时间:2025-06-09 15:53:25


1、单项选择题 先天性肛门闭锁,X线检查的最佳时间是()
A.婴儿出生后立即拍片
B.婴儿出生后10~12小时拍片
C.婴儿出生后20~24小时拍片
D.婴儿出生后8~10小时拍片
E.婴儿出生48小时后拍片
2、单项选择题 第二斜位又称为()
A.右前斜位
B.左前斜位
C.左后斜位
D.右后斜位
E.侧位
3、单项选择题 前纵隔最常见的肿瘤是()
A.胸腺瘤
B.畸胎瘤
C.胸内甲状腺肿
D.淋巴管瘤
E.支气管囊肿
4、判断题 老年人鞍背出现骨密度减低时,最大的可能为恶性病变所致。
5、单项选择题 第1腰椎的体表定位标志是()
A.胸骨体中点
B.胸骨剑突末端
C.剑突与脐连线中点
D.肚脐中点
E.脐上5cm
6、单项选择题 关于小儿髋关节摄片技术,错误的是()
A.双侧髋关节摄影在同一张胶片上
B.使用低速增感屏
C.左右标记要准确
D.髋关节及股骨位置左右对称
E.非检查部位用铅皮遮盖
7、单项选择题 诊断用X射线机房的主防护铅当量厚度应是()
A.0.5mm
B.1.0mm
C.1.5mm
D.2.0mm
E.2.5mm
8、单项选择题 下列关于病变与空洞特点的描述,不正确的是()
A.肺气囊:薄壁空洞
B.肺脓肿:均匀厚壁空洞
C.浸润型肺结核:薄壁空洞有卫星灶
D.肺癌;偏心空洞,有壁结节
E.慢性纤维空洞型肺结核:纤维厚壁空洞
9、单项选择题 下列哪项不是右上叶肺不张的X线表现()
A.上肺野呈大片均匀性浓密阴影
B.右上肋间隙变窄
C.右肺门影增大
D.水平裂叶间线向上移位呈凹弧线状
E.气管右移
10、单项选择题
男,78岁,进行性吞咽困难1月余,结合图像,最可能的诊断为()

A.正常压迹
B.食管平滑肌瘤
C.食管癌
D.食管憩室
E.食管静脉曲张
11、单项选择题 主要由柯氏位摄片显示的是哪项()
A.乳突、中耳气房
B.视神经孔、后组筛窦
C.内听道、蝶鞍、枕骨
D.额窦、眼眶周围骨质
E.上颌窦、筛窦、额窦
12、问答题 鼻窦炎的X线表现有哪些?
13、单项选择题
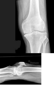
男,76岁,长久站立时左膝关节疼痛,可扪及捏发音,结合图像,最可能的诊断是()
A.退行性骨关节病
B.畸形性骨炎
C.神经性关节病
D.创伤性关节炎
E.肥大性骨关节病
14、单项选择题 中心型肺癌最早出现征象是()
A.黏液嵌塞征
B.局限性肺气肿
C.段或叶肺不张
D.阻塞性肺炎
E.肺门阴影增浓
15、多项选择题 溃疡型胃癌X线征象包括()
A.僵硬
B.放射状粘膜纠集
C.项圈征
D.裂隙征
E.环堤
16、单项选择题 下列表现,哪项与主动脉瘤无关()
A.可有钙化
B.主动脉搏动可减弱
C.邻近骨骼无异常发现
D.主动脉瘤状、梭状扩张
E.可压迫支气管,造成肺不张
17、单项选择题 关于鼻腔癌的X线表现,下列说法哪项有错误()
A.鼻腔内出现软组织团块影
B.多无鼻中隔移位和鼻腔扩大变形
C.鼻腔侧壁或鼻中隔可有骨质吸收破坏
D.肿瘤同侧鼻窦透光度增加
E.邻近器官部位出现骨质破坏
18、多项选择题 泌尿系统常规X线检查包括()
A.X线平片
B.尿路造影
C.血管造影
D.子宫输卵管造影
E.肾上腺静脉造影
19、单项选择题 易与胰头肿块混淆的是()
A.门腔淋巴结
B.右肾上腺
C.右侧膈肌脚
D.十二指肠
E.胃幽门管
20、单项选择题 关于胸椎摄影,下列选项中正确的是()
A.上腰椎或下颈椎
B.只需摄待检胸椎局部正侧位片
C.下颈椎
D.上腰椎
E.以上都不对
21、单项选择题 下列哪项不属于膀胱造影的术前准备()
A.排尿
B.清洁肠道
C.备好导尿管
D.碘过敏试验
E.备好注射用水和容器
22、多项选择题 关于CR成像优缺点的叙述,错误的是()
A.X线剂量比常规X线摄片降低
B.可与原有的X线摄片设备匹配工作
C.有后处理功能
D.时间分辨率高
E.空间分辨率高
23、多项选择题 单纯性小肠梗阻常见原因是()
A.肠粘连
B.小肠扭转
C.炎性狭窄
D.粘连索带压迫
E.肿瘤
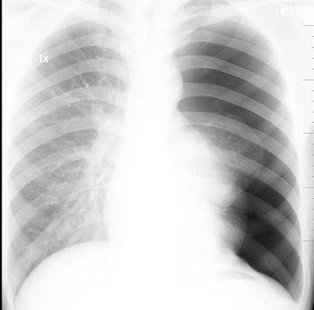
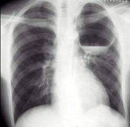
24、单项选择题
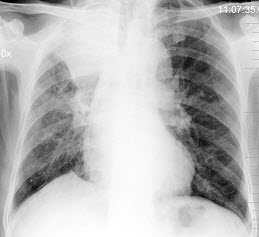
男,22岁,感胸痛且大汗淋漓就诊,X线检查如图,最可能的诊断是()

A.正常胸片
B.左肺肿瘤
C.左侧肺气肿
D.左侧气胸
E.支气管囊肿
25、多项选择题 下列摄片组合,中心线选用错误的是()
A.骶椎-向头侧倾斜15°~20°
B.尾椎-向足侧倾斜15°
C.骶椎-向足侧倾斜5°~15°
D.腰骶关节-向头侧倾斜15°~20°
E.骶髂关节-向头侧倾斜5°~10°
26、填空题 肺结核基本病变的性质可分为_____________、______________和_______________。
27、名词解释 结核球
28、单项选择题 “恶性骨肿瘤”最常见的转移的部位是()
A.脑
B.骨骼
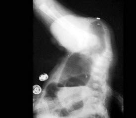
C.肺
D.脊椎
E.肝脏
29、单项选择题 下列哪项不是后纵隔的结构()
A.食管
B.胸导管中下段
C.半奇静脉
D.内脏大神经
E.迷走神经
30、单项选择题 儿童脊柱结核好发于()
A.骶椎
B.胸椎
C.腰椎
D.颈椎
E.以上都是
31、单项选择题 下列哪项不是良性溃疡的X线征象()
A.项圈征
B.狭颈征
C.肩胛征
D.放射状粘膜纠集
E.溃疡口部粘膜线
32、单项选择题 关于尘肺,下列知识哪项不对()
A.不规则小阴影,见于非典型矽肺
B.胸膜斑,矽肺主要影像之一
C.长条形大阴影,见于典型矽肺
D.类圆形小阴影,矽肺最常见征象之一
E.不规则小阴影,见于石棉肺、不典型矽肺和其他尘肺
33、名词解释 膈角移位征
34、单项选择题 右前斜位X线摄片上食管压迹加深,提示()
A.右心室增大
B.右心房增大
C.左心室增大
D.左心房增大
E.主动脉增宽,迂曲
35、名词解释 骨气鼓
36、单项选择题 女,25岁,低热,乏力,微咳,有蛔虫史,胸片见两肺下部斑状阴影,经抗结核治疗1周阴影消失,但其他部位又出现类似阴影,最可能的诊断是()
A.过敏性肺炎
B.支原体肺炎
C.葡萄球菌肺炎
D.肺结核
E.真菌性肺炎
37、判断题 原发性腹膜肿瘤,非常少见,因此应在首先除外转移性肿瘤后才可考虑。
38、多项选择题 下列哪些可在胸骨正位片上显示()
A.胸骨柄
B.胸骨体
C.剑突
D.胸锁关节
E.全部肋骨
39、单项选择题 食管的生理性狭窄及其压迹部位相同的是哪些()
A.左心房部
B.主动脉弓部
C.膈食管裂孔部
D.食管入口部
E.左主支气管部
40、单项选择题 关于左心室增大的X线表现,错误的是()
A.左心室段延长,心尖部下移,相反搏动点上移
B.主动脉弓扩大,升主动脉及主动脉弓分别向右向左凸出
C.左侧位,心后缘下段向后膨出
D.心脏向左呈逆时针方向旋转
E.左前斜位,心后缘下段向后向下膨凸延长,室间沟向下向前移位
41、单项选择题 照片产生反转的原因是()
A.显影液pH值太高
B.显影液温度太低
C.定影液衰老
D.X线胶片过期
E.由于潜影溴化的结果
42、单项选择题 下列支原体肺炎的描述,错误的是()
A.小儿及成人均可患病
B.病变早期可仅有肺纹理增多,边缘模糊
C.血清冷凝集试验在2~3周值较低
D.肺炎支原体肺炎与浸润型肺结核X线表现相似
E.占据一个大叶的支原体肺炎较少见
43、单项选择题 肾区前后位摄影,中心线应对准()
A.肚脐
B.脐下3cm
C.剑突与肚脐连线中点
D.肚脐与耻骨联合连线中点
E.剑突与耻骨联合连线中点
44、单项选择题 急性化脓性骨髓炎形成大块死骨的主要原因是()
A.骨皮质血供中断
B.广泛的骨质增生
C.骨膜血管中断
D.累及关节中断营养血管
E.以上都是
45、判断题 长骨骨折两断段成角的尖端所指的方向即为成角的方向。
46、单项选择题
女,77岁,进行性吞咽困难月余,伴胸闷气短,腹胀。结合图像,最可能的诊断为()

