时间:2025-09-25 04:14:42


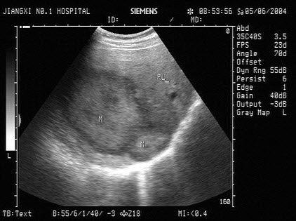
1、单项选择题
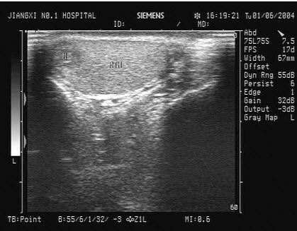
某患者自诉乳腺可触及一包块,光滑可移动,超声图像如图,诊断为()
A.纤维瘤
B.囊肿
C.乳腺癌
D.小叶增生
E.乳腺导管扩张
2、单项选择题 下列描述波长与频率关系的结论,哪个是错误的()
A.波长与频率成反比
B.频率越高,波长越短
C.频率越低,波长越长
D.频率越高,纵向分辨力越好
E.波长与频率成正比
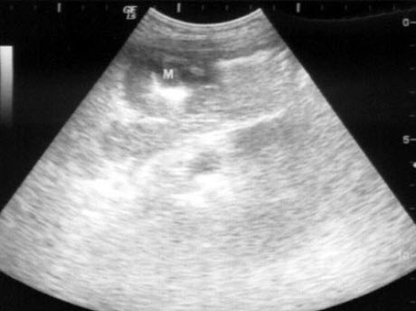
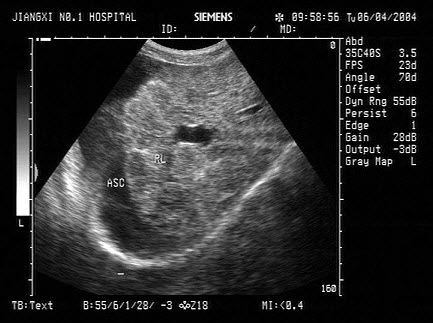
3、单项选择题
男,49岁,上腹不适1个月余。结合超声声像图,诊断为()
A.肝血管瘤
B.肝癌
C.局限性脂肪肝
D.肝脓肿
E.肝囊肿
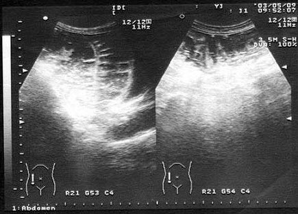
4、单项选择题
女性,于膀胱输尿管位置见一囊性光团,有规律收缩,增大。如图所示,考虑为()
A.膀胱肿瘤
B.膀胱憩室
C.输尿管结石
D.输尿管囊肿
E.膀胱异物
5、单项选择题
如图,初步超声诊断为()

A.二尖瓣返流
B.三尖瓣返流
C.主动脉瓣返流
D.肺动脉瓣返流
E.以上均不是
6、单项选择题 中晚期妊娠常采用下列哪些参数估算孕龄,以提高诊断准确性()①BPD②HC③AC④FL
A.①
B.①②
C.①②③
D.①②③④
E.①③
7、单项选择题 患者无月经,无临床症状,子宫极小,长径<2cm,无子宫内膜回声,诊断为()
A.幼稚子宫
B.单角子宫
C.先天性无子宫
D.始基子宫
E.正常子宫
8、单项选择题 “双泡”征是哪种疾病的声像图特点()
A.胎儿水肿
B.胎儿梗阻性黄疸
C.胎儿十二指肠梗阻
D.胎儿脐疝
E.胎儿脑脊膜膨出
9、单项选择题
该病例最可能的诊断()

A.右室双出口并室间隔缺损
B.主动脉骑跨
C.室间隔缺损
D.大动脉异位
E.左室双出口
10、单项选择题 M型超声心动图,正常成人主动脉瓣开放幅度应不小于()
A.10mm
B.30mm
C.18mm
D.20mm
E.16mm
11、单项选择题 血管内径减少多少是区分颈动脉狭窄为轻度或中度的指标()
A.≥30%
B.≥40%
C.≥50%
D.≥60%
E.≥70%
12、单项选择题
某患者因血尿就诊,前列腺超声声像图如下,生化检查PSA增高,最可能的诊断为()
A.前列腺脓肿
B.前列腺炎
C.前列腺良性增生
D.前列腺癌
E.前列腺囊肿
13、单项选择题
患者女76岁,上腹部胀痛不适半年余,加重1周。剑突下B超检查如图所示,根据超声声像图诊断为()
A.胃癌
B.胃溃疡
C.肾癌
D.结肠癌E、胃炎
E.胆总管蛔虫
14、单项选择题 肝静脉血汇入下列何结构()
A.门静脉
B.肝
C.下腔静脉
D.胃静脉
E.上腔静脉
15、单项选择题
超声仪的分辨率可定义为()
①可在显示仪上区别开来的两点间目标最小的空间间隔
②在显示仪上趋于被单独一个点的目标所占据的区域或距离
③在显示仪上区别出的两种独立的活动状态的最短时间间隔
A.①
B.①②
C.①②③
D.②③
E.①③
16、名词解释 体位标志
17、单项选择题 临床常用E峰流速,A峰流速,E/A比值及IVRT反映下列哪项()
A.左心局部舒张功能
B.左心整体舒张功能
C.左心收缩功能
D.右心收缩功能
E.心肌传导功能
18、问答题 关节异常的声像图表现有哪些?
19、单项选择题 以下何者不是右心容量超荷的超声表现()
A.右心腔扩大
B.三尖瓣运动幅度增大
C.室间隔运动平坦
D.右室流出道及肺动脉增宽
E.左心腔扩大
20、单项选择题 超声检测甲状腺,其解剖标志是()
A.气管在其内侧,颈长肌在后方,颈动脉和颈内静脉在外侧,带状肌在内侧
B.气管在其内侧,颈长肌在外侧,颈动脉和带状肌在其后方
C.气管和带状肌在内侧,颈长肌在后,颈动脉在下方
D.气管在其内侧,颈长肌在后方、颈动脉及颈内静脉在其外侧,带状肌在其前外侧
E.以上都不是
21、单项选择题
男,6岁,阵发性腹痛,呕吐数小时就诊。PE:肠鸣音亢进,呈气过水音。根据超声声像图诊断为()
A.急性肠梗阻
B.急性肠炎
C.肠套叠
D.肠穿孔
E.胃癌
22、单项选择题
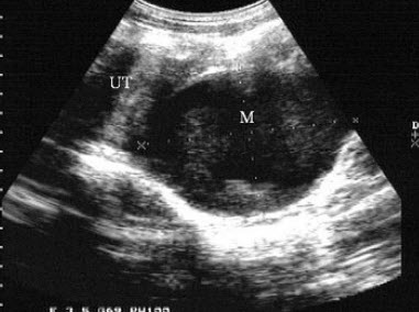
女性,27岁,停经49天,尿妊娠试验阳性。如图所示,超声诊断为()
A.宫腔积液
B.早孕,多胎妊娠
C.绒癌
D.葡萄胎
E.稽留流产
23、单项选择题 肝囊肿的声像图表现,下列哪一项是错误的()
A.囊壁薄而光滑
B.囊壁较厚,光滑,呈双层
C.侧壁出现回声失落
D.后方回声增强
E.彩色多普勒显示囊壁处短条状血流信号
24、单项选择题 由多振子电子探头超声束形成的伪影叫()
A.混响
B.切片厚度伪影
C.旁瓣效应
D.声影
E.后方回声增强
25、单项选择题
女,26岁,早孕药流后阴道流血就诊,超声声像图如下,最可能的诊断为()
A.正常早孕
B.先兆流产
C.胎盘置入
D.稽留流产
E.不全流产
26、单项选择题
女,35岁,上腹疼痛不适十年余,加重一月。结合超声声像图,诊断为()
A.胃癌
B.腹膜后肿块
C.左肝癌
D.胰腺癌
E.胃溃疡
27、单项选择题
该病例最可能诊断()

A.主动脉瓣钙化
B.先天性主动脉瓣畸形(二叶式)
C.风湿性瓣膜病
D.主动脉瓣脱垂
E.主动脉窦瘤
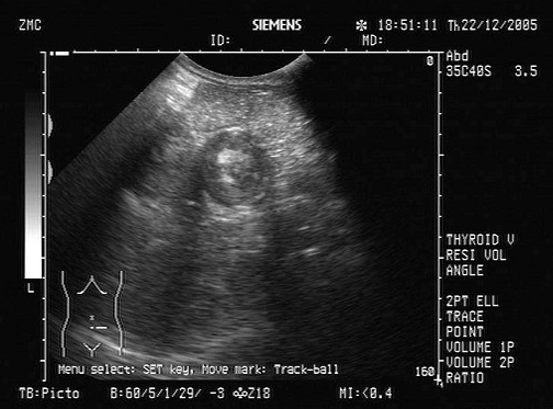
28、单项选择题 声强的准确定义()
A.超声换能器发射脉冲超声,其发出的最大时间峰值
B.描述超声能量大小的一种物理量,即超声束在单位时间通过单位横截面积的超声能量
C.在脉冲重复频率的最长间隔时间内平均声强
D.超声波穿过组织时的强度
E.超声的频率
29、单项选择题
某患者五日前阴囊碰伤,现感右侧阴囊不适,超声声像图如下,最可能的诊断为()
A.睾丸血肿
B.精原细胞瘤
C.睾丸炎
D.睾丸扭转
E.睾丸脓肿
30、单项选择题 室间隔的解剖特点,下列哪一项是正确的()
A.比房间隔薄
B.由纤维组织构成
C.胚胎时期有卵圆孔使两侧心室相通
D.分隔左、右心室
E.构成肺动脉壁
31、单项选择题 下列哪一支血管不是右冠状动脉的分支()
A.右圆锥支
B.后降支
C.左回旋支
D.右室后支
E.右冠状动脉主干
32、单项选择题
患者女48岁,上腹部疼痛不适3个月,皮肤巩膜黄染1个月余。B超检查如图所示,根据超声声像图诊断为()
A.胆总管下段癌
B.壶腹部癌
C.胰头癌
D.腹主动脉旁肿大淋巴结
E.结肠癌
33、问答题 二维超声心动图常用基本切面的图像有哪些?
