时间:2025-09-24 02:47:29


1、单项选择题 X线透视在骨关节疾病诊治中的应用是()
A.金属异物的寻找和定位及外伤性骨折、脱位的整复
B.显示青枝骨折优于摄片
C.对部位厚、层次多的结构显示更佳
D.显示骨小梁结构
E.显示低密度异物和软组织层次
2、单项选择题 眼眶外侧壁由下列哪些结构组成()
A.额骨眶板、蝶骨小翼
B.上颌骨额突、蝶骨和筛板
C.颧骨、颞骨
D.颧骨、蝶骨
E.额骨眶突、蝶骨大翼
3、多项选择题 引起骨质破坏的病变有()
A.骨折
B.骨结核
C.骨髓炎
D.纤维异样增殖
E.骨髓瘤
4、多项选择题 卡氏肺囊虫病的特点有()
A.常为双侧性
B.白细胞增多显著
C.常伴有胸腔积液
D.常见于胸腺发育不全或其他原因所致的免疫力低下患者
E.抗生素无效
5、单项选择题 关于对比剂,以下叙述错误的是()
A.对比剂都不能入血
B.阴性对比剂原子序数低,密度小
C.阳性对比剂原子序数高,密度大
D.阴性对比剂和阳性对比剂可混合使用
E.对比剂均无毒
6、单项选择题 左前斜位,心脏后缘自上而下依次为()
A.左心房、右心室
B.左心房、右心房
C.右心房、左心室
D.右心房、右心室
E.左心房、左心室
7、单项选择题 影响X线照片清晰度的观察条件,不包括()
A.观片灯亮度
B.照明用电源电压
C.肉眼的MTF
D.室内照明条件
E.环境明暗程度
8、单项选择题 关于腰椎前后位摄片的叙述,下列哪项是错误()
A.常规位置
B.必须使用滤线器
C.常与侧位片一同摄取
D.X线管阴极端必须对上部腰椎
E.取深呼气后屏气曝光
9、多项选择题 器官轴型胃扭转的X线表现为()
A.胃大弯上翻构成胃的顶缘
B.贲门位置低,食管与胃黏膜纹呈十字交叉
C.两个胃泡,两处液平
D.十二指肠环高于幽门
E.胃形态呈斜置的"大虾"状
10、单项选择题 早期胃癌常见的是()
A.Ⅰ型
B.Ⅱa型
C.Ⅱb型
D.Ⅱc型
E.Ⅲ型
11、单项选择题
女婴,出现持续性呕吐,腹胀,如图所示,最可能的诊断为()
A.肠梗阻
B.肠扭转
C.肠闭锁
D.肠旋转不良
E.肠穿孔
12、单项选择题 胸部CR摄影与常规X线摄影相比,CR摄影对下列哪项信息显示较好()
A.肺间质纤维化
B.间质性肺炎
C.肺泡病变
D.肺结节性病变
E.以上都不是
13、多项选择题 属于常染色体显性遗传的疾病有()
A.软骨发育不全
B.颅锁骨发育不全
C.皮肤骨膜肥厚症
D.马方(Marfan)综合征
E.重型石骨症
14、多项选择题 眶距过窄,常见于下列哪些疾病()
A.额缝早闭
B.冠状缝早闭
C.矢状缝早闭
D.先天愚型
E.端脑发育异常
15、单项选择题 “急性化脓性骨髓炎”最好发于()
A.股骨
B.尺骨
C.胫骨
D.跟骨
E.桡骨
16、单项选择题 下述单纯煤肺影像特点,错误的是()
A.类圆形小阴影
B.不规则形小阴影
C.常有大阴影
D.罕有胸膜斑
E.肺间质纤维化
17、单项选择题 分析胸片时一般不考虑()
A.胸廓
B.肺
C.膈
D.胸膜
E.腹膜
18、单项选择题 关于冠状动脉解剖的描述哪项不正确()
A.心脏正位片上左冠窦向左膨出,右冠窦向右膨出,无冠窦位于两窦之间的前壁
B.左冠状动脉主干走行于肺动脉干和左心耳之间,至左房室沟处分为两支
C.左前降支阻塞时,由斜角支建立侧支循环由右冠状动脉供血给左室
D.右冠状动脉窦房结支通常为第2分支,走向后上方,供血给心脏系统的重要部位
E.约18%的人右冠状动脉远侧段缺如
19、单项选择题 常见的心包疾病主要有()
A.心包钙化
B.心包肥厚
C.心包腔积液
D.缩窄性心包炎
E.心包肿瘤
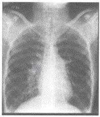
20、单项选择题 有关胆道T形管造影,下列错误的是()
A.30%复方泛影葡胺20ml
B.病人仰卧,头高足低位
C.抽出10ml胆汁与对比剂混合后注入
D.抽出胆管内空气及胆汁以保持负压
E.造影须在透视下进行
21、多项选择题 葡萄球菌肺炎的X线征象是()
A.浸润灶
B.肺气囊
C.结节影
D.脓胸或脓气胸
E.增殖灶
22、单项选择题 下列球形病灶的钙化特征中,哪项是不正确的()
A.结核球-斑点状或环层状钙化
B.肺炎性假瘤-粗钙化斑点
C.肉芽肿-成层形钙化
D.错构瘤-爆米花样钙化
E.矽肺-蛋壳样钙化
23、单项选择题 氟骨症的主要X线表现为()
A.关节改变
B.骨质疏松
C.骨间断性生长痕
D.骨质软化
E.骨质硬化
24、单项选择题
女,6岁,外伤后左肘部肿痛,活动受限,外髁局部压痛,X线摄片如图,最可能的诊断是()
A.左肱骨小头骨骺损伤
B.左肱骨髁上骨折
C.左肱骨外上髁骨骺损伤
D.左肱骨内髁骨骺损伤
E.左肱骨外髁骨骺损伤
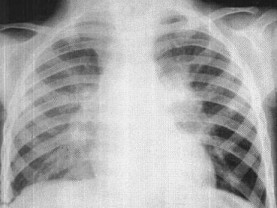
25、单项选择题
男,38岁,感胸闷气逼2周余,近来加剧,不发热,X线检查如图,最可能的诊断是()

A.右侧肺不张
B.右侧胸膜肥厚
C.右侧大量胸腔积液
D.右侧中量胸腔积液
E.右侧气胸
26、单项选择题
女,20岁,上腹隐痛1年余,纳差,结合图像,最可能的诊断为()
A.正常表现
B.胃癌
C.肠系膜上动脉压迫综合征
D.胃炎
E.十二指肠占位
27、单项选择题 导致X线照片运动模糊的因素,可暂时控制的是()
A.呼吸
B.心脏搏动
C.胃肠蠕动
D.痉挛
E.血流
28、多项选择题 颞骨骨折按骨折线与岩锥长轴的关系分为以下几种类型()
A.横行骨折
B.撕脱骨折
C.混合性骨折
D.纵行骨折
E.粉碎骨折
29、单项选择题 下列关于“胃窦炎”描述,错误的是()
A.胃窦粘膜粗大
B.粘膜皱襞斜行、横行或交叉排列紊乱
C.肩胛征
D.胃窦张力增高
E.充盈像时,胃窦轮廓呈细齿状
30、单项选择题 颅底是哪种成骨形式()
A.膜内化骨
B.混合化骨
C.软骨内化骨
D.直接化骨
E.间接化骨
31、多项选择题 关于X线质的叙述,正确的是()
A.X线的硬度
B.X线的强度
C.X线的波长越短,X线质越硬
D.常以管电压(kV)值间接表示X线质
E.常以管电流(mA.值间接表示X线质
32、单项选择题 不属于直接引入法造影的是()
A.胃肠钡餐造影
B.钡灌肠造影
C.逆行肾盂造影
D.静脉肾盂造影
E.子宫输卵管造影
33、单项选择题
患儿,男,1天,生后呼吸困难,羊水见胎粪污染,如图,最可能的诊断为()
A.新生儿肺炎
B.新生儿湿肺
C.新生儿肺出血
D.新生儿呼吸窘迫综合症
E.胎粪吸入综合征
34、多项选择题 以下哪些原因可引起脑血管形态的改变()
A.肿瘤
B.脑血管畸形
C.动脉瘤
D.梗死
E.出血
35、单项选择题
如图所示,图中数字1所代表的结构为()
A.冠状缝
B.人字缝
C.矢状缝
D.颞骨岩部
E.枕骨骨折线
36、多项选择题 肝胆显像的临床应用价值()
A.肝移植的监测
B.胆管闭锁及新生儿肝炎的鉴别诊断
C.肠胃反流的诊断
D.黄疸的鉴别诊断
E.胆管旁路手术后检测引流异常及梗阻部位的定位
37、多项选择题 关于结肠癌的X线表现,哪些是正确的()
A.腔内不规则龛影
B.腔内充盈缺损
C.肠腔狭窄,局限于一侧或呈环形
D.龛影周围宽窄不一的环堤
E.病变肠壁僵硬
38、单项选择题 下列关于肺部组织胞浆菌病影像特点,正确的是()
A.常侵犯胸膜、胸壁,形成瘘道
B.中下肺斑点状、云雾状影
C.两肺粟粒样病灶
D.空洞内有“霉菌球”
E.双肺磨砂玻璃样改变
39、单项选择题 胸部平片上,下列哪项不属于左心室扩大的表现()
A.可呈靴形心
B.反向搏动点上移
C.心尖圆钝、上翘
D.心尖向左下方延长
E.左前斜位,心后间隙变小、消失
40、多项选择题 外照射防护的基本方法是()
