时间:2025-08-28 00:53:01


1、单项选择题 恶性肿瘤的钙化特点是()
A.钙化比较分散
B.钙化的密度比较一致
C.钙化一般位于肿块内
D.钙化的边界清楚
E.钙化形态比较规则
2、单项选择题 X线自枕部经额部垂直射入胶片的摄片体位是()
A.前后位
B.下上轴位
C.上下轴位
D.顶颌位
E.后前位
3、判断题 胰岛细胞瘤影像学检查的目的在于明确肿瘤发生的部位、肿瘤有无向周围扩散以及有无周围淋巴结和肝转移等。
4、多项选择题 下列那些疾病可能发生乳头溢液()
A.乳腺纤维腺瘤
B.乳腺囊性增生
C.导管内乳头状瘤
D.浆细胞性乳腺炎
E.乳腺癌
5、单项选择题 关于乳腺癌的X线征象,下列错误的是()
A.肿块,呈毛刺状
B.成簇的钙化
C.皮肤呈橘皮样改变
D.乳头凹陷
E.肿块边缘光滑,见透明晕
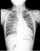
6、单项选择题
男,5岁,临床考虑先心病室间隔缺损,结合图像,下列描述正确的是()

A.肺淤血
B.正常肺
C.肺泡性肺水肿
D.间质性肺水肿
E.肺充血
7、填空题 转移至肝的肿瘤的途径为_________________、______________、__________________或__________________。
8、单项选择题 “胸片常规位”是指()
A.卧位前后位
B.立位后前位
C.卧位后前位
D.立位前后位
E.右侧位
9、单项选择题 腰椎前后位的中心线入射点是()
A.胸骨剑突
B.脐上3cm
C.脐
D.脐下3cm
E.髂前上棘连线中点
10、配伍题 进行X线摄片检查是利用什么作用()测试辐射量的闪烁晶体是利用什么作用制成的()
A.穿透作用
B.荧光作用
C.电离作用
D.感光作用
E.着色作用
11、单项选择题 下列哪项不是心包积液的典型X表现()
A.心影普遍性向两侧扩大,呈烧瓶样或球状
B.上腔静脉影增宽
C.心影在短期内迅速增大并肺淤血
D.心脏搏动明显减弱而主动脉搏动正常
E.主动脉影变短
12、单项选择题 下列哪项临床表现对诊断骨髓瘤最有价值()
A.60岁以上的男性
B.全身性疼痛
C.尿中出现本-周氏蛋白
D.进行性贫血
E.血清钙及球蛋白升高
13、单项选择题 下列征象中最支持支气管扩张诊断的是()
A.下肺片状或云雾状阴影
B.肺纹理增粗和“双轨”征
C.下肺野囊状或蜂窝状阴影
D.不明原因的肺上叶不张
E.以上都不是
14、多项选择题 以下哪些病变属于肿瘤样病变()
A.骨囊肿
B.动脉瘤样骨囊肿
C.骨纤维异样增殖
D.广泛性纤维囊性骨炎
E.外生骨疣
15、名词解释 游走肾
16、单项选择题 乳腺常规检查技术()
A.高千伏摄片
B.双重造影
C.连续摄片
D.纸包片摄片
E.软组织摄片
17、单项选择题 关于胃小区的叙述正确的是()
A.均为圆形或类圆形
B.不是胃的微皱襞
C.可以发现病灶和早期病变
D.由胃小凹组成
E.胃底部没有胃小区
18、单项选择题 有关腕部的描述哪项是正确的()
A.八块腕骨近侧排是大多角骨、小多角骨、头状骨和钩状骨
B.远侧排是舟骨、月骨、三角骨、豆骨
C.近侧腕关节由舟骨、月骨和桡骨形成
D.腕部仅有三个具有功能的关节尺桡、腕间、腕掌关节
E.以上均正确
19、单项选择题 下述“畸形性骨炎”诊断要点,哪项错误()
A.骨干变形
B.20岁以下多见
C.碱性磷酸酶升高
D.早期表现,骨质疏松、骨皮质分层
E.男性多见
20、判断题 乳腺导管扩张症,皮肤可呈橘皮状,伴有乳头凹陷或位置异常。
21、单项选择题 下述有关骨软骨缺血坏死的命名组合中,哪项错误()
A.跗舟骨缺血坏死——Kōhler病
B.跖骨头骨骺骨缺血坏死——Freiberg病
C.腕舟状骨缺血坏死——Kienbōck病
D.胫骨结节缺血坏死——Osgood-schlatter病
E.股骨头骨骺缺血坏死——Legg-Perthes病
22、单项选择题 吸收X线能力最强的组织结构是()
A.肌肉
B.脂肪
C.骨骼
D.肺组织
E.肝脏
23、单项选择题 影响X线量和质的因素不包括()
A.管电流
B.靶物质
C.高压波形
D.管电压
E.散射线
24、判断题 化脓性肺炎致病菌最常见的是肺炎双球菌。
25、多项选择题 按现行部颁规定,下列属于概算基础单价的是()。
A.建筑工程单价
B.安装工程单价
C.施工机械台时单价
D.电、风、水预算价格
E.砂石料单价
26、多项选择题 骨盆X线片上,强直性脊柱炎与致密性髂骨炎主要鉴别点为()
A.强直性脊柱炎,关节间隙及双侧关节面不受累
B.致密性髂骨炎,关节间隙及双侧关节面不受累
C.致密性髂骨炎仅累及髂骨,骶骨骨质正常
D.强直性脊柱炎,关节间隙及双侧关节面均受累
E.致密性髂骨炎,关节间隙及双侧关节面均受累
27、填空题 骨肉瘤的主要成分是_________________、_______________和__________,还可见多少不等的_______________和__________。
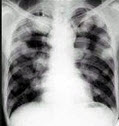
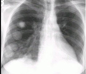
28、单项选择题
男,56岁,痰中带血1月余,X线检查如图,最可能的诊断是()

A.两肺炎症
B.肺转移瘤
C.血行播散型肺结核
D.细支气管肺泡癌
E.矽肺
29、单项选择题 下述胸部病变诊断知识,错误的是()
A.空洞内的游离体多为霉菌球
B.高千伏摄片可显示食管周围静脉曲张
C.二尖瓣心脏病极少合并肺结核
D.肺结核好发于中叶
E.左右两侧纵隔胸膜可相互紧贴
30、单项选择题 好发于巩膜、球筋膜下间隙内的肿瘤为()
A.视神经脑膜瘤
B.视网膜母细胞瘤
C.血管瘤
D.泪腺肿瘤
E.皮样囊肿
31、名词解释 Jones-Thompson方程
32、单项选择题 下述关于小肠Crohn病的影像表现,错误的是()
A.口疮样小溃疡
B.小肠多发狭窄
C.鹅卵石征
D.肠壁增厚
E.环肠壁对称性侵犯
33、单项选择题 下列哪种疾病,胸片上无"左心房增大"表现()
A.室间隔缺损
B.二尖瓣关闭不全
C.二尖瓣狭窄
D.肺动脉瓣狭窄
E.动脉导管未闭
34、单项选择题
左侧主支气管长约 ( )
A.1.5~2cm
B.5~6cm
C.4~7cm
D.10~13cm
E.7~8cm
35、多项选择题 以下属于软骨内化骨者的是()
A.锁骨两端
B.脊柱
C.躯干
D.面骨
E.四肢骨
36、问答题 盔甲心
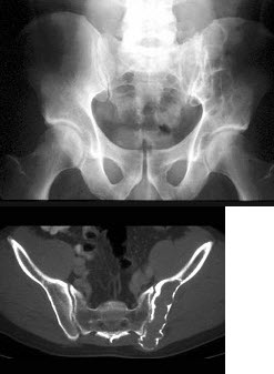
