时间:2025-09-13 02:31:23


1、单项选择题 腹部平片上,小肠分六组,空肠上段位于()
A.第1组
B.第2组
C.第3组
D.第4组
E.第5组
2、单项选择题
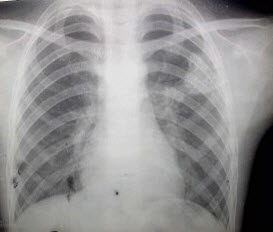
男,8岁,高热达38.5℃三天,如图所示,最可能的诊断为()

A.畸胎瘤
B.原发综合征
C.肺脓肿
D.包裹性胸腔积液
E.支气管肺炎
3、多项选择题 下列对X线属高感受性组织器官的是()
A.生殖腺
B.淋巴组织
C.骨
D.脂肪
E.造血组织
4、单项选择题 透视主要利用了X线的()
A.光学作用
B.生物作用
C.穿透作用
D.电离作用
E.荧光作用
5、名词解释 结核球
6、单项选择题
男,两月。表现排便困难、便秘、腹胀,经常哭闹。如图所示,最可能的诊断为()

A.先天性巨结肠
B.假性先天性巨结肠
C.新生儿坏死性小肠结肠炎
D.先天性肠闭锁
E.肠套叠
7、单项选择题 关于乳腺癌的X线征象,下列错误的是()
A.肿块,呈毛刺状
B.成簇的钙化
C.皮肤呈橘皮样改变
D.乳头凹陷
E.肿块边缘光滑,见透明晕
8、判断题 动脉导管未闭时左右心室可以增大,有时可见漏斗征。
9、单项选择题 下列不属于股骨头缺血坏死常见X线表现的是()
A.股骨头密度均匀增高
B.股骨头限局性疏松、囊变
C.股骨头不均匀硬化
D.髋臼增大
E.关节间隙狭窄
10、单项选择题
男,根据其正常骨盆影像图像,判断其最可能的年龄()
A.1岁左右
B.4岁左右
C.7岁左右
D.10岁左右
E.13岁左右
11、单项选择题 胃溃疡最常见的部位是()
A.小弯角切迹附近
B.幽门前区
C.胃大弯
D.幽门管
E.胃底部
12、判断题 关节结核大多累及一个持重的大关节,以髋关节和膝关节为常见。
13、配伍题 男尿道管最狭窄的部分是()中央有精阜的是()尿道球腺开口于()
A.前列腺上部
B.膜部
C.海绵体部
D.尿道球部
E.射精管
14、单项选择题
男,70岁,进行性吞咽困难半年,结合图像,最可能的诊断为()

