时间:2025-06-09 19:50:45


1、单项选择题 胼胝体发育不全的直接征象是()
A.大脑纵裂增宽与第三脑室前部相连
B.室间孔不同程度的扩大和分离
C.第三脑室扩大上升位于侧脑室之间
D.双侧侧脑室扩大、分离
E.以上都不是
2、单项选择题 女,56岁,突感眩晕呕吐,言语不清。查:声音嘶哑,吞咽困难,左眼裂,瞳孔变小,左面部和右半身痛觉减退,左侧指鼻试验不准。 为了明确诊断,最有意义的检查为()
A.颅脑CT
B.颈动脉多普勒检查
C.颅脑X线平片
D.脑血管造影
E.腰穿
3、单项选择题 化脓性脑膜炎CT平扫早期表现是()
A.早期脑回之间界限模糊
B.早期可无异常发现
C.早期脑沟、脑池、大脑纵裂处密度增高
D.早期脑表面出现细条状或脑回状强化
E.早期室管膜或脑表面钙化
4、单项选择题
女,58岁,背部隐痛2月余,1年前行乳癌根治术,结合影像学检查,最可能的诊断()
A.脊椎结核
B.脊膜瘤
C.神经鞘瘤
D.室管膜瘤
E.脊柱转移瘤
5、多项选择题 副癌综合征包括()
A.骨关节肥大
B.神经肌肉综合征
C.杵状指
D.水样腹泻
E.低钠、高钙、低磷
6、单项选择题 40岁,女性,体检发现肾占位,平扫CT值-80HU,增强扫描无明显强化,超声为强回声,应首先考虑()
A.肾囊肿
B.肾腺癌
C.肾结核
D.肾脓肿
E.肾血管平滑肌脂肪瘤
7、单项选择题 以下哪项CT表现不支持支气管囊肿的诊断()
A.肿物呈卵圆形
B.肿物内无气体影
C.肿物内有气体影
D.肿物均匀轻度强化
E.肿物边缘光滑锐利
8、单项选择题
女,50岁,根据所提供的图像,最可能的诊断是()
A.肝细胞癌
B.肾上腺腺瘤
C.肾上腺腺癌
D.肾癌
E.以上都不是
9、单项选择题
男,45岁,右下腹胀痛、并可触及质硬包块,结合图像,最可能的诊断是()
A.结肠Crohn病
B.结肠癌
C.肠结核
D.结肠淋巴瘤
E.慢性溃疡性结肠炎
10、单项选择题
根据PET和CT图像,最可能的诊断是()
A.间皮瘤
B.陈旧性积脓
C.腺癌
D.胸膜炎
E.以上都不是
11、单项选择题
根据所提供的图像,该病例的最可能的诊断为()
A.胰腺癌
B.肾上腺癌
C.胃肠道间质瘤
D.假性囊肿
E.以上都不是
12、单项选择题 下列哪项不支持鼓室血管球瘤()
A.搏动性耳鸣
B.蓝色鼓膜
C.神经性耳聋
D.CT示鼓室内软组织小肿块
E.颈动脉管与颈静脉管骨性边缘清晰
13、单项选择题 鉴别肾盂旁囊肿和肾盂积水扩张,应采用下列哪种方法()
A.薄层扫描
B.增强扫描
C.冠状图像重建
D.平扫并测CT值
E.以上都不是
14、单项选择题
该新生儿右下肺团块,CT血管造影提示诊断为()
A.假性囊肿
B.肺隔离症
C.肺炎
D.动静脉畸形
E.以上都不是
15、单项选择题 鞍区CT扫描后处理技术不包括()
A.根据不同的部位和病变灵活选用窗宽和窗位
B.若病变和周围组织密度接近时,可适当调窄窗宽
C.若伪影较多或需观察局部组织的丰富层次,可调低窗位,并适当调宽窗宽
D.若伪影较多或需观察局部组织的丰富层次,可调高窗位,并适当缩小窗宽
E.鞍区CT图像常用软组织窗和骨窗
16、多项选择题
男,65岁,左腰部隐痛不适2月,CT平扫+增强如图所示,下列说法正确的是()
A.平扫时可见左肾局部隆起,腹主动脉旁、肾门部有等密度的块影
B.增强扫描可见左肾局部隆起病灶有不均匀强化
C.腹主动脉旁、肾门部的块影与左肾内的病灶强化方式相同
D.腹腔内未见积液,所示骨质亦未见破坏
E.考虑为左肾癌伴肾门淋巴结转移
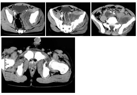
17、多项选择题
男,29岁,反复发作血尿1年余,CT如图所示,下列说法正确的是()
A.左侧肾盂扩张积水
B.左侧输尿管扩张
C.左侧输尿管末端,膀胱入口处可见高密度影
D.左输尿管结石
E.膀胱结石
18、单项选择题 胸膜凹陷征形成的病理基础是()
A.肿瘤瘢痕收缩
B.瘤内含气、扩张的细支气管
C.肿瘤内残存正常含气肺组织
D.肿瘤钙化或包埋原有钙化灶所致
E.癌细胞浸润及间质反应
19、单项选择题
女,34岁。查体B超示胰头部占位,内部呈无回声区。CT检查发现胰头部2.9cm×2.4cm大小的囊样病灶,囊壁菲薄,其内可见分隔,未见壁结节,增强扫描未见强化,如图所示,最可能的CT诊断为()
A.囊性胰腺癌
B.浆液性囊腺瘤
C.浆液性囊腺癌
D.黏液性囊腺癌
E.胰腺假囊肿
20、多项选择题 关于泪腺混合瘤,下列说法正确的是()
A.占泪腺上皮性肿瘤的50%
B.80%为良性,20%恶性
C.泪腺肿瘤中最常见的一种
D.肿瘤组织只起源于泪腺上皮组织的内层
E.瘤内不会见到软骨及骨化
21、单项选择题
男,53岁,吸烟史30多年,头痛,CT检查如图,最可能的诊断为()

A.转移瘤
B.脑囊虫病
C.多发结节性硬化
D.结核瘤
E.脑膜瘤
22、单项选择题 男,50岁,腹部不适。CT示胰腺略小,胰管轻度扩张,可见较多细小钙化灶,最可能的诊断是()
A.胰腺癌
B.慢性胰腺炎
C.急性胰腺炎
D.胰腺结核
E.动脉硬化钙化
23、单项选择题 多发性硬化急性期CT征象中,下列描述哪项不正确()
A.有明显占位效应
B.多位于侧脑室周边
C.可单发或多发,大小不等
D.脑白质内区低密度病灶
E.边界清楚或模糊
24、单项选择题
女,45岁,右腰部疼痛伴血尿,根据所示图像,最可能的诊断是()
A.右肾结核
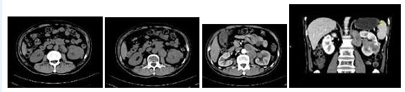
B.右肾出血
C.右肾结石
D.右肾积水
E.右肾结石合并右肾扩张积水
25、单项选择题 与普通平片相比,下列哪一项不是CT的优点()
A.密度分辨率高
B.解剖分辨率高
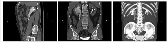
C.空间分辨率高
D.可进行多方位重建
E.增强扫描有利于病灶的定性
26、单项选择题 CT导向穿刺活检拔针后扫描目的在于()
A.观察病灶有无缩小
B.观察穿刺针眼有无闭合
C.观察有无早期合并症
D.观察出血量的多少
E.观察穿刺层面是否标准
27、单项选择题
根据所提供图像,最可能的诊断是()
A.骨折
B.舟骨不连
C.骨髓炎
D.骨转移
E.以上都不是
28、多项选择题 肝癌门脉癌栓的CT征象可表现为()
A.受累血管扩张
B.增强后癌栓呈低密度充盈缺损
C.增强后可见管壁强化
D.主干周围侧枝形成
E.门脉高压加剧
29、多项选择题 前列腺癌发生远处转移,正确的描述是()
A.骨转移最多见
B.常为成骨性骨转移
C.可为溶骨性骨转移
D.一般不发生骨转移
E.可发生肺转移
30、单项选择题 CT诊断慢性骨髓炎优于X线平片是()
A.检出骨膜增生
B.空间分辨率高
C.检出血管增生
D.检出细小死骨
E.检出骨增生
31、单项选择题
男,52岁,贲门癌术后3年,肝脏CT增强扫描如图所示,考虑的疾病为()
A.贲门癌肝转移
B.原发性肝细胞癌
C.肝海绵状血管瘤
D.多囊肝
E.肝囊肿
32、多项选择题 注射对比剂后,乳腺增强的程度正确的是()
A.脂肪组织增加的CT值<2HU
B.导管和腺体组织增加的CT值≤10HU
C.导管和腺体组织增加的CT值≥10HU
D.乳晕后组织和乳头增加的CT值≥15HU
E.乳晕后组织和乳头增加的CT值≤15HU
33、多项选择题 肺放线菌病的CT表现为下述哪些()
A.肺门淋巴结肿大
B.结节灶或小空洞影
C.肋骨骨膜增生
D.局灶性或广泛性实变影
E.空气半月征及晕轮征
34、单项选择题 儿童最常见的颈髓肿瘤是()
A.髓母细胞瘤
B.少突胶质细胞瘤
C.星形细胞瘤
D.生殖细胞瘤
E.畸胎瘤
35、单项选择题 下面对腹部CT扫描技术的描述错误的是()
A.患者仰卧,也可根据观察部位的需要采用侧卧位或俯卧位
B.摄取一个正位定位像
C.肝脏和脾脏以AM顶为扫描基线
D.胆囊和胰腺以肾门为扫描基线
E.腹膜后腔以肝门为扫描基线
36、单项选择题
男,62岁,左腹股沟可触及肿块,结合所示图像,正确答案是()
A.斜疝
B.精索脂肪肉瘤
C.淋巴瘤
D.黑色素瘤
E.以上都不是
37、单项选择题 正常头颅CT轴位鞍上池呈()
A.圆形或椭圆形
B.梯形或双梯形
C.三角形或梭形
D.长方形或方形
E.五角或六角形
38、多项选择题 恶性肿瘤中不常有骨膜反应的是()
A.纤维肉瘤
B.原发网状细胞肉瘤
C.尤文肉瘤
D.骨肉瘤
E.溶骨性骨转移瘤
39、多项选择题 下列哪些是典型肝脓肿的CT表现()
A.平扫示低密度占位,中心区CT值略高于水
B.多为圆或椭圆形,部分腔内有分隔
C.脓肿内可见小气泡
D.脓肿周围出现不同密度环形带
E.增强扫描脓肿壁有较明显的强化,但强化持续时间很短
40、单项选择题
患者腹痛,结合图像,最可能的诊断是()
A.阑尾炎
B.憩室炎
C.胰腺炎
D.肠系膜脂膜炎
E.以上都不是
41、单项选择题 面神经管分()
A.2段
B.3段
C.4段
D.5段
E.6段
42、单项选择题 “小膀胱征”多见于()
A.膀胱息肉
B.膀胱结石
C.膀胱结核
D.膀胱移行上皮癌
E.急性膀胱炎
43、单项选择题
女,61岁,左眼不适逐渐外突,视力异常,闭眼不能,时有溢泪,近期左额出现包块,质软,逐渐增大,CT检查如图,最可能的诊断是()


