时间:2025-08-28 05:45:41


1、单项选择题 外伤性鼻窦积液最好发于下列哪项()
A.上颌窦
B.额窦
C.蝶窦
D.筛窦前组
E.筛窦后组
2、单项选择题 纵隔淋巴结肿大可见于()
A.农民肺
B.大叶性肺炎
C.高原性肺水肿
D.球孢子菌病
E.棉屑肺
3、名词解释 黑伯登(Heberden)结节
4、单项选择题
男,8岁。跌倒时手掌着地,查体:肘部明显肿胀,有压痛,肘关节呈半屈曲状向外突出畸形,肘后三角尚存。
最有可能的诊断为()
A.尺骨鹰嘴骨折
B.屈曲型肱骨髁上骨折
C.伸直型肱骨髁上骨折
D.肘关节脱位
E.桡骨小头半脱位
5、单项选择题
男,阴囊下坠不适,胀痛,平卧症状缓解。查体:阴囊下垂松弛,并可触及结节状静脉曲张。
属精索静脉变异的是()
A.汇入肾静脉
B.汇入肝静脉
C.双精索静脉
D.汇入腹腔静脉
E.汇入下腔静脉
6、多项选择题 骨基质发生的良性肿瘤为()
A.骨肉瘤
B.骨旁骨瘤
C.骨样骨瘤
D.成骨细胞瘤
E.髓性骨肉瘤
7、单项选择题 双侧膈肌抬高,较少见于()
A.过度肥胖
B.妊娠
C.大量腹水
D.双侧膈下脓肿
E.肝脏肿瘤
8、判断题 慢性局限骨脓肿骨膜反应与死骨均少见,临床症状一般比较轻微。
9、填空题 乳腺主要构成基础是_______,它是由_______及_______等构成,有_______个乳腺叶。
10、单项选择题 退行性骨关节病中软骨被侵蚀破坏,在X线片上表现为()
A.骨端硬化
B.关节间隙变窄、消失
C.关节变形及排列不良
D.关节内骨性游离体形成
E.边缘性骨赘形成
11、单项选择题 哪项不是枢椎齿状突原发骨化中心发育异常的表现()
A.终末骨
B.齿状突骨
C.齿状突上端分叉
D.齿状突缺如
E.颈延髓交界处受压、变细、移位
12、判断题 胰腺癌为多血管肿瘤,增强扫描时密度增加较为明显。
13、单项选择题 石棉肺的并发症中较少见的是()
A.支气管肺炎
B.支气管扩张
C.肺结核
D.节段性肺不张
E.胸膜间皮瘤
14、单项选择题 关于鼻窦正常解剖的描述,下列哪项不正确()
A.出生时,蝶窦、额窦未气化
B.出生时,上颌窦、筛窦已气化
C.蝶窦由蝶窦中隔分为左右两个窦腔
D.上颌窦前部与鼻腔仅粘膜相隔
E.前组筛窦引流至中鼻道,后组筛窦引流至上鼻道
15、单项选择题 诊断先天性肥厚型幽门狭窄,最可靠的X线征象是()
A.胃逆蠕动增强
B.胃蠕动频繁,波形加深
C.胃潴留胃扩张
D.幽门部的软组织影
E.幽门前区“双肩”征,幽门管细长呈线样改变
16、单项选择题 特发性肺间质纤维化好发于()
A.肺门附近
B.上叶尖后段或下叶背段
C.胸膜下区
D.双下肺野
E.双肺弥漫分布
17、单项选择题 下列支原体肺炎的描述,错误的是()
A.小儿及成人均可患病
B.病变早期可仅有肺纹理增多,边缘模糊
C.血清冷凝集试验在2~3周值较低
D.肺炎支原体肺炎与浸润型肺结核X线表现相似
E.占据一个大叶的支原体肺炎较少见
18、单项选择题 先天性主动脉缩窄可合并()
A.室间隔膜部狭窄
B.动脉导管未闭
C.房间隔-原发孔型
D.肺动脉狭窄
E.右位主动脉弓
19、单项选择题 关于肺脓肿,下列描述哪项不对()
A.葡萄球菌、肺炎双球菌为常见致病菌
B.常有高热、寒战、大量脓痰
C.多数急性空洞壁薄,内壁光整
D.邻近胸膜增厚,甚至脓胸形成
E.急性空洞常有液平面
20、判断题 煤矽肺的病理改变往往兼有煤肺尘埃沉着病和硅沉着病两种病理特征。
21、单项选择题 对瓦特(Water位)影像标准的判断,哪一项是正确的()
A.岩骨应投影于上颌窦的下缘
B.岩骨上缘影于眼眶中
C.岩骨上缘投影于上颌窦下缘
D.岩骨上缘投影于上颌窦下缘下1cm
E.岩骨上缘投于上齿槽
22、单项选择题 下列说法不妥的是()
A.潜影的本质是银集团
B.感光中心是在乳剂的制备过程中形成的微量银质点
C.显影中心是接受光点后形成的影像银质点
D.无数显影中心所组成的银离子群即为影像
E.感光中心多,显影中心也多
23、单项选择题 下述原发综合征特点,错误的是()
A.哑铃状病灶
B.原发灶:多位于上肺下部和下肺上部
C.原发灶:圆形、类圆形或片絮状
D.肺门淋巴结炎吸收比肺内病灶快
E.原发灶周围可有片状模糊影
24、单项选择题 骨囊肿的好发部位()
A.长骨干骺端
B.长骨骨端
C.长骨骨干
D.扁骨
E.不规则骨
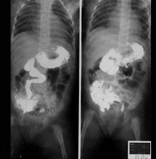
25、单项选择题
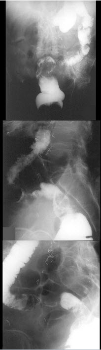
女,50岁,血便10余年,加重1年(连续出血),近2月大便时肛门常滴鲜血,量较多,X线检查如图,最可能的诊断是()

A.直肠癌
B.直肠绒毛状腺瘤
C.直肠淋巴瘤
D.直肠转移癌
E.直肠结核
26、问答题 肺静脉高压的X线表现有哪些?
27、问答题 肾盂肿瘤在X线上需要与哪些病相鉴别?
