时间:2025-09-24 05:08:57


1、单项选择题 关于X线防护原则,错误的是()
A.建立剂量限制体系
B.缩短受照时间
C.建立屏蔽防护
D.缩短照射距离
E.合理降低个人受照剂量与全民X线检查频率
2、单项选择题 下列球形病灶的钙化特征中,哪项是不正确的()
A.结核球-斑点状或环层状钙化
B.肺炎性假瘤-粗钙化斑点
C.肉芽肿-成层形钙化
D.错构瘤-爆米花样钙化
E.矽肺-蛋壳样钙化
3、单项选择题 连续X线的辐射方式称为()
A.自发辐射
B.受激辐射
C.轫致辐射
D.特征辐射
E.热辐射
4、多项选择题 判断对比剂过敏的依据,正确的是()
A.休克
B.便秘
C.打嗝
D.恶心呕吐
E.以上都是
5、单项选择题 滑膜型关节结核的X线表现哪项不对()
A.骨端骨质疏松
B.周围肌肉萎缩
C.骨质破坏先从非承重关节开始
D.关节软骨破坏较晚
E.关节软骨破坏较早
6、单项选择题 关于痛风性关节炎的描述中,下列哪项错误()
A.本病好发生于女,有家族倾向性
B.晚期可出现骨、软骨破坏及痛风结节
C.血清尿酸增高
D.X线示关节非对称性结节样膨胀骨破坏面较大
E.最常见于第一跖趾关节
7、名词解释 先天性巨肢症
8、单项选择题 50岁男性,咳嗽、痰中带血3月余。胸片示右肺门区4cm圆形肿块,右上肺不张,痰查癌细胞阴性,最可能的诊断是()
A.右上肺中央型肺癌
B.右上肺周围型肺癌
C.右上肺慢性纤维空洞型肺结核
D.过敏性肺炎
E.肺隔离症
9、单项选择题 Lutembacher综合征特征为()
A.早期左向右分流
B.三尖瓣下移
C.晚期双向或右向左分流
D.室间隔缺损伴二尖瓣狭窄
E.房间隔缺损合并二尖瓣狭窄
10、单项选择题 高密度性肾囊肿,最常见于()
A.囊肿合并感染
B.囊肿内出血
C.囊液蛋白质含量高
D.囊肿壁钙化
E.囊肿与肾盂、肾盏交通,对比剂进入
11、判断题 肠系膜上动脉与腹主动脉之间的夹角多大于45°。
12、单项选择题 儿童脊柱结核好发于()
A.骶椎
B.胸椎
C.腰椎
D.颈椎
E.以上都是
13、单项选择题 视神经孔增大多见于()
A.视神经胶质瘤
B.先天发育异常
C.蝶骨嵴脑膜瘤
D.畸形性骨炎
E.石骨症
14、名词解释 肾盂输尿管重复畸形
15、单项选择题 对骨代谢影响最大的维生素是()
A.维生素A
B.维生素B
C.维生素C
D.维生素D
E.维生素E
16、单项选择题 男,50岁,吞咽略有不适感5月,背部胀痛1周,查体未见明显异常,食管钡餐透正位观食管中段有约2×3cm椭圆形充盈缺损,钡剂通过略有停顿,粘膜皱襞无破坏中断征象,管壁伸缩自如侧位示相应段食管后壁有一浅弧形压迹,腔外似有一类圆形的软组织阴影,该病例进一步检查宜选择()
A.食管镜
B.气钡双重造影
C.超声
D.CT
E.核素
17、单项选择题 下述左心衰的胸片表现,错误的是()
A.左侧心房或心室增大
B.肺静脉扩张
C.双肺门周围"蝶翼样"阴影
D.胸腔积液
E.肺纹理清晰
18、单项选择题 分析胸片时一般不考虑()
A.胸廓
B.肺
C.膈
D.胸膜
E.腹膜
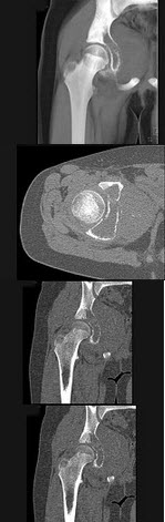
19、单项选择题
男,5岁,髋部疼痛乏力伴跛行5个月,结合图像,最可能的诊断是()
A.髋关节结核
B.骨肉瘤
C.股骨头骨骺缺血坏死
D.骨囊肿
E.软骨肉瘤
20、名词解释 外侧髌股角(Laurin角)
21、单项选择题 右前斜位X线摄片上食管压迹加深,提示()
A.右心室增大
B.右心房增大
C.左心室增大
D.左心房增大
E.主动脉增宽,迂曲
22、单项选择题 骨髓的主要成分为()
A.红细胞
B.脂肪细胞
C.白细胞
D.网状细胞
E.神经纤维
23、单项选择题 下列除哪项外均为来自支气管表面上皮的癌()
A.鳞状上皮癌
B.腺癌
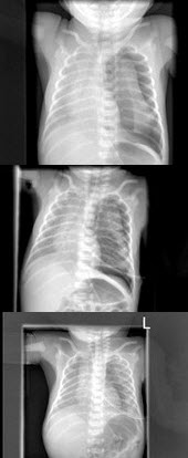
C.小细胞癌
D.鳞腺癌
E.大细胞癌
24、单项选择题 诊断额窦恶性肿瘤时,下列哪种位置摄影最佳()
A.华氏位
B.前额切线位
C.头颅侧位
D.柯氏位
E.汤氏位
25、名词解释 卫星病灶
26、单项选择题
女,12岁,脊柱侧弯畸形,双下肢长短不一,结合图像,最可能的诊断是()
A.骨纤维结构不良
B.骨巨细胞瘤
C.内生软骨瘤
D.非骨化性纤维瘤
E.Paget病
27、单项选择题 以下关于脊索瘤的叙述中,错误的是()
A.几乎都有骨质破坏
B.好发部位是骶尾部,其次是颅底
C.脊索瘤软组织肿块呈分叶状,50%~90%有钙化
D.脊索瘤起源于脊椎或椎旁残存的细胞
E.好发于颈、胸、腰椎
28、名词解释 环形征
29、问答题 肾盂肾炎的X线表现有哪些?
30、名词解释 幼年性结肠息肉综合征
31、单项选择题 小肠排空延迟,指口服钡剂超过几小时未全部排入结肠()
A.6小时
B.8小时
C.9小时
D.10小时
E.12小时
32、多项选择题 骨折移位的常见类型有()
A.成角
B.横向移位
C.重叠移位
D.分离移位
E.旋转移位
33、单项选择题 股骨属于()
A.长管状骨
B.扁骨
C.不规则骨
D.短管状骨
E.以上都是
34、多项选择题 腰椎前后正位要求清晰可见的结构是()
A.椎弓
B.椎间关节
C.棘突和横突
D.骨皮质和骨小梁
E.腰大肌
35、名词解释 肾自截
36、判断题 乳腺腺体随年龄的增长在X线片上无明显区别。
37、单项选择题 下列“脊柱结核”平片表现中,不含哪项()
A.相邻椎体破坏
B.椎间隙变窄、消失、椎体融合
C.边缘性、虫蚀样骨质破坏
D.腰大肌影增宽,可有钙化
E.骨赘、骨桥形成
38、多项选择题 下列组合,正确的是()
A.劳氏位——双15°
B.许氏位——双25°
C.伦氏位——双35°
D.梅氏位——双45°
E.欧文氏位——双55°
39、问答题 普遍性骨硬化常见于哪些病?如何鉴别?
40、单项选择题
女,67岁,咳嗽1周,有甲状腺癌史,结合胸片,最可能的诊断()

