时间:2025-09-21 23:01:17


1、单项选择题
	女,18岁,左侧膝部疼痛2月余,夜间加重,结合影像学检查,最可能的诊断是()
	A.化脓性骨髓炎
	B.成骨性骨转移瘤
	C.骨肉瘤
	D.骨巨细胞瘤
	E.骨纤维肉瘤
2、单项选择题
	男,20岁,头痛、鼻塞、鼻出血,CT如图所示,最可能的诊断是()
	A.鼻咽癌
	B.巨大的鼻息肉
	C.鼻咽纤维血管瘤
	D.鼻咽神经纤维瘤
	E.鼻咽腺样体增生
3、单项选择题
	在肾上腺CT检查中,下列哪种说法是正确的()
	 
	A.左肾上腺常呈斜线状
	B.右肾上腺常呈三角状
	C.肾上腺侧支厚度小于5mm
	D.肾上腺侧支面积小于100mm2
	E.肾上腺侧支厚度小于10mm
4、单项选择题 颅脑病变的非直接征象是()
	A.脑室变形、正常结构移位、脑水肿
	B.病灶增强,形态、中线结构移位
	C.蛛网膜下腔增宽、骨质增生
	D.脑室扩张、脑积水、病灶多发
	E.病灶的结构、大小、密度
5、多项选择题 属于喉炎性肉芽肿的是()
	A.韦格肉芽肿
	B.梅毒性肉芽肿
	C.外伤后肉芽肿
	D.组织胞浆菌病
	E.结核性肉芽肿
6、单项选择题
	男,30岁,偶尔干咳,结合图像,最可能的诊断是()
	A.左下肺感染
	B.左下肺结核
	C.左下肺错构瘤
	D.左下肺炎性假瘤
	E.左下肺AVM
7、单项选择题 静脉注射对比剂盆腔增强扫描注射速度1~2ml/秒,延时(开始注射对比剂至开始扫描的时间)最少应为()
	A.10秒
	B.20秒
	C.60秒
	D.30秒
	E.40秒
8、多项选择题 CT增强扫描显示心肌梗死病灶的强化形式包括()
	A.早期增强病灶呈局限性充盈缺损
	B.延迟性的残余充盈缺损
	C.延迟性强化
	D.早期强化
	E.以上都不是
9、单项选择题 脑室内占位病变较为特征的CT表现为()
	A.单侧脑室扩大
	B.双侧脑室扩大
	C.脑室呈杯口状扩大
	D.脑室移位
	E.中线结构移位轻
10、单项选择题 关于基底节的描述正确的是()
	A.基底节是白质结构
	B.基底节包括尾状核,豆状核,屏状核、杏仁核
	C.基底节包括丘脑
	D.基底节又称纹状体
	E.基底节包括内囊
11、单项选择题 CT和MRI上骨破坏区显示液.液平面,常见于()
	A.动脉瘤样骨囊肿
	B.内生软骨瘤
	C.骨样骨瘤
	D.骨纤维异常增殖症
	E.骨肉瘤
12、单项选择题 男,65岁,腰背痛3个月,尿本—周蛋白质阳性,CT示腰椎多个椎体有大小不等的圆形或不规则低度病灶,首先考虑()
	A.转移瘤 
	B.血管瘤 
	C.多发性骨髓瘤 
	D.淋巴瘤 
	E.骨质疏松
13、单项选择题 眼外肌从眶尖的腱环向前行附着于下列哪项组织()
	A.角膜
	B.虹膜
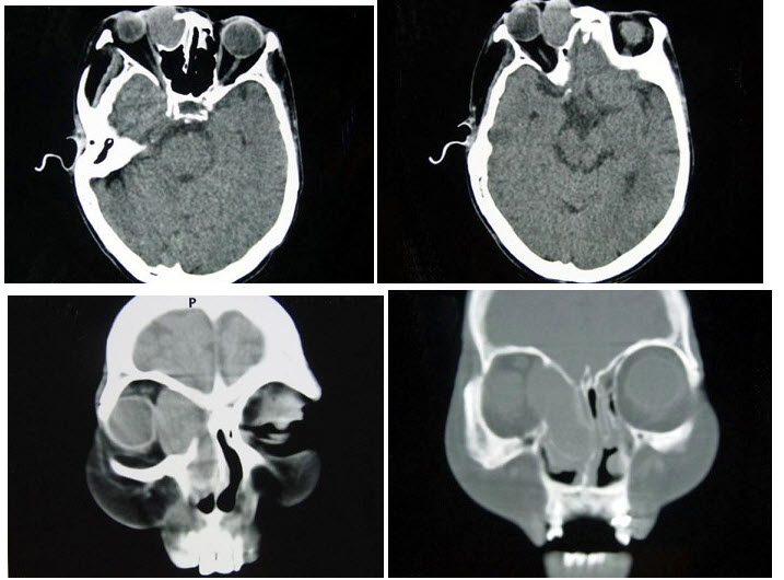
	C.脉络膜
	D.巩膜
	E.视网膜
14、单项选择题 CT对甲状腺肿瘤的诊断评价,下列说法哪项不正确()
	A.定位较准确
	B.有无钙化是鉴别良恶性的依据
	C.判断有无淋巴结转移
	D.判断有无邻近组织受累
	E.鉴别良恶性有一定限度
15、单项选择题 异物吸入最易进入()
	A.左下叶支气管
	B.左上叶支气管
	C.右上叶支气管
	D.右下叶支气管
	E.右中叶支气管
16、单项选择题 增强扫描动脉期,多数转移性肝癌的强化程度()
	A.比原发性肝癌低
	B.明显高于肝脏
	C.比原发性肝癌高
	D.与原发性肝癌相仿
	E.明显强化
17、单项选择题
男,67岁,排便习惯改变,血便3月入院,CT检查如图所示,下列说法错误的是()
	
