的CT表现为()
A.心包不规则增厚,为5~20mm
B.心包增厚呈弥漫性或局限性
C.心包钙化
D.上下腔静脉扩张
E.增强扫描可见扩张的左、右心房,左、右心室呈管状
70、单项选择题 一般脑血肿多少天后可进入低密度期()
A.10天
B.20天
C.30天
D.40天
E.50天
71、单项选择题 关于肾癌CT增强扫描的描述,错误的是()
A.有助于明确病变存在
B.有助于确定病变范围
C.有助于与其他占位病变鉴别
D.有助于发现肾静脉和腔静脉癌栓
E.皮质期未发现明显病变可除外肿瘤
72、单项选择题 下面哪项是胸部CT扫描的适应证()
A.气管炎
B.支气管炎
C.肺炎
D.过敏性哮喘
E.咳嗽
73、单项选择题 关于CT机的工作原理描述,错误的是()
A.利用窄束X线穿透被检部位
B.透过被检体的X线被探测器接收直接成像
C.X线穿透被检部位时,其强度呈负指数关系衰减
D.计算机将模拟信号变成数字信号,再重建图像
E.A/D转换是将模拟信号转换成数字信号
74、单项选择题 内耳畸形包括()
A.前庭导水管扩大
B.面神经管异常
C.颈动脉异位
D.垂直外耳道
E.听小骨畸形
75、单项选择题
根据CT图像,最可能的诊断是()
A.肝腺瘤
B.局灶性结节增生
C.囊腺瘤
D.肝癌
E.肝血管瘤
76、单项选择题 下列哪一项不正确是壁厚性胆囊癌的CT特征性表现()
A.壁均匀增厚超过3mm
B.胆囊壁局限性不对称增厚
C.胆囊壁弥漫性不规则增厚
D.增强扫描显示胆囊不规则增强
E.肝门周围常有淋巴结转移
77、单项选择题 外伤性CCF是指()
A.颈内动脉海绵窦段分支与海绵窦直接沟通
B.颈内动脉岩骨段与海绵窦直接沟通
C.颈内动脉海绵窦段与海绵窦直接沟通
D.颈内动脉岩骨段分支与海绵窦直接沟通
E.颈外动脉与海绵窦直接沟通
78、单项选择题 患者,男,30岁,搏动性耳鸣,体检发现鼓膜后内侧透见红色肿物。CT显示鼓室内可见一类圆形软组织肿物,增强CT肿物明显强化,最大强化时间早于颈静脉、晚于颈动脉,拟诊为()
A.胆脂瘤,中耳炎
B.胆脂瘤,听骨链破坏
C.面神经瘤,听骨链破坏
D.颈静脉球瘤,颈内静脉裸露
E.中耳乳突炎,听骨链破坏
79、单项选择题
男,49岁,反复发作性癫痫,双手震颤5年,伴头昏行走不稳,生化检查:血清钙降低,血清磷升高,根据所提供图像,最可能的诊断是()
A.Fahr病
B.一氧化碳中毒性脑病
C.霉变甘蔗中毒
D.肝豆状核变性
E.甲旁低
80、单项选择题 鞍区CT扫描技术的叙述正确的是()
A.横断位扫描鞍区CT检查常规做增强扫描
B.冠状位扫描可用颅脑颌顶位或顶颌位
C.冠状位扫描层面尽可能与鞍底平行
D.冠状位扫描层厚和层间距视蝶鞍大小选择3~5mm
E.放大动态扫描主要用于大腺瘤
81、单项选择题 下列哪项是诊断肺隔离症的最有特征性的影像学表现()
A.病变多位于下叶后基底段
B.若不充气,表现为膈上椎旁高密度病变
C.若与支气管交通,表现囊性病变,内有液平面
D.增强扫描显示来自主动脉的血管进入病变区
E.必须具备A、B、C、D四项
82、单项选择题 侵袭性垂体腺瘤的表现为()
A.起源于垂体后叶
B.多显示平直的鞍膈
C.可以经海绵窦上侵及鞍旁
D.不会经海绵窦下侵及鞍旁
E.推移包绕颈外动脉
83、单项选择题 颅咽管瘤呈囊性时,需与下列哪种疾病相鉴别()
A.星形细胞瘤
B.巨大动脉瘤
C.血管母细胞瘤
D.生殖细胞瘤
E.蛛网膜囊肿
84、单项选择题
患者全髋修补术失败,1周后CT如图所示,最可能的诊断是()
A.正常术后改变
B.骨髓炎
C.骨肉瘤
D.骨软骨瘤
E.以上都不是
85、单项选择题 以下骨结构或病理改变中,X线或CT上表现为低密度的是()
A.骨皮质
B.骨髓腔
C.矿物质沉积
D.钙化
E.死骨
86、单项选择题 骨肉瘤的CT表现中,错误的是()
A.松质骨的斑片状缺损和皮质内表面的侵蚀
B.骨皮质全层的虫蚀状、斑片状缺损甚至大片缺损
C.软组织肿块常偏于病骨一则或围绕病骨生长
D.骨质增生表现为松质骨内不规则斑片状高密度影和骨皮质增厚
E.瘤骨分布在骨破坏区和软组织肿块内,密度与平片相似
87、单项选择题
患者第一肋骨切除术后,最可能的诊断为()
A.血胸
B.气胸
C.血气胸
D.肿瘤复发
E.以上都不是
88、单项选择题 下面关于肝脏CT增强扫描检查技术不合理的是()
A.肝脏增强通常采用"三期"扫描
B.动脉期延迟扫描时间25~30秒
C.门脉期延迟扫描时间60~70秒
D.实质期延迟扫描时间85~90秒
E.怀疑肝血管瘤,则实质期的延迟扫描时间为120秒
89、单项选择题
男,23岁,高热,咳铁锈色痰,胸部CT扫描如图,最可能的诊断为()


A.右上肺干酪性肺炎
B.右上肺金葡菌肺炎
C.右上肺大叶性肺炎
D.右上肺中央型肺癌
E.右上肺肺结核
90、单项选择题 男性脑转移瘤最多来自于哪种原发肿瘤()
A.结肠癌
B.乳腺癌
C.胃癌
D.肺癌
E.甲状腺癌
91、单项选择题 下列哪项不是结核性脑膜炎的CT表现()
A.基底池密度增高
B.基底池增强
C.脑积水
D.凸面脑膜增强
E.脑膜不增强
92、单项选择题 曝光时,X线管和探测器不动,而床带动病人动,称其()
A.增强扫描
B.定位扫描
C.连续扫描
D.动态扫描
E.重叠扫描
93、单项选择题 3岁男孩突发性腹痛,大便有血,腹部可触及包块,最有可能的诊断()
A.坏死性小肠炎
B.小肠扭转
C.小肠肿瘤
D.肠套叠
E.急性阑尾炎
94、单项选择题 脑梗死的坏死液化期,CT表现为()
A.等密度,边界模糊
B.低密度,边界模糊
C.低密度,边界清楚
D.等密度,边界清楚
E.混杂密度,边界清楚
95、单项选择题
男,36岁,左顶枕部肿胀、疼痛,局部隆起,CT检查如图,最可能的诊断为()
A.畸胎瘤
B.转移瘤
C.颅骨肿瘤
D.钙化灶
E.脑积水
96、单项选择题 下列膀胱癌的CT所见中,不正确的是()
A.带蒂的肿瘤可显示其蒂
B.累及邻近器官
C.累及膀胱周围组织
D.显示腔内的肿瘤
E.肿瘤蔓延达盆壁
97、单项选择题 下列关于Budd-Chiari综合征的影像,哪一项是错误的()
A.多数患者有腹水征
B.增强早期肝脏呈不均质改变
C.肝静脉变窄,显示不清
