时间:2025-08-28 03:00:09


1、单项选择题 治疗肺源性心脏病心力衰竭的首要措施是()
A.卧床休息、低盐饮食
B.积极控制感染和改善呼吸功能
C.使用小剂量作用缓和的利尿剂
D.使用小剂量强心剂
E.应用血管扩张剂减轻心脏负荷
2、多项选择题 慢性支气管炎病人进行胸部X线检查的目的是()
A.除外其他肺部疾病
B.寻找病因
C.观察有无并发症
D.确定诊断
E.了解心脏情况
3、多项选择题 提示不稳定型气胸的指征包括()
A.呼吸频率>24次/min
B.心率>100次/min
C.低血压
D.吸室内空气时SaO2<93%
E.两次呼吸间讲话不成句
4、多项选择题 甲型流感病毒囊膜上与临床密切相关的结构有()
A.血凝素(H)
B.神经氨酸酶(N)
C.M2蛋白
D.基质蛋白
E.RNA聚合酶
5、多项选择题 患者女,46岁,间断发热3个月,面部红色斑丘疹,伴全身肌肉酸痛,渐出现咳嗽。既往有甲状腺功能亢进史。 为明确肺部疾患,进一步检查包括()(提示:患者出现进行性呼吸困难,咳嗽加重,痰多。)
A.痰培养
B.结核菌素试验
C.胸部HRCT
D.超声心动图
E.血气分析
F.痰找结核菌
6、单项选择题 对氧疗基本无效的病变是()
A.通气障碍
B.气体弥散障碍
C.V/Q比值失调引起的功能性分流
D.死腔样通气
E.肺内动静脉交通支开放
7、单项选择题 关于肺炎克雷白杆菌肺炎,下列哪项是错误的()
A.该细菌常存在于人体上呼吸道和肠道
B.病变以上叶较多见
C.病死率高
D.治疗首选头孢类药
E.慢性病例有时需作肺叶切除
8、单项选择题 在肺心病肺动脉高压的原因中最重要的因素是()
A.解剖因素
B.功能因素
C.继发性红细胞增多
D.血容量增加
E.以上都不是
9、单项选择题 COPD包括()
A.慢支,肺气肿,肺不张
B.慢支,支气管哮喘,肺脓肿
C.慢支,肺气肿,肺脓肿
D.具有气流阻塞特征的所有慢性肺疾病
E.以上都不是
10、多项选择题
患者,男性,58岁,肺心病患者,入院咳嗽,呼吸困难,昏迷,气管切开后,症状好转,4天后咳黄痰增加。WBC11×109/L。
提示:患者在气管切开后,给予呼吸机辅助呼吸,治疗后复查血气:PH:7.48,PaCO230mmHg,BE:8mmol/L。提问:可能出现的酸碱失衡是()
A.呼吸性酸中毒
B.呼吸性碱中毒
C.呼吸性酸中毒合并代谢性碱中毒
D.呼吸性碱中毒合并代谢性酸中毒
E.代谢性碱中毒
11、多项选择题 患者女,36岁,因反复发热1个月伴咳嗽入院。病初有流涕、咽痛,继之发热38℃,伴全身不适。咳嗽无痰,无咯血,呈不规则热型。血白细胞计数9.1×109/L,中性0.75。X线显示两下肺段片状浸润。既往体健。曾应用过β-内酰胺类、大环内酯、喹诺酮类、氨基糖苷类,病情无改善。入院体检无阳性发现。 下一步检查应是()(提示:此时患者体温自行下降已平稳3d,痰病理细胞检查,其中一次见可疑癌细胞。)
A.试验性抗肿瘤化疗
B.非小细胞肺癌靶向治疗
C.CT引导下经皮肺活检
D.超声引导下肺活检
E.重复纤维支气管镜经支气管肺活检
F.胸腔镜肺活检
12、单项选择题 患者男,50岁,3周前无明显诱因下出现发热,最高达39℃,在外诊断为上呼吸道感染。经头孢替安和利巴韦林治疗后好转,后又反复发热,体温为38~39℃,2周前出现左下肢疼痛,查体:左肺可闻少许湿性啰音,左下肢有局限性红肿结痂区。胸片检查见左肺舌叶,右下心缘旁及右下后基底段处有多个片状密度增深影。胸部CT示左舌叶密度增深影内见透亮区,血常规示:白细胞计数18.1×109/L,中性粒细胞0.90。 该患者最可能的诊断是()
A.非典型肺炎
B.吸入性肺脓肿
C.病毒性肺炎
D.血源性继发性肺脓肿
E.社区获得性肺炎
13、多项选择题 患者女,15岁,活动后胸闷、气短1年,加重3周。现上1层楼即感不适。无晕厥、发热、关节痛、胸痛和咯血史。既往月经正常,无服用减肥药、避孕药和外伤史。无打鼾。家族史无异常。 为明确诊断应检查的项目包括()(提示:查体:血压110/70mmHg,呼吸20次/min,心率95次/min。肺动脉瓣区第二心音亢进,三尖瓣区未闻及杂音,双下肢无水肿。超声心动图:左心房内径:21mm,左心室舒张末内径40mm,右心室舒张末内径36mm,左室射血分数66%。估测肺动脉收缩压88mmHg。化验检查:肝肾功能正常,乙肝表面抗原阴性,血沉正常。甲状腺功能检查无异常。血、尿常规正常。)
A.心电图
B.血气分析
C.胸片
D.肺血管增强CT
E.肺灌注扫描
F.免疫学全套检查
14、单项选择题
患者男,46岁,5年来间断咳嗽、咳白痰,近2d来症状加重,伴流涕、鼻塞、咽痛。上午服用酚麻美敏片及头孢氨苄后突然发生喘息、及肺部哮鸣音。
最重要的处理是()A.立即停用抗感冒药
B.给予抗菌药物
C.给予镇静药
D.应用平喘药
E.给予止咳药
15、多项选择题 心源性哮喘不同于支气管哮喘之点为()
A.肺有喘鸣音
B.有相应的心血管病史及体征
C.发病急骤
D.咳嗽频繁,血性泡沫痰
E.肺有捻发音
16、单项选择题 一典型大叶肺炎病人,发热5天入院,其X线表现为()
A.病变区肺纹理显著增多
B.肺段或肺叶淡薄,均匀模糊阴影
C.肺段或肺叶大片均匀致密阴影
D.双肺散在片状影
E.双肺炎症伴有蜂窝状透亮区,有时见有球块悬于空洞内
17、多项选择题 肺血管畸形伴肺动脉高压的是()
A.单纯肺动脉瓣狭窄
B.先天性单侧肺动脉缺如
C.肺动脉异常起源于升主动脉
D.特发性肺动脉扩张
E.多发性肺动脉狭窄
18、单项选择题 支气管哮喘发作时的呼吸功能检查,下列哪项不正确()
A.FEV1下降
B.FEV1/FVC%下降
C.MMFR上升
D.弥散量下降
E.残气量增加
19、多项选择题 患者男,65岁,20年前受凉后出现咳嗽,多咳白色泡沫样痰。此后咳嗽、咳痰不止,多为白痰,时为黄痰,秋冬季或天气变冷时加重,多自服药或者至医院抗感染治疗后好转。10余年前出现进行性气急,活动后加重,近半年反复出现双下肢水肿,尿量减少,本次因为严重呼吸困难入院。 为明确诊断最应紧急检查的2个项目包括()
A.血常规
B.胃肠造影
C.心电图
D.血气分析
E.胸部CTPA(CT肺血管造影)
F.血细胞比容
20、单项选择题 患者女,20岁。反复咳嗽、咳痰2年,一直以慢性支气管炎就诊。2周前行胸片检查示左上肺不张,行支气管镜检查示左固有上叶支气管腔内见疣状肿物,突入管腔,表面光滑。病理活检提示小细胞肺癌可能大。予以CE方案化疗2疗程后行左上肺叶切除术。 最可能的诊断是()(提示:若患者术后病理提示肿瘤呈疣状,瘤细胞呈鳞状上皮细胞形,肿瘤含有结缔组织基质,有大量淋巴细胞浸润,瘤表面完全被有纤毛或无纤毛的柱状上皮细胞或鳞状上皮细胞覆盖,也可夹杂多层间变鳞状上皮细胞及分化较好的鳞状上皮细胞。)
A.肺鳞状细胞癌
B.肺腺鳞癌
C.单纯乳头状瘤
D.炎性息肉
E.鳞状细胞乳头状瘤
21、多项选择题 患者男,50岁,慢性咳喘10余年,冬春季易发作,此次咳黄痰,喘息,低热5d来诊。既往吸烟22年,15~20支/d,已戒烟5年。 为明确诊断,需要优先检查的项目包括()(提示:患者喘憋症状加重,夜间不能平卧,听诊双肺满布哮鸣音。)
A.胸部CT
B.支气管镜
C.肺功能
D.痰细菌培养及药敏
E.动脉血气分析
22、多项选择题 患者女,26岁。主诉因搬重物后胸痛10h入院,伴咳嗽、呼吸困难。既往有气胸病史。 此时,进行鉴别诊断应做的检查是()
A.肺活检
B.腹部CT
C.头颅CT
D.肺功能
E.腹部B超
F.盆腔CT
23、单项选择题 患者男,42岁。因间断性咳嗽,运动后胸闷、气短、轻度喘息3个月入院。既往抽烟史20年,平均2~3包/d。入院体检一般情况可,神清,巩膜、皮肤无黄染,全身浅表淋巴结未及肿大,心率76次/min,律齐,两肺呼吸音略低,清,未闻及干湿啰音及Velcro啰音。胸片、胸部CT示:两肺纹理增多紊乱,两肺弥漫性小结节、囊状病灶,以两上肺为主。 该症状最支持的诊断是()(提示:患者入院后第3天,感胸闷加重,并出现呼吸困难。床边胸片示:左肺气胸,压缩50%。)
A.肺朗格汉斯细胞组织细胞增生症
B.结节病
C.淋巴管平滑肌瘤病
D.Wegener肉芽肿
E.支气管扩张
F.过敏性肺泡炎
24、单项选择题 支气管扩张的主要发病因素是()
A.先天性发育缺损
B.有害气体的吸入(大气污染)
C.长期大量的吸烟
D.支气管肺组织的感染和支气管阻塞
E.遗传因素
25、多项选择题
患者,男性,64岁,有肺心病史5年,经常头痛头晕,1周来咳嗽加重,咳黄痰,呼吸困难,头痛加重,昨日起嗜睡,谵语。查体:神志不清,颜面水肿,球结膜水肿,口唇发绀,颈静脉充盈,双肺广泛干湿啰音,肝肋下4cm,腹腔积液症(+),下肢水肿,膝腱反射减弱,巴宾斯基症(+)。pH7.20,PaCO2100mmHg,PaO240mmHg,HCO-321mmol/L。
提示:该患者神志不清,病理征阳性。提问:可能是由于发生了()A.高血压脑病
B.高渗性昏迷
C.肺性脑病
D.感染中毒性脑病
E.电解质紊乱
F.脑血管意外
26、单项选择题 患者男,51岁。咳嗽伴头痛3个月。胸部CT提示双肺多发小结节影,双下肺背侧胸膜多发局限性增厚。脑MRI示枕骨占位伴骨质破坏。既往有甲状腺乳头状癌行甲状腺右叶全切及左叶大部分切除术,术后以优甲乐替代治疗。 若患者行胸腔镜肺活检证实为腺癌,下列说法正确的是()
A.大多数原发性腺癌TTF-1和转移性腺癌TTF-1几乎都阳性
B.甲状腺癌肺转移TTF-1阳性,原发性肺癌肺内转移TTF-1阴性
C.甲状腺癌肺转移TTF-1阴性,原发性肺癌肺内转移TTF-1阳性
D.甲状腺癌肺转移及原发性肺癌肺内转移患者甲状腺球蛋白(TG)均阳性
E.甲状腺癌肺转移患者甲状腺球蛋白阳性,原发性肺癌肺内转移患者甲状腺球蛋白阴性
27、单项选择题 皮肤感染引起继发性肺脓肿的发生途径是()
A.误吸
B.局部支气管阻塞
C.下呼吸道病原菌定性
D.肺邻近器官感染侵袭
E.血行播散
28、多项选择题 特发性肺含铁血黄素沉着症时,病理学和血清学表现为()
A.肺活检病理学免疫荧光染色显示免疫复合物呈粗糙颗粒状沉积
B.肺活检病理学免疫荧光染色显示阴性
C.肾活检病理学所见正常
D.肾活检病理学免疫荧光染色显示免疫复合物呈颗粒状沉积
E.血清学抗核抗体阳性
29、多项选择题 心源性呼吸困难可出现的临床表现包括()
A.端坐呼吸
B.心源性哮喘
C.间歇性呼吸或陈-施(潮式)呼吸
D.局限性固定的哮鸣音
E.Kussmaul呼吸
30、单项选择题 干性支气管扩张是指()
A.干咳为主
B.仅有早晨咳嗽及咳痰
C.纤维支气管镜检见支气管黏膜干燥、萎缩