	A.直肠肠腔局限性增厚
	B.其表面欠光整,边界欠清晰
	C.可做直肠指检及活检以确定病变性质
	D.此为直肠息肉
	E.此为直肠癌
18、单项选择题 精索内的结构不包括()
	A.输精管
	B.神经
	C.睾丸动脉
	D.射精管
	E.淋巴管
19、单项选择题
	如图所示,这两个时相提示()
	A.肾细胞癌
	B.动静脉瘘
	C.肾窦对比剂溢出
	D.以上都有可能
	E.以上都不是
20、多项选择题 下述胰腺囊腺瘤特点,哪些是正确的()
	A.浆液性囊腺瘤:恶性或潜在恶性肿瘤
	B.黏液性囊腺瘤:恶性或潜在恶性肿瘤
	C.黏液性囊腺瘤:瘤体较大,单房或多房
	D.浆液性囊腺瘤:无恶变倾向
	E.浆液性囊腺瘤:瘤体较小,囊实性,可有钙化
21、单项选择题 肺结核发生1~2周内,临床症状较重,而X线表现阴性的为()
	A.原发性肺结核
	B.急性粟粒型肺结核
	C.浸润型肺结核
	D.慢性血行播散型肺结核
	E.以上都不对
22、单项选择题 精索静脉曲张可引起下列哪种情况()
	A.输卵管闭塞导致不育
	B.输尿管狭窄
	C.影响生精功能导致不育
	D.输精管闭塞导致不育
	E.以上都不是
23、单项选择题 新月样空气征见于()
	A.肺曲霉菌病
	B.肺脓肿
	C.农民肺
	D.肺泡蛋白沉积症
	E.肺类风湿性病
24、单项选择题 CT显示颈前三角区囊性占位,可见钙化,囊壁有轻度增强,颈动脉受压与颈内静脉分离,最可能的诊断为()
	A.动脉体瘤
	B.鳃裂囊肿
	C.神经鞘瘤
	D.颈淋巴瘤
	E.颌下腺混合瘤
25、单项选择题
	女,24岁,发热,左侧髋骶部疼痛,夜间明显2月余,结合影像学检查,最可能的诊断是()
	A.急性骨髓炎
	B.转移性神经母细胞瘤
	C.尤文肉瘤
	D.骨髓瘤
	E.骨肉瘤
26、单项选择题 CT诊断慢性骨髓炎优于X线平片是()
	A.检出骨膜增生
	B.空间分辨率高
	C.检出血管增生
	D.检出细小死骨
	E.检出骨增生
27、单项选择题 移植肾多位于()
	A.原肾上方
	B.原肾下方
	C.左髂窝
	D.右髂窝
	E.原肾位置
28、单项选择题 指出下列中纵隔病变的CT鉴别要点:恶性淋巴瘤()
	A.非对称性淋巴结肿大
	B.气管旁囊状病灶
	C.块状病灶,常压迫上腔静脉
	D.对称性淋巴结肿大
	E.膨胀性搏动肿块
29、单项选择题 脑转移瘤好发于()
	A.脑髓质
	B.小脑皮层
	C.脑皮层
	D.大脑皮层
	E.大脑皮层、皮层下区及皮髓质交界区
30、单项选择题 关于CT机的工作原理描述,错误的是()
	A.利用窄束X线穿透被检部位
	B.透过被检体的X线被探测器接收直接成像
	C.X线穿透被检部位时,其强度呈负指数关系衰减
	D.计算机将模拟信号变成数字信号,再重建图像
	E.A/D转换是将模拟信号转换成数字信号
31、多项选择题 纵隔皮样囊肿可有哪些CT表现()
	A.囊性病灶
	B.圆形、椭圆形或不规则形
	C.囊壁规则,较薄
	D.囊壁可有钙化
	E.增强扫描,囊壁可有强化
32、单项选择题 对探测器作用的论述,正确的是()
	A.探测病人位置的准确性
	B.探测扫描时有无散射线
	C.将微弱的电流进行放大
	D.将模拟信号转换为数字信号
	E.接收X线并将其转换为电信号
33、单项选择题 下述正常脾脏CT表现,哪项不对()
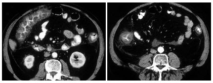
	A.脾脏上下径<15cm
	B.CT平扫,比肝脏略高
	C.平扫CT值,30~70HU
	D.脾脏厚度3~4cm
	E.脾脏强化先于肝脏
34、单项选择题 关于眶内正常结构的CT解剖,下列描述哪项错误()
	A.两侧眼上静脉可不对称
	B.视神经直径3~4mm
	C.内直肌最厚,上斜肌最薄
	D.眼上静脉直径2~3.5mm
	E.眼环厚度1~2mm
35、单项选择题 下列“先天性畸形”骨改变特点描述,哪项错误()
	A.Turner综合征:掌骨征阳性
	B.Marchesani综合征:指/趾异常短小
	C.Lobstein病:骨密度均匀性升高
	D.Marfan综合征:四肢骨细长,指趾尤其明显
	E.Sprengel畸形:肩胛骨高位、脊柱发育异常
36、单项选择题 鼻窦的恶性肿瘤中,最可能的诊断是()
	A.腺癌
	B.鳞状细胞癌
	C.未分化癌
	D.腺样囊性癌
	E.肉瘤
37、多项选择题 软组织血管瘤的CT表现,正确的有()
	A.软组织肿块形态不规则、边界不清
	B.海绵状血管瘤常伴脂肪组织增生,多位于肌间或肌内呈不均匀低密度区
	C.钙化及静脉石常见,为本病的重要诊断依据
	D.病变内血管和血池可呈点状和迂曲的线状结构
	E.增强扫描,病变明显强化
38、单项选择题 CT扫描对早期骨肉瘤诊断的价值在于显示()
A.骨质增生硬化  
B.细微骨质破坏  
C.骨膜反应  
D.软组织肿块  
E.转移性病灶
39、单项选择题 颅面血管瘤病和结节性硬化共有的征象为()
	A.脑水肿
	B.脑实质钙化
	C.中线移位
	D.脑室扩大
	E.颅板增厚
40、单项选择题 以下哪项CT表现支持眶内炎性假瘤,不支持Graves眼病的诊断()
	A.双侧突眼
	B.眼外肌增粗
	C.上直肌与下直肌受累
	D.眶壁骨膜与眼外肌之间脂肪高密度
	E.病变眼外肌有增强
41、单项选择题 肺静脉畸形引流,无下列哪项征象()
	A.肺血增多
	B.右心房、室增大
	C.肺动脉段突出
	D.雪人征
	E.左心室增大
42、单项选择题 关于骶骨脊索瘤CT表现的描述,错误的是()
	A.溶骨性破坏
	B.囊实性混杂密度,可有钙化
	C.增强扫描肿瘤轻度至中度强化
	D.易于转移瘤鉴别
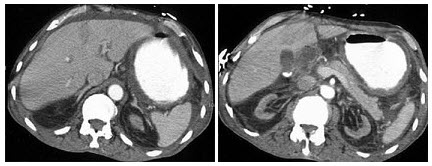
	E.向外生长形成软组织肿块
43、单项选择题 肾上腺内分泌肿瘤分类分型诊断主要依靠()
	A.CT检查 
	B.MRI检查 
	C.B超检查 
	D.腹膜后充气造影 
	E.实验室检查
44、单项选择题 关于空间分辨率,下面哪一组提法是正确的:①鉴别物体空间大小的能力;②通常以百分比来表示;③通常以线对数来表示;④图像重建的算法是一重要因素;⑤密度差别小的组织其空间分辨率相应增高;()
	A.①②⑤
	B.①③④
	C.②④⑤
	D.③④⑤
	E.②③④
45、单项选择题 CT机将模拟信号转换成数字信号的器件是()
	A.探测器
	B.阵列处理机
	C.预放大器
	D.A/D转换器
	E.D/A转换器
46、多项选择题 急腹症患者CT检查异常表现有()
	A.异常密度改变
	B.对比增强扫描改变
	C.腹腔脏器大小改变
	D.脏器形态、轮廓改变
	E.病变区相邻脏器位置
47、多项选择题 局限性骨化性肌炎CT征象包括()
	A.初期表现为边缘清楚的低密度肿块
	B.骨化进展,周围部钙化、骨化渐增多,呈斑点状或云雾状
	C.典型表现为外周部分呈环状钙化或骨化,中央部等于或低于周围肌肉密度
	D.最后肿块可全部钙化或骨化
	E.可清楚显示骨小梁结构
48、单项选择题
	男,36岁,胸痛半月伴发高热,胸片发现占位性病变,CT检查如图,最可能的诊断为()
	A.左下肺肺脓肿
	B.左下肺癌并空洞形成
	C.左侧胸腔积脓
	D.左下肺囊肿
	E.左下肺肺炎
49、单项选择题 对于“涎腺肿瘤”临床特点的描述,下列说法哪项正确()
	A.病理类型单一
	B.颌下腺肿瘤,良性多见
	C.腮腺肿瘤,恶性居多
	D.腮腺肿瘤占70%~80%,其次为颌下腺肿瘤
	E.CT对腮腺恶性肿瘤定性价值较高
50、单项选择题 下列关于急性胆囊炎的特有CT表现,错误的是()
	A.胆囊壁增厚>3mm,边缘模糊
	B.胆囊壁周围水肿呈环状低密度影
	C.胆囊增大,横径>4.5cm
	D.胆总管和胰管扩张
	E.胆囊腔或壁内可有气体
51、单项选择题 先天性支气管扩张的病理基础为()
	A.支气管壁组织的炎性病变
	B.支气管内压增高
	C.邻近肺组织对支气管的外在牵引
	D.支气管弹性纤维不足或软骨发育不全
	E.以上全对
52、单项选择题 不易在冠状面CT上显示的颌面骨骨折是()
	A.眼眶顶壁和底壁
	B.筛板
	C.蝶骨翼突内外板
	D.上颌窦前壁
	E.硬腭
53、单项选择题
	男,6岁,左髋部疼痛、乏力、跛行,结合MR检查,最可能的诊断是()
	A.髋关节结核
	B.股骨头骨骺缺血坏死
	C.骨肉瘤
	D.骨囊肿
	E.软骨肉瘤
54、单项选择题 局限性阻塞性肺气肿,最常见的病因是()
	A.支气管肺癌
	B.慢性支气管炎
	C.支气管扩张
	D.支气管哮喘
	E.小叶性肺炎
55、单项选择题 霉菌性上颌窦炎最常见的致病菌为()
	A.曲霉菌
	B.毛霉菌
	C.鼻孢子菌
	D.念珠菌
	E.隐球菌
56、单项选择题 关于肾结核肾脏外形改变的描述,错误的是()
	A.若有肾盂、肾盏积水时,肾脏体积增大,且变形
	B.病变早期肾脏形态饱满,体积增大
	C.病变晚期肾体积缩小、变形
	D.病变进展时可见局限性凸出
	E.病变晚期呈弥漫性钙化
57、单项选择题 X线平片怀疑骨肉瘤,CT检查的主要目的是()
	A.明确病变位置及与周围组织的关系
	B.更加清楚显示病变内部的结构
	C.清楚准确地显示病变的范围和扩展
	D.发现平片不能发现的细小病灶
	E.以上均是
58、单项选择题 CT机房安装空调,主要原因是()
	A.病人和工作人员舒适
	B.不设窗户,使射线屏蔽更安全
	C.设备贵重,保护机器
	D.使计算功能正常工作
	E.不开窗户,避免灰尘进入
59、单项选择题 女,2岁,癫痫1年。CT示:双侧侧脑室平行分离,三脑室上抬,侧脑室轻度扩大。最可能的诊断为()
	A.透明隔缺如
	B.脑发育不全
	C.脑萎缩
	D.视-隔综合征
	E.胼胝体发育不良
60、多项选择题 下列疾病的CT图像中与脑水肿密度相同的病变是()
	A.限局性脑炎
	B.脑白质变性
	C.脑脓肿
	D.脑挫伤
	E.脑梗死
61、单项选择题 X线在医学上应用的原理中不包括()
	A.利用其穿透作用进行X线检查
	B.利用其荧光作用进行透视检查
	C.利用其摄片作用进行照片检查
	D.利用其电离作用进行CT扫描
	E.利用其生物效用进行肿瘤治疗
62、单项选择题 诊断支气管扩张,安全无创伤的检查方法是()
	A.胸片
	B.断层
	C.HRCT
	D.ECT
	E.MRI
63、单项选择题 青年男性,无自觉不适,CT平扫示双侧肾锥体对称分布,毛刷样钙化,尿检无明显异常,应首先考虑()
	A.双侧髓质海绵肾
	B.双肾结石
	C.双肾结核
	D.马蹄肾
	E.双侧肾癌
64、单项选择题 X线穿透人体组织,从易到难的顺序是()
	A.肺,脂肪,肌肉,骨
	B.肺,肌肉,脂肪,骨
	C.肺,肌肉,骨,脂肪
	D.肌肉,肺,脂肪,骨
	E.脂肪,肺,肌肉,骨
65、多项选择题 Conn综合征的CT检查可见下列哪些征象()
	A.单侧肾上腺孤立性小肿块
	B.肿块呈类圆或椭圆形边缘清楚
	C.病变较小,直径多在2cm以下
	D.密度均一,近于水样密度
	E.增强检查,肿块呈轻度强化
66、单项选择题
	男,67岁,口咽部异物感约8个月,伴口咽部疼痛,患者无明显发热,影像检查如图,最可能的诊断是()
	A.扁桃体结核伴淋巴结转移
	B.扁桃体脓肿伴淋巴结转移
	C.扁桃体癌伴淋巴结转移
	D.扁桃体淋巴瘤
	E.下咽癌伴淋巴结转移
67、多项选择题 螺旋CT的特点包括()
	A.不使用滑环技术
	B.扫描时X线连续发生
	C.扫描时探测器间断采集数据
	D.扫描时床面带动病人连续匀速移动
	E.扫描时病人一次屏气可完成一个区段扫描
68、单项选择题 CT重点观察肾脏疾病,图像的窗宽、窗位是()
	A.W250~350;L35~50
	B.W150~250;L30~40
	C.W350~500;L35~50
	D.W800~1000;L300~400
	E.W1300~1500;L350~500
69、单项选择题
男,42岁,胸痛1周余,X线片发现肺部阴影,CT检查如图,最可能的诊断为()
	
	A.肺部感染
	B.肺放线菌感染并脓胸侵犯胸壁
	C.肺类风湿病侵犯胸壁
	D.肺结核并胸腔积液
	E.肺霉菌感染并脓胸侵犯胸壁
70、单项选择题
	患者,女性,61岁,3年前腰椎手术史,术后开始左下肢感觉减退、麻木、无力,左足隐痛,期间无外伤史,左足拇趾曾不明原因窦道形成,后自愈,现左足持续疼痛、肿胀,加重半个月,左下肢跛行。其X线及CT图像如下,诊断左足病变为()
	A.疲劳性骨折
	B.退行性变
	C.Charcot关节
	D.撕脱性骨折
	E.化脓性关节炎
71、多项选择题 扩张型心肌病应与下列哪些疾病鉴别()
	A.心肌梗死
	B.心包积液
	C.风湿性心脏病
	D.三尖瓣下移
	E.以上都不对
72、单项选择题 早期声带癌CT可表现为()
	A.正常
	B.声带固定于内侧位
	C.杓状软骨移位
	D.钙化性斑块
	E.喉软骨破坏
73、多项选择题 颈动脉海绵窦瘘表现为()
	A.海绵窦扩大
	B.眼球突出
	C.眼外肌增粗
	D.眼静脉增粗
	E.眼睑肿胀
74、单项选择题
	女,6岁,胸闷,咳嗽,胸部CT如图,最可能的诊断为()


