时间:2025-09-25 02:15:59


1、单项选择题 骨关节结核首先好发部位是()
A.踝关节
B.膝关节
C.脊柱
D.肘关节
E.腕关节
2、单项选择题
患者肾移植术后8年,根据所提供的图像,最可能的诊断是()
A.移植排斥
B.肝脓肿
C.移植后肝、结肠淋巴瘤
D.转移癌
E.以上都不是
3、单项选择题 颅脑CT没有病理意义的钙化是()
A.侧脑室三角区内球形钙化
B.额—颞部脑回状钙化
C.室管膜下结节状钙化
D.灰白质交界小环形钙化
E.松果体直径>10mm不均匀钙化
4、单项选择题
如图所示,最可能的诊断为()
A.脂肪肉瘤
B.肠系膜炎纤维化
C.肾血管肌肉脂肪瘤
D.肾出血后
E.以上都不是
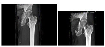
5、多项选择题 股骨头缺血坏死时,CT诊断股骨头塌陷的征象包括()
A.股骨头皮质成角
B.台阶征
C.双边征
D.裂隙征
E.股骨头内簇状、条带状和斑片状高密度硬化影
6、多项选择题 激光打印机的结构包括()
A.干燥系统
B.胶片传输系统
C.信息传递系统
D.信息存贮系统
E.循环系统
7、单项选择题 肾周间隙内的组织或结构为()
A.肾上腺
B.肾血管
C.肾周脂肪
D.输尿管近段
E.以上都是
8、多项选择题
女,48岁,颈部包块3年,近来胸闷、憋气、胸痛,CT扫描如图,正确的描述或诊断是()

A.胸骨后甲状腺肿
B.血管瘤
C.双侧甲状腺肿大
D.胸骨后甲状腺肿是指甲状腺50%位于胸骨后
E.胸骨后甲状腺肿是指甲状腺60%位于胸骨后
9、多项选择题 中耳继发性胆脂瘤的并发症为()
A.脑脓肿
B.乳突皮下脓肿
C.水平半规管瘘
D.乙状窦周围脓肿
E.乙状窦栓塞
10、单项选择题 眶内海绵状血管瘤,最有特征的CT表现为()
A.肿瘤位于肌锥内
B.肿瘤增强扫描早期呈不均匀强化
C.肿瘤增强明显
D.肿瘤内致密结节影
E.肿瘤与眼球相邻
11、单项选择题
女,12岁,右腰部疼痛10天,尿检可见大量的脓细胞,CT平扫+增强如图所示,最可能的诊断是()
A.右肾脓肿
B.右侧感染性肾囊肿
C.右肾转移癌
D.右侧肾癌
E.右肾结核
12、单项选择题
男,68岁,胸闷、气逼1年余,加重1周,右胸有手术史,结合CT图像,最可能的诊断是()
A.右侧气胸并皮下气肿、左侧肺气肿
B.右侧气胸并皮下气肿、左侧肺不张
C.双侧肺气肿
D.右侧气胸并皮下气肿
E.右侧肺间质病变、左侧肺气肿
13、单项选择题 可见骨骼和牙齿的纵隔肿瘤是()
A.神经源性肿瘤
B.支气管囊肿
C.食管囊肿
D.恶性淋巴瘤
E.畸胎瘤
14、多项选择题
男,20岁,右腰部胀痛不适,MRI如图示,下列说法正确的是()
A.右侧肾盂积水
B.右侧输尿管上段扩张积水
C.右侧输尿管走行异常,呈“S”形向中线移位
D.考虑为右侧腔静脉后输尿管
E.考虑为右侧输尿管自身的扭曲
15、单项选择题 关于Ⅲ型肝包虫病CT扫描的影像特点是()
A.单纯囊肿,无子囊,钙化少见
B.子囊多,内囊常分离,常有钙化
C.实质性钙化灶,含少量囊性组织
D.有少数子囊
E.合并有脾脏,腹腔内多发囊性病变
16、多项选择题 关于肾细胞癌的影像学诊断方法选择,哪些是错误的()
A.CT检查是首选
B.CT检查不明确者,可做MRI检查,以明确诊断及肿瘤分期
C.超声检查仅作为一种筛查手段
D.肾动脉血管造影一般用于术前了解肿瘤血管的解剖、肿瘤动脉有无栓塞
E.尿路造影诊断价值较大,亦较常应用
17、单项选择题 下列关于冠状动脉瘤的CT表现哪项是正确的()
A.多层螺旋CT不能显示动脉瘤全貌
B.CT横断面图像不利于观察动脉瘤壁
C.多见附壁血栓
D.动脉瘤壁无钙化
E.CT横断面图像不利于观察动脉瘤壁局限性或弥漫性扩张,形态为囊状、梭形或不规则形
18、单项选择题 腹部CT扫描的适应证除外()
A.肝肿瘤、肝囊肿
B.胆囊炎和胆结石
C.脾脏外伤
D.肾炎
E.腹膜后腔的炎症
19、单项选择题 新生儿缺氧性脑病,CT呈现的“双圈征”是指()
A.皮层、白质密度减低,基底节、背侧丘脑密度正常
B.皮层、白质密度正常,基底节、背侧丘脑密度减低
C.皮层密度低,白质密度高
D.皮层密度高,白质密度低
E.脑室密度高,脑室旁密度低
20、多项选择题 肺放线菌病的CT表现为下述哪些()
A.肺门淋巴结肿大
B.结节灶或小空洞影
C.肋骨骨膜增生
D.局灶性或广泛性实变影
E.空气半月征及晕轮征
21、单项选择题 男,46岁,反复右上腹部不适、消化不良数年,右上腹部剧烈疼痛伴恶心、呕吐及轻度黄疸5天。右上腹部压痛,莫非氏征阳性,临床拟诊为胆囊结石。如行CT检查,下列哪项符合胆囊结石的特征性表现()
A.胆囊增大
B.胆囊缩小
C.胆囊内密度增高
D.胆囊内圆形高密度影
E.胆管内高密度影
22、单项选择题 下列各项中不符合肥厚型心肌病诊断要点的是()
A.心脏可呈主动脉型
B.肺血管纹理多属正常范围
C.心脏多明显增大
D.心脏搏动情况无特殊,可增强,减弱或正常
E.部分病例可见左房,右室增大
23、单项选择题 下列哪项不属于首选肾脏CT检查的疾病是()
A.肾上腺肿瘤
B.输尿管结石
C.肾动脉狭窄
D.肾结核
E.肾周脓肿
24、多项选择题 放射性肺炎的CT表现为()
A.长条片状高密度影
B.病灶呈跨叶分布
C.病灶密度不均
D.病灶边缘平直
E.病灶体积缩小
25、单项选择题
如图所示,根据这两个时相分析,最可能的诊断是()
A.肾淋巴瘤
B.急性肾盂肾炎
C.肾梗死
D.肾癌
E.肾囊肿
26、单项选择题 下述Caroli病CT特点,错误的是()
A.增强扫描可见“中心圆点征”
B.病变主要分布于肝脏周边区域
C.病灶内无结石
D.肝内单发或多发囊状低密度影
E.给予胆管对比剂,显示病变与胆管相通
27、单项选择题
男,67岁,呼吸急促3月,结合胸片,最可能的诊断是()
A.包裹性胸腔积液
B.胸膜肥厚
C.化脓性胸膜炎
D.肺癌
E.胸膜间皮瘤
28、单项选择题
男,18岁,外伤后1小时,CT扫描如图,最可能的诊断是()
A.肾包膜下积液
B.肾脓肿
C.先天性肾萎缩
D.肾包膜下积血
E.肾挫裂伤
29、单项选择题 对CT准直器作用的论述,错误的是()
A.决定扫描层面的厚度
B.控制X线束的宽窄
C.决定扫描像素的大小
D.消除散射线的干扰
E.减少病人受辐射剂量
30、单项选择题 脊柱横断扫描,对扫描线确定的描述,错误的是()
A.扫描线及扫描计划的确定,从侧位定位像上设计
B.进行椎体扫描时,扫描线应与椎体前后方向的中轴线一致
C.进行椎间盘扫描时,扫描线应是相邻两椎体缘联线夹角的平分线
D.椎体与椎间盘兼扫时,应根据脊柱曲度分段确定
E.脊柱扫描线确立后的扫描为连续扫描
31、单项选择题
女,50岁,左下颈部扪及一质软、表面光整的包块,逐渐增大,现感疼痛,CT如图所示,最可能的诊断是()

A.甲状腺癌
B.食管癌
C.喉癌
D.甲状腺原发淋巴瘤
E.颈部神经鞘瘤
32、单项选择题
静脉药瘾者并发热,结合图像,最可能的诊断是()
A.淋巴瘤
B.结核
C.肉状瘤病
D.转移癌
E.以上都不是
33、多项选择题 “肾血管平滑肌脂肪瘤”行CT平扫,可以表现为()
A.脂肪密度
B.软组织密度
C.混杂密度
D.均匀高密度
E.水样密度
34、多项选择题 骨巨细胞瘤的典型CT征象包括()
A.多数肿瘤的骨壳并不完整连续,但无包壳外的软组织肿块
B.骨壳内面凹凸不平,肿瘤内并无真正的骨性间隔
C.肿瘤内密度不均,有时可见液平
D.肿瘤与松质骨交界多清楚,但无骨质增生硬化
E.清楚显示肿瘤周围的软组织情况及与周围神经、血管的关系
35、单项选择题
男,67岁,排尿困难1年余,加重1个月,结合所示图像最可能的诊断为()
A.膀胱憩室
B.输尿管囊肿
C.膀胱结石
D.膀胱结核
E.膀胱炎
36、单项选择题 儿童室管膜瘤最常发生于()
A.第三脑室
B.侧脑室
C.第四脑室
D.导水管
E.脑室旁
37、单项选择题 将射线能量转换为可供记录的电信号的装置是()
A.滤过器
B.探测器
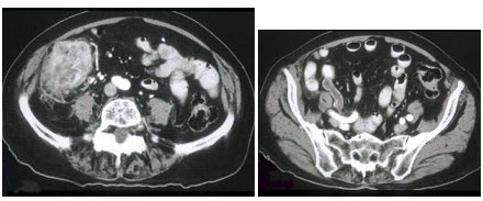
C.准直器
D.A/D转换器
E.陈列处理机
38、单项选择题 CT的成像方式是()
A.透射成像
B.荧光成像
C.银盐成像
D.光电转换
E.数据重建
39、单项选择题
女,3岁,右耳出生至今耳聋,结合图像,最可能的诊断是()


