时间:2025-06-09 07:54:21


1、判断题 在血管造影上胰岛细胞瘤表现为圆形、边缘清楚的肿瘤染色,其密度明显高于周围正常胰腺组织。
2、名词解释 绝经期乳腺
3、单项选择题 下列十二指肠各段命名,错误的是()
A.球部
B.降部
C.斜部
D.升部
E.水平部
4、单项选择题 支气管囊肿最常位于()
A.右下肺
B.左上肺
C.隆突下
D.左下肺
E.气管旁
5、单项选择题 下列有关食管造影描述,错误的是()
A.食管粘膜皱襞呈纵行
B.钡剂通过正常贲门时无分流现象
C.为了解胃底结构,应常规服发泡剂
D.充盈缺损不仅见于食管新生物
E.正位充盈像未见异常就可除外食管癌
6、多项选择题 铅线易发生部位有()
A.尺桡骨远端
B.胫骨两端
C.股骨远端
D.肱骨近端
E.中部肋骨前端
7、问答题 气管支气管内阴性异物常有哪些X线表现?
8、单项选择题 来自细支气管Clara细胞和Ⅱ型肺泡细胞的癌为()
A.腺癌
B.细支气管肺泡癌
C.大细胞癌
D.类癌
E.小细胞癌
9、单项选择题 男,36岁,右下腹痛、低热3月钡餐检查示回肠末端狭窄、管壁较僵硬,粘膜皱襞紊乱,回盲瓣破坏,盲肠袋挛缩,结肠显示不良,根据临床及X线表现,最可能的诊断是()
A.肠结核
B.肠癌
C.肠淋巴瘤
D.结肠息肉恶变
E.肠平滑肌瘤
10、单项选择题 “肾乳头坏死”与下列哪种病变无关()
A.酒精中毒
B.镰状细胞贫血
C.肾小球肾炎
D.地中海贫血
E.肾结核
11、判断题 5岁以后股骨头骨骺的血液供应主要依靠外骺动脉和内骺动脉供血。
12、名词解释 Jones-Thompson方程
13、单项选择题 对于预防“碘过敏反应”的发生,无帮助的措施是()
A.检查前做碘过敏实验
B.选用非离子型造影剂
C.选用高渗造影剂
D.减少造影剂用量
E.高危患者避免使用含碘造影剂
14、单项选择题 测量脊椎滑脱最简单适用的方法是()
A.Meyerding法
B.Garland法
C.Lippman-Cobb法
D.Ferguson法
E.Meschan法
15、单项选择题 观察下列哪种结构,需用人工对比()
A.上颌窦
B.含气肺组织
C.肩关节
D.肾盂
E.骨盆
16、单项选择题 检查输卵管通畅度的首选方法是()
A.输卵管通液
B.输卵管通气
C.子宫输卵管造影
D.宫腔镜
E.B超检查
17、多项选择题 下列对于椎管关节描述正确的有()
A.扫描层面位于椎间孔上部,可以显示脊神经根
B.扫描层面位于椎间孔下部,可以显示脊神经根
C.脊神经根后根大于前根
D.腰髓神经根大于颈髓神经根
E.脊神经根后根小于前根
18、多项选择题 胃良性溃疡的X线表现有()
A.环堤
B.腔外龛影
C.项圈征
D.腔内龛影
E.Hampton线
19、单项选择题 小叶性肺炎发生在小儿,主要表现为()
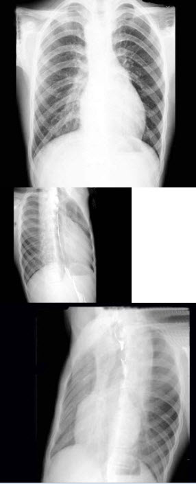
A.脊柱旁及心脏边缘部病变较多
B.不局限于一个肺叶或肺段的密度增高阴影
C.两肺中下部内中带沿肺纹理分布的病变
D.局限性肺气肿
E.出现三角形肺不张
20、单项选择题 颅骨凹陷骨折,在哪个摄片位置最佳()
A.头颅后前正位
B.头颅侧位
C.颅底顶颌位
D.切线位
E.汤氏位
21、判断题 骨梗死最易累及四肢长骨的骨皮质及骨小梁部分。
22、名词解释 革袋胃
23、问答题 支气管扩张X线平片有哪些表现?
24、单项选择题 膝关节侧位摄片,中心线应对准()
A.髌骨下缘与腘窝折线中点
B.髌骨上缘
C.髌骨下缘
D.髌骨后缘
E.髌骨中点
25、单项选择题 观察小儿发育情况,需摄取()
A.腕关节正位
B.腕关节侧位
C.双腕关节斜位
D.双腕关节正位
E.双腕关节侧位
26、单项选择题 下列哪种疾病可致血清酸性磷酸酶升高()
A.畸形性骨炎
B.骨纤维异常增殖症
C.前列腺癌骨转移
D.骨肉瘤
E.以上都不是
27、判断题 胰管、胆总管都受累的所谓“双管征”是诊断胰头癌较可靠的征象。
28、单项选择题 类风湿关节炎主要病理改变常见于()
A.关节软骨
B.关节滑膜
C.关节盘
D.关节韧带
E.关节面
29、判断题 液气胸都由外伤引起,而自发性气胸均无外伤史。
30、单项选择题 上叶大叶性肺炎吸收期主要需鉴别的疾病是()
A.支气管肺炎
B.支原体肺炎
C.化脓性肺炎
D.肺脓肿
E.肺结核
31、单项选择题 骨囊肿的X线表现中,哪项应除外()
A.囊肿一般为单发,很少多发
B.病灶大多为卵圆形,长径与骨长轴一致
C.囊肿向外膨胀性生长
D.膨胀的程度一般不超过干骺端的宽度
E.囊内可见明显骨嵴
32、单项选择题 关于增生型结肠癌的X线表现,错误的是()
A.肠腔内出现不规则的充盈缺损
B.肠腔内有较大的龛影
C.表面粘膜皱襞破坏中断或消失
D.局部肠壁僵硬平直,结肠袋消失
E.轮廓不规则,病变多发生于肠壁的一侧
33、单项选择题 下列造影组合,错误的是()
A.膝关节——空气
B.消化道——钡剂
C.椎管——碘化钠
D.泌尿系——泛影葡胺
E.心血管——复方泛影葡胺
34、填空题 食管憩室按其发生原理不同分为____________、____________和______________;按其发生部位又可分为_____________、______________和________________。
35、单项选择题 有关子宫输卵管造影的叙述,错误的是()
A.对比剂经子宫颈口注入
B.常用碘化油作为对比剂
C.有输卵管阻塞的危险
D.子宫体恶性肿瘤者禁止造影
E.兼有治疗输卵管阻塞作用
36、填空题 肺吸虫病痰中可找到___________、______________和____________。
37、单项选择题 通常所说的肺内粟粒性病灶,直径应()
A.≤2mm
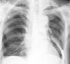
B.≤5mm
C.≤8mm
D.≤10mm
E.≤15mm
38、单项选择题 关于胸部正位摄影与心脏正位摄片的不同点,下列描述哪项是错误的()
A.心脏正位摄片距离是2m
B.心脏正位摄片应在平静呼吸下屏息曝光
C.心脏正位摄片应测量身高、体重
D.曝光的时间应控制在1/10秒以下
E.心脏正位摄片用高电压,大毫安,短时间
39、配伍题 错构瘤可见于()矽肺可见于()肺泡微石症可见于()
A.爆米花样钙化
B.分叶征、脐凹征
C.蝶翼征
D.伪足征
E.肺周边壳状钙化
40、单项选择题
男,8岁,胸闷、气急1月余,查体见颈静脉显露,胸片如图,最可能的诊断是()