D.肝脏体积增大
E.CT诊断优于DSA
98、单项选择题
对右肺的描述如图,正确的是()
A.右肺分2叶
B.右肺有肺小舌
C.右肺宽且短
D.可分为8个支气管肺段
E.居右侧胸膜腔内
99、多项选择题 激光打印机的结构包括()
A.干燥系统
B.胶片传输系统
C.信息传递系统
D.信息存贮系统
E.循环系统
100、单项选择题 髂动脉狭窄经皮穿刺动脉成形术的适应症是()
A.髂动脉闭塞并严重钙化
B.髂动脉串珠状多发性长段狭窄
C.髂动脉狭窄并肢体溃疡形成
D.髂动脉狭窄但无血流动力学意义
E.髂动脉附近存在动脉瘤
101、单项选择题
女,2岁,两侧耳廓发育不对称,左侧听力差,如图所示,最可能的诊断为()
A.左侧外耳道闭锁
B.左侧中耳炎
C.左侧内耳道畸形
D.左侧胆脂瘤
E.左侧中耳炎胆脂瘤形成
102、单项选择题
对支气管肺段的描述如图,正确的是()
A.由肺间质构成
B.是二级支气管所属的肺组织
C.是四级支气管所属的肺组织
D.是二至四级支气管所属的肺组织
E.是每一肺段支气管及其分支分布区的全部肺组织
103、单项选择题 CT示左矢状窦旁高密度结节,宽基底附着于窦壁,无瘤周水肿,增强扫描有明显强化,最可能的诊断为()
A.神经纤维瘤
B.蛛网膜囊肿
C.脑膜瘤
D.蛛网膜颗粒
E.室管膜瘤
104、多项选择题
女,42岁,左侧腰背部胀痛不适1年余,5年前行左侧卵巢囊肿切除术,CT检查如图所示,下列说法正确的是()
A.左侧附件区可见一囊性肿物,压迫输尿管下段
B.左侧输尿管下端狭窄
C.左侧肾盂肾盏扩张积水
D.左侧输尿管中上段扩张
E.考虑为左侧卵巢囊肿术后复发压迫并粘连输尿管致其狭窄
105、单项选择题 若要明确诊断,应首选的方法为()
A.X线平片
B.胸部超声
C.MSCTA
D.MRI
E.放射性核素扫描
106、单项选择题 最常见的胆管癌类型是()
A.周围型胆管癌
B.肝门型胆管癌
C.肝外型胆管癌
D.壶腹型胆管癌
E.以上都不对
107、单项选择题 下列人体组织器官CT值低于0时的是()
A.肝脏
B.脑白质
C.肺
D.甲状腺
E.肌肉
108、单项选择题 与常规X线摄片比,关于CT影像特点的叙述,不妥的是()
A.CT影像是重建影像
B.CT影像是灰阶影像
C.CT影像的空间分辨率高
D.CT影像的密度分辨率高
E.CT扫描通过组织对X线的吸收系数来反映其密度的高低
109、多项选择题 大叶性肺炎的CT征象是()
A.病变呈大叶性或肺段性分布
B.病变中可见空气支气管征
C.病变密度不均匀
D.实变的肺叶体积通常与正常时相等
E.消散期病变呈散在的、大小不一的斑片状影
110、多项选择题 下列哪几项与鉴别结石、胰头癌及胆管癌引起的梗阻性黄疸有密切关系()
A.胆管及胰管扩张程度
B.胆管及胰管扩张平面
C.胆管形态及管壁厚度
D.肝脏大小及密度
E.有无结石和软组织肿块
111、单项选择题
女,35岁,咳嗽,咳痰,发热3月余,胸部CT如图,最可能的诊断为()
A.类风湿肺炎
B.红斑狼疮性肺炎
C.间质性肺炎
D.肺结节病
E.肺部感染
112、多项选择题 美国心脏病协会关于冠状动脉节段分法包括()
A.左冠状动脉主干
B.右冠状动脉主干
C.左前降支近、中、远段
D.左回旋支近、远段
E.右冠状动脉近、中、远段
113、单项选择题 直肠癌时,如在直肠周围脂肪组织中见到直径大于多少的软组织影应考虑有直肠周围肿大淋巴结。()
A.0.5cm
B.1.0cm
C.3.0cm
D.5.0cm
E.以上都不是
114、单项选择题
男,55岁,临床以黄疸就诊。CT增强扫描见肝内胆管轻度扩张,胆总管上段明显扩张,直径约15mm,胆总管下段见软组织肿块且有强化,如图所示,应考虑()
A.急性胆囊炎
B.胆总管结石
C.硬化性胆管炎
D.胆总管下段癌
E.以上都不是
115、单项选择题
男,56岁,有黑色素瘤病史,结合所示图像,最可能的诊断是()
A.肾上腺腺瘤
B.肾上腺髓样脂肪瘤
C.肾上腺癌
D.肾上腺转移癌
E.肾上腺嗜铬细胞瘤
116、单项选择题 视神经各段中最长的部分是()
A.视神经管内段
B.眼眶内段
C.颅内段
D.肌锥外段
E.视交叉区段
117、单项选择题 易出现脓胸或脓气胸的肺炎是()
A.大叶性肺炎
B.支原体肺炎
C.支气管肺炎
D.金黄色葡萄球菌肺炎
E.腺病毒性肺炎
118、单项选择题 下列关于多发性硬化亚洲型的病变特点描述正确的是()
A.发病率较高
B.病程发展慢
C.病变以脑白质坏死为主
D.临床症状较轻
E.常合并视神经和脊髓受累
119、单项选择题 关于“鼻咽癌”的特点,下列说法哪项错误()
A.临床无"颈静脉窝综合征"
B.鼻咽癌以鳞癌居多
C.肿瘤多位于咽隐窝
D.咽后淋巴结最易受累
E.咽旁间隙多向外移位
120、单项选择题 膀胱肿瘤好发的部位是()
A.尿道嵴
B.尿道内口
C.膀胱颈
D.膀胱三角
E.输尿管间襞
121、单项选择题 有关椎间盘变性的叙述,错误的是()
A.多发生于中老年人
B.髓核含气量增加
C.椎间盘以低信号为主
D.椎间盘内信号可不均匀
E.可伴有椎间盘突出
122、单项选择题
男,20岁,头痛、鼻塞、鼻出血,CT如图所示,最可能的诊断是()
A.鼻咽癌
B.巨大的鼻息肉
C.鼻咽纤维血管瘤
D.鼻咽神经纤维瘤
E.鼻咽腺样体增生
123、单项选择题 超声发现肾实质内2cm占位,进一步检查应首选()
A.静脉尿路造影
B.尿路平片
C.同位素扫描
D.CT
E.血管造影
124、单项选择题 正常成人腰椎侧隐窝前后径是()
A.>2mm
B.>3mm
C.>4mm
D.>5mm
E.>6mm
125、多项选择题 有关局灶性肝脂肪浸润,以下哪些是正确的()
A.病灶呈球状
B.与正常肝组织分界不清
C.无占位效应
D.周围血管无推移受压现象
E.增强后病灶区CT值升高不及正常肝组织
126、单项选择题 慢性化脓性鼻窦炎CT的特征性表现为()
A.鼻甲肥大
B.窦腔透过度减低
C.窦腔内积液
D.鼻窦粘膜增厚
E.窦壁骨质硬化增厚
127、单项选择题 甲状舌管囊肿最好发于()
A.下颌骨下缘后方,舌骨水平
B.胸锁乳突肌前缘下1/3
C.靠近颈中线,舌骨附近
D.耳垂前下方
E.以上都不是