A.正常食管
B.食管静脉曲张
C.食管平滑肌瘤
D.贲门失弛缓
E.食管癌
15、名词解释 气管支气管软化症
16、单项选择题 关于肠内气体叙述正确的是()
A.十二指肠球部的气体位置不固定
B.右下腹出现固定的小气液平面有病理意义
C.各部小肠内均不应充气
D.大肠内总是有些气体
E.以上都不对
17、问答题 消化道穿孔的X线表现及其鉴别诊断有哪些?
18、问答题 化脓性肺炎的X线表现有哪些?
19、单项选择题 结核杆菌最主要通过哪种途径进入骨或关节部位()
A.直接扩散
B.淋巴系统
C.开放性损伤
D.血液循环
E.以上都不是
20、单项选择题 法洛四联征包括()
A.肺动脉狭窄,室间隔缺损,主动脉狭窄,右心室肥大
B.肺动脉扩张,室间隔缺损,主动脉扩张,右心室肥大
C.肺动脉狭窄,房间隔缺损,主动脉骑跨,左右心室肥大
D.肺动脉狭窄,室间隔缺损,主动脉骑跨,右心室肥大
E.肺动脉扩张,房间隔缺损,主动脉骑跨,左心室肥大
21、单项选择题 关于阴性对比剂的叙述,错误的是()
A.空气是阴性对比剂
B.空气在器官内吸收较快
C.空气易产生气体栓塞
D.二氧化碳的溶解度较大
E.二氧化碳不易产生气体栓塞
22、单项选择题 AIDS的肺部X线表现为()
A.混合性实变
B.两肺弥漫性均匀性实变
C.单侧不均匀性斑片样实变
D.弥漫性间质性肺炎
E.胸腔积液
23、判断题 腺样体肥大X线见鼻咽腔因腺样体占位而狭小,局部骨质破坏
24、单项选择题 成人视神经孔的孔径大约为()
A.0.2cm
B.0.5cm
C.1.2cm
D.0.8cm
E.1.0cm
25、单项选择题 眼球异物定位检查的主要目的是()
A.确定有无异物
B.确定异物的大小
C.确定异物的位置
D.确定异物的性质
E.确定手术方案
26、单项选择题 长骨纵径的生长进行于()
A.骨骺板
B.骨膜
C.骨干
D.干骺端
E.骨骺
27、多项选择题 骨折的愈合过程可分为()
A.肉芽组织修复期
B.原发骨痂连接期
C.骨性愈合期
D.塑形期
E.假关节形成期
28、单项选择题 下列哪种疾病,胸片上无“肺血减少”表现的是()
A.肺动脉狭窄
B.法洛四联征
C.三尖瓣闭锁
D.肺动脉闭锁
E.高原性心脏病
29、名词解释 完全骨折
30、问答题 普遍性骨硬化常见于哪些病?如何鉴别?
31、名词解释 周期性瘫痪(period paralysis)
32、单项选择题
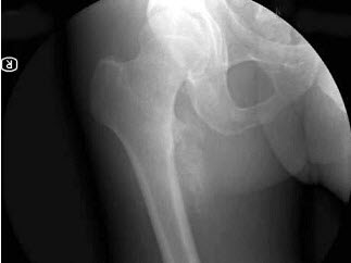
女,35岁,摔伤后左髋部剧痛,活动受限6小时,结合影像学检查,最可能的诊断是()
A.股骨颈骨折
B.股骨头骨折
C.骨盆骨折
D.加莱阿奇骨折
E.肱骨骨折
33、单项选择题 急性化脓性骨髓炎的X线片主要表现为()
A.骨膜增生
B.骨质破坏
C.死骨形成
D.新生骨
E.出现钙化
34、多项选择题 牙体由哪几部分构成()
A.牙釉质
B.牙本质
C.牙骨质
D.牙髓
E.牙周膜
35、判断题 肺动脉狭窄所致的肺循环改变为肺淤血。
36、单项选择题 关于乳腺正常分型,下列错误的是()
A.青春型
B.青年型
C.腺体型
D.退化型
E.萎缩型
37、单项选择题 酸性磷酸酶升高常见于()
A.成骨性转移瘤
B.前列腺癌骨转移
C.骨肉瘤肺转移
D.多发性骨髓瘤
E.以上都是
38、单项选择题 与外科手术相比,人们容易接受介入治疗的主要原因在于()
A.安全可靠
B.并发症少
C.少创伤以至无创伤
D.术后效果好
E.术中时间短
39、判断题 支气管袖口征主要见于肺泡性肺水肿。A.对
40、单项选择题 颈椎侧位片显示,齿状突和椎体间有横行透光线,边界光滑,局部无错位及骨质增生硬化,最大可能是()
A.齿状突陈旧性骨折
B.寰、枢椎半脱位及齿状突骨折
C.正常变异
D.齿状突横行透亮线为伪影
E.以上都不是
41、单项选择题 腹部外伤常受累脏器依次是()
A.肝、胃、肾
B.脾、肾、肝
C.脾、肝、胰腺
D.肝、肾、脾
E.脾、肾、结肠
42、单项选择题 指出属于软骨类的肿瘤是()
A.骨瘤
B.骨软骨瘤
C.骨巨细胞瘤
D.非骨化性纤维瘤
E.骨肉瘤
43、单项选择题 下列有关尤文肉瘤的叙述中,错误的是()
A.病变好发生于长骨的骨干或干骺端
B.骨髓腔内出现斑片状骨质破坏
C.骨膜呈葱皮样改变
D.破坏区周围常有反应性骨质增生硬化
E.十分少见
44、单项选择题 肺脓肿的特征性X线征象是()
A.偏心性空洞壁厚而不规则
B.渗出性病变中出现空洞,内有气液平面
C.大片浓密阴影
D.支气管阻塞或狭窄
E.胸腔积液
45、名词解释 肩胛征
46、单项选择题
女,25岁,腕部疼痛,结合图像,最可能的诊断是()
A.肥大性骨关节病
B.骨髓炎
C.骨肉瘤
D.嗜酸性肉芽肿
E.骨膜下出血
47、单项选择题 有关髋关节前后位摄片的叙述,正确的是()
A.双足内收20°
B.双足外旋20°
C.双足尖垂直向上
D.双下肢稍外展,足尖内旋并拢
E.双足跟并拢,足尖自然外旋
48、单项选择题 "外耳、中耳明显畸形伴颌面骨发育不良"被称为()
A.Dandy-Walker综合征
B.Treacher-Collins综合征
C.Von Recklinghausen病
D.Moya-moya病
E.Sturge-Weber综合征
49、判断题 骨母细胞瘤与骨样骨瘤同属于良性成骨细胞性肿瘤。
50、填空题 骨折合并症和后遗症有_______________、______________、_________、_____________、_____________、___________、_____________和____________。
51、单项选择题 腕部舟状骨摄片的体位选择,哪个是错误的()
A.外展位
B.斜位
C.后前正位
D.中心线倾斜20°位
E.暗盒倾斜20°位
52、单项选择题 关于腹部摄片注意事项的叙述,错误的是()
A.摄片前均须清洁肠道
B.除新生儿外,均应采用滤线器摄片
C.胶片应包括整个腹部
D.采用呼气后屏气状态曝光
E.FFD为100cm
53、单项选择题 下述有关骨髓瘤的说法,哪项错误()
A.STIR序列下病灶高信号较TWI更明显
B.MR对检出病变、确定范围非常敏感
C.骨破坏在TWI呈边界清楚的低信号
D.病变弥漫时为多发散在点状低信号
E.MR对骨皮质破坏出现之前的改变不能显示
54、填空题 可形成广泛粟粒样结节的肺病变有:____________、______________、_______________、_______________、____________________。
55、名词解释 胸膜下线
56、单项选择题 有关乳腺摄影的叙述,错误的是()
A.需要加压
B.使用单乳剂胶片
C.使用高速增感屏
D.常规摄取轴位和侧斜位
E.依发育期确定曝光条件
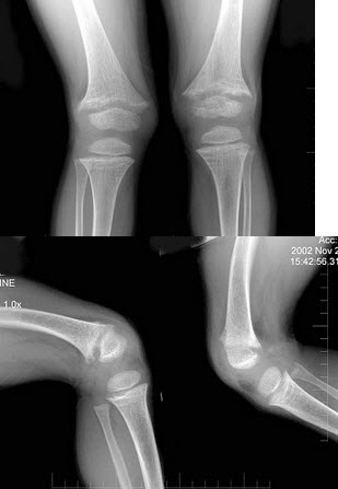
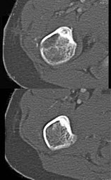
57、名词解释 Gaucher瘤
58、单项选择题 肺部慢性炎症的主要病理变化为()
A.渗出
B.纤维化
C.空洞
D.增殖
E.钙化
59、单项选择题 肺转移病灶主要表现多发性、无钙化、边缘清楚的球形阴影,其原发灶是指()
A.乳腺癌
B.骨肉瘤
C.恶性甲状腺肿瘤
D.前列腺癌
E.绒毛膜上皮癌
60、单项选择题 有关静脉肾盂造影检查,错误的是()
A.腹腔巨大肿块不能施行加压法
B.常用的对比剂是复方泛影葡胺
C.造影前必须进行碘过敏试验
D.肾盂造影片可显示肾上腺
E.疑肾盂积水应加大对比剂剂量
61、单项选择题 缩窄性心包炎最常见的原因是()
A.类风湿疾病
B.纵隔病变放疗后
C.结核
D.尿毒症
E.转移性肿瘤
62、单项选择题 支气管破裂最常见的X线征象是()
A.胸腔积液
B.双肺充气不足
C.肺气肿,纵隔增宽
D.肺不张,纵隔移位
E.心脏周围有透亮带,皮下软组织内可见散在透亮区
63、多项选择题
男,64岁,进食梗阻感半月。体检:咽充血少许滤泡,结合图像,最可能的诊断为()

