放射医学(医学高级):X线试题及答案(强化练习)

时间:2025-08-28 05:05:12

微信搜索关注"91考试网"公众号,领30元,获取事业编教师公务员等考试资料40G
题库试看结束后微信扫下方二维码即可打包下载完整版《★放射医学(医学高级)》题库
手机用户可保存上方二维码到手机中,在微信扫一扫中右上角选择“从相册选取二维码”即可。
题库试看结束后微信扫下方二维码即可打包下载完整版《放射医学(医学高级):X线》题库,分栏、分答案解析排版、小字体方便打印背记!经广大会员朋友实战检验,此方法考试通过率大大提高!绝对是您考试过关的不二利器
手机用户可保存上方二维码到手机中,在微信扫一扫中右上角选择“从相册选取二维码”即可。

1、多项选择题  关于肺静脉高压,下列哪些是不正确的()

A.重度肺静脉高压时(超过25mmHg)肺下野的静脉扩张,而肺上野的静脉收缩
B.肺毛细血管-肺静脉压超过1.3kPa(10mmHg)即为肺静脉高压
C.肺水肿分为间质性肺水肿与肺泡性肺水肿
D.肺静脉影边缘清晰
E.肺野透亮度降低


点击查看答案


2、单项选择题  在肾结核早期阶段,下列哪种检查方法最有价值()

A.化验室检查
B.超声检查
C.CT检查
D.MRI检查
E.尿路造影检查


点击查看答案


3、多项选择题  在观察分析循环系统疾病时,应注意()

A.熟悉解剖
B.掌握方法
C.形象理解
D.结合病理生理改变
E.密切结合临床


点击查看答案


4、单项选择题  婴幼儿胸片见沿肺纹理走行的小三角形或斑点状密度增高影及泡性小透亮区,最先考虑的诊断为()

A.病毒性肺炎
B.原发性肺结核
C.支原体肺炎
D.支气管肺炎
E.大叶性肺炎


点击查看答案


5、单项选择题  下列关于散射线及其影响因素的描述哪项错误()

A.管电压越高,散射线越多
B.在一定厚度内,被照物体越厚散射线越多
C.增感屏速度越快,散射线越少
D.散射线是离开原射线束的折射光子
E.照射野的大小是产生散射线的重要因素


点击查看答案


6、单项选择题  成人视神经孔的孔径大约为()

A.0.2cm
B.0.5cm
C.1.2cm
D.0.8cm
E.1.0cm


点击查看答案


7、单项选择题  肺结核空洞一般为()

A.薄壁空洞
B.厚壁空洞
C.虫蚀样空洞
D.以上均可
E.以上均不可


点击查看答案


8、单项选择题  肾区前后位摄影,中心线经()

A.肚脐
B.脐下3cm
C.剑突与脐连线中点
D.脐与耻骨联合连线中点
E.剑突与耻骨联合连线中点


点击查看答案


9、单项选择题  “短头畸形”的颅缝闭合特点为()

A.冠状缝提早闭合
B.矢状缝、冠状缝提早闭合
C.矢状缝、顶颞缝提早闭合
D.矢状缝、人字缝提早闭合
E.偏侧颅缝提早闭合


点击查看答案


10、单项选择题  支气管扩张的X线影像表现,下述哪项不对()

A.胸片正常可除外此病
B.局部肺纹理增多、走行紊乱
C.囊状或蜂窝状影
D.不规则杵状致密影
E.不规则管状透明影


点击查看答案


11、单项选择题  男,65岁,小便不畅半年,腰骶部、骨盆疼痛3个月,胸部平片及CT未见异常,腰椎及骨盆平片示骨内多发斑片状密度增高影,最可能的诊断是()

A.氟骨症
B.石骨症
C.骨转移瘤
D.结核
E.骨肉瘤


点击查看答案


12、单项选择题  

有外伤史,结合图像,最可能诊断是()

A.Smith骨折
B.尺骨骨折
C.未见异常
D.Colles骨折
E.腕关节脱位


点击查看答案


13、单项选择题  

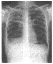
患者,女,28岁,轻咳两月,有盗汗。胸片如图:

本例最可能的诊断为()

A.过敏性肺炎
B.嗜酸性肉芽肿
C.支气管扩张
D.肺隔离症
E.肺结核


点击查看答案


14、单项选择题  在X线摄影中,使用对比剂可以增加组织间的对比,有助于形成影像。 肝肾功能严重受损不能进行静脉尿路造影检查的原因不是()

A.不能正常显影
B.损伤肝肾功能
C.必然发生过敏反应
D.不能正常排泄对比剂
E.机体抵抗力低下


点击查看答案


15、单项选择题  X线照片密度影响因素的叙述,错误的是()

A.感光效应与管电压的n次方成正比例
B.感光效应与焦-片距的平方成反比
C.正确选择屏-片匹配
D.密度随被照体的厚度增大而增高
E.密度与显影加工条件有关


点击查看答案


16、单项选择题  “钡餐检查”前,一般不需要()

A.了解病史,带上以往检查资料
B.清洁灌肠
C.不给予影响消化道功能的药物
D.检查前1周内不吃高密度食物、药物
E.禁食、禁水12小时


点击查看答案


17、单项选择题  关于高千伏摄片的优点下述哪项不对()

A.X线量
B.提高解像力
C.降低图像锐利度
D.延长球管寿命
E.降低图像对比度


点击查看答案


18、多项选择题  关于专用X线机的叙述,正确的是()

A.胃肠专用机多配用增强电视系统
B.乳腺机的仟伏调节范围一般30~40kV
C.床边专用机也采用逆变式高压发生器
D.C形臂导管床用于心血管专用机
E.牙科机即口腔全景摄片机


点击查看答案


19、多项选择题  胃溃疡特殊表现包括()

A.胃窦部溃疡
B.线形溃疡
C.巨大型溃疡
D.胼胝性溃疡
E.穿透性溃疡


点击查看答案


20、单项选择题  在引起颅骨破坏的疾病中,下列哪种最常见()

A.脑膜瘤
B.血管瘤
C.胶质瘤
D.多发性骨髓瘤
E.眶内肿瘤


点击查看答案


21、多项选择题  食管静脉曲张累及下列哪些静脉()

A.胃冠状静脉
B.脐静脉
C.食管下静脉
D.奇静脉
E.肋间静脉


点击查看答案


22、单项选择题  尿路结石多为()

A.阴性(透X线)结石
B.胆色素结石
C.胆固醇结石
D.滞积性结石
E.阳性(不透X线)结石


点击查看答案


23、多项选择题  主动脉瘤的X线征象有()

A.纵隔阴影增宽
B.动脉瘤的搏动
C.瘤壁的钙化
D.侵蚀脊柱、肋骨或胸骨
E.心脏呈"主动脉型"改变


点击查看答案


24、多项选择题  肺内进行性大块纤维化可见于()

A.煤尘肺
B.石棉肺
C.农民肺
D.吸入二氧化氮
E.矽肺


点击查看答案


25、单项选择题  下述钡餐征象中,哪项与“胰头癌”无关()

A.垫征
B.双边征
C.十二指肠圈扩大
D.笔杆征
E.反“3”字征


点击查看答案


26、单项选择题  下列X线防护知识,哪项不对()

A.机房有用射线束朝向墙厚度:不低于2mm铅当量
B.机房侧壁、顶壁墙厚度:不低于1mm铅当量
C.铅围裙等个人防护用品:不低于0.125mm铅当量
D.控制台屏敝室防护能力:不低于0.25mm铅当量
E.球管、病人间距不小于35cm


点击查看答案


27、单项选择题  

男,38岁,右髋关节疼痛不适1年余,跛行,骨盆正位片如图所示,最可能的诊断是()

A.右髋关节退行性骨关节病
B.右髋关节滑膜骨软骨瘤病
C.右髋关节骨化性肌炎
D.以上均不正确
E.以上均正确


点击查看答案


28、多项选择题  腹膜腔肿瘤X线腹部平片检查时可表现为()

A.腹腔积液 
B.部分脏器受压移位 
C.腹腔软组织密度肿块 
D.异常钙化斑 
E.肠壁增厚


点击查看答案


29、单项选择题  下列哪一种检查方法已不用于常规颅脑影像学检查()

A.头颅正侧位
B.脑血管造影
C.CT
D.气脑造影
E.MRI


点击查看答案


30、多项选择题  下列哪几项属于乳腺恶性肿瘤的X线征象()

A.肿块边缘模糊
B.密度较均匀
C.肿块呈类圆形
D.密度增高
E.边缘有长或短毛刺


点击查看答案


31、单项选择题  碘苯酯主要用于哪项造影检查()

A.支气管造影
B.逆行肾盂造影
C.脑血管造影
D.椎管造影
E.关节腔造影


点击查看答案


32、单项选择题  下列哪项关于肾筋膜的描述是错误的()

A.上方与膈下筋膜融合
B.前后肾筋膜融合成吉氏筋膜
C.侧方与侧锥筋膜融合
D.下方与髂筋膜融合
E.后方内侧与腰大肌融合


点击查看答案


33、多项选择题  关于支原体肺炎的说法,错误的是()

A.发病2~3周后血冷凝集试验比值升高
B.通常白细胞数明显增多
C.肺内易见空洞
D.全身症状较轻
E.肺部体征较少


点击查看答案


34、单项选择题  关于颅骨中的孔与其通过组织的组合,哪项是对的()

A.眶上裂——上颌神经
B.枕骨大孔——延髓、椎动脉
C.圆孔——动眼神经
D.卵圆孔——下颌神经
E.颈静脉孔——面神经


点击查看答案


35、单项选择题  脑屏障是指()

