时间:2025-09-22 04:28:45


1、多项选择题 关于支原体肺炎的说法,正确的是()
A.血冷凝集试验效价升高
B.通常白细胞数明显增多
C.最常见于单侧
D.易见空洞
E.全身症状较重,与X线表现不成比例
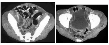
2、单项选择题
患者腹痛,根据所提供的图像,最可能的诊断是()
A.腺癌
B.类癌瘤
C.淋巴瘤
D.淋巴管瘤
E.囊肿
3、单项选择题
根据所提供的图像,该患者最可能的诊断为()
A.腹膜间皮瘤
B.腹膜假性黏液瘤
C.淋巴管阻塞
D.肝移植排斥反应
E.以上都不是
4、单项选择题
患者肥胖,50岁,男性,CT如图所示,最可能的诊断为()
A.胰岛细胞瘤
B.假性动脉瘤
C.动脉瘤
D.胰腺腺癌
E.转移癌
5、单项选择题 有关像素和体素不准确的概念是()
A.像素实际上是体素在成像时的表现
B.体素是被按矩阵排列分隔的基本成像单位
C.体素是一个三维概念
D.像素越小,图像的分辨率相对越高
E.CT图像的基本组成单元称为体素
6、单项选择题 女,25岁,左乳痛7天,体温39.5~40℃,局部明显压痛、红肿。 如乳腺病灶形成脓肿,最重要的诊断依据为()
A.局部检查有波动
B.穿刺抽出脓液
C.局部皮温高
D.局部疼痛
E.全身症状重
7、单项选择题 关于脾钝性外伤CT检查,下列哪项说法错误()
A.伤后即行CT平扫检查阴性,可除外脾破裂
B.脾内血肿的密度随时间而变化
C.增强扫描易发现包膜下血肿
D.脾撕裂伤时可见脾边缘裂纹
E.脾破裂出血多储积于左侧结肠旁沟
8、单项选择题
根据图像,该病例最不可能的诊断为()
A.嗜酸细胞瘤
B.单纯性囊肿
C.肾细胞癌
D.转移
E.以上都不是
9、单项选择题 “子宫肌瘤”最好发部位是()
A.宫体
B.宫颈
C.阴道
D.阔韧带
E.输卵管
10、单项选择题
女,39岁,发热、咳嗽1周,WBC:15×109/L,胸部CT平扫如图
同一病例上部层面如图,合理的解释为()
A.支扩并感染
B.大叶性肺炎残余病灶
C.过敏性肺炎病灶
D.肺不张
E.肺气肿
11、单项选择题
女,2岁半,无痛性右肩部肿块,结合图像,最可能的诊断是()
A.朗格汉斯细胞增多症
B.尤文肉瘤
C.骨髓瘤
D.霍奇金病
E.淋巴瘤
12、多项选择题 关于鞍上池横断面解剖部位正确的是()
A.池内前部有"V"字形交叉
B.位于两个颅中窝之间
C.五角形的鞍上池左缘邻接大脑脚
D.鞍上池可呈"五角形"或"六角形"
E.鞍上池的后角位于后缘中央,为脚间池
13、单项选择题 下列哪项不属颅脑平扫适应证的是()
A.颅内出血
B.脑梗死
C.脑萎缩
D.脑血管畸形
E.先天性无脑
14、单项选择题 以下哪项不是骨巨细胞瘤的CT征象()
A.肿瘤呈膨胀性表现
B.骨质有中断现象
C.肿瘤内可见钙化
D.肿瘤中心可见坏死、液化
E.肿瘤边缘可见骨嵴
15、单项选择题 肺隔离症的CT表现,错误的是()
A.多为类圆形肿块灶
B.多位于左下叶后基底段
C.早期明显强化
D.病变实质密度,不含气
E.边缘清晰
16、单项选择题
男,30岁,近2年来右膝疼痛,活动后加重,2周前由于剧烈运动后,右膝活动受限,右膝压痛明显,有波动感,皮肤稍显红肿,以髌骨部明显,结合图像,最可能的诊断是()
A.纤维性骨皮质缺损
B.非骨化性纤维瘤
C.骨囊肿
D.骨巨细胞瘤
E.动脉瘤样骨囊肿
17、单项选择题
根据所提供的图像,最可能的诊断是()
A.腹腔内动静脉畸形
B.肝硬化腹壁静脉曲张
C.下腔静脉阻塞
D.以上都有可能
E.以上都不是
18、单项选择题 显示野不变,矩阵缩小一半和显示野增加一倍,矩阵不变,其像素大小()
A.前者较后者大
B.后者较前者大
C.两者相等
D.前者是后者两倍
E.后者是前者两倍
19、单项选择题 关于胆总管直径,下列哪项描述是正确的()
A.正常胆总管直径<5mm,>8mm为扩张
B.正常胆总管直径<8mm,>10mm为扩张
C.正常胆总管直径<10mm,>15mm为扩张
D.正常胆总管直径<15mm,>20mm为扩张
E.以上都不对
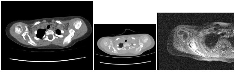
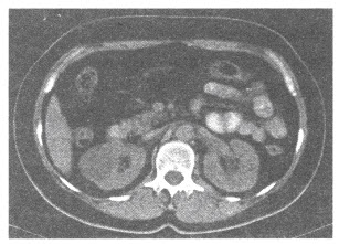
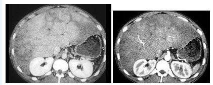
20、单项选择题
根据所提供的图像,最可能的诊断是()
A.脂肪瘤
B.吸收物
C.淋巴瘤
D.外来物
E.转移癌
21、单项选择题
9个月女婴,头颅迅速增大,四肢肌力下降,CT表现如图,最可能的诊断是()
A.胼胝体发育不全
B.Dandy-Walker综合征
C.前脑无裂畸形
D.脑灰质异位
E.无脑回畸形
22、单项选择题 CT图像中,肿瘤的直接征象不包括()
A.病灶大小
B.病灶密度
C.病灶边缘
D.病灶占位效应
E.病灶增强程度
23、单项选择题
男,56岁,排便形状改变,便后不尽感,CT检查如图所示,下列说法正确的是()
A.肠壁上有蒂状新生物
B.其表面光滑,边界清楚
C.肠腔未见狭窄
D.此为直肠息肉
E.此为直肠癌
24、多项选择题
男,65岁,左侧腰背部胀痛伴无痛性全程血尿3月余,CT平扫及增强检查如图所示,下列说法正确的是()
A.平扫时见左肾上极有一软组织肿块影,其边界较清楚
B.增强扫描肾皮质期可见肿块明显强化,其内亦有无强化区
C.增强扫描肾实质期可见肿块强化迅速下降,但密度比平扫时仍要高
D.考虑为左侧肾癌
E.考虑为左侧肾错构瘤
25、单项选择题 下面对颈部CT扫描技术的描述错误的是()
A.平扫,使颈部与床面平行,两外耳孔与床面等距
B.摄取颈部侧位定位像,在定位像上选择从胸腔入口至下颌角区域进行扫描
C.甲状腺扫描范围从第5颈椎下缘至第1胸椎
D.甲状腺的扫描层厚与层间距可用10mm
E.扫描方式为螺旋或非螺旋均可
26、单项选择题 下列关于肝静脉的描述错误的是()
A.肝静脉包括肝左、中、右静脉
B.肝静脉包括肝左、中、右静脉,肝右后静脉和尾状叶静脉
C.肝左、中、右静脉出肝处称为第二肝门
D.肝右后下静脉和尾状叶静脉出肝处称为第三肝门
E.第二和第三肝门是相互移行的
27、单项选择题 关于腹腔游离气体原因,以下哪项不对()
A.剖腹探察术后1周内
B.慢性胃炎
C.输卵管通气检查后第2天
D.消化道溃疡
E.个别正常女性
28、单项选择题 不属于原发性心肌病的是()
A.心内膜心肌纤维化
B.缺血性心肌病
C.肥厚型心肌病
D.扩张型心肌病
E.克山病
29、单项选择题 较易引起肺癌的尘肺是()
A.矽肺
B.石棉肺
C.煤尘肺
D.铁矽肺
E.有机尘肺
30、单项选择题 输尿管结石与盆腔静脉石的鉴别要点是()
A.盆腔内高密度灶的CT值大小
B.输尿管扩张
C.输尿管扩张后突然截断闭塞
D.输尿管走形区高密度灶
E.高密度结石灶周围有软组织密度环包绕
31、多项选择题 通过眶上裂的脑神经为()
A.动眼神经
B.滑车神经
C.外展神经
D.三叉神经眼支
E.三叉神经上颌支
32、单项选择题 “结节病”,脑CT表现下述哪项不对()
A.增强,脑膜、基底池可强化
B.交通性脑积水
C.平扫,结节密度比脑组织低
D.脑外肉芽肿结节,多位于脑底部
E.脑内肉芽肿结节,常有明显水肿
33、单项选择题 眼和眼眶通常扫描的层厚是()
A.2mm
B.5mm
C.10mm
D.15mm
E.20mm
34、单项选择题 关于重组图像的原理,正确的叙述是()
A.重组图像就是图像重建
B.用计算机对原始数据进行运算得到显示数据矩阵
C.用计算机将各不同层面的像素重新排列的技术
D.重新组成三维的图像
