时间:2025-09-24 03:34:31


1、问答题 肾脏先天性异常有哪些?
2、单项选择题 关于直肠正常影像描述,下列错误的是()
A.直肠骶曲凸向后方
B.乙状结肠、直肠交界处常有生理性狭窄
C.直肠会阴曲凸向前方
D.直肠后壁与骶骨前缘间距离,应小于1.5cm
E.对排便困难患者,结肠低张双对比造影价值最高
3、单项选择题 诊断先天性肥厚型幽门狭窄,最可靠的X线征象是()
A.胃逆蠕动增强
B.胃蠕动频繁,波形加深
C.胃潴留胃扩张
D.幽门部的软组织影
E.幽门前区“双肩”征,幽门管细长呈线样改变
4、单项选择题 弯刀征是哪种先天性疾病的X线表现()
A.肺隔离症
B.房间隔缺损
C.肺动脉瓣狭窄
D.心内膜垫缺损
E.右下肺静脉异常引流入肝静脉、门静脉或下腔静脉
5、填空题 骨关节结核主要X线征象为___________、__________和______________。
6、单项选择题 间质性肺水肿最明显的X线征象是()
A.两上肺静脉分支增粗
B.胸膜下水肿
C.袖口征
D.间隔线阴影
E.肺门血管阴影模糊
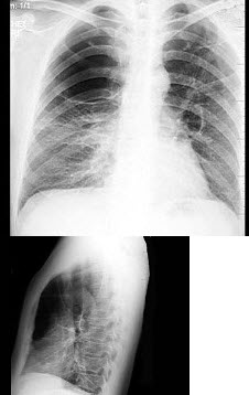
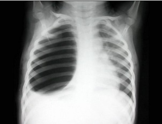
7、单项选择题
男,48岁,常感胸闷气逼,近1月渐加重,X线检查如图,最可能的诊断是()

A.右侧气胸
B.右侧肺大泡
C.两肺肺大泡
D.正常胸片
E.肺气肿
8、单项选择题 肺结核空洞一般可为()
A.薄壁空洞
B.厚壁空洞
C.虫蚀样空洞
D.以上都是
E.以上都不是
9、单项选择题
男,32岁,中上腹空腹痛,进食后缓解,剑突下轻度压痛,钡餐检查如图,最可能的诊断是()

A.十二指肠癌
B.十二指肠憩室
C.十二指肠球部溃疡
D.十二指肠节段性肠炎
E.十二指肠结核
10、多项选择题 关于标准化前位胸片描述,正确的有()
A.双侧斜裂的任何部分都不能显示
B.锁骨胸骨端与第6肋后端重叠
C.脊柱左侧心脏的密度比脊柱右侧心脏的密度要高
D.颈胸段的椎体终板能清楚地显示
E.左侧心膈角可能显示不清
11、单项选择题 关于心房黏液瘤的描述,错误的是()
A.临床可有体温上升、体温下降、贫血
B.30~60岁多见
C.常有室上性心动过速表现
D.体循环、肺循环栓塞
E.左心房者占3/4
12、单项选择题 观察外耳道闭锁的最佳摄片体位是()
A.头颅正位(经眶位)
B.颅底顶颌位
C.汤氏位
D.梅氏位
E.许氏位
13、单项选择题 有关髋关节前后位摄影的叙述,正确的是()
A.双足内收20°
B.双足外旋20°
C.双足尖垂直向上
D.双下肢稍外展,足尖内旋并拢
E.双足跟并拢,足尖自然外旋
14、单项选择题 肾结核X线平片征象,下列哪项正确()
A.肾影倒八字形
B.病侧肾下垂
C.肾影不清
D.肾区可见不规则钙化灶
E.肾外形不光整
15、单项选择题 下列检查技术的相应选项,错误的是()
A.手指:近距离摄影
B.乳腺:软组织摄影
C.肺:高千伏摄影
D.心血管:连续摄影
E.消化道:双重造影
16、单项选择题 胸部高千伏摄片是指()
A.≥90kV
B.≥100kV
C.≥110kV
D.≥120kV
E.≥130kV
17、单项选择题 下列关于骨关节投照体位的选择哪项不对()
A.立位双足弓水平侧位;扁平足
B.肩关节盂前后位:肩关节间隙
C.膝关节侧位、轴位;髌骨骨折
D.腕关节内收位:舟状骨中段横行骨折
E.双肩关节后前持重位;肩锁关节有否脱位
18、单项选择题 下述肺部病变X线描述,哪项不对()
A.癌性空洞,常有液平面
B.大叶性肺炎,渗出性改变
C.肺大量纤维化,纵隔常向患侧移位
D.肺内浅淡模糊影,渗出性病变
E.初染肺结核易经淋巴管播散,空洞少见
19、单项选择题 心脏右前斜位片主要观察的是()
A.主动脉窗
B.左心房、左心室
C.右心房、右心室
D.右心房、肺动脉干
E.左房、肺动脉干、右心室漏斗部
20、单项选择题 胸部后前位定位摄片的原因中,哪一项是不正确的()
A.后前位肋骨间隙增宽、肺野展现宽广
B.后前位心脏放大率小,被纵隔掩盖的部分少
C.后前位肩胛骨投影在肺野之外
D.后前位肺组织更易靠近胶片,影像清晰
E.能正确反映出胸部脏器的确切形态,且能观察液气平面的改变
21、单项选择题 左心室增大常见的原因是()
A.高血压病
B.主动脉瓣病变
C.二尖瓣关闭不全
D.动脉导管未闭
E.以上都是
22、名词解释 Laurin角
23、单项选择题 男,5岁,腹痛,黏液便并偶带血10余天。钡灌肠见乙状结肠远端有1×1cm大小圆形充盈缺损,边缘光滑锐利,有一定活动度。首先考虑的诊断为()
A.结肠息肉
B.结肠息肉恶变
C.结肠癌
D.结肠憩室
E.结肠炎
24、单项选择题 关于胃溃疡X线表现,错误的是()
A.龛影
B.小弯短缩
C.粘膜集中
D.充盈缺损
E.砂钟胃
25、判断题 食管前庭段是一低压区,有防止胃内容物反流的重要作用。
26、多项选择题 肘关节脱位中以哪种脱位较罕见()
A.后方脱位
B.后外方脱位
C.后内方脱位
D.侧方脱位
E.前方脱位
27、名词解释 彗星尾征
28、配伍题 骨质软化是指()骨质增生是指()
A.单位体积内骨组织有机成分正常,而矿物质含量减少
B.单位体积内骨组织无机成分正常,而矿物质含量减少
C.单位体积内骨组织有机成分正常,而矿物质含量增多
D.单位体积内骨量增多
E.单位体积内骨量减少
29、多项选择题 胸片上,肺内孤立性结节见于()
A.错构瘤
B.肺转移瘤
C.肺结核
D.小叶性肺炎
E.原发性肺癌
30、单项选择题 下列哪种肾形态无临床意义是()
A.马蹄肾
B.驼峰肾
C.油灰肾
D.海绵肾
E.多囊肾
