放射医学(医学高级):X线找答案(每日一练)

时间:2025-08-28 04:45:46

微信搜索关注"91考试网"公众号,领30元,获取事业编教师公务员等考试资料40G
题库试看结束后微信扫下方二维码即可打包下载完整版《★放射医学(医学高级)》题库
手机用户可保存上方二维码到手机中,在微信扫一扫中右上角选择“从相册选取二维码”即可。
题库试看结束后微信扫下方二维码即可打包下载完整版《放射医学(医学高级):X线》题库,分栏、分答案解析排版、小字体方便打印背记!经广大会员朋友实战检验,此方法考试通过率大大提高!绝对是您考试过关的不二利器
手机用户可保存上方二维码到手机中,在微信扫一扫中右上角选择“从相册选取二维码”即可。

1、单项选择题  骶髂关节前后位中心线入射点是()

A.耻骨联合上缘
B.耻骨联合下缘
C.髂前上棘内侧
D.髂前上棘外侧
E.脐下3cm


点击查看答案


2、单项选择题  诊断肾动脉狭窄、肾动脉瘤等肾血管疾病的金标准为()

A.血管造影检查
B.CTA检查
C.MRA检查
D.DSA检查
E.MRI检查


点击查看答案


3、单项选择题  特发性肺间质纤维化好发于()

A.肺门附近
B.上叶尖后段或下叶背段
C.胸膜下区
D.双下肺野
E.双肺弥漫分布


点击查看答案


4、单项选择题  易合并胸膜间皮瘤的尘肺见于()

A.煤尘肺
B.矽肺
C.石墨尘肺
D.石棉肺
E.炭黑尘肺


点击查看答案


5、单项选择题  

男,40岁,黑便1周,半年来呕血两次。查体:脾肋下4cm,结合图像,最可能的诊断为()

A.正常食管
B.食管癌
C.食管静脉曲张
D.贲门癌
E.食管炎


点击查看答案


6、多项选择题  食管静脉曲张累及下列哪些静脉()

A.胃冠状静脉
B.脐静脉
C.食管下静脉
D.奇静脉
E.肋间静脉


点击查看答案


7、多项选择题  颅底凹陷症采用的测量方法有()

A.Chamberlain线
B.McGregor线
C.二腹肌沟线
D.外耳孔高度指数
E.Klaus高度指数


点击查看答案


8、多项选择题  黏多糖贮积症中哪几型所致的骨病变最重()

A.Ⅰ型
B.Ⅳ型
C.Ⅵ型
D.Ⅱ型
E.Ⅲ型


点击查看答案


9、单项选择题  化脓性骨髓炎指的是什么组织的化脓性感染()

A.骨皮质和骨膜
B.骨骺和骨髓
C.骨髓、骨和骨膜
D.骨髓
E.以上都是
F.以上都不是


点击查看答案


10、单项选择题  单侧肾影增大,则可除外下列哪项()

A.重复肾
B.肾囊肿
C.肾肿瘤
D.多囊肾
E.肾盂积水


点击查看答案


11、单项选择题  构成胸部后前位X线影像的器官和组织中下列哪项除外,其余均为白影()

A.肩胛骨
B.心脏
C.肺纹理
D.肺野
E.大血管


点击查看答案


12、单项选择题  陈旧性关节脱位是指脱位时间超过()

A.1周
B.2周
C.3周
D.4周
E.6周


点击查看答案


13、单项选择题  

男,根据其正常手的影像图像,判断其最可能的年龄()

A.16岁左右
B.26岁左右
C.36岁左右
D.76岁左右
E.56岁左右


点击查看答案


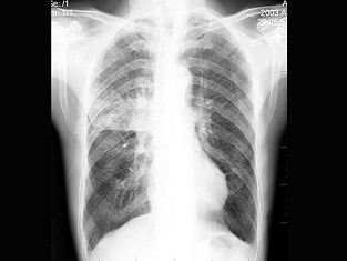
14、单项选择题  

女,48岁,咳嗽2月余,胸片检查如图,最可能的诊断为()

A.右上肺胸膜肥厚
B.右上肺结核
C.右上肺不张
D.右上肺肿块
E.肺上沟瘤


点击查看答案


15、单项选择题  中心线向头侧倾斜是指()

A.向下倾斜
B.向上倾斜
C.向近端倾斜
D.向远端倾斜
E.向体轴倾斜


点击查看答案


16、单项选择题  X线管阴极的作用是()

A.发射并聚焦电子
B.只发射电子
C.只聚焦电子
D.散热
E.产生X线


点击查看答案


17、单项选择题  逆行肾盂造影的术前准备,不包括()

A.碘过敏试验
B.清洁肠道
C.麻醉剂过敏试验
D.检查当日禁食
E.有关膀胱镜检查准备


点击查看答案


18、单项选择题  肾区前后位摄影,中心线经()

A.肚脐
B.脐下3cm
C.剑突与脐连线中点
D.脐与耻骨联合连线中点
E.剑突与耻骨联合连线中点


点击查看答案


19、单项选择题  病变常对称性地侵犯四肢关节的疾病是()

A.关节结核
B.化脓性关节炎
C.类风湿性关节炎
D.色素沉着绒毛结节性滑膜炎
E.滑膜骨软骨瘤病


点击查看答案


20、单项选择题  滑膜骨软骨瘤病最常见于()

A.膝关节
B.髋关节
C.肘关节
D.踝关节
E.腕关节


点击查看答案


21、单项选择题  诊断高血压性心脏病必须有()

A.心尖区收缩期吹风样杂音
B.右心室增大
C.左心室增大
D.左心房、右心室增大
E.右心房、肺动脉干突出


点击查看答案


22、多项选择题  影响辐射损伤的因素是()

A.剂量率
B.照射方式
C.照射部位和范围
D.辐射线性质
E.辐射线剂量


点击查看答案


23、单项选择题  隆起型胃炎又称之为()

A.炎性息肉 
B.浅表性胃炎 
C.肥大性胃炎 
D.萎缩性胃炎 
E.疣状胃炎


点击查看答案


24、单项选择题  正常胰腺钩突位于()

A.肠系膜上动脉前方
B.脾静脉后方
C.下腔静脉后方
D.十二指肠内侧
E.肠系膜上静脉后方


点击查看答案


25、单项选择题  用于X线成像的波长为()

A.0.0006~50mm
B.0.0006~50nm
C.0.031~0.008mm
D.0.031~0.008nm


点击查看答案


26、多项选择题  下列关于食管癌的X线表现,正确的是()

A.黏膜皱襞中断
B.管腔狭窄
C.腔内充盈缺损
D.不规则龛影
E.以上都不是


点击查看答案


27、单项选择题  在肝转移病灶中,钙化发生率高的是()

A.肾癌
B.直肠癌
C.胰腺癌
D.平滑肌肉瘤
E.甲状腺癌


点击查看答案


28、单项选择题  

椎间盘脱出的部位常见于()
 

A.C1-2
B.T3-4
C.L1-2
D.C7~T1
E.L5~S1


点击查看答案


29、单项选择题  胆脂瘤最多见于下列哪种类型乳突()

A.气化型乳突
B.混合型孔突
C.板障型乳突
D.与乳突类型无关
E.以上都不是


点击查看答案


30、单项选择题  X线束的最短波长取决于()

A.毫安
B.时间
C.千伏
D.毫安秒
E.靶物质


点击查看答案


31、多项选择题  代谢性骨病的常见X线表现有()

A.骨质软化
B.骨髓腔扩大
C.骨质疏松
D.骨皮质变薄
E.病理性骨折


点击查看答案


32、单项选择题  青年农民,突发畏寒、高热,全身肌肉酸痛,以腓肠肌为著,3天后出现咳嗽、咯血,胸片示肺纹理增粗、结构模糊,双肺多个斑片状模糊影,最可能的诊断是()

A.农民肺
B.肺钩端螺旋体病
C.过敏性肺炎
D.间质性肺炎
E.支气管肺炎


点击查看答案


33、多项选择题  颅内生理钙化包括()

A.松果体钙化
B.脉络膜丛钙化
C.大脑镰钙化
D.蛛网膜颗粒钙化
E.后床突韧带钙化


点击查看答案


34、多项选择题  引起胸椎椎旁软组织肿胀的疾患有()

A.强直性脊柱炎
B.胸椎结核
C.胸椎肿瘤
D.嗜酸性肉芽肿
E.胸椎退行性变


点击查看答案


35、单项选择题  关于肩关节前后位摄影,错误的是()

A.显示肱骨头与关节盂关节间隙的切线像
B.身体矢状面必须平行于胶片
C.肩胛骨喙突对准胶片中心
D.中心线对准喙突投射
E.可检查肱骨近端骨质病变


点击查看答案


36、单项选择题  MPSI-H型的临床表现中,哪项正确()

A.出生后生长障碍,发病早
B.明显智力障碍
C.特征性面容,角膜混浊
D.X线骨骼主要为骨成形差
E.尿中含有大量DS和HS(基本比例为1:1)


点击查看答案


37、单项选择题  关于对比剂引入方法,哪个是不正确的()

A.消化道、尿路逆行对比所用对比剂为直接引入法
B.静脉胆道对比剂,经静脉注入直接到达胆系显影
C.静脉肾盂造影用对比剂,通过生理排泄法显影
D.经皮穿刺肝胆系对比,对比剂为直接引入法
E.心血管对比用对比剂是通过血管直接引入


点击查看答案


38、单项选择题  从X线被照体→潜影→可见光→数字影像,这一程序转换的是()

A.I.I.TV
B.成像板
C.闪烁体+CCD摄像机阵列
D.直接转换平板探测器
E.间接转换平板探测器


点击查看答案


39、多项选择题  有关解剖学方位的叙述,正确的是()

