时间:2025-06-09 17:20:02


1、单项选择题 以下哪项CT表现支持视神经脑膜瘤的诊断()
A.视神经梭形增粗
B.肿瘤沿视束向后蔓延
C.肿瘤有增强
D.视神经孔扩大
E.相邻前床突骨质增生
2、单项选择题 70岁,女性,间断性咳嗽10余年,近来加重,有少量粘痰,CT扫描示双肺纹理增多,胸膜下区纹理更明显,呈网格状,结构欠清,肺内未见明显肿块影,最可能的诊断是()
A.慢性支气管炎
B.支气管扩张
C.间质性肺炎
D.特发性间质纤维化
E.矽肺
3、单项选择题 “脑膜瘤”下列CT征象,哪种最少见()
A.瘤体形态不规则、边缘模糊,坏死囊变明显
B.增强:均匀强化
C.邻近颅骨增厚或破坏
D.肿瘤与硬脑膜广基底粘连
E.平扫:等或略高密度
4、多项选择题 CT机设备本身可能产生哪些伪影()
A.环状伪影
B.混合状伪影
C.点状伪影
D.条状伪影
E.指纹状伪影
5、单项选择题 甲状旁腺功能低下的钙化不分布在()
A.尾状核
B.豆状核
C.脑白质
D.基底池
E.脑室旁
6、单项选择题
男,8岁,出生9个月后常出现发作性癫痫,查体:右侧肢体轻度萎缩,肌力Ⅳ级,肌张力增高。结合所示图像,最可能的诊断为()
A.脑出血
B.Sturge-Weber综合征
C.结节性硬化
D.脑膜瘤钙化
E.动静脉瘘畸形
7、单项选择题 ①骨肉瘤、②软骨肉瘤、③纤维肉瘤、④脊索瘤、⑤Ewing瘤,其中可产生瘤骨的是()
A.①②④
B.①③⑤
C.①②⑤
D.①③④
E.①②③
8、单项选择题
男,58岁,患者右季肋区疼痛,皮肤黄染,可触及肿大胆囊,B超提示胆囊颈部肿块影,CT所见如图,最可能的诊断是()
A.胆囊息肉
B.胆囊癌
C.胆囊黄色肉芽肿
D.慢性胆囊炎
E.胆囊腺肌增生症
9、单项选择题
男,56岁,间歇性血尿半年余,根据所示图像,最可能的诊断是()
A.膀胱结石
B.膀胱血块
C.膀胱结核
D.膀胱癌
E.膀胱息肉
10、单项选择题 关于肾脏CT平扫表现,错误的是()
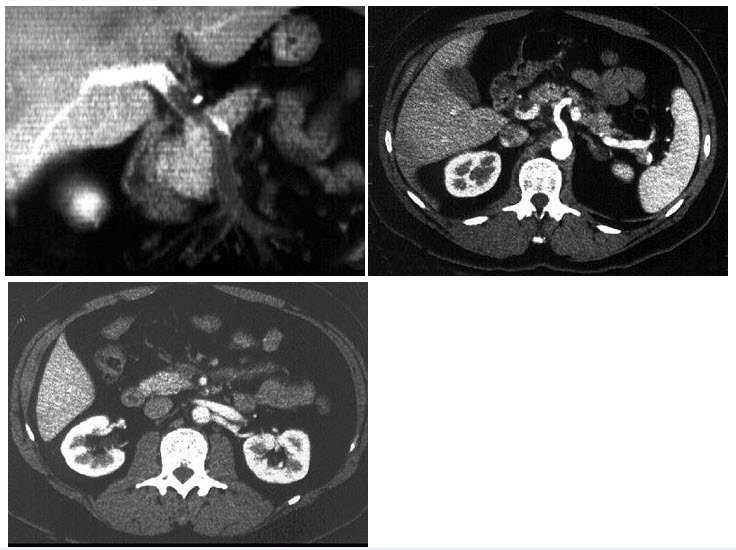
A.轴位图像上显示为圆形或椭圆形软组织密度结构
B.能够分辨肾皮、髓质
C.肾窦呈脂肪性低密度
D.肾盂呈水样低密度
E.肾门区肾动脉、肾静脉呈软组织密度窄带影
11、单项选择题
男,46岁,无痛性腹部肿块10月余,进行性增大伴消瘦2个月,结合图像,最可能的诊断是()
A.脂肪肉瘤
B.纤维肉瘤
C.神经源性肿瘤
D.滑膜肉瘤
E.转移瘤
12、单项选择题 肾旋转异常的影像学特征性表现是()
A.肾盂积水
B.肾结石
C.肾门的朝向异常
D.肾的位置异常
E.输尿管扩张
13、单项选择题 病人眩晕,CT示左侧桥脑小脑角池内低密度病灶,与脑池形态一致,增强扫描无强化,脑干轻度受压,最可能的诊断为()
A.畸胎瘤
B.胆脂瘤
C.听神经瘤
D.三叉神经纤维瘤
E.室管膜瘤
14、单项选择题
男,45岁,无痛性肉眼血尿2个月余,MRI扫描如图所示,下列说法错误的是()
A.膀胱壁上可见一宽基底的肿块影,突向腔内
B.在TWI上呈等信号
C.在TWI上呈等信号
D.考虑为膀胱结石
E.考虑为膀胱癌可能性大
15、单项选择题 根据CT工作原理,以下选择哪项是错误的()
A.探测器接收的信号须放大并经过模/数转换
B.模/数转换后的数据为显示数据
C.AP(阵列处理机)处理后的数据为显示数据
D.计算机控制扫描、数据采集、图像重建、显示和存储各个环节
E.图像存储包括摄片、磁带及光盘存储
16、单项选择题 关于肾CT检查说法,错误的是()
A.扫描前3天禁服钡剂、钙或含金属药物
B.平扫可发现钙化和结石
C.扫描前30分钟口服15%泛影葡胺400ml
D.一般不需做增强扫描
E.扫描前6小时禁食
17、单项选择题 儿童最常见的颈髓肿瘤是()
A.髓母细胞瘤
B.少突胶质细胞瘤
C.星形细胞瘤
D.生殖细胞瘤
E.畸胎瘤
18、单项选择题 下哪项CT表现不支持硬膜外血肿的诊断()
A.相邻颅骨线形骨折
B.血肿呈新月形
C.相邻脑组织受压移位
D.血肿内缘光滑
E.血肿内密度均匀
19、单项选择题 喉癌可分成声门上型、声门型、声门下型和跨声门型、其中声门下型约占喉癌病例的()
A.5%
B.10%
C.15%
D.20%
E.25%
20、单项选择题 声带癌侵犯声门下的标准是肿瘤向下超过声带突()
A.1mm
B.3mm
C.4mm
D.5mm
E.10mm
21、单项选择题 关于过敏性肺炎,下列哪项不是其诊断要点()
A.症状轻或无症状
B.血中嗜酸性粒细胞增多
C.病灶具有迁移性
D.病灶易形成空洞
E.病变短期内吸收
22、单项选择题 肾周间隙内的组织或结构为()
A.肾上腺
B.肾血管
C.肾周脂肪
D.输尿管近段
E.以上都是
23、单项选择题 脑裂畸形Ⅱ和Ⅲ型不同之处为()
A.多小脑回和灰质异位
B.软脑膜-室管膜缝
C.全大脑半球裂
D.可单侧或双侧
E.癫痫
24、单项选择题
男,29岁,头颅外伤,结合CT图像,最可能的诊断是()


A.颅内出血
B.硬膜下血肿
C.硬膜外血肿
D.脑脓肿
E.脑挫裂伤
25、单项选择题
女,18岁,1年前患肺结核经抗结核治疗后好转,现发热、咳嗽、体重下降,结合CT图像,最可能的诊断是()
A.肺结核
B.肺炎
C.肺脓肿
D.肺转移瘤
E.细支气管肺泡癌
26、单项选择题 下列哪种方法是目前肾上腺疾病最佳影像检查方法()
A.USC
B.CT
C.MRI
D.核素显像
E.X线检查
27、单项选择题 关于CT图像中伪影形成原因的叙述,下列哪项不对()
A.放射状伪影:高密度物质所致
B.杂乱伪影:重建过程故障所致
C.环形伪影:数据采集系统故障所致
D.假皮层伪影:扫描过程中患者运动所致
E.条状伪影:CT采样过程中X线强度突然发生变化
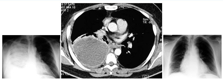
28、单项选择题
女,52岁,头痛、恶心、步态不稳,胸部和颅脑增强CT检查如图,最可能的诊断为()

A.星形细胞瘤
B.脑脓肿
C.肺癌脑转移
D.脑膜瘤
E.脑梗死
29、多项选择题
下列关于纵隔神经源性肿瘤描述,正确的是()
A.多位于后纵隔,良性肿瘤为主
B.MRI对显示伴椎管内的肿瘤更好
C.CT呈边缘清楚光滑的肿块,密度均匀,CT值与肌肉相仿
D.MRI上T1WI呈中等偏低信号,T2WI呈高信号
E.增强扫描,病灶可有强化
30、多项选择题 旋转性寰枢关节半脱位的CT诊断,正确的为()
A.儿童多见,预后良好
B.上呼吸道感染、微小的创伤、先天性畸形、强直性脊柱炎和类风湿性关节炎等均可致病
C.薄层CT横断面扫描并矢状面和冠状面重建可精确显示寰枢椎的相互关系
D.CT是诊断本病的最佳方法
E.儿童寰椎前结节后缘与枢椎齿状突前缘的距离大于4mm,提示横韧带撕裂
31、单项选择题 膀胱肿瘤的CT扫描其主要目的为()
A.早期诊断
B.显示肿瘤突入腔内的情况
C.良恶性肿瘤鉴别诊断
D.肿瘤与非肿瘤性病变的鉴别
E.显示肿瘤侵犯膀胱周围组织和淋巴结转移
32、单项选择题
女,37岁,向心性肥胖2月,结合图像,最可能的诊断是()
A.右肾上腺腺瘤
B.右肾上腺腺癌
C.右肾上腺转移癌
D.右肾上腺嗜铬细胞瘤
E.右肾上腺增生
33、单项选择题
结合图像,最可能的诊断为()
A.炎性腹泻
B.淋巴瘤
C.腺癌
D.放射性肠炎
E.以上都不是
34、单项选择题
男,55岁,胸闷气急1周,无发热,结合图像,最可能的诊断是()
A.右侧气胸
B.肺气肿并右侧肺大泡
C.肺气肿
D.间质性肺炎
E.大叶性肺炎
35、单项选择题 有关腰椎椎管CT检查和测量,错误的是()
A.前后径指测量椎体后缘中点至棘突基底部中线部位的距离
B.横径指测量两椎弓根内缘之间距离
C.前后径正常范围在15~20mm
D.横径正常范围在20~30mm
E.CT增强扫描较平扫更精确
36、单项选择题
男,74岁,间歇性无痛性全程血尿2月余,尿路造影及CT平扫+增强如图所示,下列说法错误的是()
A.尿路造影示右侧肾盂内不规则的充盈缺损征象
B.CT平扫示右侧肾盂内软组织块影
