时间:2025-09-22 02:18:10


1、单项选择题 下列哪种生物活性物质的作用可舒张支气管()
A.缓激肽
B.组胺Ⅰ型受体
C.血小板聚集因子
D.嗜酸性粒细胞趋化因子
E.前列腺素E
2、单项选择题 对预防支气管扩张最具有重要意义的是()
A.戒烟
B.控制结核病疫情
C.防止误吸异物、腐蚀性气体
D.定期注射人体免疫球蛋白
E.接种疫苗,积极控制呼吸道感染
3、单项选择题 支气管哮喘发作患者的PaCO2增高表示()
A.无临床意义
B.病情好转
C.过度通气
D.轻度发作
E.气道阻塞程度严重
4、单项选择题 慢性支气管炎的原发感染,下列哪种病原体最重要()
A.病毒或支原体
B.甲型链球菌
C.流感嗜血杆菌
D.肺炎链球菌
E.奈瑟菌属
5、单项选择题 支气管哮喘急性发作与急性左心功能不全发作两者鉴别有困难时,可用下列哪种药物治疗()
A.氨茶碱
B.地高辛
C.异丙肾上腺素
D.溴化异丙阿托品
E.吗啡
6、单项选择题 关于支气管哮喘发作时的下列检查,哪项不正确()
A.X线检查缓解期可无异常
B.中度哮喘时可出现呼吸性碱中毒
C.严重发作时可出现奇脉
D.肺功能异常改变为不可逆性
E.病情越严重,哮鸣音反而减少
7、单项选择题 以下确诊支气管扩张最有意义的是()
A.胸部X线平片
B.胸部X线透视
C.临床表现
D.胸部高分辨率CT检查
E.支气管镜检查
8、单项选择题 女,63岁,常于夜间发作哮喘,伴频繁咳嗽,咳泡沫痰,有时带血丝,双肺底闻湿性啰音。下列哪种诊断可能性最大()
A.心源性哮喘
B.支气管哮喘
C.慢性阻塞性肺疾病
D.肺癌
E.过敏性肺炎
9、问答题 简述支气管扩张的手术指征。
10、单项选择题 按细胞分子信息调节理论说明哮喘的发生机制,是由于()
A.AMP/ATP变小
B.c-GMP/GMP变小
C.c-AMP/ATP变小
D.c-GMP相对增多
E.c-AMP/c-GMP相对变大
11、填空题 吸烟者慢性支气管炎的患病率比不吸烟者高__________倍。
12、单项选择题 混合性支气管哮喘是指()
A.哮喘合并肺部感染
B.内源性哮喘与外源性哮喘混合存在
C.哮喘严重发作呈持续状态
D.哮喘合并肺气肿
E.支气管哮喘合并阻塞性肺气肿
13、多项选择题 关于急性上呼吸道感染的描述,以下哪些是正确的()
A.是鼻腔、咽或喉部急性炎症的概称
B.常见病原体为病毒
C.一般病情较轻,病程较短
D.具有一定传染性
E.发病率低
14、问答题 试述长期家庭氧疗(LTOT)的指征。
15、单项选择题
患者男性,59岁,吸烟24年,每日20支,每遇秋冬咳嗽17年,该患者是否有慢性阻塞性肺疾病。
慢性阻塞性肺病进展中最先异常的实验室检查为()
A.肺泡-动脉氧压差
B.胸部X线片
C.最大呼气流速(FEFR)
D.一秒钟用力呼气容量(FEV)
E.用力肺活量时的最大呼气中期流量(FEF25%~75%)
16、单项选择题 男性,27岁,哮喘重度发作查体:患者端坐呼吸,大汗淋漓话语不连贯,下列哪一项体征预示病严重()
A.肺内广泛高响度哮鸣音
B.肋间隙增宽
C.肺叩诊过清音
D.两肺呼吸音低,偶闻散在哮鸣音
E.心脏绝对浊音界缩小
17、单项选择题 支气管扩张的病理生理学改变为()
A.肺功能测定正常
B.限制性为主的混合性通气障碍
C.易早期发生低氧血症
D.晚期动脉血气分析多数呈Ⅰ型呼吸衰竭
E.扩张区域肺泡通气量减少,血流正常,通气/血流比率降低,动-静脉分流,同时肺泡弥散功能障碍,共同导致缺氧
18、单项选择题 女,68岁,咳嗽咳痰近30年,冬春加重,近7~8年来活动后气促伴喘息。查体:肺气肿征,双肺底有湿性啰音,散在哮鸣音,吸入异丙肾上腺素气雾剂后喘息无减轻。最可能的诊断是()
A.支气管哮喘
B.慢性阻塞性肺疾病
C.支气管扩张并感染
D.心源性哮喘
E.支气管肺癌
19、单项选择题 男性,20岁。自幼有哮喘,春游后气急1天,此时不宜作哪一项检查()
A.呼气流速测定
B.血清IgE
C.皮肤过敏原试验
D.胸部X线检查
E.血嗜酸性粒细胞检测
20、单项选择题 支气管扩张症最常见的病因()
A.支气管内结石
B.肺结核
C.肿瘤压迫
D.重的支气管-肺部感染致支气管阻塞
E.肺囊性纤维化
21、单项选择题 关于内源性支气管哮喘,下述哪项不正确()
A.少有家族史及过敏史
B.常终年发作
C.发作期间血清IgE水平常增高
D.痰常为脓性
E.发作缓解后肺部听诊亦常有啰音
22、单项选择题 对老年体弱的慢性阻塞性肺疾病急性发作期,痰量多时下列处理哪项是不正确的()
A.控制感染
B.氧疗
C.镇咳
D.祛痰
E.解痉平喘
23、单项选择题 下列哪一项不是支气管扩张的发病因素()
A.肺结核
B.童年时患麻疹或百日咳
C.肺癌
D.支气管哮喘
E.先天性丙种球蛋白缺乏症
24、多项选择题 男性,33岁。确诊支气管扩张10余年。近来咳嗽加剧,咳脓性臭痰,反复咯血每次约50ml,伴发热38.0℃,气促。体检:左下肺可闻及粗湿啰音,心率100次/分,律齐,无杂音。给予支气管镜检查,可以起哪些作用()
A.可发现出血部位
B.可吸取痰标本行细菌学检查
C.可发现支气管阻塞的原因
D.可确定支气管扩张的程度
E.可选择性做局部支气管造影
25、配伍题 与外源性哮喘发作有关的是()与内源性哮喘发作有关的是()与运动性哮喘发作有关的是()与精神神经性哮喘发作有关的是()
A.Ⅳ型变态反应
B.迷走神经感受器受刺激
C.Ⅰ型变态反应
D.Ⅱ型变态反应
E.α受体兴奋性增高
26、多项选择题 关于支气管扩张下列哪些描述是正确的()
A.非特异性炎症引起的支气管扩张一般多见于下叶,左多于右
B.左肺舌叶支气管常与同侧下叶支气管同时发生扩张
C.结核性支气管扩张多见于上叶尖后支、中叶/舌叶支气管
D.类风湿关节炎、溃疡性结肠炎等疾病可同时伴有支气管扩张,提示支气管扩张的发病可能与机体免疫功能失调有关
E.先天因素引起的支气管扩张可伴有Kartagener综合征
27、多项选择题 支气管哮喘发作时,气道阻力增加是由于()
A.支气管粘膜水肿、充血
B.粘液腺肥大、分泌减少
C.支气管平滑肌舒张
D.迷走神经张力亢进
E.支气管平滑肌收缩
28、单项选择题 防止支气音扩张急性感染关键在于()
A.加强呼吸道痰液引流
B.选择广谱抗生素
C.祛痰药
D.使用支气管扩张剂
E.注射疫苗
29、配伍题 哪个国家的学者发现并研究命名了DPB(弥漫性泛细支气管炎)()军团菌肺炎首先出现在哪个国家()
A.法国
B.美国
C.英国
D.日本
E.加拿大
30、多项选择题 支气管激发试验通常采用非特异性激发试验的药品有哪些()
A.组胺
B.乙酰甲胆碱
C.高渗盐水
D.过敏原
E.以上都不是
31、多项选择题 关于上呼吸道感染如何预防,以下哪项正确()
A.劳逸结合
B.生活规律
C.饮食合理
D.空气流通
E.预防性服药
32、单项选择题 慢性阻塞性肺气肿患者肺功能检查下列何项不符()
A.最大通气量占预计值的70%
B.最大呼气中段流速正常或增高
C.第1秒时间肺活量50%
D.肺活量占预计值70%
E.残气量占肺总量的45%
33、单项选择题 男,57岁,慢性咳嗽、咳痰10余年,加重伴发热1周。有先锋Ⅵ号过敏性休克史。查:体温38.2℃,唇发绀,桶状胸,双下肺有细湿啰音;心律102次/分,律齐,P2亢进;WBC18×10/L,N0.82,SGPT40u。抗感染选用下列何项最好()
A.静脉滴注环丙沙星
B.口服强力霉素
C.静脉注射头孢霉素
D.口服乙酰螺旋霉索
E.肌内注射青霉素
34、单项选择题
女性,67岁,咳嗽,咳痰伴喘息20年,加重1周。痰白色泡沫状,量较多。查体:嗜睡,球结膜水肿,皮肤红润,唇发绀,BP175/100mmHg,R15次/分,脉搏120次/分,双肺可闻及干湿啰音,双侧腱反射减弱,双下肢凹陷性水肿(+)。WBC12.8×10/L,N82%。
神志障碍最可能的原因()
A.脑血管意外
B.低血糖昏迷
C.CO2潴留引起的肺性脑病
D.感染中毒性脑病
E.高血压脑病
35、单项选择题
女,36岁,咳嗽,咳痰,咯血,反复发作,CT检查如图,应诊断为()
A.双下肺支气管扩张并感染
B.多发性肺囊肿并感染
C.双下肺肺包虫病
D.间质性肺炎
E.肺气肿
36、单项选择题 支气管哮喘持续状态伴酸中毒时,输入碱性溶液是因为()
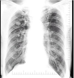