A.固有防护
B.时间防护
C.距离防护
D.个人防护
E.屏蔽防护
41、单项选择题 胸部摄影,FFD选用180cm的原因是避免因()
A.左右径较窄、前后径较薄引起的影像放大
B.左右径较厚、前后径较宽引起的影像放大
C.左右径较短、前后径较长引起的影像放大
D.左右径较扁、前后径较窄引起的影像放大
E.左右径较宽、前后径较厚引起的影像放大
42、单项选择题 肥胖病人心影呈()
A.滴状心
B.横位心
C.靴形心
D.主动脉型心
E.梨形心
43、多项选择题 溃疡型胃癌的X线征象包括()
A.僵硬
B.放射状黏膜纠集
C.项圈征
D.裂隙征
E.环堤
44、单项选择题 在平片上,哪种病理变化可使骨的密度增高()
A.骨质软化
B.骨膜增生
C.骨质疏松
D.骨质破坏
E.骨膨胀性改变
45、单项选择题 下述原发性肺结核病理特征,错误的是()
A.常有钙化
B.可继发支气管扩张
C.98%患者可自愈,愈后不留纤维瘢痕
D.属渗出性、增殖性病变
E.少数患者可有胸腔积液
46、单项选择题
女,39岁,右上腹部隐痛,有慢性胆囊炎史,曾经做过口服胆囊造影,胆囊显影差,X线检查如图,最可能的诊断是()
A.急性胆囊炎
B.慢性胆囊炎
C.胆囊结石
D.瓷样胆囊
E.胆囊结核
47、单项选择题 股骨颈骨折观察前后移位时,理想摄影体位是()
A.髋关节正位
B.侧卧髋关节侧位
C.股骨颈前后位
D.髋关节侧斜位
E.股骨颈仰卧水平侧位
48、单项选择题 食管吞咽充盈时宽度可达()
A.1~2cm
B.2~3cm
C.3~4cm
D.0.5~1cm
E.6~8cm
49、单项选择题 摄股骨头正位片时,投照中心应定在()
A.股动脉搏动点下5cm
B.股动脉搏动点上5cm
C.双侧髂前上嵴连线中点
D.双侧髂嵴连线中心
E.股动脉搏动点
50、单项选择题 下述室间隔缺损的X线表现,错误的是()
A.缺损小者,可无异常
B.左心房增大
C.左右心室扩大
D.肺动脉段突出
E.主动脉结增大
51、多项选择题 肺间质纤维化可见于()
A.高原性肺水肿
B.Hamman-Rich综合征
C.尘肺
D.空调肺
E.硬皮病
52、多项选择题 下列摄片组合,中心线选用错误的是()
A.骶椎-向头侧倾斜15°~20°
B.尾椎-向足侧倾斜15°
C.骶椎-向足侧倾斜5°~15°
D.腰骶关节-向头侧倾斜15°~20°
E.骶髂关节-向头侧倾斜5°~10°
53、单项选择题 心脏摄影时的呼吸方式是()
A.平静呼吸下曝光
B.平静呼吸下屏气曝光
C.深吸气后屏气曝光
D.深呼气后屏气曝光
E.均匀缓慢浅呼吸中曝光
54、单项选择题 下列关于“霍奇金病”骨质改变,哪项错误()
A.可有椎旁软组织肿块
B.可由硬化型向溶骨型转变
C.放疗后,可由溶骨型向硬化型转变
D.椎体可呈硬化、膨大改变
E.肋骨溶骨型者不伴骨膨胀
55、单项选择题 下列结构中,哪一种结构无“血脑屏障”()
A.中脑
B.大脑
C.丘脑
D.神经垂体
E.小脑
56、多项选择题 早期胃癌浅表型(Ⅱ型)的X线表现为()
A.肿瘤呈类圆形凸向胃腔,高度超过5mm
B.肿瘤表浅、平坦,沿黏膜皱襞及皱襞下层生长
C.形态不规则,多数病变边界清楚
D.三个亚型隆起与凹陷均不超过5mm
E.双重法及压迫法呈不规则颗粒状杂乱影
57、单项选择题 在胸部X线诊断中,错误的是()
A.左心室增大——左前斜摄片
B.中叶综合征——侧位摄片
C.肺结核——前弓位摄片
D.肺气肿——呼气时摄片
E.液气胸——卧位摄片
58、单项选择题
男,23岁,右股骨下段肿胀、疼痛伴发热2个月,摄片如图所示,最可能的诊断是()
A.急性化脓性骨髓炎
B.溶骨性骨肉瘤
C.尤文肉瘤
D.组织细胞增生症
E.以上均不是
59、单项选择题 继发性肺结核以渗出浸润为主型的X线表现,下列哪项不正确()
A.散在或较广泛的支气管播散灶
B.肺门淋巴结常增大
C.可见薄壁、张力和纤维空洞
D.病灶为斑片状或云絮状
E.病多位于两肺锁骨上、下区域
60、多项选择题 影响X线强度的因素是()
A.靶物质
B.管电压
C.管电流
D.空间电荷
E.高压波形
61、多项选择题 胸部常规摄片,采用后前位的原因包括()
A.心脏靠近前胸壁
B.心脏靠近后胸壁
C.避免心脏影像放大失真
D.避免肺脏影像遮盖心脏
E.减少心脏影像对肺脏的遮盖
62、单项选择题 蒙泰贾(Monteggia)骨折是指()
A.尺骨上1/3骨折,合并桡骨小头脱位
B.第1掌骨基底部骨折,合并掌腕关节脱位
C.桡骨远端距远端关节面2.5cm以内的骨折,常伴远侧断段向背侧倾斜
D.桡骨远端2~3cm以内的骨折,常伴远侧断段向掌侧倾斜
E.桡骨下1/3的骨折,合并尺骨小头脱位
63、单项选择题
女,8岁,外伤后致右胫骨骨折,如图所示,下列描述正确的是()
A.对位好,对线差
B.对位差,对线好
C.对位对线好
D.对位对线差
E.以上均不正确
64、单项选择题 X线平片不能显示的异常征象是()
A.肾区高密度钙化影
B.肾囊肿
C.肾轮廓改变
D.膀胱区钙化影
E.输尿管钙化影
65、多项选择题 肺上沟瘤侵犯臂丛神经可出现的症状为()
A.知觉丧失
B.运动障碍
C.咽喉感觉丧失
D.呼吸及吞咽困难
E.肩背部和上肢疼痛
66、单项选择题 关于骨岛,哪项是错误的()
A.松质骨内局限性骨小梁增多,增粗
B.边界清楚的致密影
C.长轴与较粗骨小梁走行方向一致
D.直径一般只有数厘米
E.以上都不是
67、单项选择题 关于“真菌性食管炎”,下列描述哪项不正确()
A.多为白色念珠菌感染
B.主要侵犯食管中上段
C.常有胸骨后疼痛和进食梗阻
D.轻者粘膜增粗,呈串珠状,重者偶有“鹅卵石征”
E.主要侵犯食管中下段
68、单项选择题 在引起颅骨破坏的疾病中,下列哪种最常见()
A.脑膜瘤
B.血管瘤
C.胶质瘤
D.多发性骨髓瘤
E.眶内肿瘤
69、单项选择题
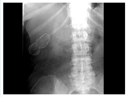
男,35岁,左侧腹痛半年,阵发性。结合图像,最可能的诊断为()
A.正常肠圈
B.十二指肠炎
C.球部溃疡
D.降段憩室
E.水平段憩室
70、单项选择题 关于下列X线解剖的描述,哪项是错误的()
A.一般情况下,左肺门比右肺门位置高
B.心胸比例为0.5
C.上腔静脉通过右肺动脉背侧
D.左主支气管比右主支气管长
E.气管分叉部在右肺动脉背侧
71、单项选择题 DR与CR相比()
A.时间分辨力和空间分辨力均不足
B.时间分辨力好,空间分辨力不足
C.时间分辨力不足,空间分辨力好
D.时间分辨力和空间分辨力均较高
E.均可进行透视
72、单项选择题 确定泌尿系统先天性发育异常的主要手段是()
A.尿常规
B.影像学检查
C.血液检查
D.DNA检测
E.激素水平检测
73、单项选择题 “贲门失弛缓症”的造影表现,哪项不正确()
A.食管明显扩张,并迂曲、延长
B.食管蠕动减弱、消失
C.钡剂通过障碍,服解痉剂可缓解
D.食管末端截断性狭窄、表面不平
E.引起食管炎改变
74、单项选择题 早期胃癌是指()
A.癌灶直径在2.0cm以内
B.癌灶局限于黏膜或黏膜下层
C.癌灶边缘光整
D.癌灶无转移且直径小于1.5cm
E.未见半月征
75、多项选择题 普大型心脏多见于()
A.大量心包积液
B.风湿性多瓣膜损害
C.严重心肌病
D.房间隔缺损
E.室间隔缺损
76、单项选择题 食管中下段局限性不规则收缩,称为()
A.第一蠕动波
B.第二蠕动波
C.第三收缩波
D.第四收缩波
E.第五收缩波
77、单项选择题 有关环枢关节的描述,错误的是()
A.正常儿童齿状突至环椎前弓距离小于4.0mm
B.正常成人齿状突至环椎前弓距离为2.5~4.0mm
C.X线检查不能诊断半脱位