A.黏膜下囊肿
B.淋巴瘤
C.炎性假瘤
D.鼻窦癌
E.额窦筛窦黏液囊肿
44、多项选择题 局灶性肝脂肪浸润可有以下CT表现()
A.右叶较左叶多见
B.病变与正常肝组织分界十分清晰
C.增强后CT值升高,但不及正常肝组织
D.增强后病变内见走行正常的血管
E.无占位效应
45、单项选择题 肝脏血液循环的特点,以下观点哪项是对的()
A.约3/4的肝脏正常血供来自门静脉
B.约3/4的肝脏正常血供来自肝动脉
C.原发性肝癌,约3/4血供来自门静脉
D.原发性肝癌,门静脉、肝动脉供血各半
E.以上都不对
46、单项选择题 关于冠状动脉闭塞端的CT表现下列哪项是正确的()
A.鼠尾状表现提示急性闭塞
B.鼠尾状表现提示慢性闭塞
C.截断状表现提示慢性闭塞
D.截断状表现提示慢性闭塞的急性期
E.以上都不对
47、单项选择题 脊柱骨转移瘤,CT扫描更重要的是可以明确()
A.有无骨破坏
B.有无软组织肿块
C.有无骨膜反应
D.是否侵犯椎管和硬膜囊
E.有无压缩性骨折
48、单项选择题 关于腹部脏器的增强扫描CT检查,错误的是()
A.采用静脉内团注法
B.门脉期延迟扫描时间60~70秒
C.实质期延迟扫描时间85~90秒
D.怀疑肝血管瘤,则实质期的延迟扫描时间为30~50分钟
E.肾脏增强扫描通常应扫描皮质期、髓质期和分泌期
49、单项选择题 早期“泪腺肿瘤”的诊断最佳技术是以下哪项()
A.CT矢状面扫描
B.瓦氏位摄片
C.柯氏位摄片
D.CT冠状面扫描
E.CT横断面扫描
50、单项选择题 男,16岁,视力下降4个月,双目失明10天,无癫痫发作史,双面部皮脂腺瘤,背部鲨角斑(多发)双侧视乳头边缘模糊呈灰色,视网膜鼻侧有散在片状出血,CT平扫双侧侧脑室外侧壁显示多发高密度钙化小结节影,增强后结节影数目增多,最可能的诊断为()
A.脑转移瘤
B.结节性硬化
C.多发性硬化
D.脑囊虫病
E.脑脓肿
51、单项选择题 下列疾病中,可以发生交通性脑积水的是()
A.桥小脑角肿瘤
B.先天性中脑导水管狭窄
C.脑膜炎
D.松果体瘤
E.小脑胶质瘤
52、多项选择题 慢性腮腺炎的影像表现有哪些()
A.有脓液时,CT检查偶可见气体征象
B.平片偶可发现涎石
C.腮腺X线造影可见主导管扩张及不规则或增粗不均
D.腮腺X线造影可见“手握球”征
E.腮腺X线造影对比剂可至腮腺外
53、单项选择题 关于腹膜后间隙肿瘤的CT表现,错误的是()
A.肾旁前间隙肿瘤可使胰腺向前移位
B.肾周间隙肿瘤可引起肾轴旋转
C.肾周间隙肿瘤可使肾旁后间隙受压变窄、缩小
D.脂肪肉瘤由纤维组织、黏液组织和脂肪组织三种成分组成
E.分化程度较低的脂肪肉瘤可表现为软组织密度肿块
54、单项选择题 肾囊肿的常见临床表现是()
A.血尿
B.肿物
C.疼痛
D.尿频、尿急
E.一般无临床症状
55、单项选择题 鉴别听神经瘤与三叉神经瘤最重要的征象是()
A.瘤体与颅板呈锐角
B.增强幅度
C.合并出血、坏死
D.中、颅后窝骑跨生长
E.岩骨尖骨质破坏
56、单项选择题 无论肾结石是否透光,诊断价值最大的检查方法应为()
A.IVP
B.腹部平片
C.B超
D.螺旋CT
E.MRU
57、单项选择题 CT辐射防护中,局部剂量测量常用X线管电流量为()
A.80mAs
B.100mAs
C.120mAs
D.150mAs
E.200mAs
58、单项选择题 结节病患者CT表现为肺门及纵隔淋巴结肿大,双肺见斑片状磨玻璃影伴纤维条索状影,属于哪一期()
A.Ⅰ期
B.Ⅱ期
C.Ⅲ期
D.Ⅳ期
E.Ⅴ期
59、单项选择题 40岁男性,体检发现胆总管局限性扩张,CT增强扫描,扩张的胆总管壁无增厚、强化表现,肝内胆管结构正常,胆总管远端无“截断征”,最可能诊断为()
A.胰头癌
B.壶腹癌
C.化脓性胆管炎
D.先天性胆总管囊样扩张症
E.硬化性胆管炎
60、单项选择题 甲状腺CT扫描时,对于病人呼吸状态的要求应是()
A.不要屏气
B.吸气后屏气
C.呼气后屏气
D.平静呼吸状态下屏气
E.以上状态均可
61、单项选择题 女性,52岁,右上腹疼痛伴黄疸,CT平扫见肝左内叶及右前叶密度减低,肝内胆管轻度扩张,正常胆囊不显示,局部见与肝密度相似的软组织肿块影,最可能的诊断是()
A.急性胆囊炎
B.慢性胆囊炎
C.胆囊结石
D.肝癌
E.胆囊癌
62、单项选择题
女,24岁,发热畏寒数天,右眼睛疼痛,PE:右眼睑肿胀,结膜充血,伴右眼突出,CT如图所示,最可能的诊断是()
A.Coats病
B.炎性假瘤
C.淋巴瘤
D.眼眶蜂窝织炎
E.眼型Graves病
63、单项选择题 关于第六脑室的描述,不列哪项是错误的()
A.又称“Vergae”腔
B.透明隔向后延伸
C.脑脊液密度
D.位于第三脑室体部中间
E.与脑室相通
64、单项选择题 卵巢囊肿中最常见的是()
A.皮样囊肿
B.单纯囊肿
C.巧克力囊肿
D.滤泡囊肿
E.多囊病
65、多项选择题 CT诊断脊椎结核的优于X线平片的表述中,正确的为()
A.容易显示轻微的骨质破坏
B.容易显示轻微的椎间隙狭窄
C.容易显示椎旁脓肿
D.容易显示椎管是否受累
E.增强扫描可以显示椎旁脓肿有环形强化
66、单项选择题 上颔窦癌向后侵犯,使()
A.窦外侧骨壁破坏,壁外脂肪密度消失
B.窦部皮下脂肪与肌间隙消失
C.颞下窝结构不清
D.翼突破坏,翼腭窝增宽
E.齿槽骨破坏
67、单项选择题
男,74岁,间歇性无痛性全程血尿2月余,尿路造影及CT平扫+增强如图所示,下列说法错误的是()
A.尿路造影示右侧肾盂内不规则的充盈缺损征象
B.CT平扫示右侧肾盂内软组织块影
C.增强扫描示右侧肾盂内软组织块影轻度强化
D.考虑为右侧肾盂癌
E.考虑为右侧肾盂内血块
68、单项选择题 脑萎缩的影像,下列描述哪项是错误的()
A.脑沟增宽
B.脑室扩大
C.侧脑室周围低密度水肿带
D.脑回变窄
E.健侧脑组织向患侧移位
69、多项选择题 颅骨骨折的间接征象为()
A.颅内积气
B.乳突气房消失
C.骨折线
D.软组织肿胀
E.蝶窦内气液平面
70、单项选择题 心肌梗死灶CT增强扫描表现为()
A.早期增强扫描病灶呈局限性高密度影
B.早期增强扫描病灶呈局限性缺损区
C.早期延迟扫描均呈高密度区
D.晚期延迟扫描均呈低密度区
E.以上都不对
71、单项选择题 男,50岁,右肺尖发现异常肿块样影,临床表现右眼球内陷,瞳孔缩小,右上肢疼痛,最可能的诊断是()
A.肺转移癌
B.肺结核
C.胸壁结核
D.肺上沟癌
E.肺结节病
72、多项选择题
男,45岁,间断性腰背痛4个月,突发左下肢全肢水肿,小腿有张力性水泡,胸腹部CT扫描如图,下列哪些征象或结论正确()
A.下腔静脉缺如
B.下腔静脉变细
C.奇静脉增粗
D.奇静脉变细
E.正常CT表现
73、单项选择题
男,28岁,胸闷气急,伴干咳,查体见颈静脉显露,CT如图,最可能的诊断为()
A.心包肥厚
B.心包积液
C.心肌炎
D.贫血性心脏病
E.心包转移瘤
74、单项选择题 与X线平片相比较,CT诊断脊椎结核的优点,下列说法哪项不正确()
A.容易显示轻微的骨质破坏
B.容易显示椎旁脓肿
C.容易显示椎管是否受累
D.容易显示轻微的椎间隙狭窄
E.静脉注射对比剂可以显示椎旁脓肿有环形增强
75、单项选择题 喉腔最狭窄的部位为()
A.喉前庭
B.假声带
C.喉室
D.声门
E.声门下腔
76、单项选择题 与CT图像密度分辨率无关的是()
A.光子的数量
B.像素噪声
C.焦点尺寸
D.焦点至探测器距离
E.扫描层厚
77、单项选择题 有关急性胆囊炎的诊断,错误的是()
A.结石嵌顿或细菌感染是其主要致病原因
B.CT是急性胆囊炎的首选影像学检查
C.胆囊壁弥漫性增厚伴明显强化
D.胆囊周围出现低密度环
E.胆囊壁内可出现气泡或线状气体影
78、多项选择题
男,67岁,咽喉部异物感3年余,从小经常出现咽喉部疼痛伴发热,X线及CT检查如图,正确的描述或诊断是()
A.侧位片示与下颌骨部分重叠的条形致密影
B.CT示右侧下颌骨内侧咽旁间隙见条形致密影
C.右侧扁桃体结石
D.右侧扁桃体出血
E.右侧扁桃体肿瘤
79、单项选择题
根据所提供的图像,该病例的最可能的诊断为()
A.胰腺癌
B.无功能胰岛细胞瘤
C.腺病
D.淋巴瘤
E.以上都不是
80、单项选择题 先天性支气管囊肿的CT表现中,哪项是不正确的()
A.含液囊肿在肺窗上表现为圆形高密度影,边界清楚锐利
B.含液囊肿在纵隔窗上表现为囊肿密度均匀
C.含液囊肿合并感染时在肺窗上表现囊肿周围可见淡薄高密度渗出性改变
D.含气囊肿在肺窗上表现为边界清楚的圆形高密度无肺纹理区
E.液气囊肿在肺窗及纵隔窗上均可见液气平面影像
81、单项选择题 椎间盘突出的部位常见于()
A.颈2~3
B.颈3~4
C.胸5~6
D.腰3~4
E.腰5~骶1
82、单项选择题
男,60岁,咽喉部肿痛半年,CT检查如图,下述说法错误的是()
A.右下咽部见不规肿块影
B.肿块内部密度不匀
C.肿块不均匀强化,右颈部见肿大的淋巴结
D.考虑为淋巴瘤
E.考虑为下咽癌
83、单项选择题 骨纤维异常增殖症发生恶变,最常见恶变为下述哪一种肿瘤()
A.骨纤维肉瘤
B.软骨肉瘤
C.巨细胞瘤
D.成骨肉瘤
E.骨血管肉瘤
84、多项选择题 炎性假瘤弥漫炎症型的CT征象为()
A.泪腺增大肿胀
B.眼外肌正常
C.视神经增粗
D.球后脂肪密度增高
E.眶内结构分界不清
85、单项选择题 不同CT值范围提示不同成分,下列叙述中错误的是()
A.3~18HU提示为液体
B.-1000HU提示为空气
C.-20~-80HU提示为脂肪
D.80~300HU提示为钙化
E.>400HU提示为骨骼
86、单项选择题 骨梗死最易累及的部位为()
A.桡骨下部
B.肱骨上部
C.胫腓骨骨干
D.肱骨下端
E.股骨上部
87、单项选择题 星形细胞瘤据其组成的细胞类型可分四型,不属于其类型为()
A.纤维细胞型
B.毛发细胞型
C.原浆细胞型
D.肥胖细胞型
E.生殖细胞型
88、单项选择题 不属于良性星形细胞瘤征象的是()
A.位置表浅
B.轻度增强
C.轻度水肿
D.钙化
E.有出血,坏死
89、单项选择题
男,4个月,相貌怪异,结合图像,最可能的诊断()

