时间:2025-09-22 03:28:43


1、问答题 肾细胞癌的声像图表现有哪些?
2、单项选择题 哪一类扫查可以显示以上肾脏图形()
A.横向扫查
B.经肝纵向扫查
C.肋缘下斜行扫查
D.背部纵向扫查
E.经侧腰部冠状扫查
3、单项选择题
超声引导穿刺的精确性的影响因素()
①超声仪分辨率
②声束厚度
③穿刺目标大,影响不明显
④穿刺目标大,影响明显
⑤穿刺目标小,影响不明显
⑥穿刺目标小,影响明显
A.①②③⑥
B.①②④⑤
C.①②④⑥
D.①②③⑤
E.②③④⑥
4、单项选择题 前列腺增生症,尿道可能发生的形态改变是()
A.尿道内口移位
B.后尿道拉长超过3cm
C.后尿道曲度改变
D.排尿期尿道腔变细或不规则
E.以上均是
5、单项选择题 有关彩色混叠伪像原因的叙述中,不正确的是()
A.当被测血流速度达到Nyquist频率极限时出现混叠伪像
B.Nyquist频率极限是脉冲重复频率的1/2
C.Nyquist频率极限是血流速度能被检测的极限
D.彩色多普勒能量图不会出现彩色信号混叠
E.通过调节基线位置可测量超过Nyquist频率极限的血流速度
6、单项选择题
多普勒超声技术可分为()
①脉冲多普勒
②彩色多普勒
③连续多普勒
④频谱多普勒
A.①②
B.②④
C.①②③
D.①②③④
E.①③
7、问答题 肾上腺皮质腺癌的声像图表现有哪些?
8、单项选择题 下列哪项不符合子宫内膜异位症()
A.随月经周期变化
B.发生于子宫肌层称子宫肌腺症
C.发生于卵巢称巧克力囊肿
D.良性疾病,不发生远处转移和种植
E.可种植于盆腔
9、单项选择题 至妊娠几周,卵黄囊缩小并入脐带()
A.7周
B.8周
C.9周
D.10周
E.11周
10、单项选择题 视神经全长多少毫米,分几段,超声检测可显示哪几段()
A.<33mm,3段,各段
B.33~55mm,4段,球壁、眶内段
C.33~55mm,4段,球壁、眶内、管内段
D.55mm,4段,球壁、眶内、颅内段
E.60mm,4段,球壁、眶内、颅内段
11、单项选择题 除哪一项外,均可为肝脏脂肪浸润表现()
A.肝大
B.一个局灶性高回声肿块
C.血管结构减少
D.透声减少
E.回声增强
12、问答题 女性先天性生殖器官发育异常的声像图表现有哪些?
13、单项选择题 组织的平均声衰减最低的是()
A.血清
B.脂肪
C.肝脏
D.皮肤
E.骨骼、肺
14、单项选择题 成人型多囊肾中下列哪一项是错误的()
A.该病一般在40~60岁出现症状,有家族性
B.超声显示两肾内无数大小不等的囊肿,常合并多囊肝等其他脏器多囊性疾病
C.本病属常染色体隐性遗传病
D.本病为双侧性,临床上少数病例两肾发展可不一致
E.本病出现症状愈早,预后愈差;晚期症状为高血压、肾功能减退
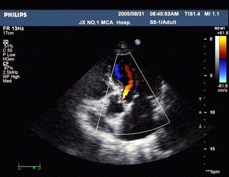
15、单项选择题
某患者收缩期超声心动图所示,提示()

A.二尖瓣狭窄
B.二尖瓣关闭不全
C.房间隔缺损
D.动脉导管未闭
E.以上都不是
16、单项选择题 胎盘早剥的临床和超声表现,下列哪一项是错误的()
A.妊娠晚期阴道出血
B.胎盘覆盖宫颈内口
C.分为胎盘后与边缘出血
D.可导致早产、胎儿死亡
E.系底蜕膜出血,形成血肿
17、单项选择题 乳房良性肿瘤的声像图表现()
A.包膜完整
B.包膜完整,内部回声均匀
C.包膜完整,内部回声均匀,后方回声衰弱
D.包膜完整,内部回声均匀,后方回声可增强也可不增强
E.内部回声均匀,后方回声衰减
18、单项选择题 关于室间隔缺损,何者不对()
A.膜部缺损最为多见
B.缺口处血流呈连续性高速血流
C.常引起左心负荷明显增加
D.测取缺口血流时,需采用连续多谱勒
E.CDFI显示左向右红色血流
19、单项选择题 超声检查盆腔之前,适度充盈膀胱的目的是()①作为透声窗②推开肠管③作为辨认脏器的标志④作为解剖的参照结构⑤有助于提高子宫位置,以便充分暴露脏器
A.①②
B.①②③
C.①②③④
D.①③④
E.以上全是
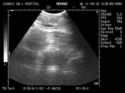
20、单项选择题
女,25岁,因急性胰腺炎禁食5天。声像图如图所示。结合超声声像图,诊断为()
A.胆囊泥沙样结石
B.胆囊内胆汁淤积
C.胆囊多发性息肉
D.胆囊多发性胆固醇结晶
E.胆囊癌
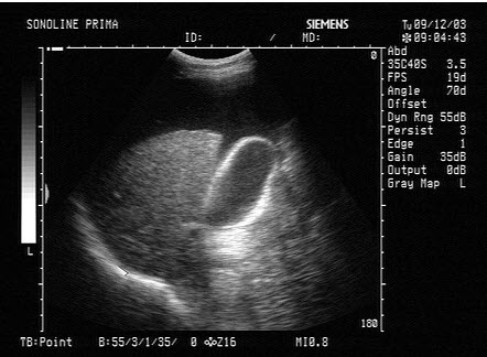
21、单项选择题
患者,急性胰腺炎治疗后,超声见胰腺尾前方7cm大小的囊性光团,如图所示,考虑为()
A.胰腺假性囊肿
B.胰腺炎
C.胰腺肿瘤
D.胰腺脓肿
E.胰腺真性囊肿
22、单项选择题 下列关于超声波的表述,正确的是()
A.频率不同的声波在同一介质中的传播速度不同
B.波长和频率成正比
C.超声在人体软组织中的平均传播速度是1460m/s
D.相同频率的超声在不同介质中传播声速相同。
E.声速与介质的密度成正比
23、单项选择题 早孕期间经阴道超声检查不能诊断的是()
A.异位妊娠
B.鉴别正常与异常的宫内孕
C.前置胎盘
D.确定早期宫内孕的孕龄
E.鉴别附件包块性质
24、单项选择题 胰头的钩突部后方为下腔静脉,前方为()
A.门静脉
B.胆总管
C.肝动脉
D.肠系膜上动脉
E.肠系膜上静脉
25、单项选择题 子宫肌瘤彩色多普勒经腹超声特征是()
A.肌瘤中心见丰富血流,分布规则
B.肌瘤中心见丰富血流,分布杂乱
C.肌瘤周围显示血流,呈环状或半环状
D.肌瘤内多见极丰富血流
E.无血流
26、单项选择题 扫查锁骨下动脉较适宜的探头频率是()
A.2.0MHz
B.2.5MHz
C.5.0MHz
D.10.0MHz
E.12MHz
27、单项选择题 一般来说,胎囊指的是妊娠()
A.小于2周
B.4~10周
C.10~12周
D.10~15周
E.6~8周
28、单项选择题 左肾静脉位于()
A.下腔静脉后方
B.与门静脉并行
C.腹主动脉与肠系膜上动脉之间
D.腹主动脉后方
E.腹腔干与腹主动脉之间
29、单项选择题 从颞窗检查脑底动脉,距离探头最近的动脉应该是哪支动脉()
A.大脑前动脉
B.大脑中动脉
C.大脑后动脉
D.前交通动脉
E.后交通动脉
30、单项选择题
该病例最有可能诊断()