D.仅有反复咯血,一般无咳嗽、咳痰
E.病变局限于上叶
31、单项选择题
患者,女性,25岁,既往健康,突然咯血约500ml。查体:心肺未见异常,胸X线片双肺下野纹理增粗。
你认为诊断可能是()
A.急性支气管炎
B.支气管扩张症
C.支气管内膜结核
D.支气管肺癌
E.急性肺梗死
F.慢性肺脓肿
32、单项选择题 肺结核痰菌阳性患者的短期化疗方案最好的是()
A.异烟肼、链霉素加对氨基水杨酸1年
B.异烟肼、对氨基水杨酸加氨硫脲1年
C.利福平、异烟肼3~5个月,头两个月用链霉素或乙胺丁醇强化
D.利福平、乙胺丁醇加对氨基水杨酸1年
E.利福平、异烟肼6~9个月,头两个月用乙胺丁醇和比嗪酰胺强化
33、多项选择题 混合性呼吸困难可见于()
A.肺栓塞
B.支气管哮喘
C.慢性阻塞性肺疾病
D.格林巴利综合征
E.糖尿病酮症酸中毒
34、单项选择题 患者男,50岁,3周前无明显诱因下出现发热,最高达39℃,在外诊断为上呼吸道感染。经头孢替安和利巴韦林治疗后好转,后又反复发热,体温为38~39℃,2周前出现左下肢疼痛,查体:左肺可闻少许湿性啰音,左下肢有局限性红肿结痂区。胸片检查见左肺舌叶,右下心缘旁及右下后基底段处有多个片状密度增深影。胸部CT示左舌叶密度增深影内见透亮区,血常规示:白细胞计数18.1×109/L,中性粒细胞0.90。 对该患者最适用的抗生素是()
A.万古霉素
B.阿奇霉素
C.克拉霉素
D.环内沙星
E.丁胺卡那
35、单项选择题 患者男,65岁,20年前受凉后出现咳嗽,多咳白色泡沫样痰。此后咳嗽、咳痰不止,多为白痰,时为黄痰,秋冬季或天气变冷时加重,多自服药或者至医院抗感染治疗后好转。10余年前出现进行性气急,活动后加重,近半年反复出现双下肢水肿,尿量减少,本次因为严重呼吸困难入院。 根据上述结果应考虑的疾病有()(提示:胸片示两肺纹理增粗、紊乱,右下肺动脉干扩张,肺动脉段明显突出,右心室增大征。心电图:窦性心律,肺型P波,右心室大,不完全右束支传导阻滞,顺钟向转位。心脏彩超提示右房扩大、右心扩大、肺动脉高压。)
A.肺栓塞
B.特发性肺动脉高压
C.肺间质病继发肺动脉高压
D.慢性肺源性心脏病
E.室间隔缺损
F.社区获得性肺炎
36、单项选择题 持续性心房纤颤患者,最易发生哪种并发症()
A.心内膜炎
B.心源性休克
C.动脉系统栓塞
D.肺部感染
E.下肢静脉血栓形成
37、单项选择题 大咯血病人有窒息征象时关键的抢救措施是()
A.立即进行人工呼吸
B.立即使用呼吸中枢兴奋剂
C.立即使用鼻导管吸氧
D.立即采用解除呼吸道梗阻的措施
E.立即输血或输液
38、单项选择题 关于肺部病变征象,错误的是()
A.肺不张指病变部位肺组织密度增高,体积缩小
B.HRCT表现局部的肺密度增高,但不伴掩盖相应区域内的血管影,称为磨玻璃影
C.两肺多发小囊状阴影,有厚且边缘清楚的壁,多见于肺的外围和胸膜下,呈多层排列,称为蜂窝阴影
D.肺内结节中可见偏心性点状或不规则状小钙化,多考虑为良性的可能
E.增强CT无法鉴别漏出性或乳糜性胸腔积液
39、单项选择题 肺脓肿的治疗原则是()
A.止咳、祛痰、解痉、抗感染
B.改善通气、纠正酸中毒、抗感染
C.支持疗法、祛痰、有效地抗感染
D.积极抗感染,辅以体位引流,转慢性时争取手术治疗
E.动静结合,中西结合,全身用药及局部用药相结合
40、单项选择题 关于急性上呼吸道感染,下列不正确的是()
A.常见病原体为病毒
B.是鼻腔、咽或喉部急性炎症的概称
C.一般病情较轻,病程较短
D.具有一定传染性
E.发病率低
41、多项选择题
患者男,34岁。进行性胸闷、气促1个月余,伴有干咳、右胸隐痛以及消瘦,无咯血、发热、盗汗、潮热等。

A.胸部CT检查
B.肺功能检查
C.心电图检查
D.胃镜检查
E.胸膜活检病理检查
F.胸腔积液沉淀找癌细胞
42、单项选择题 患者女,35岁,反复咳嗽、咳痰伴喘息1年余,间断伴有发热,院外考虑“哮喘”,给予吸入性糖皮质激素治疗,症状控制不满意,间断口服泼尼松,仍反复咳嗽和喘息,有时咳出白色黏液栓样物,咳出后感觉症状缓解。多次给予“抗生素”治疗,疗效亦不显著。体检:喘息貌,呼吸稍急促,约26次/min,双肺可闻及散在哮鸣间,双肺底可闻及细湿啰音。实验室检查:周围血嗜酸粒细胞增多;胸片示肺部散在浸润病灶,呈游走性;胸部CT提示肺气肿及近端支气管扩张症。霉菌变应原速发性皮肤试验阳性;血清总IgE浓度(>1000ng/ml)升高。 最可能的诊断是()
A.支气管哮喘
B.COPD
C.变应性肺泡炎
D.ABPA
E.间质性肺疾病
43、单项选择题 患者女,64岁,因低热乏力,刺激性干咳伴活动后呼吸困难2周就诊。X线胸片示两侧肺门对称性淋巴结肿大伴两肺散在结节影,SACE68U(正常33±10U)、PPD5U皮试阴性,经纤维支气管镜支气管黏膜活检,病理报告见类上皮细胞堆集成肉芽肿,请结合临床考虑。 最可能的诊断是()
A.肺门淋巴结核
B.原发综合征
C.Ⅱ期肺结节病
D.淋巴瘤
E.转移性肺癌
44、多项选择题 患者女,42岁,发作性咳喘5年余,春秋季易发作,每次发作持续1个月,当地医院诊断为“慢性支气管炎”,给予抗菌、镇咳、平喘治疗后可缓解。近2年病情加重,全年均有症状,当地医院诊断“哮喘”,给予“沙美特罗替卡松干粉吸入剂50/250μg,2次/d”治疗,患者自觉效果不佳未规律使用。 针对此症状,处理方案是()(提示:痰细菌培养、痰涂片找抗酸杆菌均无阳性发现,胸部CT示左侧肺门区可见多处囊性透亮区。痰中嗜酸粒细胞比例>32%。)
A.抗菌药物静脉滴注
B.外周血嗜酸粒细胞计数
C.血清总IgE和烟曲菌特异性IgE水平检测
D.痰真菌培养和痰涂片找真菌
E.支气管镜检查
45、单项选择题 常用的阻力测定方法不包括()
A.阻断法
B.食管测压法
C.体积描记法
D.强迫振荡法
E.慢肺活量法
46、多项选择题 患者女,46岁,间断咳嗽2个月,活动时憋气,胸部X线片未发现明显异常。 可能诊断是()(提示:患者从未做过胸部CT,本次胸部CT检查显示两肺广泛小圆形低密度影。)
A.小叶中心型肺气肿
B.特发性间质纤维化
C.朗格汉斯组织细胞增生症
D.淋巴管平滑肌瘤病
E.转移瘤
F.结节病
47、多项选择题 应与DPB相鉴别疾病是()
A.慢性阻塞性肺疾病
B.变应性肺炎
C.支气管扩张症
D.阻塞性细支气管炎
E.肺间质纤维化
48、多项选择题
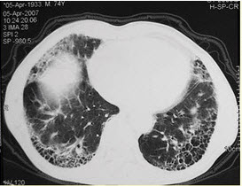
患者女,29岁。间断干咳10年余,加重4个月,伴进行性呼吸困难1个月。病程中出现双手及双足非凹陷性肿胀、双侧膝关节及双侧肘关节对称性肿痛,面部出现细小红色丘疹。体检:T36.5℃,P88次/min,R22次/min,BP110/75mmHg,SpO293%(自然)。额部、前胸及后背散在红色小丘疹,双肺呼吸音增强,双肺中下肺野可闻及爆裂音,右肺明显。胸部CT如图所示。

A.吸氧
B.无创通气
C.糖皮质激素治疗
D.及早插管上机,给予机械通气
E.大剂量抗生素治疗
F.糖皮质激素+免疫抑制剂
49、单项选择题 患者,女,24岁。近2个月来午后低热,剧烈咳嗽,痰中带血,进食少,无力,消瘦,使用消炎镇咳药无效,痰中2次找到结核菌,胸片及CT未见异常。最可能的诊断为()
A.慢性支气管炎
B.过敏性肺炎
C.肺结核
D.支气管内膜结核
E.肠结核
50、单项选择题
患者男,65岁,2d前洗澡受凉后感不适,时自测体温38.5℃,干咳伴咽痛、胸闷,右胸略感隐痛。既往体健。吸烟300支/年,已戒烟10年。体检:一般情况好,口唇无发绀,心肺无阳性体征发现。白细胞计0.9×109/L,中性0.80。胸片示右心缘模糊影,右侧位片见右中叶片状阴影,呈尖端指向肺门的三角形,肺叶无明显收缩。
最可能的诊断是()
A.右中叶肺炎
B.中叶综合征
C.阻塞性肺炎
D.非典型病原体肺炎
E.肺炎链球菌肺炎
51、单项选择题 患者,男,28岁。乏力,发作性晕厥3天,心电图示P波与QRS波无关,P波频率80次/分,首选哪种治疗方法()
A.静脉滴注硝酸甘油
B.经食道心房调搏术
C.静脉注射西地兰
D.静脉注射异搏定
E.安装临时人工心脏起搏器
52、单项选择题 感染性胸膜炎最常见的病原菌是()
A.肺炎克雷伯菌
B.溶血性链球菌
C.金黄色葡萄球菌
D.结核杆菌
E.绿脓杆菌
53、多项选择题 人体感染结核菌后,与结核病发生、发展及转归有关的因素是()
A.结核菌的数量
B.结核菌的毒力
C.机体的免疫力
D.变态反应
E.感染部位
54、单项选择题 下列哪项检查对诊断渗出性胸膜炎最有价值()
A.临床表现
B.X线检查
C.胸腔穿刺
D.结核菌素试验
E.超声检查
55、单项选择题
患者男,64岁,反复咳嗽,咳痰15余年,活动后气短7年,间断下肢水肿1年。加重伴心悸、喘息2周。既往吸烟30余年,戒烟2年。查体:口唇发绀,颈静脉怒张,桶状胸,两肺呼吸音低,散在干性啰音,两下肺可闻湿性啰音,肝肋下2cm。动脉血气分析(吸氧):pH7.50,PaO260mmHg,PaCO260mmHg,HCO-343mmol/L,K+3.0mmol/L,Na+132mmol/L,Cl-70mmol/L。
对于肺心病诊断无决定意义的检查是()A.胸部X线正位片
B.心电图
C.超声心动图
D.肺功能
E.肺动脉压测定
56、单项选择题 肺心病患者高度水肿,PaCO27.98kPa(60mmHg),心率114次/分,下列哪种治疗较为合理()
A.洋地黄化,并用少量兴奋剂
B.毒毛花苷K静注,并用醋唑酰胺
C.西地兰静注,并用普萘洛尔
D.洋地黄化,并用氟美松
E.毒毛花苷K静注,临时使用少量利尿剂
57、多项选择题 患者,男性,48岁,慢性咳嗽史10年,咳少量粘痰,活动后气急4年,体检:唇无发绀,桶状胸,两肺呼吸音弱,无干湿性啰音。胸片示:肺透亮度增加,肺纹理稀少,心影狭长。临床诊断为肺气肿。
提示:血气分析示:PaO2:42mmHg,PaCO2:83%,PH:7.23。提问:可能的诊断()
A.Ⅰ型呼吸衰竭
B.Ⅱ型呼吸衰竭
C.呼吸性酸中毒
D.代谢性酸中毒
E.呼吸性碱中毒
F.代谢性碱中毒
58、多项选择题 美国风湿病协会1990年提出的韦格纳肉芽肿的诊断标准包括()
A.单神经炎或多发性神经炎
B.痛性或无痛性口腔溃疡,脓性或血性鼻分泌物
C.胸片示结节固定浸润病灶或空洞
D.镜下血尿或出现红细胞管型
E.病理显示动脉壁内或血管周围或血管外区域有肉芽肿性炎症
59、单项选择题 需要入住ICU的社区获得性肺炎,最常见的病原体是()
A.铜绿假单胞菌
B.肺炎链球菌
C.甲氧西林耐药金黄色葡萄球菌(MRSA.