A.正常压迹
B.食管癌
C.食管静脉曲张
D.食管溃疡
E.食管憩室
47、名词解释 胃小区
48、单项选择题 关于照片锐利度的叙述,错误的是()
A.不锐利的照片有漏掉病灶的可能
B.不锐利的照片影像边界不清
C.不锐利的照片易出现误诊
D.锐利度是模糊度的反义词
E.被照体越靠近胶片,影像越不锐利
49、单项选择题 矽肺最常见的死因是()
A.慢性肺源性心脏病
B.结核
C.呼吸道感染
D.自发性气胸
E.呼吸功能衰竭
50、单项选择题 肾结核X线平片征象,下列哪项正确()
A.肾影倒八字形
B.病侧肾下垂
C.肾影不清
D.肾区可见不规则钙化灶
E.肾外形不光整
51、单项选择题 纤维性病变的胸片表现特点是()
A.云絮状浅淡模糊影
B.条索状密度增高影
C.边缘清楚致密影,密度比肋骨低
D.边缘清楚致密影,密度比肋骨高
E.肺透亮度增加,局部肺纹理缺如
52、多项选择题 良性胃溃疡患者,龛影周围表现中()
A.粘膜水肿
B.粘膜纠集
C.肿块
D.粘膜中断
E.器官变形
53、单项选择题 关于"急性化脓性鼻窦炎"的影像特点,下列说法哪项错误()
A.窦腔密度均匀增高
B.粘膜下皮质白线消失
C.窦壁粘膜增厚
D.可有气液面
E.单侧或双侧鼻窦受累
54、问答题 骨折的愈合分几期?各有何X线表现?
55、单项选择题 原发性纵隔肿瘤中最常见的是()
A.恶性淋巴瘤
B.神经源性肿瘤
C.胸腺瘤
D.畸胎类肿瘤
E.胸内甲状腺肿
56、单项选择题
男,根据其正常骨盆影像图像,判断其最可能的年龄()
A.2岁左右
B.5岁左右
C.8岁左右
D.11岁左右
E.14岁左右
57、填空题 牙瘤病理上可分为三型,即__________、______________和_____________。
58、单项选择题 属静脉肾盂造影禁忌证的是()
A.肾盂结石
B.膀胱结石
C.尿道狭窄
D.肾动脉狭窄
E.严重血尿
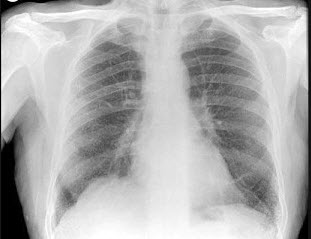
59、单项选择题
男,36岁,体检胸片如图,最可能的诊断是()

A.畸胎瘤
B.胸腺瘤
C.淋巴瘤
D.胸内甲状腺肿
E.脂肪瘤
60、单项选择题 下列哪种疾病,胸片无肋骨下缘切迹()
A.肺动脉闭锁
B.主动脉缩窄
C.上腔静脉阻塞
D.类风湿关节炎
E.神经纤维瘤病
61、判断题 食管狭窄部位内的溃疡形成并伴发食管裂孔疝是Barrett溃疡的特点。
62、判断题 神经纤维瘤病约80%有骨骼异常,主要为发育异常及神经纤维瘤的侵蚀。
63、填空题 脊椎骨折分为次要损伤和重要损伤,后者包括_______________、_____________、___________及__________。
64、填空题 急性腹膜炎的影像学诊断主要依据_____________、______________、______________、_________________和________________。
65、单项选择题
男,阴囊下坠不适,胀痛,平卧症状缓解。查体:阴囊下垂松弛,并可触及结节状静脉曲张。
属精索静脉变异的是()
A.汇入肾静脉
B.汇入肝静脉
C.双精索静脉
D.汇入腹腔静脉
E.汇入下腔静脉
66、多项选择题 肺肾综合征的X线表现为()
A.多发结节状
B.小叶斑片状
C.大片融合状
D.纤维条索状
E.多发空洞状
67、单项选择题 肺间质性病变的X线表现是()
A.肺实变
B.片状或腺泡结节阴影
C.蜂窝状透光改变
D.肺不张
E.表现为线状、网状、条索状及粟粒状阴影
68、单项选择题 Lutembacher综合征特征为()
A.早期左向右分流
B.三尖瓣下移
C.晚期双向或右向左分流
D.室间隔缺损伴二尖瓣狭窄
E.房间隔缺损合并二尖瓣狭窄
69、单项选择题 大叶性肺炎多见于()
A.青少年
B.老年人
C.婴幼儿
D.青壮年
E.以上都是
70、判断题 泌尿系阳性结石和阴性结石的概念只适于X线平片检查。
71、判断题 椎间盘突出的直接征象之一为硬膜囊、脊髓或神经根受压。
72、多项选择题 全自动准直器可进行的操作方式有()
A.手动
B.自动
C.无线遥控
D.红外遥控
E.以上都是
73、多项选择题 一般摄片用X线胶片种类包括()
A.感蓝胶片
B.感绿胶片
C.乳腺摄片用正色胶片
D.清洁用胶片
E.高清晰度摄片用胶片
74、单项选择题 下列有关乳腺癌的描述,哪项是错误的()
A.乳腺外上象限发生率最高,接近50%
B.骨转移的主要部位是肋骨
C.“橘皮征”是皮内和皮下淋巴管被癌细胞堵塞所致
D.Paget病的原发灶在乳头区的大乳管内
E.治疗方针应是尽早手术,辅以放、化疗等综合疗法
75、单项选择题 关于急性粟粒型肺结核的说法中,以下不正确的是()
A.肺内阴影与临床症状出现时间大致相同
B.病灶为渗出性或增殖性
C.“三均匀”是其特点
D.大多数病灶吸收约需16个月
E.X线阴影的改善晚于临床症状改善
76、单项选择题 有关静脉肾盂造影检查,错误的是()
A.腹腔巨大肿块不能施行加压法
B.常用的对比剂是复方泛影葡胺
C.造影前必须进行碘过敏试验
D.肾盂造影片可显示肾上腺
E.疑肾盂积水应加大对比剂剂量
77、单项选择题 关于“骨与骨化中心”,下列描述哪项错误()
A.左右两侧骨化中心出现的时间、数目、顺序一致
B.女性骨化中心出现、愈合时间比男性早1~3年
C.骨龄受内分泌、代谢和发育方面疾病影响
D.仅靠腕骨骨龄估计小儿发育,可靠性有限
E.1岁内儿童,足部、膝部骨龄准确性最高
78、配伍题 纵隔气肿可见于()肺气肿可见于()肺下积液可见于()
A.横膈矛盾运动
B.横膈连续征
C.横膈下降
D.横膈上升
E.假横膈
79、问答题 膈下脓肿的X线表现有哪些?
80、填空题 肿瘤的TNM分期,T代表_______,N代表_______,M代表_______。
81、单项选择题 肺血减少见于下列哪种先天性心脏病的()
A.动脉导管未闭
B.室间隔缺损
C.房间隔缺损
D.艾森门格综合征
E.法洛四联征
82、名词解释 指压迹
83、单项选择题 固定阳极X线管的阳极结构组成正确的是()
A.靶面、阳极柄、阳极帽
B.阳极头、转子、阳极帽
C.阳极头、阳极柄、阳极帽
D.靶面、转子、阳极帽
E.靶面、钼杆、阳极帽
84、单项选择题
男,8岁。跌倒时手掌着地,查体:肘部明显肿胀,有压痛,肘关节呈半屈曲状向外突出畸形,肘后三角尚存。
最有可能的诊断为()
A.尺骨鹰嘴骨折
B.屈曲型肱骨髁上骨折
C.伸直型肱骨髁上骨折
D.肘关节脱位
E.桡骨小头半脱位
85、多项选择题 主动脉瘤的X线征象有()
A.纵隔阴影增宽
B.动脉瘤的搏动
C.瘤壁的钙化
D.侵蚀脊柱、肋骨或胸骨
E.心脏呈"主动脉型"改变
86、单项选择题 早期周围型肺癌的结节阴影指瘤体直径()
A.≤1cm
B.≤1.5cm
C.≤2cm
D.>2cm
E.≤3cm
87、单项选择题 中心型肺癌早期的间接征象为()
A.阻塞性肺气肿
B.阻塞性肺不张
C.阻塞性肺炎
D.肺脓肿
E.支气管扩张
88、填空题 先天性心脏病按X线片肺血情况分为__________、__________、___________。
89、单项选择题
男,5岁,发热、咳嗽、气逼,听诊右中肺呼吸音减弱。结合胸片,最可能的诊断是()

