时间:2025-09-24 02:49:28


1、多项选择题 引起成人股骨头缺血坏死的常见原因为()
A.外伤
B.皮质激素治疗
C.酒精中毒
D.减压病
E.肾移植
2、多项选择题 以下可以见到钙化的疾病是()
A.错构瘤
B.淋巴结结核
C.周围型肺癌
D.中央型肺癌
E.肺泡微石症
3、单项选择题 关于卡氏肺囊虫病,下列观点哪项不对()
A.双侧发病
B.胸膜炎
C.弥漫性支气管肺炎
D.抗生素治疗效果不佳
E.可有空洞
4、单项选择题 胎儿出生前受照效应不包括()
A.胚胎死亡
B.畸形
C.智力低下
D.诱发癌症
E.感光作用
5、多项选择题 胃肠道异常的基本X线表现包括()
A.胃肠道轮廓改变
B.粘膜皱襞的改变
C.功能性改变
D.位置及移动度改变
E.管腔大小的改变
6、单项选择题 下列有关乳腺癌的描述中,不属X线特征的是()
A.漏斗征
B.酒窝征
C.彗星尾征
D.晕圈征
E.帐篷征
7、单项选择题 纵隔向健侧移位见于()
A.张力性气胸
B.肺不张
C.蜂窝肺
D.一侧肺切除
E.大叶性肺炎
8、单项选择题 下列结节病胸部影像,错误的是()
A.双侧对称性肺门淋巴结肿大
B.半数病例仅有肺门淋巴结肿大
C.两肺弥漫分布细网状结节影
D.肺门影模糊
E.肺内3cm以上孤立结节影
9、单项选择题 关于仰卧位摄片,下列组合中哪个是不正确的()
A.骶髂关节正位——中心线向头侧倾斜15°~30°
B.骶髂关节斜位——人体矢状面倾斜15°~20°
C.骶髂关节左后斜位——显示左侧骶髂关节
D.腰椎左后斜位——显示左侧椎间关节
E.胸椎右后斜位——显示右侧椎间关节
10、名词解释 颞下颌关节紊乱综合征
11、单项选择题 DR使用的检测装置是()
A.影像板
B.影像增强器
C.平板探测器
D.电离室
E.光电管
12、单项选择题
男,34岁,胸骨后烧灼痛1周,伴吞咽痛,餐后平卧时加剧,食管钡餐检查如图,最可能的诊断是()

A.食管癌
B.贲门失弛缓症
C.返流性食管炎
D.食管静脉曲胀
E.正常食管表现
13、单项选择题 在胸部右前斜位片反映右心室增大的早期征象是()
A.肺动脉圆锥部膨突
B.心前缘膨隆
C.心前下间隙缩小
D.膈面延长
E.无特异性
14、多项选择题 胸部内脏平片检查主要包括()
A.锁骨平片检查
B.胸骨平片检查
C.肺的平片检查
D.心及大血管的平片检查
E.胸椎的平片检查
15、单项选择题 服装市场开发所采用的策略有价格规划、广告市场、购买力和()。
A.价格规划
B.广告市场
C.购买力
D.购买欲望
16、单项选择题 “腕骨二次骨化中心”出现的正常顺序是()
A.头、钩、三角、月
B.小、大、钩、头
C.豆、月、头、钩
D.舟、钩、月、头
E.月、豆、头、大
17、单项选择题
男,17岁,来右前臂疼痛,肿胀近2年,2周前疼痛加剧,查体右前臂压痛明显,皮肤稍显红肿,结合图像,最可能诊断是()
A.骨囊肿
B.骨巨细胞瘤
C.动脉瘤样骨囊肿
D.软骨瘤
E.骨血管球瘤
18、单项选择题 下列关于乳腺恶性肿瘤的描述中,哪项是错误的()
A.肿块边缘模糊
B.界限不清
C.肿块密度低
D.有长或短毛刺
E.触诊肿块的大小常大于X线所见
19、名词解释 地方病
20、单项选择题
照片影像仅在某一部分出现模糊,最大的可能性是()
a.散射线
b.硫酸钡的流动性
c.胶片乳剂厚度
d.增感屏荧光体颗粒形态
e.半影
A.被照体移动
B.增感屏与胶片接触不良
C.摄片时间长
D.检查床台面颤动
E.暗盒漏光
21、名词解释 类风湿肺结节
22、单项选择题 下述均为扁骨,但应除外()
A.颅骨
B.肩胛骨
C.胸骨
D.跗骨
E.髂骨
23、单项选择题 关于DR的描述,下列哪项是错误的()
A.较CR成像速度快
B.探测器寿命长
C.曝光量小
D.可透视
E.容易与原X线设备匹配
24、单项选择题 软骨瘤的主要成分是()
A.透明软骨
B.钙化的软骨
C.退化软骨所形成的假囊肿
D.骨化的软骨
E.骨细胞
25、单项选择题 缩窄性心包炎的特征性X线征象是()
A.心影近似三角形
B.两心缘僵直,分界不清,伴胸膜炎改变
C.心脏搏动减弱,消失
D.上腔静脉扩张
E.心包壳状钙化
26、单项选择题 马德隆(Madelung)畸形的X线表现中,哪项是错误的()
A.桡骨远端关节面的内倾角加大,内侧有缺损
B.桡骨远端骨骺呈三角形变形,尖端指向内侧
C.桡骨短而弯,尺骨相对地增长
D.桡骨远端关节面与远端突出的尺骨远端形成"V"形切迹
E.腕骨角增大,远列腕骨排列成楔形,月状骨位于尖端
27、单项选择题 结节病最常见的肺部影像表现为()
A.弥漫性网状结节影
B.圆形病变
C.节段性浸润
D.小叶性浸润
E.单纯粟粒状
28、填空题 常见腹主动脉病变有_______________、______________和_____________。
29、单项选择题 甲种工作条件是指1年照射的有效量剂量有可能超过()
A.20mSv
B.15mSv
C.10mSv
D.5mSv
E.25mSv
30、单项选择题 内生软骨瘤最好发的部位是()
A.四肢长骨
B.骨盆
C.颅面骨
D.手足短骨
E.脊柱
31、填空题 肺真菌病影像学表现的病理基础有__________、___________、_____________、_______________、_______________和_____________。
32、名词解释 颈眼听综合征
33、判断题 叶间积液可单独存在,也可与胸腔游离积液并存。
34、单项选择题 左肺下叶分为四段,与右肺下叶不同的是()
A.前外基底段
B.外后基底段
C.外内基底段
D.内前基底段
E.以上都不是
35、判断题 尼曼-皮克病急进型的早期即可见较广泛的骨骼病变。
36、单项选择题 关于"急性化脓性鼻窦炎"的影像特点,下列说法哪项错误()
A.窦腔密度均匀增高
B.粘膜下皮质白线消失
C.窦壁粘膜增厚
D.可有气液面
E.单侧或双侧鼻窦受累
37、单项选择题
女,65岁,腰背部疼痛,僵硬半年余,结合影像学检查,最可能的诊断是()
A.脊椎肿瘤
B.椎体压缩性骨折
C.化脓性脊柱炎
D.强直性脊柱炎
E.脊椎退行性变
38、单项选择题 关于胸部摄片的说法,下列哪个是正确的()
A.正位摄片应取远距离、呼气位
B.前后位与后前位正位摄片相比,肩胛骨更易投影于肺野之外
C.正位中心线射入点应在第4胸椎高度
D.胸部斜位摄片,应根据检查目的部位显示决定倾斜角度
E.以上都不对
39、问答题 肺转移性肿瘤的X线表现有哪些?