128、单项选择题 鼻咽鳞状细胞癌的下列描述,错误的是()
A.可破坏邻近组织
B.倾向于血行转移
C.倾向于淋巴道转移
D.与EB病毒感染有关
E.颈深上部淋巴结转移最常见
129、单项选择题
男,45岁,胸痛,咳嗽,咳痰半月余,发热,有副鼻窦炎病史,CT检查如图,最可能的诊断是()
A.结节病
B.周围型肺癌
C.韦格肉芽肿
D.肺转移瘤
E.结核球
130、单项选择题
女,64岁,发现双甲状腺肿大1个月余,CT如图所示,最可能的诊断是()
A.结节性甲状腺肿
B.甲状腺腺瘤
C.甲状腺癌并淋巴结转移
D.甲状腺转移瘤
E.甲状腺结核
131、单项选择题
患者有一个细小的胰腺团块,结合图像,下列哪项陈述正确()
A.患者的病灶是不可切除的
B.可切除的
C.病灶是早期的
D.病灶局限于胰体
E.以上都不正确
132、单项选择题 决定CT机连续工作时间长短的关键指标是()
A.磁盘容量
B.电源容量
C.X线管阳极热容量
D.X线管焦点
E.计算机性能
133、单项选择题 下列哪项,不是CT扫描的适应证()
A.眼部外伤
B.眼眶内异物
C.眼的先天性疾病
D.近视眼
E.眼球及眶内肿物
134、多项选择题
女,57岁,右腰部胀痛6月余,触及右侧腹部包块2月,CT平扫及增强如图所示,下列说法正确的是()
A.平扫时可见右侧腹部巨大的软组织肿块影,其内可见小片状的低密度影
B.增强扫描肿块强化明显,其内可见无强化的低密度坏死灶
C.考虑肿块来源于肝脏,是原发性肝癌,并挤压推移右肾
D.考虑肿块来源于右肾,是巨大的肾癌,并挤压推移右肝,与其分界欠清
E.考虑肿块来源于右肾,是肾血管平滑肌脂肪瘤,并挤压推移右肝,与其分界欠清
135、单项选择题
男,38岁,反复咳嗽、咳痰伴发热15年余,痰结核菌素试验(—),结合CT图像,最可能的诊断是()
A.肺癌
B.肺结核
C.肺结节病
D.肺转移瘤
E.肺淀粉样变性
136、多项选择题 构成骨盆的骨骼是()
A.髂骨
B.骶骨
C.耻骨
D.尾骨
E.坐骨
137、单项选择题 男性,40岁,左侧耳下肿胀疼痛1个半月,表面皮肤正常。CT显示:右腮腺深叶增大,边缘模糊,增强扫描有强化,局部见少量气体密度影。最可能的诊断是()
A.腮腺良性肿瘤
B.腮腺恶性肿瘤
C.腮腺脓肿
D.腮腺转移瘤
E.腮腺良性增生
138、单项选择题
男,67岁,突感胸腹部疼痛就诊。既往高血压病史。CT检查如下图,最可能的诊断为()
A.动脉硬化
B.主动脉瘤
C.大动脉炎
D.主动脉夹层(StanfordA型)
E.主动脉夹层(StanfordB型)
139、单项选择题 急性胆囊炎最常见的病因是()
A.胆囊管过长、扭曲
B.螺旋瓣异常
C.肿瘤压迫
D.胆石嵌顿
E.蛔虫阻塞
140、单项选择题
男,13岁,右髋部疼痛不适,无红肿,结合所提供的图像,最可能的诊断是()
A.非骨化性纤维瘤
B.骨巨细胞瘤
C.畸形性骨炎
D.内生软骨瘤
E.骨纤维结构不良
141、单项选择题 输尿管结核的CT表现是()
A.充盈缺损为高密度边缘锐利
B.输尿管呈串珠状的狭窄及扩张
C.软组织密度块影无增强
D.软组织密度块影有增强
E.椎体前肿块影压迫输尿管使其梗阻
142、单项选择题
成人,头疼、发热,血象高,CT检查如图,最可能的诊断是()
A.脑脓肿
B.胶质瘤
C.皮样囊肿
D.脑梗死
E.脑膜瘤
143、单项选择题
男,52岁,双眼突出2~3年,结合图像,最可能的诊断是()
A.淋巴瘤
B.肌炎型炎性假瘤
C.眼肌发育异常
D.眼型Graves病
E.动静脉瘘合并眼外肌增粗
144、单项选择题 下述肾脏疾病的CT表现中哪项不正确()
A.肾盂癌-肾窦区肿块,密度高于尿液而低于肾实质
B.膀胱癌-自膀胱突向腔内肿块和(或)膀胱壁局限性不规则增厚
C.输尿管肿瘤-输尿管梗阻端类似肌肉密度的软组织肿块
D.肾撕裂伤-肾脏周围的新月状高密度病变
E.多囊肾-双肾布满多发大小不等圆形或圆卵形水样低密度病变
145、单项选择题 CT和MRI上骨破坏区显示液.液平面,常见于()
A.动脉瘤样骨囊肿
B.内生软骨瘤
C.骨样骨瘤
D.骨纤维异常增殖症
E.骨肉瘤
146、多项选择题 颅内结核瘤在CT扫描时有以下几种特点()
A.单发或多发结节
B.病灶钙化
C.环状强化的病灶
D.病灶周围有明显水肿
E.靶征
147、单项选择题 可触摸的腹部团块是()
A.淋巴瘤
B.马蹄肾
C.肾下垂
D.旋转不良症
E.以上都不是
148、单项选择题 下列哪种肿瘤常可出现囊状扩张性骨转移()
A.肺癌
B.胃癌
C.直肠癌
D.甲状腺癌
E.宫颈癌
149、单项选择题 关于腹部脏器的增强扫描CT检查,错误的是()
A.采用静脉内团注法
B.门脉期延迟扫描时间60~70秒
C.实质期延迟扫描时间85~90秒
D.怀疑肝血管瘤,则实质期的延迟扫描时间为30~50分钟
E.肾脏增强扫描通常应扫描皮质期、髓质期和分泌期
150、单项选择题 女,49岁,发现右乳肿块2个月,质硬,表面不光滑,与皮肤及深部无明显粘连,无压痛。右腋窝可触及一个杏仁大淋巴结,尚活动。若为乳腺癌,应选择的治疗方案为()
A.全乳切除术,术前化疗
B.乳腺癌根治术,术前化疗
C.全乳切除术,术后辅以放疗
D.乳腺癌根治术,术后辅以放疗或化疗
E.应用CMF方案化疗
151、单项选择题 脑内多发海绵状血管瘤与转移瘤鉴别的主要依据()
A.肿瘤部位
B.肿瘤大小
C.肿瘤密度
D.有钙化
E.瘤周旁水肿
152、单项选择题 冠状动脉弥漫狭窄是指狭窄长度()
A.大于10mm
B.大于15mm
C.大于20mm
D.大于25mm
E.大于30mm
153、单项选择题 CT机计算机房的温度应保持在()
A.18℃~25℃
B.18℃~22℃
C.18℃~28℃
D.16℃~24℃
E.18℃~26℃
154、多项选择题
女,35岁,右侧腰部不适,CT增强扫描如图所示,下列说法正确的是()
A.右肾轮廓明显小于左侧,边缘光滑规则
B.左肾代偿性肥大
C.考虑为右小肾畸形
D.右肾完全无功能
E.考虑为右肾肾自截
155、单项选择题 横轴位鼻咽腔CT图像表现为双梯形的层面位于()
A.咽隐窝水平
B.软腭上水平
C.咽旁间隙水平
D.硬腭水平
E.咽鼓管隆突水平
156、单项选择题 X线检查与CT比较,不易显示的病变是()
