时间:2025-09-24 07:05:50


1、单项选择题 纵隔神经源性肿瘤的好发部位是()
A.后纵隔脊柱旁沟区
B.前下纵隔
C.中纵隔上部
D.中纵隔下部
E.前上纵隔
2、单项选择题 脂肪肉瘤中哪一类型恶性程度最高()
A.圆细胞型
B.黏液型
C.分化良好型
D.多形性型
E.混合型
3、单项选择题 胃扭转的X线表现是()
A.幽门高于十二指肠球部,胃呈蜷虾状
B.胃呈瀑布状
C.膈上见B环
D.大弯侧呈弧形压迹,胃向左移
E.葫芦状胃
4、判断题 耳硬化症一般可分窗硬化及耳蜗硬化两型。
5、单项选择题 立位滤线器主要用于()
A.四肢摄影
B.胸部透视
C.胸部摄影
D.骨盆摄影
E.肾盂造影
6、配伍题 属于肠系膜上动脉分支的有()属于肠系膜下动脉分支的有()
A.胃左动脉
B.腰动脉
C.肾动脉
D.左结肠动脉
E.右结肠动脉
7、判断题 肺结核病的转归取决于治疗和机体的免疫力。
8、判断题 胃静脉曲张CT血管造影可以明确侧支循环的范围与程度。
9、单项选择题 下列组合,哪项是错误的()
A.鞍内肿瘤——颅中窝
B.听神经瘤——小脑部
C.爆裂骨折——眼眶底部
D.脑梗死——脑基底核部
E.脑动脉瘤——大脑动脉轮廓
10、问答题 支气管扩张X线平片有哪些表现?
11、判断题 食管少量充钡,粘膜皱襞表现为数条横向、相互平行的纤细条纹状阴影。
12、单项选择题
女,77岁,发现右手部肿块2周,结合图像,最可能的诊断是()
A.肌内脓肿
B.多发性腱鞘囊肿
C.骨囊肿
D.血管瘤
E.以上都不是
13、单项选择题 不在食管上直接形成压迫的是()
A.左肺动脉
B.肺动脉
C.气管分叉
D.主动脉弓
E.左心房
14、单项选择题
男,19岁,双手肿痛2年,晨僵,结合图像,最可能诊断是()
A.痛风
B.强直性脊柱炎
C.类风湿关节炎
D.退行性关节炎
E.未见异常
15、单项选择题 在胸片上,无广泛线状、索条状、网状及蜂窝状阴影的是()
A.原发性肺癌
B.石棉肺
C.肺纤维化
D.支气管扩张
E.恶性淋巴管炎
16、多项选择题 X线摄片时,应注意中心线的()
A.入射点
B.中心线的能量
C.射入胶片的位置
D.投射的方向
E.入射的角度
17、单项选择题
女,6岁半,咳嗽发热3天,体温39℃,胸片如图,最可能的诊断是()

A.右肺细菌性炎症
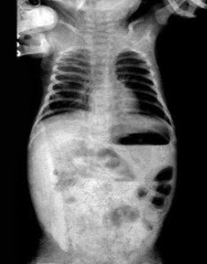
B.右肺结核
C.右侧胸腔积液
D.右肺脓肿
E.右下肺不张
18、单项选择题 平静呼吸下屏气,常用于哪个部位的检查()
A.手
B.下肢
C.前臂
D.心脏
E.躯干
19、配伍题 肠套叠()新生儿胃穿孔()先天性肥厚型幽门狭窄()先天性十二指肠闭锁()
A.足球征
B.弹簧圈表现
C.双泡征
D.肩样征
E.单泡征
20、问答题 正位胸片如何确定病变来自肺外还是肺内?
21、单项选择题 乙状窦沟前缘与外耳道后壁的距离,一般为()
A.<10mm
B.>14mm
C.5~10mm
D.10~14mm
E.15~18mm
22、单项选择题 下列与左心室扩大不符的征象是()
A.可呈"靴形心"
B.心尖圆钝、上抬
C.心尖向左下方延长
D.左前斜位,心后间隙变小、消失
E.右前斜位示心前间隙缩小
23、单项选择题 食管平滑肌瘤的特征性X线表现是()
A.粘膜紊乱
B.充盈缺损
C.管腔变形
D.环行征
E.浅分叶
24、单项选择题 肺循环血量增多,而左心室和体循环血流减少的是()
A.法洛四联征
B.肺动脉狭窄
C.房间隔缺损
D.室间隔缺损
E.动脉导管未闭
25、单项选择题 成神经细胞瘤的好发年龄为()
A.10岁以下
B.31~40岁
C.21~30岁
D.11~20岁
E.50岁以上
26、单项选择题 关于普通放射的解释,下列哪项正确()
A.普通放射是高速电子与靶物质的原子核相互作用的结果
B.普通放射是高速电子与靶物质的轨道电子相互作用的结果
C.普通放射中,高速电子的能量没有丢失
D.普通放射的质决定于管电流
E.普通放射与高速电子的能量无关
27、单项选择题 病人在出现明显症状以前,X线片就能显示转移的是()
A.鼻咽癌
B.乳腺癌
C.肾癌
D.前列腺癌
E.胃癌
28、多项选择题 下列疾病中,哪些钙化少见()
A.矽肺
B.肺癌
C.错构瘤
D.慢性肺炎
E.肺结核
29、单项选择题 在纵隔肿瘤中位置最高者为()
A.胸腺瘤
B.恶性淋巴瘤
C.胸内甲状腺肿
D.支气管囊肿
E.囊性畸胎瘤
30、单项选择题 骨瘤Gardner综合征包括()
A.骨瘤、软组织肿瘤、结肠憩室
B.骨样骨瘤、软组织肿瘤、结肠息肉
C.骨样骨瘤、软组织肿瘤、结肠憩室
D.骨瘤、软组织肿瘤、结肠息肉
E.骨纤维异常增殖症、软组织肿瘤、结肠息肉
31、填空题 后纵隔神经源性肿瘤主要分_____________与______________两大类。
32、单项选择题 有关X线束照射野的叙述,错误的是()
A.X线束具有穿透性
B.摄片时,可将X线照射野适当放大
C.照射野的大小,多用遮线器来控制
D.X线束中心部分的X线称为中心线
E.中心线走向表示着摄片方向
33、单项选择题 胸片示左心室增大,则可除外()
A.高血压心脏病
B.梅毒性心脏病
C.二尖瓣关闭不全
D.二尖瓣狭窄
E.动脉硬化性心脏病
34、单项选择题 下列哪种肿瘤通常在肺部发生转移之后才被诊断,在X线上表现为多发性、无钙化,边缘整齐的圆形病灶()
A.前列腺癌
B.恶性甲状腺肿
C.绒毛膜上皮癌
D.成骨肉瘤
E.乳癌
35、单项选择题
女,61岁,腹痛腹胀2年,结合图像,最可能的诊断为()