28、单项选择题 下述胃X线解剖知识,错误的是()
A.角切迹至幽门间为胃窦
B.仰卧位检查,胃窦靠背侧,胃体靠腹侧
C.胃大弯粘膜皱襞比胃小弯皱襞粗
D.胃底粘膜皱襞走向不规则
E.侧位片,胃体后壁与脊柱前缘正常间距约1.5个椎体宽
29、单项选择题 关于间质性肺炎的X线表现,描述错误的是()
A.范围大、散在
B.多与肺叶肺段无关
C.为线状、网状、小斑点状阴影
D.看不到含气支气管征
E.从病理学观点看,间质和实质的病变不能同时发病
30、多项选择题 成人股骨头缺血坏死股骨头密度增高的病理基础为()
A.骨小梁断裂嵌插
B.骨小梁表面新骨沉积
C.骨髓钙化
D.骨皮质增厚
E.骨质吸收
31、单项选择题 下述病变,哪项不引起肾脏位置的异常改变()
A.马蹄肾
B.肾上腺肿瘤
C.肾实质内肿瘤
D.肾结核
E.异位肾
32、多项选择题 “肠套叠灌肠复位”适应证有()
A.全身情况尚好
B.果酱油色便
C.大量血便
D.了解结肠以下低位套叠
E.套叠时间较长
33、判断题 维生素D缺乏病早期的主要X线表现是骺板先期钙化带不规则变薄、模糊或消失。
34、填空题 化脓性关节炎的致病菌主要有___________、_________、___________、___________等,以______________最多见。
35、名词解释 卵石征
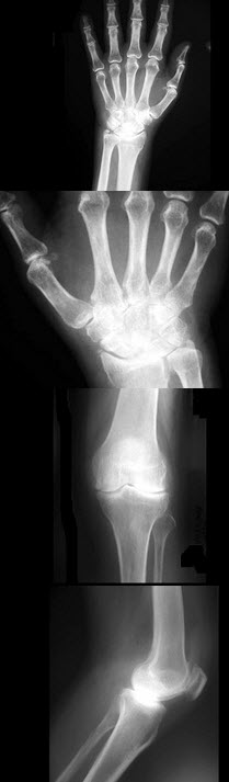
36、单项选择题
女,50岁,手指关节肿痛,晨僵,结合图像,最可能诊断是()
A.关节结核
B.牛皮癣性关节炎
C.痛风性关节炎
D.类风湿关节炎
E.Reiter综合征
37、单项选择题 下述不是肺水肿的X线表现的是()
A.肺水肿阴影可融合为蝶翼状大片阴影
B.有时伴有胸水
C.肺水肿多为两侧,但也有一侧的
D.阴影中见不到含气支气管影
E.由于造成肺水肿疾病的改善,阴影迅速吸收
38、判断题 三尖瓣下移畸形多数伴有心房间的异常孔道,多为卵圆孔未闭。
39、单项选择题 关于“周围型软骨肉瘤”错误的是()
A.斑点状、云絮状钙化
B.罕有骨膜反应
C.骨旁肿块呈分叶状,边缘不规则
D.多为继发性
E.瘤内无囊样密度减低区
40、名词解释 肺隔离症
41、单项选择题 正常成人右下肺动脉主干直径一般为()
A.≤5mm
B.≤10mm
C.≤15mm
D.≤20mm
E.≤25mm
42、配伍题 巨大右房见于()巨大左房见于()
A.二尖瓣狭窄
B.二尖瓣关闭不全
C.房间隔缺损
D.动脉导管未闭
E.Ebstein畸形
43、单项选择题 类风湿关节炎主要病理改变常见于()
A.关节软骨
B.关节滑膜
C.关节盘
D.关节韧带
E.关节面
44、单项选择题 胸片检查,浸润型肺结核见不到()
A.球形阴影
B.絮状模糊影
C.垂柳状肺纹理
D.肺段、肺叶阴影,空洞形成
E.粟粒状、结节状多发病灶
45、多项选择题 以下属于软骨内化骨者的是()
A.锁骨两端
B.脊柱
C.躯干
D.面骨
E.四肢骨
46、单项选择题 侧位胸片上,胸骨柄后上方可见宽基底面向后的弧状致密影这是()
A.上腔静脉
B.胸膜病变
C.第1肋骨伴随影
D.第1肋软骨和无名动脉加上向后膨隆的前胸膜外线
E.前上纵隔占位性病变
47、单项选择题 下列类风湿肺结节影像特点,错误的是()
A.多分布在肺野中内带
B.大小不等,多为1~2cm
C.边缘光整
D.可形成空洞
E.见于重度类风湿关节炎和多发皮下结节者
48、单项选择题 “应力性骨折”最好发的部位()
A.第一跖骨
B.第二跖骨
C.第四跖骨
D.第五跖骨
E.跟骨
49、判断题 Gd-DTPA增强扫描,几乎所有乳腺癌均有不同程度的增强。
50、单项选择题 室间隔缺损患者有时出现声音嘶哑,其原因最可能是()
A.扩张的右心房压迫喉返神经
B.扩张的左心房压迫喉返神经
C.扩张的主动脉压迫喉返神经
D.扩张的肺动脉压迫喉返神经
E.扩张的左、右心房压迫喉返神经
51、单项选择题 关于对比剂的叙述,错误的是()
A.用以形成人工对比
B.能显示组织器官的形态
C.有阴性及阳性两类对比剂
D.非离子型对比剂毒性较大
E.与周围组织器官能形成密度差别
52、单项选择题 成人骨折复位后,骨痂塑形期一般需要()
A.3个月
B.6个月
C.1年
D.2~4年
E.5~6年
53、单项选择题 下列“管状骨结核”影像特点中,哪项不正确()
A.成人,骨干常膨胀、增粗
B.圆形、卵圆形、不规则形破坏区
C.多数病灶边缘锐利,有硬化缘
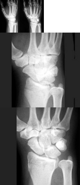
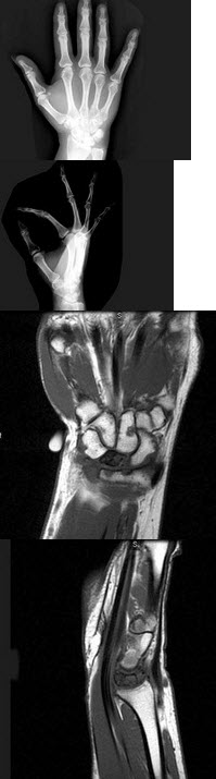
D.儿童短管状骨者,常双侧多发
E.儿童,骨膜反应明显
54、单项选择题 视神经孔增大多见于()
A.视神经胶质瘤
B.先天发育异常
C.蝶骨嵴脑膜瘤
D.畸形性骨炎
E.石骨症
55、单项选择题 关于X线滤过的说法,错误的是()
A.滤过是把X线束中的低能成分吸收掉
B.固有滤过,是指X线管本身的滤过
C.固有滤过用铅当量表示
D.总滤过为附加滤过与固有滤过之和
E.一般对低能量射线采用铝滤过板
56、单项选择题 下列关于上肢摄影的注意事项中,错误的是()
A.至少包括一个关节
B.幼儿骨关节应摄取双侧
C.必须使用滤线设备
D.焦-片距一般为75~100cm
E.注意X线防护
57、多项选择题 X线检查中对被检者防护,应采取的措施()
A.提高国民对放射防护的知识水平
B.正确选用X线检查的适应证
C.做好非检查部位的屏蔽防护
D.采用恰当的X线质
E.严格控制照射量
58、单项选择题
男,38岁,生活在沿海一带,腰背部疼痛半年余,根据所提供的图像,最可能诊断是()
A.石骨症
B.肾性骨病
C.氟骨症
D.成骨性转移瘤
E.骨纤维异常增殖症
59、配伍题 慢性支气管炎可出现()肺癌可出现()间质性肺水肿可出现()
A.支气管憩室征
B.支气管截断征
C.空气支气管征
D.支气管宽径征
E.支气管周围袖套征
60、单项选择题
男,50岁,进食梗阻1年,结合图像,最可能的诊断为()

A.食管下段癌
B.贲门癌
C.食管静脉曲张
D.贲门失弛缓
E.胃底癌
61、单项选择题 纵隔肿瘤定位诊断最佳方法是()
A.胸部正侧位片
B.体层
C.血管造影
D.支气管造影
E.CT
62、单项选择题 中肺野是指上肺野以下至()
A.第4肋骨下缘的水平线以上
B.第4肋骨前端下缘水平线
C.第4肋骨下缘的最低点水平线
D.第4肋骨前端下缘的最低点
E.第4肋骨前端下缘的最低点水平线
63、问答题 良性骨肿瘤的X线表现有哪些?