A.近身体腹侧为前面
B.近身体腹侧为后面
C.近皮肤为浅层
D.近头侧为下
E.近心脏侧为近端


点击查看答案


40、单项选择题  下列正常肺纹理的表现,哪项是错误的()

A.上肺纹理细,下肺纹理粗
B.肺纹理呈树枝状,越分越细
C.右下肺纹理比左下肺纹理明显
D.两上肺纹理相比,右上比左上多
E.肺纹理向下伸延,可与肝影重叠


点击查看答案


41、多项选择题  无肺门增大而只表现为肺门密度增高者()

A.百日咳
B.麻疹肺炎
C.慢性支气管炎
D.中央型肺癌
E.心肺病变


点击查看答案


42、多项选择题  弥漫性颅骨增生见于()

A.骨纤维异常增殖症
B.骨肉瘤
C.肾性佝偻病
D.石骨症
E.畸形性骨炎


点击查看答案


43、多项选择题  肝脓肿的发病原因包括()

A.胆道炎症所致
B.经淋巴系统感染
C.腹腔内和胃肠道感染经门静脉进入肝脏
D.全身其他部位炎症经肝动脉进入肝脏
E.阿米巴原虫感染


点击查看答案


44、单项选择题  梗阻以上结肠扩张,有宽大液平面,小肠轻度扩张,有少许液平面,最可能的诊断是()

A.单纯性结肠梗阻 
B.绞窄性小肠梗阻 
C.单纯性小肠梗阻 
D.结肠扭转 
E.肠套叠


点击查看答案


45、单项选择题  分析胸片时一般不考虑()

A.胸廓
B.肺
C.膈
D.胸膜
E.腹膜


点击查看答案


46、单项选择题  以下“投照体位-显示结构”组合中,哪项不正确()

A.斯氏位:显示内听道、乳突尖部 
B.许氏位:显示乳突窦部 
C.瑞氏位:显示视神经孔和后组筛窦 
D.梅氏位:显示鼓室、乳突窦和内耳孔 
E.瑞氏位:显示视神经孔及前组筛窦


点击查看答案


47、单项选择题  有关对比度、锐利度、密度的相互关系,下列哪种说法错误()

A.密度是对比度、锐利度的基础
B.锐利度与对比度无直接关系
C.照片对比度不随密度改变而改变
D.观片灯的亮度也影响对比度的效果
E.在高密度的周围如有对比度小的物体影像,常难以辨认


点击查看答案


48、多项选择题  肾阳性结石应与下列哪些病变相鉴别()

A.腹部淋巴结钙化
B.肋软骨钙化
C.胆囊结石
D.肾囊肿
E.以上都是


点击查看答案


49、单项选择题  胃扭转的X线表现是()

A.幽门高于十二指肠球部,胃呈蜷虾状 
B.胃呈瀑布状 
C.膈上见B环 
D.大弯侧呈弧形压迹,胃向左移 
E.葫芦状胃


点击查看答案


50、单项选择题  坐位或俯卧位,下颏前伸,头颅水平面与胶片呈45°,矢状面垂直胶片,中心线通过鼻前棘垂直胶片,是哪个摄片位置()

A.Water’s氏位
B.Mayer’s氏位
C.Schuller’s氏位
D.汤氏位
E.Rhese’s位


点击查看答案


51、单项选择题  较少分布于肺野中外带的病变为()

A.肺梗死
B.尿毒症
C.细支气管肺泡癌
D.肺挫伤
E.过敏性肺炎


点击查看答案


52、单项选择题  下列哪一种检查方法已不用于常规颅脑影像学检查()

A.头颅正侧位
B.脑血管造影
C.CT
D.气脑造影
E.MRI


点击查看答案


53、单项选择题  下列哪些疾病可以使用X线作为初步检查方法()

A.眼部阳性异物及其定位
B.眼球突出
C.眼部肿瘤
D.眼眶外伤
E.以上均可


点击查看答案


54、单项选择题  造影前不需做肠道清洁准备的是()

A.静脉肾盂造影
B.膀胱造影
C.肝动脉造影
D.子宫输卵管造影
E.四肢静脉造影


点击查看答案


55、多项选择题  副鼻窦病变常见的异常X线征象有()

A.窦腔混浊、密度增加
B.粘膜肥厚
C.窦腔内软组织块影
D.窦腔内液平面
E.窦腔增大或缩小


点击查看答案


56、多项选择题  肾实质显影浅淡主要见于()

A.肾功能减退
B.尿路梗阻
C.肾结核
D.肾脓肿
E.低血压


点击查看答案


57、单项选择题  左心室增大一般不出现于下列哪项()

A.二尖瓣狭窄
B.主动脉瓣狭窄
C.二尖瓣关闭不全
D.主动脉瓣关闭不全
E.高血压心脏病


点击查看答案


58、多项选择题  巨人症与肢端肥大症初期内分泌症状包括()

A.性器官发育过早
B.性欲亢进
C.性欲减退
D.闭经
E.阳痿


点击查看答案


59、单项选择题  

6岁,女,右小腿疼痛,跛行5年,无明显外伤史,右小腿正侧位片如图所示,最可能诊断是()

A.先天性骨不连
B.先天性骨梅毒
C.先天性假关节形成
D.成骨发育不全
E.软骨发育不全


点击查看答案


60、单项选择题  桡骨小头半脱位是由于()

A.尺侧副韧带松弛
B.桡侧副韧带松弛
C.桡骨环状韧带松弛
D.尺骨环状韧带松弛
E.以上均不是


点击查看答案


61、单项选择题  颅脑外伤侧位平片显示鼻咽腔顶软组织肿胀常提示()

A.前颅窝骨折
B.中颅窝骨折
C.后颅窝骨折
D.额骨骨折
E.斜坡骨折


点击查看答案


62、多项选择题  关于X线影像重叠的叙述,正确的是()

A.用前后和左右几个方向的摄片表现人体结构
B.胸片中看不到胸骨影像,是大物体(纵隔)密度大于小物体
C.膝关节正位照片中髌骨影像,是大小物体组织密度相等
D.肺野中的肋骨阴影很明显,是大小物体组织密度相等
E.以上都是


点击查看答案


63、单项选择题  支气管阻塞征象中,最早的改变为()

A.阻塞性炎症
B.局限性阻塞性肺气肿
C.支气管扩张
D.肺脓肿形成
E.阻塞性肺不张


点击查看答案


64、单项选择题  风湿性心脏病主动脉瓣关闭不全的主要表现是()

A.左心房、右心室增大
B.左心室增大
C.右心室肥大
D.右心房、左心室增大
E.右心房增大


点击查看答案


65、多项选择题  脊柱骨质增生可见于()

A.特发性肥大性骨关节病
B.强直性脊柱炎
C.脊柱结核愈合期
D.畸形性骨炎
E.脊柱外伤


点击查看答案


66、单项选择题  中心线与被照体局部边缘相切为()

A.前后方向
B.后前方向
C.切线方向
D.冠状方向
E.轴方向


点击查看答案


67、单项选择题  关于Caplan综合征,下列描述错误的是()

A.矽肺
B.类风湿关节炎
C.肺外带单发或多发结节影
D.结节边缘整齐
E.结节常有钙化


点击查看答案


68、单项选择题  慢性化脓性中耳乳突炎单纯型X线表现中,下列说法哪项错误()

A.乳突窦及其周围骨质硬化增生
B.锤骨或砧骨骨质破坏
C.乳突气房透光度减低
D.气房间隔骨质增厚、结构模糊
E.乳突气房外围骨质有明显增生


点击查看答案


69、多项选择题  有关消化道疾病的描述,正确的是()

A.静脉曲张只见于食管,胃部见不到
B.食管癌中以鳞癌多见
C.对比造影在胃癌诊断上是重要的
D.十二指肠球部溃疡较升段者多
E.小弯侧较大弯侧的胃溃疡发生率高


点击查看答案


70、单项选择题  对肺内球形病灶所致的血管集束征,下列描述不正确的是()

A.血管穿过球形病灶
B.血管向球形病灶内聚集
C.血管在球形病灶边缘截断
D.血管集束征常见于恶性肿瘤
E.肺错构瘤常见血管集束征


点击查看答案


71、单项选择题  下述哪项不是心包积液典型X线征象()

A.心脏呈普大型
B.心缘搏动减弱
C.上腔静脉扩张
D.肺血管纹理增多
E.主动脉搏动正常


点击查看答案


72、单项选择题  下列哪项描述最符合过敏性结肠炎的结肠造影表现()

A.降结肠呈线样,粘膜无破坏
B.降结肠边缘呈锯齿样,充盈像见腔内多发小充盈缺损,粘膜破坏
C.乙状结肠局限性狭窄,粘膜消失,管壁僵硬,其内见龛影
D.回盲部、回肠末端呈线样,钡剂通过呈“跳跃”征,粘膜皱襞紊乱破坏
E.回肠、结肠呈节段性狭窄,粘膜破坏,见“卵石征”,有瘘管形成


点击查看答案


73、单项选择题  关于尤因肉瘤的表述,错误的是()

A.好发年龄为5~15岁
B.20岁以前好发于干骺端和骨干,20岁以后好发于扁骨
C.全身症状常似骨感染.如高热、白细胞增多
D.一般不发生骨骼和肺的转移
E.肿瘤对放射线极为敏感


点击查看答案


74、多项选择题  恶性骨肿瘤中不常有骨膜反应的是()

A.骨纤维肉瘤
B.尤文肉瘤
C.原发网状细胞肉瘤
D.骨肉瘤
E.转移性骨肿瘤


点击查看答案


75、多项选择题  较常见的肺真菌病是()