A.大叶性肺炎
B.右肺中叶综合征
C.小叶性肺炎
D.原发性肺结核
E.淋巴瘤
90、单项选择题 有关静脉滴注肾盂造影的禁忌证,错误的是()
A.严重的心血管疾患
B.甲状腺功能亢进
C.严重肝病者
D.碘过敏者
E.腹部有巨大肿块者
91、单项选择题 关于神经鞘瘤和神经纤维瘤的描述哪项错误()
A.组织来源不同
B.神经纤维瘤多为神经纤维瘤病的局部表现
C.神经鞘瘤可多发,恶变多见
D.4%~11%神经纤维瘤病并发神经纤维肉瘤
E.神经鞘瘤可通过椎间孔侵蚀到椎管外
92、单项选择题 结肠息肉病与溃疡性结肠炎的共同点是()
A.结肠袋形完整
B.肠壁韧性正常
C.息肉间粘膜正常
D.肠腔无狭窄变形
E.极易恶变
93、名词解释 肺挫伤
94、判断题 钮扣状钙化为血管瘤特征性X线表现。
95、单项选择题 关于“Peutz-Jeghers综合征”,错误的是()
A.偶有结肠多发息肉
B.胃肠多发息肉
C.口唇粘膜色素沉着
D.空肠恶变
E.易套叠、出血
96、单项选择题 肾结核感染途径为下列哪种()
A.血行
B.淋巴
C.直接蔓延
D.以上均可
E.以上均不可
97、单项选择题 关于普通放射的解释,下列哪项正确()
A.普通放射是高速电子与靶物质的原子核相互作用的结果
B.普通放射是高速电子与靶物质的轨道电子相互作用的结果
C.普通放射中,高速电子的能量没有丢失
D.普通放射的质决定于管电流
E.普通放射与高速电子的能量无关
98、填空题 局限性骨化性肌炎病理改变在镜下具有特征性分带现象:中央带为___________________________、中间带为_____________、外围带为_______________。
99、单项选择题 下列肺部病变好发部位的描述,错误的是()
A.支气管肺炎:双下肺
B.肺结核:上叶尖后段或下叶背段
C.特发性肺间质纤维化:胸膜下区
D.中央型肺癌:肺门附近
E.肺隔离症:右肺上叶
100、单项选择题 胸腔中量积液时,形成的弧形曲线,与下述哪项无关系()
A.胸腔的负压
B.液体的重力
C.肺组织的弹力
D.液体的性质
E.液体表面张力
101、判断题 骨瘤由分化良好的成熟骨构成,主要起源于膜内化骨。
102、单项选择题 造影前不需做肠道清洁准备的是()
A.静脉肾盂造影
B.膀胱造影
C.肝动脉造影
D.子宫输卵管造影
E.四肢静脉造影
103、单项选择题 脊柱退行性骨关节病X线表现:①椎间隙狭窄、②椎间盘钙化、⑤椎体骨赘形成、④Schmorl结节、⑤椎间隙“真空现象”,其中提示椎间盘退变的直接征象是()
A.①②
B.②③
C.②④
D.①⑤
E.②⑤
104、填空题 多数学者认为,溃疡性结肠炎是直肠、结肠的__________,其机制不甚详尽,但主要理论是______________________。
105、单项选择题 X线管的靶面材料通常是()
A.铁
B.钨
C.金
D.铜
E.钼
106、单项选择题
新生儿出生后出现气急、口吐白沫,呼吸微弱。床边X光片检查如图,最可能的诊断为()

A.新生儿肺炎
B.新生儿肺出血
C.新生儿白肺
D.新生儿心肌炎
E.先心病
107、单项选择题 碘苯酯主要用于哪项造影检查()
A.支气管造影
B.逆行肾盂造影
C.脑血管造影
D.椎管造影
E.关节腔造影
108、多项选择题 属于脊椎移行的有哪些()
A.第7颈椎出现颈肋
B.胸12椎体楔形改变
C.骶椎融合成一块
D.腰5横突与骶椎形成假关节
E.第12肋缺如
109、单项选择题 小儿腹部平片出现“双泡”征,最可能的诊断为()
A.正常变异
B.胃扭转
C.幽门肌肥大
D.十二指肠梗阻
E.小肠旋转不良
110、单项选择题
有关胸部X线解剖的组合,哪一个错误的()
a.左第Ⅰ弓——主动脉弓
b.左第Ⅱ弓——肺动脉
c.左第Ⅳ弓——左心房
d.右第Ⅰ弓——肺静脉
e.右第Ⅱ弓——右心房
A.a,b,c
B.a,b,e
C.a,d,e
D.b,c,d,
E.c,d
111、单项选择题 在减少与抑制散射线的方法中,错误的是()
A.使用滤线器
B.空气间隙法
C.增加附加滤过
D.扩大照射野
E.使用准直(遮线)器
112、单项选择题 常伴“脊髓空洞症”的疾病是()
A.Moya-Moya病
B.神经鞘瘤
C.Dandy-Walker综合征
D.脊膜瘤
E.室管膜瘤
113、单项选择题 特发性肺间质纤维化好发于()
A.肺门附近
B.上叶尖后段或下叶背段
C.胸膜下区
D.双下肺野
E.双肺弥漫分布
114、多项选择题 骨质疏松症的X线表现有()
A.呈鱼尾状椎体
B.骨皮质变薄
C.骨小梁变细减少
D.椎间隙增宽
E.骨质密度减低
115、多项选择题 下列组合,正确的是()
A.左前斜位——中心线经被照体的右后射向左前
B.右前斜位——中心线经被照体的左后射向右前
C.右后斜位——中心线经被照体的左前射向右后
D.左后斜位——中心线经被照体的左前射向右后
E.斜位——中心线经被照体的前面射向后面
116、单项选择题 放大摄片下,使用0.05mm的超微焦点X线管,半影阈值为0.2mm,那么最大的放大率是多少()
A.2倍
B.4倍
C.5倍
D.6倍
E.8倍
117、单项选择题 最容易观察颈椎结核椎旁脓肿的体位是()
A.正位X线片
B.侧位X线片
C.左斜位X线片
D.右斜位X线片
E.前屈侧位X线片
118、单项选择题 下述肺纹理异常表现,哪项不对()
A.肺纹理纤细
B.肺纹理增粗
C.下肺野纹理比上肺野纹理多
D.肺纹理结构模糊
E.肺纹理结构紊乱
119、单项选择题
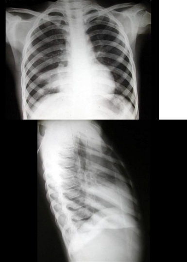
男,5岁,高热、畏寒、咳嗽、胸痛1周,如图所示,最可能的诊断为()