37、单项选择题
男,28岁,左髋疼痛不适三年余,结合图像,最可能的诊断是()
A.左髂骨动脉瘤样骨囊肿
B.左髂骨单纯性骨囊肿
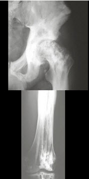
C.左髂骨骨巨细胞瘤
D.左髂骨棕色瘤
E.左髂骨骨纤维性结构不良
38、单项选择题 心房间隔缺损的X线表现,错误的是()
A.肺动脉段突出
B.主动脉结缩小
C.肺门舞蹈
D.右心增大
E.左心室增大
39、填空题 肺内出血表现为___________、_____________或_____________阴影。
40、单项选择题 服用下列哪种药物不引起肠道弥漫性扩张()
A.左旋多巴
B.普鲁卡因
C.吗啡
D.阿托品
E.胃复安
41、单项选择题 中央型肺癌早期的间接X线征象是()
A.阻塞性肺不张
B.支气管扩张
C.局限性肺气肿
D.阻塞性肺炎
E.纵隔及肺门淋巴结增大
42、单项选择题 X线的本质不同于()
A.无线电波
B.可见光
C.红外线
D.阴极射线
E.γ射线
43、配伍题 肘关节提携角()腕关节腕骨角()腕关节前倾角()股骨颈前倾角()
A.5°~20°
B.9°~20°
C.13°~20°
D.15°~20°
E.平均130°
44、单项选择题 疲劳骨折的最好发于()
A.股骨
B.跟骨
C.第二跖骨
D.耻骨
E.以上都不是
45、名词解释 脊椎滑脱
46、名词解释 胆脂瘤
47、多项选择题 成人骨髓炎的特点有()
A.无明显全身中毒症状
B.症状较轻
C.发病缓慢
D.骨质破坏较局限
E.预后较好
48、单项选择题 下列有关扩张型心肌病的X线表现中,哪项不正确()
A.两心室均增大,以左心室扩大较显著
B.左心缘搏动减低且不规则,而由心缘搏动正常,甚至增强.
C.肺动脉无明显变化或轻度凸出
D.主动脉结明显突出
E.肺血管的表现一般在正常范围
49、名词解释 Klipple-Feil综合征
50、单项选择题 确诊肾盂输尿管重复畸形的主要检查方法是()
A.USG检查
B.排泄性尿路造影
C.CT检查
D.MRI检查
E.逆行性肾盂造影
51、单项选择题 下列哪项不是月骨骨软骨炎的X线征象()
A.密度增高,有时可见囊性变
B.关节面不规则裂隙
C.外形不规则,体积增大
D.囊性变,周边硬化
E.附近骨质疏松
52、单项选择题 风湿性心脏病二尖瓣狭窄与二尖瓣关闭不全的鉴别点在于后者有()
A.肺淤血
B.左心室增大
C.肺动脉段膨隆
D.肺循环高压
E.左心房增大明显
53、单项选择题 胆脂瘤型中耳炎的典型影像特点为()
A.多发生于气化型乳突
B.病变位于乳突气房内
C.病灶有硬化缘
D.病变大小多为3~5cm
E.平片示圆形高密度
54、多项选择题 骨缺血性坏死常见于()
A.股骨颈骨折
B.股骨干骨折
C.距骨骨折
D.月骨骨折
E.腕舟骨骨折
55、单项选择题 肋骨摄影不宜采用()
A.膈上肋骨前后位
B.膈下肋骨前后位
C.肋骨斜位
D.肋骨切线位
E.肋骨侧位
56、单项选择题
患者上腹胀满、厌食,查体脾大,腹水征阳性。腹部超声,肝硬化,脾大,腹水。
介入治疗方法()
A.脾动脉化疗
B.TIPSS
C.食管支架
D.肝动脉栓塞
E.PTCD
57、单项选择题 急性化脓性骨髓炎的X线摄片,主要表现为()
A.骨质增生硬化
B.新生骨
C.骨质破坏
D.死骨形成
E.以上都不是
58、名词解释 支气管气相
59、单项选择题 下列哪项是阴性造影剂()
A.空气
B.40%碘化油
C.钡剂
D.5%碘化钠溶液
E.泛影葡胺
60、单项选择题
男,45岁,HBV阳性10年,胸痛1月余伴咳嗽,咯血1天,胸片如图,最可能的诊断是()

A.肺多发性脓肿
B.肺韦格肉芽肿
C.HBV病毒肺部转移
D.金葡菌感染
E.肺转移瘤
61、单项选择题
患者,12岁,跌倒时手掌撑地。查:肘关节半屈状,肘肿胀压痛,外突畸形,肘后三角存在,桡动脉搏动正常。
最适当的治疗方法是()
A.立即切开筋膜减压
B.切开复位、内固定
C.手法复位,石膏固定
D.手法复位即可
E.手术探查肱动脉,同时行骨折复位、内固定
62、判断题 慢性铅中毒可见长骨干骺端密度减低,出现骨膜炎改变。
63、填空题 肺真菌病的扩散方式为___________、___________和__________。
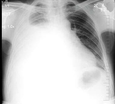
64、单项选择题
男,38岁,感胸闷气逼2周余,近来加剧,不发热,X线检查如图,最可能的诊断是()

A.右侧肺不张
B.右侧胸膜肥厚
C.右侧大量胸腔积液
D.右侧中量胸腔积液
E.右侧气胸
65、多项选择题 术前胸片示肺内球形影,术中未发现,术后2周拍片该影消失,有哪几种可能()
A.球形肺不张
B.炎性假瘤
C.球形肺炎
D.叶间积液
E.结核球
66、单项选择题 下列有关“骨布氏菌感染”描述中,哪项不正确()
A.脊柱、四肢大关节多处受累
B.关节软骨下囊性变
C.关节边缘性骨质破坏
D.四肢末梢小关节受累
E.就影像表现难与结核性、化脓性骨关节炎鉴别
67、单项选择题 下列“脊柱先天畸形”中,哪项错误()
A.先天性斜颈
B.环椎枕化
C.枢椎齿状突缺如
D.椎弓崩裂
E.Klippel-Feil综合征
68、单项选择题 正位胸片中,哪个部位的病变不易被观察到()
A.双侧肺野
B.双侧肺门
C.纵隔病变
D.胸膜
E.双侧肋膈角
69、单项选择题 维生素D缺乏症,恢复期长骨X线改变特征是()
A.临时钙化带重出现
B.杯口状改变
C.骨质普遍疏松
D.骨骺与干骺端距离加大
E.骨膜反应消失
70、名词解释 分离移位
71、单项选择题 手正位片上,拇指显示为()
A.轴位影像
B.正位影像
C.斜位影像
D.侧位影像
E.切线位影像
72、多项选择题 有关胸膜的描述哪些是对的()
A.分四部分
B.斜裂胸膜面为一个平面
C.横裂内端止于肺门
D.有肺的部位必有胸膜
E.胸膜腔的界限和肺边缘是不一致的
73、多项选择题 肺静脉高压可见于()
A.二尖瓣狭窄
B.左房黏液瘤
C.肥厚性心肌病
D.反复发作的肺栓塞
E.二尖瓣关闭不全
74、多项选择题 CR的空间频率处理,减影处理的叙述,正确的是()
A.空间频率处理是系统对空间频率响应的调节
B.频率处理三个参数:RNRTRE
C.可完成血管造影与非造影影像的减影职能
D.时间减影是作对比剂注射前后的影像减影
E.能量减影是两幅以不同能量曝光的影像
75、判断题 成骨就是骨基质的形成和骨盐沉积于骨基质的过程。
76、判断题 回肠胀气扩张的特点为粘膜皱襞排列稀疏或皱襞消失,呈光滑的管状。