A.甲状腺癌肺转移
B.粟粒型肺结核
C.尘肺
D.结节病
E.肺炎
41、单项选择题 下列哪种疾病,无“龛影”表现()
A.肠结核
B.食管癌
C.胃溃疡
D.食管憩室
E.胃癌
42、单项选择题 KerleyA线位于()
A.上肺内侧
B.上肺外周
C.中肺
D.下肺内侧
E.下肺外周
43、多项选择题 肺内进行性大块纤维化可见于()
A.煤尘肺
B.石棉肺
C.农民肺
D.吸入二氧化氮
E.矽肺
44、单项选择题 子宫输卵管造影的禁忌证是()
A.子宫输卵管慢性炎症
B.子宫输卵管结核
C.子宫输卵管良性肿瘤
D.子宫输卵管位置形态异常
E.子宫输卵管出血
45、多项选择题 关于X线影像重叠的叙述,正确的是()
A.用前后和左右几个方向的摄片表现人体结构
B.胸片中看不到胸骨影像,是大物体(纵隔)密度大于小物体
C.膝关节正位照片中髌骨影像,是大小物体组织密度相等
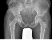
D.肺野中的肋骨阴影很明显,是大小物体组织密度相等
E.以上都是
46、单项选择题
女,根据其正常骨盆影像图像,判断其最可能的年龄()
A.69岁左右
B.59岁左右
C.49岁左右
D.19岁左右
E.39岁左右
47、多项选择题 纵隔向患侧移位,见于()
A.慢性纤维空洞型肺结核
B.肺不张
C.大叶性肺炎
D.先天性肺不发育
E.胸腔积液
48、单项选择题 胸壁外伤较少发生肋骨骨折部位是()
A.第1~2肋骨
B.第3~10肋骨
C.第10~12肋骨
D.第8~10肋骨
E.第3~5肋骨
49、单项选择题 骨皮质旁肉瘤在X线片上沿骨干与肿瘤之间出现狭窄透亮间隙的原因是()
A.肿瘤界限清楚呈分叶状
B.肿瘤周围有由瘤软组织形成的假包膜
C.包膜与瘤骨紧密相连,其纤维深入瘤骨内部
D.骨外膜夹在瘤骨与正常皮质之间
E.瘤骨超越基底紧密地悬在皮质外面周围
50、单项选择题
女,根据其正常肘关节影像图像,判断其最可能的年龄()
A.17岁左右
B.27岁左右
C.67岁左右
D.37岁左右
E.57岁左右
51、单项选择题
女,26岁,右踝部疼痛,结合图像,最可能的诊断是()
A.单纯性骨囊肿
B.骨巨细胞瘤
C.嗜酸性肉芽肿
D.骨纤维异常增殖症
E.动脉瘤样骨囊肿
52、单项选择题 下列造影,对比剂的引入方式属生理排泄的是()
A.胃肠道钡餐造影
B.逆行肾盂造影
C.口服胆囊造影
D.腹膜后充气造影
E.颈内动脉造影
53、单项选择题 下述类癌综合征的表现,哪项是不正确的()
A.反复发作性腹痛
B.左心受损
C.面部潮红
D.糙皮样表现
E.哮喘
54、名词解释 心胸比例
55、判断题 怀疑眼内有金属磁性异物时,应首选MRI检查。
56、判断题 左心房增大常伴有肺静脉高压。
57、单项选择题 下列关于肾盂积水的描述,错误的是()
A.先天性者多见
B.先天性者是小儿腹部肿块常见原因
C.可找不到明确的梗阻原因
D.肾功能不同程度降低
E.妊娠晚期可有肾盂积水
58、单项选择题 男,57岁,上腹痛3个月,大便潜血(+)。钡餐显示胃窦向心性狭窄,蠕动消失,未见龛影,粘膜皱襞紊乱、破坏,低张造影局部胃壁无扩张。最可能的X线诊断是()
A.胃痉挛
B.慢性胃窦炎性挛缩
C.胃窦癌
D.胃外肿瘤压迫
E.慢性胃窦溃疡所致挛缩
59、单项选择题
右颊部外伤,在诊断上应采用哪一体位()
a.ToWne位
b.颅侧位(右侧靠片)
c.Water法
d.颅底顶颌位
e.Stenver位
A.a,b
B.a,e
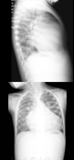
C.b,c
D.c,d
E.d,e
60、单项选择题 不在食管上直接形成压迫的是()
A.左肺动脉
B.肺动脉
C.气管分叉
D.主动脉弓
E.左心房
61、单项选择题 中央型肺癌的X线表现中,胸片不易发现的征象是()
A.阻塞性肺炎
B.肺不张
C.黏液嵌塞征
D.肺门区及纵隔肿块
E.肺气肿
62、单项选择题 选择防护材料时,不需考虑的因素是()
A.防护性能
B.运输安全
C.结构性能
D.稳定性能
E.经济成本
63、单项选择题 不引起纵隔移位的是()
A.阻塞性肺气肿
B.巨大肺肿瘤
C.胸腔积液
D.转移性胸膜肿瘤
E.胸膜间皮瘤
64、单项选择题 原发性纵隔肿瘤中最常见的是()
A.恶性淋巴瘤
B.神经源性肿瘤
C.胸腺瘤
D.畸胎类肿瘤
E.胸内甲状腺肿
65、单项选择题 室间隔缺损血流动力学的改变首先引起()
A.右心房增大
B.右心室增大
C.左心房增大
D.主动脉扩张
E.肺动脉隆起
66、单项选择题
男,35岁,左侧腹痛半年,阵发性。结合图像,最可能的诊断为()

A.正常肠圈
B.十二指肠炎
C.球部溃疡
D.降段憩室
E.水平段憩室
67、填空题 原发性腹腔肿瘤包括_____________、____________、________、_______________及___________等。
68、填空题 组织学上胸腺瘤分为___________、______________及_________,目前认为良恶性难以明确分界,故提倡分为_________和___________。
69、单项选择题 颈部侧位片,不能显示的部位是什么()
A.观察颈椎前弯角度
B.喉室肿物的显示
C.椎间孔狭窄
D.后纵韧带骨化的诊断
E.压迫骨折
70、单项选择题 X线胶片长轴与摄影床长轴平行称()
A.竖向
B.横向
C.立向
D.斜向
E.交叉向
71、判断题 化脓性肺炎致病菌最常见的是肺炎双球菌。
72、单项选择题 有关X线片密度对比度、锐利度的关系的描述,错误的是()
A.密度是对比度锐利度的基础
B.对比度可随密度的改变而改变
C.锐利度与对比度无直接关系
D.观片灯的亮度影响照片对比度的视觉效果
E.高密度下对比度小的物体影像难以辨认
73、多项选择题 肥大性骨关节病最常见于()
A.胫腓骨
B.尺桡骨
C.近节指骨
D.肱骨
E.股骨
74、名词解释 眼球痨
75、单项选择题
出生1天的早产儿,呼吸窘迫,结合图片,最可能的诊断是()