A.心包积液
B.心肌炎
C.淋巴瘤
D.房间隔缺损
E.肺静脉异位引流
41、判断题 结核性冷脓肿以腰椎结核最常见。
42、填空题 肺转移瘤需与_________、________、_________、_________、__________和__________等鉴别。
43、单项选择题 下列中央型错构瘤影像特点,错误的是()
A.肺内肿块
B.局限性肺不张
C.局限性阻塞性肺炎
D.支气管腔内半球形肿块
E.支气管壁不增厚
44、单项选择题 化脓性骨髓炎指的是什么组织的化脓性感染()
A.骨皮质和骨膜
B.骨骺和骨髓
C.骨髓、骨和骨膜
D.骨髓
E.以上都是
F.以上都不是
45、填空题 成骨不全的主要临床特征为:__________、_________和_________。
46、单项选择题
胸部正位摄片的叙述,哪个是正确的()
a.后前位与前后位相比,心脏放大率较小
b.RAO即是第2斜位(左前斜位)
c.主动脉弓投影于左上肺野
d.吸气时,膈肌上升
e.胸锁关节在后前位时,与第4后肋相重
A.a,b
B.a,e
C.b,c
D.a,c,e
E.d,e
47、单项选择题
女,71岁,左肩痛,系统性红斑狼疮服用高剂量的类固醇半年,结合图像,最可能的诊断是()
A.化脓性关节炎
B.类风湿关节炎
C.骨纤维肉瘤
D.肱骨头缺血坏死
E.肩关节结核
48、单项选择题 肺转移瘤中两肺呈多发或单发的较大结节及肿块见于()
A.甲状腺癌转移
B.肝癌转移
C.胰腺癌转移
D.绒毛膜上皮癌转移
E.精原细胞瘤转移
49、单项选择题 下列疾病临床特点描述,错误的是()
A.肿块形态随呼吸、体位改变而变化:胃底静脉曲张
B.胃粘膜巨大皱襞:蛋白漏出征
C.胃淋巴瘤:频发呕吐
D.多发疣状隆起:糜烂性胃炎
E.消化道溃疡:卓艾综合征
50、单项选择题 下列属于肾的正常变异有()
A.马蹄肾
B.海绵肾
C.驼峰肾
D.多囊肾
E.油灰肾
51、判断题 Alexander型与Scheibe型畸形均为膜迷路发育畸形。
52、单项选择题 男性,50岁。有动脉粥样硬化病史。突然感到剧烈刀割样胸痛2小时,向背部放射。查体发现主动脉瓣区可闻及舒张期杂音。考虑为主动脉夹层可能。下列哪一项是其常见的胸片表现()
A.主动脉弓部和降主动脉上部影增宽
B.主动脉影狭小
C.主动脉影外形不规则
D.主动脉影位置改变
E.主动脉搏动增强
53、单项选择题 Ⅱ型肺结核是指()
A.原发性肺结核
B.血行播散型肺结核
C.慢性纤维空洞型肺结核
D.结核性胸膜炎
E.浸润型肺结核
54、多项选择题 成软骨细胞瘤应与下述哪些疾病变相鉴别()
A.骨巨细胞瘤
B.内生软骨瘤
C.软骨粘液样纤维瘤
D.多发性骨软骨瘤
E.骨骺、干骺结核
55、判断题 炎症性狭窄范围较广泛且边缘不整齐,而肿瘤性狭窄范围较局限且边缘较整齐。
56、单项选择题 上纵隔肿块在透视下可见扩张性搏动,应考虑为()
A.胸腺瘤
B.甲状腺瘤
C.胸主动脉瘤
D.纵隔淋巴结肿大
E.以上都不是
57、单项选择题
男,7岁,该患儿患有先天性脊柱畸形,根据所示图像,最可能的诊断是()
A.移行椎
B.阻滞椎
C.脊椎侧弯
D.半椎畸形
E.蝴蝶椎畸形
58、单项选择题 下列哪种疾病,无"肺血减少"表现()
A.法洛四联征
B.三尖瓣闭锁
C.房间隔缺损
D.永存动脉干
E.大血管转位
59、单项选择题 下列关于骨岛的说法中,错误的是()
A.分布于密质骨内
B.边缘较清楚
C.长轴与较粗的骨小梁方向一致
D.密度均匀
E.致密性阴影
60、单项选择题 解除因腹部加压引起迷走神经反应的最有效措施是()
A.抗休克措施
B.注射阿托品
C.注射肾上腺素
D.立即解除压迫
E.输液加速对比剂的排泄
61、单项选择题
8岁,男孩,外伤后感左肘关节肿痛,左肘关节正侧位摄片如图,下列哪项描述错误()
A.“八”字征
B.“X”线白线不连续
C.软组织肿胀
D.左肱骨小头骺线增宽
E.以上均正确
62、判断题 脑回压迹增多是儿童颅内压增高的主要X线征象。
63、填空题 胸膜间皮瘤起源于胸膜的_____________与___________,病理上可分为__________、_________和_________。
64、单项选择题 关于胸椎摄影,下列选项中正确的是()
A.上腰椎或下颈椎
B.只需摄待检胸椎局部正侧位片
C.下颈椎
D.上腰椎
E.以上都不对
65、单项选择题 检查左心房最佳的X线摄片方法是()
A.后前位摄片检查
B.左前斜位摄片检查
C.右前斜位摄片检查
D.右前斜位加食管吞钡摄片
E.左前斜位加食管吞钡摄片检查
66、单项选择题 一般不用于检查心脏的体位是()
A.后前位
B.左侧位
C.右侧位
D.右前斜位
E.左前斜位
67、判断题 腹腔病变、肝脏及胃部病变不会引起膈肌的改变。
68、单项选择题 眶壁的内壁构成中,哪项不正确()
A.上颌骨额突
B.泪骨
C.筛骨纸板
D.蝶骨小翼
E.上颌骨眶面
69、单项选择题 纵隔向健侧移位见于()
A.张力性气胸
B.肺不张
C.蜂窝肺
D.一侧肺切除
E.大叶性肺炎
70、单项选择题 结节病最常见的肺部影像表现为()
A.弥漫性网状结节影
B.圆形病变
C.节段性浸润
D.小叶性浸润
E.单纯粟粒状
71、单项选择题 胸骨角平面是胸部的重要平面,其下述标志性意义不正确的是()
A.后方平对第四胸椎下缘
B.平主动脉弓的起端和止端
C.出现支气管分叉
D.是胸导管由右转左向行的平面
E.通过第二胸肋结合,为计数肋骨的标志性层面
72、单项选择题 有关石骨症的描述,下列哪一项不正确()
A.石骨症为成骨异常所致
B.全身骨骼广泛性致密硬化
C.临床症状与骨的病变程度平行
D.维生素D缺乏病为其常见的并发症
E.骨髓外造血器官常继发性增大
73、单项选择题
患者输液过程中突发胸闷、气急、咳痰,胸片如图,最可能的诊断为()