A.颅缝早闭
B.小脑畸形
C.颅底陷凹
D.Dandy-Walker综合征
E.脑积水
90、单项选择题 哪一种改变能引起继发性椎管狭窄()
A.黄韧带肥厚
B.椎间盘向后膨隆
C.椎体后缘骨质增生
D.椎小关节增生
E.以上都是
91、单项选择题
男,71岁,消瘦、咳嗽、胸痛,结合胸片和CT,最可能的诊断是()
A.脂肪肉瘤
B.心包脂肪垫
C.脂肪蓄积症
D.胸腺脂肪瘤
E.胸腺囊肿
92、单项选择题
患者表现为小肠梗阻,结合图像,最可能的诊断为()
A.小肠癌
B.淋巴瘤
C.卵巢癌
D.子宫平滑肌瘤
E.以上都不是
93、单项选择题 Caroli氏病属于先天性胆管囊肿哪一型()
A.Ⅰ型
B.Ⅱ型
C.Ⅲ型
D.Ⅳ型
E.Ⅴ型
94、单项选择题 淋巴结转移的诊断标准是()
A.长径>0.5cm,横径>0.5cm
B.长径>2.0cm,横径>1.5cm
C.长径>1.0cm,横径>0.75cm
D.长径>1.5cm,横径>1.0cm
E.长径>2.5cm,横径>2.0cm
95、单项选择题 人的肉眼从黑到白能分辨多少个灰度层次(灰阶)()
A.1000
B.100
C.5
D.500
E.16
96、单项选择题
该患者因血尿急诊,根据所提供图像,最可能的诊断是()
A.肾结石
B.血块
C.移行细胞癌
D.息肉
E.以上都不是
97、单项选择题 下面关于眼及眼眶CT扫描技术的叙述错误的是()
A.横断位扫描,听眶线与床面垂直
B.横断位扫描,扫描基线为听眶线或听眦线
C.扫描范围一般从眶底至眶顶
D.冠状位扫描听眶线与床面平行
E.冠状位扫描,扫描范围从眼球前部至鞍底
98、单项选择题 女性,30岁,双侧突眼6个月。CT示双侧下直肌和内直肌呈梭形增大,增强扫描呈明显强化,眼环正常,眼球突出约1.0cm,最可能的诊断是()
A.血管性病变
B.细菌性肌炎
C.横纹肌肉瘤
D.甲状腺性突眼
E.炎性假瘤
99、单项选择题
男,46岁,无痛性腹部肿块10月余,进行性增大伴消瘦2个月,结合图像,最可能的诊断是()
A.脂肪肉瘤
B.纤维肉瘤
C.神经源性肿瘤
D.滑膜肉瘤
E.转移瘤
100、单项选择题 膀胱三角区正确的描述是()
A.膀胱底部两侧至膀胱颈部区域
B.膀胱顶部两侧至膀胱颈部区域
C.膀胱底部至输尿管开口区域
D.膀胱底部至膀胱颈部
E.膀胱底部输尿管开口至尿道内口区域
101、单项选择题 以下肾肿瘤中,哪种最常发生肺转移()
A.乳头状瘤
B.移行上皮癌
C.鳞状细胞癌
D.肾母细胞瘤
E.错构瘤
102、单项选择题 CT扫描注意事项中不包括()
A.CT检查病人应先更衣、穿鞋套
B.不合作患者,CT扫描前应作镇静或麻醉处理
C.需增强扫描的病人常规做碘过敏试验
D.认真阅读申请单
E.根据病人要求确定扫描参数
103、单项选择题 关于周围型肺癌的CT增强扫描,错误的是()
A.对于肺部病变,多直接行CT增强扫描便于发现病变并作出诊断
B.在动态CT增强扫描中肺癌的时间-密度曲线呈逐渐上升的形态
C.在CT强化的形态上肺癌多表现为完全强化
D.肺癌增强扫描的CT值比平扫增加20~80HU以上
E.CT增强扫描用于早期肺癌的鉴别诊断
104、单项选择题 CT机将X射线锥形射束转化为扇形射束的部件是()
A.滤过器
B.准直器
C.窗口
D.探测器
E.定位系统
105、单项选择题 盆腔CT检查,需求在膀胱充盈的状态扫描,目的是()
A.观察膀胱的蓄水量
B.与邻近的子宫区别
C.更清楚地显示膀胱内壁
D.观察膀胱壁的厚度
E.稀释肾脏排泄的对比剂
106、单项选择题 以下哪项不是结节性硬化的特征性CT表现()
A.脑室壁钙化结节
B.强化结节
C.脑灰质异位
D.灶性脱髓鞘
E.囊性结节
107、单项选择题 不适合做CT扫描的是()
A.颅脑外伤
B.脑肿瘤
C.新生儿缺氧缺血性脑病
D.精神分裂症
E.脑实质变性
108、单项选择题 与图像显示上下位置偏移有关的操作是()
A.病人摆位左右偏移
B.扫描机架倾角过大
C.床台升降调节有误
D.床台进出调节有误
E.扫描野选择有误
109、单项选择题
患者,女,83岁,胸部CT图像如下。则最确定的诊断为()
A.食管裂孔疝
B.胸主动脉瘤
C.胸主动脉夹层破裂
D.后纵隔囊实性占位性病变
E.无明显异常
110、单项选择题 关于窗技术描述错误的是()
A.窗位指窗宽上、下限CT值的平均数
B.窗宽指显示图像时所选用的CT值的范围
C.窗技术包括窗宽、窗位的选择
D.根据诊断需要调解图像的对比度和亮度的调节技术
E.如窗位和窗宽均调节至80,CT值的范围是80-160
111、单项选择题 关于囊形肝包虫病CT影像,下列描述错误的是()
A.囊壁可钙化
B.肝内大小、数目不等的囊性病灶
C.子囊密度比母囊高
D.“水上荷花征”
E.“双边征”
112、单项选择题
患者60岁,血尿,结合所示图像,结合所示图像,最可能的诊断是()
A.膀胱移行上皮细胞癌
B.血凝块
C.动静脉畸形
D.结石
E.结核
113、单项选择题 下列关于卵巢畸胎瘤的描述,错误的是()
A.绝大多数畸胎瘤为良性
B.发病主要见于青春期前
C.弧形钙化是特征性表现
D.肿瘤内可无脂肪或钙化组织的CT征象
E.肿瘤可为囊实性肿块
114、单项选择题
女,54岁,腰背部隐痛不适1月余,根据所示图像,最可能的诊断是()
A.左侧单纯性肾囊肿,右肾未见异常
B.左侧肾盂积水合并右侧肾血管平滑肌脂肪瘤
C.左侧单纯性肾囊肿合并右侧肾癌
D.左侧肾盂积水合并右侧肾癌
E.左侧单纯性肾囊肿合并右侧肾血管平滑肌脂肪瘤
115、多项选择题 男,19岁,头痛3个月,CT示鞍区实性病灶,关于影像学分析,下列哪些是正确的()
A.位于鞍上应首先考虑颅咽管瘤
B.位于鞍上偏前,有明显强化,无钙化应首先考虑脑膜瘤
C.无钙化可除外颅咽管瘤
D.位于鞍旁并明显强化,应考虑动脉瘤的可能
E.位于鞍旁并灶周水肿,无胶质瘤可能
116、单项选择题 与MRI比较,CT显示以下哪一种病变较好()
A.脊髓水肿
B.后纵韧带钙化
C.脊髓受压
D.后纵韧带撕裂
E.骨髓水肿
117、单项选择题
女,12岁,头痛、恶心、呕吐1周,平扫CT检查如图