40、填空题 慢性肺脓肿的三大特征是____________、___________和__________。
41、问答题 上颌窦恶性肿瘤的X线表现有哪些?
42、单项选择题 右前斜位片上心脏前缘自上而下依次为()
A.左心房、左心室
B.右心房、右心室
C.左心房、右心室
D.右心室、左心室
E.左心室、右心房
43、单项选择题
婴儿出生后无胎粪,哭闹,腹胀,无肛门。影像检查如图,最可能的诊断为()

A.先天性肛门直肠畸形-高位型
B.先天性肛门直肠畸形-低位型
C.先天性肛门直肠畸形-第5型
D.先天性肛门直肠畸形-第6型
E.先天性肠闭锁
44、填空题 寰椎骨折也称为___________,分为______________、_____________、_____________和______________4种。
45、单项选择题 男,57岁,上腹痛3个月,大便潜血(+)。钡餐显示胃窦向心性狭窄,蠕动消失,未见龛影,粘膜皱襞紊乱、破坏,低张造影局部胃壁无扩张。最可能的X线诊断是()
A.胃痉挛
B.慢性胃窦炎性挛缩
C.胃窦癌
D.胃外肿瘤压迫
E.慢性胃窦溃疡所致挛缩
46、单项选择题 下列关于梅毒性心脏病的描述,错误的是()
A.主动脉起始部瘤样扩张
B.主动脉根部搏动增强
C.左心室增大
D.心尖闻及舒张期杂音
E.胸主动脉迂曲、延长
47、判断题 对诊断早期肾结核,USG、CT和MRI检查优于尿路造影。
48、单项选择题 儿童长骨分为4部分,下列哪项是错误的()
A.骨干
B.骨端
C.骨骺
D.骨骺板
E.干骺端
49、多项选择题 肾实质显影浅淡主要见于()
A.肾功能减退
B.尿路梗阻
C.肾结核
D.肾脓肿
E.低血压
50、单项选择题 新生儿患者,生后即发现呼吸困难,胸部X线检查左侧膈肌升高至第3肋间,其下方是胃泡影,膈肌呈现矛盾运动,心脏纵隔移向对侧,可能的诊断是()
A.膈疝
B.膈膨升
C.胃扭转
D.肺不张
E.肺下积液
51、多项选择题 房间隔缺损少见类型有()
A.静脉窦型
B.下腔静脉型
C.冠状窦型
D.上腔型
E.继发孔型
52、配伍题
以下病变适合的介入技术
肝外伤休克()肝癌()肝血管瘤()胆道梗阻()门脉高压()
A.TIPSS
B.肝动脉栓塞术
C.PTCD
D.肝动脉造影
E.肝动脉化疗栓塞
53、单项选择题
男,阴囊下坠不适,胀痛,平卧症状缓解。查体:阴囊下垂松弛,并可触及结节状静脉曲张。
属精索静脉变异的是()
A.汇入肾静脉
B.汇入肝静脉
C.双精索静脉
D.汇入腹腔静脉
E.汇入下腔静脉
54、单项选择题 提示骨折不愈合下列哪项是错误的()
A.骨折端膨大,密度增高,骨折面硬化
B.骨折端吸收,萎缩
C.骨皮质增厚,髓腔闭锁,骨折端有梭形软组织肿块
D.骨折面硬化,但无骨桥连接
E.骨折端因有血肿,软组织膨隆
55、多项选择题 脊柱骨质增生可见于()
A.特发性肥大性骨关节病
B.强直性脊柱炎
C.脊柱结核愈合期
D.畸形性骨炎
E.脊柱外伤
56、名词解释 单纯异位肾
57、单项选择题 下述关于多发性骨软骨瘤恶变的征象,不正确的是()
A.远处出现转移性病灶
B.软骨帽增厚
C.钙化软骨帽密度变淡,边界不清
D.瘤体内出现透亮区
E.肿瘤生长缓慢或突然生长停止
58、问答题 消化道穿孔的X线表现及其鉴别诊断有哪些?
59、判断题 肠系膜上动脉与腹主动脉之间的夹角多大于45°。
60、单项选择题
女,4岁,大便潜血(++),结合图像,最可能的诊断为()

A.正常表现
B.胃炎
C.胃溃疡
D.胃窦炎
E.胃癌
61、单项选择题 有关子宫输卵管造影的叙述,错误的是()
A.对比剂经子宫颈口注入
B.常用碘化油作为对比剂
C.有输卵管阻塞的危险
D.子宫体恶性肿瘤者禁止造影
E.兼有治疗输卵管阻塞作用
62、单项选择题 发生“碘过敏反应”的症状中,下列哪种最危险()
A.面部潮红
B.皮肤丘疹
C.皮肤瘙痒
D.喉头发痒
E.喷嚏
63、单项选择题 骨髓瘤的X线表现中错误的是()
A.好发于颅骨、脊椎、骨盆、肋骨等部位
B.骨质普广泛疏松
C.颅骨呈多发性穿凿状破坏
D.椎弓根破坏
E.肋骨呈膨胀性分房状骨破坏
64、问答题 先天性巨结肠典型的X线征象有哪些?
65、多项选择题 婴幼儿和儿童的骨髓炎的特点有()
A.骨生长障碍
B.骨骺早期闭合和发育畸形
C.骨破坏广泛容易造成大块骨干坏死
D.发病急
E.全身中毒症状重
66、单项选择题 经眶位摄片,主要显示的影像是()
A.听骨
B.乳突
C.眶下裂
D.内听道
E.眶上裂
67、判断题 局限性阻塞性肺气肿胸廓呈桶状,严重时可见垂位心型。
68、多项选择题 引起血清碱性磷酸酶升高的骨病是()
A.成骨性转移瘤
B.纤维肉瘤
C.畸形性骨炎
D.骨肉瘤
E.尤文肉瘤
69、判断题 颅中窝中央后部为蝶骨和蝶窦,后接枕骨斜坡。
70、多项选择题 肠套叠钡灌肠的典型X线表现有哪些()
A.钡剂头端受阻
B.钡剂头端呈杯口状
C.位于肝、脾曲处的钡剂头端轴位像为圆形充盈缺损
D.钡剂排出后附着于粘膜皱襞的钡剂为螺旋弹簧状
E.钡剂头端见龛影
71、单项选择题 肾结石的X线平片中,不透光性结石占()
A.75%
B.50%
C.90%
D.30%
E.40%
72、单项选择题
男,根据其正常骨盆影像图像,判断其最可能的年龄()
A.68岁左右
B.58岁左右
C.18岁左右
D.48岁左右
E.28岁左右
73、单项选择题 “双侧肺血减少”见于()
A.异物吸入
B.肺隔离症
C.中央性肺癌
D.Ebstein畸形
E.Macleod综合征
74、单项选择题 关于心腰的描述,下列观点哪项不对()
A.指心脏左缘第二弓
B.指心脏右缘第二弓
C.正常心腰应略内凹
D.正常心腰由肺动脉段构成
E.肺动脉扩大时,心腰可隆起
75、单项选择题 显示右肺下叶不张最佳体位是()
A.后前位
B.右后斜位
C.右侧位
D.左侧位
E.前弓位
76、单项选择题 气管分叉上移,夹角大于90°,见于()
A.右心房增大
B.左心房增大
C.左心室增大
D.肺源性心脏病
E.膈肌上移
77、多项选择题 下列哪项可使散射线量增加()
A.被照体面积大
B.被照体体积大
C.被照体厚度大
D.被照体含气量大
E.被照体组织密度均匀
78、单项选择题 扩张型心肌病最常累及()
A.左心室
B.左心房
C.右心室
D.右心房
E.房室瓣环
79、问答题 马方(Marfan)综合征的X线表现有哪些?
