时间:2025-06-09 10:13:41


1、多项选择题 关于胶片对比度的叙述,正确的是()
A.胶片对射线对比度的放大能力,称胶片对比度
B.照片影像对比度与射线对比度之比,称反差系数
C.反差系数是直线部分的斜率
D.平均斜率也称曲线的最大斜率
E.平均斜率等于反差系数
2、单项选择题 影响照片颗粒性的因素,不包括()
A.噪声(斑点)
B.焦-片距
C.胶片对比度
D.增感屏荧光体尺寸和分布
E.胶片卤化银颗粒的尺寸和分布
3、单项选择题
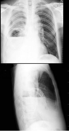
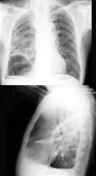
男,74岁,咳嗽,咳痰1月余,咯血丝痰1周伴胸痛,胸片如图,最可能的诊断为()

A.右上肺浸润型肺结核
B.右上肺不张
C.右侧中央型肺癌并右上肺不张
D.右侧包裹性积液
E.右肺上沟瘤
4、配伍题 中纵隔最常见的肿瘤是()前纵隔最常见的肿瘤是()后纵隔最常见的肿瘤是()
A.畸胎瘤
B.胸腺瘤
C.淋巴瘤
D.神经源性肿瘤
E.甲状腺瘤
5、单项选择题 头颅凹陷性骨折,应首选哪种投照体位()
A.切线位
B.头颅侧位
C.汤氏位
D.颅底位
E.头颅后前位
6、多项选择题 单侧肺透亮度增加,可见于()
A.肺含铁血黄素沉着病
B.Macleod病
C.镰刀综合征
D.乳癌根治术后
E.脊柱侧弯
7、单项选择题
女,10岁,左大腿疼痛,夜间加重,肿胀明显,结合图像,最可能的诊断是()
A.成骨性骨转移
B.化脓性骨髓炎
C.骨肉瘤
D.骨化性肌炎
E.以上都不正确
8、单项选择题 肺源性心脏病中,提示重度肺动脉高压的X线征象是()
A.右心室重度增大
B.右心功能不全
C.肺动脉圆锥隆起
D.右下肺动脉干明显增粗
E.肺门”残根”征
9、单项选择题 胸片上,肺静脉高压最早出现的影像为()
A.下肺静脉收缩
B.间质性肺水肿
C.上肺静脉扩张
D.下肺静脉收缩
E.上、下肺静脉均收缩
10、单项选择题 真菌球多见于哪种肺真菌病()
A.肺隐球菌病
B.肺念珠菌病
C.肺奴卡菌病
D.肺放线菌病
E.肺曲菌病
11、单项选择题 在透视下最易漏诊的结核是()
A.慢性纤维空洞型肺结核
B.结核球
C.急性粟粒型肺结核
D.浸润型肺结核
E.原发综合征
12、单项选择题 下列“胃溃疡”所见,哪项提示溃疡为恶性()
A.龛影位于腔外
B.局部胃壁僵硬
C.狭颈征
D.粘膜纠集
E.月晕征
13、名词解释 Dyggve-Melchior-Clausen综合征
14、单项选择题 慢性支气管炎后期的肺部X线表现,错误的是()
A.病人胸片正常
B.膈肌低平
C.肺野透光度增高
D.肋间隙增宽
E.两肺纹理增粗紊乱
15、单项选择题 X线照片密度影响因素的叙述,错误的是()
A.感光效应与管电压的n次方成正比例
B.感光效应与焦-片距的平方成反比
C.正确选择屏-片匹配
D.密度随被照体的厚度增大而增高
E.密度与显影加工条件有关
16、单项选择题 左前斜位片上心脏后缘自上而下依次为()
A.左心房、左心室
B.右心房、右心室
C.左心房、右心房
D.左心房、右心室
E.右心房、左心室
17、单项选择题
女,53岁,常感中上腹不适,结合图像,最可能的诊断为()

A.正常表现
B.慢性胃炎
C.胃溃疡
D.胃憩室
E.胃癌
18、单项选择题 不能用口腔曲面全景摄片检查的部位是()
A.上颌骨
B.下颌骨
C.牙
D.鼻中隔
E.下颌关节
19、单项选择题 散射线量与有关因素的关系,正确的是()
A.与mA成反比
B.kV升高,散射线量增加
C.与肢体厚度成反比
D.与距离成正比
E.以上都不是
20、单项选择题 有关X线片密度对比度、锐利度的关系的描述,错误的是()
A.密度是对比度锐利度的基础
B.对比度可随密度的改变而改变
C.锐利度与对比度无直接关系
D.观片灯的亮度影响照片对比度的视觉效果
E.高密度下对比度小的物体影像难以辨认
21、多项选择题 常见的颅壁压迹有()
A.导静脉压迹
B.脑回压迹
C.脑膜中动脉压迹
D.蛛网膜颗粒压迹
E.大脑中动脉
22、单项选择题 下列哪种征象提示为肺泡性肺水肿()
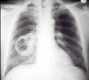
A.Kerley A线或B线
B.上肺静脉扩张
C.蝶状阴影
D.叶间胸膜肥厚
E.肺门阴影增大模糊
23、填空题 乳腺癌的远处转移最常见的部位是_______、_______、_______。
24、名词解释 结核球
25、单项选择题 前后位的英文缩写是()
A.A→P
B.D→V
C.V→D
D.RAO
E.RPO
26、单项选择题
女,50岁,血便10余年,加重1年(连续出血),近2月大便时肛门常滴鲜血,量较多,X线检查如图,最可能的诊断是()