E.重新组成三维空间中任一平面的图像
35、单项选择题
患者,男性,21岁,左耳前区不适半年余。CT平扫如下图,最可能的诊断为()
A.骨瘤
B.骨样骨瘤
C.骨纤维异常增殖症
D.Paget病
E.慢性骨髓炎
36、单项选择题
患者,男性,42岁,髋部疼痛,CR及CT图像如下,应诊断为()

A.髋关节结核
B.股骨头缺血坏死
C.股骨头退变性囊肿
D.骨岛
E.骨质疏松
37、单项选择题 “多发性硬化”最常见的类型为()
A.大脑型
B.脑干型
C.脑干小脑型
D.脊髓型
E.以上都对
38、单项选择题 男,65岁,右侧肢体肌力弱,CT示左额顶叶有-2.5cm×4cm混杂密度区,花环样强化,中线右移,最大可能为()
A.恶性脑膜瘤
B.少枝胶质细胞瘤
C.恶性淋巴瘤
D.胶质母细胞瘤
E.脑结核球
39、单项选择题
男,28岁,外伤后1小时,胸部CT如图,最可能的诊断为()
A.肺炎
B.肺脓肿
C.肺囊肿
D.肺癌
E.双肺挫伤
40、多项选择题 男,19岁,头痛3个月,CT示鞍区实性病灶,关于影像学分析,下列哪些是正确的()
A.位于鞍上应首先考虑颅咽管瘤
B.位于鞍上偏前,有明显强化,无钙化应首先考虑脑膜瘤
C.无钙化可除外颅咽管瘤
D.位于鞍旁并明显强化,应考虑动脉瘤的可能
E.位于鞍旁并灶周水肿,无胶质瘤可能
41、单项选择题
男,66岁,剧烈胸痛,结合CT图像,最可能的诊断是()
A.右侧胸腔积液胸膜钙化
B.右肺癌侵犯胸膜
C.右侧胸膜间皮瘤
D.右侧肺不张
E.右侧肺肺癌
42、单项选择题
女,45岁,感头晕多年,CT检查如图,最可能的诊断是()

A.脑积水
B.胼胝体发育不全伴胼胝体脂肪瘤钙化
C.透明隔囊肿
D.前脑无裂畸形
E.Dandy-Walker综合征
43、单项选择题 CT造影增强应用最广的静脉注射法是()
A.团注法
B.单次大量快速注射法
C.滴注-大量快注法
D.大量快注-滴注法
E.多次大剂量急速注射法
44、单项选择题 有关腔隙性脑梗死错误的描述是()
A.好发于大脑深部、基底节区
B.皮层支动脉梗死
C.大小为0.5~1.5cm
D.临床症状可为纯运动或纯感觉障碍
E.常多发
45、单项选择题 当咽鼓管和咽隐窝同时张开,在轴位图像上,鼻咽腔可以呈()
A.三角形
B.长方形
C.方形
D.圆形
E.双梯形
46、单项选择题 下列哪一项不符合胆管结石的CT表现()
A.胆管内环形或圆形致密影
B.中心密度高,周围低密度形成"靶征"
C.梗阻上方胆总管扩张
D.增强扫描见胆总管内强化影
E.可伴有肝内胆管和胆囊结石
47、多项选择题 下列关于气胸的说法,正确的是()
A.新生儿气胸多为正压换气所致,需积极治疗
B.是肺囊性纤维化的常见并发症
C.可继发于胸部骨骼损伤或胸部钝性外伤
D.是肺发育不全的特征性并发症
E.如为张力性气胸,则胸内腔静脉受压
48、单项选择题 男,18岁,CT扫描发现脊柱旁软组织肿块,邻近椎体骨质压迫吸收,增强扫描肿瘤内可见低密度区,首先考虑的诊断是()
A.椎旁血管瘤
B.椎旁神经纤维瘤
C.血肿机化
D.转移瘤
E.淋巴瘤
49、单项选择题
女,50岁,消瘦、多饮多食,脖子粗大,双侧眼球突出1年余,CT检查如图所示,应考虑为()

A.眼型格氏病
B.甲状腺眼病
C.炎性假瘤
D.横纹肌肉瘤
E.眶部结核
50、单项选择题
女,37岁,产后10天,出现剧烈头痛头昏伴神志不清2天,根据所提供图像,最可能的诊断是()

A.右侧蛛网膜下腔出血
B.右侧脑膜脑炎
C.右侧硬膜下血肿
D.右侧脑梗死
E.右侧静脉窦血栓形成
51、单项选择题
男,52岁,双眼突出2~3年,结合图像,最可能的诊断是()
A.淋巴瘤
B.肌炎型炎性假瘤
C.眼肌发育异常
D.眼型Graves病
E.动静脉瘘合并眼外肌增粗
52、单项选择题 肺癌钙化形成的病理基础是()
A.肿瘤瘢痕收缩
B.瘤内含气、扩张的细支气管
C.肿瘤内残存正常含气肺组织
D.肿瘤钙化或包埋原有钙化灶所致
E.癌细胞浸润及间质反应
53、单项选择题 下列关于假囊肿型腹膜后脂肪肉瘤的描述,正确的是()
A.肿瘤坏死液化形成类似水密度
B.肿瘤中的黏液性组织成分类似水密度
C.脂肪组织的部分容积效应类似水密度
D.是各型中分化程度最低的脂肪肉瘤
E.以上都不对
54、单项选择题 窗宽为300窗位为20时,其CT值显示的范围为()
A.-170~130
B.-150~150
C.-130~170
D.0~300
E.-300~0
55、单项选择题 深吸气后屏气,常用于的摄片部位是()
A.躯干
B.头颅
C.肺部
D.心脏
E.手
56、单项选择题
女,52岁,曾患有鼻窦炎,最近发现咳嗽发热,影像学检查如图,最可能的诊断为()
A.多发性肺脓疡
B.浸润型肺结核并空洞形成
C.韦格肉芽肿
D.结节病
E.肺转移瘤
57、单项选择题 X线在医学上应用的原理中不包括()
A.利用其穿透作用进行X线检查
B.利用其荧光作用进行透视检查
C.利用其摄片作用进行照片检查
D.利用其电离作用进行CT扫描
E.利用其生物效用进行肿瘤治疗
58、单项选择题 Budd-Chiari综合征的主要病理改变是()
A.肝静脉阻塞
B.肝动脉阻塞
C.第一肝门阻塞
D.门静脉阻塞
E.胆管阻塞
59、单项选择题
女,66岁,右上腹痛,发热伴有黄疸2月余,消瘦、纳差,影像检查如图,最可能的诊断是()
A.胆囊结石及脂肪肝
B.胆囊结石及肝血管瘤
C.胆囊癌肝转移
D.肝内胆管细胞癌
E.胆囊癌及原发性肝癌
60、单项选择题
肾血管平滑肌脂肪瘤的病理(CT扫描见下图),错误的是()
A.肾实质内肿瘤
B.由三种组织成分构成
C.有包膜
D.可有肾盂肾盏变形
E.肿瘤容易出血
61、单项选择题 扫描必须包括上纵隔的疾病是()
A.甲状腺结节
B.甲状腺囊肿
C.甲状旁腺瘤
D.弥漫性甲状腺肿
E.巨大腺瘤样甲状腺肿
62、单项选择题 肝转移癌少血供者常见表现为()
A.病理血管
B.供血血管增粗
C.血管受压弯曲
D.肿瘤染色
E.动静脉瘘
63、多项选择题 慢性血吸虫肝病CT检查的主要表现为()
A.肝内钙化
B.肝硬化
C.腹水
D.门静脉系钙化
E.肠系膜、肠壁增厚钙化
64、单项选择题
男,57岁,肥胖、糖尿病、血脂升高,CT扫描如下图,下列诊断或描述错误的是哪项()
A.肝硬化
B.脂肪肝
C.肝脏增大
D.密度均匀减低
E.血管影清唽可见
65、单项选择题 在颌骨骨化性纤维瘤CT征象中,下列哪项不正确()
A.病灶呈良性局限性缓慢生长
B.无完整的骨壳
C.呈等或高密度软组织肿块
D.局部骨皮质膨胀变薄
E.病灶内可见斑点状骨化影
66、单项选择题 ①骨肉瘤、②软骨肉瘤、③纤维肉瘤、④脊索瘤、⑤Ewing瘤,其中可产生瘤骨的是()
A.①②④
B.①③⑤
C.①②⑤
D.①③④
E.①②③
67、单项选择题
男,55岁,腰骶部隐痛3月余,近期大小便困难,结合影像学检查,最可能的诊断是()
A.骨巨细胞瘤
B.骨转移瘤
C.脊索瘤
D.骨脓肿
E.骨肉瘤
68、单项选择题 普通型间质性肺炎的CT特征是()
A.斑片状、网状、毛玻璃样密度影
B.不规则形,线状或蜂窝状阴影
C.散在分布斑片状阴影
D.多发5~7mm结节影,半数有空洞
E.钙化
69、单项选择题 眶内海绵状血管瘤,最有特征的CT表现为()
A.肿瘤位于肌锥内
B.肿瘤增强扫描早期呈不均匀强化
C.肿瘤增强明显
D.肿瘤内致密结节影
E.肿瘤与眼球相邻
70、单项选择题 男,32岁,反复咳嗽咳痰多年,加重3月,伴咯血10天,CT示左下肺串珠状软组织结节影,可见一小液平,最可能的诊断是()
A.肺支气管动静脉瘘
B.癌性淋巴管炎
C.支气管扩张症
