时间:2025-09-24 04:16:07


1、单项选择题 眼球异物定位方法中定位最准确的是()
A.巴尔金氏定位法
B.角膜缘定位环法
C.吸盘式定位器法
D.薄骨位摄片法
E.无骨位摄片法
2、单项选择题 水的衰减系数是()
A.0
B.1
C.2
D.10
E.100
3、多项选择题 中枢神经系统结节性硬化包括()
A.皮层和皮层下白质、白质和侧脑室室管膜下错构瘤
B.室管膜下巨细胞星形细胞瘤
C.放射状异位白质
D.室管膜下结节
E.视网膜星形细胞错构瘤
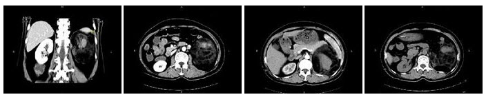
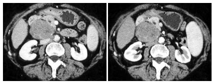
4、单项选择题
男,45岁,右腰部隐痛不适伴无痛性肉眼血尿1月,结合所示图像,最可能的诊断是()
A.右肾癌
B.右肾血管平滑肌脂肪瘤
C.右肾感染性囊肿
D.右肾盂癌
E.右肾脓肿
5、单项选择题 关于第六脑室的描述,不列哪项是错误的()
A.又称“Vergae”腔
B.透明隔向后延伸
C.脑脊液密度
D.位于第三脑室体部中间
E.与脑室相通
6、单项选择题 下列哪种肿瘤在肝脏的转移可出现钙化()
A.卵巢癌
B.脑星形细胞瘤
C.肺癌
D.膀胱癌
E.胰腺癌
7、单项选择题 鞍区CT扫描的适应证不包括()
A.鞍区骨质破坏、钙化
B.怀疑垂体肿瘤或与垂体内分泌失调有关的疾病
C.高血压病
D.垂体瘤术后复查
E.鞍区其他肿瘤,如颅咽管瘤、脑膜瘤等
8、单项选择题
男,13岁,右髋部疼痛不适,无红肿,结合所提供的图像,最可能的诊断是()
A.非骨化性纤维瘤
B.骨巨细胞瘤
C.畸形性骨炎
D.内生软骨瘤
E.骨纤维结构不良
9、单项选择题 下面有关大脑半球的描述,正确的为()
A.脑岛位于额叶深部
B.中央前回属于顶叶
C.额顶叶以中央沟为界
D.半卵圆中心为灰质结构
E.扣带回在胼胝体下方
10、多项选择题 男,21岁,CT示颅后窝中线区略低密度病灶,3cm×3cm大小,关于影像学分析下列哪些是正确的()
A.四脑室前移,首先考虑髓母细胞瘤
B.四脑室前移,脑积水明显,首先考虑室管膜瘤
C.灶周围见残存的脑室,首先考虑脑室肿瘤
D.四脑室受压、变形,灶周水肿明显,鉴别诊断应考虑髓母细胞瘤、星形细胞瘤等
E.水肿的程度是鉴别髓母细胞瘤和室管膜的首要因素
11、单项选择题
男,19岁,腹胀,腹部隆起半年余,CT检查如图,最可能的诊断是()
A.腹腔淋巴管瘤
B.腹腔积液
C.腹腔转移癌
D.小肠间质瘤
E.肠系膜囊肿
12、单项选择题 关于CT扫描图像重建技术的理解,下述哪个不妥()
A.CT扫描图像重建是通过过滤函数的计算来完成的
B.过滤函数是CT机内设定的算法,操作者不可选择
C.根据观察不同组织的对比和诊断需选择不同的过滤函数
D.选择适当的过滤函数可提高图像质量
E.过滤函数影响图像空间分辨率与密度分辨率
13、多项选择题 胆结石的CT表现有哪些()
A.高密度结石表现为单发或多发,圆形、多边形或泥沙状的高密度影
B.胆结石分为高密度、等密度和低密度3种类型
C.肝内胆管结石呈点状、结节状、不规则状表现,常伴周围胆道扩张
D.胆总管结石时上部胆管扩张,结石部位的层面扩张的胆管突然消失
E.胆结石的CT值测定大致反映结石化学成分的含量
14、单项选择题 下列哪项不是夹层动脉瘤的CT表现()
A.双腔征象
B.真腔对比剂浓度一般高于假腔
C.内膜钙化没有内移
D.真假腔之间的内膜瓣
E.假腔内可以继发血栓形成
15、单项选择题
男,55岁,腰背痛,反复感染,尿蛋白(+),本周蛋白(+),血钙升高,结合图像,最可能的诊断是()
A.恶性淋巴瘤
B.转移瘤
C.骨髓瘤
D.尤文肉瘤
E.恶性纤维组织细胞瘤
16、单项选择题
女,5岁,腹部逐渐隆起,可触及巨大包块,CT扫描如图,最可能的诊断是()
A.腹膜腔后神经纤维瘤
B.腹膜腔后神经鞘瘤
C.腹膜腔后淋巴瘤
D.腹膜腔后神经母细胞瘤
E.腹膜腔后平滑肌肉瘤
17、多项选择题 男,67岁,头痛2周,CT示左额叶不均匀混杂密度肿块,周围大片水肿,关于影像学分析下列哪些是正确的()
A.内见条索样钙化,应考虑:少枝胶质细胞瘤
B.边界模糊不清,增强后瘤体不均匀强化应考虑星形细胞瘤
C.内无条索样钙化,可除外少枝胶质细瘤
D.周围出现环样强化,病灶中心密度高向四周渐低,应考虑有出血的可能
E.边界模糊不清,增强后瘤体不均匀强化应考虑转移瘤
18、单项选择题 关于灰阶与CT值关系的叙述,正确的是()
A.高CT值部分被转换为黑色
B.高CT值部分被转换为白色
C.X线衰减越大,转换成灰阶后颜色越深
D.图像中X线未被衰减,将显示为白色图像
E.改变窗宽,也可改变被显示物体的CT值
19、单项选择题 胸部CT扫描时,病人两手臂上举抱头的目的是()
A.便于注射对比剂
B.可避免移动
C.减少伪影
D.病人更舒适
E.方便病人的呼吸
20、单项选择题 肾囊肿的常见临床表现是()
A.血尿
B.肿物
C.疼痛
D.尿频、尿急
E.一般无临床症状
21、单项选择题
女,27岁,发热,左侧胸部疼痛2月余,结合影像学检查,最可能的诊断是()
A.骨肉瘤
B.肺癌
C.软骨肉瘤
D.骨样骨瘤
E.尤文肉瘤
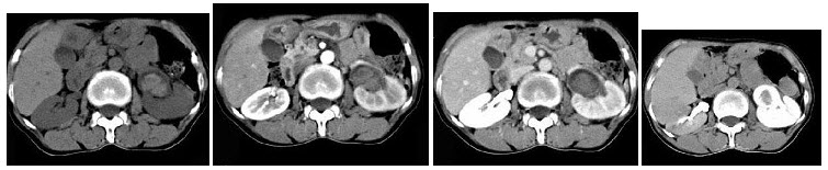
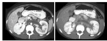
22、多项选择题
女,14岁,左腰部胀痛,CT平扫+增强如图所示,下列说法正确的是()
A.左肾实质内可见两个类圆形的囊性病灶,边缘光整,增强后不强化
B.左肾后外侧缘可见一较大的囊性病灶,其壁薄而光整,考虑为肾包膜下囊肿
C.左肾后外侧缘可见一较大的囊性病灶,其壁薄而光滑,考虑为肾外囊性病灶
D.考虑为多囊肾
E.考虑为多发性肾囊肿
23、单项选择题 心包上隐窝与气管前淋巴结的鉴别要点不包括()
A.位于气管前间隙内
B.典型可成水样密度
C.位置在右肺动脉上方
D.贴近升主动脉后壁
E.增强扫描无强化
24、单项选择题
关于十二指肠球部溃疡,下列说法不正确的是()
A.常见球部变形
B.溃疡可多发
C.胃肠钡餐检查可见点状钡斑
D.可见胃蠕动增强
E.部分可恶变
25、单项选择题 下面关于腹部CT图像的显示和摄影技术错误的是()
A.一般用腹窗和软组织窗观察
B.肝胆、胰、脾、肾及腹膜后腔的扫描图像一般用腹窗
C.肾上腺一般用软组织窗观察
D.腹窗:窗宽100~200HU,窗位30~50HU
E.软组织窗:窗宽100~200HU,窗位30~50HU
26、单项选择题 肺隔离症的CT表现,错误的是()
A.多为类圆形肿块灶
B.多位于左下叶后基底段
C.早期明显强化
D.病变实质密度,不含气
E.边缘清晰
27、单项选择题 急性硬膜外血肿典型的CT表现不包括()
A.梭形
B.高密度
C.内缘光滑,锐利
D.内缘模糊不清
E.皮层挤压内移
28、单项选择题
男,31岁,右髋部疼痛,邻近关节活动受限,右股骨有外伤史,结合图像,最可能的诊断是()