女,9岁,视力下降1月余,CT检查如图,最可能的诊断为()

A.胶质瘤
B.脑膜瘤
C.脊索瘤
D.垂体瘤
E.颅咽管瘤
118、单项选择题 女,10岁,头痛,抽搐,右颞部膨隆,CT示右中颅凹有一3cm×4cm脑脊液样密度影,边界清楚,蝶骨大翼变薄,颞骨薄,向外膨隆,应诊断为()
A.神经纤维瘤病
B.表皮样囊肿
C.脑脓肿
D.蛛网膜囊肿
E.脑发育不全
119、单项选择题
女,57岁,右侧下腹壁逐渐增大性包块1年余,无发热,偶有疼痛,体检:右下腹壁触及一约7cm×8cm大小、质硬包块,活动度差,局部皮肤无红肿,CT表现如图,最可能的诊断为()
A.腹壁硬纤维瘤
B.腹壁转移癌
C.腹壁横纹肌肉瘤
D.腹壁神经纤维瘤
E.腹壁淋巴瘤
120、单项选择题
女,73岁,中上腹痛1月余,患者黄疸、消瘦,CT检查如下图,最可能的诊断是()
A.肝脓肿
B.巨块型肝癌
C.肝血管瘤
D.肝淋巴管瘤
E.肝胆管细胞癌
121、单项选择题 下述中,关于像素和体素的不准确的概念是哪项()
A.CT图像的基本组成单元称为体素
B.像素大小与图像的分辨率高低成反比
C.体素是一个三维概念
D.体素是被按矩阵排列分隔的基本成像单元
E.像素实际上是体素在成像时的表现
122、单项选择题
男,28岁,无意中发现左下颌骨较对侧隆起,CT如图所示,最可能的诊断是()
A.下颌骨齿釉细胞瘤
B.下颌骨巨细胞瘤
C.下颌骨角化囊肿
D.下颌骨根端囊肿
E.下颌骨含牙囊肿
123、单项选择题 急性出血坏死型胰腺炎的并发症不包括()
A.蜂窝织炎
B.脓肿
C.假性囊肿
D.胰腺管扩张
E.门静脉系统血管闭塞和血栓形成
124、单项选择题 关于阴茎的说法,错误的是()
A.由外向内依次为皮肤、阴茎浅深筋膜及白膜
B.阴茎背动脉、神经走行于白膜与阴茎深筋膜之间
C.阴茎深筋膜包裹3条海绵体并形成阴茎悬韧带
D.白膜包裹各海绵体并形成海绵体肌
E.阴茎浅筋膜与Colles筋膜、scarpa筋膜、阴囊肉膜相移行
125、单项选择题 下面对垂体微腺瘤的CT放大动态扫描的特点的叙述错误的是()
A.垂体微腺瘤放大动态扫描能清楚地观察微腺瘤及其与周围组织结构的关系
B.在增强扫描的早期阶段,在增强的垂体组织内微腺瘤呈局限性低密度影,边界多数清楚
C.在晚期阶段,微腺瘤皆为高密度病灶
D.在晚期阶段,微腺瘤可呈等密度或高密度病灶
E.动态扫描可观察微腺瘤血供的全过程
126、单项选择题 男,43岁,发现右侧眼球突出伴视力下降、眼球运动障碍半年,CT显示右侧眼眶内球后胍锥内有一密度均匀的类圆形肿块,边缘光滑、清晰,增强扫描呈均匀性明显强化,视神经受压移位。同时眼眶内可见静脉石影。该患者最有可能的诊断是()
A.神经鞘瘤
B.横纹肌肉瘤
C.颈动脉-海绵窦瘘
D.视神经胶质瘤
E.海绵状血管瘤
127、单项选择题 在腹腔转移癌的原发灶中,下列哪种较少见()
A.卵巢癌
B.胃癌
C.结肠癌
D.肾细胞癌
E.子宫癌
128、单项选择题
男,18岁,咳嗽头晕1月,结合胸片和CT检查,最可能的诊断是()

A.胸腺瘤
B.淋巴瘤
C.畸胎瘤
D.胸内甲状腺瘤
E.神经源性肿瘤
129、多项选择题 肝海绵状血管瘤的影像学表现中,包括()
A.抱球征
B.树上挂果征
C.早出晚归征
D.灯泡征
E.星状瘢痕征
130、单项选择题 下述正常脾脏CT表现,哪项不对()
A.脾脏上下径<15cm
B.CT平扫,比肝脏略高
C.平扫CT值,30~70HU
D.脾脏厚度3~4cm
E.脾脏强化先于肝脏
131、单项选择题 CT设备中,气体探测器主要采用()
A.氮气
B.氢气
C.氖气
D.氧气
E.氙气
132、单项选择题 不属于NF-Ⅰ型神经纤维瘤CT表现的是()
A.可并发脑膜病
B.蝶骨大翼发育不全
C.颞角脉络丛钙化
D.颞叶向眼眶疝出
E.双侧内听道扩大
133、单项选择题 有癫痫史,CT示脑内多发囊性病灶,无灶周水肿,同时可见多发钙化灶,查体发现皮下多发结节,最可能的诊断为()
A.脑囊虫病
B.结核性脑膜炎
C.转移瘤
D.化脓性脑膜炎
E.结核瘤
134、单项选择题 脑脓肿壁形成早期,CT表现为()
A.水肿最明显
B.结节样强化
C.不均匀环形强化
D.均匀环形强化
E.无水肿
135、单项选择题 内耳畸形包括()
A.前庭导水管扩大
B.面神经管异常
C.颈动脉异位
D.垂直外耳道
E.听小骨畸形
136、单项选择题
女,2岁,11个月时发现生长迟缓,结合图像,最可能的诊断是()
A.软骨发育不全
B.石骨症
C.蜡油骨病
D.骨斑点症
E.皮肤骨膜肥厚症
137、单项选择题
男,56岁,腹部包块伴高血压,CT扫描如图所示,下列说法错误的是()
A.双肾体积明显增大
B.双肾内可见多个大小不等的囊性病灶,呈蜂窝状改变
C.肝内可见多个大小不等的囊性病灶
D.考虑为多囊肾、多囊肝
E.考虑为双肾多发单纯性囊肿
138、单项选择题
患者有结肠癌病史,结合图像,最可能的诊断是()
A.骨盆脓肿
B.术后改变
C.肿瘤复发
D.骶椎肿瘤
E.以上都不是
139、单项选择题 患者,男性,71岁。主诉:发作性头晕、恶心、面色苍白伴高血压半年,入院观察,当时测量血压180/80mmHg,上腹部CT示:双侧少量胸腔积液,右侧肾上腺区有直径5cm大小圆形稍高密度影,边缘清晰,内部密度不均,病灶侵及肝尾叶。最可能的诊断为()
A.肾上腺囊肿
B.肾上腺转移瘤
C.肾上腺髓样脂肪瘤
D.肾上腺腺瘤
E.嗜铬细胞瘤
140、单项选择题 下列关于X线产生的具备条件描述,错误的是()
A.高真空
B.电子源
C.电子的骤然减速
D.阳极旋转
E.电子的高速运动
141、单项选择题
男,45岁,腰痛,结合图像,最可能的诊断是()
A.椎间盘膨出
B.椎间盘突出
C.椎间盘未见异常
D.腰椎骨质增生
E.前纵韧带钙化
142、多项选择题 男,67岁,头痛2周,CT示左额叶不均匀混杂密度肿块,周围大片水肿,关于影像学分析下列哪些是正确的()
A.内见条索样钙化,应考虑:少枝胶质细胞瘤
B.边界模糊不清,增强后瘤体不均匀强化应考虑星形细胞瘤
C.内无条索样钙化,可除外少枝胶质细瘤
D.周围出现环样强化,病灶中心密度高向四周渐低,应考虑有出血的可能
E.边界模糊不清,增强后瘤体不均匀强化应考虑转移瘤
143、单项选择题
男,31岁,常感觉头痛,CT图像如图,最可能的诊断为()