A.直肠癌
B.直肠绒毛状腺瘤
C.直肠淋巴瘤
D.直肠转移癌
E.直肠结核
27、单项选择题 在胸片上,无广泛线状、索条状、网状及蜂窝状阴影的是()
A.原发性肺癌
B.石棉肺
C.肺纤维化
D.支气管扩张
E.恶性淋巴管炎
28、名词解释 骨折线
29、单项选择题 下列关于心血管功能的说法,哪项是不正确的()
A.心的传导系统包含窦房结、房室结和房室束
B.正常心的起搏点是房室结
C.动脉是运血离心的管道
D.静脉是引导血流回心的管道
E.静脉血管的管壁薄、管腔大、血容量大
30、单项选择题 原发性支气管肺癌常见组织类型()
A.鳞癌
B.腺癌
C.未分化癌
D.混合癌
E.以上都不是
31、单项选择题 静脉肾盂造影时,在注药后30分钟摄影,对下列哪种疾病有诊断价值()
A.Wilms瘤
B.海绵肾
C.慢性肾盂肾炎
D.肾囊肿
E.肾积水
32、单项选择题 组成颅顶各骨之间的颅缝,正位片上可见()
A.矢状缝
B.冠状缝
C.人字缝
D.冠状缝及人字缝
E.矢状缝与人字缝
33、单项选择题 食管造影通常可见到下列压迹,除了()
A.主动脉弓压迹
B.左支气管压迹
C.降主动脉压迹
D.左心室压迹
E.左心房压迹
34、单项选择题 最易引起有肺气囊的肺炎病菌是()
A.肺炎杆菌
B.葡萄球菌
C.链球菌
D.病毒
E.肺炎链球菌
35、单项选择题 下列哪项不是胃息肉的X线表现()
A.肿瘤周围粘膜正常
B.轮廓光滑
C.胃襞柔软
D.肿瘤区粘膜皱襞消失
E.腔外肿块
36、多项选择题 右下叶支气管的分支包括()
A.内基底支
B.前基底支
C.外基底支
D.后基底支
E.背支
37、问答题 良性骨肿瘤的X线表现有哪些?
38、多项选择题 胸部侧位片,纵隔的划分包括()
A.前纵隔
B.左纵隔
C.中纵隔
D.右纵隔
E.后纵隔
39、多项选择题 下述溃疡性结肠炎晚期表现,正确的是()
A.结肠缩短
B.肠壁僵硬,蠕动消失
C.激惹征
D.骶前间隙变窄
E.“钮扣样”溃疡
40、单项选择题 扁平足,正确的摄片体位是()
A.单足水平侧位
B.双足水平侧位
C.单足倾斜侧位
D.单足负重水平侧位
E.双足负重水平侧位
41、名词解释 Bergman征
42、多项选择题 法洛四联征在胸部后前位片上的X线表现为()
A.心脏无明显增大
B.肺门缩小,肺血管纤细
C.心尖圆钝、上翘、心腰凹陷
D.肺血少者可能见到侧支循环
E.伴有右位主动脉弓则主动脉结在右侧
43、单项选择题 胃肠道憩室于钡剂造影时,最不易充盈的是()
A.食管囊状憩室
B.Meckel憩室
C.胃憩室
D.十二指肠降段憩室
E.结肠憩室
44、单项选择题 下述纵隔病变知识,错误的是()
A.急性纵隔炎,多继发于食管穿孔
B.慢性肉芽肿性纵隔炎,多位于前上1/4纵隔
C.纵隔炎症可致纵隔影增宽
D.慢性硬化性纵隔炎,多位于后下1/4纵隔
E.自发性纵隔气肿,与间质性肺气肿关系密切
45、单项选择题 下列关于肺气肿的描述,错误的是()
A.胸片正常就可除外肺气肿
B.上叶肺血增加
C.膈顶变平
D.可有肺大泡
E.少数正常人也可出现肺体积增大、肺野透亮度增加等肺气肿类似表现
46、单项选择题 腰椎前后位的中心线入射点是()
A.胸骨剑突
B.脐上3cm
C.脐
D.脐下3cm
E.髂前上棘连线中点
47、单项选择题
男,6岁。经常咳嗽、憋喘,呼吸急促、口唇青紫,进行性加重。X线检查如图,最可能的诊断为()

A.先天性PDA
B.先天性VSD
C.先天性ASD
D.法洛氏四联症
E.先天性肺动静脉瘘
48、多项选择题 颞骨X线摄片主要用于观察()
A.中耳
B.蝶鞍
C.颞骨岩部
D.颞骨乳突气房
E.鼻窦
49、配伍题 肺动脉瓣位于()二尖瓣位于()主动脉瓣位于()
A.平第4前肋或第3前肋间水平
B.相当于第5肋软骨与胸骨右缘连接处
C.在第4肋软骨与胸骨左缘连接处
D.第3前肋水平
E.第4前肋水平
50、单项选择题 摄片示“骨龄延迟”,则可除外()
A.Turner综合征
B.垂体功能亢进
C.营养不良
D.类固醇治疗
E.先天性绀型心脏病
51、单项选择题 透光性低密度结石的主要成分是()
A.草酸钙
B.磷酸钙
C.磷酸胺镁
D.胱氨酸钙
E.尿酸类
52、单项选择题 下列哪项是阴性造影剂()
A.空气
B.40%碘化油
C.钡剂
D.5%碘化钠溶液
E.泛影葡胺
53、问答题 胸内淋巴结结核有哪些X线表现?
54、单项选择题 风湿性心脏病主动脉瓣关闭不全的主要表现是()
A.左心房、右心室增大
B.左心室增大
C.右心室肥大
D.左心房、右心室增大
E.右心房增大
55、单项选择题 下列哪种体位对观察肺门帮助不大()
A.正位
B.右侧位
C.左侧位
D.左前斜位
E.右前斜位
56、单项选择题 经皮肺穿刺活检术最常见的并发症是()
A.气胸
B.出血
C.沿穿刺道种植转移
D.刺破大血管或心脏
E.感染
57、单项选择题 下列征象中,哪一项对周围型肺癌的诊断价值最大()
A.分叶和毛刺
B.空洞
C.钙化
D.肺门或纵隔淋巴结肿大
E.无卫星病灶
58、单项选择题 横突骨折最常见的部位()
A.颈椎
B.胸椎
C.腰椎
D.颈胸椎
E.骶椎
59、单项选择题
女,39岁,右上腹部隐痛,有慢性胆囊炎史,曾经做过口服胆囊造影,胆囊显影差,X线检查如图,最可能的诊断是()

A.急性胆囊炎
B.慢性胆囊炎
C.胆囊结石
D.瓷样胆囊
E.胆囊结核
60、单项选择题 致密性骨发育不全与石骨症的X线鉴别中哪项是错误的()
A.全身骨骼非均匀性硬化
B.干骺端无致密带
C.末节指(趾)骨远端部分缺如
D.颅缝增宽,前囟不闭
E.下颌角消失
61、单项选择题
男,64岁,咳嗽、高热数日,无痰中带血,X线检查如图,最可能的诊断是()

A.右侧胸腔积液
B.右侧胸腔积液并肺脓肿
C.右肺炎
D.右肺不张
E.气胸
62、问答题 简述正常乳腺导管造影所见?
63、单项选择题
男,根据其正常骨盆影像图像,判断其最可能的年龄()
A.5岁左右
B.10岁左右
C.15左右
D.20岁左右
E.25岁左右
64、单项选择题 下列关于小肠结构描述不正确的是()
A.长度一般5m~7m
B.吸收作用主要在空肠
C.空肠可见钟摆运动
D.回肠末端可见逆蠕动
E.回肠管腔壁较空肠厚
65、单项选择题 在典型的胃良性溃疡与恶性溃疡鉴别要点中,哪一项是良性溃疡的特征()
A.蠕动减弱
B.粘膜皱襞紊乱
C.龛影位于胃轮廓之内
D.龛影突出于胃轮廓之外
E.局部胃腔狭窄
66、判断题 钮扣状钙化为血管瘤特征性X线表现。
67、名词解释 髌骨软化症
68、填空题 十二指肠憩室多发生在____________________,其次为__________________。多数学者认为本病可能与________________、__________________有关。
69、多项选择题 胃癌的X线造影征象有()
A.胃壁僵硬呈直线,边缘不整齐
B.充盈缺损
C.不整齐的巨大溃疡
D.胃粘膜皱襞中断融合
E.可见明显的环堤和中心不整齐的溃疡
70、单项选择题 X线机机房墙壁主防护厚度应达到的铅当量是()
A.1mmpb
B.2mmpb
C.3mmpb
D.4mmpb
E.5mmpb
71、单项选择题 下列有关“骨气鼓”特点,哪项错误()
A.常见于小儿患者
B.患骨梭形膨大,密度增高
C.见于骨结核
D.指骨、趾骨等短管状骨多见
E.骨膜反应不明显
72、多项选择题 溃疡性结肠炎X线表现包括()
A.卵石样或息肉样充盈缺损
B.病变进行性发展
C.结肠边缘很多毛刺状突出,或纽扣般大小龛影
D.常见激惹征象
E.肠管狭缩短、变硬,如僵直的橡皮管
73、单项选择题 食管贲门失弛缓症的典型X线表现是()
A.食管蠕动减弱
B.食管下端不规则狭窄
C.食管下端鸟嘴样或漏斗状狭窄
D.钡剂通过缓慢
E.食管极度扩张
74、单项选择题
男,36岁,半年前痰中带血,发现有肺癌,近几天感胸痛、咳嗽,X线检查如图,最可能的诊断是()