A.酸中毒可降低支气管舒张剂氨茶碱的疗效
B.酸中毒影响糖皮质激素的疗效
C.酸中毒影响抗生素的疗效
D.酸中毒可使痰粘稠,壅滞肺部
E.酸中毒导致电解质紊乱
37、单项选择题 男性,73岁。咳嗽、咳痰20余年,劳力性胸闷、气促5年,2周来发热,上述症状加重。体检:桶状胸,叩诊过清音,双肺可闻及干湿性啰音。X线胸片示双肺纹理明显增多、增粗、紊乱,左下肺斑点片状阴影,白细胞13.4×10/L,该患者最合适的诊断是()
A.慢性支气管炎急性发作
B.肺炎
C.肺气肿
D.哮喘
E.A+B+C
38、单项选择题
老年男性,反复咳嗽咳痰4~5年,近2个月来病情加重,痰量多,青、链霉素治疗效果欠佳。查体:背部双下肺野可闻及细湿啰音;WBC8.6×10/L,N0.76。
沙丁胺醇(舒喘灵)等β受体激动剂是由下列哪种药物发展而来()
A.黄芪
B.洋金花
C.甘草
D.麻黄碱(麻黄素)
E.冬虫夏草
39、名词解释 咳嗽变异性哮喘
40、单项选择题 女性,55岁。确诊支气管扩张30余年,因大咯血就诊,24小时咯血量超过500ml。体检:血压110/70mmHg,患者烦躁紧张,端坐呼吸,口唇青紫,呼吸26次/分,双下肺呼吸音减弱,心率130次/分,律整,无杂音。该患者抢救措施中最关键的是()
A.立即采用解除呼吸道梗阻的措施
B.立即使用中枢呼吸兴奋剂
C.立即使用鼻导管吸氧
D.立即输血或输液
E.让患者采取患侧卧位
41、单项选择题
男性,20岁,接触油漆后发生喘息1天,伴轻咳少量白痰,有过敏性鼻炎史3年。
最可能出现的体征是()
A.肺呼吸音增强
B.双下肺叩浊音
C.左肺散在水泡音
D.两肺广泛哮鸣音
E.两肺底小水泡音
42、配伍题 激活腺苷酸环化酶,催化三磷酸腺苷(ATP)合成环磷酸腺苷为(cAMP)()抑制磷酸二酯酶的作用,阻止cAMP衍变为5-磷酸腺苷(5-AMP)为()
A.肾上腺素受体阻断剂
B.肾上腺素受体激动剂
C.茶碱类
D.抗胆碱能类
E.色甘酸钠
43、单项选择题
患者男性,46岁,反复发作性喘憋7年,加重1周。夜间不能平卧。入院后查体:双肺散在哮鸣音,呼吸30次/分。既往有甲亢病史。入院后给予氨茶碱和沙丁胺醇(舒喘灵)等治疗
下列哪项药物应及时停用()
A.普萘洛尔(心得安)
B.氨茶碱
C.抗胆碱能受体阻断剂
D.糖皮质激素
E.β肾上腺素受体激动剂
44、问答题 简述支气管扩张的治疗要点。
45、单项选择题
男,16岁,反复阵发性干咳2年,寒冷天气发作更频。本次发作时深呼气末可闻及干啰音,肺功能FEV/FVC为预计值的60%,IgE水平正常;缓解期肺部无体征,肺功能正常。
最可能的诊断是()
A.肺结核
B.支气管哮喘
C.慢性阻塞性肺疾病
D.支气管扩张
E.支气管淋巴结核
46、单项选择题 男性,69岁。有慢性咳、痰、喘病史30余年,加重1周。查体:神清,唇发绀,桶状胸,双肺可闻及湿性啰音,剑突下可见心尖搏动,心率112次/分,节律不齐,心音强弱不等,肝肋下1cm触及,双下肢水肿(++)。实验室检查:血WBC11×10/L,N0.8,1O.20,尿蛋白(+)。胸片:双肺纹理增多。ECG:心房颤动。问下列哪一种治疗最恰当()
A.立即给予高浓度吸氧
B.立即用呋噻米静脉注射,消除水肿
C.积极抗感染,保持呼吸道通畅
D.立即用毛花苷丙纠正房颤
E.立即注射地塞米松
47、单项选择题 剧烈咳嗽后突发胸痛的原因最可能的是()
A.肺结核
B.自发性气胸
C.肺癌
D.肺脓肿
E.食管、贲门撕裂综合征
48、单项选择题
女性,34岁,哮喘史11年,近1年来反复发作,午夜或清晨时易发作,春季和梅雨季节尤其好发。体检:一般可,叙述病史连贯而无气急,两肺散在哮鸣音。
关于哮喘的吸入疗法说法不正确的是()
A.吸入给药可以增加局部药物浓度
B.吸入疗法增加疗效,减少不良反应
C.规则地使用吸入糖皮质激素控制哮喘慢性气道炎症
D.按需吸入β受体激动剂控制哮喘症状
E.吸入疗法在目前临床普及率高
49、单项选择题
患者男性,72岁,既往咳嗽、咳痰30年,活动后气短12年,近1年出现双下肢水肿。肺功能显示阻塞性通气功能障碍,FEV 1%~50%。
慢性支气管炎所致阻塞性肺气肿多为()
A.小叶中心型
B.全小叶型
C.混合型
D.旁间隔型
E.以上均不是
50、单项选择题
男性,63岁,慢性咳嗽、咳痰20年,受凉后症状加重伴明显气短1周入院。血气分析示:pH7.30,PaCO2 70mmHg,PaO2 46mmHg,立即给予持续低流量吸氧。
持续低流量氧疗的机制为()
A.缺氧时组织摄氧量增加
B.缺氧时血红蛋白代偿性增加
C.缺氧时,心率加快增加氧的运输
D.维持低氧对颈动脉窦、主动脉体的刺激作用
E.利用氧解离曲线的特点,在陡直部分,PaO稍有增加,SaO便有较多增加
51、填空题 计算吸入氧气浓度(%)的公式为__________。
52、单项选择题 判定支气管哮喘的治疗效果;最有意义的指标是()
A.血气分析结果
B.X线肺野透亮度的变化
C.嗜酸性粒细胞数
D.症状和体征
E.肺活量和1秒率
53、判断题 支气管哮喘与β肾上腺素受体功能低下和迷走神经张力亢进有关。
54、问答题 试述支气管哮喘气流阻塞的发生机制。
55、填空题 根据支气管扩张患者咳痰的量,咳痰的严重程度可分为轻度__________ml/d、中度__________ml/d,重度__________ml/d。
56、单项选择题 女,43岁,近日来咳嗽,痰少,气喘,心悸,活动后症状明显。查体:端坐位,口唇稍发绀,双肺散在哮鸣音,心率100次/分,律齐。用下列哪种药物治疗最合适()
A.毛花苷丙
B.呋噻米
C.肾上腺素
D.阿托品
E.氨茶碱
57、名词解释 寂静胸(si1entchest)
58、单项选择题 哮喘持续状态患者经补液、大量糖皮质激素和氨茶碱治疗2天后,突感左胸痛,呼吸困难加重。体检:左肺哮鸣音较前明显减少,心率134次/分。为明确诊断首先必需的检查是()
A.心电图
B.血气分析
C.肺功能
D.X线胸透或X线胸片检查
E.中心静脉压
59、单项选择题
男性,63岁,慢性咳嗽、咳痰20年,受凉后症状加重伴明显气短1周入院。血气分析示:pH7.30,PaCO2 70mmHg,PaO2 46mmHg,立即给予持续低流量吸氧。
患者在使用容量控制型呼吸模式时,其自主呼吸与呼吸机不协调,呼吸监测示气道高压报警,肺动态顺应性不降低,下列原因中哪种可能性最大()
A.气压伤
B.肺栓塞
C.气道内分泌物增加,气道阻力增加
D.心源性肺水肿
E.肺血管阻力增加
60、单项选择题 肺气肿的基本类型中以哪种最多见()
A.混合型肺气肿
B.全小叶型肺气肿
C.小叶中心型肺气肿
D.局灶性肺气肿
E.老年性肺气肿
61、多项选择题 可引起COPD急性加重的因素有()
A.吸烟
B.冷空气刺激
C.细菌感染
D.病毒感染
E.衣原体感染
62、单项选择题 重度支气管哮喘最主要的治疗药物是()
A.茶碱类
B.β受体激动剂
C.抗胆碱能类
D.糖皮质激素
E.抗过敏类
63、配伍题 可发生肺脓肿()可发生Ⅰ型呼吸衰竭()可发生Ⅱ型呼吸衰竭()
A.慢性阻塞性肺疾病
B.肺炎球菌性肺炎
C.右中叶综合征
D.肺栓塞
E.原发性肺结核
64、单项选择题 下列哪种疾病最容易并发阻塞性肺气肿()
A.慢性支气管炎
B.支气管哮喘
C.肺结核
D.慢性肺脓肿
E.广泛性支气管扩张
65、单项选择题
老年男性,反复咳嗽咳痰4~5年,近2个月来病情加重,痰量多,青、链霉素治疗效果欠佳。查体:背部双下肺野可闻及细湿啰音;WBC8.6×10/L,N0.76。
该病人诊断应为()
A.支气管肺癌并感染
B.慢性支气管炎,阻塞性肺气肿
C.慢性支气管炎急性发作期
D.慢性支气管炎慢性迁延期
E.肺脓肿
66、单项选择题 关于哮喘的病因及发病机制,下列哪项不正确()
A.病因和发病机制尚未完全明了
B.内源性哮喘常发生于有特异性体质者
C.外源性哮喘常于幼年发病
D.内源性哮喘多见于成人
E.内源性哮喘有副交感神经系统功能异常表现
67、单项选择题 慢性阻塞性肺疾病的体征,下列不正确的是()
A.肺肝浊音界下移
B.心音遥远
C.呼吸音减低
D.胸膜摩擦音
E.桶状胸
68、单项选择题 引起肺动脉高压最主要的原因是()
A.血容量增加
B.呼吸性酸中毒
C.代谢性碱中毒
D.肺血管阻力增加
E.血液粘稠度增大
69、问答题 支气管扩张的临床表现如何?