	A.畸胎瘤
	B.右侧液气胸
	C.右肺肺大泡
	D.右侧脓胸
	E.支气管囊肿并感染
75、单项选择题 下面哪项是胸部CT扫描的适应证()
	A.气管炎
	B.支气管炎
	C.肺炎
	D.过敏性哮喘
	E.咳嗽
76、单项选择题 CT诊断前列腺增生的标准是()
	A.超过耻骨联合上缘
	B.超过耻骨联合上缘10mm
	C.超过耻骨联合上缘15mm
	D.超过耻骨联合上缘20~30mm
	E.超过耻骨联合上缘30~40mm
77、单项选择题
	女,45岁,右腰部疼痛伴血尿,根据所示图像,最可能的诊断是()
	A.右肾结核
	B.右肾出血
	C.右肾结石
	D.右肾积水
	E.右肾结石合并右肾扩张积水
78、单项选择题 增强扫描对比剂需要量最大的部位是()
	A.肾脏增强
	B.肾上腺增强
	C.颅脑增强
	D.肝脏增强
	E.腮腺增强
79、单项选择题 对小肝癌(SHCC)与肝血管瘤的鉴别方法是()
	A.增加对比剂的注射量
	B.动脉期扫描和延迟扫描
	C.加快对比剂的注射速度
	D.有肝炎和肝硬化病史
	E.测量CT值比较病灶的增强程度
80、单项选择题
	女,40岁,右眼反复溢泪伴眼球渐进性突出2年余,眼球运动受限,CT检查如图所示,最可能的诊断是()
	A.泪腺囊肿
	B.泪囊囊肿
	C.泪腺血肿
	D.泪囊血肿
	E.眶内结核
81、多项选择题 CT对下列哪些疾病有诊断价值()
	A.冠状动脉粥样硬化性狭窄或闭塞
	B.颅内肿瘤、寄生虫病
	C.冠状动脉和心瓣膜的钙化
	D.腹膜腔及腹膜后间隙病变
	E.鼻窦、中耳小胆脂瘤
82、单项选择题 下列哪项不符合支气管囊肿的CT表现()
	A.肿块呈圆形或椭圆形,密度均匀
	B.呈水样密度
	C.半数可呈软组织密度
	D.少数可呈脂肪密度
	E.增强扫描无强化
83、单项选择题
	男,42岁,头痛、恶心半年余,逐步加重,右侧肌力减弱,CT检查如图,最可能的诊断是()
	
