时间:2025-05-24 07:55:51


1、单项选择题
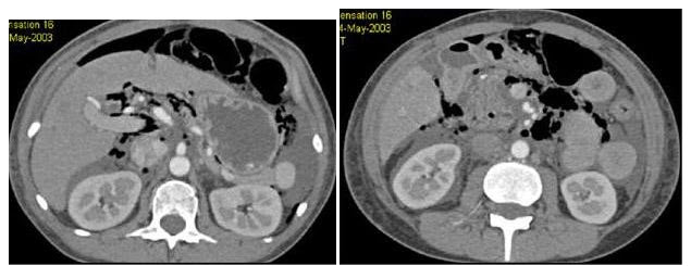
男,54岁,有乙肝病史,现腹胀,右上腹痛,消化不良,消瘦、乏力、贫血、黄疸,血清转氨酶升高,白蛋白/球蛋白比值倒置,CT、MRI检查如图,最可能的诊断是()
A.肝脓肿
B.局灶性结节增生
C.原发性肝癌
D.肝转移癌
E.肝炎性假瘤
2、单项选择题 以下哪项CT表现最支持视神经胶质瘤的CT诊断()
A.视神经梭形增强
B.受累视神经“双轨征”
C.肿瘤增强明显
D.视交叉受累
E.视神经孔增大
3、单项选择题 以下哪征象有助于鉴别髓母细胞瘤和室管膜瘤()
A.密度稍高
B.均一增强
C.脑积水程度
D.沿脑脊液播散种植转移
E.第四脑室形态
4、多项选择题 下列关于“五腔心”层面描述,正确的是()
A.“五腔心”层面即为左心室流出道层面
B.此层面可见主动脉窦
C.可见左、右心房
D.可见左、右心室
E.可见下腔静脉
5、单项选择题
男,27岁,根据所示图像,最可能的诊断是()
A.右侧肾盂血块
B.右侧肾盂结石
C.右侧肾盂癌
D.右肾结核
E.右肾钙化
6、单项选择题 肿块合并肺不张时,胸部增强扫描的目的是为了()
A.更清楚显示肺不张边缘
B.了解支气管浸润程度
C.观察纵隔淋巴结肿大
D.显示肿块大小和边界
E.明确肿块血供来源
7、单项选择题
男,52岁,无明显不适,CT检查,最可能的诊断为()

A.脑血管畸形
B.结节性硬化
C.甲状旁腺功能低下
D.脑颜面血管瘤病
E.转移瘤
8、单项选择题
男,55岁,腰背痛,反复感染,尿蛋白(+),本周蛋白(+),血钙升高,结合图像,最可能的诊断是()
A.恶性淋巴瘤
B.转移瘤
C.骨髓瘤
D.尤文肉瘤
E.恶性纤维组织细胞瘤
9、多项选择题 肝岛CT表现()
A.胆囊床附近最常见
B.脂肪肝基础上呈相对高密度
C.边界清楚,形态各异
D.无占位效应
E.增强后无早期异常强化
10、单项选择题 关于冲洗机动态管理的叙述,错误的是()
A.动态管理需要密度计和曝光仪
B.管理用片要选择使用量最大的片种
C.管理光楔片制作以采用简易铝梯曝光作相对比较
D.冲洗机启动十分钟后,冲洗管理光楔片
E.找出密度1.2和2.2左右的两点测量光楔片密度
11、单项选择题
根据所提供的图像,最可能的诊断是()
A.穿孔后气腹
B.正常结构
C.肝炎
D.胰腺炎
E.以上都不是
12、单项选择题 同层动态扫描主要是研究病灶的增强特征,常用于下列哪类病的鉴别()
A.肝炎和肝硬化
B.脂肪肝和血管瘤
C.肝炎和肝癌
D.脂肪肝和肝硬化
E.肝癌和血管瘤
13、单项选择题 以下属于气肿性肾盂肾炎CT表现的是()
A.肾外形增大
B.肾功能明显减退或丧失
C.肾实质多处破坏
D.肾内及肾周弥漫性气体与低密度软组织影并存,肾筋膜增厚
E.以上均对
14、单项选择题 下面对腹部CT扫描技术的描述错误的是()
A.患者仰卧,也可根据观察部位的需要采用侧卧位或俯卧位
B.摄取一个正位定位像
C.肝脏和脾脏以AM顶为扫描基线
D.胆囊和胰腺以肾门为扫描基线
E.腹膜后腔以肝门为扫描基线
15、单项选择题 关于膀胱癌的CT表现,错误的是()
A.突入膀胱腔内的结节肿物
B.肿瘤可以是单发,也可是多发
C.肿瘤可以是带蒂生长
D.肿瘤累及粘膜下层和肌层表现为膀胱壁增厚