A.骨外骨肉瘤
B.骨化性肌炎
C.骨外软骨肉瘤
D.皮质旁骨肉瘤
E.软组织钙化
29、单项选择题 脊柱动脉瘤样骨囊肿好发于()
A.椎体
B.椎管
C.附件
D.椎旁
E.椎间孔
30、多项选择题 心肌梗死的并发症包括()
A.室壁瘤
B.乳头肌梗死
C.心脏破裂
D.心律失常
E.以上都不是
31、单项选择题 在脑膜瘤的肿瘤包膜构成中,除哪项其他均正确()
A.肿瘤周围的水肿
B.肿瘤周围的神经胶质
C.肿瘤周围的薄层脑脊液
D.肿瘤周围的小血管
E.肿瘤周围萎缩的皮层
32、单项选择题
女,39岁,低热、乏力,腹胀,下腹触及明显肿块,体重减轻,影像检查如图,最可能的诊断是()
A.小肠结核
B.小肠Crohn病
C.小肠淋巴瘤
D.小肠癌
E.小肠重复畸形
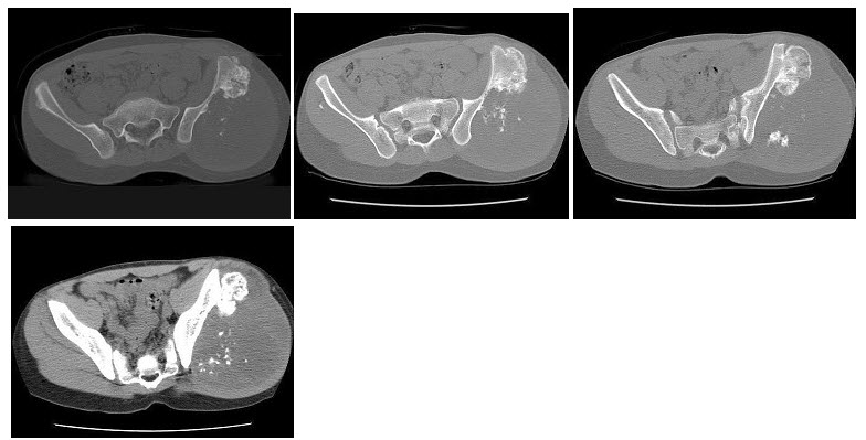
33、单项选择题
男,53岁,腰骶部持续性隐痛,可扪及肿大包块3月余,结合影像学检查,最可能的诊断是()
A.骨巨细胞瘤
B.骨肉瘤
C.骨囊肿
D.脊索瘤
E.骨脓肿
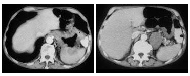
34、多项选择题
女,64岁,左侧腰部胀痛,行CT扫描,如图所示,下列说法正确的是()
A.左肾区可见一巨大的占位性病灶,境界较清楚,胰腺尾部受压向前推移
B.该病灶密度不均匀,其内可见脂肪密度影,且呈不均匀强化
C.考虑为左肾来源的血管平滑肌脂肪瘤
D.考虑为左侧肾上腺来源的髓样脂肪瘤
E.考虑为腹膜后来源的脂肪肉瘤
35、单项选择题 关于骨关节软组织CT扫描,错误的是()
A.在X线平片的指导下,确定扫描范围
B.肢体检查应双侧同时扫描
C.应用骨窗和软组织窗同时观察
D.有时可采用斜位扫描
E.为发现骨病变行增强扫描
36、单项选择题 冠状动脉粥样硬化的早期病理改变为()
A.冠状动脉狭窄
B.冠状动脉阻塞
C.冠状动脉内膜黄色脂纹
D.心肌缺血坏死
E.冠状动脉侧支循环建立
37、单项选择题 关于鼻咽部纤维血管瘤的表述不正确的是()
A.为无包膜的血管性肿瘤
B.起源于鼻咽顶或翼腭窝
C.增强CT扫描病变显著强化
D.多见于50岁以上男性
E.相邻骨结构异常
38、单项选择题 对于“涎腺肿瘤”临床特点的描述,下列说法哪项正确()
A.病理类型单一
B.颌下腺肿瘤,良性多见
C.腮腺肿瘤,恶性居多
D.腮腺肿瘤占70%~80%,其次为颌下腺肿瘤
E.CT对腮腺恶性肿瘤定性价值较高
39、单项选择题 支气管扩张患者,CT示扩张的细支气管比伴行肺动脉粗,两者共同构成的影像,称为()
A.葡萄征
B.印戒征
C.晕环征
D.手套征
E.轨道征
40、单项选择题 前列腺癌发生部位主要是()
A.70%发生于后部及周边区
B.70%发生于前部和中央部
C.90%发生于周边区
D.5%发生于前部并突至膀胱
E.5%发生于周边部突至直肠前凹
41、多项选择题 扩张型心肌病应与下列哪些疾病鉴别()
A.心肌梗死
B.心包积液
C.风湿性心脏病
D.三尖瓣下移
E.以上都不对
42、单项选择题
男,41岁,体检X线提示纵隔增宽,CT检查如图,最可能的诊断是()
A.淋巴瘤
B.纵隔畸胎瘤
C.胸腺瘤
D.间皮囊肿
E.胸内甲状腺肿
43、单项选择题 先天性支气管扩张的病理基础为()
A.支气管壁组织的炎性病变
B.支气管内压增高
C.邻近肺组织对支气管的外在牵引
D.支气管弹性纤维不足或软骨发育不全
E.以上全对
44、单项选择题 关于冠状动脉闭塞端的CT表现下列哪项是正确的()
A.鼠尾状表现提示急性闭塞
B.鼠尾状表现提示慢性闭塞
C.截断状表现提示慢性闭塞
D.截断状表现提示慢性闭塞的急性期
E.以上都不对
45、单项选择题 肾结核的静脉肾盂造影最早出现的肾盂改变是()
A.肾皮质结核瘤
B.肾柱钙化
C.肾盂狭窄
D.肾乳头及肾小盏破坏
E.肾盂积水
46、单项选择题 肺淀粉样变性分型,下列哪项不在其内()
A.肿瘤型
B.肺炎型
C.弥漫肺泡间隔型
D.气管支气管型
E.胸膜型
47、单项选择题
女,45岁,抑郁嗜睡1月,实验室检查血钙3mml/L,CT图像如图,最可能的诊断为()
A.正常
B.永存上腔静脉干
C.胸内甲状旁腺瘤
D.胸内甲状腺瘤
E.囊性胸腺瘤
48、单项选择题
女,49岁,骶部隐痛1月余,结合影像学检查,最可能的诊断是()
A.脊索瘤
B.骨转移瘤
C.骨巨细胞瘤
D.骨囊肿
E.骨结核
49、单项选择题 有助于诊断结节性硬化的CT表现为()
A.脑室扩大伴钙化
B.脑表浅部钙化
C.豆状核钙化
D.脑底钙化
E.室管膜下结节样钙化
50、单项选择题 临床疑支气管扩张症,胸部X线未见病灶,怎样选择CT检查方法()
A.增强CT扫描
B.层厚10mm层距10mm平扫
C.层厚10mm层距20mm平扫
D.层厚5mm层距20mm平扫
E.层厚1~1.5mm,高分分辨率CT扫描
51、单项选择题 不属于眼及眼眶CT增强扫描技术的是()
A.怀疑眶内肿瘤、炎症、血管性病变及眶内肿瘤向眶外侵犯时,需作增强扫描
B.增强扫描可使血管、肌肉和有血供的病变清楚显示,有利于对病变的定性
C.对比剂使用同颅脑增强
D.延迟扫描时间为50秒
E.临床怀疑血管性病变者,还可用动静脉、延迟三期扫描
52、单项选择题 Caroli氏病属于先天性胆管囊肿哪一型()
A.Ⅰ型
B.Ⅱ型
C.Ⅲ型
D.Ⅳ型
E.Ⅴ型
53、单项选择题 下列哪项不是胃静脉曲张的CT表现()
A.胃底或胃体后部团状软组织影
B.增强扫描后无强化
C.门静脉高压时可见其他侧支循环
D.常同时见奇静脉扩张
E.常有肝硬化表现
54、多项选择题 关于腺性膀胱炎,描述正确的是()
A.慢性感染被认为是其发生的主要诱因
B.膀胱壁无钙化
C.膀胱壁可见蛋壳样钙化
D.膀胱壁呈局限性不规则增厚或弥漫均匀性增厚
E.一般不侵犯肌层
55、单项选择题 CT和MRI上骨破坏区显示液.液平面,常见于()
A.动脉瘤样骨囊肿
B.内生软骨瘤
C.骨样骨瘤
D.骨纤维异常增殖症
E.骨肉瘤
56、单项选择题 下述哪一项首先接受穿过人体后的X线()
A.阵列处理机
B.照相机
C.探测器
D.计算机
E.磁盘
57、单项选择题 “不定形”征见于()
A.肝脏亚急性血肿
B.肝囊肿
C.原发性肝癌
D.肝脏血管瘤
E.肝腺瘤
58、多项选择题 发生于脊髓内常见肿瘤为()
A.星形细胞瘤
B.神经纤维瘤
C.室管膜瘤
D.神经鞘瘤
E.淋巴瘤
59、单项选择题 CT机空间分辨率的测量,常用的方法是()
A.目测
B.仿真人体体模
C.分辨率体模
D.分辨率测试线对板
E.星模卡
60、多项选择题
女,63岁,突发性肉眼血尿伴下腹胀,无外伤病史,左腰部叩击痛,CT扫描如图示,下列说法正确的是()
A.平扫左肾盂输尿管连接处可见高密度肿块影
B.增强后,肾实质强化明显而病灶处无强化,形成明显对比
C.病灶边缘光滑,清晰
D.考虑为肾盂血块
E.考虑为肾盂输尿管癌
61、单项选择题 下列关于嗜铬细胞瘤的描述,错误的是()
A.多见于14岁以下儿童
B.为圆形或卵圆形的肿块
C.既可有实质性肿块,也可有囊性肿块
D.增强扫描后肿瘤强化明显
E.肿瘤大小不能鉴别良恶性
62、单项选择题 腹部脏器的CT增强扫描检查技术不合理的是()
A.腹部增强扫描的对比剂注射方法均采用静脉内团注法
B.对比剂用量60~80ml,流速2~3ml/s
C.肝脏、脾脏增强通常采用"三期"扫描
D.胰腺增强扫描通常采用"三期"扫描
E.肾脏增强扫描通常应扫描皮质期、髓质期和分泌期
63、单项选择题 关于碘对比剂的叙述,正确的是()
A.泛影葡胺属无机碘化物
B.碘对比剂均为阳性对比剂
C.离子型对比剂是阴性对比剂
D.非离子对比剂不能用于心血管造影
E.复方泛影葡胺是非碘对比剂
64、单项选择题
根据所提供的图像,最可能的诊断是()
A.起源于神经组织的团块
B.囊腺瘤
C.假性囊肿
D.囊肿
E.以上都不是
65、多项选择题 下述哪项CT值大于90HU()
A.结核灶钙化
B.新鲜血液
C.陈旧性血肿
D.陈旧血肿钙化
E.腹水
66、单项选择题 颈动脉体瘤的CT表现中,颈总动脉分叉表现为()
A.无扩大
B.轻度扩大
C.扩大,呈杯状
D.向前移位
E.缩小
67、单项选择题 CT检查前患者的准备工作不包括()
A.患者须携带有关检查资料
B.被检查患者的家属不能进入CT室
C.对患者应作好耐心的解释说明工作
D.对于不能合作的患者事先给予镇静剂
E.需要做增强的患者做或不做过敏试验
68、单项选择题 在CT横断面上肝内门静脉与肝静脉的鉴别点,下述哪项是错误的()
A.肝静脉与门静脉走行相反
B.肝静脉在肝叶间或段间走行,而肝门静脉分支则出现于叶内或段内
C.门静脉属支多较直,而肝静脉分支多弯曲或具有多种形状
D.肝静脉越近膈肌其口径越大
E.门静脉越近肝门其口径越大
69、单项选择题 男,65岁,右侧肢体肌力弱,CT示左额顶叶有一2.5cm×4cm混杂密度区,花环样强化,中线右移,最大可能为()
A.恶性脑膜瘤
B.少枝胶质细胞瘤
C.恶性淋巴瘤
D.胶质母细胞瘤
E.脑结核球
70、多项选择题 肾髓质钙化可见于下列哪种情况()
A.原发性甲状旁腺功能亢进
B.先天性肾小管性酸中毒
C.痛风性肾病
D.急性肾皮质坏死
E.髓质海绵肾
71、单项选择题 脑干结构不包括()
A.桥脑
B.延髓
C.颈髓上段
D.中脑
E.四叠体
72、单项选择题 慢性中耳炎引起颅内感染最常累及的部位是()
A.额叶
B.顶叶
C.枕叶
D.颞叶
E.脑干
73、单项选择题 下述肺炎性假瘤的CT影像特点,错误的是()
A.多数密度均匀
B.边缘清楚的圆形肿块
C.一般无分叶
D.邻近胸膜无显著增厚
E.双上肺多见
74、单项选择题 对咽部解剖的论述,错误的是()
A.咽部为呼吸道和消化道上段共同交通的部分
B.咽部是由骨和软骨构成的管腔
C.咽部自上而下分为鼻咽、口咽和喉咽三部分
D.自颅底到软腭水平的一段为鼻咽
E.自软腭至舌骨水平的一段为口咽
75、单项选择题 对于胸部CT导向穿刺活检的论述,错误的是()
A.利用目标扫描选择出最佳定位层面
B.穿刺活检的定位层面病变显示应最大、最清晰
C.穿刺时病人必须采取仰卧正位,保持不动
D.穿刺针穿入后,应于该层面扫描确认准确与否
E.穿刺针拔出,活检完毕,亦应继续扫几层
76、单项选择题
男,57岁,腹部隐痛不适伴低热2月余,腋下可触及数个肿大的淋巴结,结合所示图像,最可能的诊断是()
A.左侧肾上腺癌并胃脾转移
B.左侧恶性嗜铬细胞瘤侵及胃脾
C.左侧肾上腺淋巴瘤且胃脾受累
D.左侧肾上腺腺瘤
E.左侧肾上腺转移癌
77、单项选择题 怀疑脊柱转移瘤,以下哪种情况不适宜用CT检查()
A.腰椎平片因肠气干扰而显示不清者
B.病灶较小,平片不能确定者
C.病灶周围有无软组织肿物
D.检体转移用于明确有无椎管和硬膜囊受累
E.明确脊髓有无侵犯
78、单项选择题 松果体区最常见的肿瘤是()
A.畸胎瘤
B.表皮样囊肿
C.胶质瘤
D.生殖细胞瘤
E.松果体细胞瘤
79、多项选择题
男,5岁,消瘦、贫血、纳差和腹部包块3月余,CT检查如图,下列说法正确的是()
A.右侧腹腔内可见一巨大软组织肿块影,其边界欠清楚
B.肿块密度不均匀,可见片状的较高密度,考虑为出血,也可见点状的钙化影
C.该病灶来源于肝脏,考虑为肝母细胞瘤
D.该病灶来源于右肾上腺,考虑为神经母细胞瘤
E.该病灶来源于右肾,考虑为肾胚胎瘤
80、单项选择题
男,62岁,左腹股沟可触及肿块,结合所示图像,正确答案是()
A.斜疝
B.精索脂肪肉瘤
C.淋巴瘤
D.黑色素瘤
E.以上都不是
81、单项选择题
男,35岁,下腰部痛,L4-5棘突旁有明显压痛,结合图像,最可能的诊断是()
A.压缩性骨折
B.椎体融合
C.腰椎骶化
D.骶椎腰化
E.退行性骨关节病
82、单项选择题 CT检查中,X线管不围绕病人作360°旋转的成像方法是()
A.平扫
B.定位扫描
C.动态扫描
D.螺旋扫描
E.CT引导下活检穿刺
83、单项选择题 颅面血管瘤病和结节性硬化共有的征象为()
A.脑水肿
B.脑实质钙化
C.中线移位
D.脑室扩大
E.颅板增厚
84、单项选择题
女,33岁,咳嗽,无发热,结合图像,最可能的诊断是()
A.肺结节病
B.淋巴瘤
C.中央型肺癌
D.胸腺瘤
E.支气管囊肿
85、多项选择题 下列哪些特点属于高压滑环技术()
A.取消了球管启动、加速、减速、停止过程
B.电缆不再缠绕
C.球管单向连续旋转
D.依靠铜制滑环和碳刷接触馈电
E.易产生高压噪声
86、单项选择题 喉室轴位扫描法确定声带走行时,扫描基线应与()
A.中部颈椎间隙保持一致
B.舌骨长轴平行
C.颈部前缘皮肤而垂直
D.颈1~颈7两中点联线垂直
E.下颌骨下缘平行
87、单项选择题 下列哪类肿瘤为脑实质外肿瘤()
A.脑膜瘤
B.星形细胞瘤
C.血管母细胞瘤
D.多形性胶质母细胞瘤
E.少枝胶质细胞瘤
88、单项选择题 CT诊断肾单纯性囊肿,最有诊断意义征象应为()
A.囊壁光滑、边缘清楚、CT值<15HU
B.囊壁光滑、边缘清楚、增强扫描无强化
C.囊壁光滑、囊壁有明显钙化
D.水样密度、囊壁有明显钙化
E.占位性肿块,水样密度、边缘钙化
89、单项选择题 关于宫颈癌的CT表现,下列说法错误的是()
A.宫颈增大,形成软组织密度肿块
B.肿块内坏死形成低密度区
C.子宫侧壁向外延伸的不规则软组织影提示为肿瘤向盆腔侵犯
D.肿瘤与邻近器官间脂肪消失应诊断为该器官受侵
E.CT未见淋巴结肿大不能排除淋巴转移
90、单项选择题
根据所提供的图像,最可能的诊断是()
A.胰腺癌
B.肝细胞瘤
C.胆管癌
D.胆囊癌
E.以上都不是
91、单项选择题 肝局灶性结节增生的英文缩写为()
A.HME
B.NFM
C.FMH
D.HNB
E.FNH
92、多项选择题
男,50岁,自觉咽喉部不适一个多月,间断刺激性咳嗽,CT扫描如图所示,正确的描述或诊断是()
A.左侧声带内侧壁见结节状影向腔内突出,以宽基底与声带相连
B.增强扫描结节强化不明显,密度均匀,周围结构未见受侵
C.左侧声带息肉
D.左侧声带乳头状瘤
E.喉癌
93、单项选择题
女,26岁,腹胀不适7月,腹软,肝右肋缘下1cm,影像检查如图,最可能的诊断为()
A.肝血管瘤
B.原发性肝癌
C.肝硬化腹水
D.布加综合征
E.脂肪肝
94、单项选择题
女,19岁,低热,盗汗,乏力,咳嗽1月余,CT检查如图,最可能的诊断是()
A.间质性肺炎
B.弥漫型肺癌
C.粟粒型肺结核
D.矽肺
E.大叶性肺炎
95、单项选择题
男,56岁,无规律上腹痛,左锁骨上淋巴结肿大,消瘦、乏力,影像检查如图,最可能的诊断是()
A.腹膜结核
B.胃溃疡穿孔
C.胃癌并盆腔种植
D.胃及腹腔淋巴瘤
E.肠系膜淋巴管瘤
96、单项选择题 男,65岁,右侧肢体肌力弱,CT示左额顶叶有-2.5cm×4cm混杂密度区,花环样强化,中线右移,最大可能为()
A.恶性脑膜瘤
B.少枝胶质细胞瘤
C.恶性淋巴瘤
D.胶质母细胞瘤
E.脑结核球
97、单项选择题 女,40岁,头部外伤4小时,CT示侧脑室旁白质、胼胝体压部、大脑脚散在斑点样高密度影,提示有可能是()
A.脑出血
B.蛛网膜下腔出血
C.丘脑出血
D.脑穿通伤
E.脑白质剪切伤
98、单项选择题 关于Chiari畸形的描述,错误的是()
A.后脑先天发育异常
B.小脑扁桃体过长、变形,经枕骨大孔伸入椎管内
C.延髓及第四脑室亦向下延伸
D.常伴发脑积水与脊柱裂
E.ChiariI型常伴有脊髓脊膜膨出
99、单项选择题 男,60岁,突然剧烈头痛,CT平扫示脑沟、脑池密度增高,以脚间池为明显,最可能的诊断是()
A.基底动脉瘤破裂出血
B.大脑中动脉瘤破裂出血
C.大脑前动脉瘤破裂出血
D.大脑后动脉瘤破裂出血
E.后交通动脉瘤破裂出血
100、单项选择题 在哪个时期,脑血肿与脑梗死的CT表现相仿()
A.超急性期
B.急性期
C.亚急性早期
D.亚急性晚期
E.慢性期
101、单项选择题 男,49岁,癫痫发作3次。CT示左额叶有一圆形低密度区,病灶呈不规则环形增强,最大可能是()
A.化脓性脑炎
B.胶质瘤
C.病毒性脑炎
D.血管畸形
E.结节性硬化
102、单项选择题
男,78岁,糖尿病17年,低热、右侧胸痛伴咳嗽两月余,常规抗炎治疗,症状改善不明显,痰培养结核菌(-),胸部CT平扫如图