64、单项选择题 下列疾病的肺纹理特点,哪项是错误的()
A.先天性心脏病患者,肺纹理可增粗
B.先天性心脏病患者,肺纹理可变细
C.慢性支气管炎患者,肺纹理普遍稀少
D.肺气肿患者,肺纹理稀少
E.支气管扩张患者,可有局限性肺纹理增多
65、单项选择题 下列哪项检查不属于X线特殊检查()
A.透视
B.高千伏摄影
C.记波摄影
D.荧光缩影
E.体层摄影
66、单项选择题 左侧膈肌低于右侧膈肌是因为()
A.心脏左压
B.肝位于右膈下
C.左肺较右肺体积大
D.左肺两叶,右肺分三叶
E.以上都不对
67、单项选择题 下列哪项检查显示肿瘤钙化最优()
A.X线平片
B.MRI
C.B超
D.PET
E.CT
68、单项选择题 克氏(Klinefelter)综合征的X线表现中,应除外()
A.骨骺骨化中心出现和愈合均延迟
B.髋外翻、膝内翻畸形
C.头颅较小,额窦不发育,小蝶窦
D.桡骨骨融合或错位
E.掌骨征阴性
69、单项选择题 吸收X线能力最强的组织结构是()
A.肌肉
B.脂肪
C.骨骼
D.肺组织
E.肝脏
70、填空题 异位肾可位于盆腔、髂窝、下腹、膈下或胸腔内,分别称为______、______、______、________和________。
71、判断题 腕舟状骨骨折常可合并缺血坏死和囊状变性。
72、单项选择题 下述关于多发性骨软骨瘤恶变的征象,不正确的是()
A.远处出现转移性病灶
B.软骨帽增厚
C.钙化软骨帽密度变淡,边界不清
D.瘤体内出现透亮区
E.肿瘤生长缓慢或突然生长停止
73、多项选择题 哪些部位的恶性肿瘤均易转移到肺部()
A.乳腺
B.肾
C.骨
D.消化系统
E.头颈部
74、判断题 脑膜中动脉压迹,因前支较细小常显示欠清。
75、单项选择题 X线自左前经右后达胶片称()
A.右前斜位
B.左前斜位
C.左后斜位
D.右后斜位
E.侧位
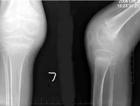
76、单项选择题
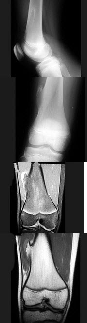
男,13岁,运动后膝关节疼痛,结合图像,最可能的诊断是()
A.正常影像
B.动脉瘤样骨囊肿
C.骨软骨瘤
D.成骨细胞瘤
E.骨样骨瘤
77、单项选择题 下述恶性肿瘤中,可出现成骨性骨转移的是()
A.鼻咽癌
B.乳腺癌
C.胃癌
D.前列腺癌
E.以上均可
78、填空题 畸胎类肿瘤,一般认为是由于胚胎时期______________发育异常所致,主要是部分________________迷走脱落,并随_____________进入纵隔所致。
79、单项选择题
男,19岁,双手肿痛2年,晨僵,结合图像,最可能诊断是()
A.痛风
B.强直性脊柱炎
C.类风湿关节炎
D.退行性关节炎
E.未见异常
80、单项选择题 成人时,下列不是红骨髓集中部位的是()
A.颅骨
B.脊柱
C.肋骨
D.骨盆
E.股骨
81、判断题 寰枢椎损伤包括寰枢关节脱位、寰椎骨折和齿突骨折等。
82、判断题 较大的蛛网膜颗粒压迹不需要与颅骨破坏相鉴别。
83、单项选择题 心脏摄影时的呼吸方式是()
A.平静呼吸下曝光
B.平静呼吸下屏气曝光
C.深吸气后屏气曝光
D.深呼气后屏气曝光
E.均匀缓慢浅呼吸中曝光
84、单项选择题 关于鼻腔癌的X线表现,下列说法哪项有错误()
A.鼻腔内出现软组织团块影
B.多无鼻中隔移位和鼻腔扩大变形
C.鼻腔侧壁或鼻中隔可有骨质吸收破坏
D.肿瘤同侧鼻窦透光度增加
E.邻近器官部位出现骨质破坏
85、单项选择题 关于胆囊癌的描述哪项正确()
A.直接侵犯以消化管最常见
B.多为鳞癌
C.多为浸润型
D.造影表现正常就可除外胆囊癌
E.胆囊壁增厚是本病特有影像
86、单项选择题 下列有关肺转移瘤的描述,错误的是()
A.血行转移,最常见的转移方式
B.淋巴转移,常见于消化系统肿瘤
C.直接侵犯,多源自胸膜、纵隔恶性肿瘤
D.血行转移,均为多发圆形结节影
E.原发性肝癌常发生肺转移
87、多项选择题 可进行功能位检查的是哪些部位()
A.颈椎
B.下颌关节
C.胰腺
D.颞骨
E.胆囊
88、单项选择题 男性乳头的位置,相当于下列哪项()
A.第10胸椎水平
B.第6胸椎水平
C.第8胸椎水平
D.第4胸椎水平
E.第2胸椎水平
89、判断题 乳腺导管扩张症,皮肤可呈橘皮状,伴有乳头凹陷或位置异常。
90、单项选择题 环枕融合常伴有()
A.环枕关节半脱位
B.颅底凹陷
C.颈髓交界处受压移位
D.A+B+C
E.A+B
91、单项选择题 5岁男性,因反复刺激性咳嗽、痰中带血、胸痛1年。多次胸片检查,右肺门区钙化影,数目、位置互不相同,右下肺时有局限性肺炎、肺不张表现,最可能的诊断是()
A.肺结核
B.支气管结核
C.肺泡微石症
D.隐匿性肺癌
E.间质性肺炎
92、单项选择题 肾结核肾内广泛播散的病理学基础为()
A.肾乳头坏死形成空洞
B.血行播散
C.病变位于肾皮质
D.病变位于肾髓质
E.经淋巴管蔓延
93、问答题 先天性巨结肠的X线表现有哪些?