A.会厌征
B.颈椎退变
C.食管癌
D.食管型颈椎病
E.以上都不是
64、单项选择题 逆行肾盂造影的禁忌证是()
A.尿道狭窄
B.严重的肾结核
C.严重肾盂积水
D.先天性多囊肾
E.静脉肾盂造影显影不良
65、单项选择题 下列哪项X线征象中,提示骨折不愈合()
A.骨痂形成少
B.软组织块影
C.骨折断端光滑硬化,无骨痂
D.骨膜反应
E.骨折线模糊
66、判断题 脾破裂的原因多为暴力或钝器伤所致。
67、单项选择题 观察小儿发育情况,需摄取()
A.腕关节正位
B.腕关节侧位
C.双腕关节斜位
D.双腕关节正位
E.双腕关节侧位
68、单项选择题 下列病变多见于骨干的是()
A.骨囊肿
B.骨巨细胞瘤
C.尤文肉瘤
D.软骨肉瘤
E.以上都不是
69、配伍题 进行X线摄片检查是利用什么作用()测试辐射量的闪烁晶体是利用什么作用制成的()
A.穿透作用
B.荧光作用
C.电离作用
D.感光作用
E.着色作用
70、判断题 早期结肠癌的最佳检查方法是钡剂灌肠。
71、单项选择题 下列哪种X线征象是食管静脉曲张与食管癌的鉴别要点()
A.串珠状充盈缺损
B.管腔边缘凹凸不平
C.蠕动减弱,钡剂通过缓慢
D.纵行粘膜皱襞消失
E.管腔扩张及舒缩性存在
72、单项选择题 下列肺泡性肺水肿影像,哪项不对()
A.KerleyA线
B.支气管气相
C.心影正常或增大
D.肺门影增大、模糊
E.肺内影演变迅速
73、单项选择题 下列有关“骨布氏菌感染”描述中,哪项不正确()
A.脊柱、四肢大关节多处受累
B.关节软骨下囊性变
C.关节边缘性骨质破坏
D.四肢末梢小关节受累
E.就影像表现难与结核性、化脓性骨关节炎鉴别
74、判断题 如临床怀疑肠梗阻,钡餐造影是首选的检查方法。
75、单项选择题 结核球与周围型肺癌鉴别诊断的关键在于前者()
A.边缘较光整
B.干酪样厚壁空洞
C.病灶内呈斑点状钙化
D.直径一般不超过3cm
E.卫星病灶及纤维条索影(引流支气管影)
76、多项选择题 乳腺恶性病变钙化的X线特点为()
A.钙化边缘模糊
B.多呈泥沙样、细粒状
C.形态多不规则
D.钙化一般位于肿块内
E.密度较一致
77、名词解释 Page肾
78、单项选择题 关于“食管裂孔疝”的描述,错误的是()
A.疝囊位于后下纵隔区
B.疝囊上缘狭窄为“B”环
C.常有返流性食管炎
D.“B”环是食管粘膜与胃粘膜交界处
E.疝囊粗大的胃粘膜皱襞
79、判断题 为了作出正确的X线诊断,在分析和诊断中应遵循一定的原则和步骤。
80、判断题 肺实质是指肺的结缔组织所组成的支架和间隙。
81、名词解释 赖特(Reiter)综合征
82、问答题 克罗恩病常有哪些X线征象?
83、单项选择题 近年来,下列肿瘤中呈增加趋势的是()
A.皮肤癌
B.骨肉瘤
C.子宫癌
D.结肠癌
E.肺癌
84、单项选择题
患者上腹胀满、厌食,查体脾大,腹水征阳性。腹部超声,肝硬化,脾大,腹水。
最可能的诊断()
A.腹膜结核
B.肝炎
C.肝硬化,门脉高压征
D.肝癌
E.胃炎
85、单项选择题 关于椎间盘“赤道征”,下列观点哪项正确()
A.见于正常儿童椎间盘
B.有十分重要的临床意义
C.是椎间盘退变的早期征象
D.是椎间盘退变的晚期征象
E.见于正常成人椎间盘
86、单项选择题 下述“Down综合征”骨改变特点,哪项不正确()
A.骨狭小,颅板变薄
B.眶间距增宽
C.鼻窦腔不发达
D.第五指骨中节短小
E.髂骨下移,髋臼角减小
87、单项选择题 节段性肺不张的影像特征是()
A.近肺底的横行条状致密
B.尖端指向肺门的三角形致密影
C.弥漫分布斑片状影
D.一侧肺致密影伴纵隔向患侧移位
E.3~5cm大小肿块影,伴“彗星尾”征
88、单项选择题 关于子宫原位癌的描述,错误的是()
A.发生于子宫颈粘膜上皮
B.未发生转移
C.是一种早期癌
D.可长期保持原来的结构
E.癌变仅累及上皮细胞,但未浸润至粘膜下层
89、判断题 如发现肝内、外胆道扩张即可以认为有胆道梗阻。
90、单项选择题 胸片肋膈角变平变钝积液量约为()
A.50ml
B.150ml
C.200ml
D.300ml
E.400ml
91、名词解释 假肿瘤征
92、单项选择题 色素沉着绒毛结节性滑膜炎特点为()
A.关节滑膜高度增生
B.含铁血黄素沉着
C.绒毛结节形成
D.以上都是
E.以上都不是
93、单项选择题 下列胸腔积液的描述,正确的是()
A.中等量积液常有纵隔移位
B.显示斜裂叶间积液,以侧位片为佳
C.立位胸片,肺底积液呈外高内低的致密影
D.包裹性积液多位于前胸壁
E.立位后前位胸片,可显示100ml以下积液
94、单项选择题
女,48岁,胸痛1周,结合图像,最可能的诊断是()

A.肺转移瘤
B.韦格肉芽肿
C.肺类风湿病
D.多发性肺脓肿
E.肺癌
95、单项选择题 单侧肾绞痛伴血尿者,腹部平片无异常,静脉肾盂造影不显影,而逆行肾盂造影显示正常,应首先考虑()
A.结石
B.急性尿路感染
C.肾动脉感染
D.肾静脉栓塞
E.输尿管肿瘤
96、多项选择题 腹腔脓肿的主要X线表现有()
A.脓肿有气体时可见气液空腔或气泡征象
B.脓腔无气体时表现软组织肿块
C.脓肿相邻器官受压移位
D.脓肿周围炎性浸润
E.炎症扩散时呈腹膜炎改变
97、多项选择题 肾小管性骨病的主要X线表现为()
A.骨质密度普遍性降低
B.骨关节畸形
C.假骨折
D.骨质硬化
E.继发性甲状旁腺功能亢进表现
98、单项选择题 人体X线吸收量主要取决于()
A.待检组织的密度
B.待检组织的厚度
C.待检组织的形状、大小
D.靶-片距
E.以上都不对
99、判断题 畸胎类肿瘤增强扫描呈强化不均匀,瘤灶一过性显著强化常提示恶性可能性大。
100、单项选择题
男,65岁。走路时,不慎摔倒。查体:左下肢缩短,外旋50°畸形。
为明确诊断,首先应进行的检查为()
A.CT检查
B.核素骨扫描
C.X线检查
D.MRI检查
E.关节造影
101、单项选择题
男,35岁,发热、贫血、血尿,有副鼻窦炎,结合X线图像,最可能的诊断是()

A.肺脓肿
B.周围型肺癌
C.肺转移瘤
D.肺结核
E.韦格肉芽肿
102、单项选择题 下列组合哪个是不正确的()
A.蝶鞍——Stenver位
B.枕骨大孔——ToWne位
C.乳突——Schuller位
D.上颌窦——Water位
E.视神经孔——Rhese位
103、单项选择题
右肩关节活动受限1年多,体检发现右手上抬不能,后展受限,行右肩关节摄片如图示,最可能的诊断是()
A.正常右肩关节
B.右肱骨骨质疏松
C.右肩关节周围炎
D.右肩关节滑囊炎
E.右肩关节结核
104、单项选择题
女,26岁,咳嗽发热1周,无胸痛胸闷,X线检查如图,最可能的诊断是()