A.痰检
B.红细胞沉降率
C.胸部CT增强扫描
D.胸部MR扫描
E.肺核素灌注扫描
103、单项选择题 下列哪一项关于肾盂癌的描述是不正确的()
A.大多数为移行细胞癌
B.平扫示肾窦内软组织肿块
C.增强扫描显示肾窦变形移位
D.不侵犯肾实质和输尿管
E.可合并肾盂扩张、积水
104、单项选择题 有关胸部淋巴瘤CT扫描的作用,哪项不正确()
A.显示纵隔内淋巴结更准确
B.显示胸壁、胸膜及心包病变
C.显示与纵隔肺门相连的肺部病变
D.帮助放疗确定视野
E.重点观察胸腔积液
105、单项选择题
男,59岁,右侧髋骶部持续性疼痛,夜间加重,2月前被确诊为肾细胞癌,结合图像,最可能的诊断是()
A.骨肉瘤
B.骨巨细胞瘤
C.骨囊肿
D.骨转移瘤
E.骨瘤
106、单项选择题 对探测器作用的论述,正确的是()
A.探测病人位置的准确性
B.探测扫描时有无散射线
C.将微弱的电流进行放大
D.将模拟信号转换为数字信号
E.接收X线并将其转换为电信号
107、单项选择题 最常见的神经上皮源性肿瘤占神经上皮源性肿瘤的40%的肿瘤为()
A.髓母细胞瘤
B.室管膜瘤
C.星形细胞瘤
D.少枝胶质细胞瘤
E.以上均是
108、单项选择题
该新生儿右下肺团块,CT血管造影提示诊断为()
A.假性囊肿
B.肺隔离症
C.肺炎
D.动静脉畸形
E.以上都不是
109、单项选择题 肾盂癌的CT表现,正确的是()
A.肾实质内肿块
B.肿瘤明显增强
C.肾脏外形常发生变化
D.不易出现肾盂肾盏积水
E.CT对肿瘤的分期诊断价值较大
110、单项选择题 急性胰腺炎,CT发现肿大胰腺周围出现气体影则提示()
A.消化道穿孔
B.肠麻痹
C.脓肿形成
D.肠梗阻
E.以上均不是
111、单项选择题 CT检查不能发现腹膜炎的()
A.腹膜腔积液
B.腹膜腔积气
C.腹膜水肿
D.肠道积气
E.腹膜炎的致病菌种类
112、单项选择题 CT摄片与常规X线摄片相同之处是()
A.曝光方式
B.胶片类型
C.照片冲洗
D.灰度调节
E.图像格式
113、单项选择题
女,37岁,向心性肥胖2月,结合图像,最可能的诊断是()
A.右肾上腺腺瘤
B.右肾上腺腺癌
C.右肾上腺转移癌
D.右肾上腺嗜铬细胞瘤
E.右肾上腺增生
114、单项选择题 下列哪项不符合弥漫性脂肪肝中残留正常肝岛的CT表现()
A.为正常肝组织密度
B.边缘常较清楚且规则
C.无占位病变效应
D.增强扫描见血管被推移
E.通常位于胆囊附近或包膜下
115、单项选择题
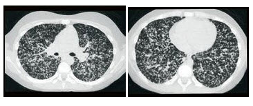
女,39岁,发热、咳嗽1周,WBC:15×109/L,胸部CT平扫如图