D.支气管肺癌
E.肺内转移癌
71、单项选择题 正常肾脏的增强扫描表现,错误的是()
A.强化表现因扫描时间而异
B.皮质期,肾皮质明显强化,髓质强化不明显,肾血管显示欠清晰
C.髓质期,皮、髓质强化程度类似,肾实质密度均匀
D.排泄期肾盏和肾盂明显充盈强化,肾实质强化程度减低
E.CTA属于增强扫描的特殊检查方法,可以清晰、形象地显示肾动脉结构
72、多项选择题 动脉瘤样骨囊肿的特征()
A.边缘硬化有液-液平面
B.有钙化或骨化影
C.边缘无硬化无液-液平面
D.无钙化
E.无液-液平面、无增强
73、单项选择题 鼻窦黏液囊肿CT的典型征象为()
A.轮廓规则锐利
B.骨壁变薄外移或部分消失,可吸收破坏
C.腔内密度均匀而偏低
D.窦腔膨大,有环形均匀薄层囊壁包围
E.增强检查无强化效应
74、单项选择题
男,49岁,反复发作性癫痫,双手震颤5年,伴头昏行走不稳,生化检查:血清钙降低,血清磷升高,根据所提供图像,最可能的诊断是()
A.Fahr病
B.一氧化碳中毒性脑病
C.霉变甘蔗中毒
D.肝豆状核变性
E.甲旁低
75、单项选择题 静脉注射对比剂后,CT扫描不出现环状增强的病变是()
A.脑脓肿晚期
B.恶性胶质瘤
C.转移癌
D.慢性颅内血肿
E.松果体细胞瘤
76、单项选择题 与常规X线摄片比,关于CT影像特点的叙述,不妥的是()
A.CT影像是重建影像
B.CT影像是灰阶影像
C.CT影像的空间分辨率高
D.CT影像的密度分辨率高
E.CT扫描通过组织对X线的吸收系数来反映其密度的高低
77、单项选择题 关于过敏性肺炎,下列哪项不是其诊断要点()
A.症状轻或无症状
B.血中嗜酸性粒细胞增多
C.病灶具有迁移性
D.病灶易形成空洞
E.病变短期内吸收
78、单项选择题 前脑无裂畸形是由于在胚胎第几周前孕育形成障碍()
A.10~14周
B.16~18周
C.4~8周
D.20~24周
E.26~28周
79、单项选择题 当肾癌侵犯下腔静脉形成瘤栓,而无淋巴结或远处转移,应分期为()
A.Ⅱ期
B.Ⅲc期
C.Ⅲb期
D.Ⅲa期
E.Ⅳa期
80、单项选择题 脾肿大的诊断标准是()
A.上下>12cm,前后>5个肋单元
B.上下>14cm,前后>4个肋单元
C.上下>14cm,前后>6个肋单元
D.上下>15cm,前后>6个肋单元
E.上下>15cm,前后>5个肋单元
81、单项选择题
男,37岁,颈部疼痛,活动时加重,休息可减轻,夜间有盗汗,结合图像,最可能的诊断是()
A.骨巨细胞瘤
B.颈椎骨转移
C.颈椎退行性变
D.颈椎结核
E.骨髓瘤
82、单项选择题 下述肿瘤中常出现散在钙化的是()
A.颅咽管瘤
B.少枝胶质细胞瘤
C.脊索瘤
D.生殖细胞瘤
E.软骨瘤
83、单项选择题 儿童最常见的颈髓肿瘤是()
A.髓母细胞瘤
B.少突胶质细胞瘤
C.星形细胞瘤
D.生殖细胞瘤
E.畸胎瘤
84、多项选择题 化脓性脑膜炎的CT表现是()
A.脑室系统扩大
B.脑内不规则形低密度区
C.软脑膜、蛛网膜可见线形强化
D.基底池及脑沟显影模糊
E.颅骨内板下新月形低密度区
85、单项选择题 CT滤过器作用的关键在于()
A.吸收低能量X线
B.优化射线的能谱
C.减少病人照射剂量
D.使射线能量分布均匀
E.使射线近似单一性
86、单项选择题 增强扫描对比剂需要量最大的部位是()
A.肾脏增强
B.肾上腺增强
C.颅脑增强
D.肝脏增强
E.腮腺增强
87、多项选择题 下列哪些特点属于高压滑环技术()
A.取消了球管启动、加速、减速、停止过程
B.电缆不再缠绕
C.球管单向连续旋转
D.依靠铜制滑环和碳刷接触馈电
E.易产生高压噪声
88、单项选择题 下列视神经脑膜瘤和视神经胶质瘤的鉴别,错误的是()
A.脑膜瘤沿脑膜蔓延,而胶质瘤沿视觉通道蔓延
B.脑膜瘤侵犯硬膜,边缘不规则
C.“双轨”征的出现有利于视神经胶质瘤的诊断
D.视神经脑膜瘤可引起邻近眶骨骨质的增生硬化
E.脑膜瘤很薄,并有钙化
89、多项选择题 有关局灶性肝脂肪浸润,以下哪些是正确的()
A.病灶呈球状
B.与正常肝组织分界不清
C.无占位效应
D.周围血管无推移受压现象
E.增强后病灶区CT值升高不及正常肝组织
90、单项选择题
女,45岁,急性上腹部持续性疼痛,程度剧烈,放射到胸背部,恶心、呕吐,白细胞计数增高,血尿淀粉酶升高,影像所见如图,最可能的诊断是()
A.急性单纯性胰腺炎
B.急性出血坏死性胰腺炎
C.慢性胰腺炎
D.胰腺癌
E.胰腺脓肿
91、单项选择题
对于胰尾病灶,结合图像,最可能的诊断是()
A.腺癌
B.转移癌
C.假性囊肿
D.胰管内黏液瘤
E.脂肪瘤
92、单项选择题 股骨头无菌性坏死早期诊断最佳CT检查方法是()
A.CT常规平扫
B.增强CT扫描
C.HRCT
D.CTA
E.CT关节造影
93、单项选择题
截瘫患者,影像检查如图所示,最可能的诊断是()
A.骨肉瘤
B.枪伤
C.异位骨化
D.骨髓炎
E.转移瘤
94、单项选择题 心包上隐窝与气管前淋巴结的鉴别要点不包括()
A.位于气管前间隙内
B.典型可成水样密度
C.位置在右肺动脉上方
D.贴近升主动脉后壁
E.增强扫描无强化
95、单项选择题 胆道梗阻最好发的部位是()
A.壶腹段
B.胰上段
C.肝门段
D.胰腺段
E.不确定
96、单项选择题 以下哪项不是结节性硬化的特征性CT表现()
A.脑室壁钙化结节
B.强化结节
C.脑灰质异位
D.灶性脱髓鞘
E.囊性结节
97、多项选择题
男,48岁,蛋白尿多年,CT如图所示,最可能的诊断为肾静脉血栓,肾静脉血栓形成的原因是()
A.膜性肾小球肾炎
B.肾癌
C.胰腺炎
D.外压性
E.创伤、脱水、血小板增多症
98、单项选择题
如图所示,最可能的诊断是()
A.转移瘤
B.成神经细胞瘤
C.动脉瘤样骨囊肿
D.肺上沟癌
E.以上都不是
99、单项选择题 颅内静脉窦闭塞最常发生于()
A.横窦
B.乙状窦
C.上矢状窦
D.海绵窦
E.下矢状窦
100、单项选择题 中心性桥脑髓鞘溶解的常见病因是()
A.脑梗死
B.脑外伤
C.长期饮酒
D.代谢性
E.遗传性
101、单项选择题 胶质母细胞瘤的CT表现的描述,哪项是错误的()
A.病灶密度不均匀
B.瘤周水肿明显
C.占位效应较重
D.病灶不均匀强化
E.病灶呈均匀低密度
102、多项选择题
男,70岁,右侧颈部无痛性肿块3个月,CT扫描如图所示,正确的描述或诊断是()

A.右侧颈动脉间隙内见类圆形软组织肿块影,密度欠均匀,边缘光整
B.右侧颈静脉被推压至肿块外后方
C.右侧颈动脉被推压至肿块内后方
D.迷走神经源性肿瘤
E.交感神经源性肿瘤
103、多项选择题 有关葡萄膜黑素瘤描述正确的有()
A.好发于后1/3脉络膜
B.易转移
C.可引起视网膜剥离
D.成人多见
E.B型好,A型差
104、多项选择题
男,50岁,自觉咽喉部不适一个多月,间断刺激性咳嗽,CT扫描如图所示,正确的描述或诊断是()
A.左侧声带内侧壁见结节状影向腔内突出,以宽基底与声带相连
B.增强扫描结节强化不明显,密度均匀,周围结构未见受侵
C.左侧声带息肉
D.左侧声带乳头状瘤
E.喉癌
105、单项选择题 室壁瘤的CT征象有()
A.局部心室壁增厚,并见反向运动
B.局部心室壁变薄,并见反向运动
C.室壁向内凹陷,无反向运动
D.室壁向外膨隆,无反向运动
E.室壁变薄,无反向运动
106、单项选择题 眼眶非特异性炎症的CT表现不包括()
A.眼睑肿胀、眼球突出
B.泪腺增大
C.眼外肌受侵
D.视神经萎缩
E.球壁增厚
107、多项选择题 应与鼻咽癌鉴别的疾病有()
A.脊索瘤
B.鼻咽部淋巴组织增生
C.鼻咽纤维血管瘤
D.蝶窦恶性肿瘤
E.鼻咽部结核