31、判断题 右心衰竭时肺内可无充血征象。
32、判断题 在颏顶位可以较好地显示颅中窝底内的三孔等结构。
33、单项选择题 下列哪项对溶骨型骨转移瘤的X线表现描述不正确()
A.多呈虫蚀状、鼠咬状骨质破坏
B.可单骨或多骨发病
C.骨膜反应常见
D.可并发病理性骨折
E.可合并软组织肿块
34、单项选择题 X线有物理特性、化学特性和生物特性,下列属于化学特性的是哪项()
A.穿透作用
B.荧光作用
C.感光作用
D.干涉与衍射、反射与折射作用
E.电离作用
35、单项选择题 儿童长骨分为4部分,下列哪项是错误的()
A.骨干
B.骨端
C.骨骺
D.骨骺板
E.干骺端
36、单项选择题 关于肺癌特征影像病理基础,下列描述哪项不对()
A.空泡征:肿瘤坏死,空洞形成
B.细短毛刺:癌浸润及间质反应,多见于腺癌
C.胸膜凹陷:肿瘤瘢痕收缩
D.钙化:肿瘤钙化或包埋原有钙化灶所致
E.细支气管充气征:瘤内含气、扩张的细支气管
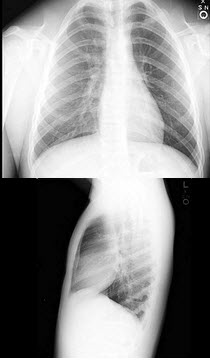
37、单项选择题 青年患者,右肺下叶背段见一薄壁空洞。应首先考虑()
A.先天性肺囊肿
B.肺结核
C.肺脓肿
D.肺癌
E.肺包虫囊肿
38、单项选择题 关于胆囊叙述不正确的是()
A.分颈、漏斗、体、底四部分
B.胆总管连于漏斗部
C.容积约40ml
D.服油餐后半小时胆囊开始缩小
E.服油餐后胆囊2小时内排空
39、单项选择题 人体水平面又称为()
A.横切面
B.矢状面
C.额状面
D.冠状面
E.正中矢状面
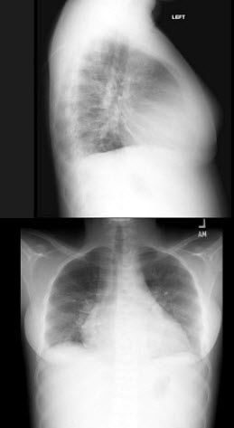
40、单项选择题 胸膜转移瘤的原发肿瘤最多见()
A.支气管肺癌
B.乳腺癌
C.胃癌
D.肾癌
E.卵巢恶性肿瘤
41、单项选择题 下述哪种心脏病不引起两肺门增大()
A.房间隔缺损
B.室间隔缺损
C.肺源性心脏病
D.肺动脉狭窄
E.动脉导管未闭
42、问答题 大叶性肺炎的X线表现有哪些?
43、多项选择题 属于常染色体显性遗传的疾病有()
A.软骨发育不全
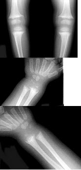
B.颅锁骨发育不全
C.皮肤骨膜肥厚症
D.马方(Marfan)综合征
E.重型石骨症
44、多项选择题 胰头癌低张十二指肠造影的X线征象为()
A.十二指肠曲扩大
B.十二指肠曲缩小
C.十二指肠内缘呈反“3”字征
D.十二指肠内缘双边征
E.十二指肠内侧呈锯齿状
45、单项选择题 下列哪项不符合原发性肺癌并发症的X线表现()
A.空洞形成
B.肺门淋巴结钙化
C.阻塞性肺炎
D.肺气肿
E.支气管闭塞
46、单项选择题 下述各项均能在食管上直接形成压迹,但除外()
A.肺动脉
B.主动脉弓
C.左主支气管
D.降主动脉
E.左心房
47、单项选择题 关于肝肿瘤的叙述,不正确的是()
A.常见的良性肝肿瘤是海绵状血管瘤
B.肝转移癌是常见恶性肿瘤
C.肝肿瘤包括良性和恶性肿瘤
D.胆管细胞癌是多血供型肿瘤
E.肝细胞癌是成人常见原发性恶性肿瘤
48、判断题 黏多糖贮积症Ⅳ型,以脊柱、骨盆、手和腕的改变为常见,而且具有特征性。
49、单项选择题 下列不属于股骨头缺血坏死常见X线表现的是()
A.股骨头密度均匀增高
B.股骨头限局性疏松、囊变
C.股骨头不均匀硬化
D.髋臼增大
E.关节间隙狭窄
50、多项选择题 左下叶支气管的分支包括()
A.背支
B.内支和外支
C.前内基底支
D.外基底支
E.后基底支
51、名词解释 成角
52、单项选择题 肺源性心脏病主要表现是()
A.左心房右心室增大
B.右心室肥大
C.右心房肥大
D.左心室增大
E.右心房左心室增大
53、单项选择题 “骨龄延迟”可见于()
A.垂体性侏儒
B.肾上腺皮质增生
C.松果体瘤
D.Albright综合征
E.以上都不对
54、判断题 胰腺癌的MRCP表现为胰管呈鼠尾样局限性狭窄,其远侧的胰管明显扩张。
55、名词解释 心胸比例
56、单项选择题 关于心腰的描述,下列观点哪项不对()
A.指心脏左缘第二弓
B.指心脏右缘第二弓
C.正常心腰应略内凹
D.正常心腰由肺动脉段构成
E.肺动脉扩大时,心腰可隆起
57、单项选择题 胸部X线检查最常用的投照位置是()
A.卧位前后位
B.立位前后位
C.卧位后前位
D.立位后前位
E.立位左侧位
58、单项选择题 摄胸椎侧位片时,中心线应对准以下哪项()
A.胸骨角水平
B.胸廓入口水平
C.剑突水平
D.肩胛骨下角水平
E.剑突下2cm
59、多项选择题 骨髓瘤好发于下列哪些部位()
A.肱骨
B.脊椎
C.肋骨
D.骨盆
E.胸骨
60、填空题
如图所示,1所指的是子宫体与宫颈之间最狭小的部分,称为_________,2所指的部位是_________,3所指的部位是_________,4所指的部位是_________。
61、单项选择题 下列关于小肠结构描述不正确的是()
A.长度一般5m~7m
B.吸收作用主要在空肠
C.空肠可见钟摆运动
D.回肠末端可见逆蠕动
E.回肠管腔壁较空肠厚
62、问答题 慢性肺炎的X线表现有哪些?
63、问答题 肠结核的主要X线表现有哪些?
64、单项选择题 关于胸部摄片的说法,下列哪个是正确的()
A.正位摄片应取远距离、呼气位
B.前后位与后前位正位摄片相比,肩胛骨更易投影于肺野之外
C.正位中心线射入点应在第4胸椎高度
D.胸部斜位摄片,应根据检查目的部位显示决定倾斜角度
E.以上都不对
65、填空题 巨人症骨骼改变为_________________,而肢端肥大症则以_____________为主,以_____________及___________最明显。
66、问答题 心脏各房室增大的X线表现有哪些?