A.右侧大叶性肺炎
B.右侧胸腔积液
C.右肺中叶综合征
D.右侧胸膜肥厚
E.右下肺不张
105、单项选择题 穿过人体后的射线称为()
A.一次射线
B.二次射线
C.透射线
D.原发射线
E.散射线
106、多项选择题 系统性红斑狼疮致死的主要原因为()
A.肾功能衰竭
B.神经系统并发症
C.心血管系统并发症
D.感染
E.囊性肺纤维化
107、单项选择题
关于乳房摄片的叙述,哪个是正确的()
a.采用低电压摄片
b.相对而言,脂肪组织多的乳房,癌的诊断容易一些
c.微小钙化灶出现对乳癌的诊断是有价值的征象
d.乳房摄片时必须施加压迫
A.a,c,d
B.a,b
C.b,c
D.d
E.a~d全部
108、单项选择题 下述哪种病变,腹部平片价值最低()
A.肾结石
B.消化道穿孔
C.输尿管结石
D.原发性肝癌
E.大量腹水
109、单项选择题 慢性支气管炎后期的肺部X线表现,错误的是()
A.病人胸片正常
B.膈肌低平
C.肺野透光度增高
D.肋间隙增宽
E.两肺纹理增粗紊乱
110、填空题 支气管肺炎在小叶内可经________及________蔓延,也可通过分隔不全的___________蔓延至邻近小叶,还可经_________蔓延至邻近或远隔小叶。
111、配伍题 位于乙状结肠直肠连接部的是()位于降结肠乙状结肠交界处的是()位于脾曲的是()
A.Payr~Strauss括约肌
B.Cannm括约肌
C.Bakki括约肌
D.Rossi括约肌
E.Mouttier括约肌
112、名词解释 半月征
113、填空题 移行椎颅侧移位的特点是:_________________、_______________、________________、____________和______________。
114、单项选择题 有关黄韧带的断面解剖错误的叙述是()
A.呈尖端向后的V形线条影
B.宽度不超过6mm
C.黄韧带后缘紧贴椎管内缘
D.黄韧带位于关节突关节和椎板的内侧缘
E.前方与硬膜囊之间隔以低密度的脂肪组织
115、单项选择题 下列关于正常纵隔的描述,错误的是()
A.后前位胸片,纵隔位于胸部中央
B.主要由心脏、大血管和气管构成
C.肺门位于下纵隔
D.心脏位于中、下纵隔
E.四分法,上纵隔位于胸片柄下缘与第四胸椎下缘连线以上
116、单项选择题 关于"耳硬化症"的诊断要点,下述说法哪项错误()
A.多在20~30岁起病
B.平片价值不高
C.高分辨率CT价值较高
D.早期以骨质疏松为主
E.晚期以骨质破坏为主
117、多项选择题 心肌梗死患者常可见到哪些异常X线表现()
A.梗死区搏动异常
B.心脏增大以左室为主
C.心脏普遍增大
D.心包和胸膜积液
E.左心衰竭
118、填空题 颅锁骨发育不全系全身性骨发育障碍,_________和__________的骨骼均受累,表现为___________、__________和_______。
119、单项选择题 侧位X线片成人眼眶呈()
A.正方形
B.圆形
C.长方形
D.卵圆形
E.锥形
120、单项选择题 下列哪项是阴性造影剂()
A.空气
B.40%碘化油
C.钡剂
D.5%碘化钠溶液
E.泛影葡胺
121、多项选择题 先天性主动脉缩窄常合并()
A.动脉导管未闭
B.房间隔缺损
C.主动脉双瓣畸形伴关闭不全
D.主动脉畸形
E.三尖瓣下移畸形
122、单项选择题 腕部尺偏位,主要用于检查的是下列哪项()
A.掌骨
B.腕豆骨
C.腕舟骨
D.腕三角骨
E.腕钩骨
123、多项选择题 下列属于高压部件的是()
A.X线管
B.高压硅整流器
C.灯丝加热变压器
D.高压电缆
E.高压交换闸
124、单项选择题 在X线检查中,对被检者的防护措施错误的是()
A.避免操作失误
B.选用多种X线检查方法
C.采用恰当的X线质和量
D.严格控制照射量
E.做好非检查部位的屏蔽防护
125、单项选择题 除哪种疾病外,均可出现纵隔增宽表现()
A.胸主动脉瘤
B.纵隔脓肿
C.纵隔血肿
D.慢性纤维空洞型肺结核
E.纵隔肿瘤
126、判断题 骨骼形成后,正常骨骼的骨盐达到平衡后,不再发生变化。
127、单项选择题 女性,40岁。劳累后心悸、气促。体检:心尖区闻及舒张期隆隆样杂音。胸部正位片示:心影呈梨形,中度增大。显示左心房增大的最佳摄片方法是()
A.正位摄片
B.左前斜位摄片
C.右前斜位摄片
D.右侧位摄片
E.右前斜位加食道吞钡摄片
128、单项选择题 下列造影,对比剂的引入方式属生理排泄的是()
A.胃肠道钡餐造影
B.逆行肾盂造影
C.口服胆囊造影
D.腹膜后充气造影
E.颈内动脉造影
129、判断题 疲劳骨折好发于第2跖骨、胫骨和尺桡骨,骨折线多不明显。
130、单项选择题
男,67岁,中上腹痛,消瘦乏力,钡餐检查如图,不包括下列哪项()

A.腔内龛影
B.指压征
C.环堤征
D.半月征
E.项圈征
131、单项选择题 皮样囊肿最好发的部位是()
A.前上纵隔
B.中下纵隔
C.中上纵隔
D.后纵隔
E.前下纵隔
132、单项选择题
女,39岁,右上腹部隐痛,有慢性胆囊炎史,曾经做过口服胆囊造影,胆囊显影差,X线检查如图,最可能的诊断是()

A.急性胆囊炎
B.慢性胆囊炎
C.胆囊结石
D.瓷样胆囊
E.胆囊结核
133、单项选择题 X线平片上,肾结石可以表现为()
A.圆形
B.卵圆形
C.桑椹形
D.鹿角形
E.以上都可
134、单项选择题
男,35岁,因截瘫后1年,右股骨上端出现肿块2个月,渐渐地长大,X线摄片如图,最可能的诊断是()
A.骨化性机炎
B.骨肉瘤
C.软骨肉瘤
D.截瘫后软组织骨化
E.以上都不是
135、多项选择题
男,55岁,上腹饱胀不适2月,结合图像,最可能的诊断是()

A.正常表现
B.食管癌
C.食管静脉曲张
D.胃炎
E.胃癌
136、多项选择题 龛影可见于哪些病变()
A.贲门失弛缓征
B.胃溃疡
C.十二指肠憩室
D.肠结核
E.食管静脉曲张
137、单项选择题 哪个部位的化脓性骨髓炎最易形成的脓肿()
A.手指骨
B.髂骨
C.股骨干骺端
D.胫骨下端
E.脊柱
138、单项选择题 12岁,男性,胸片示左下肺3cm肿块,肿块表面光滑、质地均匀,CT平扫为软组织密度,CT增强明显强化,最可能的诊断是()
A.左下肺结核瘤
B.左下隔离肺
C.左下肺支气管扩张
D.左下肺周围型肺癌
E.类风湿肺改变
139、单项选择题 肺淀粉样变性肺实质型的X线表现中,错误的是()
A.单发或多发团块,呈圆形或椭圆形,边缘不清楚
B.两肺弥漫结节或粟粒病灶阴影
C.可有广泛的间质纤维化的表现
D.少数病例结节可钙化或骨化,骨化影呈钉子状或玻璃渣样
E.分布广泛的间质浸润常引起周围细支气管阻塞性肺气肿
140、单项选择题
女,60岁,大腿后侧痛,下腰痛1月余,结合图像,最可能的诊断是()
A.类风湿关节炎
B.强直性脊柱炎
C.牛皮癣性关节炎
D.Reiter综合征
E.痛风性关节炎
141、多项选择题 骨-甲发育不全包括下述哪些()
A.髂骨角
B.指甲发育异常
C.髌骨缺如、发育不良或脱位
D.肘关节发育异常
E.属常染色体隐性遗传
142、单项选择题 化脓性肺炎的X线特征性表现是()
A.蜂窝状薄壁透光区,有时伴有液平面
B.厚壁空洞,周围伴有炎性浸润
C.片状小病灶影
D.炎性浸润灶
E.脓气胸
143、填空题 肺发育异常通常可分为3型,即__________、____________和____________。
144、判断题 在颏顶位可以较好地显示颅中窝底内的三孔等结构。
145、名词解释 代谢性骨病
146、单项选择题
男,65岁,咳嗽,右胸痛,痰中带血丝1周。胸部后前位片示:右肺门影增大,右上肺大片状致密影,水平裂呈反“S”样改变。
最可能的诊断是()
A.右上肺炎
B.右上肺脓肿
C.右上阻塞性肺炎
D.右上肺结核
E.右侧中心型肺癌伴右上肺不张
147、单项选择题 PACS正确的涵义是()
A.图像存储系统
B.图像传输系统
C.图像网络系统
D.图像通讯系统
E.图像存储与传输系统
148、判断题 骨膜增生和Codman三角是骨肉瘤特异性X线征象。
149、问答题 恶性骨肿瘤的X线表现有哪些?
150、多项选择题 下列会引起肾盏肾盂破坏的疾病为()
A.肾囊肿
B.肾血肿
C.肾结核
D.肾盂癌
E.肾癌
151、填空题 支气管囊肿病理上其壁的结构与__________类似,囊壁还可以含______、________、___________、______________和__________。
152、填空题 结核性腹膜炎病理上可分为__________、__________、__________。
153、单项选择题 心脏左前斜位投照的旋转角度一般为()
A.30~40
B.40~50
C.50~60
D.60~70
E.45~55
154、单项选择题 下列关于“Albright综合征”描述中,哪项错误()
A.多骨受累
B.骨干变形
C.毛玻璃样密度,偶有钙化
D.平片可见到囊样透亮区
E.少数可恶变
155、单项选择题 右主支气管水平奇静脉直径正常为()
A.3~4mm
B.4~5mm
C.5~6mm
D.6~7mm
E.7~8mm
156、单项选择题 下列征象中,哪一项对周围型肺癌的诊断价值最大()
A.分叶和毛刺
B.空洞
C.钙化
D.肺门或纵隔淋巴结肿大
E.无卫星病灶
157、单项选择题
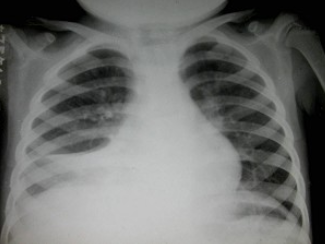
出生1天的早产儿,呼吸窘迫,结合图片,最可能的诊断是()

