时间:2025-09-25 03:42:20


1、单项选择题 有关环枢关节的描述,错误的是()
A.正常儿童齿状突至环椎前弓距离小于4.0mm
B.正常成人齿状突至环椎前弓距离为2.5~4.0mm
C.X线检查不能诊断半脱位
D.环枢关节半脱位可由齿状突发育畸形引起
E.MR检查有助于观察邻近结构的改变
2、单项选择题 CR系统中,直接记录X线影像信息的载体是()
A.胶片
B.磁盘
C.成像板
D.荧光屏
E.平板探测器
3、多项选择题 下列哪些是观察胆囊生理功能的检查方法()
A.胆囊区平片
B.口服胆囊造影
C.静脉胆道造影
D.T型管造影
E.经皮肝穿刺胆管造影
4、单项选择题 胃恶性溃疡典型X线表现是()
A.龛影位于腔外
B.黏膜向龛影集中逐渐变细
C.无环堤征
D.充盈缺损
E.半月征
5、单项选择题 普通X线摄片,胶片吸收的光能中,增感屏的荧光能量占()
A.75%
B.80%
C.85%
D.90%
E.95%
6、多项选择题 由不可见到可见X线影像,与信息转换功能有关的是()
A.胶片特性
B.荧光体特性
C.X线质
D.显影的加工条件
E.被照体的原子序数
7、单项选择题 下列哪项表现不支持纵隔神经源性肿瘤的诊断()
A.肿物位于后纵隔
B.肿物呈软组织密度
C.肿物有增强
D.肿物内可见空洞
E.邻近结构侵犯
8、单项选择题 “麻风病”骨改变特点为是()
A.早期即出现骨质改变
B.主要累及脊柱
C.末节指、趾骨骨质吸收
D.广泛性骨质增生硬化
E.骨气鼓
9、多项选择题 蝶窦可用下列哪些体位摄片观察()
A.侧位片
B.张口瓦氏位
C.梅氏位
D.颅底位片
E.柯氏位
10、多项选择题 心肌梗死患者常可见到哪些异常X线表现()
A.梗死区搏动异常
B.心脏增大以左室为主
C.心脏普遍增大
D.心包和胸膜积液
E.左心衰竭
11、单项选择题 下列哪一项畸形是法洛四联症最重要的畸形()
A.主动脉骑跨和肺动脉狭窄
B.肺动脉狭窄和右心室肥厚
C.右心室肥厚和主动脉骑跨
D.肺动脉狭窄和室间隔缺损
E.房间隔缺损和室间隔缺损
12、单项选择题 利用以下何种手段可使组织结构影像产生对比最明显()
A.利用天然对比
B.用生理功能
C.利用人工对比
D.利用专用设备
E.利用高反差胶片
13、单项选择题 关于小儿髋关节摄片技术,错误的是()
A.双侧髋关节摄影在同一张胶片上
B.使用低速增感屏
C.左右标记要准确
D.髋关节及股骨位置左右对称
E.非检查部位用铅皮遮盖
14、单项选择题 怀疑“急性膀胱炎”患者,应首选以下哪种检查()
A.MRI
B.尿常规检查
C.膀胱造影
D.骨盆区平片
E.CT
15、单项选择题 足前后位摄片,中心线应向足跟侧倾斜()
A.5°
B.15°
C.20°
D.25°
E.30°
16、单项选择题 诊断骨肿瘤重要的一项是()
A.良恶性鉴别
B.进行分类
C.确定部位
D.程度判断
E.名称的确定
17、多项选择题 早期胃癌浅表型(Ⅱ型)的X线表现为()
A.肿瘤呈类圆形凸向胃腔,高度超过5mm
B.肿瘤表浅、平坦,沿黏膜皱襞及皱襞下层生长
C.形态不规则,多数病变边界清楚
D.三个亚型隆起与凹陷均不超过5mm
E.双重法及压迫法呈不规则颗粒状杂乱影
18、多项选择题 空、回肠肿瘤的X线表现有()
A.充盈缺损
B.肠套叠
C.龛影
D.肠袢推移
E.肠梗阻
19、多项选择题 慢性肺气肿常见的X线征象包括()
A.肺纹理增多、扭曲
B.双侧膈面上抬
C.肺动脉高压
D.肋间隙增宽
E.双侧肺野透亮度增加
20、多项选择题 胃静脉曲张常发生的部位是()
A.体部
B.胃底部
C.贲门部
D.胃窦部
E.幽门部
21、单项选择题 下列肺内病变,哪种最少累及胸膜()
A.葡萄球菌性肺炎
B.肺结核
C.肺脓肿
D.石棉肺
E.支气管扩张合并感染
22、单项选择题 早期化脓性关节炎的X线表现是()
A.血性积液
B.关节间隙变窄
C.关节纤维性强直
D.关节面破坏
E.关节间隙增宽
23、单项选择题 下述哪项不是心包积液典型X线征象()
A.心脏呈普大型
B.心缘搏动减弱
C.上腔静脉扩张
D.肺血管纹理增多
E.主动脉搏动正常
24、多项选择题 骨与关节X线摄片检查常规要求()
A.一般摄取正、侧位片
B.两侧对称的骨与关节,改变轻微,难以确诊时,应拍摄对侧相应部位对照
C.应包括周围软组织和邻近的关节
D.脊椎、手足等部位应加摄斜位片
E.髌骨、跟骨可取切线位摄片
25、单项选择题 关于乳腺摄影,错误的是()
A.采用近距离摄影,使用高分辨率胶片
B.常规摄取内外斜位和头尾位
C.因乳腺均为软组织,故不需加压
D.必要时进行放大摄影提高分辨率
E.乳腺皮肤应平坦,乳头呈切线位
26、多项选择题 两侧肺门增大多见于()
A.结节病
B.淋巴瘤
C.两侧动脉瘤
D.肺动脉高压
E.中央型肺癌
27、单项选择题 关于斯氏位摄片的叙述,错误的是()
A.被检者俯卧于摄片床上
B.被检侧额颧鼻部紧贴暗盒(或床面)
C.头颅矢状面与床面成45°
D.听眦线与暗盒前缘保持垂直
E.中心线向足侧倾斜12°
28、单项选择题 下述Goodpasture综合征病理改变特点,错误的是()
A.肾小球肾炎
B.缺铁性贫血
C.肺门淋巴结肿大
D.肺间质性纤维化
E.肺部实变
29、多项选择题 关于副骨的表述,正确的是()
A.某一骨骼的多个骨化中心在发育过程中没有合并所致
B.由一个额外独立的骨化中心发育而来
C.多见于腕骨附近
D.多见于跗骨附近
E.多见于骨骼附近的肌腱中
30、单项选择题
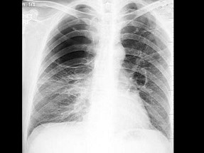
男,56岁,胸痛2月余,最近感右臂疼痛、活动受限,胸片如图,最可能的诊断是()


A.右肺癌
B.右上肺不张
C.右肺上沟瘤
D.右侧胸膜肥厚
E.右肺结核
31、单项选择题 下列正常肺纹理的表现,哪项是错误的()
A.上肺纹理细,下肺纹理粗
B.肺纹理呈树枝状,越分越细
C.右下肺纹理比左下肺纹理明显
D.两上肺纹理相比,右上比左上多
E.肺纹理向下伸延,可与肝影重叠
32、单项选择题 下列关于纵隔囊肿的说法,错误的是()
A.支气管囊肿壁的结构与支气管壁结构相同
B.支气管囊肿常与支气管相通
C.食管囊肿多见于婴儿和儿童
D.食管囊肿远较支气管囊肿发病率低
E.心包囊肿右侧较左侧多见
33、单项选择题 检查眼前部病变的投照位置是()
A.视神经孔位
B.顶颏位
C.眼眶侧位
D.眼眶切线位
E.眼眶正位
34、多项选择题 腹部平片可用于下列哪些疾病的检查()
A.胆囊结石
B.消化道穿孔
C.胃溃疡
D.肠结核
E.乙状结肠扭转
35、多项选择题 脊柱有5个移行带,包括下述哪些()
A.骶尾带
B.颈胸带
C.胸腰带
D.腰骶带
E.枕颈带
36、单项选择题
男,21岁,曾多次有过骨折史,结合图像,最可能的诊断是()
A.石骨症
B.成骨不全
C.畸形性骨炎
D.转移性骨肿瘤
E.氟骨症
37、单项选择题 下列不属于肺实质的是()
A.肺泡管
B.肺泡囊
C.肺泡
D.肺泡壁
E.肺泡间隔
38、单项选择题 左前斜位上,“心后下间隙消失”见于()
A.主动脉扩张
B.左心房增大
C.右心房增大
D.左心室增大
E.右心室增大