A.肺静脉畸形引流
B.上腔静脉型房缺
C.Ⅱ孔型房缺
D.卵圆孔重开
E.下腔静型房缺
31、单项选择题 尿路梗阻对肾脏造成危害中,哪一项是错误的()
A.尿路任何部位的梗阻均可造成肾积水
B.单侧肾积水是上尿路梗阻所致,双侧肾积水多为下尿路梗阻所致
C.梗阻部位越低,对肾脏造成危害的时间越快
D.肾外肾盂积水时,肾盂向外扩张,肾实质受影响慢
E.巨大肾积水均为长期部分性尿路梗阻所致
32、单项选择题 黏液表皮样癌的声像图表现是()
A.腮腺区可探及囊性病灶
B.病灶界限边缘不清,轮廓不完整
C.病灶以液性回声为主,内部可见不均质低回声与致密较强回声交错分布
D.液性回声中出现致密较强回声团块
E.以上都是
33、问答题 子宫腺肌症的声像图表现有哪些?
34、单项选择题 M型超声心动图,正常成人主动脉瓣开放幅度应不小于()
A.10mm
B.30mm
C.18mm
D.20mm
E.16mm
35、单项选择题
某患者,左阴囊肿大,疼痛,数小时前曾与人殴斗。根据超声声像图,最可能的诊断为()
A.睾丸鞘膜积液
B.阴囊内血肿及血块
C.睾丸破裂
D.睾丸扭转
E.睾丸肿瘤
36、单项选择题 子宫次全切除后,超声应检查的内容是()①阴道②宫颈断端③附件区有无新生包块④子宫已切除,没有必要进行超声检查
A.①
B.①②
C.①②③
D.④
E.①③
37、问答题 超声诊断前置胎盘的要点是什么?
38、单项选择题
女性,出现腰痛并血尿3天,超声检查如图所示,该病例最可能诊断()
A.肾钙质沉积症
B.肾结石
C.肾内钙化灶
D.肾窦灶性纤维化
E.海绵肾
39、名词解释 电影回放
40、单项选择题 乳腺良性与恶性肿瘤的超声鉴别特点,错误的是()
A.边界是否光滑、完整
B.内部回声增强或减低
C.肿物后方是否衰减
D.纵横比是否大于1
E.肿块大小
41、单项选择题 膀胱与直肠间的两个袋状低回声是()
A.前列腺
B.精囊腺
C.睾丸
D.输精管
E.肿大淋巴结
42、问答题 简述超声诊断仪的主要组成部分。
43、单项选择题 下述哪一项是心梗合并症()
A.主动脉瓣撕裂
B.三尖瓣闭锁
C.室间隔瘤
D.乳头肌肥厚
E.室壁瘤
44、单项选择题 关于空间分辨率的影响因素,下列叙述中正确的是()
A.频率越高,则纵向分辨率越差
B.实际上,轴向分辨率约为波长的1/2
C.横向分辨率仅与声束宽度有关
D.声束越宽,侧向分辨率越差
E.近场与远场的空间分辨率相同
45、单项选择题 反射回声的强度取决于()
A.反射回声的量,声速的衰减程度
B.声速的衰减程度,入射声速与界面的角度
C.反射回声的量,入射声速与界面的角度
D.反射回声的量,声速的衰减程度,入射声速与界面的角度
E.声速的衰减程度
46、问答题 肾移植术后肾排异的声像图表现有哪些?
47、单项选择题 青蛙无()。
A.下颌骨
B.胸骨
C.肋骨
D.尾椎骨
48、单项选择题 男性,12岁,突然发现阴囊肿胀、剧疼。超声显示:睾丸轻度肿大,中等回声,2~3小时后复查睾丸回声尚均匀,睾丸内血流消失。最可能的诊断为()
A.睾丸炎及附睾炎
B.阴囊血肿
C.鞘膜积液
D.睾丸扭转
E.斜疝绞窄
49、单项选择题 M型超声的特点哪项是错误的()
A.单声束取样获得界面回声
B.Y轴代表界面深浅
C.X轴可另加时基扫描线
D.可用于心脏功能的测量计算
E.也可同时用于Z轴上显示的回波
50、单项选择题 关于原发性视网膜脱离的描述,正确的是()
A.亦称孔源性视网膜脱离
B.是一种原因不明的视网膜层间分离
C.视力减退,相应的视野缺乏
D.眼底检查可发现视网膜灰色隆起
E.以上都对
51、单项选择题 成年女性乳房的主要构成包括()
A.皮肤、皮下脂肪及韧带
B.脂肪、腺叶及小叶
C.皮肤、皮下脂肪及腺体
D.皮肤、皮下脂肪及肌肉
E.腺叶、腺泡及脂肪
52、单项选择题 胡桃夹综合征是()
A.肠系膜下静脉受压迫综合征
B.右肾静脉受压迫综合征
C.左肾静脉受压迫综合征
D.肠系膜上静脉受压迫综合征
E.下腔静脉受压迫综合征
53、单项选择题 肾周围脓肿常伴有()
A.肾积脓
B.胸膜渗液
C.肝脓肿
D.右心衰竭
E.腹腔积液
54、单项选择题 肝豆状核变性与下列哪项元素代谢失常有关()
A.锌
B.铁
C.硒
D.铜
E.铝
55、单项选择题 人体组织内引起超声波反射的条件是()
A.相邻两种物质的声阻抗相等
B.两种物质之间声阻抗存在差别(>1/1000)
C.声波与界面平行
D.界面径线小于波长的二分之一
E.以上均不是
56、单项选择题 回声增强发生在下列哪类物体后方()
A.强衰减体
B.弱衰减体
C.强衍射体
D.弱衍射体
E.固体
57、单项选择题
某患者高热,肾区疼痛,肾脏超声声像图如下,最可能的诊断为()
A.肾囊肿
B.急性肾炎
C.脓肾
D.肾癌
E.肾结核
58、单项选择题 超声诊断恶性滋养细胞肿瘤,应注意()①子宫内或宫旁病灶,因病变侵犯程度不同或血管供应范围不同②不同部位病灶的RI不同③应结合临床、病史、HCG结果④经阴道超声检查阳性率明显高于经腹检查
A.①②
B.①②③
C.①②④
D.①②③④
E.①③④
59、单项选择题
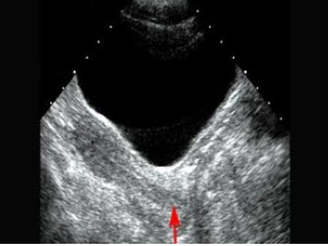
如图,正常甲状腺中部横切面的超声声像图,中央气管环状软骨前方组织为()
A.甲状腺峡部
B.皮下组织
C.甲状旁腺
D.淋巴结
E.以上均不对
60、单项选择题 在超声评分胎盘成熟度中,0级胎盘绒毛膜板表现为()
A.有弥散性暗区
B.有稠密的线状回声
C.有不完全的分叶
D.光滑,平整
E.与基底层有切迹状的交通
61、单项选择题 存在于胆囊或胆管中,且后方无声影的回声团不可能为()
A.息肉
B.胆泥
C.气体
D.血块
E.肿瘤
62、单项选择题 如果一侧颈内动脉阻塞或高度狭窄,同侧颈总动脉将出现哪种变化()
A.阻力指数降低
B.阻力指数升高
C.收缩期峰值流速升高
D.舒张期峰值流速升高
E.血流反向
63、单项选择题 脐动脉S/D比值()
A.在妊娠过程中不断下降
B.不断升高
C.不断波动
D.保持恒定
E.先下降后上升
64、单项选择题 下列哪项不是睾丸胚胎癌的声像图特征()
A.睾丸增大,内见肿块回声,正常睾丸组织受侵犯而缺损
B.肿块边界欠整齐
C.肿块内部可见到结节
D.肿块内部回声为均匀低回声
E.睾丸血流信号明显较健侧多
65、单项选择题 许多种彩色多普勒血流显像仪均带伪彩功能,它的作用是()
A.增加彩色血流检出敏感度
B.增加彩色血流的信息量
C.增加灰阶图像的视觉分辨能力
D.能进行定量测量
E.增加低速血流的显示能力
66、单项选择题 脉冲式多谱勒的技术优势在于()
A.可测定高速血流
B.可测定低速血流
C.有距离选通作用
D.连续发射脉冲波
E.主要用于返流的检测
67、单项选择题 能量多普勒的优点是()
A.帧频更高
B.对微弱的多普勒信号更敏感
C.计算流速更准确
D.计算流量更准确
E.混叠
68、单项选择题 行胆囊超声检查的病人在检查前应禁食几小时()
A.4~6小时
B.6~8小时
C.8~12小时
D.18小时
E.3小时
69、单项选择题
男,57岁,慢性乙肝多年,现上腹痛,纳差,AFP>500,结合超声声像图,诊断为()

A.肝血管瘤
B.肝脓肿
C.结节性肝硬化
D.弥漫性肝癌
E.脂肪肝
70、单项选择题 超声遇到运动的反射界面时当反射波的频率发生改变,这称为()。
A.入射角度
B.多普勒效应
C.传播
D.自然反射
E.混响
71、单项选择题 下列子宫肌瘤病理特点和声像图的表现,哪一项是错误的()
A.肌瘤由平滑肌与纤维结缔组织交叉组成
B.肌瘤周围有被压缩的肌纤维所组成的假包膜
C.假包膜与肌瘤间有疏松的结缔组织
D.肌瘤变性时,声像图可为圆形无回声区
E.肌瘤结节多呈圆形无回声区
72、单项选择题
患者发现颈部肿块两年余,无明显不适。甲状腺超声显示甲状腺及血管旁异常光团,如图。最可能的诊断为()
A.甲状腺癌
B.结节性甲状腺肿
C.甲状腺炎
D.甲状腺腺瘤
E.以上均不是
73、单项选择题 脐带内有()
A.两条动脉,一条静脉
B.两条动脉,两条静脉
C.两条静脉,一条动脉
D.一条动脉,一条静脉
E.一条动脉,几条静脉
74、单项选择题
彩色多谱勒血流显像的彩色图通常采用什么彩色表示血流方向()