A.湿肺
B.肺气肿
C.肋骨骨折
D.肺气肿
E.气胸
76、单项选择题 关于胸部正位摄影与心脏正位摄片的不同点,下列描述哪项是错误的()
A.心脏正位摄片距离是2m
B.心脏正位摄片应在平静呼吸下屏息曝光
C.心脏正位摄片应测量身高、体重
D.曝光的时间应控制在1/10秒以下
E.心脏正位摄片用高电压,大毫安,短时间
77、单项选择题 下列不同部位肺叶不张的摄影位置的选择,错误的是()
A.下叶肺不张——常规正、侧位加斜位
B.中叶肺不张——常规正位加前弓位或侧位
C.盘状肺不张——常规正位
D.右上叶肺不张——常规正位
E.左上叶肺不张——左侧位
78、判断题 显示椎体向前移位以侧位片为准,测量滑脱程序以Meyerding测试法较适用。
79、问答题 胃恶性淋巴瘤有哪些X线表现?
80、配伍题 男尿道管最狭窄的部分是()中央有精阜的是()尿道球腺开口于()
A.前列腺上部
B.膜部
C.海绵体部
D.尿道球部
E.射精管
81、单项选择题 关节软骨及骨性关节面被病理组织侵犯,称为()
A.关节肿胀
B.关节退行性变
C.关节脱位
D.关节强直
E.关节破坏
82、单项选择题 下述关于“转移性骨肿瘤”描述中错误的是()
A.甲状腺癌转移者,局部骨可膨胀
B.膀胱癌多为成骨性转移
C.支气管肺癌可转移至四肢末梢
D.肺类癌转移多为成骨性
E.同一原发灶,可兼有溶骨性、成骨性转移
83、多项选择题 影响钙磷代谢的主要因素包括()
A.维生素D
B.甲状旁腺素
C.甲状降钙素
D.肾上腺素
E.血管紧张素
84、单项选择题 关于骨性胸廓的组成,正确的是()
A.胸椎和肋骨连接而成
B.胸椎和胸骨连接而成
C.胸骨和肋骨连接而成
D.胸椎胸骨和肋骨连接而成
E.胸骨锁骨和肋骨连接而成
85、单项选择题 关于头颅摄片的叙述,错误的是()
A.头颅后前正位,中心线向足侧倾斜23°经眉间射入
B.头颅后前正位,中心线垂直经眉间射入
C.头颅侧位,中心线垂直蝶鞍处射入
D.蝶鞍体表定位于外耳孔前3cm,再向上2.5cm处
E.蝶鞍体表定位于听眦线中,后1/3交点处
86、单项选择题 胸部正位片见纵隔旁两旁凸出阴影,是指下列哪组淋巴结肿大()
A.支气管肺淋巴结
B.隆突下淋巴结
C.气管支气管淋巴结
D.气管旁淋巴结
E.后纵隔淋巴结
87、多项选择题 关于对比剂的叙述,正确的是()
A.对比剂与造影剂不同
B.分为阴性及阳性两类
C.阳性对比剂不易被X线透过
D.阴性对比剂易被X线透过
E.碘剂和钡剂均为有机碘化物
88、问答题 良性骨肿瘤的X线表现有哪些?
89、单项选择题 "外耳、中耳明显畸形伴颌面骨发育不良"被称为()
A.Dandy-Walker综合征
B.Treacher-Collins综合征
C.Von Recklinghausen病
D.Moya-moya病
E.Sturge-Weber综合征
90、单项选择题 晚期尿毒症病人肾脏内出现囊肿病变的原因是()
A.先天性
B.代谢性
C.感染性
D.中毒性
E.缺血及营养不良
91、填空题 根据骨化性肌炎的发病机制可分为________________和________________两类。
92、多项选择题 汤氏位摄片,中心线向足倾斜25°~30°角,可观察()
A.枕骨
B.迷路
C.内听道
D.顶骨后部
E.枕骨大孔
93、单项选择题 左肺下叶分为四段,与右肺下叶不同的是()
A.前外基底段
B.外后基底段
C.外内基底段
D.内前基底段
E.以上都不是
94、单项选择题 甲状旁腺功能亢进的骨骼改变主要表现是()
A.骨膜下骨质吸收
B.骨质密度普遍减低
C.骨内囊状透光区
D.骨骼变形和病理性骨折
E.软组织异位钙化灶
95、单项选择题 粟粒型肺结核胸片的特征是()
A.两肺尖部一般不受累
B.从肺尖到肺底大小均匀的结节影
C.胸腔积液
D.胸膜增厚
E.肺门淋巴结增大
96、单项选择题 大叶性肺炎的X线表现为()
A.肺纹理增强,透光度减低
B.肺叶或肺段云雾状阴影
C.炎症部位呈蜂窝状透亮区
D.大叶不均匀性阴影
E.肺叶或肺段密度增高一致性阴影
97、名词解释 假肿瘤征
98、单项选择题 正确的“肱骨髁上骨折”分型是()
A.内收型+外展型+粉碎型
B.屈曲型+内收型+外展型
C.伸直型+外型+粉碎型
D.伸直型+内收型+外展型
E.伸直型+屈曲型+粉碎型
99、单项选择题 大叶性肺炎的病理改变分期,顺序正确的是()
A.红色肝样变期、灰色肝样变期、充血期、消散期
B.红色肝样变期、充血期、灰色肝样变期、消散期
C.灰色肝样变期、红色肝样变期、充血期、消散期
D.充血期、红色肝样变期、灰色肝样变期、消散期
E.灰色肝样变期、充血期、红色肝样变期、消散期
100、单项选择题 关于颈椎斜位摄片,下列说法哪项错误()
A.用于观察颈椎椎间孔
B.可显示小关节及椎弓根
C.常规摄取左右斜位片
D.冠状面与台面呈25~35°
E.中心线可向足侧倾斜10°
101、单项选择题 继发性胆脂瘤多发生于()
A.鼓窦入口
B.外耳道
C.上鼓室
D.中鼓室
E.下鼓室
102、名词解释 Robinow综合征
103、名词解释 早期胃癌
104、判断题 成人额骨垂直部、颞骨鳞部和枕骨鳞部较薄,也有板障结构。
105、多项选择题 增感屏使用中不妥的事项是()
A.避免放在高温和过干燥处
B.有灰尘时必须用嘴轻吹去
C.不宜放在潮湿处以免发霉
D.清洁后应置于阳光下晒干后方可使用
E.要直立放置,随时扣好暗盒弹簧扣
106、多项选择题 关于头颅侧位投照,正确的体位是()
A.矢状面与台面平行
B.听眦线与台面平行
C.听眦线与台面垂直
D.瞳间线与台面垂直
E.听眶线与台面平行
107、单项选择题 关于胸部正位摄片的叙述,正确的是()
A.后前位比前后位心脏放大率大
B.RAO称第二斜位
C.主动脉弓投影于右上肺野
D.吸气时膈肌上升
E.胸锁关节在后前位,与第四后肋相重
108、单项选择题 下列组合,无关的是()
A.颅前窝——筛骨板
B.颅前窝——嗅神经
C.颅前窝——前筛骨神经
D.颅前窝——前筛骨动静脉
E.颅前窝——视神经管
109、单项选择题 有关胸部摄片标准化的条件,哪个是错误的()
A.常规胸部正位,应取腹式深吸气后屏气曝光
B.胸部正位摄片距离要固定
C.胸部摄片,X线中心线应对准第6胸椎高度
D.胸部正位中心线射入点为第11胸椎高度
E.胸部摄片应取高电压摄片技术
110、多项选择题 属于腹膜间位器官的有哪些()
A.盲肠
B.升结肠
C.降结肠
D.横结肠
E.乙状结肠
111、单项选择题
男,根据其正常骨盆影像图像,判断其最可能的年龄()
A.5岁左右
B.10岁左右
C.15左右
D.20岁左右
E.25岁左右
112、单项选择题 关于肺癌特征影像病理基础,下列描述哪项不对()
A.空泡征:肿瘤坏死,空洞形成
B.细短毛刺:癌浸润及间质反应,多见于腺癌
C.胸膜凹陷:肿瘤瘢痕收缩
D.钙化:肿瘤钙化或包埋原有钙化灶所致
E.细支气管充气征:瘤内含气、扩张的细支气管
113、多项选择题 以下关于乳腺癌内分泌治疗的说法哪些是不正确的()
A.术后三苯氧胺应用3~5年
B.卵巢切除是内分泌治疗的手段之一
C.绝经后雌激素受体阳性患者不宜内分泌治疗
D.内分泌治疗是乳腺癌综合治疗的重要部分
E.所有的乳腺癌患者内分泌治疗都有效
114、单项选择题 心脏左右缘搏动减弱,大血管搏动正常,是诊断下述哪种疾病的特征性表现()
A.主动脉狭窄
B.联合瓣膜病
C.心肌病
D.心包积液
E.左心衰
115、单项选择题 下列哪项不是心包积液的典型X表现()
A.心影普遍性向两侧扩大,呈烧瓶样或球状
B.上腔静脉影增宽
C.心影在短期内迅速增大并肺淤血
D.心脏搏动明显减弱而主动脉搏动正常
E.主动脉影变短
116、单项选择题 下列哪项属两次曝光的摄影体位()
A.足前后位
B.足侧位
C.足内斜位
D.足外斜位
E.全足正位
117、多项选择题
男,1岁零8个月,生长发育差,易患呼吸道感染,心悸气促,心脏正、侧位片检查如图所示,正确的描述和诊断是()