39、单项选择题 与周围型肺癌相比,球形肺炎影像特征为()
A.粗大毛刺
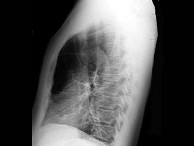
B.细短毛刺
C.阻塞性肺炎、阻塞性肺气肿
D.细支气管充气征
E.空泡征
40、单项选择题 关于脊椎骨折,下列哪项不正确()
A.X线上椎体压缩变扁呈楔形改变
B.多发生在活动度较大的胸椎下段和腰椎上段
C.椎间隙变窄
D.严重时常并发脊椎后突成角,侧移
E.以单个椎体多见
41、单项选择题 幼儿胸部正位摄片的叙述,下列哪项是错误的()
A.不用滤线器
B.抓时机瞬间曝光
C.眼睛及性腺不受辐射
D.照射野不超出使用胶片的面积
E.使用低毫安
42、多项选择题 属于腹膜间位器官的有哪些()
A.盲肠
B.升结肠
C.降结肠
D.横结肠
E.乙状结肠
43、单项选择题 鼻咽侧位片上,正常成人鼻咽顶后壁软组织厚度不超过()
A.0.5cm
B.1.5cm
C.1.8cm
D.2.0cm
E.2.5cm
44、多项选择题 肺静脉高压可见于()
A.二尖瓣狭窄
B.左房黏液瘤
C.肥厚性心肌病
D.反复发作的肺栓塞
E.二尖瓣关闭不全
45、单项选择题 患者25岁,诉膝关节间歇性隐痛、肿胀半年多,查体胫骨上端内侧肿胀,触之有乒乓球感,X线片示胫骨上端偏内侧呈膨胀性肥皂泡样骨质破坏,横径大于纵径,应诊断为()
A.骨巨细胞瘤
B.动脉瘤样骨囊肿
C.软骨母细胞瘤
D.溶骨型骨肉瘤
E.骨囊肿
46、单项选择题 当肺静脉压力大于3.33kPa(25mmHg)时,不应出现下列哪一项表现()
A.少量胸腔积液
B.KerleyA线
C.KerleyB线
D.两肺门不对称,右肺门小于左肺门
E.肺纹理模糊和增粗
47、多项选择题 眶下壁由下列哪些结构组成()
A.上颌骨眶面
B.蝶骨小翼
C.泪骨
D.颧骨眶面
E.腭骨眶突
48、单项选择题
男,48岁,常感胸闷气逼,近1月渐加重,X线检查如图,最可能的诊断是()


A.右侧气胸
B.右侧肺大泡
C.两肺肺大泡
D.正常胸片
E.肺气肿
49、多项选择题 成人骨髓炎的特点有()
A.无明显全身中毒症状
B.症状较轻
C.发病缓慢
D.骨质破坏较局限
E.预后较好
50、单项选择题 下列哪项属于椎骨恶性骨质破坏者()
A.脊柱结核
B.骨巨细胞瘤
C.骨囊肿
D.骨转移瘤
E.嗜酸性肉芽肿
51、多项选择题 用呼气相X线片诊断有重要价值的疾病是()
A.支气管异物
B.肺气肿
C.肺炎
D.细支气管炎
E.胸膜炎
52、多项选择题 属于功能性胰岛细胞肿瘤的有哪些()
A.胰岛素瘤
B.胃泌素瘤
C.舒血管肠肽瘤
D.胰高血糖素瘤
E.生长抑素瘤
53、多项选择题 下列那些疾病可能发生乳头溢液()
A.乳腺纤维腺瘤
B.乳腺囊性增生
C.导管内乳头状瘤
D.浆细胞性乳腺炎
E.乳腺癌
54、单项选择题 钡餐检查示“革袋胃”,则应除外()
A.乳腺癌胃转移
B.Crohn病
C.进行性全身性硬皮病
D.腐蚀性胃炎
E.嗜伊红细胞性胃炎
55、单项选择题 消化道管壁由内向外第三层为()
A.粘膜下层
B.外膜层
C.肌层
D.粘膜层
E.内膜层
56、单项选择题 软骨瘤的主要成分是()
A.透明软骨
B.钙化的软骨
C.退化软骨所形成的假囊肿
D.骨化的软骨
E.骨细胞
57、单项选择题
男,10岁,左膝关节反复肿胀,伴低热2年,经抗感染效果不佳,结合图像,最可能诊断是()
A.左膝关节结核(滑膜型)
B.左膝关节结核(骨型)
C.左膝关节结核(混合型)
D.左膝化脓性关节炎
E.以上均不正确
58、单项选择题 关于CR系统的影像板,以下说法不正确的是()
A.影像板上的信息可永久保存
B.影像板上的信息为模拟信号
C.自影像板上读出的信息为数字信息
D.影像板可反复使用
E.影像板代替胶片保存X线影像
59、单项选择题 慢性化脓性骨髓炎的基本X线表现是()
A.软组织肿胀和(或)窦道形成
B.骨轮廓粗大变形
C.骨质破坏与增生同时存在,并可有死骨
D.病理骨折
E.继发性化脓性关节炎
60、单项选择题 男,14岁。左大腿下段疼痛,伴高热,体温达39℃。查体:左股骨下段深压痛。 该患者最可能的诊断为()
A.左股骨化脓性骨髓炎
B.左股骨结核
C.左股骨骨瘤
D.左股骨骨肉瘤
E.左股骨囊肿
61、单项选择题 指出属于软骨类的肿瘤是()
A.骨瘤
B.骨软骨瘤
C.骨巨细胞瘤
D.非骨化性纤维瘤
E.骨肉瘤
62、单项选择题 骨质破坏的基本X线表现是()
A.骨密度减低
B.骨小梁模糊
C.骨小梁变细
D.骨结构紊乱
E.骨结构消失
63、多项选择题 下列引起局限性颅骨增生的疾病有()
A.脑膜瘤
B.慢性骨髓炎
C.陈旧性骨折
D.石骨症
E.骨瘤
64、单项选择题 下列肺泡性肺水肿影像,哪项不对()
A.KerleyA线
B.支气管气相
C.心影正常或增大
D.肺门影增大、模糊
E.肺内影演变迅速
65、单项选择题 关于骨盆摄片错误的叙述是()
A.常用于外伤及骨质破坏的检查
B.骨盆侧位可用于检查异物位置
C.中心线应向足侧倾斜20°角
D.成人摄片都需要使用滤线器
E.骨盆整体片应完全包括骨盆诸骨
66、单项选择题 男,63岁,进行性吞咽困难1月。食管钡餐示:食管下段粘膜不规则充盈缺损,管腔狭窄,贲门扩张欠佳。 最可能的诊断是()
A.食管下段炎症
B.食管下段溃疡侵及贲门
C.食管下段癌侵及贲门
D.食管下段静脉曲张
E.以上都不对
67、多项选择题 下述哪些不是产生X线的具备条件()
A.光电管
B.电子源
C.高压电场和真空下产生的高速电子流
D.适当的障碍物
E.旋转阳极
68、单项选择题 下列表现,哪项与主动脉瘤无关()
A.可有钙化
B.主动脉搏动可减弱
C.邻近骨骼无异常发现
D.主动脉瘤状、梭状扩张
E.可压迫支气管,造成肺不张
69、多项选择题 引起“小肠梗阻”病因有()
A.腹腔手术后
B.肠结核
C.回肠类癌
D.小肠蛔虫症
E.卵巢癌腹腔种植转移
70、单项选择题 周围型肺癌所形成的空洞,其X线特征是()
A.厚壁,其内有大液平面,外缘模糊
B.厚壁,偏心性,内壁凹凸不平,无明显液平面
C.薄壁,蜂窝状阴影
D.薄壁,周边光整,大小形态可变化
E.薄壁,其内有大液平面,边缘清晰
71、单项选择题 肾结石所致并发症不包括()
A.肾乳头穹隆撕裂
B.慢性肾盂肾炎
C.黄色肉芽肿性肾盂肾炎
D.鳞状上皮化生
E.腺癌
72、单项选择题 “法洛四联征”心影呈()
A.梨形心
B.横位心
C.主动脉型心脏
D.悬滴状心
E.靴形心
73、单项选择题 下列哪项不属于头颅摄片定位标志线()
A.听眶线
B.听眦线
C.听鼻线
D.听颧线
E.听口线
74、单项选择题 单枚纵隔或肺门淋巴结测量值属于可疑病变范围的是()
A.15~25mm
B.5~8mm
C.15~20mm
D.20~25mm
E.11~14mm
75、多项选择题 成软骨细胞瘤应与下述哪些疾病变相鉴别()
A.骨巨细胞瘤
B.内生软骨瘤
C.软骨粘液样纤维瘤
D.多发性骨软骨瘤
E.骨骺、干骺结核
76、多项选择题 下列肺挫伤的诊断要点,正确的是()
A.胸痛、咯血、呼吸急促
B.肺内大片状或斑点状密度增高影
C.液气胸
D.肺部阴影需2周以上时间才能完全吸收