108、单项选择题 下列哪项CT图像不如X线平片()
A.密度分辨率
B.空间分辨率
C.灰度等级
D.最大密度
E.最小密度
109、单项选择题 颧弓平面以下是()
A.颞下窝
B.颞窝
C.翼腭窝
D.蝶额孔
E.咽旁间隙
110、单项选择题 男,49岁,癫痫发作3次。CT示左额叶有一圆形低密度区,病灶呈不规则环形增强,最大可能是()
A.化脓性脑炎
B.胶质瘤
C.病毒性脑炎
D.血管畸形
E.结节性硬化
111、多项选择题
男,58岁,尿频,尿痛伴低热乏力2月,CT如图所示,下列说法正确的是()
A.左侧肾盂肾盏扩张,其边缘不整
B.左侧输尿管多发性狭窄
C.左侧肾结核
D.左侧输尿管结核
E.左侧输尿管癌
112、单项选择题 鳞癌的特点,错误的是()
A.男性多见
B.易形成空洞
C.中央型多见
D.多同时伴淋巴转移
E.血行转移早
113、单项选择题
女,17岁,左侧肩关节附近可扪及一硬实性肿块半月余,疼痛不明显,结合影像学检查,最可能的诊断是()
A.维生素D中毒
B.肿瘤样钙盐沉着病
C.维生素D缺乏症
D.骨化性肌炎
E.骨肉瘤
114、单项选择题 囊尾蚴寄生人体的部位按顺序排列为以下哪项()
A.腹膜→肺→肝→心→眼→脑→肌肉→皮下组织
B.皮下组织→肌肉→脑→眼→心→肝→肺→腹膜
C.皮下组织→肌肉→心→肝→肺→眼→脑→腹膜
D.皮下组织→肌肉→腹膜→脑→眼→心→肝→肺
E.肝→心→肺→脑→眼→腹膜→皮下组织→肌肉
115、单项选择题 患者头痛3年。CT示右小脑桥脑角有一3cm×5cm囊实性占位性病变跨越到鞍旁,实性部分增强,内听道正常。最大可能是()
A.听神经瘤
B.三叉神经鞘瘤
C.转移瘤
D.胶质瘤
E.表皮样囊肿
116、单项选择题 关于肺梗塞CT表现哪项不正确()
A.肺外围部楔形致密影
B.急性期病变肺体积减小
C.楔形病变顶端见血管影
D.单发或多发空洞
E.病变内可见小透亮区
117、单项选择题 鞍区肿瘤平扫示混杂密度影,最可能的诊断是()
A.垂体瘤
B.脑膜瘤
C.颅咽管瘤
D.动脉瘤
E.脊索瘤
118、单项选择题 下列哪项不是肾上腺腺瘤的CT表现()
A.密度均匀的类圆形实性肿块
B.边缘光滑清晰与肾上腺相连
C.常可见条或斑片状钙化
D.常因含有脂类而呈低密度
E.增强扫描呈轻度强化
119、多项选择题 关于肝囊肿的CT表现,正确的为()
A.单发或多发
B.圆形水样密度
C.边界光滑锐利
D.平扫囊壁一般不显示
E.增强扫描囊肿内无强化,囊壁强化而显影
120、单项选择题
女,27岁,寒战高热、尿频、尿痛3天,尿检:白细胞(+++),CT平扫及增强扫描如图所示,下列说法错误的是()
A.右肾体积增大
B.增强后右肾实质内可见条片状密度减低区
C.左肾未见异常
D.考虑为急性肾盂肾炎
E.考虑为慢性肾盂肾炎
121、单项选择题 梭形动脉瘤的首要形成原因是()
A.动脉粥样硬化
B.外伤
C.动脉内膜撕裂
D.感染
E.先天发育异常
122、单项选择题
男,63岁,腹胀、双下肢浮肿、乏力、食欲不振,结合图像,最可能的诊断是()
A.酒精性肝硬化
B.血吸虫肝硬化
C.肝炎后肝硬化
D.局限性脂肪肝
E.原发性肝癌
123、多项选择题 关于CT定位扫描的叙述。错误的是()
A.扫描时检查床不动
B.扫描时X球管机架不动
C.扫描时病人不能动
D.定位扫描图像不是横断图
E.扫描时旋转阳极球管的阳极靶面不动
124、单项选择题
男,35岁,左髂部剧烈疼痛,尤以夜间明显,可摸到肿物,结合图像,最可能的诊断是()
A.骨巨细胞瘤
B.软骨肉瘤
C.骨转移瘤
D.骨肉瘤
E.软骨瘤
125、单项选择题
男,55岁,临床以黄疸就诊。CT增强扫描见肝内胆管轻度扩张,胆总管上段明显扩张,直径约15mm,胆总管下段见软组织肿块且有强化,如图所示,应考虑()
A.急性胆囊炎
B.胆总管结石
C.硬化性胆管炎
D.胆总管下段癌
E.以上都不是
126、单项选择题
如图所示,根据这两个时相分析,最可能的诊断是()
A.肾淋巴瘤
B.急性肾盂肾炎
C.肾梗死
D.肾癌
E.肾囊肿
127、多项选择题 维生素D缺乏症的X线表现有()
A.临时钙化带模糊,不规则
B.临时钙化带致密,称曲姆尔带
C.干骺端增宽,中央呈坏口状凹陷
D.干骺端向两侧唇状突出称皮尔坎征
E.骨骺碎裂改变
128、单项选择题
女,63岁,左腰部隐痛不适1月余,CT平扫+增强如图所示,下列哪项诊断正确()
A.左肾下极囊肿
B.左肾下极错构瘤
C.左肾下极癌
D.左肾下极脓肿
E.左肾下极淋巴瘤
129、单项选择题 卵巢囊肿中最常见的是()
A.皮样囊肿
B.单纯囊肿
C.巧克力囊肿
D.滤泡囊肿
E.多囊病
130、单项选择题 胰腺癌最好发于哪个部位()
A.胰头
B.胰颈
C.胰体
D.胰尾
E.胰体、胰尾交界处
131、单项选择题 关于周围型肺癌的CT增强扫描,错误的是()
A.对于肺部病变,多直接行CT增强扫描便于发现病变并作出诊断
B.在动态CT增强扫描中肺癌的时间-密度曲线呈逐渐上升的形态
C.在CT强化的形态上肺癌多表现为完全强化
D.肺癌增强扫描的CT值比平扫增加20~80HU以上
E.CT增强扫描用于早期肺癌的鉴别诊断
132、单项选择题 双侧大脑半球最大的连接结构是()
A.大脑镰
B.透明隔
C.脑干
D.胼胝体
E.内囊
133、单项选择题 脑脓肿壁形成早期,CT表现为()
A.水肿最明显
B.结节样强化
C.不均匀环形强化
D.均匀环形强化
E.无水肿
134、单项选择题
根据所提供图像,最可能的诊断是()
A.骨折
B.舟骨不连
C.骨髓炎
D.骨转移
E.以上都不是
135、多项选择题
男,53岁,体重明显下降而行CT检查,如图所示,下列说法正确的是()
A.右肾区可见不规则的软组织块,增强为不均匀强化
B.肾平面以上的下腔静脉内均有软组织密度影
C.右心房内可见充盈缺损
D.此为右侧肾癌
E.癌栓侵入下腔静脉并扩散至右心房
136、单项选择题 对探测器作用的论述,正确的是()
A.探测病人位置的准确性
B.探测扫描时有无散射线
C.将微弱的电流进行放大
D.将模拟信号转换为数字信号
E.接收X线并将其转换为电信号
137、单项选择题 小儿CT增强扫描,76%泛影葡胺用量一般为()
A.1.5~2.0ml/kg
B.2.5~3.0ml/kg
C.3.5~4.0ml/kg
D.0.5~1.0ml/kg
E.4.5~5.0ml/kg
138、单项选择题 下列有关前瞻性心电图门控的描述,正确的是()
A.获取心动周期所有时相的图像
B.增加X线辐射剂量
C.受心律不齐的影响较小
D.前门控主要用于EBCT的心脏成像和MSCT的钙化积分
E.Z轴分辨率较高
139、单项选择题 在脊髓内肿瘤中,下列哪种组织学类型最常见()
A.神经母细胞瘤
B.血管母细胞瘤
C.神经上皮性囊肿
D.胶质瘤
E.错构瘤
140、单项选择题 细菌性肝脓肿的主要感染途径不包括()
A.胆道
B.肠系膜上静脉
C.肝总动脉
D.下腔静脉
E.直接蔓延
141、单项选择题 关于透明隔腔下列哪项描述不对()
A.位于透明隔之间
B.不与脑室相通
C.在新生儿CT上几乎均可显示
D.又称Verga腔
E.其密度与脑脊液相等
142、单项选择题
女,13岁,20天前有外伤史,近1周头痛,CT检查如图,最可能的诊断为()

A.脑膜瘤
B.硬膜下血肿
C.胶质瘤
D.转移瘤
E.颅内原发淋巴瘤
143、多项选择题 支气管肺炎的CT表现包括()
A.可形成空洞
B.支气管肺炎病灶经治疗后可完全消散
C.可有肺不张
D.可有肺气肿
E.斑片状阴影沿肺纹理走行,多分布于双肺上叶
144、多项选择题
男,54岁,根据所示图像,最可能的诊断是()
