时间:2025-08-28 06:21:49


1、单项选择题 下列哪种组织结构对X线吸收能力最强()
A.骨骼
B.皮肤
C.肌肉
D.含气肺组织
E.尿液
2、单项选择题 化脓性关节炎的X线表现中,下列哪项出现较早且又具有特征性()
A.关节囊增大,密度增高
B.关节间隙增宽
C.关节承重面骨质破坏
D.关节周围骨质疏松
E.病理性关节脱位
3、单项选择题 左右侧肾脏大小差别不应超过()
A.1~2cm
B.3cm
C.2cm
D.1cm
E.2~3cm
4、单项选择题 颈椎张口位摄影,错误的是()
A.上颌切牙咬合面与乳突尖连线垂直于床面
B.头后仰
C.中心线向头侧倾斜15°
D.尽量张大口
E.主要观察寰枢椎
5、单项选择题 慢性阑尾炎最主要的X线表现是()
A.盲肠钡剂滞留
B.阑尾压痛
C.阑尾滞留钡剂
D.阑尾粘连固定
E.阑尾结石
6、单项选择题 在胸部正位取后前立位的原因中,无关的是()
A.立位能正确反映胸部脏器的确切形态
B.立位能观察到产生气液面的病理改变
C.后前位肺组织更靠近胶片,影像清晰
D.后前位肩胛骨易于投影在肺野之外
E.后前位心脏放大率小
7、单项选择题 下列哪一项与紫绀性先天性心脏病无关()
A.发育迟缓
B.骨龄延迟
C.颅骨板障变薄
D.杵状指
E.肋骨切迹
8、单项选择题 室间隔缺损的X线平片表现为()
A.肺血增多,右心房、室增大,主动脉结小
B.肺血增多,左、右心室增大,主动脉结正常
C.肺血减少,右心房、室增大,主动脉结小
D.肺淤血,左心房、右心室增大,主动脉结小
E.肺淤血,右心房、左心室增大,主动脉结正常
9、单项选择题 关于代谢性骨疾病的主要X线表现错误的是()
A.骨质疏松
B.纤维性骨炎
C.骨质硬化
D.骨质增生
E.以上都不是
10、单项选择题 肺淤血的早期X线表现为()
A.上肺静脉扩张
B.肺门影增大模糊
C.肺血管纹理增多模糊
D.肺野透过度减低
E.肺含铁血黄素沉着
11、多项选择题 主动脉型心脏的表现不包括()
A.肺动脉段凹陷
B.心尖上翘
C.主动脉结凸出
D.心尖下移
E.右心室增大
12、单项选择题 新生儿摄取胸部正位时应选择()
A.站立前后位
B.站立后前位
C.仰卧后前位
D.半坐后前位
E.仰卧前后位
13、单项选择题
男,46岁,双髋部疼痛,实验室检查血钙升高,尿本周蛋白(+),结合图像,最可能的诊断是()
A.骨髓瘤
B.骨质疏松症
C.骨转移瘤
D.骨囊肿
E.动脉瘤样骨囊肿
14、单项选择题 左主支气管与气管中线成多少度角()
A.10°~20°
B.20°~30°
C.30°~40°
D.40°~55°
E.50°~60°
15、多项选择题 PACS系统的基本组成包括下列那项()
A.影像存储
B.影像输入
C.检索、应用
D.影像采集
E.影像输出
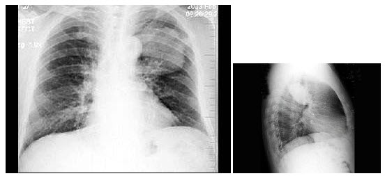
16、单项选择题
男,32岁,2天前被人踢伤胸部,感胸闷、呼吸困难,X线检查如图,最可能的诊断为()

A.左侧气胸
B.左侧胸腔积液
C.左侧胸膜肥厚
D.左侧液气胸
E.左侧肺挫伤
17、单项选择题
男,10岁,左膝关节反复肿胀,伴低热2年,经抗感染效果不佳,结合图像,最可能诊断是()
A.左膝关节结核(滑膜型)
B.左膝关节结核(骨型)
C.左膝关节结核(混合型)
D.左膝化脓性关节炎
E.以上均不正确
18、单项选择题 下述法洛四联征的基本改变,错误的是()
A.主动脉骑跨
B.肺动脉狭窄
C.右心室肥厚
D.高位室间隔缺损
E.三尖瓣下移
19、单项选择题 下面关于三角架骨折的说法不正确的是()
A.额骨骨折,骨折线始于鼻颧缝,向后延伸,通过上颌骨额突、泪骨、筛骨纸板
B.眶底骨折,骨折线通过眼眶前下缘,进入上颌窦,累及上颌窦外侧壁
C.颧弓骨折
D.眼眶外侧壁骨折,骨折线通过额颧缝
E.一般做CT轴位及冠状位扫描
20、单项选择题 周围型肺癌的影像学表现()
A.肺内孤立结节,无分叶,边缘有毛刺,发病前有发热史
B.肺内孤立结节,内有爆米花样钙化
C.右上叶后段结节,边缘光整,周围有卫星灶,增强扫描结节无强化
D.肺内孤立结节,有分叶和毛刺,远端有胸膜凹陷征
E.左下叶后基底段肿块,CT增强扫描示胸主动脉分支进入肿块
21、单项选择题 幼儿胸部正位摄片中心线应()
A.经胸骨角垂直入射
B.经剑突垂直入射
C.经下颌角垂直入射
D.向足侧倾斜10°
E.向头侧倾斜10°
22、单项选择题
3岁,男,发热伴头顶部局限性疼痛1周,右额顶部可见局限性骨缺损,最可能的诊断是()

A.蛛网膜颗粒压迹
B.先天性颅骨缺损
C.嗜酸性肉芽肿
D.局限性骨皮质缺损
E.以上均不是
23、单项选择题 下列有关乳腺癌的描述中,不属X线特征的是()
A.漏斗征
B.酒窝征
C.彗星尾征
D.晕圈征
E.帐篷征
24、单项选择题 与剑突末端至肚脐连线中点位于同一平面的是()
A.第12胸椎
B.第1腰椎
C.第2腰椎
D.第3腰椎
E.第4腰椎
25、多项选择题 肺内空腔影可见于()
A.肺大泡
B.含气肺囊肿
C.肺气囊
D.周围型肺癌
E.囊状支气管扩张
26、多项选择题 急性肺水肿与肺炎急性期的鉴别点为()
A.肺水肿病变发生迅速、动态变化快
B.肺水肿有间隔线阴影
C.肺水肿X线表现为大片状高密度影,边缘清楚
D.肺水肿患者多有心脏及肾脏的原发病
E.肺水肿无发热等肺炎的临床表现
27、多项选择题 脊柱有5个移行带,包括下述哪些()
A.骶尾带
B.颈胸带
C.胸腰带
D.腰骶带
E.枕颈带
28、单项选择题 下述骨骼疾病中,除哪种疾病外均可引起胸椎旁软组织肿胀()
A.胸椎结核
B.强直性脊柱炎
C.嗜酸性肉芽种
D.胸椎肿瘤
E.化脓性脊柱炎
29、单项选择题 “Maffucci综合征”基本病理改变为()
A.骨纤维异常增生症
B.多发性软骨瘤
C.骨骼血管瘤
D.多发性骨瘤
E.肺类癌
30、单项选择题 下列病变,一般不会发生双肺多发钙化的是()
A.肺癌
B.肺结核
C.肺泡蛋白微石症
D.骨肉瘤肺转移瘤
E.矽肺
31、单项选择题 肾上腺常用的检查方法为()
A.X线平片
B.选择性肾上腺动脉造影
C.子宫输卵管造影
D.盆腔动脉造影
E.精囊输精管造影
32、多项选择题 肾实质显影浅淡主要见于()
A.肾功能减退
B.尿路梗阻
C.肾结核
D.肾脓肿
E.低血压
33、单项选择题 关于“肾癌”的影像表现,错误的是()
A.肾影局限性增大
B.肾盂、肾盏移位
C.IVP正常也不能完全除外本病
D.肾盂内可有充盈缺损
E.都有肾盂积水、肾功能降低
34、单项选择题 X线平片上,松果体生理性钙化其直径不应超过()
A.5.0mm
B.7.5mm
C.10.0mm
D.12.0mm
E.6.0mm
35、单项选择题 常于早期即发生淋巴转移的肺癌是()
A.鳞状上皮癌
B.小细胞未分化癌
C.腺癌
D.大细胞未分化癌
E.细支气管肺泡癌
36、单项选择题
男,28岁,摔伤后肩部疼痛,活动受限,结合影像学表现,最可能的诊断是()
A.柯莱斯骨折
B.肱骨头骨折
C.肱骨外科颈骨折
D.加莱阿齐骨折
E.蒙泰贾骨折
37、单项选择题