E.可区分肿瘤限于粘膜内或侵入粘膜下层
16、单项选择题 显示器所表现亮度信号的等级差别叫做()
A.窗宽
B.窗位
C.窗技术
D.CT值标度
E.灰阶
17、单项选择题 喉部常规扫描,正确的屏气状态是()
A.吸气后屏气扫描
B.呼气后屏气扫描
C.平静呼吸状态扫描
D.发"依"声情况下扫描
E.鼓气状态下扫描
18、单项选择题 扩张型心肌病的CT表现为()
A.左心室呈气球样扩张
B.不伴心肌肥厚
C.心室收缩功能正常
D.可见附壁血栓呈高密度影
E.以上都不对
19、多项选择题 下列哪些是典型肝脓肿的CT表现()
A.平扫示低密度占位,中心区CT值略高于水
B.多为圆或椭圆形,部分腔内有分隔
C.脓肿内可见小气泡
D.脓肿周围出现不同密度环形带
E.增强扫描脓肿壁有较明显的强化,但强化持续时间很短
20、多项选择题
男,53岁,无痛性血尿2个月余,CT扫描如图示,下列说法正确的是()
A.右侧输尿管下段可见沿输尿管走行的软组织肿块影
B.软组织肿块边缘毛糙不平
C.其上方的输尿管扩张
D.考虑为输尿管移行细胞癌
E.考虑为输尿管内血块
21、单项选择题 关于扩张型心肌病病理表现,下列哪项描述正确()
A.典型病理表现为向心性肥大
B.典型病理表现为离心性肥大
C.两侧心室及心尖肥厚
D.心脏重量无明显增加
E.心肌细胞变细伸长及心肌间质纤维化
22、单项选择题 男,50岁,因乙肝后肝硬化行原位肝移植术后1个月,抗病毒、保肝及抗排斥治疗。肝功能恢复正常后出院。出院后1周突发黄疸、发热再次住院,检查发现T管引流液内可见絮状物 首先应考虑的诊断为()
A.超急性排斥反应
B.急性排斥反应
C.慢性排斥反应
D.乙肝复发
E.移植肝功能恢复不良
23、单项选择题 CT增强扫描,脏器组织被增强的原因是()
A.对比剂在血管内与血红蛋白结合进入细胞内
B.对比剂进入血管和细胞外腔间隙
C.对比剂在血管内与红细胞结合进入细胞内
D.对比剂进入血管,因渗透压高进入细胞
E.对比剂随血液进入脏器的空腔内
24、单项选择题
男,11岁,持续性右足部疼痛,无发热。根据右足正、斜位X线片及CT平扫片,最可能的诊断为()
A.骨样骨瘤
B.疲劳性骨折
C.尤文肉瘤
D.骨软骨瘤
E.硬化性骨髓炎
25、单项选择题
男,32岁,右髂骨区疼痛、肿胀,结合图像,最可能的诊断是()
A.骨囊肿
B.骨巨细胞瘤
C.动脉瘤样骨囊肿
D.成软骨细胞瘤
E.骨肉瘤
26、单项选择题 “结节病”,脑CT表现下述哪项不对()
A.增强,脑膜、基底池可强化
B.交通性脑积水
C.平扫,结节密度比脑组织低
D.脑外肉芽肿结节,多位于脑底部
E.脑内肉芽肿结节,常有明显水肿
27、单项选择题
男,18岁,患者皮肤挫伤,用林可霉素预防感染,次日大便次数增多、出现黏液便,结合图像,最可能的诊断是()
A.结肠淋巴瘤
B.假膜性肠炎
C.结肠间质瘤
D.结肠结核
E.结肠癌
28、单项选择题 CT成像设备发展方向是()
A.平板探测器CT
B.全身螺旋CT
C.多层螺旋CT
D.双层螺旋CT
E.大孔径CT
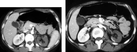
29、单项选择题
男,39岁,进行性消瘦、肝区不适、皮肤巩膜黄染2月,乙肝全套:HbsAg(+),Anti-Hbe(+),Anti-HbcIgG(+),肝功能及AFP均正常,CT检查如图,最可能的诊断是()