67、多项选择题 支气管气相可见于()
A.周围型燕麦细胞癌
B.肺透明膜病
C.大叶性肺炎
D.结节病
E.肺水肿
68、多项选择题 成人幽门梗阻的常见病因有哪些()
A.幽门管溃疡
B.胃窦癌
C.胃粘膜脱垂
D.十二指肠球部溃疡
E.成人幽门肌肥大
69、填空题 胸膜肥厚是由______________及________________引起,常充塞胸膜腔。
70、单项选择题
女,1岁,身体发育异常,眼巩膜呈蓝色,结合图像,最可能的诊断为()
A.成骨不全
B.粘多糖病
C.软骨发育不全
D.佝偻病
E.侏儒症
71、单项选择题 下列哪种细胞见于代谢病()
A.Gaucher细胞
B.Niemann-Pick细胞
C.AS浆细胞
D.吞噬细胞
E.嗜酸性粒细胞
72、单项选择题 两肺野透明度减低,如磨砂玻璃样,肺门阴影大而模糊,两肺门上出现向上的鹿角状血管影,应首先考虑为()
A.肺充血
B.肺淤血
C.肺气肿
D.肺缺血
E.肺水肿
73、单项选择题 中心型肺癌最早出现征象是()
A.黏液嵌塞征
B.局限性肺气肿
C.段或叶肺不张
D.阻塞性肺炎
E.肺门阴影增浓
74、单项选择题 哪些投照部位需用滤线器()
75、单项选择题
男,20岁,胸痛、身材矮小,结合图像,最可能的诊断是()
A.马方综合征
B.颅锁骨发育不全
C.成骨不全
D.软骨发育不全
E.特发性骨质溶解症
76、单项选择题 关于仰卧位摄片,下列组合中哪个是不正确的()
A.骶髂关节正位——中心线向头侧倾斜15°~30°
B.骶髂关节斜位——人体矢状面倾斜15°~20°
C.骶髂关节左后斜位——显示左侧骶髂关节
D.腰椎左后斜位——显示左侧椎间关节
E.胸椎右后斜位——显示右侧椎间关节
77、判断题 慢性炎症所致的肺段或肺叶阴影常大于正常肺段肺叶。
78、单项选择题 平片一侧肾区有多发囊状钙化,内有絮状密度增高影及斑点状钙化,静脉肾盂造影该侧不显影,而对侧肾有积水表现,应考虑为()
A.肾自截
B.肾结石
C.肾错构瘤
D.肾肿瘤
E.多囊肾
79、填空题 早期食管癌大体病理形态可分为四型,分别为________、_________、_________和____________。
80、单项选择题 关于钼靶X线机的结构的叙述,错误的是()
A.按乳房生理特征设计
B.阳极为散热性好的铜体上嵌以钼
C.阳极倾角为19°
D.阴极接地
E.线焦点
81、单项选择题 "泪囊肿瘤"首选的X线检查体位是()
A.柯氏位
B.眼眶正位
C.头颅正位
D.视神经孔位
E.华氏位
82、判断题 正常骨膜在X线片上显示一层平行于骨干的条状阴影。
83、多项选择题 自发性纵隔气肿可见于()
A.婴儿呼吸窘迫综合征
B.哮喘
C.糖尿病酮症酸中毒
D.肺不张
E.成人贲门失弛缓症
84、单项选择题 不透光性肾结石的首选影像学检查方法是()
A.超声检查
B.腹部平片
C.CT扫描
D.MRI
E.IVP
85、单项选择题
男,72岁,手足小关节红肿热痛,白细胞升高,血沉快,血尿酸升高,结合图像,最可能诊断是()
A.类风湿关节炎
B.退行性骨关节病
C.痛风性关节炎
D.假痛风
E.滑膜炎
86、多项选择题 下列属于心脏摄片检查体位的是()
A.前后位
B.后前位
C.左前斜位
D.右前斜位
E.右侧位
87、单项选择题 在左前斜位片上心前缘下部是()
A.右心房
B.右心室
C.左心房
D.左心室
E.升主动脉
88、单项选择题 下列骨髓瘤的X线表现中,错误的是()
A.好发于颅骨、脊柱、骨盆和肋骨等部位
B.骨质普遍稀疏
C.骨呈多发性穿凿样骨质破坏
D.椎弓根破坏
E.骨质破坏周边常无硬化
89、名词解释 粘膜线
90、单项选择题 肾实质显影密度增高见于哪种疾病()
A.肾积水
B.尿路梗阻
C.肾结核
D.肾脓肿
E.肾静脉栓塞
91、名词解释 安全带骨折
92、配伍题 构成左心缘第二弓的是()构成心右心缘第二弓的是()构成右心缘第一弓的是()
A.肺动脉段
B.右心房
C.上腔静脉
D.左心耳
E.左心室
93、填空题 鼻咽癌起源于___________或__________,多数为____________,少数为_______、_________等。
94、多项选择题 消化道粘膜的改变包括()
A.粘膜皱襞增粗、扭曲
B.龛影
C.粘膜破坏
D.粘膜皱襞纠集
E.微皱襞的改变
95、名词解释 肺脓肿
96、判断题 垂体肿瘤或鞍区脑膜瘤可使眶上裂增大,并可引起邻近骨质破坏吸收。
97、多项选择题 逆行肾盂造影的禁忌证有()
A.多囊肾
B.尿道狭窄
C.肾盂积水
D.严重的血尿
E.输尿管周围病变
98、单项选择题 “硬化型”食管癌的特征性影像表现是()
A.食管局限性狭窄
B.食管腔内充盈缺损
C.不规则龛影
D.牵引性憩室
E.食管扩张下端呈鸟嘴状
99、多项选择题 高千伏摄片的优点是()
A.可获得高对比的照片
B.缩短曝光时间,减少肢体移动模糊
C.X线量减少,有利于病人防护
D.改善骨组织密度不同,所致的光学密度分布不均匀
E.减小管电流,延长X线管寿命
100、单项选择题 腹部仰卧前后位摄片的叙述错误的是()
A.患者仰卧于摄片床上
B.腹部正中矢状面与床面垂直
C.剑突末端向上2~3cm处平胶片上缘
D.耻骨联合下2~3cm处平胶片下缘
E.中心线入射点为脐上3cm
101、填空题 慢性胃炎一般分为________、_________和__________三型。
102、判断题 乳腺导管扩张症,皮肤可呈橘皮状,伴有乳头凹陷或位置异常。
103、单项选择题 下列疾病中,不引起食管位置或形态改变的是()
A.主动脉扩张
B.食管癌
C.左房增大
D.膈疝
E.胸腺肥大
104、单项选择题 脊髓内不伴有脊髓空洞症肿瘤是()
A.室管膜瘤
B.血管母细胞瘤
C.转移瘤
D.星形细胞瘤
E.以上全不对
105、单项选择题 下列“多发性软骨瘤”诊断要点中,哪项错误()
A.单侧或双侧发病
B.手足短管状骨罕见
C.5%可恶变
D.圆形、卵圆形密度减低影
E.瘤内散在分布有大量点状钙化
106、单项选择题
男,63岁,痰中带血2天,不发热,X线检查如图所示,最可能的诊断是()

A.左肺上沟瘤
B.左上肺癌
C.左肺炎性假瘤
D.左肺结核瘤
E.左肺错构瘤
107、判断题 萎缩性胃炎有类似胃溃疡的规律性上腹疼痛。
108、判断题 多数溃疡性结肠炎病例起病缓慢,发作期与缓解期交替出现。
109、单项选择题 强直性脊柱炎的特征性X线表现是()
A.脊柱骨质破坏
B.关节表面破坏
C.关节面硬化
D.关节半脱位
E.椎旁韧带钙化骨化呈竹节样改变
110、单项选择题 下列哪种体位对观察肺门帮助不大()
A.正位
B.右侧位
C.左侧位
D.左前斜位
E.右前斜位
111、填空题 先天性肢体骨骼缺损是___________________,Frantz和O’Rahilly的先天性肢体骨骼缺损分类法是按骨骼缺损的部位和方向将肢体骨骼缺损分为___________、__________、____________和___________4大类。
112、单项选择题 婴幼儿镇静药用量通常为()
A.10%水合氯醛0.1ml/kg
B.10%水合氯醛0.5ml/kg
C.10%水合氯醛1.5ml/kg
D.10%水合氯醛2.0ml/kg
E.10%水合氯醛2.5ml/kg
113、配伍题 左上叶肺不张典型征象是()右下叶肺不张典型征象是()
A.薄饼征
B.右上三角征
C.平腰征
D.心后三角征
E.左上肺索条影
114、单项选择题 肾实质不显影常见于哪种疾病()
A.肾功能减退
B.尿路梗阻
C.肾结核
D.肾脓肿
E.肾血管性病变
115、单项选择题 漏斗胸的病理基础为()
A.慢性阻塞性肺气肿
B.先天性胸骨软骨隆凸
C.多发、多肋骨折
D.先天性胸骨软骨凹陷
E.一侧胸膜增厚、钙化
116、问答题 在X线上怎样识别小儿长骨各部分?