A.外耳畸形
B.内耳畸形
C.中耳畸形
D.右侧胆脂瘤
E.未见异常
40、单项选择题 将探测器接收的信息转换为数字信号的是()
A.信号放大器
B.探测器
C.A/D转换器
D.信号比较器
E.后组探测器
41、单项选择题
男,32岁,低热、腰背痛,活动受限,结合CT检查,最可能的诊断是()

A.化脓性脊柱炎
B.脊柱转移瘤
C.椎体压缩骨折
D.椎体结核
E.类风湿关节炎
42、单项选择题 部分容积效应中的部分容积的含义是()
A.所成像组织的面积
B.图像中所显示的像素数
C.相应大小的矩阵尺寸
D.该扫描层面所包含的体素
E.包含所有像素的乘积
43、单项选择题 关于“造釉细胞瘤”的诊断要点,错误的是()
A.80%发生于上颌骨
B.是最常见的牙源性肿瘤
C.囊性或实性质地,膨胀性生长
D.多房者,房隔粗细不均匀
E.瘤内可见到移位的牙齿
44、单项选择题 关于阴茎的说法,错误的是()
A.由外向内依次为皮肤、阴茎浅深筋膜及白膜
B.阴茎背动脉、神经走行于白膜与阴茎深筋膜之间
C.阴茎深筋膜包裹3条海绵体并形成阴茎悬韧带
D.白膜包裹各海绵体并形成海绵体肌
E.阴茎浅筋膜与Colles筋膜、scarpa筋膜、阴囊肉膜相移行
45、多项选择题 下腔静脉受肝癌侵犯和癌栓形成CT表现()
A.管腔不规则狭窄
B.完全被肿瘤包绕
C.腔内充盈缺损
D.下腔静脉不显影
E.可以继发奇静脉扩张
46、单项选择题 关于灰阶与CT值关系的叙述,正确的是()
A.高CT值部分被转换为黑色
B.高CT值部分被转换为白色
C.X线衰减越大,转换成灰阶后颜色越深
D.图像中X线未被衰减,将显示为白色图像
E.改变窗宽,也可改变被显示物体的CT值
47、单项选择题 眼及眼眶CT扫描技术适应证不包括()
A.球内和眶内肿瘤
B.炎性假瘤
C.血管性疾病
D.结膜炎
E.眼外伤
48、单项选择题 “结节病”,脑CT表现下述哪项不对()
A.增强,脑膜、基底池可强化
B.交通性脑积水
C.平扫,结节密度比脑组织低
D.脑外肉芽肿结节,多位于脑底部
E.脑内肉芽肿结节,常有明显水肿
49、单项选择题
男,57岁,肥胖、糖尿病、血脂升高,CT扫描如下图,下列诊断或描述错误的是哪项()
A.肝硬化
B.脂肪肝
C.肝脏增大
D.密度均匀减低
E.血管影清唽可见
50、单项选择题 关于脾恶性淋巴瘤的CT表现,错误的是()
A.不均匀囊实性肿块边缘强化
B.边缘可不规则隆起
C.脾肿大
D.增强扫描结节显示清楚
E.多发或单发低密度结节
51、多项选择题 关于脑干的描述,正确的是()
A.由延髓、脑桥和中脑三部分组成
B.背面与小脑相连
C.延髓、脑桥和小脑之间有四脑室
D.脑桥基底沟内有基底动脉
E.延髓向下连于脊髓
52、多项选择题 关于肾动脉CTA,哪些说法正确()
A.属于CT扫描的特殊检查方法
B.用于检查肾血管病变
C.团注对比剂后约30秒进行容积扫描
D.应用MPR进行多方位重建
E.应用MIP、SSD、VRT对肾动脉进行3D重建
53、多项选择题
男,57岁,睡觉打鼾,近来加重,CT扫描如图所示,正确的描述或诊断是()
A.鼻咽腔偏右侧可见类圆形软组织块影
B.肿块内密度尚均匀,其上方见较多钙化影
C.肿块边缘大部清楚,邻近结构未见明显受侵
D.鼻咽癌
E.鼻咽部多形性腺瘤
54、单项选择题 CT可以检出的最少心包积液量是()
A.30ml
B.40ml
C.50ml
D.60ml
E.70ml
55、单项选择题 支气管扩张的描述哪项是错误的()
A.可分为柱状、静脉曲张型和囊状三型
B.扩张支气管与伴行肺动脉形成“印戒”征
C.可继发于肺结核、肺癌和放射性肺炎
D.支气管造影诊断的准确率低于CT
E.囊内出现气液平面是囊状支气管扩张最具特异性征象
56、单项选择题 脑脓肿的CT表现分为四期,脓肿壁形成晚期是指发病()
A.7天后
B.14天后
C.21天后
D.28天后
E.60天后
57、单项选择题
男,59岁,呼吸困难,胸痛,有发热,结合CT图像,最可能的诊断是()

A.脓胸
B.肺脓肿
C.大叶性肺炎
D.肺囊虫病
E.肺癌
58、多项选择题 关于泪腺混合瘤,下列说法正确的是()
A.占泪腺上皮性肿瘤的50%
B.80%为良性,20%恶性
C.泪腺肿瘤中最常见的一种
D.肿瘤组织只起源于泪腺上皮组织的内层
E.瘤内不会见到软骨及骨化
59、多项选择题 高血压脑出血的好发部位是()
A.基底节区
B.皮质下
C.丘脑
D.小脑
E.脑桥
60、单项选择题
女,79岁,步行时突然摔倒,结合图像,最可能的诊断是()

A.右大脑中动脉破裂出血
B.脑转移瘤出血
C.脑膜炎
D.脑梗死
E.脑脓肿
61、单项选择题 肺部CT图像照片时,对于窗的基本要求是()
A.一般采用双窗拍摄
B.只需拍摄肺窗
C.须要拍摄骨窗
D.须包括肺的宽窗和窄窗各一套
E.须拍摄肺窗和纵隔软组织窗
62、单项选择题 滑环技术的主要功能是()
A.连续曝光
B.连续采集
C.单向连续旋转
D.床面连续移动
E.高压发生器连续旋转
63、单项选择题 腹部CT扫描前的相关准备不包括()
A.检查前不能服用含有金属的药品
B.检查当日空腹
C.患者应携带其他影像学资料及其他临床相关检查资料
D.CT增强患者可不做碘过敏试验
E.口服1.2%的泛影葡胺
64、单项选择题 脑梗死好发于()
A.大脑中动脉供血区
B.基底动脉供血区
C.大脑后动脉供血区
D.椎动脉供血区
E.大脑前动脉供血区
65、单项选择题
女,15岁,右大腿下段不适,结合所提供的图像,最可能的诊断是()
A.纤维性骨皮质缺损
B.非骨化性骨纤维瘤
C.骨囊肿
D.良性骨肿瘤
E.骨结核
66、多项选择题 中枢神经系统结节性硬化包括()
A.皮层和皮层下白质、白质和侧脑室室管膜下错构瘤
B.室管膜下巨细胞星形细胞瘤
C.放射状异位白质
D.室管膜下结节
E.视网膜星形细胞错构瘤
67、单项选择题 心包上隐窝与气管前淋巴结的鉴别要点不包括()
A.位于气管前间隙内
B.典型可成水样密度
C.位置在右肺动脉上方
D.贴近升主动脉后壁
E.增强扫描无强化
68、单项选择题 螺旋CT与传统CT最主要的区别是()
A.动态扫描
B.体积扫描
C.快速扫描
D.同层扫描
E.以上都不是
69、单项选择题 视神经鞘膜常发生的病变为()
A.胶质瘤
B.神经鞘瘤
C.脑膜瘤
D.炎症
E.神经纤维瘤
70、多项选择题 颈动脉三角的边界包括()
A.胸骨甲状肌
B.二腹肌前腹
C.肩胛舌骨肌
D.二腹肌后腹
E.胸锁乳突肌前缘
71、单项选择题
男,50岁,血便,大便形状改变,CT如图所示,最可能的诊断是()
A.直肠息肉
B.直肠内粪便
C.直肠癌
D.直肠腺瘤
E.直肠淋巴瘤
72、单项选择题 CT与常规X线检查相比,最大的优势是()
A.空间分辨率高
B.密度分辨率高
C.曝光时间短
D.病变定位定性明确
E.适合全身各部位检查
73、单项选择题
患者肺炎反复发作,结合图像,最可能的诊断为()
A.食管癌
B.贲门失弛缓症
C.(胃食管)返流
D.硬皮病
E.以上都不是
74、多项选择题 早期肝癌应与以下哪些疾病进行鉴别()
A.血管瘤
B.肝硬化再生结节
C.转移性肝癌
D.肝腺瘤
E.FNH
75、单项选择题 青少年患者,呼吸短促,最可能的诊断是()
A.囊性纤维化
B.抗胰蛋白酶缺乏
C.获得性免疫缺乏综合征
D.支气管扩张
E.以上都不是
76、单项选择题 多血供性肝转移者,原发灶常为()
A.肺癌
B.胃腺癌
C.结肠癌
D.肾癌
E.乳腺癌
77、单项选择题 CT诊断颈椎创伤,错误的为()
A.寰枢椎脱位既要观察前脱位,还需注意旋转性脱位
B.环椎骨折也称为Jefferson骨折,MRI显示优于CT
C.颈椎横突出现骨折,并不一定表明椎动脉损伤
D.CT在显示骨折的同时,尚可显示硬膜囊受压情况
E.环椎前结节后缘与枢椎齿状突前缘距离成人>2mm、儿童>4mm则说明横韧带撕裂
78、单项选择题 HRCT扫描采用的重建算法是()
A.平滑算法
B.高分辨率算法
C.软组织算法
D.标准算法
E.边缘增强处理法
79、单项选择题 在CT扫描中,以下哪种不能用于消化管对比剂()
A.3.0%~4.0%的医用硫酸钡
B.凉开水
C.1.0%~3.0%的泛影葡胺
D.12.5%~25.0%的乳化玉米油
E.牛奶
80、多项选择题 关于髓外硬膜下肿瘤X线造影表现正确者()
A.脊髓受压,向健侧移位
B.脊髓膨大,无移位
C.脊髓受压,向患侧移位
D.脊髓常常无变化
E.阻塞近端蛛网膜下腔呈小杯口状,远端逐渐移行为正常
81、多项选择题
男,8岁,发绀、气促,易感冒,CT检查如图,最可能的诊断是()
A.考虑为单心室共同动脉干
B.为一种较为复杂的先天性疾病
C.目前诊断一般不用心血管造影
D.最常并发肺动脉瓣及瓣下畸形
E.可伴有内脏心房异位、房间隔缺损、共同心房、双上腔静脉等畸形
82、多项选择题
男,38岁,进行性肾衰竭,有淋巴瘤病史,行腹平片、CT及MRI检查如图所示,下列说法正确的是()
A.CT示双肾对称性增大
B.MRIT1WI示L1椎体可见局灶性低信号改变
C.考虑为肾淋巴瘤,且淋巴瘤累及L1椎体
D.考虑为多囊肾
E.考虑为肾炎
83、单项选择题
女,28岁,根据所示图像,最可能的诊断是()
A.左侧肾盂积水
B.左侧肾外肾盂
C.左侧肾盂旁囊肿
D.左侧肾囊肿
E.双肾未见异常
84、单项选择题 下列关于嗜铬细胞瘤的描述,错误的是()
A.多见于14岁以下儿童
B.为圆形或卵圆形的肿块
C.既可有实质性肿块,也可有囊性肿块
D.增强扫描后肿瘤强化明显
E.肿瘤大小不能鉴别良恶性
85、单项选择题
男,47岁,四肢无力,增强CT检查如图,最可能的诊断为()