椎间盘脱出的部位常见于()
A.C1-2
B.T3-4
C.L1-2
D.C7~T1
E.L5~S1
38、单项选择题
男,38岁,右髋关节疼痛不适1年余,跛行,骨盆正位片如图所示,最可能的诊断是()
A.右髋关节退行性骨关节病
B.右髋关节滑膜骨软骨瘤病
C.右髋关节骨化性肌炎
D.以上均不正确
E.以上均正确
39、单项选择题 “泪囊肿瘤”首选的X线检查体位是()
A.柯氏位
B.眼眶正位
C.头颅正位
D.视神经孔位
E.华氏位
40、单项选择题 下述“肺血减少”X线影像,哪项不对()
A.肺门影小
B.肺纹理纤细、减少
C.肺透亮度增加
D.肺门搏动减弱
E.无论哪种原因,心腰均消失
41、多项选择题 关于先天性肾脏病变,下列说法正确的是()
A.异位肾比正常肾的功能更易受损
B.马蹄肾的结石发生率高
C.交叉异位肾的输尿管开口于膀胱同一侧
D.马蹄肾的输尿管从肾联合背侧通过
E.肾脏发育不全者的膀胱三角区可不对称
42、单项选择题 下列造影组合,错误的是()
A.膝关节——空气
B.消化道——钡剂
C.椎管——碘化钠
D.泌尿系——泛影葡胺
E.心血管——复方泛影葡胺
43、多项选择题 支持气管、支气管异物影像诊断的征象有()
A.膈肌矛盾运动
B.肺门影增大
C.肺不张
D.肺气肿
E.纵隔摆动
44、多项选择题 属于腹主动脉分支的有哪些()
A.胃左动脉
B.脾动脉
C.肠系膜下动脉
D.结肠动脉
E.肝总动脉
45、单项选择题 不属于脑颅骨的是()
A.颞骨
B.顶骨
C.上颌骨
D.额骨
E.蝶骨
46、单项选择题 双乳肿块,月经前胀痛,月经来潮后缓解,应首先考虑()
A.乳腺纤维腺瘤
B.乳腺癌
C.急性乳腺炎
D.乳腺结核
E.乳腺囊性增生病
47、单项选择题 肱骨可有如下变异,应除外哪项()
A.肱骨干下1/3前内侧见一钩状突起
B.滑车上孔
C.肘髌骨
D.肱骨外上髁边缘可见与骨干平行之条状影
E.深的结间沟在侧位上如骨皮质缺损
48、单项选择题 关于尘肺,下列知识哪项不对()
A.不规则小阴影,见于非典型矽肺
B.胸膜斑,矽肺主要影像之一
C.长条形大阴影,见于典型矽肺
D.类圆形小阴影,矽肺最常见征象之一
E.不规则小阴影,见于石棉肺、不典型矽肺和其他尘肺
49、单项选择题 提高早期胃癌诊断率宜选用()
A.粘膜法
B.充盈法
C.加压法
D.气钡双重造影
E.低张气钡双重造影
50、单项选择题 不透光性肾结石的首选影像学检查方法是()
A.超声检查
B.腹部平片
C.CT扫描
D.MRI
E.IVP
51、单项选择题 肺淤血的最早X线表现为下述哪项()
A.上肺静脉扩张似鹿角状
B.肺血管纹理增多增粗
C.肺门阴影增大模糊
D.肺野透明度减低如薄纱遮盖
E.肺部间质纤维化
52、多项选择题 成人腹部摄片使用滤线器的理由是()
A.腹部厚度大
B.腹部组织密度高
C.腹部脏器多
D.照射野大
E.腹部气体多
53、单项选择题
男,2岁,阵发性哭闹不安1天,频繁呕吐,腹部拒按,腹部触诊脐右上方可触及包块,行钡灌肠检查,如图所示,最可能的诊断为()

A.肠扭转
B.结肠癌
C.肠穿孔
D.肠套叠
E.以上都不是
54、单项选择题
男,70岁,胸痛,不咳嗽、发热,X线检查如图,最可能的诊断是()
A.左肺结核瘤
B.左侧叶间积液
C.左肺癌
D.左肺炎性假瘤
E.左肺错构瘤
55、多项选择题
女,49岁,进食上腹痛,腹部肠胀气近2天,今肛门已排气,大便已解,结合图像,最可能的诊断为()

A.正常表现
B.慢性胃炎
C.胃溃疡
D.球部溃疡
E.胃粘膜脱垂
56、单项选择题 最常用于“子宫输卵管造影”的造影剂是以下哪项()
A.Gd-DTPA
B.钡剂
C.碘泛酸
D.40%碘化油
E.空气
57、单项选择题 下列组合,哪项错误()
A.膝关节——空气造影
B.心血管——碘油造影
C.消化道——钡剂造影
D.椎管——碘苯酯造影
E.膀胱——双重对比造影
58、单项选择题 下列有关食管造影描述,错误的是()
A.食管粘膜皱襞呈纵行
B.钡剂通过正常贲门时无分流现象
C.为了解胃底结构,应常规服发泡剂
D.充盈缺损不仅见于食管新生物
E.正位充盈像未见异常就可除外食管癌
59、单项选择题 骨瘤Gardner综合征包括()
A.骨瘤、软组织肿瘤、结肠憩室
B.骨样骨瘤、软组织肿瘤、结肠息肉
C.骨样骨瘤、软组织肿瘤、结肠憩室
D.骨瘤、软组织肿瘤、结肠息肉
E.骨纤维异常增殖症、软组织肿瘤、结肠息肉
60、多项选择题 骨质破坏的原因中,正确的有()
A.良、恶性骨肿瘤
B.骨肿瘤样病变
C.甲状旁腺功能低下
D.炎症
E.肉芽肿性病变
61、单项选择题 下列关于“长管状骨结核”的描述,哪项错误()
A.好发于骨干
B.砂粒样死骨
C.易侵犯关节
D.骨质破坏为主
E.骨膜反应轻微
62、多项选择题 神经瘤性角皮病的主要表现有()
A.假关节
B.骨发育异常
C.脊柱侧弯
D.听力障碍
E.运动障碍
63、多项选择题 关于X线管阳极的叙述,错误的是()
A.乳腺机X线管的阳极使用钼靶
B.旋转阳极靶盘直径越大管容量越大
C.靶盘覆以钼石墨层,以增加阳极热容量
D.X线管容量是指阳极热容量
E.旋转阳极管的X线发生效率高于固定阳极管
64、多项选择题 关于脑血管疾病钙化,下列哪些正确()
A.颈内动脉虹吸部钙化呈弧线状
B.慢性硬膜下血肿钙化呈梭形
C.颅内血肿钙化呈团块状
D.司-威(Sturge-Weber)综合征呈平行的线状钙化
E.以上都不对
65、单项选择题
女,5岁,耳鸣,常开口呼吸,睡眠时打鼾,鼻腔分泌物多。X线检查如图所示,最可能的诊断是()
A.鼻息肉
B.扁桃体炎
C.腺样体肥大
D.鼻炎
E.鼻窦炎
66、单项选择题 X线胶片长轴与摄影床长轴平行称()
A.竖向
B.横向
C.立向
D.斜向
E.交叉向
67、单项选择题 锁骨上皮肤皱褶的宽度一般为()
A.2~3cm
B.3~5mm
C.2~3mm
D.5~6mm
E.3~5cm
68、单项选择题 有关脊索瘤的好发部位和X线主要特点的描述中,不正确的是()
A.肿瘤好发于脊柱两端,居中线部位
B.常为膨胀性溶骨性破坏,其中可残存碎骨片或小梁间隔
C.病变周围可出现软组织肿块影
D.50%患者可有钙化
E.绝大多数患者可有骨膜反应
69、单项选择题 可复性食管裂孔疝的定性征象是()
A.胃、食管返流
B.膈上出现胃粘膜
C.食管胃环出现在膈上
D.胃、食管前庭段增宽
E.以上都不是
70、单项选择题 以下选项中,当颅底位投照时,X线中心线应()
A.与听鼻线垂直
B.与听眦线垂直或呈105°角
C.与听口线平行
D.与听口线垂直
E.与听眶线平行
71、单项选择题
男,75岁,右足第1跖趾关节和趾趾间关节疼痛3天,局部红肿,每子夜间痛醒,半年前有类似发作史。
结合右足正斜位片,最可能的诊断是()
A.关节结核
B.化脓性关节炎
C.痛风性关节炎
D.类风湿性关节炎
E.牛皮癣性关节炎
72、单项选择题 食管静脉曲张与食管癌的主要鉴别点是()
A.溃疡
B.隆起
C.管壁柔软
D.黏膜规整
E.梗阻
73、多项选择题 脂肪瘤的起源,下述正确的是()
A.纵隔胸膜下脂肪组织
B.胸壁皮下脂肪组织