70、单项选择题
肺功能示:1秒钟用力呼气容积占用力肺活量比值<60%,最大通气量低于预计值的80%;残气容积增加,残气容积占肺总量的百分比>40%。
最可能的诊断是()
A.慢性阻塞性肺疾病
B.支气管哮喘
C.肺间质纤维化
D.大叶性肺炎
E.急性支气管炎
71、多项选择题 下列哪项因素可诱发哮喘发作()
A.阿司匹林、普萘洛尔(心得安)
B.理化刺激、精神紧张
C.接触过敏原
D.运动
E.病毒感染
72、单项选择题 细菌性咽-扁桃体炎多由何种病原体感染引起()
A.肺炎球菌
B.溶血性链球菌
C.流感嗜血杆菌
D.柯萨奇病毒A
E.葡萄球菌
73、单项选择题 女,42岁,呼气性呼吸困难持续6小时,既往无高血压病史,有支气管哮喘病史。查体:双肺满布哮鸣音,心率130次/分,律齐,心脏无杂音。下列哪项治疗不恰当()
A.使用祛痰剂
B.毛花苷丙静脉注射
C.皮质激素吸入
D.舒喘灵喷雾吸入
E.吸氧
74、单项选择题 20岁患者,阵发性呼吸困难、烦躁不安,持续5小时,注射氨茶碱未能缓解。查体:有肺气肿征,满肺可及哮鸣音;心率130次/分,律齐,无杂音;血压14.6/9.3kPa(110/70mmHg)。紧急处理可用()
A.毛花苷丙静脉注射
B.呋噻米静脉推注
C.氢化可的松静脉滴注
D.吗啡皮下注射
E.大量青霉素静脉滴注
75、单项选择题 下列物质中不引起支气管哮喘发病的炎性介质是()
A.白三烯
B.前列腺素
C.心钠素
D.血小板活化因子
E.嗜酸性粒细胞趋化因子
76、单项选择题
患者男性,72岁,既往咳嗽、咳痰30年,活动后气短12年,近1年出现双下肢水肿。肺功能显示阻塞性通气功能障碍,FEV 1%~50%。
阻塞性肺气肿的主要症状应是()
A.突然出现呼吸困难
B.逐渐加重的呼气困难,以活动时为著
C.夜间阵发性呼吸困难
D.心悸
E.发绀
77、单项选择题
男,72岁,哮喘史40年,近5年来双下肢水肿,近1周来哮喘加重,咳黄痰,白天嗜睡,夜间失眠。
下列哪项检查对明确诊断有意义()
A.心电图
B.血气分析
C.脑电图
D.脑血流图
E.超声心动图
78、单项选择题
女性,哮喘发作已持续2天,端坐呼吸,发绀,双肺满布哮鸣音。
下列何种诊断更确切()
A.支气管哮喘
B.喘息型支气管炎
C.哮喘并发感染
D.哮喘并发气胸
E.哮喘持续状态
79、单项选择题 哮喘治疗中起“节约类固醇”作用的药物是()
A.罗红霉素
B.β受体激动剂
C.色甘酸钠
D.尼多酸钠
E.抗胆碱能药物
80、单项选择题
女性,哮喘发作已持续2天,端坐呼吸,发绀,双肺满布哮鸣音。
下列哪项治疗不正确()
A.氧疗
B.控制感染
C.胸腔穿刺抽气
D.静脉滴注氨茶碱+地塞米松
E.纠正酸碱失衡
81、判断题 支气管柱状扩张典型的X线表现是轨道征,囊状扩张的特征性改变为卷发样阴影。
82、单项选择题 有关哮喘的治疗,下列哪项错误()
A.避免或消除引起哮喘发作的各种诱因
B.可选用抗胆碱能类药和钙拮抗剂
C.可选用氨茶碱
D.肾上腺皮质激素对哮喘有明显疗效
E.选用α受体兴奋剂,舒张支气管
83、单项选择题 普通感冒以鼻咽部炎症为主要表现,其主要的病原体是()
A.副流感病毒
B.冠状病毒
C.埃可病毒
D.呼吸道合胞病毒
E.鼻病毒
84、判断题 继发感染时,因左舌叶支气管开口接近背段支气管,故常见左下叶与舌叶支气管同时扩张。
85、单项选择题
女性,67岁,咳嗽,咳痰伴喘息20年,加重1周。痰白色泡沫状,量较多。查体:嗜睡,球结膜水肿,皮肤红润,唇发绀,BP175/100mmHg,R15次/分,脉搏120次/分,双肺可闻及干湿啰音,双侧腱反射减弱,双下肢凹陷性水肿(+)。WBC12.8×10/L,N82%。
以下处理不当的是()
A.尽快使用利尿剂,减轻脑水肿
B.低浓度持续给氧
C.合理应用呼吸兴奋剂
D.抗感染治疗
E.保持气道通畅
86、单项选择题 慢性阻塞性肺疾病早期肺部X线表现是()
A.肺野透亮度增加
B.两肺纹理增粗紊乱
C.无特殊征像
D.膈肌下降
E.胸廓扩张,肋间隙增宽
87、单项选择题 男性,26岁。哮喘重度发作。体检:张口、端坐呼吸,大汗淋漓,叙述病史仅能说些单词或短语而不连贯。为评价病情,下列体征中哪一项预示病情严重()
A.两肺广泛响亮哮鸣音
B.两肺呼吸音低,无明显哮鸣音
C.肋间隙增宽
D.双肺叩诊过清音
E.心脏绝对浊音界缩小
88、单项选择题 老年慢性阻塞性肺疾病患者,近月来病情加重,感染不易控制,曾用多种抗生素疗效欠佳。为明确诊治,应首先采取下列哪项检查()
A.肺部CT
B.血常规
C.血气分析
D.肺功能测定
E.痰普通培养及真菌培养
89、单项选择题 男性,47岁。反复咳嗽、咳脓痰30余年。HRCT证实右下、左下叶支气管扩张。近1周发热,痰量增多,下列哪一项处理是错误的()
A.选用敏感抗生素
B.痰细菌学检查
C.手术治疗
D.应用祛痰药
E.体位引流
90、填空题 根据临床表现,支气管扩张可分为__________和__________。
91、单项选择题 关于糖皮质激素治疗哮喘的机制,下列哪项不正确()
A.促进粘膜分泌作用
B.非特异性抗炎抗过敏
C.抑制α受体作用
D.抑制磷酸二酯酶
E.稳定肥大细胞膜
92、单项选择题 男性,65岁。反复咳嗽、咳痰伴气喘20余年,痰液黏稠。近2~3年气急渐进性加重。1年来发现高血压及频发房性早搏,昨起感胸闷、气喘,下列处方中哪项是不妥当的()
A.美多心安6.25mg,口服,每日3次
B.溴己新(必嗽平)16mg,口服,每日3次
C.异丙托品气雾剂吸入
D.复方甘草合剂10ml,口服,每日3次
E.茶碱控释片O.2g,口服,每日1~2次
93、单项选择题
男性,22岁,奔跑后出现呼吸困难,喘憋伴哮鸣音。查体双肺满布哮鸣音。
诊断考虑为()
A.急性支气管炎
B.上呼吸道感染
C.运动性哮喘
D.心源性哮喘
E.变态反应性肺浸润
94、单项选择题 外源性支气管哮喘发作停止后()
A.肺部湿啰音仍常存在
B.双肺呼吸音减弱
C.肺部有阻塞性肺气肿征
D.常有局部干啰音存在
E.肺部啰音完全消失
95、配伍题 支气管扩张少见的并发症是()主要症状也是咳大量脓痰的疾病()多发生于老年吸烟者,季节变化时最易发病()
A.阻塞性肺气肿
B.脑脓肿
C.肺脓肿
D.肺源性心脏病
E.慢性支气管炎
96、单项选择题 支气管哮喘患者,肺功能检查以下哪项改变是错误的()
A.第1秒用力呼气率(FEV/FVC%)降低
B.最大呼气中期流速降低
C.最大呼气流速-容量减低
D.肺总量减少
E.残气量及残气/肺总量增大
97、单项选择题 血气分析改变:PaO7.3kPa(55mmHg),PaCO9.1kPa(68mmHg),HCO28mmol/L。pH7.28,可能导致该动脉血气变化可能的疾病是()
A.肺炎
B.胸膜炎
C.慢性阻塞性肺疾病,肺心病
D.肺癌
E.支气管扩张
98、单项选择题
女性,34岁,哮喘史11年,近1年来反复发作,午夜或清晨时易发作,春季和梅雨季节尤其好发。体检:一般可,叙述病史连贯而无气急,两肺散在哮鸣音。
发作较重时需加用β受体激动剂,首选药物是()
A.肾上腺素
B.去甲肾上腺素
C.麻黄碱(麻黄素)
D.沙丁胺醇(舒喘灵)或特布他林(间羟舒喘宁)
E.异丙肾上腺素
99、单项选择题
男,72岁,哮喘史40年,近5年来双下肢水肿,近1周来哮喘加重,咳黄痰,白天嗜睡,夜间失眠。
如血气分析结果:Ph7.30,PaCO2 87mmHg,PaO2 45mmHg,出现失眠,烦躁,以下哪种药物禁忌使用()
A.地塞米松
B.尼克刹米
C.抗生素
D.安定片
E.氨茶碱
100、单项选择题 诊断支气管哮喘的主要依据是()
A.伴哮鸣音的呼吸困难
B.支气管激发试验阳性
C.通气功能检测
D.血中嗜酸性粒细胞增高
E.皮肤敏感试验阳性
101、单项选择题 女性,62岁。慢性咳喘20年。1周前曾有鼻塞、流涕等感冒症状。3天来咳喘加剧,发热T38℃,痰呈黄脓性。诊断慢性阻塞性肺疾病继发感染,关于病原体的估计下列哪一种是不常见的()
A.奈瑟球菌
B.产碱杆菌
C.肺炎链球菌
D.流感嗜血杆菌
E.甲型链球菌
102、问答题 怎样鉴别急性气管-支气管炎、上呼吸道感染、流行性感冒?
103、单项选择题 慢性阻塞性肺疾病患者,频咳后出现一侧剧烈胸痛,张口呼吸,发绀,大汗淋漓,呼吸32次/分,脉搏100次/分,血压12/8kPa(90/60mmHg)。下列哪项检查对目前诊断最重要()
A.胸部超声波检查
B.胸部X线透视或照片
C.心电图检查
D.血气分析
E.支气管镜检查
104、配伍题 肺脓肿的典型X表现为()支气管扩张的特征性X表现为()
A.右下肺实变阴影
B.右下肺炎性阴影伴空洞有液平
C.右下肺透亮度增高
D.两肺多发性结节阴影
E.双下肺环状、卷发状阴影
105、单项选择题 女性,38岁。咳嗽、咳脓痰20余年。体检:左下肺湿啰音,杵状指(+)。胸片示左心缘旁模糊阴影,有不规则环状透亮区,左下肺不张,右下肺纹理增多。最大通气量占预计值50%,肺活量占预计值70%,下列哪一项处理不恰当()
A.胸部CT
B.支气管碘油造影
C.生理盐水雾化吸入
D.体位引流
E.祛痰药
106、单项选择题
女性,34岁,哮喘史11年,近1年来反复发作,午夜或清晨时易发作,春季和梅雨季节尤其好发。体检:一般可,叙述病史连贯而无气急,两肺散在哮鸣音。
有关糖皮质激素治疗哮喘的作用机制不正确的是()
A.激素可使外周血EOS数量减少和活性下降
B.使炎性介质释放减轻,气道EOS浸润增加
C.可抑制T淋巴细胞活化
D.增加气管平滑肌对β受体激动剂的反应性
E.减少气道毛细血管的渗出
107、单项选择题 女性,62岁。吸气性呼吸困难2个月。体检:肺部可闻及吸气相喘鸣音。以下诊断最不可能的是()
A.喉头水肿
B.哮喘
C.肺癌
D.异物
E.喉、气管炎症
108、配伍题 支气管哮喘临床可表现为()支气管肺癌临床可表现为()
A.端坐呼吸,双肺底湿啰音
B.呼气性呼吸困难,两肺哮鸣音
C.夜间阵发性呼吸困难,肺部无异常体征
D.进行性呼吸困难,右上肺固定哮鸣音
E.咳嗽伴活动后气急,肺部干湿啰音
109、多项选择题 哮喘中度急性发作患者,用糖皮质激素和支气管舒张剂治疗,仍未缓解。X线胸片双肺过度充气。导致哮喘发作不缓解的原因可能与下列哪些有关()
A.过敏原未清除
B.痰栓阻塞小支气管
C.感染未控制
D.足量补充液体
E.精神紧张
110、问答题 如何用呼吸峰流率评价气道的高反应性?