80、判断题 钼铑双金属靶面的乳腺X线机对较致密的乳腺有较好的穿透力,为诊断提供更多的诊断信息。
81、单项选择题
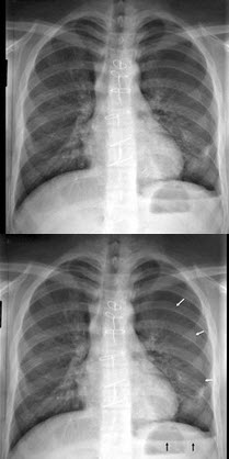
男,10月。有时哭闹。X线检查如图,最可能的诊断为()

A.畸胎瘤
B.胸腺瘤
C.婴幼儿胸腺
D.右上肺不张
E.神经母细胞瘤
82、多项选择题 可引起支气管狭窄及闭塞的是()
A.异物
B.支气管癌
C.支气管周围肿瘤压迫
D.由感染造成的肉芽肿、瘢痕
E.支气管腺癌
83、单项选择题
根据图像,最可能的诊断是()

A.肺气肿
B.慢性支气管炎
C.气胸
D.纵隔气肿
E.肺转移瘤
84、名词解释 Laurin角
85、单项选择题 X线诊断大叶性肺炎最主要的影像依据是()
A.肺大叶性阴影
B.含气支气管像
C.两肺多发大片影
D.肺纹理模糊增多
E.横膈运动受限
86、填空题 胸膜肥厚是由______________及________________引起,常充塞胸膜腔。
87、单项选择题 法洛四联征包括()
A.肺动脉狭窄,室间隔缺损,主动脉狭窄,右心室肥大
B.肺动脉扩张,室间隔缺损,主动脉扩张,右心室肥大
C.肺动脉狭窄,房间隔缺损,主动脉骑跨,左右心室肥大
D.肺动脉狭窄,室间隔缺损,主动脉骑跨,右心室肥大
E.肺动脉扩张,房间隔缺损,主动脉骑跨,左心室肥大
88、单项选择题 关于腹部摄片注意事项的叙述,错误的是()
A.摄片前均须清洁肠道
B.除新生儿外,均应采用滤线器摄片
C.胶片应包括整个腹部
D.采用呼气后屏气状态曝光
E.FFD为100cm
89、单项选择题
男,根据其正常骨盆影像图像,判断其最可能的年龄()
A.2岁左右
B.8岁左右
C.6岁左右
D.12岁左右
E.10岁左右
90、多项选择题 骨关节结核的主要X线表现是()
A.骨质增生
B.骨质破坏
C.骨质软化
D.骨质疏松
E.骨骼增粗变形
91、单项选择题 纵隔肿瘤没有钙化的是()
A.胸骨后甲状腺瘤
B.胸腺瘤
C.畸胎类肿瘤
D.神经源性肿瘤
E.支气管囊肿
92、单项选择题 关于鼻窦正常解剖的描述,下列哪项不正确()
A.出生时,蝶窦、额窦未气化
B.出生时,上颌窦、筛窦已气化
C.蝶窦由蝶窦中隔分为左右两个窦腔
D.上颌窦前部与鼻腔仅粘膜相隔
E.前组筛窦引流至中鼻道,后组筛窦引流至上鼻道
93、单项选择题 慢性化脓性骨髓炎的主要X线表现为()
A.骨质增生硬化
B.骨干增粗
C.骨膜增生
D.骨皮质增厚
E.以上都不是
94、单项选择题 目前公众个人全身受照射的年剂量应低于()
A.0.5mSv
B.1mSv
C.2mSv
D.5mSv
E.10mSv
95、填空题 石骨症分两型,即轻型为_____________,重型为_____________。
96、填空题 眼眶异物按异物的位置可分为__________、__________和________。
97、单项选择题 关于骨质硬化,下列X线表现中哪项错误()
A.骨密度增高
B.骨皮质增厚
C.骨小梁增粗、增密
D.骨髓腔变窄
E.骨轮廓无变化
98、单项选择题 AIDS的肺部X线表现为()
A.混合性实变
B.两肺弥漫性均匀性实变
C.单侧不均匀性斑片样实变
D.弥漫性间质性肺炎
E.胸腔积液
99、问答题 什么是胃小区、胃小沟及结肠无名沟?
100、单项选择题 关于一侧肺不张的影像特征,下列说法正确的是()
A.近肺底的横行条状致密
B.尖端指向肺门的三角形致密影
C.弥漫分布斑片状影
D.一侧肺致密影伴纵隔向患侧移位
E.3~5cm大小肿块影,伴“彗星尾”征
101、单项选择题 下列“脊柱先天畸形”中,哪项错误()
A.先天性斜颈
B.环椎枕化
C.枢椎齿状突缺如
D.椎弓崩裂
E.Klippel-Feil综合征
102、填空题 Looser带常见部位包括________、_______、_______、________及_______等。
103、单项选择题 最常用于“子宫输卵管造影”的造影剂是以下哪项()
A.Gd-DTPA
B.钡剂
C.碘泛酸
D.40%碘化油
E.空气
104、单项选择题 下列关于肺转移瘤的描述哪项是错误的()
A.人体许多部位的原发性肿瘤都可转移至肺内
B.血行转移X线表现为两中下肺野散在小结节或球形阴影
C.血行转移多见于肝癌、胰腺癌、甲状腺癌或绒癌等
D.淋巴转移X线表现为两中下肺野多发小结节、粟粒状或网格状阴影
E.以上都不是
105、单项选择题 光电效应是下列哪种作用的结果()
A.X线光子与原子的内壳层轨道电子
B.X线光子与原子核
C.高速电子与原子轨道电子
D.高速电子与原子核
E.高速电子与高速电子
106、单项选择题 下列组合,哪个是不正确的()
A.硫酸钡——阳性对比剂
B.碘普罗胺——有机碘化物
C.空气、氧气——阴性对比剂
D.胆影葡胺——无机碘化物
E.碘苯酯——碘化油
107、单项选择题 男,40岁,右眼外突1月。CT示:球后肿块,内有斑点状钙化,强化明显,最可能的诊断是()
A.海绵状血管瘤
B.胶质瘤
C.炎性假瘤
D.恶性肿瘤
E.甲状腺性突眼
108、单项选择题 扁平足,常用的摄影体位是()
A.足侧位
B.足轴位
C.足斜位
D.足负重水平侧位
E.双曝光全足正位
109、单项选择题 DSA成像的叙述,错误的是()
A.DSA——数字减影血管造影
B.Mask片是与普通平片完全相同的图像
C.Mask——蒙片
D.造影图像与未造影图像相减得血管图像
E.血管显影所需的碘量与血管直径成反比
110、多项选择题 常用作屏蔽防护的器械为()
A.X线管壳
B.滤过板
C.铅屏
D.铅橡皮围裙
E.墙纸
111、单项选择题 脊柱骨软骨瘤好发于()
A.棘突
B.横突
C.椎弓
D.椎体
E.小关节突
112、单项选择题 子宫输卵管造影的适应证包括下列哪项()
A.不孕症
B.生殖道畸形
C.子宫不正常出血
D.观察各种绝育措施后输卵管的情况
E.以上全是
113、多项选择题 左心房增大的X线表现为()
A.食管向后受压移位
B.双重阴影、双弧形
C.左心缘可见左心耳突出
D.左主支气管受压抬高
E.心影向两侧增宽
114、单项选择题 局限性胸腔积液,不包括()
A.包裹性积液
B.叶间积液
C.肺底积液
D.支气管囊肿
E.纵隔包裹性积液
115、单项选择题 对于预防“碘过敏反应”的发生,无帮助的措施是()
A.检查前做碘过敏实验
B.选用非离子型造影剂
C.选用高渗造影剂
D.减少造影剂用量
E.高危患者避免使用含碘造影剂
116、单项选择题 下列哪种表现只见于“脊柱化脓性骨髓炎”,而不见于“脊柱结核”()
A.椎体融合
B.椎间隙变窄
C.椎体骨质破坏
D.骨质硬化
E.椎旁脓肿
117、问答题 哪些X线征象有利于纵隔肿瘤的定性诊断?
