时间:2025-09-24 03:58:13


1、单项选择题 下列为同一类骨的是()
A.肱骨、尺骨、胸骨
B.三角骨、手舟骨、月骨
C.颅骨、肋骨、锁骨
D.椎骨、下颌骨、跟骨
E.舟骨、椎骨、上颌骨
2、单项选择题 下列关于纵隔囊肿的说法,错误的是()
A.支气管囊肿壁的结构与支气管壁结构相同
B.支气管囊肿常与支气管相通
C.食管囊肿多见于婴儿和儿童
D.食管囊肿远较支气管囊肿发病率低
E.心包囊肿右侧较左侧多见
3、多项选择题 肺不张的范围可以是()
A.一侧性
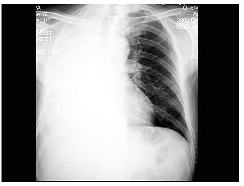
B.双侧性
C.肺叶性
D.肺段性
E.小叶性
4、单项选择题
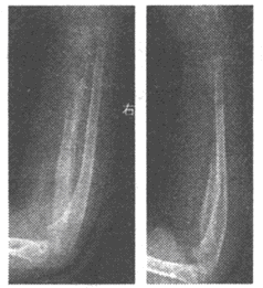
男,7岁,右前臂肿痛20天,发病时皮温较高,体温达39℃。实验室检查:WBC:12.05×109/L,中性粒细胞79%。右尺桡骨正侧位DR片如图

最可能的诊断是()
A.骨结核
B.溶骨型骨肉瘤
C.软骨肉瘤
D.骨纤维异常增殖症
E.化脓性骨髓炎
5、单项选择题 下面关于KerleyB线的描述,哪项是错误的()
A.是肺野内长约1~2cm、厚度为0.5~lmm横行致密线状影
B.常见于肋膈角与胸膜面大致垂直
C.由多种原因引起的小叶间隔肥厚
D.偶见于中肺野
E.也可见于上肺野
6、单项选择题 骨骺损伤的表述,错误的是()
A.干、骺愈合前骨骺部发生的创伤,也称骨骺分离
B.约30%骨骺损伤继发肢体短缩或成角畸形
C.X线平片表现为骨骺移位、骺板增宽及临时钙化带模糊或消失
D.X线平片可以显示二次骨化中心骨化前的骨骺损伤
E.MRI显示骺板的纤维桥和骨桥最佳
7、单项选择题 疲劳性骨折的骨折线多表现为()
A.边缘清楚的带状密度增高影
B.边缘模糊的带状密度增高影
C.边缘清楚的透亮线
D.边缘模糊的透亮线
E.骨折断端错位
8、多项选择题 关于先天性肾脏病变,下列说法正确的是()
A.异位肾比正常肾的功能更易受损
B.马蹄肾的结石发生率高
C.交叉异位肾的输尿管开口于膀胱同一侧
D.马蹄肾的输尿管从肾联合背侧通过
E.肾脏发育不全者的膀胱三角区可不对称
9、单项选择题 正常成人心胸比率一般为()
A.0.5
B.0.56
C.0.55
D.0.60
E.0.40
10、单项选择题 哪类肺癌在早期就发生淋巴转移()
A.鳞癌
B.腺癌
C.大细胞未分化癌
D.小细胞未分化癌
E.细支气管肺泡癌
11、单项选择题 不产生脑脊液的是()
A.侧脑室
B.第三脑室
C.第四脑室
D.蛛网膜颗粒
E.室管膜
12、多项选择题 下列造影检查中能用碘化钠作对比剂的是()
A.胆囊造影
B.膀胱造影
C.逆行肾盂造影
D.静脉肾盂造影
E.子宫输卵管造影
13、多项选择题 X线管中X线发生效率()
A.与管电压成正比
B.与管电压成反比
C.与靶物质原子序数成正比
D.与靶物质原子序数成反比
E.与管电流成正比
14、单项选择题 与鞍上池相邻的是()
A.前为额叶,侧为颞叶,后为脑桥
B.前为眶回,侧为海马,后为中脑
C.前为直回,侧为海马,后为中脑
D.前为眶回,侧为颞叶,后为脑桥
E.前为直回,侧为颞叶,后为延髓
15、单项选择题
男,27岁,近2月来感胸闷,无咳嗽咳痰,不发热,X线检查如图,最可能的诊断是()

A.右侧包裹性胸腔积液
B.右侧肺不张
C.右侧游离性胸腔积液
D.右侧膈下脓肿
E.胸膜间皮瘤
16、单项选择题 男,36岁,右下腹痛、低热3月钡餐检查示回肠末端狭窄、管壁较僵硬,粘膜皱襞紊乱,回盲瓣破坏,盲肠袋挛缩,结肠显示不良,根据临床及X线表现,最可能的诊断是()
A.肠结核
B.肠癌
C.肠淋巴瘤
D.结肠息肉恶变
E.肠平滑肌瘤
17、单项选择题 下列哪项不是良性胃溃疡的X线征象()
A.项圈征
B.黏膜线
C.狭颈征
D.指压迹征
E.黏膜集中
18、多项选择题 骨膜内含有下述哪些组织()
A.血管
B.神经
C.淋巴管
D.成骨细胞
E.破骨细胞
19、单项选择题 吸收X线能力最强的组织结构是()
A.肌肉
B.脂肪
C.骨骼
D.肺组织
E.肝脏
20、多项选择题 以下哪些骨肿瘤常见钙化()
A.骨瘤
B.骨肉瘤
C.骨巨细胞瘤
D.软骨瘤
E.软骨肉瘤
21、多项选择题 哪些征象与良性胃溃疡有关()
A.激惹征
B.胃空腹滞留液较多
C.胃排空速度减慢
D.袖口征
E.肩胛征
22、单项选择题 早发先天性骨梅毒的X线表现中,哪项错误()
A.常累及骨骺
B.Wimberger征
C.骨膜炎
D.干骺炎
E.先期钙化带增宽增浓
23、单项选择题
男,5岁,临床考虑先心病室间隔缺损,结合图像,下列描述正确的是()
A.肺淤血
B.正常肺
C.肺泡性肺水肿
D.间质性肺水肿
E.肺充血
24、单项选择题 下列诊断小肠Crohn(克罗恩)病较为特征的X线表现是()
A.多发生于回肠远端
B.“卵石征”
C.“跳跃征”
D.管腔狭窄
E.纵行溃疡
25、单项选择题
女婴,出现持续性呕吐,腹胀,如图所示,最可能的诊断为()
A.肠梗阻
B.肠扭转
C.肠闭锁
D.肠旋转不良
E.肠穿孔
26、单项选择题 尾骨是由几块椎骨组成()
A.3块
B.4块
C.5块
D.6块
E.4节退化椎骨融合成1块
27、单项选择题 下列哪个部位具有较好的天然对比度()
A.腹部
B.足
C.头颅
D.骨盆
E.胸部
28、单项选择题 肺循环血量增多,而左心室和体循环血流减少的是()
A.法洛四联征
B.肺动脉狭窄
C.房间隔缺损
D.室间隔缺损
E.动脉导管未闭
29、单项选择题 辐射的生物效应分为()
A.致癌效应和皮肤效应
B.遗传效应和致癌效应
C.非随机性效应和随机性效应
D.胚胎死亡效应和致癌效应
E.遗传效应和皮肤效应
30、单项选择题 关于灯丝变压器的叙述,错误的是()
A.降压变压器
B.初级电流小,次级电流大
C.初级线数多,次级线数少
D.初级线径小,次级线径大
E.绝缘要求和普通变压器相同
31、多项选择题 脊椎结核的较常见X线表现有()
A.大块死骨
B.椎间隙变窄或消失
C.后突畸形
D.寒性脓肿
E.骨质破坏
32、单项选择题 下列哪项为组织来源未定的肿瘤为()
A.纤维肉瘤
B.骨巨细胞瘤
C.骨髓瘤
D.尤文肉瘤
E.脊索瘤
33、单项选择题 锁骨正位片:锁骨显示为∽形弯曲为()
A.肩关节旋转所致
B.肩关节抬高所致
C.肩关节外展所致
D.肩关节内收所致
E.肩关节倾斜所致
34、单项选择题 下列哪项不是矽肺的X线征象()
A.矽结节
B.肺门淋巴结蛋壳样钙化
C.胸膜肥厚
D.肺气肿
E.病变晚期肺纹理明显增多
35、单项选择题 贲门失弛缓症较具特征的X线表现是()
A.食管下端边缘呈锯齿状
B.食管下端不规则充盈缺损
C.食管下端狭窄,边缘光整,粘膜正常
D.食管下端狭窄,局部僵硬,不能扩张
E.以上都不是
36、多项选择题 关于乳腺癌治疗的说法哪些正确()
A.手术、化疗、放疗、内分泌治疗均是综合治疗的重要部分
B.术前化疗可以使肿瘤缩小,使更多的患者获得保乳机会
C.术前化疗应选择敏感性化疗方案
D.细针穿刺细胞涂片见到恶性细胞即行术前化疗
E.手术范围越大,乳腺癌的治疗效果越好