	A.脑膜瘤 
	B.胶质瘤 
	C.转移瘤 
	D.畸胎瘤 
	E.室管膜瘤
84、多项选择题 “Parkinson病”患者,CT扫描上可见到()
	A.中央型脑萎缩
	B.外周型脑萎缩
	C.局限性脑萎缩
	D.苍白球对称性钙化
	E.基底节区偶有低密度灶
85、单项选择题
	根据影像学图像,该吸毒患者最可能的诊断是()
	A.慢性缺血坏死
	B.正常结构
	C.脉管炎
	D.胰腺癌
	E.淋巴瘤
86、单项选择题 下列哪项不是颅脑增强扫描的目的()
	A.区分梗死与水肿
	B.观察肿瘤的血运情况
	C.明确肿瘤边界
	D.鉴别脑内外肿瘤
	E.观察血脑屏障的破坏
87、单项选择题
	男,21岁,右膝部疼痛,肿胀1月余,夜间加重,药物治疗无效,结合影像学检查,最可能的诊断是()
	A.骨巨细胞瘤
	B.化脓性骨髓炎
	C.骨肉瘤
	D.骨纤维肉瘤
	E.骨转移瘤
88、多项选择题 男,67岁,头痛2周,CT示左额叶不均匀混杂密度肿块,周围大片水肿,关于影像学分析下列哪些是正确的()
	A.内见条索样钙化,应考虑:少枝胶质细胞瘤
	B.边界模糊不清,增强后瘤体不均匀强化应考虑星形细胞瘤
	C.内无条索样钙化,可除外少枝胶质细瘤
	D.周围出现环样强化,病灶中心密度高向四周渐低,应考虑有出血的可能
	E.边界模糊不清,增强后瘤体不均匀强化应考虑转移瘤
89、单项选择题 发生在桥小脑角区肿瘤中无强化的是()
	A.三叉神经瘤
	B.脑膜瘤
	C.胆脂瘤
	D.动脉瘤
	E.听神经瘤
90、单项选择题 关于“卵巢滤泡囊肿”,下列描述哪项不正确()
	A.单侧卵巢发病
	B.囊壁菲薄
	C.直径多超过5cm
	D.囊液水样密度
	E.可自行消失
91、单项选择题 移行细胞癌最好发的部位是()
A.肾小盏  
B.肾盂  
C.肾实质  
D.输尿管  
E.膀胱
92、单项选择题 属于CT数字采集系统的部件是()
	A.计算机
	B.显示器
	C.探测器
	D.磁盘机
	E.阵列处理机
93、单项选择题 女性盆腔内软组织肿块,向上可达下腹部,肿块为囊实性,不规则,部分可钙化,肿块与子宫分界不清,伴有腹水和大网膜转移,最可能的诊断是()
	A.淋巴瘤
	B.宫颈癌
	C.卵巢癌
	D.膀胱癌
	E.结肠癌
94、单项选择题 所有膀胱上皮性肿瘤均为恶性,其细胞类型依其发病率依次为()
	A.鳞癌、移行细胞癌、腺癌
	B.移行细胞癌、鳞癌、腺癌
	C.腺癌、鳞癌、移行细胞癌
	D.移行细胞癌、腺癌、鳞癌
	E.鳞癌、腺癌、移行细胞癌
95、多项选择题 以下关于脂肪肝病因正确的是()
	A.糖尿病
	B.肝炎
	C.肥胖
	D.肝癌
	E.营养不良
96、单项选择题 下列关于脾梗死的描述,哪项说法是错误的()
	A.多发生于脾边缘包膜下
	B.梗死灶可出现增强
	C.大小不等,单或多发
	D.病灶基底部贴近被膜,尖端向脾门
	E.梗死后可致脾轮廓变形
97、单项选择题 脾梗死早期CT可表现为()
	A.三角形低密度影
	B.不规则形低密度影
	C.椭圆形低密度影
	D.圆形低密度影
	E.新月形低密度影
98、单项选择题 男,50岁,因乙肝后肝硬化行原位肝移植术后1个月,抗病毒、保肝及抗排斥治疗。肝功能恢复正常后出院。出院后1周突发黄疸、发热再次住院,检查发现T管引流液内可见絮状物 首先应考虑的诊断为()
	A.超急性排斥反应
	B.急性排斥反应
	C.慢性排斥反应
	D.乙肝复发
	E.移植肝功能恢复不良
99、单项选择题 耳部CT横断位扫描技术不包括()
	A.患者的体位成标准的头颅前后位
	B.颞骨横断位扫描常用0°和30°断面
	C.0°轴位扫描时,头稍仰,使听眶线与床面垂直
	D.30°轴位扫描时,头稍前屈,使听眉线与床面垂直
	E.30°轴位扫描时,扫描基线为听眦线
100、单项选择题
	男,44岁,突然中上腹痛,压痛,反跳痛,腹肌紧张,发热,白细胞计数升高,CT检查如图,最可能的诊断是()
	A.急性胰腺炎
	B.慢性胰腺炎
	C.胃小弯溃疡穿孔
	D.胰腺癌
	E.胃癌
101、单项选择题 法洛四联症婴儿,一囊状结构引起气管狭窄,应归因于()
	A.副囊肿
	B.食道闭锁
	C.支气管囊肿
	D.正常结构
	E.以上都不是
102、单项选择题 显示野、矩阵、像素值三者关系的描述,哪个不妥()
	A.显示野不变,矩阵加大,像素值变小
	B.显示野不变,矩阵加大,图像分辨率提高
	C.显示野不变,矩阵加大,图像重建时间长
	D.矩阵不变,加大显示野,像素值提高
	E.矩阵不变,像素值减半,显示野面积缩小4倍
103、多项选择题 以下颅内病变,CT表现多与脑组织密度相仿的是()
	A.动脉瘤
	B.亚急性期硬膜下血肿
	C.多发性硬化
	D.脑血肿吸收期
	E.脑膜瘤
104、单项选择题
	患者26岁,男性,有慢性肺病,剧烈腹痛,汗液正常,最可能的诊断是()
	A.过敏性支气管肺曲霉菌病
	B.结核
	C.囊性纤维化
	D.淋巴瘤
	E.以上都不是
105、单项选择题 关于腹腔游离气体原因,以下哪项不对()
	A.剖腹探察术后1周内
	B.慢性胃炎
	C.输卵管通气检查后第2天
	D.消化道溃疡
	E.个别正常女性
106、单项选择题 上颌窦-后鼻孔息肉的CT表现,错误的是()
	A.上颌窦-后鼻孔区可见低密度软组织影
	B.上颌窦开口扩大
	C.软组织影与正常咽后壁有充气间隙
	D.中鼻甲与鼻中隔之间裂隙清晰
	E.软组织影增强不明显
107、多项选择题 骨巨细胞瘤的典型CT征象包括()
	A.多数肿瘤的骨壳并不完整连续,但无包壳外的软组织肿块
	B.骨壳内面凹凸不平,肿瘤内并无真正的骨性间隔
	C.肿瘤内密度不均,有时可见液平
	D.肿瘤与松质骨交界多清楚,但无骨质增生硬化
	E.清楚显示肿瘤周围的软组织情况及与周围神经、血管的关系
108、单项选择题 女,30岁,闭经,溢乳1年。CT检查技术采用()
	A.头颅轴位平扫
	B.头颅冠状位平扫
	C.蝶鞍矢状位增强扫描
	D.蝶鞍冠状位薄层增强扫描
	E.蝶鞍矢状位薄层增强扫描
109、单项选择题 右主支气管水平奇静脉直径正常为()
	A.3~4mm
	B.4~5mm
	C.5~6mm
	D.6~7mm
	E.5~8mm
110、单项选择题 关于胰腺癌的CT表现,错误的是()
	A.常合并出血和脓肿
	B.胰腺肿块
	C.肿瘤侵及血管使其变形堵塞
	D.胰周脂肪消失
	E.胰管和胆管扩张
111、多项选择题 CT的硬件构成包括()
	A.扫描架
	B.X线发生器
	C.数据采集系统
	D.数据处理系统
	E.检查床
112、单项选择题 以下哪项技术,不能提高CT图像清晰度()
	A.薄层扫描
	B.加大毫安
	C.以待检组织CT值作为窗中心
	D.螺旋扫描
	E.训练呼吸,减少运动伪影
113、单项选择题 CT摄片时,通常需放大照相的是()
	A.图像模糊不清
	B.需重点观察有疾病的层面
	C.图像分辨率低
	D.图像的噪声较大
	E.观察部位有伪影重叠
114、多项选择题 下列关于假性主动脉瘤的描述,正确的为()
	A.平扫显示瘤体与主动脉关系密切
	B.瘤体可呈圆形或椭圆形
	C.瘤体较大可压迫主动脉
	D.瘤体及主动脉壁可见钙化
	E.增强扫描可见“狭颈”
115、单项选择题 螺旋CT扫描,在动脉增强早期,下述组织结构中,哪一项最早出现不均匀斑片状强化()
	A.胰腺
	B.脾脏
	C.肌肉
	D.肝脏
	E.腹主动脉
116、多项选择题
	女,54岁,右侧颈部肿大近1年,近来病人有声嘶、吞咽困难,CT扫描如图,正确的描述或诊断是()
	A.右侧甲状腺肿大,密度减低
	B.增强扫描示甲状腺呈不规则强化团块影,其内有低密度区,病灶境界不清
	C.右侧颈内静脉增粗,其内可见不规则充盈缺损区
	D.甲状腺癌
	E.右侧颈内静脉瘤栓形成
117、单项选择题 输尿管结核的CT表现是()
	A.充盈缺损为高密度边缘锐利
	B.输尿管呈串珠状的狭窄及扩张
	C.软组织密度块影无增强
	D.软组织密度块影有增强
	E.椎体前肿块影压迫输尿管使其梗阻
118、单项选择题 下列关于“鼻咽癌”的影像描述,哪项说法错误()
	A.头颅正位、颅底位价值高
	B.颅底骨质破坏
	C.肿瘤内无钙化
	D.鼻咽软组织弥漫性增厚
	E.鼻咽部软组织肿块影
119、单项选择题 癫痫发作2次,CT平扫示侧脑室旁多发低密度灶,无占位效应,但强化后呈结节样增强。最可能的诊断是()
	A.髓鞘形成异常
	B.脑囊虫病
	C.转移瘤
	D.多发性硬化
	E.脑脓肿
120、单项选择题 增强扫描动脉早期,脾脏多呈()
	A.斑点样强化
	B.均匀强化
	C.斑马纹样强化
	D.不强化
	E.结节样强化
121、单项选择题
	患者发热,结合图像,最可能的诊断为()
	A.假膜性结肠炎
	B.克罗恩病
	C.溃疡性结肠炎
	D.淋巴瘤
	E.结核
122、单项选择题 关于膀胱癌的CT表现,错误的是()
	A.突入膀胱腔内的结节肿物
	B.肿瘤可以是单发,也可是多发
	C.肿瘤可以是带蒂生长
	D.肿瘤累及粘膜下层和肌层表现为膀胱壁增厚
	E.可区分肿瘤限于粘膜内或侵入粘膜下层
123、单项选择题 少枝胶质细胞瘤的特征性CT表现是()
	A.混合密度
	B.索条状钙化
	C.不规则增强
	D.可呈低密度
	E.以上都是
124、单项选择题 关于脾血管瘤的描述,错误的是()
	A.表现类似肝脏血管瘤
	B.可为实性肿块也可是囊实性肿块
	C.是脾最常见的良性肿瘤
	D.呈蛋壳样或斑点状钙化
	E.增强扫描肿块明显增强
125、单项选择题 脱屑性间质性肺炎的CT特征()
	A.斑片状、网状、毛玻璃样密度影
	B.不规则形,线状或蜂窝状阴影
	C.散在分布斑片状阴影
	D.多发5~7mm结节影,半数有空洞
	E.钙化
126、多项选择题 CT检查适应证的三级表征是()
	A.主要适应证
	B.一般适应证
	C.非适应证
	D.次要适应证
	E.特别适应证
127、单项选择题 面神经瘤多见于()
	A.前膝部
	B.后膝部
	C.前膝部和后膝部
	D.内耳道段
	E.颅内段
128、单项选择题 “脑膜瘤”下列CT征象,哪种最少见()
	A.瘤体形态不规则、边缘模糊,坏死囊变明显
	B.增强:均匀强化
	C.邻近颅骨增厚或破坏
	D.肿瘤与硬脑膜广基底粘连
	E.平扫:等或略高密度
129、单项选择题 脐尿管癌最常见的组织学类型是()
	A.移行细胞癌
	B.肉瘤
	C.鳞状上皮癌
	D.腺癌
	E.以上都不是
130、单项选择题 下列碘过敏试验方法,哪项是错误的()
	A.眼结膜试验
	B.皮下试验
	C.舌下试验
	D.口服法试验
	E.静脉注射法试验
131、单项选择题
	男,29岁,左侧髋部疼痛1月余,夜间加重,结合影像学检查,最可能的诊断是()
	A.慢性骨脓肿
	B.动脉瘤样骨囊肿
	C.骨样骨瘤
	D.骨结核
	E.骨瘤
132、单项选择题 不符合脑脓肿CT表现的是()
	A.病灶呈环形
	B.可见强化的壁
	C.腔内可见气体密度
	D.病灶无瘤周水肿
	E.明显占位效应
133、单项选择题
	女,2岁,两侧耳廓发育不对称,左侧听力差,如图所示,最可能的诊断为()
	A.左侧外耳道闭锁
	B.左侧中耳炎
	C.左侧内耳道畸形
	D.左侧胆脂瘤
	E.左侧中耳炎胆脂瘤形成
134、单项选择题 解剖学的基准线不包括()
	A.水平线
	B.冠状线
	C.垂直线
	D.正中矢状线
	E.听鼻线
135、单项选择题 甲状腺癌晚期,诊断价值最高的检查方法()
	A.CT 
	B.MRI 
	C.放射性核素检查 
	D.超声 
	E.平片
136、多项选择题
	男,53岁,反复右侧腰部隐痛不适2年余,CT扫描如图所示,下列说法正确的是()
	A.右肾多发结石
	B.右肾铸型结石
	C.右肾钙化
	D.右肾自截
	E.部分肾盏有扩张积液
137、多项选择题
	女,64岁,左侧腰部胀痛,行CT扫描,如图所示,下列说法正确的是()
	A.左肾区可见一巨大的占位性病灶,境界较清楚,胰腺尾部受压向前推移
	B.该病灶密度不均匀,其内可见脂肪密度影,且呈不均匀强化
	C.考虑为左肾来源的血管平滑肌脂肪瘤
	D.考虑为左侧肾上腺来源的髓样脂肪瘤
	E.考虑为腹膜后来源的脂肪肉瘤
138、单项选择题
关于十二指肠球部溃疡,下列说法不正确的是()
	A.常见球部变形
	B.溃疡可多发
	C.胃肠钡餐检查可见点状钡斑
	D.可见胃蠕动增强
	E.部分可恶变
139、单项选择题 下列哪项,不是CT扫描的适应证()
	A.眼部外伤
	B.眼眶内异物
	C.眼的先天性疾病
	D.近视眼
	E.眼球及眶内肿物
140、单项选择题 两肺血减少,肺动脉段突出,两肺动脉干不对称,左侧粗,右侧细,见于哪种心脏病()
	A.法洛四联征
	B.动脉导管未闭
	C.原发性肺动脉高压
	D.肺动脉瓣狭窄
	E.高位室间隔缺损
141、单项选择题 T1WI表现均匀低信号病灶,T2WI随着TE的延长肿瘤信号强度递增似灯炮,注入Gd-DTPA后病灶周边结节强化,延迟后增强范围逐渐扩大应诊断为()
	A.肝癌 
	B.肝腺瘤 
	C.肝囊肿 
	D.肝海绵状血管瘤 
	E.胆管癌 
142、单项选择题 诊断骨缝分离的标准是()
	A.>0.5mm
	B.>1.0mm
	C.>1.5mm
	D.>2.0mm
	E.>2.5mm
143、单项选择题 脑萎缩的影像,下列描述哪项是错误的()
	A.脑沟增宽
	B.脑室扩大
	C.侧脑室周围低密度水肿带
	D.脑回变窄
	E.健侧脑组织向患侧移位
144、单项选择题
	男,28岁,胸闷1周,胸部CT如图,最可能的诊断为()
	A.间皮瘤
	B.肺癌
	C.包裹性积液
	D.肺炎性假瘤
	E.肺肉瘤
145、单项选择题 与产生伪影无关的准备工作是()
	A.做好呼吸训练
	B.不吃含金属药物
	C.给予镇静剂或麻醉
	D.更衣、换鞋入机房
	E.摘掉金属饰物
146、多项选择题 关于胰腺在CT图像上的识别标志,正确的为()
	A.十二指肠水平部横跨于下腔静脉和腹主动脉前方,标志着胰头消失
	B.腹主动脉左前壁是区分胰颈与胰体的标志
	C.门静脉或肠系膜上静脉右壁是区分胰头与胰颈的标志
	D.一般认为钩突向左延伸部分超过肠系膜上动脉属异常
	E.钩突位于肠系膜上动静脉与下腔静脉之间
147、单项选择题 关于窗技术描述错误的是()
	A.窗位指窗宽上、下限CT值的平均数
	B.窗宽指显示图像时所选用的CT值的范围
	C.窗技术包括窗宽、窗位的选择
	D.根据诊断需要调解图像的对比度和亮度的调节技术
	E.如窗位和窗宽均调节至80,CT值的范围是80-160
148、单项选择题 女,54岁,血尿1年余,右腰痛10天余,CT右肾下极60mm×70mm肿块,突出肾外,中心有不规则低密度区,增强扫描早期病灶明显强化,中心低密度区无强化。最可能的诊断为()
	A.肾癌
	B.肾血管肌肉脂肪瘤
	C.肾腺瘤
	D.肾脓肿
	E.肾转移癌
149、单项选择题 膀胱癌好发于()
	A.三角区
	B.膀胱底
	C.膀胱顶
	D.膀胱后壁
	E.膀胱侧壁
150、单项选择题 生殖细胞瘤和髓母细胞瘤都好发于()
	A.老年
	B.青壮年
	C.中青年
	D.中老年
	E.小儿
151、单项选择题 男,30岁,发作性意识丧失半年,CT平扫:左额叶卵圆形低密度病灶,约4cm~5cm边界清楚:其中可见壁结节影,增强扫描病灶无强化,最可能的诊断是()
	A.左额叶脑梗死
	B.星形细胞瘤
	C.胶样囊肿
	D.蛛网膜囊肿
	E.脑包虫病
152、单项选择题
	男,26岁,进行性鼻腔阻塞、流涕来院就诊,近两年持续性头痛、头晕,筛窦区病变影像检查如图,最可能的诊断是()