A.肝脓肿
B.肝血管内皮瘤
C.肝血管瘤
D.胆管细胞癌
E.肝淋巴管瘤
30、单项选择题
根据所提供的图像,该病灶最好的分期为()
A.Bosniak1
B.Bosniak2
C.Bosniak3
D.Bosniak4
E.以上都不是
31、单项选择题 室壁瘤的CT征象有()
A.局部心室壁增厚,并见反向运动
B.局部心室壁变薄,并见反向运动
C.室壁向内凹陷,无反向运动
D.室壁向外膨隆,无反向运动
E.室壁变薄,无反向运动
32、单项选择题
男,55岁,趾骨疼痛,皮肤红肿,可触及结节,实验室检查高血尿酸,结合图像,最可能的诊断是()
A.类风湿关节炎
B.退行性骨关节病
C.痛风
D.骨肉瘤
E.骨转移瘤
33、单项选择题 肥厚型心肌病的病理学表现为()
A.心肌肥厚以右心室流出道为著
B.心肌肥厚以左心室流出道为著
C.常累及肌部室间隔引起对称性肥厚
D.不伴有乳头肌肥厚及移位
E.心腔可扩大
34、单项选择题 60岁男性,颜面肿痛、鼻衄5个月。CT显示右上颌窦壁破坏,内有不规则软组织密度肿块,侵犯眼眶、鼻腔,最可能的诊断是()
A.鼻息肉
B.上颌窦癌
C.黏液囊肿
D.乳头状瘤
E.纤维血管瘤
35、单项选择题 Modic将椎间盘脱出分为四型,不包含下列哪项()
A.挤出(extrudeD.
B.突出(protrusion)
C.椎体滑脱
D.髓核游离
E.膨出
36、单项选择题
男,60岁,曾患乙肝、肝硬化多年,右上腹胀痛1月余,AFP为80.8μg/L,CT检查如图所示,最可能的诊断是()
A.肝硬化结节增生、右肾上腺瘤
B.肝、右肾上腺均为转移癌
C.肝癌右肾上腺转移
D.肝腺瘤、右肾上腺腺瘤
E.肾上腺癌肝转移
37、单项选择题 下列CT表现中,不支持颅内表皮样囊肿诊断的是()
A.病变位于桥-小脑角,相邻岩骨有侵蚀吸收
B.病变外形不规则,沿脑池“塑形”生长
C.病变呈明显环形强化,内部可见分隔
D.相邻脑白质水肿改变不明显
E.CT平扫,病变内呈水样不均密度
38、单项选择题
女,18岁,呼吸困难,消瘦,糖原PAS染色阳性,结合图像,最可能的诊断是()
A.系统性红斑狼疮
B.肺泡癌
C.含铁血黄素沉着症
D.肺泡性肺水肿
E.肺泡蛋白沉积症
39、多项选择题 冠状面CT检查颞骨,主要包括的层面()
A.面神经乳突段层面
B.外半规管层面
C.前庭窗层面
D.骨岬层面
E.后半规管层面
40、单项选择题 下列CT影像实际分辨率最高的是()
A.显示野25cm,重建矩阵512×512,显示矩阵1024×1024
B.显示野25cm,重建矩阵320×320,显示矩阵1024×1024
C.显示野12.5cm,重建矩阵512×512,显示矩阵512×512
D.显示野12.5cm,重建矩阵320×320,显示矩阵512×512
E.显示野12.5cm,重建矩阵320×320,显示矩阵1024×1024
41、单项选择题 肾上腺腺瘤与肾上腺囊肿的鉴别要点是()
A.均匀水样密度肿块
B.圆形、类圆形肿块
C.肿块大小不同
D.肿块强化与否
E.以上都不是
42、单项选择题 属于CT数字采集系统的部件是()
A.计算机
B.显示器
C.探测器
D.磁盘机
E.阵列处理机
43、单项选择题
1986年Bosniak根据CT征象提出肾囊性病变四级分类法,下列图像中的肾囊肿属于哪一类()