A.湿肺
B.肺气肿
C.肋骨骨折
D.肺气肿
E.气胸
158、单项选择题 先天性肩胛骨高位症,正确的摄片体位是()
A.双侧腕关节正位
B.双侧踝关节正位
C.双侧肩关节正位
D.双侧肩胛骨正位
E.双肩锁关节正位
159、问答题 上颌窦恶性肿瘤的X线表现有哪些?
160、多项选择题 以肺出血为特征的病变()
A.钩端螺旋体病
B.Goodpasture综合征
C.特发性含铁血黄素沉着症
D.系统性硬皮病
E.干燥综合征
161、多项选择题 乳腺恶性钙化的X线征象为()
A.钙化边缘模糊
B.多呈泥沙样、细粒状
C.形态多不规则
D.密度较一致
E.钙化一般位于肿块内
162、单项选择题 下列哪种疾病,没有龛影表现()
A.食管憩室
B.胃溃疡
C.胃癌
D.食管癌
E.肠结核
163、单项选择题 化脓性骨髓炎骨包壳的形成来源于()
A.感染性肉芽组织的钙化
B.脓液的钙化
C.软组织内的异位钙化
D.骨膜产生的新骨
E.未遭破坏的皮质骨
164、名词解释 袖口征
165、名词解释 肺脓肿
166、单项选择题 表示空间分辨率的单位是()
A.半值全宽
B.对比度指数
C.百分线对数(LP%)
D.cm线对数(LP/cm)
E.厘米线对数(LP/cm)
167、填空题 椎间盘突出应与_______________________、_______________、________和________________作鉴别诊断。
168、单项选择题 在下列病变中,对“输尿管移位”特点描述,错误的是()
A.肾上极肿瘤,输尿管可不移位
B.腹膜后纤维化:输尿管中段向内移位
C.恶性淋巴瘤:输尿管中段向外移位
D.子宫肌瘤:输尿管下段向外移位
E.肾旋转不良:输尿管上段向内移位
169、单项选择题 风湿性心脏病最易侵犯的瓣膜是()
A.主动脉瓣
B.肺动脉瓣
C.二尖瓣
D.三尖瓣
E.二尖瓣+主动脉瓣
170、判断题 左心房增大常伴有肺静脉高压。
171、单项选择题
女,41岁,慢性肾功能不全,结合图像,最可能的诊断是()
A.白血病
B.甲状旁腺功能亢进
C.地中海贫血
D.镰状细胞贫血
E.骨关节结核
172、单项选择题 下列造影表现,哪项与“结肠癌”无关()
A.肠梗阻
B.苹果核征
C.充盈缺损
D.肠套叠
E.笔尖征
173、名词解释 凡康尼(Fanconi)综合征
174、单项选择题 室间隔缺损的X线平片表现为()
A.肺血增多,右心房、室增大,主动脉结小
B.肺血增多,左、右心室增大,主动脉结正常
C.肺血减少,右心房、室增大,主动脉结小
D.肺淤血,左心房、右心室增大,主动脉结小
E.肺淤血,右心房、左心室增大,主动脉结正常
175、单项选择题
男,54岁,咳嗽咳痰,胸痛,痰中带血丝,近2月明显,消廋乏力,有吸烟史30余年,胸片如图,最可能的诊断是()