94、单项选择题 骨巨细胞瘤的典型X线征象是()
A.位于骨端的膨胀性偏心性囊性骨破坏,内有皂泡性骨间隔
B.骨端的囊性破坏区,其透光区模糊,皮质变薄
C.远距骨干骺端的偏心性囊性骨破坏,边缘硬化
D.位于骨骺的多发性骨质破坏,内有钙化
E.位于骨端的多发性骨质破坏,内有钙化
95、单项选择题 急性乳腺炎脓肿形成时,下列哪一项治疗最为重要()
A.热敷抗生素
B.中药治疗
C.化疗
D.理疗
E.脓肿切开引流
96、单项选择题 观察左侧乳房时,常将其分为若干象限,下述哪种说法不正确()
A.时钟12~3点为外上象限
B.时钟3~6点为外下象限
C.时钟6~9点为内下象限
D.时钟9~12点为内上象限
E.乳头及乳晕区属外上象限
97、单项选择题 急性化脓性骨髓炎形成大块死骨的主要原因是()
A.骨皮质血供中断
B.广泛的骨质增生
C.骨膜血管中断
D.累及关节中断营养血管
E.以上都是
98、单项选择题 额窦摄片,常规位置是()
A.柯氏位(CaldWell’s)
B.瓦氏位(Water’s)
C.斯氏位(Stenever’S)
D.劳氏位(LaW’s)
E.瑞氏位(Rhees’S)
99、单项选择题 男,40岁,右眼外突1月。CT示:球后肿块,内有斑点状钙化,强化明显,最可能的诊断是()
A.海绵状血管瘤
B.胶质瘤
C.炎性假瘤
D.恶性肿瘤
E.甲状腺性突眼
100、多项选择题 骨盆骨折的常见并发症有()
A.血管损伤
B.膀胱损伤
C.尿道损伤
D.直肠损伤
E.神经损伤
101、单项选择题 颅底凹陷症,标准摄片体位是()
A.颅底颌顶位
B.颅底顶颌位
C.头颅汤氏位
D.高颈椎侧位
E.高颈椎颅底侧位
102、名词解释 帐篷征
103、单项选择题 脊髓室管膜瘤的特点是()
A.均可发生显著异常对比增强
B.发生于脊髓中央管及终丝
C.种植转移与空洞形成
D.最多见的髓内肿瘤
E.以上全对
104、多项选择题 当肾盂积水时,静脉肾盂造影的表现为()
A.肾盂、肾盏呈囊状扩大
B.肾盏变成杆状,肾盂扩大
C.肾小盏杯口圆钝
D.肾小盏杯口锐利
E.肾盂、肾盏缩小
105、单项选择题
男,32岁,中上腹空腹痛,进食后缓解,剑突下轻度压痛,钡餐检查如图,最可能的诊断是()

A.十二指肠癌
B.十二指肠憩室
C.十二指肠球部溃疡
D.十二指肠节段性肠炎
E.十二指肠结核
106、单项选择题 下述肺肿块鉴别要点,哪项不对()
A.良性肿块的边缘常较光整
B.毛刺征对肿块良恶性鉴别价值不大
C.恶性肿瘤钙化率较低
D.4cm以上肿块则以恶性的可能性较大
E.空泡征多提示为肺癌
107、单项选择题 下述完全性肺静脉异位引流的特点,错误的是()A.有房间隔缺损
B.左上腔静脉永存
C.右心房、右心室增大
D.双房影
E.膈下引流多数入门静脉,少数入下腔静脉
108、单项选择题 侧位X线片成人眼眶呈()
A.正方形
B.圆形
C.长方形
D.卵圆形
E.锥形
109、判断题 腺样体肥大常与慢性扁桃腺炎合并存在。
110、单项选择题 跖骨头骨骺缺血坏死好发部位是()
A.第一跖骨头
B.第二跖骨头
C.第三跖骨头
D.第四跖骨头
E.第五跖骨头
111、判断题 阑尾类癌瘤体一般较小,百分之九十以上直径小于1cm。
112、单项选择题 心脏右前斜位片主要观察的是()
A.主动脉窗
B.左心房、左心室
C.右心房、右心室
D.右心房、肺动脉干
E.左房、肺动脉干、右心室漏斗部
113、单项选择题 关于骨与关节的先天性畸形的描述中,下列哪项是正确的()
A.以发育障碍为多见
B.以分裂异常为多见
C.以发育障碍和分裂异常为多见
D.以发育障碍为多见,分裂异常少见
E.以分裂异常为多见,发育障碍少见
114、单项选择题 大叶性肺炎多见于()
A.青少年
B.老年人
C.婴幼儿
D.青壮年
E.以上都是
115、多项选择题 两侧肺门增大多见于()
A.结节病
B.淋巴瘤
C.两侧动脉瘤
D.肺动脉高压
E.中央型肺癌
116、单项选择题 下颌关节间隙正常值为()
A.1.5mm
B.1.8mm
C.2.0mm
D.2.5mm
E.3.0mm
117、单项选择题 肋骨摄影不宜采用()
A.膈上肋骨前后位
B.膈下肋骨前后位
C.肋骨斜位
D.肋骨切线位
E.肋骨侧位
118、单项选择题 男,39岁,突然持续性上腹剧痛,迅速扩散全腹,腹肌紧张,肝浊音界消失,X线检查:膈下有新月形气体影,最可能的诊断为()
A.十二指肠球部溃疡穿孔
B.急性胰腺炎
C.绞窄性肠梗阻
D.急性化脓性胆囊炎
E.急性阑尾炎穿孔
119、单项选择题 与剑突至肚脐连线的中点处于同一平面的椎体是()
A.第1腰椎
B.第2腰椎
C.第3腰椎
D.第4腰椎
E.第5腰椎
120、单项选择题 胆管囊状扩张分为5种类型,其中I型为()
A.胆总管囊肿
B.肝内多发性囊肿
C.壁内段胆总管囊状膨出
D.多发性肝内、外囊肿
E.胆总管憩室
121、单项选择题 “法洛四联征”中起主导作用的畸形是()
A.肺动脉狭窄+主动脉骑跨
B.肺动脉狭窄+右心室肥厚
C.肺动脉狭窄+室间隔缺损
D.右心室肥厚+室间隔缺损
E.右心室肥厚+主动脉骑跨
122、单项选择题 人体X线吸收量主要取决于()
A.待检组织的密度
B.待检组织的厚度
C.待检组织的形状、大小
D.靶-片距
E.以上都不对
123、单项选择题 乳腺腺体呈不均匀性大片致密影,边缘模糊,脂肪的带状透亮线变窄或消失,此为哪类乳腺的主要特征()
A.少女乳房
B.青春型乳房
C.月经期乳房
D.哺乳期乳房
E.绝经期乳房
124、单项选择题 可产生重症肌无力和上腔静脉阻塞症状的纵隔内肿瘤是()
A.淋巴瘤
B.胸内甲状腺肿
C.胸腺瘤
D.神经源性肿瘤
E.畸胎瘤
125、名词解释 肺-肾综合征
126、名词解释 膈膨升
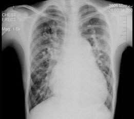
127、单项选择题
男,27岁,近2月来感胸闷,无咳嗽咳痰,不发热,X线检查如图,最可能的诊断是()

A.右侧包裹性胸腔积液
B.右侧肺不张
C.右侧游离性胸腔积液
D.右侧膈下脓肿
E.胸膜间皮瘤
128、判断题 MRI对肾结石的显示优于CT及KUB平片。
129、多项选择题 关于乳腺检查中,下列哪些是正确的()
A.应两侧乳腺对比检查
B.先查健侧,后查患侧
C.触诊时采用手指掌面
D.不要用手指捏乳腺组织
E.检查时应循序对乳腺外上、内下、外下、内上各象限及中央区作全面检查
130、配伍题 位于乙状结肠直肠连接部的是()位于降结肠乙状结肠交界处的是()位于脾曲的是()
A.Payr~Strauss括约肌
B.Cannm括约肌
C.Bakki括约肌
D.Rossi括约肌
E.Mouttier括约肌
131、单项选择题 肾结核感染途径为下列哪种()
A.血行
B.淋巴
C.直接蔓延
D.以上均可
E.以上均不可
132、单项选择题 胸部CR摄影与常规X线摄影相比,CR摄影对下列哪项信息显示较好()
A.肺间质纤维化
B.间质性肺炎
C.肺泡病变
D.肺结节性病变
E.以上都不是
133、单项选择题
女,3岁,身高不增,智力正常,结合图像,最可能的诊断是()
A.维生素D缺乏症
B.肾性骨病
C.黏多糖贮积症IV型
D.黏多糖贮积症I型
E.MPSII型
134、单项选择题
女,72岁,吞咽不适2月余。体检:咽红,结合图像,最可能的诊断为()

A.食管癌
B.食管溃疡
C.食管憩室
D.食管走行迂曲
E.贲门失弛缓
135、多项选择题 在头颅正位片上可见到的颅缝有()
A.矢状缝
B.人字缝
C.颞鳞缝
D.冠状缝
E.顶骨乳突缝
136、问答题 骨嗜酸性肉芽肿的X线表现有哪些?