117、单项选择题 正常主胰管的管径在胰头、胰体、胰尾部分别为()
A.3mm、3mm、2mm
B.3mm、3mm、3mm
C.3mm、2mm、1mm
D.4mm、3mm、2mm
E.2mm、2mm、1mm
118、单项选择题 X线上,在心膈角发现团状阴影,最常见的是()
A.支气管肺炎
B.心包脂肪垫
C.麻疹肺炎
D.心包囊肿
E.心包憩室
119、单项选择题 关于乳腺摄影的叙述,错误的是()
A.通常使用钼靶X线机
B.常摄取侧位和轴位片
C.用40kV以上的管电压
D.屏气曝光
E.焦-片距为40~50cm
120、单项选择题
男,71岁,背部酸痛,低热,乏力,消瘦2月余,结合影像学表现,最可能的诊断是()
A.脊柱转移瘤
B.化脓性脊柱炎
C.脊椎结核
D.椎体压缩骨折
E.阻滞椎
121、单项选择题 下列类风湿关节炎的X线表现中哪项不正确()
A.关节肿胀
B.骨质疏松
C.关节间隙变窄
D.皮下组织钙化
E.纤维性骨性强直
122、单项选择题 下列气管支气管病变影像特点描述,错误的是()
A.剑鞘状气管,气管扁平状,壁有钙化
B.支气管扩张,病变支气管囊柱状或葡萄状
C.气管软骨瘤,气管腔内软组织肿块
D.气管支气管软化症,气管、支气管狭窄
E.复发性多软骨炎,气管壁增厚、钙化、管腔狭窄
123、单项选择题 下列哪种“消化道功能异常”,钡餐不能检出的是()
A.分泌增多
B.分泌减少
C.逆蠕动
D.排空加快
E.张力增高
124、单项选择题 早期中耳癌的X线摄影以何种位置摄影最佳()
A.汤氏位摄影
B.伦氏位摄影
C.斯氏位摄影
D.头颅前后位摄影
E.颅底摄影
125、单项选择题 以下哪种胸部检查接受的X线量最大()
A.胸部透视
B.正位胸片
C.胸部CT平扫
D.胸部MRI检查
E.支气管碘油造影
126、多项选择题 滤线栅平面中的一条标志线,表示()
A.向球管方向面
B.背球管方向面
C.铅条排列中心
D.铅条排列方向
E.铅条排列密度
127、单项选择题 扁平足,常用的摄影体位是()
A.足侧位
B.足轴位
C.足斜位
D.足负重水平侧位
E.双曝光全足正位
128、名词解释 掌骨指数
129、判断题 肺部真菌中绝大多数都可引起肺部病变。
130、单项选择题
3岁,男,发热伴头顶部局限性疼痛1周,右额顶部可见局限性骨缺损,最可能的诊断是()
A.蛛网膜颗粒压迹
B.先天性颅骨缺损
C.嗜酸性肉芽肿
D.局限性骨皮质缺损
E.以上均不是
131、单项选择题 关于鼻咽癌,其常规X线检查体位是()
A.鼻咽侧位
B.鼻咽侧位+颅底位
C.颈侧位
D.头颅正位
E.颅底位
132、判断题 头颅平片常规选用的位置有后前位和侧位。
133、单项选择题 眼眶异物定位时,金属标记不应放置在角膜的哪个方位上()
A.3点钟
B.6点钟
C.9点钟
D.10点钟
E.12点钟
134、配伍题 肝外伤休克()肝癌()肝血管瘤()胆道梗阻()门脉高压()
A.TIPSS
B.肝动脉栓塞术
C.PTCD
D.肝动脉造影
E.肝动脉化疗栓塞
135、名词解释 颈动脉体瘤
136、判断题 放射性肺炎病灶内有时可见空气支气管征,且可见含气支气管分支并拢或支气管扩张征象。
137、单项选择题
女,17岁,背部和正中胸部急性疼痛和带状疱疹感染,结合图像,最可能的诊断是()
A.镰状细胞贫血
B.地中海贫血
C.系统性红斑狼疮
D.类风湿关节炎
E.白血病
138、单项选择题 类风湿关节炎早期病变主要在()
A.邻近软组织
B.骨组织
C.关节韧带
D.滑膜组织
E.关节软骨
139、配伍题 位于乙状结肠直肠连接部的是()位于降结肠乙状结肠交界处的是()位于脾曲的是()
A.Payr~Strauss括约肌
B.Cannm括约肌
C.Bakki括约肌
D.Rossi括约肌
E.Mouttier括约肌
140、判断题 脑回压迹增多是儿童颅内压增高的主要X线征象。
141、单项选择题 与喉软骨构成无关的是()
A.甲状软骨
B.环状软骨
C.会厌软骨
D.腭骨
E.杓状软骨
142、单项选择题 双乳剂X线胶片结构中,不包括()
A.片基
B.保护层
C.底层
D.乳剂层
E.防反射层
143、多项选择题 肾先天性发育异常包括()
A.肾数目异常
B.肾位置异常
C.肾形态异常
D.肾旋转异常
E.肾发育不全
144、单项选择题 关于X线照片质量客观评价方法的叙述,中英文对照错误的是()
A.MTF——调制传递函数
B.LSF——点扩散函数
C.WS——维纳频谱
D.ACF——自相关函数
E.DQE——量子检出效率
145、单项选择题 大叶性肺炎的典型影像学变化可见于病变的()
A.充血期
B.实变期
C.消散期
D.消散期之初
E.病变全程
146、多项选择题 连续X线的衰减特点包括()
A.平均能量不变
B.平均能量降低
C.平均能量提高
D.强度减弱
E.强度不变
147、名词解释 漏斗征
148、单项选择题
出生后无胎粪、哭闹不止,并逐渐出现腹部涨满、呕吐。如图所示,最可能的诊断为()

A.先天性肛门直肠畸形
B.先天性肠闭锁
C.先天性肛瘘
D.先天性肠狭窄
E.先天性巨结肠
149、判断题 先天性髋内翻一般出生时即有典型的X线改变。
150、单项选择题 有关牛皮癣性关节炎的叙述中,哪项不正确()
A.常有指甲改变
B.一般不侵犯腕和跗间关节
C.常对称性地侵犯远侧指间关节
D.指间关节或掌指关节出现脱位或半脱位,形成毁形性关节炎
E.一般无骨质疏松
151、填空题 根据肺炎性假瘤的组织成分可将肺炎性假瘤分为5型,即_______________、_______________、____________、__________________和___________________。