A.左肺结核瘤
B.肺转移瘤
C.炎性假瘤
D.原发性肺癌
E.结节病
176、单项选择题
女,71岁,左肩痛,系统性红斑狼疮服用高剂量的类固醇半年,结合图像,最可能的诊断是()
A.化脓性关节炎
B.类风湿关节炎
C.骨纤维肉瘤
D.肱骨头缺血坏死
E.肩关节结核
177、单项选择题 检查左心房最佳的X线摄片方法是()
A.后前位摄片检查
B.左前斜位摄片检查
C.右前斜位摄片检查
D.右前斜位加食管吞钡摄片
E.左前斜位加食管吞钡摄片检查
178、单项选择题 肾结核X线平片征象,下列哪项正确()
A.肾影倒八字形
B.病侧肾下垂
C.肾影不清
D.肾区可见不规则钙化灶
E.肾外形不光整
179、单项选择题 “上消化道”指的是()
A.食管全程
B.食管+胃
C.食管+胃+十二指肠
D.食管+胃+十二指肠+空肠
E.食管+胃+十二指肠+空肠+回肠
180、单项选择题 为提高食管静脉曲张的检出率,应用下列哪种方法较好()
A.稠钡有利于病变的显示
B.多做吞咽动作
C.立位比卧位好,不需摄点片
D.少量稀钡,加用Alsava法或应用抗胆碱药物易于显示
E.以上都不是
181、填空题 肺源性心脏病根据病理生理改变,主要X线表现为______________、______________、_________和_____________。
182、单项选择题
男,8岁。跌倒时手掌着地,查体:肘部明显肿胀,有压痛,肘关节呈半屈曲状向外突出畸形,肘后三角尚存。
首先应做进行的肘部辅助检查为()
A.超声检查
B.DSA
C.关节造影术
D.X线检查
E.MRI检查
183、判断题 脾脓肿常常是败血症脓栓的结果。
184、单项选择题 输卵管全长8~14cm,由内向外分为()
A.间质部、壶腹部、伞部、峡部
B.间质部、峡部、壶腹部、伞部
C.壶腹部、间质部、峡部、伞部
D.峡部、壶腹部、间质部、伞部
E.伞部、间质部、峡部、壶腹部
185、单项选择题 关于阴性对比剂的叙述,错误的是()
A.氧气属阴性对比剂
B.空气有产生气体栓塞的危险
C.空气在器官内吸收较慢
D.二氧化碳的溶解度较大
E.有效原子序数大
186、单项选择题 下列关于乳腺摄影技术中不正确的是()
A.不用或只用单面增感屏
B.低电压
C.只需拍侧位片
D.低电流
E.钼靶
187、单项选择题 下述除哪项外均为影响骨骼钙代谢的主要因素()
A.血清中钙磷含量的高低
B.体内维生素B含量的高低
C.小肠中钙、磷吸收的多少
D.甲状旁腺毒性与维生素D的比例关系
E.肾脏对Ca的再吸收与排泄作用
188、判断题 胸部外伤的严重性除与胸部外伤的程度有关,还与外伤的方式有关。
189、多项选择题 化脓性骨髓炎的X线表现为()
A.骨质破坏
B.死骨形成
C.骨膜增生
D.新生骨
E.软组织肿块
190、判断题 脑膜中动脉压迹,因前支较细小常显示欠清。
191、多项选择题 主要分布于中纵隔的肿瘤有()
A.畸胎瘤
B.霍奇金病
C.心包囊肿
D.神经源性肿瘤
E.支气管囊肿
192、单项选择题 十二指肠溃疡最常见的部位是()
A.水平部
B.球部
C.降部
D.球后部
E.小弯侧
193、多项选择题 乳腺X线摄片线质的特点是()
A.波长较短
B.波长较长
C.X线能量低
D.X线穿透力较强
E.X线穿透力较弱
194、单项选择题 关于"中耳乳突炎",下列说法哪项错误()
A.乳突气房密度增高
B.乳突房壁增厚、结构模糊
C.气房间隔骨质破坏或硬化
D.气房内充满肉芽组织
E.急性者常有胆脂瘤形成
195、问答题 四肢长管骨急性化脓性骨髓炎的X线表现有哪些?
196、单项选择题 有关肝脏CT解剖描述错误的是()
A.肝静脉进入下腔静脉的部位称为第二肝门,约平第10胸椎
B.肝静脉分为肝右、肝左、肝中静脉三支
C.肝静脉支走行于肝脏叶或段间裂内,以肝静脉划分肝叶、肝段
D.第二肝门的左侧可见食管影,食管后方为胸导管
E.胸主动脉的左后方有半奇静脉,右后有奇静脉,奇静脉的前方有胸导管
197、单项选择题 Morquro综合征在长管骨的X线表现中,哪项错误()
A.倾向于变短、增粗,骨皮质变薄
B.干骺增大,不规整,可有缺损区
C.骨骺骨化中心出现提前,常有分节现象
D.骨骺骨化中心出现延迟,与骨干融合时间也延迟
E.关节间隙增宽,或有脱位及畸形
198、单项选择题 患者中年男性,无痛性全程血尿半月余,IVP示同侧肾盂、输尿管及膀胱均见充盈缺损。可能性最大的诊断是()
A.肾癌+种植转移
B.转移癌
C.腺瘤
D.肾结核
E.移行细胞癌
199、填空题 马德隆(Madelung)畸形是由于桡骨远端内侧骨骺发育异常引起的_________和________的畸形。
200、问答题 强直性脊椎炎的X线表现有哪些?
201、单项选择题 下列关于“Sprengel畸形”,哪项错误()
A.偶可双侧发病
B.可伴短颈畸形
C.常伴颈椎、胸廓畸形
D.肩胛骨抬高,下角向脊柱侧旋转
E.锁骨正常
202、问答题 黏多糖贮积症Ⅰ型的X线表现有哪些?
203、单项选择题 关于X线的发生,下列哪项不对()
A.X线管阳极材料多为钨或钼
B.只有极少的电能转化为X线
C.管电压与人体吸收量成反比
D.旋转阳极可延长球管寿命
E.管电压与产生的X线穿透力成反比
204、单项选择题 胸部后前位定位摄片的原因中,哪一项是不正确的()
A.后前位肋骨间隙增宽、肺野展现宽广