D.病毒
E.军团菌
60、单项选择题 气胸与肺梗塞最有鉴别意义的是()
A.发绀
B.X线检查
C.呼吸困难
D.胸痛
E.心电图检查
61、单项选择题
患者,男,68岁,高热3天伴咳嗽胸痛,多量黄绿色脓性痰,白细胞总数20×109/L。X线示右下肺实变,其间有不规则透亮区,叶间隙下坠,伴少量胸腔积液,最可能的诊断是()
A.肺炎链球菌肺炎
B.肺结核
C.克雷白杆菌肺炎
D.肺曲菌病
E.绿脓杆菌肺炎
62、单项选择题 关于肺腺癌下列哪项正确()
A.多见于男性
B.与吸烟关系密切
C.多表现为中心型
D.最易发生胸膜转移
E.对放疗与化疗均敏感
63、单项选择题 患者女,20岁,反复发热3个月,并出现面部蝶形红斑,活动后气促,ANA1∶320,胸部X线片示斑片状阴影,HRCT示毛玻璃样改变。诊断首先考虑()
A.肺部感染
B.皮肌炎
C.特发性肺间质纤维化
D.系统性红斑狼疮
E.硬皮病
64、多项选择题 患者女,15岁,活动后胸闷、气短1年,加重3周。现上1层楼即感不适。无晕厥、发热、关节痛、胸痛和咯血史。既往月经正常,无服用减肥药、避孕药和外伤史。无打鼾。家族史无异常。
初步诊断为()(提示:血气分析:pH7.421,PaO279.7mmHg,PaCO233.4mmHg。免疫学全套检查未见异常。心电图示:右心肥厚,电轴右偏,V1~V6ST段压低,T波倒置。X线示:中心肺动脉扩张,外周肺血管纹理少,右心房、室扩大,肺动脉段凸。肺实质和间质未见明显异常。肺功能检查结果示:肺容量、肺通气功能正常,FEV1/FVC=95%,小气道功能正常,肺弥散功能轻度减退。肺血管增强CT:未见肺栓塞征象,肺动脉增宽,右房、室增大。双肺未见实质性改变。肺灌注扫描:未见呈肺段性放射性缺损或稀疏,无肺栓塞征象。)
A.瓣膜性心脏病
B.特发性肺动脉高压
C.先天性心脏病
D.心脏扩大
E.心功能Ⅲ级
F.肺血管发育异常
65、单项选择题 患者,女,48岁。阵发性心前区疼痛,持续时间数分钟或数小时不等,心电图ST-T波有改变,下列哪种检查有助于鉴别诊断()
A.心电图
B.心得安试验
C.阿托品试验
D.心内电生理检查
E.心肌酶
66、多项选择题
患者男,56岁,因急性肠穿孔并发腹膜炎行急诊手术,术后8h出现气急和低氧血症,16h后明显加重,给予面罩高流量吸氧后动脉血气为pH7.48,PaO255mmHg,PaCO230mmHg,诊断为ARDS,给予经口气管插管机械通气,选择SIMV+PSV模式,通气参数为流量触发3L/min,FiO280%,PEEP10cmH2O,VT420ml,Ti1.2s,RR20次/min,PS20cmH2O。通气30min后气急仍明显,频繁人机对抗。
除机械通气外,还应特别注意()(提示:监测PSV的潮气量为600~650ml,实际呼吸频率达32~36次/min。)A.血红蛋白浓度
B.白蛋白水平
C.球蛋白水平
D.避免碱中毒和电解质紊乱
E.检查血糖
F.复查腹部平片或CT
67、多项选择题 药物所致肺疾病的确诊应具备的条件有()
A.明确的临床表现
B.停药后病损减轻或消退
C.具有B型超声检查结果
D.具有心电图检查结果
E.再用该药后引起肺病变复发
68、单项选择题 慢性支气管炎严重时可并发()
A.支气管哮喘
B.肺结核
C.阻塞性肺气肿
D.肺癌
E.肺脓肿
69、多项选择题 肺泡蛋白沉着症患者需进行全肺灌洗的指征有()
A.肺内分流率>10%
B.呼吸困难等症状明显
C.显著的运动后低氧血症
D.病变范围超过胸片50%
E.肺内分流率>5%
70、单项选择题 呼吸衰竭严重缺氧可导致机体内的变化,下列哪项错误()
A.可抑制细胞能量代谢的氧化磷酸化作用
B.可产生乳酸和无机磷,引起代谢性酸中毒
C.氢离子进入细胞内引起内酸中毒
D.组织二氧化碳分压增高
E.体内离子转运的钠泵损害,引起细胞内高钾
71、单项选择题 肺心病患者心衰使用洋地黄,下述哪项不正确()
A.避免选用作用快的制剂
B.用量为常规用量的1/2~2/3
C.心率快与慢不能作为疗效指征
D.一般疗效较差
E.不作为首选治疗心功能不全的药物
72、多项选择题 在能鉴别急性左心功能不全与支气管哮喘发作的情况下,治疗方法为()
A.试用吗啡皮下注射
B.吸氧
C.注射小量肾上腺素
D.注射氨茶碱
E.速尿
73、单项选择题 下列哪项与呼酸合并代谢性碱中毒无关()
A.使用排钾利尿剂
B.通气功能改善过快
C.用碱性药物过量
D.频繁呕吐
E.高浓度吸氧
74、单项选择题 重症支气管哮喘发作时,除吸氧外,应首先采取下列哪项措施()
A.尽可能找出过敏原,除去诱因或进行抗原脱敏疗法
B.采用拟交感神经药,抗生素和促肾上腺皮质激素
C.积极应用免疫抑制剂,色苷酸二钠,必要时用菌苗疗法
D.改善通气,支气管解痉,控制感染,纠正水电解质及酸碱平衡失调,应用糖皮质激素
E.大剂量广谱抗生素及抗原脱敏治疗
75、单项选择题 患者男,65岁,经胸片、SACE、PPD试验及淋巴结活检,病理确诊为Ⅰ期肺结节病;未用任何治疗,观察至第3个月,出现头痛、双眼胀痛、流泪及视物模糊。 病理诊断做出报告之前,可能性最大的疾病是()
A.变应性肺炎
B.变应性血管炎性肉芽肿
C.肺结核
D.肺结节病
E.肺真菌感染
76、单项选择题 患者男,70岁,因COPD急性加重而住院治疗。经过积极的抗感染、平喘、祛痰等治疗后,症状好转。今晨开始下地行走后,出现明显的气促加重,经过氧疗和雾化吸入支气管舒张剂等治疗后,气促缓解不明显。体检:体温36.8℃,脉搏122次/min,呼吸32次/min,血压140/80mmHg。唇舌轻度发绀(吸氧3L/min状态下),气管无明显偏移,呼吸稍费力,桶状胸,呼吸动度减弱,语颤减弱,叩诊过清音,双侧基本对称,肺泡呼吸音明显减弱,闻及呼气相干啰音,未闻湿啰音。心率:122次/min,律整,心音稍低钝,无杂音。 下列判断正确的是()(提示:胸部X线检查发现右侧气胸,气胸线距离胸壁1.5cm。)
A.症状严重,属于大量气胸
B.属于张力性气胸
C.属于不稳定型气胸
D.气胸伴有心功能不全
E.气胸不一定是气促加重的原因
77、单项选择题 胸腔积液中葡萄糖含量仅1mmol/L,应首先考虑()
A.化脓性胸膜炎
B.心力衰竭
C.癌性胸腔积液
D.结核性胸膜炎
E.肝硬化
78、多项选择题 治疗特发性间质性肺炎(IIP)患者,是否应用皮质激素治疗最主要的决定条件是()
A.病程长短
B.病理类型
C.病情的轻重
D.疾病本身的活动性
E.患者的年龄
79、单项选择题 下述哪项不符合A型肺气肿表现()
A.发绀不明显
B.体型多消瘦
C.桶状胸明显
D.病程晚期出现右心衰竭
E.多见于年轻人
80、单项选择题 下列关于肺炎链球菌特点的叙述,正确的是()
A.感染后可获得特异性免疫,同型菌的二次感染少见
B.感染后仅有非特异性免疫,在机体抵抗力下降时可以再发同型感染
C.不属于上呼吸道的正常菌群
D.与草绿色链球菌鉴别的重要特征是胆汁溶菌试验阴性
E.经上呼吸道进入肺泡后,可产生毒素,引起组织坏死
81、单项选择题 诊断肺泡蛋白沉着症除了病理学检查外,最为可靠的检查为()
A.肺功能检查
B.胸部HRCT
C.支气管肺泡灌洗
D.胸部X线平片
E.纤维支气管镜
82、单项选择题 患者女,64岁,因低热乏力,刺激性干咳伴活动后呼吸困难2周就诊。X线胸片示两侧肺门对称性淋巴结肿大伴两肺散在结节影,SACE68U(正常33±10U)、PPD5U皮试阴性,经纤维支气管镜支气管黏膜活检,病理报告见类上皮细胞堆集成肉芽肿,请结合临床考虑。 应选择的处理方法是()(提示:以上病例口服泼尼松30mg/d治疗后2个月,症状消失、肺门淋巴结明显缩小、肺内结节减少;但头晕头痛、血压升高至160/90mmHg。)
A.立即停止口服泼尼松
B.加用噻嗪类利尿剂
C.尽快减用泼尼松剂量
D.开始缓慢递减泼尼松剂量并加服降血压药
E.不必更改治疗方案、继续观察
83、多项选择题 可引起呼吸困难的中毒包括()
A.大量食用苦杏仁
B.亚硝酸盐中毒
C.吗啡中毒
D.地高辛中毒
E.氨茶碱过量
84、单项选择题 患者,男,15岁,春季登山途中突感胸闷,呼吸困难。查体:口唇轻度发绀,双肺布满哮鸣音,心率100次/分,律齐。哪项诊断可能性最大()
A.过敏性休克
B.支气管哮喘
C.心源性哮喘
D.慢性喘息型支气管炎
E.过敏性肺炎
85、单项选择题
患者男,25岁,反复咳嗽、咳痰、发热1个月余,有吸烟史7年。抗炎治疗无效。查体:两肺呼吸音粗,未闻及干、湿啰音。辅助检查:白细胞11.4×106、中性粒细胞0.763%、血沉:31mm/h,其他均(-)。HRCT:两上、中肺可见弥漫性分布的小囊腔及结节影,纵隔淋巴结不大,血管前间隙可见软组织肿块影,胸片提示出现气胸。
该病首选的药物治疗是()A.异烟肼
B.糖皮质激素
C.甲氨蝶呤
D.广谱抗生素
E.氟康唑
86、单项选择题 女性,17岁,咽痛,高热,肌肉酸痛,乏力1天,诊断为流行性感冒。 以下不是常规处理的是()
A.休息
B.隔离
C.多饮水
D.朋友应多探视、关心
E.奥司他韦75mg,每日2次
87、单项选择题 结核性胸膜炎最常发生于下列哪种情况()
A.老年人稳定期肺结核病灶复发
B.粟粒性肺结核
C.慢性纤维空洞型肺结核
D.青少年原发性肺结核
E.浸润型肺结核
88、多项选择题 经支气管镜活检术的适应证包括()
A.气管、支气管腔内的良、恶性肿瘤
B.气管、支气管腔内的肉芽肿
C.气管、支气管腔内的感染(结核、曲菌等)
D.气管、支气管腔内的淀粉样变
E.气管、支气管腔内血管畸形
89、单项选择题 患者男,54岁,因发热,咳嗽,咳黄痰伴左肩疼痛1周余入院,3个月前曾因左侧肺炎,在当地经抗生素治疗后好转。既往有吸烟史30年,20支/d。体检:体温38℃,心率85次/min,左锁骨上可触及黄豆大小淋巴结2个。左肺呼吸音稍低,未闻干湿啰音。
患者的可能诊断是()(提示:血白细胞2.1×109/L,中性0.89,血沉65mm/h。胸片示左上叶前段密度增深影,CT示密度增深影内有透亮区。)
A.社区获得性肺炎
B.吸入性肺脓肿
C.血源性肺脓肿
D.浸润型肺结核
E.癌性空洞
F.继发性肺脓肿
90、单项选择题 肺炎球菌肺炎的基本病理特点()
A.肺泡内水肿和浆液渗出
B.肺泡内红细胞渗出
C.肺叶或肺段实变
D.没有肺泡壁损伤、坏死或溃疡
E.形成多发性肺脓肿
91、多项选择题 支气管哮喘发病原理涉及()
A.过敏因素
B.神经因素
C.诱因(生物、物理、化学因素)
D.遗传因素
E.疲累
92、单项选择题 患者,男,60岁,血源性肺脓肿患者,突然出现左胸痛,继之呼吸困难。查体:口唇发绀,气管右移,左肺呼吸音减低,最可能发生的是()
A.急性心肌梗死
B.肺梗死
C.自发性气胸
D.急性左心衰竭
E.阻塞性肺不张
93、单项选择题 肺脓肿的致病菌多属()
A.金黄色葡萄球菌为主
B.支原体为主
C.厌氧菌为主
D.肺炎球菌为主
E.真菌为主
94、单项选择题 患者,女性,46岁,有慢性咳嗽,咳痰史10余年,6年来活动后气短,2周来上述症状加重,并出现全身水肿,卫生院医生给了大量利尿剂,呋噻米(速尿)40mg,每日1次静注,全身水肿迅速消退,在治疗第4天出现烦躁,抽搐。查体:神志不清,桶胸,双肺散在干湿啰音,剑突下触及心脏收缩期搏动,肝触及,下肢无水肿,心电右心室肥厚。
提示:血气分析PH:7.35,PaCO2:100mmHg,PaO2:46mmHg,HCO-3:35mmol/L,BE:6mmol/L。提问:该患者可能发生的酸碱失衡是()
A.呼吸性酸中毒
B.呼酸合并代谢
C.呼吸性碱中毒
D.呼酸合并代碱
E.以上都不是
95、单项选择题 原发性肺癌中,恶性程度最高的是()
A.大细胞癌
B.鳞癌
C.腺癌
D.类癌
E.小细胞癌
96、单项选择题 病例-对照研究的主要评价指标是()
A.发病率
B.患病率
C.治愈率
D.RR
E.OR
97、单项选择题 关于葡萄球菌肺炎下列哪项是错误的()
A.是急性肺部化脓性感染
B.病原菌经呼吸道或由皮肤感染灶经血行到达肺脏
C.可引起全身多发性化脓性病变
D.不易出现周围循环衰竭
E.确诊有赖于痰培养
98、单项选择题 慢性支气管炎肺气肿的酶系改变,下列哪项正确()
A.α1抗胰蛋白酶减少
B.腺苷酸环化酶增多
C.真性胆碱酯酶活性增强
D.磷酸二酯酶减少
E.蛋白分解酶减少
99、多项选择题 CTD-ILD的病理类型可分为()
A.寻常型间质性肺炎
B.非特异性间质性肺炎
C.脱屑性间质性肺炎
D.急性间质性肺炎
E.闭塞性细支气管炎伴机化性肺炎
100、单项选择题 支气管哮喘急性发作的肺功能异常主要表现为()