A.矽肺合并感染
B.中央型肺水肿
C.真菌感染
D.间质性肺水肿
E.腺病毒肺炎
74、单项选择题 下述哪种肺炎好发于右心隔角处()
A.支气管肺炎
B.支原体肺炎
C.流感病毒性肺炎
D.腺病毒肺炎
E.麻疹肺炎
75、配伍题
以下病变适合的介入技术
肝外伤休克()肝癌()肝血管瘤()胆道梗阻()门脉高压()
A.TIPSS
B.肝动脉栓塞术
C.PTCD
D.肝动脉造影
E.肝动脉化疗栓塞
76、单项选择题 碘过敏试验方法中,下列哪种方法最可靠()
A.口服试验
B.皮内试验
C.舌下试验
D.眼结膜试验
E.静脉注射试验
77、单项选择题 肺放线菌病的早期X线表现为()
A.肺纹理增强
B.斑片状阴影
C.片状炎性浸润
D.多发结节状阴影
E.不规则致密阴影
78、单项选择题 膝关节髁间凹后前位片,髁间凹呈()
A.正位投影
B.侧位投影
C.斜位投影
D.轴位投影
E.切线位投影
79、单项选择题 法洛四联征患者的心影,多数()
A.明显增大
B.缩小
C.进行性增大
D.雪人征
E.正常或轻度增大
80、判断题 洞壁不规则的虫蚀样空洞多见于肺结核。
81、单项选择题
女,74岁,上腹痛4月,纳差,结合图像,最可能的诊断为()

A.正常表现
B.胃炎
C.胃癌
D.笔杆征
E.十二指肠占位
82、判断题 乳腺的皮肤厚度一般为2~5mm。
83、单项选择题 “骶骨骨折”常为()
A.粉碎性骨折
B.横行骨折
C.斜行骨折
D.纵行骨折
E.压缩性骨折
84、多项选择题 下列说法正确的是()
A.双重造影息肉显示更清晰
B.钡灌肠是诊断结肠息肉的重要方法
C.息肉带蒂可见息肉活动
D.息肉周围常见粘膜纠集中断
E.结肠充钡时,息肉表现为圆形充盈缺损
85、单项选择题
男,7岁,外伤后突发呼吸困难伴胸痛,结合图像,最可能的诊断是()

A.胸腔积液
B.肺大泡
C.气胸
D.液气胸
E.肺脓肿
86、多项选择题 右心室增大常见于()
A.二尖瓣狭窄
B.肺源性心脏病
C.肺动脉狭窄
D.肺动脉高压
E.法洛四联征
87、单项选择题 下述肺肿块鉴别要点,哪项不对()
A.良性肿块的边缘常较光整
B.毛刺征对肿块良恶性鉴别价值不大
C.恶性肿瘤钙化率较低
D.4cm以上肿块则以恶性的可能性较大
E.空泡征多提示为肺癌
88、单项选择题 动脉导管未闭最典型的X线征象是()
A.肺血增多
B.主动脉结增宽凸出
C.左心室增大
D.右心室增大
E.左心房增大
89、判断题 色素沉着绒毛结节性滑膜炎通常为多关节受累,病变关节周围骨质不疏松为其特点。
90、填空题 颞骨骨折按骨折线与岩锥长轴的关系可分为________、___________和____________。
91、单项选择题 所谓二级放射事故,对公众人员而言,是指受到大于几倍年限值的照射()
A.2倍
B.5倍
C.10倍
D.15倍
E.20倍
92、多项选择题 根据作用力的方式和骨折本身的情况,将骨折分为()
A.创伤性骨折
B.疲劳性骨折
C.病理性骨折
D.不稳定性骨折
E.稳定性骨折
93、单项选择题 对于碘过敏反应的说法,下列哪项不对()
A.用同一批号含碘造影剂做碘过敏实验
B.碘过敏试验阴性则不会发生碘过敏反应
C.检查室应备抢救设备和药品
D.造影前用抗过敏药可避免碘过敏发生
E.多见于血管内给予含碘造影剂
94、单项选择题 关于十二指肠球部溃疡,下列说法错误的是()
A.常见球部变形
B.溃疡可多发
C.可形成慢性穿孔
D.胃蠕动可增强
E.部分可恶变
95、单项选择题 腰椎间盘疝可以形成椎间盘游离体,下列关于游离体的描述中,哪项错误()
A.游离体与椎间盘可以在同一层面上
B.游离体可以在椎间盘以上或以下层面
C.游离体密度一般高于硬膜囊
D.游离体密度一般低于硬膜囊
E.游离体一般不增强
96、单项选择题 胆脂瘤型中耳炎的典型影像特点为()
A.多发生于气化型乳突
B.病变位于乳突气房内
C.病灶有硬化缘
D.病变大小多为3~5cm
E.平片示圆形高密度
97、判断题 肺尘埃沉着病早期无肺纹理增强、变粗等改变。
98、单项选择题 下列不属于股骨头缺血坏死常见X线表现的是()
A.股骨头密度均匀增高
B.股骨头限局性疏松、囊变
C.股骨头不均匀硬化
D.髋臼增大
E.关节间隙狭窄
99、单项选择题 下列选项中哪项是结肠息肉最主要的临床表现()
A.便血
B.呕吐
C.腹胀
D.便秘
E.腹泻
100、填空题 系统性红斑狼疮X线检查时见心脏呈普遍性增大,为________和______病变所致。如系肾性高血压所致,心脏增大则以__________为主。
101、名词解释 骨折片陷落征
102、单项选择题 下列组合,哪一组是错误的()
A.内耳孔——颜面神经
B.卵圆孔——三叉神经
C.枕骨大孔——延髓
D.食管裂孔——食管
E.椎间孔——椎骨动脉
103、单项选择题 孕妇需避免X线检查,是因为X线的()
A.穿透作用
B.荧光作用
C.生物作用
D.电离作用
E.光化学作用
104、名词解释 气管支气管软化症
105、单项选择题
女,根据其正常骨盆影像图像,判断其最可能的年龄()
A.28岁左右
B.18岁左右
C.38岁左右
D.78岁左右
E.58岁左右
106、单项选择题 真菌球多见于哪种肺真菌病()
A.肺隐球菌病
B.肺念珠菌病
C.肺奴卡菌病
D.肺放线菌病
E.肺曲菌病
107、单项选择题 出现膈下游离气体的原因是()
A.人工气腹
B.手术后腹腔残留气体
C.产气菌引起的急性腹膜炎
D.胃肠道穿孔
E.以上都是
108、单项选择题 急性化脓性骨髓炎的最大危害是()
A.骨内、外脓肿的形成
B.骨膜下脓肿形成
C.干骺端骨质破坏
D.感染侵入关节
E.死骨形成
109、单项选择题 应用非晶硒和薄膜晶体管阵列技术制成的探测器是()
A.CCD检测器
B.IP成像转换器
C.直接转换平板探测器
D.间接转换平板探测器
E.多丝正比室检测器
110、单项选择题
女,根据其正常膝关节影像图像,判断其最可能的年龄()
A.5岁左右
B.11岁左右
C.17岁左右
D.23岁左右
E.29岁左右
111、填空题 椎弓裂包括___________、________、___________和__________。
112、判断题 腺样体肥大常与慢性扁桃腺炎合并存在。
113、判断题 鼻窦内含有气体,所以鼻窦内粘膜较容易显示。
114、问答题 诊断绞窄性肠梗阻有哪些特殊征象?
115、判断题 小肠憩室是指小肠壁局限性突出呈囊袋状。
116、判断题 肾盂癌可向下种植至输尿管和膀胱。
117、判断题 缺血坏死性结肠炎表现为偏心性狭窄,而结肠癌表现为向心性狭窄。
118、名词解释 咖啡豆征
119、单项选择题
女,根据其正常骨盆影像图像,判断其最可能的年龄()
A.54岁左右
B.14岁左右
C.74岁左右
D.34岁左右
E.64岁左右
120、单项选择题
男,75岁,吞咽困难3月,伴胸痛,结合图像,最可能的诊断为()