A.红色表示血流朝向探头,蓝色表示血流背离探头
B.红色表示血流背离探头,蓝色表示血流朝向探头
C.蓝色表示血流朝向探头,白色表示血流背离探头
D.红色表示血流背离探头,白色表示血流朝向探头
E.可随意设定
75、单项选择题 根据头臀长度(CRL)计算孕龄的简易公式是()
A.孕周=CRL(cm)
B.孕周=CRI(cm)+3
C.孕周=CRL(cm)+5
D.孕周=CRL(cm)+6.5
E.孕周=CRL(cm)+4
76、问答题 输尿管结石的声像图表现有哪些?
77、问答题 脾外伤的USG有哪些?
78、单项选择题 超声诊断右室双出口哪一项是错误的()
A.主动脉骑跨<50%
B.右室壁增厚
C.右室增大
D.主动脉骑跨>70%
E.室间隔缺损
79、单项选择题 以下介质中声速最慢的是()。
A、空气
B、0℃水
C、血液
D、软组织
E、肌肉
80、单项选择题 压电效应只有通过哪种材料才能表现出来()
A.金属材料
B.水晶不对称材料
C.天然存在的材料
D.塑料材料
E.合金材料
81、单项选择题 下列哪项对彩色多谱勒的依赖较小()
A.瓣膜疾病
B.肥厚型心肌病
C.先心病
D.心包疾病
E.夹层动脉瘤
82、单项选择题 粉碎性骨折声像图特点()①断端间有强回声斑或块状强回声,后伴声影②断端间有强回声斑或块状强回声,后方无声影③骨折处可探及骨断裂回声④骨皮质回声中断,骨质中出现不规则低或较强回声
A.①
B.①②
C.①②③
D.②④
E.①②③④
83、单项选择题 风心病二尖瓣狭窄B超诊断主要表现,下列哪项是错误的()。
A.二尖瓣增厚,纤维化,钙化,腱索粘连,缩短
B.二尖瓣口开放幅度减小及瓣口面积变小
C.前叶瓣尖运动消失,瓣体活动正常或幅度减,呈“圆顶状”
D.左房扩大,肺静脉扩张
E.二尖瓣关闭时留有缝隙
84、单项选择题 由于入射声束与曲面相互作用造成的伪像称为()
A.幻影伪像
B.振铃伪像
C.彗尾伪像
D.边缘伪像
E.折射伪像
85、单项选择题 心包肿瘤最重要的超声所见是()
A.在心包脏层或壁层有形状不规则的团块状回声
B.心包增厚、钙化
C.心包腔内有条索状回声
D.心包有大量积液
E.心包脏层、壁层有粘连
86、单项选择题 中等水平回声见于()
A.肝实质
B.骨骼
C.胆结石
D.肌腱
E.血管壁
87、单项选择题 若是2MHz声波用于检查人体软组织,则其波长接近()
A.1/2mm
B.1/2cm
C.3/4mm
D.2mm
E.2cm
88、单项选择题 关于透声层的描述,错误的是()
A.透声层又称阻抗匹配层
B.透声层的条件是厚度等于1/4波长
C.当压电材料和人体的特性阻抗一定后,可选用适当的器材满足阻抗匹配的条件
D.选用耦合剂应注意符合阻抗匹配条件
E.透声层只是一种理想状态,现实中无法满足其条件
89、单项选择题
该病例最可能的诊断()

A.黏液瘤
B.心房血栓
C.心房云雾影
D.房壁增厚
E.赘生物
90、单项选择题 以下哪种病声像图改变是睾丸周围呈无回声()
A.鞘膜积液
B.附睾炎性改变
C.睾丸炎性改变
D.睾丸肿瘤
E.阴囊壁水肿改变
91、单项选择题
如图切面称为哪种超声心动图切面()

A.心尖四腔
B.心尖短轴
C.左室长轴
D.心尖二腔
E.大动脉短轴
92、单项选择题
患者,女性,甲状腺肿大。探及多个结节状的强回声光团,其内可见暗区。如图所示,最可能的诊断为()
A.甲状腺功能亢进
B.甲状腺腺瘤
C.甲状腺炎
D.结节性甲状腺肿
E.甲状腺癌
93、问答题 急性胆囊炎超声声像图表现?
94、单项选择题 随年龄增加,胰腺显示为()
A.回声减低,体积增大
B.回声无改变,体积增大
C.回声增高,体积缩小
D.回声增高,体积增大
E.回声减低,体积缩小
95、单项选择题 赵某,男,50岁,颈前偏右有一实性结节,质硬。2周后发现声音嘶哑,超声显示:甲状腺右叶单发,境界不清,低回声结节,内有细点状强回声,伴有右颈部淋巴结肿大,最可能的诊断是()
A.甲状腺腺瘤
B.甲状腺癌
C.甲状腺囊肿
D.结节性甲状腺肿
E.桥本病
96、单项选择题
某患者左室长轴切面超声心动图如图所示,诊断为()

A.正常声像图
B.扩张型心肌病
C.房间隔缺损
D.室间隔缺损
E.三尖瓣返流
97、单项选择题
患者男37岁,乙肝患者肝硬化。B超检查如图所示,脾门处包块,根据超声声像图,诊断为()
A.脾门淋巴结肿大
B.副脾
C.脾门占位
D.腹腔占位
E.肾上腺肿瘤
98、单项选择题 下列哪一项临床超声表现与子宫发育畸形无关()
A.原发性闭经
B.不孕
C.习惯性流产
D.难产
E.子宫内膜息肉
99、单项选择题 采用低频滤波装置时,保留的超声信号来自()
A.心壁
B.腱索
C.瓣膜
D.血管壁
E.血流
100、单项选择题
患儿,出生1个月,因喂奶时经常呕吐,加重数天就诊,婴儿明显消瘦,皮肤松弛有皱纹,皮下脂肪减少,精神抑郁呈苦恼面容。喂奶时,可见从左季肋向右上腹移动之蠕动波。根据超声示意图,最可能的诊断为()
A.先天性肥厚型幽门狭窄
B.先天性胆管狭窄
C.胃溃疡
D.肠炎
E.肠梗阻
101、单项选择题 除哪一项外,以下结构在肾窦内均可见到()
A.主肾盏
B.肾锥体
C.小肾盏
D.肾盂血管
E.以上都是
102、单项选择题
胆总管出现图中所示特点,称为()
A.双筒枪征
B.海鸥征
C.鸟嘴征
D.鼠尾征
E.平行管征
103、单项选择题
该病例最可能的诊断()

A.右室双出口并室间隔缺损
B.主动脉骑跨
C.室间隔缺损
D.大动脉异位
E.左室双出口
104、单项选择题 胎盘边缘抬高并见血肿回声,同时伴腹痛阴道出血应考虑()
A.绒毛膜血管瘤
B.边缘性前置胎盘
C.胎盘早剥
D.子宫肌腺症
E.子宫肌瘤
105、单项选择题
患者上肢可扪及一包块,质软、活动度差,加压可变形。如图,提示为()
A.脂肪瘤
B.纤维瘤
C.软组织局限增厚
D.炎性包块
E.以上均不是
106、单项选择题 实验:抽取静脉血液10ml分别置于A和B试管内。然后,在B管内加入数滴抗凝剂肝素,轻轻混匀,用瓶塞塞紧试管口,静置数分钟。将有塞A试管剧烈震荡,使血液与空气混合后静置。分别超声检查发现以下现象,请指出何种现象不可能出现()
A.非抗凝血液试管A出现凝血块,回声增多
B.抗凝血液内部回声无明显增多(试管B)
C.因抗凝药与血液混合,回声明显增多(试管B)
D.抗凝血液振荡后回声明显增多
E.抗凝血液振荡后回声明显增多,回声因静置而略减少
107、单项选择题 彩色多普勒血流显像仪的性能,下列哪项与之无关()
A.空间分辨力,速度分辨力,动态分辨力
B.细小血管低速血流检测灵敏度
C.图像及血流彩色均匀性
D.彩色血流的充盈度
E.彩色标图的形状
108、单项选择题 关于经阴道超声检查方法学的描述,下述哪一项是错误的()
A.子宫肌瘤较大时,应同时进行经腹超声检查
B.卵巢肿瘤位置较高时,应同时进行经腹超声检查
C.经阴道超声检查常用于胎儿心脏畸形诊断
D.与经腹超声相比,常能清晰显示子宫内膜形态
E.检查前需排空膀胱
109、单项选择题
某患者舒张期二尖瓣口心动图所示,提示()