E.肺段或肺叶木张
77、单项选择题 将PACS各组成部分连成一体的是()
A.存储系统
B.显示设备
C.数据库系统
D.通讯网络系统
E.图像采集装置
78、单项选择题 下列哪项不是良性胃溃疡的X线征象()
A.项圈征
B.黏膜线
C.狭颈征
D.指压迹征
E.黏膜集中
79、单项选择题 胸部照片中肺纹理的影像,主要形成组织是下列哪一个()
A.血管
B.支气管
C.淋巴管
D.肺泡
E.胸膜
80、单项选择题 肩胛征常见于()
A.胃体部癌
B.胃窦癌
C.十二指肠溃疡
D.胃溃疡
E.结肠癌
81、单项选择题 肺水肿的原因,下列哪项是正确的()
A.肺静脉回流受阻
B.肺动脉血流量增加
C.肺动脉血流量减少
D.肺毛细血管通透性增加
E.肺循环压力增高
82、单项选择题 控制电路最终控制的是()
A.灯丝电路的通断
B.电源电路的通断
C.高压次级电路的通断
D.高压初级电路的通断
E.保护电路的通断
83、单项选择题 下列哪种癌组织易形成空洞()
A.腺癌
B.肺泡上皮癌
C.扁平上皮癌
D.大细胞未分化癌
E.小细胞未分化癌
84、单项选择题 关于高千伏摄片的优点下述哪项不对()
A.X线量
B.提高解像力
C.降低图像锐利度
D.延长球管寿命
E.降低图像对比度
85、单项选择题
女性,46岁。呼吸困难入院。胸部X线平片如下图。右侧肋膈角区垂直于胸壁内侧面的线状影为()
A.KerleyA线
B.KerleyB线
C.KerleyC线
D.盘状肺不张
E.胸腔积液
86、单项选择题 哪种疾病属肺血增多并有发绀者()
A.房间隔缺损
B.部分型肺静脉异位引流
C.动脉导管未闭
D.心内膜垫缺损
E.完全型大动脉转位
87、多项选择题 主动脉瘤的X线征象有()
A.纵隔阴影增宽
B.动脉瘤的搏动
C.瘤壁的钙化
D.侵蚀脊柱、肋骨或胸骨
E.心脏呈"主动脉型"改变
88、单项选择题 骨转移瘤的转移途径中,下列哪一项最多见()
A.直接侵犯
B.血行转移
C.淋巴转移
D.原发性骨肿瘤的骨转移
E.皮肤癌骨转移
89、单项选择题 增感屏结构中,吸收层的作用是()
A.提高发光效率
B.提高清晰度
C.改善颗粒度
D.控制量子斑点
E.提高对比度
90、单项选择题 正确维护增感屏的方法中,错误的是()
A.防高温防潮湿
B.防阳光曝晒
C.防止水或药液溅入
D.发现灰尘即用口吹清除
E.暗盒应直立放置,避免重压变形
91、单项选择题 下列关于支气管动脉的解剖叙述,错误的是()
A.支气管动脉直径正常为2~3mm,当肺部有肿瘤时相应的血管可增粗
B.正常支气管动脉从纵隔向肺门方向行走,可与纵隔内动脉、肋间动脉或对侧支气管动脉相通
C.右侧支气管动脉大多为一支且与肋间动脉共干,并以与第三肋间动脉共干为最常见
D.支气管动脉起源均在胸主动脉4~9胸椎水平
E.70%~90%起自第5-6胸椎水平
92、单项选择题 大量胸腔积液上缘达第几肋前端平面以上()
A.第4肋
B.第2肋
C.第6肋
D.第7肋
E.第3肋
93、单项选择题 与胃的分型无关的是()
A.角型胃
B.袋型胃
C.钩型胃
D.长型胃
E.瀑布型骨
94、单项选择题 下列单纯性二尖瓣狭窄的胸片影像,错误的是()
A.双房影
B.左心室增大
C.左心缘出现四弓
D.KerleyB线
E.食管受压
95、单项选择题 下列疾病临床特点描述,错误的是()
A.肿块形态随呼吸、体位改变而变化:胃底静脉曲张
B.胃粘膜巨大皱襞:蛋白漏出征
C.胃淋巴瘤:频发呕吐
D.多发疣状隆起:糜烂性胃炎
E.消化道溃疡:卓艾综合征
96、多项选择题 典型的二尖瓣关闭不全患者的X线表现有()
A.左心房和左心室增大为主
B.伴有右心室增大
C.左心房呈中度到重度增大
D.肺淤血
E.病变晚期可见明显的肺循环高压
97、单项选择题 下列类风湿关节炎的X线表现中哪项不正确()
A.关节肿胀
B.骨质疏松
C.关节间隙变窄
D.皮下组织钙化
E.纤维性骨性强直
98、单项选择题 下述疾病的肺血均属正常,但应除外()
A.原发性肺动脉高压
B.特发性肺动脉扩张
C.先天性主动脉瓣狭窄
D.先天性主动脉缩窄
E.特发性升主动脉扩张
99、单项选择题 发生“碘过敏反应”的症状中,下列哪种最危险()
A.面部潮红
B.皮肤丘疹
C.皮肤瘙痒
D.喉头发痒
E.喷嚏
100、单项选择题 原发性肺结核是指()
A.原发综合征
B.胸内淋巴结结核
C.血行播散型肺结核
D.前两者均是
E.前三者均是
101、单项选择题 颅骨侧位片从颅中窝迂曲上行、在冠状缝后分为两支的血管压迹是()
A.脑膜中静脉压迹
B.板障静脉压迹
C.导静脉压迹
D.脑膜中动脉压迹
E.板障动脉压迹
102、单项选择题 关于气管支气管断裂,下列描述错误的是()
A.气胸、纵隔气肿同时出现
B.伤后数小时至数天,出现肺不张
C.肺不张位于横膈上
D.多处肋骨骨折
E.常有大量胸腔积液
103、单项选择题 下列关于肠结核X线征象,错误的是()
A.盲肠缩窄、收缩及变形
B.回肠末端受侵,粘膜破坏
C.回肠病变近侧端可见钡剂滞留,肠管扩张
D.肠道运行正常
E.回盲部可见跳跃征
104、单项选择题 胸部侧位片肺门区不显影的是()
A.两上叶支气管
B.右上肺静脉干
C.左肺动脉弓
D.左下肺动脉
E.左上肺静脉干
105、多项选择题 肺部真菌病的发生与下述哪些因素有关()
A.机体抵抗力降低
B.口腔卫生不佳
C.抗生素的大量应用
D.长期应用激素
E.生活和职业的关系
106、单项选择题 目前世界公认的医学图像传输与存储的标准是()
A.ACR-NEMA1.0
B.ACR-NEMA2.0
C.DICOM3.0
D.HL7
E.TCP/IP
107、多项选择题 乳腺癌X线的间接征象是()
A.乳头凹陷
B.血运增多
C.皮下脂肪层模糊
D.肿块
E.钙化
108、单项选择题
下列关于胸膜斑知识,哪项正确()
A.接触石棉15年左右出现
B.常累及壁层胸膜
C.10cm2以上
D.多数厚度大于2cm
E.边缘模糊
109、多项选择题 胸片上,空洞可见于下列哪些疾病()
A.转移性肺癌
B.原发性肺癌
C.韦格肉芽肿
D.原发性肺结核
E.嗜酸性肉芽肿
110、单项选择题 中央型肺癌伴右上肺不张的影像特征是()
A.右下三角征
B.横S征
C.心后三角征
D.薄饼征
E.彗星征
111、多项选择题 关于继发性肺结核的说法,正确的是()
A.早期病变好发于上叶尖后段及下叶背段
B.易于发生支气管播散
C.肺门淋巴结一般不大
D.结核瘤说明结核已治愈
E.结核空洞多见液气平面
112、单项选择题 与CT比较,MRI用于心脏的检查,具有下列优势,哪项除外()
A.可获得标准的三维图像和斜位图像
B.对心脏形态、结构和病变的显示能力更高
C.改变扫描序列可提高病变的识别和鉴别能力
D.检查的时间更短
E.无X线的副作用
113、单项选择题 十二指肠溃疡的直接X线征象是()
A.龛影
B.球部变形
C.龛影局部压痛
D.幽门痉挛
E.激惹征
114、多项选择题 关于心包积液,下列哪些项正确()
A.心尖和主动脉搏动减弱
B.中等量积液见心影普遍增大
C.心影呈烧瓶状
D.上纵隔影增宽
E.心包积液在300ml以下者,心影大小和形态可无明显改变