118、多项选择题 食管裂孔疝的间接X线征象有()
A.食管返流
B.食管胃环
C.食管胃角变钝
D.食管下段迂曲增宽
E.消化性食管炎
119、名词解释 支气管袖口征
120、单项选择题 在静脉快速注入对比剂后的几分钟正常肾实质显影()
A.0.5分钟
B.1分钟
C.2分钟
D.3分钟
E.4分钟
121、单项选择题 增殖型肠结核的X线表现主要为()
A.跳跃征
B.肠腔扩张
C.肠管收缩
D.肠壁增厚
E.以上都是
122、单项选择题 法洛四联征的心影,多表现为()
A.明显增大
B.进行性增大
C.缩小
D.正常或轻度增大
E.雪人征
123、单项选择题 在肺源性心脏病中,提示重度肺动脉高压的X线征象是()
A.右心室重度增大
B.右心功能不全
C.肺动脉圆锥隆起
D.肺动脉干增粗
E.肺门“残根”征
124、名词解释 轨道征
125、多项选择题 肺动脉扩张表现,可见于()
A.左房黏液瘤
B.二尖瓣病变
C.甲状腺功能亢进
D.广泛性肺气肿、肺纤维化
E.脚气病
126、单项选择题 清晰可见肺野末梢血管的影像的细节指标是()
A.ф1mm
B.ф2mm
C.ф3mm
D.ф4mm
E.ф5mm
127、单项选择题 立位片上,腹部游离气体的典型影为()
A.不规则形
B.球形
C.新月形
D.半球形,有“气液面”
E.与胸腔间距>15mm
128、单项选择题 肠结核好发于()
A.结肠
B.回肠
C.回盲部
D.直肠
E.空肠
129、单项选择题 滤线栅的使用在那个投照部位为多()
A.头颅后前位
B.鼻骨侧位
C.拇指侧位
D.婴幼儿胸部前后位
E.乳房
130、单项选择题 眼眶异物X线定位法,下列哪种最常用()
A.手术切口标记定位法
B.多发性眶内异物定位法
C.角膜接触直接定位法
D.生理学定位法
E.几何学定位法
131、名词解释 疲劳骨折
132、配伍题 胃癌的好发部位为()胃溃疡的好发部位在()哪个部位见到的溃疡性病变应疑为癌()十二指肠溃疡好发于()
A.小弯
B.大弯
C.胃角
D.胃窦
E.十二指肠球部
133、问答题 一侧肺门影增大常见于哪些疾病?
134、单项选择题 放射工作人员全身均匀照射时,防止随机性效应的年剂量当量限值是()
A.10mSv/年
B.20mSv/年
C.30mSv/年
D.40mSv/年
E.50mSv/年
135、单项选择题 诊断肾动脉狭窄、肾动脉瘤等肾血管疾病的金标准为()
A.血管造影检查
B.CTA检查
C.MRA检查
D.DSA检查
E.MRI检查
136、判断题 慢性炎症所致的肺段或肺叶阴影常大于正常肺段肺叶。
137、单项选择题 乳腺单发性肿块表面不光滑应首先考虑()
A.乳腺纤维腺瘤
B.乳腺癌
C.急性乳腺炎
D.乳腺囊性增生病
E.以上都不对
138、配伍题 巨大右房见于()巨大左房见于()
A.二尖瓣狭窄
B.二尖瓣关闭不全
C.房间隔缺损
D.动脉导管未闭
E.Ebstein畸形
139、单项选择题 肱骨可有如下变异,应除外哪项()
A.肱骨干下1/3前内侧见一钩状突起
B.滑车上孔
C.肘髌骨
D.肱骨外上髁边缘可见与骨干平行之条状影
E.深的结间沟在侧位上如骨皮质缺损
140、单项选择题 下列组合中,错误的是()
A.骶髂关节正位——中心线向头侧倾斜15°
B.骶髂关节斜位——人体矢状面倾斜45°
C.骶髂关节左后斜位——显示右侧骶髂关节
D.腰椎左后斜位——显示左侧椎间关节
E.胸椎左后斜位——显示右侧椎间关节
141、单项选择题 关于胸部钝伤,下列知识哪项不对()
A.正位胸片正常就可除外肋骨骨折
B.胸骨骨折常合并心脏、大血管伤
C.食管破裂多发生于食管下1/3段
D.肺挫裂伤常见于有肋骨骨折者
E.气胸常见于不伴肋骨骨折的胸部钝伤
142、单项选择题 女,25岁,初产妇哺乳期,右乳腺疼痛2天,体温39℃,局部有明显压痛,诊断为急性乳腺炎,在诊断依据分析中,下列哪项是错误的()
A.哺乳期局部疼痛
B.局部有明显压痛
C.体温高
D.好发于初产妇
E.因病人局部皮肤不红,表皮温度较对侧升高不明显,诊断不能肯定
143、单项选择题 精原细胞瘤与下述何种疾病均属生殖细胞类肿瘤()
A.神经源性肿瘤
B.脂肪瘤
C.间皮囊肿
D.畸胎瘤
E.淋巴瘤
144、多项选择题 小肠Crohn病的X线征象包括()
A.鹅卵石征
B.纵行及横行溃疡
C.口疮样溃疡
D.病变呈节段性
E.病变呈连续性
145、判断题 乳腺的皮肤厚度一般为2~5mm。
146、单项选择题 中肺野是指上肺野以下至()
A.第4肋骨下缘的水平线以上
B.第4肋骨前端下缘水平线
C.第4肋骨下缘的最低点水平线
D.第4肋骨前端下缘的最低点
E.第4肋骨前端下缘的最低点水平线
147、单项选择题 下述关于“肋骨先天性畸形”,哪项错误()
A.颈肋
B.腰肋
C.肋骨发育不全
D.肋软骨钙化
E.叉状肋
148、单项选择题 在风湿性的心脏瓣膜损害中,哪项最多见()
A.主动脉瓣
B.二尖瓣
C.三尖瓣
D.肺动脉瓣
E.联合瓣膜
149、单项选择题 肺隔离症的诊断要点是()
A.X线检查发现下叶后段实性或囊性阴影
B.病人年轻无症状或有肺炎反复发作史
C.约有30%的病人合并一侧膈疝
D.主动脉造影发现供血血管
E.可合并支气管与食管或胃相连通畸形
150、多项选择题 肺内少见的良性肿瘤有()
A.错构瘤
B.软骨瘤
C.纤维瘤
D.平滑肌瘤
E.脂肪瘤
151、单项选择题 下述“肠套叠”有关说法,哪项是错误的()
A.慢性肠套叠,多为继发性
B.急性肠套叠,多为绞窄性
C.小儿肠套叠,小肠型最常见
D.成人患者,多为继发性
E.小儿套叠灌肠复位压力以60~100mmHg为宜
152、单项选择题 关于腰椎侧位片显示的叙述,错误的是()
A.全部腰椎呈侧位显示在片内
B.椎间孔投影于照片正中
C.腰大肌影像清晰
D.椎体后缘无双边征
E.椎间隙显示清晰
153、单项选择题 左心房增大一般最先向哪一方向增大()
A.向上增大
B.向右增大
C.向左增大
D.向后增大