A.正位示心影向两侧扩大,心尖左移
B.肺纹理增多
C.侧位示心前间隙变窄,心后食管前三角间隙消失
D.房间隔缺损
E.室间隔缺损
118、名词解释 胸膜下线
119、单项选择题 下列哪项不属于乳腺良性肿块的X线征象()
A.肿块多呈圆形或类圆形
B.肿块界限不清
C.肿块边缘光滑清晰
D.肿块密度较均匀
E.肿块有时可见透明晕圈
120、单项选择题 左心房增大的X线表现,下列哪项应除外()
A.左心缘出现4个弓,第3弓特别突出
B.降主动脉左移
C.双心房或双心缘阴影
D.心尖明显下移
E.左主支气管受压抬高
121、单项选择题 需稀释造影剂进行造影检查的是()
A.口服胆囊造影
B.静脉胆道造影
C.静脉肾盂造影
D.CTA
E.膀胱造影
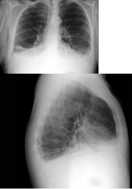
122、单项选择题
女,52岁,感胸痛2月余,无发热,X线检查如图,最可能的诊断是()

A.细支气管肺泡癌
B.两肺炎症
C.亚急性血行播散型肺结核
D.肺转移瘤
E.结节病
123、单项选择题
女,71岁,吞咽困难数月,结合图像,最可能的诊断为()

A.正常表现
B.食管静脉曲张
C.食管平滑肌瘤
D.食管上段癌
E.食管下段癌
124、判断题 输尿管结石位于其走行区内,易发生在生理性狭窄处。
125、单项选择题 滤线栅使用原则中,被照体厚度应超过()
A.15cm
B.12cm
C.10cm
D.8cm
E.5cm
126、单项选择题 婴幼儿间质性肺炎急性阶段的重要X线表现是()
A.肺实变
B.肺膨胀
C.肺不张
D.支气管扩张
E.间质纤维化
127、多项选择题 骨纤维异常增殖症四肢及躯干骨病变的X线表现包括()
A.虫蚀样改变
B.磨玻璃样改变
C.丝瓜瓤状改变
D.溶骨性改变
E.膨胀性改变
128、单项选择题 透光性低密度结石的主要成分是()
A.草酸钙
B.磷酸钙
C.磷酸胺镁
D.胱氨酸钙
E.尿酸类
129、单项选择题 后天性骨骼病变与先天性骨骼发育异常的鉴别要点在于后者()
A.弯曲变形
B.数目多少
C.骨质正常
D.骨骼粗细
E.位置异常
130、多项选择题 肾区内高密度钙化影常见于()
A.肾积水
B.肾盂肾盏结石
C.肾脏钙质沉着病
D.肾癌
E.肾动脉瘤
131、问答题 支气管扩张X线平片有哪些表现?
132、单项选择题 肺脓肿的感染途径是()
A.吸入性
B.血源性
C.邻近器官感染直接蔓延
D.以上都是
E.以上都不是
133、多项选择题 胸片上,双肺弥漫粟粒样阴影可见于()
A.肺转移瘤
B.支气管肺炎
C.结节病
D.矽肺
E.血行播散型肺结核
134、多项选择题 下列属于纵隔结构的是()
A.肺动脉
B.左锁骨下动脉
C.半奇静脉
D.膈静脉
E.交感神经链
135、单项选择题 下列属生理排泄法造影检查是()
A.钡灌肠造影
B.逆行肾盂造影
C.口服胆囊造影
D.子宫输卵管造影
E.冠状动脉造影
136、单项选择题 下列肺部病变好发部位的描述,错误的是()
A.支气管肺炎:双下肺
B.肺结核:上叶尖后段或下叶背段
C.特发性肺间质纤维化:胸膜下区
D.中央型肺癌:肺门附近
E.肺隔离症:右肺上叶
137、单项选择题 下述为节育器在盆腔正位投照时的正常形态,但除外()
A.扁圆形
B.长圆形
C.圆形
D.纵“一”字形
E.横“一”字形
138、单项选择题 中央型肺癌的横“S”征的形成,主要与下述哪项有关()
A.右下叶肺不张
B.右中叶肺不张
C.右叶间胸膜肥厚
D.右上叶肺不张
E.右叶间积液
139、单项选择题 下述骨、关节的基本病变,错误的是()
A.炎症
B.损伤
C.肿瘤
D.关节脱位
E.永存骨骺
140、单项选择题 周围型肺癌一般不出现哪项征象()
A.毛刺征
B.分叶征
C.空泡征
D.钙化
E.胸膜凹陷征
141、判断题 胰岛细胞瘤影像学检查的目的在于明确肿瘤发生的部位、肿瘤有无向周围扩散以及有无周围淋巴结和肝转移等。
142、单项选择题
男,根据其正常盆腔影像图像,判断其最可能的年龄()
A.10岁左右
B.30岁左右
C.20岁左右
D.80岁左右
E.60岁左右
143、单项选择题 成骨型骨肉瘤的特点()
A.肿瘤骨形成为主
B.早期骨皮质受侵
C.软组织肿胀
D.易引起病理骨折
E.骨皮质破坏为主
144、单项选择题 下列哪种疾病,无升主动脉扩张表现()
A.主动导管未闭
B.Marfan综合征
C.主动脉瓣狭窄
D.梅毒性主动脉炎
E.继发孔型房间隔缺损
145、单项选择题 下列哪项是阴性造影剂()
A.空气
B.40%碘化油
C.钡剂
D.5%碘化钠溶液
E.泛影葡胺
146、单项选择题 下列关于左心室增大的描述,错误的是()
A.高血压可致流出道增大
B.二尖瓣关闭不全可致流入道增大
C.流入道的增大使左心室向后上增大
D.流出道的增大使左心室向左及向下增大
E.多数情况下先流入道增大,再流出道增大
147、单项选择题 关于鼻腔癌的X线表现,下列说法哪项有错误()
A.鼻腔内出现软组织团块影
B.多无鼻中隔移位和鼻腔扩大变形
C.鼻腔侧壁或鼻中隔可有骨质吸收破坏
D.肿瘤同侧鼻窦透光度增加
E.邻近器官部位出现骨质破坏
148、单项选择题 不属于胃癌基本X线表现的是()
A.Garman综合征
B.胃壁僵硬、边缘不齐
C.项圈征及狭颈征
D.粘膜皱襞破坏中断
E.胃呈皮革状变形
149、单项选择题 脑膜中动脉,通过下列何孔入颅内()
A.卵圆孔
B.破裂孔
C.棘孔
D.视神经孔
E.颈静脉孔
150、单项选择题 大量气胸X线胸片可见()
A.患侧膈下降
B.肋间隙增宽
C.纵隔向健侧移位
D.肺不同程度的被压缩
E.以上均是
151、多项选择题 脊柱骨质增生可见于()
A.特发性肥大性骨关节病
B.强直性脊柱炎
C.脊柱结核愈合期
D.畸形性骨炎
E.脊柱外伤
152、单项选择题 CR中可记录与读出X线影像信息的载体是()
A.胶片
B.磁盘
C.成像板
D.荧光屏
E.平板探测器
153、单项选择题 关于肾结核影像特点,下列哪项错误()
A.早期肾影正常
B.肾影可增大
C.早期就有肾盂破坏
D.晚期可为肾自截
E.多为一侧肾脏侵犯
154、单项选择题
男,8岁,易疲劳,活动后心悸、气急,结合图像,最可能的诊断是()