A.骨折
B.金属异物
C.骨结核
D.骨肿瘤
E.软组织内出血
157、单项选择题 女性,35岁,因不孕就诊,CT扫描子宫增大呈分叶状,表面光滑,子宫肌壁内实性低密度影,有钙化,宫腔受压移位,首先考虑的应该为()
A.葡萄胎
B.子宫内膜癌
C.子宫肌瘤
D.子宫肌腺瘤
E.妊娠
158、单项选择题 脊椎结核的影像学检查,CT优于X线平片主要是在于显示()
A.骨质破坏
B.椎间隙狭窄
C.骨质增生
D.椎管内脓肿
E.钙化
159、单项选择题 胃癌患者,胸痛1个月,进行性加重,最近出现呼吸困难。CT平扫发现左侧多发散在的胸膜结节,并见大量胸腔积液,CT增强扫描结节明显强化。 最可能的诊断为()
A.并发结核性胸膜炎
B.并发液气胸
C.并发肺转移瘤
D.并发胸膜转移瘤
E.弥漫性胸膜间皮瘤
160、单项选择题
女,19岁,低热,盗汗,乏力,咳嗽1月余,CT检查如图,最可能的诊断是()
A.间质性肺炎
B.弥漫型肺癌
C.粟粒型肺结核
D.矽肺
E.大叶性肺炎
161、多项选择题 有关结核瘤与周围型肺癌的鉴别点,正确的是()
A.结核瘤边缘光滑,癌有分叶及毛刺
B.癌有典型胸膜凹陷征
C.结核瘤周围有点片状钙化及卫星灶
D.癌无钙化及空洞
E.中老年人,以往胸片正常,肺内新发结节病变,首先考虑癌
162、单项选择题 心脏粘液瘤,最常见于()
A.右心房内
B.右心室内
C.左心房内
D.左心室内
E.心包腔内
163、单项选择题 下列关于鼻窦囊肿的描述,错误的是()
A.黏液囊肿多见于额窦
B.黏液囊肿可引起窦壁骨质吸收
C.黏膜下囊肿好发于上颌窦
D.CT容易区别黏膜下囊肿和黏液腺囊肿
E.额窦黏液囊肿可压迫眼球移位
164、单项选择题 肾上腺营养不良的脑白质病理机制()
A.髓鞘脱失
B.髓鞘生成不良
C.炎性浸润
D.脑白质退变
E.脑白质缺血
165、单项选择题
男,33岁,颈部包块半年余,可随吞咽上下移动,结合影像学检查,最可能的诊断是()

A.胸腺瘤
B.淋巴瘤
C.纵隔畸胎瘤
D.淋巴管瘤
E.胸骨后甲状腺肿
166、多项选择题 男,63岁,右侧听力下降半年,CT示右侧桥脑小脑脚区略低密度病灶,脑干轻度受压。下列哪些是正确的()
A.,病灶临近脑池的改变对鉴别诊断具有重要价值
B.病灶临近脑池的改变对听神经瘤与脑膜瘤的鉴别有意义
C.内听道有无扩大对听神经瘤与脑膜瘤的鉴别有意义
D.岩骨有无增生对听神经瘤与脑膜瘤的鉴别有意义
E.有无强化对听神经瘤与脑膜瘤的鉴别有重要意义
167、多项选择题
女,6个月,CT扫描如图所示,下列说法正确的是()
A.双侧肾盂积水
B.双侧肾门朝向前内方
C.双肾下极融合
D.考虑为异位肾
E.考虑为马蹄肾
168、多项选择题
男,62岁,因排尿困难2年,加重伴二段排尿1月,CT扫描如图,下列说法正确的是()
A.膀胱后方可见多个囊性病灶
B.病灶壁薄,其囊内容物CT值与膀胱内尿液相同
C.增强后延迟扫描可见病灶内对比剂充盈,与膀胱之间可见一孔状通道
D.考虑为膀胱憩室
E.考虑为盆腔囊肿
169、多项选择题 颈动脉三角的边界包括()
A.胸骨甲状肌
B.二腹肌前腹
C.肩胛舌骨肌
D.二腹肌后腹
E.胸锁乳突肌前缘
170、单项选择题 肺淀粉样变性分型,下列哪项不在其内()
A.肿瘤型
B.肺炎型
C.弥漫肺泡间隔型
D.气管支气管型
E.胸膜型
171、多项选择题 CT用于法洛四联症的主要价值为()
A.显示外周肺动脉
B.显示侧支血管
C.显示冠状动脉
D.显示肺部畸形
E.以上都不是
172、单项选择题
根据所提供的图像,可除外下列哪种诊断()
A.十二指肠间质瘤
B.十二指肠转移癌
C.胰腺腺癌
D.淋巴瘤
E.以上都不是
173、单项选择题 CT平扫,除下述哪种病变外,其余病变均可有钙化()
A.肝脏黑色素瘤
B.肝内胆管结石
C.酒精性肝病
D.结肠癌肝转移
E.肝脏血吸虫病
174、单项选择题 下面哪项不是颅脑扫描技术()
A.平扫
B.增强扫描
C.脑血管造影
D.脑血流灌注
E.脑池碘水造影
175、单项选择题 不符合脑脓肿CT表现的是()
A.病灶呈环形
B.可见强化的壁
C.腔内可见气体密度
D.病灶无瘤周水肿
E.明显占位效应
176、单项选择题 下面对颈部CT扫描技术的描述错误的是()
A.平扫,使颈部与床面平行,两外耳孔与床面等距
B.摄取颈部侧位定位像,在定位像上选择从胸腔入口至下颌角区域进行扫描
C.甲状腺扫描范围从第5颈椎下缘至第1胸椎
D.甲状腺的扫描层厚与层间距可用10mm
E.扫描方式为螺旋或非螺旋均可
177、单项选择题
突然腹痛伴有血尿3天,来院行CT检查,如图所示,符合下列哪种疾病()
A.输尿管肿瘤
B.输尿管钙化
C.输尿管结石
D.输尿管异物
E.以上都是
178、单项选择题 下述有关腺病毒肺炎的描述错误的是()
A.病变可坏死
B.气管源性感染
C.累及肺实质较轻
D.早期侵犯大气管
E.吸收较慢
179、单项选择题 单凭CT平扫,难以诊断以下哪种病变()
A.垂体微腺瘤
B.椎间盘突出
C.肺癌
D.肺结核
E.肾结石
180、多项选择题 幕上良性Ⅰ、Ⅱ级星形细胞肿瘤影像CT征象为()
A.约1/4的病例侧有钙化
B.大多数表现为脑内混合密度病灶
C.肿瘤边界大多数清楚
D.增强扫描Ⅰ级星形细胞的肿瘤多无明显变化
E.90%瘤周出现水肿
181、单项选择题
男,45岁,右下腹包块伴进行性增大5月,有钝痛,体检:右下腹明显隆起,可触及一5cm×6cm包块,质中,活动差,影像检查如图,最可能的诊断为()
A.精原细胞瘤
B.腹股沟阴囊恶性间皮细胞瘤
C.腹外疝
D.阑尾脓肿
E.淋巴瘤
182、多项选择题 关于鞍上池横断面解剖部位正确的是()
A.池内前部有"V"字形交叉
B.位于两个颅中窝之间
C.五角形的鞍上池左缘邻接大脑脚
D.鞍上池可呈"五角形"或"六角形"
E.鞍上池的后角位于后缘中央,为脚间池
183、单项选择题
男,38岁,下腹疼痛、尿液混浊十余天,结合图像,最可能的诊断是()
A.阑尾周围脓肿
B.慢性膀胱炎
C.憩室炎膀胱瘘
D.结肠间质瘤
E.盆腔脓肿
184、单项选择题 脑室系统不包括()
A.中脑导水管
B.侧脑室
C.四脑室
D.三脑室
E.枕大池