A.左侧肾脓肿
B.左侧肾囊肿
C.左侧肾积水
D.左侧肾梗死
E.主动脉夹层
145、单项选择题 脑(肝)豆状核变性,脑的铜沉积并发胶质增生最显著的部位是()
A.黑质
B.脑干
C.白质
D.壳核
E.小脑齿状核
146、单项选择题 下列哪项CT征象对诊断视网膜母细胞瘤最有价值()
A.眼球内肿块
B.眼球内肿块伴出血
C.眼球内肿块伴坏死
D.眼球内肿块伴钙化
E.眼球内肿块向颅内扩展
147、多项选择题 椎间盘突出的CT直接征象包括()
A.椎间盘后缘向椎管内局限性突出,密度与相应椎间盘一致
B.突出的椎间盘可有钙化,多与椎间盘相连
C.髓核游离,多位于硬膜外
D.硬膜外脂肪间隙变窄、移位或消失
E.硬膜囊前缘或侧方及神经根受压移位
148、单项选择题
中年女性,最可能的诊断为()
A.心旁结节
B.内乳动脉动脉瘤
C.淋巴瘤
D.肺癌
E.以上都不是
149、单项选择题 空间分辨率是指()
A.对组织对比差异的显示能力
B.对解剖细微结构的显示能力
C.评估影像灰阶的参数
D.评估信号强度的参数
E.评估伪影大小的参数
150、单项选择题 与高血压脑出血比较,脑淀粉样变性出血好发于()
A.基底节
B.皮层
C.脑干
D.脑室旁
E.小脑
151、单项选择题 与CT扫描伪影无关的是()
A.扫描中病人移动
B.显示器故障
C.探测器故障
D.体内金属异物
E.扫描层面中有高密度骨出现
152、多项选择题 恶性肿瘤中不常有骨膜反应的是()
A.纤维肉瘤
B.原发网状细胞肉瘤
C.尤文肉瘤
D.骨肉瘤
E.溶骨性骨转移瘤
153、单项选择题
中年患者,女性,偶然发现肝团块,结合图像,最可能的诊断是()
A.肝癌
B.肝血管平滑肌瘤
C.局灶性结节增生
D.肝腺瘤
E.转移癌
154、单项选择题 女,43岁,头痛,发热,5天,CT平扫显示脚间池内葡萄状低密度,有强化,脑室扩大,最可能的诊断是()
A.结核性脑膜炎
B.化脓性脑膜炎
C.脑膜型脑囊虫病
D.病毒性脑膜脑炎
E.霉菌性脑膜炎
155、单项选择题 下列哪项CT表现提示有结节病的可能()
A.肺内浸润阴影
B.肺内孤立空洞
C.双肺门淋巴结显著增大
D.胸腔积液
E.气胸
156、单项选择题 结节性硬化的特征性钙化结节发生在()
A.侧脑室周围
B.第三、四脑室周围
C.皮层下皮质
D.皮层
E.脑沟、脑室
157、单项选择题
根据所提供的图像,最可能的诊断()
A.骨结核
B.多发性骨转移
C.骨血管瘤
D.退行性变
E.骨质疏松
158、单项选择题
女,23岁,胸闷、气促1个月余,左侧锁骨上触及无痛性肿大淋巴结。胸部CT增强扫描片如图,最可能的诊断为()
A.淋巴瘤
B.肺动脉栓塞
C.右上肺肺癌
D.非侵袭性胸腺瘤
E.结节病
159、单项选择题 CT值由高至低是()
A.骨髓,骨皮质,肌肉
B.肌肉,骨皮质,骨髓
C.骨皮质,肌肉,骨髓
D.水,肌肉,骨髓
E.血液,肌肉,骨髓
160、单项选择题
静脉药瘾者并发热,结合图像,最可能的诊断是()
A.淋巴瘤
B.结核
C.肉状瘤病
D.转移癌
E.以上都不是
161、单项选择题
根据所提供的图像,可除外下列哪种诊断()
A.肝癌
B.胰岛细胞瘤转移
C.血管瘤
D.恶性肿瘤转移
E.以上都不是
162、单项选择题
女,45岁,急性右上腹剧痛2小时,向右肩放射,影像检查如图,最可能的诊断为()
A.急性胆囊炎
B.慢性胆囊炎
C.胆囊穿孔
D.胆囊腺肌增生症
E.胆道梗阻
163、单项选择题 对于CT的临床应用,以下哪项不对()
A.颅脑肿瘤的检查首选普通X线,次选CT
B.椎间盘突出的检查:首选CT,次选脊髓造影
C.脑梗死的检查:首选CT,次选脑血管造影
D.肝脏肿瘤的检查:首选超声,次选CT
E.椎管内肿瘤的检查:首选CT,次选脊髓造影
164、单项选择题 全小叶型肺气肿的典型CT表现是()
A.两肺弥漫分布低密度区,无壁
B.呈散在小圆形低密度区,无壁
C.胸膜下肺大泡
D.肺内肺大泡形成
E.蜂窝状改变
165、单项选择题 急性硬膜下血肿指损伤后几天内()
A.2天
B.2周
C.2小时
D.>2周
E.3天
166、单项选择题 正常成年人腰椎椎管前后径的范围为()
A.10~14mm
B.15~25mm
C.8~12mm
D.25~30mm
E.11~13mm
167、单项选择题
女,21岁,根据所示图像,最可能的诊断是()
A.多囊肾
B.双肾多发性囊肿
C.双肾多房性囊性肾瘤
D.多囊肾并腹膜后纤维化
E.双肾囊性肾癌并腹膜后淋巴结转移
168、单项选择题 功能性胰岛细胞瘤分泌不同性质的激素,最多见的是()
A.分泌增血糖素瘤
B.分泌促胃液分泌素瘤
C.血管活性肠肽瘤
D.分泌胰岛素的瘤
E.生长激素释放抑制素瘤
169、单项选择题 易出现脓胸或脓气胸的肺炎是()
A.大叶性肺炎
B.支原体肺炎
C.支气管肺炎
D.金黄色葡萄球菌肺炎
E.腺病毒性肺炎
170、单项选择题 关于鼻咽癌的影像表现,下列描述错误的是()
A.早期可表现为鼻咽侧壁平坦、僵直
B.患侧咽隐窝消失
C.注射对比剂后,肿瘤呈轻度强化
D.肿瘤常伴囊变或钙化
E.对骨的侵犯可为单纯性骨破坏、骨质硬化或两者兼有
171、多项选择题 椎弓崩裂性脊椎滑脱X线、CT特点为()
A.椎体移位程度较重
B.多有外伤史
C.椎弓峡部单侧断裂
D.椎弓峡部双侧断裂
E.椎间关节无明显退行性骨关节炎改变
172、单项选择题
男,6岁,左髋部疼痛、乏力、跛行,结合MR检查,最可能的诊断是()
A.髋关节结核
B.股骨头骨骺缺血坏死
C.骨肉瘤
D.骨囊肿
E.软骨肉瘤
173、单项选择题 下列哪项是颅脑横断面CT扫描常用基线(OM线)()
A.听眶线
B.听眦线
C.听鼻线
D.听口线
E.Mcgregor线
174、单项选择题 颌面外伤CT检查,最好选用下列哪种方法()
A.轴位、冠状位、软组织窗和骨窗
B.轴位、冠状位平扫和增强扫描
C.轴位、软组织窗和骨窗
D.冠状位、软组织窗和骨窗
E.轴位平扫和增强扫描
175、单项选择题 下列哪项,不是CT扫描的适应证()
A.眼部外伤
B.眼眶内异物
C.眼的先天性疾病
D.近视眼
E.眼球及眶内肿物
176、单项选择题
男,18岁,咳嗽,咳痰,咯血半月余,CT检查如图,最可能的诊断是()


A.过敏性肺炎
B.支气管扩张
C.原发性肺结核
D.大叶性肺炎
E.肺癌
177、单项选择题 心脏粘液瘤,最常见于()
A.右心房内
B.右心室内
C.左心房内
D.左心室内
E.心包腔内
178、单项选择题 腹部CT扫描技术的适应证不包括()
A.肝肿瘤
B.脂肪肝
C.胰腺炎
D.肿瘤淋巴结转移
E.肠痉挛
179、多项选择题 Wilson病CT征象包括下述哪些()
A.豆状核条状或新月形低密度区
B.低密度病变可见于基底节以外其他部位
C.增强扫描无强化
D.肝脏早期有脂肪沉积,后期有肝硬化
E.可伴有脑萎缩
180、多项选择题 肺类风湿性病区别于特发性肺间质纤维化的肺部CT征象为()
A.广泛性肺纤维化
B.肺气肿
C.空洞性结节
D.单侧出现的少量或中量胸腔积液
E.支气管扩张
181、单项选择题 下列关于乳腺癌CT平扫哪项不正确()
A.瘤体密度一般低于腺体密度
B.CT值多为25~56HU
C.肿瘤内有坏死液化后可出现低密度区
D.明显显示肿瘤内的短杆状、泥沙样钙化
E.累及胸壁者可见乳腺后间隙消失
182、单项选择题 腹部脏器的CT增强扫描检查技术不合理的是()
A.腹部增强扫描的对比剂注射方法均采用静脉内团注法
B.对比剂用量60~80ml,流速2~3ml/s
C.肝脏、脾脏增强通常采用"三期"扫描
D.胰腺增强扫描通常采用"三期"扫描
E.肾脏增强扫描通常应扫描皮质期、髓质期和分泌期