E.左心耳增大
154、单项选择题 支气管异物常发生于()
A.左上叶
B.右上叶
C.左舌叶
D.右下叶
E.左下叶
155、单项选择题 肾结核肾内广泛播散的病理学基础为()
A.肾乳头坏死形成空洞
B.血行播散
C.病变位于肾皮质
D.病变位于肾髓质
E.经淋巴管蔓延
156、单项选择题 X线吸收量主要取决于()
A.待检组织的密度
B.待检组织的厚度
C.待检组织的形状
D.待检组织的范围
E.靶片距
157、单项选择题 下述哪组肋骨联合最常见()
A.第1、2肋骨间联合
B.第3、4肋骨间联合
C.第5、6肋骨间联合
D.第7、8肋骨间联合
E.第9、10肋骨间联合
158、多项选择题 胸部常规摄片,采用后前位的原因包括()
A.心脏靠近前胸壁
B.心脏靠近后胸壁
C.避免心脏影像放大失真
D.避免肺脏影像遮盖心脏
E.减少心脏影像对肺脏的遮盖
159、单项选择题
女,3岁,身体发育异常,如图所示,最可能的诊断为()
A.成骨不全
B.粘多糖病
C.软骨发育不全
D.佝偻病
E.侏儒症
160、单项选择题 关于X线的发生,下列哪项不对()
A.X线管阳极材料多为钨或钼
B.只有极少的电能转化为X线
C.管电压与人体吸收量成反比
D.旋转阳极可延长球管寿命
E.管电压与产生的X线穿透力成反比
161、单项选择题 孤立性肺动脉瓣狭窄的典型影像表现,错误的是()
A.轻度狭窄时,肺血管影可正常
B.左肺门影增大
C.心室收缩时,肺动脉瓣小叶呈圆顶状
D.右室增大
E.支气管动脉循环增强
162、多项选择题 支气管气相可见于()
A.周围型燕麦细胞癌
B.肺透明膜病
C.大叶性肺炎
D.结节病
E.肺水肿
163、单项选择题 胸片示肺动脉段凹陷,可除外下述哪种疾病()
A.主动脉缩窄
B.Ebstein畸形
C.法洛四联征
D.三尖瓣闭锁
E.肺动脉漏斗部狭窄
164、单项选择题 骨盆的常规摄片位置()
A.前后位
B.后前位
C.侧位
D.斜位
E.轴位
165、填空题 来自神经内分泌细胞的肺癌有_______、_____________和____________。
166、单项选择题
男,18岁,被人殴打后胸痛,结合胸片,最可能的诊断是()

A.血气胸
B.气胸
C.胸腔积液
D.肺气肿
E.肺挫伤
167、多项选择题 地中海贫血骨骼主要X线表现为()
A.骨质增生
B.骨生长紊乱
C.病理性骨折
D.铁晶体异常沉积
E.髓外造血
168、名词解释 柯莱斯(Colles)骨折
169、多项选择题 来自神经内分泌细胞的癌为()
A.不典型类癌
B.小细胞癌
C.鳞腺癌
D.腺癌
E.类癌
170、填空题 .眼眶异物X线定位通常采用______________________、_________________、_____________________、_________________和_________________等。
171、单项选择题
男,78岁,进食梗阻2月,结合图像,最可能的诊断为()

A.食管下段癌
B.贲门癌
C.贲门失弛缓
D.胃底癌
E.贲门癌侵及胃底小弯
172、单项选择题 减少和排除散射线的方法中,下列哪项错误()
A.缩小照射野
B.用金属后背盖的暗盒
C.用遮线筒或缩光器来
D.选择高电压摄影的方法
E.使用滤线栅
173、填空题 肺转移瘤需与_________、________、_________、_________、__________和__________等鉴别。
174、名词解释 游走脾
175、单项选择题 以下对于影像检查局限性的说法,哪项观点不对()
A.某些疾病,影像学无法检出
B.异病同影或同病异影
C.影像表现可与临床不同步
D.过小的病变影像检查可阴性
E.不同成像方法间无互补作用
176、单项选择题 电击伤中以哪个部位骨骼损伤最多见()
A.肩部
B.手部
C.躯干
D.膝部
E.头部
177、单项选择题 消除呼吸运动模糊正确的方法是()
A.延长时间曝光
B.增加管电压
C.屏气后曝光
D.增大物-片距
E.应用滤线栅
178、单项选择题 关于肺泡蛋白沉着症的有关叙述中错误的是()
A.弥漫密集分布的粟粒样致密影
B.肺门周围蝶翼形阴影
C.局限性肺气肿及肺不张
D.弥漫分布的网织、结节影
E.自限性疾病预后良好
179、单项选择题
女,27岁,双侧髋部疼痛,肿胀2月余,有髋部外伤史,结合图像,最可能的诊断是()
A.股骨颈骨折
B.股骨头骨折
C.慢性骨髓炎
D.慢性骨脓肿
E.骨结核
180、判断题 对移行椎辨认的一个重要价值是手术定位。
181、单项选择题 男,5岁,腹痛,黏液便并偶带血10多天,钡灌肠见乙状结肠远端有1cm×1cm大小圆形充盈缺损,边缘光滑,可活动,最可能的诊断是()
A.结肠息肉恶变
B.结肠炎
C.结肠息肉
D.结肠癌
E.结肠憩室
182、单项选择题
8岁,男孩,外伤后感左肘关节肿痛,左肘关节正侧位摄片如图,下列哪项描述错误()
A.“八”字征
B.“X”线白线不连续
C.软组织肿胀
D.左肱骨小头骺线增宽
E.以上均正确
183、单项选择题 侧位胸片上,胸骨柄后上方可见宽基底面向后的弧状致密影这是()
A.上腔静脉
B.胸膜病变
C.第1肋骨伴随影
D.第1肋软骨和无名动脉加上向后膨隆的前胸膜外线
E.前上纵隔占位性病变
184、填空题 神经纤维瘤病变主要为起源于__________的多发性神经纤维瘤,可累及________和_________。引起的症状依侵犯不同的神经有所不同,常可致____________和___________,皮肤受累主要表现为____________。
185、名词解释 短液平征
186、单项选择题 “霉菌球”是哪种疾病的影像特征()
A.曲菌病
B.隐球菌病
C.组织胞浆菌病
D.奴卡菌病
E.放线菌病
187、名词解释 小关节面综合征
188、名词解释 竹节状脊柱
189、单项选择题 消化道管壁由内向外第三层为()
A.粘膜下层
B.外膜层
C.肌层
D.粘膜层