152、单项选择题 造影示“膀胱挛缩”,则可排除()
A.浸润型膀胱癌
B.前列腺肥大
C.膀胱结核
D.盆腔炎
E.膀胱炎
153、单项选择题 下列哪种骨转移的临床症状相对较轻()
A.乳腺癌骨转移
B.鼻咽癌骨转移
C.甲状腺癌骨转移
D.胃癌骨转移
E.前列腺癌骨转移
154、填空题 后纵隔神经源性肿瘤主要分_____________与______________两大类。
155、单项选择题 局限性胸腔积液,不包括()
A.包裹性积液
B.叶间积液
C.肺底积液
D.支气管囊肿
E.纵隔包裹性积液
156、单项选择题 关于“Apert综合征”,下列描述错误的是()
A.两眼间距过宽
B.第3、4指并指畸形
C.颅内压增高相应表现
D.长骨对称性扩张呈"烧瓶状
E.冠状缝、矢状缝早闭
157、单项选择题
男,38岁,生活在沿海一带,腰背部疼痛半年余,根据所提供的图像,最可能诊断是()
A.石骨症
B.肾性骨病
C.氟骨症
D.成骨性转移瘤
E.骨纤维异常增殖症
158、单项选择题 胸腔积液罕见于()
A.细菌性肺炎
B.结核
C.乳腺癌胸膜转移
D.结节病
E.淋巴管腺肌瘤病
159、名词解释 泪滴距
160、判断题 骺软骨有阻止肿瘤发展的趋势,故骨肉瘤不会侵犯骨骺。
161、多项选择题 X线摄片时,应注意中心线的()
A.入射点
B.中心线的能量
C.射入胶片的位置
D.投射的方向
E.入射的角度
162、单项选择题 下列大叶性肺炎早期影像,哪项不对()
A.局限性肺纹理稍多
B.支气管气相
C.患肺透亮度略减低
D.发生于下叶者,邻近膈肌动度减低
E.大叶性肺炎早期,影像表现缺乏特征性
163、单项选择题
女,5岁,左踝疼痛,结合图像,最可能的诊断是()
A.创伤性关节炎
B.退行性骨关节病
C.神经性关节病
D.风湿性关节炎
E.痛风
164、单项选择题 下列关于系统性硬皮病影像表现,错误的是()
A.早期,双下肺网状结节影
B.晚期,蜂窝肺
C.双肺门淋巴结明显增大
D.可有肺动脉高压
E.可合并肺泡癌
165、单项选择题 食管平滑肌瘤的特征性X线表现是()
A.粘膜紊乱
B.充盈缺损
C.管腔变形
D.环行征
E.浅分叶
166、单项选择题 肥胖病人心影呈()
A.滴状心
B.横位心
C.靴形心
D.主动脉型心
E.梨形心
167、单项选择题 纵隔肿瘤中无钙化征像的为下述哪项()
A.支气管囊肿
B.胸内甲状腺肿
C.神经源性肿瘤
D.畸胎类肿瘤
E.胸腺瘤
168、配伍题 构成左心缘第二弓的是()构成心右心缘第二弓的是()构成右心缘第一弓的是()
A.肺动脉段
B.右心房
C.上腔静脉
D.左心耳
E.左心室
169、名词解释 跳跃性转移
170、单项选择题 肺部急性炎症反应的病理改变是()
A.渗出灶
B.增殖灶
C.纤维化灶
D.空洞
E.钙化灶
171、问答题 化脓性肺炎的X线表现有哪些?
172、单项选择题 我国1978年制订的肺结核病分类方法,将肺结核病分几类()
A.4类
B.5类
C.6类
D.7类
E.8类
173、单项选择题 关于鼻真菌病的X线表现,下列哪项描述不准确()
A.鼻腔软组织肿块
B.受侵鼻窦内有结节状软组织影
C.窦壁骨质无破坏
D.鼻甲增大
E.一般窦内无积液
174、多项选择题 关于脊柱曲度变化的说法,哪些是正确的()
A.腰肌劳损
B.脊柱创伤
C.椎间盘病变
D.强直性脊柱炎
E.脊柱结核
175、多项选择题 淋巴瘤纵隔肿大淋巴结的分布以哪组最常见()
A.前纵隔
B.支气管旁组
C.气管与支气管组
D.隆突下组
E.中纵隔组
176、填空题 骨髓瘤的X线表现为_________________、_______________、___________、_____________和_____________。
177、单项选择题 关于降低乳腺癌发生危险性的措施中,下列不正确是()
A.实行人工喂养
B.避免不必要的电离辐射
C.青春期适当节制脂肪和动物蛋白质的摄入
D.更年期尽量避免应用雌激素
E.更年期后适当增加体育活动,减少过剩脂肪
178、判断题 浅表食管癌是指癌仅浸润至食管粘膜、粘膜下层,而无淋巴结转移者。
179、判断题 胃肉瘤高度恶性者常为弥漫性浸润,呈多发肿块,穿孔少见,较少累及淋巴结。
180、多项选择题 类风湿性关节炎早期X线表现有()
A.骨膜增厚和骨化
B.关节邻近骨质疏松
C.关节周围软组织肿胀
D.关节间隙增宽
E.骨质侵蚀和假囊形成
181、填空题 肺内出血表现为__________、___________或__________阴影。
182、单项选择题 下述除哪项外均为影响骨骼钙代谢的主要因素()
A.血清中钙磷含量的高低
B.体内维生素B含量的高低
C.小肠中钙、磷吸收的多少
D.甲状旁腺毒性与维生素D的比例关系
E.肾脏对Ca的再吸收与排泄作用
183、单项选择题
男,28岁,右肱骨上段肿痛1个月,疼痛以夜间明显,摄片如图所示,提示骨肉瘤最为主要的征象是()
A.溶骨性破坏
B.骨膜增生
C.肿瘤骨形成
D.软组织肿块影
E.Codman三角
184、单项选择题
女,9岁,呼吸困难半月余,结合图像,最可能的诊断是()

A.气胸
B.胸腔积液
C.肺大泡
D.液气胸
E.肺气肿
185、单项选择题 肩关节正位摄片,中心线正确射入点是()
A.锁骨的中点
B.关节盂
C.肩峰
D.肩胛骨喙突
E.肱骨头
186、多项选择题 引起成人股骨头缺血坏死的常见原因为()
A.外伤
B.皮质激素治疗
C.酒精中毒
D.减压病
E.肾移植
187、问答题 胃良性肿瘤的X线表现有哪些?
