时间:2025-06-30 01:20:20
1、单项选择题
女,根据其正常骨盆影像图像,判断其最可能的年龄()
A.2岁左右
B.5岁左右
C.8岁左右
D.11岁左右
E.14岁左右
2、单项选择题
男,68岁,从2米高的平台坠落后颈部疼痛6小时,结合影像学检查,最可能的诊断是()
A.脊椎结核
B.椎体压缩性骨折
C.脊椎转移瘤
D.化脓性脊柱炎
E.强直性脊柱炎
3、多项选择题 对于侧隐窝的描述,正确的有()
A.其前界是椎体和椎间盘的后缘,侧缘是椎弓根的内缘,后界是上关节突前内缘
B.侧隐窝是椎管内神经根通向椎间孔的部位又称神经管
C.侧隐窝前后宽度即椎弓根高度
D.测量侧隐窝宽度的正确方法是测量椎管前缘到关节突关节前内方的距离即可
E.侧隐窝的宽度若在5mm以上即不存在狭窄
4、多项选择题 食管裂孔疝直接X线征象为()
A.A环
B.B环
C.膈上出现疝囊
D.食管环形狭窄
E.环形征
5、单项选择题 慢性化脓性骨髓炎瘘管经久不愈的原因是()
A.骨质增生
B.脓腔或死骨存在
C.骨干增粗
D.新生骨形成
E.骨髓腔闭塞
6、单项选择题
女,71岁,左肩痛,系统性红斑狼疮服用高剂量的类固醇半年,结合图像,最可能的诊断是()
A.化脓性关节炎
B.类风湿关节炎
C.骨纤维肉瘤
D.肱骨头缺血坏死
E.肩关节结核
7、单项选择题 小肠出血确诊的主要依据为()
A.钡餐透视
B.双重造影
C.CT
D.B型超声
E.血管造影
8、单项选择题 成人颅内高压的主要X线征象是()
A.头颅增大
B.颅缝分离
C.囟门增宽
D.脑回压迹增多
E.蝶鞍骨质吸收和扩大
9、单项选择题 关于骨性胸廓的组成,正确的是()
A.胸椎和肋骨连接而成
B.胸椎和胸骨连接而成
C.胸骨和肋骨连接而成
D.胸椎胸骨和肋骨连接而成
E.胸骨锁骨和肋骨连接而成
10、单项选择题 PTC是()。
A.厚膜铂电阻的英文缩写
B.PN结温度传感器的英文缩写
C.正电阻温度系数热敏电阻的英文缩写
D.负电阻温度系数热敏电阻的英文缩写
11、多项选择题 骨折延迟愈合或不愈合常见于()
A.距骨骨折
B.胫骨上1/3骨折
C.舟骨骨折
D.股骨颈骨折
E.肱骨干骨折
12、单项选择题 环枕融合常伴有()
A.环枕关节半脱位
B.颅底凹陷
C.颈髓交界处受压移位
D.A+B+C
E.A+B
13、多项选择题 成人股骨头缺血坏死股骨头塌陷的X线征象是()
A.股骨头皮质成角
B.台阶征
C.双边征
D.裂隙征
E.股骨头节裂
14、单项选择题 男,65岁,咳嗽,右胸痛,痰中带血丝1周。胸部后前位片示:右肺门影增大,右上肺大片状致密影,水平裂呈反“S”样改变。 右上肺大片状致密影侧位片位于()
A.右肺上叶尖后段
B.右肺上叶前段
C.右肺下叶背段
D.右肺中叶
E.右肺上叶
15、单项选择题 有关杜纳(Turner)综合征的X线表现中,哪项错误()
A.掌骨征阳性
B.腕骨角增大
C.胫骨内髁关节面变平面下陷
D.脊柱侧弯后突,腰椎呈方形
E.骨骺发育正常,与骨干联合延迟
16、多项选择题 经眶上裂出入颅的结构有()
A.视神经
B.动眼神经