A.肺曲菌病
B.肺念珠菌病
C.肺奴卡菌病
D.肺放线菌病
E.肺新型隐球菌病


点击查看答案


76、多项选择题  减小几何模糊,正确的措施是()

A.被照体远离胶片
B.被照体贴近胶片
C.使用小焦点
D.使用小的焦—片距
E.使用大的焦—片距


点击查看答案


77、单项选择题  筛骨属于()

A.扁骨
B.短管状骨
C.不规则骨
D.长管状骨
E.以上都是


点击查看答案


78、单项选择题  胸片示肺动脉段凹陷,可除外下述哪种疾病()

A.主动脉缩窄
B.Ebstein畸形
C.法洛四联征
D.三尖瓣闭锁
E.肺动脉漏斗部狭窄


点击查看答案


79、多项选择题  胃良性溃疡的X线表现有()

A.环堤 
B.腔外龛影 
C.项圈征 
D.腔内龛影 
E.Hampton线 


点击查看答案


80、单项选择题  关于“食管裂孔疝”的描述,错误的是()

A.疝囊位于后下纵隔区
B.疝囊上缘狭窄为“B”环
C.常有返流性食管炎
D.“B”环是食管粘膜与胃粘膜交界处
E.疝囊粗大的胃粘膜皱襞


点击查看答案


81、单项选择题  CR系统中,直接记录X线影像信息的载体是()

A.胶片
B.磁盘
C.成像板
D.荧光屏
E.平板探测器


点击查看答案


82、单项选择题  下述“畸形性骨炎”诊断要点,哪项错误()

A.骨干变形
B.20岁以下多见
C.碱性磷酸酶升高
D.早期表现,骨质疏松、骨皮质分层
E.男性多见


点击查看答案


83、单项选择题  男,50岁,慢性支气管炎病史10余年,近3个月来病情加重,痰中找到硫磺颗粒,右胸壁出现瘘管,胸片示右下叶片状阴影,累及局部胸膜、胸壁,最可能合并了()

A.肺放线菌病
B.肺吸虫病
C.肺曲菌病
D.肺隐球菌病
E.包虫病


点击查看答案


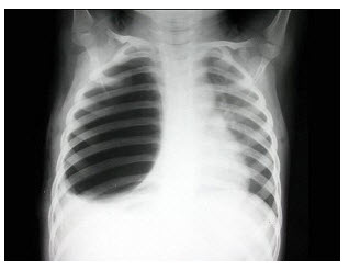
84、单项选择题  

女,45岁,寒战、高热1周,WBC:1.8×109/L,胸片如图,应首先考虑()

A.肺结核
B.肺癌
C.肺脓肿
D.肺隔离症
E.大叶性肺炎


点击查看答案


85、单项选择题  不透光性肾结石的首选影像学检查方法是()

A.超声检查
B.腹部平片
C.CT扫描
D.MRI
E.IVP


点击查看答案


86、多项选择题  经肾脏排泄的对比剂,注药后尿中浓度的高峰时间是()

A.1~2分钟
B.5~6分钟
C.10~15分钟
D.30~60分钟
E.60~90分钟


点击查看答案


87、单项选择题  泌尿系统结核最常见的感染途径是()

A.淋巴系统途径
B.呼吸系统途径
C.消化系统途径
D.血行播散
E.接触传染途径


点击查看答案


88、单项选择题  

男,6岁,来自干旱地区,腰背疼痛四肢关节酸痛,结合图像,最可能的诊断是()

A.氟骨症
B.畸形性骨炎
C.石骨症
D.髋关节结核
E.甲状旁腺功能亢进


点击查看答案


89、单项选择题  风湿性心脏病左房室瓣(二尖瓣)病变时肺血管改变()

A.肺充血
B.肺淤血
C.肺缺血
D.肺出血
E.以上都不是


点击查看答案


90、单项选择题  男,65岁,咳嗽,右胸痛,痰中带血丝1周。胸部后前位片示:右肺门影增大,右上肺大片状致密影,水平裂呈反“S”样改变。 最可能的诊断是()

A.右上肺炎
B.右上肺脓肿
C.右上阻塞性肺炎
D.右上肺结核
E.右侧中心型肺癌伴右上肺不张


点击查看答案


91、单项选择题  下述主动脉病变在普通X线平片上的表现,错误的是()

A.主动脉增宽、伸长和迂曲
B.主动脉搏动增强
C.主动脉外形不规则
D.主动脉位置改变
E.主动脉狭小


点击查看答案


92、单项选择题  关于大量心包积液,下列描述哪项不对()

A.球形心
B.肺淤血
C.肺血减少
D.多为结核性
E.心脏搏动度减弱


点击查看答案


93、单项选择题  腰椎峡部不连,X线摄片清晰显影于()

A.正位像
B.侧位像
C.斜位像
D.过伸侧位像
E.过屈侧位像


点击查看答案


94、单项选择题  关于X线装置的说法,下列哪项不正确的()

A.管电流与管电压的二次方成正比
B.管电流的调整是通过灯丝加热电流的变化来完成
C.电流是通过与X线管并联的mA表来测量
D.灯丝加热变压器,必须进行高压绝缘
E.mAs的控制方式,是电流的时间积分值到达设定值时,停止曝光


点击查看答案


95、多项选择题  腹部泌尿系平片(KUB)体位显示标准是()

A.从肾脏上端至膀胱整个泌尿系统全部包括在照片内
B.腰椎序列投影于照片正中
C.两侧腹部影像对称显示
D.骨骼清晰可见
E.肾脏轮廓可见


点击查看答案


96、单项选择题  急腹症危重患者观察腹腔少量游离气体最适宜的摄片体位是()

A.立位
B.仰卧位
C.俯卧位
D.左侧卧位水平投照
E.右侧卧位水平投照


点击查看答案


97、多项选择题  Goodpasture综合征(肺一肾综合征)包括()

A.肺门淋巴结病
B.肺纤维变性
C.肝肿大
D.缺铁性贫血
E.肾小球性肾炎


点击查看答案


98、单项选择题  早期食管癌X线分期标准是()

A.病灶局限于粘膜和粘膜下层
B.病灶小于2cm
C.仅侵犯肌层而不侵犯浆膜层
D.仅有局部淋巴结转移
E.有血行转移


点击查看答案


99、单项选择题  哪种疾病属肺血增多并有发绀者()

A.房间隔缺损
B.部分型肺静脉异位引流
C.动脉导管未闭
D.心内膜垫缺损
E.完全型大动脉转位


点击查看答案


100、单项选择题  不规则型肺气肿常分布在()

A.双肺上叶
B.肺内瘢痕病灶旁
C.两肺弥漫分布,以下叶为主
D.局限于胸膜下区域
E.双肺均匀分布


点击查看答案


101、多项选择题  下列肺挫伤的诊断要点,正确的是()

A.胸痛、咯血、呼吸急促
B.肺内大片状或斑点状密度增高影
C.液气胸
D.肺部阴影需2周以上时间才能完全吸收
E.肺段或肺叶木张


点击查看答案


102、多项选择题  肥大性骨关节病最常见于()

A.胫腓骨
B.尺桡骨
C.近节指骨
D.肱骨
E.股骨


点击查看答案


103、单项选择题  骨瘤Gardner综合征包括()

A.骨瘤、软组织肿瘤、结肠憩室
B.骨样骨瘤、软组织肿瘤、结肠息肉
C.骨样骨瘤、软组织肿瘤、结肠憩室
D.骨瘤、软组织肿瘤、结肠息肉
E.骨纤维异常增殖症、软组织肿瘤、结肠息肉


点击查看答案


104、单项选择题  好发于40岁以上的“恶性骨肿瘤”是()

A.骨脂肪肉瘤
B.扁骨的纤维肉瘤
C.原发性软骨肉瘤
D.尤文肉瘤
E.骨肉瘤


点击查看答案


105、多项选择题  腰椎后缘软骨结节在侧位片上可表现为()

A.椎体后上(下)缘有弧状或切迹状骨质缺损区
B.骨质缺损区边缘硬化或毛糙不整
C.与缺损区相对应,有类圆形、锥形骨块翘起并突入椎管内
D.骨块可全部或部分与椎体分离
E.好发于腰4的下角,常单椎体发病


点击查看答案


106、单项选择题  下述鼻窦癌的诊断要点中,错误的是()

A.多位于筛窦
B.软组织肿块
C.骨质破坏无硬化
D.蝶窦癌罕见
E.常伴有鼻窦炎


点击查看答案


107、单项选择题  骨转移瘤最常来自于()

A.腺癌
B.肉瘤
C.皮肤癌
D.食管癌
E.以上都不是


点击查看答案


108、单项选择题  颈椎右前斜位片,可显示()

A.右侧椎间孔
B.左侧椎间孔
C.右侧横突孔
D.左侧横突孔
E.椎孔


点击查看答案


109、多项选择题  主动脉瘤的X线征象有()

A.纵隔阴影增宽
B.动脉瘤的搏动
C.瘤壁的钙化
D.侵蚀脊柱、肋骨或胸骨
E.心脏呈"主动脉型"改变


点击查看答案


110、单项选择题  早期脑梗死的脑血管造影的主要征象为()

A.动脉排空延迟
B.循环时间延长
C.动静脉短路
D.血管闭塞
E.动脉血流缓慢


点击查看答案


111、单项选择题  造影时病人出现重度碘过敏反应,最有效的措施是()

A.立即请医生处理
B.头高足低左侧卧位
C.平卧或头低足高位
D.头高足低右侧卧位
E.立即停止造影并进行急救


点击查看答案


112、单项选择题  胃穿透性溃疡系指溃疡侵及()