E.内膜层
190、单项选择题 心脏右前斜位,暗盒应与身体成多少夹角()
A.15°~25°
B.45°~55°
C.55°~65°
D.35°~45°
E.25°~35°
191、填空题 美国风湿病学会修订的类风湿关节炎的诊断标准共7项_________________、___________________、___________________________、________________、____________、_____________和____________________。
192、单项选择题 经皮肾动脉腔内成形术简称()
A.PTC
B.PTRA
C.PTCA
D.PCN
E.PTA
193、多项选择题 下述多发性大动脉炎的特点,错误的是()
A.男性多见
B.多见于40岁以后发病
C.升主动脉变窄
D.降主动脉夹层动脉瘤形成
E.上肢无脉搏
194、单项选择题 下列特发性肺间质纤维化特点,错误的是()
A.进行性呼吸困难,咳嗽、痰多
B.又名Hamman-Rich综合征
C.急性型多见,慢性型少见
D.可能与免疫性疾病或遗传有关
E.胸部影像与其他弥漫性肺间质纤维化病变难以鉴别
195、单项选择题
男,15岁,左侧中指局部肿胀,无压痛,关节活动无明显异常,结合图像,最可能诊断是()
A.骨质疏松
B.内生软骨瘤
C.骨巨细胞瘤
D.骨囊肿
E.动脉瘤样骨囊肿
196、多项选择题 不属于生理排泄的造影检查是()
A.消化道钡餐造影
B.静脉肾盂造影
C.口服胆囊造影
D.子宫输卵管造影
E.四肢静脉造影
197、单项选择题 心脏右前斜位摄片,服钡的目的是观察()
A.右心房压迫食管情况
B.右心室压迫食管情况
C.左心房压迫食管情况
D.左心室压迫食管情况
E.全心压迫食管情况
198、单项选择题 胃穿透性溃疡系指溃疡侵及()
A.粘膜层
B.浆膜层
C.肌层
D.粘膜下层
E.粘膜下层和肌层
199、单项选择题 大多数的膀胱上皮性肿瘤均为恶性,细胞类型依其发病率依次为()
A.鳞癌、腺癌、移行细胞癌
B.鳞癌、移行细胞癌、腺癌
C.移行细胞癌、鳞癌、腺癌
D.腺癌、鳞癌、移行细胞癌
E.移行细胞癌、腺癌、鳞癌
200、单项选择题
女,26岁,骶髂部疼痛2年余,间歇发作,结合图像,最可能诊断是()
A.致密性髂骨炎
B.化脓性髂骨炎
C.结核性髂骨炎
D.强直性脊柱炎
E.骶髂关节退行性变
201、单项选择题 腹部平片对显示哪种肾先天性发育异常没有价值()
A.单纯异位肾
B.肾缺如
C.分叶肾
D.马蹄肾
E.侏儒肾
202、单项选择题 关于胸部后前位的图片显示,错误的是()
A.照片包括胸廓肋膈角及全部肺野
B.肩胛骨完全位于肺野外方
C.肺纹理清晰可见
D.第1~12胸椎图像清晰
E.心影边缘的肋骨隐约可见
203、判断题 奇副裂呈细线状,自右肺尖部向内、下走行至右肺门上方。
204、单项选择题 关于优质X线图像质量标准的叙述,下列说法错误的是()
A.尽量多的图像斑点
B.适当的密度
C.良好的对比度
D.较高的分辨率
E.微小的失真度
205、单项选择题 坐位或俯卧位,下颏前伸,头颅水平面与胶片呈45°,矢状面垂直胶片,中心线通过鼻前棘垂直胶片,是哪个摄片位置()
A.Water's氏位
B.Mayer's氏位
C.Schuller's氏位
D.汤氏位
E.Rhese's位
206、判断题 正常骨膜在X线片上显示一层平行于骨干的条状阴影。
207、单项选择题 化脓性骨髓炎骨包壳的形成来源于()
A.感染性肉芽组织的钙化
B.脓液的钙化
C.软组织内的异位钙化
D.骨膜产生的新骨
E.未遭破坏的皮质骨
208、单项选择题 胸部X线检查最常用的投照位置是()
A.卧位前后位
B.立位前后位
C.卧位后前位
D.立位后前位
E.立位左侧位
209、单项选择题 下面哪项是良性骨肿瘤表现()
A.骨膜反应
B.软组织肿块
C.膨胀性骨质破坏
D.生长迅速
E.骨膜三角
210、多项选择题 下列关于肾癌的影像,正确的为()
A.肾影局限性增大
B.IVP正常也不能完全除外肾癌
C.肾盂、肾盏移位
D.均有肾盂积水、肾功能降低
E.肾盂内可有充盈缺损
211、名词解释 骨折不愈合
212、单项选择题 慢性胃炎按Schindler分类法是()
A.萎缩性胃炎、增生性胃炎、肠上皮化生
B.浅表性胃炎、萎缩性胃炎、肥大性胃炎
C.浅表性胃炎、增生性胃炎、肥大性胃炎
D.萎缩性胃炎、肥大性胃炎、肠上皮化生
E.肥大性胃炎、浅表性胃炎、肠上皮化生
213、单项选择题 对激光照相机特点的描述,以下哪项不对()
A.成像分辨率与激光束宽度成反比
B.对胶片无特殊要求,凡双面药膜片均可
C.图像可任意放大、缩小
D.成像分辨率不能超过读取分辨率
E.只适用于数字信息图像
214、单项选择题 恶性肿瘤的钙化特点是()
A.钙化比较分散
B.钙化的密度比较一致
C.钙化一般位于肿块内
D.钙化的边界清楚
E.钙化形态比较规则
215、单项选择题
男,59岁,右小腿近端疼痛1年,活动障碍半年,结合图像,最可能的诊断是()
A.右胫骨结核
B.右胫骨骨转移
C.软骨肉瘤
D.骨肉瘤
E.纤维肉瘤
216、填空题 肠套叠压力整复脱套成功的标准是___________________、_________________、___________________、__________________及_____________。
217、单项选择题 空回肠良性肿瘤中以哪些常见()
A.腺癌
B.畸胎瘤
C.纤维瘤
D.平滑肌瘤
E.神经源性肿瘤
218、单项选择题 返流性食管炎的主要病因,不包括哪项()
A.食管下端括约肌功能减弱
B.膈肌裂孔钳闭作用减弱
C.食管胃之间锐角(His角)变钝或消失
D.食管排空功能及食管粘膜防御机制下降
E.吞服或误服腐蚀剂造成的损伤
219、配伍题 支气管异物可见于()食管自发破裂可见于()右上纵隔积液可见于()
A.V型征
B.上纵隔液平面影
C.右上纵隔增宽尖角征
D.纵隔压迫征