A.贲门癌
B.胃底癌
C.食管下段癌
D.贲门癌侵及食管、胃底
E.食管胃底静脉曲张
121、问答题 骨缺血坏死常发生于哪些部位?X线共同的特征是什么?
122、单项选择题 下列关于正常纵隔的描述,错误的是()
A.后前位胸片,纵隔位于胸部中央
B.主要由心脏、大血管和气管构成
C.肺门位于下纵隔
D.心脏位于中、下纵隔
E.四分法,上纵隔位于胸片柄下缘与第四胸椎下缘连线以上
123、多项选择题 全自动准直器可进行的操作方式有()
A.手动
B.自动
C.无线遥控
D.红外遥控
E.以上都是
124、单项选择题
6岁,女,右小腿疼痛,跛行5年,无明显外伤史,右小腿正侧位片如图所示,最可能诊断是()
A.先天性骨不连
B.先天性骨梅毒
C.先天性假关节形成
D.成骨发育不全
E.软骨发育不全
125、单项选择题
患者,12岁,跌倒时手掌撑地。查:肘关节半屈状,肘肿胀压痛,外突畸形,肘后三角存在,桡动脉搏动正常。
最适当的治疗方法是()
A.立即切开筋膜减压
B.切开复位、内固定
C.手法复位,石膏固定
D.手法复位即可
E.手术探查肱动脉,同时行骨折复位、内固定
126、单项选择题 大量气胸X线胸片可见()
A.患侧膈下降
B.肋间隙增宽
C.纵隔向健侧移位
D.肺不同程度的被压缩
E.以上均是
127、单项选择题 乳腺癌患者仅发现腰椎转移,其转移途径是()
A.胸导管
B.体循环
C.肺循环
D.门静脉系统
E.椎旁静脉系统
128、配伍题 进行X线摄片检查是利用什么作用()测试辐射量的闪烁晶体是利用什么作用制成的()
A.穿透作用
B.荧光作用
C.电离作用
D.感光作用
E.着色作用
129、单项选择题 上颌窦摄影,常规位置是()
A.柯氏位
B.瓦氏位
C.斯氏位
D.劳氏位
E.瑞氏位
130、多项选择题 X线质的表示方法主要有()
A.半价层
B.管电压
C.管电流
D.管电流量
E.阳极靶面物质原子序数
131、问答题 软骨肉瘤的X线表现有哪些?
132、名词解释 颈眼听综合征
133、判断题 球形病灶多数为良性肿瘤,块状病灶多数为恶性肿瘤。
134、单项选择题 碘苯酯主要用于哪项造影检查()
A.支气管造影
B.逆行肾盂造影
C.脑血管造影
D.椎管造影
E.关节腔造影
135、单项选择题 “硬化型”食管癌的特征性影像表现是()
A.食管局限性狭窄
B.食管腔内充盈缺损
C.不规则龛影
D.牵引性憩室
E.食管扩张下端呈鸟嘴状
136、单项选择题
有外伤史,结合图像,最可能诊断是()
A.Smith骨折
B.尺骨骨折
C.未见异常
D.Colles骨折
E.腕关节脱位
137、单项选择题 下述肺野划分标准,哪项是错误的()
A.肺门位于中肺野内带
B.由内向外,肺野被分为内带、外带
C.第二肋骨前端下缘水平线以上为上肺野
D.第四肋骨前端下缘水平线以上为中肺野
E.第四肋骨前端下缘水平线以下为下肺野
138、单项选择题 特发性骨质溶解症主要指发生于下述哪个部位的缓慢进行性骨质吸收()
A.跖趾
B.远侧指关关节
C.远侧距间关节
D.腕掌
E.掌指
139、单项选择题 下列关于眼眶肌锥内肿瘤描述中,其早期X线表现是()
A.眶外侧壁受压
B.眶内侧壁受压
C.眶底壁受压
D.眶顶壁受压
E.眶骨吸收破坏
140、单项选择题 X线量正比于()
A.管电压值
B.曝光时间
C.焦-片距
D.物体-胶片距
E.以上都不是
141、单项选择题 下列造影表现,哪项与“结肠癌”无关()
A.肠梗阻
B.苹果核征
C.充盈缺损
D.肠套叠
E.笔尖征
142、单项选择题 下列疾病的肺纹理特点,哪项是错误的()
A.先天性心脏病患者,肺纹理可增粗
B.先天性心脏病患者,肺纹理可变细
C.慢性支气管炎患者,肺纹理普遍稀少
D.肺气肿患者,肺纹理稀少
E.支气管扩张患者,可有局限性肺纹理增多
143、单项选择题 肺包虫囊肿病囊肿破裂较典型的X线征象为()
A.空气支气管征
B.水上浮莲征
C.浸润阴影
D.空气半月征
E.囊状阴影
144、单项选择题 下列心脏病变透视特点的描述,哪项不对()
A.缩窄性心包炎:心脏搏动减弱
B.左心室室壁瘤:心脏局部矛盾运动
C.轻度心肌炎:心脏搏动正常
D.主动脉关闭不全:反向搏动点下移
E.主动脉关闭不全:心脏搏动普遍增强
145、多项选择题 室间隔缺损的血流动力学改变有()
A.左心室增大
B.右心室增大
C.左心房增大
D.右心房增大
E.肺动脉高压
146、填空题 慢性肺脓肿的三大特征是____________、___________和__________。
147、单项选择题 关于寰枢关节叙述正确的是()
A.可使头部做前俯、后仰和侧屈运动
B.两侧关节间隙常不对称
C.可使头部做旋转运动
D.属于联合关节
E.由寰椎两侧的下关节面与枢椎的上关节面构成
148、单项选择题 确诊乳腺肿块性质最可靠的检查方法是()
A.红外线
B.B超
C.钼靶摄片
D.MRI
E.活检病理
149、单项选择题
男,68岁,患“胃炎”20余年,因突然出现全腹剧烈疼痛,病人被动屈曲位,初体温正常,后出现最高体温38.5℃,脉搏110次/分,查体:腹式呼吸减弱,腹肌紧张不明显,全腹压痛、反跳痛,以上腹部为重;X线立位平片示小肠普遍胀气,并见小液气平面,膈下见游离气体。
病人需手术绝对指征是()
A.肠胀气明显
B.膈下见游离气体
C.发热高达38.5℃
D.全腹压痛及反跳痛
E.以上都不是
150、单项选择题 下列哪项不构成X线上关节间隙()
A.滑膜
B.关节腔
C.骨性关节面上的软骨
D.骨性关节面
E.以上都不是
151、问答题 一侧肺门影增大常见于哪些疾病?
152、单项选择题 下列哪种体位不利于观察肺门()
A.正位
B.右侧位
C.右前斜位
D.左前斜位
E.左侧位
153、判断题 动力性和血运性肠梗阻在临床上最为常见。
154、单项选择题 关于纵隔肿瘤,下列知识哪项不对()
A.多数纵隔肿瘤都有其好发部位
B.前纵隔:多为胎生性囊肿和胸腺瘤
C.中纵隔:多为恶性淋巴瘤
D.转移瘤:纵隔影常对称性增宽
E.胸片难以区分胸腺瘤和畸胎瘤
155、多项选择题 退行性骨关节病中四肢大关节的X线表现是()
A.承重区变凹变扁
B.关节面下囊肿
C.非承重区骨质增生
D.关节腔有游离体
E.关节间隙变窄
156、单项选择题
男,68岁,患“胃炎”20余年,因突然出现全腹剧烈疼痛,病人被动屈曲位,初体温正常,后出现最高体温38.5℃,脉搏110次/分,查体:腹式呼吸减弱,腹肌紧张不明显,全腹压痛、反跳痛,以上腹部为重;X线立位平片示小肠普遍胀气,并见小液气平面,膈下见游离气体。
根据上述症状及体征,最可能诊断为()
A.胃出血
B.胃穿孔
C.肠梗阻
D.急性胃肠炎
E.胆绞痛
157、多项选择题 下述哪些属硅酸盐肺()
A.石棉肺
B.滑石肺
C.矽肺
D.农民肺
E.棉尘肺
158、多项选择题
男,21岁,劳累后心悸、气促5年,听诊第2肋间有喷射性杂音,胸部三位片如图所示,正确的描述和诊断是()