A.正常肠圈
B.十二指肠炎
C.降段憩室
D.水平段憩室
E.占位
36、多项选择题 溃疡型肠结核的X线表现有()
A.肠管边缘呈锯齿状
B.斑点状小龛影
C.激惹征
D.粘膜紊乱呈小息肉状充盈缺损
E.可出现肠梗阻表现
37、单项选择题 下列组合,错误的是()
A.听眶线——与听眦线约呈20°角
B.听眦线——与听眶线约呈12°角
C.听鼻线——与听眦线约呈25°角
D.听口线——与听眦线约呈35°角
E.听眉线——与听眦线约呈10°角
38、单项选择题 我国1978年制订的肺结核病分类方法,将肺结核病分几类()
A.4类
B.5类
C.6类
D.7类
E.8类
39、多项选择题 下列那些疾病可能发生乳头溢液()
A.乳腺纤维腺瘤
B.乳腺囊性增生
C.导管内乳头状瘤
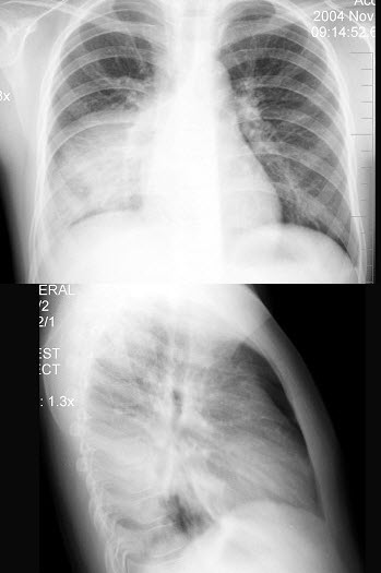
D.浆细胞性乳腺炎
E.乳腺癌
40、单项选择题 男性,50岁。有动脉粥样硬化病史。突然感到剧烈刀割样胸痛2小时,向背部放射。体检发现主动脉瓣区可闻及舒张期杂音。考虑为主动脉夹层可能。为显示病变段全貌,下列哪项检查方法较好()
A.透视
B.胸片
C.CT
D.MRI
E.DSA
41、单项选择题
女,16岁,左臀部疼痛伴发热2个月,摄片如图所示,最可能的诊断是()
A.左髂骨成骨肉瘤
B.左髂骨急性化脓性骨髓炎
C.左髂骨软骨肉瘤
D.左髂骨网状细胞肉瘤
E.以上均不正确
42、单项选择题
男,46岁,双髋部疼痛,实验室检查血钙升高,尿本周蛋白(+),结合图像,最可能的诊断是()
A.骨髓瘤
B.骨质疏松症
C.骨转移瘤
D.骨囊肿
E.动脉瘤样骨囊肿
43、单项选择题 下列骨骼不参与眼眶构成的是()
A.筛骨
B.蝶骨
C.腭骨
D.颞骨
E.上颌骨
44、单项选择题 急性胆囊炎最常见的原因是()
A.胆囊管过长、扭曲
B.螺旋瓣异常
C.肿瘤压迫
D.胆石嵌顿
E.蛔虫阻塞
45、单项选择题 下列关于“膀胱结核”的影像表现,错误的是()
A.膀胱壁线样钙化
B.病变早期,平片、造影价值有限
C.初段尿发现抗酸杆菌,均可诊断本病
D.对膀胱周围结核性病变,CT价值高
E.临床常有肾脏、输尿管结核相应表现
46、单项选择题 指出下列哪项不是骨髓干骺端结核的X线表现()
A.边缘清楚,圆形椭圆形骨破坏
B.病灶偏于一侧,靠近骨骺板
C.骨硬化及碎片样死骨
D.骨皮质破坏轻
E.针状骨膜反应
47、单项选择题 下列有关“骨布氏菌感染”描述中,哪项不正确()
A.脊柱、四肢大关节多处受累
B.关节软骨下囊性变
C.关节边缘性骨质破坏
D.四肢末梢小关节受累
E.就影像表现难与结核性、化脓性骨关节炎鉴别
48、单项选择题 从肘静脉注入对比剂后,最迟到的是下列中的哪一部位()
A.上腔静脉
B.右心房
C.左心室
D.锁骨下静脉
E.降主动脉
49、单项选择题 下列哪种影像,与持续性支气管哮喘的影像表现不符合()
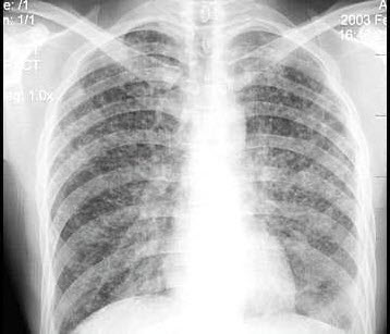
A.双肺纹理增多
B.双肺透光度增加
C.双膈位于第十后肋水平
D.心影狭长
E.约1/3患者平片可无异常发现
50、多项选择题 黏多糖贮积症中哪几型所致的骨病变最重()
A.Ⅰ型
B.Ⅳ型
C.Ⅵ型
D.Ⅱ型
E.Ⅲ型
51、单项选择题 软骨瘤的主要成分是()
A.透明软骨
B.钙化的软骨
C.退化软骨所形成的假囊肿
D.骨化的软骨
E.骨细胞
52、判断题 先天性髋关节脱位,股骨干骺端向上不应超过Hilgenreiner线。
53、多项选择题 副鼻窦病变常见的异常X线征象有()
A.窦腔混浊、密度增加
B.粘膜肥厚
C.窦腔内软组织块影
D.窦腔内液平面
E.窦腔增大或缩小
54、名词解释 肩袖
55、单项选择题 关于高压变压器的叙述,正确的是()
A.初级电流小,次级电流大
B.初级线数多,次级线数少
C.降压变压器
D.初级线径大,次级线径小
E.设计容量是最高额定容量的1/2
56、单项选择题 放射工作人员应每年进行一次健康检查,其中血液检查不包括哪项()
A.红细胞计数
B.白细胞总数及其分类
C.血红蛋白
D.血压测定
E.全血相对密度(比重)
57、单项选择题 下述“骨母细胞瘤”的描述,哪项错误()
A.脊柱最常见
B.发生于脊柱者,主要侵犯椎体
C.肿瘤膨胀性生长
D.分中心型、骨皮质型和骨膜型
E.血碱性磷酸酶可升高
58、单项选择题 关于散射线的叙述,正确的是()
A.X线波长越长,产生散射线越多
B.X线强度越小,产生散射线越多
C.物体受照面越大,产生散射线越多
D.物体越簿,产生散射线越多
E.以上都正确
59、多项选择题 关于标准化前位胸片描述,正确的有()
A.双侧斜裂的任何部分都不能显示
B.锁骨胸骨端与第6肋后端重叠
C.脊柱左侧心脏的密度比脊柱右侧心脏的密度要高
D.颈胸段的椎体终板能清楚地显示
E.左侧心膈角可能显示不清
60、单项选择题 指出属于软骨类的肿瘤是()
A.骨瘤
B.骨软骨瘤
C.骨巨细胞瘤
D.非骨化性纤维瘤
E.骨肉瘤
61、填空题 颅锁骨发育不全系全身性骨发育障碍,_________和__________的骨骼均受累,表现为___________、__________和_______。
62、单项选择题
女,40岁,下颌颏部隆起,结合图像最可能诊断()
A.造釉细胞瘤
B.骨软骨瘤
C.含牙囊肿
D.骨巨细胞瘤
E.动脉瘤样骨囊肿
63、单项选择题 十二指肠球后狭窄的最常见原因为()
A.结核
B.胰头肿瘤
C.局限性炎症
D.球后溃疡
E.良性肿瘤
64、单项选择题 关于软X线的叙述,错误的是()
A.波长较短
B.波长较长
C.能量较低
D.穿透物质的能力较弱
E.适于软组织摄片
65、判断题 肋骨前段常用作胸腔积液的定位标志。
66、单项选择题 特发性肺间质纤维化好发于()
A.上叶尖后段或下叶背段
B.胸膜下区
C.双下肺
D.肺门附近
E.双肺弥漫分布
67、单项选择题 关于组织细胞增生症X线检查的描述,下列错误的是()
A.胸腔积液较少见
B.肺门淋巴结肿大
C.早期,弥漫分布网状结节影
D.晚期,蜂窝肺
E.骨骼系统病变
68、单项选择题 对肺部肿块良恶性的鉴别要点,下述哪项是错误的()
A.良性肿块的边缘常较光整
B.毛刺征对肿块良恶性鉴别价值不大
C.恶性肿瘤钙化率较低
D.4cm以上肿块以恶性的可能性较大
E.空泡征多提示为肺癌
69、单项选择题 典型急性粟粒型肺结核的患者,发病初期的X线征象是()
A.肺纹理增强
B.肺纹理稀疏
C.“三均匀”现象
D.肺野透光度降低
E.胸膜反应
70、单项选择题 脾肿大最常见于哪种病变()
A.寄生虫、肿瘤
B.炎症
C.肿瘤、门静脉高压
D.炎症、寄生虫
E.门静脉高压
71、单项选择题 管电流的改变,一般是()
A.调节灯丝初级电路中的电阻
B.调节电源电压
C.调节稳压器的输入电压
D.调节稳压器的输出电压
E.调节管电压
72、单项选择题 肝脓肿X线平片检查主要的征象为()
A.肝区含气或液平的脓腔影
B.右膈肌膨隆
C.右下肺盘状肺不张
D.右胸膜肥厚
E.胸腔少量积液
73、名词解释 吻形死骨
74、名词解释 贲门癌
75、判断题 肋骨的外伤可不表现为骨折,而表现为脱位。
76、单项选择题 关于“皮质旁骨肉瘤”的描述错误的是()
A.好发于长骨干骺端骨旁
B.恶性度极高
C.早期,局部骨皮质增厚
D.肿瘤呈略高密度,与骨干间有透明带相隔
E.肿瘤内有不规则透亮区
77、单项选择题
男婴,4月。腹部涨满,如图所示。最可能的诊断为()