A.血行播散型肺结核
B.细支气管肺泡癌
C.肺转移瘤
D.正常胸片
E.结节病
75、单项选择题
男,14岁,偶然发现双膝部肿块1天,双膝关节摄片如图,最可能的诊断是()
A.骨瘤
B.骨软骨瘤
C.局限性骨皮质增厚
D.软骨肉瘤
E.以上均不正确
76、多项选择题 慢性肺气肿常见的X线征象是()
A.血管影细长、稀疏
B.两横膈上升
C.由于肺通气及循环障碍易引起肺源性心脏病
D.两肺野透过度增高
E.胸部膨隆,肋间隙增宽
77、单项选择题 关于“小肠Crohn病”影像的描述,错误的是()
A.环肠壁对称性侵犯
B.鹅卵石征
C.小肠多发狭窄
D.肠壁增厚
E.口疮样小溃疡
78、单项选择题 下列人体体表定位中,错误的是()
A.喉头隆起——第4颈椎高度
B.剑突——相当第7胸椎高度
C.两侧髂骨嵴连线——第4腰椎水平
D.胸骨柄上缘——第3胸椎高度
E.第一腰椎——相当剑突与肚脐连线中点
79、配伍题 左下腹小肠是()中段回肠是()右中下腹小肠是()盆腔内小肠是()
A.第6组小肠
B.第5组小肠
C.第4组小肠
D.第3组小肠
E.第2组小肠
80、问答题 试述巨人症与肢端肥大症的CT表现?
81、单项选择题 婴幼儿肺结核最常见的X线表现是()
A.空洞和肺门淋巴肿大
B.结核球
C.肺内浸润影像和肺门淋巴结肿大
D.胸腔积液
E.散在结核钙化影
82、单项选择题 成人胸部正位摄影焦-片距为()
A.50cm
B.70cm
C.90cm
D.100-120cm
E.150-180cm
83、单项选择题 下述二尖瓣关闭不全诊断要点,哪项不对()
A.心尖区闻及收缩期杂音
B.肺充血
C.间隔线
D.支气管分叉角扩大
E.心后间隙缩小
84、单项选择题 哪项不是枢椎齿状突原发骨化中心发育异常的表现()
A.终末骨
B.齿状突骨
C.齿状突上端分叉
D.齿状突缺如
E.颈延髓交界处受压、变细、移位
85、单项选择题 下述空泡征知识,哪项不对()
A.大小为1mm至数毫米
B.病理基础为小空洞
C.常见于肺腺癌或细支气管肺泡癌
D.胸片上为低密度透光区
E.病理基础为残存的正常含气肺泡组织或小支气管
86、单项选择题 关于下叶肺不张的X线表现,错误的是()
A.肺门向下移位
B.后前位胸片上呈底向膈面,尖端指向肺门的三角形阴影
C.在斜位上不显示
D.侧位胸片上无肺下叶向后移位
E.右上叶或左上叶出现代偿性肺气肿
87、单项选择题 碘苯酯常用于下列哪项造影检查()
A.心血管造影
B.逆行肾盂造影
C.脑血管造影
D.椎管造影
E.静脉胆囊造影
88、填空题 肺转移瘤需与_________、________、_________、_________、__________和__________等鉴别。
89、单项选择题 关于“子宫输卵管造影价值”,下列说法错误的是()
A.观察子宫、输卵管发育情况
B.了解输卵管是否通畅
C.诊断输卵管慢性炎症
D.可间接判断有无盆腔炎
E.无治疗价值
90、多项选择题 用呼气相X线片诊断有重要价值的疾病是()
A.支气管异物
B.肺气肿
C.肺炎
D.细支气管炎
E.胸膜炎
91、单项选择题 以下对于影像检查局限性的说法,哪项观点不对()
A.某些疾病,影像学无法检出
B.异病同影或同病异影
C.影像表现可与临床不同步
D.过小的病变影像检查可阴性
E.不同成像方法间无互补作用
92、单项选择题 一般中大型X线机管电压的调节范围是()
A.20~80kV
B.30~90kV
C.60~120kV
D.60~180kV
E.40~150kV
93、单项选择题 符号“W”表示()。
A、无烟煤;
B、烟煤;
C、贫煤;
D、石煤。
94、问答题 肺转移性肿瘤的X线表现有哪些?
95、单项选择题 诊断用X射线机房的主防护铅当量厚度应是()
A.0.5mm
B.1.0mm
C.1.5mm
D.2.0mm
E.2.5mm
96、判断题 生长在前、后纵隔的肿瘤,由于部位的原因,临床症状出现较晚。
97、判断题 寰椎前结节后缘与枢椎齿状突前缘的距离成人大于4mm,儿童大于2mm则说明有横韧带的撕裂。
98、单项选择题 用于胃肠道造影的对比剂是()
A.硫化钡
B.氯化钡
C.碳酸钡
D.硫酸钡
E.氰化铂钡
99、单项选择题 单侧肾影增大,则可除外下列哪项()
A.重复肾
B.肾囊肿
C.肾肿瘤
D.多囊肾
E.肾盂积水
100、单项选择题 较少分布于肺野中外带的病变为()
A.肺梗死
B.尿毒症
C.细支气管肺泡癌
D.肺挫伤
E.过敏性肺炎
101、单项选择题 关于膈肌的叙述,哪项是不正确的()
A.肺气肿时,膈肌下降
B.急性无气肺,膈成为高位
C.通常是左膈比右膈高
D.肺、纵隔肿瘤时,可出现膈肌麻痹
E.大量胸水时,膈影像定位困难
102、单项选择题
女,27岁,双侧髋部疼痛,肿胀2月余,有髋部外伤史,结合图像,最可能的诊断是()
A.股骨颈骨折
B.股骨头骨折
C.慢性骨髓炎
D.慢性骨脓肿
E.骨结核
103、单项选择题 以下选项中,乳突伦氏位投照时,球管中心线应()
A.向足侧倾斜35°
B.向足侧、面侧各倾斜15°
C.向足侧倾斜35°~45°
D.向足侧倾斜25°~30°
E.向足侧,面侧各倾斜45°
104、单项选择题 白星是指星状形中央的肿块影,常见于()
A.乳腺纤维瘤透明变性
B.乳腺硬化性导管增生
C.乳腺浸润性导管癌
D.乳腺术后瘢痕
E.乳腺脓肿
105、填空题 脾增大明显时可引起____________、___________和_____________。
106、多项选择题 下列有关色素沉着绒毛结节性滑膜炎的描述中,正确的有()
A.软组织内有蛋壳样钙化
B.主要累及关节滑膜、关节囊和腱鞘
C.本病好发生于青壮年
D.动脉造影可显示富于血管的关节内肿块
E.膝关节最易受累
107、单项选择题
患者上腹胀满、厌食,查体脾大,腹水征阳性。腹部超声,肝硬化,脾大,腹水。
介入治疗方法()
A.脾动脉化疗
B.TIPSS
C.食管支架
D.肝动脉栓塞
E.PTCD
108、填空题 根据作用力的方式和骨本身的情况,骨折可分_________、_________和_________。
109、单项选择题 有关膀胱癌和结石的鉴别,下列错误的是()
A.双重对比造影两者等同
B.癌与结石均不随体位改变而移动
C.膀胱癌浸润膀胱壁,使膀胱壁不光整和硬化
D.膀胱癌的充盈缺损边缘不光整,而结石则光滑
E.X线平片易于诊断结石
110、名词解释 脊椎滑脱
111、判断题 正常骨膜在X线片上显示一层平行于骨干的条状阴影。
112、单项选择题
男,54岁,咳嗽,伴胸痛2周,午后有低热,胸片如图,最可能的诊断是()