111、单项选择题
67岁男性,吸烟史30余年,反复咳嗽咳痰20年,支气管镜见气管壁粘膜明显纤维化,可能的诊断是()
A.慢性支气管炎
B.急性支气管炎
C.肺间质病
D.支气管内膜结核
E.支气管扩张
112、填空题 COPD最常见的并发症有__________、__________和__________。
113、判断题 寂静胸仅见于非常严重哮喘发作患者。
114、单项选择题 男,43岁,瓷厂铸模工,反复咳嗽咳痰12年,气促4年,入冬尤明显。查体:双肺呼吸音低,无啰音。X线胸片示双肺多个2cm×2cm大小结节影,肺门阴影增大,双肺纹理增多呈网织状。其最可能的诊断是;()
A.结节病
B.肺癌
C.慢性阻塞性肺疾病
D.硅沉着病
E.肺结核
115、多项选择题 急性气管-支气管炎可以由哪些因素引起()
A.病毒
B.细菌
C.刺激性气体或烟雾
D.吸入致敏原
E.以上都不是
116、单项选择题 男性,52岁。幼年有麻疹病史,常伴有脓痰和少量咯血。曾经支气管造影检查证实右下叶后基底段及内侧段支气管扩张。近4~5年来症状加重,伴气急。1个月前肺功能测定FEV占肺活量38%。近2天来咯血不止,24小时总量超过600ml。治疗措施选择下列哪一项不合适()
A.预防窒息
B.支气管镜局部用药或球囊压迫止血
C.选择性支气管动脉栓塞
D.手术治疗
E.氧疗
117、单项选择题 男性,63岁。咳嗽、咳痰约15年,近5~6年来活动后气促伴喘息,近1年来反复出现双下肢水肿。查体:双肺叩诊过清音,双肺呼吸音减弱,有散在干啰音,双下肺有细湿啰音。下列哪项诊断是正确的()
A.慢性肺脓肿
B.慢性阻塞性肺疾病、肺源性心脏病
C.慢性肺源性心脏病
D.支气管扩张并肺部感染
E.支气管哮喘并肺部感染
118、单项选择题
男性患者,69岁,胸闷气逼多年,近来咳嗽,无胸痛、无痰中带血,X线检查如图,最可能的诊断是()
A.慢性阻塞性肺疾病、右上肺肿瘤
B.慢性阻塞性肺疾病、右上肺炎性假瘤
C.慢性阻塞性肺疾病、右上肺结核瘤
D.慢性阻塞性肺疾病、肺转移瘤
119、单项选择题
患者男性,55岁,间断咳嗽、咳痰10年、胸闷、活动后气短6年。
肺功能检查最可能的结果()
A.限制性通气功能障碍
B.弥散功能正常
C.阻塞性通气功能障碍
D.肺通气功能正常
E.肺通气功能正常而激发试验阳性
120、单项选择题
女,24岁,在春季旅游中突感胸闷,呼吸困难,全身大汗。查体:唇稍发绀,呼吸促,双肺满布干性啰音,心率90次/分,律齐。过去曾有类似发作,休息后自行缓解。
下列诊断哪项可能性最大()
A.过敏性休克
B.心源性哮喘
C.慢性阻塞性肺疾病
D.支气管哮喘
E.变态反应性肺浸润
121、单项选择题 男性,20岁,1周前咽部不适,打喷嚏,流清水样鼻涕,2天来流大量脓鼻涕,可能的诊断是()
A.中耳炎
B.鼻窦炎
C.气管-支气管炎
D.肺炎
E.肺脓肿
122、单项选择题 男性,33岁。哮喘急性发作2天,自服氨茶碱、吸入倍氯米松气雾剂无效。体检:神志恍惚,发绀,有奇脉,两肺满布哮鸣音,心率120次/分。其紧急处理应当是()
A.静脉推注氨茶碱并监测血药浓度
B.静脉注射地塞米松和β受体激动剂
C.吸氧、静脉注射琥珀酰氢化可的松、雾化吸入沙丁胺醇溶液
D.静脉滴注抗生素和注射支气管舒张剂
E.大量补液,气管插管和机械通气
123、单项选择题 不典型哮喘诊断的主要依据是()
A.胸片
B.临床症状
C.嗜酸性粒细胞数增高
D.皮肤敏感试验
E.支气管激发试验
124、单项选择题
男性,63岁,慢性咳嗽、咳痰20年,受凉后症状加重伴明显气短1周入院。血气分析示:pH7.30,PaCO2 70mmHg,PaO2 46mmHg,立即给予持续低流量吸氧。
如经积极治疗后,患者的症状仍在加重,逐渐出现意识障碍,气道内分泌物多且不易咳出,PaCO2升至87mmHg,此时应采取的措施为()
A.使用糖皮质激素
B.应用利尿剂
C.行气管插管,进行机械通气
D.经口鼻面罩进行无创通气
E.使用呼吸兴奋剂
125、单项选择题
男,22岁,近日咳嗽,咳少许白痰,低热。前天夜间突起气促,张口呼吸,带哮鸣音,大汗淋漓,面色苍白,肢冷,脉速120次/分,血压12/8kPa(90/60mmHg),双肺满布哮鸣音,心脏无杂音。ECG示窦性心动过速。经多次静脉注射氨茶碱后,肺部哮鸣音无变化。
下列哪项措施错误()
A.吸氧
B.氨茶碱静脉滴注
C.地塞米松静脉注射
D.使用抗生素
E.普萘洛尔(心得安)静脉滴注
126、多项选择题 引起重症支气管哮喘的原因有()
A.酸中毒,粘液栓阻塞小支气管
B.并发自发性气胸,电解质紊乱
C.感染未控制,过敏原未消除
D.精神紧张,心肺功能不会
E.运用利尿药物或镇静药物
127、单项选择题 男性,63岁,长期吸烟史,反复咳脓痰伴间断少量咯血20余年,大咯血3天。体检:右下肺纹理增重,可见卷发影。最可能的诊断是()
A.肺结核
B.肺癌
C.肺炎
D.支气管扩张症
E.慢性阻塞性肺疾病
128、单项选择题 关于气肿型慢性阻塞性肺气肿的症状,下列哪项不正确()
A.多见于老年人
B.气促不明显
C.咳嗽轻,痰为粘液性,量少
D.明显瘦弱
E.呼吸音减低,湿性啰音稀少
129、单项选择题
老年男性,反复咳嗽咳痰4~5年,近2个月来病情加重,痰量多,青、链霉素治疗效果欠佳。查体:背部双下肺野可闻及细湿啰音;WBC8.6×10/L,N0.76。
患者疗效欠佳的主要原因是()
A.未使用广谱抗生素
B.病毒细菌感染
C.未进行痰液引流
D.营养欠佳
E.未进行护理治疗
130、单项选择题 临床确诊支气管扩张宜首选()
A.慢性咳嗽咳大量脓痰或反复咯血,可闻及局限性固定性湿啰音,结合有关发病诱因
B.HRCT(高分辨率CT)
C.胸部X线照片
D.支气管造影
E.支气管镜检查
131、单项选择题 支气管哮喘发作时,呼气期两肺满布哮鸣音。其原因主要是()
A.肺泡间质水肿
B.支气管内粘膜分泌物增多
C.阻塞性肺气肿
D.支气管平滑肌痉挛
E.支气管粘膜肿胀致支气管狭窄
132、单项选择题
女,14岁,胸闷、干咳、气促1小时余。查体:呼吸30次/分,双肺可及哮鸣音。病前曾去公园游玩,出现鼻痒、打喷嚏。过去有类似发作史。
须作哪项治疗处理()
A.抗生素+氨茶碱
B.静脉注射地塞米松
C.立即上氧,静脉输液加氨茶碱
D.脱离接触,口服沙丁胺醇(舒喘灵)、氨茶碱
E.抗生素+激素
133、配伍题 细菌性肺炎的典型临床表现为()肺结核合并感染的典型临床表现为()肺脓肿的典型临床表现为()支气管扩张合并感染的典型临床表现为()
A.长期低热、盗汗、咳嗽,近日出现寒战、高热,咯脓痰
B.急性寒战、咳嗽、咳痰,痰量逐渐增多,有臭味
C.反复发热、咯血,并有大量脓痰
D.急性寒战、高热、胸痛、咳嗽,咯铁锈色痰
E.咽部发痒,干咳、无痰
134、单项选择题 急性上呼吸道感染会并发或继发的疾病,以下不正确的是()
A.急性鼻窦炎
B.中耳炎
C.肺结核
D.心肌炎
E.气管-支气管炎
135、配伍题 沙丁胺醇(舒喘宁)的作用机制是()氨茶碱的作用机制是()溴化异丙托品的作用机制是()色苷酸钠的作用机制是()
A.阻断迷走神经M胆碱受体
B.抑制磷酸二酯酶
C.激活腺苷酸环化酶
D.保护肥大细胞溶酶体膜
E.使封闭抗体增加
136、单项选择题 男性,74岁。反复咳喘20年。体检:桶状胸,双肺呼吸音减低。肺功能测定:肺活量占正常预计值70%,第1秒用力呼气容积占用力肺活量50%,残气量占肺总量45%,肺总量稍降低。其肺功能损害属哪一类型()
A.限制型通气障碍
B.阻塞型通气障碍
C.以限制为主的混合型通气损害
D.以阻塞为主的混合型通气损害
E.混合型通气损害
137、单项选择题 女性,37岁。自童年患麻疹并肺炎后咳嗽迁延不愈,伴大量黄脓痰,偶有咯血,量不多。近1年多来痰培养一直有铜绿假单胞菌生长。2周前因受凉咳嗽、咳黄脓痰加剧,伴发热38.5℃,体检右下肺闻及粗湿啰音。经抗生素治疗现症状已经控制。痰培养仍见铜绿假单胞菌生长。下一步治疗较适合的是()
A.停药、临床观察
B.增加药物剂量继续应用
C.增加其他具有抗铜绿假单胞菌活性抗生素,多药联合使用
D.改用更有效药物
E.支气管肺泡灌洗,并支气管内局部给药
138、多项选择题 肺气肿患者肺功能检查常提示有()
A.阻塞性通气功能障碍
B.限制性通气功能障碍
C.弥散功能降低
D.气道阻力升高
E.支气管激发试验阳性
139、单项选择题 男性,63岁,慢性咳嗽、咳痰3年,每年冬季发作,持续3~4个月,近10天再次出现咳嗽、咳痰、为白黏痰,无发热及呼吸困难。查血常规、尿常规、心电图均正常,胸片示双肺纹理增多、紊乱。可诊断为()
A.肺结核
B.肺脓肿
C.慢性支气管炎
D.支气管扩张
E.支气管哮喘
140、单项选择题
女性,34岁,哮喘史11年,近1年来反复发作,午夜或清晨时易发作,春季和梅雨季节尤其好发。体检:一般可,叙述病史连贯而无气急,两肺散在哮鸣音。