34、单项选择题 正常肾脏在以下哪种情况时可出现肾盂轻度积水()
A.大量饮水
B.膀胱过度充盈
C.妊娠期
D.药物影响
E.以上均是
35、单项选择题 宫内死胎声像图征象是()①头颅光环变形②胎儿轮廓变形③胎心胎动消失④胎儿水肿
A.①②
B.③
C.①②③
D.①②③④
E.④
36、单项选择题 Reidel叶是一种正常肝脏变异,其定义是()
A.肝左叶的伸长
B.尾状叶的舌状伸长
C.肝右叶的舌状伸长
D.肝左外叶的舌状伸长
E.肝方叶的舌状伸长
37、单项选择题
患者体检发现睾丸小肿块,结合超声图像,最可能的诊断是()
A.睾丸囊肿
B.睾丸结核
C.白膜囊肿
D.睾丸腺癌
E.附睾囊肿
38、单项选择题 宫内避孕器的并发症包括()
A.子宫肌层嵌顿
B.节育器穿孔、外游
C.子宫穿孔
D.盆腔积液
E.以上各项均是
39、单项选择题 经眼睑进行眼部二维超声检查,最佳探头频率是()
A.3.0MHz
B.3.5MHz
C.4.0MHz
D.5.0MHz
E.7.5MHz
40、单项选择题 急性胰腺炎恢复期患者,超声检查发现胰腺体尾部8cm×6cm囊性病变,边界清楚,最可能诊断是()
A.胰腺假性囊肿
B.潴留性囊肿
C.包虫囊肿
D.囊腺癌
E.囊腺瘤
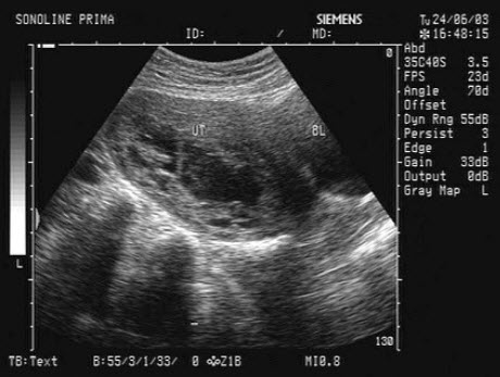
41、单项选择题
女性,48岁,取环术后3天,述左下腹疼痛。B超检查如图,最可能的诊断为()
A.畸胎瘤
B.盆腔血肿
C.子宫浆膜下肌瘤
D.宫外孕
E.附件囊肿
42、单项选择题 单发右位心(右旋心)的二维超声检查主要所见是()
A.心房、心室位置正常,心尖朝左
B.心房、心室位置正常,心尖在右胸腔
C.心房反位,心室右袢(正常位置),心尖朝右
D.心房正位,心室左袢(反位),心尖朝右
43、名词解释 过隔血流
44、单项选择题
女性,18岁,月经不来潮就诊。超声检查如图,最可能的诊断为()
A.畸胎瘤
B.先天性无子宫
C.子宫肌瘤
D.双子宫
E.始基子宫
45、单项选择题
女,52岁,右上腹不适,CT示卵巢占位,结合超声声像图,诊断为()
A.肝囊肿
B.肝包虫病
C.转移性肝癌
D.肝脓肿
E.肝血管瘤
46、单项选择题 十二指肠水平段位于()
A.肠系膜上动脉上方
B.肠系膜上动脉前方
C.肠系膜上动脉后方
D.下腔静脉后方
E.腹腔动脉后方
47、单项选择题 关于妇科超声检查方法不正确的是()
A.经腹超声检查,应使膀胱适度充盈
B.经阴道超声检查,膀胱应充盈
C.阴道探头应放入阴道穹隆部
D.经阴道超声检查的基本检查手法包括倾斜、推拉、旋转等
E.经宫腔超声检查对宫内病变的观察较经阴道检查更为细致和全面
48、单项选择题 下列哪项表现与结节性甲状腺肿无关()
A.甲状腺不规则,非对称性增大
B.实质回声增粗,内呈多个中等偏强回声结节
C.结节内可见液性暗区、强光点
D.CDFI显示血流丰富,血流呈花环状包绕结节,并有细小分支伸入结节内
E."冲洗征"
49、单项选择题 下列哪种疾病与雌激素长期刺激有关()
A.子宫颈癌
B.绒毛膜癌
C.恶性葡萄胎
D.子宫内膜癌
E.子宫颈囊肿
50、单项选择题
男,70岁,上腹胀痛,腹膨隆。脾大,门静脉增宽。结合超声声像图,诊断为()
A.肝血管瘤
B.肝癌
C.血吸虫肝纤维化并腹水
D.肝脓肿
E.脂肪肝
51、单项选择题
女性,25岁,停经35周。产前超声检查,图像显示的是胎儿的()
A.脊柱
B.肢体
C.颜面部
D.胸腔
E.胎头
52、单项选择题 调节“彩超”中的速度标尺及滤波范围,下列哪项是错误的()
A.高速血流选择高速标尺
B.低速血流选择低速标尺
C.消除低频信号干扰,应采用高速标尺
D.低通道滤波适合检查低速血流
E.高通滤波适合检查高速血流
53、单项选择题
男性,4岁,因左肾区不适就诊,无外伤史,无发热,左腹部可扪及肿块。根据其声像图,可能的诊断为()
A.肾母细胞癌
B.急性肾炎
C.肾血管平滑肌脂肪瘤
D.肾脓肿
E.肾癌
54、单项选择题 哪一项最可能引起声影()
A.胆囊
B.充液肿物
C.钙化性肿物
D.膀胱
E.实性肿物
55、单项选择题 应用壁滤波的目的是()
A.去除运动的组织(如血管壁)的低频多普勒频移
B.去除反向血流信号
C.去除运动的组织(如血管壁)的高频多普勒频移
D.去除高速血流的高速多普勒频移
E.测量血流
56、问答题 女性盆腔超声检查主要包括哪些内容?
57、单项选择题
患者,男,23岁,发现睾丸内无痛性肿块1月余。透光试验阳性。结合超声图像,最可能的诊断是()
A.睾丸囊肿
B.精索鞘膜积液
C.附睾结核
D.精液囊肿
E.附睾囊肿
58、单项选择题 胆总管上段位于门静脉()
A.右前方
B.前方
C.左方
D.后方
E.左前方
59、单项选择题 腹部正位片发现右上腹部一圆形致密影,为了进一步明确诊断,应首选是()
A.B超检查
B.侧位平片检查
C.静脉尿路造影检查
D.CT检查
E.MRI检查
60、单项选择题 女性,62岁,急腹症住院,超声检查图像为:胆囊增大,胆囊壁弥漫增厚呈“双边影”表现,胆囊腔内见一强回声光团伴声影,随体位改变而移动,根据声像图表现,可能的诊断为()
A.①②③
B.①③
C.②④
D.④
E.①②③④
61、单项选择题 睾丸网扩张的声像图特点是()①睾丸纵隔呈无回声和匍匐行管状结构②睾丸纵隔呈增强回声和网状结构③CDFI:无血流信号④CDFI:血流信号丰富
A.①③
B.②④
C.①④
D.②③
E.①②③
62、多项选择题 USG检查易于显示哪些肾的先天性畸形()
A.重复肾
B.异位肾
C.融合肾
D.孤立肾
E.肾旋转不良
63、单项选择题 关于室间隔缺损,何者不对()
A.膜部缺损最为多见
B.缺口处血流呈连续性高速血流
C.常引起左心负荷明显增加
D.测取缺口血流时,需采用连续多谱勒
E.CDFI显示左向右红色血流
64、单项选择题 乳腺癌的超声特征是()
A.边界不整,呈锯齿状,无包膜
B.内部呈低回声区
C.后方回声呈衰减暗区
D.向组织及皮肤浸润
E.以上都是
65、单项选择题 下列哪一项不是典型腮腺囊肿的声像图表现()
A.形态不规则,呈多边形
B.囊后方回声增强
C.轮廓完整,界限清晰
D.有时可见轮廓线
E.囊内为均匀无回声,透声性良好
66、单项选择题
某患者阴囊部疼痛不适,超声声像图如下,最可能的诊断为()
A.附睾炎
B.睾丸炎
C.睾丸肿瘤
D.附睾结核
E.附睾肿瘤
67、单项选择题
患者反复发热,原有先心病史,该病例最有可能诊断()

A.室缺并感染性心内膜炎
B.主动脉瓣脱垂
C.窦瘤破裂
D.右流狭窄
E.肺动脉瓣狭窄
68、问答题 超声诊断肾下垂的依据是什么?