C.胸腺脂肪组织
D.结外淋巴组织
E.淋巴未退化的胸腺组织
74、单项选择题 法洛四联症患者,通常不伴有()
A.肺动脉高压
B.右位主动脉弓
C.冠状动脉畸形
D.右心室肥厚
E.左上腔静脉永存
75、单项选择题 关于胶片本底灰雾的叙述,错误的是()
A.是照射量等于零时照片所具有的密度值
B.位于特性曲线的趾部
C.是胶片曝光后产生的最小密度值
D.片基灰雾和乳剂灰雾组成
E.与乳剂感光中心的大小和数目有关
76、单项选择题 左侧主支气管长约()
A.1.5~2cm
B.5~6cm
C.4~7cm
D.10~13cm
E.7~8cm
77、多项选择题 以被照体姿势命名的位置有()
A.经眶位
B.前弓位
C.蛙式位
D.谢氏位
E.切线位
78、单项选择题 下列关于散射线及其影响因素的描述哪项错误()
A.管电压越高,散射线越多
B.在一定厚度内,被照物体越厚散射线越多
C.增感屏速度越快,散射线越少
D.散射线是离开原射线束的折射光子
E.照射野的大小是产生散射线的重要因素
79、单项选择题 有关解剖学方位的描述,下列错误的是()
A.近头为上
B.近体表为浅
C.近正中矢状面为内侧
D.近肢侧为近端
E.近腹为前
80、多项选择题 变压器油的作用是()
A.吸收水分
B.绝缘
C.降低湿度
D.散热
E.增加重量
81、单项选择题 口服钡剂通过小肠到达回盲部时间过缓的诊断标准是()
A.>3小时
B.>4小时
C.>5小时
D.>6小时
E.>7小时
82、多项选择题 下述溃疡性结肠炎晚期表现,正确的是()
A.结肠缩短
B.肠壁僵硬,蠕动消失
C.激惹征
D.骶前间隙变窄
E.“钮扣样”溃疡
83、单项选择题 关于大量心包积液,下列描述哪项不对()
A.球形心
B.肺淤血
C.肺血减少
D.多为结核性
E.心脏搏动度减弱
84、单项选择题 维生素D缺乏病初期最早出现X线改变的部位是()
A.肋骨胸骨端
B.胫骨远侧干骺端
C.桡骨近侧干骺端
D.尺骨远侧干骺端
E.肱骨远侧干骺端
85、多项选择题 腹部泌尿系平片(KUB)诊断学要求可见的结构是()
A.骨骼
B.肾脏轮廓
C.腰大肌影
D.腹壁脂肪线
E.膀胱
86、单项选择题 疑有肺尖处病变应选择的摄影位置是()
A.胸部后前位
B.胸部侧位
C.胸部斜位
D.胸部前弓位
E.胸部点片
87、单项选择题 关于“子宫输卵管造影”禁忌证,错误的是()
A.不孕症
B.分娩、流产、清宫术后6周内
C.内生殖器急性炎症
D.妊娠
E.碘过敏
88、单项选择题
男,19岁,感胸闷、胸前区隐痛,X线检查如图,最可能的诊断是()
A.胸膜肥厚
B.肺部炎症
C.前纵隔肿瘤
D.中纵隔肿瘤
E.后纵隔肿瘤
89、单项选择题
中年男性,腰部不适,伴有阵发性腹痛,行KUB和IVP检查,见下图,你考虑哪种疾病()
A.肾积水
B.肾肿瘤
C.输尿管积水
D.输尿管结石
E.肾囊肿
90、单项选择题 KerleyB线常见于哪种疾病()
A.慢性支气管炎
B.周围型肺癌
C.肺结核
D.室间隔缺损
E.二尖瓣狭窄
91、单项选择题 食管最常见的良性肿瘤是()
A.脂肪瘤
B.血管瘤
C.平滑肌瘤
D.淋巴瘤
E.腺瘤
92、单项选择题 中纵隔最常见的肿瘤是()
A.胸内甲状腺肿
B.神经源性肿瘤
C.胸腺瘤
D.淋巴瘤
E.畸胎瘤
93、单项选择题 大肠哪一段见不到结肠带()
A.盲肠
B.升结肠
C.横结肠
D.降结肠
E.直肠
94、单项选择题 典型的颅骨缺损、尿崩症和突眼三联征出现于()
A.骨嗜酸性肉芽肿
B.尼曼-皮克病
C.勒-薛病
D.高雪病
E.韩-薛-柯病
95、单项选择题 下列哪种表现只见于“脊柱化脓性骨髓炎”,而不见于“脊柱结核”()
A.椎体融合
B.椎间隙变窄
C.椎体骨质破坏
D.骨质硬化
E.椎旁脓肿
96、多项选择题 空、回肠肿瘤的X线表现有()
A.充盈缺损
B.肠套叠
C.龛影
D.肠袢推移
E.肠梗阻
97、多项选择题 X线检查中对被检者防护,应采取的措施()
A.提高国民对放射防护的知识水平
B.正确选用X线检查的适应证
C.做好非检查部位的屏蔽防护
D.采用恰当的X线质
E.严格控制照射量
98、多项选择题 X线管中,阳极靶面的作用是()
A.散热
B.发生X线
C.阻止高速电子
D.完成高压电路的回路
E.产生电子流
99、单项选择题 关于鼻咽癌,其常规X线检查体位是()
A.鼻咽侧位+颅底位
B.头颅侧位
C.颈侧位
D.颅底位
E.鼻咽侧位
100、单项选择题 产生连续X线,是由于高速电子作用于()
A.原子核,使之分裂
B.原子内层轨道电子,使之脱出
C.原子外层轨道电子,使之脱出
D.原子的核电场,损失能量而减速
E.靶物质中的自由电子,使之改变方向
101、单项选择题 下列关于“脊柱结核”描述中,哪项错误()
A.颈椎,后突最少见
B.侧弯,多见于腰椎
C.韧带下型,曲度变化小
D.胸椎,后突最少见
E.椎体嵌入,腰椎最常见
102、单项选择题 确诊肾盂输尿管重复畸形的主要检查方法是()
A.USG检查
B.排泄性尿路造影
C.CT检查
D.MRI检查
E.逆行性肾盂造影
103、单项选择题 增殖型肠结核的X线表现主要为()
A.跳跃征
B.肠腔扩张
C.肠管收缩
D.肠壁增厚
E.以上都是
104、单项选择题 检查眼前部病变的投照位置是()
A.视神经孔位
B.顶颏位
C.眼眶侧位
D.眼眶切线位
E.眼眶正位
105、单项选择题 胸部右前斜位身体冠状面与暗盒呈()
A.15°
B.25°
C.35°
D.45°
E.60°
106、单项选择题 头颅侧位是临床经常拍摄的摄影位置。 头颅侧位摄影中心线经()
A.外耳孔前、上各0.5cm处
B.外耳孔前、上各1.0cm处
C.外耳孔前、上各1.5cm处
D.外耳孔前、上各2.0cm处
E.外耳孔前、上各2.5cm处
107、单项选择题 上颌窦癌最具诊断价值的影像学表现为()
A.上颌窦窦腔密度高伴骨质破坏、周围可见不规则软组织密度肿块
B.上颌窦窦腔密度高伴骨质增生
C.上颌窦窦腔密度高伴骨壁膨胀
D.上颌窦窦腔密度高伴气液面
E.上颌窦窦腔密度高伴同侧鼻腔高密度
108、单项选择题 下列摄片位置,哪项显示正确()
A.颈椎右后斜位显示右侧椎间孔
B.腰椎右后斜位显示左侧椎体的峡部
C.胸椎左后斜位显示右侧椎间关节
D.骶髂关节右后斜位显示右侧骶髂关节面
E.腰椎左后斜位显示右侧椎体的峡部
109、单项选择题 下列哪项不是风湿性心脏病二尖瓣狭窄的基本病理变化()
A.瓣叶粘连
B.腱索纤维化
C.腱索断裂
D.腱索短缩
E.瓣膜下移
110、单项选择题 关于X线防护原则,错误的是()
A.X线工作人员与被检者防护兼顾
B.缩短受照时间
C.个人防护为主,固有防护为辅
D.增加照射距离
E.合理降低全民检查频率
111、单项选择题 坐位或俯卧位,下颏前伸,头颅水平面与胶片呈45°,矢状面垂直胶片,中心线通过鼻前棘垂直胶片,是哪个摄片位置()
A.Water’s氏位
B.Mayer’s氏位
C.Schuller’s氏位
D.汤氏位
E.Rhese’s位
112、单项选择题 投照肩关节喙突卧位前后位时,中心线应()
A.向脚侧倾斜15°~30°