A.房间隔缺损
B.室间隔缺损
C.肺动脉狭窄
D.动脉导管未闭
E.法洛氏四联症
155、单项选择题 第几肋骨前端有肋软骨与胸骨相连()
A.第1~10肋
B.第1~12肋
C.第4~10肋
D.第1~3肋
E.第4~12肋
156、多项选择题 下列叙述正确的是()
A.正常股骨头应在Perrin方格的内上象限
B.腕骨征阳性见于马德隆畸形
C.月骨正常为不等边四边形,若为三角形,表示月骨脱位
D.腕骨颈与股骨干在内方的颈干角约为125°
E.足内弓的正常值为115°~150°
157、单项选择题 X线机接地的意义是指()
A.工作接地
B.工作接地和保护性接地
C.保护性接地
D.工作接地和保护性接地意义相同
E.电机中心头接地
158、单项选择题 非骨化纤维瘤好发部位是()
A.胫骨近端及股骨远端
B.腓骨远端
C.肱骨近端
D.肱骨远端
E.掌指骨
159、多项选择题 下列中的哪些部位,不适合高电压摄片()
A.纵隔
B.喉
C.胸骨
D.乳腺
E.胸部
160、单项选择题 下列病变多见于骨干的是()
A.骨囊肿
B.骨巨细胞瘤
C.尤文肉瘤
D.软骨肉瘤
E.以上都不是
161、单项选择题 10月婴儿,发热、咳嗽、气喘1周,查体:嗜睡,皮肤有猩红热样皮疹,呼吸急促,鼻扇及三凹征(+),两肺散在中小水泡音。实验室检查:WBC25×10/L,N0.85,X线胸片示:两肺点片状阴影,右肺第4后肋以下呈致密片状阴影,气管向左侧移位,考虑诊断为()
A.肺炎双球菌肺炎
B.金黄色葡萄球菌肺炎
C.腺病毒肺炎
D.合胞病毒肺炎
E.肺炎支原体肺炎
162、单项选择题 IVP检查腹部压迫点的位置是()
A.第1腰椎水平两侧
B.第3腰椎水平
C.两侧髂前上棘连线水平
D.脐上两侧
E.耻骨联合上方3cm
163、判断题 维生素D过多症的主要X线表现是先期钙化带增厚,密度增高。
164、单项选择题 下列"脊柱转移瘤"特点,哪项正确()
A.平片价值最高
B.可经动脉、静脉和淋巴管转移
C.多为腺癌
D.一定有肺转移
E.多为单椎体转移
165、单项选择题 胃肠道憩室于钡剂造影时,最不易充盈的是()
A.食管囊状憩室
B.Meckel憩室
C.胃憩室
D.十二指肠降段憩室
E.结肠憩室
166、判断题 正常时纵隔位置居中,是由于两侧胸腔压力保持平衡。
167、名词解释 白肿
168、多项选择题 以下哪些是增殖型肠结核的X线表现()
A.如有粘连时可见肠管排列紊乱
B.激惹征象较明显
C.粘膜紊乱增生,呈小息肉样改变
D.病变常见于回肠末段
E.肠腔变形、缩小
169、名词解释 指压迹
170、单项选择题 女,22岁,右上肢内侧肿块1年,体检:右前臂内侧有鹅蛋大小肿块,质硬,压痛不明显,X线表现:右尺骨中段见椭圆形囊状透亮区,内有横行骨嵴,骨皮质变薄,局部骨皮质凹陷,应诊断为下列哪一种病变()
A.孤立性骨囊肿
B.动脉瘤样骨囊肿
C.骨巨细胞瘤
D.软骨黏液样纤维瘤
E.嗜酸性肉芽肿
171、多项选择题 一般摄片用X线胶片种类包括()
A.感蓝胶片
B.感绿胶片
C.乳腺摄片用正色胶片
D.清洁用胶片
E.高清晰度摄片用胶片
172、单项选择题
男,60岁,左股骨痛1年余,结合图像,最可能的诊断是()
A.骨纤维异常增殖症
B.Paget病
C.髋关节结核
D.股骨头缺血坏死
E.化脓性骨髓炎
173、填空题 乳腺主要构成基础是_______,它是由_______及_______等构成,有_______个乳腺叶。
174、名词解释 Laurin角
175、单项选择题 对钼靶X线管,叙述正确的是()
A.钼靶产生X线的效率比钨靶高
B.软组织摄片时,主要利用钼产生的连续X线
C.相同灯丝加热电流和相同管电压下,钼靶管比钨靶管获得管电流小
D.钼靶X线管的极间距离比钨靶管的小
E.钼靶产生的X线主要对密度高
176、单项选择题
女婴,出现持续性呕吐,腹胀,如图所示,最可能的诊断为()

A.肠梗阻
B.肠扭转
C.肠闭锁
D.肠旋转不良
E.肠穿孔
177、单项选择题 下列中央型肺癌引起肺不张的X线征象,错误的是()
A.新月征
B.双翼征
C.八字胡征
D.高脚杯征
E.心影转位征
178、名词解释 干性骨疡
179、单项选择题 在组织学上周围型错构瘤主要由什么成分组成()
A.骨组织
B.软骨组织
C.脂肪组织
D.平滑肌组织
E.纤维结缔组织
180、单项选择题 一般不引起左心房增大的是()
A.风湿性心脏病,二尖瓣狭窄
B.风湿性心脏病,二尖瓣关闭不全
C.心肌病
D.房间隔缺损
E.以上都不是
181、单项选择题 下列哪种病变无"上颌窦窦壁骨质破坏"的表现()
A.梅毒
B.鼻硬结肿
C.鼻窦真菌感染
D.黏液囊肿
E.结核
182、配伍题 食管上段为()食管中段为()食管下段为()
A.内层环行肌
B.外层纵行肌
C.平滑肌
D.横纹肌
E.横纹肌与平滑肌混合
183、多项选择题 X线检查中对被检者防护,应采取的措施()
A.提高国民对放射防护的知识水平
B.正确选用X线检查的适应证
C.做好非检查部位的屏蔽防护
D.采用恰当的X线质
E.严格控制照射量
184、单项选择题 氟骨症具有特殊诊断意义的X线征象是()
A.骨质疏松和骨质硬化同时存在
B.脊柱前韧带和小关节间软组织钙化
C.骨盆骶棘韧带、骶结节韧带和髂腰韧带钙化
D.粗糙的骨小梁交叉成粗纱布网眼状
E.胫腓骨和尺桡骨等处的骨间隙和闭孔周围肌肉附着处钙化
185、单项选择题 下列关于“胃小区”影像描述,错误的是()
A.正常胃小区小于10mm
B.胃窦部胃小区多为多角形
C.胃体部胃小区以圆形、椭圆形者居多
D.萎缩性胃炎患者难以显示胃小区
E.胃小区显示率与操作技术和所用钡剂特性关系密切
186、单项选择题 特发性肺间质纤维化好发于()
A.上叶尖后段或下叶背段
B.胸膜下区
C.双下肺
D.肺门附近
E.双肺弥漫分布
187、问答题 避孕环移入腹腔和坠入宫颈管有何X线表现?
188、单项选择题
男,46岁,双髋部疼痛,实验室检查血钙升高,尿本周蛋白(+),结合图像,最可能的诊断是()
A.骨髓瘤
B.骨质疏松症
C.骨转移瘤
D.骨囊肿
E.动脉瘤样骨囊肿
189、单项选择题 骨关节外伤后行X线检查的目的是()
A.明确有无骨折或脱位
B.了解骨折及脱位的类型或程度
C.了解复位或固定术后的情况
D.观察骨折处愈合情况
E.以上都是
190、名词解释 肺隔离症
191、单项选择题 下述骨性强直哪项与类风湿关节炎无关()
A.骨性强直
B.关节间隙变窄
C.骨质疏松
D.关节旁软组织内有钙化影
E.关节梭形膨大
192、名词解释 Z线
193、单项选择题
男,40岁,黑便1周,半年来呕血两次。查体:脾肋下4cm,结合图像,最可能的诊断为()