188、名词解释 上腔静脉阻塞综合征
189、单项选择题 法洛四联征包括()
A.肺动脉狭窄,室间隔缺损,主动脉狭窄,右心室肥大
B.肺动脉扩张,室间隔缺损,主动脉扩张,右心室肥大
C.肺动脉狭窄,房间隔缺损,主动脉骑跨,左右心室肥大
D.肺动脉狭窄,室间隔缺损,主动脉骑跨,右心室肥大
E.肺动脉扩张,房间隔缺损,主动脉骑跨,左心室肥大
190、填空题 输尿管结石易停留在生理狭窄处,即_________________、____________________及______________________。
191、单项选择题 关于普通放射的解释,下列哪项正确()
A.普通放射是高速电子与靶物质的原子核相互作用的结果
B.普通放射是高速电子与靶物质的轨道电子相互作用的结果
C.普通放射中,高速电子的能量没有丢失
D.普通放射的质决定于管电流
E.普通放射与高速电子的能量无关
192、多项选择题 过敏性肺炎主要的X线表现为()
A.病灶可见于肺内任何部位
B.病灶沿支气管走行分布
C.病灶改变迅速,呈游走性
D.亚急性者两肺可见散在的不规则阴影
E.慢性型可见网状、小结节状等阴影
193、单项选择题 显示颈椎椎间孔的最佳摄影体位是()
A.正位
B.斜位
C.侧位
D.张口位
E.切线位
194、填空题 一侧肺不发育时,两侧胸廓基本对称,因为_________________________,此点可与_______________作鉴别。
195、单项选择题 心脏右前斜位片主要观察()
A.右心房、肺动脉主干
B.左心房、左心室
C.左心房、肺动脉主干和右心室
D.左心室、右心室
E.气管分杈、主动脉窗
196、单项选择题
男,65岁,咳嗽,右胸痛,痰中带血丝1周。胸部后前位片示:右肺门影增大,右上肺大片状致密影,水平裂呈反“S”样改变。
最可能的诊断是()
A.右上肺炎
B.右上肺脓肿
C.右上阻塞性肺炎
D.右上肺结核
E.右侧中心型肺癌伴右上肺不张
197、名词解释 .Hoeve三联征
198、单项选择题 系统性红斑狼疮患者在颜面部可出现蝶形红斑,但出现率不超过()
A.20%
B.25%
C.50%
D.80%
E.60%
199、判断题 脑膜中动脉压迹,因前支较细小常显示欠清。
200、名词解释 不完全骨折
201、单项选择题 下列哪一种为非离子型对比剂()
A.硫酸钡
B.泛影葡胺
C.碘化油
D.阿米培克
E.泛影酸钠
202、单项选择题
男,56岁,胸骨后不适3月,吞咽时异物感,如图,最可能的诊断是()

A.食管炎
B.食管癌
C.贲门癌
D.胃癌
E.食管下段溃疡
203、单项选择题 关于脊椎骨折,下列哪项不正确()
A.X线上椎体压缩变扁呈楔形改变
B.多发生在活动度较大的胸椎下段和腰椎上段
C.椎间隙变窄
D.严重时常并发脊椎后突成角,侧移
E.以单个椎体多见
204、判断题 阿米巴结肠炎形成阿米巴瘤,可呈偏心性或不均称的肠管狭窄,与正常肠管之间无明显界限。
205、多项选择题 骨纤维异常增殖症四肢及躯干骨病变的X线表现包括()
A.虫蚀样改变
B.磨玻璃样改变
C.丝瓜瓤状改变
D.溶骨性改变
E.膨胀性改变
206、判断题 良性溃疡周围胃小区和胃小沟存在,但大小及粗细不均匀。
207、单项选择题
男,2岁,关节肿胀,结合图像,最可能的诊断是()
A.肾性骨病
B.黏多糖贮积症
C.维生素D缺乏症
D.维生素C缺乏症
E.维生素D过多症
208、单项选择题 下述肺淀粉样变性胸部影像,错误的是()
A.单发或多发团块影
B.两肺弥漫小结节影
C.厚壁空洞
D.肺不张
E.淋巴结肿大
209、多项选择题 下列哪些疾病胸片上主动脉结增大()
A.动脉导管未闭
B.梅毒性心脏病
C.主动脉瓣狭窄
D.主动脉瓣关闭不全
E.高血压心脏病
210、单项选择题 原发性肺结核典型X线征象()
A.肺内浸润阴影
B.肺门淋巴结肿大
C.双极征
D.肺空洞形成
E.胸腔积液
211、单项选择题 下面关于过敏性肺炎的描述,错误的是()
A.病变可为游走性
B.过敏性肺炎反复发作或不吸收
C.两中下肺野沿支气管走行分布斑片状边缘模糊阴影
D.过敏性肺炎分急性型和慢性型两种
E.两中下肺较密集的2~3mm粟粒状阴影
212、填空题 急性腹膜炎的影像学诊断主要依据_____________、______________、______________、_________________和________________。
213、填空题 食管平滑肌瘤为____________的肿瘤,大多数起源于______的平滑肌,偶尔来自_______________的平滑肌。
214、多项选择题 成软骨细胞瘤应与下述哪些疾病变相鉴别()
A.骨巨细胞瘤
B.内生软骨瘤
C.软骨粘液样纤维瘤
D.多发性骨软骨瘤
E.骨骺、干骺结核
215、单项选择题 关于“早期胃癌”概念,正确的是()
A.肿瘤范围小于1cm
B.肿瘤局限于粘膜和粘膜下层
C.肿瘤位于胃小弯近胃角处
D.无远处淋巴结转移
E.肿瘤表面光整
216、单项选择题 下列有关成骨细胞瘤的X线表现中,哪项不正确()
A.肿瘤大小为2~10cm不等
B.多为类圆形膨胀性骨质破坏
C.边缘不清楚,周围常无骨增生硬化
D.可有少量骨膜反应
E.肿瘤周围的软组织可有局限性肿胀
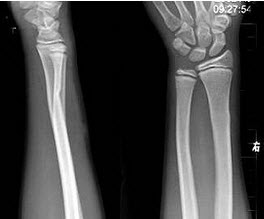
217、单项选择题
男,12岁,右前臂外伤后入院。结合图像,正确的诊断是()
A.Colles骨折
B.孟氏骨折
C.青枝骨折
D.Smith骨折
E.桡骨小头脱位
218、单项选择题
男,80岁,脐周隐痛反复发作半年,加重1月,体检:脐周压痛,以脐上为主,无反跳痛,结合图像,最可能的诊断为()

A.正常表现
B.胃炎
C.胃癌
D.笔杆征
E.降段憩室
219、多项选择题 以下哪些骨肿瘤常见钙化()
A.骨瘤
B.骨肉瘤
C.骨巨细胞瘤
D.软骨瘤
E.软骨肉瘤
220、单项选择题 下述石棉肺影像表现,错误的是()
A.早期,不规则形大阴影
B.晚期,双肺蜂窝状阴影
C.胸膜斑可钙化
D.蓬发心
E.胸膜改变常比肺改变更明显
221、单项选择题 下述类癌综合征的表现,哪项是不正确的()
A.反复发作性腹痛
B.左心受损
C.面部潮红
D.糙皮样表现
E.哮喘
222、单项选择题 肺脓肿的特征性X线征象是()
A.偏心性空洞壁厚而不规则
B.渗出性病变中出现空洞,内有气液平面
C.大片浓密阴影
D.支气管阻塞或狭窄
E.胸腔积液
223、单项选择题
女,12岁,咳嗽、低热2月余,结合胸片,最可能的诊断是()

A.血行播撒型肺结核
B.两肺含铁血黄素沉着
C.间质性肺炎
D.支气管肺炎
E.风心二狭
224、多项选择题 可引起眶内骨质破坏的疾病,包括以下哪些()
A.视网膜母细胞瘤
B.视神经胶质瘤
C.视神经脑膜瘤
D.泪腺混合瘤
E.以上都不是
225、单项选择题 常用的子宫输卵管造影的对比剂是()
A.40%碘化油
B.70%泛影葡胺
C.20%碘化油
D.50%泛影葡胺
E.以上均不是
226、单项选择题 在右前斜位上食管压迹加深,提示()
A.左心室增大
B.右心室增大
C.左心房增大
D.右心房增大
E.主动脉增宽,扭曲
227、问答题 骨膜反应对病变的定性诊断价值如何?