A.血-脑脊液屏障
B.血脑屏障
C.脑-颅骨屏障和血脑屏障
D.脑脊液-脑屏障
E.血脑屏障、血-脑脊液屏障、脑脊液-脑屏障


点击查看答案


36、多项选择题  移行椎尾侧移行的特点有()

A.第7颈椎横突过长
B.第1尾椎骶化
C.第1骶椎腰化
D.第4腰椎横突过长
E.第12肋骨过长


点击查看答案


37、单项选择题  有关高原性心脏病的描述,错误的是()

A.双肺纹理增多、紊乱
B.心影增大
C.上腔静脉影增宽
D.肺门影增大,结构欠清
E.仅凭上述表现就能诊断本病


点击查看答案


38、单项选择题  头颅平片的诊断价值,下述观点哪项不正确()

A.显示颅内血肿
B.显示颅内金属异物
C.显示骨折
D.显示颅骨发育情况
E.显示颅内病理性钙化


点击查看答案


39、单项选择题  房间隔缺损多发生于()

A.卵圆窝
B.冠状窦口
C.腔静脉窦
D.主动脉隆突
E.室上嵴


点击查看答案


40、单项选择题  下列哪项不属于女性瘘管()

A.直肠阴道瘘
B.直肠尿道瘘
C.直肠会阴瘘
D.直肠膀胱瘘
E.直肠舟状窝瘘


点击查看答案


41、单项选择题  图像失真度的概念,正确的是()

A.标准的优质照片不应有任何失真度
B.影像的变形是被照体不等量放大的结果
C.失真度与焦点被照体及胶片三者间位置无关
D.位置变形不是影像的变形
E.放大变形不是影像的变形


点击查看答案


42、单项选择题  关于“胃癌”钡餐造影表现,下列哪项不对()

A.胃壁局限性僵硬
B.线状溃疡
C.病变周围粘膜皱襞中断、破坏
D.底部凹凸不平的浅大溃疡
E.表面凹凸不平的充盈缺损


点击查看答案


43、单项选择题  来自神经内分泌细胞的癌是()

A.小细胞癌
B.大细胞癌
C.腺癌
D.鳞癌
E.细支气管肺泡癌


点击查看答案


44、单项选择题  目前世界公认的医学图像传输与存储的标准是()

A.ACR-NEMA1.0
B.ACR-NEMA2.0
C.DICOM3.0
D.HL7
E.TCP/IP


点击查看答案


45、多项选择题  下列副鼻窦摄片位置名称的组合,正确的有()

A.瓦氏位——Runstrom位
B.瓦氏位——Water位
C.柯氏位——LaW位
D.柯氏位——CaldWell位
E.柯氏位——Mayer位


点击查看答案


46、单项选择题  影响乳腺癌预后的最主要因素()

A.病人年龄
B.是否绝经
C.肿块大小
D.手术切除范围
E.癌肿本身生物学特性


点击查看答案


47、单项选择题  

患者,男,3岁,突发左侧胸痛伴呼吸困难3小时入院,如图所示,最可能的诊断为()

A.左侧肺气肿 
B.左侧气胸 
C.左肺门淋巴结结核 
D.右肺小叶性肺炎 
E.以上都不正确


点击查看答案


48、单项选择题  可引起脑脊液鼻漏的骨折是()

A.颅前窝骨折
B.颅顶骨折
C.颅后窝骨折
D.颅中窝骨折
E.以上都是


点击查看答案


49、单项选择题  最常见的侵袭性胸腺瘤转移扩散途径为()

A.血行转移
B.沿胸膜腔种植性转移
C.淋巴转移
D.经支气管扩散
E.直接侵犯肺和横膈


点击查看答案


50、多项选择题  骨盆骨折的常见并发症有()

A.血管损伤
B.膀胱损伤
C.尿道损伤
D.直肠损伤
E.神经损伤


点击查看答案


51、单项选择题  成人最常见的“左向右分流”先天性心脏病是()

A.房间隔缺损
B.室间隔缺损
C.房间隔缺损加室间隔缺损
D.动脉导管未闭
E.法洛四联征


点击查看答案


52、单项选择题  正常小儿前囟闭合的年龄是()

A.3~6个月
B.6个月至1岁
C.1~1.5岁
D.5岁
E.2岁以后


点击查看答案


53、单项选择题  

关于阴性对比剂的叙述,正确的是()
 

A.氧气属阳性对比剂
B.氧气比空气更容易获取
C.空气在器官内吸收快
D.CO2不如空气使用安全
E.空气有产生气体栓塞的危险


点击查看答案


54、单项选择题  高千伏摄影,主要用于下列哪个部位的检查()

A.肢体软组织
B.胸部
C.乳腺
D.骨骼
E.腹部


点击查看答案


55、单项选择题  下列哪种疾病,充盈缺损表现不明显()

A.增生型胃癌
B.胃粘膜下平滑肌瘤
C.结肠息肉
D.溃疡性食管癌
E.增殖型肠结核


点击查看答案


56、单项选择题  房间隔缺损第2孔型的血流动力学改变中,下列哪项不正确()

A.右心房血流量减少
B.右心室血流量增加
C.左心房血流量增加
D.肺动脉血流量增加
E.左心室血流量减少


点击查看答案


57、单项选择题  X线穿过均匀物质时,其衰减与下列哪一项因素无关()

A.物质的衰减系数
B.X线经过的距离
C.X线发出的强度
D.物质的厚度
E.物质的面积


点击查看答案


58、单项选择题  

患者,男性,39岁,左小腿肿胀、疼痛1个月余,夜间加重。左胫腓骨正侧位片如下,最可能的诊断为()

A.成骨性转移瘤
B.骨肉瘤
C.软骨肉瘤
D.Ewing肉瘤
E.慢性硬化性骨髓炎


点击查看答案


59、单项选择题  胃溃疡多见于()

A.胃窦部
B.胃窦幽门前区
C.幽门管
D.胃小弯与胃角附近
E.胃大弯


点击查看答案


60、单项选择题  关于“小肠Crohn病”影像的描述,错误的是()

A.环肠壁对称性侵犯
B.鹅卵石征
C.小肠多发狭窄
D.肠壁增厚
E.口疮样小溃疡


点击查看答案


61、多项选择题  下列摄片组合,中心线选用错误的是()

A.骶椎-向头侧倾斜15°~20°
B.尾椎-向足侧倾斜15°
C.骶椎-向足侧倾斜5°~15°
D.腰骶关节-向头侧倾斜15°~20°
E.骶髂关节-向头侧倾斜5°~10°


点击查看答案


62、单项选择题  当肺静脉压力大于3.33kPa(25mmHg)时,不应出现下列哪一项表现()

A.少量胸腔积液
B.KerleyA线
C.KerleyB线
D.两肺门不对称,右肺门小于左肺门
E.肺纹理模糊和增粗


点击查看答案


63、单项选择题  依发生部位,股骨近端骨折分型不包括()

A.粗隆间骨折
B.股骨颈骨折
C.股骨髁上骨折
D.大粗隆骨折
E.小粗隆骨折


点击查看答案


64、多项选择题  系统性红斑狼疮的胸片有以下特点()

A.肺部游走性斑片状浸润影或间质性改变
B.肺门淋巴结肿大
C.胸腔积液
D.心包积液
E.胸膜钙化


点击查看答案


65、单项选择题  幼儿胸部正位摄片的叙述,下列哪项是错误的()

A.不用滤线器
B.抓时机瞬间曝光
C.眼睛及性腺不受辐射
D.照射野不超出使用胶片的面积
E.使用低毫安


点击查看答案


66、单项选择题  关于多发性神经纤维瘤的临床表现,叙述正确的是()

A.颅骨缺损
B.纤维瘤
C.皮肤咖啡色素斑
D.脊柱侧弯后突畸形
E.以上都是


点击查看答案


67、多项选择题  胃良性溃疡的X线表现有()

A.环堤 
B.腔外龛影 
C.项圈征 
D.腔内龛影 
E.Hampton线 


点击查看答案


68、单项选择题  缩窄性心包炎的X线表现有:①上腔静脉扩张、②肺淤血、③间质性肺水肿、④右心房增大、⑤左心房增大,其中反映左心室缩窄表现的是()

A.①②④
B.①②⑤
C.②③⑤
D.②③④
E.①③⑤


点击查看答案


69、单项选择题  以下选项中,乳突许氏位投照时,球管中心线应()

A.向足侧倾斜35°
B.向足侧倾斜25°~30°
C.向足侧倾斜35°~45°
D.向足侧、面侧各倾斜15°
E.向头侧倾斜35°~45°


点击查看答案


70、单项选择题  肺动脉段凹陷最常见于()

A.房间隔缺损
B.室间隔缺损
C.三尖瓣闭锁
D.法洛四联征
E.动脉导管未闭


点击查看答案


71、单项选择题  胸椎上段侧位的摄片目的是()

A.观察胸椎生理曲度
B.观察第4~6胸椎侧位形态
C.观察第10~12胸椎侧位形态
D.观察第7~9胸椎侧位形态
E.观察第1~3胸椎侧位形态


点击查看答案


72、单项选择题  关于继发性肺结核不正确的是()

A.多为内源性,偶为外源性
B.多位于肺局部,如肺尖、锁骨下区及下叶背段
C.可见薄壁、张力性、干酪厚壁、纤维性等不同类型的空洞
D.可见结核球或干酪性肺炎
E.常有肺门淋巴结肿大


点击查看答案


73、多项选择题  肘部继发性骨化中心包括()

A.肱骨小头骨化中心
B.滑车内侧部骨化中心
C.桡骨小头骨化中心
D.滑车外侧部骨化中心
E.内上髁和外上髁骨化中心


点击查看答案


74、单项选择题  肺结核发病1~2周内,临床症状明显,X线表现阴性的是()