A.小肠闭锁
B.坏死性小肠结肠炎
C.十二指肠闭锁
D.肠套叠
E.肠穿孔
78、多项选择题 下列有关色素性胆结石描述中,错误的有()
A.主要成分为胆红素钙
B.胆固醇含量达70%以上
C.呈泥沙样或颗粒状
D.剖面常呈多面体影
E.剖面见分层状、结石多发
79、单项选择题 "眼窝变小"见于下列哪种情况()
A.甲状腺性突眼
B.先天性青光眼
C.组织细胞增生症
D.冠状缝早闭
E.视网膜母细胞瘤
80、单项选择题 骨纤维肉瘤中央型的主要X线表现为()
A.生长慢者破坏区可呈囊状,甚至膨胀性骨破坏
B.多骨多发溶骨性骨破坏,同时可伴有内脏和软组织的多发肿瘤
C.骨旁软组织肿块和邻近部位的骨皮质毛糙、压迫性缺损
D.瘤区内无明显骨化及钙化,一般无骨膜反应
E.边缘模糊的溶骨性破坏,周围呈筛孔样改变
81、单项选择题 Eisenmenger综合征的X线表现中,应除外()
A.肺动脉主干及肺门动脉显著扩张
B.肺外围的动脉纤细
C.心脏明显增大
D.心脏大小可基本正常或轻度增大
E.肺门处出现了残根状表现
82、判断题 结肠憩室只发生于乙状结肠,不发生于其他部位。
83、名词解释 肾盂输尿管重复畸形
84、单项选择题 碘过敏试验方法中,下列哪种方法最可靠()
A.口服试验
B.皮内试验
C.舌下试验
D.眼结膜试验
E.静脉注射试验
85、填空题 骨肉瘤的主要成分是_________________、_______________和__________,还可见多少不等的_______________和__________。
86、单项选择题 在胸部正位取后前立位摄片的原因中,下列哪项是错误的()
A.立位能正确反映胸部脏器的确切形态
B.立体能观察到产生气液面的病理改变
C.后前位肺组织更靠近胶片,影像清晰
D.后前位肩胛骨易于投影在肺野之外
E.后前位心脏放大率小
87、多项选择题 胸片上,空洞可见于下列哪些疾病()
A.转移性肺癌
B.原发性肺癌
C.韦格肉芽肿
D.原发性肺结核
E.嗜酸性肉芽肿
88、单项选择题
男,24岁,低热、乏力数周,夜间偶有盗汗,胸片如图,最可能的诊断是()

A.细支气管肺泡癌
B.肺转移瘤
C.两肺炎症
D.血型播散型肺结核
E.结节病
89、单项选择题
女,56岁,进行性吞咽困难2月,伴胸骨后针刺感入院,结合图像,最可能的诊断为()