B.向头侧倾斜5°~15°
C.与床面垂直
D.向头侧倾斜15°~30°
E.向头侧倾斜5°~15°
113、多项选择题 滑膜骨软骨瘤病的临床表现包括()
A.本病多见于青少年,男多于女
B.多数病例为双关节病变
C.主要表现为受累关节疼痛、肿胀
D.很少出现关节绞锁现象
E.关节外滑膜骨软骨瘤病可发生在腱鞘和滑液囊
114、多项选择题 口腔颌面部包括哪些器官和组织()
A.口腔
B.面部软组织
C.颌面骨
D.颞颌关节
E.鼻腔
115、多项选择题 肾盂肾炎的X线表现,正确的是()
A.肾影变小
B.肾影边缘光滑
C.肾小盏变形
D.肾盂肾盏可以扩张
E.以上全都正确
116、单项选择题 早发先天性骨梅毒的X线表现中,哪项错误()
A.常累及骨骺
B.Wimberger征
C.骨膜炎
D.干骺炎
E.先期钙化带增宽增浓
117、单项选择题 下列关于肾脏X线解剖描述错误的是()
A.KUB片上肾脏位于第12胸椎到第2~3腰椎两侧
B.侧位片上肾脏影一般在脊柱前缘的后方
C.肾内缘较外缘靠前
D.KUB片上可观察到肾周围的脂肪组织
E.正常情况下,肾上下左右均有一定的移动度
118、多项选择题 溃疡性结肠炎X线表现包括()
A.卵石样或息肉样充盈缺损
B.病变进行性发展
C.结肠边缘很多毛刺状突出,或纽扣般大小龛影
D.常见激惹征象
E.肠管狭缩短、变硬,如僵直的橡皮管
119、单项选择题 下述疾病对骨化中心的出现及愈合均具有促进作用,但除外()
A.甲状腺功能亢进
B.性腺功能亢进
C.肾上腺皮质肿瘤
D.骨纤维异常增殖症
E.伸舌样痴呆
120、单项选择题 关于先天性心脏病的X线表现,下列描述哪项不对()
A.Ebstein畸形:右心房增大
B.肺动脉瓣狭窄:心腰消失
C.动脉导管未闭:右心房大小正常
D.房间隔缺损:主动脉结增大
E.二尖瓣关闭不全:左心室增大
121、多项选择题 肠结核可以发生在下述哪些部位()
A.回肠
B.空肠
C.回盲部
D.十二指肠
E.升结肠
122、单项选择题 由肾近曲小管和(或)远曲小管导致肾内酸碱平衡失调,此病理改变符合()
A.抗维生素D型维生素D缺乏症
B.抗维生素D型维生素D缺乏病伴糖尿病
C.Fanconi综合征
D.肾小管性酸中毒
E.肾小球性骨病
123、多项选择题 泌尿系统结核的主要X线检查方法是()
A.静脉肾盂造影
B.逆行肾盂造影
C.腹部平片
D.B超
E.DSA
124、单项选择题 胸骨角位于哪个连接处()
A.胸骨柄与剑突
B.胸骨体与剑突
C.胸骨柄与胸骨体
D.锁骨与胸骨柄
E.以上都不是
125、单项选择题 “雪人征”是哪种疾病的特征性征象()
A.左室双出口
B.假性动脉干
C.下腔静脉异常回流
D.完全型肺静脉异位引流
E.右肺静脉异常引流入肝静脉、门静脉或下腔静脉
126、单项选择题 子宫输卵管造影的禁忌证是()
A.子宫输卵管慢性炎症
B.子宫输卵管结核
C.子宫输卵管良性肿瘤
D.子宫输卵管位置形态异常
E.子宫输卵管出血
127、单项选择题
男,7岁,右前臂肿痛20天,发病时皮温较高,体温达39℃。实验室检查:WBC:12.05×109/L,中性粒细胞79%。右尺桡骨正侧位DR片如图

A.骨结核
B.骨肉瘤
C.尤因肉瘤
D.软骨肉瘤
E.骨母细胞瘤
128、单项选择题 关于头颅后前位摄片的叙述,错误的是()
A.被检者俯卧于检查床上
B.正中矢状面垂直于台面
C.听眦线垂直于台面
D.暗盒竖放
E.暗盒上缘平颅顶
129、多项选择题 乳腺X线摄片线质的特点是()
A.波长较短
B.波长较长
C.X线能量低
D.X线穿透力较强
E.X线穿透力较弱
130、单项选择题 钡餐示“食管远端鸟嘴样狭窄”,则可除外()
A.贲门失弛缓症
B.食管裂孔疝
C.消化性溃疡
D.胃底贲门癌
E.食管静脉曲张
131、多项选择题 下列胸部疾患X线摄影位置,正确的是()
A.肺下积液-后前位
B.肺癌-常规正侧位加体层摄影
C.慢性支气管炎-后前位深吸气与深呼气位对照
D.包裹性积液-切线位
E.少量胸腔积液-侧卧水平正位或斜位
132、多项选择题 左下叶支气管的分支包括()
A.背支
B.内支和外支
C.前内基底支
D.外基底支
E.后基底支
133、多项选择题 “肝内胆管积气”见于下列哪些疾病()
A.胆管消化道瘘
B.Oddi括约肌功能不全
C.Budd-Chiari综合征
D.小肠系膜扭转
E.肠系膜血管栓塞
134、多项选择题 连续X线透过被照体后使()
A.射线平均能量降低
B.射线平均能量提高
C.射线平均能量接近其最高能量
D.低能光子比高能光子更多地被吸收
E.高能光子比低能光子更多地被吸收
135、多项选择题 中等量心包积液时可见的X线征象为()
A.心影普遍增大
B.上纵隔影变短变宽
C.心尖搏动减弱或消失
D.主动脉搏动正常
E.肺纹理正常或减少
136、单项选择题 关于气管支气管断裂,下列描述错误的是()
A.气胸、纵隔气肿同时出现
B.伤后数小时至数天,出现肺不张
C.肺不张位于横膈上
D.多处肋骨骨折
E.常有大量胸腔积液
137、单项选择题 输尿管结核患者,静脉肾盂造影的典型表现为()
A.输尿管不规则狭窄和扩大,呈串珠状,边缘呈虫蚀状
B.输尿管囊样扩张
C.输尿管内见圆形致密影
D.输尿管扭曲
E.输尿管内见不规则透光影
138、单项选择题 男,16岁,下背痛和晨起僵硬1个月,活动后减轻,伴乏力,低热。 若骶髂关节X线平片显示双侧骶髂关节间隙变窄,边缘模糊,关节面下囊性变,关节两侧硬化,则最可能的诊断为()
A.类风湿性关节炎
B.强直性脊柱炎
C.骶髂关节结核
D.骶髂关节化脓性炎症
E.银屑病关节炎
139、单项选择题 正常胰腺钩突位于()
A.肠系膜上动脉前方
B.脾静脉后方
C.下腔静脉后方
D.十二指肠内侧
E.肠系膜上静脉后方
140、单项选择题 无法发现透光性结石的检查方法为()
A.B超
B.CT
C.腹部平片
D.IVP
E.MRI
141、单项选择题 关于CR的工作原理,错误的是()
A.IP由基层荧光体层和保护层构成
B.透过人体的X线光子以潜影形式储存在荧光层的晶体内
C.透过人体的X线光子被IP转换成数字图像
D.IP在读出装置接受激光束扫描
E.激发束激发出的荧光与潜影成正比
142、多项选择题 位于前纵隔的肿瘤有()
A.胸腺瘤
B.皮样囊肿
C.畸胎瘤
D.神经纤维瘤
E.支气管囊肿
143、多项选择题 骨髓瘤的X线表现包括()
A.广泛性骨质疏松
B.多发性骨质破坏
C.软组织肿块
D.骨质硬化
E.骨质破坏、骨质硬化并存
144、单项选择题 正常小儿前囟闭合的年龄是()
A.3~6个月
B.6个月至1岁
C.1~1.5岁
D.5岁
E.2岁以后
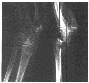
145、单项选择题
男,37岁,右手腕部外伤1.5小时,右腕部肿痛。根据右腕关节正侧位片,应诊断为()
A.Barton骨折
B.Colles骨折
C.Smith骨折
D.Monteggia骨折
E.Bennett骨折
146、单项选择题
男,32岁,中上腹空腹痛,进食后缓解,剑突下轻度压痛,钡餐检查如图,最可能的诊断是()