A.二尖瓣狭窄
B.二尖瓣关闭不全
C.二尖瓣脱垂
D.正常声像图
E.二尖瓣赘生物
110、单项选择题
如图,为一孕妇34周时,羊水内漂浮所见管道结构(横切),最可能的诊断是()
A.脊柱裂
B.脑膜膨出
C.淋巴管囊肿
D.单脐动脉
E.正常图像
111、单项选择题 房间隔缺损最常见类型是()
A.原发孔型
B.下腔型
C.静脉窦型
D.卵圆孔型
E.混合型
112、单项选择题
女,47岁,上腹部疼痛十多年,加重2个月余,皮肤巩膜黄染,进行性加重,皮肤搔痒,声像图如图所示(肝内胆管扩张),结合超声声像图,诊断为()
A.肝癌
B.右肾癌
C.胆囊结石并胆囊炎
D.胆囊结石并胆囊癌
E.肝脓肿
113、单项选择题
根据超声声像图,提示结构为()
A.脐带
B.胎盘
C.胎儿躯干
D.胎儿臀部
E.子宫肌层
114、单项选择题 下腔静脉在什么运动时塌陷()
A.浅呼吸
B.运动
C.吸气
D.呼气
E.Valsalva动作
115、单项选择题 眼球有几个腔,眼球内容物有()
A.眼球为一圆形腔隙,内容物有晶状体、玻璃体
B.眼球有两腔:前房、后房,内容物有晶状体、玻璃体
C.眼球有三腔:前房、后房、玻璃体腔,内容物有晶状体、玻璃体
D.眼球有四腔:前房、后房、晶状体腔、玻璃体腔,内容物有晶状体、玻璃体
116、单项选择题 囊性肿物的声像图特点是()①增强增益仍为无回声②壁光滑,边界清楚③后方回声增强④后方声影
A.①②
B.①②③
C.①②④
D.②④
E.①②③④
117、单项选择题
女,24岁,停经2月余阴道不规则出血数日,阴式B超检查,如图所示,最可能的诊断为()
A.早孕
B.葡萄胎
C.绒癌
D.宫内积血块
E.畸胎瘤
118、单项选择题 俯卧扫查腹主动脉周围腹膜后淋巴结有一定难度,是因为()
A.髂腰肌干扰图像
B.俯卧位时淋巴结肿大
C.俯卧时淋巴结降入腹腔
D.脊柱产生声影伪像
E.以上均是
119、单项选择题 超声检查至少在妊娠几周后才能较好地看到胎儿()
A.2周
B.4周
C.6周
D.8周
E.9周
120、单项选择题 当骨盆骨折时,易受损的是哪一部分尿道()
A.前列腺部尿道
B.膜部尿道
C.球部尿道
D.阴部尿道
E.悬垂部位
121、单项选择题 胎盘部分分布在子宫下段,接近于宫颈内口,称为下列哪种前置胎盘()
A.中央性
B.边缘性
C.低置
D.部分性
E.以上都不是
122、单项选择题 下面哪项不是门脉高压的侧支循环路径()
A.脾静脉
B.副脐静脉
C.胃冠状静脉
D.肠系膜静脉
E.内乳静脉
123、单项选择题
男,60岁,便血就诊。PE:左下腹可扪及一肿块,质硬。结合超声声像图,诊断为()
A.Crohn’s病
B.肠梗阻
C.肠癌
D.肠套叠
E.肠结核
124、填空题 脓肿的超声表现是_______。
125、单项选择题 彩色多普勒能量图的成像原理为()
A.血流速度
B.信号强度
C.血流方向
D.速度变化
E.速度方向
126、单项选择题 如何利用频谱多普勒判断动脉血流?()
A.血流频谱为连续不断的波形
B.血流频谱为博动性尖峰脉冲波形且频谱速度高
C.血流频谱速度
D.血流颜色为红色
E.以上都正确
127、单项选择题
根据心尖四腔心切面声像图所示,超声诊断为()

A.左房血栓
B.二尖瓣赘生物
C.左房黏液瘤
D.正常声像图
E.以上都不是
128、单项选择题 以下哪种声像图最易诊断为肾积水()
A.肾盂、肾盏集合系统充满无回声
B.肾盂、肾盏集合系统回声增强
C.肾失常扭曲
D.肾实质多发无回声
E.肾盂内局限性高张囊性无回声
129、单项选择题 肥厚型梗阻性心肌病,下列正确的是?()
A.室间隔及左室后壁明显增厚,左房内径增大
B.二尖瓣前叶(SAM)征象
C.主动脉瓣中期关闭现象
D.左室流出道高速射流
E.以上都是
130、单项选择题 胎儿肛门闭锁,超声表现是()
A.单泡征
B.胎儿上腹部双泡征
C.近端小肠显著扩张
D.胎儿骨盆断面“双叶形”囊性肿物
E.食管成管状无回声区
131、单项选择题 非镜面反射体是()
A.肝脏表面
B.膈肌
C.红细胞
D.不产生强回声的任一结构
E.以上都不是
132、单项选择题 早孕时,羊膜囊与什么间的空隙为胚外体腔()
A.羊膜
B.绒毛膜
C.底蜕膜
D.卵黄囊
E.包蜕膜
133、单项选择题
心尖四腔切面,二尖瓣与三尖瓣的鉴别正确的是()

A.二尖瓣前叶较短
B.二尖瓣位置高
C.三尖瓣位置高
D.三尖瓣隔叶较长
E.三尖瓣前叶较长
134、单项选择题 关于肾脏解剖描述中下列哪项是错误的()
A.肾脏位于腹膜后脊柱两旁的肾窝内
B.左肾较右肾略大
C.左肾较右肾位置高1~2cm
D.肾门部结构从前向后依次为肾静脉、肾动脉、肾盂
E.肾门结构从上向下依次为肾静脉、肾动脉、肾盂
135、单项选择题 子宫内膜癌的临床与超声表现,下列哪项是错误的()
A.绝经期出血
B.多为老年妇女
C.阴道排液
D.超声表现宫腔积液
E.常合并卵巢囊肿
136、单项选择题 移植肾正常声像图表现()
A.肾窦增大
B.较正常肾脏回声更多
C.皮质薄而髓质锥体增加
D.与正常肾脏声像图一致
E.常位于肾窝内
137、单项选择题 心绞痛型冠心病的超声检查所见哪一项是错误的()
A.心室收缩功能可低下
B.心室舒张功能减退
C.节段性室壁运动低下
D.负荷试验可诱发室壁运动减低
E.收缩期增厚率明显增加
138、单项选择题 关于前置胎盘的超声诊断,下列哪一项是错误的()
A.过度膀胱充盈下检查准确性高
B.超声是胎盘定位首选方法
C.判断胎盘下缘
D.显示子宫颈,明确宫颈内口位置
E.确定胎盘下缘与子宫颈内口的关系
139、单项选择题
女性,32岁,停经45天,B超检查如图,最可能的诊断为()
A.宫腔积液
B.宫体肌瘤
C.早期妊娠
D.子宫粘膜下肌瘤
E.卵巢囊肿
140、判断题
如图,颈动脉壁上异常光团提示动脉壁粥样斑块硬斑形成。

141、单项选择题 人眼可区别多少级灰阶()
A.大约16级左右
B.32~64级
C.64级以上
D.256级以上
E.512级以上
142、单项选择题 双胎间输血综合征主要发生于下列哪种情况()
A.单卵双胎,两胎儿共用胎盘中血管,有血管吻合
B.双卵双胎,两胎儿共用胎盘中血管,有血管吻合
C.单卵双胎,两胎儿不共用胎盘中血管,无血管吻合
D.双卵双胎,两胎儿不共用胎盘中血管,无血管吻合
E.以上都不是
143、单项选择题 患者王某,有心绞痛发作史,心电图ST段降低,T波倒置,超声显像检查疑有室壁运动异常,需作心肌超声造影,你准备的经末梢静脉造影()
A.微气泡直径小于红细胞,但大于8μm以上
B.选择压缩系数小于液体、固体的微气泡
C.微气泡较大,从末梢静脉进入右心
D.选择密度大于固体的微气泡
E.微气泡直径小于5μm
144、判断题 图像的均匀性是要求在图像的近、中声场中都能得到最清晰的显示。
145、单项选择题 主动脉弓离断的临床及超声表现不包括()
A.主动脉弓部以下连续中断
B.动脉导管连接肺动脉与降主动脉
C.常合并室间隔缺损
D.常不伴有肺动脉高压
E.可无导管未闭的杂音
146、单项选择题 下列卵巢肿瘤中,哪种肿瘤不产生性激素()
A.黏液性囊腺瘤
B.原发性绒毛膜癌
C.畸胎瘤
D.卵泡膜细胞瘤
E.颗粒细胞瘤
147、填空题 正常肾实质USG,当断面未通过肾窦时,肾实质呈_____形回声区,通过肾窦时则为_____形回声区。
148、名词解释 “WES”征
149、单项选择题 约孕几周前后声像图上可显示胎盘()
A.4周
B.6周
C.9周
D.12周
E.14周
150、单项选择题 影响频谱多普勒血流速度测量的因素,不包括()
A.取样容积的大小
B.取样容积的位置
C.角度校正
D.速度标尺的大小
E.探头频率
151、单项选择题
如图,女性,26岁,无明显不适,盆腔横断面,最可能的诊断是()
A.炎性包块
B.宫外孕
C.畸胎瘤
D.黄体囊肿
E.正常声像图
152、单项选择题 下列哪种物质具有较高的声阻抗系数()
A.固体
B.液体
C.气体
D.软组织
E.上述各种声阻抗系数相等
153、单项选择题
超声耦合剂的作用是()
①润滑
②排除空气
③增加透声性
④可以不用
A.①
B.②
C.②③
D.④
E.③
154、填空题
如图,二维超声心动图中,此为____________切面。