A.原发性肺结核
B.慢性纤维空洞型肺结核
C.血行播散型肺结核
D.结核性胸膜炎
E.浸润型肺结核


点击查看答案


75、单项选择题  关于胶片γ值的叙述错误是()

A.γ值指胶片的反差系数
B.γ值大的胶片影像对比度小
C.γ值大的胶片宽容度小
D.γ值指的是直线部的斜率
E.X线胶片的γ值在2.5~3.0之间


点击查看答案


76、多项选择题  引起成人股骨头缺血坏死的常见原因为()

A.外伤
B.皮质激素治疗
C.酒精中毒
D.减压病
E.肾移植


点击查看答案


77、单项选择题  克罗恩(Crohn)病慢性期典型的X线征象是()

A.病区周围粘连
B.狭窄与扩张肠管相间并存
C.肠瘘形成
D.肠管条索状狭窄
E.肠管僵直,形状固定


点击查看答案


78、多项选择题  骨骼基本病变的X线表现为()

A.骨质疏松
B.骨质软化
C.骨质破坏
D.骨膜增生
E.软组织肿块


点击查看答案


79、单项选择题  提示骨折不愈合下列哪项是错误的()

A.骨折端膨大,密度增高,骨折面硬化
B.骨折端吸收,萎缩
C.骨皮质增厚,髓腔闭锁,骨折端有梭形软组织肿块
D.骨折面硬化,但无骨桥连接
E.骨折端因有血肿,软组织膨隆


点击查看答案


80、多项选择题  肠系膜上动脉分支有哪些()

A.胰十二指肠下动脉
B.空肠动脉
C.回结肠动脉
D.右结肠动脉
E.中结肠动脉


点击查看答案


81、单项选择题  肾区前后位摄影,中心线应对准()

A.肚脐
B.脐下3cm
C.剑突与肚脐连线中点
D.肚脐与耻骨联合连线中点
E.剑突与耻骨联合连线中点


点击查看答案


82、单项选择题  眼眶增大的诊断标准为()

A.眼眶上下壁间宽度≥1.5cm
B.眼眶上下壁间宽度≥2.0cm
C.眼眶上下壁间宽度≤2.0cm
D.眼眶上下壁间宽度≤1.5cm
E.眼眶上下壁间宽度≥3.0cm


点击查看答案


83、单项选择题  子宫输卵管造影的禁忌证是()

A.子宫输卵管慢性炎症
B.子宫输卵管结核
C.子宫输卵管良性肿瘤
D.子宫输卵管位置形态异常
E.子宫输卵管出血


点击查看答案


84、单项选择题  

男,18岁,右锁骨轻微疼痛,伴局部肿胀,结合图像,最可能的诊断是()

A.右锁骨正常
B.右锁骨嗜酸性肉芽肿
C.右锁骨骨囊肿
D.右锁骨骨结核
E.右锁骨骨巨细胞瘤


点击查看答案


85、单项选择题  膝关节侧位摄片,中心线应对准()

A.髌骨下缘与腘窝折线中点
B.髌骨上缘
C.髌骨下缘
D.髌骨后缘
E.髌骨中点


点击查看答案


86、多项选择题  摄片条件选择中可变因素的叙述,正确的是()

A.同厚度健康人的胸片,摄片条件一致
B.病理因素对摄片条件的影响非常重要
C.脂肪多的人需要增加照射量
D.骨结核与慢性骨髓炎相比,需增加摄片条件
E.组织构成比例是摄片条件选择的重要可变因素


点击查看答案


87、单项选择题  关于X线机空间电荷抵偿原理的正确推论是()

A.kV↑→管电流↑
B.kV↓→灯丝电压↓
C.kV↑→管电流↓
D.kV↑→灯丝电压↑
E.kV↑→灯丝电流↑


点击查看答案


88、单项选择题  对骨代谢影响最大的维生素是()

A.维生素A
B.维生素B
C.维生素C
D.维生素D
E.维生素E


点击查看答案


89、单项选择题  关于骨质硬化,下述描述错误的是()

A.骨密度增高
B.骨皮质变薄
C.骨小梁增粗、变密
D.骨髓腔变窄
E.骨干增粗


点击查看答案


90、单项选择题  关于胃癌的基本X线表现,错误的是()

A.Carman综合征
B.粘膜皱襞破坏中断
C.革袋胃
D.胃壁僵硬
E.项圈征及狭颈征


点击查看答案


91、多项选择题  消化道穿孔的描述中,正确的有()

A.没有游离气腹征象就能排除胃肠穿孔
B.穿孔穿入腹腔内时,立位腹透可见膈下游离气体
C.小肠及阑尾穿孔后很少有气腹出现
D.依穿孔穿入腹腔内或腹膜后间隙而有不同的X线表现
E.以上均正确


点击查看答案


92、单项选择题  颅骨骨折的正确分型为()

A.线样骨折、凹陷骨折、压缩性骨折
B.线样骨折、粉碎性骨折
C.凹陷骨折、粉碎性骨折、穿入骨折
D.撕脱骨折、穿入骨折
E.线样骨折、凹陷骨折、粉碎性骨折、穿入骨折


点击查看答案


93、多项选择题  退变性脊椎滑脱症需与椎弓根性脊椎滑脱症鉴别,后者的特点是()

A.滑脱程度常较重
B.常伴有椎间盘突出
C.椎弓根峡部的单侧或双侧断裂
D.椎管前后径常有明显增宽
E.椎管前缘与棘突后缘间距增大


点击查看答案


94、单项选择题  X线由德国科学家伦琴发现于()

A.1800年
B.1840年
C.1890年
D.1895年
E.1900年


点击查看答案


95、单项选择题  有关X线片密度对比度、锐利度的关系的描述,错误的是()

A.密度是对比度锐利度的基础
B.对比度可随密度的改变而改变
C.锐利度与对比度无直接关系
D.观片灯的亮度影响照片对比度的视觉效果
E.高密度下对比度小的物体影像难以辨认


点击查看答案


96、单项选择题  左下叶肺不张的影像特征是()

A.右下三角征
B.横S征
C.心后三角征
D.薄饼征
E.彗星征


点击查看答案


97、单项选择题  有关乳腺良性肿块的X线征象中,应除外()

A.肿块多呈圆形或类圆形
B.肿块边缘光滑清晰
C.肿块界限不清,边缘模糊
D.肿块密度较均匀
E.肿块有时可见透明晕圈


点击查看答案


98、单项选择题  颅骨侧位片从颅中窝迂曲上行、在冠状缝后分为两支的血管压迹是()

A.脑膜中静脉压迹 
B.板障静脉压迹 
C.导静脉压迹 
D.脑膜中动脉压迹 
E.板障动脉压迹


点击查看答案


99、单项选择题  

男,28岁,轻咳2个月,有盗汗。胸片如图

本例最可能的诊断为()

A.过敏性肺炎
B.嗜酸性肉芽肿
C.支气管扩张
D.肺隔离症
E.肺结核


点击查看答案


100、单项选择题  鼻咽顶前部厚度正常绝对值不超过()

A.5mm
B.10mm
C.15mm
D.20mm
E.6mm


点击查看答案


101、单项选择题  

男,5岁,高热、畏寒、咳嗽、胸痛1周,如图所示,最可能的诊断为()

A.先天性肺囊肿
B.继发型肺结核
C.支原体肺炎
D.过敏性肺炎
E.金葡菌肺炎


点击查看答案


102、单项选择题  影响钙磷代谢的主要因素为()

A.甲状旁腺素
B.维生素C
C.甲状腺激素
D.性激素
E.维生素A


点击查看答案


103、单项选择题  成骨型骨肉瘤的特点()

A.肿瘤骨形成为主
B.早期骨皮质受侵
C.软组织肿胀
D.易引起病理骨折
E.骨皮质破坏为主


点击查看答案


104、单项选择题  “恶性骨肿瘤”最常见的骨膜反应类型是()

A.放射形骨膜反应
B.三角形骨膜反应
C.花边形骨膜反应
D.平行形骨膜反应
E.葱皮形骨膜反应


点击查看答案


105、单项选择题  细小玻璃碎片进入眼内,该异物属()

A.不透性异物
B.半透性异物
C.透过性异物
D.金属性异物
E.以上都不是


点击查看答案


106、单项选择题  下面肺脓肿的描述中,错误的是()

A.肺脓肿分急性、慢性两种
B.血源性肺脓肿常多发,一般为单侧
C.急性肺脓肿形成的空洞,壁厚,不规则,空洞内常有液平面
D.急性肺脓肿炎症阶段X线片上呈片絮状阴影,浓密较均匀
E.慢性肺脓肿阴影浓密,空洞可长时间无变化


点击查看答案


107、多项选择题  下列肺挫伤的诊断要点,正确的是()

A.胸痛、咯血、呼吸急促
B.肺内大片状或斑点状密度增高影
C.液气胸
D.肺部阴影需2周以上时间才能完全吸收
E.肺段或肺叶木张


点击查看答案


108、单项选择题  下列哪种X线征象是食管静脉曲张与食管癌的鉴别要点()

A.串珠状充盈缺损
B.管腔边缘凹凸不平
C.蠕动减弱,钡剂通过缓慢
D.纵行粘膜皱襞消失
E.管腔扩张及舒缩性存在


点击查看答案


109、多项选择题  X线检查中对被检者防护,应采取的措施()

A.提高国民对放射防护的知识水平
B.正确选用X线检查的适应证
C.做好非检查部位的屏蔽防护
D.采用恰当的X线质
E.严格控制照射量


点击查看答案


110、多项选择题  下列引起局限性颅骨增生的疾病有()

A.脑膜瘤
B.慢性骨髓炎
C.陈旧性骨折
D.石骨症
E.骨瘤


点击查看答案


111、单项选择题  下列关于骨关节投照体位的选择哪项不对()