E.纵隔钟摆运动
220、单项选择题 胃癌的好发部位依次是()
A.胃小弯、贲门、胃窦
B.胃窦、胃小弯、贲门
C.贲门、胃窦、胃大弯
D.胃小弯、胃窦、胃大弯
E.胃窦、贲门、胃小弯
221、单项选择题 小儿肘关节摄片,桡骨骨干中轴线连线与肱骨小头骨骺中线不相连,应诊断为()
A.Colles骨折
B.Smith骨折
C.肱骨外髁骨骺分离
D.Monteggia骨折
E.以上都不对
222、单项选择题 下列大叶性肺炎早期影像,哪项不对()
A.局限性肺纹理稍多
B.支气管气相
C.患肺透亮度略减低
D.发生于下叶者,邻近膈肌动度减低
E.大叶性肺炎早期,影像表现缺乏特征性
223、单项选择题 下列有关颈椎椎体的描述,错误的是()
A.第1颈椎没有棘突和关节突
B.第2~7颈椎棘突末端分叉
C.第2颈椎有齿突
D.第7颈椎棘突最长
E.第7颈椎棘突末端不分叉
224、多项选择题 胰头癌低张十二指肠造影的X线征象为()
A.十二指肠曲扩大
B.十二指肠曲缩小
C.十二指肠内缘呈反“3”字征
D.十二指肠内缘双边征
E.十二指肠内侧呈锯齿状
225、单项选择题
男,6岁,左髋关节跛行2月余,根据所示图像,最可能的诊断是()
A.正常表现
B.左髋结核
C.左髋关节炎
D.左髋半脱位
E.左股骨头缺血坏死
226、单项选择题 管电流的改变,一般是()
A.调节灯丝初级电路中的电阻
B.调节电源电压
C.调节稳压器的输入电压
D.调节稳压器的输出电压
E.调节管电压
227、多项选择题 胃溃疡特殊表现包括()
A.胃窦部溃疡
B.线形溃疡
C.巨大型溃疡
D.胼胝性溃疡
E.穿透性溃疡
228、单项选择题 充血性心肌病的典型X线表现是()
A.右心房和右心室增大
B.右心室增大
C.左心室、右心室增大
D.左心室增大
E.左心房和右心室增大
229、单项选择题 肺部X线表现为锁骨下区纤维条索状阴影,属于哪一型肺结核()
A.原发性肺结核
B.血行播散型肺结核
C.浸润型肺结核
D.慢性纤维空洞型肺结核
E.以上都不是
230、单项选择题 肺部炎症导致肺组织发生坏死出血、钙盐沉着,最终导致结果是()
A.渗出
B.增殖
C.钙化
D.纤维化
E.空洞
231、填空题 肿瘤的TNM分期,T代表_______,N代表_______,M代表_______。
232、单项选择题 恶性肿瘤钙化的特点为()
A.钙化比较分散
B.钙化的密度比较一致
C.钙化的边界清楚
D.钙化一般位于肿块内
E.钙化形态比较规则
233、多项选择题 恶性胃溃疡具有的征象是()
A.放射状粘膜纠集
B.腔外龛影
C.粘膜杵样中断
D.环堤
E.胃壁蠕动消失
234、配伍题 属于肠系膜上动脉分支的有()属于肠系膜下动脉分支的有()
A.胃左动脉
B.腰动脉
C.肾动脉
D.左结肠动脉
E.右结肠动脉
235、单项选择题 气管隆突是指气管()
A.分叉部
B.分叉部偏左侧
C.分叉部上壁
D.分叉部右壁
E.分叉部下壁
236、多项选择题 无肺门增大而只表现为肺门密度增高者()
A.百日咳
B.麻疹肺炎
C.慢性支气管炎
D.中央型肺癌
E.心肺病变
237、单项选择题 大剂量静脉尿路造影,肾盏、肾盂、输尿管达到饱和程度的时间是注射开始后()
A.6~10分钟
B.10~15分钟
C.15~30分钟
D.45分钟
E.30~60分钟
238、单项选择题 关于阴性对比剂的叙述,错误的是()
A.空气是阴性对比剂
B.空气在器官内吸收较快
C.空气易产生气体栓塞
D.二氧化碳的溶解度较大
E.二氧化碳不易产生气体栓塞
239、单项选择题 下列哪项属两次曝光的摄影体位()
A.足前后位
B.足侧位
C.足内斜位
D.足外斜位
E.全足正位
240、单项选择题 下述哪种疾病的特征影像是反S征()
A.右上肺中央型肺癌
B.右下肺周围型肺癌
C.右下肺肺脓肿
D.左下叶背段结核瘤
E.左上肺错构瘤
241、单项选择题 肺转移瘤中两肺呈多发或单发的较大结节及肿块见于()
A.甲状腺癌转移
B.肝癌转移
C.胰腺癌转移
D.绒毛膜上皮癌转移
E.精原细胞瘤转移
242、填空题 机化性肺炎,在体层或过度曝光的照片上,常可见病灶中有小的不规则的透亮区,代表有________和_____________。
243、单项选择题 下列哪一种疾病,一般不出现小叶间隔线()
A.急性高原反应
B.右心衰
C.左心衰
D.肺水肿
E.风湿性二尖瓣狭窄
244、单项选择题 溃疡型食管癌的典型表现是()
A.牵引性憩室
B.食管节段性环行狭窄
C.食管内充盈缺损
D.龛影
E.食管全程扩张,末端呈鼠尾状
245、单项选择题 胸部摄片高千伏摄影是指()
A.≥90kV
B.≥100kV
C.≥110kV
D.≥120kV
E.≥130kV
246、单项选择题 石棉肺的并发症中较少见的是()
A.支气管肺炎
B.支气管扩张
C.肺结核
D.节段性肺不张
E.胸膜间皮瘤
247、单项选择题 当瓦氏位投照时,听眦线与暗盒夹角应为()
A.0°
B.45°
C.23°
D.15°
E.37°
248、单项选择题 在早期周围型肺癌中,“小泡征”常见于()
A.腺癌
B.大细胞癌
C.鳞癌
D.小细胞癌
E.类癌
249、单项选择题 颈椎右前斜位片,可显示()
A.右侧椎间孔
B.左侧椎间孔
C.右侧横突孔
D.左侧横突孔
E.椎孔
250、单项选择题 男,25岁,股骨颈骨折金属物内固定后复查,如了解骨折对位、对线情况,最佳方法是()
A.X线透视
B.X线平片
C.CT
D.CT三维重建
E.MRI
251、单项选择题 X线片示右上纵隔有一梭形肿块影,边缘呈波浪状,内含钙化斑块影,气管受压被推向左侧,随吞咽动作上下移动,首先应考虑的是()
A.胸腺瘤
B.畸胎瘤
C.甲状腺肿瘤
D.支气管囊肿
E.恶性淋巴瘤
252、单项选择题 下列哪一个肿瘤来源于原始间叶组织()
A.骨巨细胞瘤
B.骨样骨瘤
C.骨软骨瘤
D.软骨肉瘤
E.尤文肉瘤
253、问答题 肺泡癌的X线表现有哪些?