155、问答题 肝海绵状血管瘤声像图表现?
156、单项选择题 不属于腔内探头的是()
A.阴道探头
B.直肠探头
C.食管探头
D.胃镜探头
E.普通扇型探头
157、单项选择题
女,28岁,无任何不适,体检。声像图如图所示,诊断为()
A.胆囊结石
B.胆囊息肉
C.胆囊胆固醇结晶
D.胆囊腺瘤
E.胆囊癌
158、单项选择题 关于黄体囊肿的描述,下列哪一项是错误的()
A.黄体形成过程中,黄体血肿液化所致
B.囊肿直径一般为3cm左右
C.妊娠黄体囊肿产后才消失
D.较大的黄体囊肿可自发破裂,发生急腹症
E.黄体囊肿破裂声像图表现,酷似宫外孕破裂表现
159、单项选择题 室间隔的解剖特点,下列哪一项是正确的()
A.比房间隔薄
B.由纤维组织构成
C.胚胎时期有卵圆孔使两侧心室相通
D.分隔左、右心室
E.构成肺动脉壁
160、单项选择题 库肯勃瘤是转移性卵巢肿瘤,常见的原发部位肿瘤是()①胃肠道②乳腺③盆腔器官④子宫
A.①
B.①②
C.①②③
D.①②③④
E.①③④
161、单项选择题 胎囊的双囊可能是()①双胎妊娠②流产受阻或植入性出血③枯萎卵④两层蜕膜之间的无回声区
A.①
B.①②
C.①②③
D.①②③④
E.②③④
162、单项选择题 划分肝脏左内叶与左外叶的分界标志()
A.肝左静脉与门静脉左支横段
B.肝左静脉近端与门静脉左支矢状段
C.肝中静脉与门静脉左支矢状段
D.肝中静脉与门静脉左支横段
E.肝右静脉
163、单项选择题 心房收缩期对心血管生理上的意义()
A.心房的血液因心房收缩,最终全部被充盈到左心室
B.左心房收缩引起左心室收缩
C.心房收缩期引起心室的快速充盈
D.心房收缩是舒张期的开始
E.心房收缩期是左心室射血的终结
164、单项选择题
患者,男性,甲状腺一侧可触及包块,超声见边界清晰的低回声光团,包膜完整。如图所示,最可能的诊断为()
A.甲状腺腺瘤并囊性变
B.甲状腺炎
C.结节性甲状腺肿
D.甲状腺癌
E.甲状腺囊肿
165、单项选择题 改善轴向分辨力可通过()
A.减小空间脉冲长度
B.增大空间脉冲长度
C.降低探头频率
D.增大时间增益补偿
E.以上各项均不可
166、单项选择题 下面叙述中错误的是()
A.声波在不同组织中传播速度相同
B.组织硬度越大,声速越大
C.组织密度越低,声速越小
D.空气中声速低于骨组织中声速
E.医用超声诊断设备均以软组织中的声速作为校正标准
167、单项选择题 下列哪种界面可产生“彗星尾征”伪像()
A.肝-胆界面
B.肌肉-骨界面
C.组织-气体界面
D.气-液界面
E.脂肪-骨界面
168、单项选择题 超声探头的换能作用是()
A.电能转换成光和热
B.电能转换成机械能或机械能转换成电能
C.机械能转换成辐射
D.声转换成超声
E.电能转换成声能
169、单项选择题 腭裂的声像图所见是()①上颌骨冠状断面显示鼻骨以下骨缺失②上颌骨冠状断面显示鼻骨以上骨缺失③囊状肿物从唇部突出④颧骨断裂
A.①
B.③④
C.②③
D.①②③④
E.②③④
170、单项选择题 膀胱异常声像图表现中,哪项正确()
A.膀胱壁弥漫性增厚并回声减低,腔内有较多的点、絮状回声,为慢性膀胱炎的声像图表现
B.膀胱壁弥漫性增厚,并回声增强,膀胱容量减少,为急性膀胱炎的声像图表现
C.膀胱腔内强回声团,后方伴声影,并可随体位改变而移动,为膀胱血块的声像图表现
D.膀胱腔中有中低回声病变,且可随体位变化而移动,为膀胱结石的声像图表现
E.CDFI显示肿块周边或内部有丰富血流信号并呈动脉血流频谱,为膀胱肿瘤表现
171、单项选择题
该病例最可能的诊断()

A.三房心
B.瓣上环
C.完全性肺静脉畸形引流
D.冠状静脉窦扩张
E.主动脉,肺动脉间隔缺损
172、单项选择题 腮腺的超声检查方法,最适宜的是()
A.采用7~10MHz频率探头,多切面进行检查
B.理发后,多切面进行检查
C.空腹进行多切面检查
D.主要观察腮腺的血管及神经分布
E.进行纵切面检查
173、单项选择题 下列说法,不正确的是()
A.声束绕过1/2λ的障碍物的现象称为衍射
B.声束遇到远小于λ的障碍物时发生散射
C.λ越小,能分辨的障碍物越小
D.声束的散射是衰减的原因之一
E.声束仅在遇到大于λ的障碍物时发生反射
174、单项选择题 下列哪一项与葡萄胎超声鉴别无关()
A.过期流产
B.子宫肌瘤变性
C.子宫腺肌病
D.子宫内膜癌
E.子宫颈囊肿
175、判断题 羊水量在300ml以下称羊水过少;羊水量在800ml以上为羊水过多。
176、单项选择题 正常时胎儿膀胱每隔多长时间排空一次()
A.10~25分钟
B.30~45分钟
C.50分钟~1小时
D.1.5~2小时
E.3小时
177、单项选择题
该病例最可能的诊断()