患者已妊娠2~3个月,应采取措施是()
A.继续妊娠,可用氨茶碱、丙酸倍氯、米松等预防发作或控制症状
B.劝其终止妊娠
C.激素绝对禁忌
D.分娩方式采取剖宫产
E.尽量不用药,防止药物影响胎儿
141、单项选择题 支气管哮喘发作持续约1天,出现大汗淋漓、发绀、端坐呼吸,有奇脉。有散在哮鸣音。应采取下列哪项治疗最好()
A.山莨菪碱静脉注射
B.补液加氨茶碱
C.喘乐宁喷雾剂
D.氨茶碱、激素+补液+补充电解质
E.色甘酸二钠喷雾
142、单项选择题 支气管扩张主要发生于()
A.直径小于2mm的小管径的远端支气管
B.直径小于4mm的远端支气管
C.直径大于2mm的中等大小的近端支气管
D.2~4级以下管径较大的近端支气管
E.2~4级支气管
143、单项选择题 关于慢性阻塞性肺疾病的治疗,下列哪项是错误的()
A.急性发作期给抗生素治疗
B.感染彻底控制后立即停药
C.老年体弱或痰量多者以祛痰为主
D.凡有咳嗽、咳痰者均给抗菌药物治疗
E.长期应用抗生素可出现双重感染
144、判断题 茶硷类能抑制磷酸二酯酶,提高平滑肌细胞内cAMP而松弛支气管平滑肌。
145、名词解释 流行性感冒
146、单项选择题 男性,55岁。咳嗽、咳痰2年余,以白黏痰为主,1周来加重并咳黄脓痰。体检:双肺可闻及少许散在细湿啰音;X线胸片示双肺纹理明显增多、增粗、紊乱;血WBC14.1×10/L.N0.79,该患者最合适的诊断是()
A.慢性阻塞性肺疾病急性发作
B.肺癌
C.肺气肿
D.硅沉着病
E.肺脓肿
147、问答题 试述急性上呼吸道感染的主要类型及其临床表现。
148、单项选择题 支气管扩张大咯血的原因()
A.支气管动脉先天性解剖畸形
B.支气管粘膜深层发生溃疡
C.合并重度支气管炎
D.支气管发生囊性扩张
E.支气管动脉与肺动脉终末支扩张血管瘤破裂
149、单项选择题
患者男性,48岁,反复咳嗽、咳黄痰30余年,间断咯血4次。此次因咳嗽加重,发热入院。
支气管扩张患者反复感染加重,其最常见的致病菌为()
A.大肠杆菌
B.肺炎克雷白杆菌
C.卡他莫拉菌
D.铜绿假单胞杆菌
E.不动杆菌属
150、单项选择题
24岁男性,咳嗽咳痰鼻塞流涕5天,支气管镜如图,可能的诊断是()
A.支气管扩张
B.支气管内膜结核
C.出血
D.急性支气管炎
E.正常
151、单项选择题 女性,22岁。自幼因麻疹后咳喘迁延不愈。近年来发作趋于频繁,程度加重。1周前感冒后哮喘发作一直未能缓解而住院。体检:患者神志淡漠,呼吸困难,呈端坐位,吸氧下发绀不明显。两肺满布哮鸣音,心率126次/分,律齐,有奇脉。为评估患者病情严重度,应即做下列哪项检查()
A.动脉血气分析
B.血电解质测定
C.痰细菌培养
D.过敏原皮肤试验
E.血清IgE测定
152、单项选择题 男性,40岁。哮喘急性发作1周,昨夜气急突然加重。体检:发绀,大汗,两肺叩诊过清音,两肺闻及哮鸣音,左肺呼吸音减弱,心率126次/分,律齐。用氨茶碱、激素后,哮鸣音改善,但气急无好转。病情加重的原因最可能是()
A.严重支气管痉挛
B.并发左心衰竭
C.并发气胸
D.继发肺部感染
E.并发呼吸衰竭
153、单项选择题 上呼吸道感染的主要病因是()
A.衣原体
B.细菌感染
C.病毒感染
D.真菌
E.支原体
154、单项选择题
男,45岁,既往有肺结核及哮喘反复发作史。半小时前上楼时,突发呼吸困难及右侧胸痛。查体:明显呼吸困难,发绀,端坐呼吸,大汗,烦躁,颈静脉充盈,气管轻度左偏,桶状胸;双肺叩诊过清音,右侧略带鼓音;右肺呼吸音低,左肺可闻哮鸣音。
应进行何种检查才能确诊()
A.肺功能
B.血气分析
C.胸部X线
D.心电图
E.胸部B超
155、单项选择题 男,62岁,常夜间发作哮喘,伴频繁咳嗽,咳泡沫痰,有时带血丝,双肺底可闻及湿性啰音。患者为下列哪种疾病所致哮喘的可能性最大()
A.支气管哮喘
B.慢性阻塞性肺疾病
C.心源性哮喘
D.肺癌
E.过敏性肺炎
156、单项选择题 女,17岁,自3岁起开始喘息,诊断为支气管哮喘。因喘息急性发作加重入院。提高下列哪项受体兴奋性最有助于缓解哮喘()
A.α受体
B.M胆碱能受体
C.N受体
D.H1受体
E.β肾上腺素能受体
157、多项选择题 关于慢性支气管炎的诊断必备条件是下列哪些()
A.咳嗽、咳痰或伴喘息
B.每年发病持续3个月、连续2年以上(含2年)
C.排除其他心、肺疾患
D.若发病症状持续不足3个月则必须有其他明确客观依据
E.肺部啰音
158、判断题 急性上呼吸道感染约有70%~80%由细菌引起。
159、单项选择题 女性,25岁。运动后常发生胸闷、咳嗽和呼吸困难5年,经休息后可缓解。最可能的诊断()
A.过敏性鼻炎
B.运动性哮喘
C.急性支气管炎
D.咳嗽变异型哮喘
E.心源性哮喘
160、单项选择题 阻塞性肺气肿的病理按累及肺小叶的部位分类,下述何者正确()
A.小叶中央型是呼吸性细支气管狭窄引起肺泡管-肺泡囊扩张
B.以全小叶型多见
C.全小叶型是囊状扩张的呼吸性细支气管位于二级小叶中央区
D.两型同时存在一个肺内称混合型肺气肿
E.小叶中央型的特点是气肿囊腔较小,遍布于肺小叶内
161、单项选择题 男,47岁,咳嗽、咳痰多年,近2年来反复气喘,每年持续3~4个月。最可能的诊断是()
A.肺结核
B.支气管哮喘
C.支气管扩张
D.肺脓肿
E.慢性阻塞性肺疾病
162、单项选择题 男性,69岁。反复咳嗽、咳痰35年,伴气促10年。动脉血气分析:PaCO55mmHg,PaO60mmHg,其家庭治疗与护理的有效措施首选()
A.腹式呼吸锻炼
B.长期家庭氧疗
C.抗生素控制感染
D.支气管舒张剂治疗
E.吸入表面激素
163、配伍题 慢性咳嗽、咳痰、气短8年余,并进行性加重是()发作性咳嗽、呼吸困难、伴有哮鸣音是()反复咳嗽、咳黄痰,并间断咯血()
A.支气管扩张
B.肺脓肿
C.慢性阻塞性肺疾病
D.肺癌
E.支气管哮喘
164、单项选择题 男性,21岁,重度哮喘发作经治疗缓解出院后推荐其长期使用的药物是()
A.抗生素
B.泼尼松
C.开瑞坦
D.吸入激素
E.β受体激动剂
165、填空题 COPD诊断的必备条件为__________。
166、配伍题 代偿性肺气肿()间质性肺气肿()老年性肺气肿()旁间隔肺气肿()
A.部分肺组织失去功能,
B.肺小叶间隔纤维组织附近的肺泡过度扩张充气或破裂融合形成
C.因煤尘粘着于呼吸性细支气管壁,引起纤维组织增生和收缩而产生
D.由于肺泡壁及呼吸性细支气管破裂而产生
E.由肺组织生理性退行性改变所致成健康肺组织代偿性膨胀
167、判断题 慢性阻塞性肺疾病是一种具有气流受限特征的肺部疾病,气流受限不可逆,呈进行性发展。
168、单项选择题 男,47岁,咳嗽咳痰3年,活动后气促2年。了解患者肺气肿程度,下列哪项检查最有意义()
A.心电图
B.血气分析
C.肺功能测定
D.血常规
E.胸部X线片
169、填空题 根据支气管哮喘急性发作期的严重程度不同,分级为__________、__________、__________和__________。
170、单项选择题 急性上呼吸道感染主要的病原体为病毒,少数为细菌,区别病毒和细菌感染,以下哪一种效果不满意()
A.病毒分离鉴定
B.胸部CT
C.酶联免疫吸附检测法
D.血清学诊断
E.免疫荧光法
171、单项选择题
患者男性,48岁,反复咳嗽、咳黄痰30余年,间断咯血4次。此次因咳嗽加重,发热入院。
作为治疗支气管扩张的经验用药,下列药物可选用()
A.哌拉西林
B.环丙沙星
C.氨基糖苷类抗生素
D.头孢他啶
E.以上均可选用
172、单项选择题 女,70岁,有慢性咳喘史20余年,咳喘加重1周。查体:神清,唇发绀,桶状胸,剑突下可见心尖搏动;双肺可闻湿性啰音;心率112次/分,节律不齐,心音强弱不等;肝肋下1cm触及,双下肢水肿++。实验室检查:血WBC11×10/L,N0.80,L0.20,尿蛋白+,胸片:双肺纹理增多。ECG:心房颤动。问下列哪种治疗最恰当()
A.立即用高浓度吸氧
B.积极抗感染,保持呼吸道通畅
C.立即用呋噻米静脉注射,消除水肿
D.立即用毛花苷丙纠正房颤
E.立即注射地塞米松
173、单项选择题
男,45岁,既往有肺结核及哮喘反复发作史。半小时前上楼时,突发呼吸困难及右侧胸痛。查体:明显呼吸困难,发绀,端坐呼吸,大汗,烦躁,颈静脉充盈,气管轻度左偏,桶状胸;双肺叩诊过清音,右侧略带鼓音;右肺呼吸音低,左肺可闻哮鸣音。
最可能的诊断是()
A.支气管哮喘发作
B.肺结核+支气管哮喘
C.支气管哮喘持续状态
D.哮喘并胸腔积液
E.支气管哮喘并自发性气胸
174、单项选择题 关于急性上呼吸道感染的流行病学,下列哪项最不可能()
A.人体对各种病毒感染后产生的免疫力较弱且短暂
B.可通过含有病毒的飞沫传播
C.本病全年皆可发病,以夏秋季较多
D.健康人群中有病毒携带者
E.一个人一年内可多次感染
175、问答题 何谓哮喘的阶梯治疗?