A.颅脑CT未见异常
B.小脑梗死
C.大枕大池
D.蛛网膜囊肿
E.筛窦炎
144、单项选择题 女性,45岁,CT平扫,右肾影均匀增大,内有多房囊样结构,肾实质变薄,增强扫描对比剂进入囊腔形成“液-液面”,首先考虑的病变为()
A.多囊肾
B.肾盂癌
C.肾盂积水
D.多发性肾囊肿
E.肾结核
145、单项选择题 关于CT扫描图像重建技术的理解,下述哪个不妥()
A.CT扫描图像重建是通过过滤函数的计算来完成的
B.过滤函数是CT机内设定的算法,操作者不可选择
C.根据观察不同组织的对比和诊断需选择不同的过滤函数
D.选择适当的过滤函数可提高图像质量
E.过滤函数影响图像空间分辨率与密度分辨率
146、多项选择题 CT在肺癌诊断中的价值是()
A.肺癌术前分期
B.显示隐匿性病灶
C.为纤维支气管镜检作向导
D.筛选行纵隔镜检查的病例
E.CT导向经皮穿刺
147、单项选择题
患者腹胀,盗汗,结合所示图像,最可能的诊断是()
A.淋巴瘤
B.肾癌
C.急性肾盂肾炎
D.肾结核
E.肾囊肿
148、单项选择题 颈1、2椎管前后径应于()
A.11~12mm
B.12~13mm
C.13~14mm
D.14~15mm
E.15~16mm
149、单项选择题
女,42岁,1年前行肝癌手术,胸部CT扫描如图,最可能的诊断为()
A.肝癌肺转移
B.肺结核球
C.球形肺炎
D.肺多发囊肿
E.肺脓肿
150、单项选择题 大脑半球纵裂前2/3至侧脑室外侧壁之间的供血动脉为()
A.大脑前动脉
B.大脑后动脉
C.大脑中动脉
D.大脑前、中动脉
E.脉络膜前动脉
151、单项选择题 右下肺门的主要构成为()
A.右下肺动脉及下肺静脉
B.右下肺动脉及上下肺静脉
C.右下肺静脉及动脉(除后回归支外)
D.右下肺静脉及相应支气管、淋巴结
E.右下肺动脉
152、多项选择题
女,64岁,左侧腰部胀痛,行CT扫描,如图所示,下列说法正确的是()
A.左肾区可见一巨大的占位性病灶,境界较清楚,胰腺尾部受压向前推移
B.该病灶密度不均匀,其内可见脂肪密度影,且呈不均匀强化
C.考虑为左肾来源的血管平滑肌脂肪瘤
D.考虑为左侧肾上腺来源的髓样脂肪瘤
E.考虑为腹膜后来源的脂肪肉瘤
153、单项选择题
男,31岁,感左坐骨区胀痛,无发热,结合所提供的图像,最可能的诊断是()
A.骨巨细胞瘤
B.骨囊肿
C.纤维异常增殖症
D.动脉瘤样骨囊肿
E.非骨化性纤维瘤
154、单项选择题
女,23岁,日晒后面部出现蝶形红斑,根据所示图像,最可能的诊断是()
A.双肾未见异常
B.急性肾小球肾炎
C.急性肾盂肾炎
D.慢性肾炎
E.狼疮性肾炎
155、单项选择题
女性,28岁。2个月前发现右颈有一肿块,无压痛,可移动。肿块缓慢增大。患者有盗汗、红细胞沉降率加快。体检:右侧胸锁乳突肌后缘可触及串状肿大淋巴结,直径0.7~1.5cm。CT图像如下,可诊断为()
A.颈淋巴结结核
B.淋巴瘤
C.神经鞘瘤
D.转移瘤
E.淋巴管瘤
156、单项选择题 下列哪项无法成为马蹄肾的诊断依据()
A.多不伴有肾盂肾盏积水后形态异常
B.双侧肾脏较正常位置低
C.双肾旋转不良
D.输尿管在肾脏前面下行,有一定弧度
E.双肾下极在脊柱前方融合可诊断
157、多项选择题 CT扫描的优点包括()
A.密度分辨力高
B.真正的断面图像
C.空间分辨力高
D.图像无层面以外的结构干扰
E.极限分辨力高
158、单项选择题 关于腹部CT扫描技术叙述错误的是()
A.肝脏和脾脏以AM顶为扫描基线
B.腹膜后腔以肝门为扫描基线
C.胆囊和胰腺以肝门为扫描基线
D.肾和肾上腺以肾上极为扫描基线
E.腹部扫描采用标准或高分辨率模式
159、多项选择题
男,36岁,反复发作的右侧腰背部疼痛伴血尿1年余,CT如图所示,下列说法正确的是()
A.右侧肾盂肾盏扩张
B.右输尿管上段扩张
C.右输尿管内可见沿输尿管走行的高密度影
D.右输尿管结石
E.右输尿管上段钙化
160、单项选择题
女,24岁,发热,左侧髋骶部疼痛,夜间明显2月余,结合影像学检查,最可能的诊断是()
A.急性骨髓炎
B.转移性神经母细胞瘤
C.尤文肉瘤
D.骨髓瘤
E.骨肉瘤
161、单项选择题 大动脉炎是一种()
A.以内膜损害为主的非特异性内层动脉炎
B.以中膜损害为主的非特异性中层动脉炎
C.以外膜损害为主的非特异性外层动脉炎
D.以中膜损害为主的非特异性全层动脉炎
E.以全层损害为主的非特异性全层动脉炎
162、单项选择题 关于进展期胃癌CT的描述,错误的是()
A.胃应适度充盈、扩张,并应用低张药物。
B.异常增厚的胃壁在增强时有较明显强化
C.CT较容易发现肝胃韧带内增大的淋巴结
D.大弯侧癌可沿胃结肠韧带浸润
E.CT易显示肿块,难以显示癌性溃疡
163、单项选择题 典型肝脓肿在CT上的表现,除中央低密度脓腔外,脓肿壁可出现三层环状结构,从内至外分别代表()
A.纤维肉芽组织,水肿带,炎性坏死组织
B.水肿带,炎性坏死组织,纤维肉芽组织
C.炎性坏死组织,水肿带,纤维肉芽组织
D.炎性坏死组织,纤维肉芽组织,水肿带
E.纤维肉芽组织,炎性坏死组织,水肿带
164、单项选择题 癫痫发作2次,CT平扫示侧脑室旁多发低密度灶,无占位效应,但强化后呈结节样增强。最可能的诊断是()
A.髓鞘形成异常
B.脑囊虫病
C.转移瘤
D.多发性硬化
E.脑脓肿
165、单项选择题 下列关于胰腺癌的描述,错误的是()
A.大多数肿块边界不清
B.起源于腺管或腺泡细胞
C.胰头瘤以围管浸润方式侵犯总胆管
D.常形成乳头状息肉突入总胆管内
E.胰腺癌较其他肿瘤转移早
166、多项选择题 从生物力学角度脊柱分为前、中、后三柱,正确的表述为()
A.前柱包括前纵韧带、椎体及纤维环和椎间盘的前2/3
B.中柱包括椎体及纤维环和椎间盘的后1/3、后纵韧带
C.后柱为脊椎骨附件
D.后柱骨性结构包括椎弓根、椎板关节突和棘突
E.后柱软组织为椎间关节的关节囊、黄韧带、棘间和棘上韧带
167、单项选择题
根据所提供的图像,可除外下列哪种诊断()
A.十二指肠间质瘤
B.十二指肠转移癌
C.胰腺腺癌
D.淋巴瘤
E.以上都不是
168、单项选择题
男,33岁,右肩部疼痛,巨大肿块,活动受限,结合图像,最可能的诊断是()
A.骨肉瘤
B.软骨瘤
C.骨软骨瘤
D.软骨肉瘤
E.骨转移瘤
169、单项选择题 以下CT表现中,对真菌性鼻窦炎具有定性诊断价值的是()
A.窦腔内软组织密度影
B.窦壁骨质结构完整
C.双侧下鼻甲肥大
D.窦壁黏膜增厚
E.窦壁软组织密度影伴有斑点或斑块状钙化
170、单项选择题 女,尿频尿急1年,尿白细胞(+++),红细胞少许,蛋白少量,尿细菌培养阴性。排泄性尿路造影发现左肾区、肾大盏扩张及虫蚀样边缘不整,右肾积水,膀胱呈球形改变,CT检查见左肾盏、肾盂扩张。应考虑为()
A.左肾结核
B.晚期肾盂肾炎
C.右肾结核伴膀胱转移
D.左肾结核并膀胱挛缩,对侧肾积水
E.肾肿瘤伴膀胱转移
171、单项选择题 眼眶炎性假瘤肌炎型CT表现,以下错误的是()
A.一条或数条眼外肌增粗、肥大
B.多累及下直肌和内直肌
C.整条眼肌弥漫肥大
D.边缘多模糊
E.边缘整齐
172、单项选择题
女,36岁,血尿1周,根据所示图像,最可能的诊断是()
A.膀胱血块
B.膀胱结石
C.膀胱息肉
D.膀胱癌
E.输尿管癌
173、单项选择题
男,35岁,有乙肝病史多年,AFP阳性,影像检查如图,最可能的诊断是()
A.肝硬化腹水
B.肝血管瘤
C.肝脓肿
D.肝癌、肝硬化、腹水
E.肝硬化,结节性增生
174、单项选择题 对于肾盂旁囊肿,最有价值的CT检查技术是()
A.增强后动脉期扫描
B.增强后静脉期扫描
C.螺旋容积扫描
D.增强后延迟扫描
E.图像重建
175、多项选择题 肾移植术后的并发症为()
A.血管系统并发症
B.排异反应
C.泌尿系统并发症
D.急性肾小管坏死
E.移植术后肿瘤
176、多项选择题 肝癌的特征性CT表现为()
A.门脉瘤栓
B.病灶边缘明显高低不平,强化持续时间很短
C.边缘不清,灶内有气体或增强出现坏死
D.灶周无水肿带、边缘强化出现“牛眼”征
E.边缘清晰无强化
177、单项选择题
根据所提供的图像,胰腺旁的气体可能来于()
A.胰十二指肠漏管
B.最近的活检所致
C.肿瘤坏疽
D.以上都是
E.以上都不是
178、单项选择题 良好充盈CT像上,正常消化道壁解剖,下列哪项不对()
A.食管壁厚度应≤3mm
B.胃壁厚度应≤8mm
C.小肠壁厚度应≤3mm
D.结肠壁厚度应≤3mm
E.贲门区处胃壁可较其余胃壁略厚
179、单项选择题 普通型间质性肺炎的CT特征是()
A.斑片状、网状、毛玻璃样密度影
B.不规则形,线状或蜂窝状阴影
C.散在分布斑片状阴影
D.多发5~7mm结节影,半数有空洞
E.钙化
180、单项选择题 不支持结节病的肺内改变的是()
A.两肺小结节影分布于肺门区的支气管血管束两侧
B.小结节影呈圆形,外形规则
C.可见斑片状磨玻璃影
D.叶间胸膜有结节样不规则增厚
E.融合的大块致密影可见支气管充气征或空洞
181、单项选择题
男,29岁,右肩肿物4年,质地硬,压痛不明显,结合图像,最可能的诊断是()
A.结核
B.骨转移瘤
C.成软骨细胞瘤
D.巨细胞瘤
E.软骨肉瘤
182、单项选择题 超声提示肾实质小占位,为明确诊断,进一步检查应首选下列哪项检查()
A.IVP
B.CT
C.KUB
D.放射性核素扫描
E.血管造影
183、单项选择题
女,34岁,咳嗽,腰背疼痛二年,CT检查如图,最可能的诊断是()
A.结核性脓肿
B.囊肿
C.淋巴管瘤
D.卵巢囊肿
E.卵巢囊腺瘤
184、单项选择题 下列哪种疾病,不会出现“中脑导水管狭窄”()
A.结节性硬化
B.先天性心脏病
C.弓形虫感染
D.炎症
E.Dandy-Walker综合征
185、单项选择题
女,66岁,全身性骨骼疼痛2月余,以骶部为重,结合影像学检查,最可能的诊断是()
A.骨转移瘤
B.骨髓瘤
C.骨质疏松
D.骨巨细胞瘤
E.骨囊肿
186、单项选择题 关于对比剂增强的“四腔心”层面,下列哪项描述是错误的()
A.可见左心室
B.可见右心室
C.可见左心房
D.可见右心房
E.可见升主动脉
187、多项选择题
女,57岁,右腰部胀痛6月余,触及右侧腹部包块2月,CT平扫及增强如图所示,下列说法正确的是()
A.平扫时可见右侧腹部巨大的软组织肿块影,其内可见小片状的低密度影
B.增强扫描肿块强化明显,其内可见无强化的低密度坏死灶
C.考虑肿块来源于肝脏,是原发性肝癌,并挤压推移右肾
D.考虑肿块来源于右肾,是巨大的肾癌,并挤压推移右肝,与其分界欠清
E.考虑肿块来源于右肾,是肾血管平滑肌脂肪瘤,并挤压推移右肝,与其分界欠清
188、单项选择题 有关系统性红斑狼疮描述,错误的是()
A.肺可受侵
B.易侵犯心血管、肾
C.多形成广泛肺纤维化和蜂窝肺
D.是一种全身性疾病
E.女性多见
189、单项选择题
女,43岁,两眼不能完全睁开,全身无力两年余。胸部CT扫描前纵隔内发现肿块,如图,最可能的诊断是()
A.畸胎瘤
B.心包囊肿
C.气管囊肿
D.胸内甲状腺肿
E.胸腺瘤
190、单项选择题 胆囊癌病理上最常见的是()
A.肉瘤
B.鳞癌
C.未分化癌
D.腺癌
E.类癌
191、单项选择题 患者,男,48岁,右眼突出半年。甲状腺功能检查正常。CT示右眼眶内直肌和下直肌增粗,密度较低,边缘模糊,注射对比剂后明显强化。最可能的诊断为()
A.炎性假瘤
B.甲状腺性眼球突出(Graves病)
C.横纹肌肉瘤
D.海绵窦瘘,眼外肌充血
E.细菌性眼肌炎
192、单项选择题 CT对于诊断前列腺癌的主要意义在于()
A.早期诊断
B.与良性前列腺增生肥大鉴别
C.确定晚期病变范围
D.确定肿瘤是否穿破包膜
E.判断有无骨转移
193、单项选择题 CT与常规X线体层摄片比较,最主要的不同是()
A.采用激光机相拍照
B.无层面外组织结构干扰
C.X线辐射剂量较小
D.可使用对比剂增加
E.以上均不是
194、单项选择题 CT扫描广泛应用于临床的根本原因是()
A.密度分辨力高
B.空间分辨力高
C.可获得冠状面、矢状面图像
D.患者接受X线少
E.显示的范围大
195、多项选择题 鼻中隔软骨部的组成结构包括()
A.鼻中隔软骨
B.鼻翼大软骨
C.鼻翼小软骨
D.侧鼻软骨
E.以上都不是
196、多项选择题 肺结核病的主要诊断依据()
A.临床症状
B.痰检
C.胸部X线检查
D.CT检查
E.USG检查
197、单项选择题 CT对骨巨细胞瘤的主要检查目的是检出()
A.骨破坏
B.骨增生
C.钙化
D.转移
E.软组织肿块
198、单项选择题
女,40岁,右眼反复溢泪伴眼球渐进性突出2年余,眼球运动受限,CT检查如图所示,最可能的诊断是()
A.泪腺囊肿
B.泪囊囊肿
C.泪腺血肿
D.泪囊血肿
E.眶内结核
199、单项选择题
男,50岁,中上腹饱胀、疼痛半年,消瘦,结合图像,最可能的诊断是()
A.淋巴瘤
B.胃腺瘤
C.胃癌
D.胃窦溃疡梗阻
E.胃平滑肌瘤
200、单项选择题
女,69岁,阵发性腹痛伴恶心呕吐7h,10年前因右侧腹股沟斜疝行手术治疗,因急性肠梗阻行CT扫描如图,最可能的诊断是()
A.急性肠梗阻
B.股疝
C.腹外斜疝
D.半月线疝
E.闭孔疝
201、单项选择题 男性,40岁,左眼胀痛,眼球外凸3个月余,体检时发现低头时左眼球外凸加重。最有可能的诊断为()
A.眶内炎性假瘤
B.眶内皮样囊肿
C.眶内血管瘤
D.眶内神经鞘瘤
E.眶内脑膜瘤
202、单项选择题 颞叶钩回疝致使鞍上池出现哪种变化()
A.前移
B.后移
C.向同侧移位
D.向对侧移位
E.变形、后移
203、单项选择题 对于视网膜母细胞瘤,其首选检查方法为()
A.B超
B.MRI
C.CT
D.眼眶平片
E.眼底荧光摄影
204、多项选择题 有关眶内海绵状血管瘤叙述正确的有()
A.视神经管扩大
B.多呈均匀性增强
C.视神经被包围或推移
D.多发于肌锥内
E.钙化多见
205、单项选择题
女,52岁,头痛、恶心、步态不稳,胸部和颅脑增强CT检查如图,最可能的诊断为()