A.先天性肺囊肿
B.继发型肺结核
C.支原体肺炎
D.过敏性肺炎
E.金葡菌肺炎
120、单项选择题 与回肠相比,空肠的解剖特点,下列哪项是错误的()
A.大部分位于左上腹
B.蠕动较活跃
C.肠腔相对较粗
D.粘膜常呈羽毛状
E.粘膜皱襞较少
121、单项选择题 对于风湿性心脏病、二尖瓣狭窄的病人,观察左心房最佳的位置是()
A.胸部右前斜(吞钡)位
B.胸部左前斜(吞钡)位
C.胸部后前位
D.胸部侧位
E.胸部右后斜位
122、单项选择题 颈部侧位片,不能显示的部位是什么()
A.观察颈椎前弯角度
B.喉室肿物的显示
C.椎间孔狭窄
D.后纵韧带骨化的诊断
E.压迫骨折
123、单项选择题
女,45岁,咽喉不适,异物感。体检:仅见慢性咽炎改变,结合图像,最可能的诊断为()

A.正常表现
B.会厌征
C.颈椎退变
D.食管型颈椎病
E.以上都不是
124、单项选择题 骨性骨痂形成后还需进一步改建,在儿童此过程为()
A.1~2年
B.4~5年
C.6~9个月
D.9~12个月
E.4~6周
125、单项选择题 关于胸部正位摄影与心脏正位摄片的不同点,下列描述哪项是错误的()
A.心脏正位摄片距离是2m
B.心脏正位摄片应在平静呼吸下屏息曝光
C.心脏正位摄片应测量身高、体重
D.曝光的时间应控制在1/10秒以下
E.心脏正位摄片用高电压,大毫安,短时间
126、单项选择题 关于“骨囊肿”的描述,不包括哪项()
A.不跨越骺板
B.股骨、肱骨、跟骨好发
C.可为单房或多房囊肿
D.局部骨皮质变薄,但不向外膨隆
E.易发生病理性骨折
127、单项选择题 通常所说的肺内粟粒性病灶,直径应()
A.≤2mm
B.≤5mm
C.≤8mm
D.≤10mm
E.≤15mm
128、单项选择题 小叶性肺炎发生在小儿,主要表现为()
A.脊柱旁及心脏边缘部病变较多
B.不局限于一个肺叶或肺段的密度增高阴影
C.两肺中下部内中带沿肺纹理分布的病变
D.局限性肺气肿
E.出现三角形肺不张
129、单项选择题 显示脊索瘤时,CT和X线平片不同点在于()
A.CT可见肿瘤强化
B.巨大软组织肿块
C.骨质破坏
D.肿瘤钙化
E.CT易于显示骶尾部脊索瘤
130、单项选择题
男,阴囊下坠不适,胀痛,平卧症状缓解。查体:阴囊下垂松弛,并可触及结节状静脉曲张。
继发病变是()
A.男性不育
B.门脉高压
C.疝气
D.前列腺肥大
E.髂动脉狭窄
131、判断题 急性粟粒型肺结核在发病初期即可见到典型的“三均匀”特征。
132、单项选择题
男,62岁,铸铁工,咳嗽、呼吸急促1月余,结合胸片,最可能的诊断()