A.脑脓肿
B.脑膜瘤
C.胶质瘤
D.转移瘤
E.脑出血
86、单项选择题 先天性支气管扩张的病理基础为()
A.支气管壁组织的炎性病变
B.支气管内压增高
C.邻近肺组织对支气管的外在牵引
D.支气管弹性纤维不足或软骨发育不全
E.以上全对
87、单项选择题 可触摸的腹部团块是()
A.淋巴瘤
B.马蹄肾
C.肾下垂
D.旋转不良症
E.以上都不是
88、单项选择题 关于“腹膜假性粘液瘤”的特点,下列叙述错误的是()
A.为卵巢癌、结肠粘液腺癌转移所致
B.腹腔原发肿瘤
C.腹内囊样病变或腹水样病变
D.有分隔,密度略高于单纯腹水
E.增强扫描病灶边缘有强化
89、单项选择题 正常颈3~7椎管前后径下限为()
A.10mm
B.11mm
C.12mm
D.13mm
E.14mm
90、单项选择题 曝光时,X线管和探测器不动,而床带动病人动,称其()
A.增强扫描
B.定位扫描
C.连续扫描
D.动态扫描
E.重叠扫描
91、单项选择题 不易在冠状面CT上显示的颌面骨骨折是()
A.眼眶顶壁和底壁
B.筛板
C.蝶骨翼突内外板
D.上颌窦前壁
E.硬腭
92、多项选择题
女,28岁,持续性腰痛加重2天,伴尿频、尿急、尿痛及发热,MRI如图所示,下列说法正确的是()
A.单侧输尿管明显扩张,同侧的肾盂肾盏也扩张,但其程度轻于前者
B.考虑为先天性巨输尿管
C.考虑为输尿管下端结石并积水
D.考虑为输尿管癌所致的梗阻积水
E.考虑为输尿管囊肿
93、单项选择题
男,55岁。突发胸痛就诊。胸部动脉CT造影如下图,可诊断为()
A.主动脉瘤
B.主动脉夹层(DeBakeyⅠ型)
C.主动脉夹层(DeBakeyⅡ型)
D.主动脉夹层(DeBakeyⅢ型)
E.主动脉血栓
94、单项选择题 “不定形”征见于()
A.肝脏亚急性血肿
B.肝囊肿
C.原发性肝癌
D.肝脏血管瘤
E.肝腺瘤
95、单项选择题
男,43岁,体检X线发现肺部一占位性病变,CT检查如图,最可能的诊断是()
A.周围型肺癌
B.肺脓肿
C.肺结核
D.肺错构瘤
E.肺转移瘤
96、单项选择题 下列酒精性肝病CT特点,哪项不对()
A.病变晚期肝脏体积缩小
B.病变早期肝脏体积增大
C.肝脏密度一致性减低
D.晚期可出现腹水
E.属胆汁淤积型肝硬化
97、多项选择题 关于胰腺肿瘤的描述,正确的是()
A.胰腺癌占胰腺恶性肿瘤的95%,胰头癌占60%
B.90%胰腺癌为腺癌
C.疼痛伴黄疸为胰头癌最突出的症状
D.胰腺囊性肿瘤主要包括浆液性囊腺瘤和黏液性囊腺瘤或囊腺癌
E.胰岛细胞瘤分为功能性和非功能性
98、单项选择题 冠状动脉局限性狭窄是指狭窄长度()
A.小于5mm
B.小于10mm
C.小于15mm
D.小于20mm
E.小于25mm
99、单项选择题 下列哪种病不出现眼球钙化()
A.视乳头玻璃样小体
B.脉络膜肿瘤
C.视网膜母细胞瘤
D.甲状腺性突眼
E.海绵状血管瘤
100、单项选择题 发生在桥小脑角区肿瘤中岩骨有明显骨质增生的是()
A.三叉神经瘤
B.脑膜瘤
C.转移瘤
D.动脉瘤
E.听神经瘤
101、单项选择题 下列关于“鼻咽癌”的影像描述,哪项说法错误()
A.头颅正位、颅底位价值高
B.颅底骨质破坏
C.肿瘤内无钙化
D.鼻咽软组织弥漫性增厚
E.鼻咽部软组织肿块影
102、单项选择题 膀胱病变最基本的检查方法是()
A.B超
B.膀胱逆行造影
C.膀胱镜检查
D.静脉尿路造影
E.CT
103、单项选择题 十二指肠憩室好发于()
A.球部
B.球后
C.壶腹部
D.水平部
E.升部
104、单项选择题 下列病变中,哪种罕有出血()
A.转移瘤
B.胶质瘤
C.听神经瘤
D.垂体瘤
E.脑血管畸形
105、单项选择题
患者,男,33岁,左股骨肿块半年余,无明显症状,查体一般情况良好,结合所提供的图像,最可能的诊断是()
A.骨巨细胞瘤
B.骨囊肿
C.骨纤维异常增殖症
D.动脉瘤样骨囊肿
E.非骨化性纤维瘤
106、单项选择题 患者,男,15岁,低热,胸痛4天,X线胸片示左下肺类圆形稍高密度影,边缘光滑;胸部CT示左下肺前内基底段类圆形液体密度影,直径约3cm,边缘光滑,其内CT值约12HU,邻近肺组织内见淡片状稍高密度影,抗炎治疗10天后症状明显改善,复查CT见类圆形病灶大小无明显变化,边缘更清楚,邻近淡片状影消散。最可能的诊断为()
A.大叶性肺炎
B.肺结核空洞
C.肺内支气管囊肿
D.急性肺脓肿
E.囊状支气管扩张
107、单项选择题
男,32岁,发热,头痛,结合CT图像,最可能的诊断是()

A.星形细胞瘤
B.脑转移瘤
C.脑脓肿
D.脑包虫病
E.脑血肿吸收期
108、单项选择题 下列哪种病其1/3的病人患有神经纤维瘤病()
A.眶内炎性假瘤
B.视网膜母细胞瘤
C.眼型Grave病
D.黑色素瘤
E.视神经胶质瘤
109、单项选择题 脱屑性间质性肺炎的CT特征()
A.斑片状、网状、毛玻璃样密度影
B.不规则形,线状或蜂窝状阴影
C.散在分布斑片状阴影
D.多发5~7mm结节影,半数有空洞
E.钙化
110、单项选择题
患者70岁,最可能的诊断是()
A.胸腺瘤
B.淋巴瘤
C.神经纤维瘤
D.转移瘤
E.胸骨后甲状腺肿
111、单项选择题
男,52岁,双眼突出2-3年,结合图像,最可能的诊断是()