A.肺脓肿
B.结核空洞
C.韦格肉芽肿
D.肺癌
E.肺大泡
113、单项选择题 用“离子型造影剂”做血管造影时,一次用量最多不得超过()
A.3ml/kg体重
B.4ml/kg体重
C.6ml/kg体重
D.2ml/kg体重
E.8ml/kg体重
114、单项选择题 下列有关摄影体位错误的叙述是()
A.右前斜位也称第1斜位
B.左前斜位也称第2斜位
C.左侧位摄影X线由右侧投射到左侧
D.顶颌位又称下上轴位
E.右前斜位与左后斜位效果相似
115、单项选择题 下列骨骼不参与眼眶构成的是()
A.筛骨
B.蝶骨
C.腭骨
D.颞骨
E.上颌骨
116、单项选择题 下列组合,哪项错误()
A.胸腔游离积液——正位,加照患侧侧卧水平正位或斜位
B.包裹性积液——正位,加照切线位
C.肺下积液——卧位
D.胸膜间皮瘤——取呼气吸气位对照
E.纵隔气肿——除常规正位外,必须照侧位
117、多项选择题 脊椎退行性变的病理改变中,包括哪项()
A.椎间盘退行性变
B.椎间关节退行性变
C.韧带退行性变
D.脊椎骨骼改变
E.脊椎结核、肿瘤病变
118、判断题 非骨化性纤维瘤少数病灶可以自愈。
119、单项选择题 右主支气管与气管中线成多少度角()
A.10~20°
B.20~30°
C.30~40°
D.40~55°
E.50~60°
120、单项选择题 大叶性肺炎多见于()
A.青少年
B.老年人
C.婴幼儿
D.青壮年
E.以上都是
121、多项选择题 系统性红斑狼疮致死的主要原因为()
A.肾功能衰竭
B.神经系统并发症
C.心血管系统并发症
D.感染
E.囊性肺纤维化
122、多项选择题 腰椎前后正位要求清晰可见的结构是()
A.椎弓
B.椎间关节
C.棘突和横突
D.骨皮质和骨小梁
E.腰大肌
123、单项选择题 下列说法不妥的是()
A.潜影的本质是银集团
B.感光中心是在乳剂的制备过程中形成的微量银质点
C.显影中心是接受光点后形成的影像银质点
D.无数显影中心所组成的银离子群即为影像
E.感光中心多,显影中心也多
124、单项选择题 对于CR描述,错误的是()
A.对骨骼的细微结构显示良好
B.对肺结节性病变检出率高于传统X线成像
C.对肺间质与肺泡病变不及传统X线成像
D.对胃小区、肠粘膜微小病变显示优于传统X线造影
E.易于显示纵隔结构
125、单项选择题 显示脊索瘤时,CT和X线平片不同点在于()
A.CT可见肿瘤强化
B.巨大软组织肿块
C.骨质破坏
D.肿瘤钙化
E.CT易于显示骶尾部脊索瘤
126、单项选择题
女,12岁,咳嗽、低热2月余,结合胸片,最可能的诊断是()