A.后前位示心脏左移,主动脉结缩小,肺动脉段突出
B.右前斜位示左心房食管压迹未见明显加深
C.左、右前斜位示右心房段延长
D.考虑房间隔缺损
E.考虑室间隔缺损
159、单项选择题
男,58岁,咳嗽、发热1周余,无痰中带血,无胸痛,X线胸片如图,最可能的诊断是()

A.右上肺不张
B.右上肺结核
C.右上肺炎症
D.右上胸膜肥厚
E.右上肺癌
160、单项选择题 原发综合征的典型表现为()
A.位于上叶的片状阴影
B.由病变区伸向肺门的条状模糊影
C.肺门气管支气管淋巴结肿大
D.原发灶、肺门淋巴结及结核性淋巴管炎组成的哑铃状影
E.两肺散在斑点状密度增高影
161、配伍题 中纵隔最常见的肿瘤是()前纵隔最常见的肿瘤是()后纵隔最常见的肿瘤是()
A.畸胎瘤
B.胸腺瘤
C.淋巴瘤
D.神经源性肿瘤
E.甲状腺瘤
162、配伍题 男婴儿尿道梗阻的重要原因()成人尿道梗阻最常见原因()输尿管梗阻最常见的原因是()
A.结石
B.结核
C.肿瘤
D.狭窄
E.先天性后尿道瓣膜
163、单项选择题
女,39岁。发现左大腿下段后部有一肿块,质较硬,无明显疼痛感觉,结合所提供的图像,最可能的诊断是()
A.软骨肉瘤
B.软骨瘤
C.骨肉瘤
D.骨软骨瘤
E.骨瘤
164、多项选择题 克罗恩(Crohn)病发生的常见部位是()
A.十二指肠
B.胃
C.回肠
D.食管
E.结肠
165、单项选择题 放射工作条件在有效剂量当量有可能超过15mSv/年时,定为()
A.乙种工作条件
B.丙种工作条件
C.戊种工作条件
D.甲种工作条件
E.丁种工作条件
166、问答题 小叶性肺炎的X线表现有哪些?
167、多项选择题 骨折的愈合过程可分为()
A.肉芽组织修复期
B.原发骨痂连接期
C.骨性愈合期
D.塑形期
E.假关节形成期
168、单项选择题 对梅毒性心脏病的定性诊断最有价值的是()
A.升主动脉壁的线状钙化
B.主动脉瘤呈线状或弧形钙化
C.主动脉弓部中度扩张
D.左心室增大
E.动脉瘤外形为局限性囊状或梭状阴影
169、单项选择题 下述空泡征知识,哪项不对()
A.大小为1mm至数毫米
B.病理基础为小空洞
C.常见于肺腺癌或细支气管肺泡癌
D.胸片上为低密度透光区
E.病理基础为残存的正常含气肺泡组织或小支气管
170、判断题 通常左心房压力高于右心房的压力。
171、单项选择题 颅内最常见的病理钙化是()
A.松果体
B.侧脑室脉络膜丛钙化
C.硬脑膜钙化
D.蛛网膜粒钙化
E.脑垂体钙化
172、单项选择题 关于维生素D缺乏性佝偻病的X线诊断,以下哪种征象最重要()
A.临时钙化带模糊消失
B.干骺端呈毛刷状杯口状
C.骨质密度减低
D.骨干弯曲变形
E.骨小梁模糊
173、填空题 支气管囊肿病理上其壁的结构与_________类似,囊壁还可以含________、_______、_______、___________和__________。
174、名词解释 维生素C缺乏症线
175、单项选择题 中耳癌的早期X线表现是()
A.听小骨破坏
B.中耳骨壁破坏
C.面神经管破坏
D.乳突骨质稀疏破坏
E.颅骨广泛骨质破坏
176、多项选择题 急性腹膜炎的X线表现有()
A.小肠、大肠充气和淤张
B.腹脂线增宽、密度增高或消失
C.肠壁增厚与肠管活动受限
D.腹肌松弛
E.腹腔积液
177、单项选择题
男,8岁,易疲劳,活动后心悸、气急,结合图像,最可能的诊断是()

A.房间隔缺损
B.室间隔缺损
C.肺动脉狭窄
D.动脉导管未闭
E.法洛氏四联症
178、单项选择题
男,65岁,呼吸困难伴胸闷1月余,胸片如图,最可能的诊断为()

A.气胸
B.肺结核
C.慢性支气管炎并肺气肿
D.肺部感染
E.支气管扩张
179、名词解释 骨折线
180、单项选择题 男,56岁,右下腹痛、贫血3个月。钡灌肠检查示:盲肠充盈缺损,袋形消失,粘膜皱襞中断。首先应考虑诊断为()
A.淋巴结增生症
B.平滑肌瘤
C.淋巴瘤
D.结肠炎块
E.盲肠癌
181、单项选择题 “黄色肉芽肿性肾盂肾炎”的诊断要点,下述哪项错误()
A.反复尿路感染
B.双侧多见
C.变形杆菌感染所致
D.尿检发现泡沫细胞
E.肾窦脂肪堆积
182、名词解释 病理性骨折
183、单项选择题 儿童骨折常见的特点为()
A.青枝骨折
B.不易发生骨骺分离
C.易见骨折线
D.与成人骨折相同
E.以上都是
184、单项选择题
有关胸部X线解剖的组合,哪一个错误的()
a.左第Ⅰ弓——主动脉弓
b.左第Ⅱ弓——肺动脉
c.左第Ⅳ弓——左心房
d.右第Ⅰ弓——肺静脉
e.右第Ⅱ弓——右心房
A.a,b,c
B.a,b,e
C.a,d,e
D.b,c,d,
E.c,d
185、单项选择题
男,35岁,左侧腹痛半年,阵发性。结合图像,最可能的诊断为()

A.正常肠圈
B.十二指肠炎
C.球部溃疡
D.降段憩室
E.水平段憩室
186、单项选择题 43岁,男,上腹隐痛半年,ERCP示主胰管粗细不均、扭曲、僵硬,胆总管下端向内移位,最可能的诊断是()
A.胰腺癌
B.慢性胰腺炎
C.急性胰腺炎
D.胰腺假性囊肿
E.先天性胆总管囊样扩张症
187、问答题 阐述骨巨细胞瘤的X线表现?
188、名词解释 游走脾
189、填空题 成年女性的乳腺位于_______,内界为_______,外界可达_______。
190、单项选择题 肺门舞蹈征最多见于哪种先天性心脏病()
A.动脉导管未闭
B.室间隔缺损
C.房间隔缺损
D.法洛四联征
E.艾森曼格综合征
191、单项选择题 下述过敏性肺炎的影像特点,错误的是()
A.多发片状边缘模糊影
B.斑点状或结节状模糊影
C.病变位置固定,无游走性改变特点
D.可有少量胸水
E.短期内可自行消失
192、问答题 成人股骨头缺血坏死的X线表现有哪些?
193、单项选择题
男,49岁,心前区阵发性绞痛10天。贫血面容,有胃病史。结合图像,最可能的诊断为()