137、单项选择题 骨性骨痂形成后还需进一步改建,在儿童此过程为()
A.1~2年
B.4~5年
C.6~9个月
D.9~12个月
E.4~6周
138、多项选择题 铅线易发生部位有()
A.尺桡骨远端
B.胫骨两端
C.股骨远端
D.肱骨近端
E.中部肋骨前端
139、判断题 慢性支气管炎影像学表现无特征性,故此类患者做影像学检查毫无价值。
140、单项选择题 大多数的膀胱上皮性肿瘤均为恶性,细胞类型依其发病率依次为()
A.鳞癌、腺癌、移行细胞癌
B.鳞癌、移行细胞癌、腺癌
C.移行细胞癌、鳞癌、腺癌
D.腺癌、鳞癌、移行细胞癌
E.移行细胞癌、腺癌、鳞癌
141、单项选择题
女,根据其正常骨盆影像图像,判断其最可能的年龄()
A.53岁左右
B.13岁左右
C.73岁左右
D.33岁左右
E.63岁左右
142、单项选择题 肺血减少见于下列哪种先天性心脏病的()
A.动脉导管未闭
B.室间隔缺损
C.房间隔缺损
D.艾森门格综合征
E.法洛四联征
143、单项选择题 肩关节正位摄片,中心线正确射入点是()
A.锁骨的中点
B.关节盂
C.肩峰
D.肩胛骨喙突
E.肱骨头
144、单项选择题 正常肺纹理,主要由哪种结构构成()
A.支气管
B.淋巴管
C.肺泡
D.肺间质
E.肺血管
145、多项选择题 骨关节病与摄片体位的组合,正确的是()
A.柯莱斯骨折——腕关节正侧位
B.肱骨外科颈骨折——肱骨外科颈正位
C.腕部舟状骨骨折——腕关节尺偏位(外展位)
D.肩胛骨高位症——肩胛骨正位
E.尺神经沟病变——尺神经沟特殊位
146、单项选择题 下述哪项不符合胸膜结核瘤的影像特点()
A.多位于外侧胸壁、前胸壁或后胸壁
B.可为扁平丘状、半圆形或不规则形态
C.多数为2~5cm大小
D.肿块密度均匀一致
E.多有同侧胸膜炎病史
147、填空题 根据胃石的成分可分为____________、___________、_________和____________四型。
148、单项选择题 患者中年男性,无痛性全程血尿半月余,IVP示同侧肾盂、输尿管及膀胱均见充盈缺损。可能性最大的诊断是()
A.肾癌+种植转移
B.转移癌
C.腺瘤
D.肾结核
E.移行细胞癌
149、配伍题 属于肠系膜上动脉分支的有()属于肠系膜下动脉分支的有()
A.胃左动脉
B.腰动脉
C.肾动脉
D.左结肠动脉
E.右结肠动脉
150、多项选择题 骨肉瘤的主要成分有下述哪些()
A.肿瘤骨
B.肿瘤性骨样组织
C.肿瘤性成骨细胞
D.肿瘤性软骨组织
E.肿瘤性纤维组织
151、问答题 浸润型肺结核的X线表现有哪些?
152、单项选择题 “结肠扩张”,则可除外()
A.溃疡性结肠炎
B.结肠癌
C.Hirschsprung病
D.间位结肠
E.麻痹性肠梗阻
153、问答题 软骨肉瘤的X线表现有哪些?
154、单项选择题 上胸椎侧位摄片条件选用,错误的是()
A.使用滤线器
B.阴极端对肩部
C.平静呼吸中屏气
D.阳极端对肩部
E.中心线对远台侧腋中线
155、填空题 畸形性骨炎的MRI主要表现为___________、____________、____________和___________。
156、单项选择题 下列关于肾脏X线解剖描述错误的是()
A.KUB片上肾脏位于第12胸椎到第2~3腰椎两侧
B.侧位片上肾脏影一般在脊柱前缘的后方
C.肾内缘较外缘靠前
D.KUB片上可观察到肾周围的脂肪组织
E.正常情况下,肾上下左右均有一定的移动度
157、判断题 腹膜肿瘤很少合并局限性腹腔积液。
158、名词解释 疲劳骨折
159、多项选择题 系统性红斑狼疮致死的主要原因为()
A.肾功能衰竭
B.神经系统并发症
C.心血管系统并发症
D.感染
E.囊性肺纤维化
160、单项选择题 X线片示右上纵隔有一梭形肿块影,边缘呈波浪状,内含钙化斑块影,气管受压被推向左侧,随吞咽动作上下移动,首先应考虑的是()
A.胸腺瘤
B.畸胎瘤
C.甲状腺肿瘤
D.支气管囊肿
E.恶性淋巴瘤
161、单项选择题 脾肿大最常见于哪种病变()
A.寄生虫、肿瘤
B.炎症
C.肿瘤、门静脉高压
D.炎症、寄生虫
E.门静脉高压
162、单项选择题 骨折远侧断端向侧方或前后方移位,此为()
A.断端嵌入
B.重叠移位
C.分离移位
D.旋转移位
E.横向移位
163、单项选择题 下列哪项在头颅平片上不能显示()
A.前床突
B.垂体
C.后床突
D.鞍结节
E.蝶鞍
164、单项选择题 肾下垂的诊断,应选择以下哪种检查()
A.静脉肾盂造影
B.逆行肾盂造影
C.腹部立位片
D.立、卧位造影
E.腹部侧位片
165、单项选择题 定影速度的正确表示是()
A.定影时间
B.显影时间
C.乳剂变透明时间
D.水洗时间
E.干燥时间
166、单项选择题 疑有肺尖处病灶时,应选择的摄片位置是()
A.胸部后前位
B.胸部侧位
C.胸部斜位
D.胸部前弓位
E.胸部点片
167、单项选择题
男,22岁,滑冰时摔倒右手撑地时受伤,结合CR片,最可能的诊断是()
A.柯莱斯骨折
B.蒙泰贾骨折
C.加莱阿齐骨折
D.桡骨远端骨折
E.反柯莱斯骨折
168、单项选择题 “骨关节结核”发生部位最少见的是()
A.脊柱
B.长骨骨干
C.短管状骨
D.关节
E.长骨干骺端
169、单项选择题 房间隔缺损与室间隔缺损主要鉴别点是()
A.心脏呈二尖瓣型
B.肺动脉段高度隆起
C.肺门搏动更明显
D.左心房不大
E.左心室不大
170、名词解释 Bergman征
171、单项选择题 下列摄片位置,哪项显示正确()
A.颈椎右后斜位显示右侧椎间孔
B.腰椎右后斜位显示左侧椎体的峡部
C.胸椎左后斜位显示右侧椎间关节
D.骶髂关节右后斜位显示右侧骶髂关节面
E.腰椎左后斜位显示右侧椎体的峡部
172、单项选择题 下列有关骨巨细胞瘤说法正确的是()
A.可出现“蛋壳陷落征”
B.骨膜反应
C.可借助动脉造影区分骨巨细胞瘤和骨囊肿
D.椎体巨细胞瘤不累及邻近椎体
E.病灶周围有明显的硬化缘
173、填空题 血管瘤通常分为3种类型,即___________、______________和___________。
174、单项选择题 早期胃癌确诊的首选方法是()
A.超声
B.CT
C.胃镜活检
D.胃肠气钡双重造影
E.MRI
175、单项选择题 一般不引起左心房增大的是()
A.风湿性心脏病,左房室瓣狭窄
B.先天性心脏病,房间隔缺损
C.风湿性心脏病,左房室瓣关闭不全
D.心肌病
E.以上都不是
176、填空题 胸膜肥厚是由______________及________________引起,常充塞胸膜腔。