115、单项选择题 多囊肾为()
A.肾小球的囊状扩张
B.肾淋巴结的囊状扩张
C.肾集合管的囊状扩张
D.肾小盏的囊状扩张
E.肾实质内小静脉的囊状扩张
116、单项选择题 佝偻病的常见病因为()
A.饮食性维生素D缺乏
B.日光照射不足
C.消化道疾病
D.肾病
E.以上均是
117、单项选择题 女性,40岁。劳累后心悸、气促。体检:心尖区闻及舒张期隆隆样杂音。胸部正位片示:心影呈梨形,中度增大。显示左心房增大的最佳摄片方法是()
A.正位摄片
B.左前斜位摄片
C.右前斜位摄片
D.右侧位摄片
E.右前斜位加食道吞钡摄片
118、单项选择题 椎旁脓肿在哪种脊柱结核中出现的概率最多()
A.腰骶椎结核
B.胸椎结核
C.腰椎结核
D.胸腰椎结核
E.颈椎结核
119、单项选择题 平片诊断胆囊结石最可靠的依据是()
A.右上腹有密度增高的圆形结石影
B.右上腹有多块多面体形结石影
C.右上腹结石影侧位与脊柱重叠
D.右上腹有密度增高影,随呼吸上下移动
E.以上都不是
120、单项选择题 关于胃癌的基本X线表现,错误的是()
A.Carman综合征
B.粘膜皱襞破坏中断
C.革袋胃
D.胃壁僵硬
E.项圈征及狭颈征
121、多项选择题 短管骨骨干结核的X线表现为()
A.骨干内圆形、卵圆形骨质破坏
B.病灶内有时可见粗大而不整的残存骨嵴
C.病灶边缘大多比较清楚,可有轻度增生
D.可见有层状骨膜增生或骨皮质硬化
E.严重的骨破坏可延及整个指骨骨干
122、多项选择题 左心室增大在后前位X线片上的表现包括()
A.左心室段延长
B.心尖向下向左延伸,居膈下甚至在胃泡内
C.左心缘圆隆,有时上部隆起明显,使心脏呈球形
D.心腰膨隆
E.增大显著时将心影向左推并膨隆,也可推压左心房向外后上方
123、单项选择题 下述多发性骨髓瘤影像特点中,哪项错误()
A.扁骨、不规则骨多见
B.常有广泛性骨质疏松
C.穿凿样、蜂窝状等多种形态骨质破坏
D.常有病理骨折
E.常有骨膜反应
124、单项选择题 肾实质不显影常见于哪种疾病()
A.肾功能减退
B.尿路梗阻
C.肾结核
D.肾脓肿
E.肾血管性病变
125、单项选择题 房间隔缺损第2孔型的血流动力学改变中,下列哪项不正确()
A.右心房血流量减少
B.右心室血流量增加
C.左心房血流量增加
D.肺动脉血流量增加
E.左心室血流量减少
126、单项选择题 下列哪种疾病不表现双肺弥漫粟粒样阴影()
A.血源播散型肺结核
B.肺转移瘤
C.支气管肺炎
D.结节病
E.矽肺
127、单项选择题 膝关节侧位标准片所见,哪项不对()
A.膝关节间隙位于照片正中投影
B.股骨内外髁重叠良好
C.股骨与胫骨夹角180°
D.髌骨呈侧位显示,与股骨间隙分离明确
E.膝关节诸骨纹理及周围软组织清晰可见
128、多项选择题 关节外伤脱位常发生在()
A.肘关节
B.肩关节
C.踝关节
D.腕关节
E.胸椎
129、单项选择题
男,62岁,咳嗽发热2天,痰中带血,胸片检查如图,最可能的诊断是()

A.左下肺炎症
B.左肺癌伴阻塞性肺炎
C.左肺结核
D.左侧胸膜炎
E.左侧错构瘤
130、多项选择题 口腔颌面部包括哪些器官和组织()
A.口腔
B.面部软组织
C.颌面骨
D.颞颌关节
E.鼻腔
131、单项选择题 胆脂瘤型中耳炎的典型影像特点为()
A.多发生于气化型乳突
B.病变位于乳突气房内
C.病灶有硬化缘
D.病变大小多为3~5cm
E.平片示圆形高密度
132、单项选择题 左前斜位主动脉窗内不能见到下述哪一项()
A.肺动脉
B.降主动脉
C.气管分杈
D.左肺动脉
E.左支气管
133、单项选择题 心脏左前斜位摄片,身体冠状面与胶片夹角为()
A.20~25°
B.30~35°
C.40~45°
D.50~60°
E.60~70°
134、多项选择题 骨基质发生的良性肿瘤为()
A.骨肉瘤
B.骨旁骨瘤
C.骨样骨瘤
D.成骨细胞瘤
E.髓性骨肉瘤
135、单项选择题 眼眶外侧壁由下列哪些结构组成()
A.额骨眶板、蝶骨小翼
B.上颌骨额突、蝶骨和筛板
C.颧骨、颞骨
D.颧骨、蝶骨
E.额骨眶突、蝶骨大翼
136、单项选择题 肝静脉汇入下腔静脉处为()
A.第一肝门
B.第二肝门
C.第三肝门
D.第四肝门
E.以上都不是
137、单项选择题 易合并胸膜间皮瘤的尘肺见于()
A.煤尘肺
B.矽肺
C.石墨尘肺
D.石棉肺
E.炭黑尘肺
138、多项选择题 下列会引起肾盏肾盂破坏的疾病为()
A.肾囊肿
B.肾血肿
C.肾结核
D.肾盂癌
E.肾癌
139、多项选择题 胸片示边缘锐利的球形肿块,可能的诊断有()
A.先天性肺囊肿
B.肺隔离症
C.慢性肺脓肿
D.周围型肺癌
E.肺错构瘤
140、单项选择题 下列胸腔积液诊断知识,哪项正确()
A.显示斜裂叶间积液,以侧位片为佳
B.中等量积液常有纵隔移位
C.包裹性积液多位于前胸壁
D.立位胸片,肺底积液呈外高内低的致密影
E.立位胸片,可显示100ml以下积液
141、单项选择题 X线量正比于()
A.管电压值
B.曝光时间
C.焦-片距
D.物体-胶片距
E.以上都不是
142、单项选择题 胎儿受X线照射的主要危害不包括()
A.智力低下
B.皮炎
C.畸形
D.胚胎死亡
E.诱发癌症
143、单项选择题 下列哪项不属于乳腺良性肿块的X线征象()
A.肿块多呈圆形或类圆形
B.肿块界限不清
C.肿块边缘光滑清晰
D.肿块密度较均匀
E.肿块有时可见透明晕圈
144、单项选择题 下列肺部病变好发部位的描述,错误的是()
A.支气管肺炎:双下肺
B.肺结核:上叶尖后段或下叶背段
C.特发性肺间质纤维化:胸膜下区
D.中央型肺癌:肺门附近
E.肺隔离症:右肺上叶
145、单项选择题 关于头颅摄影注意事项的叙述,错误的是()
A.颅骨切线位可不用滤线器
B.中心线倾斜角度必须准确
C.颅底骨折病人常取颌顶位摄影
D.可取平静呼吸下屏气曝光
E.焦-片距一般为100cm
146、单项选择题 “结肠扩张”,则可除外()
A.溃疡性结肠炎
B.结肠癌
C.Hirschsprung病
D.间位结肠
E.麻痹性肠梗阻
147、单项选择题 颈椎右前斜位摄影,观察的是()
A.右侧椎间孔
B.左侧椎间孔
C.右侧横突孔
D.左侧横突孔
E.椎孔
148、多项选择题 以下关于乳腺癌内分泌治疗的说法哪些是不正确的()
A.术后三苯氧胺应用3~5年
B.卵巢切除是内分泌治疗的手段之一
C.绝经后雌激素受体阳性患者不宜内分泌治疗
D.内分泌治疗是乳腺癌综合治疗的重要部分
E.所有的乳腺癌患者内分泌治疗都有效
149、单项选择题 下述除哪种病变外,均有“颅缝提前闭合”表现()
A.地中海贫血
B.甲状腺功能亢进
C.维生素D过多症
D.甲状腺功能减退
E.真性红细胞增多症
150、单项选择题
女,根据其正常骨盆影像图像,判断其最可能的年龄()
A.1岁左右
B.5岁左右
C.3岁左右
D.7岁左右
E.9岁左右
151、单项选择题 膀胱壁分层包括()
A.1层
B.2层
C.3层
D.4层
E.5层
152、单项选择题 下列哪项不是骨纤维结构不良的X线表现()
A.骨皮质膨胀,无骨膜反应
B.颅骨硬化及颅底畸形
C.骨干囊状透亮区,呈磨砂玻璃状
D.骨骺延迟闭合,无病理骨折
E.病变呈多房状