37、单项选择题 “生长障碍线”的临床意义为()
A.曾经骨生长停止
B.目前骨生长停止
C.不说明什么问题
D.其数目与年龄成正比
E.提示骨矿物质代谢
38、单项选择题 肝脓肿X线平片检查主要的征象为()
A.肝区含气或液平的脓腔影
B.右膈肌膨隆
C.右下肺盘状肺不张
D.右胸膜肥厚
E.胸腔少量积液
39、单项选择题 骨巨细胞瘤好发于()
A.不规则骨
B.扁骨
C.股骨的远端、胫骨的近端
D.椎体骨
E.短骨干骺端
40、多项选择题 引起阻塞性肺不张常见疾病有()
A.支气管异物
B.支气管肺癌
C.炎性肉芽肿
D.支气管内膜结核
E.血块及痰栓
41、单项选择题
患者,男,3岁,突发左侧胸痛伴呼吸困难3小时入院,如图所示,最可能的诊断为()

A.左侧肺气肿
B.左侧气胸
C.左肺门淋巴结结核
D.右肺小叶性肺炎
E.以上都不正确
42、单项选择题 人体对X线衰减的叙述,错误的是()
A.不同组织对X线衰减不同,故可形成影像对比
B.软组织对X线衰减相当于水
C.脂肪对X线衰减最小
D.骨对X线衰减相当于铝
E.骨组织对X线衰减最大
43、单项选择题 维生素A过多症的X线表现不包括()
A.干骺端骺板下骨小梁稀少,排列紊乱、边缘模糊
B.关节软骨下骨板变薄,骨性关节面模糊或断续不连
C.骨干收缩变细,皮质边缘模糊或皮质中有线条状透亮影
D.骨干骨膜下新骨形成,呈波浪状、薄壳状或层状
E.骨骺边缘相当于先期钙化带区密度增高,使骨骺呈环形
44、单项选择题 骨质软化不见于()
A.甲状腺功能亢进
B.骨质软化症
C.维生素D缺乏病
D.肾功能不全
E.甲状旁腺功能亢进
45、多项选择题 广泛性骨质疏松不常见于哪些情况()
A.豆状骨骨折后
B.绝经后
C.甲状旁腺功能亢进
D.肢端肥大症
E.多发性骨髓瘤
46、单项选择题 X线的产生,下列哪项不正确()
A.高速电子流突然受阻
B.自由电子群变成高速电子流
C.电压差
D.99%以上动能转变为X射线
47、单项选择题 X线机的高压整流方式不包括()
A.单相全波整流
B.单相半波整流
C.自整流
D.三相4波整流
E.三相12波整流
48、多项选择题 硬化型骨髓炎的X线表现不包括()
A.骨质硬化增生
B.骨内膜增生
C.骨外膜增生
D.骨脓肿
E.死骨形成
49、多项选择题 肾实质显影浅淡主要见于()
A.肾功能减退
B.尿路梗阻
C.肾结核
D.肾脓肿
E.低血压
50、单项选择题 眶内异物定位方法很多,常用的定位方法为()
A.几何定位法
B.超声定位法
C.手术中定位法
D.普通头颅侧位片定位法
E.头颅正位片定位法
51、多项选择题 地中海贫血骨骼主要X线表现为()
A.骨髓增生
B.骨生长紊乱
C.病理性骨折
D.铁晶体异常沉积
E.髓外造血
52、多项选择题 可使脑膜中动脉压迹异常增粗、迂曲者()
A.血管瘤
B.颅骨恶性肿瘤
C.转移瘤
D.星型胶质细胞瘤
E.脑膜瘤
53、单项选择题 在X线摄影的能量范围内,以下哪种形式利用了X线与物质相互作用()
A.康普顿散射
B.光蜕变
C.电子产生
D.光核反应
E.以上都不是
54、单项选择题 先天性输尿管囊肿X线表现为()
A.膀胱内充盈缺损,边缘规则
B.输尿管局部膨大呈囊状
C.膀胱内圆形充盈缺损,边缘光滑,伴输尿管积水
D.膀胱内充盈缺损,壁僵硬
E.以上均不是
55、单项选择题 骨巨细胞瘤的好发年龄()
A.40岁以上
B.20~40岁
C.0~20岁
D.新生儿
E.青春期
56、单项选择题 在胸部X线诊断中,错误的是()
A.左心室增大——左前斜摄片
B.中叶综合征——侧位摄片
C.肺结核——前弓位摄片
D.肺气肿——呼气时摄片
E.液气胸——卧位摄片
57、多项选择题 肺泡性肺水肿的X线征象有()
A.间隔线阴影
B.病变动态变化较快
C.胸腔积液
D.蝶翼征
E.上肺静脉扩张
58、单项选择题 儿童时期病理性骨折最常见的原因是()
A.骨囊肿
B.转移性骨瘤
C.废用性骨萎缩
D.佝偻病
E.成骨不全
59、单项选择题 下述哪项为胰岛D细胞瘤()
A.生长抑素瘤
B.胰岛素瘤
C.舒血管肠肽瘤
D.胃泌素瘤
E.胰高血糖素瘤
60、单项选择题
女,28岁,反复骨骼疼痛,结合图像,最可能的诊断是()
A.地中海贫血
B.镰状细胞贫血
C.白血病
D.脊椎退行性变
E.椎间盘突出
61、多项选择题 Albright综合征临床表现不包括()
A.内分必紊乱
B.软组织肿物
C.血管瘤
D.性早熟
E.皮肤色素沉着
62、单项选择题 下列正常X线平片表现,哪项不正确()
A.出生24小时后结肠内就可有气体
B.婴儿消化管内可有“气液面”
C.成人正常小肠管径应小于4cm
D.成人正常左半结肠管径应小于5cm
E.正常女性偶可见到“腹腔游离气体”
63、单项选择题 肺淤血是指()
A.肺动脉血流量增加
B.肺静脉血流量增加
C.肺动脉血流量减少
D.肺静脉血流量减少
E.以上均不是
64、单项选择题 下述各项均能在食管上直接形成压迹,但除外()
A.肺动脉
B.主动脉弓
C.左主支气管
D.降主动脉
E.左心房
65、单项选择题 钡餐检查,病理性胃形态为()
A.牛角型
B.瀑布胃
C.葫芦型
D.鱼钩型
E.无力型
66、多项选择题 正位胸片上,Lutembacher综合征表现为()
A.肺纹理增多
B.多数患者肺纹理正常
C.肺门影缩小
D.右心增大
E.左心房增大
67、单项选择题 正常成人心胸比率一般为()
A.0.5
B.0.56
C.0.55
D.0.60
E.0.40
68、多项选择题 滑膜骨软骨瘤病的临床表现包括()
A.本病多见于青少年,男多于女
B.多数病例为双关节病变
C.主要表现为受累关节疼痛、肿胀
D.很少出现关节绞锁现象
E.关节外滑膜骨软骨瘤病可发生在腱鞘和滑液囊
69、单项选择题 胸片显示为双侧性弧形肿块,密度均匀,且无钙化,可能是以下哪种肿瘤()
A.胸内甲状腺肿
B.神经源性肿瘤
C.胸腺瘤
D.淋巴瘤
E.畸胎瘤
70、单项选择题 可用于静脉肾盂造影的对比剂是()
A.碘化油
B.碘苯酯
C.泛影葡胺
D.碘化钠
E.胆影葡胺
71、单项选择题 对影像半影模糊的控制阈值为()
A.0.05mm
B.0.20mm
C.0.25mm
D.1.0mm
E.1.5mm
72、多项选择题 肺间质纤维化可见于()
A.高原性肺水肿
B.Hamman-Rich综合征
C.尘肺
D.空调肺
E.硬皮病
73、单项选择题
男,7岁,外伤后突发呼吸困难伴胸痛,结合图像,最可能的诊断是()
A.胸腔积液
B.肺大泡
C.气胸
D.液气胸
E.肺脓肿
74、单项选择题
男,16岁,长期的骨骼肌肉畸形,听力障碍,结合图像,最可能的诊断是()

A.马方综合征
B.成骨不全
C.肾性骨病
D.甲状旁腺功能亢进
E.维生素D缺乏症
75、单项选择题 下列过敏性肺炎影像,哪项不对()
A.双侧中下肺野斑片状边缘模糊影
B.双肺弥漫分布粟粒状阴影
C.肺纹理增多,边缘模糊
D.病变位置固定,无游走性改变特点
E.反复发作可发展为间质纤维化、肉芽肿
76、单项选择题 1895年,伦琴将X线首次应用于人体的哪个系统()
A.心血管系统
B.骨骼系统
C.神经系统
D.消化系统
E.呼吸系统