B.后前位心脏放大率小,被纵隔掩盖的部分少
C.后前位肩胛骨投影在肺野之外
D.后前位肺组织更易靠近胶片,影像清晰
E.能正确反映出胸部脏器的确切形态,且能观察液气平面的改变
205、名词解释 贲门癌
206、单项选择题 出生时未发育的鼻窦为()
A.上颌窦
B.筛窦
C.蝶窦
D.额窦
E.以上都不是
207、填空题 返流性食管炎根据其发展过程病理上可分为三期,即早期____________;中期____________________;晚期_______________________。
208、单项选择题 关于“骨囊肿”的描述,不包括哪项()
A.不跨越骺板
B.股骨、肱骨、跟骨好发
C.可为单房或多房囊肿
D.局部骨皮质变薄,但不向外膨隆
E.易发生病理性骨折
209、单项选择题 X线诊断心包积液较可靠方法是()
A.左前斜位X线片看室间沟深浅
B.心影是否呈烧瓶样
C.右前斜位吞钡食管压迹有无加深
D.透视下心脏搏动情况
E.以上都不是
210、判断题 椎间盘突出的直接征象之一为硬膜囊、脊髓或神经根受压。
211、单项选择题 下述慢性肺脓肿影像特征,哪项不对()
A.空洞大小、形态不一
B.可为单发大空洞
C.常有液平面
D.胸膜常增厚
E.常呈偏心性空洞
212、单项选择题 成人颈椎侧位平片环齿之距离为()
A.1~1.5mm
B.6mm以上
C.5~6mm
D.2.5~4mm
E.以上均不是
213、单项选择题 关于大量心包积液的描述,错误的是()
A.烧瓶心
B.心缘平直、各弧形消失
C.心脏搏动度减弱
D.肺纹理正常或减少
E.无左心衰时,肺淤血
214、问答题 避孕环移入腹腔和坠入宫颈管有何X线表现?
215、多项选择题 在婴儿腹部立位片上见不到“双泡征”的疾病有()
A.环状胰腺
B.胎粪性肠梗阻
C.肥大性幽门狭窄
D.肠旋转不良
E.先天性十二指肠闭锁
216、问答题 在排泄性尿路造影中各器官的正常X线所见有哪些?
217、单项选择题 下列哪一征象不支持纵隔肿瘤的诊断()
A.透视下见肿块随呼吸变形
B.透视下见肿块随呼吸上下移动
C.肿块最大径在纵隔内
D.肿块压迫气管
E.肿块外缘与纵隔交角呈钝角
218、单项选择题
女,根据其正常手的影像图像,判断其最可能的年龄()
A.67岁左右
B.57岁左右
C.17岁左右
D.47岁左右
E.37岁左右
219、单项选择题
关于碘对比剂的叙述,哪个是正确的()
a.作为副作用之一可引起便秘
b.它是阳性对比剂
c.应用于泌尿系统造影
d.它分离子型和非离子型
e.可以不做碘过敏试验
A.a,b
B.a,e
C.b,c,d
D.c,d
E.d,e
220、单项选择题 易与胰头肿块混淆的是()
A.门腔淋巴结
B.右肾上腺
C.右侧膈肌脚
D.十二指肠
E.胃幽门管
221、判断题 心包钙化是诊断心包积液的可靠征象之一。
222、问答题 胸腹裂孔疝的X线表现有哪些?
223、单项选择题
女,50岁,手指关节肿痛,晨僵,结合图像,最可能诊断是()
A.关节结核
B.牛皮癣性关节炎
C.痛风性关节炎
D.类风湿关节炎
E.Reiter综合征
224、单项选择题 腰椎椎弓峡部断裂,正确的摄影体位是()
A.腰椎正位
B.腰椎侧位
C.腰椎双斜位
D.胸腰段斜位
E.胸腰段侧位
225、多项选择题 下列组合,正确的是()
A.左前斜位——中心线经被照体的右后射向左前
B.右前斜位——中心线经被照体的左后射向右前
C.右后斜位——中心线经被照体的左前射向右后
D.左后斜位——中心线经被照体的左前射向右后
E.斜位——中心线经被照体的前面射向后面
226、单项选择题
男,6岁,睡眠差、夜惊、多汗、出牙较迟、血清磷减低、血清钙减低、碱性磷酸酶升高,结合图像,最可能诊断是()
A.维生素D缺乏病
B.骨质软化症
C.先天性骨梅毒
D.肾性维生素D缺乏病
E.脆骨病
227、单项选择题 间质性肺水肿最明显的X线征象是()
A.两上肺静脉分支增粗
B.胸膜下水肿
C.袖口征
D.间隔线阴影
E.肺门血管阴影模糊
228、单项选择题 头颅凹陷性骨折,应首选哪种投照体位()
A.切线位
B.头颅侧位
C.汤氏位
D.颅底位
E.头颅后前位
229、配伍题 男尿道管最狭窄的部分是()中央有精阜的是()尿道球腺开口于()
A.前列腺上部
B.膜部
C.海绵体部
D.尿道球部
E.射精管
230、判断题 膈的圆顶偏内侧及前方,所以呈外高内低,后高前低。
231、单项选择题 有关照射野的叙述,错误的是()
A.X线球管发射锥束X线
B.X线入射被照体曝光面的大小称照射野
C.摄影时照射野应尽量大
D.摄影中的X线有一定的穿透能力
E.X线束中心部分的X线为中心线
232、多项选择题 下列关于提携角的描述,正确的有()
A.肱骨纵轴与桡骨在内下方夹角
B.肱骨纵轴与尺骨在内下方夹角
C.女大于男
D.男大于女
E.正常范围5~2O之间
233、单项选择题 关于X线的叙述,错误的是()
A.X线是一种电磁波
B.X线波长,穿透力弱
C.L层比M层产生的X线波长长
D.L层比M层产生的X线波长短
E.X线波长与电子所在壳层有关
234、单项选择题 缩窄性心包炎的特征性X线征象是()
A.心影近似三角形
B.两心缘僵直,分界不清,伴胸膜炎改变
C.心脏搏动减弱,消失
D.上腔静脉扩张
E.心包壳状钙化
235、单项选择题
男,27岁,胸痛,胸片检查如图,最可能的诊断是()