A.印戒征
B.按叶段分布的片絮状影
C.轨道征
D.葡萄状影
E.支气管黏液充填
116、单项选择题
男,38岁,反复咳嗽、咳痰伴发热15年余,痰结核菌素试验(—),结合CT图像,最可能的诊断是()
A.肺癌
B.肺结核
C.肺结节病
D.肺转移瘤
E.肺淀粉样变性
117、单项选择题
男,48岁,左小腿上段后部轻度胀痛,轻压痛,无明确外伤史,结合所提供的图像,最可能的诊断是()
A.表皮样囊肿
B.皮脂腺瘤
C.脂肪瘤
D.腱鞘囊肿
E.腱鞘脓肿
118、单项选择题
根据所提供的图像,最可能的诊断是()
A.胰腺腺癌
B.淋巴瘤
C.胰腺良性结节
D.结肠癌复发
E.以上都不是
119、多项选择题 动脉瘤样骨囊肿的特征()
A.边缘硬化有液-液平面
B.有钙化或骨化影
C.边缘无硬化无液-液平面
D.无钙化
E.无液-液平面、无增强
120、单项选择题
男,56岁,肺癌术后2年余,左髋部疼痛,夜间加重,结合图像,最可能的诊断是()
A.骨肉瘤
B.骨转移
C.多发性骨髓瘤
D.骨软骨瘤
E.软骨肉瘤
121、单项选择题 从上肢静脉注入对比剂后,肝静脉期显示时间约为()
A.30秒
B.35秒
C.45秒
D.55秒
E.60秒
122、多项选择题 关于脑膜瘤描述正确的有()
A.位于脑外
B.瘤旁水肿明显
C.平扫稍高密度并均一性增强
D.位于脑内
E.可有钙化或小囊变区
123、单项选择题 听眶线与同侧听眦线的夹角约为()
A.5°
B.8°
C.12°
D.15°
E.20°
124、单项选择题 男,40岁,右侧突眼。CT示球后肿块,内有静脉石样钙化,增强明显,最可能的诊断是()
A.炎性假瘤
B.良性肿瘤
C.海绵状血管瘤
D.恶性肿瘤
E.甲状腺性突眼
125、单项选择题
根据所提供的图像,该病例最可能的诊断为()
A.胰腺假性囊肿
B.十二指肠血肿
C.十二指肠癌
D.十二指肠憩室
E.胰腺癌
126、单项选择题 以下有关像素概念的描述,正确的是()
A.像素大小与图像的分辨率高低成正比
B.像素与体素之间关系
C.组成图像的基本单元称为像素
D.像素就是体素
E.像素是一个三维概念
127、多项选择题 肺类风湿性病区别于特发性肺间质纤维化的肺部CT征象为()
A.广泛性肺纤维化
B.肺气肿
C.空洞性结节
D.单侧出现的少量或中量胸腔积液
E.支气管扩张
128、单项选择题 颅脑CT没有病理意义的钙化是()
A.侧脑室三角区内球形钙化
B.额—颞部脑回状钙化
C.室管膜下结节状钙化
D.灰白质交界小环形钙化
E.松果体直径>10mm不均匀钙化
129、单项选择题 脊椎结核的影像学检查,CT优于X线平片主要是在于显示()
A.骨质破坏
B.椎间隙狭窄
C.骨质增生
D.椎管内脓肿
E.钙化
130、单项选择题 有关大脑半球各叶分界的描述,中下列哪项是错误的()
A.顶叶经中央沟与额叶分隔
B.岛叶借环状沟与额顶颞叶分隔
C.颞、顶、枕叶的分界为外侧裂与顶枕裂的连线
D.额叶经外侧裂与颞叶分隔
E.顶枕裂区分顶叶和枕叶
131、单项选择题 60岁男性,颜面肿痛、鼻衄5个月。CT显示右上颌窦壁破坏,内有不规则软组织密度肿块,侵犯眼眶、鼻腔,最可能的诊断是()
A.鼻息肉
B.上颌窦癌
C.黏液囊肿
D.乳头状瘤
E.纤维血管瘤
132、单项选择题 与常规X线摄片比,关于CT影像特点的叙述,不妥的是()
A.CT影像是重建影像
B.CT影像是灰阶影像
C.CT影像的空间分辨率高
D.CT影像的密度分辨率高
E.CT扫描通过组织对X线的吸收系数来反映其密度的高低
133、多项选择题 纤维性骨皮质缺损的CT征象有()
A.皮质内囊状或不规则形的骨质缺损区,无膨胀
B.皮质内囊状或不规则形膨胀性骨质缺损区
C.病灶边缘清楚,外侧骨壳可完整或缺损
D.邻近可有轻度软组织肿胀
E.无骨膜反应
134、单项选择题 直肠癌的主要转移方式是()
A.血行转移
B.淋巴道转移
C.种植性转移
D.直接外侵
E.以上都不是
135、单项选择题 下列哪类肿瘤一般不发生钙化()
A.颅咽管瘤
B.垂体微腺瘤
C.脑膜瘤
D.室管膜瘤
E.少枝胶质细胞瘤
136、单项选择题
男,67岁,胸骨后撕裂样疼痛1小时就诊。主动脉CT增强扫描图像如下,应诊断为()
A.主动脉未见异常
B.主动脉夹层动脉瘤
C.主动脉弓动脉瘤
D.主动脉硬化
E.以上均不正确
137、单项选择题
男,67岁,突感胸腹部疼痛就诊。既往高血压病史。CT检查如下图,最可能的诊断为()
A.动脉硬化
B.主动脉瘤
C.大动脉炎
D.主动脉夹层(StanfordA型)
E.主动脉夹层(StanfordB型)
138、单项选择题 泌尿系肿瘤最主要的临床特点是()
A.无痛性全程血尿
B.尿频和尿痛
C.排尿困难
D.腹部肿块
E.尿失禁
139、单项选择题
男,19岁,右上臂扪及一硬结,有轻压痛,结合影像学检查,最可能的诊断是()
A.骨肉瘤
B.骨瘤
C.骨巨细胞瘤
D.骨软骨瘤
E.骨髓瘤
140、单项选择题
女,68岁,有胆囊癌病史,术后行放射治疗,根据所示图像,最可能的诊断是()
A.右肾未见异常
B.右侧肾癌
C.右肾淋巴瘤
D.右肾转移癌
E.右肾放射性损伤改变
141、单项选择题 以下哪项是用来表示CT机空间分辨率的()
A.X射线剂量(mGy或raD.
B.线对/cm(Lp/cm)或线经/mm(mm/mm)
C.百分数(%)
D.调制传递函数(MTF.
E.以上都不是
142、单项选择题 梭形动脉瘤的首要形成原因是()
A.动脉粥样硬化
B.外伤
C.动脉内膜撕裂
D.感染
E.先天发育异常
143、单项选择题 腹膜后良性肿瘤中不包括()
A.脂肪瘤
B.平滑肌瘤
C.脂肪肉瘤
D.异位嗜铬细胞瘤
E.淋巴管瘤
144、单项选择题
男,28岁,胸闷1周,胸部CT如图,最可能的诊断为()
A.间皮瘤
B.肺癌
C.包裹性积液
D.肺炎性假瘤
E.肺肉瘤
145、多项选择题
男,70岁,右侧颈部无痛性肿块3个月,CT扫描如图所示,正确的描述或诊断是()

