时间:2025-09-13 04:29:42


1、单项选择题 眼部超声检查的频率应选择()
A.2.5MHz
B.3.5MHz
C.5.0MHz
D.大于或等于7.5MHz
E.以上都不对
2、单项选择题 下列哪项描述可排除前置胎盘()
A.胎盘部分或全部掩盖子宫颈管内口
B.子宫颈内口距胎盘下缘距离>7cm
C.无痛性阴道出血
D.胎盘定位超声检查时间最好在孕20周以前,因>20周胎盘因胎儿掩盖显示不清
E.检查时无需膀胱充盈
3、单项选择题
患者,女性,29岁,右下腹持续性剧痛数小时,伴恶心、呕吐。PE:右下腹饱满,可扪及一压痛性包块,边界不清;WBC:18×10/L,尿HCG(Ⅲ),麦氏点压痛,反跳痛(+)。结合超声声像图,最可能的诊断为()
A.异位妊娠破裂
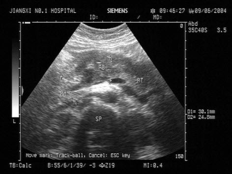
B.阑尾炎
C.输尿管结石
D.急性输卵管炎
E.肠梗阻
4、名词解释 动态聚焦
5、单项选择题 左心腔造影,从末梢静脉注入造影剂其原理是()
A.微气泡直径大于红细胞,进入右心再经肺循环入左心
B.微气泡较大(比红细胞直径大数倍)从腔静脉入右心再到左心
C.造影剂进入右心,经肺循环进入左心腔
D.微气泡直径大于10μm,经肺循环进入左心
E.微气泡密度明显大于血液
6、单项选择题
根据声像图表现,诊断是()
A.胸水
B.腹水
C.正常
D.肠梗阻
E.胆囊
7、单项选择题 以下何者不支持法洛四联征诊断()
A.紫绀
B.杵状指
C.P2亢进
D.胸骨左缘收缩期杂音
E.蹲踞现象
8、单项选择题
该切面未显示法洛四联症哪一症()

A.主动脉骑跨
B.室间隔缺损
C.肺动脉狭窄
D.右室肥厚
E.左心缩小
9、单项选择题 下列哪一项不是子宫肌瘤声像图表现()
A.子宫增大或出现局限性隆起
B.肌瘤结节一般呈圆形低回声区
C.子宫内膜移位与变形
D.宫腔内见无回声区
E.膀胱受压变形
10、单项选择题 子宫肌瘤变性与下面哪一项声像图表现最相关()
A.肌瘤直径<2cm
B.肌瘤较大,内见无回声区
C.肌瘤位置,如粘膜下肌瘤
D.单发肌瘤
E.多发肌瘤
11、问答题 腹主动脉异常USG表现有哪些?
12、单项选择题 下面哪一项乳腺病变或结构不伴有后方回声增强()
A.囊肿
B.脂肪小叶
C.扩张的导管
D.纤维腺瘤
E.脓肿
13、单项选择题 检查肺动脉瓣狭窄时,彩色多普勒血流显像的滤波(filter)应怎样调节()
A.用中等频率滤波,使血流显示充满肺动脉
B.不用滤波器,以免干扰血流信号
C.用低通滤波,使血流不失真
D.选用高通滤波,以减少、消除低速信号干扰
E.以上都不是
14、单项选择题 前列腺增生CDFI改变()
A.前列腺内血流丰富,可见增生结节旁有动脉血流环绕
B.前列腺内未见血流信号
C.前列腺内呈少血流改变
D.前列腺内可见丰富的静脉血流信号
E.以上都不是
15、单项选择题 女性,35岁,因发热、下腹疼痛二天就诊。体检:T38.9℃,HR94次/分,心肺(-)妇科检查示左附件区压痛明显,超声诊断为()
A.附件炎性包块
B.宫外孕
C.卵巢癌
D.子宫肌瘤
E.巧克力囊肿
16、单项选择题
男,63岁,因左侧腰部疼痛不适伴无痛血尿1月余就诊,B超显示左肾集合系统分离3.9cm,如图所示,最可能的诊断为()
A.左输尿管结石
B.左输尿管癌
C.左输尿管炎性狭窄
D.左输尿管畸形
E.左输尿管血块
17、单项选择题 哪种疾病可完全由超声检查发现()
A.肝肿瘤
B.肝脓肿
C.胆管梗阻
D.肝转移
E.肝炎
18、问答题 如何利用超声监测卵泡发育?
19、单项选择题 患者下肢水肿、心悸,该病例诊断最可能是()
A.心包积液
B.心包缩窄
C.心包肿瘤
D.室壁瘤
E.限制性心肌病
20、单项选择题 用哪种探头可提高轴向分辨力()
A.高频探头
B.低频探头
C.较大的探头
D.低阻尼探头
E.以上均不可
21、单项选择题 胎儿肛门闭锁,超声表现是()
A.单泡征
B.胎儿上腹部双泡征
C.近端小肠显著扩张
D.胎儿骨盆断面“双叶形”囊性肿物
E.食管成管状无回声区
22、单项选择题 前列腺癌好发于()
A.10%发生于周缘区,70%发生于移行区,20%发生于中央区
B.20%发生于周缘区,10%发生于移行区,70%发生于中央区
C.20%发生于周缘区,70%发生于移行区,10%发生于中央区
D.70%发生于周缘区,20%发生于移行区,10%发生于中央区
E.10%发生于周缘区,20%发生于移行区,70%发生于中央区
23、单项选择题 动脉导管位于()
A.主动脉弓与主肺动脉之间
B.主动脉降部与主肺动脉之间
C.主动脉降部与右肺动脉根部之间
D.主动脉降部与左肺动脉根部之间
E.头臂干与上腔静脉之间
24、问答题 正常中、晚期妊娠胎儿的声像图上可以观察到哪些结构?
25、单项选择题 肾柱肥大常混淆为肿瘤见于()
A.肾盏较小时如同残留的肾盏
B.肾盏较大时如同残留的输尿管
C.肾皮质延伸至肾包膜外
D.在肾皮质深入髓质环绕分隔肾锥体的部分异常
E.以上都是
26、单项选择题
某男,因左阴囊疼痛不适数日,B超检查声像图如下,根据彩色声像图及血流特征,最可能的诊断为()
A.睾丸肿瘤
B.睾丸结核
C.睾丸炎
D.睾丸扭转
E.附睾炎
27、单项选择题 为更好显示彩色多普勒血流信号并测速,不宜采用哪种频率探头()
A.颅内血管(经颅超声)采用2MHz~2.5MHz
B.成人心脏采用5MHz
C.表浅器官采用≥7MHz
D.成人腹部血管采用3.5MHz
E.腔内超声应采取≥5MHz
28、单项选择题
如图可诊断为()
A.小肝癌
B.肝转移癌
C.肝脓肿
D.多发肝血管瘤
E.肝囊肿
29、单项选择题
某患者阴囊部疼痛不适,超声声像图如下,最可能的诊断为()
A.附睾炎
B.睾丸炎
C.睾丸肿瘤
D.附睾结核
E.附睾肿瘤
30、单项选择题 大腿深部骨组织病变,探测深度达到15cm~18cm,应选用哪种频率的探头()
A.2.0MHz
B.3.5MHz
C.5.0MHz
D.7.5MHz
E.10.0MHz
31、单项选择题
该食管超声心动图箭头所示为()