A.最大通气量增加
B.第一秒钟用力呼气容积减少
C.肺活量减少
D.弥散量下降
E.功能残气减少
101、单项选择题 鲁米哪用于下列哪种疾病是危险的()
A.肺心病合并肺性脑病
B.心源性休克
C.肺脓肿
D.肺癌
E.干性胸膜炎
102、单项选择题
9岁农村小学学生,发热,体温38.5℃,并伴有干咳,无痰,无咽痛,在当地接受抗生素治疗,症状暂时缓解,能坚持上学;发病第5天病情加重,体温持续39℃以上,咳嗽加重,精神差;发病第6天转入省儿童医院进一步诊治。患者发病前从未有病死禽或其他禽类暴露史,但同班有9名同学先后发生与其类似的临床表现。入院时查体:T40℃,P136次/min,R30次/min,BP100/53mmHg。急性病容,呼吸稍促,意识清楚,精神差,全身皮肤无出血点,双侧颈部、腹股沟区可扪及数个黄豆大小的淋巴结,无压痛、粘连、皮肤发红及瘘道形成。咽红,双侧扁桃体Ⅱ度肿大,双肺呼吸音粗,可闻及少量细湿啰音,无胸膜摩擦音。心率136次/min,律齐,心音正常,各瓣膜区未闻及病理性杂音及额外心音,腹软,肝脾肋下未及,肠鸣音无亢进及减弱,双下肢无水肿,神经系统检查未见异常。外周血白细胞为2.8×109/L,中性粒细胞0.52,淋巴细胞0.40,血红蛋白125g/L,血小板9×109/L。胸部X线检查发现左上肺野大片状高密度影,边缘模糊,右上肺野内带见小斑片状高密度影。
该患最可能的诊断为()
A.人感染高致病性禽流感
B.肺炎球菌肺炎
C.流行性感冒——肺炎型
D.金黄色葡萄球菌肺炎
E.流感嗜血杆菌肺炎
103、单项选择题 患者男,56岁,咳嗽1个月余就诊。干咳为主,无咳痰、憋气,无咯血,无发热。以前无类似发作。既往高血压病史10年,血压控制欠佳。吸烟20余年,每日1包。无特殊毒物及粉尘接触史。曾行肺功能检查未见异常。不能有助于明确患者本次咳嗽的病因的是()
A.近期是否换用降压药物
B.有无夜间咳嗽
C.咳嗽前有无“上呼吸道感染”
D.咳嗽和体位的关系
E.药物过敏史
104、单项选择题 某青年,肺门淋巴结肿大,OT(1:2000,5U)试验肿结节直径15mm,伴水泡,最可能诊断()
A.结核病
B.结节病
C.淋巴瘤
D.肺癌
E.硅沉着病
105、单项选择题 有高碳酸血疗的慢性呼吸衰竭者,适宜的吸氧浓度为()
A.小于35%
B.35%~40%
C.40%~45%
D.45%~50%
E.55%~60%
106、单项选择题 慢性支气管炎最常见的并发症()
A.呼吸衰竭
B.自发性气胸
C.慢性肺心病
D.慢性阻塞性肺气肿
E.支气管哮喘
107、单项选择题 DPB治疗应首选()
A.喹诺酮类
B.大环内酯类
C.免疫抑制剂
D.碳青霉烯类
E.糖皮质激素
108、单项选择题 患者,男,60岁,胸闷伴四肢关节痛,X线胸片示右肺门增大,为确定诊断,最适用的检查宜选()
A.纤维支气管镜检查
B.体层摄片
C.支气管造影
D.肺穿刺活检
E.痰查结核菌
109、单项选择题 气体扩散速率的影响因素不包括()
A.气体的分压差
B.气体的分子量和溶解度
C.扩散面积
D.扩散距离
E.气体的质量
110、单项选择题 电轴右偏,顺钟向转位RV1+SV5≥1.01,PⅡ≥0.25mV,PⅡ≥0.25mV,上述心电图改变最正确的解释是哪一项()
A.肺心病
B.风湿性心脏病、二尖瓣狭窄
C.肺气肿
D.哮喘持续状态
E.房间隔缺损
111、多项选择题
患者男,74岁,慢性咳嗽、咳痰30余年,近10余年来气急并进行性加重,1年前呼吸衰竭经无创机械通气和抗菌等治疗获救。出院后病情尚平稳,但是动则气急。3d前因气候突然转冷而出现咳嗽加重,咳痰不畅、气急伴嗜睡和尿少,再次入院。体检T37.8℃,108次/min,R26次/min。意识尚清,但反应迟钝。气急,辅助呼吸很明显,吸氧下无发绀。球结膜充血、水肿。颈静脉无怒张。桶状胸,两肺呼吸音普遍降低,未闻及干、湿啰音。心脏无异常发现。腹软,肝肋下1.5cm,质中,无触痛,肝-颈逆流试验(-)。脾脏未及。腹部移动性浊音(-),下肢无水肿。血白细胞计数8.5×109/L,中性占0.8。吸氧2L/min下动脉血气分析pH7.28,PaCO280mmHg,PaO268mmHg。胸片示两肺纹理增多,肺动脉阴影增宽。诊断AECOPD,呼吸衰竭。给予面罩BiPA和头孢他啶联合环丙沙星静脉治疗。病情一度改善。但咳痰依然困难,痰多而黏稠。3d后病情出现反复,气急加重,明显发绀。拒用面罩BiPAP。胸片示右下肺大片均匀而浓密的阴影。
此时抗菌治疗调整可以选择()(提示:纤支镜检查见右肺下叶支气管大量黏液脓液,黏膜高度充血水肿。经冲洗吸引后病情改善。吸出物半定量培养:①肺炎克雷伯杆菌(+++),对头孢他啶、头孢曲松、头孢泊肟均耐药;②金黄色葡萄球菌(++),对头孢西丁耐药,替考拉宁和万古霉素均敏感。)
A.亚胺培南/西司他啶+万古霉素
B.亚胺培南/西司他啶
C.厄他培南+替考拉宁
D.厄他培南
E.哌拉西林/他唑巴坦+万古霉素
F.头孢吡肟+阿米卡星
112、多项选择题 吸入性肺脓肿的好发部位()
A.右上叶后段
B.双侧下叶基底段
C.双侧下叶背段
D.右侧中叶
E.肺尖
113、单项选择题 慢性肺心病心力衰竭时,为降低肺动脉高压,减轻右心负荷,下列治疗中宜选()
A.地高辛
B.速尿
C.改善通气
D.静滴多巴胺
E.静注氨茶碱
114、单项选择题 肺结核大咯血时,应采取体位是()
A.健侧卧位
B.患侧卧位
C.平卧位
D.俯卧位
E.坐位
115、单项选择题 患者女,呼吸困难1年,有端坐呼吸发生,咳血性痰,伴乏力。 最可能的疾病为()
A.原发性肺动脉高压
B.充血性心力衰竭
C.IPF
D.心包积液
E.阻塞性睡眠呼吸暂停综合征
116、单项选择题 以下初筛检查结果符合非结核分枝杆菌肺病的是()
A.PNB、TCH选择性培养基培养均(-)
B.PNB、TCH选择性培养基培养均(+)
C.PNB(+)、TCH(-)
D.TCH(+)、PNB(-)
E.含药培养基培养(+)
117、单项选择题 患者,男,44岁,一周前上感伴咳嗽,三小时前突然咯鲜血,量达300ml,无胸痛。既往有痰中带鲜血史。查体:体温37.3℃,血压正常,双肺叩清,右下肺可闻及中小水泡音,心尖部可闻及Ⅲ/6级收缩期吹风样杂音,最可能的诊断为()
A.肺结核伴空洞
B.支气管扩张
C.肺梗死
D.肺炎球菌性肺炎
E.风湿性心脏瓣膜病
118、单项选择题
一患者肺功能检测结果如下:FVC=81%Pred,FEV1=38%Pred,FEV1/FVC=55%。请判断其肺功能()
A.中度阻塞性通气功能障碍
B.中度混合性通气功能障碍
C.重度阻塞性阻塞性通气功能障碍
D.极重度阻塞性通气功能障碍
E.重度混合性通气功能障碍
119、多项选择题 患者男,50岁,慢性咳喘10余年,冬春季易发作,此次咳黄痰,喘息,低热5d来诊。既往吸烟22年,15~20支/d,已戒烟5年。 可能的诊断包括()(提示:体检:T37.9℃,P89次/min,R24次/min,BP120/85mmHg。听诊双肺呼吸音粗糙,可闻及散在的干湿啰音。外周血常规:WBC12.0×109/L,N0.79。胸片显示双上肺透光度增强,双下肺纹理重。)
A.慢性支气管炎急性发作
B.支气管扩张急性发作
C.支气管哮喘急性发作
D.大叶肺炎
E.慢性阻塞性肺疾病(COPD.急性加重
120、单项选择题 对40岁以下血性胸腔积液疑诊癌性胸膜炎的病人,下列哪项检查最有意义()
A.胸部CT检查
B.痰脱落细胞检查
C.胸腔积液癌胚抗原检查
D.胸腔积液脱落细胞检查
E.胸腔积液中LDH测定
121、多项选择题 决定气胸患者症状严重程度的主要因素有()
A.基础肺疾病及功能状态
B.诱发的原因
C.胸膜腔内积气量
D.气胸发生的速度
E.合并皮下气肿
122、多项选择题 ICH肺部浸润,诊断时需要加以鉴别的常见非感染性原因有()
A.放射性肺损伤
B.药物性肺损伤
C.肿瘤肺部浸润
D.肺血栓栓塞症
E.肺水肿
123、单项选择题 有关副癌综合征的叙述哪项正确()
A.出现副癌综合征提示肺癌晚期
B.可出现在呼吸道及X线表现之前
C.切除肺癌后症状都不能消失
D.出现副癌综合征为手术禁忌证
E.肺癌时出现肥大性肺性骨关节病具有无痛性特点
124、单项选择题
患者,男性,64岁,有肺心病史5年,经常头痛头晕,1周来咳嗽加重,咳黄痰,呼吸困难,头痛加重,昨日起嗜睡,谵语。查体:神志不清,颜面水肿,球结膜水肿,口唇发绀,颈静脉充盈,双肺广泛干湿啰音,肝肋下4cm,腹腔积液症(+),下肢水肿,膝腱反射减弱,巴宾斯基症(+)。pH7.20,PaCO2100mmHg,PaO240mmHg,HCO-321mmol/L。
提示:PH:7.25,PaCO2:100mmHg,PaO2:46mmHg,HCO-3:21mmol/L。提问:患者发生了哪一类型的酸碱平衡失调()
A.失代偿性呼吸性酸中毒
B.代偿性呼吸性酸中毒
C.呼酸合并代谢性酸中毒
D.代谢性酸中毒
E.呼酸合并代谢性碱中毒
125、单项选择题 患者女,25岁,公司办事员,既往体健,近2年来经常哮喘发作并咳嗽咳痰,呼吸困难,胸部体检双肺散在哮鸣音,诊断支气管哮喘,但治疗无效,且有加剧趋势并时有血痰,胸片未见明显异常。 不需要进行的检查是()
A.肺功能
B.支气管舒张试验
C.支气管镜检查
D.支气管激发试验
E.24h动态心电图
126、单项选择题 氨茶碱的适宜浓度为()
A.10~20mg/L
B.25mg/L
C.25~30mg/L
D.20~25mg/L
E.5~10mg/L
127、单项选择题 患者男,44岁,因车祸致头、胸、腹部外伤,右气胸,腹腔肠系膜血管破裂出血。给予积极手术治疗后病情得到控制,但1d内患者即表现为呼吸窘迫,呼吸40次/min以上、双肺底可闻及湿啰音,两肺散在斑片状阴影,吸纯氧时血气分析:pH7.48,PaO235mmHg,PaCO270mmHg。 对该患者的主要治疗是()
A.无创机械通气加PEEP
B.有创机械通气加PEEP
C.抗生素
D.利尿剂
E.大剂量糖皮质激素
128、单项选择题 不能以肺量计直接测定的指标是()
A.RV
B.VT
C.IC
D.VC
E.ERV
129、单项选择题
患者女,63岁,因“反复咳嗽、咳痰伴活动后气短10余年,加重10d”入院。入院查体:两肺呼吸音粗,可闻及明显干湿啰音。既往史:慢性鼻窦炎。肺功能检查提示第一秒用力呼气容积与用力肺活量比值(FEV1/FVC%)62%。血气分析,pH7.38,PaCO277mmHg,PaO240mmHg。冷凝集试验1∶64。痰培养为铜绿假单胞菌。胸部CT:双肺野可见弥漫性颗粒样结节状改变。
该患者最可能的临床诊断为()
A.支气管扩张
B.肺间质纤维化
C.弥漫性泛细支气管炎
D.慢性阻塞性肺疾病
E.支气管哮喘
130、多项选择题 属于低度恶性肿瘤的是()
A.圆柱瘤
B.细支气管肺泡癌
C.支气管类癌
D.黏液表皮样瘤
E.肺良性透明细胞瘤
131、单项选择题 所谓内源性哮喘是()
A.支气管哮喘与心源性哮喘同时并存
B.重症哮喘
C.哮喘合并急性肺炎
D.感染性哮喘
E.同时对两种外源性过敏原产生反应
132、单项选择题 COPD低氧血症最主要的发生机制是()
A.弥散功能障碍
B.肺泡通气不足
C.肺泡生理性分流
D.肺泡通气灌注比例不平衡
E.肺动脉高压
133、单项选择题 下列哪种情况禁用吗啡或度冷丁()
A.肺心病合并肺性脑病
B.肺水肿
C.肺结核小量咯血
D.肺癌
E.干性胸膜炎
134、单项选择题 估算气胸量时,如果气胸线离胸壁的距离为2 cm,估算气胸量为()
A.20%
B.30%
C.40%
D.50%
E.60%
135、单项选择题 慢性支气管炎的诊断标准()
A.咳嗽、咳痰或伴喘息反复发作
B.咳嗽、咳痰或伴喘息反复发作,每年至少3个月,并持续2年或以上者
C.咳嗽、咳痰伴喘息3个月以上
D.长期有咳嗽、咳痰或伴喘息,经一般内科治疗不愈者
E.咳嗽、咳痰、喘息反复发作
136、单项选择题 不会引起RV增加的病变是()
A.肺炎
B.慢性阻塞型肺疾病
C.哮喘
D.老年性肺气肿
E.阻塞性肺气肿
137、单项选择题 患者,男,25岁。头晕,乏力,黑蒙,严重时发生晕厥,为明确诊断需要进一步做哪些检查()
A.24小时动态心电图监测
B.24小时动态血压监测
C.潘生丁试验
D.冠状动脉造影
E.脑电图检查
138、单项选择题 下列抗结核药哪种不属于杀菌剂()
A.利福平
B.异烟肼
C.链霉素
D.吡嗪酰胺
E.乙胺丁醇
139、单项选择题 良性肿瘤的特征不包括()
A.有包膜
B.生长慢
C.不转移
D.浸润性生长