A.右侧颈动脉间隙内见类圆形软组织肿块影,密度欠均匀,边缘光整
B.右侧颈静脉被推压至肿块外后方
C.右侧颈动脉被推压至肿块内后方
D.迷走神经源性肿瘤
E.交感神经源性肿瘤
146、单项选择题 以下哪项对嗜铬细胞瘤的描述不恰当()
A.肿瘤起源于肾上腺髓质的成熟神经嵴细胞
B.血浆或尿儿茶酚胺升高,24h尿3-甲氧基、4-羟基杏仁酸可明显升高
C.嗜铬细胞瘤又被称为10%瘤,即10%位于肾上腺外,10%为双侧,10%为恶性
D.肿瘤巨大、分叶、密度不均者为恶性
E.肿瘤侵犯邻近结构、包埋血管或有淋巴结肿大者可诊断为恶性
147、单项选择题 关于肺动脉栓塞的CT表现,下列哪项最具有特征意义()
A.一侧肺透亮度增高
B.肺外围以胸膜为基底的楔状致密影
C.实变区内小透亮区
D.增强扫描,肺动脉主干内充盈缺损
E.局限性肺血管稀少
148、单项选择题 颅脑病变的非直接征象是()
A.脑室变形、正常结构移位、脑水肿
B.病灶增强,形态、中线结构移位
C.蛛网膜下腔增宽、骨质增生
D.脑室扩张、脑积水、病灶多发
E.病灶的结构、大小、密度
149、单项选择题 下面哪项是急性硬膜下血肿的不典型表现()
A.梭形
B.均匀高密度
C.广泛
D.可跨越颅缝
E.中线结构移位
150、单项选择题
如图所示,患儿的最可能的诊断是()
A.骨髓炎
B.尤文肉瘤
C.骨肉瘤
D.软骨肉瘤
E.以上都不是
151、多项选择题 化脓性脑膜炎的CT表现是()
A.脑室系统扩大
B.脑内不规则形低密度区
C.软脑膜、蛛网膜可见线形强化
D.基底池及脑沟显影模糊
E.颅骨内板下新月形低密度区
152、单项选择题 关于对比剂增强的“四腔心”层面,下列哪项描述是错误的()
A.可见左心室
B.可见右心室
C.可见左心房
D.可见右心房
E.可见升主动脉
153、多项选择题
男,48岁,蛋白尿多年,CT如图所示,最可能的诊断为肾静脉血栓,肾静脉血栓形成的原因是()
A.膜性肾小球肾炎
B.肾癌
C.胰腺炎
D.外压性
E.创伤、脱水、血小板增多症
154、单项选择题 CT轴位图像上,关于鞍上池的描述,下列哪项是错误的哪项()
A.可以是四角形
B.可以是五角形
C.可以是六角形
D.其前部毗邻是额下回
E.垂体柄居鞍上池中部
155、单项选择题 钙化主要分布于皮层下区的是下列哪种疾病()
A.胼胝体脂肪瘤
B.弓形虫感染
C.新生儿风疹
D.包虫病
E.多发性硬化
156、单项选择题
女性,43岁,发现左侧颌下包块2年多,近3个月明显增大。行CT增强扫描如图所示:

A.X线平片
B.CT
C.超声
D.MRI
E.DSA
157、单项选择题 关于胸腺瘤,下列特征中哪项说法是正确的()
A.常见于儿童及20岁以下者
B.直径>10cm者,恶性变的可能性明显增加
C.无论良恶性,胸腺瘤均有完整的包膜
D.肿瘤内部有钙化,则提示良性
E.恶性者易发生血行转移,但很少发生胸膜转移
158、单项选择题 女,52岁,头痛,前额部局部隆起。查体:前额部扪及一软性肿块。CT显示:额窦扩大,内为低密度软组织影,边缘光滑呈弧形,可见薄壁,拟诊为()
A.额窦炎
B.额窦癌
C.额窦黏膜下囊肿
D.额窦脓肿
E.额窦黏液囊肿
159、单项选择题
男,55岁,上腹部隐痛1月余,CT检查如图,最可能的诊断是()
A.胆囊结石
B.胆囊癌(腔内型)
C.胆囊腺肌增生症
D.胆囊息肉
E.胆囊转移癌
160、单项选择题 肾脏占位性病变,下列哪项是最常见的()
A.肾细胞癌
B.血管平滑肌脂肪瘤
C.肾腺瘤
D.单纯性肾囊肿
E.肾盂癌
161、单项选择题 CT影像形成与传递经过,正确的是:()
A.X线源一人体一准直器一检测器一重建一A/D一显示
B.X线源一准直器一人体一准直器一检测器一A/D一重建一显示
C.X线源一人体一准直器一A/D一检测器一重建一显示
D.X线源一准直器一人体一检测器一重建一A/D一显示
E.X线源一人体一准直器一检测器+A/D一显示
162、单项选择题
男,6岁,左髋部疼痛、乏力、跛行,结合MR检查,最可能的诊断是()
A.髋关节结核
B.股骨头骨骺缺血坏死
C.骨肉瘤
D.骨囊肿
E.软骨肉瘤
163、多项选择题
男,67岁,咽喉部异物感3年余,从小经常出现咽喉部疼痛伴发热,X线及CT检查如图,正确的描述或诊断是()
A.侧位片示与下颌骨部分重叠的条形致密影
B.CT示右侧下颌骨内侧咽旁间隙见条形致密影
C.右侧扁桃体结石
D.右侧扁桃体出血
E.右侧扁桃体肿瘤
164、单项选择题 下列视神经脑膜瘤和视神经胶质瘤的鉴别,错误的是()
A.脑膜瘤沿脑膜蔓延,而胶质瘤沿视觉通道蔓延
B.脑膜瘤侵犯硬膜,边缘不规则
C.“双轨”征的出现有利于视神经胶质瘤的诊断
D.视神经脑膜瘤可引起邻近眶骨骨质的增生硬化
E.脑膜瘤很薄,并有钙化
165、单项选择题 与图像显示上下位置偏移有关的操作是()
A.病人摆位左右偏移
B.扫描机架倾角过大
C.床台升降调节有误
D.床台进出调节有误
E.扫描野选择有误
166、单项选择题 患者,女,50岁,既往左耳中耳炎史多年,流脓2年余。CT显示外耳道棘骨消失,鼓室内有软组织密度灶,明显强化,听小骨及鼓室骨壁破坏,最可能的诊断为()
A.血管球瘤
B.胆脂瘤
C.转移瘤
D.中耳癌
E.面神经纤维瘤
167、多项选择题
男,62岁,因排尿困难2年,加重伴二段排尿1月,CT扫描如图,下列说法正确的是()
A.膀胱后方可见多个囊性病灶
B.病灶壁薄,其囊内容物CT值与膀胱内尿液相同
C.增强后延迟扫描可见病灶内对比剂充盈,与膀胱之间可见一孔状通道
D.考虑为膀胱憩室
E.考虑为盆腔囊肿
168、单项选择题
男,11岁,有遗传性多发性骨软骨瘤史,现左髋部肿胀、疼痛明显,结合图像,最可能的诊断是()
A.尤文肉瘤
B.软骨肉瘤
C.骨肉瘤
D.化脓性骨髓炎
E.骨软骨瘤
169、单项选择题 关于肾筋膜和肾周间隙的描述,错误的为()
A.腹横筋膜和肾后筋膜之间为肾后间隙
B.肾前筋膜和肾后筋膜之间为肾周间隙
C.肾前筋膜、肾后筋膜与侧锥筋膜融合
D.左右两侧肾周间隙不交通
E.肾后间隙内主要为脂肪组织
170、单项选择题 下列关于腹膜后脂肪肉瘤,错误的是()
A.CT分为实体型、混合型和假囊肿型
B.实体型以纤维组织成分为主
C.假囊肿型为脂肪、纤维和黏液性组织共存
D.测不到脂肪密度可排除脂肪肉瘤
E.CT定性困难时,应做穿刺活检
171、单项选择题
男,45岁,右上腹痛,有发热,白细胞计数升高,CT检查如图,最可能的诊断是()
A.原发性肝癌
B.肝包虫病
C.肝脓肿
D.肝黄色肉芽肿
E.肝转移癌
172、单项选择题 关于脾恶性淋巴瘤的CT表现,错误的是()
A.不均匀囊实性肿块边缘强化
B.边缘可不规则隆起
C.脾肿大
D.增强扫描结节显示清楚
E.多发或单发低密度结节
173、单项选择题 关于表皮样囊肿的描述,错误的是()
A.好发于桥小脑角区,中线附近
B.具有“钻缝”特点
C.不增强
D.团块型表皮样囊肿沿蛛网膜下腔蔓延
E.边缘清晰
174、单项选择题 淋巴结转移的诊断标准是()
A.长径>0.5cm,横径>0.5cm
B.长径>2.0cm,横径>1.5cm
C.长径>1.0cm,横径>0.75cm
D.长径>1.5cm,横径>1.0cm
E.长径>2.5cm,横径>2.0cm
175、多项选择题 下面关于脾梗死的说法,正确的是()
A.多发生于脾边缘包膜下
B.梗死灶可出现增强
C.大小不等,单发或多发
D.病灶基底部贴近被膜,尖端向脾门
E.梗死后可致脾轮廓变形
176、单项选择题 下列不必进行增强扫描的是()
A.鉴别纵隔内结构
B.鉴别血管肿块淋巴结
C.大血管畸形
D.肺肿块合并肺不张
E.畸胎瘤
177、单项选择题
女,78岁,突然意识障碍,结合CT图像,最可能的诊断是()
A.脑挫裂伤
B.脑转移瘤
C.高血压性脑出血
D.脑膜瘤
E.脑脓肿
178、单项选择题
男,16岁,大腿可触及柔软、无痛性肿块,结合图像,最可能的诊断是()
A.滑膜肉瘤
B.脂肪肉瘤
C.脂肪瘤
D.血管瘤
E.淋巴管瘤
179、单项选择题
女,29岁,尿频、尿痛伴寒战高热3天。尿检:白细胞(+++),结合所示图像,最可能的诊断是()
A.左侧肾癌
B.左侧急性肾盂肾炎
C.左侧肾脓肿
D.左侧肾结核
E.左侧肾囊肿合并感染
180、单项选择题 夹层动脉瘤(主动脉夹层)CT特征性征象是()
A.两个不同增强密度的主动脉腔被一内膜所分隔
B.主动脉钙化内移
C.主动脉壁异常扩张
D.主动脉各段管径不成比例
E.主动脉周围血肿形成
181、单项选择题 32岁男性,右耳流脓1年,鼓膜穿孔。CT显示外耳道棘骨消失,听小骨破坏,鼓室壁破坏.内有软组织密度影,最可能的诊断是()
A.血管球瘤
B.中耳癌
C.中耳炎
D.胆脂瘤
E.面神经纤维瘤
182、单项选择题
患者40岁,女性,最近有卵巢癌放疗治疗,结合图像,最可能的诊断是()
A.坏死性结节
B.肠系膜上静脉栓塞
C.肠系膜上动脉栓塞
D.肠系膜上静脉流动改变
E.以上都不是
183、单项选择题
男,53岁,胸痛1月余加重2周,CT检查如图,最可能的诊断为()
A.右侧石棉肺胸膜斑
B.右侧良性胸膜间皮瘤
C.右侧恶性胸膜间皮瘤
D.右侧胸膜转移瘤
E.右侧胸膜弥漫增厚
184、单项选择题 男,70岁,右肢体运动障碍2天,CT示左中央区低密度,内有斑片样高密度,最可能的诊断是()
A.急性脑梗死
B.亚急性脑梗死
C.慢性脑梗死
D.慢性出血性脑梗死
E.急性出血性脑梗死
185、单项选择题
男,54岁,外伤后十余天,左季肋区疼痛、肿胀。CT检查如图,最可能的诊断是()
A.脾破裂实质内血肿
B.脾包膜下血肿
C.脾挫裂伤
D.脾梗死
E.脾扭转
186、多项选择题 关于多发性硬化的描述正确的是()
A.多见于年轻男性
B.多见于年轻女性
C.症状多变
D.病灶多位于脑白质
E.无明显占位征象
187、多项选择题 韦格肉芽肿病CT影像特征为()
A.病灶呈多样性
B.多变性
C.空洞形成
D.多发性
E.肺梗死
188、单项选择题 腮腺混合瘤的典型CT增强表现为()
A.延迟强化
B.不均匀强化
C.不强化
D.可强化
E.均匀强化
189、单项选择题
男,12岁,手指细长,手臂弯曲,全身多发骨折,蓝色巩膜,结合图像,最可能的诊断是()