C.增强扫描示右侧肾盂内软组织块影轻度强化
D.考虑为右侧肾盂癌
E.考虑为右侧肾盂内血块
37、多项选择题
男,53岁,无痛性血尿2个月余,CT扫描如图示,下列说法正确的是()
A.右侧输尿管下段可见沿输尿管走行的软组织肿块影
B.软组织肿块边缘毛糙不平
C.其上方的输尿管扩张
D.考虑为输尿管移行细胞癌
E.考虑为输尿管内血块
38、单项选择题 关于腹部脏器的增强扫描CT检查,错误的是()
A.采用静脉内团注法
B.门脉期延迟扫描时间60~70秒
C.实质期延迟扫描时间85~90秒
D.怀疑肝血管瘤,则实质期的延迟扫描时间为30~50分钟
E.肾脏增强扫描通常应扫描皮质期、髓质期和分泌期
39、单项选择题
女,45岁,背部持续性隐痛半月余,6个月前被确诊为乳腺癌,结合影像学检查,最可能的诊断是()
A.骨转移瘤
B.脊椎结核
C.椎体压缩性骨折
D.化脓性脊柱炎
E.脊椎退行性变
40、单项选择题 CT扫描对早期骨肉瘤诊断的价值在于显示()
A.骨质增生硬化
B.细微骨质破坏
C.骨膜反应
D.软组织肿块
E.转移性病灶
41、单项选择题 先天性支气管囊肿与后天性囊肿的区别在于前者()
A.上叶多见
B.下叶多见
C.壁内无尘埃沉着
D.囊内无液平面
E.直径多小于3cm
42、单项选择题 肝脏CT检查中,需采用窄窗的疾病是()
A.肝腹水
B.肝巨大恶性肿瘤
C.肝脓肿
D.脂肪肝
E.肝硬化
43、单项选择题
男,55岁,腰背痛,反复感染,尿蛋白(+),本周蛋白(+),血钙升高,结合图像,最可能的诊断是()
A.恶性淋巴瘤
B.转移瘤
C.骨髓瘤
D.尤文肉瘤
E.恶性纤维组织细胞瘤
44、单项选择题 肾动脉狭窄经皮穿刺动脉成形术的禁忌症是()
A.造影发现肾动脉中度狭窄,有临床症状者
B.造影发现肾动脉狭窄,无临床症状者
C.造影发现肾动脉重度狭窄,有临床症状者
D.造影发现肾动脉重度狭窄,无有临床症状者
E.系列影像检查发现肾体积逐渐缩小者
45、单项选择题 骨肉瘤最主要的X线和CT征象是()
A.骨质破坏
B.软组织肿胀
C.骨膜反应
D.骨质增生硬化
E.瘤骨形成
46、单项选择题 女,2岁,癫痫1年。CT示:双侧侧脑室平行分离,三脑室上抬,侧脑室轻度扩大。最可能的诊断为()
A.透明隔缺如
B.脑发育不全
C.脑萎缩
D.视-隔综合征
E.胼胝体发育不良
47、单项选择题 头颅外伤2天,CT示蝶窦有气液平面,颅内有积气。诊断为()
A.颅底骨折
B.蝶骨骨折
C.急性筛窦炎
D.化脓性蝶窦炎
E.额骨骨折
48、单项选择题 老年男性,头痛3个月,并左侧肢体肌力减低,逐渐加重。CT示右额顶有一3.5cm×4cm混杂密度,中线左移,增强扫描示不规则花环样强化。最可能的诊断是()
A.脑膜瘤
B.少枝胶质细胞瘤
C.胶质母细胞瘤
D.出血性梗死
E.淋巴瘤
49、单项选择题
男,46岁,外伤后左下颈搏动性肿块,CT如图所示,最可能的诊断是()
A.左颈部血管瘤
B.左颈动脉体瘤
C.左颈静脉球瘤
D.左颈总动脉假性动脉瘤
E.左颈部动静脉畸形
50、单项选择题
女性,58岁。突感胸骨后疼痛来院就诊。行胸部CT平扫如图:

A.X线平片
B.胸部超声
C.MSCTA
D.MRI
E.放射性核素扫描
51、单项选择题 急性化脓性骨髓炎的病理变化特点是()
A.以骨质增生硬化为主
B.以骨质破坏为主,周围伴骨质硬化
C.局部骨质疏松
D.以骨质破坏为主,一般没有明显骨质增生硬化
E.早期即有骨质破坏出现
52、单项选择题 对于肺间质病变细节的观察,最理想的CT技术是()
A.高分辨率CT扫描
B.动态增强CT扫描
C.Bolus注射,常规增强扫描
D.螺旋CT扫描
E.常规CT平扫
53、单项选择题 关于宫颈癌的CT表现,下列说法错误的是()
A.宫颈增大,形成软组织密度肿块
B.肿块内坏死形成低密度区
C.子宫侧壁向外延伸的不规则软组织影提示为肿瘤向盆腔侵犯
D.肿瘤与邻近器官间脂肪消失应诊断为该器官受侵
E.CT未见淋巴结肿大不能排除淋巴转移
54、单项选择题 女,56岁,突感眩晕呕吐,言语不清。查:声音嘶哑,吞咽困难,左眼裂,瞳孔变小,左面部和右半身痛觉减退,左侧指鼻试验不准。 为了明确诊断,最有意义的检查为()
A.颅脑CT
B.颈动脉多普勒检查
C.颅脑X线平片
D.脑血管造影
E.腰穿
55、多项选择题 高血压脑出血的好发部位是()
A.基底节区
B.皮质下
C.丘脑
D.小脑
E.脑桥
56、多项选择题 肺内网状、蜂窝状阴影可见于下列哪些病变()
A.尘肺
B.间质纤维化
C.间质性肺炎
D.急性粟粒型肺结核
E.含铁血黄素沉着症
57、多项选择题 男,21岁,CT示颅后窝中线区略低密度病灶,3cm×3cm大小,关于影像学分析下列哪些是正确的()
A.四脑室前移,首先考虑髓母细胞瘤
B.四脑室前移,脑积水明显,首先考虑室管膜瘤
C.灶周围见残存的脑室,首先考虑脑室肿瘤
D.四脑室受压、变形,灶周水肿明显,鉴别诊断应考虑髓母细胞瘤、星形细胞瘤等
E.水肿的程度是鉴别髓母细胞瘤和室管膜的首要因素
58、单项选择题 以下哪项不是骨巨细胞瘤的CT征象()
A.肿瘤呈膨胀性表现
B.骨质有中断现象
C.肿瘤内可见钙化
D.肿瘤中心可见坏死、液化
E.肿瘤边缘可见骨嵴
59、多项选择题
女,6个月,CT扫描如图所示,下列说法正确的是()
A.双侧肾盂积水
B.双侧肾门朝向前内方
C.双肾下极融合
D.考虑为异位肾
E.考虑为马蹄肾
60、单项选择题 下列实现数字化最迟的是哪项技术()
A.CT
B.X线摄片
C.MRI
D.DSA
E.胃肠造影
61、单项选择题 X线在医学上应用的原理中不包括()
A.利用其穿透作用进行X线检查
B.利用其荧光作用进行透视检查
C.利用其摄片作用进行照片检查
D.利用其电离作用进行CT扫描
E.利用其生物效用进行肿瘤治疗
62、单项选择题 女,尿频尿急1年,尿白细胞(+++),红细胞少许,蛋白少量,尿细菌培养阴性。排泄性尿路造影发现左肾区、肾大盏扩张及虫蚀样边缘不整,右肾积水,膀胱呈球形改变,CT检查见左肾盏、肾盂扩张。应考虑为()
A.左肾结核
B.晚期肾盂肾炎
C.右肾结核伴膀胱转移
D.左肾结核并膀胱挛缩,对侧肾积水
E.肾肿瘤伴膀胱转移
63、单项选择题 畸胎瘤的CT征象中,错误的是()
A.多为薄壁囊肿,CT可以明确显示其壁的厚度
B.含有脂肪成分者CT值多为-25~-50HU
C.病灶内的钙化或骨骼成分CT值高于100HU
D.增强扫描呈不均匀强化
E.可显示畸胎瘤的囊实性成分
64、多项选择题 胆总管扩张的主要症状是()
A.腹痛
B.恶心、呕吐
C.黄疸
D.食欲不振
E.腹部肿块
65、单项选择题 下列关于胆囊炎与胆囊癌特点,哪项错误()
A.胆囊炎,可有胆囊床积液
B.胆囊癌,胆囊壁常表现为局限性增厚
C.胆囊炎,胆囊壁一致性增厚
D.胆囊癌,可有肝门水平胆管梗阻
E.胆囊癌,胆囊容积明显增大
66、单项选择题
男,23岁,左膝部运动后疼痛,结合影像学检查,最可能的诊断是()
A.骨巨细胞瘤
B.动脉瘤样骨囊肿
C.骨纤维异常增殖症
D.骨囊肿并骨折
E.骨脓肿
67、单项选择题 关于第六脑室的描述,不列哪项是错误的()
A.又称“Vergae”腔
B.透明隔向后延伸
C.脑脊液密度
D.位于第三脑室体部中间
E.与脑室相通
68、单项选择题
女,17岁,发现左侧颈部包块半年余,PE:病灶质软,境界不清,无压痛,CT如图所示,最可能的诊断是()
A.颈部脂肪瘤
B.颈部畸胎瘤
C.颈部错构瘤
D.颈部淋巴管瘤
E.颈部陈旧性血肿
69、单项选择题
根据所提供的图像,箭头所指的结构是()
A.生殖腺静脉
B.副肾动脉
C.肾上腺静脉
D.肾上腺动脉
E.以上都不是
70、多项选择题 女,58岁,右侧肢体无力3个月,CT示左顶叶手掌样低密度病灶,3cm×4cm大小,关于影像学分析,下列哪些是正确的()
A.脑室受压变窄右移,无强化,2周后复查无明显变化,可除外星形细胞瘤
B.实质内出现不规则强化,应考虑星形细胞瘤及转移瘤
C.脑室受压变窄右移,2周后复查病灶缩小应考虑感染