228、填空题 可形成广泛粟粒样结节的肺病变有:____________、______________、_______________、_______________、____________________。
229、判断题 肋软骨钙化发生的早晚及钙化的程度具有重要临床意义。
230、单项选择题 逆行肾盂造影的禁忌证是()
A.尿道狭窄
B.严重的肾结核
C.严重肾盂积水
D.先天性多囊肾
E.静脉肾盂造影显影不良
231、单项选择题
男,63岁,进行性吞咽困难1月。食管钡餐示:食管下段粘膜不规则充盈缺损,管腔狭窄,贲门扩张欠佳。
发现肝内转移,则转移途径为()
A.直接浸润
B.淋巴转移
C.种植转移
D.血行转移
E.消化道粘膜下浸润
232、单项选择题 发病率最高的髓内肿瘤是()
A.少突胶质细胞瘤
B.脊膜瘤
C.血管性肿瘤
D.星形胶质细胞瘤
E.室管膜瘤
233、名词解释 骨折不愈合
234、单项选择题 哪项属于胰腺外分泌性肿瘤()
A.胃泌素瘤
B.胰岛素瘤
C.胰腺囊腺瘤
D.胰高血糖素瘤
E.生长抑素瘤
235、单项选择题 肺小叶由几个呼吸小叶构成()
A.1~2个
B.4~6个
C.3~5个
D.8~10个
E.4~8个
236、单项选择题
在X线摄片中,下列解剖部位哪些能投影于眼眶当中()
a.内听道
b.上颌窦
c.蝶鞍
d.视神经孔
e.颞颌关节
A.a,b,c
B.a,d,e
C.a,b,d
D.b,c,d
E.c,d,e
237、单项选择题 石棉肺较少见的并发症是()
A.肺间质纤维化
B.肺结核
C.支气管扩张
D.节段性肺不张
E.胸膜间皮瘤
238、问答题 盔甲心
239、单项选择题 诊断用X射线机房的主防护铅当量厚度应是()
A.0.5mm
B.1.0mm
C.1.5mm
D.2.0mm
E.2.5mm
240、多项选择题 骨折线需与以下哪几项区别()
A.骨骺线
B.营养动脉血管
C.颅缝
D.生长障碍线
E.关节间隙
241、单项选择题 下列颅骨缝隙,呈锯齿状的是()
A.成人颅缝
B.骨折线
C.幼儿颅缝
D.血管压迹
E.蛛网膜颗粒压迹
242、单项选择题 发生于肺部转移的肿瘤常为()
A.绒癌
B.乳癌
C.肝癌
D.胃癌
E.以上都是
243、填空题 食管癌的病因尚不明,与多种因素有关,分别为______、__________、________、__________、____________、__________、___________和___________。
244、多项选择题 关节基本病变的X线表现为()
A.关节肿胀
B.关节破坏
C.关节退行性变
D.关节强直
E.关节脱位
245、多项选择题 支气管扩张症的正确表现有()
A.有肺叶膨张不全
B.可见环状,蜂窝状阴影
C.看不到气液平面
D.后天病因有肺炎、慢性支气管炎、肺不发育
E.必须由支气管造影和支气管动脉造影确诊
246、多项选择题 肌肉周围有辅助装置保护肌及协助肌的活动,以下属于肌肉周围辅助装置的是()
A.筋膜
B.腱鞘
C.滑液囊
D.籽骨
E.副骨
247、多项选择题 右心室增大常见于()
A.二尖瓣狭窄
B.肺源性心脏病
C.肺动脉狭窄
D.肺动脉高压
E.法洛四联征
248、多项选择题 肺上沟瘤侵犯臂丛神经可出现的症状为()
A.知觉丧失
B.运动障碍
C.咽喉感觉丧失
D.呼吸及吞咽困难
E.肩背部和上肢疼痛
249、单项选择题 溃疡型肠结核主要消化道症状是()
A.呕吐
B.便秘
C.消瘦
D.腹部肿块
E.腹痛、腹泻、大便呈糊状
250、单项选择题
男,63岁,进行性吞咽困难1月。食管钡餐示:食管下段粘膜不规则充盈缺损,管腔狭窄,贲门扩张欠佳。
病变侵及食管的()
A.粘膜层
B.粘膜下层
C.肌层
D.外膜
E.粘膜肌层
251、单项选择题 X线透过被照体后形成的X线强度的差异,称为()
A.人工对比度
B.天然对比度
C.射线对比度
D.胶片对比度
E.照片对比度
252、判断题 主-肺动脉间隔缺损以右心增大为主,主动脉结常缩小。
253、判断题 食管少量充钡,粘膜皱襞表现为数条横向、相互平行的纤细条纹状阴影。
254、名词解释 胸膜凹陷征
255、名词解释 骨化性肌炎
256、填空题 异位肾可位于盆腔、髂窝、下腹、膈下或胸腔内,分别称为______、______、______、________和________。
257、判断题 巨人症表现为全身骨骼均匀性增长、变粗、骨骺愈合及二次骨化中心出现提前。
258、单项选择题 慢性化脓性骨髓炎的X线表现中,哪项不对()
A.广泛软组织肿胀
B.骨柩形成
C.虫蚀状、小片状骨质破坏
D.长条状死骨
E.骨质增生、硬化
259、单项选择题
女,50岁,手指关节肿痛,晨僵,结合图像,最可能诊断是()
A.关节结核
B.牛皮癣性关节炎
C.痛风性关节炎
D.类风湿关节炎
E.Reiter综合征
260、单项选择题 男,46岁,反复右上腹部不适,右上腹部剧烈疼痛伴恶心、呕吐及轻度黄疸5天,右上腹部压痛,墨菲氏征阳性,临床拟诊为胆囊结石,X线检查,可能有下列哪种征像()
A.右上腹部圆形密度增高影
B.肠腔积气
C.右侧膈肌升高
D.胆道内气体影
E.以上都不是
261、单项选择题
男,55岁,中上腹隐痛多年,剑突下压痛,影像检查如图,最可能的诊断是()
A.十二肠溃疡
B.十二指肠憩室
C.十二指肠癌
D.十二指肠重复畸形
E.十二指肠穿孔
262、单项选择题 下列哪种疾病,胸片上无“肺血减少”表现的是()
A.肺动脉狭窄
B.法洛四联征
C.三尖瓣闭锁
D.肺动脉闭锁
E.高原性心脏病
263、单项选择题
女,41岁,身材矮小,背痛,结合图像,最可能的诊断是()
A.腰椎退行性变
B.腰椎间盘突出
C.软骨发育不全
D.石骨症
E.马方综合征
264、单项选择题 对X线的描述,下列正确的是()
A.X线的硬度大→频率高→穿透力强
B.X线的硬度大→波长长→穿透力强
C.X线的硬度大→频率高→穿透力弱
D.X线的硬度大→波长长→穿透力弱
E.X线的硬度大→HVL小→穿透力强
265、多项选择题 副鼻窦病变常见的异常X线征象有()
A.窦腔混浊、密度增加
B.粘膜肥厚
C.窦腔内软组织块影