176、单项选择题 女性,25岁。阵发性呼气性呼吸困难,烦躁不安。体检:双肺满布哮鸣音,有肺气肿征,心率130次/分,律齐,无杂音,血压14.6/9.3kPa(110/70mmHg),抢救措施中哪一项一般不用()
A.静脉注射氨茶碱
B.静脉滴注糖皮质激素
C.吸氧
D.静脉注射强心剂
E.静脉补充液体
177、问答题 试述吸入糖皮质激素和β受体激动剂在慢性哮喘治疗中的应用。
178、单项选择题 哪项不是过敏性鼻炎主要特点()
A.起病急骤
B.鼻腔发痒
C.频繁喷嚏
D.每次持续数天
E.有时异味可诱发
179、单项选择题 左肺舌叶支气管和左下叶支气管同时扩张的原因是()
A.支气管扩张多发生在多个肺叶
B.左下叶支气管狭长,且受心脏压迫影响引流
C.舌叶支气管细长不易引流,易感染
D.两支气管开口相邻近,下叶感染累及舌叶
E.舌叶支气管开口易因淋巴结肿大压迫,影响引流
180、单项选择题 慢性阻塞性肺疾病患者,每于冬春季节病情加重,近年来又发生肺部感染。在使用抗生素时下列情况哪项不正确()
A.使用敏感抗生素
B.选用广谱抗生素
C.采取联合用药
D.感染控制后应长期使用抗生素维持
E.静脉给药
181、填空题 支气管哮喘的免疫治疗包括__________和__________。
182、单项选择题 支气管哮喘常用的临床分型有()
A.单纯型、喘息型、混合型
B.外源性、内源性、哮喘持续状态
C.外源性、感染性、混合性
D.外源性、内源性、混合性
E.内源性、感染性、混合性
183、单项选择题 哮喘发作时下列哪种药物不宜使用()
A.地塞米松
B.肾上腺素
C.氨茶碱
D.色甘酸二钠
E.山莨菪碱
184、配伍题 维拉帕米()特布他林()
A.提高β受体对拟肾上腺素类药物的效应
B.抑制磷酸二酯酶活性
C.非支气管舒张剂
D.阻止钙离子进入肥大细胞,
E.对β受体起主要作用的兴奋剂
185、单项选择题 男性,24岁。支气管哮喘发作2小时。体检:神清,口唇稍发绀,明显呼吸困难,双肺有广泛哮鸣音;WBC8.O×10/L,NO.82,此时可能已发生下列哪一种情况()
A.代谢性酸中毒
B.呼吸性酸中毒
C.代谢性碱中毒
D.PaO2:降低,PaCO2:正常或稍低
E.PaO2:明显降低,PaCO2:明显升高
186、单项选择题 支气管哮喘临床典型的表现是()
A.顽固性胸痛
B.持续性胸闷
C.刺激性干咳
D.发作性呼气性呼吸困难
E.间断性咯血
187、单项选择题 男性,27岁。有支气管扩张12史,近1周来咳嗽加剧,咳黄脓痰,痰量较多,偶有少量咯血。体检:右下肺可闻湿啰音。近日痰量减少,且出现发热,体温38.3℃首先应考虑()
A.突发感染加重
B.混合感染,尤其是合并厌氧菌感染
C.并发肺脓肿
D.支气管引流不畅
E.抗生素选用不当
188、判断题 小叶中央型肺气肿是由于呼吸性细支气管狭窄引起的肺泡管-肺泡囊及肺泡的扩张。
189、单项选择题 女性,33岁。发热、咳嗽和痰中带血3天入院。体检:右下肺可闻及湿啰音,胸片示右下肺片状阴影。最可能的诊断是()
A.肺癌
B.肺结核
C.肺炎
D.支气管扩张并感染
E.肺栓塞
190、单项选择题
患者男性,48岁,反复咳嗽、咳黄痰30余年,间断咯血4次。此次因咳嗽加重,发热入院。
临床上治疗大咯血最有效的药物是()
A.卡巴克洛(安络血)
B.云南白药
C.酚磺乙胺(止血敏)
D.氨甲苯酸(止血芳酸)
E.垂体后叶素
191、单项选择题 诊断支气管哮喘的主要依据()
A.血嗜酸性粒细胞增高
B.有阻塞性通气功能障碍
C.反复发作的呼吸困难伴有哮鸣音
D.血清特异性IgE升高
E.胸部X线检查示过度充气征
192、单项选择题 男,29岁,哮喘反复发作20年。此次因受凉诱发气喘,服用氨茶碱和磺胺药无效,症状持续半日,应加用哪种药物最合适()
A.肾上腺素
B.氨茶碱静脉注射
C.地塞米松
D.噻哌酮
E.喘乐灵
193、单项选择题
男,16岁,反复阵发性干咳2年,寒冷天气发作更频。本次发作时深呼气末可闻及干啰音,肺功能FEV/FVC为预计值的60%,IgE水平正常;缓解期肺部无体征,肺功能正常。
为明确诊断可采用以下何项进一步检查措施()
A.胸部照片
B.肺功能弥散试验
C.血气分析
D.支气管镜检查
E.吸入支气管扩张剂后再作FEV3
194、判断题 过敏反应是急性气管-支气管炎的病因之一。
195、单项选择题 有关茶碱的作用机制说法不正确的是()
A.抑制环核苷酸磷酸二酯酶(PDE)而舒张支气管
B.茶碱能增强膈肌的力量,增强低氧呼吸的驱动
C.还有强心、利尿、扩张冠状动脉的作用
D.中等剂量的茶碱才有免疫调节作用
E.低剂量的茶碱可有免疫调节作用
196、单项选择题
老年男性,反复咳嗽咳痰4~5年,近2个月来病情加重,痰量多,青、链霉素治疗效果欠佳。查体:背部双下肺野可闻及细湿啰音;WBC8.6×10/L,N0.76。
茶碱的平喘作用原理是()
A.激活腺苷环化酶,使cAMP形成增加
B.抑制鸟苷环化酶,使cGMP形成减少
C.抑制磷酸二酯酶,阻止cAMP衍变成5-AMP
D.抑制a-肾上腺素能受体,防止ATP分解为ADP
E.抑制免疫过程中多个阶段,减少抗体生成
197、填空题 支气管哮喘可分为__________期、__________期和__________期。
198、多项选择题 下列哪些是危重度支气管哮喘的表现()
A.气急,讲话常有中断
B.意识模糊
C.胸腹部矛盾呼吸
D.奇脉
E.两肺满布响亮哮鸣音
199、单项选择题
某男性、67岁,患阻塞性肺疾病12年余,近日着凉后,咳嗽、咳黄痰、气喘加剧,伴发热,上腹胀痛,纳差,肝大伴压痛,下肢轻度水肿,心电图偶见房性过早搏动。
下列各项治疗中最重要的是()
A.抗心律失常
B.强心剂
C.保肝治疗
D.抗生素治疗
E.平喘、镇咳、祛痰
200、单项选择题
女性,34岁,哮喘史11年,近1年来反复发作,午夜或清晨时易发作,春季和梅雨季节尤其好发。体检:一般可,叙述病史连贯而无气急,两肺散在哮鸣音。
哮喘防治指南明确提出哮喘治疗中激素和β受体激动剂首选给药途径是()
A.静脉给药
B.口服给药
C.吸入给药
D.皮下给药
E.以上均不对
201、单项选择题 男性,60岁。慢性支气管炎病史10年,症状加重6天入院。动脉血气分析(呼吸空气)PaO60mmHg,PaCO55mmHg。其低氧血症的发生机制中下列哪一条不是主要的()
A.弥散量降低
B.通气分布不均和通气/血流比例失调
C.静-动脉血分流
D.肺泡通气量降低
E.呼吸功和氧耗量增加
202、单项选择题
男,65岁,呼吸困难伴胸闷,胸片结果如图,最可能的诊断为()
A.气胸
B.肺结核
C.慢性阻塞性肺疾病
D.肺部感染
E.支气管扩张
203、单项选择题
男性,62岁。吸烟史40余年,近10年来气急进行性加重。胸部X线检查见图。关于此诊断的X线征像下列哪一条是不需要的()
A.肋间隙增宽
B.膈肌位置降低
C.膈穹窿变平坦
D.肺野透亮度降低
E.肺大疱
204、单项选择题
男性,20岁,近5年反复咳嗽、咳脓痰,此次再发加重伴发热2天。
询问病史需特别注意()
A.过敏性鼻炎
B.麻疹、百日咳史
C.心肌炎史
D.风湿热史
E.食物过敏史
205、多项选择题 阻塞性肺气肿后期的病理及病理生理改变是()
A.肺组织血管床大量减少
B.主支气管阻塞
C.导致生理无效腔气量增大
D.引起肺内动静脉分流
E.肺泡与毛细血管间的气体弥散面积减少
206、单项选择题 男,64岁,咳嗽10余年,近年出现气喘,双肺广泛哮鸣音及肺底湿啰音。最可能的诊断是()
A.阻塞性肺气肿合并感染
B.支气管扩张
C.支气管哮喘
D.慢性阻塞性肺疾病
E.支气管肺癌
207、单项选择题 支气管造影可确诊支气管扩张,下列哪一项不宜做()
A.术前明确支气管扩张部位和范围
B.病变较重,累及双侧肺
C.病变位于左下肺,反复感染不易控制
D.反复大咯血,胸片疑左下叶支气管扩张
E.病变重且局限于右中下肺
208、多项选择题 女性,50岁,近2天来鼻塞、咽痛,其丈夫、儿子均在1周前出现类似症状,诊断急性上呼吸道感染。关于该病的流行病学特点,不正确的是()
A.全年皆可发病,冬春季节多发
B.健康人群中无病毒携带者
C.通过含有病毒的飞沫传播或被污染的手、用具传播
D.多为散发
E.感染后有交叉免疫
209、问答题 试述慢性阻塞性肺部疾病(COPD)发生气流阻塞的机制。
210、单项选择题 男性,53岁。反复咳嗽并有吸烟史10年,冬春季咳嗽加重。查体:双肺呼吸音稍减低,右下肺可闻少量湿性啰音。胸片示肺纹理增多。肺功能检查残气量占肺总量的25%,1秒率55%。最可能的诊断是()
A.肺间质纤维化
B.慢性阻塞性肺疾病并肺部感染
C.阻塞性肺气肿
D.肺不张
E.肺泡细胞癌
211、填空题 COPD病程分期为__________和__________。
212、单项选择题 女性,27岁,反复哮喘发作10余年,平时常有夜间憋醒,。近日因重度哮喘急性发作住院治疗,好转出院时医生嘱其长期应用抗哮喘药物,应选择以下哪一种()
A.口服抗生素
B.口服泼尼松
C.口服舒喘灵(联合吸入激素)
D.口服氨茶碱
E.单用吸入激素
213、单项选择题 支气管扩张最有意义的体征是()
A.消瘦
B.杵状指
C.贫血
D.局限性湿啰音
E.局限性哮鸣音
214、多项选择题 下列哪些与哮喘气流受限机制有关()
A.支气管平滑肌收缩
B.支气管壁水肿
C.管腔内黏液栓阻塞
D.气道壁重塑
E.肺泡过度充气
215、配伍题 慢性喘息型支气管炎,阻塞性肺气肿()慢性单纯型支气管炎,阻塞性肺气肿()支气管扩张()
A.慢性咳嗽咳痰,双肺呼吸音正常
B.慢性咳嗽咳痰,右下肺可闻及湿啰音
C.慢性咳嗽咳痰,喘息,双肺呼吸音低,可闻散在哮鸣音
D.慢性咳嗽咳痰,气促,双肺呼吸音低
216、单项选择题
男性,20岁,接触油漆后发生喘息1天,伴轻咳少量白痰,有过敏性鼻炎史3年。
治疗应首选()
A.静脉注射毛花苷丙(西地兰)
B.口服抗生素
C.静脉点滴抗生素
D.抗凝治疗
E.吸入β2受体激动剂
217、单项选择题 慢性阻塞性肺疾病患者晨起大便时突然气急显著加重,伴胸痛,此时确诊最有价值的辅助检查是()
A.B型超声显像
B.心电图
C.X线透视或摄片
D.MRI
E.核素肺扫描
218、多项选择题 引起急性气管-支气管炎的常见致病菌为()
A.葡萄球菌
B.肺炎链球菌
C.链球菌
D.流感嗜血杆菌
E.奴卡菌
219、填空题 哮喘发病机制目前主要包括__________、__________和__________。
220、配伍题 结核性胸膜炎患者胸腔积液中该值升高()升高可导致支气管平滑肌舒张()
A.环化一磷酸腺苷(cAMP)
B.环化一磷酸鸟苷(cGMP)
C.腺苷脱氨酶(ADA)
D.慢反应物质(SKS-A)
E.前列环素(PGI)
221、单项选择题
女性,18岁,3年来反复咳嗽,大量咳痰,1周前少量咯血,2天前出现高热。
首先考虑的诊断是()
A.支气管扩张
B.支气管内膜结核
C.慢性阻塞性肺疾病
D.先天性肺囊肿
E.早期支气管肺癌
222、问答题 慢性阻塞性肺疾病的严重程度如何分级?
223、单项选择题 支气管哮喘的临床表现特点是()
A.反复发作性的吸气性呼吸困难
B.反复发作性混合性呼吸困难
C.反复发作性呼气性呼吸困难伴两肺哮鸣音
D.反复发作性胸痛伴咯血
E.反复发作性胸闷伴干咳
224、单项选择题 典型支气管哮喘发作时,最主要的临床表现是()
A.带哮鸣音的吸气性呼吸困难及双肺哮鸣音
B.带哮鸣音的混合性呼吸困难,咯血
C.带哮鸣音的混合性呼吸困难及双肺干湿啰音
D.带哮鸣音的混合性呼吸困难,双肺呼吸音降低
E.带哮鸣音的呼气性呼吸困难及双肺哮鸣音
225、问答题 呼吸系统疾病的病史应注意询问什么?
