时间:2025-07-02 00:38:20
1、单项选择题
患者有风心病史,该病诊断是()

A.左房黏液瘤
B.左房赘生物
C.左房良性肿瘤
D.左房血栓
E.以上都不是
2、填空题 儿童的管状骨的超声声像为:皮质为____________,骨髓腔为_________________,远处骨皮质显示为_______________,表面的关节软骨为__________。
3、单项选择题 胎儿肾脏最常见畸形是()
A.多囊肾
B.肾脏缺如
C.游走肾
D.肾多发囊肿
E.肾发育不良
4、单项选择题 超声诊断早孕直接征象为()
A.子宫增大
B.宫壁肌层内见暗区伴丰富血供
C.宫腔内见孕囊回声
D.双侧卵巢增大
E.以上均不是
5、问答题 超声诊断在产科临床有何意义?
6、单项选择题 频谱多普勒超声检测到从零位基线向上的血流频谱,表明血流是()
A.反向的动脉血流
B.反向的静脉血流
C.流向探头的血流
D.背离探头的动脉血流
E.背离探头的静脉血流
7、单项选择题
女,52岁,右上腹不适,CT示卵巢占位,结合超声声像图,诊断为()
A.肝囊肿
B.肝包虫病
C.转移性肝癌
D.肝脓肿
E.肝血管瘤
8、单项选择题 胰头的钩突部后方为下腔静脉,前方为()
A.门静脉
B.胆总管
C.肝动脉
D.肠系膜上动脉
E.肠系膜上静脉
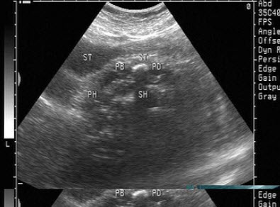
9、单项选择题
患者,急性胰腺炎治疗后,超声见胰管内多个强回声光团,后伴声影,如图所示,考虑为()
A.胰腺胰管结石
B.胰腺脓肿
C.胰腺肿瘤
D.胰腺假性囊肿
E.胰腺胰管钙化
10、单项选择题 采用聚焦技术的主要目的是()
A.抑制旁瓣效应
B.改善横向和侧向分辨率
C.提高帧频
D.减少超声伪像
E.改善超声的指向性
11、单项选择题 一患者查体发现肝右后叶下段一个0.8cm的强回声斑块,后伴干净声影,周围无门静脉分支,肝内外胆管无扩张,其可能诊断为()
A.肝内胆管结石
B.肝内钙化灶
C.肝内胆管积气
D.肝圆韧带断面
E.以上都不是
12、单项选择题 频谱多普勒超声可直接测量的血流参数是()
A.阻力指数(RI)
B.压力阶差(PG)
C.搏动指数(PI)
D.收缩/舒张期速度比(S/D)
E.收缩期峰值速度(Vs)
13、单项选择题 对肾动脉狭窄的描述,错误的是()
A.高血压可伴腰背部疼痛
B.肾动脉内记录到高速低阻的血流信号
C.腹背部听到血管杂音
D.晚期患侧肾脏体积缩小
E.狭窄后肾内动脉血流加速时间延长,加速度减小
14、单项选择题
男,11岁,右侧阴囊空虚,左侧睾丸可触及,右侧腹股沟区可探及低回声肿块,如图所示,考虑为()
A.隐睾
B.淋巴结
C.腹股沟疝
D.腹股沟肿瘤
E.以上都不是
15、单项选择题 伴发羊水过多的胎儿畸形是()①脊柱裂②骨骼系统异常③膈疝④尿道闭锁
A.①
B.①②
C.①②③
D.①②③④
E.②③
16、单项选择题 为诊断心血管疾病,超声造影的给药途径()
A.口服
B.从外周静脉注入
C.经胃管灌入
D.经颈静脉注入
E.经直肠注入
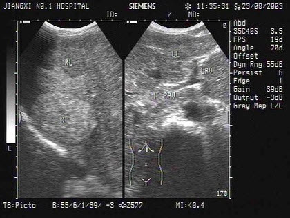
17、单项选择题
某患者肝脏声像图表现,最可能的诊断是()
A.肝转移癌
B.原发性肝癌并门脉癌栓
C.弥漫性肝癌
D.肝硬化并门脉海棉样变性
E.肝硬化并门脉血栓形成
18、单项选择题 使用5MHz的探头,在某一材料中的波速为每秒1500米,其波长为()
A.0.3mm
B.0.3cm
C.0.6mm
D.0.6cm
E.0.8mm
19、单项选择题 超声能检出阴道哪一部位肿瘤()
A.上1/3
B.中1/3
C.下1/3
D.中下部
E.以上都是
20、单项选择题 关于空间分辨率的影响因素,下列叙述中正确的是()
A.频率越高,则纵向分辨率越差
B.实际上,轴向分辨率约为波长的1/2
C.横向分辨率仅与声束宽度有关
D.声束越宽,侧向分辨率越差
E.近场与远场的空间分辨率相同
21、单项选择题 位于肝圆韧带内的血管是()
A.胃左静脉
B.门脉左内分支
C.左肝动脉分支
D.脐静脉
E.左肝静脉
22、单项选择题 下列对彩色多普勒血流成像的叙述,哪项是正确的()
A.从彩色信号的颜色可判断是动脉或静脉
B.血流成像不受超声入射角的影响
C.高速血流成像时易出现彩色信号折返
D.只能用于显示极低速的血流
E.血流信号过高时不出现彩色信号折返
23、单项选择题 不属于腔内探头的是()
A.阴道探头
B.直肠探头
C.食管探头
D.胃镜探头
E.普通扇型探头
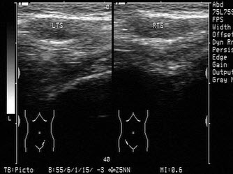
24、单项选择题
一腹痛患者,根据右下腹声像图表现,最可能的诊断是()
A.肠梗阻
B.阑尾炎
C.正常阑尾
D.结肠癌
E.肠套叠
25、单项选择题
该病例最有可能诊断()

A.左房黏液瘤
B.主动脉瓣关闭不全
C.二尖瓣狭窄
D.二尖瓣关闭不全
E.二尖瓣脱垂
26、单项选择题
24周胎儿股骨超声检查如图,最可能的诊断是()
A.致死性骨发育不全
B.内翻足
C.羊膜带综合征
D.骨硬化症
E.并指(趾)畸形
27、单项选择题
该病例最有可能诊断()

A.肺静脉畸形引流
B.上腔静脉型房缺
C.Ⅱ孔型房缺
D.卵圆孔重开
E.下腔静型房缺
28、问答题 房间隔缺损超声声像图表现?
29、单项选择题 下列哪项表现与结节性甲状腺肿无关()
A.甲状腺不规则,非对称性增大
B.实质回声增粗,内呈多个中等偏强回声结节
C.结节内可见液性暗区、强光点
D.CDFI显示血流丰富,血流呈花环状包绕结节,并有细小分支伸入结节内
E."冲洗征"
30、单项选择题 彩色血流图是指()
A.振幅调制型
B.辉度调制型
C.彩色血流显像
D.多普勒频谱显示
E.以上都不是