A.马方综合征
B.成骨不全
C.软骨发育不全
D.石骨症
E.特发性骨质溶解症
190、单项选择题
肝右前叶病灶,结合图像,最可能的诊断是()
A.肝血管瘤破裂
B.肝血管平滑肌瘤破裂
C.肝癌并破裂
D.布-加综合征
E.以上都不是
191、单项选择题 关于原发脑肿瘤的描述,错误的是()
A.常有颅外或椎管外转移
B.成人患者常位于大脑半球
C.儿童患者以小脑肿瘤居多
D.临床常有颅内高压或颅神经受损表现
E.男性发病比女性多
192、单项选择题 耳部CT冠状位扫描技术不包括()
A.扫描体位选用颌顶位或顶颌位
B.冠状扫描,常用70°与105°断面
C.70°冠状位扫描,其断面平行于枕骨斜坡长轴方向,X线与听眶线夹角呈70°
D.105°冠状扫描,其断面平行于上颌窦后缘或垂直于蝶骨平板
E.105°冠状扫描平面与听眶线夹角呈150°
193、单项选择题 下列脑囊虫病CT特点的描述,错误的是()
A.多发钙化型:钙化周围水肿明显,增强扫描呈明显强化
B.多发小囊型:在半球区有多发散在小圆形或卵圆形低密度影
C.多发结节型:增强扫描低密度影出现结节或环状强化
D.单发大囊型:脑内圆形、椭圆或分叶状的低密度影
E.急性脑炎型:全脑肿胀,脑室小,增强扫描无强化
194、单项选择题 颈部肿块最多见于()
A.甲状腺肿
B.甲状腺肿,肿大的淋巴结
C.神经纤维瘤,神经鞘瘤
D.甲状腺肿,颈动脉瘤
E.肿大的淋巴结
195、单项选择题 CT值定义公式中的常数(k)应该是()
A.500
B.1000
C.2000
D.3000
E.4000
196、多项选择题 颅内动脉瘤按病因分类可分为()
A.先天性动脉瘤
B.损伤性动脉瘤
C.感染性动脉瘤
D.动脉硬化性动脉瘤
E.假性动脉瘤
197、单项选择题
男,58岁,上腹部剑突下胀痛3个月余,近期症状加重,伴消瘦、乏力及柏油样便,无黄疸。体检发现左锁骨上两个肿大淋巴结,无压痛,可移动。肝脾肋下未触及。上腹部CT图像如下


A.经淋巴结转移首先可分别转移到幽门上组、下组,胃上组或脾胰组
B.可通过胸导管转移到肺门淋巴结或左锁骨上淋巴结
C.通过门静脉转移到肝内十分常见
D.肺、骨转移较常见
E.晚期可种植于腹膜、卵巢或直肠陷凹上
198、单项选择题 下列哪种肿瘤常可出现囊状扩张性骨转移()
A.肺癌
B.胃癌
C.直肠癌
D.甲状腺癌
E.宫颈癌
199、单项选择题 诊断眼眶爆裂骨折,最好的检查方法()
A.X线平片
B.CT冠状扫描
C.CT横断扫描
D.MRI
E.矢状面重建
200、单项选择题
男,62岁,声音嘶哑1年余,CT图片如下,最可能的诊断是()
A.甲状腺癌
B.声门下喉癌伴右颈部淋巴结转移
C.喉结核伴右颈部淋巴结肿大
D.喉转移瘤
E.喉息肉
201、单项选择题 患者无痛性血尿数周,肾盂造影示肾盂内不规则充盈缺损,首先考虑以下哪种疾病()
A.乳头状瘤
B.移行细胞癌
C.鳞状细胞癌
D.肾腺癌
E.肾腺瘤
202、单项选择题 增强扫描动脉早期,脾脏多呈()
A.斑点样强化
B.均匀强化
C.斑马纹样强化
D.不强化
E.结节样强化
203、单项选择题
男,42岁,头痛、恶心半年余,逐步加重,右侧肌力减弱,CT检查如图,最可能的诊断是()