183、单项选择题 鞍区肿瘤不包括()
A.第三脑室周围肿瘤
B.鞍内肿瘤
C.鞍旁肿瘤
D.松果体肿瘤
E.鞍上肿瘤
184、多项选择题 关于脑干的描述,正确的是()
A.由延髓、脑桥和中脑三部分组成
B.背面与小脑相连
C.延髓、脑桥和小脑之间有四脑室
D.脑桥基底沟内有基底动脉
E.延髓向下连于脊髓
185、单项选择题 CT与MRI相比,下列哪项是其优势()
A.密度分辨率高
B.直接多轴面成像
C.化学成像,信息量大
D.空间分辨率高
E.无碘过敏危险
186、单项选择题 有关椎间盘变性的叙述,错误的是()
A.多发生于中老年人
B.髓核含气量增加
C.椎间盘以低信号为主
D.椎间盘内信号可不均匀
E.可伴有椎间盘突出
187、单项选择题 鼻咽部纤维血管瘤造成的骨质改变主要为()
A.骨质硬化
B.骨质破坏
C.骨质钙化
D.骨质吸收
E.骨质疏松
188、单项选择题
成年男,右上腹不适,CT检查如图所示,最可能的诊断是()
A.肝血管瘤
B.肝癌
C.肝脓肿
D.肝囊肿
E.肝包虫病
189、多项选择题
女,21岁,活动后呼吸困难,CT扫描如图,最可能的诊断是()
A.肺静脉异位引流
B.肺静脉异位引流根据引流肺静脉支数可分部分性及完全性
C.根据引流部位不同分为心上型、心脏型、心下型
D.该病例肺静脉异位引流入下腔静脉
E.该病例为心下型肺静脉异位引流
190、单项选择题
男,22岁,半年前无意中发现左颌下肿物。CT表现如图所示,最可能诊断为()
A.脂肪瘤
B.脂肪肉瘤
C.畸胎瘤
D.淋巴管瘤
E.血管瘤
191、单项选择题 下列哪项无法成为马蹄肾的诊断依据()
A.多不伴有肾盂肾盏积水后形态异常
B.双侧肾脏较正常位置低
C.双肾旋转不良
D.输尿管在肾脏前面下行,有一定弧度
E.双肾下极在脊柱前方融合可诊断
192、单项选择题 下述哪项结构在增强扫描时最迟强化()
A.胰腺
B.脾脏
C.肝脏
D.肾门以下下腔静脉
E.肾门以上下腔静脉
193、单项选择题 在腹腔转移癌的原发灶中,下列哪种较少见()
A.卵巢癌
B.胃癌
C.结肠癌
D.肾细胞癌
E.子宫癌
194、单项选择题
男,17岁,踝关节疼痛,关节作响,结合图像,最可能的诊断是()
A.骨结核
B.剥脱性骨软骨炎
C.退行性骨关节病
D.骨髓炎
E.纤维性骨皮质缺损
195、单项选择题 关于Caroli病的CT表现,错误的是()
A.肝内胆管扩张,右叶为主
B.肝门区中心胆管不扩张
C.肝内多个小囊状区域,与肝内胆管不连接
D.扩张的肝内胆管可有小结石影
E.肝硬化表现
196、单项选择题
男,76岁,无痛性肉眼血尿3个月,CT检查如图所示,下列说法错误的是()
A.左侧肾盂扩张积水
B.左侧输尿管中上段扩张
C.左侧输尿管下段可见节段状不规则的软组织肿块影
D.考虑为左侧输尿管炎
E.考虑为左侧输尿管下段癌
197、单项选择题 钙化主要分布于皮层下区的是下列哪种疾病()
A.胼胝体脂肪瘤
B.弓形虫感染
C.新生儿风疹
D.包虫病
E.多发性硬化
198、单项选择题 等密度硬膜下血肿与颅内肿瘤鉴别的最有效方法()
A.行薄层(2~4mm)扫描
B.改为冠状位扫描
C.进行增强扫描
D.调整扫描角度
E.1周后复查对比
199、单项选择题
女,16岁,鼻塞、流涕1年余,失去嗅觉,影像检查如图,最可能的诊断是()


A.鼻腔乳头状瘤
B.筛窦癌
C.恶性淋巴瘤
D.小唾液腺癌
E.嗅神经母细胞瘤
200、单项选择题 脑脓肿病理分期,错误的是()
A.病灶吸收期
B.急性脑炎期
C.脓腔形成期
D.包膜形成期
E.可分为初期、中期、末期
201、单项选择题 女,7岁,左小腿较右侧粗。CT平扫显示左小腿肌肉内有一3cm×8cm低密度肿块,边界清楚,CT值为-100HU。诊断为()
A.软组织脓肿
B.纤维肉瘤
C.脂肪瘤
D.血管瘤
E.淋巴管瘤
202、单项选择题
血管内支架术后,下列CT图像提示下列哪项诊断()
A.正常术后改变
B.内瘘
C.主动脉夹层
D.支架栓塞
E.以上都不是
203、单项选择题 半卵圆中心是()
A.投射纤维
B.皮层下灰质
C.皮层下纤维
D.连合纤维
E.弓形纤维
204、单项选择题 定位扫描属于扫描步骤中的:()
A.第一步输入病人自然项目
B.第二步摆体位
C.第三步确定扫描范围
D.第四步做横断层扫描
E.第五步转贮影像数据
205、单项选择题
男,18岁,咳嗽头晕1月,结合胸片和CT检查,最可能的诊断是()

A.胸腺瘤
B.淋巴瘤
C.畸胎瘤
D.胸内甲状腺瘤
E.神经源性肿瘤
206、单项选择题 浸润性生长的星形细胞瘤的CT表现是()
A.肿瘤边缘规则清晰
B.增强扫描一般无强化
C.平扫为等密度
D.平扫CT值50~70HU
E.肿瘤内可见斑片状钙化
207、单项选择题 能将模拟信号转换为数字信号的是()
A.探测器
B.准直器
C.阵列处理机
D.A/D转换器
E.D/A转换器
208、单项选择题 目前提出的降低多层CT剂量的措施之一是()
A.不变焦点技术
B.可变焦点技术
C.焦点增大技术
D.焦点减小技术
E.焦点对称技术
209、单项选择题 结核最常侵犯纵隔的()
A.气管右旁(奇静脉组)淋巴结
B.气管左旁淋巴结
C.气管隆突前淋巴结
D.食管旁组淋巴结
E.肺门淋巴结
210、单项选择题 下列哪种肿瘤常可出现囊状扩张性骨转移()
A.肺癌
B.胃癌
C.直肠癌
D.甲状腺癌
E.宫颈癌
211、单项选择题 关于脾外伤CT检查的叙述,错误的是()
A.伤后立即做CT平扫和增强检查,结果正常不能完全除外脾破裂
B.随时间推移血肿密度逐渐减低,是血肿内的血红蛋白和水容量减少所致
C.平扫不易发现脾包膜下血肿
D.脾撕裂伤时可见脾外形不完整或模糊,脾边缘裂缝
E.脾破裂出血多积聚于左侧结肠旁
212、单项选择题 临床怀疑蛛网膜下腔出血应采用以下哪种扫描方式()
A.增强扫描
B.平扫
C.快速CT扫描
D.灌注扫描
E.动态扫描
213、单项选择题
如图所示,该病的鉴别诊断包括以下所有的,除哪项以外()
A.腺癌
B.Hamoudi瘤
C.囊腺瘤
D.胰腺导管内乳头状黏液性肿瘤
214、单项选择题
男,45岁,外伤后行CT检查,最可能的诊断为()

A.左颞顶部硬膜下血肿
B.左颞顶部硬膜外血肿
C.左顶枕叶出血
D.脑挫裂伤
E.脑膜瘤
215、单项选择题 青少年蛛网膜下腔出血常见于()
A.血管畸形破裂
B.动脉瘤破裂
C.肿瘤卒中
D.感染性病变
E.寄生虫病变
216、单项选择题 下列关于鼻窦囊肿的描述,错误的是()
A.黏液囊肿多见于额窦
B.黏液囊肿可引起窦壁骨质吸收
C.黏膜下囊肿好发于上颌窦
D.CT容易区别黏膜下囊肿和黏液腺囊肿
E.额窦黏液囊肿可压迫眼球移位
217、单项选择题
女,45岁,满月脸、向心性肥胖2年余,实验室检查:血、尿皮质醇增高,结合CT图像,最可能的诊断是()
A.左肾上腺腺瘤
B.左肾上腺腺癌
C.左肾上腺转移癌
D.左肾上腺嗜铬细胞瘤
E.左肾上腺增生
218、单项选择题 以下哪项对嗜铬细胞瘤的描述不恰当()
A.肿瘤起源于肾上腺髓质的成熟神经嵴细胞
B.血浆或尿儿茶酚胺升高,24h尿3-甲氧基、4-羟基杏仁酸可明显升高
C.嗜铬细胞瘤又被称为10%瘤,即10%位于肾上腺外,10%为双侧,10%为恶性
D.肿瘤巨大、分叶、密度不均者为恶性
E.肿瘤侵犯邻近结构、包埋血管或有淋巴结肿大者可诊断为恶性
219、单项选择题 X线检查与CT比较,不易显示的病变是()
A.骨折
B.金属异物
C.骨结核
D.骨肿瘤
E.软组织内出血
220、单项选择题 正常输尿管有几个生理性狭窄()
A.3个狭窄
B.2个狭窄
C.5个狭窄