77、单项选择题 对激光照相机特点的描述,以下哪项不对()
A.成像分辨率与激光束宽度成反比
B.对胶片无特殊要求,凡双面药膜片均可
C.图像可任意放大、缩小
D.成像分辨率不能超过读取分辨率
E.只适用于数字信息图像
78、多项选择题 肺门淋巴结增大可见于()
A.结节病
B.干燥综合征
C.原发性肺结核
D.白血病
E.肺淀粉样变性
79、单项选择题
女,3岁,身体发育异常,如图所示,最可能的诊断为()
A.成骨不全
B.粘多糖病
C.软骨发育不全
D.佝偻病
E.侏儒症
80、单项选择题 肺淤血在平片上表现为()(1)肺门增大,血管边缘清楚(2)肺门增大,结构不清,血管边缘模糊(3)肺血管普遍扩张,边缘模糊,呈条纹状(4)肺内血管成比例增粗,边缘锐利(5)上肺静脉增粗,下肺静脉变细
A.(1)(2)(3)
B.(1)(3)(5)
C.(2)(4)(5)
D.(2)(3)(5)
E.(1)(3)(4)
81、单项选择题
男,20岁,胸闷、低热1月余,突然咯血,X线检查如图,最可能的诊断是()
A.肺结核(Ⅰ型)伴右侧胸腔积液
B.肺结核(Ⅲ型)伴右侧胸腔积液
C.肺结核(Ⅱ型)伴右侧肺不张
D.肺结核(Ⅲ型)伴右侧肺不张
E.肺转移瘤伴右侧肺不张
82、单项选择题 十二指肠球部溃疡好发部位是()
A.大弯侧
B.小弯侧
C.前壁
D.后壁
E.基底部
83、单项选择题 婴幼儿摄胸片时,描述错误的是()
A.不能站立的小儿可用仰卧位或俯卧位
B.因小儿胸部厚度较薄,用前后位和后前位照像无明显差别
C.呼气和吸气时摄影无明显差别
D.正常胸腺有时与心脏增大或肺炎相混淆
E.正常也可见气管移位
84、单项选择题
女,42岁,双下肢疼痛,结合图像,最可能的诊断是()
A.Paget病
B.内生软骨瘤
C.非骨化性纤维瘤
D.骨巨细胞瘤
E.骨纤维异常增殖症
85、单项选择题 下列哪项不是维生素C缺乏病在干骺端的X线表现()
A.维生素C缺乏病线
B.维生素C缺乏病透亮带
C.骨刺征
D.环状骨骺
E.角征
86、单项选择题 下列心脏病变透视特点的描述,哪项不对()
A.缩窄性心包炎:心脏搏动减弱
B.左心室室壁瘤:心脏局部矛盾运动
C.轻度心肌炎:心脏搏动正常
D.主动脉关闭不全:反向搏动点下移
E.主动脉关闭不全:心脏搏动普遍增强
87、多项选择题 骨质破坏的原因中,正确的有()
A.良、恶性骨肿瘤
B.骨肿瘤样病变
C.甲状旁腺功能低下
D.炎症
E.肉芽肿性病变
88、多项选择题 软骨肉瘤的X线表现包括()
A.中心型软骨肉瘤髓腔内呈溶骨性破坏
B.邻近骨皮质不同程度膨胀、变薄,骨皮质破坏形成软组织肿块
C.骨破坏区和软组织肿块内可见环形、半环形或砂粒样钙化影
D.偶见骨膜反应和Codman三角
E.周围型软骨肉瘤多由骨纤维异常增殖症恶变而来
89、多项选择题 下列那些疾病可能发生乳头内陷()
A.乳腺癌
B.浆细胞性乳腺炎
C.乳腺脂肪坏死
D.乳腺囊性增生
E.乳腺结核
90、单项选择题 IVP示“肾盂显影浅淡”,下列哪项错误()
A.髓质海绵肾早期
B.尿崩症
C.尿毒症
D.高血压肾病
E.输尿管结石
91、单项选择题 骨组织属于下述哪一种()
A.致密结缔组织
B.胶原纤维
C.弹力纤维
D.嗜银纤维
E.疏松结缔组织
92、单项选择题 心脏左前斜位摄片,身体冠状面与胶片夹角为()
A.20~25°
B.30~35°
C.40~45°
D.50~60°
E.60~70°
93、多项选择题 下列哪些属于过敏性结肠炎X线表现()
A.钡剂通过迅速,0.5~6小时钡剂可达盲肠
B.小肠呈张力增高、痉挛、变细,结肠袋明显增多、增深
C.若结肠内积液较多时,钡剂可呈线样征
D.若结肠内有大量液体时,结肠壁呈“双层肠壁状”
E.钡剂排出的粘膜皱襞呈卵石样改变
94、单项选择题 肾实质内占位性病变主要X线征象为()
A.肾盂肾盏受压移位
B.肾脏增大
C.肾排泄功能减退
D.肾轮廓呈分叶状或局部隆凸
E.肾实质局部密度增高
95、多项选择题 室间隔缺损的血流动力学改变有()
A.左心室增大
B.右心室增大
C.左心房增大
D.右心房增大
E.肺动脉高压
96、多项选择题 头颅平片可以显示()
A.前床突
B.后床突
C.脑垂体
D.鞍结节
E.蝶鞍
97、单项选择题 下列哪项不是肺癌组织学分型之中的肿瘤类型()
A.鳞癌
B.小细胞癌
C.透明细胞癌
D.腺癌
E.大细胞癌、腺鳞癌、类癌等
98、多项选择题 软骨组织发生的良性肿瘤,是()
A.骨软骨瘤
B.成软骨细胞瘤
C.皮质旁软骨瘤
D.甲下骨瘤
E.成骨细胞瘤
99、单项选择题 腕部外伤,临床上有腕鼻烟窝部压痛及肿胀应考虑()
A.月骨骨折
B.舟状骨骨折
C.三角骨骨折
D.大多骨骨折
E.桡骨远端骨折
100、多项选择题 左心室增大主要见于()
A.高血压病
B.主动脉瓣病变
C.二尖瓣关闭不全
D.室间隔缺损
E.动脉导管未闭
101、多项选择题 脂肪瘤的起源,下述正确的是()
A.纵隔胸膜下脂肪组织
B.胸壁皮下脂肪组织
C.胸腺脂肪组织
D.结外淋巴组织
E.淋巴未退化的胸腺组织
102、单项选择题 某患者外伤,临床怀疑椎弓峡部断裂。 为诊断椎弓峡部断裂,正确的摄影体位是()
A.腰椎正位
B.腰椎侧位
C.腰椎双斜位
D.腰骶部斜位
E.腰骶部侧位
103、多项选择题 骨转移瘤最多见于()
A.骨盆
B.膝以下
C.脊柱
D.肘以下
E.颅骨
104、多项选择题 急性粟粒性肺结核的X线表现为()
A.发病初期X线片阴性
B.分布均匀
C.大小不等
D.大小一致
E.密度相近
105、单项选择题
男,56岁,右髋部疼痛,5年前被确诊为前列腺癌,结合图像,最可能的诊断是()
A.骨纤维异常增殖症
B.转移性骨肿瘤
C.畸形性骨炎
D.内生软骨瘤
E.非骨化性纤维瘤
106、单项选择题 结节病较少累及的部位为()
A.骨
B.淋巴结
C.胸膜
D.肺
E.皮肤
107、单项选择题
男,38岁,心前区阵发性绞痛10天。贫血面容,有胃病史。结合图像,最可能的诊断为()
A.胃癌
B.胃窦癌
C.胃小弯溃疡
D.胃炎
E.胃下垂
108、单项选择题 下列哪项不宜做排泄性尿路造影()
A.骨成骨肉瘤
B.甲状旁腺功能亢进
C.骨转移瘤
D.多发骨髓瘤
E.骨的尤文氏瘤
109、单项选择题 肾动脉沿以下规律分布()
A.肾动脉一肾段动脉一弓形动脉一叶间动脉
B.肾动脉一肾段动脉一叶间动脉一叶间动脉一弓形动脉
C.肾动脉一肾段动脉一弓形动脉一叶间动脉一叶间动脉
D.肾动脉一肾段动脉一叶间动脉一弓形动脉一小叶间动脉
E.肾动脉一肾段动脉一叶间动脉一叶间动脉一弓形动脉一叶间动脉
110、单项选择题 下列哪一征象不支持纵隔肿瘤的诊断()
A.透视下见肿块随呼吸变形
B.透视下见肿块随呼吸上下移动
C.肿块最大径在纵隔内
D.肿块压迫气管
E.肿块外缘与纵隔交角呈钝角
111、单项选择题
女,35岁,摔伤后左髋部剧痛,活动受限6小时,结合影像学检查,最可能的诊断是()
A.股骨颈骨折
B.股骨头骨折
C.骨盆骨折
D.加莱阿奇骨折
E.肱骨骨折
112、多项选择题 经眶上裂出入颅的结构有()
A.视神经
B.动眼神经
C.滑车神经
D.展神经
E.眼神经
113、单项选择题 下列哪项不是诱发泌尿系感染的危险因素()