E.细胞分化好
140、单项选择题 肺炎合并感染性休克最常见的致病微生物是()
A.肺炎球菌
B.克雷白杆菌
C.支原体
D.病毒
E.革兰阴性杆菌
141、单项选择题 男,35岁,慢性呼吸衰竭患者,近1周病情加重,肺部啰音增多,经治疗后,病情好转,但不能改善的是()
A.神经精神症状
B.心律失常
C.肺气肿
D.蛋白尿
E.ALT升高,黄疸
142、多项选择题 慢性阻塞性肺气肿可发现哪组体征()
A.桶状胸,肋间隙增宽,呼吸运动减弱
B.触诊语颤减弱或消失
C.叩诊呈过清音,心浊音界缩小,肺下界下移
D.肺泡呼吸音减弱,呼气延长
E.触觉语颤增强
143、单项选择题 来自于气道的阻力主要是()
A.黏性阻力
B.弹性阻力
C.惯性阻力
D.气体间的摩擦力
E.呼吸肌力
144、单项选择题 可用于小细胞肺癌患者的疗效观察、复发预测和预后评估的肿瘤标志物是()
A.CEA
B.SCCAg
C.Cyfra21-1
D.NSE
E.TPA
145、单项选择题 浸润型肺结核患者,大咯血时,应采取()
A.患侧卧位
B.健侧卧位
C.坐位
D.俯卧位
E.平卧位
146、单项选择题 甲型流感病毒按细胞表面血凝素(H)可分为()
A.9种
B.11种
C.3种
D.15种
E.16种
147、单项选择题 关于支气管扩张试验,错误的是()
A.气道阻塞不可逆时支气管扩张试验阴性
B.支气管扩张试验阳性说明气道阻塞是因气道痉挛所致,经用舒张药物可以缓解
C.支气管扩张试验前4h应停用β激动剂吸入
D.支气管舒张试验常以PEF的增加率为判断标准
E.支气管舒张试验阴性可能是试验前使用了支气管舒张药物
148、单项选择题 突然发生的胸骨后疼痛,可放射到背部和肩部,查体在颈部和前胸部可触及握雪感,最可能的诊断为()
A.急性心肌梗塞
B.多发性骨髓瘤
C.夹层动脉瘤
D.纵隔气肿
E.反流性食管炎
149、单项选择题 男性,31岁,1周前咽痛,发热,近2天感右耳疼痛,耳鸣。最可能的诊断是()
A.普通感冒
B.鼻窦炎
C.支气管炎并发中耳炎
D.流行性感冒并发中耳炎
E.急性咽炎并发中耳炎
150、多项选择题 系统性红斑狼疮患者,应考虑合并弥漫性肺泡出血的是()
A.出现咯血、呼吸困难症状
B.胸部X线检查无新出现的肺部浸润影
C.24h内血红蛋白下降>15g/L
D.血性支气管肺泡灌洗液
E.支气管肺泡灌洗液中可见含铁血黄素巨噬细胞
151、多项选择题 急性嗜酸粒细胞肺炎临床特征包括()
A.急性发热,持续时间常不超过5d
B.低氧血症
C.高二氧化碳血症
D.胸部影像检查示弥漫性肺泡或肺泡-肺间质密度增高影
E.BAL液中嗜酸性粒细胞超过25%
152、单项选择题 治疗气胸的胸腔闭式引流管,通常选用导管的大小是()
A.10~12F
B.12~14F
C.16~22F
D.24~28F
E.30~32F
153、单项选择题
女性,30岁,因高热、右侧胸膜性胸痛、咳嗽2天就诊。胸部X线检查示右侧中等量胸腔积液。胸腔积液常规检查蛋白50g/L,白细胞计数3.0×109/L,中性粒细胞0.70,淋巴细胞0.30。PPD试验15mm×18mm。下列处理不妥当的是()
A.痰涂片找抗酸杆菌
B.试验性抗结核或联合激素治疗
C.反复抽吸胸腔积液
D.试验性抗结核联合抗菌治疗
E.进一步检查胸腔积液生化、酶学、细菌学等
154、单项选择题 阻塞性肺气肿的X线胸片上,下列哪种情况是不典型的()
A.膈肌运动极度受限
B.膈顶变平和肋膈角增大
C.肺血管象稀少
D.肋间隙增宽伴平行的后肋骨及斜下降的肋骨
E.一侧透亮,称为vanishinglung
155、单项选择题 金葡菌肺炎最具特征的X线表现是()
A.肺段实变伴脓肿形成
B.肺实变伴多发性蜂窝样改变
C.浸润阴影易变伴液气囊腔形成
D.多发性肺浸润
E.肺段实变伴液气胸
156、多项选择题 患者男,54岁,因发热,咳嗽,咳黄痰伴左肩疼痛1周余入院,3个月前曾因左侧肺炎,在当地经抗生素治疗后好转。既往有吸烟史30年,20支/d。体检:体温38℃,心率85次/min,左锁骨上可触及黄豆大小淋巴结2个。左肺呼吸音稍低,未闻干湿啰音。 患者此时应进一步检查()(提示:经抗生素治疗患者体温稍有下降,但又出现反跳,并出现左肩胸痛加剧,左侧呼吸音进一步下降,左胸肩胛下角下部叩诊呈浊音。)
A.胸片复查
B.胸部超声检查
C.腹部CT检查
D.腹部单片
E.心电图
F.血清淀粉酶
157、多项选择题 有助于诊断肺血管畸形的检查方法是()
A.胸部X线平片
B.超声心动图
C.CT
D.MRI
E.心血管造影
158、单项选择题 诊断肺炎球菌肺炎下列哪一项价值大()
A.白细胞总数,中性粒细胞均升高
B.痰培养肺炎球菌阳性
C.肺实变体征
D.X线大片状密度均匀阴影,呈肺叶或肺段分部
E.肺部湿啰音
159、多项选择题 男患者60岁,慢支肺气肿20年,冠心病史5年,呼吸困难加重2天,意识障碍1小时来诊。查体:浅昏迷,呼吸困难,口唇发绀,球结膜轻度水肿,BP170/110mmHg,双肺散在干啰音,中下部湿啰音,HR128次/分,节律不整,略大,下肢水肿(±)。 需做哪些检查()
A.头颅CT
B.血生化
C.血气分析
D.肾功能
E.心脏超声
F.腹部平片
160、单项选择题 对肺气肿诊断有较大意义的选项是()
A.一氧化碳弥散量
B.最大呼气流量曲线
C.闭合气量
D.最大呼气流速-容积曲线
E.以上都不是
161、单项选择题 支气管哮喘发作时,肺部典型体征为()
A.两肺密布湿性啰音
B.两肺密布干性啰音
C.干湿性啰音同时存在
D.两肺可听到支气管呼吸音
E.两肺语颤增强
162、单项选择题 支气管扩张患者施行体位引流排痰,下列哪项不正确()
A.病变肺应处于高处
B.每日应引流2~4次,每次15~30分钟
C.可用生理盐水先作雾化吸入,便于排痰
D.痰量多的患者,应尽快把痰排出
E.排痰时同时配合深呼吸,用力咳痰,可提高排痰效果
163、单项选择题 下列关于肺结核患者咯血的叙述,正确的是()
A.大量咯血多伴有胸痛
B.约有1/2的患者有不同程度的咯血
C.大量咯血主要由于肺小动脉破裂
D.痰中带血主要为病灶毛细血管扩张所致
E.咯血后常伴有低热的原因主要是并发感染
164、单项选择题 判断肺结核有无传染性最主要的依据是()
A.结核菌素实验阳性
B.血沉增快
C.反复痰中带血
D.痰结核分枝杆菌检查阳性
E.胸部X线有空洞
165、单项选择题 突发胸痛患者,可以除外急性肺血栓栓塞症的检查是()
A.下肢超声发现有深静脉血栓
B.心脏超声正常
C.心电图正常
D.ELISA法检测血浆D-二聚体正常
E.心肌酶正常
166、多项选择题 慢性阻塞性肺气肿的肺功能检查结果,应是()
A.肺总量增加
B.时间肺活量减低
C.残气量/肺总量比值增加
D.最大通气量减少
E.深吸气量增加
167、单项选择题 男患者60岁,慢支肺气肿20年,冠心病史5年,呼吸困难加重2天,意识障碍1小时来诊。查体:浅昏迷,呼吸困难,口唇发绀,球结膜轻度水肿,BP170/110mmHg,双肺散在干啰音,中下部湿啰音,HR128次/分,节律不整,略大,下肢水肿(±)。
提示:血气分析PaCO2:93mmol/L,PaO2:40mmHg,HCO-3:22mmol/L,PH:7.20,BE:-7mmol/L,提问:为何种酸碱失调()
A.失代偿性代酸
B.失代偿性呼酸
C.失代偿性代碱
D.失代偿性呼碱
E.失代偿性呼酸合并代酸
F.失代偿性呼酸合并代碱
168、单项选择题 患者女,26岁。“感冒”后持续咳嗽4周,多为干咳、偶有少量白色黏痰。遇有刺激性气味或冷空气时咳嗽常常加剧。有时夜间发作。口服左氧氟沙星及“镇咳药”效果欠佳。胸片示双下肺纹理略增粗。查体:咽稍充血,双肺呼吸音清晰,未闻及干湿性啰音,心率76次/min。为明确诊断,该患者应首先采取的检查措施为()
A.诱导痰
B.HRCT
C.肺功能
D.皮肤变应原试验
E.鼻窦CT
169、单项选择题 患者男,44岁。1年前发热伴咳嗽气促,胸片示双肺片状影,抗感染治疗后体温下降,但患者仍感气促,肺部阴影无吸收,并出现两侧胸腔少量积液。8个月前尿常规示蛋白(+++),红细胞(+++)。血肌酐240μmol/L。1周前再次低热,咳嗽,痰血,伴胸闷、气促。胸部CT检查示双肺多个片状影,左侧少量胸腔积液。抗感染治疗后胸闷、气急稍有好转,仍咳嗽,咯血。体温36.6℃,双下肺少许干湿啰音。抗核抗体(ANA)颗粒型为1∶80,血肿瘤标志物阴性,pANCA为1∶320。肾穿刺病理检查示局灶坏死性肾小球肾炎。 对该患首选的治疗方案是()
A.环磷酰胺和激素治疗
B.血浆置换
C.透析治疗
D.肿瘤坏死因子(TNF.-α受体阻滞剂
E.高剂量免疫球蛋白静脉注射治疗
170、单项选择题 治疗肺炎球菌炎的首选抗菌素是()
A.庆大霉素
B.链霉素
C.红霉素
D.四环素
E.青霉素
171、单项选择题 间质性肺病最有诊断价值的检查是()
A.胸部CT
B.肺弥散功能
C.支气管肺泡灌洗
D.放射性核素
E.肺活检
172、多项选择题 影响肺脓肿疗效的因素是()
A.脓液引流不畅痰不能排出
B.没有输水解蛋白
C.抗菌素不敏感、剂量不足、疗程短于8周
D.没有绝对卧床休息
E.没有吸氧
173、多项选择题 咳嗽常常于夜间加重的疾病有()
A.上气道咳嗽综合征
B.胃食管反流性咳嗽
C.咳嗽变异性哮喘
D.嗜酸粒细胞性支气管炎
E.慢性充血性心力衰竭
174、单项选择题 全小叶阻塞性肺气肿的病理特点是()
A.扩张部位在1、2、3级呼吸性细支气管及远端气腔
B.扩张部位在所有呼吸性细支气管及远端气腔
C.扩张部位在肺泡管、肺泡囊、肺泡
D.扩张部位在肺泡囊、肺泡
E.扩张部位仅限于肺泡
175、单项选择题 X线胸片诊断慢性肺源性心脏病的主要依据,下列哪项不符合()
A.可有明显肺气肿或慢性肺部感染疾患征象
B.右心室增大
C.肺动脉段突出,其高度大于等于5mm
D.右下肺动脉干横径大于等于15mm
E.右下肺动脉干横径与气管横径之比大于等于1.00
176、单项选择题 房颤的治疗原则,下列哪项最正确()
A.所有心房颤动均可应用洋地黄治疗
B.所有心房颤动均可用电击转复心律
C.所有心房颤动均可选用胺碘酮治疗
D.所有心房颤动心室率均应控制在70次/分左右
E.所有慢性心房颤动转变窦性心律后,在一定时间内应继续服药维持
177、单项选择题 患者男,43岁,某热电厂电工。2h前突感胸闷,呼吸困难,喘息不止,急送医院。既往体健,无哮喘史,家族中无过敏体质患者或支气管哮喘患者。入院查体:一般情况尚可,口唇发绀,血压为16/10.75kPa,双肺均闻及哮鸣音,心率80次/min,律齐。胸部X射线透视心肺未见异常。追问病史,患者1年前开始从事供热管道安装。当焊接供热水管时,接触聚氨酯(MDI)保温层,致使其中MDI有时燃烧或气化。每日接触1次或数次,每次10~60min。 为明确诊断,最应进行的检查是()
A.通气功能检测
B.特异性变应原支气管激发试验
C.连续性呼气峰值流速测定
D.血气分析
E.抗原皮肤试验
178、多项选择题
患者男,70岁,因咳嗽20年,心悸、气促5年,加重伴意识不清1d,以慢性支气管炎急性发作、阻塞性肺气肿、肺心病、肺性脑病收入院。入院后经用口面罩无创机械通气、抗感染、解痉祛痰药物治疗8h后意识清楚。维持上述方案治疗48h后,再次出现神经精神症状,调整机械通气参数治疗后,神经精神症状消失,动脉血气分析、电解质、肾功测定见表1:

A.CO2排出后碱中毒
B.代谢性酸中毒
C.呼吸性碱中毒
D.呼吸性酸中毒
E.吸O2条件下Ⅱ型呼吸衰竭
F.Ⅰ型呼吸衰竭
179、单项选择题 不属于嗜酸性粒细胞性肺疾病的是()
A.单纯性肺嗜酸细胞浸润症
B.慢性嗜酸性粒细胞性肺炎
C.支气管中心性肉芽肿病
D.变应性支气管肺曲霉病
E.支气管哮喘
180、单项选择题 支气管哮喘发作患者,血气分析PaCO2正常或增高表示()
A.没有临床意义
B.病情好转
C.有心血管并发症
D.病情严重需积极治疗
E.轻度发作
181、单项选择题 哪种情况一般不出现结核菌素试验阴性()
A.结核病极严重的病人
B.结核菌感染3周
C.长期用肾上腺皮质激素
D.肺结核病灶已纤维钙化
E.细胞免疫功能低下
182、单项选择题
患者男,52岁,幼年患麻疹后常有咳嗽。自30岁起咳嗽症状加重,常有脓痰,有过2次中等量咯血史。近年来常年有脓痰,多次痰培养铜绿假单胞菌生长,对常用抗菌药物多数仍然敏感。CT显示左下叶多段囊状和柱状支气管扩张。1周前发热,脓痰增加,X线显示左下叶大片模糊影,白细胞计数1.1×109/L,中性0.80。
经验性抗菌治疗应选择()