D.4个狭窄
E.6个狭窄
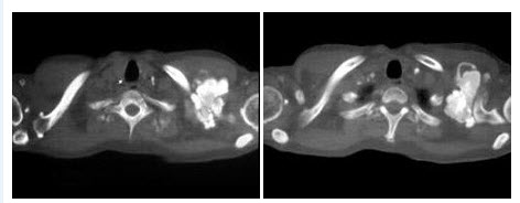
221、多项选择题
男,31岁,吃杏仁后咽喉部疼痛,X线及CT检查如图所示,正确的描述或诊断是()
A.X线示椎前软组织内见广泛气体影
B.CT示颈部软组织及纵隔内见气体影
C.甲状软骨未见异常
D.椎体骨质未见异常
E.软组织积气
222、单项选择题 胸部CT常规为仰卧位,需同时采用俯卧位的是()
A.肺癌的分期诊断
B.观察肺内肿物形态
C.测量肺内病变大小
D.了解胸水流动性
E.对肺弥漫性病变观察
223、单项选择题 关于肾脏CT检查方法,下列哪项是错误的()
A.普通扫描可以发现钙化及结节
B.扫描前禁服钡剂、含钙或金属药物
C.扫描前30分钟口服15%泛影葡胺500ml
D.扫描前6小时禁食
E.一般不需要增强扫描
224、单项选择题
CT平扫如下图所示,符合下列哪种诊断()
A.肾囊肿
B.错构瘤
C.肾癌
D.肾腺瘤
E.肾血管性疾病
225、单项选择题
外伤患者,如图所示,最可能的诊断为()
A.肠麻痹
B.正常肠管
C.肠穿孔
D.肠炎
E.以上都不是
226、单项选择题 女性,39岁,右眼球向外下突出3个月,伴复视。CT显示:右侧额窦扩大,腔内见软组织密度影,骨壁变薄,右眼球受压移位。最可能的诊断为()
A.额窦黏液囊肿
B.额窦骨纤维异常增殖症
C.额窦黏膜下囊肿
D.慢性额窦炎
E.额窦癌
227、单项选择题 儿童四脑室内占位性病变,呈“塑形”或“钻孔”样生长,首先考虑()
A.脉络丛乳头状瘤
B.表皮样囊肿
C.淋巴瘤
D.生殖细胞瘤
E.室管膜瘤
228、单项选择题 下述CT表现中哪一项不支持诊断多发性骨髓瘤()
A.周围骨皮质完整或增厚
B.椎体压缩骨折
C.骨内单发或多发穿凿样骨破坏
D.骨质疏松
E.伴有软组织肿物
229、单项选择题 关于肝脏囊腺瘤,错误的是()
A.常见于30岁以上女性
B.常无症状
C.肿瘤起源于肝细胞
D.肿瘤生长缓慢
E.肿瘤囊腔与胆管不通
230、单项选择题 “环行强化”是下列哪种肿瘤的强化特征()
A.室管膜瘤
B.听神经瘤
C.颅咽管瘤
D.松果体瘤
E.脑膜瘤
231、单项选择题 影响CT密度分辨率的是()
A.扫描层厚
B.X线光子数量
C.滤波函数
D.噪声
E.以上都是
232、单项选择题 女,68岁,上腹部不适5月余,伴消瘦、乏力,经超声及CT平扫发现肝右后叶有一不规则形肿块,大小约4cm×5cm,病灶边界不清,门静脉右支内可见栓塞。首先考虑哪种诊断()
A.肝血管瘤
B.肝癌
C.肝囊腺瘤
D.肝腺瘤
E.肝局灶性结节增生
233、单项选择题
出生2天的男婴,鼻根部眉间正中有一肿块,CT检查如图,最可能的诊断是()
A.蛛网膜囊肿
B.脑膨出
C.硬膜外囊肿
D.鼻息肉
E.鼻咽癌
234、单项选择题
患者偶然发现肾上腺团块,结合所示图像,最可能的诊断是()
A.转移
B.脂肪瘤
C.腺瘤
D.嗜铬细胞瘤
E.以上都不是
235、单项选择题 脊柱横断扫描,对扫描线确定的描述,错误的是()
A.扫描线及扫描计划的确定,从侧位定位像上设计
B.进行椎体扫描时,扫描线应与椎体前后方向的中轴线一致
C.进行椎间盘扫描时,扫描线应是相邻两椎体缘联线夹角的平分线
D.椎体与椎间盘兼扫时,应根据脊柱曲度分段确定
E.脊柱扫描线确立后的扫描为连续扫描
236、多项选择题 有关髋臼的解剖,正确的表述为()
A.由髂骨、坐骨和耻骨的体部共同合成
B.髂骨体构成髋臼的上2/5
C.坐骨体构成髋臼的下2/5
D.耻骨体构成髋臼的后下1/5
E.耻骨体构成髋臼的前下1/5
237、单项选择题
患者长期透析,根据所提供的图像,最可能的诊断是()
A.肾囊肿出血
B.肾癌
C.转移癌
D.良性肿瘤
E.以上都不是
238、单项选择题 肺隔离症血供最常见于来自()
A.降主动脉
B.主动脉弓
C.支气管动脉
D.肋间动脉
E.腹主动脉
239、单项选择题
根据所提供图像,最可能的诊断是()
A.淋巴瘤
B.肾癌转移
C.肺癌转移
D.以上都是
E.以上都不是
240、单项选择题 对于CT图像空间分辨率的叙述,以下哪项正确()
A.不同重建方法得到图像的空间分辨率不同
B.空间分辨率与探测器大小成正比
C.空间分辨率与被测物体间密度差成反比
D.空间分辨率与探测器数目成反比
E.空间分辨率与螺距无关
241、单项选择题 下列有关球形肺炎的CT表现,错误的是()
A.球形病灶,边缘模糊不清
B.病灶形态易变
C.空泡征
D.多数密度均匀
E.边缘波浪状,可有粗长毛刺
242、单项选择题
女性,21岁,上切牙后方发现一囊性突起1年,无明显疼痛。CT表现如下图所示,最可能的诊断为()
A.上颌骨含牙囊肿
B.上颌骨造釉细胞瘤
C.牙根囊肿并感染
D.腭正中囊肿
E.始基囊肿
243、单项选择题 在轴位图像上视神经直径为()
A.3~4mm
B.5~7mm
C.8~10mm
D.11~13mm
E.2~3mm
244、单项选择题 关于门静脉瘤栓的描述,错误的是()
A.平扫时瘤栓密度与门静脉无大差异
B.巨块型肝癌形成门静脉瘤栓的比例最高
C.若门静脉分支直径大于主干,则提示分支有瘤栓形成
D.增强扫描瘤栓呈低密度充盈缺损
E.可向两端延伸至肝内和(或)肠系膜上静脉
245、多项选择题 脊椎退行性变的CT征象包括()
A.椎间盘膨出
B.椎间盘真空征和髓核钙化
C.椎旁软组织肿胀
D.韧带肥厚、钙化
E.椎体边缘及椎小关节骨质增生
246、单项选择题 支气管肺隔离症的供血来自()
A.降主动脉
B.肋间动脉
C.肺动脉
D.支气管动脉
E.膈动脉
247、单项选择题 青年男性,自觉无明显不适,CT示双下肺多发斑片状、边缘不清模糊影,有支气管气相,抗感染治疗30天后复查,病灶形态变化不大,但位置改变,最可能的诊断是()
A.过敏性肺炎
B.肺结核
C.支气管扩张
D.矽肺
E.肺放线菌病
248、单项选择题 CT对骨巨细胞瘤的主要检查目的是检出()
A.骨破坏
B.骨增生
C.钙化
D.转移
E.软组织肿块
249、单项选择题 肾旋转异常的影像学特征性表现是()
A.肾盂积水
B.肾结石
C.肾门的朝向异常
D.肾的位置异常
E.输尿管扩张
250、单项选择题 下述正常脾脏CT表现,哪项不对()
A.脾脏上下径<15cm
B.CT平扫,比肝脏略高
C.平扫CT值,30~70HU
D.脾脏厚度3~4cm
E.脾脏强化先于肝脏
251、单项选择题 以下关于肾上腺肿瘤的描述,错误的是()
A.对患有恶性肿瘤的患者,如CT检查发现一侧肾上腺占位,有可能为转移瘤或肾上腺原发性无功能肿瘤
B.肾上腺转移瘤最常见来自肺癌,约15%肺癌患者肾上腺可能是唯一转移部位
C.CT表现为正常肾上腺,可排除显微镜下转移灶
D.肾上腺转移先累及肾上腺髓质,后累及皮质
E.肾上腺单侧肿瘤时,有时难以鉴别是转移瘤或是原发肿瘤
252、单项选择题 颅脑病变的非直接征象是()
A.脑室变形、正常结构移位、脑水肿
B.病灶增强,形态、中线结构移位
C.蛛网膜下腔增宽、骨质增生
D.脑室扩张、脑积水、病灶多发
E.病灶的结构、大小、密度
253、单项选择题 脊柱动脉瘤样骨囊肿好发于()
A.椎体
B.椎管
C.附件
D.椎旁
E.椎间孔
254、多项选择题 恶性嗜铬细胞瘤的CT表现是()
A.合并甲状腺髓样癌的Ⅱ型嗜铬细胞瘤
B.瘤体大,不规则分叶状,密度不均
C.包埋附近腹主动脉、下腔静脉、肾静脉
D.侵及邻近器官
E.肝转移及附近淋巴结转移
255、单项选择题 螺旋CT扫描与传统CT扫描相比最重要的优势是:()?
A.扫描速度快?
B.取样速度快?
C.重建速度快?
D.体积扫描?
E.单层连续扫描??