A.星形细胞瘤
B.脑脓肿
C.肺癌脑转移
D.脑膜瘤
E.脑梗死
206、单项选择题
根据所提供的图像,最可能的诊断是()
A.肾细胞癌
B.移行细胞癌
C.肾静脉栓塞
D.急性肾盂肾炎
E.肾梗死
207、单项选择题 对探测器性能的叙述,错误的是()
A.对X线射能量具有良好的吸收能力
B.对较大范围的射线强度具有良好的反应能力及均匀性
C.工作性能稳定,有良好的再现性
D.残光少,且恢复常态的时间慢
E.体积小,灵敏度高,少量射线照射,能获得足够大信息强度
208、单项选择题 下列哪项临床表现对骨髓瘤的诊断最有价值()
A.50岁以上的男性
B.病理性骨折
C.尿中出现本—周氏蛋白
D.血清钙及球蛋白升高
E.进行性贫血
209、单项选择题
女,36岁。尿频、尿急伴发热月余。尿常规检查:镜下血尿,脓尿。CT平扫见下图。该患者最可能的诊断是()
A.肾脓肿
B.肾盂癌
C.肾结核
D.肾囊肿
E.错构瘤
210、多项选择题 能够做出椎间盘突出诊断的检查方法为()
A.CT
B.MRI
C.ECT
D.X线平片
E.脊髓造影
211、单项选择题 下列胃溃疡并发症中,哪种不宜钡餐检查()
A.幽门梗阻
B.溃疡癌变
C.慢性胃穿孔
D.活动性大出血
E.纳差、消瘦
212、单项选择题 男,45岁,腰骶部疼痛2年。CT示骶骨破坏伴软组织肿块及斑片样钙化,强化后扫描软组织部分有增强,最可能的诊断是()
A.巨细胞瘤
B.肉瘤
C.转移瘤
D.包囊虫
E.脊索瘤
213、单项选择题
男,44岁,发热、右上腹痛、压痛,右下肺呼吸音低,影像检查如图,最可能的诊断是()
A.腹腔积液
B.膈下脓肿
C.肝包膜下出血
D.肝硬化腹水
E.肝癌
214、单项选择题 下列“先天性畸形”骨改变特点描述,哪项错误()
A.Turner综合征:掌骨征阳性
B.Marchesani综合征:指/趾异常短小
C.Lobstein病:骨密度均匀性升高
D.Marfan综合征:四肢骨细长,指趾尤其明显
E.Sprengel畸形:肩胛骨高位、脊柱发育异常
215、多项选择题 下列有关主动脉缩窄的描述,哪些是正确的()
A.可疑主动脉缩窄时,CT扫描范围为主动脉弓和降主动脉
B.缩窄常发生于主动脉峡部和主动脉弓部
C.正常主动脉峡部直径为25~30mm
D.局限性狭窄上端或下端主动脉可见狭窄前或狭窄后扩张
E.部分严重的缩窄者可见扩张的肋间动脉和内乳动脉
216、单项选择题 下面哪项是急性硬膜下血肿的不典型表现()
A.梭形
B.均匀高密度
C.广泛
D.可跨越颅缝
E.中线结构移位
217、多项选择题 关于含牙囊肿描述正确的是()
A.向周围膨胀性生长
B.青少年多见
C.CT可见内含小牙或牙冠的低密度肿块
D.好发于磨牙区和上颌尖牙区
E.钙化多见
218、单项选择题 后鼻孔闭锁,最佳检查方法是()
A.副鼻窦瓦氏位
B.副鼻窦柯氏位
C.副鼻窦侧位
D.副鼻窦正位体层
E.副鼻窦横断CT扫描
219、单项选择题
男,21岁,左上肢有外伤史,现感局部疼痛,可扪及包块,结合图像,最可能的诊断是()
A.骨外骨肉瘤
B.骨外软骨肉瘤
C.皮质旁骨肉瘤
D.邻皮质软骨瘤
E.骨化性肌炎
220、单项选择题 男,70岁,右肢体运动障碍2天,CT示左中央区低密度,内有斑片样高密度,最可能的诊断是()
A.急性脑梗死
B.亚急性脑梗死
C.慢性脑梗死
D.慢性出血性脑梗死
E.急性出血性脑梗死
221、单项选择题 下列何种疾病不属于肾先天性发育异常()
A.异位肾
B.孤立肾
C.肾囊肿
D.游走肾
E.融合肾
222、单项选择题 将射线能量转换为可供记录的电信号的装置是()
A.滤过器
B.探测器
C.准直器
D.A/D转换器
E.陈列处理机
223、单项选择题 关于听神经瘤的CT表现,下述不正确的是()
A.内听道可不增宽
B.肿瘤边缘清楚
C.可发生囊变坏死
D.多无明显强化
E.少数可双侧发病
224、单项选择题 颈部CT扫描的适应证不包括()
A.甲状腺肿瘤
B.颈部各种肿块
C.淋巴结肿大
D.腮腺炎
E.颈动脉体瘤
225、多项选择题 关于胰腺肿瘤的描述,正确的是()
A.胰腺癌占胰腺恶性肿瘤的95%,胰头癌占60%
B.90%胰腺癌为腺癌
C.疼痛伴黄疸为胰头癌最突出的症状
D.胰腺囊性肿瘤主要包括浆液性囊腺瘤和黏液性囊腺瘤或囊腺癌
E.胰岛细胞瘤分为功能性和非功能性
226、单项选择题 以纵隔7分区为例,下列哪种肿瘤好发生于中上纵隔()
A.胸腺瘤
B.生殖细胞瘤
C.神经鞘瘤
D.表皮样囊肿
E.恶性淋巴瘤
227、单项选择题
女,9岁,视力下降1月余,CT检查如图,最可能的诊断为()

