时间:2025-07-23 02:48:20
1、多项选择题 电离辐射的生物效应,包括以下哪几个阶段()
A.物理阶段
B.物理化学阶段
C.化学阶段
D.生物学阶段
E.有丝分裂阶段
2、问答题 何谓乳腺癌前哨淋巴结?
3、单项选择题 骨髓显像的评价一般不包括下列哪项内容()
A.骨髓内放射性分布情况及显像剂聚集程度
B.外周骨髓显影程度
C.中央骨髓有无减少
D.骨髓内有无局限性缺损
E.肝脾显影情况
4、单项选择题 在相位显像分析的主要诊断应用中下列哪个是错的()
A.冠状动脉粥样硬化性心脏病
B.先天性心脏病的异常分流
C.传导阻滞
D.预激综合征
E.心室壁瘤
5、单项选择题 放射性核素肝胆显像,诊断急性胆囊炎的条件是()
A.肠道1h内没有放射性
B.肝影持续不消退
C.肝胆管呈现胆道树结构
D.胆囊持续不显影
E.肝脏摄取显像剂量低
6、单项选择题 一般认为静息时以左心室射血分数(LVEF)判断异常的标准是()
A.<40%
B.<45%
C.<50%
D.<55%
E.<60%
7、问答题 PET在脑肿瘤诊断中有何临床意义?
8、单项选择题 平衡法心血池显像中,弥漫性室壁运动低下见于下列哪种疾病()
A.扩张型心肌病
B.室壁瘤
C.肥厚型心肌病
D.心肌炎
E.肺心病
9、单项选择题 两侧唾液腺摄取低下常见于()
A.病毒感染
B.细菌感染
C.干燥综合征
D.放射性炎症
E.酒精中毒
10、单项选择题 带电粒子在某一长度径迹上消耗的能量与该径迹在光电效应中,γ光子()
A.通过多次散射失去能量
B.失去的能量等于光子能量减去结合能
C.失去一半能量
D.失去全部能量
E.损失的能量与物质密度有关长度之比是()
11、单项选择题 在核素肝、胆系统显像中,急性胆囊炎的影像特点是()
A.肠道24小时依然不出现放射性
B.胆道延迟至4小时不显像
C.胆囊延迟至4小时依然不显像
D.肝脏局部出现放射性反时相分布
E.肝脏显影延迟,吸收不好
12、问答题 简述影响骨显像质量的因素。
13、单项选择题 一瓶Tc在25cm处的计量率是64uSv/h,那么在lm处的计量率是()
A.32uSv/小时
B.16uSv/小时
C.8uSv/小时
D.4uSv/小时
E.以上都不对
14、单项选择题 下面哪一项不是肺灌注显像的适应证()
A.肺动脉血栓栓塞症
B.充血性心力衰竭
C.肺源性心脏病
D.支气管肺癌
E.先天性心脏病合并肺血管畸形
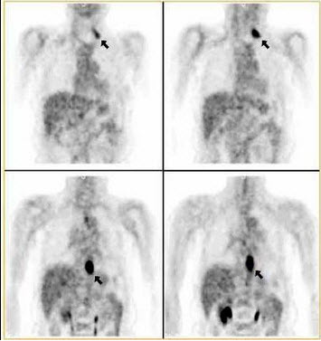
15、单项选择题
54岁男性,进食吞咽有梗阻感半年,行18F-FDG显像如图,诊断是()
A.胃癌
B.胃癌伴锁骨上淋巴结转移
C.食管癌伴锁骨上淋巴结转移
D.喉癌伴纵隔淋巴结转移
E.以上都不是
16、单项选择题 PET显像主要在哪些方面发挥重要作用()
A.神经、内分泌、消化
B.神经、心血管、骨骼
C.呼吸、消化、血液
D.神经、心血管、肿瘤
E.以上都不是
17、单项选择题 在核医学显影中,能够为疾病的诊断提供生理、生化变化信息的影像称为()
A.超微解剖影像
B.超微病理影像
C.分子影像
D.高分辨率影像
E.化学图像
18、单项选择题 甲状腺功能亢进I治疗的绝对禁忌证是()
A.年龄在20岁以下的青少年患者
B.结节性甲状腺肿伴甲状腺功能亢进者
C.胸骨后甲状腺肿伴甲状腺功能亢进
D.妊娠期和哺乳期妇女
E.重度甲状腺功能亢进患者
19、多项选择题 亲心肌梗死显像剂有()
A.99Tcm-MIBI
B.201Tl
C.99Tcm-PYP
D.111In-抗肌凝蛋白抗体
E.18F-FDG
20、问答题 肝胶体显像得异常表现有哪些?其临床意义是什么?
21、多项选择题 下列各项中,属于存活心肌的是()
A.冬眠心肌
B.顿抑心肌
C.心肌瘢痕
D.无13N-NH和18F-FDG浓聚
E. 99Tcm-MIBI摄取降低但有18F-FDG浓聚
22、单项选择题 先天性心脏病时了解有无左向右分流或右向左分宜用()
A.心肌平面显像
B.心肌断层显像
C.首次通过法心血管造影
D.平衡法心血池显像
E.平衡法心血池体层显像
23、问答题 PET在短暂性脑缺血发作和脑梗死诊断中有何临床意义?
24、单项选择题 下列哪种情况血清β-HCG浓度不增高()
A.早孕及宫外孕
B.绒毛膜上皮癌
C.恶性葡萄胎
D.先兆流产和不全流产
E.乳腺癌
25、单项选择题 属于癌前病变的乳腺疾病为()
A.乳腺纤维腺瘤
B.纤维囊性乳腺病
C.乳腺小叶增生
D.乳腺纤维腺病
E.乳腺硬化性腺病
26、填空题 一般肾静态显像检查时,以_____为合适体位,马蹄肾显像检查时,以_____为最佳体位。
27、单项选择题 肾脏指数(Rl)是反映肾功能的半定量指标,肾功能中度受损的RI值是()
A.<20%
B.20%~30%
C.30%~40%
D.>40%
E.<10%
28、单项选择题 放射性废物处理中放置衰变法需放置多长时间才作一般废物处理()
A.2个半衰期
B.5个半衰期
C.10个半衰期
D.15个半衰期
E.20个半衰期
29、单项选择题 下列哪个疾病无甲状腺吸I率减低的表现()
A.原发性甲状腺功能减退
B.继发性甲状腺功能减退
C.外源性甲状腺激素摄入过多
D.先天性甲状腺过氧化酶缺陷
E.亚急性甲状腺炎
30、单项选择题 I用于甲状腺显像的主要原理是()
A.细胞吞噬
B.循环通路
C.选择性摄取浓集
D.合成代谢
E.通透弥散