A.淋巴瘤
B.肌炎型炎性假瘤
C.眼肌发育异常
D.眼型Graves病
E.眼眶血管畸型
112、单项选择题
根据所提供的图像,最可能的诊断是()
A.胰腺癌
B.肝细胞瘤
C.胆管癌
D.胆囊癌
E.以上都不是
113、单项选择题
男,58岁,头痛、恶心、行走不稳,肺和脑CT检查如图,最可能的诊断为()
A.星形细胞瘤
B.脑脓肿
C.肺癌脑转移
D.脑膜瘤
E.脑梗死
114、单项选择题
女,55岁,结合所示图像,最可能的诊断是()
A.卵巢癌种植转移
B.间皮瘤
C.良性肿瘤
D.石棉沉积症
E.以上都不是
115、单项选择题 诊断眼眶爆裂骨折,最好的检查方法()
A.X线平片
B.CT冠状扫描
C.CT横断扫描
D.MRI
E.矢状面重建
116、多项选择题 慢性腮腺炎的影像表现有哪些()
A.有脓液时,CT检查偶可见气体征象
B.平片偶可发现涎石
C.腮腺X线造影可见主导管扩张及不规则或增粗不均
D.腮腺X线造影可见“手握球”征
E.腮腺X线造影对比剂可至腮腺外
117、单项选择题 女,50岁,右小腿中部外伤肿胀4天。CT平扫示右胫骨中段后侧一4cm×5cm肿块,边界清楚,CT值70HU,最可能的诊断是()
A.骨膜下血肿
B.脂肪肉瘤
C.软组织纤维瘤
D.骨旁肉瘤
E.神经纤维瘤
118、单项选择题 中央型肺癌病理分型按发病率由多到少排列,正确的是()
A.鳞癌,大细胞癌,小细胞癌
B.鳞癌,小细胞癌,大细胞癌
C.小细胞癌,鳞癌,大细胞癌
D.大细胞癌,小细胞癌,鳞癌
E.小细胞癌,大细胞癌,鳞癌
119、单项选择题
如图所示,门静脉内气体的原因是()
A.憩室炎
B.最近的活检
C.静脉内进入
D.良性气肿
E.以上都不是
120、单项选择题
男,54岁,有乙肝病史,现腹胀,右上腹痛,消化不良,消瘦、乏力、贫血、黄疸,血清转氨酶升高,白蛋白/球蛋白比值倒置,CT、MRI检查如图,最可能的诊断是()
A.肝脓肿
B.局灶性结节增生
C.原发性肝癌
D.肝转移癌
E.肝炎性假瘤
121、单项选择题 心脏搏动引起的影像模糊属于()
A.设备移动
B.生理移动
C.意外移动
D.胶片移动
E.X线管移动
122、单项选择题
患者40岁,女性,肝区偶然发现一个团块,结合图像,最可能的诊断是()
A.阿米巴肝脓肿
B.肝包虫囊
C.肝癌
D.皮样囊肿
E.肝囊肿
123、单项选择题
男,56岁,肺癌术后2年余,左髋部疼痛,夜间加重,结合图像,最可能的诊断是()
A.骨肉瘤
B.骨转移
C.多发性骨髓瘤
D.骨软骨瘤
E.软骨肉瘤
124、多项选择题 属于喉炎性肉芽肿的是()
A.韦格肉芽肿
B.梅毒性肉芽肿
C.外伤后肉芽肿
D.组织胞浆菌病
E.结核性肉芽肿
125、单项选择题 属于CT数字采集系统的部件是()
A.计算机
B.显示器
C.探测器
D.磁盘机
E.阵列处理机
126、多项选择题 心包上隐窝的CT表现包括()
A.紧贴主动脉后方
B.位于气管前间隙内
C.位于右肺动脉上方
D.呈水样密度
E.CT增强扫描无明显强化
127、单项选择题
根据所提供的图像,最可能的诊断是()
A.胆囊癌
B.气肿性胆囊炎
C.胆囊结石
D.慢性胆囊炎
E.以上都不是
128、单项选择题 骨样骨瘤瘤巢直径一般不超过()
A.0.5cm
B.1.0cm
C.1.5cm
D.2.0cm
E.2.5cm
129、单项选择题
男,74岁,外伤1小时,意识模糊,平扫CT检查如图,最可能的诊断为()

A.硬膜外血肿
B.硬膜下血肿
C.蛛网膜下腔出血
D.脑内血肿
E.脑梗死
130、单项选择题
男,50岁,中上腹饱胀、疼痛半年,消瘦,结合图像,最可能的诊断是()
A.淋巴瘤
B.胃腺瘤
C.胃癌
D.胃窦溃疡梗阻
E.胃平滑肌瘤
131、单项选择题 青少年患者,踝痛,最可能的诊断是()
A.跟距骨桥
B.脓肿
C.缺血坏死
D.骨结核
E.以上都不是
132、多项选择题 有关葡萄膜黑色素瘤的描述,正确的有()
A.好发于后1/3脉络膜
B.多为单侧发生
C.可引起视网膜剥离
D.成人多见
E.B型预后好,A型预后差
133、单项选择题 下列哪一病变最需行CT增强扫描来诊断()
A.球外眶内异物
B.眼部外伤
C.眶内肿瘤
D.球结膜炎
E.视网膜剥离
134、单项选择题 结节性硬化的钙化特征是()
A.侧脑室周围,室管膜结节状钙化
B.脑内宽大全层脑回状,齿状或曲线状钙化
C.毛线团样或簇状钙化
D.局限性斑块状钙化
E.基底节区斑片状钙化
135、单项选择题 腹内实质性脏器病变,宜先选用的检查是()
A.透视
B.摄片
C.B超
D.CT
E.脑血管造影
136、单项选择题 胆脂瘤患者首选检查方法()
A.平片
B.MRI
C.高分辨横断面CT
D.高分辨冠状面CT
E.CT
137、单项选择题 男,12岁,CT示松果体区肿瘤,其内有点状钙化,增强扫描肿瘤和侧脑室室管膜强化,最可能的诊断为()
A.松果体瘤
B.生殖细胞瘤
C.畸胎瘤
D.转移瘤
E.室管膜瘤
138、单项选择题
男,58岁,上腹部剑突下胀痛3个月余,近期症状加重,伴消瘦、乏力及柏油样便,无黄疸。体检发现左锁骨上两个肿大淋巴结,无压痛,可移动。肝脾肋下未触及。上腹部CT图像如下


A.发现癌肿胃壁外侵犯
B.观察胃壁增厚的程度
C.显示肝转移和肿大淋巴结
D.常用于明确胃癌的诊断
E.术后复查确定复发征象
139、单项选择题 易出现脓胸或脓气胸的肺炎是()
A.大叶性肺炎
B.支原体肺炎
C.支气管肺炎
D.金黄色葡萄球菌肺炎
E.腺病毒性肺炎
140、单项选择题 通常认为内耳道宽度小于多少为狭窄()
A.5mm
B.3mm
C.8mm
D.1mm
E.10mm
141、单项选择题 侵袭性垂体腺瘤的表现为()
A.起源于垂体后叶
B.多显示平直的鞍膈
C.可以经海绵窦上侵及鞍旁
D.不会经海绵窦下侵及鞍旁
E.推移包绕颈外动脉
142、单项选择题
男,48岁,呼吸困难、胸痛,结合CT图像,最可能的诊断是()

A.支气管胸膜瘘
B.肺结核
C.吸入性肺炎
D.肺囊虫病
E.肺脓肿
143、单项选择题 肾细胞癌的病理改变,哪项是错误的()
A.肾细胞癌起源于肾小管上皮,有包膜
B.肿瘤常发生出血
C.可出现坏死、囊变
D.肿瘤可有钙化、纤维化
E.易于发生转移
144、单项选择题 下面对垂体微腺瘤的CT放大动态扫描的特点的叙述错误的是()
A.垂体微腺瘤放大动态扫描能清楚地观察微腺瘤及其与周围组织结构的关系
B.在增强扫描的早期阶段,在增强的垂体组织内微腺瘤呈局限性低密度影,边界多数清楚
C.在晚期阶段,微腺瘤皆为高密度病灶
D.在晚期阶段,微腺瘤可呈等密度或高密度病灶
E.动态扫描可观察微腺瘤血供的全过程
145、单项选择题 与鼻咽部前后处于同一平面的结构是()
A.额窦
B.筛窦
C.蝶窦
D.上颌窦
E.上门齿
146、单项选择题 关于肾解剖,错误的是()
A.肾实质分为皮质与髓质
B.肾实质外有肾包膜、脂肪、Gerota筋膜
C.肾前间隙有胰腺、十二指肠以及升、降结肠
D.后肾间隙有脂肪
E.肾位于腹膜腔内
147、单项选择题
女,34岁,左耳鸣,听力下降两个月,PE:左外耳道有脓性分泌物,鼓膜充血水肿,左中耳腔内软组织影,CT检查如图,最可能的诊断是()