69、单项选择题 从心尖部可检查哪个心脏超声切面图()
A.大动脉短轴切面图
B.上腔静脉长轴切面图
C.主动脉弓长轴切面图
D.四腔心切面图
E.主肺动脉短轴切面图
70、单项选择题 下列哪一种不能作为心脏超声造影剂的重要成分()
A.单纯碳水化合物颗粒
B.氟碳气体
C.氧气
D.人体白蛋白
E.空气
71、单项选择题 小气泡产生的混响回声,回声强并且以规律间隔出现,这种伪像称为()
A.多途径伪像
B.镜像伪像
C.振铃伪像
D.旁瓣伪像
E.以上都不是
72、单项选择题 试述影响左心房压的直接因素()
A.主动脉压的大小
B.三尖瓣有无狭窄
C.右室压的大小
D.主动脉瓣口有无关闭不全
E.肺静脉对左心房的充盈及二尖瓣口通畅程度
73、单项选择题 孕几周时胎头生长稳定,生物变异性小,双顶径估计孕龄最准确()
A.9~11周
B.12~20周
C.21~28周
D.28~36周
E.37~40周
74、单项选择题 关于脐疝的临床特点与超声表现的叙述,下列哪项是错误的()
A.超声检查要观察脐血管入腹壁处
B.肠管脱向脐带
C.常伴有染色体异常
D.肝脏脱向脐带
E.肠管漂浮于羊水之中
75、多项选择题 急性胆囊炎的USG的表现为()
A.胆囊增大、胆囊壁轮廓线模糊,外壁线不规则
B.胆囊壁弥漫性增厚,增厚的胆囊壁呈增强回声带
C.胆囊腔内出现弥漫性低回声、云雾状回声等提示胆囊积脓
D.胆囊窝显示无回声带,提示胆囊周围液体潴留或积脓
E.胆囊壁内无回声的散在小囊样憩室结构
76、单项选择题
患者女28岁,反复右上腹疼痛二年余,反射肩背部疼痛,B超检查如图所示,根据超声声像图,诊断为()
A.胆囊息肉
B.胆囊癌
C.胆囊结石
D.胆囊蛔虫
E.胆囊腺瘤
77、判断题 超声在介质中以直线传播,有良好的指向性。
78、单项选择题 女性超声检查中,经阴道超声检查的优点是()①不需充盈膀胱,便于急诊,免受憋尿痛苦②可发现宫腔内较小病变③便于卵泡检测④可清晰显示盆腔大肿块与邻近器官的关系⑤患者需要充盈膀胱,形成良好透声窗
A.①②
B.①②③
C.①②③④
D.①②③④⑤
E.①②③⑤
79、单项选择题 肝豆状核变性与下列哪项元素代谢失常有关()
A.锌
B.铁
C.硒
D.铜
E.铝
80、单项选择题 用三尖瓣返流血流怎样定量计算肺动脉收缩压()
A.RVSP=△P(TR)(三尖瓣返流峰速换算压差)+RAP
B.RVSP=RVDP+RAP
C.RVSP=△P(MR)(二尖瓣返流峰速换算压差)+RAP
D.RVSP=△P(AR)(主动脉瓣返流峰速换算压差)+RAP
E.RVSP=△P(TR)(三尖瓣返流峰速换算压差)-RAP
81、单项选择题
如图,最可能的诊断是()
A.软骨成长不全
B.致死性骨发育不全
C.窒息性胸廓发育不良
D.肢体屈曲综合征
E.无肢畸形
82、单项选择题
男,60岁,便血就诊。PE:左下腹可扪及一肿块,质硬。结合超声声像图,诊断为()
A.Crohn’s病
B.肠梗阻
C.肠癌
D.肠套叠
E.肠结核
83、单项选择题
图示6所指部位()
A.脾静脉
B.腹主动脉
C.胰尾
D.肠系膜上动脉
E.肠系膜上静脉
84、单项选择题 二尖瓣关闭不全M型超声心动图时检查时哪项表现有错误()
A.二尖瓣叶增厚、活动受限
B.关闭时二尖瓣叶不能合拢
C.左心房及左心室增大
D.左心室壁运动增强
E.左心房、右心室增大
85、单项选择题 有关左心室,以下哪项不对()
A.左心室位于右心室右前方
B.左心室横切时呈圆形
C.左心室壁较右心室壁厚
D.左心室腔内有两组乳头肌附着
E.左心室的右缘为室间隔的左室面
86、单项选择题 下列哪种声像图最易与宫外孕相混淆()
A.葡萄胎
B.附件肿块
C.过期流产
D.宫内孕并黄体囊肿
E.盆腔炎
87、单项选择题 移植肾正常声像图表现()
A.肾窦增大
B.较正常肾脏回声更多
C.皮质薄而髓质锥体增加
D.与正常肾脏声像图一致
E.常位于肾窝内
88、单项选择题
肝囊肿的声像图表现,下列哪一项是错误的()
A.囊壁薄而光滑
B.囊壁较厚,光滑,呈双层
C.侧壁出现回声失落
D.后方回声增强
E.彩色多普勒显示囊壁处短条状血流信号
89、单项选择题 胎盘出血的超声表现,下列哪一项是错误的()
A.胎盘血管丰富故胎盘内及其周围很容易发生出血
B.胎盘内出血范围多数很小
C.胎盘后出血可引致胎盘早剥
D.彩色多普勒血流显像可鉴别胎盘后出血与胎盘静脉窦
E.胎盘内出血临床症状最重
90、单项选择题 自然组织谐波的作用是()
A.增加可视帧频
B.增加界面分辨力,清晰度及信噪比
C.增加高频超声的穿透深度
D.提高声输出功率
E.减少超声能量的衰减
91、单项选择题
该病例最可能的诊断()

A.原发孔房间隔缺损
B.左室右房通道
C.心内膜垫缺损
D.继发孔型房间隔缺损
E.混合型房缺
92、单项选择题
该病例最有可能诊断是()

A.布-加综合征
B.川崎病
C.动脉瘤
D.以上都不是
E.门静脉高压
93、单项选择题 若月经周期是25天,估计排卵应在月经周期的第几天()
A.1天
B.8天
C.11天
D.14天
E.25天
94、单项选择题 侵蚀性葡萄胎可以发生于()
A.葡萄胎以后
B.流产以后
C.足月产以后
D.异位妊娠以后
E.过期流产以后
95、单项选择题 无法进食并给予静脉营养的病人胆囊将会产生()
A.下垂
B.病理性扩张
C.收缩
D.病变
E.憩室
96、问答题 多囊肾的声像图表现有哪些?
97、判断题 妊娠6周超声可探测到心率A.对
98、问答题 子宫内膜增生的声像图表现有哪些?
