时间:2025-09-17 00:12:44
1、单项选择题 一般不引起左心房增大的是()
A.风湿性心脏病,左房室瓣狭窄
B.先天性心脏病,房间隔缺损
C.风湿性心脏病,左房室瓣关闭不全
D.心肌病
E.以上都不是
2、填空题 网膜囊脓肿最常见的病因为_______________和________________。
3、判断题 胰管、胆总管都受累的所谓“双管征”是诊断胰头癌较可靠的征象。
4、单项选择题 下述哪种恶性肿瘤的肺转移可以出现钙化()
A.肝癌
B.乳腺癌
C.成骨肉瘤
D.肾癌
E.黑色素瘤
5、单项选择题 关于胆囊癌的描述哪项正确()
A.直接侵犯以消化管最常见
B.多为鳞癌
C.多为浸润型
D.造影表现正常就可除外胆囊癌
E.胆囊壁增厚是本病特有影像
6、单项选择题 下列哪一项不是骨囊肿的特点()
A.好发股骨、肱骨的骨干或干骺端
B.横径大于骨骺板宽度
C.男多于女,11~20岁好发
D.常合并病理性骨折
E.长轴与骨干纵轴一致
7、单项选择题 老年患者,呼吸困难,胸痛,上腹部不适,呕吐。X线胸片示:左侧膈肌明显升高至第3~4前肋水平,心脏向右移位,透视膈肌有矛盾运动,最可能的诊断是()
A.膈疝
B.肺下积液
C.膈膨升
D.肺不张
E.膈下脓肿
8、单项选择题 下列哪项不属于肢端肥大症X线表现()
A.跟垫增厚(>23mm)
B.鼻窦过度发育,蝶鞍增大
C.四肢长骨及颜面骨粗厚、增大
D.末节指骨近端甲丛增大、变宽
E.颅骨增大,颅板增厚
9、单项选择题 农民肺的X线表现中,错误的是()
A.临床症状出现后相当长的时间才出现X线表现
B.早期肉芽肿病变显示为肺内弥散的颗粒状或小结节状影
C.患者脱离接触有害灰尘后肺部改变继续加重
D.农民肺患者的肺门阴影一般不增大
E.慢性期肺部主要表现为弥散性间质性纤维改变
10、配伍题 慢性支气管炎可出现()肺癌可出现()间质性肺水肿可出现()
A.支气管憩室征
B.支气管截断征
C.空气支气管征
D.支气管宽径征
E.支气管周围袖套征
11、判断题 鼻窦内含有气体,所以鼻窦内粘膜较容易显示。
12、多项选择题 于后前位胸片上可见到哪些正常软组织结构()
A.胸大肌
B.女性乳腺及乳头
C.胸锁乳突肌
D.锁骨上皮肤皱褶
E.伴随阴影
13、判断题 寰椎前结节后缘与枢椎齿状突前缘的距离成人大于4mm,儿童大于2mm则说明有横韧带的撕裂。
14、单项选择题 胶片上相邻两点间的密度差称为()
A.黑化度
B.X线对比度
C.胶片灰雾度
D.解像力
E.光学对比度
15、多项选择题 先天性肛门闭锁腹部倒立位摄片,主要目的是()
A.提供手术指征
B.观测直肠的气体
C.观察腹部胀气情况
D.观察肛门闭锁情况
E.测量直肠末端到肛门间的距离
16、单项选择题
男,65岁。走路时,不慎摔倒。查体:左下肢缩短,外旋50°畸形。
为明确诊断,首先应进行的检查为()
A.CT检查
B.核素骨扫描
C.X线检查
D.MRI检查
E.关节造影
17、单项选择题 类风湿关节炎早期病变主要在()
A.邻近软组织
B.骨组织
C.关节韧带
D.滑膜组织
E.关节软骨
18、问答题 肺真菌病主要有哪些影像学表现?
19、单项选择题 马德隆畸形是由于()
A.尺骨近端骨骺发育障碍
B.桡骨近端骨骺发育障碍
C.尺骨远端内侧骨骺发育障碍
D.桡骨远端骨骺内侧发育障碍
E.以上均不是
20、填空题 慢性化脓性中耳乳突炎病理上可分为_______、_________和_________。
21、单项选择题 横突骨折最常见的部位()
A.颈椎
B.胸椎
C.腰椎
D.颈胸椎
E.骶椎
22、单项选择题 充盈良好的胃CT像,胃的哪一部分最厚()
A.胃体前壁
B.胃体后壁
C.贲门区
D.胃窦部
E.胃底大弯侧
23、单项选择题 大剂量静脉尿路造影时,肾盏、肾盂、输尿管达到饱和程度的时间是注射开始后()
A.25~30分钟
B.6~10分钟
C.15~20分钟
D.11~14分钟
E.30~60分钟
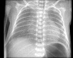
24、单项选择题
女,1天早产儿,呼吸困难、发绀,结合图像,最可能的诊断是()

A.呼吸窘迫综合征
B.新生儿肺炎
C.法洛四联征
D.新生儿支气管炎
E.肺不张
25、多项选择题 法洛四联征在胸部后前位片上的X线表现为()
A.心脏无明显增大
B.肺门缩小,肺血管纤细
C.心尖圆钝、上翘、心腰凹陷
D.肺血少者可能见到侧支循环
E.伴有右位主动脉弓则主动脉结在右侧
26、单项选择题
男,22岁,滑冰时摔倒右手撑地时受伤,结合CR片,最可能的诊断是()
A.柯莱斯骨折
B.蒙泰贾骨折
C.加莱阿齐骨折
D.桡骨远端骨折
E.反柯莱斯骨折
27、单项选择题 下列关于“软骨肉瘤”的描述中,错误的是()
A.原发性者,起源于残留的胚胎软骨
B.软组织肿块,可有钙化
C.继发性者,年龄较大
D.继发性者,起源于骨瘤
E.中心型者,少数可有骨膜反应
28、单项选择题
男,52岁,从事矿井工作32年,近几年出现气喘,呼吸困难,胸片如图,其最可能的诊断为()

A.双肺浸润性结核
B.双肺真菌感染
C.两肺弥漫性间质性肺炎
D.两肺弥漫性纤维化
E.矽肺
29、名词解释 颞下颌关节紊乱综合征
30、单项选择题 男性,34岁。反复咳脓痰,伴痰中带血,双下肺呼吸音增粗。下列诊断最可能是()
A.慢性支气管炎
B.气胸
C.支气管扩张
D.肺水肿
E.支气管哮喘