177、单项选择题 肺部慢性炎症通常表现是()
A.增殖
B.渗出
C.空洞
D.纤维化
E.钙化
178、名词解释 病理性骨折
179、多项选择题 左心房增大的X线表现为()
A.食管向后受压移位
B.双重阴影、双弧形
C.左心缘可见左心耳突出
D.左主支气管受压抬高
E.心影向两侧增宽
180、单项选择题 腰骶关节前后位摄片,中心线的投射角度是()
A.垂直投射
B.向头侧倾斜15°~20°
C.向足侧倾斜15°~20°
D.向头侧倾斜45°
E.向足侧倾斜45°
181、单项选择题 多发性骨髓瘤的X线诊断,下列摄片部位选择哪个没有意义()
A.腰椎
B.肋骨
C.颅骨
D.长骨
E.骨盆
182、单项选择题 大量气胸X线胸片可见()
A.患侧膈下降
B.肋间隙增宽
C.纵隔向健侧移位
D.肺不同程度的被压缩
E.以上均是
183、单项选择题 中心线以外的射线称()
A.平行线
B.垂直线
C.轴线
D.斜射线
E.中心线
184、单项选择题 男,65岁,钡剂灌肠检查发现乙状结肠下段呈局限性环形狭窄,肠壁僵硬,与正常肠管截然分界,首先应考虑()
A.溃疡性结肠炎
B.结肠结核
C.浸润型结肠癌
D.溃疡型结肠癌
E.结肠息肉病
185、单项选择题 左心房增大的X线表现,下列哪项应除外()
A.左心缘出现4个弓,第3弓特别突出
B.降主动脉左移
C.双心房或双心缘阴影
D.心尖明显下移
E.左主支气管受压抬高
186、单项选择题 疑消化道穿孔,观察膈下游离气体应摄()
A.左侧卧水平投照
B.右侧卧水平投照
C.仰卧水平投照
D.仰卧后前位
E.站立前后位
187、多项选择题 特发性骨质溶解症主要发生在下述哪些部位()
A.腕掌
B.跗跖
C.肘部
D.跖趾
E.掌指
188、单项选择题 下面肺脓肿的描述中,错误的是()
A.肺脓肿分急性、慢性两种
B.血源性肺脓肿常多发,一般为单侧
C.急性肺脓肿形成的空洞,壁厚,不规则,空洞内常有液平面
D.急性肺脓肿炎症阶段X线片上呈片絮状阴影,浓密较均匀
E.慢性肺脓肿阴影浓密,空洞可长时间无变化
189、单项选择题 下列关于胸膜斑知识,哪项正确()
A.接触石棉15年左右出现
B.常累及壁层胸膜
C.10cm以上
D.多数厚度大于2cm
E.边缘模糊
190、单项选择题 有关乳腺恶性肿瘤的说法中,哪项不正确()
A.肿块边缘模糊
B.界限不清
C.有长或短毛刺
D.肿块密度较低
E.触诊肿块的大小常大于X线片所见
191、多项选择题 属于常染色体显性遗传的疾病有()
A.软骨发育不全
B.颅锁骨发育不全
C.皮肤骨膜肥厚症
D.马方(Marfan)综合征
E.重型石骨症
192、名词解释 竹节状脊柱
193、多项选择题 肾小管性骨病的主要X线表现为()
A.骨质密度普遍性降低
B.骨关节畸形
C.假骨折
D.骨质硬化
E.继发性甲状旁腺功能亢进表现
194、单项选择题
女,55岁,跌倒后右手痛,结合X线平片表现,正确的诊断是()
A.柯莱斯骨折
B.蒙泰贾骨折
C.加莱阿齐骨折
D.尺桡骨骨折
E.反柯莱阿齐骨折
195、单项选择题 关于尘肺,下列知识哪项不对()
A.不规则小阴影,见于非典型矽肺
B.胸膜斑,矽肺主要影像之一
C.长条形大阴影,见于典型矽肺
D.类圆形小阴影,矽肺最常见征象之一
E.不规则小阴影,见于石棉肺、不典型矽肺和其他尘肺
196、单项选择题 关于动脉导管未闭,胸片见不到()
A.漏斗征
B.主动脉结缩小
C.主动脉结增大
D.肺动脉段突出
E.肺门影增大,结构清晰
197、单项选择题 下列“多发性软骨瘤”诊断要点中,哪项错误()
A.单侧或双侧发病
B.手足短管状骨罕见
C.5%可恶变
D.圆形、卵圆形密度减低影
E.瘤内散在分布有大量点状钙化
198、单项选择题 皮革胃是属于下列哪种类型胃癌()
A.蕈伞型胃癌
B.溃疡型胃癌
C.浸润型胃癌
D.混合型胃癌
E.平坦型胃癌
199、单项选择题 下列有关“恶性胃溃疡”征象,错误的是()
A.月晕征
B.半月征
C.指压迹
D.裂隙征
E.环堤征
200、单项选择题 下列脊椎病变中,椎间盘破坏发展最快的是()
A.强直性脊柱炎
B.结核
C.化脓性骨髓炎
D.布氏杆菌病
E.伤寒
201、单项选择题 关于麻痹性肠梗阻的X线表现,错误的是()
A.易合并腹水
B.不易与低位结肠梗阻鉴别
C.在仰卧位及立位上,气体的形状及位置的变化大
D.因积气而扩张的肠管范围广泛
E.有的来自机械性肠梗阻
202、问答题 胸部X线摄片的适应证有哪些?
203、判断题 男性骨化中心出现时间和骨骺闭合时间与女性一致。
204、单项选择题
男,两月。表现排便困难、便秘、腹胀,经常哭闹。如图所示,最可能的诊断为()

A.先天性巨结肠
B.假性先天性巨结肠
C.新生儿坏死性小肠结肠炎
D.先天性肠闭锁
E.肠套叠
205、问答题 多囊肾有何X线特征?与单纯性肾囊肿有何不同?
206、单项选择题 以下成像方法,哪项对诊断颅脑病变价值最小()
A.CT
B.MRI
C.DSA
D.平片
E.透视
207、单项选择题 有关摄片条件选择中可变因素的叙述,哪项不妥()
A.应把不随意运动器官的移动作为移动因素中的主要矛盾处理
B.同一厚度的两个健康人的胸部照片,摄片条件应一致
C.同部位同厚度的慢性骨髓炎与骨结核相比,需要增加摄片条件
D.被照体构成组织比例是摄片条件选择的重要可变因素
E.病理因素对摄片条件的影响十分复杂,较难掌握,应不断积累临床经验
208、名词解释 肋骨切迹
209、多项选择题 下列哪些为厌骨性转移性肿瘤()
A.皮肤癌
B.子宫癌
C.食管癌
D.乳癌
E.鼻咽癌
210、判断题 在工作中,通常用密度的高与低表示影像的白与黑。
211、判断题 右心衰竭时肺内可无充血征象。
212、配伍题 食管上段为()食管中段为()食管下段为()
A.内层环行肌
B.外层纵行肌
C.平滑肌
D.横纹肌
E.横纹肌与平滑肌混合
213、单项选择题 X线由德国科学家伦琴发现于()
A.1800年
B.1840年
C.1890年
D.1895年
E.1900年
214、名词解释 对吻溃疡
215、单项选择题 通常所说的肺内肿块性病灶,直径应()
A.≥2cm
B.≥4cm
C.≥6cm
D.≥7cm
E.≥8cm
216、单项选择题 乳腺脂肪层所形成的透亮带厚度为()
A.0.5~1.5mm
B.0.5~2.5cm
C.0.5~1.5cm
D.0.5~2.5mm
E.1.5~2.5mm
217、单项选择题 显影液量不够时,应补充以下哪种液体()
A.清水
B.特别配制的补充液