A.正常表现
B.食管静脉曲张
C.食管上段癌
D.食管中段癌
E.食管下段癌
90、单项选择题 在几周内出现骨端碎片及半脱位者,称急性夏科氏关节()
A.2周
B.10周
C.8周
D.6周
E.4周
91、单项选择题 关于大量心包积液,下列描述哪项不对()
A.球形心
B.肺淤血
C.肺血减少
D.多为结核性
E.心脏搏动度减弱
92、单项选择题 关于过敏性上颌窦炎,下列影像表现哪项错误()
A.多个鼻窦受累
B.窦壁骨质硬化
C.上颌窦息肉
D.鼻甲粘膜增厚
E."气液面"较少见
93、判断题 结核性空洞壁外面整齐清楚,空洞内常无或仅有少量液体。
94、单项选择题 在病理状态下,才能见到的X线影像是()
A.营养血管沟
B.骨松质
C.骨皮质
D.骨膜
E.以上都是
95、单项选择题 下列不属于乳腺组织的是()
A.腺体
B.导管
C.胸大肌
D.纤维组织
E.脂肪组织
96、单项选择题 颈椎张口位摄片,中心线经()
A.上颌切牙咬合面中点
B.下颌切牙咬合面中点
C.上颌磨牙咬合面中点
D.下颌磨牙咬合面中点
E.上颌尖牙咬合面中点
97、单项选择题 后前位胸片上,左心缘见不到哪项结构()
A.肺动脉段
B.主动脉结
C.左心耳
D.左心室
E.右心室
98、问答题 骨结核的X线表现有哪些?
99、单项选择题 关于胶片的叙述,错误的是()
A.晶体颗粒大,感光度高
B.晶体颗粒分布均匀,对比度高
C.晶体颗粒大小不一,宽容度高
D.晶体颗粒小,分辨率低
E.晶体颗粒小,涂层薄,清晰度好
100、判断题 早期胃癌全部能在优质的双重对比造影片上显示出来。
101、单项选择题 造影前不需做肠道清洁准备的是()
A.膀胱造影
B.肝动脉造影
C.静脉肾盂造影
D.膝关节充气造影
E.腹膜后充气造影
102、单项选择题 对于预防“碘过敏反应”的发生,无帮助的措施是()
A.检查前做碘过敏实验
B.选用非离子型造影剂
C.选用高渗造影剂
D.减少造影剂用量
E.高危患者避免使用含碘造影剂
103、单项选择题 心房间隔缺损主要X线征象是()
A.主动脉结缩小或正常
B.肺门舞蹈征
C.右心房增大
D.左心室增大
E.肺动脉段突出
104、名词解释 粘膜线
105、判断题 腺样体肥大常与慢性扁桃腺炎合并存在。
106、多项选择题 胰头癌低张十二指肠造影的X线征象为()
A.十二指肠曲扩大
B.十二指肠曲缩小
C.十二指肠内缘呈反“3”字征
D.十二指肠内缘双边征
E.十二指肠内侧呈锯齿状
107、单项选择题 股骨头骨骺缺血坏死早期X线表现中,下列哪项最有诊断价值()
A.股骨头骨骺密度增加
B.髋关节间隙增宽
C.内侧关节间隙增宽或股骨头向外侧脱位
D.患侧股骨头骨化中心较小
E.患侧股骨头软骨下透亮带
108、单项选择题 垂柳征最常见于()
A.肺炎
B.慢性纤维空洞型肺结核
C.肺癌
D.肺脓肿
E.结节病
109、单项选择题 鼻咽顶前部厚度正常绝对值不超过()
A.5mm
B.10mm
C.15mm
D.20mm
E.6mm
110、单项选择题 骨骺、干骺端结核的特征性X线表现为()
A.破坏区边缘有硬化
B.破坏区常横跨骺线
C.破坏区较局限
D.死骨及窦道形成
E.以上都是
111、多项选择题 消化道粘膜的改变包括()
A.粘膜皱襞增粗、扭曲
B.龛影
C.粘膜破坏
D.粘膜皱襞纠集
E.微皱襞的改变
112、多项选择题 胸片示边缘锐利的球形肿块,可能的诊断有()
A.先天性肺囊肿
B.肺隔离症
C.慢性肺脓肿
D.周围型肺癌
E.肺错构瘤
113、单项选择题 纵隔肿瘤没有钙化的是()
A.胸骨后甲状腺瘤
B.胸腺瘤
C.畸胎类肿瘤
D.神经源性肿瘤
E.支气管囊肿
114、单项选择题 肾结核感染途径为下列哪种()
A.血行
B.淋巴
C.直接蔓延
D.以上均可
E.以上均不可
115、单项选择题
男,22岁,左侧膝部肿胀,疼痛2月余,结合影像学检查,最可能的诊断是()
A.骨脓肿
B.骨肉瘤
C.骨髓炎
D.动脉瘤样骨囊肿
E.软骨肉瘤
116、名词解释 狭颈征
117、单项选择题 女性,40岁。劳累后心悸、气促。体检:心尖区闻及舒张期隆隆样杂音。胸部正位摄片:心影呈梨形,中度增大。下列哪项是其典型的影像表现()
A.单纯左心房增大
B.左心房,左心室增大
C.左心房、右心房增大
D.左心房、右心室增大
E.左心室、右心室增大
118、单项选择题 减少与抑制散射线的方法中,错误的是()
A.降低管电压
B.减小焦-片距离
C.缩小照射野
D.使用后盖贴有金属膜的暗盒
E.正确使用遮线器
119、多项选择题 头颅侧位摄片,不能显示()
A.内听道
B.颅内钙化
C.枕骨大孔
D.视神经孔
E.蝶鞍侧位形态
120、单项选择题 关于肺透明膜病,下列观点错误的是()
A.多见于早产儿
B.与母亲患尿崩症无关
C.双肺透亮度增高
D.早期,肺纹理增多,呈网状细颗粒样
E.晚期,支气管气相
121、单项选择题
男,17岁,来右前臂疼痛,肿胀近2年,2周前疼痛加剧,查体右前臂压痛明显,皮肤稍显红肿,结合图像,最可能诊断是()
A.骨囊肿
B.骨巨细胞瘤
C.动脉瘤样骨囊肿
D.软骨瘤
E.骨血管球瘤
122、名词解释 Otto骨盆
123、多项选择题 先天性主动脉缩窄的X线表现为()
A.肋骨切迹
B.3字征
C.升主动脉扩张
D.上纵隔阴影增宽
E.降主动脉上段的狭窄后扩张
124、多项选择题 关节外伤脱位常发生在()
A.肘关节
B.肩关节
C.踝关节
D.腕关节
E.胸椎
125、判断题 对诊断早期肾结核,USG、CT和MRI检查优于尿路造影。
126、多项选择题 腹水在X线平片上的表现为()
A.小肠内气体被压向腹部周边
B.有时于骨盆部见到狗耳征
C.胁腹线向外膨出
D.全腹部呈磨玻璃样,轮廓不清
E.大肠内气体像与胁腹线间距增大
127、单项选择题 关于“Colles骨折”,下列哪项不对()
A.桡骨远侧3cm以内骨折
B.骨折远端向背侧移位
C.骨折远端向尺侧移位并旋转
D.可合并尺骨茎突骨折和下尺桡关节脱位
E.手腕呈“勺状”畸形
128、单项选择题 下列病毒性肺炎影像描述,错误的是()
A.可有小结节阴影
B.可有斑片状阴影
C.可有大片状阴影
D.肺纹理可增粗
E.具有特征性影像表现
129、多项选择题 下列哪些是十二指肠溃疡的间接X线征象()
A.龛影
B.球部变形
C.龛影局部压痛
D.幽门痉挛
E.激惹征
130、单项选择题 引起回盲瓣肥厚的最常见原因是()
A.Crohn病
B.回盲瓣粘膜脱垂
C.单纯性回盲瓣肥厚
D.回盲瓣结核
E.回盲瓣肿瘤侵犯
131、配伍题 纵隔气肿可见于()肺气肿可见于()肺下积液可见于()
A.横膈矛盾运动
B.横膈连续征
C.横膈下降
D.横膈上升
E.假横膈
132、多项选择题 下列哪些是“成人型多囊肾”的特点()
A.多囊胰
B.多囊肝
C.颅内动脉瘤
D.常染色体隐性遗传
E.常染色体显性遗传
133、判断题 乳腺腺体随年龄的增长在X线片上无明显区别。
134、单项选择题
男,52岁,从事矿井工作32年,近几年出现气喘,呼吸困难,胸片如图,其最可能的诊断为()

A.双肺浸润性结核
B.双肺真菌感染
C.两肺弥漫性间质性肺炎
D.两肺弥漫性纤维化
E.矽肺
135、判断题 先天性髋内翻一般出生时即有典型的X线改变。
136、单项选择题 下列椎间盘突出征象中,错误的是()
A.椎间隙宽窄不均
B.脊柱生理曲度消失
C.椎体边缘骨质增生
D.脊柱不稳
E.腰大肌影增宽
137、问答题 如何判断颞颌关节脱位?
138、单项选择题 下述哪项不是骨肿瘤的基本X线征象()
A.骨质破坏
B.椎旁脓肿
C.瘤骨
D.肿瘤
E.瘤软骨
139、判断题 出血聚集在纵隔组织间隙即形成纵隔血肿。
140、单项选择题 心包积液的液体可为()
A.浆液性
B.浆液血性
C.血性
D.乳糜性
E.以上都是
141、单项选择题
男,71岁,背部酸痛,低热,乏力,消瘦2月余,结合影像学表现,最可能的诊断是()
A.脊柱转移瘤
B.化脓性脊柱炎
C.脊椎结核
D.椎体压缩骨折
E.阻滞椎
142、单项选择题 下述肺炎性假瘤影像特点,哪项不对()
A.可发生于两肺任何部位
B.肿块圆形,无分叶,多数边缘清楚
C.直径常小于2cm
D.多数质地均匀,偶有空洞
E.邻近胸膜可增厚
143、单项选择题 化脓性骨髓炎骨包壳的形成来源于()
A.感染性肉芽组织的钙化
B.脓液的钙化
C.软组织内的异位钙化
D.骨膜产生的新骨
E.未遭破坏的皮质骨
144、填空题 来自神经内分泌细胞的肺癌有_______、_____________和____________。
145、单项选择题 下颌关节间隙正常值为()
A.1.5mm
B.1.8mm
C.2.0mm
D.2.5mm
E.3.0mm
146、单项选择题 关于骨质硬化,下述描述错误的是()
A.骨密度增高
B.骨皮质变薄
C.骨小梁增粗、变密
D.骨髓腔变窄
E.骨干增粗
147、单项选择题 类风湿性关节炎的晚期表现为()
A.关节变形
B.边缘性骨侵蚀
C.关节间隙变窄或骨性强直
D.关节脱位或半脱位
E.以上都是
148、单项选择题
男,70岁,进行性吞咽困难半年,结合图像,最可能的诊断为()