D.环枢关节半脱位可由齿状突发育畸形引起
E.MR检查有助于观察邻近结构的改变
78、单项选择题 下列关于左心室增大的描述,错误的是()
A.高血压可致流出道增大
B.二尖瓣关闭不全可致流入道增大
C.流入道的增大使左心室向后上增大
D.流出道的增大使左心室向左及向下增大
E.多数情况下先流入道增大,再流出道增大
79、单项选择题 以下正常食管X线解剖的说法,哪项不对()
A.始于颈6椎体水平
B.止于胸11椎体水平
C.通常分颈段、胸段、腹段
D.食管粘膜纹与胃相似
E.青年人有三个生理压迹
80、单项选择题 关于尤因肉瘤的表述,错误的是()
A.好发年龄为5~15岁
B.20岁以前好发于干骺端和骨干,20岁以后好发于扁骨
C.全身症状常似骨感染.如高热、白细胞增多
D.一般不发生骨骼和肺的转移
E.肿瘤对放射线极为敏感
81、单项选择题 椎体与椎弓愈合的时间,一般为()
A.2~3岁
B.4~8岁
C.8~13岁
D.14~16岁
E.16~25岁
82、单项选择题 右心室增大顺序一般为()
A.后-前
B.后-左上
C.前-左上
D.前-左上-后
E.左上-前
83、单项选择题 下列哪项不是良性溃疡的X线征象()
A.项圈征
B.狭颈征
C.肩胛征
D.放射状粘膜纠集
E.溃疡口部粘膜线
84、单项选择题 返流性食管炎的主要病因,不包括哪项()
A.食管下端括约肌功能减弱
B.膈肌裂孔钳闭作用减弱
C.食管胃之间锐角(His角)变钝或消失
D.食管排空功能及食管粘膜防御机制下降
E.吞服或误服腐蚀剂造成的损伤
85、多项选择题 高千伏摄片特点的叙述,正确的是()
A.获得层次丰富的X线照片
B.缩短曝光时间,减少被照体移动模糊
C.减少管电压,延长X线管寿命
D.散射线减少,照片对比度较高
E.有利于病人防护
86、单项选择题 关于踝关节正位叙述错误的是()
A.被检侧下肢伸直且稍内旋,足尖向上
B.内、外踝连线中点上1cm置于照射野中心
C.中心线对准内、外踝连线中点
D.照片显示踝关节面成切线位
E.胫腓联合间隙不超过0.5cm
87、单项选择题 固定阳极X线管的阳极结构组成正确的是()
A.靶面、阳极柄、阳极帽
B.阳极头、转子、阳极帽
C.阳极头、阳极柄、阳极帽
D.靶面、转子、阳极帽
E.靶面、钼杆、阳极帽
88、多项选择题 腹膜腔肿瘤X线腹部平片检查时可表现为()
A.腹腔积液
B.部分脏器受压移位
C.腹腔软组织密度肿块
D.异常钙化斑
E.肠壁增厚
89、单项选择题 肺结核空洞一般为()
A.薄壁空洞
B.厚壁空洞
C.虫蚀样空洞
D.以上均可
E.以上均不可
90、单项选择题 左心衰竭主要X线表现()
A.肺淤血
B.胸膜增厚或产生少量积液
C.心脏房室增大
D.肺水肿
E.以上都是
91、单项选择题 下列哪种检查无法显示左房黏液瘤的大小及形状()
A.CT
B.MRI
C.X线平片
D.心血管造影
E.超声心动图
92、单项选择题 视神经孔后前轴位摄片,矢状面与台面呈()
A.33°
B.43°
C.53°
D.63°
E.73°
93、单项选择题 关于对比剂应具备的条件,错误的是()
A.与人体组织密度相近
B.无毒性,副作用少
C.理化性能稳定
D.易于吸收与排泄
E.使用方便
94、单项选择题 颈椎前后位标准影像显示,以下错误的是()
A.第3~7颈椎及第1胸椎显示于照片正中
B.颈椎骨质、椎间隙显示清晰,钩椎关节不应在正位显示
C.下颌骨显示于第2、3颈椎间隙高度
D.颈椎棘突位于椎体正中,横突左、右对称显示
E.第一肋骨及颈旁软组织包括在照片内
95、单项选择题 第三蠕动波见于()
A.食管静脉曲张
B.食管癌
C.老年人及食管贲门失弛缓症患者
D.食管憩室
E.以上都不是
96、单项选择题 关于"颈干角",下列观点哪项不正确()
A.1岁幼儿,正常值145°左右
B.10岁儿童,正常值为138°左右
C.成人,正常值125°左右
D.股骨骨干纵轴与股骨颈纵轴的夹角
E.骨盆骨折时,颈干角变小
97、多项选择题 颅底凹陷症采用的测量方法有()
A.Chamberlain线
B.McGregor线
C.二腹肌沟线
D.外耳孔高度指数
E.Klaus高度指数
98、单项选择题
膀胱造影片见下图,你考虑什么诊断可能性大()
A.膀胱炎
B.膀胱癌
C.膀胱结石
D.膀胱息肉
E.以上都不是
99、单项选择题 KerleyB线主要分布于()
A.上肺内侧
B.上肺外周
C.下肺内侧
D.下肺外周
E.中肺野
100、多项选择题 二尖瓣狭窄或(和)关闭不全时,胸片可见到的表现有()
A.肺内无结节状影
B.肺内含铁血黄素沉着
C.间隔线
D.上肺静脉增粗,下肺静脉变细
E.肺动脉段凹陷
101、多项选择题 特发性骨质溶解症主要发生在下述哪些部位()
A.腕掌
B.跗跖
C.肘部
D.跖趾
E.掌指
102、判断题 肾盂造影检查发现充盈缺损影,可以充分肯定是结石所致。
103、单项选择题 关于纵隔肿瘤,下列知识哪项不对()
A.多数纵隔肿瘤都有其好发部位
B.前纵隔:多为胎生性囊肿和胸腺瘤
C.中纵隔:多为恶性淋巴瘤
D.转移瘤:纵隔影常对称性增宽
E.胸片难以区分胸腺瘤和畸胎瘤
104、单项选择题
女,38岁,慢性疾病史,结合图像,最可能的诊断是()
A.Legg-Perthes病
B.骨梅毒
C.关节结核
D.镰状细胞贫血
E.强直性脊柱炎
105、单项选择题 下述“结节病”的胸部影像,哪项不正确()
A.双侧对称性肺门淋巴结肿大
B.半数病例仅有肺门淋巴结肿大
C.两肺弥漫分布细网状结节影
D.半数为单侧
E.半数伴有纵隔淋巴结肿大
106、多项选择题 诊断学综合评价标准中要求有()
A.成像技术标准
B.影像显示标准
C.重要的影像细节
D.体位显示标准
E.受检者剂量标准
107、单项选择题 关于乳腺摄影的叙述,错误的是()
A.通常使用钼靶X线机
B.常摄取侧位和轴位片
C.用40kV以上的管电压
D.屏气曝光
E.焦-片距为40~50cm
108、单项选择题 右肺门角是哪两种结构的夹角()
A.右中叶静脉和右下肺动脉
B.右下肺动脉干和右主支气管
C.右上叶下后静脉干和右下肺动脉
D.右上叶下后静脉干和气管
E.右上叶下后静脉和右主支气管
109、单项选择题 患者,12岁,跌倒时手掌撑地。查:肘关节半屈状,肘肿胀压痛,外突畸形,肘后三角存在,桡动脉搏动正常。 摄X线片后,最可能的诊断是()
A.肘关节脱位
B.伸直型肱骨髁上骨折
C.屈曲型肱骨髁上骨折
D.桡骨小头半脱位
E.尺骨鹰嘴骨折
110、单项选择题 下述哪种为厌骨转移性肿瘤()
A.前列腺癌
B.子宫癌
C.肾癌
D.甲状腺癌
E.乳癌
111、单项选择题
女,3岁,低热、咳嗽2月余,结合胸片,最可能的诊断为()

A.原发综合征
B.肺门淋巴结核
C.淋巴瘤
D.支原体肺炎
E.间质性肺炎
112、单项选择题 额窦开口于()
A.上鼻道
B.中鼻道
C.下鼻道
D.筛漏斗
E.蝶筛隐窝
113、单项选择题 关于头颅正侧位摄片,中心线射入点与体表定位点的位置,哪个是对的()
A.头颅的正位,中心线应向头侧倾斜15°,经眉间射入胶片
B.头颅后前正位,中心线应向足侧倾斜15°,经眉间射入胶片
C.头颅侧位,中心线应通过听眦线正中垂直射入胶片
D.蝶鞍体表定位于外耳孔前2.5cm,再向上2.5cm处
E.蝶鞍体表定位于听眦线中,后1/3交点向上2cm处
114、单项选择题 慢性化脓性骨髓炎瘘管经久不愈的原因是()
A.骨质增生
B.脓腔或死骨存在
C.骨干增粗
D.新生骨形成
E.骨髓腔闭塞
115、单项选择题 第3~7颈椎前后位摄影时,中心线应()
A.向头侧倾斜20°
B.向头侧倾斜10°
C.垂直入射胶片
D.向足侧倾斜10°