A.BosniakⅠ类
B.BosniakⅡ类
C.BosniakⅢ类
D.BosniakⅣ类
E.以上都错误
44、单项选择题 颞骨横断面CT扫描,显示较清楚的为()
A.卵圆窗
B.鼓室的前、后、内、外壁
C.上鼓室
D.内耳道横嵴
E.鼓膜嵴
45、单项选择题 与颅咽管瘤特点不符的是()
A.为常见的鞍上肿瘤
B.好发于儿童
C.好发于40~60岁患者
D.密度常较均匀
E.肿瘤边界清楚
46、单项选择题 不属于髓母细胞瘤病理特点的是()
A.易出现坏死
B.可沿脑脊液播散
C.多发于小脑蚓部
D.恶性程度高
E.属于胚胎性肿瘤
47、单项选择题 成人最常见的肾肿瘤是()
A.血管平滑肌脂肪瘤
B.肾盂癌
C.肾腺瘤
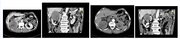
D.肾母细胞瘤
E.肾细胞癌
48、单项选择题 肾血管平滑肌脂肪瘤与肾癌的鉴别诊断要点应该根据()
A.瘤内有无脂肪
B.肿瘤大小
C.肿瘤密度均匀
D.肿瘤境界
E.肿瘤有无强化
49、单项选择题 眶内海绵状血管瘤,最有特征的CT表现为()
A.肿瘤位于肌锥内
B.肿瘤增强扫描早期呈不均匀强化
C.肿瘤增强明显
D.肿瘤内致密结节影
E.肿瘤与眼球相邻
50、单项选择题
患者有淋巴瘤病史,结合图像,最可能的诊断是()
A.肝癌
B.肝纤维化
C.肝淋巴瘤
D.肝硬化
E.以上都不是
51、单项选择题 鞍区肿瘤不包括()
A.第三脑室周围肿瘤
B.鞍内肿瘤
C.鞍旁肿瘤
D.松果体肿瘤
E.鞍上肿瘤
52、单项选择题 CT与平片相比,在“骨关节病变”的诊断上,优点在于()
A.检查费用低廉
B.显示平片不能显示的微小病变
C.观察长管状骨全貌
D.观察人工植入物结构、位置
E.显示轻微骨膜反应
53、单项选择题
根据所提供的图像,箭头所指的结构是()
A.生殖腺静脉
B.副肾动脉
C.肾上腺静脉
D.肾上腺动脉
E.以上都不是
54、单项选择题 颅面血管瘤病和结节性硬化共有的征象为()
A.脑水肿
B.脑实质钙化
C.中线移位
D.脑室扩大
E.颅板增厚
55、单项选择题
女,52岁,左侧背痛1月,胸部CT如图,最可能的诊断为()
A.左肺中央型肺癌
B.左肺周围型肺癌
C.左肺感染
D.左肺炎性假瘤
E.肺隔离征
56、单项选择题
女,15岁,右大腿下段不适,结合所提供的图像,最可能的诊断是()
A.纤维性骨皮质缺损
B.非骨化性骨纤维瘤
C.骨囊肿
D.良性骨肿瘤
E.骨结核
57、单项选择题 关于肾囊肿的CT表现,错误的是()
A.圆形或椭圆形,边缘光滑
B.注射对比剂轻度强化
C.囊肿和肾实质分界锐利清楚
D.囊内密度均匀接近水
E.囊肿壁很薄不能测出
58、单项选择题 以下肾肿瘤中,哪种最常发生肺转移()
A.乳头状瘤
B.移行上皮癌
C.鳞状细胞癌
D.肾母细胞瘤
E.错构瘤
59、单项选择题 冠状面CT图像上,中耳胆脂瘤的最早表现是()
A.上鼓室扩大
B.听小骨破坏
C.鼓窦入口扩大
D.鼓膜嵴变钝
E.上鼓室扩大和听小骨吸收
60、单项选择题 女,10岁,头痛,抽搐,右颞部膨隆,CT示右中颅凹有一3cm×4cm脑脊液样密度影,边界清楚,蝶骨大翼变薄,颞骨薄,向外膨隆,应诊断为()
A.神经纤维瘤病
B.表皮样囊肿
C.脑脓肿
D.蛛网膜囊肿
E.脑发育不全