99、单项选择题
根据肝脏声像图表现,诊断为()
A.转移性肝癌
B.肝血管瘤
C.肝脓肿
D.肝囊肿
E.肝内胆管囊状扩张
100、单项选择题 男,32岁,突发性左季肋部绞痛4小时,无发热,血像正常。尿常规:红细胞20~30个。超声检查见左肾集合系统轻度分离,该侧输尿管上段约0.6cm,其远侧段显示不清。该病例不能除外()
A.肾癌
B.急性肾盂肾炎
C.急性肾小球肾炎
D.输尿管结石
E.肾平滑肌脂肪瘤
101、单项选择题 划分肝脏左内叶与左外叶的分界标志()
A.肝左静脉与门静脉左支横段
B.肝左静脉近端与门静脉左支矢状段
C.肝中静脉与门静脉左支矢状段
D.肝中静脉与门静脉左支横段
E.肝右静脉
102、单项选择题 超声难以显示的乳腺癌为()
A.<3cm
B.<2cm
C.>2cm
D.<1cm
E.>3cm
103、多项选择题 乳腺癌的一般USG表现可见()
A.肿瘤形态不规则,边界不整
B.瘤体中心液化或坏死时,可见不均质低回声或无回声区
C.肿瘤后方回声减低或消失
D.内部多呈实性低回声,分布不均匀
E.部分患者可探及患侧腋窝处肿大的淋巴结
104、单项选择题 声束能量的丧失是由于反射和吸收等原因,称为()
A.吸收
B.反射
C.松弛
D.衰减
E.转换
105、单项选择题 探头匹配层的最主要作用是()
A.间接保护压电振子
B.减少声波的谐振
C.使探头与皮肤声阻抗相匹配,有利于声波传播
D.降低横向耦合力
E.增加有效振子数目
106、单项选择题 肾的异常声像图表现中,错误的是()
A.肾盂结石:肾窦内有强回声光团伴后方声影
B.肾盂积水:肾窦分离,强回声肾窦一部分或全部为液性暗区替代
C.肾盂肿瘤:肾窦分离,内有低回声区,其后方回声无增强
D.多囊肾:肾实质内单发或多发边缘光滑的液体无回声区,后方回声增强内收
E.较大肾癌:肾实质内低回声肿块,边界较清,后方回声增强
107、单项选择题 眼动脉是由哪根动脉发出的第几分支()
A.颈内,第一
B.颈外,第三
C.颈总,第二
D.椎动脉,颅内
E.颈内,第三
108、单项选择题 子宫颈癌中晚期肿瘤的声像图表现中,应除外()
A.多无明显征象
B.宫颈体积增大
C.形态多不规则
D.边缘较模糊
E.宫颈回声不均
109、单项选择题 心房收缩期对心血管生理上的意义()
A.心房的血液因心房收缩,最终全部被充盈到左心室
B.左心房收缩引起左心室收缩
C.心房收缩期引起心室的快速充盈
D.心房收缩是舒张期的开始
E.心房收缩期是左心室射血的终结
110、单项选择题
患者腹痛3小时,超声检查左下腹显像如图,诊断可能为()
A.肠道扩张
B.肠道肿瘤
C.肠套叠
D.肠道蛔虫症
E.肠结核
111、单项选择题 当Rh不合时,超声检查的目的是()
A.确定羊膜穿刺的部位
B.确定胎儿的大小
C.排除伴随的盆腔肿物
D.确定妊娠时间
E.确定胎盘的位置
112、填空题 USG显示肝内胆管内径_______mm,肝外胆管内径____mm以上可诊断胆道扩张。
113、单项选择题 中孕期超声发现的胎儿畸形有()①无脑儿②脑积水③脊柱裂④脐疝
A.①
B.①②
C.①②③
D.①②③④
E.②④
114、单项选择题 卵巢良性肿瘤的声像图特点是()
A.肿块形态不规则,边界不整,实性部分回声不均
B.肿块多为囊性,内回声较单纯,囊内分隔薄而均匀规则,内壁光滑
C.多伴腹水
D.CDFI示肿块内部及周边血供丰富,呈高速低阻频谱,RI<0.5
E.多伴骨转移
115、单项选择题 子宫内膜异位症的临床表现有()①月经失调②痛经③不孕症④大便坠胀
A.①②
B.①②③
C.①②③④
D.②
E.②③④
116、单项选择题 频谱多普勒超声检测到从零位基线向上的血流频谱,表明血流是()
A.反向的动脉血流
B.反向的静脉血流
C.流向探头的血流
D.背离探头的动脉血流
E.背离探头的静脉血流
117、判断题 颈部海绵状血管瘤USG动态观察其大小,随体位移动固定不变。
118、单项选择题 在骨软骨瘤的声像图上,于软骨帽的周围可出现无回声区,使软骨帽本身回声反射更加明显,无回声区的组织结构是()
A.软骨膜
B.骨性肿块
C.滑液囊
D.移位的血管
E.假性动脉瘤
119、单项选择题 经腹壁胃肠超声检查前准备,下列哪一项是错误的()
A.检查应安排在X线钡剂检查之后
B.检查前1天晚餐宜进流食
C.禁食8小时-12小时
D.大肠检查不必禁食
E.胃内潴留物较多时可考虑洗胃
120、问答题 腹主动脉异常USG表现有哪些?
121、单项选择题 超声可以显示的骨结构是()①骨皮质②骨髓③骨膜④软骨组织
A.①
B.①②
C.①②③
D.①④
E.①②③④
122、单项选择题 关于睾丸肿瘤的论述,下列哪项是正确的()
A.睾丸肿瘤有生殖细胞性、间质细胞性、转移性三大类
B.生殖细胞性肿瘤45%为恶性
C.生殖细胞性肿瘤中以精原细胞瘤最常见
D.间质细胞性、转移性肿瘤约占35%
E.生殖细胞性肿瘤的转移途径主要是血行转移,其次为淋巴转移
123、单项选择题
发现一侧乳房无痛性肿块3天,腋窝及颈部可触及数个黄豆大包块,乳腺超声声像图如上,最可能的诊断是()
A.乳头状导管癌
B.髓样癌
C.乳腺淋巴瘤
D.乳腺囊性增生
E.以上都不是
124、单项选择题 彩色血流频移大于1/2PRF(脉冲重复频率)时出现折返,这称为()
A.Nyquist(内奎斯特)极限
B.快速傅立叶变换
C.运动目标显示器(MTI)
D.自相关技术
E.彩色血流显像的滤波
125、单项选择题 布—查氏综合征患者合并门脉血栓的比例是()
A.<5%
B.约20%
C.约50%
D.>90%
E.约10%
126、问答题 试述原发性肝癌病理分型及声像图表现。
127、单项选择题 超声检查常见的胰腺囊肿是().
A.先天性囊肿
B.真性囊肿
C.假性囊肿
D.滞留性囊肿
E.寄生虫性囊肿
128、单项选择题 腮腺囊肿的超声表现是()
A.形态规整,多呈圆形或多边形
B.轮廓边界完整,呈锯齿状
C.内呈不均质混合回声
D.透声性欠佳,后方轻度衰减
E.边界完整,内为无回声,后方回声增强
129、单项选择题 肝门内三结构是()
A.肝动脉、肝静脉和肝门
B.门静脉、肝动脉和胆总管
C.脾静脉、门静脉和肝静脉
D.胆总管、胆囊管和左右肝管
E.以上都不是
130、单项选择题
女,28岁,无任何不适,体检。声像图如图所示,诊断为()
A.胆囊结石
B.胆囊息肉
C.胆囊胆固醇结晶
D.胆囊腺瘤
E.胆囊癌
131、单项选择题 分贝的定义是()
A.两个声强的比值
B.两个声强的和
C.散射量
D.声波的速度
E.两个声强之差
132、单项选择题 绒毛膜癌超声检测时,应注意哪些器官()①脑和肺②肝③肾④消化道
A.③④
B.②③
C.①
D.①②③
E.①②③④
133、单项选择题
女,42岁,上腹部经常疼痛不适,加重1周。声像图如图所示,结合超声声像图,诊断为()
A.左肝内胆管多发性结石
B.左肝内胆管蛔虫
C.左肝内胆管癌
D.左肝钙化灶
E.左肝内血管瘤
134、单项选择题
某胎儿超声声像图如下,最可能的诊断为()
A.脐带绕颈1周
B.脐带绕颈2周
C.脑积水
D.正常声像图
E.脐带绕颈3周
135、单项选择题 在急性骨髓炎时,早期最易探查到的超声征象是()
A.骨膜下脓肿呈现带状无回声改变,骨膜增厚呈拱形抬高表现
B.正常骨纹理消失,骨皮质回声中断
C.骨质中出现边缘不清,外形不规整的低回声区夹杂着点状强回声
D.软组织肿胀,有脓肿形成时可探到无回声区
E.脓肿穿破皮肤,形成窦道,局部软组织纹理中断
136、单项选择题 颈总动脉分叉处彩色多谱勒血流显像的正常变异是()
A.彩色血流呈明显的五彩镶嵌
B.分叉处靠近膨大部有一些颜色不一的翻转彩色血流
C.彩色血流明显变细或时有时无
D.血流的彩色信号完全翻转
E.血流完全中断
137、问答题 膀胱憩室的声像图表现有哪些?