A.碳青霉烯
B.头孢曲松+阿奇霉素
C.头孢他啶+阿奇霉素
D.哌拉西林/他唑巴坦+阿米卡星
E.环丙沙星
183、多项选择题 患者男,68岁。主诉:反复咳嗽咳痰20多年,劳力性气促5年,加重2d。患者在20年前无特殊诱因逐渐出现咳嗽咳痰,多数为白黏痰,开始症状不严重,没有特殊诊治。咳嗽咳痰症状持续,每年的大多数时间有咳嗽、咳痰。近5年开始出现上楼梯或快速走路时气促,休息后缓解。间歇出现症状加重,多于气候改变或感冒后发生,表现为咳嗽、咳痰和气促加重。近2d无特殊诱因出现气促明显加重,伴有左前胸闷痛,无发热,咳嗽、咳痰无增加。有吸烟史40多年,平均每天1包烟。有高血压病史5年,不规则用药治疗。体温36.5℃,脉搏100次/min,呼吸28次/min,血压160/92mmHg。唇舌无发绀,气管居中,呼吸稍费力,桶状胸,呼吸动度减弱,语颤减弱,叩诊过清音,肺泡呼吸音明显减弱,无干湿啰音。心率:100次/min,律整,心音稍低钝,无杂音。 下一步应采取的措施是()(提示:检查结果发现,左侧气胸,气胸线距离胸壁2.5cm。)
A.首选单纯吸氧和观察
B.首选胸腔穿刺抽气
C.首选肋间插管闭式引流
D.首选持续低负压吸引
E.病情稳定后,进行肺扫描判断气胸的原因
F.立即进行肺功能检查明确基础疾病的诊断
184、单项选择题 特发性肺间质纤维化(IPF)的呼吸生理变化为()
A.肺总量增加
B.功能残气量增加
C.气道阻力增加
D.肺顺应性降低
E.PaCO2升高
185、单项选择题 关于肺真菌病的论述,错误的是()
A.诊断侵袭性肺真菌病分成3个级别:确诊、临床诊断及拟诊
B.侵袭性肺真菌病一般不包括真菌寄生和变态反应所致的支气管肺部真菌感染
C.原发性肺真菌病是指免疫功能正常、有或无临床症状的肺部真菌病
D.痰真菌培养阳性即可诊断肺真菌病
E.引起肺真菌病的真菌种类以念珠菌、曲霉、组织胞浆菌为最常见,其次为新型隐球菌、球孢子菌、毛霉菌等
186、多项选择题 肺朗格汉斯细胞组织细胞增生症,病理性朗格汉斯细胞的特征包括()
A.细胞内含有皱褶的不规则囊状核
B.起源于B淋巴细胞
C.细胞膜表面CD1a、CD68抗原、S-100蛋白、1a样抗原等阳性
D.细胞膜表面CD15阳性
E.电镜下可见胞质内有Bribeck颗粒
187、单项选择题 判断慢性肺心病心力衰竭,在下列各项中最有意义的是()
A.少尿,水肿
B.缺氧与高碳酸血症
C.剑突下心脏搏动与三尖瓣区收缩期杂音
D.颈静脉充盈与右肋下肝肿大
E.静脉压明显升高
188、多项选择题 慢性肺心病,常见的心电图改变是()
A.低电压
B.电轴右偏
C.肺性P波
D.右心室肥厚
E.SV1+RV5≥1.05
189、单项选择题 患者男,46岁。因左主支气管结核性狭窄,行左主支气管镍钛记忆合金支架植入,术后半年又感气急。 最合理的检查是()
A.肺功能测验
B.胸部影像学检查
C.支气管镜检查
D.动脉血气分析
E.痰病原学检查
190、单项选择题
患者女,29岁。间断干咳10年余,加重4个月,伴进行性呼吸困难1个月。病程中出现双手及双足非凹陷性肿胀、双侧膝关节及双侧肘关节对称性肿痛,面部出现细小红色丘疹。体检:T36.5℃,P88次/min,R22次/min,BP110/75mmHg,SpO293%(自然)。额部、前胸及后背散在红色小丘疹,双肺呼吸音增强,双肺中下肺野可闻及爆裂音,右肺明显。胸部CT如图所示。

A.肺泡蛋白沉积症
B.军团菌肺炎
C.特发性间质性肺炎
D.结缔组织病肺受累
E.肺部恶性肿瘤
F.结节病
191、单项选择题 阻塞性肺气肿时首先发生()
A.缺氧
B.二氧化碳潴留
C.缺氧和二氧化碳潴留
D.呼吸性酸中毒
E.呼吸性酸中毒及代谢性碱中毒
192、单项选择题 关于流行性感冒的预防,以下不正确的是()
A.劳逸结合
B.饮食合理
C.预防性服药
D.空气流通
E.生活规律
193、单项选择题 患者男,12岁。自幼发绀,杵状指。查体左上肺可闻及2级收缩期杂音。胸部X线片示左上叶前段可见密度不均匀的片状实变影,其内侧可见两条粗大血管影与肺门相连。胸部增强CT可见扩张的血管囊和与之相连的血管。 最可能的诊断是()
A.结节病
B.肺肿瘤
C.左上叶前段肺动静脉瘘
D.特发性左肺动脉扩张
E.左肺静脉曲张
194、单项选择题 支气管哮喘用色甘酸二钠的目的在于()
A.治疗感染型哮喘
B.治疗过敏型哮喘
C.治疗混合型哮喘
D.控制哮喘症状
E.以上都不是
195、多项选择题 患者发热,咳黄脓痰,胸部X线显示左上肺大片浸润伴空洞,病原学检查至少应包括()
A.痰培养
B.血培养
C.军团菌尿抗原(或血清抗体)
D.下呼吸道分泌物真菌涂片镜检和培养
E.痰涂片镜检抗酸杆菌和培养
196、单项选择题 进入肺泡内没有发生气体交换的这部分气体量称为()
A.解剖无效腔
B.生理无效腔
C.肺泡无效腔
D.气体无效腔
E.功能无效腔
197、单项选择题
患者,男性,64岁,有肺心病史5年,经常头痛头晕,1周来咳嗽加重,咳黄痰,呼吸困难,头痛加重,昨日起嗜睡,谵语。查体:神志不清,颜面水肿,球结膜水肿,口唇发绀,颈静脉充盈,双肺广泛干湿啰音,肝肋下4cm,腹腔积液症(+),下肢水肿,膝腱反射减弱,巴宾斯基症(+)。pH7.20,PaCO2100mmHg,PaO240mmHg,HCO-321mmol/L。
提示:CT未见异常,钾:4.6mmol/L,钠:138mmol/L,氯:78mmol/L,血糖:5.2mmol/L。提问:考虑诊断为()
A.高渗性昏迷
B.肺性脑病
C.电解质紊乱
D.脑血管意外
E.高血压脑病
F.低血糖昏迷
198、单项选择题
患者女,23岁。间断发热伴皮疹1年半,诊断红斑狼疮。长期间断应用糖皮质激素治疗。近20d来高热(T39℃)伴咳嗽咳痰,CT(附图)示双肺满布圆形密度增高阴影,大小不等,密度不均匀,上、中肺野分布较多,双侧少量胸腔积液。血常规:WBC2.52×109/L,N0.62,Hb92g/L;ESR40mm/h;痰真菌培养:烟曲霉3次阳性;支气管镜检查右下叶、左舌段见黄色黏液性血性分泌物,毛刷找到霉菌孢子。

A.红斑狼疮的肺部并发症
B.合并大叶性肺炎
C.合并ARDS
D.合并肺真菌感染
E.肺部转移瘤
F.肺结核
199、单项选择题
动脉血气分析中PaCO2正常参考值是()
A.35~45mmHg
B.<35mmHg
C.>45mmHg
D.30~40mmHg
E.以上均不是
200、多项选择题 虽无特征性,但其组合却有助于传统非典型病原体肺炎诊断的是()
A.剧咳少痰
B.白细胞正常
C.X线显示广泛毛玻璃状改变
D.患者有慢性咳嗽病史
E.近3个月内曾应用过抗菌药物
201、单项选择题
患者男,40岁,1周前因交通事故致脑挫伤、脾破裂、腹腔出血急诊入院,当即行脾切除术,并清除腹腔积血。5d前气急加重,呼吸空气条件PaO254mmHg,胸片显两肺毛玻璃样改变,拟诊ARDS予气管插管机械通气治疗。2d前起发热加重,体温38.5℃,吸出痰液呈黄脓性,涂片见G-杆菌,复查胸片:两肺玻璃样阴影有吸收,未见明确实变阴影。
肺部病变新加诊断应是()A.医院内气管支气管炎(NTB.
B.早发性HAP
C.晚发性NTB
D.VAP
E.早发性VAP
202、多项选择题 慢性肺心病呼吸衰竭时,常见的酸碱平衡失调类型是()
A.呼吸性酸中毒
B.呼吸性酸中毒合并代谢性酸中毒
C.呼吸性酸中毒合度代谢性碱中毒
D.呼吸性碱中毒
E.代谢性碱中毒
203、单项选择题 ICH肺部感染的特点不包括()
A.起病隐匿或急剧
B.症状多变,易受激素或免疫抑制剂的干扰
C.临床症状多变,高热较为常见
D.胸部X线表现多为双侧或多叶病变
E.肺部感染病灶容易局限化
204、多项选择题 临床上漏出性胸腔积液的常见病因是()
A.肺栓塞
B.充血性心力衰竭
C.肝硬化
D.恶性胸腔积液
E.肾病综合征
205、多项选择题 肺癌因支气管阻塞引起的X线象征有()
A.段或叶的局限性肺气肿
B.阻塞性肺炎
C.段或叶肺不张
D.弥漫性阻塞性肺气肿
E.肺纹理呈残根样改变
206、单项选择题 肺脓肿早期最易与哪些疾病混淆()
A.细菌性肺炎
B.肺癌
C.空洞型肺结核
D.支原体肺炎
E.化脓性链球菌
207、多项选择题 心源性哮喘区别于支气管哮喘有意义的是()
A.心脏扩大
B.哮鸣音与双肺底湿性啰音
C.血性泡沫痰
D.用吗啡有效
E.胶冻样痰
208、多项选择题 呼吸衰竭是指()
A.呼吸功能严重损害
B.缺氧
C.伴有或不伴有二氧化碳潴留
D.有一系列病理生理改变与临床表现
E.呼吸频率加快或减慢
209、单项选择题
患者男,25岁,反复咳嗽、咳痰、发热1个月余,有吸烟史7年。抗炎治疗无效。查体:两肺呼吸音粗,未闻及干、湿啰音。辅助检查:白细胞11.4×106、中性粒细胞0.763%、血沉:31mm/h,其他均(-)。HRCT:两上、中肺可见弥漫性分布的小囊腔及结节影,纵隔淋巴结不大,血管前间隙可见软组织肿块影,胸片提示出现气胸。
确诊还需做的检查是()A.支气管肺泡灌洗
B.PPD皮试
C.开胸肺活检
D.纤维支气管镜检查
E.肺功能
210、多项选择题 患者女,26岁。主诉因搬重物后胸痛10h入院,伴咳嗽、呼吸困难。既往有气胸病史。 应紧急检查的项目包括()(提示:查体T36.5℃,P100次/min,R28次/min,BP90/60mmHg。右上肺呼吸音低,腹软,无压痛,肠鸣音正常。)
A.血常规
B.心电图
C.心肌酶谱及相关检查
D.凝血相及D二聚体
E.胸部正侧位片
F.血生化
211、单项选择题 肺朗格汉斯细胞组织细胞增生症肺泡灌洗液(BAL)中细胞学检查最支持该病诊断的指标是()
A.细胞总数增多(>106)
B.巨噬细胞比例增加
C.淋巴细胞比例正常或下降
D.CD4/CD8下降
E.CD1a(+)细胞数显著增加(>5%)
212、单项选择题 肺结核化学药物治疗,判断疗效最重要的指标是()
A.病灶吸收好转
B.痰结核菌转为阴性
C.体温恢复正常,体重增加
D.临床症状消失
E.血沉恢复正常
213、多项选择题 肺结核下列情况哪组是正确的()
A.急性粟粒性肺结核常伴结核性脑膜炎
B.慢性纤维空洞型肺结核常沿支气管播散
C.亚急性血行播散性肺结核病变常对称分布在两上、中肺野
D.原发性肺结核可出现肺内血行播散
E.原发性肺结核常有肺外播散
214、单项选择题 患者,52岁,急性起病,寒战、高热、全身衰弱,痰稠呈砖红色胶冻状,胸部X线检查结果为右侧肺,可见实质阴影及蜂窝状脓肿,叶间隙下坠.下列哪项诊断和治疗最适合()
A.金葡菌肺炎,选用万古霉素治疗
B.军团菌肺炎,选用红霉素治疗
C.支原体肺炎,选用红霉素治疗
D.肺炎克雷白杆菌肺炎,选用半合成广谱青霉素加氨基糖苷类
E.厌氧菌肺炎,选用青霉素G治疗
215、单项选择题 患者女,37岁。咯血3个月余。PET提示右肺上叶纵隔旁规则软组织影,3cm×4cm,SUV11.7,右上叶可见小结节,右肺门淋巴结肿大,SUV6.4,支气管镜黏膜活检为鳞状细胞癌,分化较差。脑MRI示左侧额叶孤立占位病灶,1.0cm×1.5cm。腹部超声、骨扫描及颈部、锁骨上淋巴结超声均未见异常。既往体健。其祖父及外祖父均为胃癌。 最适合该患者的治疗是()
A.同步化放疗+全脑放疗
B.化疗+全脑放疗
C.同步化放疗+脑手术摘除病灶
D.化疗+脑手术摘除病灶
E.胸外科手术切除肺病灶+脑手术摘除脑病灶
216、单项选择题 判断机体低氧血症最敏感的指标为()
A.紫绀
B.PaO2
C.SaO2
D.动脉血氧含量
E.弥散功能测定
217、单项选择题 患者男,12岁。自幼发绀,杵状指。查体左上肺可闻及2级收缩期杂音。胸部X线片示左上叶前段可见密度不均匀的片状实变影,其内侧可见两条粗大血管影与肺门相连。胸部增强CT可见扩张的血管囊和与之相连的血管。 对该患者最安全有效的治疗措施是()
A.手术切除
B.经导管栓塞术
C.严密观察,保守治疗
D.抗生素预防感染
E.抗凝治疗
218、单项选择题 肺炎链球菌肺炎胸痛的原因是()
A.炎症累及肋间神经所致
B.病变刺激肺泡所致
C.病变累及胸膜所致
D.并发脓胸所致
E.病变累及血管膜所致
219、单项选择题 患者因心悸气促住院。体检发现脉率90次/分,心率120次/分,第一心音强弱不等,心律绝对不规则。诊断可能为()
A.心房扑动
B.心房颤动
C.过早搏动
D.阵发性心动过速
E.窦性心动过速
220、单项选择题 在哮喘的长期管理中,哮喘分级方法是()
A.病情严重程度分级
B.控制水平分级
C.急性发作期严重程度分级
D.治疗后病情严重程度分级
E.治疗前病情严重程度分级
221、单项选择题 气道阻力测定的适应证不包括()