	A.脊索瘤伴左上颌窦炎
	B.软骨瘤伴左上颌窦炎
	C.骨化性纤维瘤伴左上颌窦炎
	D.骨结核伴左上颌窦炎
	E.骨纤维异常增殖症伴左上颌窦炎
153、单项选择题 与图像显示上下位置偏移有关的操作是()
	A.病人摆位左右偏移
	B.扫描机架倾角过大
	C.床台升降调节有误
	D.床台进出调节有误
	E.扫描野选择有误
154、单项选择题 早期“泪腺肿瘤”的诊断最佳技术是以下哪项()
	A.CT矢状面扫描
	B.瓦氏位摄片
	C.柯氏位摄片
	D.CT冠状面扫描
	E.CT横断面扫描
155、单项选择题
男,54岁,干咳,呼吸急促1月余,结合影像学检查,最可能的诊断是()
	
	A.间质性肺炎 
	B.大叶性肺炎 
	C.特发性肺间质纤维化 
	D.卡氏肺囊虫性肺炎 
	E.肺癌
156、单项选择题
女性,43岁,发现左侧颌下包块2年多,近3个月明显增大。行CT增强扫描如图所示:
	
	A.血管瘤
	B.淋巴结核
	C.神经鞘瘤
	D.淋巴管囊肿
	E.淋巴瘤
157、单项选择题 数字量转换为模拟量称作()
	A.D/B转换
	B.D/C转换
	C.D/A转换
	D.B/D转换
	E.C/D转换
158、单项选择题 关于腹部脏器的增强扫描CT检查叙述错误的是()
	A.胰腺增强扫描,动脉期延迟扫描时间35~40秒
	B.胰腺增强扫描,静脉期延迟扫描时间65~70秒
	C.肾脏增强扫描,皮质期延迟扫描时间25~30秒
	D.肾脏增强扫描,髓质期延迟扫描时间60~70秒
	E.肾脏增强扫描,分泌期延迟扫描时间5~10分钟
159、单项选择题 螺旋CT与传统CT相比最突出的优势是()
	A.重建速度快
	B.体积扫描
	C.扫描速度快
	D.二维或三维成像效果好
	E.单层或多层连续扫描
160、单项选择题
	男,47岁,右侧腰骶部、右髋部疼痛3年余,近期加重,无发热。根据骨盆平片及腰骶部、右髋CT平扫片,最可能的诊断为()
	A.骨髓瘤
	B.骨转移瘤
	C.骨纤维异常增殖症
	D.畸形性骨炎
	E.骨结核
161、单项选择题 以下肾肿瘤中,哪种最常发生肺转移()
	A.乳头状瘤
	B.移行上皮癌
	C.鳞状细胞癌
	D.肾母细胞瘤
	E.错构瘤
162、单项选择题 下列关于肾癌不正确的说法是()
	A.主要症状为无痛血尿和肿块
	B.IVP可阴性
	C.可继发肾积水
	D.肾盏破坏及受压
	E.肿瘤无钙化
163、单项选择题 在CT横断面上肝内门静脉与肝静脉的鉴别点,下述哪项是错误的()
	A.肝静脉与门静脉走行相反
	B.肝静脉在肝叶间或段间走行,而肝门静脉分支则出现于叶内或段内
	C.门静脉属支多较直,而肝静脉分支多弯曲或具有多种形状
	D.肝静脉越近膈肌其口径越大
	E.门静脉越近肝门其口径越大
164、单项选择题 对于早期中耳乳突胆脂瘤的诊断,最佳方法为()
	A.Schullet位平片 
	B.Mayer位平片 
	C.RunstromII位平片 
	D.颞骨高分辨率CT 
	E.MRI
165、单项选择题 CT检查防护措施中,属于临床医生必须执行的是()
	A.缩短扫描时间
	B.让病人穿好防护用品
	C.辐射实践的正当化
	D.扫描中的最优化
	E.受检者指导水平
166、多项选择题
	女,35岁,反复发作的尿路感染,结合图像,最可能的诊断是()
	A.左侧肾脏体积明显增大,轮廓欠清楚
	B.左侧肾皮质变薄,其内可见多个囊腔
	C.增强后囊腔周边强化
	D.考虑为左侧肾癌
	E.考虑为左侧黄色肉芽肿性肾盂肾炎
167、多项选择题
	男,56岁,无痛性全程血尿1月,CT平扫及增强检查如图,下列说法正确的是()
	A.右肾上极,肾脏局部隆起,平扫时其密度与肾相近,不易分辨其轮廓
	B.增强扫描皮质期,病灶强化明显,但仍低于肾皮质的强化
	C.增强扫描实质期,病灶强化迅速减退,可清楚的分辨其轮廓
	D.右肾静脉及下腔静脉内未见充盈缺损影
	E.考虑为右肾上极的肾癌
168、单项选择题
	男,33岁,腹部外伤后2月余,腹部疼痛,行CT扫描所见如图,最可能的诊断是()
	A.急性胰腺炎
	B.慢性胰腺炎
	C.胰腺创伤性假性囊肿
	D.畸胎瘤
	E.腹腔包裹性积血
169、单项选择题
	根据所提供的图像,该病例的最可能的诊断为()
	A.囊腺瘤
	B.假性囊肿
	C.肾上腺囊肿
	D.腺癌
	E.脓肿
170、单项选择题 与普通平片相比,下列哪一项不是CT的优点()
	A.密度分辨率高
	B.解剖分辨率高
	C.空间分辨率高
	D.可进行多方位重建
	E.增强扫描有利于病灶的定性
171、单项选择题
	患者70岁,恶心、呕吐,结合图像,最可能的诊断是()
	A.淋巴瘤
	B.胃癌
	C.淀粉样变性
	D.转移
	E.以上都不是
172、单项选择题 CT准直器位于X线管前端的X线出口处,其宽度决定()
	A.扫描的范围
	B.相邻两个扫描层面的距离
	C.扫描层面的厚度
	D.X线管焦点距离
	E.以上都不是
173、多项选择题 关于肺动脉的描述,正确的是()
	A.肺动脉均与同名的支气管伴行
	B.肺动脉不与同名的支气管伴行
	C.肺动脉均与同名的肺静脉伴行
	D.肺动脉不与同名的肺静脉伴行
	E.肺动脉一般与同名的支气管伴行
174、单项选择题 怀疑脊柱转移瘤,以下哪种情况不适宜用CT检查()
	A.腰椎平片因肠气干扰而显示不清者
	B.病灶较小,平片不能确定者
	C.病灶周围有无软组织肿物
	D.检体转移用于明确有无椎管和硬膜囊受累
	E.明确脊髓有无侵犯
175、单项选择题 男性,56岁,右面部隆起、肿胀,牙痛,右眼球突出6个月。CT显示:右侧上颌窦扩大,腔内见软组织密度影,窦壁变薄,局部骨质破坏消失。最可能的诊断是()
	A.鼻息肉
	B.黏液囊肿
	C.纤维血管瘤
	D.上颌骨骨髓炎
	E.上颌窦癌
176、单项选择题
	男,62岁,声音嘶哑1年余,CT图片如下,最可能的诊断是()
	A.甲状腺癌
	B.声门下喉癌伴右颈部淋巴结转移
	C.喉结核伴右颈部淋巴结肿大
	D.喉转移瘤
	E.喉息肉
177、单项选择题
	男,24岁,四肢细长,蜘蛛指,肌张力降低,结合图像,最可能的诊断是()
	A.软骨发育不全
	B.骨斑点症
	C.马方综合征
	D.神经纤维瘤病
	E.特发性骨质溶解症
178、单项选择题 Graves眼病最常累及()
	A.上直肌
	B.上斜肌
	C.下直肌
	D.外直肌
	E.内直肌
179、单项选择题 8岁男性,左眼突,运动障碍2个月。CT示视神经呈梭形增粗,视交叉增粗,中度、均匀强化。最可能的诊断是()
	A.视网膜母细胞瘤
	B.视神经脑膜瘤
	C.视神经胶质瘤
	D.海绵状血管瘤
	E.黑色素瘤
180、单项选择题 下述肺良性肿瘤较多见的是()
	A.血管瘤
	B.平滑肌瘤
	C.脂肪瘤
	D.腺瘤
	E.纤维瘤
181、单项选择题 关于“球后炎性假瘤”的知识,下述说法哪项不对()
	A.单侧突眼常见原因之一
	B.肾上腺皮质激素疗效差
	C.泪腺型预后较好
	D.眼外肌型者,肌腱、肌腹都肿大
	E.不宜手术
182、单项选择题 腹部CT扫描的适应证除外()
	A.肝肿瘤、肝囊肿
	B.胆囊炎和胆结石
	C.脾脏外伤
	D.肾炎
	E.腹膜后腔的炎症
183、单项选择题
	根据皮下组织的表现,该病例可能性最小的诊断为()
	A.转移
	B.淋巴瘤
	C.良性囊肿
	D.黑色素瘤
	E.纤维瘤
184、单项选择题 关于颅咽管瘤的病理特征,下列描述不正确的是()
	A.80%为囊性
	B.20%为实性
	C.85%有钙化
	D.囊内含胆固醇结晶液体或浓稠脱屑物
	E.肿瘤边界模糊不清
185、单项选择题 不需做胸部增强扫描的是()
	A.明确分辨纵隔结构时
	B.明确大气管有无狭窄时
	C.区分纵隔肿物与大血管时
	D.肿块合并肺不张时
	E.分析复杂的大血管畸形时
186、单项选择题 侵袭性垂体腺瘤的表现为()
	A.起源于垂体后叶
	B.多显示平直的鞍膈
	C.可以经海绵窦上侵及鞍旁
	D.不会经海绵窦下侵及鞍旁
	E.推移包绕颈外动脉
187、单项选择题
	男,16岁,大腿可触及柔软、无痛性肿块,结合图像,最可能的诊断是()
	A.滑膜肉瘤
	B.脂肪肉瘤
	C.脂肪瘤
	D.血管瘤
	E.淋巴管瘤
188、多项选择题 肝血管瘤的诊断标准为()
	A.平扫呈低密度增强等密度充填时间大于7分钟
	B.强化区域进行性向病灶中央扩散
	C.早期病灶边缘呈高密度强化
	D.平扫呈低密度增强后,等密度充填时间大于3分钟
	E.延迟扫描病灶呈等密度充填
189、单项选择题 关于大脑半球的描述,正确的是()
	A.脑岛位于额叶深部 
	B.中央前回属于顶叶 
	C.额顶叶以中央沟分界 
	D.半卵圆中心为灰质结构 
	E.扣带回在胼胝体下方
190、单项选择题
	男,59岁,右侧髋骶部持续性疼痛,夜间加重,2月前被确诊为肾细胞癌,结合图像,最可能的诊断是()
	A.骨肉瘤
	B.骨巨细胞瘤
	C.骨囊肿
	D.骨转移瘤
	E.骨瘤
191、单项选择题 下列不通过颈静脉孔的结构是()
	A.Ⅴ颅神经的第三支
	B.Ⅸ颅神经
	C.Ⅹ神经
	D.Ⅺ颅神经
	E.颈内静脉
192、单项选择题 诊断脾脓肿的可靠的CT表现为()
	A.可出现“靶”征 
	B.圆形或卵圆形低密度区 
	C.增强扫描脓肿壁增强腔内无增强 
	D.内有气液面或液液面 
	E.同时肝、肾常有类似的小脓肿
193、单项选择题
患者术后5天发热,如图所示,最可能的诊断为()
	