77、判断题 结节状阴影构成为肺吸虫引起的肺内出血及组织破坏所致。
78、判断题 肺尘埃沉着病早期无肺纹理增强、变粗等改变。
79、填空题 移行椎尾侧移位的特点是:______________、_____________、________________、_____________、____________和_____________。
80、单项选择题 下列有关放射性肺炎的描述,错误的是()
A.15Gy,胸片就可有异常发现
B.几个月后出现慢性间质纤维化
C.胸片异常始于放疗6~12周后
D.早期以间质性肺水肿为主
E.抗生素治疗无效
81、名词解释 支气管扩张
82、配伍题 食管上段为()食管中段为()食管下段为()
A.内层环行肌
B.外层纵行肌
C.平滑肌
D.横纹肌
E.横纹肌与平滑肌混合
83、单项选择题
男,14岁,偶然发现双膝部肿块1天,双膝关节摄片如图,最可能的诊断是()
A.骨瘤
B.骨软骨瘤
C.局限性骨皮质增厚
D.软骨肉瘤
E.以上均不正确
84、名词解释 指压迹
85、单项选择题 乳腺癌出现“酒窝征”的原因是()
A.癌肿压迫乳管
B.合并感染
C.周围组织粘连
D.淋巴管癌栓阻塞
E.癌肿侵犯Cooper韧带
86、单项选择题
男,28岁,摔伤后肩部疼痛,活动受限,结合影像学表现,最可能的诊断是()
A.柯莱斯骨折
B.肱骨头骨折
C.肱骨外科颈骨折
D.加莱阿齐骨折
E.蒙泰贾骨折
87、单项选择题 下述肺肿块鉴别要点,哪项不对()
A.良性肿块的边缘常较光整
B.毛刺征对肿块良恶性鉴别价值不大
C.恶性肿瘤钙化率较低
D.4cm以上肿块则以恶性的可能性较大
E.空泡征多提示为肺癌
88、单项选择题 “消化道恶性肿瘤”,钡餐检查不能显示的是()
A.管壁僵硬
B.管腔狭窄
C.粘膜破坏、消失
D.腔内充盈缺损
E.狭颈征
89、填空题 牙瘤病理上可分为三型,即__________、______________和_____________。
90、单项选择题
女,18岁,左下肢肿痛,活动后加重,关节僵硬,结合图像,最可能的诊断是()
A.蜡油骨病
B.骨斑点症
C.条纹状骨病
D.石骨病
E.肥大性骨关节病
91、多项选择题 下列需与非骨化性纤维瘤鉴别的肿瘤或肿瘤样病变有()
A.骨样骨瘤
B.骨巨细胞瘤
C.纤维性骨皮质缺损
D.骨纤维结构不良
E.良性间叶瘤
92、名词解释 骨气鼓
93、单项选择题 乳腺癌最常见的病理类型是()
A.髓样癌
B.黏液癌
C.浸润性小叶癌
D.浸润性导管癌
E.湿疹样癌
94、单项选择题 肺源性心脏病主要表现是()
A.右心房增大
B.左心室增大
C.右心室肥大
D.右心房、右心室增大
E.左心房、右心室增大
95、单项选择题 维生素A过多引起中毒时,骨骼变化下列哪项不正确()
A.管状骨造形失常
B.骨质吸收
C.骨膜下新骨形成
D.软组织异位钙化
E.骨骺包埋畸形
96、单项选择题 关于胶片的叙述,错误的是()
A.晶体颗粒大,感光度高
B.晶体颗粒分布均匀,对比度高
C.晶体颗粒大小不一,宽容度高
D.晶体颗粒小,分辨率低
E.晶体颗粒小,涂层薄,清晰度好
97、单项选择题 后前位胸片摄片时的要求,下列哪项是错误的()
A.常规胸部后前位,应是深吸气后屏息曝光
B.双肩胛骨应投影于肺野之外
C.照射野越大越好
D.去掉可使胶片产生伪影的物品
E.摄片距离在165~180cm
98、单项选择题 属静脉肾盂造影禁忌证的是()
A.肾盂结石
B.膀胱结石
C.尿道狭窄
D.肾动脉狭窄
E.严重血尿
99、单项选择题 在透视下最易漏诊的结核是()
A.慢性纤维空洞型肺结核
B.结核球
C.急性粟粒型肺结核
D.浸润型肺结核
E.原发综合征
100、名词解释 胃石
101、多项选择题 当肾盂积水时,静脉肾盂造影的表现为()
A.肾盂、肾盏呈囊状扩大
B.肾盏变成杆状,肾盂扩大
C.肾小盏杯口圆钝
D.肾小盏杯口锐利
E.肾盂、肾盏缩小
102、单项选择题 下列肺内病变,哪种最少累及胸膜()
A.葡萄球菌性肺炎
B.肺结核
C.肺脓肿
D.石棉肺
E.支气管扩张合并感染
103、填空题 肺包虫病患者具有一定的_________及与____________,是诊断的流行病学依据。_________________及______________阳性有助于本病的诊断。
104、单项选择题 下列哪项不引起左心缘第二弓(肺动脉段)凹陷的是()
A.肺动脉狭窄
B.三尖瓣闭锁
C.单一主动脉干
D.法洛四联征
E.大血管移位
105、填空题 急性大肠梗阻可分为_________________和__________________两种。
106、判断题 早期周围型肺癌是指瘤体直径≤2cm,并且无转移者。
107、单项选择题 金黄色葡萄球菌肺炎特征性X线征象是()
A.两肺多发团片影
B.肺脓肿形成
C.肺气囊形成
D.肺不张
E.脓气胸
108、判断题 原发性腹膜肿瘤,非常少见,因此应在首先除外转移性肿瘤后才可考虑。
109、单项选择题
男,12岁,右前臂外伤后入院。结合图像,正确的诊断是()
A.Colles骨折
B.孟氏骨折
C.青枝骨折
D.Smith骨折
E.桡骨小头脱位
110、单项选择题 侧位胸片上,右叶中央型肺癌伴有右中叶、右下叶不张时,形成的征象称为()
A.饼征
B.双翼征
C.膈上半月征
D.龟背征
E.膈角移位征
111、单项选择题 有关脊索瘤的好发部位和X线主要特点的描述中,不正确的是()
A.肿瘤好发于脊柱两端,居中线部位
B.常为膨胀性溶骨性破坏,其中可残存碎骨片或小梁间隔
C.病变周围可出现软组织肿块影
D.50%患者可有钙化
E.绝大多数患者可有骨膜反应
112、单项选择题 单侧肾影增大,则可除外下列哪项()
A.重复肾
B.肾囊肿
C.肾肿瘤
D.多囊肾
E.肾盂积水
113、单项选择题 划分左、右肝叶的解剖标志是()
A.肝动脉
B.门静脉
C.肝中静脉
D.肝左静脉
E.肝右静脉
114、单项选择题
男,16岁,长期的骨骼肌肉畸形,听力障碍,结合图像,最可能的诊断是()
A.马方综合征
B.成骨不全
C.肾性骨病
D.甲状旁腺功能亢进
E.维生素D缺乏症
115、单项选择题 下列关于肠结核X线征象,错误的是()
A.盲肠缩窄、收缩及变形
B.回肠末端受侵,粘膜破坏
C.回肠病变近侧端可见钡剂滞留,肠管扩张
D.肠道运行正常
E.回盲部可见跳跃征
116、判断题 胫腓骨双骨折时,胫骨骨折部位多比腓骨的高。
117、多项选择题 空、回肠肿瘤的X线表现有()
A.充盈缺损
B.肠套叠
C.龛影
D.肠袢推移
E.肠梗阻
118、问答题 类风湿关节炎的旱期X线表现有哪些?