153、单项选择题 下列有关胰腺的描述,错误的是()
A.胰腺是腹膜间位器官,分头、颈、体、尾四部分
B.胰头最大,被十二指肠降部和横部包绕
C.胰腺钩突位于肠系膜上静脉的后方
D.胰腺体部位于小网膜的后方
E.胰管位于实质内,又分主胰管与副胰管
154、单项选择题 下列哪项不是良性溃疡的X线征象()
A.项圈征
B.狭颈征
C.肩胛征
D.放射状粘膜纠集
E.溃疡口部粘膜线
155、单项选择题 影响乳腺癌预后的最主要因素()
A.病人年龄
B.是否绝经
C.肿块大小
D.手术切除范围
E.癌肿本身生物学特性
156、单项选择题
男,28岁,从高处坠落后双足疼痛1月余,结合影像学检查,最可能的诊断是()
A.跟骨骨折
B.骰骨骨折
C.距骨骨折
D.舟状骨骨折
E.楔骨骨折
157、多项选择题 韩-薛-柯氏病的临床表现包括()
A.颅骨缺损
B.肝脾肿大
C.尿崩症
D.皮疹及贫血
E.突眼
158、单项选择题 下列哪项不能作为食管癌的早期征象()
A.粘膜皱襞增粗、迂曲、中断
B.局限浅在的充盈缺损
C.狭窄段上方食管扩张
D.管壁局限性僵硬
E.小溃疡
159、单项选择题 关于Caplan综合征,下列描述错误的是()
A.矽肺
B.类风湿关节炎
C.肺外带单发或多发结节影
D.结节边缘整齐
E.结节常有钙化
160、单项选择题 肺内错构瘤的特征性X线表现是()
A.孤立圆形阴影
B.肿块边缘清楚
C.肿块边缘可分叶
D.肿块内见爆米花样钙化
E.肿块内可形成空洞
161、单项选择题 腕部骨化中心在1周岁内出现的是()
A.舟骨和月骨
B.大多角骨和小多角骨
C.头状骨和钩状骨
D.三角骨和头状骨
E.舟骨和三角骨
162、单项选择题
关于阴性对比剂的叙述,正确的是()
A.氧气属阳性对比剂
B.氧气比空气更容易获取
C.空气在器官内吸收快
D.CO2不如空气使用安全
E.空气有产生气体栓塞的危险
163、单项选择题 早期周围型肺癌的结节阴影指瘤体直径()
A.≤1cm
B.≤1.5cm
C.≤2cm
D.>2cm
E.≤3cm
164、多项选择题 维生素D缺乏病骨质软化引起的变形有()
A.方形头
B.眼距增宽
C.鸡胸
D.“O”形腿
E.串珠肋
165、单项选择题 关于放射性肺炎的X线表现,下列错误的是()
A.放射性肺炎发生于原发灶所在肺叶
B.可伴有膈肌升高,纵隔向对侧移位
C.急性期多表现为组织增生
D.其中有时可见到支气管充气征
E.局限性,斑片状或大片状,密度不均阴影
166、单项选择题 儿童颅内压增高较常见可靠的X线征象是()
A.颅缝分离
B.蛛网膜颗粒压迹增大
C.脑回压迹增多
D.颅骨普遍性吸收
E.蝶鞍扩大和骨质吸收
167、单项选择题 头颅正位标准影像显示,以下错误的是()
A.显示头颅正位影像,照片包括全部颅骨及下颌骨升支
B.矢状缝及鼻中隔影像居中,眼眶、上颌窦、筛窦等左右对称显示
C.顶骨及两侧颞骨影像对称
D.颞骨岩骨上缘位于眼眶正中,外耳孔显示清晰
E.颅骨骨板及骨质结构显示清晰
168、单项选择题 静脉尿路造影常用对比剂为()
A.硫酸钡
B.泛影葡胺
C.碘化油
D.碘化钠
E.泛影酸钠
169、单项选择题 逆行性尿路造影与排泄性尿路造影,不同点在于()
A.肾实质不显影
B.肾盏显影
C.肾盂显影
D.输尿管显影
E.尿道显影
170、单项选择题 先天性输尿管囊肿X线表现为()
A.膀胱内充盈缺损,边缘规则
B.输尿管局部膨大呈囊状
C.膀胱内圆形充盈缺损,边缘光滑,伴输尿管积水
D.膀胱内充盈缺损,壁僵硬
E.以上均不是
171、单项选择题 造影中发生气体栓塞,应将病人置于哪种体位()
A.半卧位
B.头低足高右侧卧位
C.头低足高左侧卧位
D.头高足低右侧卧位
E.头高足低左侧卧位
172、单项选择题 胶片特异性曲线不能反映胶片的()
A.感光度
B.本底灰雾
C.感色性
D.最大密度
E.反差系数
173、单项选择题 以下选项中,乳突许氏位投照时,球管中心线应()
A.向足侧倾斜35°
B.向足侧倾斜25°~30°
C.向足侧倾斜35°~45°
D.向足侧、面侧各倾斜15°
E.向头侧倾斜35°~45°
174、多项选择题 关于X线球管的特性,错误的是()
A.灯丝加热为定值时,管电压增加,管电流增加
B.管电压增高,空间电荷减少,管电流减小
C.管电压相同,灯丝电流增加,管电流增加
D.管电压相同,灯丝电流增加,管电流减小
E.管电流相同,管电压高的灯丝加热电流低
175、多项选择题 退变性脊椎滑脱症需与椎弓根性脊椎滑脱症鉴别,后者的特点是()
A.滑脱程度常较重
B.常伴有椎间盘突出
C.椎弓根峡部的单侧或双侧断裂
D.椎管前后径常有明显增宽
E.椎管前缘与棘突后缘间距增大
176、单项选择题 下列“结肠癌”的造影表现,哪项也可见于良性病变()
A.环堤
B.半月征
C.结肠壁局限性僵硬
D.苹果核征
E.充盈缺损
177、单项选择题 男,阴囊下坠不适,胀痛,平卧症状缓解。查体:阴囊下垂松弛,并可触及结节状静脉曲张。 继发病变是()
A.男性不育
B.门脉高压
C.疝气
D.前列腺肥大
E.髂动脉狭窄
178、单项选择题 下述“家族性结肠息肉病”临床特点,哪项正确()
A.罕有恶变
B.青年发病
C.好发于直肠
D.常染色体隐性遗传
E.常因腹部绞痛就诊
179、单项选择题 成骨不全症需与下列各病进行鉴别诊断,应除外哪一种()
A.软骨发育不全症
B.干骺发育不良症
C.维生素C缺乏症
D.脆骨症
E.维生素D缺乏病
180、单项选择题 向上倾斜指的是()
A.中心线向肢侧倾斜
B.中心线向内侧倾斜
C.中心线向足侧倾斜
D.中心线向头侧倾斜
E.中心线向地面倾斜
181、单项选择题 下列征象中,哪一项对周围型肺癌的诊断价值最大()
A.分叶和毛刺
B.空洞
C.钙化
D.肺门或纵隔淋巴结肿大
E.无卫星病灶
182、单项选择题 柯雷斯骨折(Colles骨折)()
A.桡骨远端骨折
B.桡骨近端骨折
C.尺骨远端骨折
D.尺骨近端骨折
E.以上都是
183、多项选择题 马蹄肾常伴有的畸形有()
A.肾盂输尿管结合部梗阻
B.双膀胱
C.生殖系统畸形
D.心血管畸形
E.肛门直肠畸形
184、多项选择题 肾上腺疾病的影像检查方法包括()
A.腹部平片
B.腹部CT
C.静脉尿路造影
D.B超
E.MRI
185、单项选择题 单侧肾绞痛伴血尿者,腹部平片无异常,静脉肾盂造影不显影,而逆行肾盂造影显示正常,应首先考虑()
A.结石
B.急性尿路感染
C.肾动脉感染
D.肾静脉栓塞
E.输尿管肿瘤
186、单项选择题 活检证实为浸润性导管癌,患者有保乳愿望,目前最适宜的治疗是()
A.放疗
B.化疗
C.手术
D.内分泌治疗
E.中药治疗
187、单项选择题 关于过敏性上颌窦炎,下列影像表现哪项错误()
A.多个鼻窦受累
B.窦壁骨质硬化
C.上颌窦息肉
D.鼻甲粘膜增厚
E."气液面"较少见
188、单项选择题 关于左心房的X线投影,下列哪一项不正确()
A.在右前斜位上,位于心脏后缘下段
B.在左前斜位上,位于心脏阴影后缘上段
C.在右前斜位,观察食管的左心房压迹
D.在左侧位上,位于心后缘上段
E.后前位左心房耳位于左心室段与肺动脉段之间
189、单项选择题 “贲门失弛缓症”的造影表现,哪项不正确()