A.粘膜层
B.浆膜层
C.肌层
D.粘膜下层
E.粘膜下层和肌层


点击查看答案


113、单项选择题  视神经孔增大多见于()

A.视神经胶质瘤
B.先天发育异常
C.蝶骨嵴脑膜瘤
D.畸形性骨炎
E.石骨症


点击查看答案


114、多项选择题  属于脊椎移行的有哪些()

A.第7颈椎出现颈肋
B.胸12椎体楔形改变
C.骶椎融合成一块
D.腰5横突与骶椎形成假关节
E.第12肋缺如


点击查看答案


115、单项选择题  关于肾盂,错误的说法是()

A.正常肾盂最佳显影时间是注入对比剂后15~30分钟
B.肾盂可有蠕动
C.肾盂上连肾大盏,下连输尿管
D.肾盂形态可呈壶腹状或分支状
E.肾盂形态差异不大,多呈三角形


点击查看答案


116、单项选择题  患者,女性,27岁,发现右乳单发肿块1年,边界清,表面光滑,肿块活动度好,1年来肿块无明显增大,最可能的诊断是()

A.浆细胞性乳腺炎
B.乳腺囊性增生
C.乳腺纤维腺瘤
D.乳腺癌
E.乳腺脂肪坏死


点击查看答案


117、单项选择题  有关肝脏CT解剖描述错误的是()

A.肝静脉进入下腔静脉的部位称为第二肝门,约平第10胸椎
B.肝静脉分为肝右、肝左、肝中静脉三支
C.肝静脉支走行于肝脏叶或段间裂内,以肝静脉划分肝叶、肝段
D.第二肝门的左侧可见食管影,食管后方为胸导管
E.胸主动脉的左后方有半奇静脉,右后有奇静脉,奇静脉的前方有胸导管


点击查看答案


118、单项选择题  非闭襻性结肠扭转的病理特点是()

A.溃疡形成
B.闭袢形成
C.循环障碍
D.肠腔狭窄
E.炎性浸润


点击查看答案


119、单项选择题  

患者,女,28岁,轻咳两月,有盗汗。胸片如图:

此病属()型

A.Ⅰ
B.Ⅱ
C.Ⅲ
D.Ⅳ
E.Ⅵ


点击查看答案


120、多项选择题  

男,21岁,劳累后心悸、气促5年,听诊第2肋间有喷射性杂音,胸部三位片如图所示,正确的描述和诊断是()

A.后前位示心脏左移,主动脉结缩小,肺动脉段突出
B.右前斜位示左心房食管压迹未见明显加深
C.左、右前斜位示右心房段延长
D.考虑房间隔缺损
E.考虑室间隔缺损


点击查看答案


121、单项选择题  下列关于肺出血影像,错误的是()

A.肺透亮度减低,呈磨玻璃状
B.结节状、粟粒状阴影
C.小片状、大片状阴影
D.出血停止3天左右,肺内阴影完全吸收
E.出血停止7天左右,肺内阴影完全吸收


点击查看答案


122、单项选择题  下列哪种疾病,胸片无肋骨下缘切迹()

A.肺动脉闭锁
B.主动脉缩窄
C.上腔静脉阻塞
D.类风湿关节炎
E.神经纤维瘤病


点击查看答案


123、多项选择题  在平片上,蝶鞍增大和(或)破坏见于下列哪种情况()

A.垂体瘤
B.蝶鞍或后组筛窦囊肿或肿瘤
C.视交叉胶质瘤
D.颅咽管瘤
E.以上都不是


点击查看答案


124、单项选择题  关于许氏位摄片的叙述,错误的是()

A.患者头颅呈标准侧位
B.耳廓前折
C.中心线向头侧倾斜25°
D.多用于检查乳突气房
E.中心线入射点为对侧乳突尖上8cm处


点击查看答案


125、单项选择题  

患者,男性,39岁,左小腿肿胀、疼痛1个月余,夜间加重。左胫腓骨正侧位片如下,最可能的诊断为()

A.成骨性转移瘤
B.骨肉瘤
C.软骨肉瘤
D.Ewing肉瘤
E.慢性硬化性骨髓炎


点击查看答案


126、多项选择题  右心房增大对心脏形态的影响包括()

A.右心房增大使右心缘向右突,但右心室、左心房或双心室增大均有此现象
B.如伴有右心室增大,引起心脏顺钟向旋转,可使本来向右突的右心缘不显著
C.右心房扩大可首先表现为右心耳扩大,左前斜位25°~30°,此段延长、隆起
D.右心缘的正常高度占主动脉弓至膈的1/2,右心房增大时此段可超过1/2
E.右心房轻度扩张时可在右前斜位上见心后下缘呈圆形向后下方明显突起


点击查看答案


127、多项选择题  关于高血压性心脏病,下列哪些项正确()

A.继发于长期高血压引起的心脏改变
B.早期高血压不引起心脏增大
C.长期血压持续升高使左心室肥厚
D.X线上左室段延长
E.主动脉结增大,心腰膨隆,相反搏动点下移


点击查看答案


128、单项选择题  

男,出生后2天。哭闹不止,腹胀。如图所示,最可能的诊断为()

A.肠套叠
B.肠闭锁
C.胎粪性腹膜炎
D.肠扭转
E.肠狭窄


点击查看答案


129、单项选择题  进展期胃癌引起胃窦狭窄、壁僵硬、粘膜皱襞固定,X线分型应属于()

A.溃疡型
B.蕈伞型
C.浸润型
D.浅表型
E.混合型


点击查看答案


130、多项选择题  脊柱结核的感染途径有()

A.直接扩散
B.消化系统传播
C.血行播散
D.淋巴系统传播
E.沿蛛网膜下腔播散


点击查看答案


131、单项选择题  下列属于肾的正常变异有()

A.马蹄肾
B.海绵肾
C.驼峰肾
D.多囊肾
E.油灰肾


点击查看答案


132、单项选择题  鼻骨侧位摄影时与胶片垂直的是()

A.听眦线
B.听眶线
C.听鼻线
D.听口线
E.瞳间线


点击查看答案


133、单项选择题  “短肢型侏儒”可见于()

A.假性软骨发育不全
B.晚发型脊柱骨骺发育不良
C.关节-眼病
D.黏多糖病Ⅶ型
E.致密性骨发育不全


点击查看答案


134、单项选择题  

男,5岁。发热、胸痛、胸闷、气促。X线检查如图,最可能的诊断为()

A.右侧胸膜间皮瘤
B.右侧肺脓肿
C.右侧包裹性积液
D.右侧肺不张
E.右侧气胸


点击查看答案


135、单项选择题  消化道造影的价值,以下描述哪项不当()

A.治疗效果动态随访
B.诊断早期胃炎
C.术前估计肿瘤切除可能性
D.肿瘤早期诊断
E.观察消化道形态、功能


点击查看答案


136、单项选择题  迷走右锁骨下动脉在食管后方的压迹是()

A.由右侧向左上的螺旋形的压迹
B.由右侧向右上的螺旋形的压迹
C.由左侧向左上的螺旋形的压迹
D.由左侧向右上斜行的螺旋形压迹
E.以上都不是


点击查看答案


137、单项选择题  目前矽肺分期的主要手段为()

A.HRCT
B.高千伏X线胸片
C.薄层胸部CT
D.普通胸部CT
E.正位胸片


点击查看答案


138、多项选择题  影响锐利度的因素的叙述,正确的是()

A.对比度与锐利度无直接影响
B.对比度会影响锐利度
C.钡的流动性大,锐利度不好
D.锐利度与胶片感光度有关
E.荧光体颗粒的多焦照射不影响锐利度


点击查看答案


139、单项选择题  一般不引起左心房增大的是()

A.风湿性心脏病,左房室瓣狭窄
B.先天性心脏病,房间隔缺损
C.风湿性心脏病,左房室瓣关闭不全
D.心肌病
E.以上都不是


点击查看答案


140、单项选择题  肩关节正位摄影,以下错误的是()

A.被检侧上肢稍外旋
B.肩部紧贴暗盒
C.肩胛骨喙突置于暗盒中心
D.影像显示肩关节盂前后重合,成切线位显示,关节间隙显示清晰
E.肱骨小结节位于肱骨头内1/3显示


点击查看答案


141、单项选择题  

男,58岁,咳嗽、发热1周余,无痰中带血,无胸痛,X线胸片如图,最可能的诊断是()

A.右上肺不张
B.右上肺结核
C.右上肺炎症
D.右上胸膜肥厚
E.右上肺癌


点击查看答案


142、多项选择题  头颅平片可以显示()

A.前床突
B.后床突
C.脑垂体
D.鞍结节
E.蝶鞍


点击查看答案


143、单项选择题  老年性和绝经后骨质疏松的特征性病理改变为()

A.皮质骨萎缩
B.松质骨萎缩
C.成骨细胞数目减少
D.破骨细胞数目增多
E.哈氏管明显扩大


点击查看答案


144、单项选择题  颅咽管瘤的X线表现是()

A.鞍背骨质破坏
B.蝶鞍球形扩大
C.鞍上钙化斑
D.脑池变形
E.以上都是


点击查看答案


145、多项选择题  结节性硬化患者的典型临床三联征包括()

A.智力降低
B.皮肤色素沉着
C.21-三体综合征
D.皮脂腺瘤
E.癫痫


点击查看答案


146、单项选择题  发生于肺部转移的肿瘤常为()

A.绒癌
B.乳癌
C.肝癌
D.胃癌
E.以上都是


点击查看答案


147、单项选择题  按波长由短到长排列顺序,下列哪组正确()