A.立位双足弓水平侧位;扁平足
B.肩关节盂前后位:肩关节间隙
C.膝关节侧位、轴位;髌骨骨折
D.腕关节内收位:舟状骨中段横行骨折
E.双肩关节后前持重位;肩锁关节有否脱位


点击查看答案


112、多项选择题  普大型心脏多见于()

A.大量心包积液
B.风湿性多瓣膜损害
C.严重心肌病
D.房间隔缺损
E.室间隔缺损


点击查看答案


113、单项选择题  肾结核X线平片征象,下列哪项正确()

A.肾影倒八字形
B.病侧肾下垂
C.肾影不清
D.肾区可见不规则钙化灶
E.肾外形不光整


点击查看答案


114、单项选择题  女,35岁,右肺上叶后段薄壁空洞,直径3cm,内有较小的液面,空洞周围肺内有渗出病变,右下叶及左肺中下野有多发斑片状渗出影,最可能的诊断是()

A.肺结核病(干酪性肺炎)
B.肺脓肿
C.血源性肺脓肿
D.空洞型肺癌
E.肺霉菌病


点击查看答案


115、单项选择题  关于肺癌特征影像病理基础,下列描述哪项不对()

A.空泡征:肿瘤坏死,空洞形成
B.细短毛刺:癌浸润及间质反应,多见于腺癌
C.胸膜凹陷:肿瘤瘢痕收缩
D.钙化:肿瘤钙化或包埋原有钙化灶所致
E.细支气管充气征:瘤内含气、扩张的细支气管


点击查看答案


116、单项选择题  食管平滑肌瘤特征性X线表现是()

A.充盈缺损
B.黏膜紊乱
C.管腔变形
D.环形征
E.浅分叶


点击查看答案


117、单项选择题  与椎骨有关的是哪项()

A.棘突
B.翼状突
C.髁状突
D.后床突
E.喙状突


点击查看答案


118、单项选择题  二尖瓣狭窄早期X线征象是()

A.左心室缩小
B.右心室增大
C.左心房增大
D.右心房增大
E.主动脉结缩小


点击查看答案


119、单项选择题  人体由多少块骨组成()

A.204块
B.205块
C.206块
D.207块
E.208块


点击查看答案


120、单项选择题  下述神经性关节病的X线表现中,哪项不正确()

A.最早的X线表现为关节囊肿胀,轻微半脱位
B.关节间隙逐渐变窄,骨性关节面硬化及侵蚀破坏
C.关节骨端碎裂,并被吸收,以持重骨多见
D.关节腔内出现大量积液和多数游离体
E.不会出现骨质疏松和骨膜反应


点击查看答案


121、多项选择题  

女,49岁,进食上腹痛,腹部肠胀气近2天,今肛门已排气,大便已解,结合图像,最可能的诊断为()

A.正常表现
B.慢性胃炎
C.胃溃疡
D.球部溃疡
E.胃粘膜脱垂


点击查看答案


122、单项选择题  颅底前后分为三个颅凹,颅后窝有()

A.枕大孔
B.视神经孔
C.棘孔
D.破裂孔
E.卵圆孔


点击查看答案


123、单项选择题  成人胸部正位摄影焦-片距为()

A.50cm
B.70cm
C.90cm
D.100-120cm
E.150-180cm


点击查看答案


124、多项选择题  能产生脑脊液的是()

A.侧脑室
B.第三脑室
C.第四脑室
D.蛛网膜颗粒
E.室管膜


点击查看答案


125、单项选择题  男,16岁,下背痛和晨起僵硬1个月,活动后减轻,伴乏力,低热。 若骶髂关节X线平片显示双侧骶髂关节间隙变窄,边缘模糊,关节面下囊性变,关节两侧硬化,则最可能的诊断为()

A.类风湿性关节炎
B.强直性脊柱炎
C.骶髂关节结核
D.骶髂关节化脓性炎症
E.银屑病关节炎


点击查看答案


126、多项选择题  关于脑血管疾病钙化,下列哪些正确()

A.颈内动脉虹吸部钙化呈弧线状
B.慢性硬膜下血肿钙化呈梭形
C.颅内血肿钙化呈团块状
D.司-威(Sturge-Weber)综合征呈平行的线状钙化
E.以上都不对


点击查看答案


127、单项选择题  心房间隔缺损主要X线征象是()

A.主动脉结缩小或正常
B.肺门舞蹈征
C.右心房增大
D.左心室增大
E.肺动脉段突出


点击查看答案


128、单项选择题  下列疾病中,不引起食管位置或形态改变的是()

A.主动脉扩张
B.食管癌
C.左房增大
D.膈疝
E.胸腺肥大


点击查看答案


129、单项选择题  长骨纵径的生长进行于()

A.骨骺板
B.骨膜
C.骨干
D.干骺端
E.骨骺


点击查看答案


130、单项选择题  

男,24岁,双手疼痛,结合图像,最可能的诊断是()

A.肢端肥大症
B.骨质疏松症
C.类风湿关节炎
D.痛风
E.维生素D缺乏症


点击查看答案


131、多项选择题  单侧肺水肿可见于()

A.长期一个方向侧卧
B.ARDS
C.缺氧
D.一侧胸腔积液放水过快、过多
E.一侧肺挫伤


点击查看答案


132、单项选择题  以下选项中,子宫输卵管内造影剂正常排空时间应不超过()

A.6小时
B.36小时
C.12小时
D.24小时
E.48小时


点击查看答案


133、单项选择题  平静呼吸下屏气,常用于哪个部位的检查()

A.手
B.下肢
C.前臂
D.心脏
E.躯干


点击查看答案


134、多项选择题  以下哪些骨肿瘤常见钙化()

A.骨瘤
B.骨肉瘤
C.骨巨细胞瘤
D.软骨瘤
E.软骨肉瘤


点击查看答案


135、单项选择题  

男,23岁,跛行,外展受限,两下肢不等长,结合图像,最可能的诊断是()

A.髋关节中心脱位
B.髋关节后脱位
C.髋关节前脱位
D.先天性髋内翻
E.髋关节结核


点击查看答案


136、单项选择题  

男,35岁,上腹部反复疼痛伴进行性黄疸,加重1周,呕血1次。体检:巩膜及全身皮肤中度黄染,肝区及脾区有轻压痛,叩击痛,结合图像,最可能的诊断为()

A.正常食管
B.食管静脉曲张
C.食管胃底静脉曲张
D.贲门失弛缓
E.食管贲门癌


点击查看答案


137、多项选择题  有关肿瘤性钙化的说法中下列哪些正确()

A.颅咽管瘤钙化呈带状
B.少突胶质瘤钙化呈点状、片状
C.星形细胞瘤钙化呈堆状
D.脑膜瘤钙化呈团块状
E.室管膜瘤钙化呈分散状


点击查看答案


138、多项选择题  输尿管结石X线平片可见()

A.呈卵圆形致密阴影
B.结石边缘多毛糙不整齐
C.其长轴与输尿管走行一致
D.结石常见于输尿管三个生理狭窄处
E.梗阻上方输尿管及肾盂肾盏不同程度扩张积水


点击查看答案


139、多项选择题  腹部泌尿系平片(KUB)体位显示标准是()

A.从肾脏上端至膀胱整个泌尿系统全部包括在照片内
B.腰椎序列投影于照片正中
C.两侧腹部影像对称显示
D.骨骼清晰可见
E.肾脏轮廓可见


点击查看答案


140、单项选择题  

男,65岁,腰背部疼痛1月余,结合图像,最可能的诊断是()
 

A.脊椎结核
B.椎体压缩骨折
C.脊椎退行性变
D.脊椎转移瘤
E.L2~L3椎间盘炎


点击查看答案


141、单项选择题  

男,56岁,踝关节肿胀,有糖尿病史,结合图像,最可能的诊断是()

A.创伤性关节炎
B.退行性关节病
C.痛风
D.类风湿关节炎
E.神经性关节病


点击查看答案


142、多项选择题  X线质的表示方法主要有()

A.半价层
B.管电压
C.管电流
D.管电流量
E.阳极靶面物质原子序数


点击查看答案


143、单项选择题  第一幅人体头部MR图像是哪1年获取的()

A.1946年
B.1952年
C.1972年
D.1977年
E.1978年


点击查看答案


144、单项选择题  男,65岁,小便不畅半年,腰骶部、骨盆疼痛3月胸部平片及CT未见异常,需进一步行哪项检查()

A.前列腺指诊和MRI检查
B.支气管镜检查
C.静脉尿路造影
D.肾脏超声检查
E.痰细胞学检查


点击查看答案


145、单项选择题  

男,28岁,从高处坠落后双足疼痛1月余,结合影像学检查,最可能的诊断是()

A.跟骨骨折
B.骰骨骨折
C.距骨骨折
D.舟状骨骨折
E.楔骨骨折


点击查看答案


146、单项选择题  胸部后前位摄片胶片下缘应包括()

A.第6胸椎
B.第8胸椎
C.第10胸椎
D.第12胸椎
E.第3腰椎


点击查看答案


147、多项选择题  关于CR成像的叙述,正确的是()

A.CR——计算机X线摄片
B.CR是由成像板形成数字化影像
C.X线剂量比常规X线摄片显著降低
D.具有多种后处理功能
E.空间分辨率高


点击查看答案


148、单项选择题  

男,16岁,长期的骨骼肌肉畸形,听力障碍,结合图像,最可能的诊断是()

A.马方综合征
B.成骨不全
C.肾性骨病
D.甲状旁腺功能亢进
E.维生素D缺乏症


点击查看答案


149、单项选择题  化脓性关节炎的X线表现中,下列哪项出现较早且又具有特征性()