A.粟粒型肺结核
B.肺结节病
C.尘肺
D.肺炎
E.肺淤血
133、单项选择题 下列组合,哪一组是错误的()
A.内耳孔——颜面神经
B.卵圆孔——三叉神经
C.枕骨大孔——延髓
D.食管裂孔——食管
E.椎间孔——椎骨动脉
134、多项选择题 压力整复脱套成功的标准中,哪些是正确的()
A.钡剂或空气进入小肠里
B.盲肠充盈良好
C.疼痛消失,患者安稳有时可渐入睡
D.腹胀减低,腹部包块消失
E.血便消失
135、多项选择题 龛影可见于哪些病变()
A.贲门失弛缓征
B.胃溃疡
C.十二指肠憩室
D.肠结核
E.食管静脉曲张
136、单项选择题 关于“皮质旁骨肉瘤”的描述错误的是()
A.好发于长骨干骺端骨旁
B.恶性度极高
C.早期,局部骨皮质增厚
D.肿瘤呈略高密度,与骨干间有透明带相隔
E.肿瘤内有不规则透亮区
137、单项选择题 心脏右前斜位摄片,服钡的目的是观察()
A.右心房压迫食管情况
B.右心室压迫食管情况
C.左心房压迫食管情况
D.左心室压迫食管情况
E.全心压迫食管情况
138、单项选择题 关于仰卧位摄片,下列组合中哪个是不正确的()
A.骶髂关节正位——中心线向头侧倾斜15°~30°
B.骶髂关节斜位——人体矢状面倾斜15°~20°
C.骶髂关节左后斜位——显示左侧骶髂关节
D.腰椎左后斜位——显示左侧椎间关节
E.胸椎右后斜位——显示右侧椎间关节
139、多项选择题 不属于生理排泄的造影检查是()
A.消化道钡餐造影
B.静脉肾盂造影
C.口服胆囊造影
D.子宫输卵管造影
E.四肢静脉造影
140、判断题 肺-肾综合征血清学检查抗基底膜抗体常为阴性。
141、单项选择题 下列哪种疾病不表现为右心房增大()
A.房间隔缺损
B.Ebstein畸形
C.三尖瓣关闭不全
D.三尖瓣闭锁
E.先天性左侧心包缺如
142、单项选择题 下列畸形,与“Klippel-Feil综合征”无关的是()
A.脊髓空洞症
B.Sprengel畸形
C.“颈椎间盘突出”发病率升高
D.颈椎融合畸形
E.融合处椎间孔闭合
143、单项选择题 作为小儿髋关节摄片,哪一项技术措施是不正确的()
A.两侧髋关节应在一张胶片上同时摄片
B.对生殖腺要进行防护
C.两侧髋关节及股骨的位置一定要对称
D.应使用锐利度较高的低速增感屏
E.肢体左右铅号标记要正确
144、单项选择题 心脏最大径是指()
A.心影左侧最突出点至中线的垂直距离
B.心影右侧最突出点至中线的垂直距离
C.心影左右两侧最突出点间距离
D.右心缘上下部交界点至心尖部之间距离
E.心影左侧最突出点至中线的距离与右心缘最突出点至中线距离之和
145、单项选择题 “胸部前弓位”的突出优势是()
A.观察前心膈角病变
B.观察胸骨病变
C.观察后肋膈角病变
D.观察肺尖病变
E.观察右斜裂病变
146、填空题 韧带损伤分______________和_____________两种。韧带各段断裂的机会是相等的,如发生在附着部,可引起_____________。
147、单项选择题 肺脓肿急性化脓性炎症阶段,X线片示()
A.小片状阴影
B.大片状致密影
C.空洞
D.胸腔积液
E.团块状阴影
148、名词解释 游走肾
149、单项选择题 女,30岁,吞咽困难2年余,时轻时重,近日加重,X线示食管下端呈锥形狭窄,应首先考虑为()
A.食管外压性狭窄
B.食管功能紊乱
C.食管平滑肌瘤
D.贲门失弛缓症
E.食管癌
150、多项选择题 过敏性肺炎主要的X线表现为()
A.病灶可见于肺内任何部位
B.病灶沿支气管走行分布
C.病灶改变迅速,呈游走性
D.亚急性者两肺可见散在的不规则阴影
E.慢性型可见网状、小结节状等阴影
151、单项选择题 以下选项中,乳突伦氏位投照时,球管中心线应()
A.向足侧倾斜35°
B.向足侧、面侧各倾斜15°
C.向足侧倾斜35°~45°
D.向足侧倾斜25°~30°
E.向足侧,面侧各倾斜45°
152、单项选择题 关于一侧肺不张的影像特征,下列说法正确的是()
A.近肺底的横行条状致密
B.尖端指向肺门的三角形致密影
C.弥漫分布斑片状影
D.一侧肺致密影伴纵隔向患侧移位
E.3~5cm大小肿块影,伴“彗星尾”征
153、判断题 维生素A缺乏可致明显的骨质疏松。
154、判断题 石棉肺胸膜斑阴影比肺内改变出现的要早。
155、多项选择题 电击伤中电热损伤引起的骨损伤多表现为()
A.骨膜反应
B.骨质增生
C.骨质疏松
D.骨溶解
E.骨自截和骨变形
156、多项选择题 关于被照体本身因素影响照片对比度的叙述,正确的是()
A.原子序数越高,射线对比度就越高
B.组织密度越大,造成的对比就明显
C.原子序数密度相同,对比度受厚度影响
D.被照体组织的形状与对比度相关
E.具有生命力的肺有很好的对比度
157、多项选择题 哪些属半透异物()
A.钢
B.铝
C.矿砂
D.石片
E.玻璃屑
158、单项选择题 肺源性心脏病主要表现是()
A.左心房、右心室增大
B.左心房,右心室增大
C.右心房增大
D.左心室增大
E.右心室肥大
159、单项选择题 正常情况下,子宫腔和输卵管内对比剂应在多少时间内排空()
A.12h
B.24h
C.36h
D.48h
E.48h~60h
160、填空题 眼眶异物按异物的位置可分为__________、__________和________。
161、问答题 骨结核的X线表现有哪些?
162、填空题 输尿管结石易停留在生理狭窄处,即_________________、____________________及______________________。
163、单项选择题 慢性肺源性心脏病的X线诊断依据是()
A.心脏突然增大,肺动脉段突出,上腔静脉扩张
B.肺部淤血,肺动脉高压,右心室增大
C.肺血管增粗,右心房增大,肺动脉段突出
D.肺部慢性病变,肺动脉高压,右心室增大
E.肺部充血,肺循环高压,右心房增大
164、单项选择题 X线检查的选择原则,下述哪项是错误的()
A.从病人的实际情况出发
B.以临床检查要求为依据
C.考虑检查部位的特点
D.采用先简后繁的原则
E.各类检查方法联合应用
165、填空题 根据跟骨骨折是否波及距骨下关节分为两大类,即_________________和________________。此外,还有________________、_____________、___________和_________________等不同类型。
166、单项选择题 怀疑“急性膀胱炎”患者,应首选以下哪种检查()
A.MRI
B.尿常规检查
C.膀胱造影
D.骨盆区平片
E.CT
167、判断题 滑膜肉瘤大多部分合并周围骨结构侵犯。
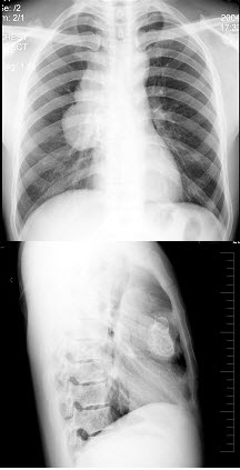
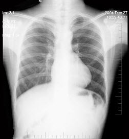
168、多项选择题
男,1岁零8个月,生长发育差,易患呼吸道感染,心悸气促,心脏正、侧位片检查如图所示,正确的描述和诊断是()

A.正位示心影向两侧扩大,心尖左移
B.肺纹理增多
C.侧位示心前间隙变窄,心后食管前三角间隙消失
D.房间隔缺损
E.室间隔缺损
169、问答题 上颌窦恶性肿瘤的X线表现有哪些?
170、判断题 在儿童,若无肺门淋巴结结核存在,则支气管扩张是导致下叶肺不张的最常见原因。
171、问答题 何谓Wolfe乳腺分型。
172、单项选择题
女,41岁,纺织工,腕部疼痛无力数周,结合CR和MR,最可能的诊断是()
A.月骨结核
B.月骨缺血坏死
C.骨质疏松
D.骨髓炎
E.骨软骨炎
173、单项选择题 左主支气管与气管中线成多少度角()
A.10°~20°
B.20°~30°
C.30°~40°
D.40°~55°
E.50°~60°
174、单项选择题 下述疾病均可出现Schmorl结节,但应除外哪项()
A.库欣综合征
B.化脓性脊椎炎
C.脊椎退行性骨关节病
D.椎体骺板缺血性坏死
E.椎间盘脱出症
175、单项选择题 肺隔离症分几型()
A.1
B.2
C.3
D.4
E.5
176、单项选择题
患儿,男,1天,生后呼吸困难,羊水见胎粪污染,如图,最可能的诊断为()

A.新生儿肺炎
B.新生儿湿肺
C.新生儿肺出血
D.新生儿呼吸窘迫综合症
E.胎粪吸入综合征
177、判断题 膀胱输尿管反流常常会引起输尿管、膀胱的变化。
178、判断题 髓核脱出以腰椎4~5及腰椎5~骶椎1最多见,患者常有脊髓及脊神经根压迫症状。
179、判断题 头颅平片常规选用的位置有后前位和侧位。
180、填空题 肥大性骨关节病临床表现主要为__________、_________和_____________引起的症状
181、单项选择题 一般不引起左心房增大的是()
A.风湿性二尖瓣狭窄
B.风湿性二尖瓣关闭不全
C.动脉导管未闭
D.心肌病
E.房间隔缺损
182、单项选择题 关于骨性胸廓的组成,正确的是()
A.胸椎和肋骨连接而成
B.胸椎和胸骨连接而成
C.胸骨和肋骨连接而成
D.胸椎胸骨和肋骨连接而成
E.胸骨锁骨和肋骨连接而成
183、单项选择题 老年患者,呼吸困难,胸痛,上腹部不适,呕吐。X线胸片示:左侧膈肌明显升高至第3~4前肋水平,心脏向右移位,透视膈肌有矛盾运动,最可能的诊断是()
A.膈疝
B.肺下积液
C.膈膨升
D.肺不张
E.膈下脓肿
184、判断题 肿瘤样钙盐沉着病病变钙化多呈结节状或巨大菜花状,密度不均匀,但边缘较模糊不清。
185、单项选择题 关于“脊柱血管瘤”临床特点正确的是()
A.青少年多见
B.腰骶椎多见
C.颈椎多见
D.局限于椎体,不侵犯附件
E.椎体可塌陷
186、单项选择题 X线穿过均匀物质时,其衰减与下列哪一项因素无关()
A.物质的衰减系数
B.X线经过的距离
C.X线发出的强度
D.物质的厚度
E.物质的面积
187、名词解释 疲劳骨折
188、判断题 肋骨的外伤可不表现为骨折,而表现为脱位。
189、单项选择题 对瓦特(Water位)影像标准的判断,哪一项是正确的()
A.岩骨应投影于上颌窦的下缘
B.岩骨上缘影于眼眶中
C.岩骨上缘投影于上颌窦下缘
D.岩骨上缘投影于上颌窦下缘下1cm
E.岩骨上缘投于上齿槽
190、名词解释 液体渗液曲线
191、单项选择题 弥漫性肺不张的影像特征为()
A.近肺底的横行条状致密
B.尖端指向肺门的三角形致密影
C.弥漫分布斑片状影
D.一侧肺致密影伴纵隔向患侧移位
E.3~5cm大小肿块影,伴“彗星尾”征
192、单项选择题 下列组合中,不在第2腰椎高度水平的组织是()
A.肝
B.肾
C.腹主动脉
D.腔静脉
E.食管
193、单项选择题 胎儿出生前受照效应不包括()
A.胚胎死亡
B.畸形
C.智力低下
D.诱发癌症
E.感光作用
194、单项选择题 "眼窝变小"见于下列哪种情况()
A.甲状腺性突眼
B.先天性青光眼
C.组织细胞增生症
D.冠状缝早闭
E.视网膜母细胞瘤
195、单项选择题
婴儿出生后无胎粪,哭闹,腹胀,无肛门。影像检查如图,最可能的诊断为()