A.左心耳血栓
B.左房黏液瘤
C.左房梳状肌
D.以上都不是
E.左房赘生物
32、单项选择题 正常肝静脉频谱特点()
A.单相
B.双相
C.三相
D.双变
E.复杂
33、单项选择题 若怀疑有主动脉瓣狭窄,为取得狭窄的高速湍流,取样容积应置于()
A.心尖部
B.左室流入道
C.左室二尖瓣瓣尖水平
D.主动脉瓣下
E.主动脉瓣上
34、单项选择题 中期妊娠正常胎儿心率是()
A.60~100次/分
B.100~120次/分
C.120~160次/分
D.160~240次/分
E.180~200次/分
35、单项选择题 超声诊断成熟卵泡的标准是()①卵泡表面无卵巢组织覆盖②卵泡长径≥20mm③卵泡张力高,壁薄而光滑④子宫直肠窝少量积液
A.①
B.①②
C.①②③
D.①②③④
E.①③
36、单项选择题 无回声见于()
A.胆汁
B.尿液
C.胸腹水及漏出液
D.羊水
E.以上都正确
37、单项选择题 应用壁滤波的目的是()
A.去除运动的组织(如血管壁)的低频多普勒频移
B.去除反向血流信号
C.去除运动的组织(如血管壁)的高频多普勒频移
D.去除高速血流的高速多普勒频移
E.测量血流
38、单项选择题 肝静脉血汇入下列何结构()
A.门静脉
B.肝
C.下腔静脉
D.胃静脉
E.上腔静脉
39、单项选择题 下列关于卵巢巧克力囊肿的描述,错误的是()
A.半数以上累及双侧卵巢
B.囊肿直径多>5cm
C.单发或多发囊肿
D.病理为黄体囊肿
E.囊肿常与邻近结构粘连
40、单项选择题
女性,29岁,停经28周,产前超声检查如图,最可能的诊断为()
A.胎儿畸形,脑积水
B.胎儿畸形,腹壁裂
C.胎儿畸形,室间隔缺损
D.胎儿畸形,无脑儿
E.胎儿畸形,露脑畸形
41、单项选择题 一般在妊娠多少周才能清楚显示胎头光环()
A.8周
B.8~9周
C.10周
D.11周
E.12周
42、单项选择题 电子扫描探头的种类包括()
A.线阵探头、扇形扫描探头、环阵扇扫探头
B.线阵探头、凸阵探头、相控阵探头
C.凸阵探头、旋转式扫描探头、相控阵探头
D.线阵探头、旋转式扫描探头、凸阵探头
E.相控阵探头、环阵扇扫探头、凸阵探头
43、单项选择题 下列哪种肾上腺疾病,超声检查最易诊断()
A.Cushing腺瘤
B.非功能性腺瘤
C.肾上腺转移癌
D.肾上腺囊肿
E.嗜铬细胞瘤
44、单项选择题 按传播速度从高到低排列下列介质,正确的是()
A.空气、脂肪、肌肉、骨
B.骨、脂肪、空气、肌肉
C.骨、肌肉、脂肪、空气
D.肌肉、空气、脂肪、骨
E.骨、空气、脂肪、肌肉
45、问答题 异位妊娠超声声像图表现?
46、单项选择题 下述哪项不是扩张型心肌病超声表现()
A.心腔明显扩大
B.收缩功能减退
C.舒张功能正常
D.室壁运动普遍减低
E.室壁收缩期增厚率减低
47、判断题 边缘性前置胎盘,USG见胎盘覆盖部分子宫颈内口。
48、单项选择题 正常成人妇女的乳房(不包括胸壁和肌肉)在超声断面图上,主要分为几部分()
A.3部分
B.4部分
C.5部分
D.6部分
E.7部分
49、判断题 USG对肾结核的诊断比较准确,还较容易发现无明显积水的输尿管结石。
50、单项选择题
患者体检超声见右肝一点状的强回声光斑,不伴声影,不沿肝管走行,如图所示,考虑为()
A.肝脓肿
B.肝结核
C.肝管结石
D.钙化灶
E.肝内胆管积气
51、单项选择题 颈动脉-海绵窦瘘USG的主要表现为()
A.眼上静脉扩张
B.用探头压迫眼球时搏动消失
C.眶脂体扩大
D.眼外肌肥厚
E.泪腺肿大
52、单项选择题 关于腮腺的解剖形态特点,错误的是()
A.形态不规则
B.大致呈三角形
C.导管开口于口腔
D.导管长3cm~6cm
E.导管宽1cm~2cm
53、单项选择题 当障碍物的直径大于1/2波长时,将会发生什么反应()
A.反射
B.折射
C.衍射
D.不反射
E.不折射
54、单项选择题 下列对超声诊断仪的维护和保养措施中,哪项是错误的()
A.防尘
B.防潮
C.自行拆卸仪器
D.防高温
E.减少震动
55、单项选择题 患者高年妇女,发热,右上腹疼痛2天,超声检查显示胆囊肿大,胆囊底部轮廓模糊,囊壁局部强回声线连续性中断,周围见局限性积液,胆囊腔内见多发结石及稀疏的粗斑点状非沉积性回声,最可能诊断为()
A.急性化脓性胆囊炎伴胆囊穿孔
B.慢性胆囊炎,急性发作
C.急性化脓性胆囊炎
D.急性单纯性胆囊炎
E.以上都不是
56、单项选择题 若振幅增大2倍,那么强度将如何改变()
A.增加4倍
B.减少一半
C.增大3倍
D.减少1/4
E.无变化
57、单项选择题 为安全起见大于3个月的胎儿除什么部位外不作定点的长时间辐射()
A.脑
B.眼
C.生殖系
D.心脏
E.四肢
58、单项选择题 下列哪一支血管不是右冠状动脉的分支()
A.右圆锥支
B.后降支
C.左回旋支
D.右室后支
E.右冠状动脉主干
59、单项选择题 鉴别肝外胆管结石或肿瘤性梗阻,下列哪项有利于结石诊断()
A.肝内外胆管的扩张
B.肝外胆管腔内见低回声团
C.扩张胆管突然截断
D.胆管腔内强回声团绕以无回声带
E.以上都不是
60、单项选择题 最常见的儿童肾实质性肿瘤是()
A.中胚层的肾肿瘤
B.Wilms瘤
C.神经母细胞瘤
D.肾癌
E.肾错构瘤
61、单项选择题 正常三尖瓣与二尖瓣血流多谱勒频谱有什么不同()
A.三尖瓣血流频谱呈负向,二尖瓣则呈正向
B.三尖瓣血流频谱缺乏收缩期部分
C.三尖瓣血流频谱幅度(速度)明显大于二尖瓣血流
D.三尖瓣血流频谱幅度(速度)小于二尖瓣
E.三尖瓣血流舒张早期速度大于二尖瓣
62、单项选择题 超声难以显示的乳腺癌为()
A.<3cm
B.<2cm
C.>2cm
D.<1cm
E.>3cm
63、单项选择题 超声检测肾脏时,病人通常取什么体位()①站立②侧卧③俯卧④仰卧
A.①②
B.②③
C.②③④
D.①②③④
E.①③④
64、问答题 超声可检出哪些胎儿先天性畸形?
65、单项选择题 下列哪项不是睾丸胚胎癌的声像图特征()
A.睾丸增大,内见肿块回声,正常睾丸组织受侵犯而缺损
B.肿块边界欠整齐
C.肿块内部可见到结节
D.肿块内部回声为均匀低回声
E.睾丸血流信号明显较健侧多
66、单项选择题 下列哪一项不是卵巢非赘生性囊肿()
A.滤泡囊肿
B.皮样囊肿
C.黄体囊肿
D.黄素囊肿
E.多囊卵巢
67、单项选择题 “早期胆囊癌”的诊断,应首选哪项检查()
A.CT
B.DSA
C.MRI
D.口服胆囊造影
E.US
68、单项选择题 反映心室舒张功能减低不包括哪项()
A.IVRT
B.EPSS
C.E峰流速
D.E/A
E.△D%
69、单项选择题 二次谐波成像增强超声造影效果的原理是()
A.增大微气泡的浓度
B.二次谐波的回声强度最大
C.谐振时造影剂的散射面积变小
D.只接收造影剂的散射面积变小
E.只接收造影剂的二次谐波回声
70、单项选择题 至妊娠几周,卵黄囊缩小并入脐带()
A.7周
B.8周
C.9周
D.10周
E.11周
71、单项选择题
该图表明为()

A.心内膜垫缺损部分型
B.心内膜垫缺损完全型
C.I孔型房间隔缺损
D.二尖瓣,三尖瓣关闭不全
E.上腔型房间隔缺损
72、多项选择题 灰阶断面图像的伪影(伪差)有()
A.混响
B.部分容积效应
C.旁瓣效应
D.折射声影
E.声速差异伪像
73、单项选择题 宫内死胎声像图征象是()①头颅光环变形②胎儿轮廓变形③胎心胎动消失④胎儿水肿
A.①②
B.③
C.①②③
D.①②③④
E.④
74、单项选择题 远区回声过低,声像图不清楚时,应调节下列哪一项()
A.增大检测深度
B.使用增益(TGC)补偿调节
C.减小增益
D.用变频探头扫查
E.调节监视器的显示
75、单项选择题 关于多普勒频移与角度的关系,下列描述中错误的是()
A.声束与血流方向夹角为0度时,可测得最大正向频移。
B.声束与血流方向夹角为60度时,可测得正向频移。
C.声束与血流方向夹角为90度时,可测得最佳频移。
D.声束与血流方向夹角为120度时,可测得负向频移。
E.声束与血流方向夹角为180度时,可测得最大负向频移
76、填空题 道格拉斯窝位于_________。
77、单项选择题
超声检查如图所示,该病例最可能诊断()
A.肾多囊性发育异常
B.肾肿瘤
C.肾囊肿
D.多囊肿
E.肾局限性积水
78、单项选择题
该食管超声心动图显示图像为()