185、单项选择题 胰腺癌CT主要的直接征象是哪项()
A.肿瘤侵犯胰周脏器
B.胰管阻塞
C.胆总管阻塞
D.胰腺局部增大、肿块形成
E.肿瘤侵犯胰周血管
186、单项选择题 男,12岁,头痛5天CT平扫示右侧裂池和鞍上池密度高,增强扫描呈铸形强化、最可能的诊断为()
A.脑胶质瘤
B.先天发育异常
C.脑膜瘤
D.脑结核
E.结核性脑膜炎
187、单项选择题 喉癌中伴淋巴结转移者多见于下列哪种疾病()
A.假声带癌
B.声门下癌
C.声带癌
D.声门上癌
E.喉室癌
188、单项选择题
女,18岁,平扫CT检查如图,最可能的诊断为()

A.脑裂畸形
B.脑梗死
C.脑炎
D.蛛网膜囊肿
E.脑积水
189、单项选择题 女性盆腔内软组织肿块,向上可达下腹部,肿块为囊实性,不规则,部分可钙化,肿块与子宫分界不清,伴有腹水和大网膜转移,最可能的诊断是()
A.淋巴瘤
B.宫颈癌
C.卵巢癌
D.膀胱癌
E.结肠癌
190、多项选择题 下面关于脾梗死的说法,正确的是()
A.多发生于脾边缘包膜下
B.梗死灶可出现增强
C.大小不等,单发或多发
D.病灶基底部贴近被膜,尖端向脾门
E.梗死后可致脾轮廓变形
191、单项选择题 女,14岁,癫痫,1年前蛛网膜下腔出血,CT示右颞叶前部有斑点样高密度灶,中度强化并见曲张血管,最可能的诊断为()
A.海绵状血管瘤
B.星形细胞瘤
C.动静脉畸形
D.少枝胶质细胞癌
E.动脉瘤
192、单项选择题
女,39岁,咳嗽伴轻微胸痛,CT检查如图,最可能的诊断是()
A.右下肺节段性不张
B.右下肺脓肿
C.右下肺周围型肺癌
D.右下肺炎性假瘤
E.右下肺肺泡细胞癌
193、单项选择题 采用下列哪种方法有助于鉴别小的肾血管平滑肌脂肪瘤与小肾癌()
A.薄层连续扫描以发现脂肪成分
B.增强扫描观察肿瘤强化情况
C.螺旋CT扫描
D.冠状位重建
E.以上都不是
194、单项选择题 下列关于子宫肌瘤的描述,哪项不正确()
A.是最常见的女性生殖系统肿瘤
B.较大的肌瘤可恶变
C.多发肌瘤不少见
D.以浆膜下肌瘤最常见
E.恶变者多为绝经后女性
195、单项选择题 肾上腺的CT图片,需测量肾上腺的长度及厚度,其主要原因是()
A.肾上腺太小,医生读片时无法测量
B.除外肾上腺皮质增生
C.测量其形状,协助诊断
D.肾上腺很小,可提醒诊断读片时注意
E.以上都是
196、单项选择题 关于肾淋巴瘤的CT表现,错误的是()
A.无肿块的双侧肾肿大
B.肾内有多发结节或局灶性结节
C.肾无功能
D.结节常钙化
E.单发局灶性不规则的肾实质肿块
197、单项选择题 女,22岁。发现左乳下方肿块,活动,光滑,与皮肤无粘连,2个月来,肿块无明显增大,腋窝淋巴结阴性,有乳癌家族史。首选检查是()
A.红外线
B.MRI
C.CT
D.钼靶
E.B超
198、单项选择题
女,31岁,左眼眶外上缘发现一包块,质软,余所见无明显异常,影像所见如图,最可能的诊断是()

A.畸胎瘤
B.错构瘤
C.脂肪瘤
D.表皮样囊肿
E.淋巴管瘤
199、单项选择题 腮腺混合瘤CT增强扫描常见表现是()
A.明显增强
B.均匀增强
C.不均匀增强
D.延迟增强
E.不增强
200、单项选择题
根据所提供的图像,最可能的诊断是()
A.脂肪瘤
B.吸收物
C.淋巴瘤
D.外来物
E.转移癌
201、单项选择题
女,6岁,胸闷,咳嗽,胸部CT如图,最可能的诊断为()


A.畸胎瘤
B.右侧液气胸
C.右肺肺大泡
D.右侧脓胸
E.支气管囊肿并感染
202、单项选择题 下列关于肝癌CT平扫检查概念错误的是()
A.大多数病灶为较低密度
B.脂肪肝或肝硬化时,肝与病灶间密度差缩小
C.肿瘤细胞分化越好,其密度与正常肝差异越大
D.可发生坏死、出血和钙化
E.脂肪肝特别显著时病灶成为较高密度
203、单项选择题
女,51岁,心脏手术后,突感胸痛,结合CT图像,最可能的诊断是()
A.肺栓塞
B.支气管扩张
C.肺水肿
D.肺癌
E.肺不张
204、单项选择题 脑脓肿壁形成早期,CT表现为()
A.水肿最明显
B.结节样强化
C.不均匀环形强化
D.均匀环形强化
E.无水肿
205、单项选择题
男,75岁,右侧胸痛伴咯血3月余,胸部CT提示右侧中央型肺癌,结合所示图像,该肾上腺疾病最可能的诊断为()
A.右侧肾上腺囊肿
B.右侧肾上腺转移癌
C.右侧肾上腺腺瘤
D.右侧肾上腺癌
E.右侧肾上腺嗜铬细胞瘤
206、单项选择题
女,55岁,右上腹痛,消瘦乏力3月,结合图像,最可能的诊断是()
A.肝血管瘤
B.肝腺瘤
C.肝癌
D.肝脓肿
E.肝转移癌
207、多项选择题 膀胱癌的CT表现有哪些()
A.膀胱壁突入腔内的软组织密度肿块
B.肿块大小不等,呈结节、分叶或菜花状
C.肿块密度常均匀,少数可见点状钙化
D.部分膀胱癌无明确肿块
E.增强延迟扫描表现为充盈缺损
208、单项选择题 CT对于诊断前列腺癌的主要意义在于()
A.早期诊断
B.与良性前列腺增生肥大鉴别
C.确定晚期病变范围
D.确定肿瘤是否穿破包膜
E.判断有无骨转移
209、单项选择题 关于卵巢浆液性囊腺癌的描述,哪项不正确()
A.多为单侧卵巢受累
B.早期就可有腹腔转移
C.可为囊实性质地
D.就诊时,瘤体多较大
E.囊壁厚,且厚度不均,可强化
210、单项选择题 螺旋CT与传统CT相比最突出的优势是()
A.重建速度快
B.体积扫描
C.扫描速度快
D.二维或三维成像效果好
E.单层或多层连续扫描
211、单项选择题
男,15岁,进行性头痛1年余,CT检查,最可能的诊断为()

A.脑膜瘤
B.脑血管畸形
C.转移瘤
D.淋巴瘤
E.胶质母细胞瘤
212、单项选择题 颈椎椎管前后径的正常下限是()
A.15mm
B.14mm
C.13mm
D.12mm
E.11mm
213、单项选择题 主动脉瘤形成的主要原因是()
A.感染
B.外伤
C.先天性畸形
D.中层囊性坏死
E.动脉粥样硬化
214、单项选择题 血脑屏障破坏所致的脑水肿,哪项正确()
A.细胞毒性水肿
B.血管源性水肿
C.间质水肿
D.A+B
E.A+B+C
215、多项选择题 肝腺瘤CT表现中,可见如下哪些征象()
A.平扫多为等或略低密度
B.平扫病灶中心可为高密度或低密度
