时间:2025-09-07 22:46:34
1、单项选择题
男,阴囊下坠不适,胀痛,平卧症状缓解。查体:阴囊下垂松弛,并可触及结节状静脉曲张。
最可能的诊断是()
A.鞘膜积液
B.血管瘤
C.肿瘤
D.精索静脉曲张
E.感染
2、名词解释 抱球征
3、名词解释 Page肾
4、单项选择题 关于阴性对比剂的叙述,错误的是()
A.氧气属阴性对比剂
B.空气有产生气体栓塞的危险
C.空气在器官内吸收较慢
D.二氧化碳的溶解度较大
E.氮气常用作对比剂
5、单项选择题 X线透过被照体后形成的X线强度的差异,称为()
A.人工对比度
B.天然对比度
C.射线对比度
D.胶片对比度
E.照片对比度
6、单项选择题 男,19岁,右股骨上段骨折行股骨髁上牵引时摄片发现:髁上内后侧骨皮质缺损,边缘清楚硬化,缺损区内呈不规则斑片骨化影。追问病史,局部无任何不适,最可能的诊断是()
A.骨纤维异常增殖症
B.纤维性皮质骨缺损
C.骨化性纤维瘤
D.非骨化性纤维瘤
E.骨结核
7、单项选择题 脾脏最常见的原发恶性肿瘤是()
A.转移性肿瘤
B.恶性淋巴瘤
C.网织细胞肉瘤
D.纤维肉瘤
E.血管肉瘤
8、单项选择题 腰椎间盘疝可以形成椎间盘游离体,下列关于游离体的描述中,哪项错误()
A.游离体与椎间盘可以在同一层面上
B.游离体可以在椎间盘以上或以下层面
C.游离体密度一般高于硬膜囊
D.游离体密度一般低于硬膜囊
E.游离体一般不增强
9、单项选择题 骨肉瘤的好发年龄为()
A.20~30岁
B.11~21岁
C.10岁以下
D.21~40岁
E.50岁以上
10、单项选择题 只有在病理状态下才能在X线片上见到其影像表现的是()
A.骨膜
B.骨皮质
C.骨松质
D.骨髓腔
E.营养管
11、问答题 气胸的X线表现有哪些?
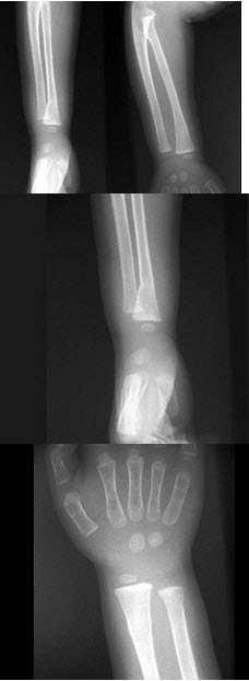
12、单项选择题
出生6个月的男婴,摔地后右手红肿,结合CR片,正确的骨折类型是()
A.青枝骨折
B.横行骨折
C.斜行骨折
D.粉碎性骨折
E.压缩骨折
13、名词解释 shenton线
14、单项选择题 关于胃溃疡X线表现,错误的是()
A.龛影
B.小弯短缩
C.粘膜集中
D.充盈缺损
E.砂钟胃
15、单项选择题 纵隔神经源性肿瘤的好发部位是()
A.后纵隔脊柱旁沟区
B.前下纵隔
C.中纵隔上部
D.中纵隔下部
E.前上纵隔
16、单项选择题 关于腰椎侧位标准片的说法,下列哪项不妥()
A.第12胸椎、第1~5腰椎、腰骶关节显示于照片正中
B.诸椎体各缘除经第三腰椎重叠投影外,其余椎体全均呈双边显示
C.照片应包括各腰椎棘突
D.棘突、腰骶关节、各腰椎椎间隙应清晰显示,对比较好
E.诸椎体结构及骨纹理清晰
17、单项选择题 “麻风病”骨改变特点为是()
A.早期即出现骨质改变
B.主要累及脊柱
C.末节指、趾骨骨质吸收
D.广泛性骨质增生硬化
E.骨气鼓
18、单项选择题 下列疾患的摄片位置选择,哪个不妥()
A.颈肋--以第七颈椎为中心的前后正位
B.颈椎病--常规正侧位
C.1~2颈椎半脱位--1~2颈椎开口位及侧位
D.胸腔开口综合征--包括下部颈椎及双侧锁骨的前后正位
E.颈椎结核--常规正侧位
19、单项选择题 急性化脓性骨髓炎在发病多少时间可出现X线征象()
A.2周后
B.2周
C.2周内
D.即刻
E.1周内
20、单项选择题 下述“骨纤维异常增殖症”影像表现,哪项不对()
A.骨改变以板障增宽为特征
B.囊状膨胀性病变,有硬化缘
C.可有硬化和斑点样钙化
D.病理骨折后,局部囊络”样
21、单项选择题 关于骨盆摄片错误的叙述是()
A.常用于外伤及骨质破坏的检查
B.骨盆侧位可用于检查异物位置
C.中心线应向足侧倾斜20°角
D.成人摄片都需要使用滤线器
E.骨盆整体片应完全包括骨盆诸骨
22、单项选择题 中年女性,咳嗽、胸痛、胸闷1月余。立位胸片示右下边缘模糊致密影,阴影上缘位于第四前肋水平,外高内低,患侧横膈显示不清,应首先考虑()
A.右侧自发性气胸
B.右下肺实变
C.右下肺不张
D.右侧大量胸腔积液
E.右侧中等量胸腔积液
23、单项选择题 下列气管支气管病变影像特点描述,错误的是()
A.剑鞘状气管,气管扁平状,壁有钙化
B.支气管扩张,病变支气管囊柱状或葡萄状
C.气管软骨瘤,气管腔内软组织肿块
D.气管支气管软化症,气管、支气管狭窄
E.复发性多软骨炎,气管壁增厚、钙化、管腔狭窄
24、单项选择题 婴幼儿摄胸片时,描述错误的是()
A.不能站立的小儿可用仰卧位或俯卧位
B.因小儿胸部厚度较薄,用前后位和后前位照像无明显差别
C.呼气和吸气时摄影无明显差别
D.正常胸腺有时与心脏增大或肺炎相混淆
E.正常也可见气管移位
25、单项选择题 双乳肿块,月经前胀痛,月经来潮后缓解,应首先考虑()
A.乳腺纤维腺瘤
B.乳腺癌
C.急性乳腺炎
D.乳腺结核
E.乳腺囊性增生病
26、填空题 慢性肺脓肿的三大特征是____________、___________和__________。
27、单项选择题 “肺动脉段缩小”最常见于()
A.房间隔缺损
B.法洛四联征
C.三尖瓣闭锁
D.动脉导管未闭
E.Esenmenger综合征
28、填空题 继发性肺结核的X线表现多种多样,如____________、___________、____________、___________、__________、_________和_____________等都可以见到。
29、单项选择题 侧位X线片成人眼眶呈()
A.正方形
B.圆形
C.长方形
D.卵圆形
E.锥形
30、单项选择题 子宫输卵管造影,正常宫腔容积平均为()
A.7ml左右
B.6ml左右
C.5ml左右
D.4ml左右
E.3ml左右