A.房间隔缺损(上腔型)
B.房间隔缺损(下腔型)
C.房间隔缺损(中央型)
D.房间隔缺损(混合型)
E.冠状静脉窦扩张
79、单项选择题 典型的后方回声增强不常见于哪项含液性结构()
A.囊肿
B.新鲜的血肿
C.囊状扩张的肝内胆管
D.扩张的肾盂和输尿管
E.胸膜腔积液
80、单项选择题 腹膜后肿瘤不会出现的超声征象是()
A.输尿管受压扩张
B.腹主动脉迂曲
C.腹主动脉被包裹
D.肝总动脉受压抬高
E.胰腺被肿瘤顶向上方
81、问答题 前列腺增生的声像图表现有哪些?
82、单项选择题 膀胱内血块和膀胱肿瘤的最佳鉴别方法是()
A.变换体位后团块可否移动
B.用彩色和频谱多普勒检测有无血流
C.区别二者内部回声的特点
D.A+B
E.A+C
83、单项选择题 下列关于卵巢滤泡囊肿的描述,哪项不对()
A.单侧卵巢发病
B.囊壁菲薄
C.囊液水样密度
D.直径多>5cm
E.可自行消失
84、单项选择题 男性40岁,突发上腹疼痛伴腹胀,超声检查:胰腺弥漫性增大,胰腺实质回声减低,胰管不扩张,胃内潴留液,最可能的诊断()
A.急性肠炎
B.急性胃炎
C.急性胰腺炎
D.胰腺肿瘤
E.急性胆囊炎
85、单项选择题 用彩色多普勒血流成像技术检测手指末端小动脉,下列哪项调节是错误的()
A.用低的速度标尺
B.彩色图选用两色图
C.小的取样容积
D.低通滤波器
E.高通滤波器
86、单项选择题 关于经阴道超声检查方法学的描述,下述哪一项是错误的()
A.子宫肌瘤较大时,应同时进行经腹超声检查
B.卵巢肿瘤位置较高时,应同时进行经腹超声检查
C.经阴道超声检查常用于胎儿心脏畸形诊断
D.与经腹超声相比,常能清晰显示子宫内膜形态
E.检查前需排空膀胱
87、单项选择题 对病人只作横切扫查时,肝尾叶可被错认为是()
A.脾凹面
B.胰
C.右肾
D.胃
E.十二指肠
88、单项选择题 在保证获取必要的诊断资料前提下,采取措施错误的是()
A.尽可能采用最小辐射强度
B.辐照时间长短无所谓
C.用最短辐照时间
D.对早孕胚胎最好不做或少做超声检查
E.对3个月以上胎儿检查应控制在3--5分钟内
89、单项选择题 压电效应只有通过哪种材料才能表现出来()
A.金属材料
B.水晶不对称材料
C.天然存在的材料
D.塑料材料
E.合金材料
90、单项选择题
甲状腺肿大常见于下列哪些疾病及声像图表现()
①单纯性甲状腺肿大,轻度肿大,内回声均匀
②单纯性甲状腺肿大,中度以上肿大,内回声不均
③地方性甲状腺肿,不同程度肿大,早期内回声均质,晚期呈大小不等无回声
④地方性甲状腺肿,轻度肿大,内回声均匀
⑤毒性甲状腺肿,普遍性增大低回声,CDFI呈火海征,高速低阻;Vmax70~100cm/s
⑥毒性甲状腺肿,呈结节性增大中等回声,血供不丰富
⑦结节性甲状腺肿大,不对称不均匀增大,内有多个结节,无包膜,有液化呈无回声,CDFI内有丰富的血流信号
⑧结节性甲状腺肿大,对称性均匀增大,很少液化,CDFI内未见血流信号
A.②④⑥⑧
B.①③⑤⑦
C.①④⑤⑧
D.②③⑥⑦
E.④⑤⑥⑦
91、单项选择题 检查表浅器官选用下列哪个频率()
A.2.0~2.5MHz
B.2.5~3.0MHz
C.3.0~3.5MHz
D.3.5~5.0MHz
E.7.5~10.0MHz
92、单项选择题 孕8~9周时,胎盘的外形常呈()
A.半月形
B.长圆形
C.扁圆形
D.细长条形
E.菱形
93、单项选择题 能量多普勒在移植肾排异的声像图特点()
A.显示移植肾血管树丰富完整,肾皮质内小叶间动脉可显示
B.显示移植肾血管异常丰富,肾皮质内小叶间动脉显示异常清晰
C.移植肾内血流信号明显减少,血流断续呈星点状或斑块状
D.移植肾血管树显示完整,皮质内小叶间动脉显示不清晰
E.移植肾内血管信号丰富
94、单项选择题 早孕时,羊膜囊与什么间的空隙为胚外体腔()
A.羊膜
B.绒毛膜
C.底蜕膜
D.卵黄囊
E.包蜕膜
95、单项选择题 关于胰腺假性囊肿的叙述错误的是()
A.由胰腺周围积液组成
B.发病后4—6周形成
C.内壁为上皮组织
D.可合并感染
E.可合并有囊壁钙化
96、单项选择题
如图,最可能的诊断是()
A.软骨成长不全
B.致死性骨发育不全
C.窒息性胸廓发育不良
D.肢体屈曲综合征
E.无肢畸形
97、单项选择题
女性,25岁,停经47天,阴道不规则出血1周。尿妊娠试验阳性。结合超声图像,最可能的诊断为()
A.附件炎性包块
B.宫外孕
C.卵巢癌
D.子宫肌瘤
E.畸胎瘤
98、单项选择题 关于子宫内膜癌的描述,下列哪一项是错误的()
A.患者多为老年妇女
B.临床表现有绝经期后出血、阴道排液
C.声像图可见宫腔积液
D.声像图表现可与子宫肌瘤变性类似
E.常合并卵巢囊肿
99、单项选择题
图中所示肿瘤最有可能是哪部位的占位()
A.肝脏
B.腹膜
C.肠道
D.膈肌
E.胰腺
100、单项选择题 青年女性,乳腺超声发现边界光滑整齐,均匀的低回声()
A.乳腺囊肿
B.乳腺叶状囊性肉瘤
C.乳腺纤维瘤
D.乳腺囊性增生
E.乳腺髓样癌
101、单项选择题
女性,48岁,取环术后3天,述左下腹疼痛。B超检查如图,最可能的诊断为()
A.畸胎瘤
B.盆腔血肿
C.子宫浆膜下肌瘤
D.宫外孕
E.附件囊肿
102、问答题 纯性肾囊肿的声像图表现有哪些?
103、单项选择题
某患者收缩期三尖瓣口超声心动图如图所示,提示()

A.三尖瓣狭窄
B.三尖瓣关闭不全
C.房间隔缺损
D.正常声像图
E.室间隔缺损
104、单项选择题
如图,初步超声诊断为()

A.二尖瓣返流
B.三尖瓣返流
C.主动脉瓣返流
D.肺动脉瓣返流
E.二尖瓣狭窄
105、单项选择题 指出下列正常肢体静脉的多谱勒超声表现哪项是错误的()
A.中等大小以上的静脉,无论在休息和活动状态都有血流信号
B.静脉血流速度随呼吸运动而加快或减慢
C.乏氏(Valsalva)反应阳性
D.人工挤压远端肢体后血流信号减弱
E.呈单向回心血流
106、单项选择题 关于声场的特性,不正确的是()
A.声束有一个大的主瓣和一些小的旁瓣组成
B.超声频率越高,近场越长
C.超声成像主要依靠探头发射的主瓣
D.声场可分近场、中场和远场
E.声束的近场集中,远场分散
107、单项选择题 死胎滞留宫腔内超过5周,其潜在危险是()
A.血纤维蛋白原减少
B.巨细胞包涵体病毒增多
C.成红细胞增多症
D.风疹病毒感染
E.以上都不是
108、单项选择题 镜面反射发生在下面哪种情况下()
A.频率的波长太低
B.引起反射的物质太小
C.反射物与波长相比太大
D.入射角与反射角至少相差30度
E.以上都不是
109、单项选择题
男,47岁,上腹部疼痛不适、腹胀,皮肤巩膜黄疸,进行性加重,皮肤搔痒。声像图如图所示,最可能的诊断为()
A.肝癌
B.肝门部淋巴结肿大
C.肝门部胆管癌
D.肝门部胆管胆汁淤积
E.肝门部转移性癌
110、单项选择题
男性,32岁,超声示睾丸内可探及多个结节状低回声光团,边界清,CDFI:血流信号丰富。如图所示,考虑为()
A.睾丸脓肿
B.精原细胞瘤
C.睾丸炎
D.睾丸结核
E.睾丸恶性畸胎瘤
111、单项选择题 胡桃夹综合征是()
A.肠系膜下静脉受压迫综合征
B.右肾静脉受压迫综合征
C.左肾静脉受压迫综合征
D.肠系膜上静脉受压迫综合征
E.下腔静脉受压迫综合征
112、单项选择题 为了最敏感地显示乳房肿块内的彩色血流信号并测速,首选的探头频率为()
A.2.0MHz
B.2.5MHz
C.3.0MHz
D.5.0MHz
E.7.5MHz
113、单项选择题 囊性甲状腺肿(Graves’病)的超声表现是()
114、单项选择题 腮腺的超声检查方法,最适宜的是()
A.采用7~10MHz频率探头,多切面进行检查
B.理发后,多切面进行检查
C.空腹进行多切面检查
D.主要观察腮腺的血管及神经分布
E.进行纵切面检查
115、单项选择题
该图基线下方频谱速度为4.2米/秒,提示肺动脉高压程度为()