A.正常食管
B.食管癌
C.食管静脉曲张
D.贲门癌
E.食管炎
194、多项选择题 减小几何模糊,正确的措施是()
A.被照体远离胶片
B.被照体贴近胶片
C.使用小焦点
D.使用小的焦—片距
E.使用大的焦—片距
195、名词解释 支气管扩张
196、单项选择题 观察下列哪种结构,需用人工对比()
A.上颌窦
B.含气肺组织
C.肩关节
D.肾盂
E.骨盆
197、单项选择题 发生率最高的“腕骨骨折”是()
A.舟状骨骨折
B.三角骨骨折
C.大多角骨骨折
D.月骨骨折
E.豆状骨骨折
198、单项选择题 关于“子宫输卵管造影”禁忌证,错误的是()
A.不孕症
B.分娩、流产、清宫术后6周内
C.内生殖器急性炎症
D.妊娠
E.碘过敏
199、问答题 急性粟粒型肺结核的X线特点是什么?
200、多项选择题 早期食管癌根据大体病理形态分为()
A.平坦型
B.糜烂型
C.斑块型
D.髓质型
E.乳头型
201、单项选择题 下列哪种疾病,无单侧膈肌抬高表现()
A.急性脊髓灰质炎
B.带状疱疹病毒感染
C.肺底积液
D.肺梗死
E.胸主动脉瘤
202、单项选择题 有关影像变形的叙述,正确的是()
A.被照物体与胶片不平行造成了影像失真
B.影像大小与形态随X线倾斜角度改变
C.球形病灶在中心线倾斜投影下成像为椭圆形
D.X线中心线垂直于胶片,是为防止影像变形
E.以上全是
203、单项选择题 可复性食管裂孔疝的典型征象是()
A.膈上出现胃粘膜
B.食管下括约肌上升和收缩
C.食管胃环上升出现在膈上
D.部分胃底位于膈上
E.胃食管前庭管腔增宽
204、单项选择题 关于视网膜母细胞瘤的影像特点,下述哪项说法是错误的()
A.肿瘤呈乳头样或扁平状,多发病灶
B.单眼发病
C.视神经可增粗,视神经孔可扩大
D.砂粒样、斑块样钙化
E.向球外生长者预后不良
205、多项选择题 头颅柯氏位观察眼眶诸骨,包括下列哪些()
A.蝶骨大小翼
B.内听道
C.额骨眶顶部
D.乳突
E.眶上裂
206、多项选择题 肺动脉狭窄的X线表现有()
A.心脏大小正常或轻度增大
B.肺动脉段明显突向前上方
C.右肺门大于左肺门
D.主动脉结正常
E.肺血较少
207、单项选择题 下列说法正确的是()
A.颈椎前凸线的弧距小于6mm为颈椎强直
B.颈椎侧位片上,第4、5颈椎椎体前部可稍变窄,轻度楔形变
C.颈左后斜位检查颈椎左侧椎间孔,颈椎右后斜位检查颈椎右侧椎间孔
D.颈椎侧位片上椎间隙宽度约为邻近椎体高度的1/3~1/2
E.正常情况下,第5椎间孔最小
208、单项选择题 逆行肾盂造影的禁忌证是下列哪项()
A.碘过敏者
B.下尿路感染者
C.静脉尿路造影显影不满意者
D.肾功能严重损害者
E.肝功能严重损害者
209、多项选择题 下列属于X线管的固有滤过部分的是()
A.靶面
B.灯丝
C.玻璃壳
D.绝缘油
E.X线窗口
210、单项选择题
女,54岁,上腹部胀痛1月余,结合图像,最可能的诊断为()

A.正常胃
B.胃炎
C.胃窦炎
D.胃癌
E.胃溃疡
211、单项选择题 有关静脉肾盂造影的叙述,错误的是()
A.腹部不能压迫者可取头低足高位
B.过于肥胖者对比剂要加倍
C.肾下垂患者应加摄立位片
D.高质量造影照片可显示肾上腺
E.疑异位肾者应使用大规格胶片
212、单项选择题 婴幼儿肺结核最常见的X线表现是()
A.空洞和肺门淋巴肿大
B.结核球
C.肺内浸润影像和肺门淋巴结肿大
D.胸腔积液
E.散在结核钙化影
213、单项选择题
男,15岁,右髋部疼痛、红肿,有压痛,皮温增高,结合图像,最可能的诊断是()
A.骨肉瘤
B.急性骨髓炎
C.尤文肉瘤
D.转移性神经母细胞瘤
E.骨结核
214、配伍题 输尿管长约()输精管长约()
A.15~20cm
B.30~45cm
C.25~30cm
D.2~8cm
E.10~12cm
215、名词解释 间位结肠
216、单项选择题 关于“Apert综合征”,下列描述错误的是()
A.两眼间距过宽
B.第3、4指并指畸形
C.颅内压增高相应表现
D.长骨对称性扩张呈"烧瓶状
E.冠状缝、矢状缝早闭
217、单项选择题
男,65岁。走路时,不慎摔倒。查体:左下肢缩短,外旋50°畸形。
该患者最可能的诊断为()
A.左粗隆间骨折
B.左股骨颈骨折
C.左髋关节脱位
D.左髋软组织挫伤
E.左髋臼骨折
218、填空题 乳腺X线检查主要用于乳腺疾病的_______和乳腺癌的_______和_______。
219、单项选择题 关节脱位发生率从高到低排列的次序为()
A.肩关节>足关节>肘关节>髋关节>踝关节>腕关节>膝关节
B.肘关节>膝关节>腕关节>踝关节>髋关节>足关节>肩关节
C.肘关节>肩关节>足关节>髋关节>踝关节>腕关节>膝关节
D.髋关节>膝关节>腕关节>踝关节>足关节>肩关节>肘关节
E.踝关节>腕关节>膝关节>肘关节>肩关节>足关节>髋关节
220、填空题 腹腔脓肿按其发生部位可分为___________、_________________和______________。
221、名词解释 蜗牛胃
222、名词解释 胃石
223、单项选择题
男,40岁,胸痛胸闷2月余,胸片如图,最可能的诊断为()