D.脑室受压变窄,无强化,临床有高热,应考虑感染
E.内出现结节样强化,应考虑星形细胞瘤转移瘤和肉芽肿样病变
71、单项选择题
女,39岁,咳嗽伴轻微胸痛,CT检查如图,最可能的诊断是()
A.右下肺节段性不张
B.右下肺脓肿
C.右下肺周围型肺癌
D.右下肺炎性假瘤
E.右下肺肺泡细胞癌
72、单项选择题 有关大脑半球各叶分界的描述,中下列哪项是错误的()
A.顶叶经中央沟与额叶分隔
B.岛叶借环状沟与额顶颞叶分隔
C.颞、顶、枕叶的分界为外侧裂与顶枕裂的连线
D.额叶经外侧裂与颞叶分隔
E.顶枕裂区分顶叶和枕叶
73、单项选择题 以下有关脑池的描述中,错误的是()
A.脑基底池位于颅后窝
B.蛛网膜与软脑膜之间的含脑脊液间隙为蛛网膜下腔
C.滑车神经通过环池
D.胼胝体池位于胼胝体与扣带回之间
E.基底动脉通过桥前池
74、单项选择题 CT诊断成人寰枢关节半脱位,标准是环椎前结节后缘与枢椎齿状突前缘的距离大于()
A.1mm
B.2mm
C.3mm
D.4mm
E.5mm
75、多项选择题 肝癌病灶可发生()
A.钙化
B.坏死
C.出血
D.骨化
E.脂肪变
76、单项选择题 面神经瘤多见于()
A.前膝部
B.后膝部
C.前膝部和后膝部
D.内耳道段
E.颅内段
77、单项选择题 女性,35岁,因不孕就诊,CT扫描子宫增大呈分叶状,表面光滑,子宫肌壁内实性低密度影,有钙化,宫腔受压移位,首先考虑的应该为()
A.葡萄胎
B.子宫内膜癌
C.子宫肌瘤
D.子宫肌腺瘤
E.妊娠
78、单项选择题 关于“鼻咽癌”的CT特点,下述哪项说法不对()
A.邻近骨质常有破坏
B.破裂孔可扩大
C.肿瘤呈轻度强化
D.患侧咀嚼肌群萎缩
E.鼻咽部软组织肿块影
79、单项选择题 关于“三叉神经瘤”,下列影像哪项不对()
A.可中度强化
B.平扫呈等密度
C.跨越中、后颅窝
D.棘孔扩大
E.岩尖骨质破坏
80、单项选择题
女,75岁,突发左侧肢体无力,嘴角歪斜,言语表达不清,CT如图,最可能的诊断是()
A.右侧颞顶枕叶梗死
B.星形细胞瘤
C.脑脓肿
D.少枝胶质细胞瘤
E.脑囊肿
81、单项选择题
9个月女婴,头颅迅速增大,四肢肌力下降,CT表现如图,最可能的诊断是()
A.胼胝体发育不全
B.Dandy-Walker综合征
C.前脑无裂畸形
D.脑灰质异位
E.无脑回畸形
82、单项选择题 颅脑CT没有病理意义的钙化是()
A.侧脑室三角区内球形钙化
B.额—颞部脑回状钙化
C.室管膜下结节状钙化
D.灰白质交界小环形钙化
E.松果体直径>10mm不均匀钙化
83、单项选择题
女,68岁,有胆囊癌病史,术后行放射治疗,根据所示图像,最可能的诊断是()
A.右肾未见异常
B.右侧肾癌
C.右肾淋巴瘤
D.右肾转移癌
E.右肾放射性损伤改变
84、单项选择题
结合图像,该病例胰腺团块,最不可能的诊断为()
A.胰腺癌
B.胰岛细胞瘤
C.胰高血糖素瘤
D.肾癌转移
E.胰腺炎
85、单项选择题 在扫描过程中,被扫部位随意和不随意的运动,可产生哪种伪影()
A.移动条纹伪影
B.帽状伪影
C.杯状伪影
D.环状伪影
E.以上都可以
86、单项选择题 男,23岁,视力减退3月余,左侧视乳头原发性萎缩,CT平扫鞍区类圆形高密度病灶,蝶鞍扩大,鞍上池闭塞,增强扫描病灶均一强化,边界清楚、光滑、锐利,最可能的诊断为()
A.动脉瘤
B.颅咽管瘤
C.脑膜瘤
D.垂体瘤
E.生殖细胞瘤
87、单项选择题 脑静脉和静脉窦血栓形成的特征表现是()
A.平扫有"带"征,增强有"空三角征"
B.靠近脑表面的大片低密度区内见小的高密度影
C.双侧出血性脑梗死
D.脑萎缩,脑室系统扩大
E.大片低密度区内见高密度影
88、单项选择题
男,76岁,无痛性肉眼血尿3个月,CT检查如图所示,下列说法错误的是()
A.左侧肾盂扩张积水
B.左侧输尿管中上段扩张
C.左侧输尿管下段可见节段状不规则的软组织肿块影
D.考虑为左侧输尿管炎
E.考虑为左侧输尿管下段癌
89、单项选择题
男,34岁,大腿下段疼痛2年,可摸到肿块,结合图像,最可能的诊断是()
A.骨肉瘤
B.软骨肉瘤
C.软骨瘤
D.纤维肉瘤
E.巨细胞瘤
90、单项选择题 正常头颅CT轴位鞍上池呈()
A.圆形或椭圆形
B.梯形或双梯形
C.三角形或梭形
D.长方形或方形
E.五角或六角形
91、单项选择题
男,43岁,体检X线发现肺部一占位性病变,CT检查如图,最可能的诊断是()
A.周围型肺癌
B.肺脓肿
C.肺结核
D.肺错构瘤
E.肺转移瘤
92、多项选择题 下列病变中,哪些可伴有“颅内动脉瘤”()
A.神经纤维瘤病
B.主动脉狭窄
C.胶原病
D.多囊肾
E.Marfan综合征
93、单项选择题 关于面神经管第二段表述,错误的是()
A.又称水平段
B.也称为迷路段
C.位于中耳内
D.位于外半规管以下
E.冠状位CT上可以显示
94、单项选择题 梭形动脉瘤的首要形成原因是()
A.动脉粥样硬化
B.外伤
C.动脉内膜撕裂
D.感染
E.先天发育异常
95、单项选择题 房间沟、后室间沟和冠状沟的交叉处称为()
A.心房交点
B.心室交点
C.房室交点
D.心房切迹
E.以上都不是
96、多项选择题 颅内动脉瘤最常见的临床表现为()
A.瘫痪
B.恶心
C.意识障碍
D.感觉异常
E.突发性头痛
97、单项选择题 肾结核的静脉肾盂造影最早出现的肾盂改变是()
A.肾皮质结核瘤
B.肾柱钙化
C.肾盂狭窄
D.肾乳头及肾小盏破坏
E.肾盂积水
98、单项选择题 采用下列哪种方法有助于鉴别小的肾血管平滑肌脂肪瘤与小肾癌()
A.薄层连续扫描以发现脂肪成分
B.增强扫描观察肿瘤强化情况
C.螺旋CT扫描
D.冠状位重建
E.以上都不是
99、单项选择题 数字量转换为模拟量称作()
A.D/B转换
B.D/C转换
C.D/A转换
D.B/D转换
E.C/D转换
100、单项选择题 近50%的颅内畸胎瘤常发生于()
A.鞍区
B.后颅窝
C.桥小脑角
D.脑室脉络丛
E.松果体区
101、单项选择题
男,44岁,发热、右上腹痛、压痛,右下肺呼吸音低,影像检查如图,最可能的诊断是()
A.腹腔积液
B.膈下脓肿
C.肝包膜下出血
D.肝硬化腹水
E.肝癌
102、单项选择题 下列人体组织器官CT值低于0时的是()
A.肝脏
B.脑白质
C.肺
D.甲状腺
E.肌肉
103、单项选择题 关于阴性对比剂的叙述,错误的是()
A.氧气属阴性对比剂
B.空气在器官内吸收较慢
C.二氧化碳的溶解度较低
D.阴性对比剂可用于膀胱造影
E.空气有产生气体栓塞的危险
104、单项选择题 关于脾血管瘤,下列哪项说法错误()
A.实性或囊实性肿块
B.边缘清楚的低或等密度区
C.可有大小不等的囊变区
D.增强扫描肿块明显强化
E.发现钙化即可除外血管瘤
105、多项选择题 脑挫裂伤的CT征象有()
A.损伤区局部呈低密度改变
B.散在点片状出血
C.不合并蛛网膜下腔出血
D.占位及萎缩表现
E.合并脑内血肿等征
106、单项选择题
男,55岁,临床以黄疸就诊。CT增强扫描见肝内胆管轻度扩张,胆总管上段明显扩张,直径约15mm,胆总管下段见软组织肿块且有强化,如图所示,应考虑()
A.急性胆囊炎
B.胆总管结石
C.硬化性胆管炎
D.胆总管下段癌
E.以上都不是
107、单项选择题 肾结核最早的病灶位于()
A.肾乳头部
B.肾小盏内
C.肾小管内
D.肾盏内
E.肾盂内
108、单项选择题
对于胰尾病灶,结合图像,最可能的诊断是()
A.腺癌
B.转移癌
C.假性囊肿
D.胰管内黏液瘤
E.脂肪瘤
109、多项选择题 大叶性肺炎的CT征象是()
A.病变呈大叶性或肺段性分布
B.病变中可见空气支气管征
C.病变密度不均匀
D.实变的肺叶体积通常与正常时相等
E.消散期病变呈散在的、大小不一的斑片状影
110、单项选择题 眼眶炎性假瘤肌炎型CT表现,以下错误的是()
A.一条或数条眼外肌增粗、肥大
B.多累及下直肌和内直肌
C.整条眼肌弥漫肥大
D.边缘多模糊
E.边缘整齐
111、单项选择题 下列颅内出血急性期的描述中,错误的是()
A.发病时间<1周