138、单项选择题
患者老慢支疾病多年,该病例最有可能诊断()

A.原发性肺动脉扩张
B.右流增宽
C.肺动脉瓣关闭不全
D.肺动脉高压
E.动脉导管未闭
139、单项选择题
某患者,左阴囊肿大,疼痛,数小时前曾与人殴斗。根据超声声像图,最可能的诊断为()
A.睾丸鞘膜积液
B.阴囊内血肿及血块
C.睾丸破裂
D.睾丸扭转
E.睾丸肿瘤
140、单项选择题 超声用于骨折的主要目的是()
A.辅助诊断骨折,指导手法复位
B.鉴别血肿与软组织水肿
C.复杂骨折的实质性器官的排除性检查
D.评价骨折延迟愈合和骨不连接的原因
E.以上都是
141、单项选择题
如图可诊断为()
A.小肝癌
B.肝转移癌
C.肝脓肿
D.多发肝血管瘤
E.肝囊肿
142、单项选择题
女,已放置节育器;腹痛,镜下血尿,超声显像如图,最可能的诊断为()
A.膀胱肿瘤
B.膀胱结石
C.节育器异位膀胱
D.右输尿管末端囊肿
E.以上都不是
143、单项选择题
男,48岁,上腹胀痛,纳差,血吸虫病多年。结合超声声像图,诊断为()

A.血吸虫肝纤维化
B.脂肪肝
C.细菌性肝脓疡
D.肝豆状核变性
E.肝炎
144、单项选择题 尿路梗阻对肾脏造成危害中,哪一项是错误的()
A.尿路任何部位的梗阻均可造成肾积水
B.单侧肾积水是上尿路梗阻所致,双侧肾积水多为下尿路梗阻所致
C.梗阻部位越低,对肾脏造成危害的时间越快
D.肾外肾盂积水时,肾盂向外扩张,肾实质受影响慢
E.巨大肾积水均为长期部分性尿路梗阻所致
145、单项选择题 关于多次内部混响的表述,正确的是()
A.超声在靶内来回反射形成的彗星尾征
B.常见于含气的肺
C.含气的肠腔
D.可见于胆结石
E.改变探头方向有助于鉴别伪像
146、单项选择题 下列对超声诊断仪的维护和保养措施中,哪项是不恰当的()
A.防尘,保持室内清洁
B.防潮,经常开机
C.使用带地线的三相电源,不必再接专门的地线
D.防高温,避免阳光直晒
E.减少震动
147、单项选择题 绝经后妇女超声测量子宫内膜厚度正常值是()
A.子宫内膜呈线状或厚度≤4mm
B.子宫内膜厚度≤6mm
C.子宫内膜厚度≤8mm
D.子宫内膜厚度≤10mm
E.子宫内膜厚度≤12mm
148、单项选择题 正常主动脉瓣口血流多谱勒频谱的特点是()
A.频谱幅度比肺动脉口高
B.频谱为双峰型
C.舒张期出现
D.频谱幅度比肺动脉口低
E.频谱为双向型
149、单项选择题 交通支静脉是()
A.下肢静脉与盆腔静脉的交通静脉
B.小腿静脉与大腿静脉的交通静脉
C.慢性静脉疾病时的侧支静脉
D.浅静脉和深静脉的交通静脉
E.曲张的静脉
150、单项选择题 睾丸绒毛膜上皮癌的声像图特点是()
A.内部回声不均匀,为中强回声
B.内部回声不均匀,为中等回声
C.内部回声均匀,为中强回声
D.内部回声均匀,为中等回声
E.以上都不是
151、单项选择题 下列关于压电效应和压电材料的描述,正确的是()
A.在压电晶片上施加机械压力其表面可产生电荷,这种现象为逆压电效应
B.在压电晶片上施加交变电信号可产生晶片的机械振动,这种现象为正压电效应
C.压电材料的厚度与超声响应频率无关
D.压电材料一般需要磁场极化处理
E.与高频率超声探头相比,低频率超声探头采用较薄的压电材料
152、单项选择题 超声图像的后处理功能,不包括()
A.灰阶变换
B.彩色编码变化
C.图像储存
D.图像平滑化
E.图像补插处理
153、单项选择题
女,34岁,B超检查,盆腔内可见一肿块,声像图如下,最可能的诊断为()
A.巧克力囊肿
B.畸胎瘤
C.炎性包块
D.宫外孕
E.附件囊肿
154、单项选择题 除下列哪项外均可发生急性鞘膜积液()
A.肿瘤
B.睾丸及附睾的感染
C.外伤
D.睾丸扭转
E.以上都不是
155、单项选择题 风心病二尖瓣狭窄M型超声心动图叙述正确的是()
A.二尖瓣双峰消失,呈“城垛”样改变,前后叶同向运动
B.二尖瓣双峰消失,呈“城垛”样改变,前后叶逆向运动
C.二尖瓣双峰,前后叶逆向运动
D.二尖瓣单峰,前后叶逆向运动
E.以上都是
156、单项选择题 关于声场的特性,正确的是()
A.近场长度与探头半径和频率成正比
B.近场横向分辨率高于远场
C.近场声束呈喇叭形
D.近场横断面上能量分布基本均匀
E.远场声束直径小于近场
157、单项选择题
女,25岁,停经37周,阴道不规则出血来院就诊,B超检查声像图如图所示,最可能的诊断为()
A.胎盘早剥
B.前置胎盘
C.副胎盘
D.胎膜破裂
E.以上都不是
158、单项选择题 “囊壁-结石-声影三联征(WES)”是指()
A.胆囊壁钙化
B.胆囊胆固醇沉着病
C.胆囊腺癌
D.胆囊癌
E.胆囊内充满结石
159、单项选择题 肝脓肿与肝囊肿的区别是()
A.脓肿不透声,而囊肿透声好
B.脓肿边界不规则,囊肿边界清晰
C.脓肿是坏死性肿瘤,囊肿是良性肿物
D.脓肿回声强,囊肿回声弱
E.以上均是
160、填空题
如图,二维超声心动图中,此为____________切面。

161、单项选择题 乳房良性肿瘤的声像图表现()
A.包膜完整
B.包膜完整,内部回声均匀
C.包膜完整,内部回声均匀,后方回声衰弱
D.包膜完整,内部回声均匀,后方回声可增强也可不增强
E.内部回声均匀,后方回声衰减
162、单项选择题 胎盘静脉窦发生于下列哪个部位()
A.胎盘绒毛叶中心部分无绒毛处
B.胎盘与子宫肌层之间
C.绒毛膜板下
D.胎盘实质中
E.子宫肌层内
163、问答题 超声监测卵泡发育有何临床意义?
164、单项选择题 造成前置胎盘的假阳性超声诊断的原因有()①膀胱过度充盈②子宫局部收缩③子宫肌瘤④羊膜腔外血块⑤膀胱未充盈
A.①②
B.①②③
C.①②③④
D.①②③④⑤
E.①③⑤
165、单项选择题 动脉导管未闭超声诊断的主要根据是()
A.肺动脉增宽
B.主动脉增宽
C.从降主动脉向肺动脉有收缩期分流血流
D.从降主动脉向肺动脉有双期分流血流;舒张期明显。
E.肺动脉内检出收缩期血流明显大于舒张期血流
166、单项选择题 最常见的儿童肾实质性肿瘤是()
A.中胚层的肾肿瘤
B.Wilms瘤
C.神经母细胞瘤
D.肾癌
E.肾错构瘤
167、单项选择题 患者阴道出血,停经60天,尿HCG(+),超声见子宫稍增大,宫腔内未见胎囊及胎芽,应考虑()
A.先兆流产
B.难免流产
C.过期流产
D.完全流产
E.异位妊娠
168、单项选择题 脉冲式多谱勒的技术优势在于()
A.可测定高速血流
B.可测定低速血流
C.有距离选通作用
D.连续发射脉冲波
E.主要用于返流的检测
169、单项选择题
如图,正常甲状腺中部横切面的超声声像图,中央气管环状软骨前方组织为()
A.甲状腺峡部
B.皮下组织
C.甲状旁腺
D.淋巴结
E.以上均不对
170、单项选择题 压电效应只有通过哪种材料才能表现出来()
A.金属材料
B.水晶不对称材料
C.天然存在的材料
D.塑料材料
E.合金材料
171、单项选择题 观察不同器官和部位彩色多普勒血流信号,何项选择不妥()
A.心脏、大血管选用2.5MHz探头
B.成人肝内门静脉:2.5~3.5MHz
C.乳房:7~10MHz
D.甲状腺:7MHz
E.周围血管:2.5~3.5MHz
172、单项选择题
超声引导穿刺前用水槽实验证实探头引导穿刺的准确性应注意观察()
①针尖呈清晰强回声
②针尖呈清晰弱回声
③针尖正好沿穿刺引导线推进
④针尖沿穿刺引导线推进,允许偏差程度:引导线左右5度
⑤穿刺者刺中目标后停针不动,仅观察荧屏,助手观察针尖是否刺中目标
⑥穿刺者刺中目标后,观察荧屏和针尖是否刺中目标
A.①③⑤
B.②④⑥
C.①④⑥
D.②③⑤
E.①④⑤
173、问答题 前列腺增生超声声像图表现?