A.食管明显扩张,并迂曲、延长
B.食管蠕动减弱、消失
C.钡剂通过障碍,服解痉剂可缓解
D.食管末端截断性狭窄、表面不平
E.引起食管炎改变
190、单项选择题 下列椎间盘突出征象中,错误的是()
A.椎间隙宽窄不均
B.脊柱生理曲度消失
C.椎体边缘骨质增生
D.脊柱不稳
E.腰大肌影增宽
191、单项选择题 指出透视的缺点()
A.操作方便,费用低
B.可多位置观察
C.能观察器官的动态情况
D.无客观记录
E.马上有结果
192、单项选择题 横断面CT扫描,正常成人肝脏上下径为()
A.5~10cm
B.9~12cm
C.13~15cm
D.16~20cm
E.≥20cm
193、单项选择题 腹部平片检查最常用于诊断()
A.胃癌
B.肠梗阻
C.胃溃疡
D.结肠癌
E.食管癌
194、单项选择题 下列胰腺病变,哪种不发生钙化()
A.慢性胰腺炎
B.胰腺癌
C.胰岛细胞瘤
D.单纯性急性胰腺炎
E.胰腺囊肿
195、单项选择题 下列哪一项不属于脑颅骨()
A.额骨
B.颞骨
C.筛骨
D.下颌骨
E.顶骨
196、单项选择题 固定阳极X线管的阳极结构组成正确的是()
A.靶面、阳极柄、阳极帽
B.阳极头、转子、阳极帽
C.阳极头、阳极柄、阳极帽
D.靶面、转子、阳极帽
E.靶面、钼杆、阳极帽
197、单项选择题 属于骨恶性肿瘤的是()
A.皮质旁软骨瘤
B.脂肪瘤
C.神经节细胞瘤
D.骨黄色纤维瘤
E.脊索瘤
198、单项选择题 子宫输卵管造影的禁忌证是()
A.子宫输卵管慢性炎症
B.子宫输卵管结核
C.子宫输卵管良性肿瘤
D.子宫输卵管位置形态异常
E.子宫输卵管出血
199、单项选择题 关于灯丝变压器的叙述,错误的是()
A.降压变压器
B.初级电流小,次级电流大
C.初级线数多,次级线数少
D.初级线径小,次级线径大
E.绝缘要求和普通变压器相同
200、单项选择题 X线信息影像转换成可见密度影像的介质,不含()
A.屏-片系统
B.影像增强系统
C.电影胶片
D.观片灯
E.荧光屏
201、单项选择题 照片产生反转的原因是()
A.显影液pH值太高
B.显影液温度太低
C.定影液衰老
D.X线胶片过期
E.由于潜影溴化的结果
202、多项选择题 空洞洞壁的成分可以是()
A.坏死组织
B.肉芽组织
C.纤维组织
D.肿瘤组织
E.正常组织
203、单项选择题 下述关于“非骨化性纤维瘤”的描述,错误的是()
A.5~20岁多见
B.多位于股骨、胫骨干骺端
C.卵圆形、多囊样密度减低区
D.无硬化缘
E.无骨膜反应和软组织肿块
204、单项选择题 需稀释造影剂进行造影检查的是()
A.口服胆囊造影
B.静脉胆道造影
C.静脉肾盂造影
D.CTA
E.膀胱造影
205、单项选择题 女,43岁,突感左手疼痛伴多个指头麻木,行左上肢动脉造影,示左侧桡动脉广泛的充盈缺损,结合临床最可能的诊断是()
A.桡动脉夹层
B.桡动脉炎
C.桡动脉真性动脉瘤
D.桡动脉血栓形成
E.桡动脉假性动脉瘤
206、单项选择题
男,52岁,体检胸片如图,最可能的诊断是()

A.肺不张
B.胸膜肥厚
C.包裹性积液
D.肺炎
E.气胸
207、单项选择题 影像学表现为“双侧肾影增大”,则可除外()
A.急性肾小球肾炎
B.油灰肾,即结核性肾自截
C.双侧重复肾
D.双侧肾盂积水
E.多囊肾
208、多项选择题 神经鞘瘤的临床病理特点有()
A.可发生于脊髓的各个节段
B.常与1~2个脊神经根相连
C.呈孤立结节状,有完整包膜
D.可发生囊变
E.与脊髓有明显粘连
209、单项选择题 部位、大小、数目可一日数变的肺气囊是下列哪种疾病的特征性表现()
A.肺吸虫病
B.肺囊虫病
C.葡萄球菌肺炎
D.过敏性肺炎
E.系统性红斑狼疮肺炎
210、单项选择题 类风湿关节炎主要病理改变常见于()
A.关节软骨
B.关节滑膜
C.关节盘
D.关节韧带
E.关节面
211、单项选择题 输尿管结核患者,静脉肾盂造影的典型表现为()
A.输尿管不规则狭窄和扩大,呈串珠状,边缘呈虫蚀状
B.输尿管囊样扩张
C.输尿管内见圆形致密影
D.输尿管扭曲
E.输尿管内见不规则透光影
212、单项选择题
男,49岁,进行性吞咽困难1月,结合图像,最可能的诊断为()
A.正常食管
B.食管炎
C.食管癌
D.食管静脉曲张
E.胃炎
213、单项选择题 先天性输尿管囊肿最好发部位是()
A.肾盂输尿管移行处
B.输尿管上段
C.输尿管中段
D.输尿管下段
E.输尿管膀胱壁内段
214、单项选择题 胃肠道憩室于钡剂造影时,最不易充盈的是()
A.食管囊状憩室
B.Meckel憩室
C.胃憩室
D.十二指肠降段憩室
E.结肠憩室
215、单项选择题 下列除哪项外均为中央型肺癌转移的表现()
A.膈肌矛盾运动
B.膈膨升
C.肺内结节
D.胸腔积液
E.肋骨破坏
216、单项选择题 坐位或俯卧位,下颏前伸,头颅水平面与胶片呈45°,矢状面垂直胶片,中心线通过鼻前棘垂直胶片,是哪个摄片位置()
A.Water’s氏位
B.Mayer’s氏位
C.Schuller’s氏位
D.汤氏位
E.Rhese’s位
217、多项选择题 关于膝关节前后正位片显示标准,正确的是()
A.片包括股骨远端胫骨近端骨骼
B.关节面位于照片下1/3处显示
C.关节间隙内外两侧等距
D.腓骨小头与胫骨仅有小部分重叠
E.腓骨小头与胫骨不应有重叠
218、多项选择题 慢性支气管炎在诊断时需与下列哪些疾病鉴别()
A.间质性肺炎
B.结缔组织疾病
C.尘肺
D.细支气管炎
E.支气管扩张
219、单项选择题 骨质增生由下述哪种原因引起()
A.骨动脉或静脉栓塞及血栓形成
B.肿瘤组织形成的肿瘤骨
C.成骨细胞活动形成新生骨或软骨内成骨
D.软骨细胞活动形成新生骨
E.以上都不是
220、单项选择题 “蝶翼征”多见于()
A.动脉导管未闭
B.肺泡性肺水肿
C.肺动脉瓣狭窄
D.房间隔缺损
E.右位主动脉弓
221、单项选择题 下列关于骨关节投照体位的选择哪项不对()
A.立位双足弓水平侧位;扁平足
B.肩关节盂前后位:肩关节间隙
C.膝关节侧位、轴位;髌骨骨折
D.腕关节内收位:舟状骨中段横行骨折
E.双肩关节后前持重位;肩锁关节有否脱位
222、单项选择题 骨膜增生的病因包括()
A.肿瘤
B.骨膜下出血
C.炎症或外伤
D.血管性病变
E.以上都是
223、多项选择题 左下叶支气管的分支包括()
A.背支
B.内支和外支
C.前内基底支
D.外基底支
E.后基底支
224、单项选择题 绿色瘤见于下列哪种病()
A.骨髓瘤
B.白血病
C.淋巴瘤
D.组织细胞增生症X
E.镰状细胞贫血
225、单项选择题
女,41岁,纺织工,腕部疼痛无力数周,结合CR和MR,最可能的诊断是()
A.月骨结核
B.月骨缺血坏死
C.骨质疏松
D.骨髓炎
E.骨软骨炎
226、单项选择题
男,52岁,胸痛、体重下降2月余,结合胸片,最可能的诊断()

A.包裹性胸腔积液
B.胸膜肥厚
C.化脓性胸膜炎
D.肺癌
E.胸膜间皮瘤
227、单项选择题 方形椎体可见于()
A.维生素D缺乏症
B.脊柱结核
C.强直性脊柱炎
D.巨人症
E.转移瘤
228、单项选择题 关于“Colles骨折”,下列哪项不对()