C.增强扫描动脉期明显增强
D.增强后门脉期呈等密度
E.常侵犯门脉
216、单项选择题 为现代医学影像学的建立开劈先河的是()
A.MRI
B.DSA
C.CR
D.CT
E.DR
217、多项选择题 颅内良性肿瘤出现钙化常见于()
A.胆脂瘤
B.颅咽管瘤
C.垂体瘤
D.少枝胶质细胞瘤
E.脑膜瘤
218、单项选择题 下列哪项不符合睾丸肿瘤诊断要点()
A.多为恶性肿瘤
B.精原细胞瘤发病年龄比胚胎性癌略大
C.多因睾丸无痛性、进行性增大就诊
D.只扫描盆腔能完全满足诊断要求
E.淋巴转移最常见
219、单项选择题 肾上腺转移癌最常来自()
A.肝癌
B.胃癌
C.结肠癌
D.肺癌
E.乳腺癌
220、单项选择题
男,18岁,患者皮肤挫伤,用林可霉素预防感染,次日大便次数增多、出现黏液便,结合图像,最可能的诊断是()
A.结肠淋巴瘤
B.假膜性肠炎
C.结肠间质瘤
D.结肠结核
E.结肠癌
221、多项选择题 蛛网膜下腔出血时,可出现由并发症所致的间接征象,包括()
A.动脉瘤
B.脑积水
C.AVM
D.脑内血肿
E.脑血管痉挛
222、单项选择题 关于脑纵裂蛛网膜下腔出血,最有诊断价值的CT表现是()
A.纵裂内高密度影CT值达50~80HU
B.纵裂内高密度影CT值达100~150HU
C.纵裂内高密度影于2周后消失
D.纵裂内高密度影并占位效应
E.纵裂内高密度影沿脑表面延伸
223、多项选择题
男,65岁,反复发作的下腹部疼痛向会阴部放射伴血尿1年余,CT如图所示,下列说法正确的是()
A.左肾位置形态无异常
B.右肾窝内未见肾影,于盆腔入口处L5~S1水平见异位肾影
C.左侧输尿管在膀胱入口处可见一高密度结石影
D.左侧输尿管扩张
E.考虑为先天性异位肾合并对侧输尿管下端结石
224、单项选择题 喉癌可分成声门上型、声门型、声门下型和跨声门型、其中声门下型约占喉癌病例的()
A.5%
B.10%
C.15%
D.20%
E.25%
225、单项选择题 关节感染性病变的定性诊断应依据的方法为()
A.MRI
B.CT
C.关节液培养
D.X线平片
E.超声成像
226、单项选择题
男,23岁,左膝部运动后疼痛,结合影像学检查,最可能的诊断是()
A.骨巨细胞瘤
B.动脉瘤样骨囊肿
C.骨纤维异常增殖症
D.骨囊肿并骨折
E.骨脓肿
227、多项选择题
男,47岁,腰痛、腰胀2月余伴低热、乏力,结合影像资料所示,下列哪项说法正确()
A.右侧输尿管多发性狭窄,呈“串珠样”改变
B.右侧输尿管多发性生理性狭窄
C.右侧肾盂轻度积水
D.考虑为右输尿管占位病变
E.考虑为右输尿管结核
228、多项选择题 应与葡萄膜黑素瘤鉴别的疾病有()
A.原始玻璃体增生症
B.脉络膜转移瘤
C.脉络膜剥离
D.Coats病
E.脉络膜血管瘤
229、单项选择题
术前检查中发现团块性病灶,最可能的诊断是()
A.癌
B.神经纤维瘤
C.动脉瘤
D.以上都有可能
E.以上都不是
230、多项选择题
男,65岁,左侧腰背部胀痛伴无痛性全程血尿3月余,CT平扫及增强检查如图所示,下列说法正确的是()
A.平扫时见左肾上极有一软组织肿块影,其边界较清楚
B.增强扫描肾皮质期可见肿块明显强化,其内亦有无强化区
C.增强扫描肾实质期可见肿块强化迅速下降,但密度比平扫时仍要高
D.考虑为左侧肾癌
E.考虑为左侧肾错构瘤
231、单项选择题
女性,49岁,双肾B超示多发结石,血液生化检查显示血钙升高,血磷降低。甲状腺、甲状旁腺CT扫描如下,最可能的诊断为()
A.左侧甲状腺腺瘤
B.左侧甲状腺癌
C.左侧甲状旁腺腺瘤
D.左侧颈部淋巴结肿大
E.左侧甲状旁腺腺癌
232、单项选择题 CTAP检查时,导管应置于()
A.腹腔动脉内
B.肝动脉内
C.肠系膜上动脉或脾动脉内
D.门静脉内
E.肠系膜上静脉内
233、单项选择题 窗宽窗位均选为100,则CT值的显示范围是()
A.50~-50
B.-50~-150
C.50~150
D.100~200
E.150~-150
234、单项选择题 脑膜瘤肿瘤的好发部位,按从多到少的排列顺序为()
A.矢状窦旁→脑凸面→嗅沟→大脑镰→鞍结节
B.鞍结节→嗅沟→脑凸面→大脑镰→矢状窦旁
C.矢状窦旁→大脑镰→脑凸面→嗅沟→鞍结节
D.大脑镰→脑凸面→嗅沟→鞍结节→矢状窦旁
E.脑凸面→大脑镰→矢状窦旁→嗅沟→鞍结节
235、单项选择题 X线穿透人体组织,从易到难的顺序是()
A.肺,脂肪,肌肉,骨
B.肺,肌肉,脂肪,骨
C.肺,肌肉,骨,脂肪
D.肌肉,肺,脂肪,骨
E.脂肪,肺,肌肉,骨
236、单项选择题 颈部CT扫描技术的描述错误的是()
A.患者仰卧,颈部与床面平行
B.摄取颈部侧位定位像
C.甲状腺扫描范围从第3颈椎下缘至第1胸椎
D.甲状腺的扫描层厚与层间距可用5mm
E.扫描方式:螺旋或非螺旋均可
237、单项选择题 不符合化脓性脑膜炎CT表现的是()
A.基底池密度增高
B.增强后脑膜强化
C.脑室壁强化
D.脑实质内片状低密度区
E.脑室扩大
238、单项选择题
男,58岁,无痛性肉眼血尿1月余,结合CT图像,最可能的诊断是()
A.右侧肾癌
B.右侧囊性肾癌
C.右肾结核性肉芽肿
D.右肾血管平滑肌脂肪瘤
E.右肾黄色肉芽肿性肾盂肾炎
239、单项选择题
男,32岁,几天前踝部扭伤,疼痛,不能行走,结合CT图像,最可能的诊断是()
A.骨囊肿
B.动脉瘤样骨囊肿
C.骨纤维异常增殖症
D.骨巨细胞瘤
E.畸形性骨炎
240、单项选择题 下列选项中,“强化程度最高”的脑肿瘤是()
A.Ⅰ级星形胶质瘤
B.转移瘤
C.胆脂瘤
D.脑膜瘤
E.表皮样囊肿
241、单项选择题
根据所提供的图像,最可能的诊断是()
A.胰腺腺癌
B.淋巴瘤
C.胰腺良性结节
D.结肠癌复发
E.以上都不是
242、多项选择题
女,64岁,左侧腰部胀痛,行CT扫描,如图所示,下列说法正确的是()
A.左肾区可见一巨大的占位性病灶,境界较清楚,胰腺尾部受压向前推移
B.该病灶密度不均匀,其内可见脂肪密度影,且呈不均匀强化
C.考虑为左肾来源的血管平滑肌脂肪瘤
D.考虑为左侧肾上腺来源的髓样脂肪瘤
E.考虑为腹膜后来源的脂肪肉瘤
243、单项选择题 关于CT伪影的叙述,错误的是()
A.伪影通常无法去除