174、单项选择题 等容收缩期在心动周期指的是什么时间()
A.左心室被快速充盈的时间
B.二尖瓣关闭到主动脉瓣开放的时间
C.左心室血液快速射入主动脉的时间
D.左心室被缓慢充盈的时间
E.肺动脉被右心室血液充盈的时间
175、单项选择题 慢性肾小球病变时,肾皮质回声常明显增强,应选用哪一脏器的回声与肾皮质对比最佳()
A.肝脏
B.脾脏
C.胰腺
D.对侧肾皮质
E.肾周脂肪
176、单项选择题 下列哪一项不是超声判断胎儿宫内生长迟缓的指标()
A.双顶径
B.羊水
C.腹围
D.头围
E.股骨长
177、单项选择题 下列不符合子宫增大的原因是()
A.腺肌病
B.先天性子宫畸形
C.子宫肌瘤
D.原发性卵巢功能衰竭
E.子宫体癌
178、单项选择题 输卵管分为哪几部分()
A.峡部、壶腹部、漏斗部、伞部
B.间质部、峡部、壶腹部、漏斗部
C.角部、间质部、壶腹部、漏斗部
D.角部、峡部、壶腹部、伞部
E.角部、峡部、壶腹部、漏斗部、伞部
179、单项选择题 肾窦脂肪沉积过多,肾窦声像图显示为()①增大②减小③回声多增强④回声减低
A.①③
B.①④
C.②③
D.②④
E.①③④
180、单项选择题
根据超声图像所示,该病例为哪型肾积水()
A.菱角型
B.烟斗型
C.花朵型
D.调色板型
E.巨大囊肿型
181、单项选择题
超声横向分辨力为()
①与深度、纵向和区域分辨力相同
②区分垂直于超声束两个物体的能力
③区分平行于超声束的两个物体的能力
④与方位、角度及横向分辨力相同
A.①③
B.①②
C.③④
D.②④
E.①②③
182、单项选择题 关于多普勒频移与角度的关系,下列描述中错误的是()
A.声束与血流方向夹角为0度时,可测得最大正向频移。
B.声束与血流方向夹角为60度时,可测得正向频移。
C.声束与血流方向夹角为90度时,可测得最佳频移。
D.声束与血流方向夹角为120度时,可测得负向频移。
E.声束与血流方向夹角为180度时,可测得最大负向频移
183、单项选择题 当声波穿过两种不同介质的界面时会发生折射是因为什么不同()
A.声阻抗
B.声速
C.密度
D.传播路径
E.传播方式
184、单项选择题 出现在肝内线状强反射回声是下列哪项引起的()
A.血管
B.肝窦状隙
C.纤维隔
D.肝硬化
E.脂肪肝
185、单项选择题 下列关于反射系数的描述中,错误的是()
A.两种介质声阻抗相同时,反射系数为0
B.两种介质声阻抗相差很大时,反射系数大
C.两种介质声阻抗只要有1‰的差异就会产生反射回波
D.声束垂直于界面入射时可得到最佳反射效果
E.当一种介质声阻抗值很小时,反射系数总是很小
186、单项选择题 彩色多普勒血流成像技术的取样框应如何选择应用()
A.取样框要明显小于检测区
B.取样框要比检测区大
C.取样框必须为检测区的两倍大
D.取样框应一半在检测区内,一半在检测区外
E.应比检测区略大,角度又最小
187、单项选择题 彩色多普勒血流显像技术检测主动脉瓣口血流,速度标尺应如何选用()
A.选择高速档
B.选择低速档(例如0.20m/s)
C.随意,不需注意调节
D.选择中等速度(例如0.6m/s)
E.以上都不是
188、名词解释 动态聚焦
189、单项选择题 将人体组织、体液回声按其强度由强到弱排列,哪一项不正确()
A.肾窦(肾中央区)>胰腺
B.肝脏>脾脏>肾皮质
C.肾皮质>皮下脂肪>肾髓质
D.胰腺>肝脾
E.胆汁、尿液>血液
190、单项选择题 彩色多普勒技术不可以与下列哪种技术并用()
A.二维超声显像
B.频谱多普勒
C.三维超声显像
D.M型超声心动图
E.以上都不是
191、单项选择题 异位妊娠最常见种植在下()
A.卵巢
B.腹腔内
C.输卵管
D.后腹膜间隙内
E.肠壁上
192、单项选择题 最常与葡萄胎并发的卵巢囊肿是()
A.滤泡囊肿
B.皮样囊肿
C.卵巢冠囊肿
D.黄素囊肿
E.黄体囊肿
193、单项选择题 精原细胞瘤的声像图特点是()
A.睾丸增大,形态不规则,轮廓不整齐,肿瘤内部为中等亮、度、细小均匀回声
B.睾丸增大,形态不规则,轮廓不整齐,肿瘤内部为杂乱的高回声
C.睾丸增大,仍保持椭圆形,轮廓整齐,肿瘤内部呈中等亮度、细小均匀回声
D.睾丸增大,仍保持椭圆形,轮廓整齐,肿瘤内部呈杂乱的高回声
E.以上都不是
194、单项选择题 肾柱肥大常混淆为肿瘤见于()
A.肾盏较小时如同残留的肾盏
B.肾盏较大时如同残留的输尿管
C.肾皮质延伸至肾包膜外
D.在肾皮质深入髓质环绕分隔肾锥体的部分异常
E.以上都是
195、单项选择题 下列哪种气体不能用于超声造影()
A.空气
B.二氧化碳气体
C.氧气
D.纯氮气体
E.氟碳气体
196、单项选择题
乳腺超声普查发现乳房包块,声像图如上,最可能的诊断是()
A.乳腺纤维肉瘤
B.乳腺囊性增生
C.乳腺癌
D.乳腺纤维瘤
E.以上都不是
197、单项选择题 胎儿死亡的定义是()①≥20周胎儿死亡②任何胎龄的胎儿死亡③体重≥500g的胎儿死亡④36周以后的胎儿死亡
A.①③
B.②③
C.④
D.①②③④
E.②③④
198、单项选择题 正常妊娠期大约多少天()
A.200天
B.230天
C.280天
D.320天
E.360天
199、单项选择题 眼外肌有几条,分别是()
A.四条,上直、下直、内直、外直肌
B.六条,上直、下直、内直、外直、上斜、下斜肌
C.六条,上直、下直、内直、外直、内斜、外斜肌
D.八条,上直、下直、内直、外直、内斜、外斜、上斜、下斜肌
E.以上均不是
200、单项选择题 超声测量胎儿股骨长度,怎样才能避免较大的测量误差()
A.用线阵式超声探头
B.采用凸阵式超声探头
C.采用扇扫式或小凸阵探头
D.声束与胎儿股骨尽可能保持垂直
E.声束与胎儿股骨尽可能保持平行
201、单项选择题 关于盆腔肾脏的说法,正确的是()
A.在异常位置的正常表现
B.在正常部位的异常表现
C.在正常位置的正常表现
D.在异常部位的异常表现
E.以上都是
202、单项选择题 彩色多普勒血流显像仪的性能,下列哪项与之无关()
A.空间分辨力,速度分辨力,动态分辨力
B.细小血管低速血流检测灵敏度
C.图像及血流彩色均匀性
D.彩色血流的充盈度
E.彩色标图的形状
203、单项选择题 切片厚度伪像的产生与下列因素有关()
A.脏器位置较深
B.脏器厚度较大
C.探头近场较长
D.超声束较宽
E.探头横径过大
204、单项选择题 关于声衰减的表述,不正确的是()
A.组织内含水分越多,声衰减越低
B.组织中含胶原蛋白越多,声衰减越低
C.组织中含胶原蛋白越多,声衰减越高
D.液体中含微气泡越多,声衰减越高
E.液体中含蛋白成分越多,声衰减越高
205、单项选择题 正常成人妇女乳腺通常不包括的组成内容是()
A.平滑肌
B.腺叶
C.小叶
D.腺泡
E.导管
206、单项选择题
盆腔超声检查如图,最可能的诊断是()
A.幼稚子宫
B.双子宫
C.双角子宫
D.畸胎瘤
E.正常声像图
207、单项选择题 超声声像图上,宫颈内见数个小无回声区,后方回声加强,最可能的诊断为()
A.阴道横隔
B.宫颈肥厚
C.宫颈妊娠
D.宫颈纳氏囊肿
E.宫颈癌
208、单项选择题 子宫先天性发育异常常伴有哪个器官异常()
A.肾脏
B.消化道
C.颅脑
D.心脏
E.脊柱
209、单项选择题 下列哪一支血管不是左冠状动脉的分支()
A.左冠状动脉主干
B.右圆锥支
C.左回旋支
D.斜角支
E.左前降支
210、单项选择题 胎囊的双囊可能是()①双胎妊娠②流产受阻或植入性出血③枯萎卵④两层蜕膜之间的无回声区
A.①
B.①②
C.①②③
D.①②③④
E.②③④
211、名词解释 成像帧率
212、单项选择题 IVRT是指()
A.从主动脉瓣关闭到二尖瓣开放之间的时间
B.从主动脉瓣开放到主动脉瓣关闭之间的时间
C.从二尖瓣开放到二尖瓣关闭之间的时间
D.从主动脉瓣关闭到肺动脉瓣关闭之间的时间
E.从二尖瓣关闭到三尖瓣关闭之间的时间
213、问答题 先天性肾畸形的声像图表现有哪些?
214、单项选择题
女性,43岁,因月经时间长就诊。超声检查如图,最可能的诊断为()
A.节育环下移
B.子宫内膜癌
C.子宫肌瘤
D.宫腔残留
E.子宫内膜钙化
215、问答题 超声诊断在产科临床有何意义?
216、单项选择题 俯卧位时横切靠近腹后壁形态为卵形或豆状结构的器官是()
A.肾上腺
B.腹腔内隐睾
C.肾
D.腹腔淋巴结
E.胰腺
217、单项选择题 下列肾肿瘤描述中,哪一项正确()
A.肾细胞癌多发于50~60岁,儿童少见,常出现血尿
B.肾母细胞瘤多发生于小儿,2~4岁最多见,腹部肿块常为早期症状
C.肾血管平滑肌瘤为良性间叶瘤,属一种良性肿瘤
D.肾盂肿瘤中最常见的是移行上皮乳头状癌,以淋巴转移为主
E.以上均正确
218、多项选择题 对胎儿的超声检查中,正确的选择是()
A.尽可能选择最低输出功率
B.缩短检查时间
C.选用经阴道探头以获得清晰图像
D.减少超声检查次数
E.采用脉冲多普勒测量脐带血流
219、单项选择题 前列腺囊肿的超声表现()
A.前列腺内圆形、椭圆形无回声,边界光滑清晰,后方声加强
B.前列腺内圆形、椭圆形增强回声,后方声衰减
C.前列腺内形态不规则无回声,边界模糊不清
D.前列腺内圆形、椭圆形低回声,向膀胱内突起
E.以上都不是
220、问答题 脾外伤的USG有哪些?