A.正常食管
B.食管静脉曲张
C.食管平滑肌瘤
D.贲门失弛缓
E.食管癌
149、单项选择题 与平片相比,下列哪项不是CT优势()
A.横断面成像
B.解剖分辨率高
C.密度分辨率高
D.空间分辨率高
E.增强扫描,有利于病变定性
150、单项选择题 股骨属于()
A.长管状骨
B.扁骨
C.不规则骨
D.短管状骨
E.以上都是
151、单项选择题
男,50岁,进食梗阻1年,结合图像,最可能的诊断为()

A.食管下段癌
B.贲门癌
C.食管静脉曲张
D.贲门失弛缓
E.胃底癌
152、单项选择题 胸部摄片高千伏摄影是指()
A.≥90kV
B.≥100kV
C.≥110kV
D.≥120kV
E.≥130kV
153、单项选择题 下列人体体表定位中,错误的是()
A.喉头隆起——第4颈椎高度
B.剑突——相当第7胸椎高度
C.两侧髂骨嵴连线——第4腰椎水平
D.胸骨柄上缘——第3胸椎高度
E.第一腰椎——相当剑突与肚脐连线中点
154、单项选择题 不属于脑颅骨的是()
A.颞骨
B.顶骨
C.上颌骨
D.额骨
E.蝶骨
155、单项选择题 踝关节正位摄片,中心线应对准()
A.内踝
B.外踝
C.内外踝连线中点
D.内外踝连线中点上1cm
E.内外踝连线中点上5cm
156、单项选择题 照片产生反转的原因是()
A.显影液pH值太高
B.显影液温度太低
C.定影液衰老
D.X线胶片过期
E.由于潜影溴化的结果
157、多项选择题 下列哪些不属正常肺纹理影像()
A.肺纹理增多
B.肺纹理减少
C.肺纹理缺乏
D.肺纹理聚拢
E.下肺纹理比上肺纹理多
158、单项选择题 关于“十二指肠溃疡”的描述,错误的是()
A.激惹征,提示活动性溃疡
B.球部发生率最高
C.龛影平均直径1cm以上
D.常导致球部变形
E.球后溃疡多位于球后部内侧缘
159、单项选择题 男,50岁,慢性支气管炎病史10余年,近3个月来病情加重,痰中找到硫磺颗粒,右胸壁出现瘘管,胸片示右下叶片状阴影,累及局部胸膜、胸壁,最可能合并了()
A.肺放线菌病
B.肺吸虫病
C.肺曲菌病
D.肺隐球菌病
E.包虫病
160、单项选择题 X线在体内各部穿透力,由大到小排列有以下几种,正确的是()
A.气体,液体及软组织,脂肪,骨骼
B.骨骼,脂肪,液体及软组织,气体
C.气体,脂肪,液体及软组织,骨骼
D.脂肪,气体,液体及软组织
E.骨骼,软组织及液体,脂肪,气体
161、单项选择题 正常食管壁厚度大约为()
A.1mm
B.3mm
C.5mm
D.4mm
E.以上均不是
162、判断题 只有膈肌肿瘤,才能见到膈肌的矛盾运动。
163、单项选择题 眶壁的内壁构成中,哪项不正确()
A.上颌骨额突
B.泪骨
C.筛骨纸板
D.蝶骨小翼
E.上颌骨眶面
164、单项选择题
女,52岁,足跟痛,手指运动僵硬,结合图像,最可能的诊断是()
A.骨质疏松症
B.骨脓肿
C.骨囊肿
D.骨折
E.类风湿关节炎
165、名词解释 代谢性骨病
166、配伍题 进行X线摄片检查是利用什么作用()测试辐射量的闪烁晶体是利用什么作用制成的()
A.穿透作用
B.荧光作用
C.电离作用
D.感光作用
E.着色作用
167、单项选择题 在胸部后前位上出现“双心房”阴影,提示()
A.左心室增大
B.右心室增大
C.左心房增大
D.右心房增大
E.主动脉增宽,扭曲
168、单项选择题 下列哪种疾病可无纵隔移位()
A.渗出性胸膜炎
B.胸膜间皮瘤
C.巨大肺肿瘤
D.白血病改变
E.转移性胸膜肿瘤
169、多项选择题 影像板的组成包括()
A.板基
B.光电阴极
C.荧光体层
D.保护层
E.输出屏
170、单项选择题 伴有肿块阴影的肺血管异常的疾病是()
A.肺动脉狭窄
B.一侧肺发育不全
C.肺动脉缺如
D.肺动静脉瘘
E.部分肺静脉回流异常
171、单项选择题 下列可出现爆米花样钙化的是()
A.肺癌
B.结核球
C.矽肺
D.胸膜间皮瘤
E.错构瘤
172、多项选择题 龛影可见于哪些病变()
A.贲门失弛缓征
B.胃溃疡
C.十二指肠憩室
D.肠结核
E.食管静脉曲张
173、单项选择题 哪个部位的化脓性骨髓炎最易形成的脓肿()
A.手指骨
B.髂骨
C.股骨干骺端
D.胫骨下端
E.脊柱
174、单项选择题 静脉尿路造影常用对比剂为()
A.硫酸钡
B.泛影葡胺
C.碘化油
D.碘化钠
E.泛影酸钠
175、单项选择题 肠结核好发于()
A.结肠
B.回肠
C.回盲部
D.直肠
E.空肠
176、单项选择题 易引起肺脓肿的疾病是()
A.肺结核
B.大叶肺炎
C.放射性损伤
D.肺肿瘤
E.肺霉菌感染
177、问答题 肾盂肿瘤在X线上需要与哪些病相鉴别?
178、单项选择题 正常毛细血管内的静水压为()
A.2.53kPa
B.3.33kPa
C.1.07kPa
D.2.67kPa
E.2.07kPa
179、名词解释 偏身肥大
180、单项选择题 关于支气管肺癌,下列描述错误的是()
A.鳞癌多见
B.起源于支气管粘膜上皮
C.周围型肺癌可钙化
D.周围型和中央型肺癌都易出现肺气肿、肺不张
E.周围型肺癌起源于段及段以下支气管
181、判断题 甲状旁腺功能亢进患者多数有骨骼病变,主要表现为骨质疏松。
182、判断题 浅表食管癌是指癌仅浸润至食管粘膜、粘膜下层,而无淋巴结转移者。
183、单项选择题 下列组合中,无关的是()
A.蝶鞍——垂体
B.颅中窝——卵圆孔
C.内听道——第Ⅷ神经
D.视神经孔——第Ⅴ脑神经
E.圆孔——上颌神经
184、单项选择题 CR的调谐处理参数包括()
A.调谐类型(GT)
B.旋转量(GA)
C.旋转中心(GC)
D.谐调移动量(GS)
E.以上都是
185、单项选择题
男,32岁,因车祸致右髋关节肿痛,活动受限摄片如图示,最可能的诊断是()
A.骨盆Ⅰ型骨折
B.骨盆Ⅱ型骨折
C.骨盆Ⅲ型骨折
D.骨盆Ⅳ型骨折
E.以上均不是
186、判断题 钙化的位置和形态不可作为颅内肿瘤定位或定性诊断的依据。
187、配伍题 支气管异物可见于()食管自发破裂可见于()右上纵隔积液可见于()
A.V型征
B.上纵隔液平面影
C.右上纵隔增宽尖角征
D.纵隔压迫征
E.纵隔钟摆运动
188、多项选择题 房间隔缺损在左、右前斜位可见的X线征象有()
A.肺动脉段隆起
B.心前间隙缩小
C.左心房不大
D.右心室段延长或隆起
E.心前缘与胸骨接触面增加
189、单项选择题 下列除哪项外,均为肋骨骨折的继发征象()
A.骨折线
B.气胸
C.液气胸
D.皮下气肿
E.纵隔气肿
190、名词解释 先天性巨肢症
191、单项选择题 以下“解剖结构-最佳显示体位”组合中,哪项不正确()
A.内听道:首选斯氏位
B.眶下缘、泪囊:首选瓦氏位
C.枕骨大孔:首选汤氏位
D.中耳:首选伦氏位
E.视神经孔:首选瑞氏位
192、判断题 肺泡微石症以两肺泡内弥漫性分布、均匀的微小结石为特征。
193、判断题 骨的生理过程,主要体现为成骨和破骨作用以及钙和磷的代谢过程。
194、单项选择题
男,52岁,肩痛四月余,手臂旋转时疼痛加剧,结合影像,最可能的诊断是()
A.软骨瘤
B.骨结核
C.冈上肌腱钙化
D.骨囊肿
E.骨脓肿
195、单项选择题
女,6个月,身体发育异常,眼巩膜呈蓝色,结合图像,最可能的诊断为()
A.成骨不全
B.粘多糖病
C.软骨发育不全
D.佝偻病
E.侏儒症
196、单项选择题 关于正常肺纹理描述不妥的是()
A.肺动静脉构成,以肺动脉为主
B.自肺门出发向肺外围走行呈树枝状影
C.有时支气管、淋巴管亦显影
D.主要分布于肺内中带
E.动脉性肺纹理细而致密,走行清晰而直
197、单项选择题 腮腺良性肿瘤中以哪种最多见()
A.腮腺淋巴瘤
B.腮腺混合瘤
C.腮腺血管瘤
D.腮腺脂肪瘤
E.沃辛瘤
198、单项选择题 动脉导管未闭最典型的X线征象是()
A.肺血增多
B.主动脉结增宽凸出
C.左心室增大
D.右心室增大
E.左心房增大
199、单项选择题 属生理排泄的造影检查是()
A.T型管胆道造影
B.逆行肾盂造影
C.口服胆囊造影
D.子宫输卵管造影
E.颈内动脉造影
200、单项选择题
患者,12岁,跌倒时手掌撑地。查:肘关节半屈状,肘肿胀压痛,外突畸形,肘后三角存在,桡动脉搏动正常。
最适当的治疗方法是()
A.立即切开筋膜减压
B.切开复位、内固定
C.手法复位,石膏固定
D.手法复位即可
E.手术探查肱动脉,同时行骨折复位、内固定
201、单项选择题 关于对比度的叙述,错误的是()
A.低电压摄片技术能提高乳腺各组织间的对比
B.骨骼照片有良好的对比
C.离体的肺组织照片,具有很高的对比
D.消化道必须通过对比剂,才能形成组织对比
E.高电压摄片的照片,对比度降低
202、单项选择题
女,11岁,低热,夜间盗汗,咳嗽1月余,结合图像,最可能的诊断是()