C.陈旧的显影液
D.新鲜的显影液原液
E.碱性溶液
218、多项选择题 下列组合,正确的是()
A.劳氏位——双15°
B.许氏位——双25°
C.伦氏位——双35°
D.梅氏位——双45°
E.欧文氏位——双55°
219、单项选择题 下列哪项是阴性造影剂()
A.空气
B.40%碘化油
C.钡剂
D.5%碘化钠溶液
E.泛影葡胺
220、单项选择题
男,10岁,左膝关节反复肿胀,伴低热2年,经抗感染效果不佳,结合图像,最可能诊断是()
A.左膝关节结核(滑膜型)
B.左膝关节结核(骨型)
C.左膝关节结核(混合型)
D.左膝化脓性关节炎
E.以上均不正确
221、单项选择题 关于碘对比剂的叙述,错误的是()
A.是阳性对比剂
B.不必做过敏试验
C.经肾排泄型使用较多
D.分离子型和非离子型
E.分有机碘化物和无机碘化物
222、判断题 进行DSA、CT检查时,不必考虑放射防护。
223、判断题 空气支气管征可见于阻塞性肺炎的实变区。
224、单项选择题 以下对于影像检查局限性的说法,哪项观点不对()
A.某些疾病,影像学无法检出
B.异病同影或同病异影
C.影像表现可与临床不同步
D.过小的病变影像检查可阴性
E.不同成像方法间无互补作用
225、多项选择题 可出现肝内局限性钙化者()
A.结核性肉芽肿
B.阿米巴性肝脓肿
C.血管瘤
D.原发性肿瘤
E.肝棘球蚴病
226、配伍题 PTA可治疗()动脉化疗可治疗()血管动脉栓塞可治疗()非血管介入治疗()
A.胰腺癌动脉化疗
B.下腔静脉支架置入
C.脾动脉栓塞
D.前列腺支架置入
E.空肠造瘘
227、单项选择题 关于肺泡微石症,下列描述错误的是()
A.家族性
B.血钙浓度正常
C.结石成分与骨类似
D.两肺弥漫分布细小钙化影
E.肺门淋巴结肿大
228、填空题 心包囊肿囊肿壁菲薄透明,外壁为______________,内壁为_______________,内含_________或__________液体。
229、多项选择题 肺癌可见的转移部位为()
A.肝脏
B.纵隔淋巴结
C.脑
D.骨
E.肺门
230、单项选择题 乳腺癌患者仅发现腰椎转移,其转移途径是()
A.胸导管
B.体循环
C.肺循环
D.门静脉系统
E.椎旁静脉系统
231、配伍题 进行X线摄片检查是利用什么作用()测试辐射量的闪烁晶体是利用什么作用制成的()
A.穿透作用
B.荧光作用
C.电离作用
D.感光作用
E.着色作用
232、单项选择题 在下列哪种疾病中,肾盂内无充盈缺损的是()
A.肾乳头坏死
B.肾包膜下血肿
C.肾盂癌
D.肾盂结石
E.肾盂内血块
233、填空题 组织学上胸腺瘤分为___________、______________及_________,目前认为良恶性难以明确分界,故提倡分为_________和___________。
234、填空题 痛风关节病变主要为__________、___________和________________,_____________罕见。临床上分3期,即____________________、_____________和_______________________。
235、名词解释 柯莱斯(Colles)骨折
236、单项选择题 右主支气管与正中矢状面成多少度角()
A.15°~25°
B.20°~35°
C.0°~30°
D.30°~40°
E.40°~50°
237、单项选择题 有关石骨症的描述,下列哪一项不正确()
A.石骨症为成骨异常所致
B.全身骨骼广泛性致密硬化
C.临床症状与骨的病变程度平行
D.维生素D缺乏病为其常见的并发症
E.骨髓外造血器官常继发性增大
238、单项选择题 升主动脉扩张一般不见于()
A.动脉导管未闭
B.继发孔型房间隔缺损
C.主动脉瓣狭窄
D.梅毒性主动脉炎
E.Marfan综合征
239、问答题 原发性心肌病的X线表现有哪些?
240、多项选择题 关于结肠癌的X线表现,哪些是正确的()
A.腔内不规则龛影
B.腔内充盈缺损
C.肠腔狭窄,局限于一侧或呈环形
D.龛影周围宽窄不一的环堤
E.病变肠壁僵硬
241、单项选择题 应用于医学领域最早的辐射能源是()
A.β线
B.γ线
C.X线
D.钴
E.镭
242、单项选择题 X线表现结肠移动度较大,腔内发现边缘欠光滑,加压后可变形的充盈缺损,最可能的诊断为()
A.息肉
B.腺癌
C.血管瘤
D.粪块
E.淋巴瘤
243、配伍题 前列腺增生起源于()前列腺癌起源于()
A.中央带
B.移行带
C.外围带
D.前纤维基质区
E.射精管
244、判断题 肾盂癌可向下种植至输尿管和膀胱。
245、名词解释 肺梗死
246、单项选择题 先天性巨结肠的常见X线征象是()
A.近端结肠扩张而远端无狭窄段
B.近端结肠狭窄,远端结肠扩张,并伴有功能障碍
C.远端结肠狭窄,近端结肠扩张,并伴有功能障碍
D.结肠病变区无钡剂潴留现象
E.结肠仅有功能障碍
247、单项选择题 儿童长骨分为4部分,下列哪项是错误的()
A.骨干
B.骨端
C.骨骺
D.骨骺板
E.干骺端
248、单项选择题
女,11岁,低热,夜间盗汗,咳嗽1月余,结合图像,最可能的诊断是()

A.支气管肺炎
B.肺结核
C.肺癌
D.过敏性肺炎
E.大叶性肺炎
249、单项选择题 下列关于肺泡微石症的描述,错误的是()
A.血钙浓度正常
B.家族性
C.胸片呈“蜂窝状”影
D.结石成分与骨类似
E.两肺胸膜下区分布细小钙化影
250、多项选择题 下列关于食管的描述,哪些是正确的()
A.一般食管全长为10~20cm
B.食管有二个生理狭窄区和三个压迹
C.老年人常见第三收缩波
D.第三收缩波常见于主动脉弓水平以下
E.食管原发蠕动波始于主动脉弓水平
251、单项选择题 X线穿过均匀物质时,其强度呈下述何种方式衰减:()
A.对数关系
B.指数关系
C.线性关系
D.无任何关系
E.以上都不是
252、判断题 婴幼儿葡萄球菌肺炎在病变后期才出现肺气囊。
253、单项选择题 符号“W”表示()。
A、无烟煤;
B、烟煤;
C、贫煤;
D、石煤。
254、单项选择题 下列主动脉瓣关闭不全诊断要点,哪项不对()
A.主动脉瓣区舒张期吹风样杂音
B.主动脉弓迂曲、延长,搏动增强
C.心尖圆钝、上抬
D.侧位胸片示心前间隙缩小
E.心尖向左下方移位
255、单项选择题 “花环征”是哪种疾病的造影特征()
A.胆囊结核
B.胆囊腺肌增生症
C.胆石症
D.急性胆囊炎
E.胆囊癌
256、名词解释 机械性肠梗阻
257、问答题 叙述静脉尿路造影和逆行肾盂造影的优点和缺点?