221、单项选择题 下列哪一项不属于附睾炎的超声所见()
A.附睾头肿大
B.附睾强回声伴声影
C.附睾尾肿大
D.化脓时可呈无回声
E.附睾正常大小
222、多项选择题 不同的介质有不同的声速,下述哪些正确()
A.空气——332m/s
B.血液——1570m/s
C.肝——1570m/s
D.脂肪——1476m/s
E.肌肉——1568m/
223、多项选择题 “羊水过多”常出现的并发症是()
A.呼吸系统畸形
B.消化系统畸形
C.循环系统畸形
D.泌尿系统畸形
E.神经系统畸形
224、单项选择题 长骨骨折的声像图特点是()①骨皮质连续中断②骨皮质错位、分离③骨膜掀起、下方呈无回声④骨质破坏
A.①
B.①②
C.①②③
D.①②④
E.以上各项均是
225、单项选择题 正常成人妇女的乳房(不包括胸壁和肌肉)在超声断面图上,主要分为几部分()
A.3部分
B.4部分
C.5部分
D.6部分
E.7部分
226、单项选择题 诊断中,脾脏厚度的正常标准为()
A.男≤4.0cm女≤3.9cm
B.男≤4.1cm女≤4.0cm
C.男≤3.8cm女≤3.7cm
D.男≤3.9cm女≤3.8cm
E.男≤4.0cm女≤3.8cm
227、问答题 膀胱结石的声像图表现有哪些?
228、单项选择题 胆总管上段位于门静脉()
A.右前方
B.前方
C.左方
D.后方
E.左前方
229、单项选择题 关于子宫动脉的描述,不正确的是()
A.子宫动脉发自髂内动脉前干
B.其分支分别供应子宫、输尿管、卵巢及阴道上部
C.子宫动脉频谱正常波形显示为收缩期的峰尖锐舒张期速度减低
D.频谱随月经周期无明显变化
E.子宫两侧的血供相同
230、单项选择题 以下哪项不是主动脉瓣狭窄的超声所见()
A.主动脉瓣叶增厚,回声增强
B.瓣口面积缩小
C.左室腔明显增大
D.左室壁普遍性增厚
E.升主动脉内探及高速射流频谱
231、单项选择题 左心腔造影,从末梢静脉注入造影剂其原理是()
A.微气泡直径大于红细胞,进入右心再经肺循环入左心
B.微气泡较大(比红细胞直径大数倍)从腔静脉入右心再到左心
C.造影剂进入右心,经肺循环进入左心腔
D.微气泡直径大于10μm,经肺循环进入左心
E.微气泡密度明显大于血液
232、单项选择题 3.5MHz的脉冲通过2cm的软组织后,会衰减多少分贝(dB)()
A.7dB
B.3.5dB
C.2.7dB
D.3.75dB
E.1.75dB
233、单项选择题 以下哪项不会引起肝脏上移()
A.结肠极度扩大
B.腹水
C.腹部肿瘤
D.膈下脓肿
E.腹部极度肿大脏器
234、单项选择题 半月板囊肿的声像图改变是()
A.半月板部分缺损,该处可探及圆或椭圆形无回声,边界清晰
B.内侧半月板呈"C"形,外侧半月板近似环形
C.半月板间隙宽大,可见两个强回声界面间有一低回声带
D.腘窝处圆形边缘光滑的无回声,无搏动
E.伸膝时囊肿变小,屈膝时囊肿变大
235、单项选择题 成人型多囊肾中下列哪一项是错误的()
A.该病一般在40~60岁出现症状,有家族性
B.超声显示两肾内无数大小不等的囊肿,常合并多囊肝等其他脏器多囊性疾病
C.本病属常染色体隐性遗传病
D.本病为双侧性,临床上少数病例两肾发展可不一致
E.本病出现症状愈早,预后愈差;晚期症状为高血压、肾功能减退
236、单项选择题 进行心肌超声造影,对造影剂有什么要求()
A.微气泡直径小于5μm
B.微气泡要有厚的包裹膜
C.微气泡的压缩系数要小
D.微气泡密度要高
E.微气泡直径要大(大于红细胞)
237、问答题 肾细胞癌的声像图表现有哪些?
238、单项选择题 下列哪项指标不是判断颈动脉狭窄的常规血流动力学指标()
A.狭窄处峰值速度
B.狭窄处舒张末期血流速度
C.狭窄处血流阻力指数
D.峰值血流速度比
E.舒张末期血流速度比
239、判断题 脐带绕颈时,若绕颈1周USG为V字形压迹,绕2周为W字形压迹。
240、单项选择题 骨巨细胞瘤病理基础主要表现为肿瘤组织质地疏松、出血、坏死和囊性变。与其相对应的声像图表现()
A.病变发生于骨骺端的松质骨内
B.病变部位呈偏心性肿大
C.肿瘤与正常骨质界限清楚
D.肿瘤透声性良好,后部边界回声增强
E.彩色多普勒血流显像见少许点状血流或较丰富的血流
241、单项选择题 关于房间隔,以下哪项不对()
A.是左右心房之间的薄层纤维隔膜
B.其中部浅的凹陷称卵圆窝
C.卵圆瓣位于胎儿右房侧
D.若成人卵圆孔未能闭合称为房间隔缺损
E.以继发性房缺最为多见
242、单项选择题
患者男56岁,上腹部不适1年余,B超检查如图所示,根据超声声像图,诊断为()
A.胆囊结石
B.胆囊息肉
C.胆囊癌
D.胆囊腺瘤
E.胆囊腺肌瘤
243、单项选择题 腹内实质性脏器病变宜先采用何种检查()
A.透视
B.摄片
C.CT
D.B超
E.脑血管造影
244、单项选择题 彩色多普勒技术对检测脏器肿瘤的用途是()
A.检测肿瘤大小
B.判断肿瘤的物理性质
C.检测肿瘤有无包膜
D.检测肿瘤的血供丰富与否及血供特点
E.检测肿瘤的回声分布
245、单项选择题
该食管超声心动图箭头所示为()

A.左心耳血栓
B.左房黏液瘤
C.左房梳状肌
D.以上都不是
E.左房赘生物
246、单项选择题 赵某,男,50岁,颈前偏右有一实性结节,质硬。2周后发现声音嘶哑,超声显示:甲状腺右叶单发,境界不清,低回声结节,内有细点状强回声,伴有右颈部淋巴结肿大,最可能的诊断是()
A.甲状腺腺瘤
B.甲状腺癌
C.甲状腺囊肿
D.结节性甲状腺肿
E.桥本病
247、单项选择题 肝内有三条韧带对超声检查很重要,它们是圆韧带、静脉韧带和镰状韧带。圆韧带是()①存在于左叶间裂②脐静脉的残留③在严重肝硬化时可见再通④在横切面上是一个回声增强光点⑤常见在门静脉之上
A.①②
B.①②③
C.①②③④
D.①③④⑤
E.①②③④⑤
248、单项选择题 超声系统可控制的最大能量与最小能量之比为下列哪种()
A.动态范围
B.抑制
C.增益
D.放大因数
E.分贝
249、单项选择题 用频谱多谱勒测肺动脉高压的肺动脉血流有什么特点()
A.血流加速时间及射血时间延长(AT、ET),射血前时间延长(PEP)
B.AT、PEP延长,ET缩短
C.血流加速时间缩短(AT),射血时间缩短(ET),射血前时间延长(PEP)
D.AT、ET、PEP均缩短
E.AT、ET无变化,PEP延长
250、单项选择题 肝的脏面向()
A.下、后和左
B.下、后和右
C.上、后和左
D.上、后和右
E.前和左
251、单项选择题 心绞痛型冠心病的超声检查所见哪一项是错误的()
A.心室收缩功能可低下
B.心室舒张功能减退
C.节段性室壁运动低下
D.负荷试验可诱发室壁运动减低
E.收缩期增厚率明显增加
252、单项选择题 声像图中,形成强回声,其后方有声影的是()
A.皮肤
B.脂肪
C.纤维组织
D.结石
E.实质脏器
253、单项选择题
超声检查如图所示,该病例最可能诊断()
A.肾多囊性发育异常
B.肾肿瘤
C.肾囊肿
D.多囊肿
E.肾局限性积水
254、单项选择题 肾移植后肾周出现无回声暗区,声像图可能的诊断为()①淋巴囊肿②尿性囊肿③肾周脓肿④肾周血肿
A.①
B.①②
C.①②③
D.①②③④
E.①④
255、单项选择题
男,30岁。根据超声声像图,可诊断为()

A.肝囊肿
B.肝包虫病
C.肝血管瘤
D.局限性脂肪肝
E.肝脓肿
256、单项选择题 男性,12岁,突然发现阴囊肿胀、剧疼。超声显示:睾丸轻度肿大,中等回声,2~3小时后复查睾丸回声尚均匀,睾丸内血流消失。最可能的诊断为()
A.睾丸炎及附睾炎
B.阴囊血肿
C.鞘膜积液
D.睾丸扭转
E.斜疝绞窄
257、问答题 荡击波征是什么?