A.血行播撒型肺结核
B.两肺含铁血黄素沉着
C.间质性肺炎
D.支气管肺炎
E.风心二狭
127、单项选择题 股骨颈骨折最易合并()
A.骨感染
B.骨不连
C.骨梗死
D.骨萎缩
E.骨缺血性坏死
128、单项选择题 下列组合中,关系最密切的是()
A.甲状旁腺——脑室
B.松果体——蝶鞍
C.泪腺——上颌窦
D.晶状体——基底核
E.脑垂体——蝶骨
129、配伍题 男尿道管最狭窄的部分是()中央有精阜的是()尿道球腺开口于()
A.前列腺上部
B.膜部
C.海绵体部
D.尿道球部
E.射精管
130、单项选择题 关于降低乳腺癌发生危险性的措施中,下列不正确是()
A.实行人工喂养
B.避免不必要的电离辐射
C.青春期适当节制脂肪和动物蛋白质的摄入
D.更年期尽量避免应用雌激素
E.更年期后适当增加体育活动,减少过剩脂肪
131、单项选择题 胰腺癌淋巴结转移最常见于()
A.胃周淋巴结
B.下腔静脉周围淋巴结
C.腹主动脉旁淋巴结
D.肝门区淋巴结
E.腹腔动脉周围淋巴结
132、单项选择题 上部胸椎侧位摄片,下述方法哪项错误()
A.取侧卧位
B.近台侧上肢屈曲上举
C.远台侧上肢置身体后下方
D.中心线向头侧倾斜15°角
E.平静呼吸中屏气曝光
133、单项选择题
女,17岁,左髋部酸胀不适半年,骨盆正位片如图所示,最可能的诊断是()
A.骨髓炎
B.内生软骨瘤
C.骨纤维结构不良
D.骨斑点症
E.以上均不正确
134、问答题 先天性巨结肠典型的X线征象有哪些?
135、单项选择题 纵隔淋巴结肿大可见于()
A.农民肺
B.大叶性肺炎
C.高原性肺水肿
D.球孢子菌病
E.棉屑肺
136、单项选择题 不属于直接引入法造影的是()
A.胃肠钡餐造影
B.钡灌肠造影
C.逆行肾盂造影
D.静脉肾盂造影
E.子宫输卵管造影
137、单项选择题 疑似病人痛风,最佳投照体位是()
A.双侧跟骨侧位片
B.双侧掌上斜位
C.胸骨正位片
D.骨盆侧位片
E.第1跖趾骨正、斜位
138、单项选择题 下列发育异常性疾病中,哪种罕有先天性心脏病()
A.Marfan综合征
B.Klinefelter综合征
C.Pfaundler-Hurler病
D.Ehlers-Danlos综合征
E.脆骨症
139、单项选择题 血源性肺脓肿的发病部位多见于()
A.肺尖
B.肺外围
C.肺门周围
D.膈上区
E.左心缘旁区
140、单项选择题
男,6岁,尿量明显增多伴眼球突出1年,结合图像作出最可能的诊断()
A.骨髓瘤
B.转移瘤
C.白血病
D.淋巴瘤
E.Langerhans组织细胞增生症
141、单项选择题 肺血减少见于下列哪种先天性心脏病的()
A.动脉导管未闭
B.室间隔缺损
C.房间隔缺损
D.艾森门格综合征
E.法洛四联征
142、名词解释 Barrett食管
143、问答题 马方(Marfan)综合征的X线表现有哪些?
144、单项选择题 构成肺门阴影的最主要结构是()
A.肺动脉
B.肺静脉
C.支气管
D.神经
E.淋巴组织
145、单项选择题 X线胶片中感光物质是下列哪组()
A.溴化银
B.氯化银
C.溴化银+碘化银
D.碘化银
E.氟化银
146、单项选择题 下述关于“非骨化性纤维瘤”的描述,错误的是()
A.5~20岁多见
B.多位于股骨、胫骨干骺端
C.卵圆形、多囊样密度减低区
D.无硬化缘
E.无骨膜反应和软组织肿块
147、单项选择题 腰椎扫描时,给病人腿部垫起的目的是()
A.让病人躺着更舒服
B.减轻病人由于椎间盘突出引起的疼痛
C.使腰椎的生理弧度减少
D.使扫描机架可以少倾斜角度
E.避免病人的脚弄脏检查床
148、单项选择题 二尖瓣狭窄早期X线征象是()
A.左心室缩小
B.右心室增大
C.左心房增大
D.右心房增大
E.主动脉结缩小
149、单项选择题 下列哪项不是风湿性心脏病二尖瓣狭窄的基本病理变化()
A.瓣叶粘连
B.腱索纤维化
C.腱索断裂
D.腱索短缩
E.瓣膜下移
150、单项选择题 不引起纵隔移位的是()
A.阻塞性肺气肿
B.巨大肺肿瘤
C.胸腔积液
D.转移性胸膜肿瘤
E.胸膜间皮瘤
151、单项选择题 下列选项中,不能在胸片上看到“空气支气管征"的疾病是()
A.细支气管和肺泡癌
B.大叶性肺炎
C.阻塞性肺炎
D.肺泡性肺水肿
E.肺出血
152、判断题 克氏综合征患者骨骺骨化中心出现和愈合均正常,唯掌骨征阳性。
153、单项选择题 下列造影,对比剂的引入方式属生理排泄的是()
A.胃肠道钡餐造影
B.逆行肾盂造影
C.口服胆囊造影
D.腹膜后充气造影
E.颈内动脉造影
154、多项选择题 二尖瓣狭窄或(和)关闭不全时,胸片可见到的表现有()
A.肺内无结节状影
B.肺内含铁血黄素沉着
C.间隔线
D.上肺静脉增粗,下肺静脉变细
E.肺动脉段凹陷
155、单项选择题 视神经管位(Rhees’s)摄片,正确的定位是()
A.听眉线垂直于台面
B.听眦线垂直于台面
C.听眶线垂直于台面
D.听鼻线垂直于台面
E.听口线垂直于台面
156、多项选择题 下列哪些器官组织常被筛窦恶性肿瘤侵及()
A.眼眶
B.口腔
C.上颌窦
D.鼻腔
E.蝶窦
157、名词解释 穿透性溃疡
158、单项选择题 “骨中骨”征象出现于()
A.骨嗜酸性肉芽肿
B.尼曼-皮克病
C.勒-雪病
D.韩-薛-柯病
E.石骨症
159、单项选择题 深吸气后屏气曝光的部位是()
A.躯干
B.头颅
C.肺部
D.心脏
E.手臂
160、判断题 纵隔的良性肿瘤不引起上腔静脉受压,若出现则可诊断为恶性病变。
161、判断题 十二指肠结核好发于十二指肠的上升部。
162、判断题 进行性骨化肌炎在急性期常有典型的X线、CT征象。
163、多项选择题 支气管囊肿的囊壁可以含有哪些成份()
A.软骨
B.平滑肌
C.骨骼
D.弹性纤维组织
E.淋巴组织
164、单项选择题 关于胸部正位摄片的叙述,正确的是()
A.后前位比前后位心脏放大率大
B.RAO称第二斜位
C.主动脉弓投影于右上肺野
D.吸气时膈肌上升
E.胸锁关节在后前位,与第四后肋相重
165、单项选择题
女,41岁,慢性肾功能不全,结合图像,最可能的诊断是()
A.白血病
B.甲状旁腺功能亢进
C.地中海贫血
D.镰状细胞贫血
E.骨关节结核
166、单项选择题 下述胸部病变诊断知识,错误的是()
A.空洞内的游离体多为霉菌球
B.高千伏摄片可显示食管周围静脉曲张
C.二尖瓣心脏病极少合并肺结核
D.肺结核好发于中叶
E.左右两侧纵隔胸膜可相互紧贴
167、填空题 地中海贫血即__________________,由Cooley(1925年)首先报道,故又称为___________,也称_______________,为常染色体显性遗传性疾病。
168、单项选择题 X线胶片的γ值也称为()
A.人工对比度
B.天然对比度
C.射线(X线)对比度
D.胶片对比度
E.照片对比度
169、单项选择题
男,28岁,无临床症状,体检时摄片如图,结合图像,最可能的诊断是()
A.氟骨症
B.转移性骨肿瘤
C.骨样骨瘤
D.骨岛
E.骨斑点症
170、单项选择题 物体的X线吸收量单位是()
A.伦琴
B.拉德
C.Gy
D.居里
E.帕
171、单项选择题 正确选择乳突梅氏位的摄影角度,应是()
A.双25°
B.双35°
C.双45°
D.双55°
E.双65°
172、单项选择题 正常右主支气管与正中矢状面夹角为()
A.60°~85°
B.40°~50°
C.30°~40°
D.20°~30°
E.10°~20°
173、多项选择题 代谢性骨病的常见X线表现有()
A.骨质软化
B.骨髓腔扩大
C.骨质疏松
D.骨皮质变薄
E.病理性骨折
174、单项选择题 “子宫输卵管造影”后24小时摄片,主要是为了观察()
A.盆腔内造影剂弥散情况
B.输卵管结构
C.子宫腔形态
D.阴道结构
E.以上都对
175、填空题 引起纵隔血肿的原因主要为_______、______________________、_______________________和________________________________。
176、单项选择题 影响X线量和质的因素不包括()
A.管电流
B.靶物质
C.高压波形
D.管电压
E.散射线
177、配伍题 脾栓塞适应证()脾栓塞禁忌证()脾栓塞并发症()
A.败血症
B.原发脾亢
C.肝癌
D.肾衰
E.胰腺梗死
178、单项选择题 腹水患者卧位腹部平片能显示的是()
A.腹内结构不清,密度增高
B.小肠被压向腹部周边部位
C.结肠与腹脂线间距加大
D.狗耳征
E.腰大肌影欠清晰
179、单项选择题 关于灯丝变压器的叙述,错误的是()
A.降压变压器
B.初级电流小,次级电流大
C.初级线数多,次级线数少
D.初级线径小,次级线径大
E.绝缘要求和普通变压器相同
180、单项选择题 眼球异物定位检查的主要目的是()
A.确定有无异物
B.确定异物的大小
C.确定异物的位置
D.确定异物的性质
E.确定手术方案
181、单项选择题 下列哪种心脏病不引起两肺门影增大()
A.房间隔缺损
B.室间隔缺损
C.肺动脉狭窄
D.肺源性心脏病
E.动脉导管未闭
182、配伍题 巨大右房见于()巨大左房见于()
A.二尖瓣狭窄
B.二尖瓣关闭不全
C.房间隔缺损
D.动脉导管未闭
E.Ebstein畸形
183、单项选择题 关于肺脓肿,下列描述哪项不对()
A.葡萄球菌、肺炎双球菌为常见致病菌
B.常有高热、寒战、大量脓痰
C.多数急性空洞壁薄,内壁光整
D.邻近胸膜增厚,甚至脓胸形成
E.急性空洞常有液平面
184、单项选择题
男,29岁,腹胀,恶心呕吐1年,加重半月。体检:下腹部压痛,结合图像,最可能的诊断为()