256、单项选择题 脊柱血管瘤多见于()
A.上颈椎
B.颈椎
C.胸椎
D.腰椎
E.骶椎
257、单项选择题 肾上腺髓样脂肪瘤的CT表现,错误的是()
A.肿瘤边界清楚
B.可见分隔
C.脂肪密度
D.多数为双侧,直径一般大于5cm
E.可见钙化
258、单项选择题
如图所示,最可能的诊断是()
A.骨髓瘤
B.神经纤维瘤病
C.马方综合征
D.转移瘤
E.以上都不是
259、单项选择题 “眼直肌增粗”,最常见于下列哪种疾病()
A.结节病
B.肢端肥大症
C.眼眶蜂窝织炎
D.痛性眼肌麻痹
E.突眼性甲状腺肿
260、多项选择题
男,45岁,间断性腰背痛4个月,突发左下肢全肢水肿,小腿有张力性水泡,胸腹部CT扫描如图,下列哪些征象或结论正确()
A.下腔静脉缺如
B.下腔静脉变细
C.奇静脉增粗
D.奇静脉变细
E.正常CT表现
261、多项选择题 肝静脉阻塞(Budd-Chiari)综合征CT表现()
A.肝弥漫性肿大
B.可有肝区域性密度不均
C.肝段下腔静脉阻塞
D.常见肝静脉扩张
E.增强后可见脐静脉增粗
262、单项选择题 椎管内血管畸形中最常见的是()
A.动脉畸形
B.静脉畸形
C.毛细血管扩张症
D.动静脉畸形
E.混合性畸形
263、单项选择题 以脑室扩大表现为主的“脑萎缩”称为()
A.皮质型脑萎缩
B.外周型脑萎缩
C.混合型脑萎缩
D.髓质型脑萎缩
E.以上都不对
264、单项选择题 喉癌中最常见的类型为()
A.鳞状上皮细胞癌
B.淋巴肉瘤
C.未分化癌
D.喉乳头状瘤
E.腺癌
265、多项选择题
女,28岁,持续性腰痛加重2天,伴尿频、尿急、尿痛及发热,MRI如图所示,下列说法正确的是()
A.单侧输尿管明显扩张,同侧的肾盂肾盏也扩张,但其程度轻于前者
B.考虑为先天性巨输尿管
C.考虑为输尿管下端结石并积水
D.考虑为输尿管癌所致的梗阻积水
E.考虑为输尿管囊肿
266、单项选择题 女,25岁,双侧突眼6个月。CT示双侧下直肌和内直肌呈梭形增大,增强扫描明显增强,眼环正常,眼球突出1cm,最可能的诊断是()
A.炎性假瘤
B.甲状腺性突眼(格雷夫斯病)
C.细菌性肌炎
D.血管性病变
E.横纹肌瘤
267、单项选择题
男,35岁,皮肤可见咖啡色素斑,关节疼痛,结合图像,最可能的诊断是()
A.骨肉瘤
B.骨转移瘤
C.神经纤维瘤
D.骨软骨瘤
E.纤维肉瘤
268、单项选择题 颈动脉体瘤的增强特点()
A.早期明显增强,但低于或接近大动脉,停止注射后瘤内造影剂存留时间较动脉长
B.稍有增强
C.明显增强,同血管一致
D.不均匀增强
E.不增强
269、单项选择题 缺氧所致的颅内出血以下列哪种较常见()
A.蛛网膜下腔出血
B.硬膜窦撕裂出血
C.皮质桥静脉出血
D.脉络丛静脉破裂出血
E.脑内出血
270、单项选择题 局限性阻塞性肺气肿,最常见的病因是()
A.支气管肺癌
B.慢性支气管炎
C.支气管扩张
D.支气管哮喘
E.小叶性肺炎
271、单项选择题 应首先排除()
A.胸主动脉硬化
B.主动脉壁内血肿
C.胸主动脉夹层并破裂
D.胸主动脉破裂
E.主动脉炎
272、单项选择题 下述“卵巢囊性病变”影像,不正确的是()
A.CT能准确区分浆液性、粘液性囊腺瘤
B.滤泡囊肿多小于3cm
C.单纯囊肿多为单房性
D.单纯囊肿多小于5cm
E.多囊卵巢病,双侧卵巢常同时受累
273、单项选择题
患者中年,大便次数增多,结合图像,最可能的诊断为()
A.十二指肠癌
B.结肠肝曲癌
C.胰腺癌
D.直肠癌
E.以上都不是
274、单项选择题 梗死后往往可以见到“模糊效应”,出现时间常在()
A.第1周
B.第2周
C.第2~3周
D.第4周
E.第3~4周
275、单项选择题 属于CT数字采集系统的部件是()
A.计算机
B.显示器
C.探测器
D.磁盘机
E.阵列处理机
276、单项选择题
男,53岁,腰骶部持续性隐痛,可扪及肿大包块3月余,结合影像学检查,最可能的诊断是()
A.骨巨细胞瘤
B.骨肉瘤
C.骨囊肿
D.脊索瘤
E.骨脓肿
277、单项选择题 女性,35岁,因不孕就诊,CT扫描子宫增大呈分叶状,表面光滑,子宫肌壁内实性低密度影,有钙化,宫腔受压移位,首先考虑的应该为()
A.葡萄胎
B.子宫内膜癌
C.子宫肌瘤
D.子宫肌腺瘤
E.妊娠
278、单项选择题 儿童室管膜瘤最常发生于()
A.第三脑室
B.侧脑室
C.第四脑室
D.导水管
E.脑室旁
279、单项选择题 CT基本设备不包括以下哪项()
A.计算机和数据收集、阵列处理系统
B.扫描架、检查床和X线发生系统
C.独立诊断工作站
D.操作台和图像显示系统
E.照相机和其他用于资料的存储设备
280、单项选择题 心肌梗死的延迟增强扫描图像上,延迟性强化代表()
A.心肌纤维化
B.心肌缺血
C.心肌坏死
D.心室壁瘤
E.心肌修复
281、多项选择题 美国心脏病协会关于冠状动脉节段分法包括()
A.左冠状动脉主干
B.右冠状动脉主干
C.左前降支近、中、远段
D.左回旋支近、远段
E.右冠状动脉近、中、远段
282、多项选择题
该病人突发胸部疼痛,进行性呼吸困难,行X线片检查,提示右下肺病变,急诊CT平扫加增强,如图所示()
A.X线片示右下肺实变影
B.SCT增强扫描示右侧肺动脉主干完全性充盈缺损
C.右肺动脉开口处见不规则软组织密度影
D.考虑为右侧肺动脉(中央性)栓塞
E.考虑为右侧肺癌
283、单项选择题
结合所示图像,最可能的诊断是()
A.移行上皮细胞癌
B.肾细胞癌
C.淋巴瘤
D.转移
E.以上都不是
284、单项选择题 下列哪项不是颅脑增强扫描的目的()
A.区分梗死与水肿
B.观察肿瘤的血运情况
C.明确肿瘤边界
D.鉴别脑内外肿瘤
E.观察血脑屏障的破坏
285、单项选择题 CT的管电流一般在()
A.10~100mA
B.20~200mA
C.30~200mA
D.40~200mA
E.50~300mA
286、单项选择题 碘制对比剂可发生过敏反应,下列不属于轻度反应的是()
A.恶心、呕吐
B.头晕、头痛
C.面色潮红
D.气喘、呼吸困难
E.荨麻疹
287、单项选择题 下列哪项不是肝癌所致肝静脉、下腔静脉癌栓的表现()
A.下腔静脉不规则
B.肝静脉阻塞
C.下腔静脉增宽且密度不均
D.肠系膜上静脉内见同心圆黑影
E.下腔静脉腔内充盈缺损
288、单项选择题 关于侵袭性胸腺瘤的描述,错误的是()
A.CT表现为边缘不清的不规则肿块
B.纵隔受侵犯的主要征象是结构间脂肪层消失
C.可沿胸膜种植到同侧后纵隔、心包、后肋膈角区
D.可通过主动脉裂孔和食管裂孔进入腹腔
E.易发生肺内多发性转移
289、单项选择题
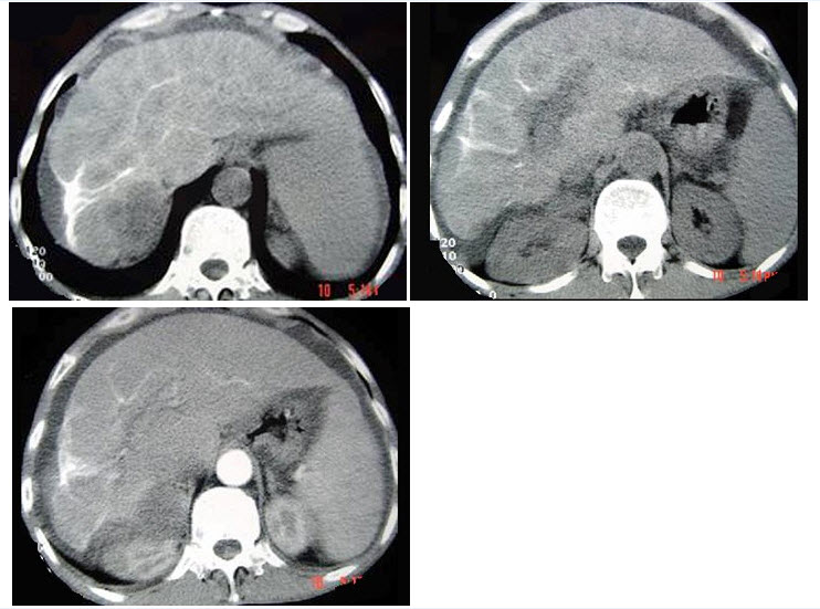
患者中年,腹胀,结合图像,最可能的诊断是()
A.布-加氏综合征
B.肝癌
C.脂肪肝
D.转移癌
E.肝硬化
290、单项选择题 脑梗死最常见的CT增强表现形式为()
A.轻度均匀强化
B.点线样强化
C.片状强化
D.薄壁环形强化
E.脑回状强化
291、单项选择题
女,50岁,查体发现纵隔向左移位,行胸部CT扫描如下图。

A.临床表现重
B.临床可无症状
C.患侧不能闻及呼吸音
D.纵隔居中
E.双侧膈肌显示不清
292、单项选择题
男,23岁,左大腿远端疼痛,夜间明显,服阿司匹林可缓解,结合图像,最可能的诊断是()
A.骨脓肿
B.骨样骨瘤
C.骨化性纤维瘤
D.骨巨细胞瘤
E.骨肉瘤
293、单项选择题 腮腺混合瘤典型的CT表现是()
A.不增强
B.可增强
C.不均匀增强
D.均匀增强
E.延迟增强
294、多项选择题 肝包虫病特点有哪些()
A.人畜共患寄生虫病
B.约98%为囊性包虫病
C.成虫生活在门静脉内
D.成虫生活在末梢胆管内
E.与囊型包虫病相比,泡型包虫病坏死、钙化率高
295、单项选择题
男,45岁,右季肋区疼痛,Murphy征阳性,B超提示胆囊息肉,CT所见如图,最可能的诊断是()
A.胆囊息肉
B.胆囊癌
C.慢性胆囊炎
D.胆囊转移癌
E.胆囊腺肌增生症
296、单项选择题
两个月女婴,口咽部有一肿块,行CT检查如图,最可能的诊断是()

A.脑积水
B.胼胝体发育不全
C.透明隔囊肿
D.前脑无裂畸形
E.Dandy-Walker综合征
297、单项选择题 肝脏的不规则增强是由于()
A.动脉期成像
B.肝转移
C.门静脉栓塞
D.胰腺癌
E.以上都不是
298、多项选择题
男,65岁,近半年时常突发性头晕,CT三维重建如图,正确的描述或结论是()
A.颈内动脉起始段有一长约3.0cm的狭窄段
B.狭窄段可见低密度不强化血栓影
C.狭窄段管壁见点状致密钙化影
D.拟为颈内动脉粥样硬化性狭窄
E.拟为颈外动脉粥样硬化性狭窄
299、多项选择题 关于髓外硬膜下肿瘤X线造影表现正确者()
A.脊髓受压,向健侧移位
B.脊髓膨大,无移位
C.脊髓受压,向患侧移位
D.脊髓常常无变化
E.阻塞近端蛛网膜下腔呈小杯口状,远端逐渐移行为正常
300、单项选择题 食管囊肿的CT征象中,错误的是()
A.发生于后纵隔食管走行区,位于食管旁
B.呈圆形或椭圆形,边缘光滑
C.密度均匀,CT值多在10~15HU
D.变换体位扫描可见尖角征
E.增强检查囊壁明显强化