A.轻度
B.中度
C.重度
D.轻微
E.无
116、单项选择题
患者全身骨关节疼痛,有肾结石病史。行超声检查甲状腺,如图。最可能的诊断为()
A.甲状腺腺瘤
B.甲状腺癌
C.甲状旁腺腺瘤
D.甲状腺囊肿
E.以上均不是
117、单项选择题
该病例最有可能诊断是()

A.左房黏液瘤
B.左房巨大血栓
C.左房恶性肿瘤
D.左房转移瘤
E.以上都不是
118、单项选择题 成年女性乳房的主要构成包括()
A.皮肤、皮下脂肪及韧带
B.脂肪、腺叶及小叶
C.皮肤、皮下脂肪及腺体
D.皮肤、皮下脂肪及肌肉
E.腺叶、腺泡及脂肪
119、单项选择题 下列卵巢子宫内膜异位囊肿声像图分型,哪一项是错误的()
A.单纯囊肿型
B.多囊型
C.实性团块型
D.囊内团块型
E.囊内均匀点状回声型
120、单项选择题 一患者大腿、小腿和踝部收缩压与上肢收缩压相比明显降低。但整个下肢血压相差不大,此时应进行的检查是()
A.整个下肢的多普勒显像
B.髂血管的多普勒显像
C.运动试验
D.颈动脉的多普勒显像
E.腘动脉多普勒显像
121、问答题 简述多普勒超声心动图?
122、单项选择题 经眼睑进行眼部二维超声检查,最佳探头频率是()
A.3.0MHz
B.3.5MHz
C.4.0MHz
D.5.0MHz
E.7.5MHz
123、单项选择题 超声引导穿刺时导致针干显示不清的原因是()
A.侧方声影
B.部分容积效应
C.内部混响
D.镜面伪像
E.声速失真
124、单项选择题 门脉海绵样变的原因()①门脉高压②门脉血栓③门脉癌栓④门脉闭塞
A.①
B.②③
C.①②③④
D.④
E.①②③
125、单项选择题 胎儿宫内生长迟缓者宫内总容量则()
A.不变
B.减少
C.增加
D.与双顶径成正比
E.宫高与孕周相符
126、单项选择题 前列腺增生较少发生的部位是()
A.左、右侧叶
B.内腺
C.中叶
D.后叶
E.前叶
127、单项选择题 从移动的发射体获得的多普勒频移()
A.当多普勒入射角接近0°时最大
B.是发射和接收频率之和
C.多普勒角度为90°时最强
D.多普勒角度小于90°时为负向频移
E.是频率的平方根
128、单项选择题 M型超声的特点哪项是错误的()
A.单声束取样获得界面回声
B.Y轴代表界面深浅
C.X轴可另加时基扫描线
D.可用于心脏功能的测量计算
E.也可同时用于Z轴上显示的回波
129、单项选择题
女,24岁,人流术1个月后阴道不规则出血。根据超声所示,应考虑为()
A.宫内残留
B.葡萄胎
C.绒癌
D.早孕
E.子宫肌瘤
130、单项选择题
患者,发热,颈部及腹股沟可触及包块。清洁灌肠后,行中腹部超声检查,声像图表现如图,最可能的诊断是()
A.淋巴瘤
B.胰头癌
C.结肠癌
D.腹腔结核
E.腹膜后肿瘤
131、单项选择题 关于眼球赤道部扫查的描述,正确的是()
A.眼球尽量向上看,探头与眼球赤道平行扫查,可检出晶体、角膜、玻璃体腔、球壁、球后脂肪
B.眼球尽量向下看,探头与眼球赤道平行扫查,可检出玻璃体腔、球壁、球后脂肪
C.眼球尽量向前看,探头与眼球赤道平行扫查,仅可检出玻璃体腔
D.眼球尽量向下看,探头与眼球赤道平行扫查,仅可检出玻璃体腔
E.以上各项均是
132、单项选择题 能量多普勒的优点是()
A.帧频更高
B.对微弱的多普勒信号更敏感
C.计算流速更准确
D.计算流量更准确
E.混叠
133、单项选择题 胎儿宫内儿生长迟缓的因素有哪几方面()①母亲②胎儿③子宫④胎盘
A.①
B.①②
C.①②③
D.①②③④
E.②③④
134、单项选择题 超声用于骨折的主要目的是()
A.辅助诊断骨折,指导手法复位
B.鉴别血肿与软组织水肿
C.复杂骨折的实质性器官的排除性检查
D.评价骨折延迟愈合和骨不连接的原因
E.以上都是
135、单项选择题
男28岁,胸部疼痛1周余,神清,心律齐,超声心动图如下,根据图片应提示()

A.单心室
B.心内膜垫缺损
C.三尖瓣上移
D.三尖瓣下移
E.三尖瓣狭窄
136、单项选择题 绝经后子宫内膜正常厚度是()
A.0.1cm~0.2cm
B.0.3cm~0.5cm
C.0.6cm~0.8cm
D.0.8cm~1.0cm
E.1.0cm~2.0cm
137、单项选择题
图中脑室内高回声区域为()

A.室管膜下出血
B.脉络丛
C.肿瘤
D.脑室出血
E.脑室扩张
138、单项选择题 继发孔型房间隔缺损在二维超声检查时有什么所见()。
A.显示房间隔最位处(房、室间隔连接处)缺损
B.显示左心室扩大
C.显示房间隔最上部(近心房顶部处)
D.显示室间隔上移缺损
E.显示房间隔央部缺损
139、单项选择题 宫腔内环状强回声,后伴彗星尾征,应考虑是()
A.子宫内膜过度增生
B.子宫内膜息肉
C.子宫肌瘤钙化
D.宫内节育器
E.以上都不是
140、单项选择题 哪一类扫查可以显示以上肾脏图形()
A.横向扫查
B.经肝纵向扫查
C.肋缘下斜行扫查
D.背部纵向扫查
E.经侧腰部冠状扫查
141、单项选择题 呼吸对上腔静脉血流的多谱勒频谱有什么影响()
A.呼吸时使血流频谱幅度都会明显增大
B.吸气时使频谱幅度降低,呼气时使频谱幅度增大
C.呼吸时对血流频谱都无影响
D.呼吸时使血流频谱幅度都明显降低
E.吸气时使频谱幅度(速度)增大,呼气时减低
142、单项选择题
男,有高血压病史,腰部触及包块,超声检查如图所示,最可能的诊断是()
A.肾重度积水
B.多发性肾囊肿
C.多囊肾
D.肾多囊性发育异常
E.肾脓肿
143、单项选择题 彩色多普勒成像时不影响帧频的因素是()
A.角度大小
B.深度
C.探头频率
D.滤波器
E.脉冲重复频率
144、单项选择题 连续式多谱勒的优势在于()
A.距离选通
B.单探头发射和接收超声
C.存在明显尼奎斯特极限
D.可检测高速射流
E.可确定血流深度
145、单项选择题
男,62岁,直肠肿瘤术后半年。结合超声声像图,诊断为()
A.肝血管瘤
B.肝囊肿
C.结节性肝硬化
D.转移性肝癌
E.肝脓肿
146、单项选择题 心上型的完全型肺静脉异常回流,二维超声检测所见()
A.显示四条肺静脉分别回流到冠状静脉窦
B.在左房后上方可显示肺总静脉回流入上腔静脉
C.肺静脉回流到下腔静脉
D.显示肺静脉直接回流到右房
E.在右房后方显示四支肺静脉回流到右冠状静脉
147、单项选择题 B超探及胎儿臀部实性肿物,内见钙化区后伴声影,考虑是()
A.骶尾实性畸胎瘤
B.胎粪
C.脑膨出
D.输尿管肾盂梗阻
E.脊柱裂
148、单项选择题 绝经后妇女超声测量子宫内膜厚度正常值是()
A.子宫内膜呈线状或厚度≤4mm
B.子宫内膜厚度≤6mm
C.子宫内膜厚度≤8mm
D.子宫内膜厚度≤10mm
E.子宫内膜厚度≤12mm
149、单项选择题 女性内生殖器包括()①阴道②子宫③输卵管④卵巢
A.①
B.①②
C.①②③
D.①②③④
E.②③
150、单项选择题 肾肿瘤CDFI特点()①无血流型②丰富血流型③星点状血流型④少血流型⑤抱球型
A.①
B.②③④⑤
C.②⑤
D.③④
E.①②③④⑤
151、单项选择题 腮腺囊肿的超声表现是()
A.形态规整,多呈圆形或多边形
B.轮廓边界完整,呈锯齿状
C.内呈不均质混合回声
D.透声性欠佳,后方轻度衰减
E.边界完整,内为无回声,后方回声增强
152、单项选择题
超声检查如图所示,该病例最可能诊断()
A.肥大肾柱
B.肾脏局灶性炎症
C.肾脏肿瘤
D.肾脏错构瘤
E.肾脏脂肪瘤
153、单项选择题 由于瓣膜的先天畸形,二维超声显示和测量出功能性右心室、房化右心室及固有右心房,这是什么疾病()
A.三尖瓣下移畸形
B.三尖瓣先天裂加赘生物
C.三尖瓣裂
D.三尖瓣一个瓣叶缺如
E.三尖瓣闭锁
154、单项选择题
女,24岁,已婚未育,体检时B超检查,如图所示,最可能的诊断为()
A.右附件实质性包块
B.左附件实质性包块
C.子宫肌瘤
D.双子宫
E.纵隔子宫
155、填空题 心包积液USG表现当积液量在100ml以下时,无回声区限于_____________,无回声区最大内径<____mm;积液量在100~500ml时,无回声区可扩展到__________________,无回声区最大内径<____mm;当积液量>500ml,______________均为无回声区包绕。
156、单项选择题 关于声场的特性,正确的是()
A.近场长度与探头半径和频率成正比
B.近场横向分辨率高于远场
C.近场声束呈喇叭形
D.近场横断面上能量分布基本均匀
E.远场声束直径小于近场
157、单项选择题 女性,白细胞、中性粒细胞增高,下腹压痛,白带增多,超声检查见盆腔囊性肿块。最可能的诊断为()
A.宫颈糜烂
B.盆腔脓肿
C.结核性盆腔炎
D.慢性盆腔炎
E.盆腔肿瘤
158、单项选择题 对二维灰阶图像进行彩色编码处理,是()
A.B型超声
B.伪彩显示
C.彩色多普勒
D.彩色能量图
E.组织能量图
159、单项选择题 下列组织对传入的超声障碍最小的是()
A.肌肉
B.脂肪
C.骨
D.血液
E.气体
160、单项选择题
某患者五日前阴囊碰伤,现感右侧阴囊不适,超声声像图如下,最可能的诊断为()
A.睾丸血肿
B.精原细胞瘤
C.睾丸炎
D.睾丸扭转
E.睾丸脓肿
161、单项选择题
该病例最可能的诊断()