A.右上肺炎症
B.右上肺脓肿
C.右上肺结核
D.右上肺不张
E.右上肺癌
236、单项选择题 下列属于肾的正常变异有()
A.马蹄肾
B.海绵肾
C.驼峰肾
D.多囊肾
E.油灰肾
237、单项选择题 类风湿关节炎的好发年龄为()
A.40~60岁
B.10岁以下
C.20~45岁
D.10~20岁
E.60岁以上
238、单项选择题 视神经孔后前轴位摄片,矢状面与台面呈()
A.33°
B.43°
C.53°
D.63°
E.73°
239、单项选择题
女,6岁,低热,盗汗,咳痰,呼吸困难1月余,结合图像,最可能的诊断是()

A.肺脓肿
B.大叶性肺炎
C.右肺中叶综合征
D.肺癌
E.胸腔积液
240、单项选择题 肺结核的卫星灶的病理改变是下列哪项()
A.渗出灶
B.增殖灶
C.纤维化灶
D.空洞
E.钙化灶
241、问答题 根周病有哪些X线表现?
242、单项选择题
男,66岁,近1月来感胸闷,有时低热,胸片如图,最可能的诊断为()

A.化脓性胸膜炎
B.结核性胸膜炎
C.右下肺炎症
D.右下肺不张
E.右侧胸腔积液
243、多项选择题 关于黄韧带的断层解剖,正确的是()
A.宽度不超过5mm
B.黄韧带位于关节突和椎板的内侧缘
C.呈尖端向后的“V”形线条影
D.黄韧带后缘紧贴椎管内缘
E.前方与硬膜囊之间隔以低密度的脂肪组织
244、单项选择题 “骨龄延迟”可见于()
A.垂体性侏儒
B.肾上腺皮质增生
C.松果体瘤
D.Albright综合征
E.以上都不对
245、单项选择题 男,25岁,股骨颈骨折金属物内固定后复查,如了解骨折对位、对线情况,最佳方法是()
A.X线透视
B.X线平片
C.CT
D.CT三维重建
E.MRI
246、名词解释 青枝骨折
247、单项选择题 胆脂瘤型中耳炎的典型影像特点为()
A.多发生于气化型乳突
B.病变位于乳突气房内
C.病灶有硬化缘
D.病变大小多为3~5cm
E.平片示圆形高密度
248、多项选择题 马方(Marfan)综合征病变主要侵犯()
A.肺
B.眼
C.心血管
D.骨骼
E.神经
249、单项选择题 厚壁空洞的洞壁厚度往往超过()
A.2mm
B.3mm
C.10mm
D.6mm
E.8mm
250、单项选择题 “肾乳头坏死”与下列哪种病变无关()
A.酒精中毒
B.镰状细胞贫血
C.肾小球肾炎
D.地中海贫血
E.肾结核
251、单项选择题 头颅平片的诊断价值,下述观点哪项不正确()
A.显示颅内血肿
B.显示颅内金属异物
C.显示骨折
D.显示颅骨发育情况
E.显示颅内病理性钙化
252、问答题 房间隔缺损的X线表现有哪些?
253、单项选择题 影响乳腺癌预后的最主要因素()
A.病人年龄
B.是否绝经
C.肿块大小
D.手术切除范围
E.癌肿本身生物学特性
254、判断题 进行性骨化肌炎在急性期常有典型的X线、CT征象。
255、多项选择题 早期食管癌分为()
A.硬化型
B.平坦型
C.溃疡型
D.凹陷型
E.隆起型
256、多项选择题 四肢长管状骨骨折的临床表现为()
A.患肢功能障碍
B.患肢缩短
C.保护性姿势
D.骨折局部肿痛、变形
E.活动患肢可听到磨擦音
257、单项选择题 “霉菌球”是哪种疾病的影像特征()
A.曲菌病
B.隐球菌病
C.组织胞浆菌病
D.奴卡菌病
E.放线菌病
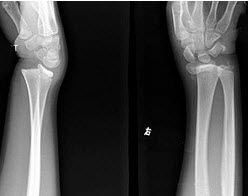
258、单项选择题
男,7岁,肘部外伤,根据所示图像,最可能的诊断是()
A.尺骨中上段骨折
B.桡骨小头脱位
C.孟氏骨折
D.盖氏骨折
E.以上均不正确
259、单项选择题 成骨型骨肉瘤的特点()
A.肿瘤骨形成为主
B.早期骨皮质受侵
C.软组织肿胀
D.易引起病理骨折
E.骨皮质破坏为主
260、单项选择题
男,28岁,右上肢疼痛,夜间加重,服用止痛药可缓解,结合图像,最可能的诊断是()
A.骨瘤
B.骨软骨瘤
C.骨样骨瘤
D.骨囊肿
E.成骨细胞瘤
261、多项选择题 肺栓塞的X线表现有()
A.肺体积缩小
B.肺淤血
C.肺缺血
D.肺段性梗死
E.心影增大
262、问答题 十二指肠、小肠、结肠正常造影时X线表现如何?
263、问答题 骨骼有哪些基本病变?各有何X线表现?
264、判断题 输尿管肿瘤的直接征象为输尿管梗阻。
265、单项选择题 右主支气管在距气管隆突几厘米处分出右肺上叶支气管()
A.0.5cm
B.1.5cm
C.2cm
D.3cm
E.1cm
266、单项选择题 与平片相比,下列哪项不是CT优势()
A.横断面成像
B.解剖分辨率高
C.密度分辨率高
D.空间分辨率高
E.增强扫描,有利于病变定性
267、名词解释 髌骨软化症
268、单项选择题 “贲门失弛缓症”的造影表现,哪项不正确()
A.食管明显扩张,并迂曲、延长
B.食管蠕动减弱、消失
C.钡剂通过障碍,服解痉剂可缓解
D.食管末端截断性狭窄、表面不平
E.引起食管炎改变
269、单项选择题 下述哪种为厌骨转移性肿瘤()
A.前列腺癌
B.子宫癌
C.肾癌
D.甲状腺癌
E.乳癌
270、问答题 早期食管癌的X线表现有哪些?
271、填空题 输乳窦下方的输乳管逐级分支为_______、_______、_______和_______。
272、单项选择题 成人肾脏测量中,哪项正确()
A.长径10~12cm,宽径5~6cm
B.长径12~14cm,宽径6~8cm
C.长径12~13cm,宽径5~6cm
D.长径10~15cm,宽径6~8cm
E.长径12~13cm,宽径8~10cm
273、单项选择题 输尿管结核患者,静脉肾盂造影的典型表现为()
A.输尿管不规则狭窄和扩大,呈串珠状,边缘呈虫蚀状
B.输尿管囊样扩张
C.输尿管内见圆形致密影
D.输尿管扭曲
E.输尿管内见不规则透光影
274、判断题 骨质疏松严重者骨密度与周围软组织接近,骨小梁几乎完全消失。
275、判断题 骨外骨肉瘤是起源于骨外的、分化程度较高的恶性成骨性骨肿瘤。
276、单项选择题 关于胶片本底灰雾的叙述,错误的是()
A.是照射量等于零时照片所具有的密度值
B.位于特性曲线的趾部
C.是胶片曝光后产生的最小密度值
D.片基灰雾和乳剂灰雾组成
E.与乳剂感光中心的大小和数目有关
277、单项选择题 胚胎时期头部腹侧面有鳃弓()
A.1对
B.2对
C.4对
D.6对
E.8对
278、单项选择题 肺肿块影直径一般不大于4cm的是下列哪项()
A.转移瘤
B.肺癌
C.肺脓肿
D.肺动静脉瘘
E.坏死性肉芽肿
279、单项选择题 肺源性心脏病主要表现是()
A.左心房、右心室增大
B.左心房,右心室增大
C.右心房增大
D.左心室增大
E.右心室肥大
280、单项选择题 关于“小肠Crohn病”影像的描述,错误的是()
A.环肠壁对称性侵犯
B.鹅卵石征
C.小肠多发狭窄
D.肠壁增厚
E.口疮样小溃疡
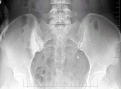
281、单项选择题
女,50岁,因右侧骶髂关节疼痛半年伴左下腹部疼痛,血尿1天,X线检查如图所示,最可能的诊断是()
A.右侧骶髂关节炎
B.右侧致密性骶髂关节炎
C.左侧输尿管下端结石
D.右侧致密性骶髂关节炎;左侧输尿管下端结石
E.以上均不正确
282、单项选择题 下述肺动脉高压的胸片表现,错误的是()
A.心腰凹陷
B.肺动脉段突出
C.肺动脉主干增粗
D.高流量肺动脉高压者,全肺纹理增多、增粗
E.阻塞性肺动脉高压者,右下肺动脉常有截断现象
283、多项选择题 下列摄片用语,错误的是()
A.中心线向肢侧倾斜
B.中心线向手侧倾斜
C.中心线向足侧倾斜
D.中心线向头侧倾斜
E.中心线向地面倾斜
284、填空题 神经纤维瘤病变主要为起源于__________的多发性神经纤维瘤,可累及________和_________。引起的症状依侵犯不同的神经有所不同,常可致____________和___________,皮肤受累主要表现为____________。
285、名词解释 大骨节病
286、单项选择题 肘关节侧位摄影,叙述错误的是()
A.肘关节屈曲呈90°角
B.尺侧靠近台面
C.手掌面与台面垂直
D.五指紧贴台面
E.肩部与肘部平齐
287、单项选择题
根据所提供图像,最可能的诊断是()
A.Colles骨折
B.Smith骨折
C.未见异常
D.舟骨骨折
E.骺离骨折
288、单项选择题 关于优质X线图像质量标准的叙述,下列说法错误的是()
A.尽量多的图像斑点
B.适当的密度
C.良好的对比度
D.较高的分辨率
E.微小的失真度
289、单项选择题 DR与CR相比()
A.时间分辨力和空间分辨力均不足
B.时间分辨力好,空间分辨力不足
C.时间分辨力不足,空间分辨力好
D.时间分辨力和空间分辨力均较高
E.均可进行透视
290、单项选择题 食管静脉曲张是下列哪种疾病的重要并发症()
A.食管癌
B.贲门癌
C.肝癌
D.肝硬化
E.胰腺癌
291、单项选择题 于斯氏位摄片的叙述,错误的是()
A.被检者俯卧于摄片床上
B.被检侧额颧鼻部紧贴暗盒(或床面)
C.头颅矢状面与床面成45°
D.听眦线与暗盒前缘保持垂直
E.中心线向足侧倾斜12°
292、多项选择题 肺静脉高压的常见X线影像有()
A.间质性肺水肿
B.肺泡性肺水肿
C.肺门减小
D.左房增大
E.含铁血黄素沉着
293、判断题 继发性骨肿瘤多发生在膝关节和肘关节以远的部位。
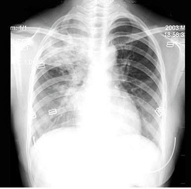
294、单项选择题
患者,女,46岁,胸闷气短1月,伴全身乏力,咳嗽,发热。胸片示:中上纵隔增宽,右缘呈波浪状改变。白细胞:8.5×10/L。
最可能的诊断是()
A.胸内甲状腺
B.胸腺瘤
C.右侧中心型肺癌
D.淋巴瘤
E.畸胎瘤
295、填空题 脾增大明显时可引起____________、___________和_____________。
296、多项选择题 迷走神经兴奋时可引起()
A.消化道张力增高
B.消化道张力减低
C.胃肠排空加快
D.胃肠蠕动减弱
E.胃肠蠕动增强
297、单项选择题 下面结节病的X线表现中,错误的是()
A.可见指骨囊性病变
B.肺门淋巴结也肿大
C.有时纵隔淋巴结也肿大
D.在肺野可见索条、颗粒、斑状阴影,呈离心分布
E.多两肺受累
298、判断题 Turner综合征的X线表现为掌骨征阳性,骨骺骨化中心出现时间正常。
299、单项选择题 产生X线对比度小的组织与器官()
A.消化道,血管,脂肪
B.血管,生殖系统,脂肪
C.泌尿系统,血管,脂肪
D.消化道,血管,生殖系统
E.生殖系统,泌尿系统,脂肪
300、问答题 正位胸片上哪些正常软组织影易被误认为病变?