C.滑车神经
D.展神经
E.眼神经
17、单项选择题
男,78岁,上腹痛1月余,返酸,无嗳气,空腹加重。体检:上腹压痛,结合图像,最可能的诊断为()
A.正常表现
B.慢性胃炎
C.胃癌
D.十二指肠憩室
E.十二指肠占位
18、单项选择题 婴幼儿摄胸片时,描述错误的是()
A.不能站立的小儿可用仰卧位或俯卧位
B.因小儿胸部厚度较薄,用前后位和后前位照像无明显差别
C.呼气和吸气时摄影无明显差别
D.正常胸腺有时与心脏增大或肺炎相混淆
E.正常也可见气管移位
19、单项选择题 胸片上,肺静脉高压最早出现的影像为()
A.下肺静脉收缩
B.间质性肺水肿
C.上肺静脉扩张
D.下肺静脉收缩
E.上、下肺静脉均收缩
20、单项选择题
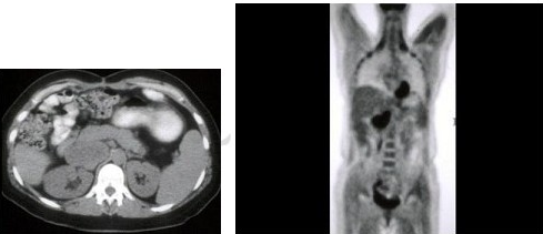
男,55岁,有结肠癌史,结合图像,最可能的诊断是()

A.肝转移
B.结肠癌复发
C.门静脉栓塞
D.十二指肠癌
E.以上都不是
21、单项选择题 X线检查左心房最有效的方法为()
A.左前斜位加食管吞钡
B.右前斜位加食管吞钡
C.后前位
D.右侧位
E.右前斜位
22、多项选择题 食管裂孔疝的X线征象表现为()
A.心后区含有液平面的囊状影
B.食管下端明显狭窄
C.膈上幕状粗大粘膜
D.食管胃环出现
E.局限性食管蠕动消失
23、单项选择题 下列关于“乳腺病变”,说法错误的是()
A.“Paget病”有转变为导管癌可能
B.髓样癌,边缘光整
C.只要见到腋下淋巴结,就提示转移
D.细小钙化多见于乳腺管内肿瘤
E.触诊比影像显示的肿块大,则提示恶性可能
24、单项选择题 下列关于肠结核X线征象,错误的是()
A.盲肠缩窄、收缩及变形
B.回肠末端受侵,粘膜破坏
C.回肠病变近侧端可见钡剂滞留,肠管扩张
D.肠道运行正常
E.回盲部可见跳跃征
25、单项选择题 胸部正位摄片,胸厚测量的正确部位是()
A.第5胸椎水平
B.第6胸椎水平
C.第7胸椎水平
D.第8胸椎水平
E.第9胸椎水平
26、单项选择题
男,28岁,摔伤后肩部疼痛,活动受限,结合影像学表现,最可能的诊断是()
A.柯莱斯骨折
B.肱骨头骨折
C.肱骨外科颈骨折
D.加莱阿齐骨折
E.蒙泰贾骨折
27、单项选择题 关于药品服用时间,下列叙述错误的是()
A.选择适宜的服药时间可以提高药物疗效
B.选择适宜的服药时间可以降低给药剂量,节约医药资源
C.选择适宜的服药时间可以减少和规避药品不良反应
D.肾上腺皮质激素类药物宜采用早晨一次给药或隔日早晨一次给药
E.降脂药宜清晨服药
28、单项选择题
男,23岁,跛行,外展受限,两下肢不等长,结合图像,最可能的诊断是()
A.髋关节中心脱位
B.髋关节后脱位
C.髋关节前脱位
D.先天性髋内翻
E.髋关节结核
29、单项选择题 X线片表现肺血增多,临床表现有发绀者是()
A.二孔型房间隔缺损
B.心内膜垫缺损
C.动脉导管未闭
D.室间隔缺损
E.艾森门格综合征
30、单项选择题 肿瘤的实质由透明细胞组成的是()
A.乳腺髓样癌
B.肝细胞癌
C.直肠腺癌
D.胃黏液癌
E.肾细胞癌