A.主动脉窦瘤
B.室间隔缺损
C.右室流出道狭窄
D.室间隔膜部瘤并破裂
E.以上都不是
162、单项选择题
甲状腺腺瘤的超声特点为()
①肿瘤单发,圆形,边界清,有包膜,周边有晕环
②肿瘤多发,圆形,边界欠清,有包膜
③肿瘤呈均匀低或中等回声,后方有侧影,无声衰减
④肿瘤呈不均匀中等以上回声,后方声衰减
⑤CDFI:肿瘤周边有血管绕行,患侧甲状腺上动脉Vmax增高
⑥CDFI:肿瘤内部有较丰富动、静脉血流信号,患侧甲状腺上动脉Vmax减低
A.①③⑤
B.②④⑥
C.①④⑥
D.②③⑤
E.①②④
163、单项选择题 约孕几周时能辨清胎儿肾脏内部结构()
A.12周
B.16周
C.20周
D.24周
E.14周
164、单项选择题 中晚期妊娠无痛性阴道出血的最常见的原因是()
A.创伤
B.前置胎盘
C.胎盘早剥
D.异位妊娠
E.子宫收缩
165、单项选择题 肝门中部较强回声由下列哪部分组织引起()
A.血管
B.淋巴结
C.胆管结构
D.神经
E.韧带
166、单项选择题 选择下列之一来完成组织衰减的补偿()
A.边缘增强作用
B.时间增益补偿(TGC)功能
C.显示类型
D.发射器
E.耦合剂
167、填空题 污染物是指()。
168、单项选择题 中年女性,突发上腹疼痛,伴恶心、呕吐,超声显示胆囊多发结石,胰腺肿大,轮廓不清,回声减低,周围见少量液性暗区,最可能的诊断是()
A.急性胰腺炎
B.慢性胰腺炎
C.急性胃炎
D.急性胆囊炎
E.急性胆管炎
169、单项选择题 彩超技术中,MTI的主要作用是()
A.高速数据处理
B.滤除室壁运动的强回声信号
C.调节分层增益
D.数模转换
E.彩色编码
170、单项选择题 超声可以显示的骨结构是()①骨皮质②骨髓③骨膜④软骨组织
A.①
B.①②
C.①②③
D.①④
E.①②③④
171、判断题 肾积水是一个功能性而非解剖上的术语。
172、单项选择题 频率加倍则波长是()
A.增大4倍
B.增大2倍
C.减半
D.与波长无关
E.增大1倍
173、单项选择题
多普勒超声技术可分为()
①脉冲多普勒
②彩色多普勒
③连续多普勒
④频谱多普勒
A.①②
B.②④
C.①②③
D.①②③④
E.①③
174、单项选择题 关于慢性胰腺炎的叙述中错误的是()
A.与酗酒有关
B.主胰管可扩张
C.可形成假性囊肿
D.胰腺呈水肿样低回声
E.可急性发作
175、单项选择题 子宫内膜异位症的临床表现有()①月经失调②痛经③不孕症④大便坠胀
A.①②
B.①②③
C.①②③④
D.②
E.②③④
176、单项选择题 一动脉导管未闭患者,血压为130/80mmHg,频谱法测得导管口舒张期最大流速为3.3m/s,估计此患者肺动脉舒张压为()
A.无肺动脉高压
B.轻度肺动脉高压
C.中度肺动脉高压
D.重度肺动脉高压
E.肺动脉压大于主动脉压
177、单项选择题
图示5所指部位()
A.脾静脉
B.腹主动脉
C.胰头
D.下腔静脉
E.肠系膜上静脉
178、单项选择题
女性,16岁,周期性下腹疼痛伴排尿困难。月经未来潮。超声检查见图,最可能的诊断是()
A.处女膜闭锁
B.子宫破裂
C.异位妊娠
D.宫颈囊肿
E.子宫肌瘤
179、单项选择题 主动脉瓣血流速度加快不见于下列哪项()
A.主动脉瓣狭窄
B.主动脉瓣关闭不全
C.甲状腺功能亢进
D.左心衰竭
E.二尖瓣关闭不全
180、单项选择题 经腹壁超声检查女性盆腔的优点是()①不受年龄限制,对小女孩及未婚者更为适用②能清晰显示子宫、卵巢较大肿物及与邻近脏器的关系③能清晰显示盆腔较大肿块并判断来源④早期发现子宫腔内膜小病变
A.①
B.①②
C.①②③
D.①②③④
E.①③④
181、问答题 前列腺癌的声像图表现有哪些?
182、单项选择题 发生在下列哪一层的子宫肌瘤最可能带蒂()①肌层②浆膜下③粘膜下④平滑肌肉瘤
A.②③
B.①④
C.①②③
D.②③④
E.②
183、单项选择题 组织内的声衰减程度的一般规律下列哪项是错误的()
A.血液较肝脏声衰减小
B.肝脾比骨组织衰减程度大
C.液体内含蛋白成分的声衰减增加
D.肌肉组织比肌腱衰减小
E.组织内含胶原和钙质越多,声衰减越大
184、单项选择题 超声能检出阴道哪一部位肿瘤()
A.上1/3
B.中1/3
C.下1/3
D.中下部
E.以上都是
185、单项选择题 声强的准确定义()
A.超声换能器发射脉冲超声,其发出的最大时间峰值
B.描述超声能量大小的一种物理量,即超声束在单位时间通过单位横截面积的超声能量
C.在脉冲重复频率的最长间隔时间内平均声强
D.超声波穿过组织时的强度
E.超声的频率
186、单项选择题 下列哪项不符合子宫内膜异位症()
A.随月经周期变化
B.发生于子宫肌层称子宫肌腺症
C.发生于卵巢称巧克力囊肿
D.良性疾病,不发生远处转移和种植
E.可种植于盆腔
187、单项选择题 股骨长径与腹围比率正常值是()
A.20±2
B.22±2
C.26±2
D.>28
E.18±2
188、单项选择题 将人体组织、体液回声按其强度由强到弱排列,哪一项不正确()
A.肾窦(肾中央区)>胰腺
B.肝脏>脾脏>肾皮质
C.肾皮质>皮下脂肪>肾髓质
D.胰腺>肝脾
E.胆汁、尿液>血液
189、单项选择题 肝破裂分为()
A.真性、假性破裂2类
B.包膜下血肿、肝中央破裂2类
C.包膜下血肿、肝中央破裂、真性肝破裂3类
D.包膜下血肿、肝中央破裂、真性、假性肝破裂4类
E.肝中央破裂1类
190、单项选择题 肝脏的含液性病变在声像图上表现为:Ⅰ—边界清晰Ⅱ—内部呈无回声或有细弱光点Ⅲ—其后壁和后方回声呈增强效应()
A.Ⅰ,Ⅱ
B.Ⅱ
C.Ⅰ,Ⅲ
D.Ⅰ
E.Ⅰ,Ⅱ,Ⅲ
191、单项选择题
患者,女,35岁,有急性胰腺炎病史,现感上腹不适。结合中上腹超声声像图表现,诊断是()
A.胰腺占位并胰管扩张
B.急性胰腺炎
C.慢性胰腺炎并胰管结石
D.胆总管结石
E.胰腺癌
192、单项选择题 在急性病毒性肝炎早期,病人的肝实质显示为()
A.回声不均
B.回声增强
C.低于正常
D.回声无改变
E.肝实质结节回声
193、单项选择题 关于肺动脉瓣狭窄,下列哪项超声检查不对()
A.肺动脉瓣增厚
B.开放受限
C.肺动脉内高速射流
D.可伴有窄后扩张
E.可导致肺动脉高压
194、单项选择题
盆腔超声检查如图,最可能的诊断是()
A.幼稚子宫
B.双子宫
C.双角子宫
D.畸胎瘤
E.正常声像图
195、单项选择题
患者,右下腹压痛反跳痛。结合超声声像图,最可能的诊断是()
A.肠梗阻
B.结肠癌
C.正常阑尾
D.阑尾炎
E.肠穿孔
196、单项选择题 急性胆囊炎可伴有()①右上腹痛②Murphy征阳性③结石嵌顿于胆囊管④发热及白细胞升高
A.①
B.①②
C.①②③
D.②④
E.以上各项均是
197、单项选择题 高强度聚焦超声还可称为()
A.体外聚焦高温疗法
B.聚焦超声外科
C.超声聚焦刀
D.超声切割
E.以上各项均是
198、单项选择题
图为胃内超声所见胃各层表现,自内向外第一层为()
A.粘膜
B.粘膜下层
C.固有肌层
D.浆膜层
E.浆膜下层
199、单项选择题 下列关于囊性肿物的描述,错误的是()
A.无回声性肿物
B.壁薄而光滑
C.后壁回声清晰而锐利
D.具有后方声影
E.内部无多普勒血流信号
200、单项选择题 上腔静脉血流的多谱勒频谱不具有下述哪项特点()
A.频谱是连续起伏波型
B.频谱幅度不受呼吸影响
C.深吸气时血流速度增块
D.从胸骨上窝检查为负向频谱
E.深呼吸时血流速度减慢
201、单项选择题 关于卵巢浆液性囊腺癌,下列哪一项是错误的()
A.成人最常见的卵巢恶性肿瘤
B.肿瘤生长很快,常伴出血坏死
C.多为部分囊性,部分实性
D.经阴道彩色多普勒血流显像,乳头内可显示较丰富血流
E.90%为单侧性
202、单项选择题 以下哪项不符合前列腺恶性肿物声像图改变()
A.局限性高回声
B.腺体普遍性增大
C.局限性低回声
D.不均匀回声和边缘不规则
E.可呈多发性
203、单项选择题 绒毛膜癌可转移到下列哪些部位()
A.肺
B.脑
C.肝
D.肾
E.以上全部
204、单项选择题 角度对超声多谱勒的影响,下列哪项不对()
A.速度矢量与超声夹角影响流速的检测
B.角度增大时,频谱振幅被压缩
C.当角度为零时,频谱无法检测
D.检测时应选择合适部位以减小角度对测量的影响
E.血流量测定,角度造成6%的误差是临床所允许的
205、单项选择题
女,42岁,反复上腹疼痛不适多年,加重3天。声像图如图所示,最可能的诊断为()
A.胆囊泥沙样结石
B.胆囊蛔虫
C.胆囊癌
D.胆囊息肉
E.胆汁淤积
206、单项选择题 下列选项除哪一项外,均为融合肾()
A.马蹄肾
B.S型肾
C.同侧融合肾
D.重复肾
E.对侧融合肾
207、填空题 正常胎儿心血管超声表现为:____________________、_____________________、______________________、_____________________和____________________________。
208、单项选择题 经胸骨上窝不可以检查哪种心血管结构()
A.主动脉
B.上腔静脉
C.降主动脉
D.右肺动脉
E.下腔静脉
209、单项选择题 探头的维护和保养措施中,不正确的是()
A.避免探头撞击、落地
B.用酒精擦拭清洁探头
C.探头消毒时不可采用高温蒸煮
D.探头电缆线避免用力牵拉、扭曲
E.禁用液体石蜡做耦合剂
210、单项选择题 超声探头的核心是压电晶片,其作用是()
A.能将电能转换为机械能,亦能将机械能转换为电能
B.能将电能转换为机械能,但不能将机械能转换为电能
C.不能将电能转换为机械能,但能将机械能转换为电能
D.不能将电能转换为机械能,亦不能将机械能转换为电能
E.以上都不对
211、单项选择题 慢性淋巴性甲状腺炎(桥本氏病)的超声声像图表现是()
A.甲状腺峡部明显增厚,回声低,血流丰富
B.甲状腺正常大小,回声低,血流丰富
C.甲状腺正常大小,回声低,分布均匀,血流不丰富
D.甲状腺轻度肿大,回声低,分布不均匀,血流不丰富
E.甲状腺轻度肿大,回声强,分布不均匀,血流不丰富
212、单项选择题
患者男56岁,上腹部不适1年余,B超检查如图所示,根据超声声像图,诊断为()
A.胆囊结石
B.胆囊息肉
C.胆囊癌
D.胆囊腺瘤
E.胆囊腺肌瘤
213、单项选择题
女,51岁,乏力,右上腹痛半个月。结合超声声像图,诊断为()
A.肝癌
B.局限性脂肪肝
C.肝包虫病
D.肝囊肿
E.肝脓肿
214、单项选择题
某患者因血尿就诊,下腹部声像图如图,根据图中表现及所标志的体位,最可能的超声诊断为()
A.前列腺增生并钙化
B.膀胱结石
C.膀胱癌
D.前列腺癌
E.膀胱血块
215、单项选择题 关于界面反射的描述,正确的是()
A.第二种介质的声阻抗大小决定反射声能的大小
B.反射角大于入射角
C.折射角小于入射角
D.折射的产生是入射角过小的缘故
E.声强反射系数为零时,超声将全部透射过界面
216、单项选择题 正常肾脏在以下哪种情况时可出现肾盂轻度积水()
A.大量饮水
B.膀胱过度充盈
C.妊娠期
D.药物影响
E.以上均是
217、单项选择题 前列腺囊肿的超声表现()
A.前列腺内圆形、椭圆形无回声,边界光滑清晰,后方声加强
B.前列腺内圆形、椭圆形增强回声,后方声衰减
C.前列腺内形态不规则无回声,边界模糊不清
D.前列腺内圆形、椭圆形低回声,向膀胱内突起
E.以上都不是
218、单项选择题 长骨骨折的声像图特点是()①骨皮质连续中断②骨皮质错位、分离③骨膜掀起、下方呈无回声④骨质破坏
A.①
B.①②
C.①②③
D.①②④
E.以上各项均是
219、单项选择题 室间隔前2/3部分由下列哪支冠脉供血()
A.左旋支
B.右主干支
C.右后降支
D.左前降支
E.对角支
220、单项选择题 视网膜母细胞瘤常见于()
A.婴幼儿时期的肿瘤
B.青年时期的肿瘤
C.成年时期的肿瘤
D.老年时期的肿瘤
E.以上都对
221、单项选择题 妊娠囊的回声是哪种结构的回声()
A.胚胎绒毛膜
B.壁蜕膜
C.羊膜囊
D.卵黄囊
E.血块
222、单项选择题
女性,43岁,因月经量多,经期时间长,月经周期短就诊。体检:子宫体积大,表面不平整。结合超声图像,最可能的诊断为()
A.子宫内膜癌
B.宫颈癌
C.多发性子宫肌瘤
D.葡萄胎
E.子宫腺肌瘤
223、单项选择题 卵巢黏液性囊腺瘤声像图表现,不正确的是()
A.囊壁均匀光整
B.囊壁边界不清晰
C.无回声区内有细小点状回声
D.少数有乳头状物
E.直径多在10cm以上
224、单项选择题 孕8个月,无痛性阴道流血,首先应考虑()
A.输卵管妊娠并出血
B.前置胎盘
C.胎盘早剥
D.葡萄胎
E.先兆流产
225、单项选择题 脉络膜黑色素瘤的超声声像图表现是()
A.半圆形或蘑菇形实性肿物自眼球壁突入玻璃体腔
B.肿物前部回声密集明亮,向后渐衰减
C.肿物局部眼球壁较周围正常区回声低下
D.继发视网膜脱离
E.以上都对
226、单项选择题
图为胎儿鼻唇区显像,“+”处标出的为()
A.鼻唇沟
B.伪像
C.右侧鼻孔
D.唇裂
E.以上都不是
227、问答题 子宫腺肌症的声像图表现有哪些?
228、单项选择题 下列子宫肌瘤病理特点和声像图的表现,哪一项是错误的()
A.肌瘤由平滑肌与纤维结缔组织交叉组成
B.肌瘤周围有被压缩的肌纤维所组成的假包膜
C.假包膜与肌瘤间有疏松的结缔组织
D.肌瘤变性时,声像图可为圆形无回声区
E.肌瘤结节多呈圆形无回声区
229、单项选择题 超声可以显示最小多少厘米的甲状腺结节()
A.甲状腺内所有结节
B.甲状腺内>1cm结节
C.甲状腺内<0.5cm结节超声无法显示
D.甲状腺内>0.2cm结节超声均可显示
E.以上均不是
230、单项选择题 以下选项中,哪项检查对诊断“眼底肿瘤”最好()
A.超声或眼底镜
B.MRI
C.血管造影
D.CT
E.眼眶正侧位平片
231、单项选择题 一患者心脏检查数据如下:SV86ml,EF0.61,FS30%,E峰流速60cm/s,A峰流速112cm/s,DTE200ms,IVRT144ms,据此,你初步判定该患者心功能属于()
A.心脏收缩和舒张功能正常
B.心脏收缩功能正常
C.心脏收缩功能异常
D.心脏舒张功能正常
E.心脏舒张功能异常
232、单项选择题 患者于肝右前叶下段与左内叶交界处发现低回声不均匀实性肿块,边缘欠清,其内见多个强回声团伴声影,胆囊腔内无回声区消失,最可能诊断为()
A.胆囊癌实块型
B.肝细胞肝癌
C.炎性假瘤
D.胆管细胞肝癌
E.肝腺瘤
233、单项选择题 女性,24岁,葡萄胎刮宫术3个月,血β-HCG121U/L。对该病例病情判断,下列哪项是错误的()
A.再次妊娠
B.葡萄组织宫内残留
C.绒毛膜癌
D.侵蚀性葡萄胎
E.术后血β-HCG正常下降过程
234、单项选择题 以下哪项不是正常膀胱腔内常见的伪像()
A.肠气旁瓣伪像
B.腹壁混响伪像
C.巴切片厚度伪像
D.镜面伪像
E.部分容积效应
235、单项选择题 关于卵巢囊性畸胎瘤,下列哪一项是错误的()
A.可产生声影
B.也称为皮样囊肿
C.最常见于青年女性
D.脂肪层浮在液体上方,可见脂液平面
E.经阴道彩色多普勒血流显像囊壁常显示丰富低阻血流
236、单项选择题 人体中声衰减高并可能伴有声影的组织结构,不包括()
A.骨骼表面
B.含气的肺组织
C.胆结石
D.陈旧瘢痕组织
E.肝、脾包膜
237、单项选择题 目前了解胎儿状态的影像诊断学方法首选的是()
A.腹部平片
B.磁共振检查
C.腹部透视
D.B超检查
E.CT检查
238、单项选择题 胎儿腹裂的临床特点与声像图表现,下列哪项是错误的()
A.肠管凸入脐带内
B.位于脐带入口处右侧
C.一般还伴有染色体异常
D.肠管漂浮于羊水当中
E.要注意观察脐血管入腹壁处
239、单项选择题 下列哪一项常不引起肾积水()
A.肾结石
B.输尿管囊肿
C.前列腺增生
D.前列腺炎
E.神经源性膀胱
240、单项选择题
中年女性,中下腹横切面如图,箭头所示为()
A.子宫钙化环
B.宫内节育器
C.子宫肌瘤
D.孕囊
E.子宫肌瘤钙化
241、单项选择题 胸骨左缘声窗检查心脏的短轴切面图,下列哪一项是错误的()
A.主动脉弓短轴切面图
B.乳头肌水平短轴切面图
C.腱索水平短轴切面图
D.二尖瓣水平短轴切面图
E.大动脉短轴切面图
242、填空题 儿童的管状骨的超声声像为:皮质为____________,骨髓腔为_________________,远处骨皮质显示为_______________,表面的关节软骨为__________。
243、单项选择题 彩色多普勒及脉冲多普勒诊断肾移植术后急性排异的标准()①CDFI:肾内血流明显减少呈断续、星点状、斑块状②肾动脉RI≥0.80,PI>1.8③CDFI:肾内血流明显增多④肾动脉RI≤0.80,PI<1.8
A.①②
B.①④
C.②③
D.①②③
E.以上都不是
244、单项选择题 紧邻于肾后方的肌肉是()
A.腰大肌
B.多裂肌
C.闭孔外肌
D.腹外斜肌
E.臀肌
245、单项选择题 胎儿死亡的非特异性特征()①羊水混浊②大脑帘消失③双顶径小于孕周④胎头双环征
A.①
B.①②
C.①②③
D.①②③④
E.④
246、单项选择题 对镜面反射体而言()
A.入射角等于反射角
B.入射角大于反射角
C.不取决于声束的角度
D.入射角等于透射角
E.入射角等于折射角
247、单项选择题 孕几周以后可作胎头测量()
A.9周
B.10周
C.11周
D.12周
E.8周
248、单项选择题 彩色多普勒血流成像中规定()
A.朝向探头的血流为红色
B.背向探头的血流为红色
C.朝向探头的血流为蓝色
D.背向探头的血流为绿色
E.朝向探头的血流为绿色
249、单项选择题 有关对前列腺结石描述错误的是()
A.前列腺结石分四型
B.散在小结石型
C.弧形结石型
D.结石多位于腺泡间
E.成堆小结石和单个大结石型
250、单项选择题 超声辐射剂量与下列哪项无关()
A.受辐射时间长短
B.声束发射功率大小
C.发射声束的频率高低
D.声束在组织中的传播速度大小
E.超声束横截面积大小
251、单项选择题 横跨下腔静脉在肝门处进入肝脏的结构是()
A.肝静脉
B.胆总管
C.肝动脉
D.门静脉
E.胆囊管
252、单项选择题
女,34岁,B超检查,盆腔内可见一肿块,声像图如下,最可能的诊断为()
A.巧克力囊肿
B.畸胎瘤
C.炎性包块
D.宫外孕
E.附件囊肿
253、单项选择题
患者女36岁,反复上腹部疼痛不适数10年,偶尔皮肤、巩膜黄染。B超检查如图所示,根据超声声像图,诊断为()
A.左肝内胆管癌
B.左肝内胆管蛔虫
C.左肝内胆管胆泥淤积
D.左肝内胆管结石
E.左肝钙化灶
254、单项选择题 频谱多普勒超声可直接测量的血流参数是()
A.阻力指数(RI)
B.压力阶差(PG)
C.搏动指数(PI)
D.收缩/舒张期速度比(S/D)
E.收缩期峰值速度(Vs)
255、单项选择题
某患者自诉乳腺可触及一包块,光滑可移动,超声图像如图,诊断为()
A.纤维瘤
B.囊肿
C.乳腺癌
D.小叶增生
E.乳腺导管扩张
256、单项选择题 肝脏显像欠佳的最常见原因是()
A.肋骨的反射
B.饮水后
C.结肠内的气体
D.呼吸造成胸腔内压力的增减
E.胸骨的反射
257、单项选择题 先天性髋关节完全脱位的声像图特点是()①股骨头从髋臼内全部脱出②股骨头向后上方软组织内移位③股骨头与髋臼间出现较宽间隙④髋臼窝变形
A.①
B.①②
C.①②③
D.①②③④
E.②③④
258、单项选择题 诊断腹腔妊娠最有力的证据是()
A.胎位不正,胎儿影特别清晰
B.胎儿偏于腹腔一侧,并占据较高位置
C.子宫轮廓消失
D.胎儿骨骼与母体脊柱重叠
E.胎儿影与母体肠腔中气体影像重叠
259、单项选择题 下列叙述正确的是()
A.12周以后采用双顶径推测孕龄最准确
B.双顶径标准切面的测量不受胎位的影响
C.早孕时测量胎囊大小可准确推测孕龄
D.多参数测量可提高孕龄估计的准确性
E.16周以后采用股骨长径推测孕龄最准确
260、单项选择题 超声换能器将________能转换成_________能()
A.机械,声
B.电,机械能
C.热,声
D.任意能,电
E.电,热
261、单项选择题 前列腺增生症,尿道可能发生的形态改变是()
A.尿道内口移位
B.后尿道拉长超过3cm
C.后尿道曲度改变
D.排尿期尿道腔变细或不规则
E.以上均是
262、单项选择题
如图,初步超声诊断为()