A.支气管肺炎
B.肺结核
C.肺癌
D.过敏性肺炎
E.大叶性肺炎
203、配伍题 输尿管长约()输精管长约()
A.15~20cm
B.30~45cm
C.25~30cm
D.2~8cm
E.10~12cm
204、单项选择题 用于胃肠道造影的对比剂是()
A.硫化钡
B.氯化钡
C.碳酸钡
D.硫酸钡
E.氰化铂钡
205、单项选择题 下列“良性骨肿瘤”影像特点中,不含哪项()
A.硬化边缘
B.局部骨膨隆
C.常无骨膜反应
D.骨皮质断裂
E.病灶边缘清楚
206、判断题 胸膜下肺梗死常合并有大量胸腔积液。
207、单项选择题 男,28岁,有咳嗽、咳痰、咯血、胸痛,在右上肺尖段发现一直径2cm球形阴影,周围有索状阴影,边缘清楚,其内有点状钙化,最可能的诊断是()
A.包虫囊肿
B.错构瘤
C.肺癌
D.炎性假瘤
E.结核球
208、名词解释 鼻窦粘膜下囊肿
209、单项选择题 肺纹理主要解剖成分是()
A.支气管
B.肺静脉
C.肺动脉
D.肺静脉、支气管
E.肺动脉、肺静脉
210、名词解释 Bergman征
211、多项选择题 下述哪些原因属毛细血管内静水压升高引起的肺水肿()
A.心肌病致左心衰竭
B.心肌炎致左心衰竭
C.左心瓣膜病变致左心衰竭
D.急性肾小球肾炎致左心衰竭
E.急性心肌梗死致左心衰竭
212、单项选择题 乳突双15°侧位,亦称为()
A.劳氏位(LaW位)
B.许氏位(Schuller位)
C.伦氏位(Runstrom位)
D.梅氏位(Mayer位)
E.斯氏位(Stenever位)
213、单项选择题 下列组合中,错误的是()
A.肱骨与桡骨——肘关节
B.掌骨与指骨——指间关节
C.锁骨与肩峰——肩锁关节
D.锁骨与胸骨——胸锁关节
E.股骨与胫骨——膝关节
214、单项选择题 氟骨症具有特殊诊断意义的X线征象是()
A.骨质疏松和骨质硬化同时存在
B.脊柱前韧带和小关节间软组织钙化
C.骨盆骶棘韧带、骶结节韧带和髂腰韧带钙化
D.粗糙的骨小梁交叉成粗纱布网眼状
E.胫腓骨和尺桡骨等处的骨间隙和闭孔周围肌肉附着处钙化
215、单项选择题 热容量的单位J和HU的换算关系是()
A.1HU=1.414J
B.1HU=0.4J
C.1HU=0.9J
D.1HU=0.71J
E.1HU=1.0J
216、单项选择题 高血压心脏病心影呈()
A.主动脉型心
B.靴形心
C.梨形心
D.滴状心
E.横位心
217、单项选择题 下列有关“骨气鼓”特点,哪项错误()
A.常见于小儿患者
B.患骨梭形膨大,密度增高
C.见于骨结核
D.指骨、趾骨等短管状骨多见
E.骨膜反应不明显
218、单项选择题
男,64岁,咳嗽、高热数日,无痰中带血,X线检查如图,最可能的诊断是()