A.正常表现
B.胃炎
C.胃溃疡
D.胃窦炎
E.胃癌
185、单项选择题 骨皮质内2/3的供血主要来源于()
A.滋养动脉
B.骨骺动脉
C.干骺动脉
D.骨膜动脉
E.骨内小动脉
186、单项选择题
男,37岁,出现多处骨折,结合图像,最可能的诊断是()
A.石骨症
B.成骨不全
C.畸形性骨炎
D.转移性骨肿瘤
E.氟骨症
187、单项选择题 诊断室壁瘤最主要的X线征象是()
A.左室缘局限性膨出
B.左心室增大
C.左室缘的搏动异常
D.左室缘的钙化
E.左室缘纵隔心包粘连
188、单项选择题 球形增大的肝右叶下段称为()
A.尾状叶
B.利德尔叶
C.獭尾肝
D.右前叶
E.右后叶
189、单项选择题 间质性肺炎较特征的X线表现是()
A.蜂窝肺
B.网状阴影之间伴小点状致密阴影
C.肺纹理增粗模糊
D.肺气肿
E.肺门阴影增大,密度增高
190、多项选择题 儿童不同于成人的骨折是()
A.粉碎性骨折
B.青枝骨折
C.嵌顿性骨折
D.骨骺分离
E.病理性骨折
191、多项选择题 诊断恶性骨肿瘤的诊断依据是()
A.浸润性骨质破坏
B.有骨膜反应
C.有软组织肿块
D.破坏区内有死骨
E.Codman三角
192、多项选择题 肺结核患者,可见到哪些病理X线征象()
A.增殖性改变
B.纤维性改变
C.钙化性改变
D.空洞性改变
E.渗出性改变
193、单项选择题
男,35岁,反复颈部不适20余年,结合图像,最可能的诊断是()
A.颈椎椎体融合
B.颈椎结核
C.颈椎退行性变
D.颈椎压缩性骨折
E.颈椎骨转移瘤
194、单项选择题 下列有关摄影体位命名原则的描述,错误的是()
A.依被照体的摄影部位
B.依被照体摄影时的体位
C.依X线入射被照体时的方向
D.依被照体与摄影床的位置关系
E.依被照体与胶片所处的位置关系
195、单项选择题 急性化脓性骨髓炎典型X线表现是()
A.骨质破坏
B.死骨形成
C.骨质增生
D.软组织窦道形成
E.以上都是
196、单项选择题 下列描述输尿管结核的影像学改变中,哪项不正确()
A.迂曲、延长
B.钙化
C.僵直
D.短缩
E.串珠状
197、单项选择题 X线诊断心包积液较可靠方法是()
A.左前斜位X线片看室间沟深浅
B.心影是否呈烧瓶样
C.右前斜位吞钡食管压迹有无加深
D.透视下心脏搏动情况
E.以上都不是
198、名词解释 Page肾
199、单项选择题
男,62岁,常感胸闷、气逼,X线检查如图,最可能的诊断是()

A.右侧肺大泡
B.右侧气胸
C.右侧肺脓肿
D.右侧胸膜肥厚
E.右侧肺气肿
200、单项选择题 右前斜位片上心脏前缘自上而下依次为()
A.左心房、左心室
B.右心房、右心室
C.左心房、右心室
D.右心室、左心室
E.左心室、右心房
201、单项选择题 观察儿童骨龄应摄()
A.肘关节片
B.膝关节片
C.腕关节片
D.踝关节片
E.髋关节片
202、单项选择题 法洛三联症的病理畸形是指()
A.肺动脉狭窄、右心室肥厚、主动脉骑跨
B.肺动脉狭窄、右心室肥厚、高位室间隔缺损
C.肺动脉狭窄、右心室肥厚、低位室间隔缺损
D.肺动脉狭窄、右心室肥厚、卵圆孔未闭或房间隔缺损
E.肺动脉狭窄、右位主动脉弓、卵圆孔未闭或房间隔缺损
203、单项选择题 青年女性,前纵隔囊性肿物,内有脂肪-液体平面,增强扫描出现边缘环状强化。最可能的诊断是()
A.脂肪瘤
B.胸腺瘤
C.淋巴瘤
D.囊性畸胎瘤
E.生殖细胞瘤
204、单项选择题 下列哪些X线表现可作为间质性肺水肿的诊断依据()
A.两肺野透亮度减低
B.肺门影模糊不清
C.心影增大
D.Kerley线
E.肋膈角闭塞
205、单项选择题 强直性脊柱炎的特征性X线表现是()
A.脊柱骨质破坏
B.关节表面破坏
C.关节面硬化
D.关节半脱位
E.椎旁韧带钙化骨化呈竹节样改变
206、多项选择题 腰椎后缘软骨结节在侧位片上可表现为()
A.椎体后上(下)缘有弧状或切迹状骨质缺损区
B.骨质缺损区边缘硬化或毛糙不整
C.与缺损区相对应,有类圆形、锥形骨块翘起并突入椎管内
D.骨块可全部或部分与椎体分离
E.好发于腰4的下角,常单椎体发病
207、单项选择题
患者突发胸痛气急,呼吸困难,胸片如图,最可能的诊断为()