A.乳突癌
B.中耳癌
C.胆脂瘤
D.肉芽肿形成
E.中耳结核
148、单项选择题
男,23岁,左膝部运动后疼痛,结合影像学检查,最可能的诊断是()
A.骨巨细胞瘤
B.动脉瘤样骨囊肿
C.骨纤维异常增殖症
D.骨囊肿并骨折
E.骨脓肿
149、多项选择题 关于心包肿瘤,下列哪些是正确的()
A.原发性心包肿瘤极为少见
B.转移性心包肿瘤远多于原发性肿瘤,以淋巴瘤、乳腺癌和肺癌的转移最常见
C.无论是原发性还是转移性肿瘤最主要临床并发症为心包积液和心包埂塞
D.CT增强扫描有利于观察心包肿瘤的大小和范围
E.CT增强检查不能区分是大量渗出所致的心包填塞还是肿瘤直接侵犯心包合并腔静脉阻塞
150、单项选择题 常规头颅CT扫描基线取()
A.听眉线25°
B.听眶线25°
C.听眉线20°
D.听眶线20°
E.听眶线10°
151、单项选择题 急性硬膜下血肿指损伤后几天内()
A.2天
B.2周
C.2小时
D.>2周
E.3天
152、单项选择题 肺癌术后1年,头痛、呕吐、言语不灵,左上肢乏力7天。头颅CT检查应用()
A.平扫加增强扫描
B.平扫
C.动态扫描
D.冠状位平扫
E.脑池造影、CT扫描
153、单项选择题
患者白血病,病史长,结合图像,最可能的诊断为()
A.脓肿
B.淋巴瘤
C.胃肠道间质瘤
D.神经纤维瘤
E.以上都不是
154、单项选择题 与CT噪声无关的因素是()
A.X线剂量
B.扫描层厚
C.重建算法
D.探测器的灵敏度
E.FOV
155、多项选择题 蛛网膜下腔出血时,可出现由并发症所致的间接征象,包括()
A.动脉瘤
B.脑积水
C.AVM
D.脑内血肿
E.脑血管痉挛
156、单项选择题 关于对比剂增强的“四腔心”层面,下列哪项描述是错误的()
A.可见左心室
B.可见右心室
C.可见左心房
D.可见右心房
E.可见升主动脉
157、单项选择题
患者16岁,女性,最可能的诊断是()
A.胰腺腺癌
B.Hamoudi瘤
C.假性囊肿
D.胰腺胚细胞瘤
E.以上都不是
158、单项选择题 腹部CT扫描技术不包括()
A.常规为患者仰卧,头先进
B.定位像为正位定位像
C.肝脏和脾脏以膈顶为扫描基线
D.腹膜后腔以肾门为扫描基线
E.肾和肾上腺以肾上极为扫描基线
159、单项选择题
男,60岁,咽喉部肿痛半年,CT检查如图,下述说法错误的是()
A.右下咽部见不规肿块影
B.肿块内部密度不匀
C.肿块不均匀强化,右颈部见肿大的淋巴结
D.考虑为淋巴瘤
E.考虑为下咽癌
160、单项选择题 国际上CT的英文全称统一采用的名称是()
A.ComputerAidedTomography
B.ComputerTrans-AxialTomography
C.ComputerizedTomography
D.ComputerTomography
E.ComputerizedTransverseTomography
161、单项选择题
男,36岁,踝关节肿胀,肢体麻木,有糖尿病史,结合图像,最可能的诊断是()
A.痛风
B.退行性骨关节变
C.类风湿关节炎
D.创伤性关节病
E.神经性关节病
162、单项选择题 脑内肿瘤瘤周水肿属()
A.间质性水肿
B.血管源性水肿
C.细胞毒性水肿
D.梗阻性水肿
E.渗出性水肿
163、单项选择题
男,54岁,外伤后十余天,左季肋区疼痛、肿胀。CT检查如图,最可能的诊断是()
A.脾破裂实质内血肿
B.脾包膜下血肿
C.脾挫裂伤
D.脾梗死
E.脾扭转
164、单项选择题 下列哪种脊椎结核最易引起椎旁寒性脓肿()
A.椎体中心型
B.边缘型
C.韧带下型
D.附件型
E.以上均可引起
165、多项选择题 颅内结核瘤在CT扫描时有以下几种特点()
A.单发或多发结节
B.病灶钙化
C.环状强化的病灶
D.病灶周围有明显水肿
E.靶征
166、单项选择题 脑转移瘤好发于()
A.脑髓质
B.小脑皮层
C.脑皮层
D.大脑皮层
E.大脑皮层、皮层下区及皮髓质交界区
167、单项选择题 室管膜瘤的影像特点,下列哪项是错误()
A.常有脑积水表现
B.幕上者,侧脑室多见
C.幕下者,四脑室居多
D.平扫,多为混杂密度
E.增强扫描,多呈均匀强化
168、单项选择题
男,26岁,左髋部疼痛,局部肿胀,无发热,结合图像,最可能的诊断是()
A.动脉瘤样骨囊肿
B.骨巨细胞瘤
C.尤文肉瘤
D.骨肉瘤
E.骨囊肿
169、多项选择题 应与鼻咽癌鉴别的疾病有()
A.脊索瘤
B.鼻咽部淋巴组织增生
C.鼻咽纤维血管瘤
D.蝶窦恶性肿瘤
E.鼻咽部结核
170、多项选择题
男,65岁,近半年时常突发性头晕,CT三维重建如图,正确的描述或结论是()
A.颈内动脉起始段有一长约3.0cm的狭窄段
B.狭窄段可见低密度不强化血栓影
C.狭窄段管壁见点状致密钙化影
D.拟为颈内动脉粥样硬化性狭窄
E.拟为颈外动脉粥样硬化性狭窄
171、单项选择题 肾血管疾病不包括()
A.肾动脉硬化
B.肾静脉栓塞
C.肾静脉硬化
D.肾动脉梗死
E.肾梗死
172、多项选择题 鳃裂囊肿的CT征象为()
A.边界清楚、圆形或卵圆形低密度囊性肿块
B.平扫时囊壁显示欠清,增强后囊壁轻度强化
C.CT值在0~20HU,囊壁薄
D.继发感染时囊壁增厚,囊液密度增高
E.有时可见囊肿位于颈内和颈外动脉之间
173、单项选择题 精索内的结构不包括()
A.输精管
B.神经
C.睾丸动脉
D.射精管
E.淋巴管
174、单项选择题 以下哪项技术,不能提高CT图像清晰度()
A.薄层扫描
B.加大毫安
C.以待检组织CT值作为窗中心
D.螺旋扫描
E.训练呼吸,减少运动伪影
175、单项选择题 栅栏样改变是椎体血管瘤的特征性表现,在CT横断位上表现为()
A.大小不等的分隔状
B.肿瘤穿破导致骨小梁的中断
C.边缘清楚、骨质硬化伴点状钙化
D.椎体的溶骨性破坏,伴密度不均
E.椎体骨小梁稀疏,呈增粗的小圆点状
176、单项选择题 要求必须闭眼扫描的是()
A.视神经孔扫描
B.观察眶壁骨折
C.观察球内细小异物
D.眶部毛细血管瘤
E.眶内球外肿瘤
177、单项选择题 骨肉瘤的CT影像特点中,哪项错误()
A.松质骨的斑片状缺损和骨皮质内表面的侵蚀
B.骨皮质全层的虫蚀状、斑片状缺损甚至大片的缺损
C.骨质增生表现为松质骨内不规则斑片状高密度影和骨皮质增厚
D.瘤骨分布在骨破坏区和软组织肿块内,密度与平片所见相似
E.软组织肿块常偏于病骨一侧或围绕病骨生长,其边缘大多模糊
178、单项选择题
女,19岁,左膝部疼痛,局部肿胀3月余,夜间疼痛加重,结合影像学检查,最可能的诊断是()
A.骨结核
B.骨巨细胞瘤
C.骨肉瘤
D.化脓性骨髓炎
E.骨转移瘤
179、单项选择题 下列脑包虫病CT征象描述,错误的是()
A.脑内边界清楚锐利的类圆形巨大囊内病灶
B.脑包虫的密度与脑脊液相似或略高
C.无水肿,有明显占位效应
D.囊壁钙化呈完整或不完全的环状高密度带
E.阻塞脑脊液循环路径时,可见脑室扩大
180、单项选择题 鼻咽癌的好发部位为()
A.咽鼓管圆枕
B.鼻咽顶壁
C.梨骨后缘
D.咽隐窝
E.以上都不是
181、单项选择题
男,52岁,右上腹壁出现5cm×6cm、质硬、无活动、无痛性肿块,CT检查如图,最可能的诊断是()
A.神经纤维瘤
B.上皮样肉瘤
C.骨肉瘤
D.脂肪肉瘤
E.转移癌
182、多项选择题 冠状面CT检查颞骨,主要包括的层面()
A.面神经乳突段层面
B.外半规管层面
C.前庭窗层面
D.骨岬层面
E.后半规管层面
183、单项选择题
男,59岁,咳嗽,咳痰,痰中带血2月余,CT检查如图,最可能的诊断是()
A.肺结核
B.中央型肺癌
C.矽肺
D.肺炎
E.肺错构瘤
184、单项选择题 CT重点观察肾脏疾病,图像的窗宽、窗位是()
A.W250~350;L35~50
B.W150~250;L30~40
C.W350~500;L35~50
D.W800~1000;L300~400
E.W1300~1500;L350~500
185、单项选择题 侵袭性曲菌病感染早期,CT扫描在肺部结节周边可见较低密度区域环绕,称作“晕轮征”,其病理基础为()
A.肺不张
B.肺出血
C.肺水肿
D.肺气肿
E.阻塞性肺炎
186、多项选择题 下列哪些病变可出现“肾髓质钙化”()
A.原发性甲状旁腺功能亢进
B.急性肾皮质坏死
C.先天性肾小管性酸中毒
D.痛风性肾病
E.髓质海绵肾
187、单项选择题 中年男性,腰痛、尿频、尿急,CT示右肾上极5cm大小略低密度占位,边缘模糊,环形强化,邻近肾周有积液,应首先考虑()
A.右肾上极腺癌
B.右肾上极肾母细胞瘤
C.右肾上极错构瘤
D.右肾上极脓肿
E.右肾上极肾结核
188、单项选择题 泌尿系肿瘤最主要的临床特点是()
A.无痛性全程血尿
B.尿频和尿痛
C.排尿困难
D.腹部肿块
E.尿失禁
189、单项选择题 根据CT工作原理,以下选择哪项是错误的()
A.探测器接收的信号须放大并经过模/数转换
B.模/数转换后的数据为显示数据
C.AP(阵列处理机)处理后的数据为显示数据
D.计算机控制扫描、数据采集、图像重建、显示和存储各个环节
E.图像存储包括摄片、磁带及光盘存储
190、单项选择题 腔隙性脑梗死最常发生下列哪个部位()
A.枕叶
B.基底节区
C.脑干
D.顶叶
E.小脑半球
191、单项选择题
对肺的描述如图,正确的是()
A.右肺分2叶
B.左肺分3叶
C.右肺窄长,左肺宽短
D.肺呈圆锥形
E.肺底突向下
192、单项选择题 男,20岁,癫痫发作4次。CT示脑实质多发高密度点状影和片状不规则低密度灶,部分低密度区呈0.5~1.0cm环形增强,最可能的诊断为()
A.多发性硬化
B.结节性硬化
C.脑囊虫病
D.脑脓肿
E.病毒性脑炎
193、多项选择题 下列关于视神经的描述,正确的是()
A.是真正的神经
B.有鞘膜
C.鞘膜内无Schwann细胞
D.其外包裹硬脑膜
E.视神经外包裹着软脑膜
194、单项选择题
男,45岁,胸痛,咳嗽,咳痰半月余,发热,有副鼻窦炎病史,CT检查如图,最可能的诊断是()
A.结节病
B.周围型肺癌
C.韦格肉芽肿
D.肺转移瘤
E.结核球
195、单项选择题 结核最常侵犯纵隔的()
A.气管右旁(奇静脉组)淋巴结
B.气管左旁淋巴结
C.气管隆突前淋巴结
D.食管旁组淋巴结
E.肺门淋巴结
196、多项选择题 Alzheimer病应与哪些疾病作鉴别()
A.正常老年性变化
B.Pick病
C.多发梗死性痴呆
D.橄榄脑桥小脑萎缩
E.亚急性动脉硬化脑病
197、单项选择题
男,24岁。述发热,多汗,伴腹部不适2周。红细胞沉降率加快。腹主动脉MSCTA检查如下图,可考虑诊断为()
A.腹主动脉粥样硬化
B.腹主动脉血栓
C.腹主动脉大动脉炎
D.腹主动脉损伤
E.以上都不对
198、多项选择题 膀胱癌的CT表现有哪些()
A.膀胱壁突入腔内的软组织密度肿块
B.肿块大小不等,呈结节、分叶或菜花状
C.肿块密度常均匀,少数可见点状钙化
D.部分膀胱癌无明确肿块
E.增强延迟扫描表现为充盈缺损
199、单项选择题 下述一侧肺不发育的CT表现,哪项是错误的()
A.患侧胸腔内无含气肺组织及支气管影像
B.心脏纵隔移向患侧
C.健侧肺代偿性气肿向患侧膨凸
D.纵隔前联合线明显向患侧移位
E.增强检查见患侧肺动脉细小
200、单项选择题 甲状腺CT扫描时,对于病人呼吸状态的要求应是()
A.不要屏气
B.吸气后屏气
C.呼气后屏气
D.平静呼吸状态下屏气
E.以上状态均可
201、单项选择题
男,67岁,呼吸困难半月余,结合影像学检查,最可能的诊断是()
A.胸骨后甲状腺肿
B.淋巴瘤
C.间皮囊肿
D.纵隔畸胎瘤
E.胸腺瘤
202、单项选择题 有关CT成像过程的论述,错误的是()
A.DAS为数据收集系统
B.图像处理机与控制计算机并行工作
C.计算机可进行重建图像的运算
D.原始数据存储到硬盘
E.探测器输出的是数字信号
203、单项选择题 有关喉癌描述,不正确的是()
A.声门上型喉癌,最早的症状为咽部不适
B.声门型喉癌多伴淋巴结转移
C.声门下型喉癌,一般无症状
D.声门型喉癌,症状为声嘶
E.喉镜是声门型喉癌的主要检查方法
204、单项选择题 双侧大脑半球最大的连接结构是()
A.大脑镰
B.透明隔
C.脑干
D.胼胝体
E.内囊
205、单项选择题 肾上腺转移癌最常来自()
A.肝癌
B.胃癌
C.结肠癌
D.肺癌
E.乳腺癌
206、单项选择题
根据所提供的图像,患者右下象限病灶的最可能的诊断为()
A.阑尾炎
B.阑尾脓肿
C.盲肠癌
D.盲肠癌并阑尾梗阻
E.以上都不是
207、单项选择题 支气管肺隔离症的供血来自()
A.降主动脉
B.肋间动脉
C.肺动脉
D.支气管动脉
E.膈动脉
208、单项选择题
根据所提供图像,最可能的诊断是()
A.骨化性肌炎
B.骨髓炎
C.皮肌炎
D.硬皮病
E.以上都不是
209、单项选择题
女,57岁,咳嗽,胸闷,胸痛2月余,5年前被确诊为子宫绒毛膜癌,结合影像学检查,最可能的诊断是()
A.肺癌
B.肺结核
C.肺转移瘤
D.结节病
E.矽肺
210、单项选择题 CT造影增强应用最广的静脉注射法是()
A.团注法
B.单次大量快速注射法
C.滴注-大量快注法
D.大量快注-滴注法
E.多次大剂量急速注射法
211、多项选择题 下列关于胸腺瘤的观点,不正确的是()
A.儿童发病率比成人高
B.纵膈肿瘤发病率首位
C.CT片上点状、曲线状钙化是恶性胸腺瘤特征
D.可导致Cushing综合征
E.伴重症肌无力者多为恶性胸腺瘤
212、多项选择题 慢性胆囊炎的CT表现为()
A.容易穿孔并在肝内形成脓肿
B.胆囊缩小
C.胆囊增大
D.均合并结石
E.胆囊壁增厚可钙化
213、单项选择题 Modic将椎间盘脱出分为四型,不包含下列哪项()
A.挤出(extrudeD.
B.突出(protrusion)
C.椎体滑脱
D.髓核游离
E.膨出
214、单项选择题 关于多发性硬化的描述错误的是()
A.多见于年轻女性
B.多见于年轻男性
C.症状多变
D.病灶多位于脑白质
E.无明显占位征象
215、单项选择题
男,5岁,左踝部肿痛2周,CT平扫MPR图像如下,最可能的诊断是()
A.Brodie脓肿
B.骨结核
C.骨肉瘤
D.尤文肉瘤
E.骨巨细胞瘤
216、单项选择题
男,16岁,头痛、呕吐10天,CT检查,最可能的诊断为()