A.胃癌
B.胃小弯溃疡
C.胃炎
D.胃下垂
E.胃窦癌
194、单项选择题 指出下列摄片技术中,不正确的是()
A.柯氏位可显示筛窦的前后两组影
B.眼眶肿物应选择柯氏位、瑞氏位和眶缘切线位
C.上颌窦肿瘤取瓦特位外,还应摄取颅底减角位(半轴位)
D.瓦特位,两侧密度不一致(非病变所致)的原因,主要是中心线偏斜或滤线栅侧向倾斜造成的切割效应
E.眶下裂摄片采用取头颅后前正位,中心线向头侧倾斜20°
195、单项选择题 下列哪项不能作为食管癌的早期征象()
A.粘膜皱襞增粗、迂曲、中断
B.局限浅在的充盈缺损
C.狭窄段上方食管扩张
D.管壁局限性僵硬
E.小溃疡
196、多项选择题 含气支气管像或细支气管像多见于()
A.鳞状上皮癌
B.鳞腺癌
C.细支气管肺泡癌
D.腺癌
E.大细胞癌
197、单项选择题 长骨结核与化脓性骨髓炎的主要鉴别点是()
A.病变区骨膜反应轻微
B.弥慢性骨质破坏
C.不易侵入关节
D.易向骨干发展
E.以上都是
198、单项选择题 在肝转移病灶中,钙化发生率高的是()
A.肾癌
B.直肠癌
C.胰腺癌
D.平滑肌肉瘤
E.甲状腺癌
199、多项选择题 输尿管的三个生理狭窄包括()
A.肾盂、输尿管连接处
B.膀胱入口处
C.与髂总动脉交叉处
D.平第3腰椎处
E.输尿管与精索交叉处
200、单项选择题 正常后前位胸片上,左心缘见不到()
A.主动脉结
B.肺动脉段
C.右心室
D.左心耳
E.左心室
201、单项选择题
女,51岁,胸痛数月,痰血2天,X线检查如图,最可能的诊断是()

A.左肺癌
B.左肺炎性假瘤
C.左侧纵隔肿瘤
D.左肺转移瘤
E.左肺结核瘤
202、单项选择题
男,阴囊下坠不适,胀痛,平卧症状缓解。查体:阴囊下垂松弛,并可触及结节状静脉曲张。
最可能的诊断是()
A.鞘膜积液
B.血管瘤
C.肿瘤
D.精索静脉曲张
E.感染
203、判断题 上颌窦癌最常见为破坏内侧壁并伴鼻腔外侧壁或鼻腔内软组织肿块。
204、单项选择题 确诊肾盂输尿管重复畸形的主要检查方法是()
A.USG检查
B.排泄性尿路造影
C.CT检查
D.MRI检查
E.逆行性肾盂造影
205、单项选择题 肺结核的并发症中,哪项较少见到()
A.肺结核并肺癌
B.肺结核并发肺气肿
C.肺结核并发支气管结核
D.肺结核并发支气管扩张
E.肺结核并发肺不张
206、单项选择题 下列哪种不属于直接导入造影法()
A.口服胆囊造影
B.钡餐检查
C.PTC
D.子宫输卵管造影
E.椎管造影
207、名词解释 食管胃环
208、单项选择题
出生后无胎粪、哭闹不止,并逐渐出现腹部涨满、呕吐。如图所示,最可能的诊断为()

A.先天性肛门直肠畸形
B.先天性肠闭锁
C.先天性肛瘘
D.先天性肠狭窄
E.先天性巨结肠
209、单项选择题 显示脊索瘤时,CT和X线平片不同点在于()
A.CT可见肿瘤强化
B.巨大软组织肿块
C.骨质破坏
D.肿瘤钙化
E.CT易于显示骶尾部脊索瘤
210、单项选择题 下列组合中,哪项不妥()
A.内听道——多轨道迹体层摄片
B.全泌尿系——全景摄片
C.关节腔——双重造影
D.甲状腺——软组织摄片
E.喉——高电压摄片
211、名词解释 赖特(Reiter)综合征
212、配伍题 肺动脉瓣位于()二尖瓣位于()主动脉瓣位于()
A.平第4前肋或第3前肋间水平
B.相当于第5肋软骨与胸骨右缘连接处
C.在第4肋软骨与胸骨左缘连接处
D.第3前肋水平
E.第4前肋水平
213、单项选择题 8岁,男性,生后即有发绀,哭闹尤甚,逐年加重,喜蹲踞,1年前昏厥一次,查体:发育不良,明显发绀及杵状指,心前区搏动增强,胸左缘3、4肋间3~6级收缩期吹风样杂音。X线胸片见:心影增大,心尖圆钝上翘,心腰凹陷,主动脉增宽,肺野清晰,肺血少,肺门影小,最可能的影像诊断为()
A.房间隔缺损
B.法洛三联症
C.法洛四联征
D.肺动脉狭窄
E.心包炎
214、单项选择题 脂肪肉瘤中哪种类型最常见()
A.黏液型
B.圆细胞型
C.分化良好型
D.多形性型
E.混合型
215、名词解释 砂钟胃
216、单项选择题 原发性良性肺肿瘤,下列描述哪项不对()
A.球形肿块,边缘光整,可有浅分叶
B.空洞少见
C.可有斑点状或结节状钙化
D.肺门、纵隔淋巴结正常
E.常有细短毛刺
217、单项选择题 女,30岁,吞咽困难2年余,时轻时重,近日加重,X线示食管下端呈锥形狭窄,应首先考虑为()
A.食管外压性狭窄
B.食管功能紊乱
C.食管平滑肌瘤
D.贲门失弛缓症
E.食管癌
218、多项选择题 骨折线需与以下哪几项区别()
A.骨骺线
B.营养动脉血管
C.颅缝
D.生长障碍线
E.关节间隙
219、单项选择题
女,23岁,上腹部疼痛半月,消化不良,X线检查如图,可能的诊断为()