A.十二指肠癌
B.十二指肠憩室
C.十二指肠球部溃疡
D.十二指肠节段性肠炎
E.十二指肠结核
147、多项选择题 关于支气管囊肿,下列说法正确的是()
A.邻近胸膜增厚,肺体积减小
B.囊肿周围肺组织清晰,邻近胸膜受压
C.可形成张力性含气囊肿
D.囊肿边缘光滑
E.呼吸系统常见的先天性疾病
148、单项选择题
女,65岁,腰背部疼痛,僵硬半年余,结合影像学检查,最可能的诊断是()
A.脊椎肿瘤
B.椎体压缩性骨折
C.化脓性脊柱炎
D.强直性脊柱炎
E.脊椎退行性变
149、单项选择题 近年来,下列肿瘤中呈增加趋势的是()
A.皮肤癌
B.骨肉瘤
C.子宫癌
D.结肠癌
E.肺癌
150、单项选择题 腹部平片上,小肠分六组,十二指肠属于第几组()
A.第一组
B.第二组
C.第三组
D.第四组
E.第五组
151、单项选择题 男,36岁,右下腹痛、低热3月钡餐检查示回肠末端狭窄、管壁较僵硬,粘膜皱襞紊乱,回盲瓣破坏,盲肠袋挛缩,结肠显示不良,根据临床及X线表现,最可能的诊断是()
A.肠结核
B.肠癌
C.肠淋巴瘤
D.结肠息肉恶变
E.肠平滑肌瘤
152、单项选择题 横断面像上,下列基底节解剖描述中哪项不对()
A.内囊前支内侧为尾状核头部
B.内囊后支外侧为纹状体、苍白球
C.内囊前支外侧为纹状体、苍白球
D.内囊后支内侧为中脑
E.纹状体、苍白球外侧是外囊
153、多项选择题 关于类风湿性关节炎,正确的是()
A.多见于中年女性
B.对称性梭形软组织肿胀常见于近侧指间关节
C.对称性梭形肿胀常见于远侧指间关节
D.关节间隙增宽
E.关节间隙狭窄
154、单项选择题 手正位片上,拇指显示为()
A.轴位影像
B.正位影像
C.斜位影像
D.侧位影像
E.切线位影像
155、单项选择题
男,28岁,右上肢疼痛,夜间加重,服用止痛药可缓解,结合图像,最可能的诊断是()
A.骨瘤
B.骨软骨瘤
C.骨样骨瘤
D.骨囊肿
E.成骨细胞瘤
156、单项选择题 “充盈缺损”不是下述哪种疾病的影像特征()
A.增生型结肠癌
B.结肠平滑肌瘤
C.先天性巨结肠
D.盲肠结核
E.结肠息肉
157、单项选择题
女,73岁,吞咽困难2月。体检:咽充血,滤泡增生,最可能的诊断为()

A.会厌征(+)
B.会厌征(-)
C.食管癌
D.食管静脉曲张
E.食管憩室
158、单项选择题 非闭襻性结肠扭转的病理特点是()
A.溃疡形成
B.闭袢形成
C.循环障碍
D.肠腔狭窄
E.炎性浸润
159、单项选择题 在股骨颈骨折并发症中,最常见的是()
A.骨感染
B.骨畸形
C.骨萎缩
D.骨缺血性坏死
E.以上都是
160、单项选择题 如疑似大骨节病的病人,最佳投照体位是()
A.双侧第一跖趾骨正、斜位
B.双侧膝关节正位片
C.双手正位及双踝关节正侧位
D.双侧手腕外展位
E.腰椎正侧位片
161、单项选择题 在胸部后前位片上右心缘的下部是()
A.右心房
B.右心室
C.左心房
D.左心室
E.升主动脉
162、单项选择题 关于腕关节正位摄影,错误的是()
A.多用于外伤检查
B.可用于观察小儿发育情况
C.手呈半握拳状掌面向下
D.中心线对准第三掌骨近端
E.桡腕关节面清晰
163、判断题 肾盂造影检查发现充盈缺损影,可以充分肯定是结石所致。
164、单项选择题 关于急性粟粒型肺结核的说法中,以下不正确的是()
A.肺内阴影与临床症状出现时间大致相同
B.病灶为渗出性或增殖性
C.“三均匀”是其特点
D.大多数病灶吸收约需16个月
E.X线阴影的改善晚于临床症状改善
165、单项选择题 在减少与抑制散射线的方法中,错误的是()
A.使用滤线器
B.空气间隙法
C.增加附加滤过
D.扩大照射野
E.使用准直(遮线)器
166、单项选择题 肺下积液所致的“膈升高”膈顶最高点位于()
A.偏外1/3
B.偏外2/3
C.偏内1/3
D.偏内2/3
E.偏外1/2
167、单项选择题 影响X线照片质量的物理因素,不包括()
A.密度
B.对比度
C.锐利度
D.颗粒度
E.失真度
168、单项选择题 慢性化脓性骨髓炎的X线表现主要表现是()
A.钙化
B.骨膜增生
C.骨皮质增厚
D.骨干增粗
E.骨质硬化增生
169、单项选择题
患者,男,76岁,食管钡餐造影检查示食管壁张力降低,蠕动减弱,钡剂排空延迟,并在食管中下段见到串珠状充盈缺损影。钡餐检查如下图所示:

A.是门静脉高压的重要并发症
B.常见于肝硬化,发生率高达80%~90%
C.早期有明显的症状
D.呕血为主要症状
E.可伴脾大、脾亢或腹水等
170、单项选择题
女,6岁,外伤后左肘部肿痛,活动受限,外髁局部压痛,X线摄片如图,最可能的诊断是()
A.左肱骨小头骨骺损伤
B.左肱骨髁上骨折
C.左肱骨外上髁骨骺损伤
D.左肱骨内髁骨骺损伤
E.左肱骨外髁骨骺损伤
171、单项选择题 对脊柱结核的检查,CT优于X线平片在于显示()
A.椎间隙变窄
B.钙化
C.骨质增生
D.骨质破坏
E.椎管内脓肿
172、单项选择题 常用医用硫酸钡作对比剂的造影部位是()
A.胃肠道造影
B.脑血管造影
C.胆囊造影
D.椎管造影
E.泌尿系造影
173、单项选择题 下列哪项类型的积液可出现外高内低的弧线()
A.游离性胸膜腔积液
B.包裹性胸膜腔积液
C.肺底积液
D.肺囊肿
E.肺脓肿
174、单项选择题 骨组织属于下述哪一种()
A.致密结缔组织
B.胶原纤维
C.弹力纤维
D.嗜银纤维
E.疏松结缔组织
175、单项选择题
男,21岁,高热1周伴胸痛,胸片如图,最可能的诊断为()


A.右上肺周围型肺癌
B.右中肺不张
C.右上肺脓肿
D.右中肺脓肿
E.右上肺硬化性血管瘤
176、单项选择题 关于“茎突综合征”,下列描述哪项错误()
A.临床可有"咽异感症"表现
B.茎突增粗、内斜,长度≥2.5cm
C.后前张口位可了解茎突方向
D.手术切除过长的茎突后,临床症状可改善
E.茎突周围有颈内动脉、颈外动脉和舌咽神经
177、单项选择题 确定泌尿系统先天性发育异常的主要手段是()
A.尿常规
B.影像学检查
C.血液检查
D.DNA检测
E.激素水平检测
178、单项选择题 “假肾征”指的是哪个脏器病变()
A.肾
B.肝
C.肠
D.肝、肾
E.肾、肠
179、单项选择题 下列为溃疡型胃癌的X线征象,错误的是()
A.腔内龛影
B.不规则状粘膜纠集,杵状增粗
C.放射状粘膜纠集,直抵龛影口部
D.指压迹
E.蠕动消失
180、单项选择题
男,23岁,跛行,外展受限,两下肢不等长,结合图像,最可能的诊断是()
A.髋关节中心脱位
B.髋关节后脱位
C.髋关节前脱位
D.先天性髋内翻
E.髋关节结核
181、单项选择题
男,56岁,右髋部疼痛,5年前被确诊为前列腺癌,结合图像,最可能的诊断是()
A.骨纤维异常增殖症
B.转移性骨肿瘤
C.畸形性骨炎
D.内生软骨瘤
E.非骨化性纤维瘤
182、单项选择题 动力过快,指口服钡剂多长时间达到盲肠()
A.2.5小时
B.1.5小时
C.4小时
D.3.5小时
E.3小时
183、多项选择题 主要分布于中纵隔的肿瘤有()
A.心包囊肿
B.霍奇金病(Hodgkindisease,HD.