A.关节囊增大,密度增高
B.关节间隙增宽
C.关节承重面骨质破坏
D.关节周围骨质疏松
E.病理性关节脱位


点击查看答案


150、单项选择题  

男,37岁,右手腕部外伤1.5小时,右腕部肿痛。根据右腕关节正侧位片,应诊断为()

A.Barton骨折
B.Colles骨折
C.Smith骨折
D.Monteggia骨折
E.Bennett骨折


点击查看答案


151、单项选择题  下列关于急性肺脓肿的描述,不正确的是()

A.葡萄球菌、肺炎链球菌为常见致病菌
B.常有高热、寒战、大量脓痰
C.邻近胸膜增厚,甚至脓胸形成
D.多数急性空洞为薄壁空洞
E.急性空洞常有“液平面”


点击查看答案


152、单项选择题  关于照片锐利度的叙述,错误的是()

A.不锐利的照片有漏掉病灶的可能
B.不锐利的照片影像边界不清
C.不锐利的照片易出现误诊
D.锐利度是模糊度的反义词
E.被照体越靠近胶片,影像越不锐利


点击查看答案


153、单项选择题  原发性肺动脉高压的X线表现主要为()

A.右心室增大和肺动脉增宽
B.右心室增大和肺静脉增宽
C.右心房增大和肺动脉增宽
D.左心室增大和肺静脉增宽
E.以上都不对


点击查看答案


154、单项选择题  下列疾病属于骨关节肿瘤的是()

A.骨囊肿
B.动脉瘤样骨囊肿
C.骨软骨瘤
D.滑膜骨软骨瘤病
E.腱鞘囊肿


点击查看答案


155、单项选择题  

女,48岁,胸痛1周,结合图像,最可能的诊断是()

A.肺转移瘤
B.韦格肉芽肿
C.肺类风湿病
D.多发性肺脓肿
E.肺癌


点击查看答案


156、单项选择题  不产生脑脊液的是()

A.侧脑室
B.第三脑室
C.第四脑室
D.蛛网膜颗粒
E.室管膜


点击查看答案


157、单项选择题  在肝转移癌中,多血供型转移的是()

A.肾癌
B.胃癌
C.胰腺癌
D.恶性淋巴瘤
E.以上均不是


点击查看答案


158、多项选择题  X线摄片时,应注意中心线的()

A.入射点
B.中心线的能量
C.射入胶片的位置
D.投射的方向
E.入射的角度


点击查看答案


159、单项选择题  碘苯酯常用于下列哪项造影检查()

A.心血管造影
B.逆行肾盂造影
C.脑血管造影
D.椎管造影
E.静脉胆囊造影


点击查看答案


160、单项选择题  鼻骨侧位摄影时与胶片垂直的是()

A.听眦线
B.听眶线
C.听鼻线
D.听口线
E.瞳间线


点击查看答案


161、单项选择题  骨样骨瘤由以下哪两部分组成()

A.瘤巢和周围骨质硬化区
B.瘤巢和周围骨质破坏区
C.砂粒样物质和周围骨质破坏区
D.砂粒样物质和周围骨质硬化区
E.瘤巢和砂粒样物质


点击查看答案


162、单项选择题  大多数结肠癌的病理类型是()

A.类癌
B.黏液癌
C.腺癌
D.乳头状腺癌
E.胶样癌


点击查看答案


163、多项选择题  诊断“颅底凹陷症”,常采用下列哪些骨性标准()

A.听鼻线
B.Chamberlain线
C.McGregor线
D.眶耳线
E.二腹肌沟线


点击查看答案


164、单项选择题  

男,23岁,根据影像图像,最可能的诊断是()

A.骨髓炎
B.骨硬化症
C.骨囊肿
D.骨脓肿
E.骨结核


点击查看答案


165、单项选择题  X线球管中的阴极产生大量的自由电子是通过()

A.高电压、小电流
B.低电压、大电流
C.只需电流
D.低电压、小电流
E.高电压、大电流


点击查看答案


166、单项选择题  

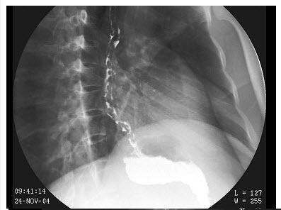
患者,男,40岁,因进食困难,逐渐加重半年就诊,钡餐造影检查示食管明显扩张,蠕动减弱,食管远端呈鸟嘴状,表面尚光整,服温水后,对比剂部分进入胃内。钡餐检查如图所示

最可能诊断为()

A.食管下端癌
B.食管贲门失弛缓症
C.食管下端静脉曲张
D.反流性食管炎
E.食管下段黏膜下平滑肌瘤


点击查看答案


167、单项选择题  下列哪项不属于X线照片影像的形成要素()

A.照片密度
B.照片的感光度
C.照片的对比度
D.照片的锐利度
E.照片的放大与变形


点击查看答案


168、单项选择题  

男,根据其正常骨盆影像图像,判断其最可能的年龄()

A.5岁左右
B.10岁左右
C.15左右
D.20岁左右
E.25岁左右


点击查看答案


169、单项选择题  常于早期即发生淋巴转移的肺癌是()

A.鳞状上皮癌
B.小细胞未分化癌
C.腺癌
D.大细胞未分化癌
E.细支气管肺泡癌


点击查看答案


170、多项选择题  骨嗜酸性肉芽肿好发于()

A.颅骨
B.骨盆
C.肋骨
D.脊柱
E.股骨


点击查看答案


171、单项选择题  维生素A过多症的X线表现不包括()

A.干骺端骺板下骨小梁稀少,排列紊乱、边缘模糊 
B.关节软骨下骨板变薄,骨性关节面模糊或断续不连 
C.骨干收缩变细,皮质边缘模糊或皮质中有线条状透亮影 
D.骨干骨膜下新骨形成,呈波浪状、薄壳状或层状 
E.骨骺边缘相当于先期钙化带区密度增高,使骨骺呈环形


点击查看答案


172、多项选择题  引起局限性颅骨增生的疾病有()

A.骨瘤
B.骨肉瘤
C.陈旧性骨折
D.石骨症
E.脑膜瘤


点击查看答案


173、单项选择题  关于鼻咽癌,其常规X线检查体位是()

A.鼻咽侧位+颅底位
B.头颅侧位
C.颈侧位
D.颅底位
E.鼻咽侧位


点击查看答案


174、单项选择题  

男,58岁,进食梗阻感,结合图像,最可能的诊断为()

A.正常食管
B.食管静脉曲张
C.食管平滑肌瘤
D.食管上段癌
E.食管下段癌


点击查看答案


175、单项选择题  充血性心肌病的典型X线表现是()

A.右心房和右心室增大
B.右心室增大
C.左心室、右心室增大
D.左心室增大
E.左心房和右心室增大


点击查看答案


176、多项选择题  不属于摄片体位内容的是()

A.摄片距离
B.肢体体位
C.胶片位置
D.中心线入射方向
E.滤线器


点击查看答案


177、单项选择题  高血压心脏病心影呈()

A.主动脉型心
B.靴形心
C.梨形心
D.滴状心
E.横位心


点击查看答案


178、单项选择题  额窦、蝶窦、筛窦的最佳摄影位置分别是()

A.许氏位、瓦氏位、鼻窦侧位
B.鼻窦侧位、梅氏位、瓦氏位
C.瓦氏位、鼻窦侧位、梅氏位
D.瓦氏位、斯氏位、柯氏位
E.柯氏位、鼻窦侧位、瓦氏位


点击查看答案


179、单项选择题  关于贲门失弛缓症的描述,错误的是()

A.多见于青壮年男性,女性少见
B.Auerbach神经节细胞异常
C.吞咽时食管下括约肌不能松弛,食管体部缺乏有推动力的蠕动
D.中、下段食管痉挛狭窄伴上段食管扩张,贲门部痉挛,肌层增厚
E.CT可作为常规检查


点击查看答案


180、单项选择题  

男性,10岁。胸闷、气短,呼吸困难。X线检查如图,最可能的诊断为()

A.心包炎 
B.心包积液 
C.先天性ASD 
D.先天性VSD 
E.心肌炎


点击查看答案


181、多项选择题  乳腺癌的特征性钙化具有哪些特点()

A.单位面积内数目较多 
B.密集成簇 
C.密度不一,浓淡不均 
D.钙化粒微小 
E.钙化位于肿块内或边缘部


点击查看答案


182、单项选择题  眼眶异物定位时,金属标记不应放置在角膜的哪个方位上()

A.3点钟
B.6点钟
C.9点钟
D.10点钟
E.12点钟


点击查看答案


183、多项选择题  石棉肺的胸膜改变有()

A.胸膜斑形成
B.胸膜纤维化
C.胸腔积液
D.胸膜间皮瘤
E.胸膜斑钙化


点击查看答案


184、单项选择题  较少分布于肺野中外带的病变为()

A.肺梗死
B.尿毒症
C.细支气管肺泡癌
D.肺挫伤
E.过敏性肺炎


点击查看答案


185、多项选择题  肺隐球菌病的X线征象有()

A.病灶可单发或多发
B.病灶呈斑片状、圆形或结节炎性浸润
C.病灶的边缘比较模糊
D.肺门和纵隔淋巴结常增大
E.晚期病变可有播散


点击查看答案


186、单项选择题  下列肺泡性肺水肿影像,哪项不对()

A.KerleyA线
B.支气管气相
C.心影正常或增大
D.肺门影增大、模糊
E.肺内影演变迅速


点击查看答案


187、单项选择题  儿童和幼年型类风湿关节炎的早期X线表现哪项是不正确的()