A.二尖瓣返流
B.三尖瓣返流
C.主动脉瓣返流
D.肺动脉瓣返流
E.以上均不是
263、单项选择题 关于彩色多普勒血流成像的性能下述哪种是正确的()
A.能显示平均速度为零的灌注区的血流
B.血流成像对超声入射角的相对非依赖性
C.不出现彩色血流信号混叠
D.不能显示血流速度快慢
E.能显示血流方向
264、单项选择题
某小儿其右腹股沟区B超检查声像图如图,最可能的诊断为()
A.隐睾
B.肿大淋巴结
C.正常腹股沟声像图
D.盆腔肿瘤
E.斜疝
265、单项选择题 彩色多普勒血流显像的特点,哪一项是错误的()
A.血流方向朝向探头,显示红色
B.血流方向背离探头,显示蓝色
C.动脉血流显示为红色
D.出现湍流为混合色
E.血流速度高显示亮度大
266、问答题 异位妊娠的声像图表现有哪些?
267、单项选择题 功能性子宫出血是指()
A.子宫肌瘤引起出血
B.子宫内膜异位症引起月经过多
C.子宫内膜息肉出血
D.丘脑一垂体一卵巢轴功能紊乱
E.妊娠并发症引起出血
268、问答题 肾上腺皮质腺癌的声像图表现有哪些?
269、单项选择题
患者,暴饮暴食,血淀粉酶升高,超声见胰腺体积增大,边界不清,如图所示,考虑为()
A.胰腺癌
B.胰腺炎
C.胰腺囊肿
D.胰腺脓肿
E.以上都不是
270、单项选择题
超声示双侧睾丸内见多个点状强回声光斑,弥漫性分布。如图所示,考虑为()
A.睾丸囊肿
B.睾丸结石
C.睾丸结核
D.睾丸微石征
E.睾丸附睾炎
271、单项选择题 下列卵巢非赘生性囊肿临床表现和声像图特征,哪一项是错误的()
A.黄体囊肿是黄体形成过程中黄体血肿液化形成
B.黄素囊肿与滋养细胞肿瘤伴发
C.黄素囊肿多呈双侧性
D.绝经后妇女常见且多能自行消退
E.卵巢非赘生性囊肿是一种囊性结构而不是卵巢肿瘤
272、单项选择题 测量双顶径时,如果中线回声呈连续而不中断,说明扫查平面()
A.正常
B.太高
C.太低
D.探头损坏
E.以上都不是
273、单项选择题 关于超声分辨率的描述,错误的是()
A.超声分辨力受超声波的脉冲宽度、声束宽度和探头类型影响
B.超声的频率越高,轴向分辨力越好
C.理论上轴向分辨力为λ/2
D.超声纵向分辨力与探头厚度方向上声束宽度和曲面的聚焦性能有关
E.超声聚焦声束越宽,侧向分辨能力越好
274、单项选择题 以下哪项是肝细胞肝癌的特异性表现()。
A.类圆形的实性团块
B.局部轮廓隆起
C.外周绕有声晕,内有“块块”或“镶嵌征”
D.绕有强回声边缘的结节
E.外周血管受压
275、单项选择题 正常成年男性睾丸大小约为()
A.长3~4cm,宽2~3cm,厚1~2cm
B.长4~5cm,宽1~2cm,厚2~3cm
C.长4~5cm,宽3~4cm,厚2~3cm
D.长5~6cm,宽4~5cm,厚2~3cm
E.长4~6cm,宽3~4cm,厚2~3cm
276、单项选择题 背向散射系数的定义是:与入射声波成多大角度的方向上,单位体积和单位立体角的微分散射截面()
A.90
B.180
C.60
D.45
E.各个方向
277、名词解释 全数字化超声诊断仪
278、单项选择题 下列哪一项与淋巴乳状囊腺瘤无关()
A.实性均匀性低回声团块
B.形态尚规则,与周围组织分界清晰
C.无被膜轮廓线
D.后方回声无增强,亦无衰减
E.CDFI显示分支型血流分布,PSV<60cm/s,RI0.55~0.80
279、单项选择题 卵巢非赘生性囊肿包括()①滤泡囊肿②黄素化囊肿③黄体囊肿④卵巢血肿
A.①
B.①②
C.①②③
D.①②③④
E.①③④
280、单项选择题 多普勒超声血流检测技术主要用于()
A.测量血流速度
B.确定血流方向
C.确定血流种类
D.获得有关血流参数
E.以上都对
281、单项选择题 彩色多普勒血流显像仪的自相关技术的作用是()
A.灰阶变换
B.分析信号相位差,得出血流速度均值和方向
C.放大回波信号的幅度
D.高通滤波
E.将回波信号增加
282、单项选择题 下列哪项不引起EPSS增大()
A.左心衰竭
B.左室扩大
C.扩张型心肌病
D.肥厚型心肌病
E.二尖瓣狭窄
283、单项选择题 甲状腺动脉有几条或几对,起源于哪两根血管分支()
A.2条;颈内动脉分支和锁骨下动脉分支
B.2对;颈内动脉分支和锁骨下动脉分支
C.4条;颈外动脉分支和锁骨下动脉分支
D.4对;颈外动脉分支和锁骨下动脉分支
E.5对;颈内动脉分支和颈外动脉分支
284、单项选择题 移植肾正常声像图表现()
A.肾窦增大
B.较正常肾脏回声更多
C.皮质薄而髓质锥体增加
D.与正常肾脏声像图一致
E.常位于肾窝内
285、单项选择题 从主动脉瓣关闭到二尖瓣开放这一时期称为()
A.等容舒张期
B.等容收缩期
C.心房收缩期
D.快速射血期
E.快速舒张期
286、单项选择题 引起输尿管扩张的最常见原因是()
A.输尿管肿瘤
B.输尿管结核
C.输尿管结石
D.腹膜后肿瘤
E.输尿管畸形
287、单项选择题
该病例最可能的诊断()