E.向足侧倾斜20°
116、单项选择题
男性,26岁,发育尚可。反复发生上呼吸道感染,近来出现气急,心悸,易疲劳。听诊肺动脉瓣区第二心音亢进,可听到收缩期杂音。行胸部X线平片检查如下图:

A.右室流出道狭窄
B.主动脉瓣关闭不全
C.二尖瓣脱垂
D.房间隔缺损
E.三尖瓣闭锁
117、多项选择题 肺癌可见的转移部位为()
A.肝脏
B.纵隔淋巴结
C.脑
D.骨
E.肺门
118、单项选择题 Looser带(假骨折线)是诊断下述哪种疾病的可靠征象()
A.Paget病(畸形性骨炎)
B.骨质软化症
C.甲状旁腺功能减退
D.骨纤维异常增殖症
E.石骨症
119、多项选择题 下列有关色素性胆结石描述中,错误的有()
A.主要成分为胆红素钙
B.胆固醇含量达70%以上
C.呈泥沙样或颗粒状
D.剖面常呈多面体影
E.剖面见分层状、结石多发
120、多项选择题 脊椎退行性变的病理改变中,包括哪项()
A.椎间盘退行性变
B.椎间关节退行性变
C.韧带退行性变
D.脊椎骨骼改变
E.脊椎结核、肿瘤病变
121、单项选择题 在正常情况下,Water位X线片上颌窦密度与眼眶密度相比()
A.上颌窦密度低于眼眶密度
B.上颌窦密度高于眼眶密度
C.上颌窦密度等于眼眶密度
D.上颌窦密度低于或等于眼眶密度
E.因个体差异,无法相比
122、单项选择题 对于碘过敏反应的说法,下列哪项不对()
A.用同一批号含碘造影剂做碘过敏实验
B.碘过敏试验阴性则不会发生碘过敏反应
C.检查室应备抢救设备和药品
D.造影前用抗过敏药可避免碘过敏发生
E.多见于血管内给予含碘造影剂
123、单项选择题 关于胶片本底灰雾的叙述,错误的是()
A.是照射量等于零时照片所具有的密度值
B.位于特性曲线的趾部
C.是胶片曝光后产生的最小密度值
D.片基灰雾和乳剂灰雾组成
E.与乳剂感光中心的大小和数目有关
124、多项选择题 关于膝关节前后正位片显示标准,正确的是()
A.片包括股骨远端胫骨近端骨骼
B.关节面位于照片下1/3处显示
C.关节间隙内外两侧等距
D.腓骨小头与胫骨仅有小部分重叠
E.腓骨小头与胫骨不应有重叠
125、单项选择题 足前后位摄影是临床经常使用的摄影位置。 足正位影像可以清晰显示的关节是()
A.踝关节
B.舟距关节
C.桡腕关节
D.指间关节
E.跟距关节
126、单项选择题 有关脊索瘤的好发部位和X线主要特点的描述中,不正确的是()
A.肿瘤好发于脊柱两端,居中线部位
B.常为膨胀性溶骨性破坏,其中可残存碎骨片或小梁间隔
C.病变周围可出现软组织肿块影
D.50%患者可有钙化
E.绝大多数患者可有骨膜反应
127、单项选择题
女,4岁,左腿跛行2个月。结合图像,最可能的诊断是()
A.骨囊肿
B.软骨肉瘤
C.骨肉瘤
D.髋关节结核
E.股骨头骨骺缺血坏死
128、单项选择题 “颅缝闭合延迟”见于下述哪种病变()
A.甲状腺功能减退
B.佝偻病
C.低磷酸盐血症
D.眼-颌-面综合征
E.磷酸酯酶过少
129、单项选择题
男,23岁,跛行,外展受限,两下肢不等长,结合图像,最可能的诊断是()
A.髋关节中心脱位
B.髋关节后脱位
C.髋关节前脱位
D.先天性髋内翻
E.髋关节结核
130、单项选择题 关于CR的工作原理,错误的是()
A.IP由基层荧光体层和保护层构成
B.透过人体的X线光子以潜影形式储存在荧光层的晶体内
C.透过人体的X线光子被IP转换成数字图像
D.IP在读出装置接受激光束扫描
E.激发束激发出的荧光与潜影成正比
131、单项选择题 X线管阴极的作用是()
A.发射并聚焦电子
B.只发射电子
C.只聚焦电子
D.散热
E.产生X线
132、多项选择题 小肠的运动形式有哪些()
A.分节运动
B.紧张性收缩
C.舒张
D.蠕动
E.摆动
133、单项选择题 下列哪项不属于X线照片影像的形成要素()
A.照片密度
B.照片的感光度
C.照片的对比度
D.照片的锐利度
E.照片的放大与变形
134、单项选择题 骨肿瘤和肿瘤样病变中,骨皮质膨胀呈“吹泡状”见于()
A.动脉瘤样骨囊肿
B.骨纤维异常增殖症
C.畸形性骨炎
D.骨样骨瘤
E.孤立性骨囊肿
135、多项选择题 下列属于高压部件的是()
A.X线管
B.高压硅整流器
C.灯丝加热变压器
D.高压电缆
E.高压交换闸
136、单项选择题 有关乳腺良性肿块的X线征象中,应除外()
A.肿块多呈圆形或类圆形
B.肿块边缘光滑清晰
C.肿块界限不清,边缘模糊
D.肿块密度较均匀
E.肿块有时可见透明晕圈
137、单项选择题 人体最重要的排泄器官是()
A.皮肤
B.肺
C.消化道
D.肾
E.唾液腺
138、单项选择题 下列组合中,哪项不妥()
A.内听道——多轨道迹体层摄片
B.全泌尿系——全景摄片
C.关节腔——双重造影
D.甲状腺——软组织摄片
E.喉——高电压摄片
139、单项选择题 男,6岁,临床需查骨龄。 应首先选摄何部位X线片()
A.膝关节正位
B.踝关节正位
C.肩关节正位
D.肘关节正位
E.腕关节正位
140、单项选择题 梗阻以上结肠扩张,有宽大液平面,小肠轻度扩张,有少许液平面,最可能的诊断是()
A.单纯性结肠梗阻
B.绞窄性小肠梗阻
C.单纯性小肠梗阻
D.结肠扭转
E.肠套叠
141、多项选择题 以下关于下咽癌的描述,正确的是()
A.梨状窝癌最常见
B.病理类型多为鳞状细胞癌
C.气管后椎前软组织影增厚
D.淋巴结转移少见
E.梨状窝内壁侧壁僵直
142、单项选择题 头颅侧位片,下列正常蝶鞍形态中,哪项不正确()
A.圆形
B.椭圆形
C.扁圆形
D.双鞍底
E.桥形蝶鞍
143、单项选择题 下列肺内病变,哪种最少累及胸膜()
A.葡萄球菌性肺炎
B.肺结核
C.肺脓肿
D.石棉肺
E.支气管扩张合并感染
144、多项选择题 关于先天性肾脏病变,下列说法正确的是()
A.异位肾比正常肾的功能更易受损
B.马蹄肾的结石发生率高
C.交叉异位肾的输尿管开口于膀胱同一侧
D.马蹄肾的输尿管从肾联合背侧通过
E.肾脏发育不全者的膀胱三角区可不对称
145、多项选择题 “慢性胆囊炎”患者,“口服胆囊造影”的表现有哪些()
A.胆囊显影延迟
B.胆囊显影浅淡
C.胆囊壁钙化
D.脂餐后胆囊收缩率60%
E.胆囊结石
146、单项选择题 肺血减少见于下列哪种先天性心脏病的()
A.动脉导管未闭
B.室间隔缺损
C.房间隔缺损
D.艾森门格综合征
E.法洛四联征
147、单项选择题 下列X线防护知识,哪项不对()
A.机房有用射线束朝向墙厚度:不低于2mm铅当量
B.机房侧壁、顶壁墙厚度:不低于1mm铅当量
C.铅围裙等个人防护用品:不低于0.125mm铅当量
D.控制台屏敝室防护能力:不低于0.25mm铅当量
E.球管、病人间距不小于35cm
148、单项选择题
男,38岁,心前区阵发性绞痛10天。贫血面容,有胃病史。结合图像,最可能的诊断为()
A.胃癌
B.胃窦癌
C.胃小弯溃疡
D.胃炎
E.胃下垂
149、单项选择题 细小玻璃碎片进入眼内,该异物属()
A.不透性异物
B.半透性异物
C.透过性异物
D.金属性异物
E.以上都不是
150、单项选择题 下述哪项为软骨内成骨()
A.颅盖骨
B.面骨
C.颅底
D.锁骨
E.下颌骨的一部分
151、单项选择题 股骨颈嵌入骨折的表述,错误的是()
A.老年人,特别是绝经后妇女多见
B.股骨颈嵌入型骨折占10%,属不稳定骨折
C.X线片上不易显示骨折线,易漏诊
D.可仅表现为部分骨小梁中断及重叠
E.骨折愈合时仅表现为骨折线模糊和骨小梁通过
152、单项选择题 下列关于“恶性骨肿瘤”好发年龄中,哪项是错误的()
A.成骨肉瘤:10~25岁
B.多发性骨髓瘤:20~30岁
C.网状细胞肉瘤:30~40岁