A.主动脉二叶瓣
B.主动脉单瓣
C.主动脉四叶瓣
D.主动脉三叶瓣
E.主动脉五叶瓣
178、单项选择题 评价超声指向性优劣的指标是()
A.近场长度和扩散角
B.声束大小
C.声束形状
D.探头频率
E.聚焦程度
179、单项选择题 以下哪项不符合前列腺恶性肿物声像图改变()
A.局限性高回声
B.腺体普遍性增大
C.局限性低回声
D.不均匀回声和边缘不规则
E.可呈多发性
180、单项选择题 通过胆囊窝中点到第二肝门处下腔静脉左壁之连线,将肝脏分为哪两叶()
A.左叶、右叶
B.右前叶、右后叶
C.左内叶、右外叶
D.尾叶、方叶
E.以上都不是
181、单项选择题 腮腺炎的声像图表现是()
A.不同程度的弥漫性肿大
B.急性期轮廓不清,呈低回声
C.腮腺血流信号增多
D.慢性期界限清晰,呈强回声
E.以上都是
182、单项选择题 诊断腹腔妊娠最有力的证据是()
A.胎位不正,胎儿影特别清晰
B.胎儿偏于腹腔一侧,并占据较高位置
C.子宫轮廓消失
D.胎儿骨骼与母体脊柱重叠
E.胎儿影与母体肠腔中气体影像重叠
183、单项选择题 对诊断胎儿十二指肠闭锁最有帮助的声像图表现是()
A.肠管脱向脐带
B.双泡征
C.胃腔明显增大
D.声像图不能显示胃泡
E.羊水多
184、单项选择题 关于彩色多普勒超声仪器的调节,不正确的是()
A.调整彩色速度标尺,使之接近实际血流速度大小
B.使彩色取样框尽可能大,以便获取尽可能多的血流信息
C.适当调节彩色偏转使声束与血流夹角尽可能小
D.调节彩色增益直至适当显示血管内血流信号
E.设定朝向探头血流为红色,背离探头血流为蓝色
185、单项选择题 纵向分辨力又可称为()
A.轴向分辨力
B.侧向分辨力
C.显现力
D.时间分辨力
E.横向分辨力
186、单项选择题 超声生物显微镜最适于检查()
A.眼内容物
B.眼球壁
C.眼前段结构
D.视神经乳头
E.以上均不是
187、单项选择题 数字化彩色多普勒超声诊断仪性能高、功能多的关键技术是()
A.宽频技术
B.变频技术
C.探头阻抗匹配技术
D.多段聚焦技术
E.数字波束形成器
188、单项选择题 囊肿的声像图特征是()
A.边界回声不定
B.外形不定
C.内部无回声
D.后方回声衰减
E.侧缘声影不定
189、单项选择题
男性,65岁,排尿困难,尿线细,滴淋,尿后不尽感等症状,如图所示。最可能的诊断为()
A.膀胱癌
B.前列腺增生
C.前列腺肉瘤
D.前列腺癌
E.前列腺炎
190、单项选择题 在诊断胆石过程中,下列哪种情况最易出现假阴性结果()①有一个巨大孤立的结石②胆囊小③石头嵌顿于胆囊管
A.①②③
B.①
C.②
D.③
E.①③
191、单项选择题 从主动脉瓣关闭到二尖瓣开放这一时期称为()
A.等容舒张期
B.等容收缩期
C.心房收缩期
D.快速射血期
E.快速舒张期
192、名词解释 CPA
193、单项选择题 超声诊断睾丸扭转的主要依据是()
A.睾丸缩小
B.睾丸肿大
C.睾丸内血流丰富
D.睾丸内无血流信号
E.睾丸周围积液
194、单项选择题 下面哪一项乳腺病变或结构不伴有后方回声增强()
A.囊肿
B.脂肪小叶
C.扩张的导管
D.纤维腺瘤
E.脓肿
195、问答题 急性胰腺炎超声声像图表现?
196、单项选择题 当血流频移信号大于1/2PRF(脉冲重复频率)时出现折返,1/2PRF是()
A.快速傅立叶变换(FFT)
B.尼奎斯特(Nyquist)极限
C.运动目标显示器(MTI)
D.自相关处理
E.壁滤波限制
197、单项选择题 超声图像的后处理功能,不包括()
A.灰阶变换
B.彩色编码变化
C.图像储存
D.图像平滑化
E.图像补插处理
198、单项选择题
某患者25岁,高热,肝区疼痛。肝脏声像图表现如图,结合病史,最可能的诊断是()
A.肝血管瘤
B.肝脓肿
C.肝硬化
D.肝癌
E.肝囊肿
199、单项选择题 弥漫浸润型胃癌的声像图,下列哪一项描述是错误的()
A.病变多呈低回声
B.病变多呈“火山口”征
C.胃壁五层结构消失
D.胃腔狭窄呈“假肾征”
E.胃壁显著增厚
200、单项选择题
患儿青紫,存室间隔缺损,如图所示,诊断最可能()

A.肺动脉瓣狭窄
B.主动脉内径增宽
C.法洛四联症
D.法洛三联症
E.房间隔缺损
201、单项选择题
24周胎儿股骨超声检查如图,最可能的诊断是()
A.致死性骨发育不全
B.内翻足
C.羊膜带综合征
D.骨硬化症
E.并指(趾)畸形
202、单项选择题 正常膀胱描述中,下列哪一项是错误的()
A.成年人的膀胱位于盆腔内
B.婴幼儿膀胱位置偏高,可位于下腹部
C.膀胱壁大致可分为浆膜层、肌层、粘膜下层、粘膜层
D.膀胱三角区由左右输尿管口及膀胱内口构成
E.膀胱粘膜层均是借助粘膜下层与肌层连接
203、单项选择题 腹膜后肿瘤不会出现的超声征象是()
A.输尿管受压扩张
B.腹主动脉迂曲
C.腹主动脉被包裹
D.肝总动脉受压抬高
E.胰腺被肿瘤顶向上方
204、单项选择题 大量心包积液(500ml以上)用二维超声如何做半定量测定()
A.无回声区包绕心室前、外、后方及心尖部,心室前、后方无回声区≥10mm
B.心包明显增厚
C.只心室前方出现明显无回声区
D.只心室后方出现明显无回声区
E.心包脏层与壁层间有明显粘连表现
205、单项选择题 下列对主动脉的叙述哪项是错误的()
A.起始部为升主动脉
B.从主动脉分出右颈总动脉、头臂干
C.起自左心室
D.腹主动脉是其末端
E.主动脉弓连接升主动脉与降主动脉
206、单项选择题 宫内宫外同时妊娠的诊断依据是()①有停经史、阴道出血、下腹痛病史②子宫增大,内见胎囊、胎芽、胎心③子宫外附件区可探及包块或完整的胎囊④子宫直肠窝见无回声区
A.①②
B.①②③
C.②③④
D.①②③④
E.②③
207、单项选择题 妊娠囊孕7周时的直径约为()
A.2.0cm
B.3.0cm
C.3.7cm
D.1.0cm
E.4.0cm
208、单项选择题
超声引导下经皮经肝穿刺胆管造影应注意()
①需做碘过敏试验
②穿刺日禁食、水
③常用>16G细针
④常用20-23GPTC针
⑤穿刺成功后抽取胆汁送细菌培养及细胞学检查
⑥抽液后直接注入造影剂
⑦抽液后更换注射器缓注入造影剂
⑧术后卧床12小时
⑨术后卧床24小时
A.①②③⑤⑥⑧
B.①②④⑤⑥⑧
C.①②④⑤⑦⑨
D.①②③⑤⑦⑨
E.②③⑤⑦⑨
209、单项选择题 正常羊水量是()
A.随孕龄增加
B.随孕龄减少,接近预产期时增加
C.随孕龄增加,接近预产期时减少
D.整个妊娠期,保持同等量
E.随孕龄减少
210、单项选择题 介入性超声可分为几大类,下列哪个是正确答案()
A.两类,介入性诊断和介入性治疗
B.三类,经皮穿刺、体腔内超声和手术中超声
C.四类,穿刺活检、造影、抽吸引流、注药导入能量
D.五类,穿刺活检、体腔内超声、造影、抽吸引流、注药导入能量
E.以上都不对
211、单项选择题 无回声见于()
A.胆汁
B.尿液
C.胸腹水及漏出液
D.羊水
E.以上都正确
212、单项选择题 脉冲重复频率的时间计算单位是()
A.分
B.微秒
C.毫秒
D.秒
E.小时
213、单项选择题
图中胆囊声像图最为可能诊断为()
A.单纯性胆囊炎
B.急性化脓性胆囊炎
C.胆囊穿孔
D.慢性胆囊炎
E.胆囊癌
214、单项选择题 下列说法,不正确的是()
A.超声频率越高,波长越短
B.超声频率越高,近场越长
C.超声频率越高,指向性越好
D.超声频率越高,扩散角越大
E.超声频率越高,分辨率越高
215、单项选择题 哪些是目前常用的热切除物理能源()
A.射频
B.激光
C.高强度聚焦超声
D.微波
E.以上均是
216、单项选择题 为安全起见大于3个月的胎儿除什么部位外不作定点的长时间辐射()
A.脑
B.眼
C.生殖系
D.心脏
E.四肢
217、单项选择题 一房缺患者,测得三尖瓣返流的最大流速为3m/s,若右房压以10mmHg计,此时估计肺动脉收缩压约为()
A.30~40mmHg
B.40~50mmHg
C.50~60mmHg
D.60~80mmHg
E.>80mmHg
218、单项选择题 超声诊断葡萄胎并发黄素囊肿,在水泡块排除后,囊肿还可持续存在几个月()
A.1个月
B.2~4个月
C.5~6个月
D.6个月以上
E.1个月以下
219、问答题 肾上腺嗜铬细胞瘤的声像图表现有哪些?
220、单项选择题 基波成像指下列哪种波()
A.以低频发射的波
B.凸阵探头发射的波
C.线阵探头发射的波
D.发射频率与接受频率相同的波
E.以上都不对
221、单项选择题 全数字化技术的内涵下列哪项是正确的()
A.波束发射时是数字形式
B.波束接收时是数字形式
C.以数字化技术形成精确的延时发射
D.用多个开关电路形成延时
E.A/D转换是最关键的技术
222、单项选择题
两个月患儿如图所示,该病例诊断最可能是()