B.伪影使图像质量下降
C.伪影有时会引起误诊
D.伪影是CT扫描图像中的一种异常影像
E.由系统引起的伪影是不可避免的
244、单项选择题 以下关于对比剂副反应救治的论述哪项是错误的()
A.对于对比剂副反应一般采用对症治疗
B.症状不明显的轻度反应不必处理
C.注射对比剂发生副反应时应注意保留静脉内的针头
D.对于中度副反应病人的主要处理为留院观察
E.重度副反应的病人在CT检查室及时处理后应尽快转科治疗
245、多项选择题 应与鼻咽癌鉴别的疾病有()
A.脊索瘤
B.鼻咽部淋巴组织增生
C.鼻咽纤维血管瘤
D.蝶窦恶性肿瘤
E.鼻咽部结核
246、单项选择题 关于肺动脉栓塞的CT表现,下列哪项最具有特征意义()
A.一侧肺透亮度增高
B.肺外围以胸膜为基底的楔状致密影
C.实变区内小透亮区
D.增强扫描,肺动脉主干内充盈缺损
E.局限性肺血管稀少
247、单项选择题 颧弓平面以下是()
A.颞下窝
B.颞窝
C.翼腭窝
D.蝶额孔
E.咽旁间隙
248、单项选择题 细菌性肝脓肿的主要感染途径不包括()
A.胆道
B.肠系膜上静脉
C.肝总动脉
D.下腔静脉
E.直接蔓延
249、单项选择题 下述“子宫输卵管内膜结核”造影表现,错误的是()
A.子宫腔边缘不规则
B.子宫腔变形、变窄
C.输卵管棒状钙化
D.子宫肌壁间对比剂返流
E.输卵管边缘不规则、僵硬,呈“锈铁丝状”
250、单项选择题 有关胆囊腺肌增生症的说法,错误的是()
A.胆囊粘膜层和肌层过度增生导致胆囊壁增厚
B.胆囊腔缩小
C.胆囊浓缩和收缩功能正常
D.罗一阿氏窦与胆囊不相通
E.罗一阿氏窦一般2~3mm大小
251、单项选择题
女,47岁,右肩部疼痛并肩关节活动受限数月,结合所提供的图像,最可能的诊断是()
A.颈椎病
B.颈部肿瘤
C.化脓性肩关节炎
D.未见明显异常
E.肩周炎
252、单项选择题 老年男性,头痛3个月,并左侧肢体肌力减低,逐渐加重。CT示右额顶有一3.5cm×4cm混杂密度,中线左移,增强扫描示不规则花环样强化。最可能的诊断是()
A.脑膜瘤
B.少枝胶质细胞瘤
C.胶质母细胞瘤
D.出血性梗死
E.淋巴瘤
253、单项选择题 关于肾上腺髓样脂肪瘤的CT表现,不正确的是()
A.边界清楚
B.多为双侧且>5cm甚至达12cm
C.中央有多分隔
D.脂肪密度
E.常见钙化或壳状钙化
254、单项选择题
女,67岁,乳癌术后1年,胸部CT如图,首先应考虑()
A.石棉肺
B.金葡菌肺炎
C.粟粒性肺结核
D.淋巴瘤
E.肺转移瘤
255、单项选择题 下列哪项不符合肾细胞癌的CT表现()
A.平扫多呈等密度或略低密度
B.较大肾癌密度多不均匀
C.中心或边缘可有钙化
D.肾静脉和下腔静脉可有癌栓
E.增强扫描实质期肿瘤强化多高于肾实质
256、多项选择题 Freeny的肝血管瘤CT诊断三条标准为()
A.随时间迁延,强化程度逐渐下降
B.延迟扫描病灶呈等密度
C.强化由周边向中央扩展
D.平扫,低密度病灶
E.增强早期,边缘明显强化
257、单项选择题 脑干结构不包括()
A.桥脑
B.延髓
C.颈髓上段
D.中脑
E.四叠体
258、单项选择题 临床疑肝左叶病变,轴位扫描显示不理想,应变换()
A.冠状位
B.矢状位
C.左侧卧位
D.右侧斜位
E.俯卧位或右侧卧位
259、单项选择题 关于冲洗机动态管理的叙述,错误的是()
A.动态管理需要密度计和曝光仪
B.管理用片要选择使用量最大的片种
C.管理光楔片制作以采用简易铝梯曝光作相对比较
D.冲洗机启动十分钟后,冲洗管理光楔片
E.找出密度1.2和2.2左右的两点测量光楔片密度
260、多项选择题 早期肝癌应与以下哪些疾病进行鉴别()
A.血管瘤
B.肝硬化再生结节
C.转移性肝癌
D.肝腺瘤
E.FNH
261、多项选择题 女,56岁,眩晕,CT示左侧桥脑小脑脚区低密度病灶,脑干轻度受压。关于影像学分析,下列哪些是正确的()
A.诊断应考虑:胆脂瘤、胶质瘤等
B.脑池室增宽应首先考虑脑外病变
C.脑池增宽应首先考虑胶质瘤
D.脑池形态一致应首先考虑听神经瘤
E.扫描病灶无强化不首先考虑听神经瘤
262、单项选择题
男,68岁,呼吸困难、轻度吞咽困难3月余,结合CT图像,最可能的诊断是()
A.气管乳头状瘤
B.气管脓肿
C.气管炎性假瘤
D.食管癌
E.甲状腺癌
263、单项选择题 中年男性,腰痛、尿频、尿急,CT示右肾上极5cm大小略低密度占位,边缘模糊,环形强化,邻近肾周有积液,应首先考虑()
A.右肾上极腺癌
B.右肾上极肾母细胞瘤
C.右肾上极错构瘤
D.右肾上极脓肿
E.右肾上极肾结核
264、单项选择题 眼眶非特异性炎症的CT表现不包括()
A.眼睑肿胀、眼球突出
B.泪腺增大
C.眼外肌受侵
D.视神经萎缩
E.球壁增厚
265、单项选择题 男,49岁,癫痫发作3次。CT示左额叶有一圆形低密度区,病灶呈不规则环形增强,最大可能是()
A.化脓性脑炎
B.胶质瘤
C.病毒性脑炎
D.血管畸形
E.结节性硬化
266、单项选择题
男,55岁,上腹部隐痛1月余,CT检查如图,最可能的诊断是()
A.胆囊结石
B.胆囊癌(腔内型)
C.胆囊腺肌增生症
D.胆囊息肉
E.胆囊转移癌
267、单项选择题
女,57岁,右侧下腹壁逐渐增大性包块1年余,无发热,偶有疼痛,体检:右下腹壁触及一约7cm×8cm大小、质硬包块,活动度差,局部皮肤无红肿,CT表现如图,最可能的诊断为()
A.腹壁硬纤维瘤
B.腹壁转移癌
C.腹壁横纹肌肉瘤
D.腹壁神经纤维瘤
E.腹壁淋巴瘤
268、多项选择题
男,73岁,呼吸急促半天,CT扫描如图,正确的描述或诊断是()
A.冠状动脉壁可见钙化影,右侧明显
B.右侧冠状动脉局限性梭形扩张
C.心包肥厚
D.右侧冠状动脉瘤
E.左侧冠状动脉瘤
269、单项选择题
患者70岁,女性,背痛,如图所示,最可能诊断为()
A.转移
B.骨髓瘤
C.疲劳骨折
D.骨质疏松症
E.以上都不是
270、单项选择题 胶质母细胞瘤的CT表现的描述,哪项是错误的()
A.病灶密度不均匀
B.瘤周水肿明显
C.占位效应较重
D.病灶不均匀强化
E.病灶呈均匀低密度
271、单项选择题
女,55岁,结合所示图像,最可能的诊断是()
A.卵巢癌种植转移