B.血肿为均匀高密度,呈类圆形、肾形或不规则形
C.有周围水肿
D.有占位
E.增强扫描为不规则形强化
112、单项选择题 不属于脑外伤后常见的合并症是()
A.脑血管损伤
B.脑萎缩
C.脑穿通畸形
D.脑积水
E.脑室钙化
113、单项选择题 患者感觉喉部通气不畅,呼吸短促,最可能的诊断为()
A.淋巴瘤
B.结节病
C.胸骨后甲状腺
D.结核
E.以上都不是
114、单项选择题 下述肝门部胆管癌CT征象,哪项不对()
A.增强早期,肿块无明显强化
B.CT平扫,肝门区等密度或低密度肿块
C.肝内胆管一致性或局限性扩张
D.延迟扫描,肿块呈高密度
E.肝门部胆管形态可无变化
115、单项选择题
男,31岁,感左坐骨区胀痛,无发热,结合所提供的图像,最可能的诊断是()
A.骨巨细胞瘤
B.骨囊肿
C.纤维异常增殖症
D.动脉瘤样骨囊肿
E.非骨化性纤维瘤
116、单项选择题 关于CT伪影的叙述,错误的是()
A.伪影通常无法去除
B.伪影使图像质量下降
C.伪影有时会引起误诊
D.伪影是CT扫描图像中的一种异常影像
E.由系统引起的伪影是不可避免的
117、单项选择题 CT对于诊断前列腺癌的主要意义在于()
A.早期诊断
B.与良性前列腺增生肥大鉴别
C.确定晚期病变范围
D.确定肿瘤是否穿破包膜
E.判断有无骨转移
118、单项选择题
男,30岁,主诉右大腿肿块年余,逐渐增大,局部胀痛及压痛,根据图像表现,最可能的诊断是()
A.脓肿
B.血管瘤
C.脂肪瘤
D.横纹肌肉瘤
E.神经纤维瘤
119、单项选择题
男,72岁,胆石症史多年。1个月来发热,上腹疼痛,CT扫描如下图,显示肝脏内多个直径10~30mm低密度灶,CT值20HU,边缘呈环状强化,最有可能的诊断是()
A.多发性囊状肝转移瘤
B.胆源性肝脓肿
C.多发性肝囊肿
D.肝包虫病
E.肝脏囊腺瘤
120、多项选择题
女,45岁,右腰痛伴腹部包块,结合图像,最可能的诊断是()
A.右肾区一巨大的囊性病灶,边界清楚,其内可见线样薄间隔
B.增强时病灶间隔强化,囊性成分无强化
C.右侧囊性肾癌
D.多囊肾
E.右侧多房性囊性肾瘤
121、多项选择题 关于鼻恶性肉芽肿的CT和MRI征象,正确的有()
A.鼻腔鼻窦内不规则软组织肿块
B.鼻中隔和患侧上颌窦壁骨质破坏
C.肿瘤常向翼腭窝、鼻咽部等侵犯
D.增强检查可见不均匀增强效应
E.CT密度及MRI信号强度与炎症病变相似
122、单项选择题 内耳畸形包括()
A.前庭导水管扩大
B.面神经管异常
C.颈动脉异位
D.垂直外耳道
E.听小骨畸形
123、单项选择题 下列哪项不适应DSA检查()
A.肿瘤化疗栓塞术
B.冠脉动脉内置支撑架术
C.良性前列腺增生球囊扩张术
D.大咯血支气管动脉栓塞术
E.颅内动脉瘤栓塞术
124、单项选择题 女性,52岁,右上腹疼痛伴黄疸,CT平扫见肝左内叶及右前叶密度减低,肝内胆管轻度扩张,正常胆囊不显示,局部见与肝密度相似的软组织肿块影,最可能的诊断是()
A.急性胆囊炎
B.慢性胆囊炎
C.胆囊结石
D.肝癌
E.胆囊癌
125、单项选择题 蛛网膜囊肿的好发部位依次为()
A.颅中窝,颅后窝,鞍上
B.颅前窝,颅后窝,颅中窝
C.颅中窝,颅前窝,颅后窝
D.颅前窝,颅中窝,颅后窝
E.颅中窝,额叶凸面,颅后窝
126、单项选择题 蛛网膜囊肿最常见的部位是()
A.鞍上池
B.上矢状窦旁
C.前颅窝底
D.后颅窝
E.中颅窝
127、单项选择题
男,56岁,食管癌术后,胸痛,呼吸困难,结合CT图像,最可能的诊断是()
A.食管癌肺转移
B.肺栓塞
C.支气管扩张
D.肺水肿
E.肺不张
128、单项选择题 操作台无法实施的功能是()
A.输入扫描参数
B.系统故障诊断
C.修改病人资料
D.改变病人体位
E.控制扫描程序
129、单项选择题 哪一种改变能引起继发性椎管狭窄()
A.黄韧带肥厚
B.椎间盘向后膨隆
C.椎体后缘骨质增生
D.椎小关节增生
E.以上都是
130、单项选择题
影像检查如图,右心房的充盈缺损是下列哪项的可能性最大()
A.心房黏液瘤
B.肝癌侵入心脏
C.肾癌侵入心脏
D.血液凝固性过高
E.以上都不是
131、多项选择题 正常髓鞘的脱髓鞘疾病下列哪些正确()
A.多发性硬化症
B.弥漫性硬化
C.急性出血性白质脑病
D.肾上腺脑白质营养不良
E.急性播散性脑脊髓炎
132、单项选择题
根据所提供的图像,该病灶最好的分期为()
A.Bosniak1
B.Bosniak2
C.Bosniak3
D.Bosniak4
E.以上都不是
133、单项选择题
女,26岁,右腰部不适2年,根据所示图像,最可能的诊断是()
A.右侧髓质海绵肾
B.右肾结核瘤
C.甲状旁腺功能亢进所致的右肾改变
D.右侧慢性肾小管酸中毒
E.维生素D中毒所致的右肾改变
134、单项选择题 泛影葡胺属于以下哪种对比剂()
A.阴性对比剂
B.离子型对比剂
C.阳性非离子型对比剂
D.阴性离子型对比剂
E.非离子型对比剂
135、单项选择题 影响CT密度分辨率的是()
A.扫描层厚
B.X线光子数量
C.滤波函数
D.噪声
E.以上都是
136、单项选择题 输尿管结核的CT表现是()
A.充盈缺损为高密度边缘锐利
B.输尿管呈串珠状的狭窄及扩张
C.软组织密度块影无增强
D.软组织密度块影有增强
E.椎体前肿块影压迫输尿管使其梗阻
137、单项选择题
女,35岁,体检发现右上腹包块,有口服避孕药史,CT检查如图所示,最可能的诊断为()
A.肝局灶性结节增生
B.肝癌
C.肝腺瘤
D.肝转移癌
E.肝血管瘤
138、单项选择题
男,59岁,呼吸困难,胸痛,有发热,结合CT图像,最可能的诊断是()

A.脓胸
B.肺脓肿
C.大叶性肺炎
D.肺囊虫病
E.肺癌
139、单项选择题 女,28岁,产后突发剧烈头疼,视物模糊,一侧肢体轻偏瘫。CT平扫示双侧脑白质大片低密度改变,皮层斑点状出血,脑室变小。最可能的诊断为()
A.静脉窦血栓形成
B.脑梗死
C.出血性脑梗死
D.多发性硬化活动期
E.脑炎
140、单项选择题
突然腹痛伴有血尿3天,来院行CT检查,如图所示,符合下列哪种疾病()
A.输尿管肿瘤
B.输尿管钙化
C.输尿管结石
D.输尿管异物
E.以上都是
141、多项选择题
女,64岁,反复尿频尿急尿痛6年余,尿常规检查:红细胞(++),白细胞(++)。CT扫描如图示,下列说法正确的是()
A.右侧输尿管下段管壁增厚,管腔狭窄
B.右肾积水
C.右侧输尿管上段扩张
D.考虑为慢性输尿管炎
E.考虑为输尿管移行细胞癌
142、单项选择题 关于胆管结石CT表现,错误的是()
A.胆管内环行或圆形致密影
B.扩张的胆总管末端无肿块征象
C.常伴有结石平面以上的胆总管扩张
D.可同时有肝内外胆管和胆囊结石
E.“靶征”表现为周边高密度、中心为水样密度的胆汁
143、单项选择题 下列哪项是螺旋CT与传统CT的本质区别()
A.改变机架内重复旋转运动
B.提高病人检查的效率
C.克服呼吸运动差异使检查层面的丢失
D.加快扫描速度
E.获得的是三维检查信息
144、单项选择题 以纵隔7分区为例,下列哪种肿瘤好发生于中上纵隔()
A.胸腺瘤
B.生殖细胞瘤
C.神经鞘瘤
D.表皮样囊肿
E.恶性淋巴瘤
145、单项选择题 双侧大脑半球最大的连接结构是()
A.大脑镰
B.透明隔
C.脑干
D.胼胝体
E.内囊
146、单项选择题 在肺不张内可见不规则钙化、空洞和支气管扩张,多见于()
A.肺癌
B.肺炎
C.肺结核
D.矽肺
E.组织胞浆菌病
147、单项选择题 软组织脂肪肉瘤的CT诊断中,错误的是()
A.多发生于深部软组织,最常见于大腿和腹膜后
B.呈圆形或不规则形软组织肿块
C.浸润性生长,边界不清,密度不均
D.恶性度越高,则CT值越低
E.增强扫描呈不均匀性强化
148、单项选择题
女,45岁,感头晕多年,CT检查如图,最可能的诊断是()

A.脑积水
B.胼胝体发育不全伴胼胝体脂肪瘤钙化
C.透明隔囊肿
D.前脑无裂畸形
E.Dandy-Walker综合征
149、单项选择题 关于“星形胶质瘤”,下列描述哪项不对()