A.桡骨远侧3cm以内骨折
B.骨折远端向背侧移位
C.骨折远端向尺侧移位并旋转
D.可合并尺骨茎突骨折和下尺桡关节脱位
E.手腕呈“勺状”畸形
229、单项选择题 下述法洛四联征的基本改变,错误的是()
A.主动脉骑跨
B.肺动脉狭窄
C.右心室肥厚
D.高位室间隔缺损
E.三尖瓣下移
230、多项选择题 经肾脏排泄的对比剂在尿中浓度与哪些因素有关()
A.肾脏的大小
B.肾脏的形态
C.肾脏的功能
D.对比剂的剂量
E.对比剂的浓度
231、单项选择题 观察乙状窦的最佳摄影位置是()
A.格氏位
B.梅氏位
C.斯氏位
D.伦氏位
E.劳氏位
232、单项选择题
女,38岁,慢性疾病史,结合图像,最可能的诊断是()
A.Legg-Perthes病
B.骨梅毒
C.关节结核
D.镰状细胞贫血
E.强直性脊柱炎
233、单项选择题
男,64岁,咳嗽、高热数日,无痰中带血,X线检查如图,最可能的诊断是()
A.右侧胸腔积液
B.右侧胸腔积液并肺脓肿
C.右肺炎
D.右肺不张
E.气胸
234、单项选择题 早期脑梗死的脑血管造影的主要征象为()
A.动脉排空延迟
B.循环时间延长
C.动静脉短路
D.血管闭塞
E.动脉血流缓慢
235、单项选择题 下列哪个部位具有较好的天然对比度()
A.腹部
B.足
C.头颅
D.骨盆
E.胸部
236、单项选择题
患者,男,40岁,因进食困难,逐渐加重半年就诊,钡餐造影检查示食管明显扩张,蠕动减弱,食管远端呈鸟嘴状,表面尚光整,服温水后,对比剂部分进入胃内。钡餐检查如图所示

A.食管下端癌
B.食管贲门失弛缓症
C.食管下端静脉曲张
D.反流性食管炎
E.食管下段黏膜下平滑肌瘤
237、单项选择题 蝶鞍位于下列哪一个骨中()
A.筛骨
B.枕骨
C.颞骨
D.蝶骨
E.额骨
238、单项选择题 骨组织属于下述哪一种()
A.致密结缔组织
B.胶原纤维
C.弹力纤维
D.嗜银纤维
E.疏松结缔组织
239、多项选择题 适合高电压摄片检查的部位为()
A.喉
B.肺
C.胸骨
D.乳腺
E.鼻咽部侧位
240、单项选择题 增殖型肠结核的X线表现主要为()
A.跳跃征
B.肠腔扩张
C.肠管收缩
D.肠壁增厚
E.以上都是
241、单项选择题 结核球与周围型肺癌鉴别诊断的关键在于前者()
A.边缘较光整
B.干酪样厚壁空洞
C.病灶内呈斑点状钙化
D.直径一般不超过3cm
E.卫星病灶及纤维条索影(引流支气管影)
242、多项选择题 关于肾盂,正确的说法是()
A.最佳显影时间是注入对比剂后15~30分钟
B.肾盂上连肾大盏,下连输尿管
C.肾盂大部分位于肾门区
D.肾盂形态差异不大
E.肾盂无蠕动
243、单项选择题 腹部前后位摄影,影像中不可清晰显示的是()
A.肾脏边缘
B.腰大肌
C.腹膜外脂肪线
D.骨盆
E.子宫
244、单项选择题
男,68岁,从2米高的平台坠落后颈部疼痛6小时,结合影像学检查,最可能的诊断是()
A.脊椎结核
B.椎体压缩性骨折
C.脊椎转移瘤
D.化脓性脊柱炎
E.强直性脊柱炎
245、多项选择题 关于气胸下列哪项正确()
A.胸部平片不易发现微量气胸
B.所有气胸都有加重甚至发展为张力性气胸的可能
C.气胸在胸部平片上大多能得到明确诊断
D.CT检查的目的是发现少量气胸及少见部位的气胸
E.检查微量气胸时,宜用呼气相扫描
246、单项选择题 下列哪项不是纵轴型胃扭转的X线表现()
A.两个胃泡,两处液平
B.贲门位置低,食管与胃粘膜纹呈十字交叉
C.胃大弯上翻构成胃的顶缘
D.胃形态呈斜置的大虾状
E.十二指肠环高于幽门
247、单项选择题
膀胱造影片见下图,你考虑什么诊断可能性大()
A.膀胱炎
B.膀胱癌
C.膀胱结石
D.膀胱息肉
E.以上都不是
248、单项选择题 胸部摄影,FFD选用180cm的原因是避免因()
A.左右径较窄、前后径较薄引起的影像放大
B.左右径较厚、前后径较宽引起的影像放大
C.左右径较短、前后径较长引起的影像放大
D.左右径较扁、前后径较窄引起的影像放大
E.左右径较宽、前后径较厚引起的影像放大
249、单项选择题 关于肾盂造影的叙述,错误的是()
A.静脉法简单易行
B.静脉法必须行碘过敏试验
C.能显示肾盂肾盏的形态变化
D.肾功能丧失时尽量采用静脉法
E.静脉法可了解肾脏的排泄功能
250、单项选择题 “Gardner综合征”患者,临床无()
A.腹腔内硬纤维瘤
B.皮肤色素沉着
C.颅面骨多发骨瘤
D.腹泻、黏液便、血便
E.可有十二指肠乳头周围癌
251、多项选择题 肠套叠钡灌肠的典型X线表现有哪些()
A.钡剂头端受阻
B.钡剂头端呈杯口状
C.位于肝、脾曲处的钡剂头端轴位像为圆形充盈缺损
D.钡剂排出后附着于粘膜皱襞的钡剂为螺旋弹簧状
E.钡剂头端见龛影
252、单项选择题 确定泌尿系统先天性发育异常的主要手段是()
A.尿常规
B.影像学检查
C.血液检查
D.DNA检测
E.激素水平检测
253、单项选择题
男,29岁,体检胸片如图,最可能的诊断是()


A.右上肺炎症
B.右上肺炎性假瘤
C.右上肺结核瘤
D.右上肺肿瘤
E.结节病
254、多项选择题 骨肉瘤的基本X线表现为()
A.肿瘤钙化
B.骨质破坏
C.骨膜反应
D.软组织肿块
E.肿瘤新生骨
255、单项选择题
男,46岁,腹部不适多年,结合图像,最可能的诊断为()
A.正常空肠
B.空肠结核
C.克罗恩病
D.空肠多发憩室
E.空肠占位
256、多项选择题 下列良性胃溃疡征象有()
A.环堤
B.狭颈征
C.半月征
D.项圈征
E.裂隙征
257、单项选择题 下列关于肾脏X线解剖描述错误的是()
A.KUB片上肾脏位于第12胸椎到第2~3腰椎两侧
B.侧位片上肾脏影一般在脊柱前缘的后方
C.肾内缘较外缘靠前
D.KUB片上可观察到肾周围的脂肪组织
E.正常情况下,肾上下左右均有一定的移动度
258、单项选择题 IVP示肾盏破坏,则可排除下列哪项()
A.肾结核
B.肾盂旁囊肿
C.肾盂肿瘤
D.肾乳头坏死
E.肾腺癌
259、单项选择题 关于胃肠道穿孔的描述中,错误的是()
A.胃、十二指肠穿孔是最常见的原因
B.X线腹部平片发现气腹是诊断本症的重要征象
C.X线腹部平片发现气腹即可确诊胃肠道穿孔
D.没有游离气腹也不能排除胃肠道穿孔
E.胃肠道穿孔可出现腹腔内积液以及气液征象
260、单项选择题
女,12岁,左前臂外翻畸形4年,摄片如图所示,最可能的诊断是()
A.奥利氏病
B.马德隆氏畸形
C.先天性干骺端发育不全
D.软骨发育不全
E.以上均不正确
261、多项选择题 胰头癌引起的十二指肠环改变为()
A.降部充盈缺损
B.降部双边征
C.降部小弯侧粘膜皱襞破坏、消失
D.降部出现反“3”征
E.肠环缩小
262、单项选择题 KerleyB线主要分布于()
A.上肺内侧
B.上肺外周
C.下肺内侧
D.下肺外周
E.中肺野
263、单项选择题 腰椎前后位的中心线入射点是()
A.胸骨剑突
B.脐上3cm
C.脐
D.脐下3cm
E.髂前上棘连线中点
264、单项选择题 下述均为引起全身性骨质疏松的原因,但应除外()
A.先天性疾病
B.内分泌紊乱
C.酒精中毒
D.营养性疾病
E.肢体废用