C.神经源性肿瘤
D.支气管囊肿
E.畸胎瘤
184、单项选择题 输尿管下段结石应注意与下列哪项鉴别()
A.盆腔肿瘤钙化
B.前列腺钙化
C.阑尾结石
D.盆腔内静脉石
E.粪石
185、单项选择题 X线片上正常内听道的宽度平均约为()
A.10mm
B.15mm
C.2mm
D.12mm
E.5mm
186、单项选择题
女,4岁,左腿跛行2个月。结合图像,最可能的诊断是()
A.骨囊肿
B.软骨肉瘤
C.骨肉瘤
D.髋关节结核
E.股骨头骨骺缺血坏死
187、单项选择题 下列有关骨折基本X线征象中,哪项错误()
A.密度增高骨折线
B.骨小梁扭曲/中断
C.密度减低骨折线
D.碎骨片
E.骨骺移位
188、多项选择题 下述哪些属硅酸盐肺()
A.石棉肺
B.滑石肺
C.矽肺
D.农民肺
E.棉尘肺
189、单项选择题
患者,女,28岁,轻咳两月,有盗汗。胸片如图:

A.Ⅰ
B.Ⅱ
C.Ⅲ
D.Ⅳ
E.Ⅵ
190、多项选择题 不属于摄片体位内容的是()
A.摄片距离
B.肢体体位
C.胶片位置
D.中心线入射方向
E.滤线器
191、单项选择题 影像学表现为“双侧肾影增大”,则可除外()
A.急性肾小球肾炎
B.油灰肾,即结核性肾自截
C.双侧重复肾
D.双侧肾盂积水
E.多囊肾
192、多项选择题 引起血清碱性磷酸酶升高的骨病是()
A.成骨性转移瘤
B.纤维肉瘤
C.畸形性骨炎
D.骨肉瘤
E.尤文肉瘤
193、单项选择题 男,19岁,右股骨上段骨折行股骨髁上牵引时摄片发现:髁上内后侧骨皮质缺损,边缘清楚硬化,缺损区内呈不规则斑片骨化影。追问病史,局部无任何不适,最可能的诊断是()
A.骨纤维异常增殖症
B.纤维性皮质骨缺损
C.骨化性纤维瘤
D.非骨化性纤维瘤
E.骨结核
194、单项选择题 男,65岁,咳嗽,右胸痛,痰中带血丝1周。胸部后前位片示:右肺门影增大,右上肺大片状致密影,水平裂呈反“S”样改变。 右上肺大片状致密影侧位片位于()
A.右肺上叶尖后段
B.右肺上叶前段
C.右肺下叶背段
D.右肺中叶
E.右肺上叶
195、多项选择题 一般摄片用X线胶片种类包括()
A.感蓝胶片
B.感绿胶片
C.乳腺摄片用正色胶片
D.清洁用胶片
E.高清晰度摄片用胶片
196、多项选择题 下列疾病好发于前纵隔的有()
A.胸膜心包囊肿
B.纵隔畸胎瘤
C.胸腺瘤
D.神经源性肿瘤
E.淋巴瘤
197、单项选择题 X线机的分类下列哪项不正确()
A.用于透视、摄影和特殊检查的X线机属诊断用X线机
B.按机械结构和运输方式可分为携带式、移动式和固定式
C.用于疾病治疗的属于治疗用X线机
D.按机器的体积分为大、中、小型
E.按机器应用特点分为综合用X线机和专用X线机
198、单项选择题 关于多发性神经纤维瘤的临床表现,叙述正确的是()
A.颅骨缺损
B.纤维瘤
C.皮肤咖啡色素斑
D.脊柱侧弯后突畸形
E.以上都是
199、单项选择题
男,7岁,外伤后突发呼吸困难伴胸痛,结合图像,最可能的诊断是()
A.胸腔积液
B.肺大泡
C.气胸
D.液气胸
E.肺脓肿
200、单项选择题 下列关于乳腺病变的钙化特点描述,错误的是()
A.乳腺癌:成堆分布细盐状钙化
B.浆细胞乳腺炎:较大的圆形、卵圆形钙化
C.纤维腺瘤:环状、块状、斑点钙化
D.乳腺导管扩张症:放射状分布、短管状钙化
E.不同的钙化特征诊断乳腺病变的准确性极高
201、单项选择题 骨关节外伤后行X线检查的目的是()
A.明确有无骨折或脱位
B.了解骨折及脱位的类型或程度
C.了解复位或固定术后的情况
D.观察骨折处愈合情况
E.以上都是
202、单项选择题 下述肺炎性假瘤影像特点,哪项不对()
A.可发生于两肺任何部位
B.肿块圆形,无分叶,多数边缘清楚
C.直径常小于2cm
D.多数质地均匀,偶有空洞
E.邻近胸膜可增厚
203、单项选择题 胃扭转的X线表现是()
A.幽门高于十二指肠球部,胃呈蜷虾状
B.胃呈瀑布状
C.膈上见B环
D.大弯侧呈弧形压迹,胃向左移
E.葫芦状胃
204、单项选择题 下述为节育器在盆腔正位投照时的正常形态,但除外()
A.扁圆形
B.长圆形
C.圆形
D.纵“一”字形
E.横“一”字形
205、单项选择题
男,根据其正常手的影像图像,判断其最可能的年龄()
A.16岁左右
B.26岁左右
C.36岁左右
D.76岁左右
E.56岁左右
206、多项选择题 颅底片,能显示的孔有()
A.棘孔
B.破裂孔
C.卵圆孔
D.视神经孔
E.颈静脉孔
207、单项选择题
女,23岁,反复上腹部疼痛伴黑便2年余,呕吐3天。有血吸虫病史,曾行脾脏切除。结合图像,最可能的诊断为

A.正常食管
B.食管静脉曲张
C.食管胃底静脉曲张
D.贲门失弛缓
E.食管癌
208、单项选择题
下列各肺叶肺不张的摄影位置的选择,哪项是错误的()
A.下叶肺不张--常规正侧位加斜位
B.中叶肺不张--常规正位加弓位或侧位
C.左小叶肺不张--左侧位
D.右上叶肺不张--常规正位
E.盘状肺不张--常规正位
209、单项选择题 肺动脉高压一般不出现于()
A.二尖瓣狭窄
B.二尖瓣关闭不全
C.慢性支气管炎、肺气肿、肺心病
D.肺动脉狭窄
E.房间隔缺损
210、单项选择题 人体由多少块骨组成()
A.204块
B.205块
C.206块
D.207块
E.208块
211、单项选择题 以下关于关节运动,错误的是()
A.关节组成骨相互靠近,角度减小称为"屈"
B.关节骨向腹侧面靠近者为"内收"
C.骨绕矢状轴做旋转运动,骨的前面向内旋转称为"旋内"
D.内收与外展相对
E.部分肢体摄影位置需要关节呈一定运动状态
212、单项选择题 在胸片上不显示蜂窝状影的是()
A.硬皮病
B.肺结节病
C.血行转移瘤
D.组织细胞增生症X
E.弥漫性肺纤维化
213、多项选择题 先天子宫发育畸形包括()
A.鞍形子宫
B.半隔子宫
C.双角子宫
D.单角子宫
E.纵隔子宫
214、单项选择题 普通X线胶片采用的卤化银主要是()
A.AgBr
B.AgCl
C.AgI
D.AgF
E.AgBr+AgF
215、单项选择题 下列哪项不是直接引入造影法()
A.口服法
B.灌注法
C.穿刺注入法
D.静脉注入排泄法
216、单项选择题 下列尤文肉瘤的X线表现中,哪项不符合()
A.骨干中心型病灶位于骨干中段髓腔内,呈弥漫性骨质疏松及斑点状、虫蚀样破坏
B.骨干周围型其皮质外缘常呈蝶形破坏,肿瘤多呈卵圆形或分叶状向外扩展
C.干骺中心型位于干骺端中央,骨质破坏与骨质硬化同时出现
D.发生于骨外者表现为大小不等的软组织肿块,边界不清
E.干骺周围型位于干骺端边缘,多呈膨胀性骨破坏
217、单项选择题 观察舟状骨,应该摄()
A.腕关节后前位
B.腕关节侧位
C.腕关节尺侧偏展位
D.腕关节斜位
E.手后前位
218、单项选择题 佝偻病恢复期长骨X线特征为()
A.骨质增生硬化
B.先期钙化带重新出现
C.杯口状改变
D.骨骺与干骺端距离加大
E.骨质疏松
219、多项选择题 关于肺转移瘤,正确的是()
A.许多部位的原发性肿瘤可转移至肺内
B.肺转移瘤患者少有呼吸道症状
C.血行转移X线表现为两中下肺野散在小结节或棉球样阴影
D.淋巴结转移X线表现为双中下肺野模糊网格状影
E.以上都不是
220、单项选择题 关于食管癌的基本X线征象的说法,错误的是()
A.粘膜皱襞紊乱、破坏
B.不规则腔内充盈缺损
C.管壁僵直,蠕动消失
D.纵隔内软组织肿块
E.恶性溃疡龛影
221、单项选择题 消化系统肿瘤转移至肝脏的主要途径是()
A.门静脉