A.胶质瘤
B.脑膜瘤
C.脊索瘤
D.垂体瘤
E.颅咽管瘤
228、单项选择题 关于脑肿瘤好发年龄的描述,哪项不对()
A.髓母细胞瘤:10岁以下多见
B.松果体生殖细胞瘤:10~30岁多见
C.脑膜瘤:常为40~50岁中年人
D.脉络膜乳头状瘤:50岁以上多见
E.颅咽管瘤:15岁以下儿童多见
229、单项选择题 关于螺旋CT扫描优点的描述,下列哪项不正确()
A.减少图像的运动伪影
B.明显提高空间分辨率
C.可动态扫描
D.减少患者的辐射量
E.缩短扫描时间
230、单项选择题
女,35岁,7月前无诱因出现左下肢阵发性疼痛,左骶髂部活动受限,进行性加重,排便困难,根据所提供的图像,最可能的诊断是()
A.脊索瘤
B.软骨肉瘤
C.骨巨细胞瘤
D.转移瘤
E.滑膜肉瘤
231、单项选择题 关于正常腮腺CT平扫表现的描述,错误的是()
A.密度低于肌肉
B.密度高于脂肪
C.密度低于颌下腺
D.腺体萎缩时密度增高
E.密度与腺体内的脂肪含量有关
232、单项选择题 下列关于CT密度分辨率的表达,正确的是()
A.0.35%
B.12LPS/cm
C.0.5%,3mm
D.14LPS/cm,MTF5%
E.2mm,0.35%,35mGy
233、单项选择题 关于腺样体的表述正确的是()
A.又称腭扁桃腺,位于咽侧壁的扁桃腺腺窝内
B.又称咽扁桃腺,位于咽侧壁的扁桃腺腺窝内
C.又称咽扁桃腺,位于咽顶壁,为一团淋巴组织
D.又称腭扁桃腺,位于咽顶壁,为一团淋巴组织
E.健康成人无腺样体
234、单项选择题 下列哪项是螺旋CT与传统CT的本质区别()
A.改变机架内重复旋转运动
B.提高病人检查的效率
C.克服呼吸运动差异使检查层面的丢失
D.加快扫描速度
E.获得的是三维检查信息
235、单项选择题 下列关于肝静脉的描述错误的是()
A.肝静脉包括肝左、中、右静脉
B.肝静脉包括肝左、中、右静脉,肝右后静脉和尾状叶静脉
C.肝左、中、右静脉出肝处称为第二肝门
D.肝右后下静脉和尾状叶静脉出肝处称为第三肝门
E.第二和第三肝门是相互移行的
236、单项选择题 CT扫描时,对呼吸控制要求高的是()
A.膀胱扫描
B.肝脏扫描
C.前列腺扫描
D.肾脏扫描
E.肾上腺扫描
237、单项选择题 喉部CT扫描体位,仰头目的在于()
A.病人舒服
B.头不易动
C.便于定位
D.喉室打开
E.防止下颌骨伪影
238、单项选择题 下列骨肿瘤中,哪种肿瘤的CT表现不显示肿瘤基质钙化()
A.成骨肉瘤
B.软骨肉瘤
C.巨细胞瘤
D.软骨瘤
E.骨母细胞瘤
239、单项选择题 当咽鼓管和咽隐窝同时张开,在轴位图像上,鼻咽腔可以呈()
A.三角形
B.长方形
C.方形
D.圆形
E.双梯形
240、单项选择题 CT诊断肾血管平滑肌脂肪瘤的关键是()
A.肿瘤境界清楚
B.合并结节硬化
C.肿瘤血管组织增强
D.瘤内容易出血
E.瘤内有脂肪成分
241、单项选择题 急性脑梗死发病后,CT可无异常发现的时间段为()
A.0~6h
B.0~24h
C.10~12h
D.14~18h
E.32~36h
242、单项选择题
患者,男性,21岁,左耳前区不适半年余。CT平扫如下图,最可能的诊断为()
A.骨瘤
B.骨样骨瘤
C.骨纤维异常增殖症
D.Paget病
E.慢性骨髓炎
243、单项选择题
男,68岁,上腹部隐痛二月余,CT检查如图,最可能的诊断是()
A.慢性胆囊炎
B.胆囊癌(肿块型)
C.胆囊腺肌增生症
D.胆囊息肉
E.胆囊区转移癌
244、单项选择题
男,33岁,腹部外伤后2月余,腹部疼痛,行CT扫描所见如图,最可能的诊断是()
A.急性胰腺炎
B.慢性胰腺炎
C.胰腺创伤性假性囊肿
D.畸胎瘤
E.腹腔包裹性积血
245、单项选择题
男,48岁,呼吸困难、胸痛,结合CT图像,最可能的诊断是()

A.支气管胸膜瘘
B.肺结核
C.吸入性肺炎
D.肺囊虫病
E.肺脓肿
246、单项选择题 腰椎CT扫描时,给病人腿部垫起的目的是()
A.让病人躺着更舒服
B.减轻病人由于椎间盘突出引起的疼痛
C.使腰椎的生理弧度减小
D.使扫描机架可以少倾斜角度
E.避免病人的脚弄脏检查床
247、单项选择题
女,28岁,反复咯血半月余,CT检查如图,最可能的诊断是()
A.肺结核
B.肺癌
C.间质性肺炎
D.支气管扩张
E.肺脓肿
248、单项选择题 以下哪项CT表现不支持视网膜母细胞瘤的诊断()
A.病变眼球小
B.病变内钙化
C.视网膜弥漫性增厚
D.相邻视网膜剥离
E.病变增强明显
249、单项选择题
男,36岁,呼吸困难,咳嗽,咳黏稠痰,糖原PAS染色阳性,结合CT图像,最可能的诊断是()
A.肺泡性肺水肿
B.肺泡蛋白沉积症
C.肺泡癌
D.系统性红斑狼疮
E.肺泡微石症
250、单项选择题
男,56岁,头部被弹片炸伤,CT检查如图,最可能的诊断是()

A.结核钙化
B.动静脉畸形
C.脑囊虫病钙化
D.脑血吸虫病
E.颅内异物(弹片)
251、单项选择题
男,32岁,右髂骨区疼痛、肿胀,结合图像,最可能的诊断是()
A.骨囊肿
B.骨巨细胞瘤
C.动脉瘤样骨囊肿
D.成软骨细胞瘤
E.骨肉瘤
252、单项选择题
男,58岁,上腹部剑突下胀痛3个月余,近期症状加重,伴消瘦、乏力及柏油样便,无黄疸。体检发现左锁骨上两个肿大淋巴结,无压痛,可移动。肝脾肋下未触及。上腹部CT图像如下


A.经淋巴结转移首先可分别转移到幽门上组、下组,胃上组或脾胰组
B.可通过胸导管转移到肺门淋巴结或左锁骨上淋巴结
C.通过门静脉转移到肝内十分常见
D.肺、骨转移较常见
E.晚期可种植于腹膜、卵巢或直肠陷凹上
253、单项选择题 对该病术前评价和术后随访的最佳方法是()
A.X线平片
B.DSA
C.MSCTA
D.超声成像
E.MRI
254、单项选择题 关于膀胱癌的CT表现,错误的是()
A.突入膀胱腔内的结节肿物
B.肿瘤可以是单发,也可是多发
C.肿瘤可以是带蒂生长
D.肿瘤累及粘膜下层和肌层表现为膀胱壁增厚
E.可区分肿瘤限于粘膜内或侵入粘膜下层
255、单项选择题
男,59岁,咳嗽,咳痰,痰中带血2月余,CT检查如图,最可能的诊断是()
A.肺结核
B.中央型肺癌
C.矽肺
D.肺炎
E.肺错构瘤
256、多项选择题 骨折的CT诊断,正确的表述为()
A.CT是平片的重要补充,可发现平片上不能发现的隐匿骨折
B.结构复杂和有骨性重叠部位的骨折,CT较平片能更精确显示骨折移位情况
C.不易观察骨折的整体情况,但三维重建则可全面直观地了解骨折情况
D.单凭CT就能确定有无骨折
E.以上均对
257、单项选择题 关于脾转移癌的说法,错误的是()
A.单发或多发低密度区
B.转移途径为血行和种植性转移
C.偶见钙化
D.脾血管丰富转移癌多见
E.脾转移癌多为少血供肿瘤
258、多项选择题
女,21岁,活动后呼吸困难,CT扫描如图,最可能的诊断是()
A.肺静脉异位引流
B.肺静脉异位引流根据引流肺静脉支数可分部分性及完全性
C.根据引流部位不同分为心上型、心脏型、心下型
D.该病例肺静脉异位引流入下腔静脉
E.该病例为心下型肺静脉异位引流
259、单项选择题 以下哪项对CT图像密度分辨率的影响最小()
A.扫描参数
B.待检物体形状
C.噪声
D.待检物体密度
E.信噪比
260、单项选择题 大细胞癌与腺癌的不同点是()
A.周围型肺癌多见
B.肿块边缘分叶多见
C.转移出现晚
D.空洞少见
E.转移出现早
261、单项选择题 关于颅咽管瘤的描述,不正确的是()
A.小儿及青年多见
B.80%为囊性
C.85%有钙化
D.均发生于鞍上
E.肿瘤边界清楚
262、单项选择题
女,50岁,左下颈部扪及一质软、表面光整的包块,逐渐增大,现感疼痛,CT如图所示,最可能的诊断是()