A.红外线,紫外线,可见光,无线电波,X线
B.紫外线,可见光,红外线,无线电波,X线
C.无线电波,X线,红外线,可见光,紫外线
D.可见光,红外线,无线电波,紫外线,X线
E.X线,紫外线,可见光,红外线


点击查看答案


148、单项选择题  眼眶内侧壁由哪些结构组成()

A.额骨眶板、蝶骨小翼
B.上颌骨额突、泪骨和筛板
C.上颌骨、颞骨
D.泪骨、额骨眶板
E.额骨眶突、蝶骨大翼


点击查看答案


149、单项选择题  皮样囊肿最好发的部位是()

A.前上纵隔
B.中下纵隔
C.中上纵隔
D.后纵隔
E.前下纵隔


点击查看答案


150、单项选择题  

女,12岁,右小腿肿胀,疼痛,发热3月余,摄片如图所示,下列征象哪项是错误的()

A.骨质呈溶骨性破坏
B.骨质增生硬化
C.骨膜呈层状增生不明显
D.可见软组织肿块
E.软组织肿胀


点击查看答案


151、单项选择题  右前斜位X线摄片上食管压迹加深,提示()

A.右心室增大
B.右心房增大
C.左心室增大
D.左心房增大
E.主动脉增宽,迂曲


点击查看答案


152、单项选择题  小肠出血确诊的主要依据为()

A.钡餐透视
B.双重造影
C.CT
D.B型超声
E.血管造影


点击查看答案


153、单项选择题  以下选项中,子宫输卵管内造影剂正常排空时间应不超过()

A.6小时
B.36小时
C.12小时
D.24小时
E.48小时


点击查看答案


154、单项选择题  外伤性鼻窦积液最好发于下列哪项()

A.上颌窦
B.额窦
C.蝶窦
D.筛窦前组
E.筛窦后组


点击查看答案


155、多项选择题  在X线诊断中“肺门”包括以下哪些结构()

A.肺动脉
B.肺静脉
C.支气管
D.淋巴管
E.肺根


点击查看答案


156、单项选择题  颅底前后分3个颅凹,颅后窝有()

A.破裂孔
B.卵圆孔
C.棘孔
D.枕大孔
E.视神经孔


点击查看答案


157、多项选择题  放射工作人员每半年一次健康检查,检查项目应是()

A.放射线承受既往史的调查
B.红细胞或全血比重检查
C.血红蛋白或全血比重检查
D.眼晶体检查
E.白细胞总数和分类检查


点击查看答案


158、单项选择题  观察心脏左、右心室,右心房和胸主动脉最佳的摄影体位是()

A.右侧位
B.右前斜位
C.左侧位
D.左前斜位
E.无差别


点击查看答案


159、单项选择题  胸部照片中肺纹理的影像,主要形成组织是下列哪一个()

A.血管
B.支气管
C.淋巴管
D.肺泡
E.胸膜


点击查看答案


160、单项选择题  经腋窝中点的垂直线称为()

A.腋前线
B.腋中线
C.腋后线
D.锁骨中线
E.连接线


点击查看答案


161、单项选择题  43岁,男,上腹隐痛半年,ERCP示主胰管粗细不均、扭曲、僵硬,胆总管下端向内移位,最可能的诊断是()

A.胰腺癌
B.慢性胰腺炎
C.急性胰腺炎
D.胰腺假性囊肿
E.先天性胆总管囊样扩张症


点击查看答案


162、单项选择题  深吸气后屏气状态又称为()

A.动态呼吸法
B.Muller呼吸法
C.Valsalva呼吸法
D.平静呼吸法
E.以上都对


点击查看答案


163、单项选择题  

女,1岁10个月,右肘部外伤,如图所示,最佳的诊断为()

A.全骺分离
B.肱骨髁上骨折
C.肱骨髁上骨折并肘关节脱位
D.内上髁骨骺损伤
E.内上髁骨骺损伤并肘关节脱位


点击查看答案


164、多项选择题  

女,49岁,进食上腹痛,腹部肠胀气近2天,今肛门已排气,大便已解,结合图像,最可能的诊断为()

A.正常表现
B.慢性胃炎
C.胃溃疡
D.球部溃疡
E.胃粘膜脱垂


点击查看答案


165、单项选择题  下述疾病的肺血均属正常,但应除外()

A.原发性肺动脉高压
B.特发性肺动脉扩张
C.先天性主动脉瓣狭窄
D.先天性主动脉缩窄
E.特发性升主动脉扩张


点击查看答案


166、单项选择题  柯氏位摄影,中心线与听眦线夹角是()

A.15°
B.23°
C.37°
D.45°
E.53°


点击查看答案


167、单项选择题  左心房增大的X线表现,下列哪项应除外()

A.左心缘出现4个弓,第3弓特别突出
B.降主动脉左移
C.双心房或双心缘阴影
D.心尖明显下移
E.左主支气管受压抬高


点击查看答案


168、多项选择题  下列关于心脏摄影位置的描述,正确的是()

A.左前斜位为左胸前旋使胸冠状面与胶片成60°角
B.右前斜位为右胸前旋使胸冠状面与胶片成45°角
C.后前位是站立后前位,靶片距1.5m
D.左侧位采用食管吞钡投照
E.远达片心影放大率在10%以下


点击查看答案


169、单项选择题  成人颅内高压的主要X线征象是()

A.头颅增大
B.颅缝分离
C.囟门增宽
D.脑回压迹增多
E.蝶鞍骨质吸收和扩大


点击查看答案


170、多项选择题  成人幽门梗阻的常见病因有哪些()

A.幽门管溃疡
B.胃窦癌
C.胃粘膜脱垂
D.十二指肠球部溃疡
E.成人幽门肌肥大


点击查看答案


171、多项选择题  关节外伤脱位常发生在()

A.肘关节
B.肩关节
C.踝关节
D.腕关节
E.胸椎


点击查看答案


172、单项选择题  

女,9岁,呼吸困难半月余,结合图像,最可能的诊断是()

A.气胸
B.胸腔积液
C.肺大泡
D.液气胸
E.肺气肿


点击查看答案


173、单项选择题  股骨颈嵌入骨折的表述,错误的是()

A.老年人,特别是绝经后妇女多见
B.股骨颈嵌入型骨折占10%,属不稳定骨折
C.X线片上不易显示骨折线,易漏诊
D.可仅表现为部分骨小梁中断及重叠
E.骨折愈合时仅表现为骨折线模糊和骨小梁通过


点击查看答案


174、单项选择题  关于过敏性上颌窦炎,下列影像表现哪项错误()

A.多个鼻窦受累
B.窦壁骨质硬化
C.上颌窦息肉
D.鼻甲粘膜增厚
E."气液面"较少见


点击查看答案


175、单项选择题  下述“急腹症”拍立位胸片意义,错误的是()

A.了解有否膈下游离气体
B.了解心脏情况
C.了解肺情况
D.没有临床意义
E.了解有无对急腹症治疗有重要影响的其他病变


点击查看答案


176、多项选择题  可出现肝内局限性钙化者()

A.结核性肉芽肿
B.阿米巴性肝脓肿
C.血管瘤
D.原发性肿瘤
E.肝棘球蚴病


点击查看答案


177、多项选择题  脊柱有5个移行带,包括下述哪些()

A.骶尾带
B.颈胸带
C.胸腰带
D.腰骶带
E.枕颈带


点击查看答案


178、单项选择题  腕骨骨折发生率最高的为()

A.舟状骨 
B.三角骨 
C.月骨 
D.大多角骨 
E.小多角骨


点击查看答案


179、多项选择题  右下叶支气管的分支包括()

A.内基底支
B.前基底支
C.外基底支
D.后基底支
E.背支


点击查看答案


180、单项选择题  下列诊断小肠Crohn(克罗恩)病较为特征的X线表现是()

A.多发生于回肠远端 
B.“卵石征” 
C.“跳跃征” 
D.管腔狭窄 
E.纵行溃疡


点击查看答案


181、多项选择题  观察上颌窦病变的基本X线摄片位置为()

A.侧位片
B.顶颏位
C.鼻颌位
D.切线位
E.视神经孔位


点击查看答案


182、单项选择题  心脏左右缘搏动减弱,大血管搏动正常,是诊断下述哪种疾病的特征性表现()

A.主动脉狭窄
B.联合瓣膜病
C.心肌病
D.心包积液
E.左心衰


点击查看答案


183、单项选择题  关于头颅正侧位摄片,中心线射入点与体表定位点的位置,哪个是对的()

A.头颅的正位,中心线应向头侧倾斜15°,经眉间射入胶片
B.头颅后前正位,中心线应向足侧倾斜15°,经眉间射入胶片
C.头颅侧位,中心线应通过听眦线正中垂直射入胶片
D.蝶鞍体表定位于外耳孔前2.5cm,再向上2.5cm处
E.蝶鞍体表定位于听眦线中,后1/3交点向上2cm处


点击查看答案


184、单项选择题  下述“骨软骨瘤”诊断要点中,哪项不对()

A.好发于长骨干骺端
B.肿瘤呈菜花状,有钙化和透亮区
C.软骨帽厚度与年龄成反比
D.无恶变倾向
E.软骨帽表面有包膜


点击查看答案


185、单项选择题  返流性食管炎常继发()

A.食管癌 
B.食管裂孔疝 
C.食管静脉曲张 
D.食管溃疡 
E.食管憩室


点击查看答案


186、单项选择题  陈旧性关节脱位是指脱位时间()

A.<2周
B.>2周
C.<3周
D.>3周
E.<4周


点击查看答案


187、多项选择题  腹部泌尿系平片(KUB)诊断学要求可见的结构是()