A.右侧恶性胸膜间皮瘤
B.右侧胸腔积液
C.右侧包裹性积液
D.右侧良性胸膜间皮瘤
E.右侧胸膜增厚
224、单项选择题 我国1978年制订的肺结核病分类方法,将肺结核病分几类()
A.4类
B.5类
C.6类
D.7类
E.8类
225、单项选择题 “双侧肺血减少”见于()
A.异物吸入
B.肺隔离症
C.中央性肺癌
D.Ebstein畸形
E.Macleod综合征
226、单项选择题 最易引起有肺气囊的肺炎病菌是()
A.肺炎杆菌
B.葡萄球菌
C.链球菌
D.病毒
E.肺炎链球菌
227、单项选择题 下列哪项不属于胃溃疡X线间接征象()
A.指压迹征
B.空腹潴留液
C.张力增强
D.张力减弱
E.龛影
228、单项选择题
女,年龄47岁,膝关节疼痛6月余,曾服用泼尼松(服用时间5个月),有骨性关节炎史,结合图像,最可能诊断是()
A.慢性化脓性骨髓炎
B.骨梗死
C.恶性骨肿瘤
D.内生软骨瘤
E.骨纤维结构不良
229、配伍题 脾栓塞适应证()脾栓塞禁忌证()脾栓塞并发症()
A.败血症
B.原发脾亢
C.肝癌
D.肾衰
E.胰腺梗死
230、判断题 石棉肺胸膜斑阴影比肺内改变出现的要早。
231、填空题 鼻咽癌起源于___________或__________,多数为____________,少数为_______、_________等。
232、单项选择题 关于“Peutz-Jeghers综合征”,错误的是()
A.偶有结肠多发息肉
B.胃肠多发息肉
C.口唇粘膜色素沉着
D.空肠恶变
E.易套叠、出血
233、多项选择题 肺静脉高压可见于()
A.二尖瓣狭窄
B.左房黏液瘤
C.肥厚性心肌病
D.反复发作的肺栓塞
E.二尖瓣关闭不全
234、单项选择题 关于冠状动脉解剖的描述哪项不正确()
A.心脏正位片上左冠窦向左膨出,右冠窦向右膨出,无冠窦位于两窦之间的前壁
B.左冠状动脉主干走行于肺动脉干和左心耳之间,至左房室沟处分为两支
C.左前降支阻塞时,由斜角支建立侧支循环由右冠状动脉供血给左室
D.右冠状动脉窦房结支通常为第2分支,走向后上方,供血给心脏系统的重要部位
E.约18%的人右冠状动脉远侧段缺如
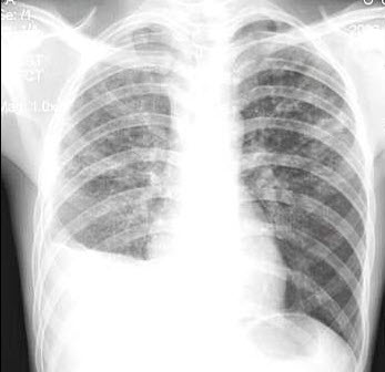
235、单项选择题
女,58岁,咳嗽、咳痰2周余,结合CT图像最可能的诊断是()

A.双侧胸腔积液、右下肺炎
B.双侧胸腔积液
C.右下肺炎并右侧胸腔积液
D.双侧胸膜肥厚
E.肺癌并胸水形成
236、单项选择题
患儿,男,1天,生后呼吸困难,羊水见胎粪污染,如图,最可能的诊断为()

A.新生儿肺炎
B.新生儿湿肺
C.新生儿肺出血
D.新生儿呼吸窘迫综合症
E.胎粪吸入综合征
237、多项选择题 下述哪些疾病可出现空洞()
A.肺结核
B.肺脓肿
C.肺炎
D.真菌病
E.韦格氏肉芽肿
238、多项选择题 X线影像变形的叙述,正确的是()
A.被照体平行胶片时,放大变形最小
B.被照体接近中心线时,位置变形较小
C.中心线过被照体部位且垂直胶片,形状变形最小
D.被照体接近中心线时,位置变形较大
E.中心线过被照体部位且垂直胶片,放大变形最小
239、多项选择题 婴幼儿和儿童的骨髓炎的特点有()
A.骨生长障碍
B.骨骺早期闭合和发育畸形
C.骨破坏广泛容易造成大块骨干坏死
D.发病急
E.全身中毒症状重
240、多项选择题 肠系膜下动脉分支有哪些()
A.右结肠动脉
B.左结肠动脉
C.中结肠动脉
D.直肠上动脉
E.乙状结肠动脉
241、多项选择题 成人双侧肾长径相差大于3cm,应考虑为()
A.慢性肾小球肾炎
B.糖尿病肾病
C.急性肾小管坏死
D.慢性肾盂肾炎
E.肾动脉狭窄
242、单项选择题 返流性食管炎的主要病因,不包括哪项()
A.食管下端括约肌功能减弱
B.膈肌裂孔钳闭作用减弱
C.食管胃之间锐角(His角)变钝或消失
D.食管排空功能及食管粘膜防御机制下降
E.吞服或误服腐蚀剂造成的损伤
243、判断题 骨髓瘤患者尿中的凝溶蛋白(Bence-Jones)均为阳性。
244、判断题 中心型脊椎结核早期即引起椎间隙狭窄。
245、单项选择题 女,27岁,哺乳期,乳头内陷,双乳胀痛,防止急性乳腺炎的措施中,下列哪项是错误的()
A.纠正乳头内陷
B.正确哺乳,清洗乳头
C.应用抗生素
D.防止乳头损伤
E.避免乳汁郁积
246、单项选择题 二尖瓣型心脏常见于()
A.风湿性二尖瓣疾患
B.房间隔缺损
C.肺动脉狭窄
D.肺源性心脏病
E.以上都是
247、单项选择题
男,两月。表现排便困难、便秘、腹胀,经常哭闹。如图所示,最可能的诊断为()

A.先天性巨结肠
B.假性先天性巨结肠
C.新生儿坏死性小肠结肠炎
D.先天性肠闭锁
E.肠套叠
248、判断题 食管贲门失弛缓症的X线表现为食管下端呈漏斗状狭窄,上端扩张,边缘毛糙,粘膜可中断或不中断。
249、判断题 浅表型胃炎的X线表现为粘膜粗大、紊乱,常伴多发表浅溃疡。
250、单项选择题 “脊柱骨髓瘤”区别于“椎体血管瘤”的特点为()
A.多累及松质骨
B.破坏区内骨小梁消失
C.椎体内多发骨质破坏区
D.椎旁出现软组织肿块
E.病理骨折
251、名词解释 哺乳期乳腺
252、填空题 脊柱有5个移行带,即__________、_________、________、________和________。
253、单项选择题 下列属于颈椎病X线表现的有()
A.可伴有小关节面硬化
B.椎体边缘骨质增生、硬化
C.椎间孔狭窄
D.椎间隙变窄
E.以上都是
254、单项选择题 正常发育期胫骨结节可表现为()
A.数个排列规整、间隙匀称和边缘光滑的骨块
B.胫骨前软组织肿胀
C.膝关节脱位
D.半月板钙化
E.疲劳骨折
255、多项选择题 成人幽门梗阻的常见病因有哪些()
A.幽门管溃疡
B.胃窦癌
C.胃粘膜脱垂
D.十二指肠球部溃疡
E.成人幽门肌肥大
256、多项选择题 下列摄片组合,中心线选用错误的是()
A.骶椎-向头侧倾斜15°~20°
B.尾椎-向足侧倾斜15°
C.骶椎-向足侧倾斜5°~15°
D.腰骶关节-向头侧倾斜15°~20°
E.骶髂关节-向头侧倾斜5°~10°
257、单项选择题
如图,在正常胸部X线影像图像上,该英文字母所代表的肺段为()