A.Ⅰ级:CT平扫为边缘清楚低密度灶
B.Ⅱ~Ⅳ级:CT平扫可为等、高混杂密度
C.小儿多发生于小脑
D.肿瘤强化程度与恶性程度成正比
E.成人以脑干居多
150、单项选择题 男性,28岁,交通事故受伤,CT见肝脏裂伤约2cm,包膜下血肿厚度<3cm,诊断肝钝性裂伤,分级为()
A.Ⅰ级
B.Ⅱ级
C.Ⅲ级
D.Ⅳ级
E.Ⅴ级
151、多项选择题
男,40岁,半年前因双下肢麻木、发凉、疼痛于外院诊断血栓闭塞性脉管炎,近1周腹痛、腹胀,以中下腹为著,呈阵发性加剧就诊,行CT增强扫描,如图所示,下列描述正确的是()
A.胰头部略膨隆,内部密度不均
B.门静脉及肠系膜上静脉增宽
C.门静脉及肠系膜静脉内见条形充盈缺损
D.考虑为胰头癌
E.考虑为门静脉及肠系膜内血栓形成
152、单项选择题 肾血管疾病不包括()
A.肾动脉硬化
B.肾静脉栓塞
C.肾静脉硬化
D.肾动脉梗死
E.肾梗死
153、单项选择题
男,57岁,腰骶部持续性隐痛2月余,结合影像学检查,最可能的诊断是()
A.骨肉瘤
B.骨巨细胞瘤
C.脊索瘤
D.骨样骨瘤
E.骨软骨瘤
154、单项选择题 下面对颅脑CT后处理技术应用正确的是()
A.颅脑CT图像常用软组织窗摄影
B.观察脑时用窗宽80~100HU,窗位35HU左右
C.骨窗的窗宽1500~2000HU,窗位300~500HU
D.观察软组织时用窗宽400~500HU,窗位30~60HU
E.疑桥小脑角区病变者用窗宽80~100HU,窗位35HU左右
155、单项选择题 不具有换气功能的解剖结构是()
A.呼吸性细支气管
B.小叶细支气管
C.肺泡管
D.肺泡囊
E.肺泡
156、单项选择题
女,38岁,腰背和右侧骶髂关节痛,结合图像,最可能的诊断是()
A.化脓性关节炎
B.类风湿关节炎
C.右髂骨结核
D.骨巨细胞瘤
E.骨髓瘤
157、单项选择题 下列易出现钙化性转移的盆腔内肿瘤是()
A.卵巢癌
B.宫颈癌
C.前列腺癌
D.膀胱癌
E.精囊癌
158、单项选择题 下列与胸部CT增强扫描技术不相关的是()
A.静脉团注对比剂60~70ml
B.流速2~2.5ml/s
C.延迟扫描时间20秒
D.扫描范围和扫描参数同平扫
E.采用螺旋扫描
159、单项选择题 在HD中,最常见的是()
A.淋巴细胞为主型
B.混合细胞型
C.结节硬化型
D.淋巴细胞耗竭型
E.以上都不是
160、单项选择题 下列哪项不是肾上腺腺瘤的CT表现()
A.密度均匀的类圆形实性肿块
B.边缘光滑清晰与肾上腺相连
C.常可见条或斑片状钙化
D.常因含有脂类而呈低密度
E.增强扫描呈轻度强化
161、单项选择题
男,54岁,有乙肝病史,现腹胀,右上腹痛,消化不良,消瘦、乏力、贫血、黄疸,血清转氨酶升高,白蛋白/球蛋白比值倒置,CT、MRI检查如图,最可能的诊断是()
A.肝脓肿
B.局灶性结节增生
C.原发性肝癌
D.肝转移癌
E.肝炎性假瘤
162、单项选择题 卵巢癌的主要转移方式是()
A.血行转移
B.淋巴道转移
C.种植性转移
D.直接外侵
E.沿生殖道播散
163、单项选择题 良好充盈CT像上,正常消化道壁解剖,下列哪项不对()
A.食管壁厚度应≤3mm
B.胃壁厚度应≤8mm
C.小肠壁厚度应≤3mm
D.结肠壁厚度应≤3mm
E.贲门区处胃壁可较其余胃壁略厚
164、单项选择题
结合所示图像,最可能的诊断是()
A.肾细胞癌
B.移行上皮细胞癌
C.肾静脉栓塞
D.急性肾盂肾炎
E.肾梗死
165、多项选择题 关于肾母细胞瘤,正确的说法是()
A.是小儿最常见的肾恶性肿瘤,多见于1~3岁
B.肿瘤与相邻肾实质分界清楚
C.肿块密度均匀
D.增强扫描强化明显
E.肿块无钙化灶
166、多项选择题 肝岛CT表现()
A.胆囊床附近最常见
B.脂肪肝基础上呈相对高密度
C.边界清楚,形态各异
D.无占位效应
E.增强后无早期异常强化
167、多项选择题 肝癌的特征性CT表现为()
A.门脉瘤栓
B.病灶边缘明显高低不平,强化持续时间很短
C.边缘不清,灶内有气体或增强出现坏死
D.灶周无水肿带、边缘强化出现“牛眼”征
E.边缘清晰无强化
168、单项选择题 关于正常腮腺CT平扫表现的描述,错误的是()
A.密度低于肌肉
B.密度高于脂肪
C.密度低于颌下腺
D.腺体萎缩时密度增高
E.密度与腺体内的脂肪含量有关
169、单项选择题 提示颅底骨折的CT征象是()
A.硬膜外血肿
B.气颅
C.头皮血肿
D.颅缝增宽
E.脑血肿
170、单项选择题 多幅相机成像胶片不适用于()
A.CT
B.MRI
C.CR
D.DSA
E.ECT
171、单项选择题 关于髓外硬膜内肿瘤的CT脊髓造影扫描,典型表现是()
A.脊髓位置正常,没有变形
B.脊髓移位,没有变形
C.脊髓移位,外形变扁,肿瘤呈圆形
D.脊髓移位,呈圆或椭圆形,肿瘤呈扁平状
E.脊髓移位,脊髓和肿瘤都接近圆形
172、单项选择题 关于“腮腺混合瘤”的诊断要点,错误的是()
A.最常见的腮腺肿瘤
B.边界清楚锐利
C.可均匀强化
D.平扫呈低密度
E.肿块分叶状、边缘模糊可为良性表现
173、单项选择题 下面关于四肢骨关节及软组织CT扫描技术的叙述错误的是()
A.双手及腕关节的扫描采用俯卧位
B.双肩关节、胸锁关节的扫描采用仰卧位
C.双膝关节、踝关节和下肢长骨的扫描采用俯卧位
D.双足扫描时应仰卧
E.双髋关节及股骨上段的扫描采用仰卧位
174、单项选择题 不属于眼及眼眶CT增强扫描技术的是()
A.怀疑眶内肿瘤、炎症、血管性病变及眶内肿瘤向眶外侵犯时,需作增强扫描
B.增强扫描可使血管、肌肉和有血供的病变清楚显示,有利于对病变的定性
C.对比剂使用同颅脑增强
D.延迟扫描时间为50秒
E.临床怀疑血管性病变者,还可用动静脉、延迟三期扫描
175、单项选择题 对探测器性能的叙述,错误的是()
A.对X线射能量具有良好的吸收能力
B.对较大范围的射线强度具有良好的反应能力及均匀性
C.工作性能稳定,有良好的再现性
D.残光少,且恢复常态的时间慢
E.体积小,灵敏度高,少量射线照射,能获得足够大信息强度
176、单项选择题 男,15岁,反复鼻衄1年。CT示翼腭窝软组织肿块,压迫上颌窦后壁弯曲前移,明显强化,最可能的诊断是()
A.淋巴瘤
B.肉瘤
C.恶性肿瘤
D.癌
E.血管纤维瘤
177、单项选择题 不发生脑膜瘤的部位是()
A.大脑镰旁
B.大脑凸面
C.侧脑室外侧白质内
D.桥小脑角区
E.幕切迹
178、单项选择题
患者70岁,体重减轻,结合图像,最可能的诊断是()
A.黑色素瘤转移
B.结肠癌转移
C.肝癌
D.胆囊癌
E.以上都不是
179、单项选择题 胰腺癌最好发于哪个部位()
A.胰头
B.胰颈
C.胰体
D.胰尾
E.胰体、胰尾交界处
180、单项选择题 与MRI比较,CT显示以下哪种病变较好()
A.黄韧带钙化
B.脊髓受压
C.脊髓水肿
D.骨髓水肿
E.后纵韧带撕裂
181、单项选择题 根据冠状动脉直径减少的百分数可推算出其面积减少的百分数,狭窄直径减少70%相当于面积减少()
A.75%
B.80%
C.85%
D.90%
E.95%
182、单项选择题 视网膜母细胞瘤最具特征的CT表现是()
A.位于眼球内
B.伴视网膜剥离
C.增强明显
D.平扫高密度
E.软组织肿块内钙化
183、单项选择题 易出现骨转移的盆腔内肿瘤是()
A.卵巢癌
B.子宫癌
C.膀胱癌
D.前列腺癌
E.精囊癌
184、单项选择题 患者,男,48岁,右眼突出半年。甲状腺功能检查正常。CT示右眼眶内直肌和下直肌增粗,密度较低,边缘模糊,注射对比剂后明显强化。最可能的诊断为()
A.炎性假瘤
B.甲状腺性眼球突出(Graves病)
C.横纹肌肉瘤
D.海绵窦瘘,眼外肌充血
E.细菌性眼肌炎
185、单项选择题
男,32岁,手足无力、颤抖、视力减弱,有时眩晕,时好时坏,查体发现四肢肌肉萎缩,CT检查如图,最可能的诊断为()
A.多发脑梗死
B.转移瘤
C.胶质瘤
D.多发性硬化
E.脑囊虫病
186、单项选择题 下列胃溃疡并发症中,哪种不宜钡餐检查()
A.幽门梗阻
B.溃疡癌变
C.慢性胃穿孔
D.活动性大出血