	A.肠套叠
	B.脓肿
	C.缺血坏死性肠炎
	D.纱布置留
	E.以上都不是
194、多项选择题 应与鼻咽癌鉴别的疾病有()
	A.脊索瘤
	B.鼻咽部淋巴组织增生
	C.鼻咽纤维血管瘤
	D.蝶窦恶性肿瘤
	E.鼻咽部结核
195、单项选择题
男,45岁,头痛2年余,CT所见如图,最可能的诊断()
	
	A.神经纤维瘤病
	B.多发转移瘤
	C.多发脑出血
	D.多发肉芽肿
	E.脑结核钙化
196、单项选择题
	女,27岁,右侧牙根部痛,曾有草黄色液体渗出,CT表现如图,最可能的诊断是()
	A.根尖囊肿
	B.根尖脓肿
	C.腮腺囊肿
	D.腮腺脓肿
	E.未见异常
197、单项选择题 以下对鼻咽常规CT扫描范围的描述,哪项是正确的()
	A.上颌骨齿槽突至会厌上缘
	B.会厌上缘至环状软骨下缘
	C.硬腭至舌骨
	D.舌骨至胸廓入口水平
	E.听鼻线至硬腭
198、单项选择题
	女,15岁,间歇性足跟痛,结合图像,最可能的诊断是()
	A.骨囊肿
	B.骨巨细胞瘤
	C.骨髓瘤
	D.骨纤维异常增殖症
	E.动脉瘤样骨囊肿
199、单项选择题 肺部CT图像的拍摄,需要加拍骨窗的疾病是()
	A.发现结节性病灶
	B.并大血管疾病
	C.侵犯胸膜病变
	D.严重肺气肿的病人
	E.疑有骨转移者
200、多项选择题 放射性肺炎的CT表现为()
	A.长条片状高密度影
	B.病灶呈跨叶分布
	C.病灶密度不均
	D.病灶边缘平直
	E.病灶体积缩小
201、单项选择题
	女,27岁,寒战高热、尿频、尿痛3天,尿检:白细胞(+++),CT平扫及增强扫描如图所示,下列说法错误的是()
	A.右肾体积增大
	B.增强后右肾实质内可见条片状密度减低区
	C.左肾未见异常
	D.考虑为急性肾盂肾炎
	E.考虑为慢性肾盂肾炎
202、单项选择题 关于“Sturge-Weber综合征”,下列CT影像哪项错误()
	A.增强扫描,钙化周围明显强化
	B.颅骨局限性增厚
	C.三叉神经分布区紫红色血管瘤形成
	D.脑沟变浅,脑回增宽
	E.大脑皮层脑回样钙化
203、单项选择题
	男,27岁,干咳,呼吸困难半月余,有艾滋病病史半年余,结合CT检查,最可能的诊断是()
	A.粟粒型肺结核
	B.弥漫型肺癌
	C.间质性肺炎
	D.矽肺
	E.卡波济肉瘤
204、单项选择题 脊柱化脓性骨髓炎发病年龄多见于()
	A.儿童期
	B.少年期
	C.成人期
	D.老年人
	E.无差别
205、单项选择题
女,39岁,发热、咳嗽1周,WBC:15×109/L,胸部CT平扫如图
	
	A.印戒征
	B.按叶段分布的片絮状影
	C.轨道征
	D.葡萄状影
	E.支气管黏液充填
206、多项选择题 弥漫性脑萎缩见于哪些病理情况()
	A.Alzheimer病
	B.Huntington病
	C.Parkinson病
	D.Pick病
	E.Wilson病
207、单项选择题 关于甲状腺肿物CT检查的描述,不正确的是()
	A.确定肿瘤性与非肿瘤性病变非常困难
	B.有时鉴别肿瘤的良恶性存在一定困难
	C.不能确定肿瘤的范围
	D.增强扫描有助于病变检出
	E.可判断有无淋巴结转移
208、单项选择题
	CT示L4椎体后缘有一局限性软组织密度影,硬膜外脂肪层消失,硬膜囊受压,变形,神经根增粗。诊断为()
	 
	A.神经纤维瘤
	B.神经根囊肿
	C.椎间盘突出
	D.椎间盘膨出
	E.椎小关节病
209、单项选择题 增强CT扫描可()
	A.区别肿瘤的恶性程度 
	B.区别肿瘤的良恶性 
	C.将肿瘤与瘤周水肿分开 
	D.区分先天和后天性肿瘤 
	E.区别肿瘤和脑脓肿
210、单项选择题 对于诊断多发性骨髓瘤,下列CT表现中哪项不支持()
	A.骨质疏松
	B.椎体压缩骨折
	C.骨内单发或多发穿凿样骨破坏
	D.周围骨皮质完整或增厚
	E.伴有软组织肿物
211、单项选择题 关于子宫肌瘤的CT表现,下列哪项说法是错误的()
	A.子宫分叶状增大或呈外突的实性肿块
	B.宫旁脂肪层多存在
	C.肌瘤坏死可形成囊性低密度区
	D.增强扫描实性肿块不增强
	E.长期存在的肌瘤可发生钙化
212、单项选择题 关于肾脏CT检查方法,下列哪项是错误的()
	A.普通扫描可以发现钙化及结节
	B.扫描前禁服钡剂、含钙或金属药物
	C.扫描前30分钟口服15%泛影葡胺500ml
	D.扫描前6小时禁食
	E.一般不需要增强扫描
213、单项选择题 下列哪项不属于首选肾脏CT检查的疾病是()
	A.肾上腺肿瘤
	B.输尿管结石
	C.肾动脉狭窄
	D.肾结核
	E.肾周脓肿
214、单项选择题 胰腺钩突前面,CT显示二个血管断面,应是()
	A.(右)门静脉(左)脾静脉
	B.(右)肠系膜上静脉(左)脾静脉
	C.(右)肠系膜上动脉(左)肠系膜上静脉
	D.(右)门静脉(左)腹腔动脉
	E.(右)肠系膜上静脉(左)肠系膜上动脉
215、单项选择题 在HD中,最常见的是()
	A.淋巴细胞为主型
	B.混合细胞型
	C.结节硬化型
	D.淋巴细胞耗竭型
	E.以上都不是
216、单项选择题 下列哪项不是肾上腺腺瘤的CT表现()
	A.密度均匀的类圆形实性肿块
	B.边缘光滑清晰与肾上腺相连
	C.常可见条或斑片状钙化
	D.常因含有脂类而呈低密度
	E.增强扫描呈轻度强化
217、单项选择题 下列哪种脊椎结核最易引起椎旁寒性脓肿()
	A.椎体中心型
	B.边缘型
	C.韧带下型
	D.附件型
	E.以上均可引起
218、单项选择题 关于阴性对比剂的叙述,错误的是()
	A.氧气属阴性对比剂
	B.空气在器官内吸收较慢
	C.二氧化碳的溶解度较低
	D.阴性对比剂可用于膀胱造影
	E.空气有产生气体栓塞的危险
219、单项选择题 胰头癌时CT影像中出现的"双管征"同时增宽、扩张是指()
	A.门静脉和肝动脉
	B.肝内胆管和胆总管
	C.胆总管和胰腺导管
	D.胰导管和肝内胆管
	E.脾静脉和肠系膜上静脉
220、单项选择题
	男,56岁,肺癌术后2年余,左髋部疼痛,夜间加重,结合图像,最可能的诊断是()
	A.骨肉瘤
	B.骨转移
	C.多发性骨髓瘤
	D.骨软骨瘤
	E.软骨肉瘤
221、单项选择题 下面对颈部CT扫描技术的描述错误的是()
	A.平扫,使颈部与床面平行,两外耳孔与床面等距
	B.摄取颈部侧位定位像,在定位像上选择从胸腔入口至下颌角区域进行扫描
	C.甲状腺扫描范围从第5颈椎下缘至第1胸椎
	D.甲状腺的扫描层厚与层间距可用10mm
	E.扫描方式为螺旋或非螺旋均可
222、单项选择题 细菌性肝脓肿的主要感染途径不包括()
	A.胆道
	B.肠系膜上静脉
	C.肝总动脉
	D.下腔静脉
	E.直接蔓延
223、单项选择题 正常内耳道宽度为()
	A.3~10mm
	B.4~6mm
	C.5~10mm
	D.3~8mm
	E.4~10mm
224、单项选择题 CT诊断肾单纯性囊肿,最有诊断意义征象应为()
	A.囊壁光滑、边缘清楚、CT值<15HU
	B.囊壁光滑、边缘清楚、增强扫描无强化
	C.囊壁光滑、囊壁有明显钙化
	D.水样密度、囊壁有明显钙化
	E.占位性肿块,水样密度、边缘钙化
225、单项选择题 根据我国小肝癌的诊断标准,两个瘤结节的最大直径总和应是()
	A.≤2.5cm
	B.≤3.0cm
	C.≤4.0cm
	D.≤5.0cm
	E.≤6.0cm
226、单项选择题
	女,45岁,抑郁嗜睡1月,实验室检查血钙3mml/L,CT图像如图,最可能的诊断为()
	A.正常
	B.永存上腔静脉干
	C.胸内甲状旁腺瘤
	D.胸内甲状腺瘤
	E.囊性胸腺瘤
227、单项选择题
	患者16岁,女性,最可能的诊断是()
	A.胰腺腺癌
	B.Hamoudi瘤
	C.假性囊肿
	D.胰腺胚细胞瘤
	E.以上都不是
228、单项选择题
	男,30岁,左大腿疼痛1年余,夜间或休息加重,口服止痛药可缓解,结合图像,最可能的诊断是()
	A.骨瘤
	B.骨样骨瘤
	C.骨软骨瘤
	D.骨结核
	E.骨脓肿
229、单项选择题 颈部CT扫描技术的描述错误的是()
	A.患者仰卧,颈部与床面平行
	B.摄取颈部侧位定位像
	C.甲状腺扫描范围从第3颈椎下缘至第1胸椎
	D.甲状腺的扫描层厚与层间距可用5mm
	E.扫描方式:螺旋或非螺旋均可
230、单项选择题 下列腹膜后间隙恶性肿瘤中最常见的是()
	A.淋巴瘤
	B.脂肪肉瘤
	C.平滑肌肉瘤
	D.恶性纤维组织细胞瘤
	E.类癌
231、单项选择题 与CT图像密度分辨率无关的是()
	A.光子的数量
	B.像素噪声
	C.焦点尺寸
	D.焦点至探测器距离
	E.扫描层厚
232、单项选择题
男,15岁,进行性头痛1年余,CT检查,最可能的诊断为()
	