A.糖尿病
B.妊娠
C.前列腺肥大
D.泌尿道结石
E.直肠超声探头检查
114、单项选择题 在肝转移癌中,多血供型转移的是()
A.肾癌
B.胃癌
C.胰腺癌
D.恶性淋巴瘤
E.以上均不是
115、单项选择题 膈下肋骨摄片,采用的呼吸方式为()
A.浅呼吸屏气
B.深呼气后屏气
C.深吸气后屏气
D.平静呼吸屏气
E.深吸深呼后屏气
116、单项选择题 关于肾癌,下列哪种说法不正确()
A.肾盏受压、破坏
B.静脉肾盂造影可阴性
C.可继发肾积水
D.肿瘤无钙化
E.临床上以无痛性血尿及包块为主
117、多项选择题 关于DR成像的叙述,正确的是()
A.X线数字摄片——Digitalradiography
B.硒鼓技术利用硒接受X线照射后直接转换为电信号
C.直接放射成像是直接读取感应介质记录的X线信息
D.直接放射成像以数字化图像方式重放和记录
E.以上都正确
118、单项选择题 下列肺泡性肺水肿影像,哪项不对()
A.KerleyA线
B.支气管气相
C.心影正常或增大
D.肺门影增大、模糊
E.肺内影演变迅速
119、单项选择题 “法洛四联征”基本改变不包括()
A.主动脉骑跨
B.三尖瓣下移
C.右心室肥厚
D.高位室间隔缺损
E.漏斗部肺动脉狭窄
120、单项选择题 中心线与地面垂直为()
A.水平投射
B.垂直投射
C.向上投射
D.向下投射
E.倾射投射
121、单项选择题 股骨干轴线与胫腓骨轴线的偏斜角度是()
A.5°
B.10°
C.15°
D.20°
E.25°
122、单项选择题 下述观点,哪项正确()
A.使用增感屏是为了减少X线用量
B.长时间透视不会引起“X线烧伤”
C.使用增感屏可提高图像清晰度
D.数字成像不限X线用量
E.透视前暗适应是为了减轻病人精神负担
123、多项选择题 先天子宫发育畸形包括()
A.鞍形子宫
B.半隔子宫
C.双角子宫
D.单角子宫
E.纵隔子宫
124、单项选择题 下列哪种药物,不会诱发“Barrett食管”()
A.四环素
B.强力霉素
C.奎尼丁
D.氨苄青霉素
E.阿斯匹林
125、单项选择题 迷走右锁骨下动脉在食管后方的压迹是()
A.由右侧向左上的螺旋形的压迹
B.由右侧向右上的螺旋形的压迹
C.由左侧向左上的螺旋形的压迹
D.由左侧向右上斜行的螺旋形压迹
E.以上都不是
126、多项选择题 骨肉瘤基本X线表现包括()
A.骨质破坏
B.肿瘤骨
C.肿瘤软骨钙化
D.软组织肿块
E.骨膜增生和Codman三角
127、单项选择题 腹部外伤常受累脏器依次是()
A.肝、胃、肾
B.脾、肾、肝
C.脾、肝、胰腺
D.肝、肾、脾
E.脾、肾、结肠
128、单项选择题 以下对于胸片诊断的描述,哪项不正确()
A.有被CT、MRI取代的可能
B.良好的天然对比是胸片检查的有利条件
C.不能检出某些早期或微小病变
D.正位胸片难以显示心后间隙、后肋膈角区病变
E.可诊断大多数胸内病变
129、多项选择题 下列中的哪些部位,不适合高电压摄片()
A.纵隔
B.喉
C.胸骨
D.乳腺
E.胸部
130、单项选择题 关于脾脏与周围器官的关系错误的是()
A.和左肾上1/3前缘相邻接
B.内缘中1/3邻接胃大弯
C.一般人脾下极平第一腰椎
D.脾膈面与左膈的后外侧弧线一致
E.脾下缘邻接结肠脾曲
131、单项选择题 以下关于膈肌病变的说法,错误的是()
A.婴儿最常见的先天性膈疝为胸腹裂孔疝
B.外伤性膈疝可由开放性或闭合性膈损伤引起,闭合性膈损伤多发生于右膈
C.膈肌麻痹并非在膈神经损伤后立即发生,而是随时间推移逐渐表现为异常
D.膈膨升可发生于任何年龄,以中老年人多见
E.膈麻痹患者的患侧膈肌在呼吸时无运动或反常运动
132、单项选择题 下列不属于X线机辅助装置的是()
A.摄影床
B.诊视床
C.X线管
D.影像增强器
E.摄像机
133、单项选择题 胸片示肺动脉段凹陷,可除外下述哪种疾病()
A.主动脉缩窄
B.Ebstein畸形
C.法洛四联征
D.三尖瓣闭锁
E.肺动脉漏斗部狭窄
134、单项选择题 蒙泰贾(Monteggia)骨折是指()
A.尺骨上1/3骨折,合并桡骨小头脱位
B.第1掌骨基底部骨折,合并掌腕关节脱位
C.桡骨远端距远端关节面2.5cm以内的骨折,常伴远侧断段向背侧倾斜
D.桡骨远端2~3cm以内的骨折,常伴远侧断段向掌侧倾斜
E.桡骨下1/3的骨折,合并尺骨小头脱位
135、多项选择题 凡康尼(Fanconi)综合征的特点为()
A.高磷血症
B.氨基酸尿
C.糖尿
D.高磷尿
E.高氯性酸中毒
136、单项选择题 无菌性骨坏死最常见的部位是()
A.肱骨头
B.髌骨
C.膝部股骨外髁
D.桡骨小头
E.股骨头
137、单项选择题 大肠全长约为()
A.5~6m
B.2.0m
C.1.5m
D.2.5m
E.3.0m
138、单项选择题 PTC是()。
A.厚膜铂电阻的英文缩写
B.PN结温度传感器的英文缩写
C.正电阻温度系数热敏电阻的英文缩写
D.负电阻温度系数热敏电阻的英文缩写
139、多项选择题 与胰腺毗邻关系密切的大血管有哪些()
A.肠系膜上动脉
B.腔静脉、门静脉
C.脾动脉、脾静脉
D.腹腔动脉、腹主动脉
E.肠系膜下动脉
140、单项选择题 陈旧性关节脱位是指脱位时间超过()
A.1周
B.2周
C.3周
D.4周
E.6周
141、单项选择题 胶片感光发生的光化学反应,实质上属于()
A.水解反应
B.合成反应
C.氧化-还原反应
D.光合作用
E.光化学反应
142、多项选择题 下列关于顶颏位片的描述,正确的是()
A.鼻翼投影于上颌窦内上方
B.颅底卵圆孔投影重叠于窦底
C.岩骨重叠于上颌窦底
D.上唇投影于上颌窦底部
E.以上都不是
143、单项选择题 两肺血减少,肺动脉段突出,左侧肺动脉大于右侧,属于下述哪种疾病改变()
A.法洛四联征
B.动脉导管未闭
C.肺动脉瓣狭窄
D.高位室间隔缺损
E.以上都不是
144、单项选择题 老年人较特征的食管生理性压迹是()
A.主动脉弓压迹
B.左主支气管压迹
C.降主动脉压迹
D.左心房压迹
E.以上都不是
145、单项选择题 颌顶位又称为()
A.顶颌位
B.下上轴位
C.上下轴位
D.额鼻位
E.后前位
146、单项选择题 静脉注射碘过敏试验,注药后观察反应的常规时间是()
A.3分钟
B.5分钟
C.15分钟
D.25分钟
E.35分钟
147、单项选择题 下述肺动静脉瘘影像特点,错误的是()
A.单发或多发结节
B.圆形或分叶状
C.病变边缘锐利
D.呼气相病灶体积比吸气相小
E.无钙化
148、单项选择题 腹水患者卧位腹部平片能显示的是()
A.腹内结构不清,密度增高
B.小肠被压向腹部周边部位
C.结肠与腹脂线间距加大
D.狗耳征
E.腰大肌影欠清晰
149、单项选择题 肺结核空洞一般为()
A.薄壁空洞
B.厚壁空洞
C.虫蚀样空洞
D.以上均可
E.以上均不可
150、单项选择题 肺动脉高压和肺静脉高压可同时存在的疾病是下述哪一种()
A.二尖瓣狭窄
B.二尖瓣关闭不全
C.主动脉瓣关闭不全
D.主动脉瓣狭窄
E.三尖瓣关闭不全
151、多项选择题 弥漫性颅骨增生见于()
A.骨纤维异常增殖症
B.骨肉瘤
C.肾性佝偻病
D.石骨症