A.骨骼
B.肾脏轮廓
C.腰大肌影
D.腹壁脂肪线
E.膀胱


点击查看答案


188、单项选择题  肩关节脱位多见于()

A.儿童
B.向下、外脱位
C.后脱位
D.前脱位
E.以上都是


点击查看答案


189、多项选择题  连续X线的衰减特点包括()

A.平均能量不变
B.平均能量降低
C.平均能量提高
D.强度减弱
E.强度不变


点击查看答案


190、多项选择题  多发性骨软骨瘤出现哪些情况应高度怀疑恶变()

A.软骨帽增厚,发生于长骨者超过1cm
B.钙化软骨帽密度变淡,边界不清
C.瘤体内出现透亮区
D.远处出现转移性病灶
E.30岁以上的患者肿瘤体积突发性增大


点击查看答案


191、单项选择题  儿童期长骨发育和X线解剖表述错误的是()

A.儿童长骨为软骨内化骨
B.出生时骨干未完全骨化
C.骺软骨尚未完全骨化
D.儿童长骨由骨干、干骺端、骨骺板及骨骺组成
E.出生时股骨下端、胫骨上端即可见二次骨化中心


点击查看答案


192、单项选择题  患者,12岁,跌倒时手掌撑地。查:肘关节半屈状,肘肿胀压痛,外突畸形,肘后三角存在,桡动脉搏动正常。 最适当的治疗方法是()

A.立即切开筋膜减压
B.切开复位、内固定
C.手法复位,石膏固定
D.手法复位即可
E.手术探查肱动脉,同时行骨折复位、内固定


点击查看答案


193、多项选择题  神经鞘瘤的临床病理特点有()

A.可发生于脊髓的各个节段
B.常与1~2个脊神经根相连
C.呈孤立结节状,有完整包膜
D.可发生囊变
E.与脊髓有明显粘连


点击查看答案


194、单项选择题  骨样骨瘤由以下哪两部分组成()

A.瘤巢和周围骨质硬化区
B.瘤巢和周围骨质破坏区
C.砂粒样物质和周围骨质破坏区
D.砂粒样物质和周围骨质硬化区
E.瘤巢和砂粒样物质


点击查看答案


195、单项选择题  眼球异物定位检查的主要目的是()

A.确定有无异物
B.确定异物的大小
C.确定异物的位置
D.确定异物的性质
E.确定手术方案


点击查看答案


196、单项选择题  

男,22岁,滑冰时摔倒右手撑地时受伤,结合CR片,最可能的诊断是()

A.柯莱斯骨折
B.蒙泰贾骨折
C.加莱阿齐骨折
D.桡骨远端骨折
E.反柯莱斯骨折


点击查看答案


197、单项选择题  颅骨骨折的直接征象是()

A.乳突气房消失
B.骨折线
C.软组织肿胀
D.颅内积气
E.蝶窦积气.液平面


点击查看答案


198、单项选择题  

女,39岁。发现左大腿下段后部有一肿块,质较硬,无明显疼痛感觉,结合所提供的图像,最可能的诊断是()

A.软骨肉瘤
B.软骨瘤
C.骨肉瘤
D.骨软骨瘤
E.骨瘤


点击查看答案


199、单项选择题  脑膜中动脉,通过下列何孔入颅内()

A.卵圆孔
B.破裂孔
C.棘孔
D.视神经孔
E.颈静脉孔


点击查看答案


200、单项选择题  男,30岁,突然发生腹部疼痛,临床检查:腹肌紧张,有反跳痛,需要行X线检查。 最简捷有效的X线检查是()

A.腹部仰卧前后位片
B.腹部站立后前位片
C.胸部站立后前位片
D.胃钡餐检查
E.胃气钡双重造影


点击查看答案


201、单项选择题  下列哪项无肺内多发空洞()

A.肺结核
B.肺泡细胞癌
C.转移性肺癌
D.肺吸虫病
E.韦格肉芽肿


点击查看答案


202、单项选择题  X线穿过均匀物质时,其衰减与下列哪一项因素无关()

A.物质的衰减系数
B.X线经过的距离
C.X线发出的强度
D.物质的厚度
E.物质的面积


点击查看答案


203、单项选择题  食管癌的病理分型为()

A.髓质型
B.蕈伞型
C.溃疡型
D.硬化型
E.以上都是


点击查看答案


204、单项选择题  早期中耳癌的X线摄影以何种位置摄影最佳()

A.汤氏位摄影 
B.伦氏位摄影 
C.斯氏位摄影 
D.头颅前后位摄影 
E.颅底摄影


点击查看答案


205、单项选择题  X线自被检者的前方射向后方为()

A.前后方向
B.后前方向
C.冠状方向
D.轴方向
E.切线方向


点击查看答案


206、单项选择题  肺结核发病1~2周内,临床症状明显,X线表现阴性的是()

A.原发性肺结核
B.慢性纤维空洞型肺结核
C.血行播散型肺结核
D.结核性胸膜炎
E.浸润型肺结核


点击查看答案


207、单项选择题  下列疾患中不宜做静脉肾盂造影的是()

A.成骨性骨肉瘤
B.甲状腺功能亢进
C.骨转移瘤
D.多发性骨髓瘤
E.尤文肉瘤


点击查看答案


208、单项选择题  

女,8岁,外伤后致右胫骨骨折,如图所示,下列描述正确的是()

A.对位好,对线差
B.对位差,对线好
C.对位对线好
D.对位对线差
E.以上均不正确


点击查看答案


209、多项选择题  “慢性胆囊炎”患者,“口服胆囊造影”的表现有哪些()

A.胆囊显影延迟 
B.胆囊显影浅淡 
C.胆囊壁钙化 
D.脂餐后胆囊收缩率60% 
E.胆囊结石


点击查看答案


210、单项选择题  脊椎骨折可出现()

A.脊椎后突成角
B.棘突撕脱骨折
C.棘突间隙增宽
D.截瘫
E.以上均可


点击查看答案


211、单项选择题  下列关于眼眶肌锥内肿瘤描述中,其早期X线表现是()

A.眶外侧壁受压
B.眶内侧壁受压
C.眶底壁受压
D.眶顶壁受压
E.眶骨吸收破坏


点击查看答案


212、单项选择题  下列有关溃疡性结肠炎的X线钡灌肠表现中,错误的是()

A.肠管狭窄短缩
B.多发溃疡
C.息肉形成
D.粘膜破坏、中断
E.结肠袋消失


点击查看答案


213、单项选择题  有关乳房摄片加压的叙述,错误的是()

A.使乳房扁平,厚度均匀
B.使乳房面积增大,病灶检出效率高
C.乳房组织越薄,照片清晰度越高
D.肿块较大时,应加大压力,以提高照片清晰度
E.乳房、胶片、增感屏三者紧贴,减小几何模糊


点击查看答案


214、单项选择题  关于干酪性肺炎不正确的描述是()

A.以渗出性和干酪性病变为主
B.好发于抵抗力极低,对结核菌素敏感性高的病人
C.X线表现为节段性实变
D.因干酪样坏死明显,故传染性低
E.病变内常见空洞形成


点击查看答案


215、单项选择题  X线表现为粗大树枝样阴影,尖端指向肺门,应考虑()

A.肺气肿
B.肺不张
C.黏液嵌塞征
D.阻塞性肺炎
E.肺门区及纵隔肿块


点击查看答案


216、单项选择题  不同类型骨结核的特征性X线表现中,哪项错误()

A.关节滑膜结核首先破坏关节承重面
B.骨干结核易形成葱皮样骨膜反应
C.扁骨结核呈囊样骨质破坏
D.短管骨结核易产生骨气鼓
E.脊椎结核常见脓肿形成


点击查看答案


217、单项选择题  与鞍上池相邻的是()

A.前为额叶,侧为颞叶,后为脑桥
B.前为眶回,侧为海马,后为中脑
C.前为直回,侧为海马,后为中脑
D.前为眶回,侧为颞叶,后为脑桥
E.前为直回,侧为颞叶,后为延髓


点击查看答案


218、单项选择题  腕部外伤,临床上有腕鼻烟窝部压痛及肿胀应考虑()

A.月骨骨折
B.舟状骨骨折
C.三角骨骨折
D.大多骨骨折
E.桡骨远端骨折


点击查看答案


219、单项选择题  胸部摄片高千伏摄影是指()

A.≥90kV
B.≥100kV
C.≥110kV
D.≥120kV
E.≥130kV


点击查看答案


220、多项选择题  弥漫性肺间质纤维化常见于下列哪些疾病()

A.肺类风湿病
B.系统性红斑狼疮
C.皮肌炎
D.系统性硬皮病
E.风湿性肺炎


点击查看答案


221、单项选择题  下列有关乳腺癌的描述中,不属X线特征的是()

A.漏斗征
B.酒窝征
C.彗星尾征
D.晕圈征
E.帐篷征


点击查看答案


222、单项选择题  

男,15岁,右肩疼痛1月余,结合图像,最可能的诊断是()

A.嗜酸性肉芽肿
B.动脉瘤样骨性囊肿
C.骨样骨瘤
D.血管瘤
E.以上都不是


点击查看答案


223、单项选择题  女,30岁,吞咽困难2年余,时轻时重,近日加重,X线示食管下端呈锥形狭窄,应首先考虑为()

A.食管外压性狭窄
B.食管功能紊乱
C.食管平滑肌瘤
D.贲门失弛缓症
E.食管癌


点击查看答案


224、多项选择题  “急性肾静脉栓塞”造影检查,可出现的表现为()

A.输尿管切迹
B.肾影缩小
C.肾影增大
D.肾功能减低
E.杵状肾盏


点击查看答案


225、多项选择题  骨骼基本病变的X线表现为()