A.支气管哮喘
B.气管肿瘤和支气管肿瘤
C.气道可逆性改变和支气管舒张剂的作用评价
D.气道反应性测定及支气管收缩剂的作用评价
E.肺结核
222、单项选择题 患者男,57岁,进行性胸闷、气短、咳嗽,少量白痰,偶有双手关节疼痛,无关节红肿,肺CT示双下肺片状团块状影,肺功能DLco41%,经治疗后上述症状有所好转,1年后出现低热,右手第五掌指关节、左腕及左踝关节肿痛,伴晨僵,查RF(+) 如需进一步确诊,首选的实验室检查是()
A.ANA
B.抗ds-DNA抗体
C.AKA
D.APF
E.抗CCP抗体
223、单项选择题 患者女,29岁,反复发热,咽疼,多关节肿痛2年,考虑“类风湿关节炎”给予甲氨蝶呤治疗后,关节肿痛好转,但出现面部皮疹,日晒后加重,实验室检查:白细胞3.1×109/L,RF210U/ml,尿蛋白(++),ANA1∶640,抗Sm抗体(+)。 对该患者的药物治疗应首选()
A.抗生素
B.环磷酰胺
C.糖皮质激素
D.来氟米特
E.羟氯喹
224、单项选择题 患者男,68岁,反复咳喘20余年,加重4d,意识不清1d就诊。查体:嗜睡,球结膜水肿,皮肤湿暖,口唇发绀。双肺可闻干湿性啰音,双侧腱反射减弱,双下肢可凹性水肿。 为明确诊断,应尽快采取的检查是()
A.头颅CT
B.动脉血气分析
C.腰椎穿刺
D.脑电图
E.血培养+药敏
225、单项选择题
患者男,40岁,1周前因交通事故致脑挫伤、脾破裂、腹腔出血急诊入院,当即行脾切除术,并清除腹腔积血。5d前气急加重,呼吸空气条件PaO254mmHg,胸片显两肺毛玻璃样改变,拟诊ARDS予气管插管机械通气治疗。2d前起发热加重,体温38.5℃,吸出痰液呈黄脓性,涂片见G-杆菌,复查胸片:两肺玻璃样阴影有吸收,未见明确实变阴影。
最重要的检查应是()
A.气管吸引物定量或半定量培养
B.气管吸引物定性培养
C.痰培养
D.血沉和C-反应蛋白
E.胸部高分辨CT(HRCT)
226、单项选择题 患者,男,30岁。3天前淋雨。昨起畏寒高热,咳嗽,以干咳为主,偶见带铁锈色痰,伴右侧胸痛就诊。查体:热性病容,体温38.9℃。右上肺叩实,闻及支气管呼吸音。心率100次/分,律齐。该病例最可能的诊断是()
A.肺炎链球菌肺炎
B.肺炎衣原体肺炎
C.肺炎克雷白杆菌肺炎
D.肺炎支原体肺炎
E.流感嗜血杆菌肺炎
227、单项选择题
患者男,60岁,慢性咳嗽、咳痰20年,活动后胸闷、气短2年。查体:桶状胸,双肺呼吸音低。超声心动图右心室舒张末内径25mm,估测肺动脉收缩压50mmHg。血气分析:pH7.421,PaO258mmHg,PaCO
A.长期低流量吸氧
B.定时高流量吸氧
C.吸入长效β2受体激动剂
D.双水平正压通气治疗
E.控制感染
228、单项选择题 患者男,52岁,幼年患麻疹后常有咳嗽。自30岁起咳嗽症状加重,常有脓痰,有过2次中等量咯血史。近年来常年有脓痰,多次痰培养铜绿假单胞菌生长,对常用抗菌药物多数仍然敏感。CT显示左下叶多段囊状和柱状支气管扩张。1周前发热,脓痰增加,X线显示左下叶大片模糊影,白细胞计数1.1×109/L,中性0.80。 经过15d抗菌治疗症状体征大多消失,仍有少量稀薄黄痰。下一步处理应是()
A.继续抗菌治疗直至黄痰完全消失
B.继续抗菌治疗直至X线病灶完全吸收
C.继续抗菌治疗直至痰培养细菌转阴
D.根据药敏改用更敏感的药物联合治疗
E.停抗菌药物观察
229、单项选择题 我国常见的咯血原因()
A.肺结核
B.肺吸虫
C.肺梗死
D.肺淤血
E.肺癌
230、单项选择题 慢性肺脓肿病程超过()
A.2周
B.3周
C.4周
D.1个月
E.3个月
231、单项选择题 患者,男,42岁,近2周常感心悸,查体:心率140次/分,律齐,按压颈动脉窦后,心率突然减慢至70次/分,运动后又增快至140次/分,可能的诊断是()
A.阵发性室性心动过速
B.阵发性房性心动过速
C.心房扑动2:1房室传导
D.阵发性室上性心动过速
E.窦性心动过速
232、单项选择题 患者男,43岁,某热电厂电工。2h前突感胸闷,呼吸困难,喘息不止,急送医院。既往体健,无哮喘史,家族中无过敏体质患者或支气管哮喘患者。入院查体:一般情况尚可,口唇发绀,血压为16/10.75kPa,双肺均闻及哮鸣音,心率80次/min,律齐。胸部X射线透视心肺未见异常。追问病史,患者1年前开始从事供热管道安装。当焊接供热水管时,接触聚氨酯(MDI)保温层,致使其中MDI有时燃烧或气化。每日接触1次或数次,每次10~60min。 最可能的诊断是()
A.职业性哮喘
B.心源性哮喘
C.支气管肺癌
D.变应性肺炎
E.肺气肿
233、单项选择题 喘鸣音属于()
A.胸语音
B.湿啰音
C.干啰音
D.羊鸣音
E.爆裂音
234、单项选择题
患者男,73岁。进行性呼吸困难半年,加重2个月。否认吸烟史、粉尘接触史。查体:发绀,杵状指,双肺底闻爆裂音。血常规正常,ERS16mm/h。胸部CT如图所示:

首选治疗方案中,最不适宜的是()(提示:该患者支气管肺泡灌洗液显示:细胞总数3.6×106,嗜酸细胞28%,吞噬细胞35%,中性26%,淋巴11%。)
A.大剂量甲强龙冲击治疗
B.口服泼尼松
C.富露施
D.抗生素
E.口服支气管扩张剂
235、单项选择题 不会出现PET假阴性的是()
A.类癌
B.肺泡细胞癌
C.直径<5mm病灶
D.隐匿性转移灶
E.未分化鳞癌
236、单项选择题 某患者诊断急性原发性肺脓肿,根据痰细菌学检查结果,给予足量青、链霉素、积极支持疗法,治疗两周,痰量减少,但高热不退,白细胞持续增高。此时治疗应采取()
A.气管内滴注抗生素
B.体位引流排痰
C.纤维支气管镜吸引并滴注抗菌药
D.更换抗生素
E.雾化吸入抗生素
237、单项选择题 老年患者,吸烟史,慢性咳嗽咳痰20年余,气短加重3 d,活动后明显,伴有左侧胸痛,无发热,无咯血,抗生素治疗无明显效果,考虑最可能的情况为()
A.急性心肌梗死
B.自发性气胸
C.肺癌
D.间皮瘤
E.重症肺炎
238、单项选择题 患者女,25岁,公司办事员,既往体健,近2年来经常哮喘发作并咳嗽咳痰,呼吸困难,胸部体检双肺散在哮鸣音,诊断支气管哮喘,但治疗无效,且有加剧趋势并时有血痰,胸片未见明显异常。 需要进行鉴别的疾病是()
A.变应性支气管肺曲菌病
B.慢性支气管炎
C.气管、支气管结核
D.支气管扩张
E.心功能不全
239、单项选择题 慢性支气管炎病人的自主神经功能失调是()
A.交感神经功能低下
B.β受体功能亢进
C.α受体功能亢进
D.副交感神经功能亢进
E.M受体功能亢进
240、单项选择题 通气血流比值增大,表明肺内出现()
A.解剖无效腔增大
B.生理无效腔增大
C.肺泡无效腔增大
D.解剖动静脉短路
E.功能性动静脉短路
241、单项选择题 有高危因素的患者医院获得性肺炎中,主要病原体是()
A.真菌
B.病毒
C.非典型病原体
D.金黄色葡萄球菌
E.肺炎球菌
242、多项选择题 1/2000结核菌素试验阴性,可见于()
A.严重结核病人
B.结核菌感染在四周以内者
C.应用肾上腺皮质激素及免疫抑制剂者
D.结节病和淋巴瘤
E.无结核病
243、单项选择题 测定气体弥散功能的理想气体是()
A.N2
B.CO
C.CO2
D.He
E.NO
244、单项选择题 诊断肺炎球菌肺炎哪一症状价值最大()
A.寒战
B.持续高热
C.咳嗽、呼吸困难
D.胸痛
E.咯铁锈色痰
245、单项选择题 呼吸衰竭患者治疗时使用呼吸机辅助呼吸,下列哪项正确()
A.呼吸衰竭伴低血压,应使用呼吸机
B.气道阻力增加的重症病例,应使用压力控制呼吸机
C.严重呼吸性酸中毒和缺氧,应及时用呼吸机
D.对肺顺应性降低的重症病例,应使用压力控制呼吸机
E.对锻炼恢复自主呼吸的病例,应使用容量控制呼吸机
246、单项选择题 慢性肺心病急性加重期患者应慎重使用的药物是()
A.抗生素
B.祛痰药
C.解痉平喘药
D.呼吸兴奋剂
E.镇静剂
247、单项选择题 茶碱类治疗支气管哮喘的作用机制是()
A.肾上腺素能β—受体兴奋剂
B.胆碱能M—受体阻滞剂
C.肾上腺素能α—受体阻滞剂
D.磷酸二酯酶抑制剂
E.过敏介质阻滞剂
248、多项选择题 肺癌的病因复杂,肺癌病因包括()
A.吸烟
B.石棉
C.氡气
D.长期缺乏维生素A、维甲类、β胡萝卜素和微量元素(锌、硒)等
E.遗传因素
249、单项选择题 患者,男,68岁,因胸闷,心悸不适住院。检查心电图发现QRS波宽大畸形,时间长于0.12秒,连续出现10次。诊断可能为()
A.房性阵发性心动过速
B.交界性阵发性心动过速
C.室性阵发性心动过速
D.窦性心动过速
E.频繁过早搏动
250、多项选择题 不典型类癌镜下检查具有的特征包括()
A.肿瘤细胞有丝分裂增多
B.瘤细胞核呈不规则多形性,核大,胞质与胞核比例失常
C.部分区域瘤细胞数量增多,排列不规则
D.肿瘤内可见坏死区
E.肿瘤呈筛状,即使转移至其他脏器时,也保持这种形态
251、单项选择题 如果高度危险的患者,其临床表现和影像学征象提示侵袭性肺真菌病时, 在未获得病原学结果之前,可考虑进行()
A.先发治疗
B.预防性治疗
C.经验性治疗
D.不进行治疗
E.靶向治疗
252、单项选择题 患者男,46岁。因左主支气管结核性狭窄,行左主支气管镍钛记忆合金支架植入,术后半年又感气急。 首选的治疗是()
A.经支气管镜热烧灼治疗
B.气道支架取出术
C.左肺全切除术
D.抗结核治疗
E.抗生素治疗
253、单项选择题 关于慢性支气管炎的描述,下列哪项正确()
A.是慢性特异性炎症
B.慢性阻塞性肺气肿是慢性支气管炎发展过程中常见的并发症
C.X线片肺纹理增粗,以上肺野明显
D.急性发作期痰液和血清IgA多升高
E.急性发作期痰培养以肺炎球菌最常见
254、单项选择题 对严重的支气管哮喘发作病人,重要的祛痰方法()
A.补液
B.气雾吸入
C.口服必嗽平
D.体位引流
E.吸痰
255、单项选择题 胸部CT诊断ALI/ARDS最有意义的表现为()
A.重力依赖区(仰卧时主要在背部)正常或接近正常
B.重力依赖性渗出阴影
C.变换体位后的重力依赖性肺区渗出性阴影
D.非重力依赖区(仰卧时主要在前胸部)阴影
E.以肺门为中心的阴影
256、多项选择题 患者,男性,50岁,咳嗽,咳痰史10多年,每年持续3月以上,活动后气急2年,病情加重3天,呼吸困难,查体:双肺叩诊过清音,听诊双肺干湿啰音。
提示:胸片示:右肺中叶大片状实变影,血常规示:WBC:14.2×109/L,N:84%,心脏超声:右室流出道31mm。提问:目前作何诊断()
A.喘息型慢性支气管炎、肺气肿,急性发作期
B.肺炎
C.肺栓塞
D.慢性肺源性心脏病
E.心源性哮喘
F.肺癌
257、多项选择题 一患者,突然发生胸痛,伴面色苍白、大汗,BP80/40mmHg,对协助早期诊断有意义的检查是()
A.肺通气和灌注扫描
B.心电图
C.胸部X线检查
D.血气分析
E.血常规检查
258、单项选择题
患者女,29岁,经常咳嗽、胸痛,反复出现气胸。胸部HRCT显示两肺弥漫性分布的薄壁小囊状病变,肺大泡;头颅CT未见异常。
最可能的诊断是()
A.急性支气管炎
B.慢性支气管炎急性加重
C.阿司匹林哮喘
D.支气管哮喘
E.头孢氨芐过敏
259、单项选择题 慢性肺部疾病与肺癌的危险度有显著关系,与肺癌发生无关的是()
A.反复发作的肺部感染
B.肺结核继发疤痕形成
C.慢性支气管炎
D.支气管哮喘
E.间质性肺纤维化
260、单项选择题 胸片见右肺均匀的高密度影,肺尖稍透亮,纵隔左移的最可能原因是()
A.大量气胸
B.大叶性肺炎
C.干酪性肺炎
D.大量胸腔积液
E.巨大占位性病变
261、单项选择题 患者,男,58岁。头晕乏力5年,曾发作过3次晕厥。查体:心率48次/分,心电图示窦性心动过缓,偶发窦性停搏,最可能的诊断是()
A.病窦综合征
B.Ⅲ度房室传导阻滞
C.急性心肌梗死
D.严重左心功能不全
E.高血压性心脏病,伴发高血压脑病
262、单项选择题 诊断肺血栓栓塞症的“金标准”为()
A.核素肺通气/灌注扫描
B.超声心动图
C.肺动脉造影
D.血浆D-二聚体
E.CTPA
263、单项选择题
患者女,27岁,阵发性咳嗽1个月余,临睡前和清晨较重,咳中等量白痰,服用多种镇咳、祛痰、抗菌药物效果不明显,症状持续加重,夜间有时影响睡眠。查体:双肺听诊呼吸音粗,胸片双肺纹理重,肺功能检测结果:FEV1占预计值的89%。既往史:患变应性鼻炎5年。
下一步应选择的检查是()
A.胸部CT
B.支气管激发试验
C.支气管镜检查
D.痰细菌培养
E.肺通气功能检查