D.转移性骨肿瘤:40岁以上
E.继发性软骨肉瘤:40岁以上
153、单项选择题 肾结核X线检查时,错误的是()
A.平片检查可无异常发现
B.肾实质内可见云絮状或环状钙化
C.若肾盏、肾盂被广泛破坏,排泄性尿路造影可以显影
D.逆行尿路造影可以显示肾盂肾盏形成的不规则空腔
E.全肾钙化
154、单项选择题 中肺野是指上肺野以下至()
A.第4肋骨下缘的水平线以上
B.第4肋骨前端下缘水平线
C.第4肋骨下缘的最低点水平线
D.第4肋骨前端下缘的最低点
E.第4肋骨前端下缘的最低点水平线
155、多项选择题 椎体外伤性压缩骨折的X线表现有()
A.相邻椎体骨质破坏
B.椎间隙正常
C.椎旁冷脓肿形成
D.椎体压缩呈楔形
E.椎体后突畸形
156、单项选择题 下列哪种疾病腹部平片不能诊断()
A.胆囊阳性结石
B.肠梗阻
C.慢性胰腺炎
D.消化道穿孔
E.小儿先天性肛门闭锁
157、多项选择题 关于X线管阳极的叙述,错误的是()
A.乳腺机X线管的阳极使用钼靶
B.旋转阳极靶盘直径越大管容量越大
C.靶盘覆以钼石墨层,以增加阳极热容量
D.X线管容量是指阳极热容量
E.旋转阳极管的X线发生效率高于固定阳极管
158、单项选择题 乳突双15°侧位,亦称为()
A.劳氏位(LaW位)
B.许氏位(Schuller位)
C.伦氏位(Runstrom位)
D.梅氏位(Mayer位)
E.斯氏位(Stenever位)
159、多项选择题 骨折的并发症和后遗症有()
A.神经、血管损伤
B.外伤后骨质疏松
C.骨缺血性坏死
D.创伤性骨关节病
E.延迟愈合或不愈合
160、单项选择题 对于胸部检查的描述,下列哪项不对()
A.正位胸片,左侧心后膈肌常显示不清
B.对肋骨、钙化的显示,高千伏胸片不及常规胸片
C.侧位深吸气相的肋膈角常呈锐角
D.对肺尖病变,前弓位价值高
E.显示肺纹理、肺内阴影,高千伏胸片不及常规胸片
161、多项选择题 关于标准侧位胸片的描述,正确的有()
A.正常情况下前后肋膈角显示清晰
B.正常情况下后肋膈角境界不清
C.气管前壁的外缘通常可见
D.取右侧位投照,心脏遮盖邻近的左侧膈肌有特征性
E.胸椎愈向下透亮度愈增加
162、单项选择题 关于岩骨锥体角定义的叙述,最确切的是()
A.头颅正中矢状面与颞骨的夹角
B.岩骨长轴线与头颅水平面间的夹角
C.岩骨长轴线与头颅正中矢状面的夹角
D.岩骨的长轴线与头颅冠状面间的夹角
E.岩骨短轴与头颅正中矢状面间的夹角
163、单项选择题 判断右心房增大较可靠的征象为()
A.右前斜位心房段超过心前缘的一半以上
B.右前斜位心房段超过心前缘的四分之三以上
C.左前斜位心房段超过心前缘的一半以上
D.右侧位心房段超过心前缘四分之三以上
E.以上都不是
164、单项选择题 腰骶关节前后位摄片,中心线的投射角度是()
A.垂直投射
B.向头侧倾斜15°~20°
C.向足侧倾斜15°~20°
D.向头侧倾斜45°
E.向足侧倾斜45°
165、多项选择题 影像板的组成包括()
A.板基
B.光电阴极
C.荧光体层
D.保护层
E.输出屏
166、多项选择题 骨肿瘤的发病部位有一定的规律性,以下表述正确的是()
A.成软骨细胞瘤好发于骨骺
B.骨巨细胞瘤好发于干骺愈合后的骨端
C.骨肉瘤好发于长骨干骺端
D.尤文肉瘤好发于长骨骨干
E.骨髓瘤好发于中轴骨及四肢近侧长骨
167、单项选择题 X线诊断心包积液较可靠方法是()
A.左前斜位X线片看室间沟深浅
B.心影是否呈烧瓶样
C.右前斜位吞钡食管压迹有无加深
D.透视下心脏搏动情况
E.以上都不是
168、单项选择题 支气管充气征不见于下列哪种病变()
A.肺脓肿
B.淋巴瘤
C.炎性假瘤
D.大叶性肺炎
E.肺腺癌
169、单项选择题 肺动脉高压的典型表现为()
A.出现间隔线
B.残根征
C.肺野透亮度减低
D.多继发于左心衰
E.肺纹理增粗,结构模糊
170、单项选择题 对于先天性巨结肠(Hirschsprung病)患者,以下钡灌肠技术中,哪项不正确()
A.检查前,不清洁灌肠
B.用等渗盐水配制钡剂
C.通常只要求显示狭窄段,不要求显示全结肠
D.检查后,尽量抽出钡剂
E.检查前日,服泻药清洁灌肠
171、多项选择题 哪些属半透异物()
A.钢
B.铝
C.矿砂
D.石片
E.玻璃屑
172、单项选择题
男,60岁,左股骨痛1年余,结合图像,最可能的诊断是()
A.骨纤维异常增殖症
B.Paget病
C.髋关节结核
D.股骨头缺血坏死
E.化脓性骨髓炎
173、单项选择题 关于心房黏液瘤的描述,错误的是()
A.临床可有体温上升、体温下降、贫血
B.30~60岁多见
C.常有室上性心动过速表现
D.体循环、肺循环栓塞
E.左心房者占3/4
174、单项选择题 下列缩窄性心包炎征象,哪项不对()
A.盔甲心
B.上纵隔影增宽
C.心脏搏动减弱
D.心影明显增大
E.部分患者可有胸腔积液
175、单项选择题 下列检查技术的相应选项,错误的是()
A.手指:近距离摄影
B.乳腺:软组织摄影
C.肺:高千伏摄影
D.心血管:连续摄影
E.消化道:双重造影
176、单项选择题 膝关节髁间凹后前位片,髁间凹呈()
A.正位投影
B.侧位投影
C.斜位投影
D.轴位投影
E.切线位投影
177、单项选择题
女,30岁,右膝关节酸胀,疼痛不适5月,X线检查如图所示,下列描述正确的是()
A.骨质呈膨胀性破坏
B.骨质呈肥皂泡样破坏
C.骨质呈横向偏心性破坏
D.以上均正确
E.以上均不正确
178、单项选择题 关于散射线及其影响因素的说法,错误的是()
A.散射线是离开原射线线束的折射光子
B.管电压越高,散射线越多
C.增感屏感度越高,散射线越少
D.在一定厚度内,被照体越厚散射线越多
E.照射野是产生散射线的重要因素
179、单项选择题
男,2岁,关节肿胀,结合图像,最可能的诊断是()
A.肾性骨病
B.黏多糖贮积症
C.维生素D缺乏症
D.维生素C缺乏症
E.维生素D过多症
180、单项选择题 静脉注射碘过敏试验,注药后观察反应的常规时间是()
A.3分钟
B.5分钟
C.15分钟
D.25分钟
E.35分钟
181、单项选择题 下述“溃疡性结肠炎”早期征象,错误的是()
A.苹果核征
B.无名沟、无名小区模糊、粗糙
C.“腔壁线”毛糙
D.肠壁表面针尖样钡影
E.无名沟宽度超过1.0mm
182、单项选择题 在正位胸部X线片上,老年人右心缘上部是()
A.上腔静脉
B.升主动脉
C.奇静脉
D.无名动脉
E.右心房
183、单项选择题 目前世界公认的医学图像传输与存储的标准是()
A.ACR-NEMA1.0
B.ACR-NEMA2.0
C.DICOM3.0
D.HL7
E.TCP/IP
184、单项选择题 患者,男性,28岁,咳嗽、咳痰1个月余,近1周低热,体温37.5~38.0℃,门诊抗炎治疗效果不佳。胸片示右上肺一含气空洞,内未见液气平面,周围可见多处小斑片影,最可能的诊断为()
A.肺脓肿
B.错构瘤
C.肺大疱
D.肺结核
E.肺支气管囊肿
185、单项选择题 有关解剖学方位的描述,下列错误的是()
A.近头为上
B.近体表为浅
C.近正中矢状面为内侧
D.近肢侧为近端
E.近腹为前
186、单项选择题
有外伤史,结合图像,最可能诊断是()
A.Smith骨折
B.尺骨骨折
C.未见异常
D.Colles骨折
E.腕关节脱位
187、多项选择题 华氏位片正常表现为()
A.鼻窦黏膜一般不显示
B.上颌窦呈三角形
C.上颌窦顶壁和内侧壁夹角区可见后组筛窦投影
D.眶下缘下方可见扁圆形的眶下孔
E.上鼻甲显示清楚
188、单项选择题 可复性食管裂孔疝的典型征象是()
A.膈上出现胃粘膜
B.食管下括约肌上升和收缩
C.食管胃环上升出现在膈上
D.部分胃底位于膈上