A.动脉导管未闭
B.共同动脉干
C.主肺动脉间隔缺损
D.大动脉异位
E.肺动脉狭窄
288、单项选择题
女,34岁,经常反复发作剧烈的右上腹痛,加重1天。声像图如图所示,最可能的诊断为()
A.肝内胆管结石
B.肝内胆管癌
C.肝内胆管蛔虫
D.肝内胆管积气
E.引流管回声
289、单项选择题 B型超声诊断仪是指()
A.振幅调制型
B.辉度调制型
C.彩色血流显像
D.多普勒频谱显示
E.以上都不是
290、单项选择题
女性,56岁,消瘦、腹部膨隆3月余。妇科检查:盆腔触及包块。超声检查如图,最可能的诊断为()
A.转移性卵巢癌
B.囊腺癌
C.黄体囊肿
D.黄素囊肿
E.囊腺瘤
291、单项选择题 人体中哪些组织声衰减系数高并可能伴有声影()
A.肌腱
B.肌肉
C.脑
D.脂肪
E.肝脏
292、单项选择题 主动脉弓离断的临床及超声表现不包括()
A.主动脉弓部以下连续中断
B.动脉导管连接肺动脉与降主动脉
C.常合并室间隔缺损
D.常不伴有肺动脉高压
E.可无导管未闭的杂音
293、单项选择题
该病例最有可能诊断是()