E.纳差、消瘦
187、单项选择题 滑环技术的主要功能是()
A.连续曝光
B.连续采集
C.单向连续旋转
D.床面连续移动
E.高压发生器连续旋转
188、单项选择题 椎间盘扫描时,机架倾斜角度的依据是()
A.与椎间隙平行
B.与椎间盘垂直
C.与椎体成45°
D.与椎体垂直
E.与椎间盘成15°
189、单项选择题 X线穿透人体组织,从易到难的顺序是()
A.肺,脂肪,肌肉,骨
B.肺,肌肉,脂肪,骨
C.肺,肌肉,骨,脂肪
D.肌肉,肺,脂肪,骨
E.脂肪,肺,肌肉,骨
190、单项选择题 骨关节结核的主要感染来源是()
A.经消化道传染
B.经呼吸道传染
C.继发于肠结核
D.继发于肺结核
E.经皮肤直接侵入
191、单项选择题
女,34岁,右上腹痛,有发热,白细胞计数升高,CT检查如图,最可能的诊断是()
A.胆管细胞癌
B.肝血管瘤
C.肝脓肿
D.肝局灶性结节增生
E.肝转移癌
192、单项选择题
男,17岁,右侧小腿疼痛,肿胀1月余,结合影像学检查,最可能的诊断是()
A.骨干结核
B.骨髓炎
C.骨脓肿
D.骨转移瘤
E.骨嗜酸性肉芽肿
193、单项选择题 关于肾盂移行细胞癌的CT表现,错误的是()
A.肾盂内不规则软组织密度肿块
B.肾移行细胞癌多为乳头型,有明显强化
C.周围有脂肪围绕
D.常多发累及同侧输尿管及膀胱
E.肾盂、肾盏扩张
194、单项选择题 关于肾解剖,错误的是()
A.肾实质分为皮质与髓质
B.肾实质外有肾包膜、脂肪、Gerota筋膜
C.肾前间隙有胰腺、十二指肠以及升、降结肠
D.后肾间隙有脂肪
E.肾位于腹膜腔内
195、单项选择题 下述有关腺病毒肺炎的描述错误的是()
A.病变可坏死
B.气管源性感染
C.累及肺实质较轻
D.早期侵犯大气管
E.吸收较慢
196、单项选择题 下列CT基本概念中,哪项描述不正确()
A.矩阵与像素成反比
B.窗宽与密度分辨率成反比
C.窗中心与密度分辨率成反比
D.纯水的CT值为0Hu
E.像素与图像清晰度成反比
197、单项选择题 下列哪项无法成为马蹄肾的诊断依据()
A.多不伴有肾盂肾盏积水后形态异常
B.双侧肾脏较正常位置低
C.双肾旋转不良
D.输尿管在肾脏前面下行,有一定弧度
E.双肾下极在脊柱前方融合可诊断
198、单项选择题 发生在桥小脑角区肿瘤中无强化的是()
A.三叉神经瘤
B.脑膜瘤
C.胆脂瘤
D.动脉瘤
E.听神经瘤
199、单项选择题 关于腹膜后脂肪肉瘤的叙述,不正确的是()
A.即使分化好的肿瘤,密度也常高于人体正常脂肪
B.实体型前后以纤维组织为主
C.假囊肿型肿瘤多为黏液脂肪肉瘤
D.不伴有瘤内钙化
E.肿瘤密度常不均匀,边界不甚清楚,或呈浸润生长
200、单项选择题 构成骨组织的是()
A.骨细胞
B.软骨细胞
C.骨细胞、基质纤维和矿物质
D.骨细胞、脂肪细胞
E.基质、纤维
201、多项选择题 有关眶内海绵状血管瘤叙述正确的有()
A.视神经管扩大
B.多呈均匀性增强
C.视神经被包围或推移
D.多发于肌锥内
E.钙化多见
202、单项选择题 螺旋CT检查效果不如常规CT的部位是()
A.胸部
B.头部
C.CTA
D.腹部
E.以上都不是
203、单项选择题 不是腹部CT扫描技术的适应证的是()
A.慢性胰腺炎
B.肾结石
C.肾动脉狭窄
D.库欣综合征
E.胃痉挛
204、单项选择题 头颅CT所示与肿瘤无关的是下列哪项()
A.中线结构移位
B.脑水肿
C.颅骨吸收或破坏
D.脑沟增宽加深
E.脑积水
205、单项选择题 CT扫描示左下肺后基底段可见囊实性肿块,中央为液性成分,边缘光整,壁厚强化明显,病灶内侧可见异常供血动脉,最可能的诊断是()
A.肺癌
B.肺隔离症
C.肺脓肿
D.肺结核
E.支气管源性囊肿
206、单项选择题
根据所提供图像,能发现的病变是()
A.饼状大网膜
B.小肠扩张积气
C.小肠肿瘤
D.结肠扩张积气
E.没有病变
207、多项选择题 直径<2cm的周围型肺癌,薄层CT扫描可有以下哪些表现()
A.边界清楚的小结节灶
B.密度不均匀
C.密度均匀
D.细小结节堆积状
E.空泡征
208、单项选择题
青少年患者,持续性上臂痛,如图所示,最可能诊断为()
A.骨样骨瘤
B.慢性骨髓炎
C.骨梗死
D.骨结核
E.以上都不是
209、单项选择题 下列关于CT检查的防护措施与原则,哪项错误()
A.掌握适应证
B.不随意加大扫描条件
C.减少不必要的重复扫描
D.尽可能扩大扫描野
E.应做好病人扫描区以外部位的遮盖
210、单项选择题 按WH0分类关于Ⅱ级星形细胞瘤的CT表现的描述,哪项是错误的()
A.肿瘤与水肿不易区分
B.病灶几乎不强化
C.病灶呈不均匀强化
D.病灶边缘清楚
E.占位效应较轻
211、单项选择题 关于听神经瘤的CT表现,下述不正确的是()
A.内听道可不增宽
B.肿瘤边缘清楚
C.可发生囊变坏死
D.多无明显强化
E.少数可双侧发病
212、单项选择题 与鞍上池前外侧角相连的是()
A.侧裂池
B.纵裂池
C.脚间池
D.环池
E.大脑大静脉池
213、单项选择题 关于骨瘤的叙述,正确的是()
A.多发生于青少年
B.好发于额、筛窦和上颌窦
C.单发类圆形高密度肿块,可有分叶,边界光滑、清楚
D.病理上分密质骨、松质骨型和混合型,以混合型多见
E.松质骨型骨瘤单发者不少见
214、单项选择题 病灶与周围组织密度接近,为突出病灶,CT窗的调整应为()
A.适当调大窗宽
B.适当调窄窗宽
C.适当调高窗位
D.窗宽窗位同时调高
E.窗宽窗位同时调低
215、单项选择题 单凭CT平扫,难以诊断以下哪种病变()
A.垂体微腺瘤
B.椎间盘突出
C.肺癌
D.肺结核
E.肾结石
216、单项选择题 决定空间分辨率的主要因素是()
A.扫描方式
B.有效视野
C.重建矩阵
D.显示矩阵
E.探测器数目
217、单项选择题
关于卵巢良性畸胎瘤的影像,下列哪项不对()
A.囊性病变,囊壁厚薄不均,有钙化
B.T1WI、皮样囊肿为高信号
C.可见骨、牙齿
D.CT可见到脂液面
E.以上都不是
218、多项选择题
男,57岁,睡觉打鼾,近来加重,CT扫描如图所示,正确的描述或诊断是()
A.鼻咽腔偏右侧可见类圆形软组织块影
B.肿块内密度尚均匀,其上方见较多钙化影
C.肿块边缘大部清楚,邻近结构未见明显受侵
D.鼻咽癌
E.鼻咽部多形性腺瘤
219、多项选择题 关于鼻窦炎的描述,说法正确的有()
A.鼻腔粘膜与鼻窦粘膜相连续,故鼻腔炎症易向鼻窦蔓延
B.鼻窦炎常常伴发鼻炎
C.临床上无明显症状,X线平片发现鼻窦异常者占20%
D.临床上无明显症状,CT发现鼻窦异常者占40%
E.临床上无明显症状,MR发现鼻窦异常占60%
220、单项选择题
男,67岁,排尿困难1年余,加重1个月,结合所示图像最可能的诊断为()
A.膀胱憩室
B.输尿管囊肿
C.膀胱结石
D.膀胱结核
E.膀胱炎
221、单项选择题
女,28岁,右侧大腿疼痛2月余,夜间加重,服用水杨酸类药物可缓解疼痛,结合影像学检查,最可能的诊断是()
A.骨样骨瘤
B.骨肉瘤
C.慢性硬化性骨髓炎
D.尤文肉瘤
E.骨髓瘤
222、多项选择题 关于喉良性肿瘤,其CT征象包括()
A.多数肿瘤形态规则,边界清楚
B.CT平扫多呈等密度,密度均匀
C.周围组织可有侵袭性改变
D.晚期可向喉外发展,破坏喉软骨
E.有时肿瘤可见钙化
223、单项选择题 CT平扫无法显示的是()
A.软组织
B.骨骼
C.脑白质
D.肾上腺
E.血液
224、单项选择题
男,37岁,颈部疼痛,活动时加重,休息可减轻,夜间有盗汗,结合图像,最可能的诊断是()
A.骨巨细胞瘤
B.颈椎骨转移
C.颈椎退行性变
D.颈椎结核
E.骨髓瘤
225、单项选择题 骨膜增生的CT表现,正确的是()
A.CT能显示平片不易发现的扁平骨如肩胛骨和髂骨的骨膜增生
B.CT常不能显示多层骨膜增生
C.有时不能显示增生的骨膜与骨皮质之间的透亮间隙
D.CT上,有时增生的骨膜和原来的骨皮质混在一起而类似于骨皮质增厚
E.以上均对
226、单项选择题
如图所示,可能性最小的诊断是()
A.骨瘤
B.骨肉瘤