A.多见膝、踝、颈椎等大关节发病
B.干骺端出现横带状透亮区
C.骨骺生长加速,干骺早期融合
D.远侧指关节常被累及
E.可见关节面下的囊状透光区


点击查看答案


188、多项选择题  下列有关石棉肺的说法,正确的是()

A.较滑石肺患者症状出现晚且轻
B.胸膜斑比肺内阴影出现早
C.胸膜改变包括胸膜斑形成、胸膜斑钙化和胸腔积液
D.早期肺部表现为双下肺纹理增强
E.常合并支气管肺炎


点击查看答案


189、单项选择题  内生软骨瘤最好发的部位是()

A.四肢长骨
B.骨盆
C.颅面骨
D.手足短骨
E.脊柱


点击查看答案


190、单项选择题  甲种工作条件是指1年照射的有效量剂量有可能超过()

A.20mSv
B.15mSv
C.10mSv
D.5mSv
E.25mSv


点击查看答案


191、单项选择题  确诊肾盂输尿管重复畸形的主要检查方法是()

A.USG检查
B.排泄性尿路造影
C.CT检查
D.MRI检查
E.逆行性肾盂造影


点击查看答案


192、多项选择题  肺癌可见的转移部位为()

A.肝脏
B.纵隔淋巴结
C.脑
D.骨
E.肺门


点击查看答案


193、多项选择题  以下哪些病变属于肿瘤样病变()

A.骨囊肿
B.动脉瘤样骨囊肿
C.骨纤维异样增殖
D.广泛性纤维囊性骨炎
E.外生骨疣


点击查看答案


194、多项选择题  肠套叠钡灌肠的典型X线表现有哪些()

A.钡剂头端受阻
B.钡剂头端呈杯口状
C.位于肝、脾曲处的钡剂头端轴位像为圆形充盈缺损
D.钡剂排出后附着于粘膜皱襞的钡剂为螺旋弹簧状
E.钡剂头端见龛影


点击查看答案


195、单项选择题  正常成人心胸比率一般为()

A.0.5
B.0.56
C.0.55
D.0.60
E.0.40


点击查看答案


196、单项选择题  下列属于关节基本病变的是()

A.炎症
B.关节脱位
C.肿瘤
D.损伤
E.以上都是


点击查看答案


197、单项选择题  下列哪项不是诱发泌尿系感染的危险因素()

A.糖尿病
B.妊娠
C.前列腺肥大
D.泌尿道结石
E.直肠超声探头检查


点击查看答案


198、多项选择题  位于前纵隔的肿瘤有()

A.胸腺瘤
B.皮样囊肿
C.畸胎瘤
D.神经纤维瘤
E.支气管囊肿


点击查看答案


199、单项选择题  男,63岁,进行性吞咽困难1月。食管钡餐示:食管下段粘膜不规则充盈缺损,管腔狭窄,贲门扩张欠佳。 病变侵及食管的()

A.粘膜层
B.粘膜下层
C.肌层
D.外膜
E.粘膜肌层


点击查看答案


200、单项选择题  关于胃溃疡X线表现,错误的是()

A.龛影
B.小弯短缩
C.粘膜集中
D.充盈缺损
E.砂钟胃


点击查看答案


201、单项选择题  下列有关标准体位的描述,错误的是()

A.人体直立
B.掌心向前
C.两眼向前方平视
D.双上肢下垂置躯干两侧
E.两下肢并拢,足尖外展


点击查看答案


202、单项选择题  2/3胃次全切除术后,不常见的并发症是()

A.空肠消化性溃疡
B.吻合口溃疡
C.残端胃炎
D.胆石症
E.倾倒综合征


点击查看答案


203、单项选择题  男,5岁,腹痛,黏液便并偶带血10余天。钡灌肠见乙状结肠远端有1×1cm大小圆形充盈缺损,边缘光滑锐利,有一定活动度。首先考虑的诊断为()

A.结肠息肉
B.结肠息肉恶变
C.结肠癌
D.结肠憩室
E.结肠炎


点击查看答案


204、单项选择题  “颅缝闭合延迟”见于下述哪种病变()

A.甲状腺功能减退
B.佝偻病
C.低磷酸盐血症
D.眼-颌-面综合征
E.磷酸酯酶过少


点击查看答案


205、单项选择题  下列名称中,无骨质硬化表现为()

A.骨萎缩
B.骨梗死
C.缺血性坏死
D.骨岛
E.慢性炎症


点击查看答案


206、单项选择题  

女,15岁,发现大腿远端肿块1周,无明显疼痛,结合图像,最可能诊断是()

A.骨质增生
B.软骨瘤
C.骨肉瘤
D.骨瘤
E.骨软骨瘤


点击查看答案


207、单项选择题  关于肠梗阻影像学表现,下列错误的是()

A.扩张的肠袢靠拢形成咖啡豆状,为急性机械性小肠梗阻的典型表现
B.绞窄性小肠梗阻时,肠袢由于嵌顿并充满血性液体而呈软组织团块影,形成"假肿瘤"征
C.麻痹性肠梗阻的特点是大小肠呈均等积气、扩张,可有气-液平面
D.麻痹性肠梗阻扩张的肠管相互靠近,肠间隙常增宽
E.急性结肠梗阻时闭袢性扭转的特点是:结肠明显扩张,可达10~20cm,扩张的乙状结肠呈马蹄状,内有两个较宽的液面,其扩张的顶部可达中上腹部


点击查看答案


208、单项选择题  哪种疾病属肺血增多并有发绀者()

A.房间隔缺损
B.部分型肺静脉异位引流
C.动脉导管未闭
D.心内膜垫缺损
E.完全型大动脉转位


点击查看答案


209、单项选择题  

男,36岁,髋关节疼痛、肿胀,活动受限1月,结合图像,最可能的诊断是()

A.骨肉瘤
B.软骨瘤
C.股骨结核
D.软骨肉瘤
E.转移瘤


点击查看答案


210、单项选择题  辐射的生物效应分为()

A.致癌效应和皮肤效应
B.遗传效应和致癌效应
C.非随机性效应和随机性效应
D.胚胎死亡效应和致癌效应
E.遗传效应和皮肤效应


点击查看答案


211、多项选择题  肺透亮度局限性增加,可见于()

A.Macleod综合征(单侧透明肺综合征)
B.乳癌根治术后
C.Scimitar综合征(镰刀综合征)
D.脊柱侧弯
E.肺含铁血黄素沉着病


点击查看答案


212、单项选择题  

女,50岁,手指关节肿痛,晨僵,结合图像,最可能诊断是()

A.关节结核
B.牛皮癣性关节炎
C.痛风性关节炎
D.类风湿关节炎
E.Reiter综合征


点击查看答案


213、单项选择题  发生率最高的“腕骨骨折”是()

A.舟状骨骨折
B.三角骨骨折
C.大多角骨骨折
D.月骨骨折
E.豆状骨骨折


点击查看答案


214、单项选择题  

男,21岁,高热1周伴胸痛,胸片如图,最可能的诊断为()

A.右上肺周围型肺癌
B.右中肺不张
C.右上肺脓肿
D.右中肺脓肿
E.右上肺硬化性血管瘤


点击查看答案


215、单项选择题  与剑突末端至肚脐连线中点位于同一平面的是()

A.第12胸椎
B.第1腰椎
C.第2腰椎
D.第3腰椎
E.第4腰椎


点击查看答案


216、单项选择题  升主动脉及上腔静脉在后前位胸片上位于()

A.右心缘下段
B.右心缘中段
C.右心缘上段
D.左心缘上段
E.左心缘中段


点击查看答案


217、单项选择题  投照肩关节喙突卧位前后位时,中心线应()

A.向脚侧倾斜15°~30°
B.向头侧倾斜5°~15°
C.与床面垂直
D.向头侧倾斜15°~30°
E.向头侧倾斜5°~15°


点击查看答案


218、单项选择题  下列哪项不是增感屏的结构()

A.基层
B.感光乳剂层
C.保护层
D.反射层
E.防反射层


点击查看答案


219、单项选择题  静脉肾盂造影时,在注射对比剂后30分钟拍片,利于下列哪种疾病的诊断()

A.慢性肾盂肾炎
B.肾积水
C.海绵肾
D.肾囊肿
E.Wilms瘤


点击查看答案


220、单项选择题  对于腕三角骨撕脱性骨折,下列哪个体位观察最好()

A.正位
B.侧位
C.前斜位
D.后斜位
E.轴位


点击查看答案


221、单项选择题  有关溃疡性结肠炎的说法中,错误的是()

A.是一种非特异性大肠粘膜的慢性炎症性病变
B.多数学者认为与免疫异常、感染、遗传等因素有关
C.起病多急骤,发展迅速,中毒症状重
D.病变多发生在结肠下段,也可遍及整个结肠甚至末端回肠
E.常发生于青壮年,20~40岁之间


点击查看答案


222、单项选择题  可用于静脉肾盂造影的对比剂是()

A.碘化油
B.碘苯酯
C.泛影葡胺
D.碘化钠
E.胆影葡胺


点击查看答案


223、单项选择题  肺结核的卫星灶的病理改变是下列哪项()

A.渗出灶
B.增殖灶
C.纤维化灶
D.空洞
E.钙化灶


点击查看答案


224、多项选择题  下述哪些属硅酸盐肺()

A.石棉肺
B.滑石肺
C.矽肺
D.农民肺
E.棉尘肺


点击查看答案


225、单项选择题  良性溃疡X线征象中哪项不正确()

A.龛影突出胃壁轮廓之外
B.治疗后好转
C.龛影正面观呈圆形
D.粘膜皱襞通到龛影口
E.胃大弯浅盘状溃疡


点击查看答案


226、单项选择题  下列椎间盘突出征象中,错误的是()