A.骨质疏松
B.骨质软化
C.骨质破坏
D.骨膜增生
E.软组织肿块


点击查看答案


226、多项选择题  颅板较薄的部位是()

A.颞骨
B.枕骨鳞部
C.额骨垂直部
D.枕顶部
E.枕骨粗隆部


点击查看答案


227、多项选择题  输尿管结石X线平片可见()

A.呈卵圆形致密阴影
B.结石边缘多毛糙不整齐
C.其长轴与输尿管走行一致
D.结石常见于输尿管三个生理狭窄处
E.梗阻上方输尿管及肾盂肾盏不同程度扩张积水


点击查看答案


228、单项选择题  

男,12岁,大腿下部间歇性疼痛,劳累后加重,结合图像,最可能的诊断是()

A.纤维性骨皮质缺损
B.干骺端结核
C.骨样骨瘤
D.邻皮质软骨瘤
E.非骨化性纤维瘤


点击查看答案


229、单项选择题  肱骨穿胸侧位,适用的病变是()

A.肱骨骨折
B.肱骨骨疣
C.肱骨骨髓炎
D.肱骨成骨肉瘤
E.肱骨外科颈骨折


点击查看答案


230、单项选择题  关于贫血性心脏病,下列表现哪项不对()

A.肺动脉段突出
B.左心房明显增大
C.双心室增大,以左心室为著
D.肺血正常或轻度增多
E.贫血纠正后,部分患者心影可恢复正常


点击查看答案


231、单项选择题  痛风早期最易侵犯的关节为()

A.踝关节
B.指间关节
C.第一跖趾关节
D.趾间关节
E.第1掌指关节


点击查看答案


232、单项选择题  位于蝶骨大翼的外部,其内有三叉神经的第三支和脑膜副动脉通过的孔是()

A.圆孔
B.卵圆孔
C.棘孔
D.破裂孔
E.以上都是


点击查看答案


233、单项选择题  下列畸形,与“Klippel-Feil综合征”无关的是()

A.脊髓空洞症
B.Sprengel畸形
C.“颈椎间盘突出”发病率升高
D.颈椎融合畸形
E.融合处椎间孔闭合


点击查看答案


234、单项选择题  

女,48岁,胸痛1周,结合图像,最可能的诊断是()

A.肺转移瘤
B.韦格肉芽肿
C.肺类风湿病
D.多发性肺脓肿
E.肺癌


点击查看答案


235、单项选择题  X线胶片长轴与摄影床长轴平行称()

A.竖向
B.横向
C.立向
D.斜向
E.交叉向


点击查看答案


236、单项选择题  肺淤血是指()

A.肺动脉血流量增加
B.肺静脉血流量增加
C.肺动脉血流量减少
D.肺静脉血流量减少
E.以上均不是


点击查看答案


237、单项选择题  关于视神经的叙述,下列哪项是错误的()

A.视神经是真正的神经
B.视神经有鞘膜,但其中无雪旺细胞
C.视神经鞘膜由软脑膜、硬脑膜及蛛网膜构成
D.视神经鞘膜存在蛛网膜下腔
E.视神经鞘膜存在硬膜下间隙


点击查看答案


238、单项选择题  

女,58岁,吞咽困难半年,结合图像,最可能的诊断为()

A.正常食管
B.食管静脉曲张
C.食管癌
D.食管憩室
E.食管平滑肌瘤


点击查看答案


239、多项选择题  常可发生少血管型肝转移的是()

A.平滑肌肉瘤 
B.甲状腺癌 
C.胃癌 
D.肾癌 
E.恶性淋巴瘤 


点击查看答案


240、多项选择题  移行椎尾侧移行的特点有()

A.第7颈椎横突过长
B.第1尾椎骶化
C.第1骶椎腰化
D.第4腰椎横突过长
E.第12肋骨过长


点击查看答案


241、单项选择题  碘过敏试验方法中最可靠的是()

A.口服试验
B.眼结膜试验
C.舌下试验
D.静脉注射试验
E.皮内试验


点击查看答案


242、多项选择题  以下哪种病变不出现“泥沙”状死骨()

A.胫骨结节骨软骨病
B.慢性化脓性骨髓炎
C.长骨结核
D.扁骨结核
E.急性化脓性骨髓炎


点击查看答案


243、单项选择题  下列哪项不是纵轴型胃扭转的X线表现()

A.两个胃泡,两处液平
B.贲门位置低,食管与胃粘膜纹呈十字交叉
C.胃大弯上翻构成胃的顶缘
D.胃形态呈斜置的大虾状
E.十二指肠环高于幽门


点击查看答案


244、单项选择题  关于胃肠道穿孔的描述中,错误的是()

A.胃、十二指肠穿孔是最常见的原因
B.X线腹部平片发现气腹是诊断本症的重要征象
C.X线腹部平片发现气腹即可确诊胃肠道穿孔
D.没有游离气腹也不能排除胃肠道穿孔
E.胃肠道穿孔可出现腹腔内积液以及气液征象


点击查看答案


245、单项选择题  在股骨颈骨折并发症中,最常见的是()

A.骨感染
B.骨畸形
C.骨萎缩
D.骨缺血性坏死
E.以上都是


点击查看答案


246、单项选择题  “眼窝变小”见于下列哪种情况()

A.甲状腺性突眼
B.先天性青光眼
C.组织细胞增生症
D.冠状缝早闭
E.视网膜母细胞瘤


点击查看答案


247、单项选择题  以下对于胸片诊断的描述,哪项不正确()

A.有被CT、MRI取代的可能
B.良好的天然对比是胸片检查的有利条件
C.不能检出某些早期或微小病变
D.正位胸片难以显示心后间隙、后肋膈角区病变
E.可诊断大多数胸内病变


点击查看答案


248、单项选择题  不属于胃癌基本X线表现的是()

A.Garman综合征
B.胃壁僵硬、边缘不齐
C.项圈征及狭颈征
D.粘膜皱襞破坏中断
E.胃呈皮革状变形


点击查看答案


249、单项选择题  

女,58岁,腹痛腹胀1年余,结合图像,最可能的诊断为()

A.正常十二指肠肠圈
B.十二指肠炎
C.十二指肠降段憩室
D.十二指肠水平段憩室
E.十二指肠占位


点击查看答案


250、单项选择题  下述肺动静脉瘘影像特点,错误的是()

A.单发或多发结节
B.圆形或分叶状
C.病变边缘锐利
D.呼气相病灶体积比吸气相小
E.无钙化


点击查看答案


251、多项选择题  乳腺纤维腺瘤X线表现为()

A.多呈圆形或椭圆形
B.偶可略为分叶状
C.边缘光整,密度较高且均匀
D.可伴有晕征
E.有时肿瘤内可见钙化


点击查看答案


252、单项选择题  结肠癌的典型X线征象为()

A.肠腔内卵石样充盈缺损
B.管腔狭窄
C."苹果核"征
D.肠壁僵硬
E."倒伞"征


点击查看答案


253、单项选择题  来源于骨髓及造血组织的骨肿瘤是()

A.骨巨细胞瘤
B.骨样骨瘤
C.骨软骨瘤
D.动脉瘤样骨囊肿
E.尤文肉瘤


点击查看答案


254、单项选择题  骨盆的常规摄片位置()

A.前后位
B.后前位
C.侧位
D.斜位
E.轴位


点击查看答案


255、多项选择题  下列哪些属于直接引入法造影()

A.胃肠钡餐造影
B.口服胆囊造影
C.逆行肾盂造影
D.静脉肾盂造影
E.子宫输卵管造影


点击查看答案


256、单项选择题  下列征象中,不符合诊断肠结核的X线表现是()

A.回盲部激惹现象
B.粘膜溃疡
C.小息肉样充盈缺损
D.病变偏于肠管一侧
E.可形成瘘管


点击查看答案


257、单项选择题  下列有关“恶性胃溃疡”征象,错误的是()

A.月晕征
B.半月征
C.指压迹
D.裂隙征
E.环堤征


点击查看答案


258、单项选择题  脑回生理性压迹,下列哪个时期最明显()

A.新生儿
B.老年人
C.成年人
D.2岁左右
E.20岁以后


点击查看答案


259、单项选择题  有关骨发育的描述,下列哪项错误()

A.颅盖诸骨、面骨和盆骨属于软骨内化骨
B.躯体和四肢属于软骨内化骨
C.锁骨和下颌骨兼有膜内化骨和软骨内化骨两种骨化形式
D.骨骼的发育主要是以成骨和破骨的形式进行
E.骨的代谢与钙磷代谢有关


点击查看答案


260、单项选择题  有关胸腔内生殖细胞瘤,错误的是()

A.多见于20~40岁
B.多起源于胸腺
C.多位于中纵隔
D.可见有脂肪信号
E.可见有囊性信号


点击查看答案


261、单项选择题  关于“动脉瘤样骨囊肿”,错误的是()

A.瘤内囊腔大小不等,信号不均
B.瘤内间隔为低信号
C.膨胀性生长
D.瘤内可有“液液面”
E.本病属良性肿瘤


点击查看答案


262、单项选择题  下列哪种情况下可引起骨折延迟愈合或不愈合()

A.软组织嵌入骨折断端 
B.并发感染 
C.局部血供不足 
D.复位不良,固定不佳 
E.以上都是


点击查看答案


263、单项选择题  关于散射线及其影响因素的说法,错误的是()

A.散射线是离开原射线线束的折射光子
B.管电压越高,散射线越多
C.增感屏感度越高,散射线越少
D.在一定厚度内,被照体越厚散射线越多
E.照射野是产生散射线的重要因素


点击查看答案


264、单项选择题  下列紫绀性先天性心脏病中,哪种有“肺血减少”表现()