A.右侧胸腔积液
B.右侧胸腔积液并肺脓肿
C.右肺炎
D.右肺不张
E.气胸
219、单项选择题 控制电路最终控制的是()
A.灯丝电路的通断
B.电源电路的通断
C.高压次级电路的通断
D.高压初级电路的通断
E.保护电路的通断
220、问答题 胸腔积液的X线表现为?
221、名词解释 家族性结肠息肉综合征
222、名词解释 支气管袖口征
223、多项选择题 以下可以见到钙化的疾病是()
A.错构瘤
B.淋巴结结核
C.周围型肺癌
D.中央型肺癌
E.肺泡微石症
224、单项选择题 球形增大的肝右叶下段称为()
A.尾状叶
B.利德尔叶
C.獭尾肝
D.右前叶
E.右后叶
225、单项选择题 成人最常见的"左向右分流"先天性心脏病是()
A.房间隔缺损
B.室间隔缺损
C.房间隔缺损加室间隔缺损
D.动脉导管未闭
E.法洛四联征
226、名词解释 软组织肿瘤钙化
227、单项选择题 气管隆突是指气管()
A.分叉处下方
B.分叉部左壁
C.分叉部上壁
D.分叉部右壁
E.分叉部下壁
228、单项选择题 冠状动脉瘤最常见于()
A.Marfan综合征
B.川崎病
C.动脉粥样硬化
D.风湿性心脏病
E.梅毒性心脏病
229、多项选择题 右下叶支气管的分支包括()
A.内基底支
B.前基底支
C.外基底支
D.后基底支
E.背支
230、单项选择题 X线管的靶面材料通常是()
A.铁
B.钨
C.金
D.铜
E.钼
231、多项选择题 慢性肺气肿常见的X线征象是()
A.血管影细长、稀疏
B.两横膈上升
C.由于肺通气及循环障碍易引起肺源性心脏病
D.两肺野透过度增高
E.胸部膨隆,肋间隙增宽
232、单项选择题
女,66岁,进行性吞咽困难,胸骨后疼痛4月,结合图像,最可能的诊断为()

A.正常食管
B.食管静脉曲张
C.食管平滑肌瘤
D.食管中段癌
E.食管下段癌
233、名词解释 浮齿征
234、单项选择题 关于肺包虫病,下列描述哪项不对()
A.下叶多见
B.钙化多见
C.常为单发病变,密度均匀
D.水上浮莲征
E.新月形气征
235、多项选择题 克罗恩(Crohn)病有哪些并发症()
A.脓肿形成
B.肠梗阻
C.瘘管形成
D.肠结核
E.肠癌
236、判断题 乳腺癌的特征性钙化为不规则细微钙化。
237、多项选择题 CR的空间频率处理,减影处理的叙述,正确的是()
A.空间频率处理是系统对空间频率响应的调节
B.频率处理三个参数:RNRTRE
C.可完成血管造影与非造影影像的减影职能
D.时间减影是作对比剂注射前后的影像减影
E.能量减影是两幅以不同能量曝光的影像
238、多项选择题 X线的化学特性有()
A.荧光特性
B.着色作用
C.物理特性
D.感光作用
E.生物特性
239、单项选择题 钡餐示“食管远端鸟嘴样狭窄”,则可除外()
A.贲门失弛缓症
B.食管裂孔疝
C.消化性溃疡
D.胃底贲门癌
E.食管静脉曲张
240、单项选择题 下列哪项,不符合肥厚型心肌病X线表现()
A.心脏可呈主动脉型
B.肺血管纹理常正常
C.心脏增大
D.心脏搏动无特殊,可增强、减弱或正常
E.部分可见左房、右室增大
241、名词解释 反向搏动点
242、判断题 颈动脉造影,颈内动脉分支显影早于颈外动脉。
243、单项选择题 关于矽肺结节的描述,哪项不正确()
A.早期即发生于整个肺野
B.直径在0.3~0.8cm
C.排列成“玫瑰花”样
D.其形状不易与碳末沉着病区别
E.随病变的发展矽结节逐渐增大增多靠拢重叠
244、填空题 腕骨骨折以_______最多见,脱位以_______最多见。
245、单项选择题 十二指肠溃疡最常见的部位是()
A.水平部
B.球部
C.降部
D.球后部
E.小弯侧
246、单项选择题 下列组合中,不在第2腰椎高度水平的组织是()
A.肝
B.肾
C.腹主动脉
D.腔静脉
E.食管
247、单项选择题
男,20岁,胸闷、低热1月余,突然咯血,X线检查如图,最可能的诊断是()

A.肺结核(Ⅰ型)伴右侧胸腔积液
B.肺结核(Ⅲ型)伴右侧胸腔积液
C.肺结核(Ⅱ型)伴右侧肺不张
D.肺结核(Ⅲ型)伴右侧肺不张
E.肺转移瘤伴右侧肺不张
248、单项选择题 梗阻以上结肠扩张,有宽大液平面,小肠轻度扩张,有少许液平面,最可能的诊断是()
A.单纯性结肠梗阻
B.绞窄性小肠梗阻
C.单纯性小肠梗阻
D.结肠扭转
E.肠套叠
249、单项选择题 新生儿患者,生后即发现呼吸困难,胸部X线检查左侧膈肌升高至第3肋间,其下方是胃泡影,膈肌呈现矛盾运动,心脏纵隔移向对侧,可能的诊断是()
A.膈疝
B.膈膨升
C.胃扭转
D.肺不张
E.肺下积液
250、单项选择题
女,1岁半,发热伴咳嗽5天,如图所示,最可能的诊断为()
A.支气管炎
B.肺门结核
C.支气管肺炎
D.肺隔离症
E.以上均不正确
251、单项选择题 关于“小肠肿瘤”描述,错误的是()
A.淋巴肉瘤:多位于回肠
B.良性肿瘤:平滑肌瘤、腺瘤居多
C.小肠类癌:多位于回肠
D.小肠腺癌:多位于十二指肠、空肠近段
E.CT诊断价值最高
252、判断题 骨骼形成后,正常骨骼的骨盐达到平衡后,不再发生变化。
253、多项选择题 胸部常规摄片,采用后前位的原因包括()
A.心脏靠近前胸壁
B.心脏靠近后胸壁
C.避免心脏影像放大失真
D.避免肺脏影像遮盖心脏
E.减少心脏影像对肺脏的遮盖
254、单项选择题
如图,在正常胸部X线影像图像上,该英文字母所代表的肺段为()

A.尖段
B.后段
C.尖后段
D.舌叶上段
E.舌叶下段
255、单项选择题 视神经孔后前轴位摄片,矢状面与台面呈()
A.33°
B.43°
C.53°
D.63°
E.73°
256、单项选择题
女,23岁,反复上腹部疼痛伴黑便2年余,呕吐3天。有血吸虫病史,曾行脾脏切除。结合图像,最可能的诊断为()

A.正常食管
B.食管静脉曲张
C.食管胃底静脉曲张
D.贲门失弛缓
E.食管癌
257、名词解释 腹腔脓肿
258、多项选择题 肺纹理聚拢见于()
A.肺结核
B.支气管扩张
C.阻塞性肺气肿
D.胸腔积液
E.肺不张
259、单项选择题 关于肩关节前后位摄片,错误的是()
A.显示肱骨头与关节盂关节间隙的切线像
B.身体矢状面必须平行于胶片
C.肩胛骨喙突对胶片中心
D.中心线对准喙突投射
E.可检查肱骨近端骨质病变
260、填空题 乳腺脓肿切开引流,为避免损伤乳管而形成乳瘘,应作_______切开,乳晕下脓肿应沿乳晕边缘作_______切口。急性乳腺炎的预防,关键于_______、_______、_______、_______、_______。
261、单项选择题
男,63岁,咳嗽、发热1月余,消廋、乏力明显,有肺结核史,X线检查如图,最可能的诊断是()