E.胃食管前庭管腔增宽
189、单项选择题 关于“疣状胃炎”的描述,错误的是()
A.圆形、椭圆形隆起性病变
B.形态规则,境界清楚
C.胃小区大小、结构正常
D.胃壁柔软
E.多数病灶小于1cm
190、多项选择题 下述表现中,哪些与“胃溃疡”无关()
A.胃空腹滞留液较多
B.激惹征
C.“B”形胃
D.胃排空速度加速或延缓
E.袖口征
191、多项选择题 下列关于肝硬化,正确的描述是()
A.血吸虫性肝硬化,肝裂多增宽
B.肝硬化患者,肝转移癌发生率降低
C.结节性肝硬化有家族倾向
D.肝硬化结节不会癌变
E.肝脏体积可不同程度增大或缩小
192、单项选择题
男,58岁,咳嗽、发热1周余,无痰中带血,无胸痛,X线胸片如图,最可能的诊断是()

A.右上肺不张
B.右上肺结核
C.右上肺炎症
D.右上胸膜肥厚
E.右上肺癌
193、单项选择题 颅底骨折X线摄片常规取()
A.梅氏位
B.柯氏位
C.瑞氏位
D.切线位
E.仰卧水平侧位
194、单项选择题 活检证实为浸润性导管癌,患者有保乳愿望,目前最适宜的治疗是()
A.放疗
B.化疗
C.手术
D.内分泌治疗
E.中药治疗
195、单项选择题 食管粘膜一般有几条粘膜皱襞()
A.2~4条
B.3~4条
C.3~5条
D.2~5条
E.4~5条
196、单项选择题 肋软骨首先钙化的是下列哪项()
A.第1肋
B.第12肋
C.第3肋
D.第10肋
E.第2肋
197、单项选择题 下列哪项不属于中耳结构()
A.听小骨
B.咽鼓管
C.鼓室
D.前庭
E.乳突窦
198、单项选择题 有关肺隔离症,正确的是()
A.多以咳嗽、胸痛就诊
B.均有独立的脏层胸膜包裹
C.肺叶外型不易引起感染
D.一般与支气管相通
E.其血供来自支气管动脉
199、单项选择题 贲门失弛缓症较具特征的X线表现是()
A.食管下端边缘呈锯齿状
B.食管下端不规则充盈缺损
C.食管下端狭窄,边缘光整,粘膜正常
D.食管下端狭窄,局部僵硬,不能扩张
E.以上都不是
200、单项选择题 下列关于散射线及其影响因素的描述哪项错误()
A.管电压越高,散射线越多
B.在一定厚度内,被照物体越厚散射线越多
C.增感屏速度越快,散射线越少
D.散射线是离开原射线束的折射光子
E.照射野的大小是产生散射线的重要因素
201、单项选择题 冠状动脉瘤最常见于()
A.Marfan综合征
B.川崎病
C.动脉粥样硬化
D.风湿性心脏病
E.梅毒性心脏病
202、单项选择题
男,56岁,胸痛2月余,最近感右臂疼痛、活动受限,胸片如图,最可能的诊断是()


A.右肺癌
B.右上肺不张
C.右肺上沟瘤
D.右侧胸膜肥厚
E.右肺结核
203、不定项选择 肺结核病的全身中毒症状有()
A.盗汗
B.咯血
C.低热
D.乏力
E.咳嗽
204、单项选择题 下列造影表现,哪项与“结肠癌”无关()
A.肠梗阻
B.苹果核征
C.充盈缺损
D.肠套叠
E.笔尖征
205、单项选择题 慢性化脓性骨髓炎的X线表现主要表现是()
A.钙化
B.骨膜增生
C.骨皮质增厚
D.骨干增粗
E.骨质硬化增生
206、多项选择题 组成腕关节的骨有()
A.豌豆骨
B.舟骨
C.月骨
D.三角骨
E.桡骨
207、单项选择题
鉴别肝癌与肝血管瘤时,可采用的方法是 ( )
A.高分辨率扫描方法
B.肝血管灌注方法
C.薄层扫描方法
D.放大扫描方法
E.注射对比剂后的动态扫描
208、单项选择题
女,65岁,右膝痛,活动受限,结合图像,最可能的诊断是()
A.神经性关节病
B.创伤性关节炎
C.退行性骨关节病
D.类风湿关节炎
E.痛风
209、单项选择题 房间隔缺损第2孔型的血流动力学改变中,下列哪项不正确()
A.右心房血流量减少
B.右心室血流量增加
C.左心房血流量增加
D.肺动脉血流量增加
E.左心室血流量减少
210、单项选择题 下述哪项为胰岛D细胞瘤()
A.生长抑素瘤
B.胰岛素瘤
C.舒血管肠肽瘤
D.胃泌素瘤
E.胰高血糖素瘤
211、单项选择题 下列尤文肉瘤的X线表现中,哪项不符合()
A.骨干中心型病灶位于骨干中段髓腔内,呈弥漫性骨质疏松及斑点状、虫蚀样破坏
B.骨干周围型其皮质外缘常呈蝶形破坏,肿瘤多呈卵圆形或分叶状向外扩展
C.干骺中心型位于干骺端中央,骨质破坏与骨质硬化同时出现
D.发生于骨外者表现为大小不等的软组织肿块,边界不清
E.干骺周围型位于干骺端边缘,多呈膨胀性骨破坏
212、多项选择题 由不可见到可见X线影像,与信息转换功能有关的是()
A.胶片特性
B.荧光体特性
C.X线质
D.显影的加工条件
E.被照体的原子序数
213、单项选择题 下列关于支原体肺炎的描述,错误的是()
A.多分布于中、下肺野
B.发病2周后,血冷凝集反应阳性
C.可呈网状阴影
D.抗生素治疗有效
E.浅淡的斑片状阴影,一般不超过一个肺叶
214、单项选择题
男,30岁,右膝关节酸胀,疼痛不适5个月,X线检查如图所示,最可能的诊断是()
A.骨巨细胞瘤
B.骨囊肿
C.骨血管瘤
D.动脉瘤样骨囊肿
E.以上均不正确
215、单项选择题 关于X线的发生,下列哪项不对()
A.X线管阳极材料多为钨或钼
B.只有极少的电能转化为X线
C.管电压与人体吸收量成反比
D.旋转阳极可延长球管寿命
E.管电压与产生的X线穿透力成反比
216、单项选择题 子宫输卵管造影时,出现咳嗽、呼吸困难、咯血及偏瘫或昏迷时,主要考虑为()
A.碘过敏
B.迷走神经兴奋
C.碘油栓塞
D.麻醉药物过敏
E.以上都不是
217、单项选择题 男,28岁,有咳嗽、咳痰、咯血、胸痛,在右上肺尖段发现一直径2cm球形阴影,周围有索状阴影,边缘清楚,其内有点状钙化,最可能的诊断是()
A.包虫囊肿
B.错构瘤
C.肺癌
D.炎性假瘤
E.结核球
218、单项选择题 下述胰头癌十二指肠曲的X线征象中,错误的是哪一项()
A.球后段出现笔杆征
B.粘膜呈毛刷状尖角状
C.腔边出现反“3”字形改变
D.肠腔内出现充盈缺损
E.肠壁出现双边影
219、单项选择题
女,23岁,反复上腹部疼痛伴黑便2年余,呕吐3天。有血吸虫病史,曾行脾脏切除。结合图像,最可能的诊断为

A.正常食管
B.食管静脉曲张
C.食管胃底静脉曲张
D.贲门失弛缓
E.食管癌
220、单项选择题 下列畸形,与“Klippel-Feil综合征”无关的是()
A.脊髓空洞症
B.Sprengel畸形
C.“颈椎间盘突出”发病率升高
D.颈椎融合畸形
E.融合处椎间孔闭合
221、多项选择题 右心房增大常见于()
A.右心衰竭
B.房间隔缺损
C.三尖瓣病变
D.心房黏液瘤
E.左心衰竭
222、单项选择题
男,11岁。自出生后出现活动后憋喘、口唇发紫。检查如图所示。最可能的诊断是()
A.完全性肺静脉异位引流-心下型
B.完全性肺静脉异位引流-心上型
C.完全性肺静脉异位引流-心内型
D.完全性肺静脉异位引流-混合型
E.法洛四联症
223、单项选择题 下述神经性关节病的X线表现中,哪项不正确()
A.最早的X线表现为关节囊肿胀,轻微半脱位
B.关节间隙逐渐变窄,骨性关节面硬化及侵蚀破坏
C.关节骨端碎裂,并被吸收,以持重骨多见
D.关节腔内出现大量积液和多数游离体
E.不会出现骨质疏松和骨膜反应
224、单项选择题 下列关于溃疡的描述,错误的是()
A.龛影未能充盈并显示时,球部畸形是常见的重要的X线征象
B.若溃疡穿透浆膜而被周围炎症组织包围,称为胼胝性溃疡
C.胃和十二指肠同时发生溃疡称为复合溃疡
D.胃和十二指肠溃疡好发于青壮年
E.畸形有功能性和器质性两种,可分别存在或同时存在
225、单项选择题 对影像半影模糊的控制阈值为()
A.0.05mm
B.0.20mm
C.0.25mm
D.1.0mm
E.1.5mm