A.先天性肛门直肠畸形-高位型
B.先天性肛门直肠畸形-低位型
C.先天性肛门直肠畸形-第5型
D.先天性肛门直肠畸形-第6型
E.先天性肠闭锁
196、单项选择题 “急性化脓性骨髓炎”最好发于()
A.股骨
B.尺骨
C.胫骨
D.跟骨
E.桡骨
197、单项选择题 乳腺囊性增生病的典型临床特征为()
A.肿块有压痛
B.乳腺胀痛与月经周期有关
C.肿块界限不清
D.肿块有结节
E.以上都不对
198、多项选择题 成人股骨头缺血坏死股骨头密度增高的病理基础为()
A.骨小梁断裂嵌插
B.骨小梁表面新骨沉积
C.骨髓钙化
D.骨皮质增厚
E.骨质吸收
199、名词解释 穿透性溃疡
200、单项选择题 下述肺野划分标准,哪项是错误的()
A.肺门位于中肺野内带
B.由内向外,肺野被分为内带、外带
C.第二肋骨前端下缘水平线以上为上肺野
D.第四肋骨前端下缘水平线以上为中肺野
E.第四肋骨前端下缘水平线以下为下肺野
201、单项选择题 前臂骨折需要首先纠正的错位是()
A.侧方错位
B.旋转错位
C.成角错位
D.短缩错位
E.分离错位
202、单项选择题 下列正常X线平片表现,哪项不正确()
A.出生24小时后结肠内就可有气体
B.婴儿消化管内可有“气液面”
C.成人正常小肠管径应小于4cm
D.成人正常左半结肠管径应小于5cm
E.正常女性偶可见到“腹腔游离气体”
203、判断题 脾脓肿常常是败血症脓栓的结果。
204、单项选择题 关于X线机空间电荷抵偿原理的正确推论是()
A.kV↑→管电流↑
B.kV↓→灯丝电压↓
C.kV↑→管电流↓
D.kV↑→灯丝电压↑
E.kV↑→灯丝电流↑
205、多项选择题 普大型心脏多见于()
A.大量心包积液
B.风湿性多瓣膜损害
C.严重心肌病
D.房间隔缺损
E.室间隔缺损
206、单项选择题 室间隔缺损的X线平片表现为()
A.肺血增多,右心房、室增大,主动脉结小
B.肺血增多,左、右心室增大,主动脉结正常
C.肺血减少,右心房、室增大,主动脉结小
D.肺淤血,左心房、右心室增大,主动脉结小
E.肺淤血,右心房、左心室增大,主动脉结正常
207、填空题 颞骨骨折按骨折线与岩锥长轴的关系可分为________、___________和____________。
208、单项选择题 左前斜位,心脏前缘自上而下依次为()
A.右心房、右心室
B.左心房、左心室
C.左心房、右心室
D.右心房、左心室
E.右心室、左心室
209、单项选择题 早期乳腺癌最适宜的检查方法为()
A.钼靶摄片
B.CT
C.MRI
D.红外线
E.B超
210、名词解释 漏斗征
211、单项选择题 软骨瘤的主要成分是()
A.透明软骨
B.钙化的软骨
C.退化软骨所形成的假囊肿
D.骨化的软骨
E.骨细胞
212、填空题 转移至肝的肿瘤的途径为_________________、______________、__________________或__________________。
213、填空题 主动脉弓及其主要分支的三大主要变异包括:__________________、______________________和__________________________。
214、单项选择题 下列有关“先天性骨梅毒”影像学特征是()
A.Charcot关节
B.军刀腿
C.长骨广泛型增生、硬化,髓腔消失
D.骨膜下、皮层内局限型骨质破坏
E.Wasp-Waist征
215、单项选择题
早产儿,男,生后4小时,生后出现呼吸困难,如图,最可能的诊断为()

A.新生儿肺炎
B.新生儿湿肺
C.新生儿肺出血
D.新生儿特发性呼吸窘迫综合症
E.胎粪吸入综合征
216、单项选择题
患者,女,46岁,胸闷气短1月,伴全身乏力,咳嗽,发热。胸片示:中上纵隔增宽,右缘呈波浪状改变。白细胞:8.5×10/L。
最可能的诊断是()
A.胸内甲状腺
B.胸腺瘤
C.右侧中心型肺癌
D.淋巴瘤
E.畸胎瘤
217、判断题 中央型错构瘤主要由软骨组织构成,并混杂有纤维结缔组织。
218、单项选择题 有关成骨和破骨活动的说法中,哪项错误()
A.成骨就是骨基质的形成和骨盐沉积于骨基质的过程
B.破骨是骨质吸收和消失的过程,为破骨活动的结果
C.骨细胞生成后可以进行无数次的分裂增殖活动
D.在成年期成骨和破骨活动保持相对平衡
E.生长发育期成骨占优势,而在老年期破骨活动占优势
219、配伍题 中纵隔最常见的肿瘤是()前纵隔最常见的肿瘤是()后纵隔最常见的肿瘤是()
A.畸胎瘤
B.胸腺瘤
C.淋巴瘤
D.神经源性肿瘤
E.甲状腺瘤
220、配伍题 男尿道管最狭窄的部分是()中央有精阜的是()尿道球腺开口于()
A.前列腺上部
B.膜部
C.海绵体部
D.尿道球部
E.射精管
221、多项选择题 属于关节退行性变的X线表现有()
A.骨性关节面边缘骨不规整
B.软骨下骨质囊变
C.关节间隙狭窄
D.关节间隙增宽
E.以上都不是
222、单项选择题 良性溃疡X线征象中哪项不正确()
A.龛影突出胃壁轮廓之外
B.治疗后好转
C.龛影正面观呈圆形
D.粘膜皱襞通到龛影口
E.胃大弯浅盘状溃疡
223、单项选择题 易与胰头肿块混淆的是()
A.门腔淋巴结
B.右肾上腺
C.右侧膈肌脚
D.十二指肠
E.胃幽门管
224、单项选择题 下述“溃疡性结肠炎”早期征象,错误的是()
A.苹果核征
B.无名沟、无名小区模糊、粗糙
C.“腔壁线”毛糙
D.肠壁表面针尖样钡影
E.无名沟宽度超过1.0mm
225、多项选择题 骨纤维异常增殖症四肢及躯干骨病变的X线表现包括()
A.虫蚀样改变
B.磨玻璃样改变
C.丝瓜瓤状改变
D.溶骨性改变
E.膨胀性改变
226、判断题 回肠胀气扩张的特点为粘膜皱襞排列稀疏或皱襞消失,呈光滑的管状。
227、单项选择题 出生时未发育的鼻窦为()
A.上颌窦
B.筛窦
C.蝶窦
D.额窦
E.以上都不是
228、单项选择题
女,24岁,反复发作的骨骼肌肉痛,结合图像,最可能的诊断是()
A.镰状细胞贫血
B.地中海贫血
C.骨梅毒
D.白血病
E.椎间盘突出
229、单项选择题 观察小儿发育情况,需摄取()
A.腕关节正位
B.腕关节侧位
C.双腕关节斜位
D.双腕关节正位
E.双腕关节侧位
230、单项选择题 立位滤线器主要用于()
A.四肢摄影
B.胸部透视
C.胸部摄影
D.骨盆摄影
E.肾盂造影
231、单项选择题 关于骨质硬化,下列X线表现中哪项错误()
A.骨密度增高
B.骨皮质增厚
C.骨小梁增粗、增密
D.骨髓腔变窄
E.骨轮廓无变化
232、单项选择题 下列关于造影剂的分类组合,错误的是()
A.硫酸钡——阳性造影剂
B.泛影葡胺——无机碘化合物
C.碘苯酯——碘化油类
D.空气、二氧化碳、氧气——阴性造影剂
E.胆影葡胺——有机碘造影剂
233、多项选择题 可引起眶内骨质破坏的疾病,包括以下哪些()
A.视网膜母细胞瘤
B.视神经胶质瘤
C.视神经脑膜瘤
D.泪腺混合瘤
E.以上都不是
234、单项选择题 克氏(Klinefelter)综合征的X线表现中,应除外()
A.骨骺骨化中心出现和愈合均延迟
B.髋外翻、膝内翻畸形
C.头颅较小,额窦不发育,小蝶窦
D.桡骨骨融合或错位
E.掌骨征阴性
235、单项选择题 关于干酪性肺炎不正确的描述是()
A.以渗出性和干酪性病变为主
B.好发于抵抗力极低,对结核菌素敏感性高的病人
C.X线表现为节段性实变
D.因干酪样坏死明显,故传染性低
E.病变内常见空洞形成
236、单项选择题 关于气胸下列哪项是错误的()
A.CT检查的目的是发现少量气胸及少见部位的气胸
B.所有气胸都有加重发展成张力性气胸的可能
C.胸片大多能明确诊断
D.少量气胸时,胸部平片不易发现
E.气胸不引起纵隔气肿
237、单项选择题
男,67岁,咳嗽、胸痛2月余,痰中带血,不发热,X线检查如图,最可能的诊断是()