D.窦腔内液平面
E.窦腔增大或缩小
266、多项选择题 关于被照体本身因素影响照片对比度的叙述,正确的是()
A.原子序数越高,射线对比度就越高
B.组织密度越大,造成的对比就明显
C.原子序数密度相同,对比度受厚度影响
D.被照体组织的形状与对比度相关
E.具有生命力的肺有很好的对比度
267、单项选择题 皮样囊肿最好发的部位是()
A.前上纵隔
B.中下纵隔
C.中上纵隔
D.后纵隔
E.前下纵隔
268、单项选择题 下列关于左侧上腔静脉的错误描述是()
A.位于主动脉弓外侧
B.下行于肺动脉主干的外侧
C.经左肺门前方进入左房与左室之间的冠状窦
D.增强扫描有助于与淋巴结鉴别
E.右上肢静脉注射造影剂并快速动脉早期扫描可清楚显示
269、单项选择题 在几周内出现骨端碎片及半脱位者,称急性夏科氏关节()
A.2周
B.10周
C.8周
D.6周
E.4周
270、单项选择题 下列哪种疾病,胸片上不表现为肺动脉段凹陷()
A.Ebstein畸形
B.法洛四联征
C.肺动脉漏斗部狭窄
D.三尖瓣闭锁
E.主动脉狭窄
271、单项选择题 变换体位或深呼吸时肾上下移动的范围为()
A.1~5cm
B.5~10cm
C.2~6cm
D.1~2cm
E.8~12cm
272、单项选择题
左膝关节酸胀不适,摄片发现左胫骨上段局限性骨质改变如图示,最可能的诊断是()
A.非骨化性纤维瘤
B.骨化性纤维瘤
C.内生软骨瘤
D.骨软骨瘤
E.以上均不正确
273、填空题 移行椎颅侧移位的特点是:_________________、_______________、________________、____________和______________。
274、单项选择题 下述疾病的肺血均属正常,但应除外()
A.原发性肺动脉高压
B.特发性肺动脉扩张
C.先天性主动脉瓣狭窄
D.先天性主动脉缩窄
E.特发性升主动脉扩张
275、单项选择题 下述粟粒型肺结核影像特点,哪项不对()
A.急性者,两上肺受累常较重
B.结节直径1~2mm
C.急性者,大小、密度、分布均匀
D.慢性者,大小、密度、分布不均匀,主要分布在两肺中上野
E.透视检查漏诊率高
276、多项选择题 良性胃溃疡的典型X线表现()
A.腔外龛影
B.放射状粘膜纠集
C.蠕动消失
D.指压迹
E.粘膜杵状中断
277、单项选择题 下列不属于个人防护用品的是()
A.防护帽
B.铅眼镜
C.防护手套
D.防护围裙
E.准直器
278、填空题 肾小管性骨病骨质软化表现的主要X线征象为__________________、______________和___________等。
279、多项选择题 恶性胃溃疡具有的征象是()
A.放射状粘膜纠集
B.腔外龛影
C.粘膜杵样中断
D.环堤
E.胃壁蠕动消失
280、单项选择题 下列主动脉瓣关闭不全的诊断要点,错误的是()
A.主动脉瓣区舒张期吹风样杂音
B.主动脉弓迂曲、延长,搏动增强
C.心尖圆钝、上抬
D.侧位胸片示食管和心后下缘间的透亮间隙消失
E.心尖向左下方移位
281、多项选择题 影响辐射损伤的因素是()
A.剂量率
B.照射方式
C.照射部位和范围
D.辐射线性质
E.辐射线剂量
282、判断题 造釉细胞瘤主要来源于残余的牙板和造釉器。
283、单项选择题 关于良性胃溃疡的X线征象,错误的是()
A.项圈征
B.粘膜线未中断
C.狭颈征
D.指压迹征
E.粘膜纠集
284、单项选择题
岩骨摄片的代表位置是()
a.Schuller's位
b.Water's位
c.颅底顶颌位
d.Stenver's位
e.Mayer's位
A.a,b,d
B.a,b,e
C.a,d,e
D.b,c,d
E.c,d,e
285、单项选择题 水痘病毒性肺炎的影像特征()
A.数天内仅见双肺纹理增粗、毛糙
B.病理、影像表现演变快
C.伴弥漫性肺气肿的广泛间质性炎症改变
D.呈典型的支气管肺炎表现
E.间质纤维化伴肺大泡
286、填空题 组织学上将原发性肝癌分为__________、____________和___________。
287、多项选择题 肺门阴影的组成,包括()
A.肺动脉
B.肺静脉
C.支气管
D.淋巴组织
E.神经组织
288、单项选择题
男,60岁,左股骨痛1年余,结合图像,最可能的诊断是()
A.骨纤维异常增殖症
B.Paget病
C.髋关节结核
D.股骨头缺血坏死
E.化脓性骨髓炎
289、单项选择题 有关锁骨的描述哪项是正确的()
A.锁骨内1/3向后凸
B.锁骨外1/3向前凸
C.锁骨的外侧端为肩峰端
D.锁骨内2/3段下缘可见喙突粗隆
E.锁骨外1/3段下缘可见菱形切迹
290、单项选择题 关于髌骨侧位摄片的叙述,错误的是()
A.体位与膝关节侧位相同
B.可用于检查周围软组织病变
C.中心线经髌骨后缘垂直入射
D.髌骨与股骨下端应略有重叠
E.为常规投照体位
291、单项选择题 下列哪项不是“右向左分流”的疾病()
A.永存动脉干
B.法洛三联症
C.法洛四联征
D.大血管转位
E.肺隔离症
292、单项选择题
男,10岁,外伤,结合图像,最可能的诊断是()
A.未见异常
B.骺移骨折
C.青枝骨折
D.腕关节脱位
E.踝关节脱位
293、名词解释 Gardner综合征
294、名词解释 骨刺征
295、单项选择题 继发性肺结核与原发性肺结核的主要不同点是()
A.病灶位于上叶尖后段及下叶背段
B.一般无肺门淋巴结肿大
C.肺内病灶钙化较少见
D.病灶形态多样,可形成空洞
E.胸腔积液
296、单项选择题 额窦摄片,常规位置是()
A.柯氏位(CaldWell’s)
B.瓦氏位(Water’s)
C.斯氏位(Stenever’S)
D.劳氏位(LaW’s)
E.瑞氏位(Rhees’S)
297、单项选择题 孕妇需避免X线检查,是因为X线的()
A.穿透作用
B.荧光作用
C.生物作用
D.电离作用
E.光化学作用
298、判断题 乳腺的皮肤厚度一般为2~5mm。
299、问答题 诊断胃下垂的X线依据是什么?
300、单项选择题 典型急性肺水肿X线征象()
A.是肺纹理模糊
B.出现间隔线
C.胸膜少量积液
D.肺门旁蝶翼状影
E.含气支气管征