A.脑膜瘤
B.胶质瘤
C.转移瘤
D.畸胎瘤
E.室管膜瘤
204、单项选择题
男,32岁,手足无力、颤抖、视力减弱,有时眩晕,时好时坏,查体发现四肢肌肉萎缩,CT检查如图,最可能的诊断为()
A.多发脑梗死
B.转移瘤
C.胶质瘤
D.多发性硬化
E.脑囊虫病
205、多项选择题 肾移植术后的并发症为()
A.血管系统并发症
B.排异反应
C.泌尿系统并发症
D.急性肾小管坏死
E.移植术后肿瘤
206、单项选择题 关于“三叉神经瘤”,下列影像哪项不对()
A.可中度强化
B.平扫呈等密度
C.跨越中、后颅窝
D.棘孔扩大
E.岩尖骨质破坏
207、单项选择题 鼻咽癌中最常见的类型是()
A.腺鳞癌
B.鳞癌
C.低分化癌
D.未分化癌
E.腺癌
208、单项选择题
男,23岁,近日感头痛、头晕,CT检查如图,最可能的诊断为()
A.脑萎缩
B.脑室出血
C.正常颅脑
D.脑水肿
E.胶质瘤
209、单项选择题 常规头颅CT扫描基线取()
A.听眉线25°
B.听眶线25°
C.听眉线20°
D.听眶线20°
E.听眶线10°
210、单项选择题 CT与MRI相比,下列哪项是其优势()
A.密度分辨率高
B.直接多轴面成像
C.化学成像,信息量大
D.空间分辨率高
E.无碘过敏危险
211、多项选择题
女,34岁,自诉1个月前咽喉部被鱼刺刺伤,近半个月发热,咽喉部疼痛,CT检查如图所示,正确的描述或诊断是()
A.左侧咽后壁可见低密度肿块影
B.肿块内密度均匀
C.咽后壁脓肿
D.神经源性肿瘤
E.血管瘤
212、单项选择题 下列关于腹膜后脂肪肉瘤的描述,正确的是()
A.肿块越大,恶性程度越高
B.实体型肿瘤以脂肪组织成分为主
C.即使分化程度很高,肿块密度也不太均匀
D.脂肪组织成分越少,肿瘤分化越好
E.没有发现脂肪成分就不能诊断脂肪肉瘤
213、单项选择题
男,75岁,吞咽有梗阻感,消瘦、乏力、中上腹痛,影像检查如图,最可能的诊断是()
A.食管癌
B.胃窦癌
C.贲门癌
D.慢性胃炎
E.胃淋巴瘤
214、多项选择题 下列关于恶性胸膜间皮瘤的说法,正确的是()
A.病因方面,绝大多数患者与接触石棉有关
B.通常起于先前存在的胸膜斑
C.可表现为局限性胸膜肿块
D.胸腔积液为常见征象
E.在病变过程中,早期破坏邻近的肋骨是其特征
215、单项选择题 在化脓性鼻窦炎的CT征象中不应包括()
A.鼻甲肥大,鼻窦黏膜增厚
B.如黏膜水肿显著则可呈分叶状息肉样肥厚
C.增厚的黏膜多与窦壁垂直
D.窦内分泌物潴留,呈现气液平面,可随体位变动
E.窦壁骨质硬化增厚
216、单项选择题 CT的成像方式是()
A.透射成像
B.荧光成像
C.银盐成像
D.光电转换
E.数据重建
217、多项选择题 有关局灶性肝脂肪浸润,以下哪些是正确的()
A.病灶呈球状
B.与正常肝组织分界不清
C.无占位效应
D.周围血管无推移受压现象
E.增强后病灶区CT值升高不及正常肝组织
218、单项选择题
男,34岁,发热,咳嗽,咳痰,结核菌素试验(-),结合CT图像,最可能的诊断是()
A.肺曲菌病
B.肺结核
C.肺癌
D.肺炎
E.肺间质病
219、单项选择题 女,10岁,头痛、发作性抽搐1年。CT示右颅中窝有一3cm×4cm脑脊液样密度影,边界清晰,蝶骨大翼变薄,颞骨变薄并向外膨隆,最可能的诊断为()
A.脑发育不全
B.表皮样囊肿
C.脑萎缩
D.蛛网膜囊肿
E.神经纤维瘤病
220、单项选择题 关于“鼻咽癌”的CT特点,下述哪项说法不对()
A.邻近骨质常有破坏
B.破裂孔可扩大
C.肿瘤呈轻度强化
D.患侧咀嚼肌群萎缩
E.鼻咽部软组织肿块影
221、多项选择题 诊断缩窄性心包炎最重要的三种征象为()
A.上腔静脉扩张
B.心包增厚
C.心包钙化
D.右心房血栓形成
E.室间隔扭曲成角
222、单项选择题 下列关于Budd-Chiari综合征的影像,哪一项是错误的()
A.多数患者有腹水征
B.增强早期肝脏呈不均质改变
C.肝静脉变窄,显示不清
D.肝脏体积增大
E.CT诊断优于DSA
223、多项选择题 软组织脂肪瘤的CT特点为()
A.肿瘤呈分叶状、均匀性极低密度区,CT值-120~-80HU
B.边缘光整,有包膜
C.内部可有分隔,周围组织受压
D.肿瘤的密度与周围正常脂肪组织容易区分
E.增强扫描无强化
224、单项选择题 男,46岁,反复右上腹部不适、消化不良数年,右上腹部剧烈疼痛伴恶心、呕吐及轻度黄疸5天。右上腹部压痛,莫非氏征阳性,临床拟诊为胆囊结石。如行CT检查,下列哪项符合胆囊结石的特征性表现()
A.胆囊增大
B.胆囊缩小
C.胆囊内密度增高
D.胆囊内圆形高密度影
E.胆管内高密度影
225、单项选择题 关于肾癌CT增强扫描的描述,错误的是()
A.有助于明确病变存在
B.有助于确定病变范围
C.有助于与其他占位病变鉴别
D.有助于发现肾静脉和腔静脉癌栓
E.皮质期未发现明显病变可除外肿瘤
226、单项选择题 关于“成人型疱疹病毒性脑炎”的描述错误的是()
A.邻近脑膜可强化
B.平扫为低密度
C.主要累及基底节、脑干
D.可有脑出血
E.多有上呼吸道感染史
227、单项选择题 下面关于四肢骨关节及软组织CT扫描技术的叙述错误的是()
A.双手及腕关节的扫描采用俯卧位
B.双肩关节、胸锁关节的扫描采用仰卧位
C.双膝关节、踝关节和下肢长骨的扫描采用俯卧位
D.双足扫描时应仰卧
E.双髋关节及股骨上段的扫描采用仰卧位
228、单项选择题 男,50岁,因乙肝后肝硬化行原位肝移植术后1个月,抗病毒、保肝及抗排斥治疗。肝功能恢复正常后出院。出院后1周突发黄疸、发热再次住院,检查发现T管引流液内可见絮状物 首选检查方法()
A.B超
B.腹部CT
C.T管造影
D.肝动脉造影
E.肝穿活检
229、单项选择题 男,30岁,头颅CT示左小脑半球一3cm×4cm囊样低密度区伴壁结节,结节明显增强,四脑室受压变形、右移,最可能的诊断是()
A.胶质母细胞瘤
B.髓母细胞瘤
C.星形细胞瘤
D.血管网状细胞瘤
E.淋巴瘤
230、单项选择题
男,72岁,胆石症史多年。1个月来发热,上腹疼痛,CT扫描如下图,显示肝脏内多个直径10~30mm低密度灶,CT值20HU,边缘呈环状强化,最有可能的诊断是()
A.多发性囊状肝转移瘤
B.胆源性肝脓肿
C.多发性肝囊肿
D.肝包虫病
E.肝脏囊腺瘤
231、单项选择题
关于卵巢良性畸胎瘤的影像,下列哪项不对()
A.囊性病变,囊壁厚薄不均,有钙化
B.T1WI、皮样囊肿为高信号
C.可见骨、牙齿
D.CT可见到脂液面
E.以上都不是
232、单项选择题 下述一侧肺不发育的CT表现,哪项是错误的()
A.患侧胸腔内无含气肺组织及支气管影像
B.心脏纵隔移向患侧
C.健侧肺代偿性气肿向患侧膨凸
D.纵隔前联合线明显向患侧移位
E.增强检查见患侧肺动脉细小
233、单项选择题 鼻咽部纤维血管瘤造成的骨质改变主要为()
A.骨质硬化
B.骨质破坏
C.骨质钙化
D.骨质吸收
E.骨质疏松
234、单项选择题
女,52岁,曾患有鼻窦炎,最近发现咳嗽发热,影像学检查如图,最可能的诊断为()
A.多发性肺脓疡
B.浸润型肺结核并空洞形成
C.韦格肉芽肿
D.结节病
E.肺转移瘤
235、多项选择题
女,50岁,体检发现右侧甲状腺有较硬结节,CT扫描如图所示,正确的描述或诊断是()
A.右侧甲状腺内见稍低密度影,周边围以环形致密钙化影
B.肿块影与周围结构分界清楚
C.结节性甲状腺肿
D.甲状腺癌
E.甲状腺腺瘤钙化
236、单项选择题 女,49岁,发现右乳肿块2个月,质硬,表面不光滑,与皮肤及深部无明显粘连,无压痛。右腋窝可触及一个杏仁大淋巴结,尚活动。若为乳腺癌,应选择的治疗方案为()
A.全乳切除术,术前化疗
B.乳腺癌根治术,术前化疗
C.全乳切除术,术后辅以放疗
D.乳腺癌根治术,术后辅以放疗或化疗
E.应用CMF方案化疗
237、单项选择题 在慢性输尿管阻塞时输尿管表现为()
A.蠕动增强
B.正常蠕动
C.蠕动减弱
D.肿块形波纹
E.蠕动增强与弛缓交替出现
238、多项选择题
男,50岁,涕中带血半年,体检发现右侧颈部多个硬结,CT扫描如图所示,正确的描述或诊断是()
A.右侧筛窦内见软组织块影,边缘不规则
B.软组织影累及对侧筛窦、右侧上颌窦
C.右侧眶内壁、上颌窦壁及颅底骨质破坏
D.右侧筛窦黏液性囊肿
E.右侧筛窦癌
239、多项选择题 关于肾母细胞瘤,正确的说法是()
A.是小儿最常见的肾恶性肿瘤,多见于1~3岁
B.肿瘤与相邻肾实质分界清楚
C.肿块密度均匀
D.增强扫描强化明显
E.肿块无钙化灶
240、单项选择题 下列侧脑室各部位与脑叶的相邻关系正确的是()
A.前角对顶叶
B.体部对额叶
C.三角区对额、顶、枕叶交界区
D.三角区对顶、颞、枕叶交界区
E.三角区对额、顶、颞叶交界区
241、单项选择题 “子宫内膜异位”,最常见的好发部位为()
A.膀胱
B.子宫直肠窝
C.腹膜
D.膀胱子宫陷窝
E.卵巢
242、单项选择题
男,61岁,寒颤高热,右上腹痛,白细胞计数升高,CT检查如图,最可能的诊断是()
A.原发性肝癌
B.肝血管瘤
C.肝脓肿
D.炎性肉芽肿
E.肝转移癌
243、多项选择题 慢性胆囊炎的CT表现为()
A.容易穿孔并在肝内形成脓肿
B.胆囊缩小
C.胆囊增大
D.均合并结石
E.胆囊壁增厚可钙化
244、单项选择题 关于腹腔壁层肿瘤,下列说法错误的是()
A.肿瘤沿腹膜面生长,呈板块状
B.肿瘤结节以腹膜壁层为基底向腹内突起
C.腹内脏器表面有肿块或板块状增厚
D.肿瘤结节可多发
E.合并大量积液
245、多项选择题 男,21岁,视力障碍2个月,CT示鞍区囊实性占位病变,关于影像学分析下列哪些是正确的()
A.囊壁见蛋壳样钙化应首先考虑颅咽管瘤
B.增强后实性部分强化,应考虑:垂体瘤、颅咽管瘤等
C.确定病灶起源于蝶鞍内或蝶鞍上应着重观察轴位图像
D.如确定病灶起源于鞍上,应首先考虑颅咽管瘤等
E.病灶囊性部分位于实性部分上方,应首先考虑垂体瘤
246、单项选择题 血管瘤CT检查技术的“两快一慢”是指()
A.快速扫描,快速重建,慢速注射
B.快速注药,快速扫描,延迟扫描
C.快速注药,慢速扫描,快速重建
D.快速扫描,快速注药,延迟重建
E.以上都不是
247、单项选择题
女,55岁,右上腹痛,消瘦乏力3月,结合图像,最可能的诊断是()
A.肝血管瘤
B.肝腺瘤
C.肝癌
D.肝脓肿
E.肝转移癌
248、单项选择题 大脑中动脉破裂少量出血易出现的部位是()
A.额叶
B.枕叶
C.侧裂池
D.侧脑室
E.四脑室
249、单项选择题 不适合做CT扫描的是()
A.颅脑外伤
B.脑肿瘤
C.新生儿缺氧缺血性脑病
D.精神分裂症
E.脑实质变性
250、单项选择题 成人型多囊肾的影像学特点,以下哪项错误()
A.肾脏外形增大,呈多囊状结构
B.囊壁可有钙化
C.肾盏及漏斗受压变形
D.IVP示“奶酪”肾
E.无肾功能损害
251、单项选择题 关于鼻咽癌CT扫描技术,描述错误的是()
A.常规平扫
B.扫描范围上至蝶鞍、下至第三颈椎下缘
C.颅底部分的图像应加骨窗
D.图像显示一般采用软组织窗
E.常规平扫+增强
252、多项选择题 高血压脑出血的好发部位是()
A.基底节区
B.皮质下
C.丘脑
D.小脑
E.脑桥
253、多项选择题 关于肾细胞癌的影像学诊断方法选择,哪些是错误的()
A.CT检查是首选
B.CT检查不明确者,可做MRI检查,以明确诊断及肿瘤分期
C.超声检查仅作为一种筛查手段
D.肾动脉血管造影一般用于术前了解肿瘤血管的解剖、肿瘤动脉有无栓塞
E.尿路造影诊断价值较大,亦较常应用
254、单项选择题 男,15岁,面部有皮脂腺瘤,癫痫,智力低下,CT示双侧侧脑室体部室管膜下有钙化结节,诊断()
A.囊虫病
B.结核瘤
C.结节性硬化
D.颅面血管瘤病
E.多发性硬化
255、单项选择题 肾上腺腺瘤的CT表现,下列说法错误的是()
A.多数为双侧发病
B.引起原醛症的瘤体较小(1~3cm)
C.皮质醇症的瘤体稍大(2cm以上)
D.类圆形、边缘光滑、清楚、密度均匀
E.注射对比剂后,瘤体轻度增强
256、单项选择题 下列有关像素的概念,哪项是正确()
A.像素就是体素
B.像素是指CT图像中按矩阵排列分隔的基本组成单元
C.像素是一个三维概念
D.像素与体素之间没有关系
E.像素越小图像的分辨率越低
257、单项选择题
50岁,男,右侧胸痛、咳嗽、咯血3月,结合图像,最可能的诊断是()


A.纵隔肿瘤
B.肺结核
C.肺癌
D.胸膜间皮瘤
E.韦格肉芽肿
258、单项选择题 下列哪项不符合胆管结石的CT表现()
A.胆管内环行或圆形致密影
B.中心密度高,周围低密度形成“靶征”
C.梗阻上方胆总管扩张
D.增强扫描见胆总管强化影
E.可伴有肝内胆管和胆囊结石
259、单项选择题 下列关于HRCT的间质性阴影,错误的描述是()
A.正常人HRCT常可见的清晰的小叶间隔影
B.结节病患者的HRCT可见串珠状小叶间隔增厚
C.肺长线状影通常提示明显的间质纤维化
D.胸膜下线也可见于非石棉肺的其他间质性肺疾病
E.与蜂窝阴影相连的胸膜常呈轻度增厚
260、单项选择题 在星形细胞瘤与脑梗死鉴别中,下列最有意义的是()
A.低密度
B.不增强
C.单脑叶分布
D.多脑叶分布
E.不按血管支配区分布
261、单项选择题 腔隙性脑梗死的大小一般是()
A.小于2mm
B.2~15mm
C.15~20mm
D.20~25mm
E.大于25mm
262、单项选择题
男,47岁,四肢无力,增强CT检查如图,最可能的诊断为()