119、单项选择题 下列婴幼儿肺部疾病中,哪种没有弥漫粟粒性肺结节表现()
A.肺透明膜病
B.衣原体肺炎
C.组织细胞增生症X
D.原发综合征
E.完全性肺静脉异常引流
120、单项选择题 关于“十二指肠溃疡”的描述,错误的是()
A.激惹征,提示活动性溃疡
B.球部发生率最高
C.龛影平均直径1cm以上
D.常导致球部变形
E.球后溃疡多位于球后部内侧缘
121、判断题 孤立肾和单纯异位肾一般无任何临床表现。
122、单项选择题 下列关于梅毒性心脏病的描述,错误的是()
A.主动脉起始部瘤样扩张
B.主动脉根部搏动增强
C.左心室增大
D.心尖闻及舒张期杂音
E.胸主动脉迂曲、延长
123、多项选择题 滤线栅使用不当,会造成射线切割的是()
A.栅斜置
B.栅反置
C.中心线纵向偏距
D.中心线纵向倾角
E.焦-片距与栅-焦距一致
124、单项选择题 男,19岁,右股骨上段骨折行股骨髁上牵引时摄片发现:髁上内后侧骨皮质缺损,边缘清楚硬化,缺损区内呈不规则斑片骨化影。追问病史,局部无任何不适,最可能的诊断是()
A.骨纤维异常增殖症
B.纤维性皮质骨缺损
C.骨化性纤维瘤
D.非骨化性纤维瘤
E.骨结核
125、单项选择题 我国放射防护标准中规定公众年剂量限值是()
A.5mSv
B.5Sv
C.50mSv
D.50Sv
E.5mGy
126、单项选择题 类风湿性关节炎病变最初是发生在()
A.关节内韧带
B.关节软骨
C.关节滑囊
D.关节囊纤维层
E.关节骨关节面
127、单项选择题 哪类肺癌在早期就发生淋巴转移()
A.鳞癌
B.腺癌
C.大细胞未分化癌
D.小细胞未分化癌
E.细支气管肺泡癌
128、单项选择题 肩关节正位摄片,中心线正确射入点是()
A.锁骨的中点
B.关节盂
C.肩峰
D.肩胛骨喙突
E.肱骨头
129、填空题 来自支气管表面上皮的肺癌有_____________、_________、_________和___________。
130、单项选择题 在右前斜位上食管压迹加深,提示()
A.左心室增大
B.右心室增大
C.左心房增大
D.右心房增大
E.主动脉增宽,扭曲
131、单项选择题 下列哪种疾病腹部平片不能诊断()
A.胆囊阳性结石
B.肠梗阻
C.慢性胰腺炎
D.消化道穿孔
E.小儿先天性肛门闭锁
132、填空题 骨盆骨折分为______________、______________和_________________3种。
133、单项选择题 黏多糖贮积症Ⅳ型,下述哪个部位可以正常()
A.骨盆
B.脊柱
C.颅骨
D.手部
E.腕部
134、单项选择题
女,出生2天,呼吸困难、发绀,结合图像,最可能的诊断是()

A.呼吸窘迫综合征
B.新生儿肺炎
C.法洛四联征
D.新生儿支气管炎
E.胎粪吸入综合征
135、单项选择题 下列单纯性二尖瓣狭窄的胸片影像,错误的是()
A.双房影
B.左心室增大
C.左心缘出现四弓
D.KerleyB线
E.食管受压
136、单项选择题 一般不引起左心房增大的是()
A.风湿性心脏病,左房室瓣狭窄
B.先天性心脏病,房间隔缺损
C.风湿性心脏病,左房室瓣关闭不全
D.心肌病
E.以上都不是
137、单项选择题 “骶骨骨折”常为()
A.粉碎性骨折
B.横行骨折
C.斜行骨折
D.纵行骨折
E.压缩性骨折
138、多项选择题 放射防护的基本原则是()
A.实践的正当化
B.放射防护最优化
C.个人剂量限值
D.机房的防护
E.患者的防护
139、单项选择题 大剂量静脉肾盂造影的禁忌证不包括()
A.严重的心血管疾患
B.甲状腺功能亢进者
C.腹部有巨大肿块者
D.骨髓瘤合并肾衰竭
E.碘过敏试验阳性者
140、单项选择题 关于优质X线图像质量标准的叙述,下列说法错误的是()
A.尽量多的图像斑点
B.适当的密度
C.良好的对比度
D.较高的分辨率
E.微小的失真度
141、单项选择题 先天性主动脉缩窄可合并()
A.室间隔膜部狭窄
B.动脉导管未闭
C.房间隔-原发孔型
D.肺动脉狭窄
E.右位主动脉弓
142、填空题 成人股骨头缺血坏死股骨头塌陷可发生于低密度区出现前后或同时,表现为股骨头_________、________、________、________和___________。
143、填空题 引起膈麻痹的原因较多,如_________、__________、_______、______、_______和__________等。
144、名词解释 Zollinger-Ellison综合征
145、多项选择题 Esenmenger综合征患者,可有哪些异常()
A.主动脉骑跨
B.完全性肺静脉异位引流
C.室间隔缺损
D.右心室肥大
E.房间隔缺损
146、单项选择题 下述哪项是地中海贫血骨骼改变特点()
A.方形椎体
B.手足短骨骨改变最明显
C.颅骨板障消失
D.乳突气房发育正常
E.颅骨外板变薄
147、名词解释 21-三体综合征
148、名词解释 粘膜线
149、单项选择题 下列哪种疾病,无嗜酸细胞增多表现()
A.蛔虫病
B.结节性大动脉炎
C.曲菌病
D.嗜酸细胞肉芽肿
E.呋喃妥英治疗
150、名词解释 结核球
151、单项选择题 下列哪种病变无"上颌窦窦壁骨质破坏"的表现()
A.梅毒
B.鼻硬结肿
C.鼻窦真菌感染
D.黏液囊肿
E.结核
152、多项选择题 关于肺放射损伤,下述观点哪些不对()
A.放疗后1月内损伤最重
B.主要累及肺叶及支气管
C.晚期形成肺纤维化
D.损伤程度与照射剂量成直线形正比关系
E.肺血灌注无改变
153、单项选择题 扩张型心肌病最常累及()
A.左心室
B.左心房
C.右心室
D.右心房
E.房室瓣环
154、单项选择题 前组鼻窦指()
A.额窦+上颌窦
B.额窦+前组筛窦+上颌窦
C.额窦+筛窦+上颌窦+蝶窦
D.额窦+筛窦+上颌窦
E.额窦+前组筛窦
155、问答题 避孕环移入腹腔和坠入宫颈管有何X线表现?