E.畸形性骨炎
152、单项选择题 肾结核X线检查时,错误的是()
A.平片检查可无异常发现
B.肾实质内可见云絮状或环状钙化
C.若肾盏、肾盂被广泛破坏,排泄性尿路造影可以显影
D.逆行尿路造影可以显示肾盂肾盏形成的不规则空腔
E.全肾钙化
153、多项选择题 白血病骨关节改变的X线表现包括()
A.骨质疏松
B.弥漫性斑点状、虫蚀样骨质破坏
C.骨皮质糜烂、变薄
D.骨膜反应及软组织肿胀
E.白血病带
154、单项选择题 下列颅内肿瘤的影像检查方法中,目前最常用的是()
A.头颅平片
B.体层摄影
C.全景摄影
D.造影检查
E.CT检查
155、单项选择题
女,12岁,右小腿肿胀,疼痛,发热3月余,摄片如图所示,下列征象哪项是错误的()
A.骨质呈溶骨性破坏
B.骨质增生硬化
C.骨膜呈层状增生不明显
D.可见软组织肿块
E.软组织肿胀
156、多项选择题 于后前位胸片上可见到哪些正常软组织结构()
A.胸大肌
B.女性乳腺及乳头
C.胸锁乳突肌
D.锁骨上皮肤皱褶
E.伴随阴影
157、单项选择题 43岁,男,上腹隐痛半年,ERCP示主胰管粗细不均、扭曲、僵硬,胆总管下端向内移位,最可能的诊断是()
A.胰腺癌
B.慢性胰腺炎
C.急性胰腺炎
D.胰腺假性囊肿
E.先天性胆总管囊样扩张症
158、单项选择题
女,21岁,右膝肿痛1个月,局部皮温增高。结合右膝关节正侧位片,最可能的诊断为()
A.骨巨细胞瘤
B.非骨化性纤维瘤
C.骨转移瘤
D.骨囊肿
E.骨肉瘤
159、单项选择题 下列与大量心包积液X线征象不符的是()
A.心脏普遍增大,心缘各弧消失
B.心脏搏动减弱或消失
C.多数患者见明显肺淤血改变
D.卧位透视时心底阴影增宽
E.心影大小短期内可明显改变
160、单项选择题 “恶性骨肿瘤”最常见的骨膜反应类型是()
A.放射形骨膜反应
B.三角形骨膜反应
C.花边形骨膜反应
D.平行形骨膜反应
E.葱皮形骨膜反应
161、单项选择题 不属于胃癌基本X线表现的是()
A.Garman综合征
B.胃壁僵硬、边缘不齐
C.项圈征及狭颈征
D.粘膜皱襞破坏中断
E.胃呈皮革状变形
162、单项选择题 下列哪种疾病可出现肺血减少的X线征象是()
A.室间隔缺损
B.风湿性心脏病二尖瓣狭窄
C.原发性肺动脉高压
D.高血压性心脏病
E.以上都不是
163、单项选择题 右前斜位X线摄片上食管压迹加深,提示()
A.右心室增大
B.右心房增大
C.左心室增大
D.左心房增大
E.主动脉增宽,迂曲
164、多项选择题 腕部标准后前位片,当腕关节桡偏时()
A.头状骨轴线倾斜
B.钩骨长轴倾斜,舟骨变长
C.三角间隙扩大
D.三角间隙变窄
E.钩骨长轴变直,舟骨变长
165、单项选择题 下述主动脉病变在普通X线平片上的表现,错误的是()
A.主动脉增宽、伸长和迂曲
B.主动脉搏动增强
C.主动脉外形不规则
D.主动脉位置改变
E.主动脉狭小
166、单项选择题 腰椎椎管与椎体比例超过多少为椎管狭窄()
A.1:3
B.1:4
C.1:4.5
D.1:5
E.1:5.5
167、单项选择题 动力过快,指口服钡剂多长时间达到盲肠()
A.2.5小时
B.1.5小时
C.4小时
D.3.5小时
E.3小时
168、单项选择题 关于视神经的叙述,下列哪项是错误的()
A.视神经是真正的神经
B.视神经有鞘膜,但其中无雪旺细胞
C.视神经鞘膜由软脑膜、硬脑膜及蛛网膜构成
D.视神经鞘膜存在蛛网膜下腔
E.视神经鞘膜存在硬膜下间隙
169、单项选择题 球形肺不张的影像特征是()
A.近肺底的横行条状致密
B.尖端指向肺门的三角形致密影
C.弥漫分布斑片状影
D.一侧肺致密影伴纵隔向患侧移位
E.3~5cm大小肿块影,伴“彗星尾”征
170、单项选择题 下列眶内病变诊断要点,哪项不对()
A.甲状腺突眼:可以单侧或双侧
B.眶内血管瘤:偶可见到静脉石
C.眶内静脉曲张:间歇性突眼
D.眶内炎性假瘤:平片无异常发现
E.横纹肌肉瘤:眶骨破坏
171、单项选择题 左下叶肺不张的影像特征是()
A.右下三角征
B.横S征
C.心后三角征
D.薄饼征
E.彗星征
172、单项选择题 减少与抑制散射线的方法中,错误的是()
A.降低管电压
B.减小焦-片距离
C.缩小照射野
D.使用后盖贴有金属膜的暗盒
E.正确使用遮线器
173、多项选择题 关于“尿路血吸虫病”的特点,错误的是()
A.输尿管下段钙化比上段更常见
B.输尿管中段钙化最常见
C.输尿管结构正常
D.早期就有膀胱壁钙化
E.输尿管扩张,提示梗阻
174、单项选择题 冠状动脉瘤最常见于()
A.Marfan综合征
B.川崎病
C.动脉粥样硬化
D.风湿性心脏病
E.梅毒性心脏病
175、单项选择题 当柯氏位投照时,听眦线与暗盒的夹角为()
A.0°
B.23°
C.45°
D.37°
E.15°
176、单项选择题 不属于脑颅骨的是()
A.颞骨
B.顶骨
C.上颌骨
D.额骨
E.蝶骨
177、判断题 肾盂造影检查发现充盈缺损影,可以充分肯定是结石所致。
178、多项选择题 肺转移瘤中呈小结节及粟粒病变者多见于()
A.肝癌转移
B.胰腺癌转移
C.绒毛膜上皮癌转移
D.成骨肉瘤转移
E.甲状腺癌转移
179、多项选择题 下列组合,正确的是()
A.左前斜位——中心线经被照体的右后射向左前
B.右前斜位——中心线经被照体的左后射向右前
C.右后斜位——中心线经被照体的左前射向右后
D.左后斜位——中心线经被照体的左前射向右后
E.斜位——中心线经被照体的前面射向后面
180、单项选择题 中央型肺癌伴右上肺不张的影像特征是()
A.右下三角征
B.横S征
C.心后三角征
D.薄饼征
E.彗星征
181、单项选择题 有关牛皮癣性关节炎的叙述中,哪项不正确()
A.常有指甲改变
B.一般不侵犯腕和跗间关节
C.常对称性地侵犯远侧指间关节
D.指间关节或掌指关节出现脱位或半脱位,形成毁形性关节炎
E.一般无骨质疏松
182、单项选择题 骨肉瘤最好发的部位是()
A.骨盆
B.颅骨
C.脊椎
D.股骨下端、胫骨上端
E.掌(跖)、指(趾)骨
183、单项选择题 下述鼻窦癌的诊断要点中,错误的是()
A.多位于筛窦
B.软组织肿块
C.骨质破坏无硬化
D.蝶窦癌罕见
E.常伴有鼻窦炎
184、单项选择题 关于心房黏液瘤的描述,错误的是()
A.临床可有体温上升、体温下降、贫血
B.30~60岁多见
C.常有室上性心动过速表现
D.体循环、肺循环栓塞
E.左心房者占3/4
185、多项选择题 感光乳剂中的卤化银有()
A.硝酸银
B.氯化银
C.溴化银
D.溴化钾与碘化钾
E.碘化银
186、单项选择题 有关解剖学方位的描述,下列错误的是()
A.近头为上
B.近体表为浅
C.近正中矢状面为内侧
D.近肢侧为近端
E.近腹为前
187、单项选择题
男,45岁,车祸后左膝部剧痛,活动受限2小时,结合影像学检查,最可能的诊断是()
A.股骨颈骨折
B.股骨下端骨折
C.柯莱斯骨折
D.胫骨骨折
E.腓骨骨折
188、多项选择题 哪些部位的恶性肿瘤均易转移到肺部()
A.乳腺
B.肾
C.骨
D.消化系统
E.头颈部
正确答案:ABCDE
189、单项选择题 食管粘膜一般有几条粘膜皱襞()
A.2~4条
B.3~4条