B.肝动脉
C.肝静脉
D.胆管系统
E.下腔静脉
222、单项选择题 不适于做膀胱造影的对比剂是()
A.碘化钠
B.复方碘化钠
C.泛影葡胺
D.碘化油
E.过滤空气
223、多项选择题 先天性巨结肠在钡剂灌肠以前应注意的有关事宜有()
A.不用泻药
B.重复灌肠
C.肛管不宜放置过高
D.钡剂注入速度不宜过快
E.调节钡剂用等渗盐水
224、单项选择题 下列关于“外伤性主动脉瘤”的描述,错误的是()
A.常见于突然速伤
B.上纵隔影增宽
C.多伴心脏挫伤
D.好发于降主动脉处
E.是主动脉假性动脉瘤常见原因
225、单项选择题 下列哪项不属于膀胱造影的术前准备()
A.排尿
B.清洁肠道
C.备好导尿管
D.碘过敏试验
E.备好注射用水和容器
226、单项选择题 下列病毒性肺炎影像的特点,错误的是()
A.肺部影像形式多样
B.晚期可有间质纤维化
C.影像改变比细菌性肺炎快
D.可有肺气肿表现
E.影像改变比细菌性肺炎慢
227、单项选择题 解除因腹部加压引起迷走神经反应的最有效措施是()
A.抗休克措施
B.注射阿托品
C.注射肾上腺素
D.立即解除压迫
E.输液加速对比剂的排泄
228、单项选择题 胸片上,双侧肺门影增大可见于()
A.大叶性肺炎
B.慢性纤维空洞型肺结核
C.法洛四联征
D.慢性肺源性心脏病
E.肺隔离症
229、多项选择题 用呼气相X线片诊断有重要价值的疾病是()
A.支气管异物
B.肺气肿
C.肺炎
D.细支气管炎
E.胸膜炎
230、单项选择题 经肝排泄的静脉注射对比剂有()
A.胆影葡胺
B.碘酞葡胺
C.碘葡酰胺
D.碘番酸
E.碘卡酸
231、单项选择题 心脏右前斜位投照的旋转角度一般为()
A.30°~45°
B.45°~55°
C.50°~55°
D.55°~60°
E.50°~60°
232、单项选择题 导致X线照片运动模糊的因素,可暂时控制的是()
A.呼吸
B.心脏搏动
C.胃肠蠕动
D.痉挛
E.血流
233、单项选择题 中央型肺癌伴右上肺不张的影像特征是()
A.右下三角征
B.横S征
C.心后三角征
D.薄饼征
E.彗星征
234、单项选择题
图示为正常胃的分型,结合图像,最可能的诊断为()
A.胃扭转
B.牛角型胃
C.钩型胃
D.瀑布型胃
E.无力型胃
235、单项选择题 急性粟粒型肺结核X线可见()
A.肺野呈毛玻璃样密度增高
B.均匀分布、大小密度相同的粟粒状病灶
C.正常肺纹理常不能显示
D.以上都是
E.以上都不是
236、多项选择题 下列对X线属高感受性组织器官的是()
A.生殖腺
B.淋巴组织
C.骨
D.脂肪
E.造血组织
237、单项选择题 慢性十二指肠球部溃疡最常见的X线征象是()
A.龛影
B.粘膜集中
C.激惹征
D.球部变形
E.管腔狭窄
238、单项选择题 许莫结节是指椎间盘()
A.向后突出
B.向椎间孔突出
C.向椎旁突出
D.向椎体内突出
E.向前突出
239、多项选择题 在泌尿系统影像学检查中,尿路造影是常用的检查方法,其主要是指哪些检查()
A.X线排泄性尿路造影
B.X线逆行性尿路造影
C.CT尿路造影
D.MR尿路造影
E.核素扫描
240、单项选择题 胃溃疡多见于()
A.胃窦部
B.胃窦幽门前区
C.幽门管
D.胃小弯与胃角附近
E.胃大弯
241、单项选择题 应用于医学领域最早的辐射能源是()
A.β线
B.γ线
C.X线
D.钴
E.镭
242、单项选择题 神经根走行于()
A.神经孔上部
B.神经孔中央
C.神经孔下部
D.椎静脉前方
E.紧贴关节突
243、单项选择题 靶面倾角是X线管的()
A.电参数
B.结构参数
C.容量参数
D.极限参数
E.以上都是
244、单项选择题 以下对于胸片诊断的描述,哪项不正确()
A.有被CT、MRI取代的可能
B.良好的天然对比是胸片检查的有利条件
C.不能检出某些早期或微小病变
D.正位胸片难以显示心后间隙、后肋膈角区病变
E.可诊断大多数胸内病变
245、单项选择题 关于奇静脉,下列哪项不对()
A.气管、左主支气管分叉处,有时可见到奇静脉
B.气管、右主支气管分叉处,有时可见到奇静脉
C.侧位片,有助于鉴别奇静脉和气管旁肿大淋巴结
D.腔静脉闭塞、门脉高压时,奇静脉可扩张
E.由左侧腰升静脉延伸而来
246、单项选择题 “消化道恶性肿瘤”,钡餐检查不能显示的是()
A.管壁僵硬
B.管腔狭窄
C.粘膜破坏、消失
D.腔内充盈缺损
E.狭颈征
247、单项选择题 子宫输卵管造影的适应证包括下列哪项()
A.不孕症
B.生殖道畸形
C.子宫不正常出血
D.观察各种绝育措施后输卵管的情况
E.以上全是
248、多项选择题 前臂前后位摄片,中心线投射方法是()
A.对准尺桡骨茎突中点
B.对准鹰嘴突
C.对准前臂中点
D.垂直射入暗盒
E.倾斜20°射入暗盒
249、单项选择题 膈上肋骨摄影,采用的呼吸方式为()
A.浅呼吸屏气
B.深呼气屏气
C.深吸气屏气
D.平静呼吸屏气
E.腹式呼吸屏气
250、单项选择题 关于跟骨侧位叙述错误的是()
A.被检侧足部外踝紧贴暗盒并置于胶片中心
B.距骨下关节面呈切线位显示,关节间隙清晰显示
C.照片显示包括踝关节
D.跟骨纹理显示清晰
E.中心线对准内踝
251、单项选择题 下列有关“先天性骨梅毒”影像学特征是()
A.Charcot关节
B.军刀腿
C.长骨广泛型增生、硬化,髓腔消失
D.骨膜下、皮层内局限型骨质破坏
E.Wasp-Waist征
252、单项选择题 下列哪项,不符合肥厚型心肌病X线表现()
A.心脏可呈主动脉型
B.肺血管纹理常正常
C.心脏增大
D.心脏搏动无特殊,可增强、减弱或正常
E.部分可见左房、右室增大
253、多项选择题 在婴儿腹部立位片上见不到“双泡征”的疾病有()
A.环状胰腺
B.胎粪性肠梗阻
C.肥大性幽门狭窄
D.肠旋转不良
E.先天性十二指肠闭锁
254、单项选择题 颅骨骨髓瘤的典型X线表现为()
A.溶骨性骨质破坏
B.瘤骨形成
C.葱皮样骨膜反应
D.穿凿样骨质破坏
E.放射状骨针
255、多项选择题 在X线诊断中“肺门”包括以下哪些结构()
A.肺动脉
B.肺静脉
C.支气管
D.淋巴管
E.肺根
256、单项选择题 支气管扩张的X线影像表现,下述哪项不对()
A.胸片正常可除外此病
B.局部肺纹理增多、走行紊乱
C.囊状或蜂窝状影
D.不规则杵状致密影
E.不规则管状透明影
257、单项选择题 下列“十二指肠”解剖特点,错误的是()
A.憩室好发于降部
B.十二指肠各段均为羽毛状皱襞
C.球部蠕动为整体性收缩
D.十二指肠乳头位于十二指肠降部内侧
E.岬部位于降部内侧
258、多项选择题 硬化型骨髓炎的X线表现不包括()
A.骨质硬化增生
B.骨内膜增生
C.骨外膜增生
D.骨脓肿
E.死骨形成
259、单项选择题
男,58岁,咳嗽、发热1周余,无痰中带血,无胸痛,X线胸片如图,最可能的诊断是()

A.右上肺不张
B.右上肺结核
C.右上肺炎症
D.右上胸膜肥厚
E.右上肺癌
260、单项选择题 男,28岁,反复右上腹痛1年,进食后可缓解,有时夜间疼痛明显。 若影像学检查显示胃幽门痉挛,开放延迟,胃分泌液增多,最有可能的诊断为()
A.胃癌
B.胃溃疡
C.十二指肠溃疡
D.慢性胃炎
E.慢性胰腺炎
261、单项选择题 胎儿出生前受X线照射,引起智力低下的主要时期是()
A.5~7周
B.8~15周
C.16~20周
D.21~25周
E.26~30周
262、多项选择题 血供丰富的肝转移癌多表现为()
A.供血血管增粗