	A.脑膜瘤
	B.脑血管畸形
	C.转移瘤
	D.淋巴瘤
	E.胶质母细胞瘤
233、单项选择题 定位扫描属于扫描步骤中的:()
	A.第一步输入病人自然项目
	B.第二步摆体位
	C.第三步确定扫描范围
	D.第四步做横断层扫描
	E.第五步转贮影像数据
234、单项选择题 部分型肺静脉畸形引流的血流动力学改变与下列哪个病变相似()
	A.动脉导管未闭
	B.肺动脉瓣狭窄伴房间隔缺损
	C.房间隔缺损
	D.法洛四联征
	E.以上都不是
235、单项选择题 肝脏CTA检查时,导管应置于()
	A.肠系膜上动脉内
	B.脾动脉内
	C.肝动脉内
	D.腹主动脉内
	E.肾动脉内
236、单项选择题
	根据所提供的图像,最可能的诊断是()
	A.起源于神经组织的团块
	B.囊腺瘤
	C.假性囊肿
	D.囊肿
	E.以上都不是
237、单项选择题 脑梗死的坏死液化期,CT表现为()
	A.等密度,边界模糊
	B.低密度,边界模糊
	C.低密度,边界清楚
	D.等密度,边界清楚
	E.混杂密度,边界清楚
238、单项选择题 颅脑CT增强扫描,一般作为判断增强效果优劣的参考标准是()
	A.大脑镰显影的状况
	B.脉络丛显影的状况
	C.T增强效果优劣的参考标准
	D.Willis环显影的状况
	E.小脑幕显影的状况
239、单项选择题 对咽部解剖的论述,错误的是()
	A.咽部为呼吸道和消化道上段共同交通的部分
	B.咽部是由骨和软骨构成的管腔
	C.咽部自上而下分为鼻咽、口咽和喉咽三部分
	D.自颅底到软腭水平的一段为鼻咽
	E.自软腭至舌骨水平的一段为口咽
240、单项选择题 肾上腺出现钙化较多的肿瘤是()
	A.嗜铬细胞瘤及神经母细胞瘤
	B.嗜铬细胞瘤及骨髓脂肪瘤
	C.肾上腺皮质腺瘤及肾上腺囊肿
	D.神经母细胞瘤及肾上腺癌
	E.肾上腺皮质腺瘤及肾上腺癌
241、单项选择题 关于扩张型心肌病病理表现,下列哪项描述正确()
	A.典型病理表现为向心性肥大
	B.典型病理表现为离心性肥大
	C.两侧心室及心尖肥厚
	D.心脏重量无明显增加
	E.心肌细胞变细伸长及心肌间质纤维化
242、单项选择题
	患者肺炎反复发作,结合图像,最可能的诊断为()
	A.食管癌
	B.贲门失弛缓症
	C.(胃食管)返流
	D.硬皮病
	E.以上都不是
243、单项选择题 关于原发性硬化性胆管炎,下列观点错误的是()
	A.肝内外胆管无明显扩张
	B.反复发作性黄疸、发热
	C.胆管造影示“枯枝征”
	D.只影响肝外胆管
	E.常见于溃疡性结肠炎、克罗恩病患者
244、单项选择题 男,8岁,头痛CT示松果体区有一1.5×1.5cm稍高密度影,中等增强,侧脑室室管膜明显增厚,增强,最可能的诊断是()
	A.松果体细胞瘤
	B.恶性胶质瘤
	C.生殖细胞瘤
	D.淋巴瘤
	E.脑膜瘤
245、单项选择题 下列哪项不是夹层动脉瘤的CT表现()
	A.双腔征象
	B.真腔对比剂浓度一般高于假腔
	C.内膜钙化没有内移
	D.真假腔之间的内膜瓣
	E.假腔内可以继发血栓形成
246、单项选择题 按WH0分类关于Ⅱ级星形细胞瘤的CT表现的描述,哪项是错误的()
	A.肿瘤与水肿不易区分 
	B.病灶几乎不强化 
	C.病灶呈不均匀强化 
	D.病灶边缘清楚 
	E.占位效应较轻
247、多项选择题 肾上腺腺瘤的CT表现为()
	A.密度均匀的类圆形实性肿块
	B.边缘光滑、清晰,与肾上腺相连
	C.常可见条或斑片状钙化
	D.常因含有脂类而呈低密度
	E.增强扫描呈轻度强化
248、多项选择题 美国心脏病协会关于冠状动脉节段分法包括()
	A.左冠状动脉主干
	B.右冠状动脉主干
	C.左前降支近、中、远段
	D.左回旋支近、远段
	E.右冠状动脉近、中、远段
249、多项选择题 “脑萎缩”影像包括()
	A.健侧脑组织向患侧移位
	B.脑沟增宽,脑回变窄
	C.侧脑室周围低密度水肿带
	D.侧脑室顶部夹角大于40°
	E.视隐窝变钝、变浅、消失
250、单项选择题 下列“脑脓肿”影像表现中,哪项正确()
	A.第1周,边缘清晰低密度影
	B.第2周,水肿最明显,无强化
	C.第3周,水肿最明显,有“气液面”
	D.多数病灶可结节样强化
	E.常为单发
251、单项选择题
	女,34岁,左耳流脓两个月,脓量多少不等,CT检查如图,最可能的诊断是()



	A.乳突癌
	B.中耳癌
	C.胆脂瘤
	D.肉芽肿形成
	E.中耳结核
252、单项选择题 病灶与周围组织密度接近,为突出病灶,CT窗的调整应为()
	A.适当调大窗宽
	B.适当调窄窗宽
	C.适当调高窗位
	D.窗宽窗位同时调高
	E.窗宽窗位同时调低
253、单项选择题 CT滤过器作用的关键在于()
	A.吸收低能量X线
	B.优化射线的能谱
	C.减少病人照射剂量
	D.使射线能量分布均匀
	E.使射线近似单一性
254、单项选择题 肝血色素沉着病的CT值为()
	A.30HU
	B.0~50HU
	C.-14~20HU
	D.60~100HU
	E.86~132HU
255、多项选择题 骨折的CT诊断,正确的表述为()
	A.CT是平片的重要补充,可发现平片上不能发现的隐匿骨折
	B.结构复杂和有骨性重叠部位的骨折,CT较平片能更精确显示骨折移位情况
	C.不易观察骨折的整体情况,但三维重建则可全面直观地了解骨折情况
	D.单凭CT就能确定有无骨折
	E.以上均对
256、单项选择题 关于胆囊结石描述,错误的是()
A.泥砂样结石常沉积在下部,密度较高,与上部胆汁形成液平  
B.石灰样胆汁胆囊呈造影样高密度  
C.结石均呈结节状致密影  
D.结石中心可有气体存在  
E.结石常合并慢性胆囊炎
257、多项选择题 心肌梗死的并发症包括()
	A.室壁瘤
	B.乳头肌梗死
	C.心脏破裂
	D.心律失常
	E.以上都不是
258、单项选择题 下述对比剂副作用最小的是()
	A.泛影钠
	B.碘苯酯
	C.优维显
	D.泛影葡胺
	E.复方泛影葡胺
259、单项选择题
	男,55岁。腹痛伴发热1周就诊。主动脉CTA检查MPR如图,考虑为()
	A.主动脉夹层动脉瘤
	B.主动脉瘤并附壁血栓
	C.主动脉血栓形成
	D.主动脉硬化
	E.主动脉破裂
260、单项选择题 男,49岁,癫痫发作3次。CT示左额叶有一圆形低密度区,病灶呈不规则环形增强,最大可能是()
	A.化脓性脑炎
	B.胶质瘤
	C.病毒性脑炎
	D.血管畸形
	E.结节性硬化
261、单项选择题 颈椎管狭窄的诊断标准为前后径小于()
	A.8mm
	B.9mm
	C.10mm
	D.12mm
	E.13mm
262、单项选择题
	男,36岁,上腹部胀痛,CT检查如图所示,最可能的诊断是()
	A.肝转移癌
	B.肝癌
	C.多囊肝
	D.肝脓肿
	E.肝囊虫病
263、单项选择题 肾上腺的CT图片,需测量肾上腺的长度及厚度,其主要原因是()
	A.肾上腺太小,医生读片时无法测量
	B.除外肾上腺皮质增生
	C.测量其形状,协助诊断
	D.肾上腺很小,可提醒诊断读片时注意
	E.以上都是
264、多项选择题
	男,55岁,尿频,尿痛伴低热乏力1月。如图所示,下列说法正确的是()
	A.左侧输尿管多发性狭窄
	B.右侧肾积水
	C.膀胱变形
	D.左侧输尿管结核
	E.左侧输尿管癌
265、单项选择题 以下对CT值的描述,哪一项不正确()
	A.调整窗宽不影响组织的CT值
	B.CT值受部分容积效应影响
	C.CT值受管电压影响
	D.特定组织的CT值是恒定的
	E.调整窗中心不影响组织的CT值
266、单项选择题 以下哪项对Conn综合征(原发性醛固酮增多症)描述不当()
	A.由于各种原因引起的醛固酮过多所致
	B.腺瘤所致Conn综合征约占1/3
	C.以高血压、低血钾、高醛固酮水平和低血浆肾素活性为主要特征
	D.引起Conn综合征的肾上腺增生多表现为双侧肾上腺弥漫性增生,结节状隆起
	E.双侧肾上腺外形无增大不能排除腺体增生可能
267、单项选择题 关于腺样体肥大的CT影像特点,下述哪项不符合()
	A.密度多均匀
	B.平扫呈稍高密度
	C.增强扫描显著强化
	D.颅底骨质破坏
	E.与周围邻近结构界线清楚
268、单项选择题
	区别肺叶发育不全与肺隔离症最佳的检查方法为()
	 