A.脑脓肿
B.脑膜瘤
C.胶质瘤
D.转移瘤
E.脑出血
263、单项选择题 男,67岁,上腹不适,体重下降2个月。CT检查发现脾脏内多发病灶,增强扫描呈结节样或不均质强化,最可能的CT诊断是()
A.脾转移瘤
B.脾肉瘤
C.脾血管瘤
D.脾炎性假瘤
E.脾梗死
264、单项选择题
男,74岁,间歇性无痛性全程血尿2月余,尿路造影及CT平扫+增强如图所示,下列说法错误的是()
A.尿路造影示右侧肾盂内不规则的充盈缺损征象
B.CT平扫示右侧肾盂内软组织块影
C.增强扫描示右侧肾盂内软组织块影轻度强化
D.考虑为右侧肾盂癌
E.考虑为右侧肾盂内血块
265、单项选择题 结节性硬化的钙化特征是()
A.侧脑室周围,室管膜结节状钙化
B.脑内宽大全层脑回状,齿状或曲线状钙化
C.毛线团样或簇状钙化
D.局限性斑块状钙化
E.基底节区斑片状钙化
266、单项选择题
患者70岁,体重减轻,结合图像,最可能的诊断是()
A.黑色素瘤转移
B.结肠癌转移
C.肝癌
D.胆囊癌
E.以上都不是
267、多项选择题 骨巨细胞廇CT征象包括()
A.显示肿瘤周围的软组织情况及与周围神经、血管的关系
B.骨壳内面凹凸不平,肿瘤内并无真正的骨性间隔
C.肿瘤内密度不均,有时可见液-液平面
D.肿瘤与松质骨的交界多清楚,但无骨质增生硬化
E.大多数肿瘤的骨壳并不完整连续,但无包壳外的软组织肿块影
268、单项选择题 当CTAP检查时,导管应在以下哪项中()
A.腹腔动脉内
B.门静脉内
C.肠系膜上静脉内
D.肝动脉内
E.肠系膜上动脉内
269、单项选择题 肺部肿块增强前后的CT值测量,常采用软组织窗,原因是()
A.肿块是软组织,肺窗会影响CT值的准确性
B.软组织窗只有一种,而肺窗有两种
C.各个医院之间肺窗的设置相差较大
D.肺窗CT值的线性没有软组织窗好
E.诊断医师习惯观看软组织窗的肿块图
270、单项选择题
根据所提供的图像,该病灶最好的分期为()
A.Bosniak1
B.Bosniak2
C.Bosniak3
D.Bosniak4
E.以上都不是
271、单项选择题
主动脉后的团块是()
A.腺瘤
B.神经纤维瘤
C.主动脉瘤
D.扩大的奇静脉
E.以上都不是
272、单项选择题 静脉注射对比剂盆腔增强扫描注射速度1~2ml/秒,延时(开始注射对比剂至开始扫描的时间)最少应为()
A.10秒
B.20秒
C.60秒
D.30秒
E.40秒
273、单项选择题
女,55岁,发热,左侧腰部痛胀不适4天,CT检查如图所示,下列说法错误的是()
A.左肾上极和下极各可见一个类圆形的囊性病灶
B.病灶境界清晰,囊内密度近似水样密度
C.肾前筋膜增厚
D.考虑为多囊肾合并感染
E.考虑为多发肾囊肿合并感染
274、单项选择题 头颅外伤2天,CT示蝶窦有气液平面,颅内有积气。诊断为()
A.颅底骨折
B.蝶骨骨折
C.急性筛窦炎
D.化脓性蝶窦炎
E.额骨骨折
275、单项选择题 颌面部CT扫描技术不包括()
A.患者仰卧,头部正中矢状面与床面中线垂直
B.定位像为头部侧位定位像
C.腮腺,以听眉线为扫描基线
D.鼻咽部,从蝶鞍床突上扫描至硬腭上缘
E.腮腺,扫描层厚2~3mm,层间距2~3mm
276、单项选择题 以下CT表现更倾向于硬膜外血肿而非硬膜下血肿的是()
A.血肿不超过中线
B.血肿不超越颅缝
C.血肿为等密度
D.边缘不甚清楚
E.占位效应更重
277、单项选择题 关于肾脏CT检查方法,下列哪项是错误的()
A.普通扫描可以发现钙化及结节
B.扫描前禁服钡剂、含钙或金属药物
C.扫描前30分钟口服15%泛影葡胺500ml
D.扫描前6小时禁食
E.一般不需要增强扫描
278、单项选择题 下列哪种脊椎结核最易引起椎旁寒性脓肿()
A.椎体中心型
B.边缘型
C.韧带下型
D.附件型
E.以上均可引起
279、多项选择题 髓母细胞瘤的CT表现是()
A.肿瘤明显强化
B.造成梗阻性脑积水
C.可以见到瘤周水肿
D.脂肪密度
E.发生于小脑蚓部
280、单项选择题 不符合化脓性脑膜炎CT表现的是()
A.基底池密度增高
B.增强后脑膜强化
C.脑室壁强化
D.脑实质内片状低密度区
E.脑室扩大
281、单项选择题
男,32岁,低热、腰背痛,活动受限,结合CT检查,最可能的诊断是()

A.化脓性脊柱炎
B.脊柱转移瘤
C.椎体压缩骨折
D.椎体结核
E.类风湿关节炎
282、单项选择题 关于门静脉瘤栓的描述,错误的是()
A.平扫时瘤栓密度与门静脉无大差异
B.巨块型肝癌形成门静脉瘤栓的比例最高
C.若门静脉分支直径大于主干,则提示分支有瘤栓形成
D.增强扫描瘤栓呈低密度充盈缺损
E.可向两端延伸至肝内和(或)肠系膜上静脉
283、单项选择题 肾上腺出现钙化较多的肿瘤是()
A.嗜铬细胞瘤及神经母细胞瘤
B.嗜铬细胞瘤及骨髓脂肪瘤
C.肾上腺皮质腺瘤及肾上腺囊肿
D.神经母细胞瘤及肾上腺癌
E.肾上腺皮质腺瘤及肾上腺癌
284、单项选择题 良好充盈CT像上,正常消化道壁解剖,下列哪项不对()
A.食管壁厚度应≤3mm
B.胃壁厚度应≤8mm
C.小肠壁厚度应≤3mm
D.结肠壁厚度应≤3mm
E.贲门区处胃壁可较其余胃壁略厚
285、多项选择题
1986年Bosniak根据CT征象提出肾囊性病变四级分类法,结合图像,选择正确的说法()
A.右肾内可见一类圆形囊性病灶,边界清楚,增强后无强化
B.该囊性病灶内囊液呈稍高密度
C.此为BosniakⅠ类肾囊肿
D.此为BosniakⅡ类肾囊肿
E.此为BosniakⅢ类肾囊肿
286、单项选择题 螺旋CT与传统CT最主要的区别是()
A.动态扫描
B.体积扫描
C.快速扫描
D.同层扫描
E.以上都不是
287、单项选择题 CT摄片要求,下列哪项对诊断关系最大()
A.摄片时,按照解剖顺序进行图像排列
B.摄片时,平扫与增强图像不要交叉
C.摄片时,应将带有定位线的定位片摄入
D.摄片时,正确地选择窗宽、窗位
E.摄片时,对放大、测量、重建的图像排列在后面
288、单项选择题
男,59岁,呼吸困难,胸痛,有发热,结合CT图像,最可能的诊断是()

A.脓胸
B.肺脓肿
C.大叶性肺炎
D.肺囊虫病
E.肺癌
289、单项选择题 中间帆腔(间位帆池)位于()
A.侧脑室体顶部
B.侧脑室体外侧壁与尾状核体部之间
C.第三脑室后部
D.第三脑室顶部
E.第五、六脑室交界部
290、单项选择题 对该病术前评价和术后随访的最佳方法是()
A.X线平片
B.DSA
C.MSCTA
D.超声成像
E.MRI
291、单项选择题 男性,9岁,右眼突、运动障碍2个半月,CT示视神经呈梭形增粗,视交叉增粗,中度、均匀强化。最可能的诊断是()
A.视神经母细胞瘤
B.视神经胶质瘤
C.黑色素瘤
D.视神经脑膜瘤
E.海绵状血管瘤
292、单项选择题 关于肾CT检查说法,错误的是()
A.扫描前3天禁服钡剂、钙或含金属药物
B.平扫可发现钙化和结石
C.扫描前30分钟口服15%泛影葡胺400ml
D.一般不需做增强扫描
E.扫描前6小时禁食
293、单项选择题 下列脑包虫病CT征象描述,错误的是()
A.脑内边界清楚锐利的类圆形巨大囊内病灶
B.脑包虫的密度与脑脊液相似或略高
C.无水肿,有明显占位效应
D.囊壁钙化呈完整或不完全的环状高密度带
E.阻塞脑脊液循环路径时,可见脑室扩大
294、单项选择题 非离子型对比剂是()
A.泛影葡胺
B.优维显
C.泛影钠
D.碘苯酯
E.胆影葡胺
295、单项选择题 关于CT值哪项正确()
A.CT值越大,组织密度及厚度越小
B.CT值越小,空间分辨力越大
C.CT值可以描述组织密度的高低
D.CT值可以表达组织厚度的大小
E.软组织的CT值为0~40HU
296、单项选择题 下列关于多发性硬化亚洲型的病变特点描述正确的是()
A.发病率较高
B.病程发展慢
C.病变以脑白质坏死为主
D.临床症状较轻
E.常合并视神经和脊髓受累
297、单项选择题
女,50岁,查体发现纵隔向左移位,行胸部CT扫描如下图。

A.前者患侧肺充气不良程度重
B.后者患侧肺充气不良程度重
C.前者胸廓不对称,患侧胸廓小
D.后者胸廓不对称,患侧胸廓小
E.前者无症状
298、单项选择题
男,45岁,尿频、尿急、尿痛1月余,根据所示图像,最可能的诊断是()
A.膀胱血块
B.膀胱结石
C.膀胱息肉
D.膀胱癌
E.膀胱炎
299、多项选择题 关于脑肿瘤包括以下哪些()
A.神经胶质瘤
B.颅咽管瘤
C.垂体腺瘤
D.脑膜瘤
E.松果体瘤
300、单项选择题
女,55岁,鼻咽癌放疗15年,近1周左耳根部肿胀,无发热,PE:左耳根部皮下扪及三个结节,有波动感和轻压痛,CT如图所示,最可能的诊断是()

A.左腮腺腺瘤
B.左腮腺混合瘤
C.左腮腺腺淋巴瘤
D.左腮腺恶性混合瘤
E.左腮腺蜂窝织炎