C.陈旧性外伤
D.外生骨疣
E.以上都不是
227、单项选择题 关于CT扫描方法的叙述错误的是()
A.低剂量扫描:指在保证诊断要求的前提下,降低螺旋CT的扫描参数,降低了病人X线的剂量
B.动态扫描:指静脉团注对比剂后,在极短的时间内对某一组织器官进行快速连续扫描,一边扫描一边重建图像的方法
C.目标扫描:又称靶扫描或放大扫描,是对兴趣区进行扫描的一种方法
D.延迟扫描:指注射对比剂后,等待数分钟,甚至数小时后再行扫描的一种CT检查方法
E.重叠扫描:指层间距小于层厚,使相邻的扫描层面部分重叠的CT扫描
228、单项选择题
男,28岁,右髋部疼痛2个月余,结合影像学检查,最可能的诊断是()
A.慢性骨脓肿
B.骨样骨瘤
C.骨巨细胞瘤
D.骨囊肿
E.骨转移瘤
229、单项选择题 关于慢性胰腺炎CT表现,错误的是()
A.胰腺及胰管钙化
B.假囊肿形成
C.胰管扩张
D.局部软组织肿块
E.胰腺萎缩变小
230、单项选择题 关于卵巢浆液性囊腺癌的描述,哪项不正确()
A.多为单侧卵巢受累
B.早期就可有腹腔转移
C.可为囊实性质地
D.就诊时,瘤体多较大
E.囊壁厚,且厚度不均,可强化
231、单项选择题 溶骨型骨转移瘤的CT征象中,错误的是()
A.松质骨和皮质骨骨质破坏呈低密度缺损区
B.病灶边缘较清晰
C.病灶边缘无硬化
D.常见骨膜反应
E.常见软组织肿块
232、多项选择题
男,55岁,尿频,尿痛伴低热乏力1月。如图所示,下列说法正确的是()
A.左侧输尿管多发性狭窄
B.右侧肾积水
C.膀胱变形
D.左侧输尿管结核
E.左侧输尿管癌
233、单项选择题 颅内静脉窦闭塞最常发生于()
A.横窦
B.乙状窦
C.上矢状窦
D.海绵窦
E.下矢状窦
234、单项选择题 单层螺旋CT在硬件方面的重要改进是()
A.增加了机架的重量,以抵抗滑环连续旋转的离心力
B.增加了探测器的数量
C.采用了滑环技术
D.采用了飞焦点技术
E.采用了电子束和四个阳极靶面
235、单项选择题 关于结肠癌的描述不确切的是()
A.溃疡型多见
B.腺癌为主
C.升结肠易形成腔内肿块
D.降结肠癌多为浸润型
E.早期结肠癌可呈菜花状
236、单项选择题 关于三叉神经瘤描述,下列哪项是错误的()
A.位于中颅窝
B.位于后颅窝
C.常见岩骨尖破坏
D.无瘤周水肿
E.常见内听道扩大
237、多项选择题
女,28岁,阴道有异常液体流下,CT和MRI扫描如图,下列说诊断正确的是()
A.CT增强示对比剂由膀胱进入阴道
B.MRI的T2加权像示宫颈阴道内有大片状高信号影
C.膀胱后下缘可见鸟嘴状突起
D.考虑为左侧输尿管异位开口
E.考虑为膀胱阴道瘘
238、单项选择题 关于嗜铬细胞瘤的常见表现,下列说法哪项不正确()
A.均有血清儿茶酚胺增高
B.90%发生于肾上腺区
C.CT及血管造影均有明显染色和增强
D.可有钙化
E.可有中心区坏死及瘢痕
239、单项选择题 有关系统性红斑狼疮描述,错误的是()
A.肺可受侵
B.易侵犯心血管、肾
C.多形成广泛肺纤维化和蜂窝肺
D.是一种全身性疾病
E.女性多见
240、单项选择题 膀胱癌好发于()
A.三角区
B.膀胱底
C.膀胱顶
D.膀胱后壁
E.膀胱侧壁
241、单项选择题 扩张型心肌病的CT表现为()
A.左心室呈气球样扩张
B.不伴心肌肥厚
C.心室收缩功能正常
D.可见附壁血栓呈高密度影
E.以上都不对
242、单项选择题 以下哪一项CT表现提示直肠癌失去手术机会()
A.肿块外缘毛糙
B.直肠全周受累
C.直肠周围脂肪内肿大淋巴结
D.直肠周围筋膜增厚
E.直肠周围脂肪密度增高
243、多项选择题 在CT和平片上,上颌窦息肉的征象有()
A.结节样软组织肿块影
B.窄基底或有蒂
C.常合并黏膜肥厚
D.窦腔积液
E.局部骨侵犯
244、单项选择题 胸部CT高分辨率扫描主要用于检查()
A.中心型肺癌
B.气胸
C.胸腔积液
D.胸膜增厚
E.间质性病变
245、单项选择题 颈椎管狭窄的CT诊断标准为正中矢状径小于()
A.10mm
B.11mm
C.12mm
D.13mm
E.15mm
246、单项选择题
女,36岁,血尿1周,根据所示图像,最可能的诊断是()
A.膀胱血块
B.膀胱结石
C.膀胱息肉
D.膀胱癌
E.输尿管癌
247、单项选择题
肝右前叶病灶,结合图像,最可能的诊断是()
A.肝血管瘤破裂
B.肝血管平滑肌瘤破裂
C.肝癌并破裂
D.布-加综合征
E.以上都不是
248、单项选择题 下面哪项是胸部CT扫描的适应证()
A.气管炎
B.支气管炎
C.肺炎
D.过敏性哮喘
E.咳嗽
249、单项选择题 CT诊断慢性骨髓炎优于X线平片是()
A.检出骨膜增生
B.空间分辨率高
C.检出血管增生
D.检出细小死骨
E.检出骨增生
250、单项选择题
女,31岁,左眼眶外上缘发现一包块,质软,余所见无明显异常,影像所见如图,最可能的诊断是()

A.畸胎瘤
B.错构瘤
C.脂肪瘤
D.表皮样囊肿
E.淋巴管瘤
251、单项选择题
男,32岁,肥胖,CT检查如图所示,最可能的诊断为()
A.脂肪肝
B.肝硬化
C.肝血色素沉着病
D.肝豆状核变性
E.肝囊肿
252、单项选择题 典型肝脓肿在CT上的表现,除中央低密度脓腔外,脓肿壁可出现三层环状结构,从内至外分别代表()
A.纤维肉芽组织,水肿带,炎性坏死组织
B.水肿带,炎性坏死组织,纤维肉芽组织
C.炎性坏死组织,水肿带,纤维肉芽组织
D.炎性坏死组织,纤维肉芽组织,水肿带
E.纤维肉芽组织,炎性坏死组织,水肿带
253、单项选择题 关于螺旋CT扫描优点的描述,下列哪项不正确()
A.减少图像的运动伪影
B.明显提高空间分辨率
C.可动态扫描
D.减少患者的辐射量
E.缩短扫描时间
254、单项选择题 关于颅咽管瘤的描述,哪项不正确()
A.小儿及青年多见
B.80%为囊性
C.85%有钙化
D.均见于鞍上
E.肿瘤边界清楚
255、单项选择题
女,30岁,左侧肢体无力1周,无发热,增强CT检查如图,最可能的诊断为()

A.胶质瘤
B.脑膜瘤
C.淋巴瘤
D.转移瘤
E.脑脓肿
256、单项选择题
男,52岁,双眼突出2-3年,结合图像,最可能的诊断是()

A.淋巴瘤
B.肌炎型炎性假瘤
C.眼肌发育异常
D.眼型Graves病
E.眼眶血管畸型
257、单项选择题
根据所提供的图像,该病例最可能的诊断为()
A.溃疡性结肠炎
B.缺血坏死性结肠炎
C.巨细胞包涵体病毒感染性结肠炎
D.结肠癌
E.淋巴瘤
258、单项选择题
根据所提供的图像,最可能的诊断()
A.骨结核
B.多发性骨转移
C.骨血管瘤
D.退行性变
E.骨质疏松
259、单项选择题
根据所提供的图像,该病例最可能的诊断为()
A.胆管癌
B.肝细胞癌
C.脓肿
D.梗死、梗塞
E.胆管结石
260、单项选择题
女,36岁,左胸部疼痛不适5天,CT图像如图,应诊断为()
A.胸膜间皮瘤
B.胸腔积液
C.腹腔积液
D.胸膜增厚
E.胸膜钙化斑
261、单项选择题 大叶性肺炎实变期发生于()
A.发病后7天
B.发病12~24小时
C.发病2~3天后
D.发病后即刻
E.发病后6~12小时
262、多项选择题 肾移植术后的并发症为()
A.血管系统并发症
B.排异反应
C.泌尿系统并发症
D.急性肾小管坏死
E.移植术后肿瘤
263、单项选择题 女,14岁,癫痫,1年前蛛网膜下腔出血,CT示右颞叶前部有斑点样高密度灶,中度强化并见曲张血管,最可能的诊断为()
A.海绵状血管瘤
B.星形细胞瘤
C.动静脉畸形
D.少枝胶质细胞癌
E.动脉瘤
264、单项选择题 以下哪项不是CTA增强扫描动脉期的影像表现()
A.原发性肝癌明显强化
B.肝实质明显强化
C.肾脏强化不明显
D.脾脏花斑状强化
E.腹主动脉强化不明显
265、单项选择题 关于多形性胶质母细胞瘤的CT表现,下列哪项是错误的()
A.可见高密度出血灶
B.常见囊变,坏死的低密度区
C.瘤旁水肿明显
D.常见钙化的高密度影
E.不规则花环样增强
266、多项选择题 下列属于放射性肺炎病灶特点的是()
A.局限于放射线投照区