254、填空题 输尿管结石易停留在生理狭窄处,即_________________、____________________及______________________。
255、单项选择题
进展期胃癌引起胃窦狭窄、壁僵硬、粘膜皱襞固定,X线分型应属于()

A.溃疡型
B.蕈伞型
C.浸润型
D.浅表型
E.混合型
256、单项选择题 骨瘤Gardner综合征包括()
A.骨瘤、软组织肿瘤、结肠憩室
B.骨样骨瘤、软组织肿瘤、结肠息肉
C.骨样骨瘤、软组织肿瘤、结肠憩室
D.骨瘤、软组织肿瘤、结肠息肉
E.骨纤维异常增殖症、软组织肿瘤、结肠息肉
257、单项选择题 唐氏(Down)综合征,又称()
A.21-三体综合征
B.奴南综合征
C.杜纳综合征
D.克氏综合征
E.5p综合征
258、单项选择题 关于“Winberger征”,下列哪项说法不对()
A.是“早发型先天性骨梅毒”特征影像
B.属“梅毒性干骺炎”
C.双侧胫骨上端外侧
D.对称性骨质破坏
E.一般在出生后6个月内出现
259、单项选择题 关于切线投影的叙述,错误的是()
A.将中心线从被检部位边缘通过,称切线投影
B.此法可使相邻部分X线吸收差异减小
C.对于某些边缘凸出,可采用此法
D.对某些边缘凹陷,可采用此法
E.对某些表面病灶,可采用此法
260、单项选择题
女,39岁,右上腹部隐痛,有慢性胆囊炎史,曾经做过口服胆囊造影,胆囊显影差,X线检查如图,最可能的诊断是()

A.急性胆囊炎
B.慢性胆囊炎
C.胆囊结石
D.瓷样胆囊
E.胆囊结核
261、单项选择题 下列关于“食管憩室”的描述错误的是()
A.本病多为后天性
B.病因分内压性、牵引性两种
C.牵引性憩室口部较宽
D.内压性憩室呈圆形或乳头状
E.憩室表面无粘膜皱襞
262、多项选择题 原发性甲状旁腺功能亢进发生骨质破坏的主要原因是()
A.骨质吸收加速
B.钙、磷大量丢失
C.骨样组织成骨障碍
D.纤维结缔组织取代成骨组织
E.成骨细胞活力下降
263、单项选择题 纤维性病变的胸片表现特点是()
A.云絮状浅淡模糊影
B.条索状密度增高影
C.边缘清楚致密影,密度比肋骨低
D.边缘清楚致密影,密度比肋骨高
E.肺透亮度增加,局部肺纹理缺如
264、单项选择题 X线机的分类下列哪项不正确()
A.用于透视、摄影和特殊检查的X线机属诊断用X线机
B.按机械结构和运输方式可分为携带式、移动式和固定式
C.用于疾病治疗的属于治疗用X线机
D.按机器的体积分为大、中、小型
E.按机器应用特点分为综合用X线机和专用X线机
265、多项选择题 脂肪瘤多见于下述哪些部位()
A.颈部
B.肩部
C.背部
D.臀部
E.肾周
266、单项选择题 关节结核的关节面破坏首先发生在()
A.骨骺
B.骨骺板
C.干骺端
D.关节持重部位
E.关节非持重部位,滑膜附着处
267、单项选择题 关于骨纤维结构不良的X线表现,哪项除外()
A.骨性狮面
B.单房或多房性囊状透光区
C.囊内有磨砂玻璃样钙化
D.胫骨囊性病变周围常有骨硬化
E.囊性病变见于颅面骨
268、单项选择题 风湿性心脏病单纯性二尖瓣狭窄,X线定性诊断的依据是()
A.二尖瓣型心脏
B.左心房高度增大
C.左房左室均增大
D.左房增大,左室不大
E.左,右心室均增大
269、判断题 肺动静脉瘘基本病理改变是扩张的动脉经过菲薄囊壁的动脉瘤囊直接通入扩张的静脉。
270、多项选择题 下列有关色素性胆结石描述中,错误的有()
A.主要成分为胆红素钙
B.胆固醇含量达70%以上
C.呈泥沙样或颗粒状
D.剖面常呈多面体影
E.剖面见分层状、结石多发
271、单项选择题 关于骨岛,哪项是错误的()
A.松质骨内局限性骨小梁增多,增粗
B.边界清楚的致密影
C.长轴与较粗骨小梁走行方向一致
D.直径一般只有数厘米
E.以上都不是
272、单项选择题 下列哪种疾病,无"肺动脉高压"表现()
A.肺心病
B.Ebstein畸形
C.二尖瓣狭窄
D.二尖瓣关闭不全
E.进行性全腺泡性肺气肿
273、单项选择题 骨软骨瘤典型X线特征是()
A.瘤体可随骨骺生长而移至骨干
B.背向关节生长的骨性突起
C.瘤体与载瘤骨相连续
D.瘤帽不规则钙化
E.以上都是
274、单项选择题 关于碘过敏反应的描述错误的是 ( )
A.检查室应备足抢救设备和药品
B.造影前用抗过敏药可减少碘过敏发生
C.碘过敏试验阴性则不会发生碘过敏反应
D.多见于血管内给予含碘造影剂
E.用同一批号含碘造影剂也要做碘过敏试验
275、单项选择题 成人正常视神经孔直径约为()
A.0.3cm
B.0.5cm
C.0.7cm
D.0.6cm
E.0.2cm
276、单项选择题 肺结核空洞一般为()
A.薄壁空洞
B.厚壁空洞
C.虫蚀样空洞
D.以上均可
E.以上均不可
277、问答题 痛风的X线表现有哪些?
278、判断题 阿米巴结肠炎形成阿米巴瘤,可呈偏心性或不均称的肠管狭窄,与正常肠管之间无明显界限。
279、单项选择题 椎体与椎弓愈合的时间,一般为()
A.2~3岁
B.4~8岁
C.8~13岁
D.14~16岁
E.16~25岁
280、判断题 先天性髋内翻一般出生时即有典型的X线改变。
281、名词解释 抗维生素D型维生素D缺乏症
282、单项选择题 左前斜位,心脏后缘自上而下依次为()
A.左心房、右心室
B.左心房、右心房
C.右心房、左心室
D.右心房、右心室
E.左心房、左心室
283、单项选择题 关于房间隔缺损,X线检查见不到()
A.右心增大
B.肺门舞蹈
C.左心室增大
D.主动脉结缩小
E.肺动脉段突出
284、名词解释 环堤
285、判断题 食管膈壶腹是正常的生理现象,表现为膈上4~5cm一段食管,管腔扩大呈椭圆形。
286、问答题 骨缺血坏死常发生于哪些部位?X线共同的特征是什么?
287、名词解释 游走肾
288、判断题 成人额骨垂直部、颞骨鳞部和枕骨鳞部较薄,也有板障结构。
289、单项选择题
男,65岁,咳嗽,右胸痛,痰中带血丝1周。胸部后前位片示:右肺门影增大,右上肺大片状致密影,水平裂呈反“S”样改变。
阻塞的支气管()
A.右主支气管
B.右肺上叶支气管
C.右肺上叶前段支气管
D.右肺中叶支气管
E.右肺上叶尖后段支气管
290、单项选择题 头颅凹陷性骨折,应首选哪种投照体位()
A.切线位
B.头颅侧位
C.汤氏位
D.颅底位
E.头颅后前位
291、单项选择题 下述骨骼疾病可引起胸椎旁软组织肿胀,哪项除外()
A.强直性脊柱炎
B.胸椎结核
C.嗜酸性肉芽肿
D.胸椎转移瘤
E.神经鞘瘤
292、判断题 结核性空洞壁外面整齐清楚,空洞内常无或仅有少量液体。
293、问答题 盔甲心
294、判断题 在儿童,若无肺门淋巴结结核存在,则支气管扩张是导致下叶肺不张的最常见原因。
295、单项选择题 第1斜位又称为()
A.右后斜位
B.左后斜位
C.左侧位
D.右前斜位
E.左前斜位
296、多项选择题 下列哪些属于直接引入法造影()
A.胃肠钡餐造影
B.口服胆囊造影
C.逆行肾盂造影
D.静脉肾盂造影
E.子宫输卵管造影
297、判断题 出血聚集在纵隔组织间隙即形成纵隔血肿。
298、名词解释 海绵窦综合征
299、单项选择题 依发生部位,股骨近端骨折分型不包括()
A.粗隆间骨折
B.股骨颈骨折
C.股骨髁上骨折
D.大粗隆骨折
E.小粗隆骨折
300、单项选择题 下列“十二指肠”解剖特点,错误的是()
A.憩室好发于降部
B.十二指肠各段均为羽毛状皱襞
C.球部蠕动为整体性收缩
D.十二指肠乳头位于十二指肠降部内侧
E.岬部位于降部内侧