A.布-加综合征
B.川崎病
C.动脉瘤
D.以上都不是
E.门静脉高压
294、单项选择题 彩色多普勒血流显像技术检测主动脉瓣口血流,速度标尺应如何选用()
A.选择高速档
B.选择低速档(例如0.20m/s)
C.随意,不需注意调节
D.选择中等速度(例如0.6m/s)
E.以上都不是
295、单项选择题 腮腺炎的声像图表现是()
A.不同程度的弥漫性肿大
B.急性期轮廓不清,呈低回声
C.腮腺血流信号增多
D.慢性期界限清晰,呈强回声
E.以上都是
296、单项选择题 关于原发性视网膜脱离的描述,正确的是()
A.亦称孔源性视网膜脱离
B.是一种原因不明的视网膜层间分离
C.视力减退,相应的视野缺乏
D.眼底检查可发现视网膜灰色隆起
E.以上都对
297、单项选择题 男,32岁,突发性左季肋部绞痛4小时,无发热,血像正常。尿常规:红细胞20~30个。超声检查见左肾集合系统轻度分离,该侧输尿管上段约0.6cm,其远侧段显示不清。该病例不能除外()
A.肾癌
B.急性肾盂肾炎
C.急性肾小球肾炎
D.输尿管结石
E.肾平滑肌脂肪瘤
298、问答题 肾积水的声像图表现有哪些?
299、单项选择题 左心室的解剖结构及其与邻近结构的关系,哪一项是错误的()
A.左室流入道
B.左室流出道
C.左室壁
D.左房室口、通过房室口与左心房相连
E.与肺动脉连接
300、单项选择题 上腹部横切扫查,横“8”字的交叉点是胃的哪部分()
A.胃体
B.贲门
C.胃窦
D.胃角
E.胃底