A.右侧胸膜肥厚
B.右上肺不张
C.右肺癌并右上肺不张
D.右侧包裹性积液
E.肺上沟瘤
238、多项选择题 关于胶片特性曲线的叙述,正确的是()
A.是描绘曝光量与所产生密度之间关系的一条曲线
B.曲线可以表示出感光材料的物理性能
C.胶片特性曲线也称H-D曲线
D.曲线的横坐标为曝光量,纵坐标为密度
E.曲线的横坐标为密度,纵坐标为曝光量
239、单项选择题 胆囊壁增厚最常见的疾病是()
A.胆囊炎
B.腹水
C.肝炎
D.肿瘤
E.胰腺炎
240、单项选择题 下列有关尤文肉瘤的叙述,哪项是错误的()
A.病变好发生于长骨的骨干或干骺端
B.髓腔内出现斑片状骨质破坏
C.骨膜呈葱皮样改变
D.破坏区周围骨质常无反应性骨硬化
E.对放射治疗相当敏感
241、单项选择题 X线诊断大叶性肺炎最主要的影像依据是()
A.肺大叶性阴影
B.含气支气管像
C.两肺多发大片影
D.肺纹理模糊增多
E.横膈运动受限
242、填空题 韦格肉芽肿在诊断时应注意与_________、___________、_________、____________及________等鉴别。__________、________、_________、_______和____________等有助于鉴别。
243、判断题 三尖瓣下移畸形多数伴有心房间的异常孔道,多为卵圆孔未闭。
244、单项选择题 静脉尿路造影时,如在膀胱内见一充盈缺损,应考虑哪些疾病()
A.膀胱结石
B.膀胱肿瘤
C.输尿管囊肿
D.前列腺肥大
E.以上都是
245、单项选择题 IVP示肾盂呈杵状,则可排除下列哪项()
A.肾乳头坏死
B.慢性肾盂肾炎
C.肾结石
D.肾盂积水
E.肾盂肿瘤
246、单项选择题 金黄色葡萄球菌肺炎特征性X线征象是()
A.两肺多发团片影
B.肺脓肿形成
C.肺气囊形成
D.肺不张
E.脓气胸
247、单项选择题 在引起颅骨破坏的疾病中,下列哪种最常见()
A.脑膜瘤
B.血管瘤
C.胶质瘤
D.多发性骨髓瘤
E.眶内肿瘤
248、单项选择题 肺挫伤为()
A.X线胸片呈肺野磨玻璃样变或面纱征
B.X线胸片呈多发边缘锐利、密度均匀高密度影
C.X线胸片呈一侧胸腔一片致密均匀阴影,纵隔向健侧移位
D.X线胸片呈纵隔气肿,大量气胸
E.X线胸片呈心影明显增大,心脏各弧消失
249、多项选择题 溃疡性结肠炎X线检查可见到的征象有()
A.卵石征
B.绣带征
C.袖口征
D.靶征
E.跳跃征
250、名词解释 代谢性骨病
251、单项选择题 下列关于房间隔缺损的描述,错误的是()
A.原发孔型常伴三尖瓣发育异常
B.原发孔型常伴二尖瓣关闭不全
C.继发孔型以下腔型最常见
D.继发孔型位于房间隔上部
E.继发孔型是房间隔缺损中最常见的类型
252、单项选择题 子宫输卵管造影的禁忌证是()
A.子宫输卵管慢性炎症
B.子宫输卵管结核
C.子宫输卵管良性肿瘤
D.子宫输卵管位置形态异常
E.子宫输卵管出血
253、配伍题 完全性肺静脉畸形引流可见于()大动脉炎可见于()动脉导管未闭可见于()
A.漏斗征
B.主动脉球征
C.主动脉球缩征
D.降主动脉内收征
E.“8”字形心脏
254、单项选择题 “双侧肺血减少”见于()
A.异物吸入
B.肺隔离症
C.中央性肺癌
D.Ebstein畸形
E.Macleod综合征
255、单项选择题 儿童长骨分为4部分,下列哪项是错误的()
A.骨干
B.骨端
C.骨骺
D.骨骺板
E.干骺端
256、单项选择题 上纵隔肿块在透视下可见扩张性搏动,应考虑为()
A.胸腺瘤
B.甲状腺瘤
C.胸主动脉瘤
D.纵隔淋巴结肿大
E.以上都不是
257、填空题 骨折断端移位有以下6种情况,即________、_________、_________、__________、_______和__________。
258、名词解释 中央型肺癌
259、单项选择题 下列关于“膀胱癌”的描述,哪项是错误的()
A.多为移行细胞癌
B.临床症状与肿瘤恶性程度关系密切
C.CT平扫,肿瘤密度均匀
D.增强扫描,中度强化
E.血尿程度与肿瘤大小、数目、恶性程度无明确对应关系
260、配伍题 食管上段为()食管中段为()食管下段为()
A.内层环行肌
B.外层纵行肌
C.平滑肌
D.横纹肌
E.横纹肌与平滑肌混合
261、单项选择题 下面结节病的X线表现中,错误的是()
A.可见指骨囊性病变
B.肺门淋巴结也肿大
C.有时纵隔淋巴结也肿大
D.在肺野可见索条、颗粒、斑状阴影,呈离心分布
E.多两肺受累
262、单项选择题 构成肺门的主要结构是()
A.肺动脉
B.支气管
C.肺静脉
D.淋巴组织
E.以上都不是
263、判断题 过敏性肺炎患者化验检查嗜酸性粒细胞计数减低。
264、判断题 乳腺腺体随年龄的增长在X线片上无明显区别。
265、单项选择题 静脉肾盂造影见输尿管膀胱开口处有一圆形充盈缺损,轮廓光滑,呈“蛇头状”或“光晕”征,常见于下列哪种病变()
A.膀胱憩室
B.输尿管下段结石
C.膀胱癌
D.膀胱结石
E.输尿管囊肿
266、单项选择题 5p综合征最为突出的临床表现为()
A.有患白血病的倾向
B.新生儿手足常呈淋巴性水肿
C.伸舌样痴呆症
D.患者尿中有大量促性腺激素
E.有似猫叫样哭声
267、单项选择题 单发性内生软骨瘤多发生于()
A.股骨
B.肋骨
C.胫骨
D.足骨
E.掌、指骨
268、名词解释 飘带征
269、名词解释 骨折不愈合
270、单项选择题 关于CR的工作原理,错误的是()
A.IP由基层荧光体层和保护层构成
B.透过人体的X线光子以潜影形式储存在荧光层的晶体内
C.透过人体的X线光子被IP转换成数字图像
D.IP在读出装置接受激光束扫描
E.激发束激发出的荧光与潜影成正比
271、单项选择题 后前位胸片摄片时的要求,下列哪项是错误的()
A.常规胸部后前位,应是深吸气后屏息曝光
B.双肩胛骨应投影于肺野之外
C.照射野越大越好
D.去掉可使胶片产生伪影的物品
E.摄片距离在165~180cm
272、单项选择题 孕妇需避免X线检查,是因为()
A.X线的光化学效应
B.X线的荧光作用
C.X线的生物作用
D.X线的感光效应
E.以上都不是
273、单项选择题
女,68岁,发现高血压病30年,有痔疮史。04年12月6日大便潜血(+++),结合图像,最可能的诊断为()