258、单项选择题
胎儿心脏超声检查如图,最可能的诊断是()
A.法四
B.右心发育不良综合征
C.左心发育不良综合征
D.心内膜垫缺损
E.大动脉换位(TGA)
259、单项选择题 超声检测深部骨骼选用多少MHz探头()
A.2.5MHz
B.3.0~3.5MHz
C.5.0~7.5MHz
D.7.5~10MHz
E.10~12MHz
260、单项选择题
男性,于晨前起床时阴囊急剧疼痛,超声见睾丸肿大,CDFI:血流信号消失。如图所示,考虑为()
A.附睾炎
B.睾丸炎
C.睾丸扭转
D.睾丸肿瘤
E.睾丸结核
261、单项选择题 下列哪一项不是影响超声传播速度的因素?()
A.声阻系数
B.频率
C.介质密度
D.温度
E.介质弹性
262、单项选择题 用彩色多谱勒技术检测左向右分流的主动脉窦瘤破裂(流向右心室流出道)有什么特征所见()
A.显示有血流信号从窦瘤到左心室
B.显示有血流信号从右心室流向窦瘤
C.显示有血流信号从冠状动脉流向窦瘤
D.显示有血流信号从肺动脉流向窦瘤
E.显示舒张期、收缩期均有从窦瘤流向右心室流出道的信号
263、单项选择题 女性,38岁,停经3月余,阴道不规则出血20余天。体检:子宫体积大于停经周数,宫旁触及囊性肿块。血HCG1280μg/ml,超声诊断为()
A.中期妊娠
B.早期妊娠
C.宫外孕
D.葡萄胎
E.绒癌
264、单项选择题 全数字化技术的内涵下列哪项是正确的()
A.波束发射时是数字形式
B.波束接收时是数字形式
C.以数字化技术形成精确的延时发射
D.用多个开关电路形成延时
E.A/D转换是最关键的技术
265、单项选择题 仰卧位下腹部探测输尿管与髂动脉的关系()
A.从前方交叉跨过髂动脉
B.从后方穿过髂动脉
C.与髂动脉内侧平行走形
D.与髂动脉外侧平行走形
E.以上都不是
266、单项选择题 锁骨下动脉盗血综合征最重要的超声诊断依据是()
A.患侧上肢脉搏减弱或消失
B.患侧上肢动脉二维图像无异常改变
C.患侧上肢动脉脉冲多谱勒频谱反向血流减少或消失,血流速度减慢
D.患侧椎动脉脉冲及彩色多谱勒呈现反向血流
E.患侧椎动脉仍存在舒张期正向血流
267、单项选择题
调节超声仪灵敏度的方法()
①通过发射频率放大器改变回声波幅
②用输出衰减器调节由探头发出的声脉冲强度
③调节焦点,使测量尺光点不易看到
A.①
B.①②
C.①③
D.①②③
E.②③
268、单项选择题
图为胎儿鼻唇区显像,“+”处标出的为()
A.鼻唇沟
B.伪像
C.右侧鼻孔
D.唇裂
E.以上都不是
269、单项选择题
女性,36岁,行常规超声妇科体检。声像图表现如图。血HCG为2258μg/ml。最可能的诊断是()
A.绒癌
B.子宫腺肌瘤
C.早期妊娠
D.子宫肌瘤
E.良性葡萄胎
270、单项选择题 胎囊平均径线是1cm,胎龄大约是()
A.4~5周
B.5~6周
C.7周
D.8周
E.9周
271、单项选择题 卵巢浆液性囊腺瘤的声像图特点是()①伴有腹水②分隔及壁上见菜花状乳头③菜花状乳头穿破囊壁向外生长④囊壁或隔膜或乳头上可见动脉血流,且RI<0.5
A.①
B.①②
C.①②③
D.①②③④
E.①③④
272、多项选择题 胆囊结石与胆囊息肉超声最主要鉴别点是()
A.是否有声影
B.回声强度
C.是否随体位改变而移动
D.是否有血流
E.体积大小
273、单项选择题 左心腔超声造影用直径小于红细胞的造影剂,下述哪一项错误()
A.造影剂从末梢静脉经腔静脉进入右心
B.造影剂进入右心后通过肺循环
C.造影剂通过肺循环经肺静脉进入左心腔
D.经外周动脉注入造影剂
E.经末梢静脉注入造影剂,通过肺毛细血管网从静脉回右心
274、问答题 先兆流产的声像图表现有哪些?
275、单项选择题 数字化彩色多普勒超声诊断仪性能高、功能多的关键技术是()
A.宽频技术
B.变频技术
C.探头阻抗匹配技术
D.多段聚焦技术
E.数字波束形成器
276、单项选择题 下列哪种肿瘤与麦格综合征有关()
A.子宫肌瘤
B.子宫体癌
C.卵巢纤维瘤
D.输卵管癌
E.库肯勃瘤
277、问答题 前列腺的超声扫查途径有哪些?
278、单项选择题 人耳可听到的声音频率范围是()
A.1~20Hz
B.5~20Hz
C.5Hz~5kHz
D.16Hz~20kHz
E.20kHz以上
279、单项选择题 识别混响伪像最好的方法是()
A.将探头在胸壁表面平行移动
B.将探头在腹壁表面平行移动
C.将探头适当侧动,勿垂直于胸壁或腹壁,多次气体反射消失
D.将探头适当侧动,并适当加压,观察多次反射有无变化
E.将探头垂直于胸壁或腹壁表面,看到特征性多次气体反射即可
280、问答题 肝海绵状血管瘤声像图表现?
281、单项选择题
根据超声图像,该病例最可能的诊断()
A.肾上极囊肿
B.肾脏积水
C.肾脏肿瘤
D.重复肾
E.肾脓肿
282、单项选择题
男,35岁、有淋巴瘤病史。结合超声声像图,诊断为()
A.脾转移性肿瘤
B.脾结核
C.脾包虫病
D.脾梗死
E.脾脓肿
283、问答题 经腹部超声检查盆腔脏器为什么要充盈膀胱?
284、单项选择题 最常见的肾脏良性肿瘤是()
A.肾错构瘤
B.海绵肾
C.肾上腺瘤
D.肾柱肥大
E.以上都是
285、单项选择题 鉴别囊肿与实性肿瘤最可靠的依据是()
A.边界光滑,整齐与否
B.外形是否圆形或椭圆形
C.内部无回声或有回声
D.后方回声增强与否
E.边界回声、外形、内部回声、后方回声综合分析
286、名词解释 全数字化超声诊断仪
287、填空题 乳腺的超声检查适用于_______和_______妇女乳腺疾病的筛选和普查。
288、单项选择题 超声造影检测外周血管异常,下列哪一项是错误的()
A.动脉血栓形成使血流充盈缺损
B.静脉血栓形成使血流充盈缺损
C.动脉扩张时血流明显加速
D.动脉狭窄时血流变细
E.动脉闭塞时无血流显示
289、判断题 超声波可以穿透儿童和成人骨骼,清晰显示骨皮质和骨髓腔内的结构。
290、单项选择题 囊肿的声像图特征是()
A.边界回声不定
B.外形不定
C.内部无回声
D.后方回声衰减
E.侧缘声影不定
291、单项选择题 膀胱异常声像图表现中,哪项正确()
A.膀胱壁弥漫性增厚并回声减低,腔内有较多的点、絮状回声,为慢性膀胱炎的声像图表现
B.膀胱壁弥漫性增厚,并回声增强,膀胱容量减少,为急性膀胱炎的声像图表现
C.膀胱腔内强回声团,后方伴声影,并可随体位改变而移动,为膀胱血块的声像图表现
D.膀胱腔中有中低回声病变,且可随体位变化而移动,为膀胱结石的声像图表现
E.CDFI显示肿块周边或内部有丰富血流信号并呈动脉血流频谱,为膀胱肿瘤表现
292、单项选择题
男,25岁,例行体检时超声发现脾内占位。根据超声声像图诊断为()
A.血管瘤
B.淋巴管瘤
C.畸胎瘤
D.淋巴瘤
E.脾内钙化灶
293、单项选择题 下列哪种肾上腺疾病,超声检查最易诊断()
A.Cushing腺瘤
B.非功能性腺瘤
C.肾上腺转移癌
D.肾上腺囊肿
E.嗜铬细胞瘤
294、单项选择题
女,42岁,反复上腹疼痛不适多年,加重3天。声像图如图所示,最可能的诊断为()
A.胆囊泥沙样结石
B.胆囊蛔虫
C.胆囊癌
D.胆囊息肉
E.胆汁淤积
295、单项选择题
女性,16岁,周期性下腹疼痛伴排尿困难。月经未来潮。超声检查见图,最可能的诊断是()
A.处女膜闭锁
B.子宫破裂
C.异位妊娠
D.宫颈囊肿
E.子宫肌瘤
296、单项选择题 中期妊娠是指()
A.妊娠12周末以前
B.妊娠13~27周末
C.妊娠第28~40周
D.妊娠12周末
E.妊娠13~27周末以前
297、单项选择题 鉴别囊肿与实性肿瘤最可靠的依据是()
A.边界光滑,整齐与否
B.外形是否圆形或椭圆形
C.内部无回声或有回声
D.后方回声增强与否
E.边界回声、外形、内部回声、后方回声综合分析
298、单项选择题 关于CDFI原理中,下列哪项不正确()
A.彩色编码以红蓝两色表示血流方向,一般人为规定为红迎蓝离
B.若有湍流存在时用绿色表示
C.红、蓝、绿三种颜色构成三基色
D.红和青色互为补色
E.五彩镶嵌颜色提示为层流
299、单项选择题 孕31周前胎头双顶径平均每周增长约()
A.4cm
B.3cm
C.3mm
D.4mm
E.1cm
300、单项选择题 关于声强的表述中,不正确的是()
A.声强指超声束在单位时间内通过单位截面积的能量
B.声强的单位可用瓦特每cm表示
C.空间峰值脉冲平均声强大于最大声强
D.最大瞬间声强大于最大声强
E.空间峰值时间平均值声强与脉冲持续时间和脉冲重复频率有关