A.主动脉弓扩张
B.主动脉弓狭窄
C.升主动脉扩张
D.主动脉粥样斑块
E.以上都不是
223、问答题 什么情况下需要作胎儿超声心动图?
224、判断题 孕12周后USG能清晰显示胎头,并可辨认颅内结构。
225、单项选择题 胆囊重度增大最可能的原因是()
A.梗阻
B.变异
C.肝炎
D.肝硬化
E.脂肪肝
226、单项选择题 肝脓肿与肝囊肿的区别是()
A.脓肿不透声,而囊肿透声好
B.脓肿边界不规则,囊肿边界清晰
C.脓肿是坏死性肿瘤,囊肿是良性肿物
D.脓肿回声强,囊肿回声弱
E.以上均是
227、单项选择题 脾脓肿USG表现中错误的有()
A.脾轻至中度增大
B.脾内出现无回声区
C.周边有较强回声带环绕
D.回声区可见团状、带状回声
E.脾轻至中度缩小
228、单项选择题 孕几周以前胎盘实质呈均匀点状回声,基底层无增强回声()
A.29周
B.32周
C.36周
D.38周
E.40周
229、单项选择题 以下哪项是主动脉瓣关闭不全所致()
A.SAM现象
B.弓背样改变
C.钻石样改变
D.吊床样改变
E.二尖瓣前叶高频震颤
230、单项选择题 从使用角度评价彩色多普勒血流显像仪,下列哪项是质量差的标志()
A.空间分辨力、速度分辨力、动态分辨力均高
B.检出血流敏感度高
C.显示图像均匀性好
D.彩色血流效果佳
E.提高灰阶图像增益时,彩色图像质量即下降
231、单项选择题 超声检查眼异物的常用方法是()
A.眼睑外直接扫查法
B.间接扫查法
C.窗试验法,彩阶显示法
D.漂浮异物的超声试验,超声磁性试验
E.以上都是
232、单项选择题 下列哪项是心肌收缩功能的主要测量指标()
A.左室压力最大下降速率
B.舒张期压力减半时间
C.左室短轴缩短率、室壁收缩期增厚率、室壁应力
D.等容舒张期时间
E.左室心肌松弛时间常数
233、多项选择题 急性胆囊炎的USG的表现为()
A.胆囊增大、胆囊壁轮廓线模糊,外壁线不规则
B.胆囊壁弥漫性增厚,增厚的胆囊壁呈增强回声带
C.胆囊腔内出现弥漫性低回声、云雾状回声等提示胆囊积脓
D.胆囊窝显示无回声带,提示胆囊周围液体潴留或积脓
E.胆囊壁内无回声的散在小囊样憩室结构
234、问答题 羊水的超声测值正常范围是多少?
235、单项选择题 孕32周后HC/AC比值在下列哪种情况下可诊断非对称性胎儿宫内发育迟缓()
A.比值减小,低于正常值的95%以上
B.比值增高,超过正常值的95%以上
C.无改变
D.比值大于24
E.比值大于2.4
236、单项选择题 成人骨骼正常声像图上能显示什么结构()
A.骨外膜
B.骨内膜
C.骨皮质
D.骨松质
E.骨髓
237、单项选择题
超声检查如图,最可能的诊断是()
A.正常声像图
B.淋巴管囊肿
C.下颚裂
D.唇裂
E.上腭裂
238、单项选择题 门脉高压最常见的原因是()
A.肝静脉梗阻
B.胆总管梗阻
C.肝硬化
D.肝大
E.肝动脉梗阻
239、单项选择题 羊水过少常与哪一种胎儿先天异常并发()
A.食管闭锁
B.胆管异常
C.无脑儿
D.肾发育不全
E.肠部分闭锁
240、单项选择题
红色箭头所指部位是()
A.宫颈
B.阴道
C.子宫
D.宫体
E.以上都不是
241、单项选择题 在舒张期,压力最低的腔室是()
A.心室
B.心房
C.主动脉
D.肺动脉
E.腔静脉
242、单项选择题 膝关节前交叉韧带损伤的声像图表现()
A.股骨外侧髁处滑膜增厚、增强、不规则
B.内侧副韧带肿胀增厚,回声不均匀减低
C.内侧副韧带肿胀边界模糊不清
D.韧带回声中断或缺如
E.韧带分离,出现低回声裂隙
243、单项选择题 下列关于前列腺病变的描述,哪项不对()
A.前列腺肥大可为腺体组织的增生,或局部的腺瘤
B.前列腺肥大多发生于侧叶和中叶
C.前列腺肥大多发生于后叶
D.前列腺癌多发生于后叶
E.前列腺肥大常表现为高于耻骨上缘膀胱底部的弧形压迹
244、单项选择题
女性,于膀胱输尿管位置见一囊性光团,有规律收缩,增大。如图所示,考虑为()
A.膀胱肿瘤
B.膀胱憩室
C.输尿管结石
D.输尿管囊肿
E.膀胱异物
245、单项选择题
患者,胃癌手术后2年,髂窝处声像图表现如图,诊断是()
A.正常声像图
B.肿大淋巴结
C.阑尾脓肿
D.肠道转移灶
E.动脉瘤
246、单项选择题 B型显示指的是()
A.基本调制器
B.声束运动
C.声束调制器
D.辉度调制
E.幅度调制器
247、单项选择题 股骨长径与腹围比率是多少可诊断非对称性胎儿宫内发育迟缓()
A.<20
B.>22
C.<24
D.>24
E.<22
248、单项选择题 动态扫查仪的类型包括()①程序②电子③机械
A.①②
B.①②③
C.②③
D.①③
E.③
249、单项选择题
如图,初步超声诊断为()