61、单项选择题 急性硬膜外血肿典型的CT表现不包括()
A.梭形
B.高密度
C.内缘光滑,锐利
D.内缘模糊不清
E.皮层挤压内移
62、多项选择题 椎管狭窄时,CT可出现()
A.椎体边缘骨质增生
B.椎间盘膨出或突出
C.脊椎滑脱
D.椎间关节增生
E.后纵韧带及黄韧带肥厚、钙化
63、单项选择题
30岁,男性,影像检查如图所示,最可能的诊断是()
A.骨髓炎
B.血肿
C.脊索瘤
D.转移瘤
E.结核
64、单项选择题 显示颅脑CT图像的窗宽、窗位选择正确的是()
A.颅脑CT图像常用脑窗摄影
B.窗宽100~150HU,窗位35HU左右
C.窗宽80~100HU,窗位35HU左右
D.窗宽90~120HU,窗位40HU左右
E.窗宽100~120HU,窗位45HU左右
65、单项选择题 关于原发性硬化性胆管炎,下列观点错误的是()
A.肝内外胆管无明显扩张
B.反复发作性黄疸、发热
C.胆管造影示“枯枝征”
D.只影响肝外胆管
E.常见于溃疡性结肠炎、克罗恩病患者
66、单项选择题 中年男性,腰痛、尿频、尿急,CT示右肾上极5cm大小略低密度占位,边缘模糊,环形强化,邻近肾周有积液,应首先考虑()
A.右肾上极腺癌
B.右肾上极肾母细胞瘤
C.右肾上极错构瘤
D.右肾上极脓肿
E.右肾上极肾结核
67、单项选择题
男,62岁,左腹股沟可触及肿块,结合所示图像,正确答案是()
A.斜疝
B.精索脂肪肉瘤
C.淋巴瘤
D.黑色素瘤
E.以上都不是
68、单项选择题 头颅CT平扫脑组织,窗位通常定在()
A.-20~0HU
B.0~20HU
C.30~40HU
D.40~50HU
E.50~60HU
69、单项选择题
对右肺的描述如图,正确的是()
A.右肺分2叶
B.右肺有肺小舌
C.右肺宽且短
D.可分为8个支气管肺段
E.居右侧胸膜腔内
70、单项选择题 脊膜瘤的有关病理特点中,下列哪项错误()
A.大多数呈圆形或卵圆形
B.通常发生在靠近神经根穿过的突起处
C.绝大多数肿瘤生长于脊髓内
D.大小不等,一般为2~3.5cm
E.少数脊膜瘤可发生恶变
71、单项选择题 小儿CT增强扫描,76%泛影葡胺用量一般为()
A.1.5~2.0ml/kg
B.2.5~3.0ml/kg
C.3.5~4.0ml/kg
D.0.5~1.0ml/kg
E.4.5~5.0ml/kg
72、单项选择题 冠状位CT扫描鼻窦技术中错误的是()
A.扫描体位为头部颌顶位或顶颌位
B.扫描层面平行于上颌窦上缘或与听眦线垂直
C.扫描范围从蝶窦后壁起至额窦前壁止
D.层厚5mm,层间距5mm
E.用非螺旋扫描方式即可
73、单项选择题 下面不是CT的扫描方法的是()
A.目标扫描
B.动态扫描
C.延迟扫描
D.高分辨率CT扫描
E.定期扫描
74、单项选择题 男,55岁,咳嗽、气短1年,秋冬加重。HRCT示两肺散在分布低密度区大小约2~4mm,无壁,两上肺为著,最可能的诊断为()
A.肺气肿
B.先天性肺囊肿
C.支气管囊肿
D.支气管扩张症
E.肺淋巴管腺肌瘤病
75、单项选择题 下列哪一病变最需行CT增强扫描来诊断()
A.球外眶内异物
B.眼部外伤
C.眶内肿瘤
D.球结膜炎
E.视网膜剥离
76、单项选择题
女,64岁,发现双甲状腺肿大1个月余,CT如图所示,最可能的诊断是()
A.结节性甲状腺肿
B.甲状腺腺瘤