A.尖段
B.后段
C.尖后段
D.舌叶上段
E.前段
258、单项选择题 髓内肿瘤中以哪种组织学类型最常见()
A.错构瘤
B.血管母细胞瘤
C.神经母细胞瘤
D.胶质瘤
E.神经上皮性囊肿
259、单项选择题 易与胰头肿块混淆的是()
A.门腔淋巴结
B.右肾上腺
C.右侧膈肌脚
D.十二指肠
E.胃幽门管
260、单项选择题 小儿腹部平片出现“双泡”征,最可能的诊断为()
A.正常变异
B.胃扭转
C.幽门肌肥大
D.十二指肠梗阻
E.小肠旋转不良
261、单项选择题 恶性肿瘤的钙化特点是()
A.钙化比较分散
B.钙化的密度比较一致
C.钙化一般位于肿块内
D.钙化的边界清楚
E.钙化形态比较规则
262、单项选择题 下列对放射线最敏感的恶性骨肿瘤是()
A.尤文肉瘤
B.软骨肉瘤
C.成骨肉瘤
D.纤维肉瘤
E.骨巨细胞瘤
263、单项选择题
成骨不全症需与下列各病进行鉴别诊断,应除外哪一种()
A.软骨发育不全症
B.干骺发育不良症
C.维生素C缺乏症
D.脆骨症
E.维生素D缺乏病
264、判断题 片状、结节状或球形影多数为间质性病变。
265、单项选择题 腮腺良性肿瘤中以哪种最多见()
A.腮腺淋巴瘤
B.腮腺混合瘤
C.腮腺血管瘤
D.腮腺脂肪瘤
E.沃辛瘤
266、判断题 骨膜呈层状或花边状增生为后天性骨梅毒的重要特征。
267、判断题 继发骨化中心开始于骺的中央并逐渐扩大与干骺端相接。
268、单项选择题 关于髋关节正位标准片所见,哪项不确切()
A.照片包括髋关节、股骨近端1/3,同侧耻坐骨及部分髂骨翼
B.股骨头位于照片上1/3正中,大粗隆与股骨颈相重叠1/3
C.股骨颈及闭孔无投影变形
D.髋关节骨纹理清晰锐利
E.小髋关节正位必须双侧对比显示
269、单项选择题 下列X线征象中,诊断肺底积液较可靠的是()
A.肋膈角变钝,肋间隙增宽
B.横膈抬高,最高点位于横膈外1/3处
C.横膈抬高,最高点位于横膈内1/3处
D.纵隔心影向对侧移位
E.纵隔心影向同侧移位
270、单项选择题
男,24岁,低热2周,咳少量痰。胸片示右上肺不均密度增高影,其中有空洞形成,血沉45mm/h。
最可能的诊断是()
A.右上肺炎
B.右上肺结核
C.右上肺癌
D.右上肺囊肿
E.右上肺脓肿
271、填空题 肝血色素沉着病三大临床特点是_________、_______________和__________。
272、多项选择题 闭襻性肠梗阻的X线征象是()
A.长液平征
B.短液平征
C.空回肠转位征
D.咖啡豆征
E.假肿瘤征
273、单项选择题 法洛四联征心影改变呈()
A.梨形心
B.主动脉型心
C.横位心
D.滴状心
E.靴形心
274、单项选择题 腹水患者卧位腹部平片能显示的是()
A.腹内结构不清,密度增高
B.小肠被压向腹部周边部位
C.结肠与腹脂线间距加大
D.狗耳征
E.腰大肌影欠清晰
275、填空题 地中海贫血即__________________,由Cooley(1925年)首先报道,故又称为___________,也称_______________,为常染色体显性遗传性疾病。
276、单项选择题 良性溃疡X线征象中哪项不正确()
A.龛影突出胃壁轮廓之外
B.治疗后好转
C.龛影正面观呈圆形
D.粘膜皱襞通到龛影口
E.胃大弯浅盘状溃疡
277、单项选择题 尘肺的X线描述术语中,错误的是()
A.大阴影
B.小阴影
C.浸润性阴影
D.胸膜斑
E.弥漫性胸膜增厚
278、填空题 先天性髋关节脱位有两种含义,其一为______________,其二为______________。
279、判断题 夏科关节最早的X线表现是关节囊肿胀,轻微半脱位。
280、名词解释 Mikulicz综合征
281、单项选择题 下列有关“骨气鼓”特点,哪项错误()
A.常见于小儿患者
B.患骨梭形膨大,密度增高
C.见于骨结核
D.指骨、趾骨等短管状骨多见
E.骨膜反应不明显
282、单项选择题 食管异物最易发生的部位()
A.食管中段
B.食管生理狭窄处,以食管入口处最多见
C.食管下端壶腹部
D.易存留于主动脉弓压迹之下方
E.以上都不正确
283、单项选择题 下述肺炎中能明确分期的是()
A.支气管肺炎
B.支原体肺炎
C.过敏性肺炎
D.金葡菌肺炎
E.大叶性肺炎
284、单项选择题 腹腔积气立位透视可见()
A.膈下新月形气体影
B.无明显异常
C.胃肠腔内积气
D.腹内高密度影
E.腹部密度普遍增高
285、单项选择题 主肺动脉窗层面不包括哪一解剖结构()
A.升主动脉和降主动脉
B.降主动脉,气管
C.上腔静脉
D.奇静脉弓通常也位于此层面
E.头臂静脉
286、单项选择题
女,24岁,脐左旁疼痛2年。体检:脐左上压痛,结合图像,最可能的诊断为()
A.正常表现
B.胃癌
C.轻度胃下垂
D.中度胃下垂
E.重度胃下垂
287、单项选择题 下列有关尤文肉瘤的描述哪项是错误的()
A.好发生于长骨的骨干或干骺端
B.骨髓腔内出现斑片状骨质破坏
C.骨膜呈葱皮样改变
D.破坏区周围常无硬化缘
E.以上都不是
288、单项选择题 肺动脉高压诊断要点为()
A.肺纹理增粗,结构清晰
B.肺纹理增粗,结构模糊
C.多继发于左心衰
D.肺野透亮度减低
E.出现间隔线
289、填空题 脾增大明显时可引起____________、___________和_____________。
290、填空题 儿童期大骨节病依据发病的解剖部位分为__________、__________、_________和__________。
291、单项选择题
男,16岁,长期的骨骼肌肉畸形,听力障碍,结合图像,最可能的诊断是()
A.马方综合征
B.成骨不全
C.肾性骨病
D.甲状旁腺功能亢进
E.维生素D缺乏症
292、单项选择题 平静呼吸下屏气,常用于哪个部位的检查()
A.手
B.下肢
C.前臂
D.心脏
E.躯干
293、单项选择题 放大摄片下,使用0.05mm的超微焦点X线管,半影阈值为0.2mm,那么最大的放大率是多少()
A.2倍
B.4倍
C.5倍
D.6倍
E.8倍
294、单项选择题
男,20岁,胸闷、低热1月余,突然咯血,X线检查如图,最可能的诊断是()

A.肺结核(Ⅰ型)伴右侧胸腔积液
B.肺结核(Ⅲ型)伴右侧胸腔积液
C.肺结核(Ⅱ型)伴右侧肺不张
D.肺结核(Ⅲ型)伴右侧肺不张
E.肺转移瘤伴右侧肺不张
295、判断题 肋骨前段常用作胸腔积液的定位标志。
296、单项选择题 关于桡腕关节的描述正确的是()
A.由桡骨下端的腕关节面构成关节窝
B.属椭圆关节
C.由近侧副腕骨构成关节头
D.伸蜘宙度大于屈,外展的幅度大于内收
E.舟骨、月骨、三角骨、钩状骨均参与构成
297、单项选择题 关于腰椎侧位片显示的叙述,错误的是()
A.全部腰椎呈侧位显示在片内
B.椎间孔投影于照片正中
C.腰大肌影像清晰
D.椎体后缘无双边征
E.椎间隙显示清晰
298、名词解释 先天性支气管囊肿
299、单项选择题 下列粉尘中,致癌作用最强的是()
A.石棉尘
B.青石棉
C.滑石粉
D.赤铁矿粉尘
E.镍矿粉尘
300、判断题 小肠憩室是指小肠壁局限性突出呈囊袋状。