A.右侧肺大泡
B.右侧气胸
C.右侧中央型肺癌并阻塞性肺气肿
D.肺气肿
E.右肺肺炎
208、多项选择题 参与右肺门构成的有()
A.右上肺动脉
B.右下肺支气管
C.右下肺动脉
D.右下肺静脉
E.以上都是
209、多项选择题 肺栓塞的X线表现有()
A.肺体积缩小
B.肺淤血
C.肺缺血
D.肺段性梗死
E.心影增大
210、单项选择题 KerleyB线最常见于哪种疾病()
A.肺癌
B.肺结核
C.心房间隔缺损
D.二尖瓣狭窄
E.慢性支气管炎
211、单项选择题 关于胆囊癌的描述哪项正确()
A.直接侵犯以消化管最常见
B.多为鳞癌
C.多为浸润型
D.造影表现正常就可除外胆囊癌
E.胆囊壁增厚是本病特有影像
212、单项选择题 X线由德国科学家伦琴发现于()
A.1800年
B.1840年
C.1890年
D.1895年
E.1900年
213、名词解释 鲍兰三联症
214、单项选择题 X线摄片某处对入射光线吸收率为90%,此处的光学密度值为()
A.0.1
B.0.9
C.1.0
D.2.0
E.3.0
215、单项选择题 ERCP的适应证()
A.急性胰腺炎
B.重度胆管感染
C.慢性胰腺炎急性发作
D.肝内胆管炎
E.以上都不是
216、单项选择题 下列疾患,不能由腹部平片诊断的是()
A.胆囊阳性结石
B.肠梗阻
C.慢性胰腺炎
D.消化道穿孔
E.小儿先天性肛门闭锁
217、单项选择题 下列除哪项外均为来自支气管表面上皮的癌()
A.鳞状上皮癌
B.腺癌
C.小细胞癌
D.鳞腺癌
E.大细胞癌
218、单项选择题 侧位胸片上,右叶中央型肺癌伴有右中叶、右下叶不张时,形成的征象称为()
A.饼征
B.双翼征
C.膈上半月征
D.龟背征
E.膈角移位征
219、名词解释 激惹征
220、单项选择题 急性胆囊炎最常见的原因是()
A.胆囊管过长、扭曲
B.螺旋瓣异常
C.肿瘤压迫
D.胆石嵌顿
E.蛔虫阻塞
221、单项选择题 观察下列哪种结构时,需用人工对比()
A.含气肺组织
B.肾盂
C.肩关节
D.骨盆
E.上颌窦
222、单项选择题 在左前斜位片上心前缘下部是()
A.右心房
B.右心室
C.左心房
D.左心室
E.升主动脉
223、填空题 病理上淋巴瘤分____________和_______________两大类。
224、单项选择题 下列哪种疾病不表现为右心房增大()
A.房间隔缺损
B.Ebstein畸形
C.三尖瓣关闭不全
D.三尖瓣闭锁
E.先天性左侧心包缺如
225、名词解释 Ferguson法
226、单项选择题 关于眼眶肿瘤的描述,下述哪项正确()
A.泪囊肿瘤,良性多见
B.泪腺肿瘤,肌锥内最常见肿瘤
C.泪囊肿瘤,眶上缘外侧段骨质破坏
D.泪腺肿瘤,眶下缘外侧段骨质吸收
E.皮样囊肿,眶上缘外侧段多见
227、填空题 急性大肠梗阻可分为_________________和__________________两种。
228、单项选择题 下列哪种病变一般不表现为单侧肾影缩小()
A.肾梗死
B.肾结核
C.肾血管平滑肌脂肪瘤
D.肾动脉狭窄
E.肾发育不良
229、单项选择题 第一幅人体头部MR图像是哪1年获取的()
A.1946年
B.1952年
C.1972年
D.1977年
E.1978年
230、单项选择题 患者10岁,足痛、触痛1月余,最可能诊断为()
A.尤文肉瘤
B.疲劳骨折
C.骨髓炎
D.正常结构
E.骨软骨瘤
231、单项选择题 周围型肺癌的影像学表现,下列哪项描述不对()
A.反S征
B.病变早期与炎症有时难以鉴别
C.癌性空洞,少有液平面
D.短小毛刺
E.合并炎症时,其外缘模糊、内缘清楚
232、单项选择题 尾骨前后位,中心线应()
A.向足侧倾斜15°~30°
B.向头侧倾斜15°~30°
C.向足侧倾斜10°
D.与检查床垂直
E.向前沿侧倾斜10°
233、单项选择题 “胸部前弓位”的突出优势是()
A.观察前心膈角病变
B.观察胸骨病变
C.观察后肋膈角病变
D.观察肺尖病变
E.观察右斜裂病变
234、单项选择题 在弥漫性肺疾病的诊断中,首先应进行的影像学检查是()
A.CT扫描
B.MRI
C.胸部X线片
D.核素扫描
E.肺血管造影
235、单项选择题 在静脉尿路造影检查中,肾癌表现可表现为()
A.蜘蛛足样表现
B.肾盂变形
C.输尿管受压移位
D.肾盂不显影
E.以上均可见
236、判断题 通常左心房压力高于右心房的压力。
237、多项选择题 韦格肉芽肿的胸部影像包括()
A.肺门淋巴结对称性明显增大
B.两肺大小相等结节影
C.小片状阴影
D.可有厚壁或薄壁空洞,空洞内壁不规则
E.少量胸腔积液
238、单项选择题
女,48岁,车祸致右胫腓骨骨折,外固定术后两年复查,如图所示,最可能的诊断是()
A.右胫骨愈合延迟
B.右胫骨假关节形成
C.右胫骨骨折愈合好,有大量骨痂形成
D.右胫骨断端不连
E.以上均不正确
239、单项选择题 下列关于前列腺肥大的描述,错误的是()
A.残留尿增加
B.尿道前列腺部伸展并延长
C.并发膀胱炎时,膀胱壁可有息肉形成
D.膀胱底部边缘不规则的充盈缺损
E.膀胱边缘可见弧形压迫
240、单项选择题 下列选择中,张口位不能显示是哪项()
A.齿状突
B.茎突
C.寰椎
D.寰枢关节
E.枢椎
241、名词解释 肺挫伤
242、判断题 慢性支气管炎影像学表现无特征性,故此类患者做影像学检查毫无价值。
243、单项选择题 放射工作条件在有效剂量当量有可能超过15mSv/年时,定为()
A.乙种工作条件
B.丙种工作条件
C.戊种工作条件
D.甲种工作条件
E.丁种工作条件
244、单项选择题 法洛四联征,不包括下列哪项()
A.室间隔缺损
B.主动脉骑跨
C.肺动脉狭窄
D.动脉导管未闭
E.右心室肥厚
245、问答题 骨折的基本X线表现有哪些?
246、单项选择题 下列不可复性食管裂孔疝的征象中,错误的是()
A.膈上幕状粗大粘膜较固定
B.心后区出现含液平面之囊状影,且固定存在
C.钡餐检查示部分胃疝入胸腔,固定存在
D.可伴有食管缩短现象
E.疝囊于立位片上显示不清
247、多项选择题 结节病的X线征象包括()
A.有时可见桡骨囊性变
B.肺门淋巴结肿大
C.多为两肺受累
D.有时纵隔淋巴结也肿大
E.最后可导致肺源性心脏病
248、单项选择题 输尿管生理狭窄区中最窄的部位是()
A.肾盂起始部
B.输尿管起始部
C.跨过髂总动脉处
D.跨过骨盆入口处
E.进入膀胱壁处
249、问答题 肠结核的主要X线表现有哪些?
250、单项选择题 儿童长骨分为4部分,下列哪项是错误的()
A.骨干
B.骨端
C.骨骺
D.骨骺板
E.干骺端
251、名词解释 短液平征
252、多项选择题 下列属于胃溃疡直接征象的是()
A.粘膜线
B.项圈征
C.狭颈征
D.哑铃胃
E.胃小弯缩短
253、单项选择题 胸片上双侧肺门影增大可见于()
A.大叶性肺炎
B.慢性肺源性心脏病
C.慢性纤维空洞型肺结核
D.法洛四联征
E.肺隔离症
254、单项选择题 产生连续X线,是由于高速电子作用于()
A.原子核,使之分裂
B.原子内层轨道电子,使之脱出
C.原子外层轨道电子,使之脱出
D.原子的核电场,损失能量而减速
E.靶物质中的自由电子,使之改变方向
255、单项选择题
男,62岁,铸铁工,咳嗽、呼吸急促1月余,结合胸片,最可能的诊断()

A.粟粒型肺结核
B.肺结节病
C.尘肺
D.肺炎
E.肺淤血
256、配伍题 PTA可治疗()动脉化疗可治疗()血管动脉栓塞可治疗()非血管介入治疗()
A.胰腺癌动脉化疗
B.下腔静脉支架置入
C.脾动脉栓塞
D.前列腺支架置入
E.空肠造瘘
257、单项选择题 下列关于淋巴瘤的描述,不正确的是()
A.恶性淋巴瘤常侵犯胸部
B.非霍奇金淋巴瘤侵犯纵隔者较少
C.淋巴瘤的淋巴结肿大常为对称性肿大
D.淋巴瘤的淋巴结肿大内可见出血坏死状
E.淋巴瘤可累及肺、心包
258、单项选择题 关于神经鞘瘤和神经纤维瘤的描述哪项错误()
A.组织来源不同
B.神经纤维瘤多为神经纤维瘤病的局部表现
C.神经鞘瘤可多发,恶变多见
D.4%~11%神经纤维瘤病并发神经纤维肉瘤
E.神经鞘瘤可通过椎间孔侵蚀到椎管外
259、单项选择题 青枝骨折以下列哪种X线检查最佳()
A.平片检查
B.透视
C.关节造影
D.血管造影
E.椎管造影
260、单项选择题 下列X线征象中,不是良性胃溃疡的为()
A.腔外龛影
B.腔内龛影
C.汉普顿线(Hampton线)
D.胃小弯缩短
E.粘膜纠集
261、单项选择题
女,46岁,排便困难,结合图像,最可能的诊断为()