C.甲状腺癌并淋巴结转移
D.甲状腺转移瘤
E.甲状腺结核
77、单项选择题
外伤后的患者,根据所提供的图像,最可能的诊断是()

A.肾梗死
B.肾脓肿
C.肾盂肾炎
D.肾挫伤
E.肾裂伤
78、单项选择题 先天性输尿管囊肿最常见的好发部位在()
A.肾盂-输尿管交界处
B.输尿管上段
C.输尿管中段
D.输尿管下段
E.输尿管膀胱壁内段
79、单项选择题 定位扫描属于扫描步骤中的:()
A.第一步输入病人自然项目
B.第二步摆体位
C.第三步确定扫描范围
D.第四步做横断层扫描
E.第五步转贮影像数据
80、单项选择题 下列病变,平扫价值最高的是哪种()
A.胆囊癌
B.胆囊阳性结石
C.胆囊腺肌瘤
D.慢性胆囊炎
E.胆囊息肉
81、单项选择题 发生于胼胝体周围的“蛛网膜下腔出血”常继发于()
A.前交通动脉动脉瘤破裂
B.大脑中动脉动脉瘤破裂
C.后交通动脉动脉瘤破裂
D.基底动脉动脉瘤破裂
E.穿动脉动脉瘤破裂
82、单项选择题
男,56岁,骶部持续性疼痛,夜间加重,结合图像,最可能的诊断是()
A.脊索瘤
B.骨转移瘤
C.骨肉瘤
D.多发性骨髓瘤
E.骨巨细胞瘤
83、多项选择题 目前CT常用的检测器不包括()
A.晶体管检测器
B.液体检测器
C.绝缘体检测器
D.气体检测器
E.闪烁检测器
84、单项选择题 眼眶炎性假瘤肌炎型CT表现,以下错误的是()
A.一条或数条眼外肌增粗、肥大
B.多累及下直肌和内直肌
C.整条眼肌弥漫肥大
D.边缘多模糊
E.边缘整齐
85、单项选择题
男,24岁,四肢细长,蜘蛛指,肌张力降低,结合图像,最可能的诊断是()
A.软骨发育不全
B.骨斑点症
C.马方综合征
D.神经纤维瘤病
E.特发性骨质溶解症
86、单项选择题
男,28岁,胸闷1周,胸部CT如图,最可能的诊断为()
A.间皮瘤
B.肺癌
C.包裹性积液
D.肺炎性假瘤
E.肺肉瘤
87、单项选择题 眼部的感觉神经是()
A.泪腺神经和额神经
B.额神经和滑车神经
C.泪腺神经和动眼神经
D.额神经和展神经
E.滑车神经和鼻睫神经
88、单项选择题 眼外肌从眶尖的腱环向前行附于()
A.角膜
B.虹膜
C.巩膜
D.视网膜
E.脉络膜
89、单项选择题
患者,男,41岁,刺激性咳嗽3个月余,低热1周,近3天咳痰带血丝。胸部CT如图,最可能的诊断为()
A.淋巴瘤肺浸润
B.炎性病变
C.中央型肺癌并左肺下叶阻塞性炎症
D.周围型肺癌
E.细支气管肺泡癌并淋巴结转移
90、单项选择题 对咽部解剖的论述,错误的是()
A.咽部为呼吸道和消化道上段共同交通的部分
B.咽部是由骨和软骨构成的管腔
C.咽部自上而下分为鼻咽、口咽和喉咽三部分
D.自颅底到软腭水平的一段为鼻咽
E.自软腭至舌骨水平的一段为口咽
91、单项选择题 男,8岁,头痛,CT示小脑桥脑角池,桥前池,右侧大脑角池,脚间池和鞍旁不规则的低密度病变无增强,最可能的诊断是()
A.皮样囊肿
B.蛛网膜囊肿
C.表皮样囊肿
D.脑萎缩
E.脑囊虫病
92、单项选择题
女,32岁,腹痛,腹泻便秘交替出现,解黏液血便半年,里急后重,影像检查如图,最可能的诊断是()

A.结肠癌
B.慢性结肠炎
C.过敏性结肠炎
D.溃疡性结肠炎
E.肠结核
93、单项选择题 移植肾多位于()
A.原肾上方
B.原肾下方
C.左髂窝
D.右髂窝
E.原肾位置