C.3~5条
D.2~5条
E.4~5条
190、单项选择题
男,65岁,胸痛,胸片检查如图,下列诊断中最可能的是()
A.右肺胸膜肥厚
B.右肺不张
C.右侧胸腔积液
D.右肺炎症
E.以上都不对
191、单项选择题 下列紫绀性先天性心脏病中,哪种有“肺血减少”表现()
A.Ebstein畸形
B.主动脉缩窄
C.房间隔缺损
D.肺动脉瓣闭锁
E.完全性大血管转位
192、单项选择题 下列摄片位置,哪项显示正确()
A.颈椎右后斜位显示右侧椎间孔
B.腰椎右后斜位显示左侧椎体的峡部
C.胸椎左后斜位显示右侧椎间关节
D.骶髂关节右后斜位显示右侧骶髂关节面
E.腰椎左后斜位显示右侧椎体的峡部
193、单项选择题 下列哪种疾病肺血异常()
A.马方(Marfan)征
B.特发性肺动脉扩张
C.先天性主动脉狭窄
D.先天性肺动脉瓣关闭不全
E.原发性肺动脉高压
194、单项选择题 关于头颅后前位摄片的叙述,错误的是()
A.被检者俯卧于检查床上
B.正中矢状面垂直于台面
C.听眦线垂直于台面
D.暗盒竖放
E.暗盒上缘平颅顶
195、单项选择题 控制电路最终控制的是()
A.灯丝电路的通断
B.电源电路的通断
C.高压次级电路的通断
D.高压初级电路的通断
E.保护电路的通断
196、多项选择题 骨肉瘤的主要成分有下述哪些()
A.肿瘤骨
B.肿瘤性骨样组织
C.肿瘤性成骨细胞
D.肿瘤性软骨组织
E.肿瘤性纤维组织
197、单项选择题 X线平片上下列哪种组织密度最高()
A.液体
B.肌肉
C.含气肺组织
D.骨骼
198、多项选择题 泌尿系统常规X线检查包括()
A.X线平片
B.尿路造影
C.血管造影
D.子宫输卵管造影
E.肾上腺静脉造影
199、多项选择题 肾盂肾炎的X线表现,正确的是()
A.肾影变小
B.肾影边缘光滑
C.肾小盏变形
D.肾盂肾盏可以扩张
E.以上全都正确
200、单项选择题 食管吞咽充盈时宽度可达()
A.1~2cm
B.2~3cm
C.3~4cm
D.0.5~1cm
E.6~8cm
201、单项选择题 从X线被照体→潜影→可见光→数字影像,这一程序转换的是()
A.I.I.TV
B.成像板
C.闪烁体+CCD摄像机阵列
D.直接转换平板探测器
E.间接转换平板探测器
202、单项选择题 有关标准姿势的叙述,错误的是()
A.人体直立
B.掌心向前
C.两眼向前方平视
D.双上肢下垂置躯干两侧
E.两下肢并拢,足尖外展
203、单项选择题
左膝关节酸胀不适,摄片发现左胫骨上段局限性骨质改变如图示,最可能的诊断是()
A.非骨化性纤维瘤
B.骨化性纤维瘤
C.内生软骨瘤
D.骨软骨瘤
E.以上均不正确
204、单项选择题 关于Caplan综合征,下列描述错误的是()
A.矽肺
B.类风湿关节炎
C.肺外带单发或多发结节影
D.结节边缘整齐
E.结节常有钙化
205、单项选择题 可引起脑脊液鼻漏的骨折是()
A.颅前窝骨折
B.颅顶骨折
C.颅后窝骨折
D.颅中窝骨折
E.以上都是
206、单项选择题 急性化脓性骨髓炎典型X线表现是()
A.骨质破坏
B.死骨形成
C.骨质增生
D.软组织窦道形成
E.以上都是
207、单项选择题 下列哪项不属于X线照片影像的形成要素()
A.照片密度
B.照片的感光度
C.照片的对比度
D.照片的锐利度
E.照片的放大与变形
208、单项选择题 平片诊断胆囊结石最可靠的依据是()
A.右上腹有密度增高的圆形结石影
B.右上腹有多块多面体形结石影
C.右上腹结石影侧位与脊柱重叠
D.右上腹有密度增高影,随呼吸上下移动
E.以上都不是
209、单项选择题 正位胸片上()
A.女乳头投影于第4肋
B.男乳头投影于第4前肋间
C.第7~10肋软骨依次连接上位肋软骨
D.第10~12为浮肋
E.胸骨角向后平于第4胸椎体
210、单项选择题 在胸片上,无广泛线状、索条状、网状及蜂窝状阴影的是()
A.原发性肺癌
B.石棉肺
C.肺纤维化
D.支气管扩张
E.恶性淋巴管炎
211、单项选择题 以下成像方法,哪项对诊断颅脑病变价值最小()
A.CT
B.MRI
C.DSA
D.平片
E.透视
212、单项选择题
女,58岁,腹痛腹胀1年余,结合图像,最可能的诊断为()

A.正常十二指肠肠圈
B.十二指肠炎
C.十二指肠降段憩室
D.十二指肠水平段憩室
E.十二指肠占位
213、单项选择题
患者女,6岁,左下肢跛行三年,直立时臀部后耸,结合骨盆平片,正确的诊断是()
A.左髋内翻畸形
B.左髋结核
C.左先天性髋关节脱位
D.左股骨头缺血坏死
E.左髋关节炎
214、单项选择题 照片产生反转的原因是()
A.显影液pH值太高
B.显影液温度太低
C.定影液衰老
D.X线胶片过期
E.由于潜影溴化的结果
215、单项选择题 从肘静脉注入对比剂后,最迟到的是下列中的哪一部位()
A.上腔静脉
B.右心房
C.左心室
D.锁骨下静脉
E.降主动脉
216、单项选择题 下列哪种疾病,充盈缺损表现不明显()
A.增生型胃癌
B.胃粘膜下平滑肌瘤
C.结肠息肉
D.溃疡性食管癌
E.增殖型肠结核
217、单项选择题 摄取牙片一般选择的位置是()
A.立位
B.坐位
C.仰卧位
D.俯卧位
E.侧卧位
218、单项选择题 鹿角状结石多发生在()
A.肾盂及肾盏内
B.膀胱
C.输尿管
D.肾盂
E.肾盏
219、单项选择题 侧卧后前位是指()
A.仰卧于摄影床上,X线从腹侧射入,背侧射出
B.侧卧于摄影床上,X线从右或左侧射入,左或右侧射出
C.仰卧于摄影床上,X线从背侧射入,腹侧射出
D.侧卧于摄影床上,X线从背侧射入,腹侧射出
E.侧卧于摄影床上,X线从腹侧射入,背侧射出
220、单项选择题 PTC穿刺点通常位于()
A.腋后线第7、8肋间
B.腋中线第6、7肋间
C.腋中线第7、8肋间
D.腋前线第6、7肋间
E.腋后线第7、8肋间
221、单项选择题
男,52岁,从事矿井工作32年,近几年出现气喘,呼吸困难,胸片如图,其最可能的诊断为()

A.双肺浸润性结核
B.双肺真菌感染
C.两肺弥漫性间质性肺炎
D.两肺弥漫性纤维化
E.矽肺
222、多项选择题 支气管扩张症的正确表现有()
A.有肺叶膨张不全
B.可见环状,蜂窝状阴影
C.看不到气液平面
D.后天病因有肺炎、慢性支气管炎、肺不发育
E.必须由支气管造影和支气管动脉造影确诊
223、单项选择题 胸部侧位片肺门区不显影的是()
A.两上叶支气管
B.右上肺静脉干
C.左肺动脉弓
D.左下肺动脉
E.左上肺静脉干
224、多项选择题 在逆行性尿路造影检查中,可出现哪些肾脏回流征象()
A.肾小盏回流
B.肾大盏回流
C.肾小管回流
D.肾窦回流
E.淋巴管回流
225、单项选择题 下列关于眼眶肌锥内肿瘤描述中,其早期X线表现是()
A.眶外侧壁受压
B.眶内侧壁受压
C.眶底壁受压
D.眶顶壁受压
E.眶骨吸收破坏
226、单项选择题 颅脑外伤时,疑有凹陷性骨折应投照()
A.正位片
B.侧位片
C.颅底位片
D.切线位片
E.30°前后位
227、单项选择题 临床上称作卢滕巴赫(Lutembacher)综合征的先天性心脏病是房间隔缺损(二孔型)合并下列哪种疾病()
A.二尖瓣关闭不全
B.肺动脉狭窄
C.肺静脉畸形引流