226、单项选择题
男性,72岁,吸烟30年,2包/天,慢性咳嗽,咳痰6年,多为白粘痰,每年发作3个月左右,近半年出现上二、三楼气短,偶有哮鸣音,近期无明显加重。
肺部摄片最可能的表现()
A.肋骨走向变平,双肺透亮度增加,横膈降低,心影狭长
B.双上肺纤维条索状阴影,伴左上肺厚壁空洞
C.肋间隔变窄,双肺透亮度减低,心脏扩大
D.双肺纹理增多、紊乱,伴双下肺片絮状阴影
E.气管向左移位,右肺可见大片密度增高影
227、单项选择题 男性,68岁。反复咳嗽、咳痰10年,每年发作至少3个月。体检:双肺可闻及散在细湿啰音,深吸气末可闻及少许干啰音,该患者最可能的诊断是()
A.支气管哮喘
B.慢性阻塞性肺疾病
C.急性支气管炎
D.肺结核
E.支气管扩张
228、单项选择题
患者男性,59岁,吸烟24年,每日20支,每遇秋冬咳嗽17年,该患者是否有慢性阻塞性肺疾病。
早期慢性阻塞性肺疾病肺部X部表现是()
A.两肺纹理增粗、紊乱
B.肺透亮度增加
C.膈肌下降
D.胸廓扩张、肋间隙增宽
E.无特殊征像
229、判断题 第一秒用力呼气容积占用力肺活量的百分比是评价气流受限的一项敏感指标。
230、单项选择题 支气管哮喘的肺功能异常,主要表现在()
A.肺活量减少
B.最大通气量增加
C.第一秒钟用力呼气容积减少
D.弥散量下降
E.功能残气减少
231、单项选择题
患者男性,55岁,间断咳嗽、咳痰10年、胸闷、活动后气短6年。
为进一步明确诊断,首选以下哪项检查()
A.支气管镜活检,BALF
B.HRCT
C.肺功能
D.胸片
E.痰检
232、问答题 简述慢性阻塞性肺疾病的并发症。
233、填空题 支气管舒张药物包括__________、__________、__________和__________。
234、单项选择题 支气管哮喘发作时常出现()
A.呼气性呼吸困难
B.吸气性呼吸困难
C.混合性呼吸困难
D.夜间阵发性呼吸困难
E.进行性呼吸困难
235、判断题 支气管扩张患者以干咳为唯一症状,临床上称为“干性支气管扩张”。
236、单项选择题 有关肺气肿的发生机制下列哪项是错误的()
A.慢性炎症致中性粒细胞和巨噬细胞的释放弹性酶抑制因子增多,形成肺气肿
B.弹性酶和抑制因素发生失衡可引起肺气肿
C.α1抗胰蛋白酶缺乏性肺气肿是由于先天性遗传缺乏αAT所致
D.国内先天性αAT缺乏者鲜见
E.弹性酶分解弹力纤维造成肺气肿病变
237、单项选择题
男性,22岁,奔跑后出现呼吸困难,喘憋伴哮鸣音。查体双肺满布哮鸣音。
为明确诊断应做何种检查()
A.心电图
B.运动激发试验或舒张试验
C.皮肤过敏源试验
D.B超
E.胸部X线片
238、配伍题 男性,24岁。幼年曾患哮喘,成年后明显减轻,仅梅雨季节偶有轻度发作()女性,18岁,幼年患哮喘,反复发作,缓解期哮鸣音仍未消失,影响体力活动.()女性,43岁,患慢性喘息性支气管炎10余年,近年来发作频繁,秋冬季尤为明显()
A.吸入激素加用吸入长效β受体激动剂
B.吸入β受体激动剂
C.皮下注射肾上腺素
D.静脉点滴氨茶碱
E.吸入异丙托溴胺
239、单项选择题 52岁患者,反复咳嗽并有吸烟史18年,冬春季节咳嗽加重。查体:双肺呼吸音稍减低,右下肺可闻少量湿性啰音。胸片示肺纹理增多。肺功能检查残气量占肺总量的25%,1秒率55%。最可能的诊断是()
A.阻塞性肺气肿
B.慢性阻塞性肺疾病并感染.
C.肺纤维化
D.肺不张
E.肺泡细胞癌
240、单项选择题 危重哮喘患者如果动脉血气分析提示有CO潴留,其治疗应选择()
A.应用呼吸兴奋剂如尼可刹米,增加呼吸驱动,改善通气
B.尽快缓解支气管痉挛,恢复通气代偿。若仍无效则应用气管插管机械通气
C.立即气管插管,机械通气.
D.应用碱性药物,纠正酸中毒
E.应用碳酸酐酶抑制剂,抑制CO形成碳酸,防止酸中毒
241、单项选择题 女性,23岁,1个月前咽痛、畏寒、发热,近2天来出现双膝关节肿痛,可能的诊断()
A.类风湿关节炎
B.强直性脊柱炎
C.骨关节炎
D.化脓性关节炎
E.风湿性关节炎
242、名词解释 气道高反应性(AHR)
243、单项选择题 体位改变时咳痰加剧,多见于哪种病变()
A.慢性阻塞性肺疾病
B.上呼吸道感染
C.肺癌
D.哮喘
E.肺脓肿、支气管扩张
244、单项选择题
男,72岁,哮喘史40年,近5年来双下肢水肿,近1周来哮喘加重,咳黄痰,白天嗜睡,夜间失眠。
下列哪项检查对明确诊断有意义()
A.心电图
B.血气分析
C.脑电图
D.脑血流图
E.超声心动图
245、名词解释 慢性阻塞性肺疾病(COPD)
246、单项选择题
女性,34岁,哮喘史11年,近1年来反复发作,午夜或清晨时易发作,春季和梅雨季节尤其好发。体检:一般可,叙述病史连贯而无气急,两肺散在哮鸣音。
β受体激动剂的不良反应有哪些()
A.手抖,肌颤
B.恶心、头痛
C.心悸
D.失眠
E.以上均可
247、单项选择题 支气管扩张痰量与下列哪个因素有关()
A.多喝水
B.季节
C.体位
D.合并肺结核
E.合并支气管哮喘
248、单项选择题 男,17岁,在春季登山比赛中,突感胸闷,呼吸困难,全身大汗。查体:唇稍发绀,呼吸促,双肺满布干性啰音,心率90次/分,律齐。下列诊断哪项可能性最大()
A.过敏性休克
B.心源性哮喘
C.喘息型慢性支气管炎
D.支气管哮喘
E.变态反应性肺浸润
249、多项选择题 杵状指(趾)可见于下列哪些疾病()
A.慢性肾炎、尿毒症
B.慢性肺脓肿
C.支气管扩张
D.支气管哮喘
E.亚急性感染性心内膜炎
250、单项选择题 网、省调电网调度自动化系统实用化要求,调度自动化系统基本指标中主站画面数据刷新周期为()。
A、3-5秒
B、4-8秒
C、5-10秒
D、6-12秒
251、单项选择题
女性,哮喘发作已持续2天,端坐呼吸,发绀,双肺满布哮鸣音。
下列检查结果哪项最符合该患者目前的病情变化()
A.PaCO2升高,PaO2降低
B.PaO2降低,PaCO2降低
C.PaCO2,PaO2降低
D.肺活量正常,残气量增加
E.FEV减低,残气量正常
252、单项选择题 男性18岁,阵发性晨间咳嗽3周,偶胸闷、憋气,查体双肺偶闻哮鸣音,追问病史患者2个月前有上呼吸道感染史,闻刺激性气味引起咳嗽,为明确诊断,下列哪项检查最有价值()
A.胸部X线片
B.运动肺功能测定
C.常规肺功能
D.支气管高反应性测定
E.过敏原皮肤敏感试验
253、单项选择题 男性,16岁。突发呼吸困难,发作前有鼻痒、喷嚏、流涕、干咳。体检:血压正常,坐位、额部出汗,双肺有哮鸣音,心率110次/分,律齐,无杂音。下列病情严重度的分级哪一项是正确的()
A.轻度
B.中度
C.重度
D.危重
E.无法判断
254、单项选择题 长期反复咳脓痰,间有痰中带血应首先考虑()
A.空洞型肺结核
B.支气管肺癌
C.支气管扩张
D.肺脓肿
E.肺炎
255、单项选择题
男,45岁,既往有肺结核及哮喘反复发作史。半小时前上楼时,突发呼吸困难及右侧胸痛。查体:明显呼吸困难,发绀,端坐呼吸,大汗,烦躁,颈静脉充盈,气管轻度左偏,桶状胸;双肺叩诊过清音,右侧略带鼓音;右肺呼吸音低,左肺可闻哮鸣音。
下列治疗措施中,哪项为首选()
A.胸腔穿刺抽气
B.静脉滴注地塞米松
C.沙丁胺醇(舒喘灵)解痉
D.静脉滴注抗生素
E.胸腔穿刺抽液
256、单项选择题 女性,28岁。支气管扩张病史20年。近1年多来痰培养一直有铜绿假单胞菌生长。2周前因受凉咳嗽、咳黄脓痰增加,伴发热38.5℃。体检:右下肺闻及粗湿啰音。经抗生素治疗1周无效,症状加重,高热,大量黄脓痰。下一步治疗措施不适当的是()
A.增加其他具有抗铜绿假单胞菌活性抗生素,联合用药
B.继续应用原方案,待痰培养及药物敏感试验结果再修改
C.立即改用更广谱、更高效药物
D.加强痰液引流、促进排痰
E.支气管肺泡灌洗,并支气管内局部给药
257、单项选择题 男,60岁,活动后气促。查体:胸廓呈桶状。胸部X线肺野透亮度增加增宽,肺功能测验,残气量占肺总量的45%,最大通气量低于预计值的60%,FEV50%。最可能的诊断是()
A.代偿性肺气肿
B.阻塞性肺气肿
C.老年性肺气肿
D.肺不张
E.肺泡细胞癌
258、多项选择题 慢性支气管炎发展成阻塞性肺气肿的演变过程可归纳为()
A.肺泡壁弹性减弱或破坏
B.肺内通气血流比例失调
C.细支气管管腔不完全阻塞
D.肺泡壁毛细血管受压,血液供应减少
E.肺泡内气体积聚
259、单项选择题
男性,20岁,近5年反复咳嗽、咳脓痰,此次再发加重伴发热2天。
最可能的诊断是()
A.支气管内膜结核
B.支气管扩张
C.慢性阻塞性肺疾病
D.支气管哮喘
E.阻塞性肺炎
260、单项选择题 与支气管哮喘相关的炎症细胞是()
A.嗜酸性粒细胞和肥大细胞
B.T细胞
C.中性粒细胞
D.气道上皮细胞
E.以上细胞均相关
261、单项选择题 女,23岁,反复气促、咳嗽、咳痰10年,近5年发作较频,每次发作数小时至数周不等。近日搬进新居后感胸闷,继出现喘息,且咳嗽,咳少许白粘液泡沫痰。查体:双肺散在干性啰音,两下肺少许细湿啰音。其诊断最可能是()
A.慢性阻塞性肺疾病急性发作
B.慢性纤维空洞型肺结核
C.支气管哮喘
D.支气管扩张
E.支气管肺癌
262、填空题 根据肺功能的检查和临床症状COPD的严重程度分级为__________、__________、__________、__________和__________。
263、单项选择题 DPB患者哪种抗原阳性率偏高()
A.HLA-B27
B.HLA-BW54
C.HLA-DR
D.HIV-DW4
E.HBV
264、配伍题 全小叶型肺气肿()小叶中央型肺气肿()
A.终末细支气管、一级呼吸性细支气管管腔狭窄
B.全肺叶、肺段的小支气管狭窄
C.呼吸性细支气管狭窄
D.肺泡管狭窄
E.终末细支气管、二级呼吸性细支气管管腔狭窄