B.按叶段分布
C.病灶边缘平直
D.病灶内可见支气管充气征
E.可完全吸收消散
267、单项选择题
患者,女,83岁,胸部CT图像如下。则最确定的诊断为()
A.食管裂孔疝
B.胸主动脉瘤
C.胸主动脉夹层破裂
D.后纵隔囊实性占位性病变
E.无明显异常
268、单项选择题
女性,21岁,上切牙后方发现一囊性突起1年,无明显疼痛。CT表现如下图所示,最可能的诊断为()
A.上颌骨含牙囊肿
B.上颌骨造釉细胞瘤
C.牙根囊肿并感染
D.腭正中囊肿
E.始基囊肿
269、单项选择题
男,48岁,左小腿上段后部轻度胀痛,轻压痛,无明确外伤史,结合所提供的图像,最可能的诊断是()
A.表皮样囊肿
B.皮脂腺瘤
C.脂肪瘤
D.腱鞘囊肿
E.腱鞘脓肿
270、单项选择题 男,2岁,头痛。CT轴位平扫示:双侧额顶部颅骨内板下方半月形脑脊液密度影,脑实质受压,中线结构居中。最可能的诊断为()
A.急性硬膜下血肿
B.双侧硬膜下血肿
C.双额顶慢性硬膜下血肿
D.双额顶硬膜下水瘤
E.双额顶蛛网膜囊肿
271、单项选择题 下列哪项不属于图像后处理技术()
A.多组CT值测量
B.图像局部放大
C.改变窗宽
D.图像反转
E.矢状重建
272、多项选择题
男,70岁,右侧颈部无痛性肿块3个月,CT扫描如图所示,正确的描述或诊断是()

A.右侧颈动脉间隙内见类圆形软组织肿块影,密度欠均匀,边缘光整
B.右侧颈静脉被推压至肿块外后方
C.右侧颈动脉被推压至肿块内后方
D.迷走神经源性肿瘤
E.交感神经源性肿瘤
273、单项选择题 CT诊断肾单纯性囊肿,最有诊断意义征象应为()
A.囊壁光滑、边缘清楚、CT值<15HU
B.囊壁光滑、边缘清楚、增强扫描无强化
C.囊壁光滑、囊壁有明显钙化
D.水样密度、囊壁有明显钙化
E.占位性肿块,水样密度、边缘钙化
274、单项选择题 关于胰腺在CT图像上的识别标志,下述哪项是错误的()
A.十二指肠水平部横跨于下腔静脉和腹主动脉前方,标志着胰头消失
B.腹主动脉左前壁是区分胰颈与胰体的标志
C.门静脉或肠系膜上静脉右壁是区分胰头与胰颈的标志
D.一般认为钩突向左延伸部分超过肠系膜上动脉属异常
E.钩突位于肠系膜上动静脉与下腔静脉之间
275、单项选择题
女,27岁,双侧颈部淋巴结肿大,PPD(-),结合CT图像,最可能的诊断是()
A.心包囊肿
B.淋巴瘤
C.淋巴结核
D.转移性淋巴结肿大
E.结节病
276、多项选择题 恶性骨巨细胞瘤或良性骨巨细胞瘤恶变的CT表现为()
A.病灶明显强化
B.有骨膜反应
C.病变边界模糊
D.病灶向骨外扩展
E.有软组织肿块
277、单项选择题
男,11岁,持续性右足部疼痛,无发热。根据右足正、斜位X线片及CT平扫片,最可能的诊断为()
A.骨样骨瘤
B.疲劳性骨折
C.尤文肉瘤
D.骨软骨瘤
E.硬化性骨髓炎
278、单项选择题 中心性桥脑髓鞘溶解的常见病因是()
A.脑梗死
B.脑外伤
C.长期饮酒
D.代谢性
E.遗传性
279、多项选择题 纤维性骨质缺损的CT征象为()
A.皮质内囊状或不规则、无膨胀性的骨质缺损区
B.皮质内囊状或不规则、膨胀性的骨质缺损区
C.病灶边缘清楚,外侧骨壳可完整或缺损
D.邻近可有轻度软组织肿胀
E.常无骨膜反应
280、多项选择题 恶性肿瘤中不常有骨膜反应的是()
A.纤维肉瘤
B.原发网状细胞肉瘤
C.尤文肉瘤
D.骨肉瘤
E.溶骨性骨转移瘤
281、单项选择题
男,32岁,有外伤史,根据所示图像,最可能的诊断是()
A.右肾挫伤
B.右肾裂伤
C.右侧肾上腺外伤性出血
D.右肾挫伤合并右侧肾上腺外伤性出血
E.右肾裂伤合并右侧肾上腺外伤性出血
282、单项选择题 下列“先天性畸形”骨改变特点描述,哪项错误()
A.Turner综合征:掌骨征阳性
B.Marchesani综合征:指/趾异常短小
C.Lobstein病:骨密度均匀性升高
D.Marfan综合征:四肢骨细长,指趾尤其明显
E.Sprengel畸形:肩胛骨高位、脊柱发育异常
283、单项选择题 关于脑肿瘤好发年龄的描述,哪项不对()
A.髓母细胞瘤:10岁以下多见
B.松果体生殖细胞瘤:10~30岁多见
C.脑膜瘤:常为40~50岁中年人
D.脉络膜乳头状瘤:50岁以上多见
E.颅咽管瘤:15岁以下儿童多见
284、单项选择题 下列脑挫裂伤描述,下列哪项是错误的()
A.低密度水肿区出现斑点状高密度出血灶
B.可伴有蛛网膜下腔出血
C.可发生在白质或灰质,不能同时受累
D.病变局部脑池脑沟变小、消失
E.明显占位效应
285、单项选择题 与普通平片相比,下列哪一项不是CT的优点()
A.密度分辨率高
B.解剖分辨率高
C.空间分辨率高
D.可进行多方位重建
E.增强扫描有利于病灶的定性
286、单项选择题 脑室内占位病变较为特征的CT表现为()
A.单侧脑室扩大
B.双侧脑室扩大
C.脑室呈杯口状扩大
D.脑室移位
E.中线结构移位轻
287、单项选择题 髂动脉狭窄经皮穿刺动脉成形术的适应症是()
A.髂动脉闭塞并严重钙化
B.髂动脉串珠状多发性长段狭窄
C.髂动脉狭窄并肢体溃疡形成
D.髂动脉狭窄但无血流动力学意义
E.髂动脉附近存在动脉瘤
288、单项选择题
根据所提供的图像,最可能的诊断是()
A.胰腺真性囊肿
B.Von-Hipple-Linda综合征
C.胰腺假性囊肿
D.胰腺炎
E.以上都不是
289、单项选择题 下列脑囊虫病CT特点的描述,错误的是()
A.多发钙化型:钙化周围水肿明显,增强扫描呈明显强化
B.多发小囊型:在半球区有多发散在小圆形或卵圆形低密度影
C.多发结节型:增强扫描低密度影出现结节或环状强化
D.单发大囊型:脑内圆形、椭圆或分叶状的低密度影
E.急性脑炎型:全脑肿胀,脑室小,增强扫描无强化
290、单项选择题
男,68岁,胸闷、气逼1年余,加重1周,右胸有手术史,结合CT图像,最可能的诊断是()
A.右侧气胸并皮下气肿、左侧肺气肿
B.右侧气胸并皮下气肿、左侧肺不张
C.双侧肺气肿
D.右侧气胸并皮下气肿
E.右侧肺间质病变、左侧肺气肿
291、单项选择题 男,35岁,右眼痛2个月。CT示右泪腺增大,边缘模糊,眶壁骨质正常,增强扫描示泪腺轻度强化,应诊断为()
A.泪腺瘤
B.泪腺癌
C.格雷夫斯病
D.泪腺型炎性假瘤
E.泪腺血管瘤
292、单项选择题 CT机计算机房的温度应保持在()
A.18℃~25℃
B.18℃~22℃
C.18℃~28℃
D.16℃~24℃
E.18℃~26℃
293、单项选择题
患者,男性,21岁,左耳前区不适半年余。CT平扫如下图,最可能的诊断为()
A.骨瘤
B.骨样骨瘤
C.骨纤维异常增殖症
D.Paget病
E.慢性骨髓炎
294、单项选择题
女,40岁,下腹部隐痛、腹胀伴阴道不规则出血1年余,B超检查提示盆腔包块,CT检查如图,下列最可能的选项是()
A.卵巢畸胎瘤
B.卵巢囊肿
C.卵巢囊腺瘤
D.卵巢囊腺癌
E.卵巢浆液性囊腺癌
295、单项选择题
患者轻微外伤,肾周积血、积尿,结合所示图像,最可能的诊断是()
A.典型外伤损害
B.有肾盂输尿管连接处阻塞的肾外伤
C.腹水
D.过度灌注的状态
E.以上都不是
296、多项选择题 应与石棉肺鉴别的疾病有()
A.胸膜肥厚
B.煤尘肺
C.胸膜间皮瘤
D.矽肺
E.肺癌
297、单项选择题
男,23岁,左大腿远端疼痛,夜间明显,服阿司匹林可缓解,结合图像,最可能的诊断是()
A.骨脓肿
B.骨样骨瘤
C.骨化性纤维瘤
D.骨巨细胞瘤
E.骨肉瘤
298、单项选择题 CT扫描中常用的FOV是指()
A.矩阵大小
B.兴趣区
C.灰阶标尺
D.扫描野
E.激光胶片的分辨力
299、多项选择题 女,56岁,眩晕,CT示左侧桥脑小脑脚区低密度病灶,脑干轻度受压。关于影像学分析,下列哪些是正确的()
A.诊断应考虑:胆脂瘤、胶质瘤等
B.脑池室增宽应首先考虑脑外病变
C.脑池增宽应首先考虑胶质瘤
D.脑池形态一致应首先考虑听神经瘤
E.扫描病灶无强化不首先考虑听神经瘤
300、单项选择题
如图所示,最可能的诊断是()
A.转移
B.疲劳骨折
C.骨穿刺后
D.淋巴瘤
E.以上都不是