156、单项选择题 腕部舟状骨摄片的体位选择,哪个是错误的()
A.外展位
B.斜位
C.后前正位
D.中心线倾斜20°位
E.暗盒倾斜20°位
157、多项选择题 下述哪些原因属毛细血管内静水压升高引起的肺水肿()
A.心肌病致左心衰竭
B.心肌炎致左心衰竭
C.左心瓣膜病变致左心衰竭
D.急性肾小球肾炎致左心衰竭
E.急性心肌梗死致左心衰竭
158、多项选择题 典型的二尖瓣关闭不全患者的X线表现有()
A.左心房和左心室增大为主
B.伴有右心室增大
C.左心房呈中度到重度增大
D.肺淤血
E.病变晚期可见明显的肺循环高压
159、单项选择题 X线胸片上,有一直径约2.4cm的圆形阴影,边缘光滑锐利,密度较高,内有爆米花状钙化,病人无自觉症状。最可能的诊断为()
A.肺癌
B.错构瘤
C.炎性假瘤
D.包虫囊肿
E.结核球
160、单项选择题 正常气管隆突的分叉角度约为()
A.45°~75°
B.55°~85°
C.65°~90°
D.60°~85°
E.60°~75°
161、单项选择题
男,26岁,左肩部可触及一硬结,无红肿、压痛,结合图像,最可能的诊断是()
A.骨样骨瘤
B.骨软骨瘤
C.软骨肉瘤
D.骨旁骨瘤
E.骨肉瘤
162、单项选择题 胃窦部有一圆形溃疡,直径2cm,较浅,边缘不整齐,外形火山口状,最可能的诊断为()
A.急性胃炎
B.早期凹陷型胃癌
C.溃疡型胃癌
D.胃溃疡
E.急性应激性溃疡
163、单项选择题 造影前不需做肠道清洁准备的是()
A.静脉肾盂造影
B.膀胱造影
C.肝动脉造影
D.子宫输卵管造影
E.四肢静脉造影
164、多项选择题 慢性铅中毒的主要临床表现为()
A.便秘
B.腹绞痛
C.贫血
D.末梢神经炎
E.铅中毒性脑病
165、单项选择题 在立位透视时,节育环正常位置通常在()
A.与耻骨联合重叠
B.耻骨联合上2~5cm
C.耻骨联合上5~8cm
D.耻骨联合上8cm以上
E.耻骨联合下2~5cm
166、单项选择题 患者25岁,诉膝关节间歇性隐痛、肿胀半年多,查体胫骨上端内侧肿胀,触之有乒乓球感,X线片示胫骨上端偏内侧呈膨胀性肥皂泡样骨质破坏,横径大于纵径,应诊断为()
A.骨巨细胞瘤
B.动脉瘤样骨囊肿
C.软骨母细胞瘤
D.溶骨型骨肉瘤
E.骨囊肿
167、单项选择题 风湿性心脏病左房室瓣(二尖瓣)关闭不全的主要X线表现是()
A.左心房、右心室增大
B.左心房,左心室增大
C.右心房增大
D.左心室增大
E.右心室肥大
168、单项选择题 先天性髋内翻的X线表现中,不包括()
A.干颈角增大
B.股骨颈短
C.股骨头向下移位
D.骺软骨板增宽
E.股骨大粗隆向上移位
169、单项选择题 双肾位于Gerota氏筋膜腔内,其位置关系正确的是()
A.双肾位置高度一致
B.左肾比右肾高3~5cm
C.左肾比右肾低3~5cm
D.左肾比右肾高1~2cm
E.右肾比左肾高1~2cm
170、单项选择题 类风湿关节炎的好发年龄为()
A.40~60岁
B.10岁以下
C.20~45岁
D.10~20岁
E.60岁以上
171、判断题 镰刀状细胞阻塞血管,可引起骨与软骨的缺血性坏死。
172、单项选择题 青年男性,无任何诱因突发胸痛、气急1小时。听诊右肺呼吸音消失,胸片示右侧肺纹理消失,内带有软组织肿块影,纵隔向左移位,应首先()
A.右肺局限性肺气肿
B.右肺上叶肺不张
C.右肺下叶实变
D.右侧大量自发性气胸
E.右侧大量液气胸
173、名词解释 膈膨升
174、单项选择题 最常见的椎管内神经源性肿瘤是()
A.神经鞘瘤
B.神经节细胞瘤
C.神经纤维肉瘤
D.神经纤维瘤
E.神经节母细胞瘤
175、单项选择题 有关石骨症的描述,下列哪一项不正确()
A.石骨症为成骨异常所致
B.全身骨骼广泛性致密硬化
C.临床症状与骨的病变程度平行
D.维生素D缺乏病为其常见的并发症
E.骨髓外造血器官常继发性增大
176、单项选择题
男,38岁,口干,多饮多尿消瘦2月,结合图像,最可能的诊断为()

A.正常表现
B.胃憩室
C.胃溃疡
D.胃窦炎
E.胃癌
177、判断题 右心衰竭时肺内可无充血征象。
178、单项选择题 从肘静脉注入对比剂后,最迟到的是下列中的哪一部位()
A.上腔静脉
B.右心房
C.左心室
D.锁骨下静脉
E.降主动脉
179、单项选择题 下列有关周围型肺癌的胸片影像,错误的是()
A.病变早期与炎症有时难以鉴别
B.反S征
C.短小毛刺
D.癌性空洞,少有液平面
E.合并炎症时,其周缘模糊
180、多项选择题 病理性骨折的全身性病变见于()
A.骨质软化
B.骨肿瘤
C.骨肿瘤样病变
D.骨发育障碍
E.骨质疏松
181、多项选择题 良性胃溃疡的典型X线表现()
A.腔外龛影
B.放射状粘膜纠集
C.蠕动消失
D.指压迹
E.粘膜杵状中断
182、单项选择题 关于胆囊叙述不正确的是()
A.分颈、漏斗、体、底四部分
B.胆总管连于漏斗部
C.容积约40ml
D.服油餐后半小时胆囊开始缩小
E.服油餐后胆囊2小时内排空
183、多项选择题 正位胸片上,Lutembacher综合征表现为()
A.肺纹理增多
B.多数患者肺纹理正常
C.肺门影缩小
D.右心增大
E.左心房增大
184、单项选择题
男,65岁。走路时,不慎摔倒。查体:左下肢缩短,外旋50°畸形。
为明确诊断,首先应进行的检查为()
A.CT检查
B.核素骨扫描
C.X线检查
D.MRI检查
E.关节造影
185、单项选择题 关于肝肿瘤的叙述,不正确的是()
A.常见的良性肝肿瘤是海绵状血管瘤
B.肝转移癌是常见恶性肿瘤
C.肝肿瘤包括良性和恶性肿瘤
D.胆管细胞癌是多血供型肿瘤
E.肝细胞癌是成人常见原发性恶性肿瘤
186、单项选择题
男,65岁。走路时,不慎摔倒。查体:左下肢缩短,外旋50°畸形。
该患者最可能的诊断为()
A.左粗隆间骨折
B.左股骨颈骨折
C.左髋关节脱位
D.左髋软组织挫伤
E.左髋臼骨折