D.左上腔静脉畸形发展
E.二尖瓣狭窄
228、单项选择题 关节结核的关节面破坏首先发生在()
A.骨骺
B.骨骺板
C.干骺端
D.关节持重部位
E.关节非持重部位,滑膜附着处
229、单项选择题 肘关节侧位摄影,叙述错误的是()
A.肘关节屈曲呈90°角
B.尺侧靠近台面
C.手掌面与台面垂直
D.五指紧贴台面
E.肩部与肘部平齐
230、单项选择题 下列造影表现,哪项与“结肠癌”无关()
A.肠梗阻
B.苹果核征
C.充盈缺损
D.肠套叠
E.笔尖征
231、单项选择题 下列有关成骨细胞瘤的X线表现中,哪项不正确()
A.肿瘤大小为2~10cm不等
B.多为类圆形膨胀性骨质破坏
C.边缘不清楚,周围常无骨增生硬化
D.可有少量骨膜反应
E.肿瘤周围的软组织可有局限性肿胀
232、多项选择题 两侧肺门增大多见于()
A.结节病
B.淋巴瘤
C.两侧动脉瘤
D.肺动脉高压
E.中央型肺癌
233、单项选择题
女,52岁,感胸痛2月余,无发热,X线检查如图,最可能的诊断是()


A.细支气管肺泡癌
B.两肺炎症
C.亚急性血行播散型肺结核
D.肺转移瘤
E.结节病
234、单项选择题 经肾脏排泄的非离子型对比剂是()
A.胆影酸钠
B.碘番酸
C.胆影葡胺
D.泛影葡胺
E.甲泛葡糖
235、单项选择题 肺淤血的早期X线表现为()
A.上肺静脉扩张
B.肺门影增大模糊
C.肺血管纹理增多模糊
D.肺野透过度减低
E.肺含铁血黄素沉着
236、单项选择题
女,2岁,发现蓝色巩膜、听力障碍,四肢畸形等,结合图像,最可能诊断是()
A.维生素D缺乏病
B.维生素C缺乏症
C.软骨发育不全
D.呆小病
E.成骨不全
237、单项选择题 下列哪种疾病,没有龛影表现()
A.食管憩室
B.胃溃疡
C.胃癌
D.食管癌
E.肠结核
238、单项选择题
男,28岁,右上臂肿胀、疼痛,结合图像,最可能的诊断是()
A.骨肉瘤
B.成骨性骨转移瘤
C.化脓性骨髓炎
D.滑膜肉瘤
E.骨巨细胞瘤
239、单项选择题 下列关于“成骨肉瘤”诊断要点中,哪项是错误的()
A.最常见的原发性恶性骨肿瘤
B.好发于长骨干骺端
C.可有葱皮样骨膜反应
D.肿瘤内无钙化、骨化
E.肿瘤内既有成骨性,又有溶骨性改变
240、单项选择题 肝海绵状血管瘤的X线征中,哪项是错误的()
A.灯泡征
B.树上挂果征
C.早出晚归征
D.抱球征
E.星状瘢痕征
241、单项选择题 以下关于胸部影像表现,正确的是()
A.常规胸部CT扫描肺窗显示肺叶间裂呈乏血管带
B.常规胸部MR扫描可以显示肺叶的划分
C.条件合适的胸部X线正位片不应显示胸椎
D.胸部X线正位片上的乳头影位于第5肋间且一定为双侧对称
E.胸部X线正位片上,一般左膈面高于右膈面1~2cm
242、单项选择题
女,13岁,发热、乏力数天,X线检查如图,最可能的诊断是()

A.胸腺瘤
B.淋巴瘤
C.畸胎瘤
D.间皮囊肿
E.神经源性肿瘤
243、单项选择题 下列哪种疾病不宜行钡剂灌肠()
A.溃疡性结肠炎
B.疑有结肠癌者
C.中毒性巨结肠
D.先天性巨结肠
E.疑有结肠梗阻者
244、单项选择题 “眼窝变小”见于下列哪种情况()
A.甲状腺性突眼
B.先天性青光眼
C.组织细胞增生症
D.冠状缝早闭
E.视网膜母细胞瘤
245、单项选择题
男,72岁,手足小关节红肿热痛,白细胞升高,血沉快,血尿酸升高,结合图像,最可能诊断是()
A.类风湿关节炎
B.退行性骨关节病
C.痛风性关节炎
D.假痛风
E.滑膜炎
246、单项选择题 哪项不是椎体缺血坏死的X线所见()
A.椎间隙正常或稍增宽
B.椎体部分或全部塌陷,其前后径增大呈扁平状
C.椎体上、下缘压缩变形密度增高
D.椎体呈楔状,脊柱后突畸形呈圆驼状
E.许莫结节罕见
247、单项选择题 骨膜增生的病因包括()
A.肿瘤
B.骨膜下出血
C.炎症或外伤
D.血管性病变
E.以上都是
248、单项选择题 房间隔缺损在X线平片上表现为()
A.肺血增多,右心房、室增大,主动脉结小
B.肺血增多,左、右心室增大,主动脉结正常
C.肺血减少,右心房、室增大,主动脉结小
D.肺淤血,左心房、右心室增大,主动脉结小
E.肺淤血,右心房、左心室增大,主动脉结正常
249、单项选择题 观察左心房大小的最佳检查方法是()
A.后前位吞钡
B.左前斜位吞钡
C.右前斜位吞钡透视或摄片
D.右侧位
E.左侧位
250、单项选择题 不同类型骨结核的特征性X线表现中,哪项错误()
A.关节滑膜结核首先破坏关节承重面
B.骨干结核易形成葱皮样骨膜反应
C.扁骨结核呈囊样骨质破坏
D.短管骨结核易产生骨气鼓
E.脊椎结核常见脓肿形成
251、单项选择题 曝光时间大于0.5s,测量管电流的最佳仪表是()
A.V表
B.A表
C.kV表
D.mV表
E.mA表
252、单项选择题 在肝转移病灶中,钙化发生率高的是()
A.肾癌
B.直肠癌
C.胰腺癌
D.平滑肌肉瘤
E.甲状腺癌
253、多项选择题 肺栓塞的X线表现有()
A.肺体积缩小
B.肺淤血
C.肺缺血
D.肺段性梗死
E.心影增大
254、单项选择题 下列哪项胎儿时期即已出现二次骨化中心()
A.股骨头
B.股骨远端
C.肱骨远端
D.髋关节
E.跟骨
255、单项选择题 有关腕部的描述哪项是正确的()
A.八块腕骨近侧排是大多角骨、小多角骨、头状骨和钩状骨
B.远侧排是舟骨、月骨、三角骨、豆骨
C.近侧腕关节由舟骨、月骨和桡骨形成
D.腕部仅有三个具有功能的关节尺桡、腕间、腕掌关节
E.以上均正确
256、单项选择题 消化系统肿瘤转移至肝脏的主要途径是()
A.门静脉
B.肝动脉
C.肝静脉
D.胆管系统
E.下腔静脉
257、单项选择题
女性,45岁,类风湿性关节炎病史6年,近来感到夜间阵发性呼吸困难,伴有轻度咳嗽,无痰。心脏听诊心尖区S1亢进,胸骨左缘3~4肋间收缩期杂音。行胸部平片检查如下图,应考虑()
A.主动脉瓣狭窄
B.主动脉瓣关闭不全
C.动脉导管未闭
D.右室流出道狭窄
E.二尖瓣狭窄
258、单项选择题 骨瘤Gardner综合征包括()
A.骨瘤、软组织肿瘤、结肠憩室
B.骨样骨瘤、软组织肿瘤、结肠息肉
C.骨样骨瘤、软组织肿瘤、结肠憩室
D.骨瘤、软组织肿瘤、结肠息肉
E.骨纤维异常增殖症、软组织肿瘤、结肠息肉
259、单项选择题 硬膜外非脊柱恶性肿瘤发病率最高的是()
A.转移瘤
B.恶性纤维组织细胞瘤
C.畸胎瘤
D.脊膜瘤
E.脂肪瘤
260、单项选择题 心房间隔缺损主要X线征象是()
A.主动脉结缩小或正常
B.肺门舞蹈征
C.右心房增大
D.左心室增大
E.肺动脉段突出
261、单项选择题 对肺内球形病灶所致的血管集束征,下列描述不正确的是()
A.血管穿过球形病灶
B.血管向球形病灶内聚集
C.血管在球形病灶边缘截断
D.血管集束征常见于恶性肿瘤
E.肺错构瘤常见血管集束征
262、单项选择题 鼻骨侧位摄影时与胶片垂直的是()
A.听眦线
B.听眶线
C.听鼻线
D.听口线
E.瞳间线
263、单项选择题 “肺动脉段缩小”最常见于()
A.房间隔缺损
B.法洛四联征
C.三尖瓣闭锁
D.动脉导管未闭
E.Esenmenger综合征
264、单项选择题 后前位胸片上,心右缘的构成为()
A.右心室