265、单项选择题 进展性胃癌引起胃窦狭窄,壁僵硬,黏膜形态固定,在X线分型中应属于()
A.溃疡型
B.蕈伞型
C.局限浸润型
D.弥漫浸润型
E.混合型
266、单项选择题 下列叙述,哪项不正确()
A.右肺分为三叶
B.右肺门阴影比左肺门高
C.右膈高于左膈
D.气管分叉部相当第4~6胸椎高度
E.肺纹理由肺动脉、肺静脉构成
267、单项选择题 “中晚期胃癌”分型中,不包括哪型()
A.表浅型
B.蕈伞型
C.浸润型
D.溃疡型
E.髓样型
268、单项选择题 下列有关“硬化性骨髓炎”诊断要点,哪项不对()
A.好发于股骨和胫骨
B.患骨皮质增厚、髓腔消失
C.患骨增粗,但无骨膜反应
D.一般无死骨形成
E.硬化区内常有大小不等的密度减低区
269、多项选择题 关于X线质的叙述,正确的是()
A.X线的硬度
B.X线的强度
C.X线的波长越短,X线质越硬
D.常以管电压(kV)值间接表示X线质
E.常以管电流(mA.值间接表示X线质
270、单项选择题 下述疾病均可出现Schmorl结节,但应除外哪项()
A.库欣综合征
B.化脓性脊椎炎
C.脊椎退行性骨关节病
D.椎体骺板缺血性坏死
E.椎间盘脱出症
271、单项选择题 以下对CR特点的描述,哪项不正确()
A.与原有X线设备不匹配
B.X线用量明显减少
C.放射技师不需专门培训
D.多种后处理功能
E.数字化存储、可网络管理
272、单项选择题 下述空泡征知识,哪项不对()
A.大小为1mm至数毫米
B.病理基础为小空洞
C.常见于肺腺癌或细支气管肺泡癌
D.胸片上为低密度透光区
E.病理基础为残存的正常含气肺泡组织或小支气管
273、单项选择题 如疑似大骨节病的病人,最佳投照体位是()
A.双侧第一跖趾骨正、斜位
B.双侧膝关节正位片
C.双手正位及双踝关节正侧位
D.双侧手腕外展位
E.腰椎正侧位片
274、单项选择题 下列肺梗死平片所见,错误的是()
A.肺门淋巴结增大
B.密度均匀、边缘不清模糊影,后基底段多见
C.可形成空洞
D.少量胸腔积液
E.多数患者平片表现正常
275、多项选择题 可引起眶窝小的疾病有()
A.无眼球、小眼球
B.筛窦粘膜囊肿
C.婴儿期眼球摘除术后
D.骨瘤
E.眼球肿瘤
276、多项选择题 电击伤中电热损伤引起的骨损伤多表现为()
A.骨膜反应
B.骨质增生
C.骨质疏松
D.骨溶解
E.骨自截和骨变形
277、单项选择题 有关膀胱癌和结石的鉴别,下列错误的是()
A.双重对比造影两者等同
B.癌与结石均不随体位改变而移动
C.膀胱癌浸润膀胱壁,使膀胱壁不光整和硬化
D.膀胱癌的充盈缺损边缘不光整,而结石则光滑
E.X线平片易于诊断结石
278、单项选择题 下列关于“胃小区”影像描述,错误的是()
A.正常胃小区小于10mm
B.胃窦部胃小区多为多角形
C.胃体部胃小区以圆形、椭圆形者居多
D.萎缩性胃炎患者难以显示胃小区
E.胃小区显示率与操作技术和所用钡剂特性关系密切
279、单项选择题 下列畸形,与“Klippel-Feil综合征”无关的是()
A.脊髓空洞症
B.Sprengel畸形
C.“颈椎间盘突出”发病率升高
D.颈椎融合畸形
E.融合处椎间孔闭合
280、多项选择题 关于标准侧位胸片的描述,正确的有()
A.正常情况下前后肋膈角显示清晰
B.正常情况下后肋膈角境界不清
C.气管前壁的外缘通常可见
D.取右侧位投照,心脏遮盖邻近的左侧膈肌有特征性
E.胸椎愈向下透亮度愈增加
281、单项选择题 女,30岁,吞咽困难2年余,时轻时重,近日加重,X线示食管下端呈锥形狭窄,应首先考虑为()
A.食管外压性狭窄
B.食管功能紊乱
C.食管平滑肌瘤
D.贲门失弛缓症
E.食管癌
282、单项选择题
男,36岁,从高处摔下,足部受伤,结合图像,最可能的诊断是()
A.距骨骨折
B.跟骨骨折
C.骰骨骨折
D.舟状骨骨折
E.楔骨骨折
283、多项选择题 二尖瓣狭窄或(和)关闭不全时,胸片可见到的表现有()
A.肺内无结节状影
B.肺内含铁血黄素沉着
C.间隔线
D.上肺静脉增粗,下肺静脉变细
E.肺动脉段凹陷
284、单项选择题 对临床怀疑“肾盂癌”的患者,应首选以下哪项检查()
A.MRI
B.血管造影
C.US
D.IVU或“逆行肾盂造影”
E.CT
285、单项选择题 关于异位肾的表现,下列说法错误的是()
A.肾脏位于盆腔内
B.肾脏位于髂窝内
C.立卧位肾脏位置不变
D.肾脏位于胸12与腰3之间
E.常伴输尿管过短或过长
286、单项选择题
男,5岁。发热、胸痛、胸闷、气促。X线检查如图,最可能的诊断为()
A.右侧胸膜间皮瘤
B.右侧肺脓肿
C.右侧包裹性积液
D.右侧肺不张
E.右侧气胸
287、多项选择题 眶距过窄,常见于下列哪些疾病()
A.额缝早闭
B.冠状缝早闭
C.矢状缝早闭
D.先天愚型
E.端脑发育异常
288、单项选择题 左心房增大的X线表现,下列哪项应除外()
A.左心缘出现4个弓,第3弓特别突出
B.降主动脉左移
C.双心房或双心缘阴影
D.心尖明显下移
E.左主支气管受压抬高
289、单项选择题 下述不是肺水肿的X线表现的是()
A.肺水肿阴影可融合为蝶翼状大片阴影
B.有时伴有胸水
C.肺水肿多为两侧,但也有一侧的
D.阴影中见不到含气支气管影
E.由于造成肺水肿疾病的改善,阴影迅速吸收
290、单项选择题 对于预防“碘过敏反应”的发生,无帮助的措施是()
A.检查前做碘过敏实验
B.选用非离子型造影剂
C.选用高渗造影剂
D.减少造影剂用量
E.高危患者避免使用含碘造影剂
291、多项选择题 左心室增大主要见于()
A.高血压病
B.主动脉瓣病变
C.二尖瓣关闭不全
D.室间隔缺损
E.动脉导管未闭
292、单项选择题 有关神经系统的组合,错误的是()
A.中枢神经系统-脊髓
B.中枢神经系统-脑
C.中枢神经系统-脑神经
D.周围神经系统-交感神经
E.周围神经系统-内脏神经
293、单项选择题 成人心脏摄片的焦-片距为()
A.近距离
B.100cm
C.85cm
D.150cm
E.200cm
294、单项选择题 食管癌X线表现中哪项是错误的()
A.食管黏膜中断破坏
B.管腔向心性狭窄,管壁僵硬
C.管腔内不规则充盈缺损
D.恶性龛影
E.食管下端漏斗状狭窄,蠕动微弱
295、单项选择题 关于骨质硬化,下述描述错误的是()
A.骨密度增高
B.骨皮质变薄
C.骨小梁增粗、变密
D.骨髓腔变窄
E.骨干增粗
296、单项选择题 在典型的胃良性溃疡与恶性溃疡鉴别要点中,哪一项是良性溃疡的特征()
A.蠕动减弱
B.粘膜皱襞紊乱
C.龛影位于胃轮廓之内
D.龛影突出于胃轮廓之外
E.局部胃腔狭窄
297、单项选择题 近年来,下列肿瘤中呈增加趋势的是()
A.皮肤癌
B.骨肉瘤
C.子宫癌
D.结肠癌
E.肺癌
298、单项选择题 尿路造影中常见肾盂肾盏、输尿管及膀胱内充盈缺损,最常见病因是()
A.肿瘤
B.结核
C.炎症
D.结石
E.血块
299、多项选择题 哪些疾病可引起头颅增大()
A.畸形性骨炎
B.骨纤维异常增殖症
C.肢端肥大症
D.婴儿及积水
E.脑发育迟缓
300、单项选择题 胸片示肺动脉段凹陷,可除外下述哪种疾病()
A.主动脉缩窄
B.Ebstein畸形
C.法洛四联征
D.三尖瓣闭锁
E.肺动脉漏斗部狭窄