265、单项选择题
男,38岁,咳嗽、咳痰、咯血,结核菌素实验(-),结合CT图像。最可能的诊断是()
A.支气管扩张
B.肺囊虫病
C.肺囊肿
D.间质性肺炎
E.特发性肺间质纤维化
266、单项选择题 下列药物中属于β受体激动剂药物是()
A.必可酮
B.舒氟美
C.爱全乐
D.美普清
E.顺尔宁
267、单项选择题 支气管扩张发病的基本原因是()
A.肺结核
B.肿瘤压迫
C.支气管-肺组织感染及阻塞
D.支气管先天性发育缺损和遗传因素
E.支气管内结石
268、单项选择题
患者男性,48岁,反复咳嗽、咳黄痰30余年,间断咯血4次。此次因咳嗽加重,发热入院。
关于支气管扩张患者咯血,下列描述正确的是()
A.每日咯血量在100ml以内为小量咯血
B.每日咯血量在100~500ml之间为中量咯血
C.每日咯血量在500ml以上为大量咯血
D.一次咯血量大于100ml为大量咯血
E.以上均正确
269、单项选择题 女性,37岁,哮喘急性发作时体检发现过度充气体征,与肺气肿相似,此时最好的鉴别方法是()
A.X线检查
B.肺通气功能检测
C.高分辨率CT
D.急性发作期前后肺功能及胸片对比
E.支气管舒张试验
270、单项选择题 对于鉴别慢性支气管炎和支气管扩张,下列哪一条有助于支气管扩张的诊断()
A.症状持续时间
B.反复咳嗽、脓痰和固定部位湿啰音
C.发病年龄
D.发病季节
E.X线胸部摄片
271、名词解释 急性气管-支气管炎
272、单项选择题 支气管哮喘发作的诊断依据是()
A.X线检查肺纹理增多,粗且乱
B.反复发作呼气性呼吸困难伴弥漫性哮鸣音
C.双肺满布干、湿性啰音
D.动脉血气分析呼吸性碱中毒
E.氨茶碱治疗有效
273、单项选择题 男,73岁,反复咳嗽、咳痰35年,逐渐出现心悸气促,近半年来卧床不起,持续性咳嗽,咳脓痰每天约100ml。下列处理何者不当()
A.口服氨茶碱
B.口服复方新诺明
C.静脉推注先锋霉素
D.口服喷托维林(咳必清)
E.雾化吸入α-糜蛋白酶
274、单项选择题
患者48岁,男性,常感胸闷气逼,近1个月渐加重,X线检查见图。最合适的诊断是()
A.右侧气胸
B.右侧肺大疱
C.两肺肺大疱
D.正常胸片
E.肺气肿
275、单项选择题
患者男性,72岁,既往咳嗽、咳痰30年,活动后气短12年,近1年出现双下肢水肿。肺功能显示阻塞性通气功能障碍,FEV 1%~50%。
慢性阻塞性肺病形成肺动脉高压的最主要因素为()
A.肺部毛细血管床减少
B.血液粘稠度增加
C.血容量增多
D.肺部毛细血管微栓子形成
E.缺氧及二氧化碳潴留引起的肺小动脉痉挛
276、单项选择题 对阻塞性肺气肿病人,进行呼吸功能锻炼,其要点是()
A.加强胸式呼吸+用鼻吸气+经口用力加快呼气
B.加强胸式呼吸+经口深慢呼吸
C.加强腹式呼吸+用鼻吸气,作深快呼吸
D.加强腹式呼吸+用鼻深吸,经口呼气作吹口哨样
E.加强胸式及腹式呼吸
277、单项选择题 某纺织厂女工,反复发作喘息10多年,每次发作多在咳嗽、咳痰,以白天冬季多发。用氨茶碱可控制症状,查体:双肺可闻哮鸣音。下列哪种诊断正确()
A.职业性哮喘
B.感染性哮喘
C.外源性哮喘
D.混合性哮喘
E.运动性哮喘
278、多项选择题 哮喘的发病与下列哪些因素有关()
A.花粉
B.真菌
C.蟑螂
D.尘螨
E.猫
279、配伍题 女性,17岁,1天前劳累后出现咽痛、声嘶、畏寒、发热。体检:咽部充血,扁桃体Ⅰ度肿大、充血。患者最可能的诊断()男性,15岁,近1天来高热、乏力、肌肉酸痛、伴鼻塞,同班同学中数人有同样症状,最可能的诊断()男性,40岁,近天来出现咳嗽、咳痰,开始以少量白黏痰为主,1天来转为黏液脓性痰,咳嗽剧烈时,伴胸骨后紧缩感。体检:双肺散在于啰音,胸片示肺纹理粗乱,最可能的诊断()男性,45岁,近3天前受凉后即咽痛,畏寒,发热,体温达40.0℃。体检:咽部充血明显,扁桃体Ⅱ度肿大,充血,表面有黄色点状渗出物,颌下淋巴结肿大、压痛,胸透心肺未见异常。最可能的诊断()
A.普通感冒
B.疱疹性咽峡炎
C.细菌性咽-扁桃体炎
D.流感
E.急性气管Ⅰ支气管炎
280、单项选择题
34岁女性,咳嗽咳痰4天,痰多,支气管镜见气管壁血管充血可能的诊断是()
A.肺结核
B.急性支气管炎
C.肺炎
D.出血
E.肺癌
281、问答题 支气管哮喘的诊断标准,应和哪些疾病鉴别?
282、单项选择题 关于αAT在肺气肿发生机制中的作用,下列哪项不正确()
A.αAT是一种抗胰蛋白酶
B.αAT能抑制弹性酶的活性
C.国内肺气肿发病主要与αAT有关
D.αAT缺乏即易发生肺气肿
E.αAT增多或其抑制因子减少可发生肺气肿
283、单项选择题
患者男性,72岁,既往咳嗽、咳痰30年,活动后气短12年,近1年出现双下肢水肿。肺功能显示阻塞性通气功能障碍,FEV 1%~50%。
关于慢性阻塞性肺气肿的诊断,下列各项中最有价值的是()
A.PaO2下降
B.PaCO2升高
C.用力肺活量减低
D.潮气量低于正常
E.残气量与肺总量比大于40%
284、单项选择题
在哮喘急性发作的病程中患者出现颈部皮下气肿,胸片见图。说明此患者有下列哪一种并发症存在()
A.气胸
B.纵隔气肿
C.间质性肺气肿
D.肺囊肿
E.肺大疱
285、单项选择题 支气管哮喘急性发作病人血气分析二氧化碳分压增高提示()
A.病情好转
B.出现呼吸性碱中毒
C.病情恶化
D.无临床意义
E.出现心衰
286、多项选择题 上呼吸道狭窄引起吸气性喘鸣见于()
A.支气管炎症
B.喉头水肿
C.咽炎
D.喉和器官肿瘤或异物
E.支气管哮喘
287、单项选择题 男,16岁,参加校运会进行800m赛跑,跑步停止5分钟后,即出现呼气性呼吸困难。查体:双肺哮鸣音,心率100次/分,律齐,无杂音;血压正常。下列哪种诊断正确()
A.神经精神性哮喘
B.急性左心衰
C.外源性哮喘
D.运动性哮喘
E.过敏性肺炎
288、单项选择题 下列哪项不属于支气管哮喘早期的基本病理改变()
A.支气管平滑肌收缩
B.肺血管床减损
C.支气管腺体分泌增加
D.小气道广泛狭窄
E.支气管粘膜炎症、充血、水肿
289、单项选择题 男性,62岁。反复咳嗽、咳痰10余年,气促3年。1周来咳嗽气急加重伴尿少住院。体检:神志淡漠,气急,轻度发绀,眼睑水肿,球结膜充血水肿。颈静脉充盈,于呼气相尤其明显。肝上界第6肋间水平,肋下2.5cm,质尚软,肝颈回流试验(±),下肢轻度水肿。血气分析(不吸氧):pH:7.45,PaCO80mmHg,HCO50mmol/L,PaO55mmHg。下列哪种诊断见更符合实际()
A.右心衰竭
B.不足以证明右心衰竭
C.全心衰竭
D.呼吸衰竭合并右心衰竭
E.左心衰竭
290、多项选择题 哮喘病激素局部吸入治疗常有哪些不良反应()
A.引起糖尿病
B.引起高血压
C.引起口腔真菌感染
D.引起股骨头坏死
E.引起声音嘶哑
291、单项选择题
男,55岁,反复咳嗽气促20年,有吸烟史25年。1小时前提重物时突发胸闷、呼吸困难,病情逐渐加重。查体:呼吸促,口唇发绀,气管右偏,胸廓呈桶状,左上胸叩诊呈鼓音,左肺呼吸音消失,胸部皮下有捻发感。
该患者诊断最可能为()
A.慢性阻塞性肺疾病
B.慢性阻塞性肺疾病并气胸
C.慢性阻塞性肺疾病并心肌梗死
D.慢性阻塞性肺疾病,左心衰竭
E.支气管哮喘持续状态
292、单项选择题 女性,49岁。反复咳嗽、咳痰3年,1周来受凉后出现咳嗽加重,体检:双肺有散在干啰音。关于是否使用抗生素,首先进行下列哪一项处理最合适()
A.胸部X线检查及白细胞计数和分类
B.头孢唑啉5g静脉滴注
C.痰涂片或培养
D.肺功能检查
E.血气分析
293、单项选择题 非特异性炎症引起支气管扩张的好发部位,下列哪一项不多见()
A.右下叶支气管
B.左下叶支气管
C.右中叶支气管
D.左舌叶支气管
E.右上叶尖后段支气管
294、单项选择题 男,20岁,支气管哮喘发作2小时。查:神清,口唇稍发绀,明显呼吸困难,双肺有广泛哮鸣音;WBC8.0×10/L,N0.82。患者血气分析可能为()
A.代谢性酸中毒
B.PaO2降低,PaCO2正常或稍低
C.代谢性碱中毒
D.呼吸性酸中毒
E.PaO2明显降低,PaCO2明显升高
295、单项选择题 患者反复咳嗽、咳痰多年,近1~2年出现活动后气促。查体:胸廓呈桶状,双肺呼吸音低。关于该病的病因,下列哪项不正确()
A.局部免疫功能减低
B.自主神经功能失调
C.内分泌功能失调
D.细菌和病毒感染
E.吸烟及理化因素
296、单项选择题 关于哮喘的描述,下列哪项不正确()
A.无菌性非特异性炎症
B.支气管壁增厚
C.交感神经兴奋性增高,血管扩张
D.支气管平滑肌痉挛
E.粘膜分泌增加
297、配伍题 氯化铵()噻哌酮()氨茶碱()硝苯吡啶()喘速宁()
A.可舒张支气管平滑肌但同时血压升高,心跳加快
B.支气管解痉剂,同时可使心跳加快,口服消化道反应重
C.可抑制肥大细胞和嗜碱粒细胞释放生物活性物质产生很强的抗过敏作用
D.祛痰剂
E.可阻止钙进入肥大细胞,以缓解支气管平滑肌收缩
298、单项选择题
某男性、67岁,患阻塞性肺疾病12年余,近日着凉后,咳嗽、咳黄痰、气喘加剧,伴发热,上腹胀痛,纳差,肝大伴压痛,下肢轻度水肿,心电图偶见房性过早搏动。
治疗稳定期COPD的首选吸入药物为()
A.沙丁胺醇
B.特布他林
C.异丙托溴胺
D.布地奈德
E.二丙酸倍氯米松
299、单项选择题
女,14岁,胸闷、干咳、气促1小时余。查体:呼吸30次/分,双肺可及哮鸣音。病前曾去公园游玩,出现鼻痒、打喷嚏。过去有类似发作史。
应诊断为()
A.内源性哮喘
B.混合性哮喘
C.外源性哮喘
D.喘息型支气管炎
E.过敏性肺炎
300、单项选择题 男性,23岁,1个月前曾发热、咽痛、咳嗽。近1天来出现颜面水肿。最可能的诊断()
A.结膜炎
B.心功能衰竭
C.低清蛋白血症
D.肾小球肾炎
E.肝硬化