187、判断题 食管狭窄部位内的溃疡形成并伴发食管裂孔疝是Barrett溃疡的特点。
188、单项选择题 心脏病最重要的病理征象是()
A.心力衰竭
B.心脏和大血管搏动异常
C.心脏增大
D.大血管改变
E.肺部血循环异常改变
189、单项选择题 有关髋关节前后位摄片的叙述,正确的是()
A.双足内收20°
B.双足外旋20°
C.双足尖垂直向上
D.双下肢稍外展,足尖内旋并拢
E.双足跟并拢,足尖自然外旋
190、单项选择题 胸片检查中,下列结构,哪种显示率最低()
A.锁骨
B.锁骨上皮肤皱褶
C.胸锁乳突肌
D.男性乳头
E.女性乳房
191、单项选择题 胶片密度与曝光量成正比关系的,是特性曲线的什么部分()
A.足部
B.肩部
C.直线部
D.反转部
E.全部
192、判断题 肺放线菌病病变累及胸膜可引起胸膜炎或脓胸。
193、名词解释 克氏(Klinefelter)综合征
194、单项选择题 下列哪种肺血管畸形在胸片上,可表现为肿块样()
A.肺静脉畸形
B.动脉缺如
C.动静脉瘘
D.肺动脉狭窄
E.部分性肺静脉异位引流
195、单项选择题 下列关于“食管憩室”的描述错误的是()
A.本病多为后天性
B.病因分内压性、牵引性两种
C.牵引性憩室口部较宽
D.内压性憩室呈圆形或乳头状
E.憩室表面无粘膜皱襞
196、单项选择题
女,50岁,手指关节肿痛,晨僵,结合图像,最可能诊断是()
A.关节结核
B.牛皮癣性关节炎
C.痛风性关节炎
D.类风湿关节炎
E.Reiter综合征
197、多项选择题 判断对比剂过敏的依据,正确的是()
A.休克
B.便秘
C.打嗝
D.恶心呕吐
E.以上都是
198、多项选择题 可引起支气管狭窄及闭塞的是()
A.异物
B.支气管癌
C.支气管周围肿瘤压迫
D.由感染造成的肉芽肿、瘢痕
E.支气管腺癌
199、单项选择题 关于肺吸虫病,下列描述错误的是()
A.圆形或片状模糊影
B.单房或多房囊状透光区,周围有索条状影
C.结节状、片状阴影
D.大小不等硬结影,可钙化
E.无钙化病灶
200、单项选择题 CR中可记录与读出X线影像信息的载体是()
A.胶片
B.磁盘
C.成像板
D.荧光屏
E.平板探测器
201、单项选择题 十二指肠溃疡最常见的部位是()
A.水平部
B.球部
C.降部
D.球后部
E.小弯侧
202、单项选择题 膀胱造影的术前准备,不包括()
A.排尿
B.清洁肠道
C.备好导尿管
D.将对比剂加热至体温
E.检查前12小时禁水
203、单项选择题 乳腺脂肪层所形成的透亮带厚度为()
A.0.5~1.5mm
B.0.5~2.5cm
C.0.5~1.5cm
D.0.5~2.5mm
E.1.5~2.5mm
204、单项选择题 有关影像变形的叙述,正确的是()
A.被照物体与胶片不平行造成了影像失真
B.影像大小与形态随X线倾斜角度改变
C.球形病灶在中心线倾斜投影下成像为椭圆形
D.X线中心线垂直于胶片,是为防止影像变形
E.以上全是
205、填空题 支气管肺炎在小叶内可经________及________蔓延,也可通过分隔不全的___________蔓延至邻近小叶,还可经_________蔓延至邻近或远隔小叶。
206、单项选择题 胃复合溃疡是指()
A.胃溃疡同时伴发十二指肠溃疡
B.高位溃疡并贲门痉挛
C.幽门前区溃疡并幽门梗阻
D.胃溃疡并出血、穿孔
E.小弯溃疡并慢性胃炎
207、单项选择题 下列主动脉瓣关闭不全的诊断要点,错误的是()
A.主动脉瓣区舒张期吹风样杂音
B.主动脉弓迂曲、延长,搏动增强
C.心尖圆钝、上抬
D.侧位胸片示食管和心后下缘间的透亮间隙消失
E.心尖向左下方移位
208、单项选择题 下列关于急性肺泡性肺水肿的描述,错误的是()
A.早期小结节状影,迅速融合呈大片状
B.肺门旁蝶形浓密影
C.胸腔积液
D.由中、下肺内带向上肺及外带发展
E.经有效治疗,病变可于数周后完全消散
209、单项选择题 下列有关“三期梅毒”影像征象中,正确的是()
A.对髓腔内改变,MRI可确诊
B.长骨骨干广泛骨膜反应、骨质破坏
C.常有细小死骨
D.梅毒中发生在长骨
E.额骨、枕骨变薄
210、多项选择题 纤维性骨皮质缺损的特点包括()
A.多见于6~15岁儿童,男多于女
B.有家庭发病倾向
C.病变常多发、对称性
D.呈囊状或片状皮质缺损区,有硬化边
E.多于2~4年内自行消失
211、单项选择题 只有在病理状态下才能在X线片上见到其影像表现的是()
A.骨膜
B.骨皮质
C.骨松质
D.骨髓腔
E.营养管
212、名词解释 先天性巨肢症
213、名词解释 创伤性骨关节病
214、名词解释 习惯性脱位
215、单项选择题 下列关于“小儿套叠灌肠复位”成功标志,错误的是()
A.气体、钡剂进入小肠
B.腹部包块消失
C.钡剂进入腹腔
D.灌肠器内有时可见到粪便排出
E.症状消失,患儿安然入睡
216、单项选择题 滑膜型关节结核的X线表现哪项不对()
A.骨端骨质疏松
B.周围肌肉萎缩
C.骨质破坏先从非承重关节开始
D.关节软骨破坏较晚
E.关节软骨破坏较早
217、单项选择题 关于肾结核的描述,错误的是()
A.90%肾结核系由尿路逆行感染所致
B.肾实质内钙化点可由干酪样病变而来
C.肾乳头部见边缘模糊的低密度病灶或空洞
D.实质破坏、纤维化可使肾外形缩小,表面不光整
E.晚期肾结核可发生全肾钙化
218、单项选择题 膝关节侧位摄片,中心线应对准()
A.髌骨下缘与腘窝折线中点
B.髌骨上缘
C.髌骨下缘
D.髌骨后缘
E.髌骨中点
219、单项选择题 肺部X线表现为锁骨下区纤维条索状阴影,应属于()
A.原发性肺结核
B.血行播散型肺结核
C.浸润型肺结核
D.结核性胸膜炎
E.慢性纤维空洞型肺结核
220、多项选择题 支气管气相可见于()
A.周围型燕麦细胞癌
B.肺透明膜病
C.大叶性肺炎
D.结节病
E.肺水肿
221、问答题 马方(Marfan)综合征的X线表现有哪些?