94、单项选择题 关于Galen静脉瘤,下列CT特征哪项不符合()
A.瘤体位于大脑大静脉及四叠体池内
B.平扫为均匀略高密度
C.增强扫描,病变均匀强化
D.四脑室及其以上脑室积水
E.可有弧线样钙化
95、多项选择题 原发性胆汁性肝硬化可伴有()
A.骨质软化
B.胆总管扩张
C.肝内胆管局限性扩张
D.肝门部肿块
E.肥大性骨关节病
96、单项选择题 男性,因突发呕血、右上腹痛、不能进食2天。CT示十二指肠水平段内5cm×3cm占位,其CT值-30HU,有不均匀点状钙化,增强扫描无强化,最可能的诊断是()
A.十二指肠腺癌
B.十二指肠憩室
C.十二指肠内胆结石嵌顿
D.十二指肠乳头炎
E.十二指肠平滑肌瘤
97、单项选择题 前庭与骨半规管相接有几个()
A.2
B.3
C.4
D.5
E.6
98、多项选择题 关于肝囊肿的CT表现,正确的为()
A.单发或多发
B.圆形水样密度
C.边界光滑锐利
D.平扫囊壁一般不显示
E.增强扫描囊肿内无强化,囊壁强化而显影
99、单项选择题 不属于CT特殊功能的是()
A.定位扫描
B.动态扫描
C.靶扫描
D.轴位扫描
E.特殊重建扫描
100、单项选择题 眼眶CT扫描采用()
A.听眦线25°横轴位和冠状位
B.听眦线30°横轴位和冠状位
C.听眦线横轴位和冠状位
D.听眦线横轴位和矢状位
E.听眦线20°横轴位和冠状位
101、单项选择题 下列哪种疾病一般不会出现空洞()
A.大叶性肺炎
B.肺结核
C.转移性鳞癌
D.肺吸虫病
E.韦格纳肉芽肿
102、单项选择题 颅脑CT扫描的扫描基线不包括()
A.听眦线
B.听眉线
C.听眶线
D.听鼻线
E.眶耳线
103、多项选择题 关于冠状动脉超高速CT检查的描述为()
A.三维重建技术及仿真内镜技术可很好地显示冠状动脉内腔,测量冠状动脉直径
B.三维重建技术可显示粥样斑块
C.超高速CT可通过冠状动脉钙化的定量分析反映冠状动脉狭窄程度
D.冠状动脉钙化积分由钙化面积乘以CT值的峰值系数而得
E.随着积分的增高,意味着冠状动脉分支横断面狭窄仍不超过75%
104、单项选择题 关于颅咽管瘤的病理特征,下列描述不正确的是()
A.80%为囊性
B.20%为实性
C.85%有钙化
D.囊内含胆固醇结晶液体或浓稠脱屑物
E.肿瘤边界模糊不清
105、单项选择题
CT平扫如下图所示,符合下列哪种诊断()
A.肾囊肿
B.错构瘤
C.肾癌
D.肾腺瘤
E.肾血管性疾病
106、多项选择题 肾透明细胞癌CT增强扫描的强化特点是()
A.延迟期强化常不及肾实质
B.可为不规则边缘强化
C.可为不均匀斑片状强化
D.少数可无明显对比增强
E.动脉期强化明显
107、单项选择题
女,43岁,发现盆腔包块3年,排尿困难6日,影像检查如图,最可能的诊断是()
A.腹腔脂肪肉瘤
B.腹腔恶性间质瘤
C.腹腔畸胎瘤
D.腹腔畸胎瘤伴卵巢内胚窦瘤
E.卵巢内胚窦瘤
108、单项选择题
男,42岁,突感胸骨后撕裂样疼痛,就诊后行CTA检查如下图,应考虑为()
A.主动脉瘤
B.主动脉夹层(DeBakeyⅠ型)并主动脉瘤
C.主动脉夹层(DeBakeyⅡ型)并主动脉瘤
D.主动脉夹层(DeBakeyⅢ型)并主动脉瘤
E.主动脉血栓
109、多项选择题 CT扫描中使用平滑(或软组织)算法,结果是()
A.提高空间分辨率
B.减少噪声
C.改善密度分辨率
D.降低空间分辨率