A.正常肠圈
B.球部溃疡
C.球部憩室
D.降段憩室
E.水平段憩室
262、多项选择题
女,37岁,咽部异物感、咽痛伴反射性耳痛、头颈部不适近1年余,如图所示,下列描述正确的是()
A.左侧茎突长约3.5cm
B.右侧茎突长约4.0cm
C.双侧茎突过长综合征
D.右侧茎突过长综合征
E.正常茎突
263、单项选择题 胸片示厚壁空洞性病变,则可除外()
A.支气管囊肿
B.肺结核
C.肺梗死
D.叶内型隔离肺
E.坏死性肉芽肿
264、单项选择题 创伤性支气管断裂()
A.X线胸片呈肺野磨玻璃样变或面纱征
B.X线胸片呈多发边缘锐利、密度均匀高密度影
C.X线胸片呈一侧胸腔一片致密均匀阴影,纵隔向健侧移位
D.X线胸片呈纵隔气肿,大量气胸
E.X线胸片呈心影明显增大,心脏各弧消失
265、名词解释 肺栓塞
266、判断题 腰方肌起于第11肋骨,向下延伸至髂嵴,出现率高于腰大肌。
267、判断题 骨质疏松是指单位重量的骨组织的钙盐含量降低。
268、单项选择题 鹿角状结石多发生在()
A.肾盂及肾盏内
B.膀胱
C.输尿管
D.肾盂
E.肾盏
269、配伍题 肘关节提携角()腕关节腕骨角()腕关节前倾角()股骨颈前倾角()
A.5°~20°
B.9°~20°
C.13°~20°
D.15°~20°
E.平均130°
270、填空题 乳腺可分为_______、_______、_______和_______。
271、填空题 1998年8月中华结核病学会制定的结核病分类法将结核病分为________________、________________、______________、________________和_______________。
272、单项选择题
男,28岁,从高处坠落后双足疼痛1月余,结合影像学检查,最可能的诊断是()
A.跟骨骨折
B.骰骨骨折
C.距骨骨折
D.舟状骨骨折
E.楔骨骨折
273、单项选择题 下列关于X线性质的描述,哪项是不正确的()
A.X线与紫外线一样,均为电磁波
B.X线具有波动和微粒的二象性
C.X线的干涉与衍射现象,证明了它的波动性,康普顿效应则证明了它的微粒性
D.光电效应也证明了它的波动性
E.X线不具有质量和电荷
274、单项选择题 应用于医学领域最早的辐射能源是()
A.β线
B.γ线
C.X线
D.钴
E.镭
275、多项选择题 适合高电压摄片检查的部位为()
A.喉
B.肺
C.胸骨
D.乳腺
E.鼻咽部侧位
276、单项选择题 指出下列摄片技术中,不正确的是()
A.柯氏位可显示筛窦的前后两组影
B.眼眶肿物应选择柯氏位、瑞氏位和眶缘切线位
C.上颌窦肿瘤取瓦特位外,还应摄取颅底减角位(半轴位)
D.瓦特位,两侧密度不一致(非病变所致)的原因,主要是中心线偏斜或滤线栅侧向倾斜造成的切割效应
E.眶下裂摄片采用取头颅后前正位,中心线向头侧倾斜20°
277、多项选择题 黏多糖在体内主要分布于哪些组织器官()
A.角膜
B.神经
C.心脏
D.肝脾
E.骨骼
278、单项选择题 下列哪项与缩窄性心包炎X线征象不相符()
A.左心房增大
B.胸腔积液
C.心脏大小可正常
D.右下肺动脉呈残根状
E.上腔静脉扩张
279、单项选择题
男,阴囊下坠不适,胀痛,平卧症状缓解。查体:阴囊下垂松弛,并可触及结节状静脉曲张。
继发病变是()
A.男性不育
B.门脉高压
C.疝气
D.前列腺肥大
E.髂动脉狭窄
280、单项选择题 男,38岁,钡餐示食管壁张力减低,蠕动减弱,钡剂排空延迟,并见食管下段有串珠状充盈缺损影,首先应考虑()
A.食管下段静脉曲张
B.食管粘膜下平滑肌瘤
C.返流性食管炎
D.食管裂孔疝
E.食管癌
281、多项选择题 血供丰富的肝转移癌多表现为()
A.供血血管增粗
B.动静脉瘘
C.病理血管
D.肿瘤染色
E.血管受压弯曲
282、判断题 X线片是二维图像,在这种图像上人体的各种结构互相重叠难于准确观察。
283、填空题 引起脾肿大的病因很多,主要有________、__________、________、_________、___________和__________。
284、问答题 静脉尿路造影一侧不显影常见于哪些病变?
285、单项选择题 晚期尿毒症病人肾脏内出现囊肿病变的原因是()
A.先天性
B.代谢性
C.感染性
D.中毒性
E.缺血及营养不良
286、单项选择题 下述食管癌X线征象不正确的是()
A.粘膜皱襞破坏
B.充盈缺损
C.与正常管壁移行
D.管壁僵硬不规则
E.溃疡
287、判断题 破骨细胞是一种多核巨细胞,其主要作用是参与骨的破坏。
288、单项选择题 全尿路摄片应包括的范围是()
A.上界包括第9胸椎,下界达耻骨联合
B.上界包括第10胸椎,下界达耻骨联合
C.上界包括第11胸椎,下界达耻骨联合
D.上界包括第12胸椎,下界达耻骨联合
E.上界包括第1腰椎,下界达耻骨联合
289、多项选择题 X线管中X线发生效率()
A.与管电压成正比
B.与管电压成反比
C.与靶物质原子序数成正比
D.与靶物质原子序数成反比
E.与管电流成正比
290、判断题 叶间积液可单独存在,也可与胸腔游离积液并存。
291、单项选择题 骨样骨瘤由以下哪两部分组成()
A.瘤巢和周围骨质硬化区
B.瘤巢和周围骨质破坏区
C.砂粒样物质和周围骨质破坏区
D.砂粒样物质和周围骨质硬化区
E.瘤巢和砂粒样物质
292、单项选择题 显影液量不够时,应补充以下哪种液体()
A.清水
B.特别配制的补充液
C.陈旧的显影液
D.新鲜的显影液原液
E.碱性溶液
293、名词解释 黏多糖贮积症(MPS)
294、单项选择题 大叶性肺炎出现典型X线表现是()
A.实变期
B.消散期
C.充血期
D.实变期与消散期之间
E.以上都不是
295、单项选择题 关于X线强度分布的叙述,正确的是()
A.与靶面倾斜角度无关
B.阴极端X线强度弱
C.照射野内分布均匀
D.X线管短轴方向两侧对称
E.与靶面状况无关
296、名词解释 袖口征
297、多项选择题 肾囊肿的影像表现为()
A.尿路造影可显示肾盏受压伸长,分开和变形,压迹呈弧形,边缘光整
B.肾动脉造影可见肾动脉受压、移位、拉直,实质期可见低密度的囊肿区
C.CT可示肾脏内圆形低密度区,转廓光滑
D.肾盏受压拉长,边缘呈虫蚀样破坏
E.肾静脉栓塞
298、判断题 鼻窦内含有气体,所以鼻窦内粘膜较容易显示。
299、判断题 葫芦胃或哑铃胃系胃溃疡的一种X线征象。
300、单项选择题 采用计算机和远程通讯技术的医疗信息传输系统总称为()
A.远程会诊
B.远程诊断
C.远程教育
D.远程医疗系统
E.远程放射学系统