A.右肺炎
B.右肺结核Ⅲ型
C.右肺结核Ⅳ型
D.右肺脓肿
E.右肺上沟瘤
262、判断题 慢性球部溃疡多数可以见到典型的龛影征象。
263、单项选择题
女,30岁,右膝关节酸胀,疼痛不适5月,X线检查如图所示,下列描述正确的是()
A.骨质呈膨胀性破坏
B.骨质呈肥皂泡样破坏
C.骨质呈横向偏心性破坏
D.以上均正确
E.以上均不正确
264、单项选择题 从左心室发出的血管是下列哪项()
A.奇静脉
B.左肺动脉
C.升主动脉
D.上腔静脉
E.锁骨下动脉
265、多项选择题 泌尿系统常规X线检查包括()
A.X线平片
B.尿路造影
C.血管造影
D.子宫输卵管造影
E.肾上腺静脉造影
266、判断题 老年人和食管贲门失弛缓症患者不能见到第3蠕动波。
267、单项选择题 痛风早期最易侵犯的关节为()
A.踝关节
B.指间关节
C.第一跖趾关节
D.趾间关节
E.第1掌指关节
268、单项选择题 可以累及关节软骨的良性骨肿瘤是()
A.软骨瘤
B.骨巨细胞瘤
C.软骨母细胞瘤
D.骨母细胞瘤
E.以上都不是
269、单项选择题 肺动脉段凹陷最常见于()
A.房间隔缺损
B.室间隔缺损
C.三尖瓣闭锁
D.法洛四联征
E.动脉导管未闭
270、单项选择题 下列“脊柱结核”平片表现中,不含哪项()
A.相邻椎体破坏
B.椎间隙变窄、消失、椎体融合
C.边缘性、虫蚀样骨质破坏
D.腰大肌影增宽,可有钙化
E.骨赘、骨桥形成
271、单项选择题
男,61岁,进行性吞咽困难40天,体重减轻5kg,结合图像,最可能的诊断为()

A.外压改变
B.食管癌
C.食管平滑肌瘤
D.食管静脉曲张
E.贲门癌
272、判断题 膀胱输尿管反流常常会引起输尿管、膀胱的变化。
273、单项选择题 支气管完全性断裂的X线特征为()
A.轨道征
B.水上浮莲征
C.胸膜凹陷征
D.肺脏坠落征
E.空气半月征
274、判断题 板障静脉压迹在11岁以前出现,11岁后即消失不见。
275、单项选择题 CR系统中,直接记录X线影像信息的载体是()
A.胶片
B.磁盘
C.成像板
D.荧光屏
E.平板探测器
276、配伍题 PTA可治疗()动脉化疗可治疗()血管动脉栓塞可治疗()非血管介入治疗()
A.胰腺癌动脉化疗
B.下腔静脉支架置入
C.脾动脉栓塞
D.前列腺支架置入
E.空肠造瘘
277、配伍题 关于化脓性关节炎的骨质破坏描述正确的是()关于关节结核的骨质破坏描述正确的是()关于风湿性关节炎的骨质破坏描述正确的是()
A.发展迅速,从关节承重面开始,骨质缺损与正常骨质分界不清
B.发展缓慢,从关节承重面开始,骨质缺损与正常骨质分界不清
C.发展缓慢,从关节边缘开始,有虫蚀状骨质破坏
D.发展缓慢,从关节边缘开始,为穿凿样破坏,常累及多个关节
E.发展迅速,从关节边缘开始,为穿凿样破坏,常累及多个关节
278、判断题 特发性骨质溶解症主要表现为肱骨、锁骨、颈椎和骨盆等部位的进行性骨溶解吸收。
279、单项选择题 脊柱退行性骨关节病X线表现:①椎间隙狭窄、②椎间盘钙化、⑤椎体骨赘形成、④Schmorl结节、⑤椎间隙“真空现象”,其中提示椎间盘退变的直接征象是()
A.①②
B.②③
C.②④
D.①⑤
E.②⑤
280、多项选择题 左心房增大多见于下述哪些疾病()
A.二尖瓣病变
B.主动脉病变
C.动脉导管未闭
D.室间隔缺损
E.左心衰竭
281、多项选择题 有关头颅正位摄片的叙述,错误的是()
A.病人呈俯卧姿势
B.听眦线垂直台面
C.矢状面平行台面
D.下颌内收,靠近台面
E.两外耳孔到台距等高
282、单项选择题
男,13岁,因轻微外伤后感左肱骨上部疼痛,软组织肿胀,摄片见左肱骨上段局限性骨质沿髓腔膨胀性破坏,骨皮质变薄,部分骨皮质不连续,最可能的诊断是()
A.左肱骨骨折
B.左肱骨骨囊肿伴病理性骨折
C.左肱骨骨纤伴病理性骨折
D.左肱骨巨细胞瘤伴病理性骨折
E.以上均不正确
283、单项选择题 与回肠相比,空肠的解剖特点,下列哪项是错误的()
A.大部分位于左上腹
B.蠕动较活跃
C.肠腔相对较粗
D.粘膜常呈羽毛状
E.粘膜皱襞较少
284、单项选择题 心脏右前斜位片主要观察()
A.右心房、肺动脉主干
B.左心房、左心室
C.左心房、肺动脉主干和右心室
D.左心室、右心室
E.气管分杈、主动脉窗
285、单项选择题
男,62岁,常感胸闷、气逼,X线检查如图,最可能的诊断是()

A.右侧肺大泡
B.右侧气胸
C.右侧肺脓肿
D.右侧胸膜肥厚
E.右侧肺气肿
286、填空题 乳腺癌分型方式有多种,主要有_______、_______、_______、______和_______等五种。
287、单项选择题 先天性肩胛骨高位症,正确的摄片体位是()
A.双侧腕关节正位
B.双侧踝关节正位
C.双侧肩关节正位
D.双侧肩胛骨正位
E.双肩锁关节正位
288、单项选择题 关于肘关节结核的表现中,下列哪项不正确()
A.肘关节结核较为多见,在上肢结核中占首位
B.结核病灶多在鹰嘴突和肱骨内外髁骨组织开始,桡骨小头少见
C.易形成脓肿,穿破皮肤而产生窦道,合并继发感染
D.邻近关节的骨骼可有骨质疏松
E.病灶周围无骨膜反应
289、判断题 神经纤维瘤病约80%有骨骼异常,主要为发育异常及神经纤维瘤的侵蚀。
290、单项选择题 摄取牙片一般选择的位置是()
A.立位
B.坐位
C.仰卧位
D.俯卧位
E.侧卧位
291、单项选择题
男,47岁,关节炎病史20年,结合图像,最可能的诊断是()
A.类风湿关节炎
B.痛风
C.骨关节结核
D.牛皮癣性关节炎
E.Reiter综合征
292、多项选择题 变压器油的作用是()
A.吸收水分
B.绝缘
C.降低湿度
D.散热
E.增加重量
293、单项选择题 PTC一般不用于以下哪种诊断()
A.诊断先天性胆管疾病
B.鉴别胆总管远端病变
C.诊断胆囊摘除后遗症
D.诊断胆道功能紊乱
E.鉴别黄疸原因
294、多项选择题 下列关于肺结核的概念,哪些是正确的()
A.原发性肺结核只见于婴幼儿
B.肺结核空洞多位于肺上叶
C.肺门淋巴结肿大,常为双侧对称性
D.结核球属Ⅱ型肺结核
E.Ⅲ型肺结核可有垂柳状肺纹理
295、名词解释 哺乳期乳腺
296、单项选择题 腹部平片的简称是()
A.IVP
B.PTC
C.PCN
D.PTA
E.KUB
297、问答题 原发性心肌病的X线表现有哪些?
298、名词解释 Luschka关节
299、判断题 上颌窦癌最常见为破坏内侧壁并伴鼻腔外侧壁或鼻腔内软组织肿块。
300、单项选择题 有关解剖学姿势的叙述,错误的是()
A.人体直立,两眼向前方平视
B.两下肢并拢
C.双上肢下垂置躯干两侧
D.掌心向前
E.足尖呈外展