A.二尖瓣返流
B.三尖瓣返流
C.主动脉瓣返流
D.肺动脉瓣返流
E.主动脉瓣狭窄
250、单项选择题 脑积水的声像图特征是()①脑室率>0.5②轻度脑积水双顶径与孕周相符③脑实质被压缩④合并脊柱裂、脑脊膜膨出
A.①
B.①②
C.①②③
D.①②③④
E.①③④
251、单项选择题
女,25岁,停经37周,阴道不规则出血来院就诊,B超检查声像图如图所示,最可能的诊断为()
A.胎盘早剥
B.前置胎盘
C.副胎盘
D.胎膜破裂
E.以上都不是
252、单项选择题
根据超声图像所示,判断致病人肾脏积水的梗阻在输尿管哪一段()
A.下段
B.中段
C.上段
D.膀胱内
E.肾盂内
253、单项选择题 下列哪项不是超声成像()
A.B型扫描
B.A型扫描
C.彩色多普勒
D.二次谐波
E.三维重建
254、单项选择题 肾积水的声像图表现()
A.肾盂分离中间为液性暗区
B.肾盂分离中间为液性暗区,液性暗区与输尿管相通
C.肾盂分离中间为液性暗区,液性暗区与输尿管相通,液性暗区不相通
D.肾盂分离中间为液性暗区,液性暗区与输尿管相通,液性暗区互不相通,液性暗区液腔饱满
E.肾盂分离中间为液性暗区,液性暗区与输尿管相通,液性暗区液腔饱满
255、单项选择题
图为胎儿鼻唇区显像,“+”处标出的为()
A.鼻唇沟
B.伪像
C.右侧鼻孔
D.唇裂
E.以上都不是
256、单项选择题 肾移植后肾周出现无回声暗区,声像图可能的诊断为()①淋巴囊肿②尿性囊肿③肾周脓肿④肾周血肿
A.①
B.①②
C.①②③
D.①②③④
E.①④
257、单项选择题
根据超声声像图,最可能的诊断为()
A.睾丸鞘膜积液
B.精索鞘膜积液
C.阴囊壁水肿
D.肠疝
E.睾丸精索鞘膜积液
258、单项选择题 常向子宫浸润,并向肺、脑转移的滋养细胞病变是()
A.绒毛膜癌
B.完全性葡萄胎
C.胎盘水泡状变性
D.部分性葡萄胎
E.以上都是
259、判断题 妊娠6周超声可探测到心率A.对
260、单项选择题 关于脉络膜黑色素瘤的描述,哪项是错误的()
A.是成年人最常见的眼内恶性肿瘤
B.居眼内恶性肿瘤的第2位
C.在葡萄膜肿瘤中占61.5%
D.视力减退或视野缺损
E.白瞳孔是最常见的体征
261、单项选择题 探头直接向空气发射,声像图上近场有均匀条状回声显示,因为()
A.折射
B.衍射
C.增益太大
D.增益太小
E.多重反射
262、单项选择题
糖尿病视网膜病变的超声表现是()
①视网膜增厚回声增强,球壁增厚
②视网膜血流减少
③视网膜血流增加
④视网膜中央动脉血流速度减低PI、RI增高
⑤视网膜中央动脉血流速度减低PI、RI减低
⑥视网膜中央静脉血流增高A/V减少
⑦视网膜中央静脉血流降低A/V增大
A.①②④⑥
B.①③⑤⑦
C.①②⑤⑦
D.①③④⑥
E.②③⑤⑦
263、单项选择题
根据声像图表现,诊断是()
A.胸水
B.腹水
C.正常
D.肠梗阻
E.胆囊
264、单项选择题
某患者阴囊部疼痛不适,超声声像图如下,最可能的诊断为()
A.附睾炎
B.睾丸炎
C.睾丸肿瘤
D.附睾结核
E.附睾肿瘤
265、问答题 子宫颈癌的声像图表现有哪些?
266、单项选择题 彩色血流频移大于1/2PRF(脉冲重复频率)时出现折返,这称为()
A.Nyquist(内奎斯特)极限
B.快速傅立叶变换
C.运动目标显示器(MTI)
D.自相关技术
E.彩色血流显像的滤波
267、单项选择题 超声检测阴囊的重要性是()
A.可助诊断阴囊内亚临床的肿块
B.可用于指导睾丸活检
C.可以鉴别睾丸内外的异常
D.以上各项均是
E.以上都不是
268、单项选择题
超声纵向分辨力为()
①区分平行于超声束的两个物体的能力
②区分垂直于超声束的两个物体的能力
③与深度、纵向和区域分辨力相同
④与方位、角度及横向分辨力相同
A.①③
B.②④
C.①②③
D.①②④
E.①②
269、多项选择题 胰腺真性囊肿USG征象为()
A.囊肿较小,呈圆形或椭圆形
B.边界光滑、完整,囊肿壁回声清晰、稍强
C.胰腺某一局部或胰腺相邻部位出现无回声区
D.潴留性囊肿常多发,同时合并多囊肾或多囊肝
E.胰腺包虫囊肿常与肝包虫病伴发
270、单项选择题 库肯勃瘤是()
A.良性卵巢肿瘤
B.原发于胃肠道的卵巢转移性肿瘤
C.囊性肿瘤
D.子宫肿瘤
E.卵巢恶性肿瘤
271、单项选择题 下列哪些是异位妊娠()①腹腔妊娠②子宫角妊娠③残角子宫妊娠④子宫颈妊娠⑤输卵管妊娠⑥卵巢妊娠
A.②③
B.①②③
C.①②③④
D.①②③④⑤⑥
E.⑤
272、单项选择题 关于多次内部混响的表述,正确的是()
A.超声在靶内来回反射形成的彗星尾征
B.常见于含气的肺
C.含气的肠腔
D.可见于胆结石
E.改变探头方向有助于鉴别伪像
273、单项选择题 肾肿瘤CDFI特点()①无血流型②丰富血流型③星点状血流型④少血流型⑤抱球型
A.①
B.②③④⑤
C.②⑤
D.③④
E.①②③④⑤
274、单项选择题 子宫大于孕月见于()①多胎②子宫肌瘤③羊水过多④月经日期不准确⑤葡萄胎⑥羊水过少
A.①②③
B.①②③④
C.①②③④⑤
D.①②③④⑤⑥
E.⑥
275、单项选择题 下列哪种超声检测方法诊断宫内死胎最可靠()
A.多参数实时扫查
B.多普勒
C.M型
D.音频数据
E.二维超声
276、单项选择题 进入或离开肝脏且充满液体的结构包括()①肝实质内动脉②肝动脉③胆管④腹腔动脉
A.①②
B.②③
C.②③④
D.①④
E.①③
277、单项选择题 超声能检出阴道哪一部位肿瘤()
A.上1/3
B.中1/3
C.下1/3
D.中下部
E.以上都是
278、单项选择题 弥漫性恶性葡萄胎CDFI的特点是()
A.子宫肌层大小不等无回声区内血供不丰富,偶见动脉血流信号,RI>0.5
B.子宫肌层呈非均匀性混合回声,内见明亮、丰富、五彩斑斓低速血流,RI<0.4
C.子宫肌层弥漫性分布大小不等无回声区,内见扩张的血管,血流丰富呈繁星点状或花环状,为低速动脉血流,RI<0.4~0.5
D.子宫肌层回声杂乱,内见明亮、丰富、五彩斑斓高速血流,RI>0.4~0.5
E.以上都错
279、单项选择题 眼部超声检查发现:一侧眼球壁内较强回声异物,异物周围可见无回声裂隙环绕。最可能的诊断是()
A.眼球内异物
B.早期巩膜异物
C.陈旧性巩膜异物
D.视网膜下异物
E.眼眶内异物
280、单项选择题 关于盆腔肾脏的说法,正确的是()
A.在异常位置的正常表现
B.在正常部位的异常表现
C.在正常位置的正常表现
D.在异常部位的异常表现
E.以上都是
281、单项选择题 妊娠超声检查的适应证是()①诊断妊娠②确定胎位③预测胎龄④多胎、异位妊娠
A.①
B.①②
C.①②③
D.①②③④
E.①③④
282、单项选择题 关于声强的表述中,不正确的是()
A.声强指超声束在单位时间内通过单位截面积的能量
B.声强的单位可用瓦特每cm表示
C.空间峰值脉冲平均声强大于最大声强
D.最大瞬间声强大于最大声强
E.空间峰值时间平均值声强与脉冲持续时间和脉冲重复频率有关
283、单项选择题 徐某,男,20岁,感冒后发现咽痛,颈前部肿大、疼痛,低热,白细胞升高血沉快、超声显示:甲状腺中度肿大,回声减低,最可能的诊断是()
A.结节性甲状腺肿
B.原发性甲状腺功能亢进
C.甲状腺腺瘤
D.亚急性甲状腺炎
E.慢性甲状腺炎
284、单项选择题 下列哪项与多囊卵巢不相关()
A.库兴综合征
B.月经稀发
C.不排卵
D.多毛
E.肥胖
285、单项选择题 左心腔超声造影不能用于下列哪种检查()
A.心腔间的左向右分流
B.心腔与大血管间的左向右分流
C.大血管间的分流
D.心腔内的压力
E.静脉血栓
286、单项选择题 应用壁滤波的目的是()
A.去除运动的组织(如血管壁)的低频多普勒频移
B.去除反向血流信号
C.去除运动的组织(如血管壁)的高频多普勒频移
D.去除高速血流的高速多普勒频移
E.测量血流
287、单项选择题
一患者有介入手术史,具体病史不祥。肝脏超声检查声像图如下,图中箭头所示最可能的是()
A.支架
B.蛔虫
C.结石
D.正常结构
E.肝静脉
288、问答题 子宫内膜增生的声像图表现有哪些?
289、单项选择题 胆囊本身弯曲或分隔称为什么胆囊()
A.水肿
B.库瓦济埃
C.双重
D.贝雷帽
E.畸形
290、单项选择题
发现一侧乳房无痛性肿块3天,腋窝及颈部可触及数个黄豆大包块,乳腺超声声像图如上,最可能的诊断是()
A.乳头状导管癌
B.髓样癌
C.乳腺淋巴瘤
D.乳腺囊性增生
E.以上都不是
291、单项选择题 下列哪一项不是卵巢非赘生性囊肿()
A.滤泡囊肿
B.皮样囊肿
C.黄体囊肿
D.黄素囊肿
E.多囊卵巢
292、单项选择题
女性,27岁,停经45天,阴道不规则出血1周余。尿妊娠试验阳性。结合超声图像,最可能的诊断为()
A.宫外孕
B.附件炎性包块
C.子宫肌瘤
D.宫腔残留
E.卵巢囊肿
293、单项选择题 以下彩色血流显像的特点哪一项不对()
A.血流方向朝向探头,显示红色
B.血流方向背离探头,显示蓝色
C.血流流速越高,显示的亮度越亮
D.血流出现紊流时显示为红蓝相杂的五彩色
E.动脉血流显示为红色,静脉血流为蓝色
294、问答题 脾肿大诊断标准?
295、单项选择题
男,27岁,上腹疼痛。声像图如图所示。结合超声声像图,诊断为()
A.胆总管下段结石
B.胆总管下段蛔虫
C.胆总管下段癌
D.胆总下段胆汁淤积
E.胰腺癌
296、单项选择题
胎儿超声检查如图,图中管道样结构是()
A.脊柱
B.羊膜囊
C.脐带血管平行征
D.淋巴管囊肿
E.四肢
297、单项选择题 超声观察几周,胎囊不增大,应考虑胚胎停止生长()
A.<1周
B.1~2周
C.2~3周
D.3~4周
E.4周以上
298、单项选择题
患者体检发现肝脏体积增大,超声见右叶巨大的强回声光团,边界见声晕,门脉见实质性光团充填,如图所示,考虑为()
A.肝癌并门脉癌栓
B.肝脓肿
C.肝囊肿
D.肝结核
E.肝血管瘤
299、单项选择题 在乳腺良性实质性肿块的USG表现中,应除外()
A.多有侧边声影
B.边缘及轮廓整齐光滑
C.多无包膜
D.内为均匀实质性低回声
E.肿块后区回声可增强或不变
300、单项选择题 胎盘静脉窦发生于下列哪个部位()
A.胎盘绒毛叶中心部分无绒毛处
B.胎盘与子宫肌层之间
C.绒毛膜板下
D.胎盘实质中
E.子宫肌层内