A.甲状腺癌
B.食管癌
C.喉癌
D.甲状腺原发淋巴瘤
E.颈部神经鞘瘤
263、单项选择题 男,32岁,癫痫4月余。CT示左额后叶有一1.0cm×1.5cm囊样低密度影。边界清楚,囊周无水肿,轻度强化,内有点状增强,最可能的诊断为()
A.脑囊虫病
B.细菌性脑脓肿
C.星形细胞瘤
D.结核性脑脓肿
E.胶质母细胞瘤
264、单项选择题
女,8岁,头痛,鼻塞半年余,CT如图,最可能的诊断是()
A.鼻咽癌
B.鼻咽部炎症
C.腺样体肥大
D.神经纤维瘤
E.咽后脓肿
265、单项选择题 以下哪种病变CT增强扫描的诊断价值最低()
A.胆结石
B.垂体瘤
C.脾脏转移瘤
D.原发性肝癌
E.脊索瘤
266、单项选择题 属无机碘的对比剂是()
A.碘必乐
B.碘化油
C.碘番酸
D.碘化钠
E.碘苯酯
267、单项选择题 侧脑室前角外侧是()
A.尾状核体部
B.尾状核头部
C.内囊前肢
D.苍白球
E.尾状核尾部
268、多项选择题 软组织血管瘤的CT表现,正确的有()
A.软组织肿块形态不规则、边界不清
B.海绵状血管瘤常伴脂肪组织增生,多位于肌间或肌内呈不均匀低密度区
C.钙化及静脉石常见,为本病的重要诊断依据
D.病变内血管和血池可呈点状和迂曲的线状结构
E.增强扫描,病变明显强化
269、单项选择题 常规头颅CT扫描基线取()
A.听眉线25°
B.听眶线25°
C.听眉线20°
D.听眶线20°
E.听眶线10°
270、单项选择题 关于“脑转移瘤”,下列描述哪项不对()
A.原发灶以肺癌最常见
B.瘤体周围“指压状”水肿
C.转移灶多位于灰白质交界处
D.瘤体常有钙化
E.多呈结节性均匀强化
271、单项选择题 有关窗技术的理解,下列哪个不妥()
A.利用窗技术,将人体组织分为的2000个分度,调整到人眼所能辨别的16个灰阶中
B.窗位是指窗宽上限、下限CT值的平均数
C.窗位、窗中心是指一个概念
D.为显示不同组织影像,应在规范的范围调整
E.窗口技术调整的目的,是为了拍摄出一张对比良好的照片
272、单项选择题 视网膜母细胞瘤的CT表现为()
A.好发于眼球内侧
B.玻璃体内实性肿块伴钙化
C.不侵犯视神经
D.钙化少见
E.视神经管无扩大
273、多项选择题 心肌梗死的CT主要表现有()
A.局部心肌变薄
B.局部心肌增厚
C.阶段性室壁收缩期增厚率下降
D.阶段性室壁收缩期增厚率增加
E.室壁运动异常
274、单项选择题 关于灰阶与CT值关系的叙述,正确的是()
A.高CT值部分被转换为黑色
B.高CT值部分被转换为白色
C.X线衰减越大,转换成灰阶后颜色越深
D.图像中X线未被衰减,将显示为白色图像
E.改变窗宽,也可改变被显示物体的CT值
275、判断题 CT用于大叶性肺炎检查的目的一是发现空洞,二是鉴别诊断。
276、单项选择题 CT值定义公式中的常数(k)应该是()
A.500
B.1000
C.2000
D.3000
E.4000
277、单项选择题 女,50岁。CT示胸3与胸4椎体破坏,伴椎旁软组织肿块,呈环形增强,诊断是()
A.转移瘤
B.骨髓瘤
C.骨肉瘤
D.骨髓炎
E.骨结核
278、单项选择题 关于多形性胶质母细胞瘤的CT表现,下列哪项是错误的()
A.可见高密度出血灶
B.常见囊变,坏死的低密度区
C.瘤旁水肿明显
D.常见钙化的高密度影
E.不规则花环样增强
279、单项选择题 急性化脓性骨髓炎主要感染途径是()
A.开放性骨折直接感染
B.关节感染直接蔓延
C.医源性
D.血源性感染
E.以上都不是
280、单项选择题
根据所提供的图像,最可能的诊断是()
A.胰腺癌
B.肝细胞瘤
C.胆管癌
D.胆囊癌
E.以上都不是
281、单项选择题
淋巴瘤患者放疗后3月出现气急咳嗽,CT如图,最可能的诊断是()
A.陈旧性结核
B.放射性肺炎
C.浸润型肺结核
D.瘢痕癌
E.矽肺结节
282、单项选择题
男,54岁,B超体检示肝左叶强回声团块影,CT表现如图,最可能的诊断是()
A.肝癌
B.肝腺瘤
C.肝母细胞瘤
D.肝血管瘤
E.肝脓肿
283、多项选择题 球形肺不张的CT表现()
A.进入肿块的支气管和血管扭曲形成“彗星尾”
B.外围胸膜增厚
C.可见支气管充气征
D.胸膜下圆形或卵圆形肿块
E.肿块近肺门缘模糊
284、单项选择题 尿液酸度增高见于()
A.膀胱炎
B.痛风
C.代谢性碱中毒
D.呼吸性碱中毒
E.肾小管性酸中毒
285、多项选择题
女,35岁,反复发作的尿路感染,结合图像,最可能的诊断是()
A.左侧肾脏体积明显增大,轮廓欠清楚
B.左侧肾皮质变薄,其内可见多个囊腔
C.增强后囊腔周边强化
D.考虑为左侧肾癌
E.考虑为左侧黄色肉芽肿性肾盂肾炎
286、单项选择题 患者,女,26岁,无明显不适,CT平扫发现肝右叶低密度病灶,呈圆形,边界清晰,增强扫描动脉期病灶明显强化,静脉期密度下降,延迟扫描呈稍低密度。 下列哪一项资料对鉴别诊断无意义()
A.AFP升高
B.患者长期服用避孕药
C.腹主动脉旁见肿大淋巴结
D.患者出现腹水
E.上腹部疼痛
287、单项选择题
骨髓移植患者发热,结合图像,最可能的诊断为()
A.脾念珠菌病
B.脾囊肿
C.肿瘤浸润脾
D.淋巴瘤
E.以上都不是
288、多项选择题
女,54岁,右侧颈部肿大近1年,近来病人有声嘶、吞咽困难,CT扫描如图,正确的描述或诊断是()
A.右侧甲状腺肿大,密度减低
B.增强扫描示甲状腺呈不规则强化团块影,其内有低密度区,病灶境界不清
C.右侧颈内静脉增粗,其内可见不规则充盈缺损区
D.甲状腺癌
E.右侧颈内静脉瘤栓形成
289、单项选择题
男,32岁,偶然发现有高血压,结合所示图像,最可能的诊断是()
A.双侧肾动脉瘤
B.双侧假性肾动脉瘤
C.双侧肾动脉出血血肿形成
D.双侧肾动脉狭窄
E.双侧肾动脉夹层动脉瘤
290、单项选择题 CT胶片在分类中属于()
A.单面药膜感蓝片
B.单面药膜分色片
C.单面药膜色盲片
D.双面药膜感绿片
E.双面药膜感蓝片
291、单项选择题 关于肾上腺转移瘤,正确的诊断主要依赖于()
A.单侧或双侧肾上腺肿块
B.临床资料
C.双侧肾上腺肿块而无原发瘤
D.血管造影检查
E.MRI反相位检查
292、单项选择题 男,49岁,癫痫发作3次。CT示左额叶有一圆形低密度区,病灶呈不规则环形增强,最大可能是()
A.化脓性脑炎
B.胶质瘤
C.病毒性脑炎
D.血管畸形
E.结节性硬化
293、单项选择题 下列哪项是造成硬膜外压迫的最常见的原因()
A.神经纤维瘤
B.转移瘤
C.淋巴瘤
D.脊椎退行性疾病
E.血管瘤
294、单项选择题 基底节为大脑半球内灰质核团,不包括()
A.尾状核
B.豆状核
C.丘脑
D.屏状核
E.杏仁核
295、单项选择题 不具有换气功能的解剖结构是()
A.呼吸性细支气管
B.小叶细支气管
C.肺泡管
D.肺泡囊
E.肺泡
296、单项选择题 女,10岁,头痛、发作性抽搐1年。CT示右颅中窝有一3cm×4cm脑脊液样密度影,边界清晰,蝶骨大翼变薄,颞骨变薄并向外膨隆,最可能的诊断为()
A.脑发育不全
B.表皮样囊肿
C.脑萎缩
D.蛛网膜囊肿
E.神经纤维瘤病
297、单项选择题 马蹄肾的影像学表现中,下列哪项不正确()
A.双肾轴线异常
B.双侧肾盂旋转不良
C.峡部位于腹主动脉、下腔静脉与肠系膜上动脉之间
D.峡部位于腹主动脉与下腔静脉的前方
E.峡部不含有肾实质组织
298、单项选择题
男,26岁,左髋部疼痛,局部肿胀,无发热,结合图像,最可能的诊断是()
A.动脉瘤样骨囊肿
B.骨巨细胞瘤
C.尤文肉瘤
D.骨肉瘤
E.骨囊肿
299、单项选择题
男性,70岁。行腹部CT增强扫描,发现腹主动脉异常如下图。

A.主动脉血栓形成
B.主动脉硬化
C.主动脉瘤并附壁血栓
D.主动脉夹层动脉瘤
E.主动脉破裂
300、单项选择题
根据所提供的图像,该病例最可能的诊断为()
A.胰腺假性囊肿
B.十二指肠血肿
C.十二指肠癌
D.十二指肠憩室
E.胰腺癌