A.Ebstein畸形
B.主动脉缩窄
C.房间隔缺损
D.肺动脉瓣闭锁
E.完全性大血管转位


点击查看答案


265、多项选择题  四肢创伤行影像学检查的目的是()

A.明确有无骨折或肌腱韧带断裂
B.了解骨折错位情况
C.透视监视下行复位治疗
D.复位固定后摄片,观察复位情况
E.定期复查,观察愈合过程及有无并发症


点击查看答案


266、单项选择题  

男,28岁,摔伤后肩部疼痛,活动受限,结合影像学表现,最可能的诊断是()

A.柯莱斯骨折
B.肱骨头骨折
C.肱骨外科颈骨折
D.加莱阿齐骨折
E.蒙泰贾骨折


点击查看答案


267、多项选择题  肾盂逆流包括()

A.肾乳头管逆流
B.肾小管逆流
C.肾窦逆流
D.肾盂淋巴管逆流
E.肾盂静脉逆流


点击查看答案


268、多项选择题  病灶密度均匀、边缘模糊影见于()

A.干酪性肺炎 
B.支原体肺炎 
C.肺脓肿早期 
D.矽肺晚期 
E.大叶性肺炎


点击查看答案


269、单项选择题  检查输卵管通畅度的首选方法是()

A.输卵管通液
B.输卵管通气
C.子宫输卵管造影
D.宫腔镜
E.B超检查


点击查看答案


270、单项选择题  视神经管与头颅矢状面的夹角为()

A.30°~45°
B.45°~50°
C.10°~25°
D.20°~30°
E.以上都不是


点击查看答案


271、单项选择题  肩胛征常见于()

A.胃体部癌
B.胃窦癌
C.十二指肠溃疡
D.胃溃疡
E.结肠癌


点击查看答案


272、单项选择题  肺内错构瘤的特征性X线表现是()

A.孤立圆形阴影
B.肿块边缘清楚
C.肿块边缘可分叶
D.肿块内见爆米花样钙化
E.肿块内可形成空洞


点击查看答案


273、单项选择题  胸片显示为双侧性弧形肿块,密度均匀,且无钙化,可能是以下哪种肿瘤()

A.胸内甲状腺肿
B.神经源性肿瘤
C.胸腺瘤
D.淋巴瘤
E.畸胎瘤


点击查看答案


274、单项选择题  IVP示“肾盂显影浅淡”,下列哪项错误()

A.髓质海绵肾早期
B.尿崩症
C.尿毒症
D.高血压肾病
E.输尿管结石


点击查看答案


275、单项选择题  

男,17岁,右腿酸痛、肿胀2个月余。右膝关节平片如下,最可能的诊断为()

A.纤维性骨皮质缺损
B.非骨化性纤维瘤
C.骨化性纤维瘤
D.骨样骨瘤
E.骨巨细胞瘤


点击查看答案


276、单项选择题  肱骨可有如下变异,应除外哪项()

A.肱骨干下1/3前内侧见一钩状突起
B.滑车上孔
C.肘髌骨
D.肱骨外上髁边缘可见与骨干平行之条状影
E.深的结间沟在侧位上如骨皮质缺损


点击查看答案


277、单项选择题  下列“脊柱结核”发病特点中,哪项正确()

A.溶骨性破坏为主
B.中心型,是最常见类型,腰椎多见
C.边缘型,胸椎多见
D.韧带下型,始于后纵韧带
E.附件型少见


点击查看答案


278、单项选择题  下述食管癌X线征象不正确的是()

A.粘膜皱襞破坏
B.充盈缺损
C.与正常管壁移行
D.管壁僵硬不规则
E.溃疡


点击查看答案


279、单项选择题  第3腰椎的体表定位标志是()

A.剑突与肚脐连线中点
B.脐上3cm
C.脐水平
D.脐下3cm
E.脐下5cm


点击查看答案


280、单项选择题  关于对比剂,以下叙述错误的是()

A.对比剂都不能入血
B.阴性对比剂原子序数低,密度小
C.阳性对比剂原子序数高,密度大
D.阴性对比剂和阳性对比剂可混合使用
E.对比剂均无毒


点击查看答案


281、单项选择题  肺叶内型肺隔离症静脉回流多经()

A.肺静脉
B.下腔静脉
C.上腔静脉
D.奇静脉
E.半奇静脉


点击查看答案


282、单项选择题  下列关于“胃窦炎”描述,错误的是()

A.胃窦粘膜粗大
B.粘膜皱襞斜行、横行或交叉排列紊乱
C.肩胛征
D.胃窦张力增高
E.充盈像时,胃窦轮廓呈细齿状


点击查看答案


283、单项选择题  

女,41岁,2小时前跌倒后手掌着地,右腕部肿痛。根据右腕关节正侧位片,应诊断为()

A.Colles骨折
B.Smith骨折
C.Barton骨折
D.Monteggia骨折
E.Galeazzi骨折


点击查看答案


284、单项选择题  急性化脓性骨髓炎的骨质X线平片表现,在发病何时可出现()

A.2周后
B.即刻
C.2周
D.以上都不是
E.2周内


点击查看答案


285、单项选择题  

男,5岁,临床考虑先心病室间隔缺损,结合图像,下列描述正确的是()

A.肺淤血
B.正常肺
C.肺泡性肺水肿
D.间质性肺水肿
E.肺充血


点击查看答案


286、多项选择题  下述哪些为贲门失弛缓症中期的X线表现有()

A.患者食管中度扩张
B.食管内有较多滞留物
C.食管边缘呈锯齿状
D.食管下段不规则运动明显减少
E.食管下端呈漏斗状狭窄


点击查看答案


287、单项选择题  男,28岁,反复右上腹痛1年,进食后可缓解,有时夜间疼痛明显。 为明确诊断最好做哪种检查()

A.腹部X线平片
B.上消化道钡餐检查
C.上腹部CT检查
D.上腹部MRI检查
E.上腹部超声检查


点击查看答案


288、多项选择题  起源于非上皮的胃良性肿瘤为()

A.胃息肉
B.胃脂肪瘤
C.胃血管瘤
D.胃神经纤维瘤
E.胃平滑肌瘤


点击查看答案


289、单项选择题  

男,29岁,体检胸片如图,最可能的诊断是()

A.右上肺炎症
B.右上肺炎性假瘤
C.右上肺结核瘤
D.右上肺肿瘤
E.结节病


点击查看答案


290、单项选择题  X线在体内各部穿透力,由大到小排列有以下几种,正确的是()

A.气体,液体及软组织,脂肪,骨骼
B.骨骼,脂肪,液体及软组织,气体
C.气体,脂肪,液体及软组织,骨骼
D.脂肪,气体,液体及软组织
E.骨骼,软组织及液体,脂肪,气体


点击查看答案


291、单项选择题  肺循环阻力增高性肺动脉高压与高流量性肺动脉高压主要不同点在于前者()

A.肺动脉段凸出
B.肺门动脉增粗
C.肺动脉截断征
D.右心室增大
E.肺血管搏动增强


点击查看答案


292、单项选择题  右侧输尿管“S”形,应首先考虑()

A.腔静脉后输尿管
B.腹膜后纤维化
C.游离肾
D.迷走血管压迫
E.输尿管正常弯曲


点击查看答案


293、单项选择题  有关乳腺恶性肿瘤的说法中,哪项不正确()

A.肿块边缘模糊
B.界限不清
C.有长或短毛刺
D.肿块密度较低
E.触诊肿块的大小常大于X线片所见


点击查看答案


294、单项选择题  一般认为静息时以左心室射血分数(LVEF)判断异常的标准是()

A.<40%
B.<45%
C.<50%
D.<55%
E.<60%


点击查看答案


295、单项选择题  观察鼻骨常规以哪种平片为主()

A.鼻骨正位片
B.鼻骨侧位片
C.鼻颌位片
D.顶颏位片
E.眶下裂位


点击查看答案


296、多项选择题  系统性红斑狼疮的X线表现有()

A.斑点或片状浸润性阴影
B.网状或结节状阴影
C.绒毛状或蝴蝶状实变阴影
D.胸腔积液或胸膜增厚
E.心脏阴影增大


点击查看答案


297、单项选择题  X线平片上下列哪种组织密度最高()

A.液体
B.肌肉
C.含气肺组织
D.骨骼


点击查看答案


298、单项选择题  关于骨质硬化,下列X线表现中哪项错误()

A.骨密度增高
B.骨皮质增厚
C.骨小梁增粗、增密
D.骨髓腔变窄
E.骨轮廓无变化


点击查看答案


299、多项选择题  中央型肺癌常见到的阻塞性改变为()

A.阻塞性肺气肿
B.间质性肺气肿
C.阻塞性肺炎
D.阻塞性支气管扩张
E.阻塞性肺不张


点击查看答案


300、单项选择题  升主动脉及上腔静脉在后前位胸片上位于()

A.右心缘下段
B.右心缘中段
C.右心缘上段
D.左心缘上段
E.左心缘中段


点击查看答案


题库试看结束后微信扫下方二维码即可打包下载完整版《★放射医学(医学高级)》题库
手机用户可保存上方二维码到手机中,在微信扫一扫中右上角选择“从相册选取二维码”即可。
题库试看结束后微信扫下方二维码即可打包下载完整版《放射医学(医学高级):X线》题库,分栏、分答案解析排版、小字体方便打印背记!经广大会员朋友实战检验,此方法考试通过率大大提高!绝对是您考试过关的不二利器
手机用户可保存上方二维码到手机中,在微信扫一扫中右上角选择“从相册选取二维码”即可。

微信搜索关注"91考试网"公众号,领30元,获取公务员事业编教师考试资料40G