226、多项选择题 中量游离性胸腔积液的渗液曲线的形成与下述哪些因素有关()
A.胸腔内的负压状态
B.液体的表面张力
C.肺组织的弹性
D.液体的重力
E.液体在胸腔内的虹吸作用
227、单项选择题 有关牛皮癣性关节炎的叙述中,哪项不正确()
A.常有指甲改变
B.一般不侵犯腕和跗间关节
C.常对称性地侵犯远侧指间关节
D.指间关节或掌指关节出现脱位或半脱位,形成毁形性关节炎
E.一般无骨质疏松
228、单项选择题 心脏左前斜位,摄片的角度是()
A.45°~55°
B.55°~65°
C.60°~70°
D.70°~80°
E.80°~85°
229、多项选择题 肺泡性肺水肿的X线征象有()
A.间隔线阴影
B.病变动态变化较快
C.胸腔积液
D.蝶翼征
E.上肺静脉扩张
230、单项选择题 关于头颅摄影注意事项的叙述,错误的是()
A.颅骨切线位可不用滤线器
B.中心线倾斜角度必须准确
C.颅底骨折病人常取颌顶位摄影
D.可取平静呼吸下屏气曝光
E.焦-片距一般为100cm
231、多项选择题 结肠钡灌肠有下列哪些检查方法()
A.无管法
B.传统常规法
C.插管法
D.双重造影法
E.以上都不是
232、单项选择题 关于静脉肾盂造影中腹部压迫点,正确的是()
A.脐水平两侧
B.第一腰椎水平两侧
C.耻骨联合上方3cm
D.两侧髂前上棘连线水平
E.脐下两侧,骶骨岬水平
233、单项选择题 X线检查腰椎前后位时,中心线应对准()
A.脐上2cm
B.肚脐
C.脐下2cm
D.肚脐与耻骨连线中点下4cm
E.剑突
234、单项选择题 动力过快,指口服钡剂多长时间达到盲肠()
A.2.5小时
B.1.5小时
C.4小时
D.3.5小时
E.3小时
235、单项选择题 肺动脉高压一般不出现于()
A.二尖瓣狭窄
B.二尖瓣关闭不全
C.慢性支气管炎、肺气肿、肺心病
D.肺动脉狭窄
E.房间隔缺损
236、单项选择题 下列关于自发性主动脉夹层的描述,错误的是()
A.常有高血压史
B.主动脉真腔变窄
C.病变范围较广泛
D.常伴强直性脊柱炎
E.升主动脉者一般要求手术
237、单项选择题 下述哪项是儿童最常见肾肿瘤()
A.肾盂乳头状瘤
B.肾腺瘤
C.肾腺癌
D.肾血管瘤
E.肾胚胎瘤
238、单项选择题 眶内异物定位方法很多,常用的定位方法为()
A.几何定位法
B.超声定位法
C.手术中定位法
D.普通头颅侧位片定位法
E.头颅正位片定位法
239、单项选择题 易与胰头肿块混淆的是()
A.门腔淋巴结
B.右肾上腺
C.右侧膈肌脚
D.十二指肠
E.胃幽门管
240、多项选择题 关于肾盂,正确的说法是()
A.最佳显影时间是注入对比剂后15~30分钟
B.肾盂上连肾大盏,下连输尿管
C.肾盂大部分位于肾门区
D.肾盂形态差异不大
E.肾盂无蠕动
241、单项选择题 脑疝种类较多,海马回向鞍上池或幕下移位者称为()
A.天幕孔疝
B.扣带回疝
C.小脑扁桃体疝
D.大脑镰疝
E.钩回疝
242、单项选择题 部位、大小、数目可一日数变的肺气囊是下列哪种疾病的特征性表现()
A.肺吸虫病
B.肺囊虫病
C.葡萄球菌肺炎
D.过敏性肺炎
E.系统性红斑狼疮肺炎
243、单项选择题 “脊柱骨髓瘤”区别于“椎体血管瘤”的特点为()
A.多累及松质骨
B.破坏区内骨小梁消失
C.椎体内多发骨质破坏区
D.椎旁出现软组织肿块
E.病理骨折
244、单项选择题 关于急性粟粒型肺结核的说法中,以下不正确的是()
A.肺内阴影与临床症状出现时间大致相同
B.病灶为渗出性或增殖性
C.“三均匀”是其特点
D.大多数病灶吸收约需16个月
E.X线阴影的改善晚于临床症状改善
245、单项选择题 有关骨质增生的描述不妥的是()
A.骨质增生硬化就是骨量的增多
B.大多数机体代偿反应
C.骨质增生硬化是成骨增多
D.骨质增生硬化是破骨减少
E.骨质增生硬化是成骨增多、破骨减少
246、多项选择题 下列哪些先天性心脏病,易合并肺动脉高压()
A.Lutembacher综合征
B.房间隔缺损
C.室间隔小缺损
D.室间隔大缺损
E.肺动脉狭窄
247、单项选择题 某患者外伤,临床怀疑椎弓峡部断裂。 照片显示的是哪一侧的椎弓峡部()
A.左侧
B.右侧
C.靠近摄影台面侧
D.远离摄影台面侧
E.双侧
248、单项选择题 硬膜外非脊柱恶性肿瘤发病率最高的是()
A.转移瘤
B.恶性纤维组织细胞瘤
C.畸胎瘤
D.脊膜瘤
E.脂肪瘤
249、单项选择题 下述关于小肠Crohn病的影像表现,错误的是()
A.口疮样小溃疡
B.小肠多发狭窄
C.鹅卵石征
D.肠壁增厚
E.环肠壁对称性侵犯
250、单项选择题 关于X线影像信息的形成与传递的叙述,下述错误的是()
A.X线管射出的X线强度分布是均匀的
B.X线透过被照体后就形成了X线信息影像
C.被照体是信息源
D.X线是信息源
E.可见光透过照片后在视网膜形成视觉影像
251、单项选择题 下列征象中,哪一项对周围型肺癌的诊断价值最大()
A.分叶和毛刺
B.空洞
C.钙化
D.肺门或纵隔淋巴结肿大
E.无卫星病灶
252、多项选择题 绞窄性肠梗阻的X线征象为()
A.小跨度卷曲肠袢
B.假肿瘤征
C.咖啡豆征
D.空回肠换位征
E.长液面征
253、单项选择题 关于膝关节描述正确的是()
A.是人体X线片上最大的关节间隙
B.股骨和胫骨不在一条轴线上
C.腓骨小头位于腓肠肌内侧头肌腱内
D.成人膝关节间隙为6~8mm
E.以上都不正确
254、单项选择题
男,21岁,腰部不适,晨起加重半年余,X线检查如图,最可能的诊断是()

A.类风湿关节炎
B.脊椎退行性变
C.强直性脊柱炎
D.化脓性脊柱炎
E.阻滞椎
255、单项选择题 单侧肾绞痛伴血尿者,腹部平片无异常,静脉肾盂造影不显影,而逆行肾盂造影显示正常,应首先考虑()
A.结石
B.急性尿路感染
C.肾动脉感染
D.肾静脉栓塞
E.输尿管肿瘤
256、单项选择题 假骨折线(Looser带)是诊断下述哪种疾病的可靠征象()
A.老年性骨质疏松
B.甲状旁腺功能减退
C.骨纤维异常增殖症
D.骨质软化症
E.成骨不全
257、单项选择题 下列选项中哪项是结肠息肉最主要的临床表现()
A.便血
B.呕吐
C.腹胀
D.便秘
E.腹泻
258、单项选择题 关于切线投影的叙述,错误的是()
A.将中心线从被检部位边缘通过,称切线投影
B.此法可使相邻部分X线吸收差异减小
C.对于某些边缘凸出,可采用此法
D.对某些边缘凹陷,可采用此法
E.对某些表面病灶,可采用此法
259、多项选择题 影响锐利度的因素的叙述,正确的是()
A.对比度与锐利度无直接影响
B.对比度会影响锐利度
C.钡的流动性大,锐利度不好
D.锐利度与胶片感光度有关
E.荧光体颗粒的多焦照射不影响锐利度
260、单项选择题 男,28岁,反复右上腹痛1年,进食后可缓解,有时夜间疼痛明显。 为明确诊断最好做哪种检查()
A.腹部X线平片
B.上消化道钡餐检查
C.上腹部CT检查
D.上腹部MRI检查
E.上腹部超声检查
261、单项选择题 下列关于造影剂的分类组合,错误的是()
A.硫酸钡——阳性造影剂
B.泛影葡胺——无机碘化合物
C.碘苯酯——碘化油类
D.空气、二氧化碳、氧气——阴性造影剂
E.胆影葡胺——有机碘造影剂
262、多项选择题 自动冲洗显影液中加入坚膜剂的作用是()
A.防止胶片乳剂膜因高温膨胀过度而脱落
B.防止照片灰雾
C.胶片乳剂膜收敛固定
D.使冲洗影像始终稳定
E.防止显影剂氧化
263、单项选择题 下述肺动静脉瘘影像特点,错误的是()
A.单发或多发结节
B.圆形或分叶状
C.病变边缘锐利
D.呼气相病灶体积比吸气相小
E.无钙化
264、单项选择题 头颅经眶位检查的是()
A.内听道
B.枕骨