A.脑膜瘤
B.髓母细胞瘤
C.室管膜瘤
D.脑血管瘤
E.血管母细胞瘤
217、单项选择题
1986年Bosniak根据CT征象提出肾囊性病变四级分类法,下列图像中的肾囊肿属于哪一类()
A.BosniakⅠ类
B.BosniakⅡ类
C.BosniakⅢ类
D.BosniakⅣ类
E.以上都错误
218、单项选择题 下列哪一项不是肾上腺腺瘤的影像学表现()
A.肿瘤呈类圆形或椭圆形实性肿块
B.病变边缘光滑清晰与肾上腺相连
C.常可见条状或斑片状钙化
D.常因含有脂类,梯度回波同反相位检查反相位上信号明显降低
E.增强扫描呈轻度强化
219、多项选择题 下列哪几项与鉴别结石、胰头癌及胆管癌引起的梗阻性黄疸有密切关系()
A.胆管及胰管扩张程度
B.胆管及胰管扩张平面
C.胆管形态及管壁厚度
D.肝脏大小及密度
E.有无结石和软组织肿块
220、单项选择题 关于CT机的工作原理描述,错误的是()
A.利用窄束X线穿透被检部位
B.透过被检体的X线被探测器接收直接成像
C.X线穿透被检部位时,其强度呈负指数关系衰减
D.计算机将模拟信号变成数字信号,再重建图像
E.A/D转换是将模拟信号转换成数字信号
221、单项选择题
女,26岁,全身不适,发热,咳嗽,咯血,有吸毒史,结合CT图像,最可能的诊断是()
A.卡波济肉瘤
B.肺癌
C.肺转移癌
D.肺结节病
E.肺结核
222、单项选择题 对探测器的性能要求,错误的是()
A.线性好
B.动态范围大
C.工作性能稳定
D.荧光脉冲时间长便于测量
E.X线吸收转换能力强
223、单项选择题 关于多形性胶质母细胞瘤的CT表现,下列哪项是错误的()
A.可见高密度出血灶
B.常见囊变,坏死的低密度区
C.瘤旁水肿明显
D.常见钙化的高密度影
E.不规则花环样增强
224、单项选择题 有关椎间盘变性的叙述,错误的是()
A.多发生于中老年人
B.髓核含气量增加
C.椎间盘以低信号为主
D.椎间盘内信号可不均匀
E.可伴有椎间盘突出
225、单项选择题
男,55岁,左下腹胀痛、并可触及包块,结合图像,最可能的诊断为()
A.结肠Crohn病
B.结肠癌
C.结肠腺瘤
D.肠结核
E.慢性溃疡性结肠炎
226、单项选择题 男,50岁,因乙肝后肝硬化行原位肝移植术后1个月,抗病毒、保肝及抗排斥治疗。肝功能恢复正常后出院。出院后1周突发黄疸、发热再次住院,检查发现T管引流液内可见絮状物 首先应考虑的诊断为()
A.超急性排斥反应
B.急性排斥反应
C.慢性排斥反应
D.乙肝复发
E.移植肝功能恢复不良
227、单项选择题 男,16岁,视力下降4个月,双目失明10天,无癫痫发作史,双面部皮脂腺瘤,背部鲨角斑(多发)双侧视乳头边缘模糊呈灰色,视网膜鼻侧有散在片状出血,CT平扫双侧侧脑室外侧壁显示多发高密度钙化小结节影,增强后结节影数目增多,最可能的诊断为()
A.脑转移瘤
B.结节性硬化
C.多发性硬化
D.脑囊虫病
E.脑脓肿
228、单项选择题 女,63岁,突然出现剧烈头痛6小时,伴呕吐无发热,无高血压病史,右侧瞳孔对光反射消失,上眼睑下垂,眼球向上、下及内侧运动受限,颈项强直,克氏征阳性。CT示右大脑外侧裂,枕大池呈高密度影。 为进一步治疗及预防,最有意义的检查是()
A.脑电图
B.颅脑X线平片
C.腰穿
D.头颅增强CT扫描
E.全脑血管造影
229、单项选择题 颌面部CT扫描技术不包括()
A.患者仰卧,头部正中矢状面与床面中线垂直
B.定位像为头部侧位定位像
C.腮腺,以听眉线为扫描基线
D.鼻咽部,从蝶鞍床突上扫描至硬腭上缘
E.腮腺,扫描层厚2~3mm,层间距2~3mm
230、单项选择题 脑内占位病变的CT定位表现为()
A.D字征
B.O字征
C.脑池扩大
D.脑白质挤压征
E.中线结构移位
231、单项选择题 骨关节结核的主要感染来源是()
A.经消化道传染
B.经呼吸道传染
C.继发于肠结核
D.继发于肺结核
E.经皮肤直接侵入
232、单项选择题
女,51岁,上腹部隐痛不适,CT检查如图,最可能的诊断是()
A.胃癌
B.胃息肉
C.胃腺瘤
D.胃溃疡
E.胃间质瘤
233、多项选择题 从生物力学角度脊柱分为前、中、后三柱,正确的表述为()
A.前柱包括前纵韧带、椎体及纤维环和椎间盘的前2/3
B.中柱包括椎体及纤维环和椎间盘的后1/3、后纵韧带
C.后柱为脊椎骨附件
D.后柱骨性结构包括椎弓根、椎板关节突和棘突
E.后柱软组织为椎间关节的关节囊、黄韧带、棘间和棘上韧带
234、单项选择题
女,52岁,咽喉部疼痛半个月,伴低热,CT如图所示,最可能的诊断是()
A.咽旁脓肿
B.咽部神经鞘瘤
C.鼻咽纤维血管瘤
D.咽旁淋巴瘤
E.咽旁转移瘤
235、单项选择题
男,30岁,感右下颌部有一肿物,逐渐肿大,胀痛,局部麻木1月余,结合图像,最可能的诊断是()
A.神经纤维瘤
B.神经鞘瘤
C.血管瘤
D.下颌骨肉瘤
E.软骨瘤
236、单项选择题 下述“子宫输卵管内膜结核”造影表现,错误的是()
A.子宫腔边缘不规则
B.子宫腔变形、变窄
C.输卵管棒状钙化
D.子宫肌壁间对比剂返流
E.输卵管边缘不规则、僵硬,呈“锈铁丝状”
237、单项选择题 以下哪项不是骨巨细胞瘤的CT征象()
A.肿瘤呈膨胀性表现
B.骨质有中断现象
C.肿瘤内可见钙化
D.肿瘤中心可见坏死、液化
E.肿瘤边缘可见骨嵴
238、单项选择题 下列CT表现中,不支持颅内表皮样囊肿诊断的是()
A.病变位于桥-小脑角,相邻岩骨有侵蚀吸收
B.病变外形不规则,沿脑池“塑形”生长
C.病变呈明显环形强化,内部可见分隔
D.相邻脑白质水肿改变不明显
E.CT平扫,病变内呈水样不均密度
239、单项选择题
男,50岁,患乙肝多年,现腹胀,右上腹痛,消化不良,消瘦、乏力、贫血、黄疸,血清转氨酶升高,白蛋白/球蛋白比值倒置。CT检查如下图,最可能的诊断是()
A.肝硬化、肝癌
B.肝硬化、腹膜后淋巴结肿大
C.肝硬化、肝癌、腹膜后淋巴结肿大
D.肝硬化、门脉高压、脾大
E.肝硬化、脾大
240、多项选择题 下述哪些属原发腹膜后恶性肿瘤()
A.横纹肌肉瘤
B.纤维组织细胞肉瘤
C.平滑肌肉瘤
D.恶性畸胎瘤
E.神经纤维瘤
241、单项选择题 关于CT检查防护的解释,错误的是()
A.CT检查比较安全不等于没有损伤
B.生物效应是造成X线对人体损伤的根本
C.随机和非随机效应均属辐射生物效应
D.随机效应存在着剂量的阈值
E.重点防止非随机效应,限制随机效应
242、单项选择题
结合所示图像,最可能的诊断是()
A.移行上皮细胞癌
B.肾细胞癌
C.淋巴瘤
D.转移
E.以上都不是
243、单项选择题
主动脉后的团块是()
A.腺瘤
B.神经纤维瘤
C.主动脉瘤
D.扩大的奇静脉
E.以上都不是
244、单项选择题 关于肝脏病变的描述,错误的是()
A.肝硬化为肝实质内结缔组织广泛增生,假小叶形成
B.脂肪肝是由于肝细胞内大量脂肪沉积所致
C.肝脓肿常包括细菌性和阿米巴性两种
D.细菌性肝脓肿液化坏死后脓液呈巧克力色,有臭味
E.阿米巴性肝脓肿实验室检查,粪便中可查到阿米巴滋养体
245、单项选择题
女,58岁。左腰部不适、血尿2月余。CT增强扫描如下图。最可能的诊断是()
A.肾癌
B.肾盂癌
C.肾错构瘤
D.肾囊肿
E.肾脓肿
246、单项选择题 在脑梗死与脑水肿的鉴别中,哪种CT表现更倾向于脑水肿()
A.灰、白质都累及
B.主要发生在顶叶
C.棕榈叶形态
D.主要累及灰质
E.脑回样强化
247、单项选择题
女,67岁,乳癌术后1年,胸部CT如图,首先应考虑()
A.石棉肺
B.金葡菌肺炎
C.粟粒性肺结核
D.淋巴瘤
E.肺转移瘤
248、多项选择题 扩张型心肌病应与下列哪些疾病鉴别()
A.心肌梗死
B.心包积液
C.风湿性心脏病
D.三尖瓣下移
E.以上都不对
249、多项选择题 下列鞍区肿瘤平扫实性密度影为()
A.垂体瘤
B.颅咽管瘤
C.动脉瘤
D.脑膜瘤
E.表皮样囊肿
250、单项选择题 空气的CT值()
A.0~20HU
B.30~60HU
C.-60~-90HU
D.1000HU
E.-1000HU
251、单项选择题 CT准直器位于X线管前端的X线出口处,其宽度决定()
A.扫描的范围
B.相邻两个扫描层面的距离
C.扫描层面的厚度
D.X线管焦点距离
E.以上都不是
252、单项选择题 “单侧后颅窝扩大”可见于哪种疾病()
A.颞角脑积水
B.神经纤维瘤病
C.室管膜瘤
D.Dandy-Walker综合征
E.硬膜下水瘤
253、单项选择题
男,25岁,额部无痛性隆起2月余,结合图像,最可能的诊断是()
A.骨样骨瘤
B.骨瘤
C.骨软骨瘤
D.骨岛
E.骨旁骨肉瘤
254、单项选择题
男性,70岁。行腹部CT增强扫描,发现腹主动脉异常如下图。