264、单项选择题 继发性气胸最常见的基础疾病是()
A.肺结核
B.COPD
C.间质性肺疾病
D.肺脓肿
E.正压通气
265、单项选择题 哮喘急性发作时,对缓解气道痉挛作用最快的是()
A.茶碱
B.β2受体激动剂
C.色甘酸钠
D.糖皮质激素
E.白三烯调节剂
266、多项选择题 患者男,50岁,慢性咳喘10余年,冬春季易发作,此次咳黄痰,喘息,低热5d来诊。既往吸烟22年,15~20支/d,已戒烟5年。
应尽快给予的治疗措施包括()(提示:肺功能检查结果:FEV1占预计值的57%,使用短效支气管舒张剂后,FEV可达预计值的78%。血气分析(未吸氧)结果:pH7.42,PaCO230mmHg,PaO280mmHg,痰培养标本结果未回报。)
A.静脉点滴抗菌药物
B.口服或雾化吸入支气管舒张剂
C.静脉点滴糖皮质激素
D.鼻导管吸氧
E.口服祛痰药物
267、单项选择题 患者,女性,56岁,诊断肺心病3年,2天前受凉后发热,咳嗽,咳痰加重,咳黄痰,呼吸困难不能平卧。查体:明显发绀,颈静脉怒张,双肺广泛散在干湿性啰音,心率110次/分,三尖瓣区收缩期杂音,肝肋下3cm,下肢水肿。 该患者最重要的治疗措施是()
A.利尿剂
B.强心剂
C.呼吸兴奋剂
D.有效抗生素
E.血管扩张剂
268、单项选择题 肺结核传染的主要途径与方式为()
A.饮用未经消毒的病牛牛奶
B.吸入病人咳嗽、喷嚏时排出之带菌飞沫
C.皮肤外伤
D.泌尿生殖道损伤
E.吸入带菌的干燥痰液碎末
269、单项选择题 反映单位时间内充分发挥全部通气能力所达到的通气量称为()
A.最大随意通气量
B.肺泡通气量
C.补呼气量
D.肺活量
E.深吸气量
270、单项选择题 患者男,45岁,白血病骨髓移植术后50d,开始出现头痛、乏力、肌肉酸痛,之后出现干咳、发热,听诊两肺未闻及异常,胸片见两下肺散在少许片状和明显间质浸润阴影,血WBC正常,以静脉滴注头孢他啶2g,2次/d抗感染治疗5d症状未见好转,呼吸困难明显加重,胸部CT检查提示两肺浸润范围较前明显增加,累及多个肺叶段,均以间质浸润为主。 对该患者可采取的进一步检查是()
A.痰细菌培养
B.血液D-二聚体检查
C.PPD试验
D.外周血淋巴细胞pp65阳性细胞检测
E.肺CT检查
271、单项选择题 下列关于慢性肺心病心律失常的治疗哪项是错误的()
A.偶发房性早搏,以纠正缺氧为主
B.频发房性早搏选用常规剂量洋地黄
C.频发室性早搏选用利多卡因
D.室性心动过速可用利多卡因
E.窦性心动过速不宜用β阻滞剂
272、单项选择题 某患者因哮喘发作来诊,在诊断尚未明确时,为缓解症状应选用()
A.强心苷
B.肾上腺素
C.异丙肾上腺素
D.氨茶碱
E.杜冷丁
273、单项选择题 患者,男性,28岁,自12岁起每年春秋季反复出现喘息发作、咳嗽,用抗生素、异丙肾上腺素吸入有效,五天前闻油烟后又发生喘息,不能平卧。查体:大汗淋漓,发绀,脉搏细速,心率120次/分,BP160/100mmHg,T37.6℃,双肺闻散在哮鸣音。
提示:血气:PaCO2:50mmHg,PaO2:50mmHg,WBC 10.1×109/L。判定该病人病情严重的最主要的指标是()
A.双肺哮鸣音
B.血压升高
C.体温升高
D.PaCO2升高
E.WBC升高
274、单项选择题 念珠菌感染咳()
A.黄色脓性痰
B.黄绿色或翠绿色痰
C.微黄奶酪样痰
D.痰黏稠牵拉成丝
E.水样痰,内含水皮样物
275、单项选择题 患者女,33岁,反复咳嗽、咳痰半年,加重伴气短2个月。胸部CT示“双肺弥漫间质病变呈网状,合并磨玻璃样改变”。曾因贫血有异体输血史。查体:呼吸浅快。双肺未闻及干湿啰音,心脏(-)。实验室检查:HIV抗体2次均为阳性。 最可能的诊断是()
A.特发性肺间质纤维化
B.慢性阻塞性肺疾病
C.支气管哮喘
D.艾滋病合并肺孢子菌肺炎
E.慢性支气管炎
276、单项选择题 女性,62岁,诊断慢性肺源性心脏病5年,查体双下肢凹陷性水肿,经治疗后感染控制,但出现烦躁、间断性意识障碍,阵发性抽搐,考虑诊断为()
A.肺源性心脏病代谢性酸中毒
B.肺源性心脏病代谢性碱中毒
C.肺源性心脏病并发肺性脑病
D.肺源性心脏病呼吸性酸中毒
E.呼吸衰竭
277、单项选择题 患者男,21岁,因低热、咳嗽、咯血而就诊,并有肺结核密切接触史,医师疑为活动性肺结核。 进行下列检查时,需要经患者知情同意的是()
A.胸部物理诊断
B.拍摄X线胸片
C.痰涂片找抗酸杆菌
D.取血查WBC和ESR
E.纤维支气管镜取痰化验
278、单项选择题 患者女,29岁,反复发热,咽疼,多关节肿痛2年,考虑“类风湿关节炎”给予甲氨蝶呤治疗后,关节肿痛好转,但出现面部皮疹,日晒后加重,实验室检查:白细胞3.1×109/L,RF210U/ml,尿蛋白(++),ANA1∶640,抗Sm抗体(+)。 在病程中,患者逐渐出现气短,轻咳,痰不多,能平卧,无双下肢水肿,双下肺可闻及少量爆裂音,无哮鸣音,胸片示双下肺纹理模糊。患者可能合并()
A.心力衰竭
B.间质性肺炎
C.大叶性肺炎
D.支气管哮喘
E.风湿性心脏病
279、单项选择题 加重症支气管哮喘的治疗中禁用的药物是()
A.肾上腺皮质激素
B.吗啡
C.抗生素
D.氨茶碱
E.碳酸氢钠
280、单项选择题 关于慢性肺心病心衰应用洋地黄治疗的叙述,错误的是()
A.应用前需纠正缺氧
B.应先抗感染治疗
C.心衰纠正即停用
D.用小剂量快作用制剂
E.心率70~80次/分为治疗指征
281、多项选择题 男患者60岁,慢支肺气肿20年,冠心病史5年,呼吸困难加重2天,意识障碍1小时来诊。查体:浅昏迷,呼吸困难,口唇发绀,球结膜轻度水肿,BP170/110mmHg,双肺散在干啰音,中下部湿啰音,HR128次/分,节律不整,略大,下肢水肿(±)。 提示:该患者经抢救后意识一度清醒,随即又出现谵语、躁动,提问:你认为可能是哪些原因()
A.呼吸性酸中毒合并代谢性碱中毒
B.脑血管意外
C.心衰加重
D.肺部炎症
E.血压波动
F.低钠血症
282、单项选择题 拟肾上腺素药物治疗哮喘的机制在于()
A.抑制二酯活性
B.直接合成环磷酸腺苷
C.激活腺苷环化酶
D.稳定肥大细胞膜,抑制生物活性物质释出
E.抑制免疫环节
283、单项选择题 鉴别胸腔积液的性质下列哪项最重要()
A.胸腔积液的蛋白定性检测
B.胸腔积液的PH值检测
C.胸腔积液常规检查
D.胸腔积液中胆固醇结晶
E.胸腔积液中红细胞数
284、单项选择题 普罗帕酮属于哪类抗心率失常药物()
A.IB类
B.IC类
C.Ⅱ类
D.Ⅲ类
E.Ⅳ类
285、单项选择题 患者男,70岁,因COPD急性加重而住院治疗。经过积极的抗感染、平喘、祛痰等治疗后,症状好转。今晨开始下地行走后,出现明显的气促加重,经过氧疗和雾化吸入支气管舒张剂等治疗后,气促缓解不明显。体检:体温36.8℃,脉搏122次/min,呼吸32次/min,血压140/80mmHg。唇舌轻度发绀(吸氧3L/min状态下),气管无明显偏移,呼吸稍费力,桶状胸,呼吸动度减弱,语颤减弱,叩诊过清音,双侧基本对称,肺泡呼吸音明显减弱,闻及呼气相干啰音,未闻湿啰音。心率:122次/min,律整,心音稍低钝,无杂音。 根据上述情况,目前治疗上首选()
A.试验抗心衰治疗,观察对治疗的反应
B.胸穿抽气治疗
C.Heimlich单向阀门引流
D.胸腔闭式引流
E.胸腔闭式引流+持续低负压吸引
286、单项选择题 肺脓肿患者住院治疗三个月,经静滴足量抗生素后,仍咳嗽,咯血,下一步治疗应首先考虑()
A.加大抗生素剂量
B.加强体位引流
C.加用支气管内滴注抗生素
D.手术治疗
E.人工气腹
287、多项选择题 支气管扩张继发感染选用细菌敏感抗生素,其使用方法与一般肺炎抗感染治疗的区别包括()
A.剂量要充分
B.疗程应较长,宜10~14d或更长
C.应短疗程
D.铜绿假单孢菌可合并雾化吸入氨基糖苷类抗生素治疗
E.常规应用美洛培南治疗
288、单项选择题 患者男,64岁,反复咳嗽、咳痰18年,活动后气短4年,加重伴咳黄痰5d入院。既往:高血压病2年余,服用“降压0号”。吸烟40余年,已戒烟3年。入院后给予吸氧、抗感染、解痉平喘等综合治疗。 你对是否应用氟康唑抗真菌治疗的意见是()(提示:患者入院后第8d体温恢复正常,痰偶为脓性,呼吸困难减轻。这时第1次和第2次痰培养结果回报:“白色假丝酵母菌,对氟康唑敏感”。)
A.不用,应等待第3次痰培养结果,如果仍培养出白色假丝酵母菌就用
B.不用,需要鉴别可能为上呼吸道污染菌群
C.用,两次痰培养为同一种菌,污染的可能性很小
D.不用,患者为免疫健全宿主,真菌感染可以自愈
E.用,可以预防真菌感染
F.不用,应给患者行支气管镜检查,取下呼吸道深部痰重新进行培养后再决定
289、单项选择题 患儿男,8岁,幼小时即有贫血,近1年反复咳嗽、少量咯血、气短、乏力,有时伴发热。此次又因咯血复发就诊。查体呼吸增快,面色苍白,皮肤无皮疹及出血点,巩膜轻度黄染,两肺中下野可闻湿啰音,呼吸音减低,除心率略增快外,心脏检查正常。肝脾肿大。实验室检查显示缺铁性贫血,血清胆红素轻度升高,胃液中查见吞噬含铁血黄素巨噬细胞,胸片及CT片示两中下肺野片状磨玻璃影及小结节影。血小板及出、凝血机制正常。尿常规及肾功能正常。 治疗本病最主要的药物是()
A.止血药
B.糖皮质激素
C.环磷酰胺
D.硫唑嘌呤
E.去铁胺
290、单项选择题
患者,男,30岁,因高热、胸痛、咳嗽、血痰4天入院,化验WBC17.5×109/L,中性粒细胞88%,X线胸片见右中肺叶大片均匀致密阴影,诊断首先考虑()
A.干酪性肺炎
B.支气管肺癌并感染
C.肺炎球菌肺炎
D.肺炎杆菌肺炎
E.肺不张
291、单项选择题 患者女,46岁,间断咳嗽2个月,活动时憋气,胸部X线片未发现明显异常。 最可能的诊断是()(提示:HRCT显示两肺广泛小薄壁囊状影,囊状影之间为相对正常的肺组织结构,呈弥漫性分布,无上下肺野分布差别。)
A.小叶中心型肺气肿
B.特发性间质纤维化
C.朗格汉斯组织细胞增生症X
D.淋巴管平滑肌瘤病
E.支气管扩张
F.卡氏肺孢子菌肺炎
292、单项选择题 支气管扩张症的治疗下列哪项是错误的()
A.体位引流的作用有时较抗生素治疗尤为重要
B.有时可考虑环甲膜穿刺,注入抗生素及湿化液
C.经纤支镜局部灌洗后,注入抗生素也有显著疗效
D.大咯血者,病变超过二叶肺手术治疗
E.在引流痰量较多时,应注意将痰液逐渐咳出,以防发生窒息
293、单项选择题 男性,54岁,咳嗽、咳痰反复发作20余年,喘息10余年,活动后气短3年,间断下肢水肿半年,加重伴心慌、气短、呼吸困难2周。吸烟30余年。查体:口唇发绀,桶状胸,两肺呼吸音低,散在干性啰音,两下肺可闻及湿性啰音,肝肋下2cm,双下肢凹陷性水肿。 对于肺源性心脏病诊断无直接帮助的检查是()
A.胸正位片
B.心电图
C.超声心动图
D.肺动脉压测定
E.血气分析
294、多项选择题
一肥胖男性患者因夜间打鼾前来就诊,查体发现其过度肥胖,BMI32kg/m,咽腔狭小,颈粗短,BP170/100mmHg,双肺(-),A2>P2。
此患者可能的主述有()
A.白天嗜睡
B.困倦
C.乏力
D.头痛
E.记忆力下降
F.注意力不集中
295、单项选择题 临床预后最差的病理类型是()
A.NSIP
B.DIP
C.COP
D.UIP
E.LIP
296、单项选择题 患者,男,65岁。发作性胸痛2个月,间断服药治疗,1小时前胸痛突然加重,含硝酸甘油不能缓解,心电图无典型梗死图形,选用下列哪种治疗措施最好()
A.静脉点滴硝酸甘油
B.静脉点滴硝酸甘油并连续观察心电图改变以及心肌酶变化
C.度冷丁止痛
D.口服心得安
E.注射利多卡因
297、单项选择题 下面有关哮喘特征的描述中不准确的是()
A.凡气道高反应性者都是支气管哮喘
B.不同程度的可逆性气道阻塞
C.反复发作性呼气性呼吸困难
D.典型发作时可闻及哮鸣音
E.可自行缓解或治疗后缓解
298、单项选择题 良性肿瘤的异型性表现为()
A.瘤细胞大
B.瘤细胞的多形性
C.瘤细胞核的多形性
D.瘤实质及间质排列紊乱
E.核浆比例失常
299、单项选择题 一支气管肺癌病人,近来出现头面部、颈部和上肢水肿。查体可见颈静脉怒张,其发生是由于()
A.下腔静脉梗阻
B.上腔静脉梗阻
C.癌转移致心包积液
D.癌转移致胸腔大量积液
E.以上均有可能
300、单项选择题 患者男,21岁,发现右颈部逐渐增大的肿块近1个月,并感隐痛、疲乏无力,时有低热及胸闷,胸片显示双肺门纵隔影明显增大。 本病例不需要考虑的疾病是()
A.非特异性淋巴结炎
B.非结核分枝杆菌病
C.恶性淋巴瘤
D.浅表及肺门纵隔淋巴结结核
E.结节病