A.十二指肠球部溃疡
B.十二指肠憩室
C.胃窦炎
D.十二指肠癌
E.十二指肠淤积症
220、单项选择题 食管平滑肌瘤的特征性X线表现是()
A.粘膜紊乱
B.充盈缺损
C.管腔变形
D.环行征
E.浅分叶
221、单项选择题 下列组合,哪个是不正确的()
A.硫酸钡——阳性对比剂
B.碘普罗胺——有机碘化物
C.空气、氧气——阴性对比剂
D.胆影葡胺——无机碘化物
E.碘苯酯——碘化油
222、单项选择题 急性化脓性骨髓炎形成大块死骨的主要原因是()
A.骨皮质血供中断
B.广泛的骨质增生
C.骨膜血管中断
D.累及关节中断营养血管
E.以上都是
223、多项选择题 左下叶支气管的分支包括()
A.背支
B.内支和外支
C.前内基底支
D.外基底支
E.后基底支
224、单项选择题 女,35岁,右肺上叶后段薄壁空洞,直径3cm,内有较小的液面,空洞周围肺内有渗出病变,右下叶及左肺中下野有多发斑片状渗出影,最可能的诊断是()
A.肺结核病(干酪性肺炎)
B.肺脓肿
C.血源性肺脓肿
D.空洞型肺癌
E.肺霉菌病
225、单项选择题 关于肺吸虫病,下列描述错误的是()
A.圆形或片状模糊影
B.单房或多房囊状透光区,周围有索条状影
C.结节状、片状阴影
D.大小不等硬结影,可钙化
E.无钙化病灶
226、填空题 骨髓瘤的X线表现为_________________、_______________、___________、_____________和_____________。
227、单项选择题
男,14岁。左大腿下段疼痛,伴高热,体温达39℃。查体:左股骨下段深压痛。
该患者最可能的诊断为()
A.左股骨化脓性骨髓炎
B.左股骨结核
C.左股骨骨瘤
D.左股骨骨肉瘤
E.左股骨囊肿
228、单项选择题 男,28岁,有咳嗽、咳痰、咯血、胸痛,在右上肺尖段发现一直径2cm球形阴影,周围有索状阴影,边缘清楚,其内有点状钙化,最可能的诊断是()
A.包虫囊肿
B.错构瘤
C.肺癌
D.炎性假瘤
E.结核球
229、名词解释 间位结肠
230、判断题 梅毒性骨髓炎多发生于短骨。
231、判断题 回肠胀气扩张的特点为粘膜皱襞排列稀疏或皱襞消失,呈光滑的管状。
232、单项选择题 成骨型骨肉瘤的特点()
A.肿瘤骨形成为主
B.早期骨皮质受侵
C.软组织肿胀
D.易引起病理骨折
E.骨皮质破坏为主
233、单项选择题 影响X线照片影像清晰度的因素,不包括()
A.影像放大率
B.胶片对比度
C.摄片管电压
D.摄片时间
E.是否用造影剂
234、单项选择题 下列“软骨黏液样纤维瘤”诊断要点中,哪项是错误的()
A.可恶变
B.青少年多见
C.长骨干骺端多见
D.单发或多发囊状透光区
E.多有砂粒样钙化
235、多项选择题 关于颅骨后前位摄影标准的叙述,错误的是()
A.颅骨正中矢状线投影于照片正中
B.眼眶上颌窦左右对称显示
C.两侧无名线或眼眶外缘至颅外板等距
D.岩骨外缘投影于眶上缘
E.照片包括全部颞骨及下颌骨
236、单项选择题 女,41岁,上腹部不适、胀痛月余,经超声检查诊断为肝血管瘤,血管瘤瘤体较小,应选择哪种治疗()
A.手术治疗
B.介入栓塞治疗
C.穿刺注硬化剂
D.放疗
E.定期复查
237、配伍题 输尿管长约()输精管长约()
A.15~20cm
B.30~45cm
C.25~30cm
D.2~8cm
E.10~12cm
238、单项选择题 下列对放射线最敏感的恶性骨肿瘤是()
A.尤文肉瘤
B.软骨肉瘤
C.成骨肉瘤
D.纤维肉瘤
E.骨巨细胞瘤
239、多项选择题 以下属于软骨内化骨者的是()
A.锁骨两端
B.脊柱
C.躯干
D.面骨
E.四肢骨
240、问答题 上颌窦恶性肿瘤的X线表现有哪些?
241、单项选择题 维生素D缺乏症的早期最早出现X线表现是()
A.胫骨远侧干骺端
B.桡骨近侧干骺端
C.肋骨胸骨端
D.尺骨远侧干骺端
E.以上都不是
242、填空题 原发性腹腔肿瘤包括_____________、____________、________、_______________及___________等。
243、单项选择题 室间隔缺损的X线平片表现为()
A.肺血增多,右心房、室增大,主动脉结小
B.肺血增多,左、右心室增大,主动脉结正常
C.肺血减少,右心房、室增大,主动脉结小
D.肺淤血,左心房、右心室增大,主动脉结小
E.肺淤血,右心房、左心室增大,主动脉结正常
244、配伍题 可观察到肠系膜上动脉压迹的是()可观察到胰头病变的是()
A.十二指肠肠圈
B.十二指肠降部
C.十二指肠水平部
D.十二指肠升部
E.十二指肠球部
245、单项选择题 二尖瓣狭窄的X线征象应是()
A.肺动脉段膨隆,肺充血,左心室增大
B.肺动脉段膨隆,肺淤血,左心室增大
C.肺动脉段凹陷,肺野清晰,右心室增大
D.肺动脉段平直,肺血管正常,心搏动减弱
E.肺动脉段膨隆,肺淤血,左心房增大,右心室增大
246、单项选择题 短管状骨骨结核的典型X线表现为()
A.骨皮质破坏
B.骨皮质增生
C.破坏周围硬化
D.骨膜增生
E.骨气鼓
247、单项选择题 关于对比剂引入方法,哪个是不正确的()
A.消化道、尿路逆行对比所用对比剂为直接引入法
B.静脉胆道对比剂,经静脉注入直接到达胆系显影
C.静脉肾盂造影用对比剂,通过生理排泄法显影
D.经皮穿刺肝胆系对比,对比剂为直接引入法
E.心血管对比用对比剂是通过血管直接引入
248、多项选择题 汤氏位摄片,中心线向足倾斜25°~30°角,可观察()
A.枕骨
B.迷路
C.内听道
D.顶骨后部
E.枕骨大孔
249、多项选择题 滤线栅使用不当,会造成射线切割的是()
A.栅斜置
B.栅反置
C.中心线纵向偏距
D.中心线纵向倾角
E.焦-片距与栅-焦距一致
250、单项选择题 在柯氏位上,正常上颌窦的形态为()
A.正方形
B.倒三角形
C.梯形
D.正三角形
E.长方形
251、单项选择题 下列“管状骨结核”影像特点中,哪项不正确()
A.成人,骨干常膨胀、增粗
B.圆形、卵圆形、不规则形破坏区
C.多数病灶边缘锐利,有硬化缘
D.儿童短管状骨者,常双侧多发
E.儿童,骨膜反应明显
252、单项选择题 CR中可记录与读出X线影像信息的载体是()
A.胶片
B.磁盘
C.成像板
D.荧光屏
E.平板探测器
253、单项选择题 左心房增大的X线表现,下列哪项应除外()
A.左心缘出现4个弓,第3弓特别突出
B.降主动脉左移
C.双心房或双心缘阴影
D.心尖明显下移
E.左主支气管受压抬高
254、单项选择题 骨内膨胀性破坏无周围硬化缘,是下述哪一疾病的X线征象之一()
A.软骨黏液样纤维瘤
B.动脉瘤样骨囊肿
C.囊性骨纤维异样增殖症
D.骨巨细胞瘤
E.骨囊肿
255、单项选择题 下列哪项不是“火器伤骨折”的特点()
A.感染少见
B.常有异物存留
C.愈合慢,常有畸形愈合或骨不连
D.常为多发性骨折
E.多为粉碎性骨折
256、单项选择题 最常见的侵袭性胸腺瘤转移扩散途径为()
A.血行转移
B.沿胸膜腔种植性转移
C.淋巴转移
D.经支气管扩散
E.直接侵犯肺和横膈
257、填空题 1998年8月中华结核病学会制定的结核病分类法将结核病分为________________、________________、______________、________________和_______________。
258、单项选择题 下述均为引起全身性骨质疏松的原因,但应除外()
A.先天性疾病
B.内分泌紊乱
C.酒精中毒
D.营养性疾病
E.肢体废用
259、单项选择题 在平片上,哪种病理变化可使骨的密度增高()
A.骨质软化
B.骨膜增生
C.骨质疏松
D.骨质破坏
E.骨膨胀性改变
260、多项选择题 关节根据其活动程度可分为()
A.活动关节
B.少动关节
C.不动关节
D.骨缝
E.椎间隙
261、填空题 来自神经内分泌细胞的肺癌有_______、_____________和____________。
262、单项选择题
男,74岁,咳嗽,咳痰1月余,咯血丝痰1周伴胸痛,胸片如图,最可能的诊断为()