A.主动脉血栓形成
B.主动脉硬化
C.主动脉瘤并附壁血栓
D.主动脉夹层动脉瘤
E.主动脉破裂
255、单项选择题 关于结肠癌的描述不确切的是()
A.溃疡型多见
B.腺癌为主
C.升结肠易形成腔内肿块
D.降结肠癌多为浸润型
E.早期结肠癌可呈菜花状
256、单项选择题 男,65岁,腰背痛3个月,尿本—周蛋白质阳性,CT示腰椎多个椎体有大小不等的圆形或不规则低度病灶,首先考虑()
A.转移瘤
B.血管瘤
C.多发性骨髓瘤
D.淋巴瘤
E.骨质疏松
257、单项选择题
女,15岁,间歇性足跟痛,结合图像,最可能的诊断是()
A.骨囊肿
B.骨巨细胞瘤
C.骨髓瘤
D.骨纤维异常增殖症
E.动脉瘤样骨囊肿
258、单项选择题 女,46岁。两眼不能完全睁开,全身无力,前纵隔内发现肿块,最可能的是()
A.胸腺瘤
B.畸胎瘤
C.胸内甲状腺肿
D.心包囊肿
E.气管囊肿
259、单项选择题 脑萎缩的影像,下列描述哪项是错误的()
A.脑沟增宽
B.脑室扩大
C.侧脑室周围低密度水肿带
D.脑回变窄
E.健侧脑组织向患侧移位
260、单项选择题
男,13岁,右髋部疼痛不适,无红肿,结合所提供的图像,最可能的诊断是()
A.非骨化性纤维瘤
B.骨巨细胞瘤
C.畸形性骨炎
D.内生软骨瘤
E.骨纤维结构不良
261、单项选择题 对于CT诊断颈椎创伤,错误的是()
A.发现横突骨折,即可诊断椎动脉损伤
B.对于环椎骨折,CT在显示骨折片和移位方面优于X线平片
C.对环枢椎脱位不但应注意前脱位,还应注意旋转脱位
D.CT在显示骨折的同时,可显示硬膜囊受压的情况
E.了解齿状突与前结节的关系,有助于判断脊髓损伤程度
262、单项选择题 半月裂()
A.位于钩突之上,筛泡之下
B.位于钩突之下,筛泡之上
C.位于钩突之前,筛泡之后
D.位于钩突之后,筛泡之前
E.为后组筛窦之引流通道
263、单项选择题 下列对肝豆状核变性的描述,哪项不对()
A.是一种遗传性疾病
B.肝脏表现为结节性肝硬化
C.表现以基底节为主的脑内多发低密度变性
D.与铁代谢异常有关
E.与乙型肝炎表面抗原无关
264、单项选择题 “硬膜外血肿”典型形态为()
A.梭形
B.新月形
C.不规则形
D.圆形
E.球形
265、单项选择题
男,64岁,间断性流鼻血1年余,近1个月加重,CT如图所示,最可能的诊断是()