258、单项选择题
女,41岁,纺织工,腕部疼痛无力数周,结合CR和MR,最可能的诊断是()
A.月骨结核
B.月骨缺血坏死
C.骨质疏松
D.骨髓炎
E.骨软骨炎
259、多项选择题 副鼻窦瓦特氏位,不能观察到的影像有()
A.筛窦
B.额窦
C.眶内异物
D.眶上裂
E.蝶骨小翼
260、多项选择题 肺不张的范围可以是()
A.一侧性
B.双侧性
C.肺叶性
D.肺段性
E.小叶性
261、单项选择题
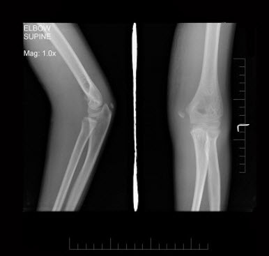
男,11岁,左肘外伤,根据所示图像,最可能的诊断是()
A.左肱骨内上髁骨骺Ⅰ度分离
B.左肱骨内上髁骨骺Ⅱ度分离
C.左肱骨内上髁骨骺Ⅲ度分离
D.左肱骨内上髁骨骺Ⅳ度分离
E.左肱骨内上髁骨骺Ⅴ度分离
262、单项选择题 慢性化脓性中耳乳突炎肉芽肿型,骨质破坏部位为()
A.乙状窦
B.上鼓室
C.乳突窦区
D.乳突窦入口
E.听小骨
263、多项选择题 骨骼基本病变的X线表现为()
A.骨质疏松
B.骨质软化
C.骨质破坏
D.骨膜增生
E.软组织肿块
264、填空题 肺尘埃沉着病的影像学表现可概括分类为_____________、____________、__________和__________等4种。
265、单项选择题 关于肺隔离症的描述,下列哪项正确()
A.右侧比左侧常见
B.与支气管树相通较常见
C.如发生于叶内,通常见于婴儿
D.上叶与下叶的发生率相等
E.绝大多数血供来自腹主动脉
266、多项选择题 肺门阴影的组成,包括()
A.肺动脉
B.肺静脉
C.支气管
D.淋巴组织
E.神经组织
267、单项选择题
女婴,出现持续性呕吐,腹胀,如图所示,最可能的诊断为()

A.肠梗阻
B.肠扭转
C.肠闭锁
D.肠旋转不良
E.肠穿孔
268、单项选择题 后前位胸片上,左心缘见不到哪项结构()
A.肺动脉段
B.主动脉结
C.左心耳
D.左心室
E.右心室
269、单项选择题 下列哪项为乳房癌的临床特征()
A.漏斗征
B.帐篷征
C.彗星尾征
D.晕圈征
E.酒窝征
270、单项选择题
男,6岁。经常咳嗽、憋喘,呼吸急促、口唇青紫,进行性加重。X线检查如图,最可能的诊断为()

A.先天性PDA
B.先天性VSD
C.先天性ASD
D.法洛氏四联症
E.先天性肺动静脉瘘
271、单项选择题 “恶性骨肿瘤”最常见的骨膜反应类型是()
A.放射形骨膜反应
B.三角形骨膜反应
C.花边形骨膜反应
D.平行形骨膜反应
E.葱皮形骨膜反应
272、单项选择题 下列哪一项不是骨囊肿的特点()
A.好发股骨、肱骨的骨干或干骺端
B.横径大于骨骺板宽度
C.男多于女,11~20岁好发
D.常合并病理性骨折
E.长轴与骨干纵轴一致
273、判断题 腔静脉裂孔与主动脉裂孔对膈疝发病无重要意义。
274、判断题 结核性空洞壁外面整齐清楚,空洞内常无或仅有少量液体。
275、判断题 骨梗死最易累及四肢长骨的骨皮质及骨小梁部分。
276、单项选择题 胸部后前位摄片胶片下缘应包括()
A.第6胸椎
B.第8胸椎
C.第10胸椎
D.第12胸椎
E.第3腰椎
277、判断题 成人额骨垂直部、颞骨鳞部和枕骨鳞部较薄,也有板障结构。
278、单项选择题 结核球与周围型肺癌鉴别诊断的关键在于前者()
A.边缘较光整
B.干酪样厚壁空洞
C.病灶内呈斑点状钙化
D.直径一般不超过3cm
E.卫星病灶及纤维条索影(引流支气管影)
279、单项选择题 十二指肠球部溃疡好发部位是()
A.大弯侧
B.小弯侧
C.前壁
D.后壁
E.基底部
280、单项选择题 下列不同部位肺叶不张的摄影位置的选择,错误的是()
A.下叶肺不张——常规正、侧位加斜位
B.中叶肺不张——常规正位加前弓位或侧位
C.盘状肺不张——常规正位
D.右上叶肺不张——常规正位
E.左上叶肺不张——左侧位
281、单项选择题 骨肉瘤X线征象是()
A.软组织肿胀
B.骨质破坏
C.骨膜反应
D.瘤骨形成
E.以上都是
282、单项选择题 肱骨可有如下变异,应除外哪项()
A.肱骨干下1/3前内侧见一钩状突起
B.滑车上孔
C.肘髌骨
D.肱骨外上髁边缘可见与骨干平行之条状影
E.深的结间沟在侧位上如骨皮质缺损
283、单项选择题 良性骨肿瘤的主要X线表现是()
A.骨质破坏,边缘清楚
B.骨质破坏,边缘模糊
C.明显骨膜反应
D.空腔形成
E.多处虫蛀状破坏
284、单项选择题
输尿管的生理狭窄部位是()
a.肾盏与输尿管移行部
b.与髂总动脉交叉处
c.膀胱入口处
d.与尿道交叉处
e.肾盂与肾盏交叉处
A.a+b+c
B.a+d+e
C.a+d+e
D.b+c+d
E.c+d+e
285、多项选择题 结缔组织疾病的共同特点为()
A.患者常无临床症状
B.多器官受累
C.病程长
D.缓解与加重交替出现
E.有反映免疫现象的血清学异常
286、单项选择题 下列胃肠道造影能证实能明确诊断胆系疾病是()
A.胆囊癌
B.胆囊腺肌增生症
C.胆道蛔虫
D.重复胆囊
E.慢性胆囊炎
287、判断题 正常骨膜在X线片上显示一层平行于骨干的条状阴影。
288、填空题 脾恶性淋巴瘤病理分型为_______________、________、__________和_____________四型。
289、单项选择题
男,71岁,脾大、腹水、肝管结石2年,结合图像,最可能的诊断为()

A.正常表现
B.会厌征
C.食管多发憩室
D.食管溃疡
E.食管癌
290、单项选择题
新生儿出生后出现气急、口吐白沫,呼吸微弱。床边X光片检查如图,最可能的诊断为()

A.新生儿肺炎
B.新生儿肺出血
C.新生儿白肺
D.新生儿心肌炎
E.先心病
291、单项选择题 引起肝内胆管、胆总管、胰管扩张,胆囊肿大的病变是()
A.胆总管结石
B.肝门部肿瘤
C.胰头癌
D.胆囊结石
E.胰腺炎
292、单项选择题 关于下列X线解剖的描述,哪项是错误的()
A.一般情况下,左肺门比右肺门位置高
B.心胸比例为0.5
C.上腔静脉通过右肺动脉背侧
D.左主支气管比右主支气管长
E.气管分叉部在右肺动脉背侧
293、单项选择题 下列有关周围型肺癌的胸片影像,错误的是()
A.病变早期与炎症有时难以鉴别
B.反S征
C.短小毛刺
D.癌性空洞,少有液平面
E.合并炎症时,其周缘模糊
294、多项选择题 下列哪项可使散射线量增加()
A.被照体面积大
B.被照体体积大
C.被照体厚度大
D.被照体含气量大
E.被照体组织密度均匀
295、单项选择题 甲状旁腺功能亢进的早期骨骼改变主要是()
A.骨质密度普遍减低
B.骨骼变形和病理性骨折
C.骨膜下骨吸收
D.骨内囊状透光区
E.以上都不是
296、多项选择题 椎体缺血坏死可出现以下哪些X线表现()
A.椎体变扁呈厚薄一致的致密扁盘状
B.椎体前后径及横径均增大
C.椎间隙正常或稍增宽
D.多侵及椎弓根
E.腰大肌边缘模糊
297、多项选择题 医学影像学发展的三个阶段指的是()
A.X线诊断学
B.X线的临床应用
C.放射诊断学的形成
D.整体放射学的建立
E.医学影像学的建立
298、单项选择题 女,27岁,哺乳期,乳头内陷,双乳胀痛,防止急性乳腺炎的措施中,下列哪项是错误的()
A.纠正乳头内陷
B.正确哺乳,清洗乳头
C.应用抗生素
D.防止乳头损伤
E.避免乳汁郁积
299、单项选择题 小肠出血确诊的主要依据为()
A.钡餐透视
B.双重造影
C.CT
D.B型超声
E.血管造影
300、单项选择题 在组织学上周围型错构瘤主要由什么成分组成()
A.骨组织
B.软骨组织
C.脂肪组织
D.平滑肌组织
E.纤维结缔组织