222、单项选择题
男,24岁,低热2周,咳少量痰。胸片示右上肺不均密度增高影,其中有空洞形成,血沉45mm/h。
最可能的诊断是()
A.右上肺炎
B.右上肺结核
C.右上肺癌
D.右上肺囊肿
E.右上肺脓肿
223、单项选择题 肺结核的卫星灶的病理改变是下列哪项()
A.渗出灶
B.增殖灶
C.纤维化灶
D.空洞
E.钙化灶
224、填空题 化脓性骨髓炎的感染途径为_________、_________________和_________________。
225、单项选择题 溃疡型胃癌的X线特点中,哪项是错误的()
A.龛影位于胃轮廓之外,边缘隆起、质硬
B.胃癌向壁内生长,中心形成大溃疡
C.与正常相邻胃壁境界清楚
D.粘膜纠集但中断于环堤外
E.龛影多呈半月形,外缘平直,内缘不整齐
226、判断题 正位胸片上可见到胸骨柄、胸骨体和剑突3部分。
227、单项选择题 关于慢性支气管炎,下列影像错误的是()
A.X线表现常缺乏特征性
B.很少发生肺气肿
C.急性发作时,肺内可有斑片状影
D.病变多分布在中下肺野
E.肺纹理增多
228、多项选择题 下列会引起肾盏肾盂破坏的疾病为()
A.肾囊肿
B.肾血肿
C.肾结核
D.肾盂癌
E.肾癌
229、单项选择题
女,根据其正常骨盆影像图像,判断其最可能的年龄()
A.53岁左右
B.13岁左右
C.73岁左右
D.33岁左右
E.63岁左右
230、多项选择题 下列哪些征象可在X线胸片上看到()
A.船帆征
B.剪影征
C.空泡征
D.双泡征
E.双轨征
231、单项选择题 X线检查眶内不透X线异物目的是()
A.确定异物手术方法
B.确定定位方法
C.确定有无异物及大小,形态、位置及球内外
D.提供更准确检查方法
E.便于测量和计算
232、单项选择题 胸部摄片,中心线经()
A.第6胸椎入射
B.第7胸椎入射
C.第8胸椎入射
D.第9胸椎入射
E.第10胸椎入射
233、多项选择题 脂肪瘤的起源,下述正确的是()
A.纵隔胸膜下脂肪组织
B.胸壁皮下脂肪组织
C.胸腺脂肪组织
D.结外淋巴组织
E.淋巴未退化的胸腺组织
234、单项选择题 颅骨骨折的直接征象是()
A.乳突气房消失
B.颅内积气
C.软组织肿胀
D.骨折线
E.蝶窦积气-液平面
235、单项选择题 从左心室发出的血管是下列哪项()
A.奇静脉
B.左肺动脉
C.升主动脉
D.上腔静脉
E.锁骨下动脉
236、单项选择题 肝静脉汇入下腔静脉处为()
A.第一肝门
B.第二肝门
C.第三肝门
D.第四肝门
E.以上都不是
237、单项选择题 下述骨肿瘤,哪项无多发倾向()
A.转移瘤
B.血管瘤
C.骨母细胞瘤
D.骨髓瘤
E.软骨瘤
238、单项选择题 肝海绵状血管瘤的X线征中,哪项是错误的()
A.灯泡征
B.树上挂果征
C.早出晚归征
D.抱球征
E.星状瘢痕征
239、单项选择题 下述纵隔病变知识,错误的是()
A.急性纵隔炎,多继发于食管穿孔
B.慢性肉芽肿性纵隔炎,多位于前上1/4纵隔
C.纵隔炎症可致纵隔影增宽
D.慢性硬化性纵隔炎,多位于后下1/4纵隔
E.自发性纵隔气肿,与间质性肺气肿关系密切
240、多项选择题 肥大性骨关节病最常见于()
A.胫腓骨
B.尺桡骨
C.近节指骨
D.肱骨
E.股骨
241、单项选择题 食管癌好发于食管的()
A.上段
B.中段
C.中上段
D.中下段
E.胃食管前庭段
242、单项选择题 下述关于婴幼儿肺气肿影像特点,错误的是()
A.肺野透亮度加大
B.桶状胸
C.纵隔影增宽
D.侧位像,心前、心后间隙异常透亮
E.肋间肺膨出征
243、单项选择题 特发性骨质溶解症主要指发生于下述哪个部位的缓慢进行性骨质吸收()
A.跖趾
B.远侧指关关节
C.远侧距间关节
D.腕掌
E.掌指
244、单项选择题 农民肺的X线表现中,错误的是()
A.临床症状出现后相当长的时间才出现X线表现
B.早期肉芽肿病变显示为肺内弥散的颗粒状或小结节状影
C.患者脱离接触有害灰尘后肺部改变继续加重
D.农民肺患者的肺门阴影一般不增大
E.慢性期肺部主要表现为弥散性间质性纤维改变
245、多项选择题 消化道穿孔的描述中,正确的有()
A.没有游离气腹征象就能排除胃肠穿孔
B.穿孔穿入腹腔内时,立位腹透可见膈下游离气体
C.小肠及阑尾穿孔后很少有气腹出现
D.依穿孔穿入腹腔内或腹膜后间隙而有不同的X线表现
E.以上均正确
246、名词解释 胃扭转
247、名词解释 轨道征
248、判断题 老年人鞍背出现骨密度减低时,最大的可能为恶性病变所致。
249、单项选择题
男,8岁。跌倒时手掌着地,查体:肘部明显肿胀,有压痛,肘关节呈半屈曲状向外突出畸形,肘后三角尚存。
首先应做进行的肘部辅助检查为()
A.超声检查
B.DSA
C.关节造影术
D.X线检查
E.MRI检查
250、判断题 色素沉着绒毛结节性滑膜炎通常为多关节受累,病变关节周围骨质不疏松为其特点。
251、单项选择题 下列正常骨结构中,哪种平片能显示()
A.骨膜
B.红骨髓或黄骨髓
C.关节软骨
D.关节囊
E.骨皮质
252、单项选择题 关于腰椎侧位片显示的叙述,错误的是()
A.全部腰椎呈侧位显示在片内
B.椎间孔投影于照片正中
C.腰大肌影像清晰
D.椎体后缘无双边征
E.椎间隙显示清晰
253、配伍题 PTA可治疗()动脉化疗可治疗()血管动脉栓塞可治疗()非血管介入治疗()
A.胰腺癌动脉化疗
B.下腔静脉支架置入
C.脾动脉栓塞
D.前列腺支架置入
E.空肠造瘘
254、单项选择题
男,38岁,突感胸部不适,X线检查如图,最可能的诊断是()

A.肺部炎症
B.胸腔积液
C.肺结核
D.正常心、肺、膈
E.胸膜炎
255、单项选择题 胸片示左心室增大,则可除外()
A.高血压心脏病
B.梅毒性心脏病
C.二尖瓣关闭不全
D.二尖瓣狭窄
E.动脉硬化性心脏病
256、单项选择题 心脏摄影时的呼吸方式是()
A.平静呼吸下曝光
B.平静呼吸下屏气曝光
C.深吸气后屏气曝光
D.深呼气后屏气曝光
E.均匀缓慢浅呼吸中曝光
257、单项选择题 有关锐利度和模糊度的叙述,错误的是()
A.模糊度也称不锐利度
B.模糊度以长度(mm)量度
C.照片的锐利度与模糊值成反比
D.物体越小,照片对比度越低,模糊值小
E.模糊值一定时,随对比度增加锐利度越好
258、判断题 慢性化脓性骨髓炎一般无或仅有轻微的不规则骨质破坏,一般无死骨形成。
259、单项选择题 下列有关尤文肉瘤的叙述,哪项是错误的()
A.病变好发生于长骨的骨干或干骺端
B.髓腔内出现斑片状骨质破坏
C.骨膜呈葱皮样改变
D.破坏区周围骨质常无反应性骨硬化
E.对放射治疗相当敏感
260、单项选择题 手掌后前斜位摄片,中心线应对准()