C.枕大孔
D.岩骨
E.蝶鞍
265、多项选择题 关于髋臼角,正确的表述为()
A.经过两侧"Y"形软骨中央连线与髋臼切线的交角
B.反映髋臼的发育情况
C.正常值为30°~12°,随年龄增长逐渐增大
D.出生时为30°,1岁时23°,2岁20°,10岁时12°左右
E.髋臼角增大为发育异常
266、单项选择题 当肺静脉压力大于3.33kPa(25mmHg)时,不应出现下列哪一项表现()
A.少量胸腔积液
B.KerleyA线
C.KerleyB线
D.两肺门不对称,右肺门小于左肺门
E.肺纹理模糊和增粗
267、单项选择题 脑回生理性压迹,下列哪个时期最明显()
A.新生儿
B.老年人
C.成年人
D.2岁左右
E.20岁以后
268、多项选择题 肺部真菌病的发生与下述哪些因素有关()
A.机体抵抗力降低
B.口腔卫生不佳
C.抗生素的大量应用
D.长期应用激素
E.生活和职业的关系
269、单项选择题 进展期胃癌引起胃窦狭窄、壁僵硬、粘膜皱襞固定,X线分型应属于()
A.溃疡型
B.蕈伞型
C.浸润型
D.浅表型
E.混合型
270、单项选择题
男,38岁,因左髋关节疼痛跛行1年半,经治疗症状无明显好转,双髋关节正位片摄片如图所示,最可能诊断是()
A.左髋关节结核
B.左股骨头坏死(早期)
C.左股骨头坏死(活动期)
D.左股骨头坏死(稳定期)
E.左髋关节退变
271、单项选择题 下列有关食管造影描述,错误的是()
A.食管粘膜皱襞呈纵行
B.钡剂通过正常贲门时无分流现象
C.为了解胃底结构,应常规服发泡剂
D.充盈缺损不仅见于食管新生物
E.正位充盈像未见异常就可除外食管癌
272、多项选择题 下述溃疡性结肠炎晚期表现,正确的是()
A.结肠缩短
B.肠壁僵硬,蠕动消失
C.激惹征
D.骶前间隙变窄
E.“钮扣样”溃疡
273、单项选择题 消除呼吸运动模糊正确的方法是()
A.延长时间曝光
B.增加管电压
C.屏气后曝光
D.增大物-片距
E.应用滤线栅
274、单项选择题 肺转移瘤中两肺呈多发或单发的较大结节及肿块见于()
A.甲状腺癌转移
B.肝癌转移
C.胰腺癌转移
D.绒毛膜上皮癌转移
E.精原细胞瘤转移
275、单项选择题 胸片示肺动脉段凹陷,可除外下述哪种疾病()
A.主动脉缩窄
B.Ebstein畸形
C.法洛四联征
D.三尖瓣闭锁
E.肺动脉漏斗部狭窄
276、单项选择题 下述石棉肺影像表现,错误的是()
A.早期,不规则形大阴影
B.晚期,双肺蜂窝状阴影
C.胸膜斑可钙化
D.蓬发心
E.胸膜改变常比肺改变更明显
277、单项选择题 尿路造影中常见肾盂肾盏、输尿管及膀胱内充盈缺损,最常见病因是()
A.肿瘤
B.结核
C.炎症
D.结石
E.血块
278、单项选择题
男,13岁,因轻微外伤后感左肱骨上部疼痛,软组织肿胀,摄片见左肱骨上段局限性骨质沿髓腔膨胀性破坏,骨皮质变薄,部分骨皮质不连续,最可能的诊断是()
A.左肱骨骨折
B.左肱骨骨囊肿伴病理性骨折
C.左肱骨骨纤伴病理性骨折
D.左肱骨巨细胞瘤伴病理性骨折
E.以上均不正确
279、多项选择题 支气管气相可见于()
A.周围型燕麦细胞癌
B.肺透明膜病
C.大叶性肺炎
D.结节病
E.肺水肿
280、单项选择题
女,9岁,右髋部疼痛、跛行半年,无发热。结合骨盆平片,最可能的诊断为()
A.右髋关节结核
B.右髋关节化脓性关节炎
C.右股骨骨骺骨结核
D.右髋类风湿性关节炎
E.右股骨头骨骺缺血坏死
281、单项选择题 下列“脊柱转移瘤”特点,哪项正确()
A.平片价值最高
B.可经动脉、静脉和淋巴管转移
C.多为腺癌
D.一定有肺转移
E.多为单椎体转移
282、单项选择题 在X线摄影的能量范围内,以下哪种形式利用了X线与物质相互作用()
A.康普顿散射
B.光蜕变
C.电子产生
D.光核反应
E.以上都不是
283、单项选择题 高血压性心脏病的X线表现,哪项除外()
A.心脏呈主动脉型
B.主动脉增宽
C.主动脉结膨凸
D.主动脉结缩小
E.左心室肥厚
284、单项选择题
患者,男,3岁,突发左侧胸痛伴呼吸困难3小时入院,如图所示,最可能的诊断为()

A.左侧肺气肿
B.左侧气胸
C.左肺门淋巴结结核
D.右肺小叶性肺炎
E.以上都不正确
285、多项选择题 中央型肺癌较常见的组织学类型是()
A.鳞状上皮癌
B.小细胞癌
C.大细胞癌
D.类癌
E.细支气管肺泡癌
286、单项选择题 男,16岁,下背痛和晨起僵硬1个月,活动后减轻,伴乏力,低热。 为进一步明确诊断,以下哪种实验室检查最有价值()
A.血清类风湿因子检测
B.血清HLA-B27检测
C.血冷凝集试验
D.血常规
E.红细胞沉降率
287、单项选择题 下列转移性骨肿瘤特点中,哪项是错的()
A.脊柱转移最常见
B.同一原发灶,可兼有溶骨性、成骨性转移
C.可有软组织肿块或肿胀
D.膀胱癌多为成骨性转移
E.甲状腺癌转移者,局部骨可膨胀
288、多项选择题 关于X线强度的叙述,正确的是()
A.KVP代表X线的质
B.X线强度指的是管电压的高低
C.靶物质的原子序数越高,X线强度越大
D.X线强度与管电压成正比
E.脉冲电压越接近峰值,X线强度越大
289、单项选择题
男,8岁,左上臂外伤后疼痛2小时,结合左肱骨正、斜位片,最可能的诊断为()
A.骨肉瘤
B.尤因肉瘤
C.骨囊肿
D.骨嗜酸性肉芽肿
E.非骨化性纤维瘤
290、单项选择题
根据图像,最可能的诊断是()
A.肺气肿
B.慢性支气管炎
C.气胸
D.纵隔气肿
E.肺转移瘤
291、单项选择题 光电效应是下列哪种作用的结果()
A.X线光子与原子的内壳层轨道电子
B.X线光子与原子核
C.高速电子与原子轨道电子
D.高速电子与原子核
E.高速电子与高速电子
292、单项选择题 关于“小肠肿瘤”描述,错误的是()
A.淋巴肉瘤:多位于回肠
B.良性肿瘤:平滑肌瘤、腺瘤居多
C.小肠类癌:多位于回肠
D.小肠腺癌:多位于十二指肠、空肠近段
E.CT诊断价值最高
293、多项选择题 肾先天性发育异常包括()
A.肾数目异常
B.肾位置异常
C.肾形态异常
D.肾旋转异常
E.肾发育不全
294、单项选择题 指出下列摄片技术中,不正确的是()
A.柯氏位可显示筛窦的前后两组影
B.眼眶肿物应选择柯氏位、瑞氏位和眶缘切线位
C.上颌窦肿瘤取瓦特位外,还应摄取颅底减角位(半轴位)
D.瓦特位,两侧密度不一致(非病变所致)的原因,主要是中心线偏斜或滤线栅侧向倾斜造成的切割效应
E.眶下裂摄片采用取头颅后前正位,中心线向头侧倾斜20°
295、多项选择题 肺血管异常的疾病中,伴有肿块影的是()
A.肺动脉狭窄
B.肺动脉缺如
C.肺隔离症
D.部分肺静脉回流异常
E.肺动静脉瘘
296、单项选择题
男,52岁,从事矿井工作32年,近几年出现气喘,呼吸困难,胸片如图,其最可能的诊断为()

A.双肺浸润性结核
B.双肺真菌感染
C.两肺弥漫性间质性肺炎
D.两肺弥漫性纤维化
E.矽肺
297、单项选择题 下列关于基线描述错误的是()
A.Reid基线为眶下缘至外耳道中点的连线
B.上眶耳线为眶上缘至外耳道中点的连线
C.眦耳线为外眦与外耳道中点的连线
D.Reid基线亦称眶耳线
E.前连合后缘中点至后联合前缘中点的连线
298、单项选择题 下列“绞窄性肠梗阻”平片征象,错误的是()
A.空回肠换位征
B.假肿瘤征
C.小跨度蜷曲肠襻
D.咖啡豆征
E.警戒肠管征
299、多项选择题 恶性肿瘤向肺内转移,最易出现的X线表现有()
A.支气管炎样斑状影
B.弥漫性线状及小颗粒状阴影
C.弥漫性蜂窝状阴影
D.多发肿块影
E.单发大肿块影
300、单项选择题 关于胃溃疡X线表现,错误的是()
A.龛影
B.小弯短缩
C.粘膜集中
D.充盈缺损
E.砂钟胃