B.右心房和上肺静脉
C.左心室流出道
D.上腔静脉和右心房
E.上肺静脉
265、单项选择题 头颅平片的诊断价值,下述观点哪项不正确()
A.显示颅内血肿
B.显示颅内金属异物
C.显示骨折
D.显示颅骨发育情况
E.显示颅内病理性钙化
266、单项选择题 逆行肾盂造影的术前准备,不包括()
A.碘过敏试验
B.清洁肠道
C.麻醉剂过敏试验
D.检查当日禁食
E.有关膀胱镜检查准备
267、单项选择题 X线机控制装置的类型不包括下列哪项()
A.旋钮式
B.按键式
C.触摸开关式
D.触摸屏式
E.空气开关式
268、单项选择题 患者上腹胀满、厌食,查体脾大,腹水征阳性。腹部超声,肝硬化,脾大,腹水。 最可能的诊断()
A.腹膜结核
B.肝炎
C.肝硬化,门脉高压征
D.肝癌
E.胃炎
269、单项选择题 关于正常食管下端防止胃-食管反流的作用机制,下列哪项是正确的()
A.锐利的食管胃角,在胃压力作用下使贲门关闭
B.横膈的张力和弹性作用,深吸气时食管裂孔缩小
C.在腹腔内压力作用下,胃食管前庭使食管裂孔管壁紧密靠拢
D.贲门部黏膜在贲门关闭时凸向胃腔,起防止反流活瓣作用
E.以上都是
270、单项选择题 颅骨“棉桃征”,是哪种疾病的特征性影像学表现()
A.脑膜瘤
B.骨纤维异常增殖症
C.黄色瘤病
D.畸形性骨炎晚期
E.地中海贫血
271、单项选择题 膀胱良、恶性肿瘤影像学鉴别诊断最具价值的是()
A.膀胱壁僵硬
B.膀胱容积缩小
C.膀胱充盈缺损大小
D.膀胱充盈缺损形态
E.CT检查
272、单项选择题 出现下列哪项最应考虑“骨软骨瘤”恶变可能()
A.短期内生长迅速
B.“软骨帽”厚大于10mm
C.明显强化
D.MRI未见“软骨帽”
E.骨膜反应
273、单项选择题 关于照片影像密度、对比度、锐利度的相互关系,哪种说法不妥()
A.密度是对比度、锐利度的基础
B.照片对比度可随密度的改变而改变
C.锐利度与对比度无直接关系
D.看片灯的亮度也影响着照片对比度的视觉效果
E.在高密度背景下,对比度小的物体影像难以辨认
274、单项选择题 关于骨盆摄片错误的叙述是()
A.常用于外伤及骨质破坏的检查
B.骨盆侧位可用于检查异物位置
C.中心线应向足侧倾斜20°角
D.成人摄片都需要使用滤线器
E.骨盆整体片应完全包括骨盆诸骨
275、多项选择题 脂肪肉瘤包括哪些瘤细胞()
A.粘液样细胞
B.异形性脂肪母细胞
C.梭形细胞
D.圆形细胞
E.多核瘤巨细胞
276、单项选择题 颈椎左前斜位摄片,观察的是()
A.右侧椎间孔
B.左侧椎间孔
C.近片侧椎弓峡部
D.远片侧椎弓峡部
E.以上都能观察
277、单项选择题 下列关于膀胱憩室的鉴别诊断,错误的是()
A.膀胱或膀胱憩室感染时可出现尿急尿频等症状
B.膀胱憩室可单发,亦可多发
C.正常膀胱内可见肌小梁间隔
D.膀胱憩室可见肌小梁间隔
E.膀胱憩室与膀胱相通
278、多项选择题 龛影可见于哪些病变()
A.贲门失弛缓征
B.胃溃疡
C.十二指肠憩室
D.肠结核
E.食管静脉曲张
279、多项选择题 容易引起肋骨切迹的有()
A.肺静脉异位引流
B.动脉导管未闭
C.引流术后的法洛四联征
D.主动脉缩窄
E.腹主动脉血栓
280、多项选择题 肺内进行性大块纤维化可见于()
A.煤尘肺
B.石棉肺
C.农民肺
D.吸入二氧化氮
E.矽肺
281、单项选择题 下列哪项关于肾筋膜的描述是错误的()
A.上方与膈下筋膜融合
B.前后肾筋膜融合成吉氏筋膜
C.侧方与侧锥筋膜融合
D.下方与髂筋膜融合
E.后方内侧与腰大肌融合
282、单项选择题 X线平片上,下述属于正常蝶鞍影像的是()
A.桥形蝶鞍
B.鞍内偶可见到钙化影
C.双鞍底
D.蝶鞍扩大
E.鞍背骨质吸收
283、单项选择题
椎间盘脱出的部位常见于()
A.C1-2
B.T3-4
C.L1-2
D.C7~T1
E.L5~S1
284、单项选择题 近年来,下列肿瘤中呈增加趋势的是()
A.皮肤癌
B.骨肉瘤
C.子宫癌
D.结肠癌
E.肺癌
285、单项选择题 引起回盲瓣肥厚的最常见原因是()
A.Crohn病
B.回盲瓣粘膜脱垂
C.单纯性回盲瓣肥厚
D.回盲瓣结核
E.回盲瓣肿瘤侵犯
286、多项选择题 关于心脏大小的估测,不正确的为()
A.最常用的方法为心脏最大横径与胸廓最大横径的比率,即"心胸比率"
B.心脏横径是心尖平面心脏最大横径
C.胸廓横径以左膈顶水平的内径为准
D.在充分吸气后摄片,正常成人心胸比率为55%以下
E.未成年人心胸比率可能小些
287、单项选择题 单手正位摄片,中心线应垂直对准()
A.第2掌骨头
B.第3掌骨头
C.第3掌骨头基底部
D.第4掌骨头
E.第5掌骨基底部
288、多项选择题 骨折线需与以下哪几项区别()
A.骨骺线
B.营养动脉血管
C.颅缝
D.生长障碍线
E.关节间隙
289、单项选择题 下列骨肿瘤的叙述正确的是()
A.骨肿瘤病人常出现碱性磷酸酶增高
B.恶性肿瘤的血沉常加快
C.骨髓瘤常出现异常免疫球蛋白
D.良性肿瘤的血尿检查均正常
E.以上都是
290、单项选择题 关于过敏性上颌窦炎,下列影像表现哪项错误()
A.多个鼻窦受累
B.窦壁骨质硬化
C.上颌窦息肉
D.鼻甲粘膜增厚
E."气液面"较少见
291、单项选择题 下列哪种疾病不表现双肺弥漫粟粒样阴影()
A.血源播散型肺结核
B.肺转移瘤
C.支气管肺炎
D.结节病
E.矽肺
292、单项选择题 高血压性心脏病的X线表现,哪项除外()
A.心脏呈主动脉型
B.主动脉增宽
C.主动脉结膨凸
D.主动脉结缩小
E.左心室肥厚
293、单项选择题 隆起型胃炎又称之为()
A.炎性息肉
B.浅表性胃炎
C.肥大性胃炎
D.萎缩性胃炎
E.疣状胃炎
294、单项选择题 胃癌大体形态可分为()
A.浸润型
B.蕈伞型
C.溃疡型
D.以上都是
E.以上都不是
295、单项选择题 关于“骨囊肿”的描述,不包括哪项()
A.不跨越骺板
B.股骨、肱骨、跟骨好发
C.可为单房或多房囊肿
D.局部骨皮质变薄,但不向外膨隆
E.易发生病理性骨折
296、单项选择题 急性化脓性骨髓炎的骨质X线平片表现,在发病何时可出现()
A.2周后
B.即刻
C.2周
D.以上都不是
E.2周内
297、单项选择题 下列哪项不是佝偻病的X线征象()
A.骺板先期钙化带不规则变薄、模糊
B.干骺端增宽,中央部凹陷呈杯口状
C.干骺端骨小梁稀疏、粗糙、紊乱呈毛刷状
D.骺板先期钙化带向两旁突出于干骺端之外,形成骨刺样改变即骨刺征(Pelkan征)
E.骨骺骨化中心出现延迟、密度低、边缘模糊
298、单项选择题
8岁男孩,外伤后感左肘关节肿痛,行左肘关节正侧位摄片如图所示,最可能的诊断是()
A.左肱骨髁上骨折
B.左肱骨小头骨骺Ⅰ度分离
C.左肱骨髁上细微骨折
D.软组织挫伤
E.以上均不正确
299、单项选择题 急性化脓性骨髓炎的最大危害是()
A.骨内、外脓肿的形成
B.骨膜下脓肿形成
C.干骺端骨质破坏
D.感染侵入关节
E.死骨形成
300、单项选择题 盘状肺不张的影像特征是()
A.近肺底的横行条状致密
B.尖端指向肺门的三角形致密影
C.弥漫分布斑片状影
D.一侧肺致密影伴纵隔向患侧移位
E.3~5cm大小肿块影,伴“彗星尾”征