A.右上肺浸润型肺结核
B.右上肺不张
C.右侧中央型肺癌并右上肺不张
D.右侧包裹性积液
E.右肺上沟瘤
263、名词解释 激惹征
264、单项选择题 关于钼靶X线机的结构的叙述,错误的是()
A.按乳房生理特征设计
B.阳极为散热性好的铜体上嵌以钼
C.阳极倾角为19°
D.阴极接地
E.线焦点
265、单项选择题 通常所说的肺内肿块性病灶,直径应()
A.≥2cm
B.≥4cm
C.≥6cm
D.≥7cm
E.≥8cm
266、单项选择题 关于肺包虫病,下列描述哪项不对()
A.下叶多见
B.钙化多见
C.常为单发病变,密度均匀
D.水上浮莲征
E.新月形气征
267、判断题 较大的蛛网膜颗粒压迹不需要与颅骨破坏相鉴别。
268、多项选择题 结肠钡灌肠有下列哪些检查方法()
A.无管法
B.传统常规法
C.插管法
D.双重造影法
E.以上都不是
269、多项选择题 十二指肠球后溃疡的特点是()
A.常为多发
B.好发于降部上1/3的外缘
C.龛影表面呈乳头样或方形
D.在龛影的对侧伴有痉挛切迹
E.有粘膜皱襞集中的征象
270、单项选择题 坐位或俯卧位,下颏前伸,头颅水平面与胶片呈45°,矢状面垂直胶片,中心线通过鼻前棘垂直胶片,是哪个摄片位置()
A.Water's氏位
B.Mayer's氏位
C.Schuller's氏位
D.汤氏位
E.Rhese's位
271、判断题 继发骨化中心开始于骺的中央并逐渐扩大与干骺端相接。
272、单项选择题 正常胰腺钩突位于()
A.肠系膜上动脉前方
B.脾静脉后方
C.下腔静脉后方
D.十二指肠内侧
E.肠系膜上静脉后方
273、单项选择题
男,73岁,咳嗽、发热数天,X线检查如图,最可能的诊断是()

A.左侧叶间积液
B.左侧肺炎
C.左侧胸膜钙化
D.左侧胸膜肥厚
E.胸膜间皮瘤
274、单项选择题 静脉肾盂造影检查的禁忌证是()
A.肾盂积水
B.肾结石
C.尿路狭窄
D.肾部肿瘤
E.肾功能严重损伤
275、单项选择题 正确选择乳突梅氏位的摄影角度,应是()
A.双25°
B.双35°
C.双45°
D.双55°
E.双65°
276、判断题 右心衰竭时肺内可无充血征象。
277、单项选择题 关于结肠正常影像,下列描述哪项错误()
A.结肠粘膜有纵、横、斜3种方向
B.升结肠的结肠袋比降结肠明显
C.左半结肠粘膜皱襞以纵向为主
D.左半结肠比右半结肠粗
E.低张双对比造影可显示无名沟
278、多项选择题 下列描述,正确的是()
A.X线的质控制着照片对比度
B.X线管的总滤过也影响着照片对比度
C.射线对比度也影响照片对比度
D.X线量是照片对比度形成的决定因素
E.管电压波形与照片对比度无关
279、单项选择题 儿童长骨分为四部分,下列哪项不在其内()
A.骨骺
B.骨骺板
C.骨端
D.骨干
E.干骺端
280、多项选择题 不属于生理排泄的造影检查是()
A.消化道钡餐造影
B.静脉肾盂造影
C.口服胆囊造影
D.子宫输卵管造影
E.四肢静脉造影
281、单项选择题 下列与气管、支气管异物相关影像,哪项不对()
A.膈肌矛盾运动
B.肺门影增大
C.肺不张
D.肺气肿
E.纵隔摆动
282、判断题 对于肾实质内肿瘤的显示和定性及对泌尿系统恶性肿瘤的分期,常规X线检查常有重要价值。
283、单项选择题 主动脉型心脏见于()
A.主动脉瓣病变
B.高血压
C.主动脉缩窄
D.引起左心室增大的疾病
E.以上都是
284、多项选择题 单侧肺透亮度增加,可见于()
A.肺含铁血黄素沉着病
B.Macleod病
C.镰刀综合征
D.乳癌根治术后
E.脊柱侧弯
285、单项选择题 间质性肺水肿最明显的X线征象是()
A.两上肺静脉分支增粗
B.胸膜下水肿
C.袖口征
D.间隔线阴影
E.肺门血管阴影模糊
286、单项选择题 骨样骨瘤典型X线征象是()
A.瘤巢及伴有周围硬化
B.好发于胫股骨
C.发生于松质骨很少,出现钙化
D.骨膜下者为紧贴骨质的软组织肿块
E.好发于尺桡骨
287、多项选择题 下列有关乳房囊性增生病的说法哪些是正确的()
A.乳腺囊性增生病是妇女多发病,其又称乳腺病
B.乳腺囊性增生病其发病与雌激素的水平失衡有关
C.乳腺囊性增生病以手术治疗为主
D.乳腺囊性增生病的肿块常是一侧单个结节,质软呈囊性变
E.囊性增生病乳房胀痛呈周期性,有经前加重,经后减轻或消失
288、单项选择题 慢性化脓性骨髓炎的X线表现中,哪项不对()
A.广泛软组织肿胀
B.骨柩形成
C.虫蚀状、小片状骨质破坏
D.长条状死骨
E.骨质增生、硬化
289、单项选择题 下述“腺性膀胱炎”特点,不正确的是()
A.女性多见
B.尿常规、活检提示有细菌感染
C.影像表现有时与膀胱癌鉴别困难
D.部分病例可恶变
E.可能与炎症慢性刺激有关
290、单项选择题 男性乳头的位置,相当于下列哪项()
A.第10胸椎水平
B.第6胸椎水平
C.第8胸椎水平
D.第4胸椎水平
E.第2胸椎水平
291、多项选择题 恶性肿瘤向肺内转移,最易出现的X线表现有()
A.支气管炎样斑状影
B.弥漫性线状及小颗粒状阴影
C.弥漫性蜂窝状阴影
D.多发肿块影
E.单发大肿块影
292、单项选择题 风湿性心脏病左房室瓣关闭不全的主要表现是()
A.左心房、右心室增大
B.右心室肥大
C.左心室增大
D.左心房、左心室增大
E.右心房增大
293、单项选择题 下列支气管肺癌的描述,错误的是()
A.肺癌起源于支气管粘膜上皮
B.中央型肺癌以鳞癌多见
C.周围型肺癌起源于段以下支气管
D.周围型肺癌可有钙化
E.周围型和中央型肺癌都易出现肺气肿、肺不张
294、单项选择题 下列哪种心脏病见不到“肺门舞蹈”征()
A.肺源性心脏病
B.房间隔缺损
C.动脉导管未闭
D.室间隔缺损
E.克山病
295、填空题 脊柱有5个移行带,即__________、_________、________、________和________。
296、单项选择题 大量胸腔积液上缘达第几肋前端平面以上()
A.第4肋
B.第2肋
C.第6肋
D.第7肋
E.第3肋
297、填空题 肺栓塞的主要X线征象为________、_____________、____________和_________。
298、多项选择题 关于囊形包虫病的描述哪些正确()
A.囊壁分三层
B.子囊由内囊生发层长出
C.子囊头节源自母囊生发层
D.外囊为纤维组织,壁厚,可钙化
E.应避免穿刺活检
299、问答题 痛风的X线表现有哪些?
300、单项选择题
男,17岁,来右前臂疼痛,肿胀近2年,2周前疼痛加剧,查体右前臂压痛明显,皮肤稍显红肿,结合图像,最可能诊断是()
A.骨囊肿
B.骨巨细胞瘤
C.动脉瘤样骨囊肿
D.软骨瘤
E.骨血管球瘤