A.鼻咽部腺样体增生
B.鼻咽纤维血管瘤
C.鼻咽部恶性淋巴瘤
D.鼻咽部淋巴组织增生
E.鼻咽癌
266、单项选择题 关于“神经纤维瘤病”最常见、最特征的脑肿瘤为()
A.视神经胶质瘤
B.双侧听神经瘤
C.多发脑膜瘤
D.三叉神经瘤
E.室管膜瘤
267、单项选择题 关于肝胆管细胞囊腺癌描述,错误的是()
A.是胆管细胞癌的特殊类型即有分泌黏液的功能
B.无钙化
C.病灶较大
D.囊壁厚薄不均或见乳头状软组织影凸向囊内
E.增强后周围肿瘤实质和纤维间质有增强
268、多项选择题 急腹症患者CT检查异常表现有()
A.异常密度改变
B.对比增强扫描改变
C.腹腔脏器大小改变
D.脏器形态、轮廓改变
E.病变区相邻脏器位置
269、单项选择题 对准直器作用的叙述,不正确的是()
A.大幅度减少散射线的干扰
B.决定扫描层的厚度
C.减少患者的放射剂量
D.决定像素的大小
E.提供图像质量
270、单项选择题
男,71岁,转移性右下腹痛4天。查体右下腹压痛,可及包块。B超示右下腹实质性占位。CT扫描如下图,最可能的CT诊断为()
A.阑尾类癌
B.回盲部增殖型结核
C.阑尾周围脓肿
D.结肠癌
E.溃疡性结肠炎
271、单项选择题 女,43岁,头痛。CT示左颞叶有一3cm×4cm类圆形低密度、边界尚清晰的囊样病变,边缘轻度增强,最大可能为()
A.囊性星形细胞瘤
B.蛛网膜囊肿
C.恶性淋巴瘤
D.动静脉畸形
E.脑膜瘤
272、单项选择题 静脉注射对比剂盆腔增强扫描注射速度1~2ml/秒,延时(开始注射对比剂至开始扫描的时间)最少应为()
A.10秒
B.20秒
C.60秒
D.30秒
E.40秒
273、单项选择题 螺旋CT扫描与传统CT扫描相比最重要的优势是:()?
A.扫描速度快?
B.取样速度快?
C.重建速度快?
D.体积扫描?
E.单层连续扫描??
274、多项选择题 胰腺癌的影像学表现为()
A.上消化道造影检查可出现十二指肠圈扩大,降部内缘出现反"3"字征
B.CT可出现"双管征"
C.CT可表现为胰腺的增大或肿块
D.血行转移以脾脏最为常见
E.增强扫描,病灶强化程度较周围胰腺组织低
275、单项选择题 下述关于纵隔神经源性肿瘤的诊断要点,错误的是()
A.好发于后上纵隔脊柱旁
B.多为恶性肿瘤
C.多为均匀强化
D.平扫CT值30~50HU
E.形态规则,边缘光滑
276、多项选择题 关于冠状动脉超高速CT检查的描述为()
A.三维重建技术及仿真内镜技术可很好地显示冠状动脉内腔,测量冠状动脉直径
B.三维重建技术可显示粥样斑块
C.超高速CT可通过冠状动脉钙化的定量分析反映冠状动脉狭窄程度
D.冠状动脉钙化积分由钙化面积乘以CT值的峰值系数而得
E.随着积分的增高,意味着冠状动脉分支横断面狭窄仍不超过75%
277、单项选择题
男,17岁,踝关节疼痛,关节作响,结合图像,最可能的诊断是()
A.骨结核
B.剥脱性骨软骨炎
C.退行性骨关节病
D.骨髓炎
E.纤维性骨皮质缺损
278、单项选择题
1986年Bosniak根据CT征象提出肾囊性病变四级分类法,下列图像中的肾囊肿属于哪一类()
A.BosniakⅠ类
B.BosniakⅡ类
C.BosniakⅢ类
D.BosniakⅣ类
E.以上都错误
279、单项选择题 下列关于多发性硬化亚洲型的病变特点描述正确的是()
A.发病率较高
B.病程发展慢
C.病变以脑白质坏死为主
D.临床症状较轻
E.常合并视神经和脊髓受累
280、单项选择题
男,32岁,偶然发现有高血压,结合所示图像,最可能的诊断是()
A.双侧肾动脉瘤
B.双侧假性肾动脉瘤
C.双侧肾动脉出血血肿形成
D.双侧肾动脉狭窄
E.双侧肾动脉夹层动脉瘤
281、单项选择题
患者50岁,可能性最小的诊断是()
A.骨纤维结构不良
B.转移瘤
C.软骨肉瘤
D.骨髓瘤
E.以上都不是
282、单项选择题
根据所提供图像,最可能的诊断是()
A.骨髓炎
B.骨肿瘤
C.外伤
D.肺癌
E.结核
283、单项选择题
女,17岁,左侧肩关节附近可扪及一硬实性肿块半月余,疼痛不明显,结合影像学检查,最可能的诊断是()
A.维生素D中毒
B.肿瘤样钙盐沉着病
C.维生素D缺乏症
D.骨化性肌炎
E.骨肉瘤
284、单项选择题 以下哪项不是CTA增强扫描动脉期的影像表现()
A.原发性肝癌明显强化
B.肝实质明显强化
C.肾脏强化不明显
D.脾脏花斑状强化
E.腹主动脉强化不明显
285、单项选择题
男,31岁,发热,白细胞计数增高,肝区疼痛,影像表现如图,最可能的诊断是()
A.肝癌
B.肝腺瘤
C.肝黄色肉芽肿
D.肝结核
E.多发性肝脓肿
286、单项选择题 正常侧隐窝的前后径不小于()
A.2mm
B.3mm
C.4mm
D.5mm
E.6mm
287、单项选择题 眼球CT平扫中密度最高的是()
A.玻璃体
B.巩膜
C.晶状体
D.视乳头
E.房水
288、单项选择题
患者有浸润性胰腺癌,图像中箭头所指的管状物是()
A.肾静脉分支
B.扩大的肾静脉
C.肠系膜下静脉
D.冠状静脉
E.肠系膜上动脉
289、单项选择题
血友病患者突发胸闷,气急,体查见颈静脉显露,嘴唇发绀,影像学检查如图,最可能的诊断为()
A.纵隔自发性出血
B.淋巴瘤
C.结节病
D.纵隔积液
E.胸腺瘤
290、单项选择题 关于肾转移癌描述,错误的是()
A.肾无功能
B.常多发
C.增强后为低密度灶
D.转移灶为等密度
E.半数为双侧
291、单项选择题 下列哪项是诊断肺隔离症的最有特征性的影像学表现()
A.病变多位于下叶后基底段
B.若不充气,表现为膈上椎旁高密度病变
C.若与支气管交通,表现囊性病变,内有液平面
D.增强扫描显示来自主动脉的血管进入病变区
E.必须具备A、B、C、D四项
292、单项选择题 喉部的CT扫描范围应该是()
A.舌骨平面向下至环状软骨下缘
B.会厌部向下至主动脉弓上缘
C.口咽部向下至胸骨柄上缘
D.第三颈椎上缘至第七颈椎下缘
E.声门上方向下至声门下方
293、多项选择题
男,58岁,尿频,尿痛伴低热乏力2月,CT如图所示,下列说法正确的是()
A.左侧肾盂肾盏扩张,其边缘不整
B.左侧输尿管多发性狭窄
C.左侧肾结核
D.左侧输尿管结核
E.左侧输尿管癌
294、单项选择题 不同CT值范围提示不同成分,下列叙述中错误的是()
A.3~18HU提示为液体
B.-1000HU提示为空气
C.-20~-80HU提示为脂肪
D.80~300HU提示为钙化
E.>400HU提示为骨骼
295、单项选择题
男,33岁,左髋部疼痛和肿胀1月余,结合影像学检查,最可能的诊断是()
A.骨肉瘤
B.骨瘤
C.软骨瘤
D.软骨肉瘤
E.骨巨细胞瘤
296、单项选择题 CT横断面扫描,显示胃壁范围最大的体位是()
A.仰卧位
B.俯卧位
C.仰卧右前斜位
D.侧卧位
E.仰卧左前斜位
297、单项选择题 显示器所表现亮度信号的等级差别叫做()
A.窗宽
B.窗位
C.窗技术
D.CT值标度
E.灰阶
298、单项选择题
女,12岁,右上颌区硬性肿块。CT图像如下,最可能的诊断为()
A.骨肉瘤
B.非骨化性纤维瘤
C.骨化性纤维瘤
D.骨样骨瘤
E.Paget病
299、单项选择题
男,54岁,患者1年前行结肠癌手术,癌胚抗原增高,影像检查如图,最可能的诊断是()
A.多发结节性肝癌
B.结肠癌肝转移
C.多发性肝脓肿
D.多发性肝囊肿
E.肝淋巴瘤
300、单项选择题 关于脾血管瘤,下列哪项说法错误()
A.实性或囊实性肿块
B.边缘清楚的低或等密度区
C.可有大小不等的囊变区
D.增强扫描肿块明显强化
E.发现钙化即可除外血管瘤