A.椎间隙宽窄不均
B.脊柱生理曲度消失
C.椎体边缘骨质增生
D.脊柱不稳
E.腰大肌影增宽


点击查看答案


227、单项选择题  支气管破裂最常见的X线征象是()

A.胸腔积液
B.双肺充气不足
C.肺气肿,纵隔增宽
D.肺不张,纵隔移位
E.心脏周围有透亮带,皮下软组织内可见散在透亮区


点击查看答案


228、单项选择题  溃疡型肠结核主要消化道症状是()

A.呕吐
B.便秘
C.消瘦
D.腹部肿块
E.腹痛、腹泻、大便呈糊状


点击查看答案


229、单项选择题  下列对辐射敏感的组织不包括()

A.卵巢
B.四肢
C.眼晶状体
D.骨髓
E.睾丸


点击查看答案


230、单项选择题  

男,52岁,体检胸片如图,最可能的诊断是()

A.肺不张
B.胸膜肥厚
C.包裹性积液
D.肺炎
E.气胸


点击查看答案


231、单项选择题  腰椎两旁的腰大肌影起于()

A.第12胸椎两旁
B.第12胸椎下缘两旁
C.第12胸椎与第1腰椎之间两旁
D.第1腰椎椎体两旁
E.第1腰椎与第2腰椎之间两旁


点击查看答案


232、多项选择题  骨质破坏的原因中,正确的有()

A.良、恶性骨肿瘤
B.骨肿瘤样病变
C.甲状旁腺功能低下
D.炎症
E.肉芽肿性病变


点击查看答案


233、单项选择题  子宫输卵管造影,正常宫腔容积平均为()

A.7ml左右
B.6ml左右
C.5ml左右
D.4ml左右
E.3ml左右


点击查看答案


234、单项选择题  消化道黏膜的改变不包括()

A.黏膜皱襞增粗、扭曲
B.龛影
C.黏膜皱襞破坏
D.黏膜皱襞纠集
E.微皱襞的改变


点击查看答案


235、单项选择题  乳房的脂肪层形成一条透亮带,其厚度为()

A.0.5~1.5mm 
B.0.5~2.5mm 
C.0.5~1.5cm 
D.1.0~2.5cm 
E.1.5~2.5mm


点击查看答案


236、多项选择题  化脓性骨髓炎的X线表现有()

A.骨膜增生
B.骨质破坏
C.死骨形成
D.新生骨
E.肌间隙模糊


点击查看答案


237、多项选择题  X线胶片所用的感光物质是()

A.溴化银
B.碘化银
C.氟化银
D.硝酸银
E.氯化银


点击查看答案


238、单项选择题  下列不属于X线机辅助装置的是()

A.摄影床
B.诊视床
C.X线管
D.影像增强器
E.摄像机


点击查看答案


239、单项选择题  第一斜位又称为()

A.右后斜位
B.左后斜位
C.左侧位
D.右前斜位
E.左前斜位


点击查看答案


240、单项选择题  下列组合,哪项错误()

A.膝关节——空气造影
B.心血管——碘油造影
C.消化道——钡剂造影
D.椎管——碘苯酯造影
E.膀胱——双重对比造影


点击查看答案


241、单项选择题  

男,78岁,上腹痛1月余,返酸,无嗳气,空腹加重。体检:上腹压痛,结合图像,最可能的诊断为()

A.正常表现
B.慢性胃炎
C.胃癌
D.十二指肠憩室
E.十二指肠占位


点击查看答案


242、单项选择题  胸膜转移瘤的原发肿瘤最多见()

A.支气管肺癌
B.乳腺癌
C.胃癌
D.肾癌
E.卵巢恶性肿瘤


点击查看答案


243、单项选择题  患者,男性,28岁,咳嗽、咳痰1个月余,近1周低热,体温37.5~38.0℃,门诊抗炎治疗效果不佳。胸片示右上肺一含气空洞,内未见液气平面,周围可见多处小斑片影,最可能的诊断为()

A.肺脓肿
B.错构瘤
C.肺大疱
D.肺结核
E.肺支气管囊肿


点击查看答案


244、多项选择题  X线摄片时的曝光量与下列哪些因素有关()

A.被摄入体组织的密度
B.被摄入体部位的厚度
C.被摄入体的身高
D.被摄入体的体重
E.被摄入体与X线球管的距离


点击查看答案


245、单项选择题  对影像增强器电子透镜的解释,下列错误的是()

A.由各电极组成
B.对电子起聚焦作用
C.对电子进行放大
D.对电子进行加速
E.形成缩小增强的电子像


点击查看答案


246、单项选择题  结核杆菌最多通过什么途径进入骨或关节部位()

A.直接扩散
B.淋巴系统
C.开放性损伤
D.血液循环
E.呼吸道传播


点击查看答案


247、单项选择题  以下正常食管X线解剖的说法,哪项不对()

A.始于颈6椎体水平
B.止于胸11椎体水平
C.通常分颈段、胸段、腹段
D.食管粘膜纹与胃相似
E.青年人有三个生理压迹


点击查看答案


248、单项选择题  

男,18岁,右髋关节肿胀,疼痛1月余,经抗感染治疗,疗效不佳,结合图像,最可能的诊断是()

A.右髋关节软骨肉瘤
B.右髋关节滑膜肉瘤
C.右髋关节纤维肉瘤
D.右髋关节化脓性关节炎
E.以上均不是


点击查看答案


249、多项选择题  顶颏位可用于观察下列哪些结构()

A.上颌窦
B.前筛窦
C.后筛窦
D.颧弓
E.眶底


点击查看答案


250、多项选择题  肠系膜下动脉分支有哪些()

A.右结肠动脉
B.左结肠动脉
C.中结肠动脉
D.直肠上动脉
E.乙状结肠动脉


点击查看答案


251、单项选择题  腕部外伤,临床上有腕鼻烟窝部压痛及肿胀应考虑()

A.月骨骨折
B.舟状骨骨折
C.三角骨骨折
D.大多骨骨折
E.桡骨远端骨折


点击查看答案


252、单项选择题  脊柱骨软骨瘤好发于()

A.棘突
B.横突
C.椎弓
D.椎体
E.小关节突


点击查看答案


253、单项选择题  “单侧肋骨下缘切迹”见于()

A.主动脉关闭不全
B.胸壁动静脉瘘
C.主动脉弓畸形
D.左锁骨下动脉开口远侧主动脉狭窄
E.以上都可以


点击查看答案


254、单项选择题  胃肠钡餐造影时,腔外龛影与憩室的共同之处不包括()

A.均为良性病变
B.均突出于胃肠轮廓之外
C.均有黏膜进入
D.均可呈乳头状
E.均为胃或肠壁受累


点击查看答案


255、单项选择题  诊断纵隔恶性畸胎瘤的指征是()

A.位于前纵隔 
B.肿瘤直径超过5cm 
C.含脂肪信号 
D.局部受侵,肿瘤边缘不规则 
E.以上均是


点击查看答案


256、多项选择题  有关X线照片对比度的叙述,正确的是()

A.散射线使照片对比度下降
B.照片对比度高才是好照片
C.低管电压技术的X线照片具有良好对比度
D.高电压摄片技术照片影像对比度下降
E.胸部高电压摄片对比度能显示肺纹理的连续追踪


点击查看答案


257、单项选择题  第二斜位又称为()

A.右前斜位
B.左前斜位
C.左后斜位
D.右后斜位
E.侧位


点击查看答案


258、单项选择题  

女,4岁,左腿跛行2个月。结合图像,最可能的诊断是()

A.骨囊肿
B.软骨肉瘤
C.骨肉瘤
D.髋关节结核
E.股骨头骨骺缺血坏死


点击查看答案


259、单项选择题  逆行肾盂造影示自肾小盏中央开始向皮质呈放射状或肩状阴影,属于()

A.肾盂静脉周围逆流
B.肾盂肾窦逆流
C.肾盂淋巴管逆流
D.肾盂静脉逆流
E.肾小管逆流


点击查看答案


260、单项选择题  

女,48岁,常感中上腹不适,无返酸、嗳气及黑便史,结合图像,最可能的诊断为()

A.正常肠圈
B.十二指肠炎
C.球部溃疡
D.降段憩室
E.水平段憩室


点击查看答案


261、单项选择题  男性,50岁。有动脉粥样硬化病史。突然感到剧烈刀割样胸痛2小时,向背部放射。体检发现主动脉瓣区可闻及舒张期杂音。考虑为主动脉夹层可能。下列哪一项检查显示内膜钙化内移效果更佳()

A.透视
B.胸片
C.CT
D.MRI
E.DSA


点击查看答案


262、单项选择题  “先天性骨梅毒”诊断要点为()

A.新生儿血清学检查均为阳性
B.不经治疗,骨膜炎不会逐渐吸收
C.囊肿形成
D.干骺端透亮线.
E.胫骨近端内侧对称性、侵蚀性改变


点击查看答案


263、单项选择题  在十二指肠球部溃疡约占十二指肠溃疡的百分率是()

A.50%
B.60%
C.70%
D.80%
E.90%


点击查看答案


264、多项选择题  

男,12岁,上腹痛1周,无规律,无黑便史。体检:剑突下有压痛,结合图像,最可能的诊断是()

A.正常表现
B.胃炎
C.十二指肠炎
D.十二指肠溃疡
E.十二指肠占位


点击查看答案


265、单项选择题  

女,45岁,大便习惯改变半年余,粪便变细,黏液血便1个月。结合图像,最可能的诊断为()

A.肠扭转
B.肠套叠
C.降结肠癌
D.肠穿孔
E.降结肠炎


点击查看答案


266、多项选择题  右心房增大的原因包括()

A.三尖瓣下移畸形
B.动脉导管未闭
C.房间隔缺损
D.主动脉瓣狭窄
E.冠心病


点击查看答案


267、单项选择题  哪个部位的化脓性骨髓炎最易形成的脓肿()