A.第2掌骨头
B.第2掌骨头基底部
C.第3掌骨头
D.第3掌骨头基底部
E.第4掌骨头
261、单项选择题 2/3胃次全切除术后,不常见的并发症是()
A.空肠消化性溃疡
B.吻合口溃疡
C.残端胃炎
D.胆石症
E.倾倒综合征
262、多项选择题 克罗恩(Crohn)病有哪些并发症()
A.脓肿形成
B.肠梗阻
C.瘘管形成
D.肠结核
E.肠癌
263、判断题 不具备气腹征象并不能排除胃肠穿孔的可能性。
264、单项选择题
男,55岁,有结肠癌史,结合图像,最可能的诊断是()

A.肝转移
B.结肠癌复发
C.门静脉栓塞
D.十二指肠癌
E.以上都不是
265、单项选择题 关于手部退行性骨关节病,下列哪项不是其X线表现()
A.指骨基底及掌骨头骨刺
B.关节间隙狭窄
C.关节面硬化
D.关节边缘部骨侵蚀
E.关节半脱位
266、名词解释 Bennet骨折
267、单项选择题 观察筛窦首选()
A.头颅正位
B.头颅侧位
C.柯氏位
D.颅底位
E.华氏位
268、单项选择题 有关膀胱癌和结石的鉴别,下列错误的是()
A.双重对比造影两者等同
B.癌与结石均不随体位改变而移动
C.膀胱癌浸润膀胱壁,使膀胱壁不光整和硬化
D.膀胱癌的充盈缺损边缘不光整,而结石则光滑
E.X线平片易于诊断结石
269、单项选择题 关于“食管裂孔疝”的描述,错误的是()
A.疝囊位于后下纵隔区
B.疝囊上缘狭窄为“B”环
C.常有返流性食管炎
D.“B”环是食管粘膜与胃粘膜交界处
E.疝囊粗大的胃粘膜皱襞
270、单项选择题 输卵管全长8~14cm,由内向外分为()
A.间质部、壶腹部、伞部、峡部
B.间质部、峡部、壶腹部、伞部
C.壶腹部、间质部、峡部、伞部
D.峡部、壶腹部、间质部、伞部
E.伞部、间质部、峡部、壶腹部
271、单项选择题 下述Ebstein畸形的诊断要点,错误的是()
A.右心房明显增大
B.肺血减少
C.肺动脉段平直或凹陷
D.三尖瓣下移畸形
E.左心房明显增大
272、判断题 气管隆突下组淋巴结肿大在正、侧位照片上可清楚显示为结节状阴影。
273、多项选择题 常见的颅壁压迹有()
A.导静脉压迹
B.脑回压迹
C.脑膜中动脉压迹
D.蛛网膜颗粒压迹
E.大脑中动脉
274、配伍题 肺动脉瓣位于()二尖瓣位于()主动脉瓣位于()
A.平第4前肋或第3前肋间水平
B.相当于第5肋软骨与胸骨右缘连接处
C.在第4肋软骨与胸骨左缘连接处
D.第3前肋水平
E.第4前肋水平
275、单项选择题
关于X线物理效应的说法,哪项是正确的()
a.穿透作用
b.电离作用
c.荧光作用
d.热作用
e.干涉与衍射作用
A.a,b,c
B.a,b,e
C.a,d,e
D.b,c,d
E.a~e全部
276、多项选择题 参与右肺门构成的有()
A.右上肺动脉
B.右下肺支气管
C.右下肺动脉
D.右下肺静脉
E.以上都是
277、单项选择题 X线信息影像转换成可见密度影像的介质,不含()
A.屏-片系统
B.影像增强系统
C.电影胶片
D.观片灯
E.荧光屏
278、单项选择题 后前位胸片上,左心缘见不到哪项结构()
A.肺动脉段
B.主动脉结
C.左心耳
D.左心室
E.右心室
279、单项选择题 先天性肩胛骨高位症,正确的摄片体位是()
A.双侧腕关节正位
B.双侧踝关节正位
C.双侧肩关节正位
D.双侧肩胛骨正位
E.双肩锁关节正位
280、判断题 膈膨升主要表现为膈肌矛盾运动和膈的升高。
281、填空题 胰腺假性囊肿作为急性胰腺炎的并发症大约在病程的______周内形成,为_______________、_________________所致。
282、单项选择题
男,67岁,胸痛半月余,胸片检查如图,最可能的诊断为()

A.左上肺结核球
B.左上肺周围型肺癌
C.左上肺炎性假瘤
D.左上肺球形不张
E.左上肺脓肿
283、问答题 如何判断颞颌关节脱位?
284、单项选择题 下列右心室增大的胸片影像表现,错误的是()
A.心尖圆钝、上抬
B.右心室流出道膨隆
C.右心室流入道膨隆
D.心腰消失、位置上移
E.向后扩大参与组成右心缘
285、单项选择题 临床怀疑“肾结石”患者,首选以下哪种检查()
A.KUB
B.选择性肾动脉造影
C.IVU
D.逆行尿路造影
E.CT
286、单项选择题 下列说法,哪个正确()
A.小肠始于幽门,止于盲肠
B.通常,膈肌左侧高于右侧
C.肾静脉注入门脉
D.通常,左肾高于右肾
E.髂外动脉供应盆腔内脏器的营养
287、配伍题 慢性支气管炎可出现()肺癌可出现()间质性肺水肿可出现()
A.支气管憩室征
B.支气管截断征
C.空气支气管征
D.支气管宽径征
E.支气管周围袖套征
288、多项选择题 肺间质包含下述哪些成分()
A.肺泡间隔
B.小叶间隔
C.肺泡管
D.肺泡壁
E.支气管及血管的周围组织
289、单项选择题
6岁,女,右小腿疼痛,跛行5年,无明显外伤史,右小腿正侧位片如图所示,最可能诊断是()
A.先天性骨不连
B.先天性骨梅毒
C.先天性假关节形成
D.成骨发育不全
E.软骨发育不全
290、名词解释 机械性肠梗阻
291、填空题 房间隔缺损,按缺损部位分为__________、__________、__________。
292、单项选择题 关于骨与关节的先天性畸形的描述中,下列哪项是正确的()
A.以发育障碍为多见
B.以分裂异常为多见
C.以发育障碍和分裂异常为多见
D.以发育障碍为多见,分裂异常少见
E.以分裂异常为多见,发育障碍少见
293、单项选择题 两肺血减少,肺动脉段突出,左侧肺动脉大于右侧,属于下述哪种疾病改变()
A.法洛四联征
B.动脉导管未闭
C.肺动脉瓣狭窄
D.高位室间隔缺损
E.以上都不是
294、单项选择题 下列关于胸膜斑知识,哪项正确()
A.接触石棉15年左右出现
B.常累及壁层胸膜
C.10cm以上
D.多数厚度大于2cm
E.边缘模糊
295、单项选择题
女,48岁,胸痛1周,结合图像,最可能的诊断是()

A.肺转移瘤
B.韦格肉芽肿
C.肺类风湿病
D.多发性肺脓肿
E.肺癌
296、单项选择题 婴幼儿间质性肺炎急性阶段的重要X线表现是()
A.肺实变
B.肺膨胀
C.肺不张
D.支气管扩张
E.间质纤维化
297、问答题 纵隔如何分区?
298、填空题 常见腹主动脉病变有_______________、______________和_____________。
299、名词解释 白肿
300、单项选择题 产生X线对比度小的组织与器官()
A.消化道,血管,脂肪
B.血管,生殖系统,脂肪
C.泌尿系统,血管,脂肪
D.消化道,血管,生殖系统
E.生殖系统,泌尿系统,脂肪