	A.CT平扫
	B.X线平片
	C.MR平扫
	D.CT动态增强扫描
	E.MRT2WI脂肪抑制序列
269、单项选择题
	男,5岁,有尿路感染伴急性发热,CT增强扫描如图所示,最可能的诊断是()
	A.左侧肾炎
	B.左侧肾脓肿
	C.左侧急性肾盂肾炎
	D.左侧黄色肉芽肿性肾盂肾炎
	E.左侧慢性肾盂肾炎
270、单项选择题 下丘脑属于()
	A.端脑
	B.间脑
	C.丘脑
	D.中脑
	E.后脑
271、单项选择题 矩阵256×256、显示野20cm与矩阵512×512、显示野10cm,两种图像的像素大小()
	A.前者0.5mm,后者0.25mm 
	B.前者较后者大 
	C.前者lmm,后者2mm 
	D.相等 
	E.前者较后者小
272、单项选择题 肺癌钙化形成的病理基础是()
	A.肿瘤瘢痕收缩
	B.瘤内含气、扩张的细支气管
	C.肿瘤内残存正常含气肺组织
	D.肿瘤钙化或包埋原有钙化灶所致
	E.癌细胞浸润及间质反应
273、单项选择题 小脑囊实性肿瘤,壁结节轻度强化,周围轻度水肿,最可能的诊断是()
	A.囊性星形细胞瘤
	B.室管膜瘤
	C.髓母细胞瘤
	D.血管网状细胞瘤
	E.囊性转移瘤
274、单项选择题
	患者白血病,病史长,结合图像,最可能的诊断为()
	A.脓肿
	B.淋巴瘤
	C.胃肠道间质瘤
	D.神经纤维瘤
	E.以上都不是
275、单项选择题
	患者中年,腹痛,如图所示,最可能诊断为()
	A.淋巴瘤
	B.神经纤维瘤病
	C.卵巢囊肿
	D.转移瘤
	E.以上都不是
276、单项选择题 女,56岁,突感眩晕呕吐,言语不清。查:声音嘶哑,吞咽困难,左眼裂,瞳孔变小,左面部和右半身痛觉减退,左侧指鼻试验不准。 为了明确诊断,最有意义的检查为()
	A.颅脑CT
	B.颈动脉多普勒检查
	C.颅脑X线平片
	D.脑血管造影
	E.腰穿
277、多项选择题
	男,57岁,睡觉打鼾,近来加重,CT扫描如图所示,正确的描述或诊断是()
	A.鼻咽腔偏右侧可见类圆形软组织块影
	B.肿块内密度尚均匀,其上方见较多钙化影
	C.肿块边缘大部清楚,邻近结构未见明显受侵
	D.鼻咽癌
	E.鼻咽部多形性腺瘤
278、单项选择题 脊柱血管瘤多见于()
	A.上颈椎
	B.颈椎
	C.胸椎
	D.腰椎
	E.骶椎
279、单项选择题
	男,55岁,腰背痛,反复感染,尿蛋白(+),本周蛋白(+),血钙升高,结合图像,最可能的诊断是()
	A.恶性淋巴瘤
	B.转移瘤
	C.骨髓瘤
	D.尤文肉瘤
	E.恶性纤维组织细胞瘤
280、单项选择题 有关骨巨细胞瘤的叙述,正确的是()
	A.多见于儿童
	B.为良性病变
	C.长管状骨的病变,多位于关节面下
	D.病变无增强
	E.信号均匀
281、多项选择题 下列属侵袭性胸腺瘤特点的是()
	A.包膜不完整
	B.可引起胸腔积液
	C.可引起心包积液
	D.可囊变
	E.含有大量脂肪成分
282、多项选择题 关于脊椎椎体爆裂骨折,正确的表述为()
	A.骨折累及脊柱前、中柱,同时可累及后柱
	B.是常见的不稳定骨折
	C.常引起椎体后壁骨折
	D.骨折碎片移位常突入椎管,压迫脊髓,引起神经症状
	E.可仅累及脊柱前柱,而中、后柱结构完整
283、多项选择题
	男,72岁,排尿困难1年余,无手术病史,CT扫描如图所示,下列说法正确的是()
	A.一侧肾脏缺如
	B.膀胱的后上方可见一囊性肿物,该囊性肿物与膀胱相通
	C.考虑为先天性孤立肾
	D.该囊性肿物考虑为膀胱憩室
	E.该囊性肿物考虑为输尿管囊肿
284、单项选择题 以下哪一代CT,其探测器排列成圆环且固定,仅X线管旋转()
	A.第一代CT机
	B.第二代CT机
	C.第三代CT机
	D.第四代CT机
	E.第五代CT机
285、单项选择题 脑干结构不包括()
	A.桥脑
	B.延髓
	C.颈髓上段
	D.中脑
	E.四叠体
286、单项选择题 下列哪项说法与卵巢癌无关()
	A.盆腔、腹腔巨大多发囊实性肿块
	B.腹水
	C.腹腔不规则肿块,肠袢边缘不清
	D.盆腔脂肪增多
	E.肝周、盆壁、网膜有细小钙化
287、单项选择题 当窗宽为200、窗位为0时,以下CT值显示范围哪项正确()
	A.-150~50
	B.-100~100
	C.100~200
	D.0~200
	E.-200~0
288、单项选择题 侧脑室三角区对应的脑叶是()
	A.额颞顶叶交界区
	B.额颞枕叶交界区
	C.颞顶枕叶交界区
	D.颞枕叶和小脑半球交界区
	E.颞枕岛叶交界区
289、单项选择题 泌尿系肿瘤最主要的临床特点是()
	A.无痛性全程血尿
	B.尿频和尿痛
	C.排尿困难
	D.腹部肿块
	E.尿失禁
290、单项选择题 关于脾外伤CT检查的叙述,错误的是()
	A.伤后立即做CT平扫和增强检查,结果正常不能完全除外脾破裂
	B.随时间推移血肿密度逐渐减低,是血肿内的血红蛋白和水容量减少所致
	C.平扫不易发现脾包膜下血肿
	D.脾撕裂伤时可见脾外形不完整或模糊,脾边缘裂缝
	E.脾破裂出血多积聚于左侧结肠旁
291、单项选择题
	男,45岁,右侧颌下扪及一包块约4个月,无痛,PE:包块质硬,表面欠光整,移动度较差,CT如图所示,最可能的诊断是()
	A.颌下腺神经源性肿瘤
	B.颌下腺腺瘤
	C.颌下腺淋巴瘤
	D.颌下腺腺癌
	E.颌下腺转移瘤
292、单项选择题
	女,78岁,突然意识障碍,结合CT图像,最可能的诊断是()
	A.脑挫裂伤
	B.脑转移瘤
	C.高血压性脑出血
	D.脑膜瘤
	E.脑脓肿
293、多项选择题 有关髋臼的解剖,正确的表述为()
	A.由髂骨、坐骨和耻骨的体部共同合成
	B.髂骨体构成髋臼的上2/5
	C.坐骨体构成髋臼的下2/5
	D.耻骨体构成髋臼的后下1/5
	E.耻骨体构成髋臼的前下1/5
294、单项选择题
	男,30岁,主诉右大腿肿块年余,逐渐增大,局部胀痛及压痛,根据图像表现,最可能的诊断是()
	A.脓肿
	B.血管瘤
	C.脂肪瘤
	D.横纹肌肉瘤
	E.神经纤维瘤
295、单项选择题 不属于海绵窦异常的CT征象是()
	A.两侧大小不对称
	B.两侧形状不对称
	C.海绵窦内局限性异常密度影
	D.海绵窦外缘稍外凸
	E.大小、形状都不对称
296、单项选择题 眼眶肿瘤最佳检查方法()
	A.平片
	B.CT
	C.MRI
	D.眼眶造影
	E.血管造影
297、单项选择题 CT诊断颈椎创伤,错误的为()
	A.寰枢椎脱位既要观察前脱位,还需注意旋转性脱位
	B.环椎骨折也称为Jefferson骨折,MRI显示优于CT
	C.颈椎横突出现骨折,并不一定表明椎动脉损伤
	D.CT在显示骨折的同时,尚可显示硬膜囊受压情况
	E.环椎前结节后缘与枢椎齿状突前缘距离成人>2mm、儿童>4mm则说明横韧带撕裂
298、单项选择题 关于颈部CT增强扫描技术,叙述错误的是()
	A.增强扫描协助对占位性病变的定位和定性
	B.选择层厚3~5mm,层间距3~5mm的薄层扫描
	C.对比剂用量60~80ml
	D.静脉注射的流速2.5~3ml/s
	E.延迟扫描时间50s
299、单项选择题 青年女性,低热、乏力、左腰痛3月余。CT示左肾影增大,左肾上极密度不均,有斑点样钙化,增强扫描左肾上极有多个囊腔,囊壁中等强度环形强化,邻近肾实质受压变薄,肾盏轻度扩大,应首先考虑左肾上极病变为()
	A.左肾上极肾盂癌
	B.左肾上极脓肿
	C.左肾上极错构瘤
	D.左肾上极囊肿
	E.左肾上极结核
300、单项选择题 较易引起肺癌的尘肺是()
	A.矽肺
	B.石棉肺
	C.煤尘肺
	D.铁矽肺
	E.有机尘肺