A.手指骨
B.髂骨
C.股骨干骺端
D.胫骨下端
E.脊柱


点击查看答案


268、单项选择题  急腹症按病变性质分类,不包括()

A.脏器扭转性
B.肿瘤性
C.穿孔性
D.炎症性
E.损伤性


点击查看答案


269、单项选择题  下列有关食管造影描述,错误的是()

A.食管粘膜皱襞呈纵行
B.钡剂通过正常贲门时无分流现象
C.为了解胃底结构,应常规服发泡剂
D.充盈缺损不仅见于食管新生物
E.正位充盈像未见异常就可除外食管癌


点击查看答案


270、单项选择题  下述二尖瓣型心脏的影像特点,错误的是()

A.心腰隆起
B.右心缘较突出
C.形态近于梨形
D.主动脉结影增宽
E.常见于二尖瓣病变、房间隔缺损和肺源性心脏病


点击查看答案


271、单项选择题  胎儿出生前受X线照射,引起智力低下的主要时期是()

A.5~7周
B.8~15周
C.16~20周
D.21~25周
E.26~30周


点击查看答案


272、单项选择题  

女,25岁,胸背痛半月余,胸片如图,最可能的诊断为()

A.左上肺不张
B.左上肺炎
C.纵隔肿瘤
D.左上肺癌
E.左上肺炎性假瘤


点击查看答案


273、单项选择题  X线检查左心房最有效的方法为()

A.左前斜位加食管吞钡
B.右前斜位加食管吞钡
C.后前位
D.右侧位
E.右前斜位


点击查看答案


274、多项选择题  下列关于骨瘤的描述,正确的是()

A.骨瘤分致密型、松质型、混合型三种
B.颅骨外板发病率高于内板
C.额、顶、枕骨发病率高于鼻窦区
D.鼻窦区发病率高于额、顶、枕骨
E.一般在全身骨骼发育成熟后停止生长


点击查看答案


275、单项选择题  色素沉着绒毛结节性滑膜炎特点为()

A.关节滑膜高度增生
B.含铁血黄素沉着
C.绒毛结节形成
D.以上都是
E.以上都不是


点击查看答案


276、单项选择题  下列关于“Sprengel畸形”,哪项错误()

A.偶可双侧发病
B.可伴短颈畸形
C.常伴颈椎、胸廓畸形
D.肩胛骨抬高,下角向脊柱侧旋转
E.锁骨正常


点击查看答案


277、单项选择题  “腕骨二次骨化中心”出现的正常顺序是()

A.头、钩、三角、月
B.小、大、钩、头
C.豆、月、头、钩
D.舟、钩、月、头
E.月、豆、头、大


点击查看答案


278、单项选择题  支气管断裂伤最常见的征象是()

A.双肺含气不足,合并渗出性病变
B.张力性气胸合并纵隔和皮下气肿
C.肺气肿,纵隔增宽
D.肺不张,纵隔移位
E.纵隔移位合并双肺含气不足


点击查看答案


279、单项选择题  

男,根据其正常骨盆影像图像,判断其最可能的年龄()

A.1岁左右
B.4岁左右
C.7岁左右
D.10岁左右
E.13岁左右


点击查看答案


280、单项选择题  成人下颌角的正常值为()

A.110度
B.115度
C.120度
D.125度
E.130度


点击查看答案


281、单项选择题  

男,19岁,感胸闷、胸前区隐痛,X线检查如图,最可能的诊断是()

A.胸膜肥厚
B.肺部炎症
C.前纵隔肿瘤
D.中纵隔肿瘤
E.后纵隔肿瘤


点击查看答案


282、多项选择题  下列哪些是观察胆囊生理功能的检查方法()

A.胆囊区平片
B.口服胆囊造影
C.静脉胆道造影
D.T型管造影
E.经皮肝穿刺胆管造影


点击查看答案


283、单项选择题  有关静脉滴注肾盂造影的禁忌证,错误的是()

A.严重的心血管疾患
B.甲状腺功能亢进
C.严重肝病者
D.碘过敏者
E.腹部有巨大肿块者


点击查看答案


284、多项选择题  下列哪些是进展性结肠癌的X线表现()

A.粘膜皱襞迂曲
B.粘膜皱襞破坏
C.充盈缺损
D.龛影
E.环形狭窄


点击查看答案


285、多项选择题  X线经被照体形成X线信息影像,其质量决定于()

A.被照体的厚度与密度
B.被照体的原子序数
C.X线的散射状况
D.被照体的形状
E.X线的量


点击查看答案


286、单项选择题  在影响X线减弱的因素中,错误的是()

A.X线能量增加,光电吸收下降
B.原子序数大的物质μ值大
C.质密度大的μ值小
D.组织密度决定衰减射线的能力
E.每克物质的电子数是X线减弱的主要因素


点击查看答案


287、单项选择题  

男,15岁,畏寒,高热2周,摄片如图所示,下列诊断正确的是()

A.急性化脓性骨髓炎
B.慢性化脓性骨髓炎
C.溶骨性骨肉瘤
D.尤文肉瘤
E.以上均不正确


点击查看答案


288、单项选择题  急腹症应首选的摄影体位是()

A.腹部站立侧位
B.腹部仰卧前后位
C.腹部站立前后位
D.腹部仰卧侧位
E.腹部侧卧后前位


点击查看答案


289、多项选择题  下列关于心脏摄影位置的描述,正确的是()

A.左前斜位为左胸前旋使胸冠状面与胶片成60°角
B.右前斜位为右胸前旋使胸冠状面与胶片成45°角
C.后前位是站立后前位,靶片距1.5m
D.左侧位采用食管吞钡投照
E.远达片心影放大率在10%以下


点击查看答案


290、单项选择题  婴幼儿间质性肺炎急性阶段的重要X线表现是()

A.肺实变
B.肺膨胀
C.肺不张
D.支气管扩张
E.间质纤维化


点击查看答案


291、单项选择题  22岁,男性,在体检时发现胸骨左缘第3、4肋间隙有一响亮而尖锐的收缩期杂音,上胸壁有震颤,但无杂音传导,X线检查时可见:左室轻度扩大,结合上述病史最可能的诊断是()

A.动脉导管未闭
B.法洛四联征
C.主动脉缩窄
D.室间隔缺损(Roger病)
E.以上都不是


点击查看答案


292、单项选择题  关于胆囊癌,错误的是()

A.老年人多见
B.女性多于男性
C.多合并结石
D.多为腺癌
E.乳头状型最常见


点击查看答案


293、单项选择题  慢性胃炎按Schindler分类法是()

A.萎缩性胃炎、增生性胃炎、肠上皮化生
B.浅表性胃炎、萎缩性胃炎、肥大性胃炎
C.浅表性胃炎、增生性胃炎、肥大性胃炎
D.萎缩性胃炎、肥大性胃炎、肠上皮化生
E.肥大性胃炎、浅表性胃炎、肠上皮化生


点击查看答案


294、单项选择题  膝关节正位摄影,中心线应对准()

A.髌骨上缘
B.髌骨中心
C.髌骨下缘
D.髌骨上缘1cm
E.髌骨下缘2cm


点击查看答案


295、单项选择题  早期中耳癌的X线摄影以何种位置摄影最佳()

A.汤氏位摄影 
B.伦氏位摄影 
C.斯氏位摄影 
D.头颅前后位摄影 
E.颅底摄影


点击查看答案


296、单项选择题  

患者,男,76岁,食管钡餐造影检查示食管壁张力降低,蠕动减弱,钡剂排空延迟,并在食管中下段见到串珠状充盈缺损影。钡餐检查如下图所示:

下列对该病描述不正确的是()

A.是门静脉高压的重要并发症
B.常见于肝硬化,发生率高达80%~90%
C.早期有明显的症状
D.呕血为主要症状
E.可伴脾大、脾亢或腹水等


点击查看答案


297、单项选择题  

男,52岁,胸痛、体重下降2月余,结合胸片,最可能的诊断()

A.包裹性胸腔积液
B.胸膜肥厚
C.化脓性胸膜炎
D.肺癌
E.胸膜间皮瘤


点击查看答案


298、多项选择题  关于骨髓瘤的分型,下列哪些正确()

A.按发病数目可分为单发和多发性骨髓瘤
B.按是否分泌免疫球蛋白可分为分泌型和非分泌型骨髓瘤
C.分泌型骨髓瘤少见
D.非分泌型骨髓瘤多见
E.分泌型骨髓瘤中,以IgG型多见


点击查看答案


299、单项选择题  颅骨骨折的直接征象是()

A.乳突气房消失
B.骨折线
C.软组织肿胀
D.颅内积气
E.蝶窦积气.液平面


点击查看答案


300、单项选择题  关于恶性泪腺肿瘤的X线表现中,下列描述错误的是()

A.病灶边缘模糊
B.局部眶壁变薄、边缘光滑
C.眼眶轻度普遍性扩大
D.不规则虫蚀样破坏
E.泪腺窝骨壁结构模糊、吸收


点击查看答案


题库试看结束后微信扫下方二维码即可打包下载完整版《★放射医学(医学高级)》题库
手机用户可保存上方二维码到手机中,在微信扫一扫中右上角选择“从相册选取二维码”即可。
题库试看结束后微信扫下方二维码即可打包下载完整版《放射医学(医学高级):X线》题库,分栏、分答案解析排版、小字体方便打印背记!经广大会员朋友实战检验,此方法考试通过率大大提高!绝对是您考试过关的不二利器
手机用户可保存上方二维码到手机中,在微信扫一扫中右上角选择“从相册选取二维码”即可。

微信搜索关注"91考试网"公众号,领30元,获取公务员事业编教师考试资料40G