B.动静脉瘘
C.病理血管
D.肿瘤染色
E.血管受压弯曲
263、单项选择题
女,6岁,低热,盗汗,咳痰,呼吸困难1月余,结合图像,最可能的诊断是()
A.肺脓肿
B.大叶性肺炎
C.右肺中叶综合征
D.肺癌
E.胸腔积液
264、单项选择题 X线的产生,下列哪项不正确()
A.高速电子流突然受阻
B.自由电子群变成高速电子流
C.电压差
D.99%以上动能转变为X射线
265、多项选择题 胰头癌低张十二指肠造影的X线征象为()
A.十二指肠曲扩大
B.十二指肠曲缩小
C.十二指肠内缘呈反“3”字征
D.十二指肠内缘双边征
E.十二指肠内侧呈锯齿状
266、单项选择题 关于头颅正侧位摄片,中心线射入点与体表定位点的位置,哪个是对的()
A.头颅的正位,中心线应向头侧倾斜15°,经眉间射入胶片
B.头颅后前正位,中心线应向足侧倾斜15°,经眉间射入胶片
C.头颅侧位,中心线应通过听眦线正中垂直射入胶片
D.蝶鞍体表定位于外耳孔前2.5cm,再向上2.5cm处
E.蝶鞍体表定位于听眦线中,后1/3交点向上2cm处
267、单项选择题 骨巨细胞瘤好发于()
A.不规则骨
B.扁骨
C.股骨的远端、胫骨的近端
D.椎体骨
E.短骨干骺端
268、单项选择题 下列关于上肢摄影的注意事项中,错误的是()
A.至少包括一个关节
B.幼儿骨关节应摄取双侧
C.必须使用滤线设备
D.焦-片距一般为75~100cm
E.注意X线防护
269、单项选择题 经肝脏排泄的口服对比剂是()
A.胆影钠
B.碘番酸
C.胆影葡胺
D.泛影葡胺
E.甲泛葡糖
270、多项选择题 胸片上,肺内网状、蜂窝状阴影多见于()
A.间质性肺炎
B.尘肺
C.含铁血黄素沉着病
D.间质纤维化
E.急性粟粒型肺结核
271、单项选择题 正常后前位胸片上,左心缘见不到()
A.主动脉结
B.肺动脉段
C.右心室
D.左心耳
E.左心室
272、多项选择题 肺门淋巴结增大可见于()
A.结节病
B.干燥综合征
C.原发性肺结核
D.白血病
E.肺淀粉样变性
273、单项选择题 骨骺损伤的表述,错误的是()
A.干、骺愈合前骨骺部发生的创伤,也称骨骺分离
B.约30%骨骺损伤继发肢体短缩或成角畸形
C.X线平片表现为骨骺移位、骺板增宽及临时钙化带模糊或消失
D.X线平片可以显示二次骨化中心骨化前的骨骺损伤
E.MRI显示骺板的纤维桥和骨桥最佳
274、多项选择题 乳腺恶性病变钙化的X线特点为()
A.钙化边缘模糊
B.多呈泥沙样、细粒状
C.形态多不规则
D.钙化一般位于肿块内
E.密度较一致
275、单项选择题 右肺门角是哪两种结构的夹角()
A.右中叶静脉和右下肺动脉
B.右下肺动脉干和右主支气管
C.右上叶下后静脉干和右下肺动脉
D.右上叶下后静脉干和气管
E.右上叶下后静脉和右主支气管
276、单项选择题 下列关于肺部组织胞浆菌病影像特点,正确的是()
A.常侵犯胸膜、胸壁,形成瘘道
B.中下肺斑点状、云雾状影
C.两肺粟粒样病灶
D.空洞内有“霉菌球”
E.双肺磨砂玻璃样改变
277、单项选择题 关于X线机高压交换闸的错误叙述是()
A.机械强度要求高
B.用来切换正负高压
C.可用一般继电器代替
D.用来切换灯丝电压
E.必需浸在绝缘油中使用
278、单项选择题 以下选项中不参与蝶鞍构成的是()
A.鞍结节
B.鞍背
C.斜坡
D.鞍底
E.前床突
279、单项选择题 关于肾盂造影的叙述,错误的是()
A.静脉法简单易行
B.静脉法必须行碘过敏试验
C.能显示肾盂肾盏的形态变化
D.肾功能丧失时尽量采用静脉法
E.静脉法可了解肾脏的排泄功能
280、单项选择题 关于乳腺摄影,错误的是()
A.采用近距离摄影,使用高分辨率胶片
B.常规摄取内外斜位和头尾位
C.因乳腺均为软组织,故不需加压
D.必要时进行放大摄影提高分辨率
E.乳腺皮肤应平坦,乳头呈切线位
281、单项选择题 下列发育异常性疾病中,哪种罕有先天性心脏病()
A.Marfan综合征
B.Klinefelter综合征
C.Pfaundler-Hurler病
D.Ehlers-Danlos综合征
E.脆骨症
282、单项选择题
男,8岁,左上臂外伤后疼痛2小时,结合左肱骨正、斜位片,最可能的诊断为()
A.骨肉瘤
B.尤因肉瘤
C.骨囊肿
D.骨嗜酸性肉芽肿
E.非骨化性纤维瘤
283、单项选择题 颈椎右前斜位摄影,观察的是()
A.右侧椎间孔
B.左侧椎间孔
C.右侧横突孔
D.左侧横突孔
E.椎孔
284、多项选择题 X线发生装置包括()
A.控制装置
B.高压发生装置
C.诊视床
D.X线管
E.影像装置
285、单项选择题 人体水平面又称为()
A.横切面
B.矢状面
C.额状面
D.冠状面
E.正中矢状面
286、单项选择题 有关胸腔内生殖细胞瘤,错误的是()
A.多见于20~40岁
B.多起源于胸腺
C.多位于中纵隔
D.可见有脂肪信号
E.可见有囊性信号
287、单项选择题
男,21岁,手部不慎摔伤,局部疼痛,结合图像,最可能的诊断是()
A.大多角骨骨折
B.小多角骨骨折
C.三角骨骨折
D.月骨骨折
E.舟状骨骨折
288、单项选择题 关于X线影像信息的形成与传递的叙述,下述错误的是()
A.X线管射出的X线强度分布是均匀的
B.X线透过被照体后就形成了X线信息影像
C.被照体是信息源
D.X线是信息源
E.可见光透过照片后在视网膜形成视觉影像
289、多项选择题 下列“无紫绀型先天性心脏病”中,哪些疾病的“肺血正常”()
A.肺动脉狭窄
B.主动脉瓣狭窄
C.主动脉缩窄
D.三尖瓣下移
E.以上均为“肺血正常”的“无紫绀型先天性心脏病”
290、单项选择题 胶片特异性曲线不能反映胶片的()
A.感光度
B.本底灰雾
C.感色性
D.最大密度
E.反差系数
291、单项选择题 肱骨外上髁骨骺出现的年龄为()
A.1岁
B.5岁
C.6岁
D.11岁
E.12岁
292、单项选择题
男,56岁,踝关节肿胀,有糖尿病史,结合图像,最可能的诊断是()
A.创伤性关节炎
B.退行性关节病
C.痛风
D.类风湿关节炎
E.神经性关节病
293、单项选择题 关于肾结核影像特点,下列哪项错误()
A.早期肾影正常
B.肾影可增大
C.早期就有肾盂破坏
D.晚期可为肾自截
E.多为一侧肾脏侵犯
294、单项选择题 部位、大小、数目可一日数变的肺气囊是下列哪种疾病的特征性表现()
A.肺吸虫病
B.肺囊虫病
C.葡萄球菌肺炎
D.过敏性肺炎
E.系统性红斑狼疮肺炎
295、单项选择题 绿色瘤见于下列哪种病()
A.骨髓瘤
B.白血病
C.淋巴瘤
D.组织细胞增生症X
E.镰状细胞贫血
296、多项选择题 马方(Marfan)综合征病变主要侵犯()
A.肺
B.眼
C.心血管
D.骨骼
E.神经
297、单项选择题 肺结核的卫星灶的病理改变是下列哪项()
A.渗出灶
B.增殖灶
C.纤维化灶
D.空洞
E.钙化灶
298、单项选择题 关于视网膜母细胞瘤的影像特点,下述哪项说法是错误的()
A.肿瘤呈乳头样或扁平状,多发病灶
B.单眼发病
C.视神经可增粗,视神经孔可扩大
D.砂粒样、斑块样钙化
E.向球外生长者预后不良
299、单项选择题 关于奇叶描述错误的是()
A.只见于右肺上叶纵隔侧
B.没有独立的支气管
C.奇叶的叶间裂共有四层胸膜
D.可以独立为一个肺叶
E.由右肺尖走向右肺门上方的奇静脉分隔形成
300、单项选择题 向上倾斜指的是()
A.中心线向肢侧倾斜
B.中心线向内侧倾斜
C.中心线向足侧倾斜
D.中心线向头侧倾斜
E.中心线向地面倾斜