A.食管癌
B.食管下段憩室
C.食管裂孔疝
D.食管溃疡
E.返流性食管炎
274、填空题 先天性肥厚型幽门狭窄,多数人认为可能为幽门管通过受阻而致_______________。
275、单项选择题
男,68岁,患“胃炎”20余年,因突然出现全腹剧烈疼痛,病人被动屈曲位,初体温正常,后出现最高体温38.5℃,脉搏110次/分,查体:腹式呼吸减弱,腹肌紧张不明显,全腹压痛、反跳痛,以上腹部为重;X线立位平片示小肠普遍胀气,并见小液气平面,膈下见游离气体。
病人需手术绝对指征是()
A.肠胀气明显
B.膈下见游离气体
C.发热高达38.5℃
D.全腹压痛及反跳痛
E.以上都不是
276、单项选择题
30岁,女,因左前臂酸胀不适1年,活动可,左前臂正侧位片如图所示,最可能诊断是()
A.左尺骨蜡泪样骨病
B.石骨症
C.骨皮质增厚症
D.骨膜炎
E.慢性化脓性骨髓炎
277、多项选择题 婴幼儿和儿童的骨髓炎的特点有()
A.骨生长障碍
B.骨骺早期闭合和发育畸形
C.骨破坏广泛容易造成大块骨干坏死
D.发病急
E.全身中毒症状重
278、单项选择题 有关乳房摄片加压的叙述,错误的是()
A.使乳房扁平,厚度均匀
B.使乳房面积增大,病灶检出效率高
C.乳房组织越薄,照片清晰度越高
D.肿块较大时,应加大压力,以提高照片清晰度
E.乳房、胶片、增感屏三者紧贴,减小几何模糊
279、单项选择题 下列哪项不是胃息肉的X线表现()
A.肿瘤周围粘膜正常
B.轮廓光滑
C.胃襞柔软
D.肿瘤区粘膜皱襞消失
E.腔外肿块
280、单项选择题 X线量正比于()
A.管电压值
B.曝光时间
C.焦-片距
D.物体-胶片距
E.以上都不是
281、单项选择题 关于“小肠肿瘤”描述,错误的是()
A.淋巴肉瘤:多位于回肠
B.良性肿瘤:平滑肌瘤、腺瘤居多
C.小肠类癌:多位于回肠
D.小肠腺癌:多位于十二指肠、空肠近段
E.CT诊断价值最高
282、单项选择题 关于“食管裂孔疝”的描述,错误的是()
A.疝囊位于后下纵隔区
B.疝囊上缘狭窄为“B”环
C.常有返流性食管炎
D.“B”环是食管粘膜与胃粘膜交界处
E.疝囊粗大的胃粘膜皱襞
283、单项选择题 易与胰头肿块混淆的是()
A.门腔淋巴结
B.右肾上腺
C.右侧膈肌脚
D.十二指肠
E.胃幽门管
284、填空题 乳腺癌X线间接征象有_______、_______、_______和_______。
285、单项选择题 下列关于溃疡的描述,错误的是()
A.龛影未能充盈并显示时,球部畸形是常见的重要的X线征象
B.若溃疡穿透浆膜而被周围炎症组织包围,称为胼胝性溃疡
C.胃和十二指肠同时发生溃疡称为复合溃疡
D.胃和十二指肠溃疡好发于青壮年
E.畸形有功能性和器质性两种,可分别存在或同时存在
286、单项选择题 以下关于“脊柱硬膜外脓肿”特点中,哪项正确()
A.骶管最常见
B.多位于椎管前方
C.葡萄球菌感染,邻近椎骨常破坏
D.结核感染,邻近椎骨常破坏
E.“制动+抗生素”疗效最佳
287、单项选择题 Shenton线是指()
A.髂前下棘下方髂骨外缘与股骨颈外缘的连线
B.闭孔上缘与股骨颈内缘的连线
C.自股骨大转子顶端向股骨干线引的垂线
D.自髂臼顶外端向“Y”形软骨连线引的垂线
E.闭孔上缘与股骨颈外缘的连线
288、单项选择题 慢性化脓性中耳乳突炎单纯型X线表现中,下列说法哪项错误()
A.乳突窦及其周围骨质硬化增生
B.锤骨或砧骨骨质破坏
C.乳突气房透光度减低
D.气房间隔骨质增厚、结构模糊
E.乳突气房外围骨质有明显增生
289、单项选择题 长管状骨急性化脓性骨髓炎发病率从高到低的次序是()
A.胫骨>肱骨>股骨>桡骨
B.股骨>胫骨>肱骨>桡骨
C.肱骨>桡骨>胫骨>股骨
D.桡骨>肱骨>股骨>胫骨
E.胫骨>股骨>肱骨>桡骨
290、单项选择题
男,26岁,胸闷、胸痛3月余,胸片如图,最可能的诊断为()

A.左上肺空洞型结核
B.左上肺脓肿
C.左上肺液气囊肿
D.左上肺包虫病
E.韦格肉芽肿
291、单项选择题
男,23岁,根据影像图像,最可能的诊断是()
A.骨髓炎
B.骨硬化症
C.骨囊肿
D.骨脓肿
E.骨结核
292、单项选择题 胸骨角平面是胸部的重要平面,其下述标志性意义不正确的是()
A.后方平对第四胸椎下缘
B.平主动脉弓的起端和止端
C.出现支气管分叉
D.是胸导管由右转左向行的平面
E.通过第二胸肋结合,为计数肋骨的标志性层面
293、单项选择题 左心房增大的方向依次是()
A.向右、向后、向左、向上
B.向后、向上、向左、向右
C.向后、向右、向上、向左
D.向左、向后、向右、向上
E.向后、向上、向右、向左
294、问答题 小肠功能紊乱的X线表现有哪些?
295、配伍题 纵隔气肿可见于()肺气肿可见于()肺下积液可见于()
A.横膈矛盾运动
B.横膈连续征
C.横膈下降
D.横膈上升
E.假横膈
296、问答题 肺脓肿的X线表现有哪些?
297、名词解释 支气管气相
298、名词解释 军刀腿
299、单项选择题
男,6岁,口唇青紫,喜蹲踞,结合图像,最可能的诊断是()

A.室间隔缺损
B.房间隔缺损
C.肺动脉狭窄
D.法洛氏四联症
E.动脉导管未闭
300、单项选择题 关于DR的描述,下列哪项是错误的()
A.较CR成像速度快
B.探测器寿命长
C.曝光量小
D.可透视
E.容易与原X线设备匹配