B.间皮瘤
C.良性肿瘤
D.石棉沉积症
E.以上都不是
272、单项选择题 膀胱癌最好发于()
A.三角区
B.膀胱底
C.后壁
D.顶部
E.侧壁
273、单项选择题 关于脾血管瘤,下列哪项说法错误()
A.实性或囊实性肿块
B.边缘清楚的低或等密度区
C.可有大小不等的囊变区
D.增强扫描肿块明显强化
E.发现钙化即可除外血管瘤
274、单项选择题
下列关于鼻咽癌T分期的描述,正确的是()
A.T1:肿瘤局限于鼻咽腔内
B.T2:肿瘤尚未浸润鼻腔、口咽部
C.T3:肿瘤浸润鼻腔、口咽部
D.T4:肿瘤侵犯颅底、翼突、翼腭窝
E.以上都不对
275、单项选择题 脑梗死好发于()
A.大脑中动脉供血区
B.基底动脉供血区
C.大脑后动脉供血区
D.椎动脉供血区
E.大脑前动脉供血区
276、单项选择题 CT平扫,肝脏密度一致性增高,最可能的诊断是()
A.肝淋巴瘤
B.弥漫性肝癌
C.血色病
D.肝脓肿
E.脂肪肝
277、单项选择题 当窗宽为250,窗位为50时,其CT值显示范围为()
A.50~250
B.-75~175
C.-125~125
D.0~250
E.50~300
278、单项选择题 与颅咽管瘤特点不符的是()
A.为常见的鞍上肿瘤
B.好发于儿童
C.好发于40~60岁患者
D.密度常较均匀
E.肿瘤边界清楚
279、单项选择题 支气管内膜结核的CT征象,错误的是()
A.支气管壁增厚,内径窄、外径不大
B.可见多个支气管受累
C.肺门、纵隔多无淋巴结肿大
D.肺门肿块
E.阻塞性肺不张
280、单项选择题 以下属于气肿性肾盂肾炎CT表现的是()
A.肾外形增大
B.肾功能明显减退或丧失
C.肾实质多处破坏
D.肾内及肾周弥漫性气体与低密度软组织影并存,肾筋膜增厚
E.以上均对
281、单项选择题
女,69岁,低热、乏力3个月余,消瘦,食欲不佳,PE:腹股沟触及多个肿大的淋巴结,质较硬,尚可移动,CT如图所示,最可能的诊断是()

A.淋巴瘤
B.颈淋巴结转移瘤
C.颈淋巴结结核
D.结节病
E.淋巴结炎
282、单项选择题 与MRI比较,CT显示以下哪种病变较好()
A.黄韧带钙化
B.脊髓受压
C.脊髓水肿
D.骨髓水肿
E.后纵韧带撕裂
283、单项选择题
男,28岁,咳痰,咯血伴盗汗1月,CT如图,最可能的诊断为()
A.干酪性肺炎
B.大叶性肺炎
C.过敏性肺炎
D.肺不张
E.肺泡细胞癌
284、单项选择题
在肾上腺CT检查中,下列哪种说法是正确的()
A.左肾上腺常呈斜线状
B.右肾上腺常呈三角状
C.肾上腺侧支厚度小于5mm
D.肾上腺侧支面积小于100mm2
E.肾上腺侧支厚度小于10mm
285、单项选择题 对探测器性能的叙述,错误的是()
A.对X线射能量具有良好的吸收能力
B.对较大范围的射线强度具有良好的反应能力及均匀性
C.工作性能稳定,有良好的再现性
D.残光少,且恢复常态的时间慢
E.体积小,灵敏度高,少量射线照射,能获得足够大信息强度
286、单项选择题
男,45岁,右下腹胀痛、并可触及质硬包块,结合图像,最可能的诊断是()
A.结肠Crohn病
B.结肠癌
C.肠结核
D.结肠淋巴瘤
E.慢性溃疡性结肠炎
287、单项选择题 有关脏器组织增强形式与机理,错误的论述是()
A.对比剂进入血管和细胞外腔隙是组织增强的原因
B.血流量越大,脏器增强效应越不明显
C.当细胞间质内含碘量最高时,受检器官浓度最大
D.异常组织的增强往往低于周围正常组织
E.大血管增强必须在注入对比剂后立即扫描
288、单项选择题 5岁男性,有不洁饮食史,自觉胸痛,气急,有果酱色粘痰,CT示肺内多发边缘模糊斑片状影,内有多个空洞,空洞壁厚薄不均,部分空洞内有条状高密度影,最可能的诊断是()
A.过敏性肺炎
B.急性肺脓肿
C.肺吸虫病
D.大叶性肺炎
E.肺钩端螺旋体病
289、单项选择题
患者19岁,肾性高血压,根据图像,对其原因的评价,正确的诊断为()
A.嗜铬细胞瘤
B.肾动脉狭窄
C.肾癌
D.Page(佩奇氏)肾
E.以上都不是
290、单项选择题
男,66岁,肥胖,有糖尿病史,CT检查如图,最可能的诊断是()
A.局灶性脂肪肝
B.肝硬化肝癌
C.肝血管瘤
D.肝胆管细胞癌
E.肝淋巴管瘤
291、单项选择题
女性,43岁,发现左侧颌下包块2年多,近3个月明显增大。行CT增强扫描如图所示:

A.X线平片
B.CT
C.超声
D.MRI
E.DSA
292、单项选择题 CT示咽旁间隙向外移位,提示占位病变来源于()
A.鼻咽
B.颌下腺
C.腺样体
D.腮腺
E.颈深淋巴结
293、单项选择题 关于脑肿瘤好发年龄的描述,哪项不对()
A.髓母细胞瘤:10岁以下多见
B.松果体生殖细胞瘤:10~30岁多见
C.脑膜瘤:常为40~50岁中年人
D.脉络膜乳头状瘤:50岁以上多见
E.颅咽管瘤:15岁以下儿童多见
294、单项选择题 女,80岁,右上腹痛所复发作6个月,加重2天,曾有胆囊炎及结石病史,影像检查如图,最可能的诊断为()
A.十二指肠息肉
B.十二指肠巨大胆结石(胆囊十二指肠瘘)
C.十二指肠蛔虫
D.十二指肠间质瘤
E.十二指肠腺瘤
295、单项选择题 男性,28岁,腹痛呕吐。CT示胰腺弥漫增大,结构不清,胰周有较多渗液,部分包裹,结构不清,局部可见气泡影,诊断()
A.急性水肿性胰腺炎
B.急性坏死性胰腺炎
C.急性胰腺炎,假囊肿形成
D.急性胰腺炎,脓肿形成
E.急性胰腺炎,伴有出血
296、单项选择题 CT摄片与常规X线摄片相同之处是()
A.曝光方式
B.胶片类型
C.照片冲洗
D.灰度调节
E.图像格式
297、单项选择题 对下列哪种骨折,CT诊断价值不及平片()
A.肱骨小头骨折
B.环椎骨折
C.颈椎横突骨折
D.腰椎骨折
E.股骨干骨折
298、单项选择题 功能性胰岛细胞瘤分泌不同性质的激素,最多见的是()
A.分泌增血糖素瘤
B.分泌促胃液分泌素瘤
C.血管活性肠肽瘤
D.分泌胰岛素的瘤
E.生长激素释放抑制素瘤
299、单项选择题 增强扫描对比剂需要量最大的部位是()
A.肾脏增强
B.肾上腺增强
C.颅脑增强
D.肝脏增强
E.腮腺增强
300、单项选择题 深吸气后屏气,常用于的摄片部位是()
A.躯干
B.头颅
C.肺部
D.心脏
E.手