E.增加噪声
110、单项选择题 对鼻窦扫描基线的设定,哪项错误:()
A.进行上颌窦横断扫描应以听眶线为基线向下扫描
B.进行鼻咽部横断扫描应以听眶线为基线向下扫描
C.进行蝶窦横断扫描应以听眶线为基线向下扫描
D.进行筛窦横断扫描应以听眶线为基线向上扫描
E.进行额窦横断扫描应以听眶线为基线向上扫描
111、单项选择题 3岁男孩突发性腹痛,大便有血,腹部可触及包块,最有可能的诊断()
A.坏死性小肠炎
B.小肠扭转
C.小肠肿瘤
D.肠套叠
E.急性阑尾炎
112、单项选择题 小肝血管瘤与小肝癌的主要鉴别点是()
A.平扫时血管瘤多呈等密度
B.增强后动脉期小肝癌整个病灶强化
C.小血管瘤没有假包膜
D.延迟扫描血管瘤缩小或等密度充填
E.以上都不是
113、单项选择题 下列对肝豆状核变性的描述,哪项不对()
A.是一种遗传性疾病
B.肝脏表现为结节性肝硬化
C.表现以基底节为主的脑内多发低密度变性
D.与铁代谢异常有关
E.与乙型肝炎表面抗原无关
114、单项选择题 关于“卵巢滤泡囊肿”,下列描述哪项不正确()
A.单侧卵巢发病
B.囊壁菲薄
C.直径多超过5cm
D.囊液水样密度
E.可自行消失
115、单项选择题
女,27岁,发热,左侧胸部疼痛2月余,结合影像学检查,最可能的诊断是()
A.骨肉瘤
B.肺癌
C.软骨肉瘤
D.骨样骨瘤
E.尤文肉瘤
116、单项选择题 CT检查的成像技术条件包括的项目有()
A.检查体位
B.重建方法
C.窗宽
D.窗位
E.以上全是
117、单项选择题 有关脑内海绵状血管瘤的描述,下列哪项不正确()
A.CT平扫多为等密度或略高密度
B.部分病例CT为无强化或轻度强化改变
C.DSA可为阴性改变
D.不合并出血时CT亦可见血管瘤周围水肿改变
E.占位效应不明显
118、单项选择题 下列哪项为大叶性肺炎最常见的致病菌()
A.绿色链球菌
B.流感嗜血杆菌
C.肺炎链球菌
D.大肠杆菌
E.绿脓杆菌
119、单项选择题
出生2天的男婴,鼻根部眉间正中有一肿块,CT检查如图,最可能的诊断是()
A.蛛网膜囊肿
B.脑膨出
C.硬膜外囊肿
D.鼻息肉
E.鼻咽癌
120、多项选择题 多囊肾的影像学表现为()
A.肾脏体积增大
B.囊壁无钙化
C.肾盂造影示肾盏受压
D.CT示多发大小不等类圆形低密度灶
E.肝脏也可见多发囊肿
121、单项选择题
女,27岁,体检时B超发现右侧附件区囊性占位性病变,CT检查如图,下列说法错误的是()
A.病灶来源于右侧卵巢
B.病灶边界清晰
C.病灶为单房,壁薄,无分隔
D.考虑为卵巢浆液性囊腺瘤
E.考虑为卵巢囊肿
122、单项选择题 一般不引起视神经孔变小的疾病是()
A.骨纤维异常增殖症
B.畸形性骨炎
C.石骨症
D.眶内血管瘤
E.脑膜瘤
123、单项选择题
男,49岁,反复发作性癫痫,双手震颤5年,伴头昏行走不稳,生化检查:血清钙降低,血清磷升高,根据所提供图像,最可能的诊断是()
A.Fahr病
B.一氧化碳中毒性脑病
C.霉变甘蔗中毒
D.肝豆状核变性
E.甲旁低
124、单项选择题 以下关于肾上腺肿瘤的描述,错误的是()
A.对患有恶性肿瘤的患者,如CT检查发现一侧肾上腺占位,有可能为转移瘤或肾上腺原发性无功能肿瘤
B.肾上腺转移瘤最常见来自肺癌,约15%肺癌患者肾上腺可能是唯一转移部位
C.CT表现为正常肾上腺,可排除显微镜下转移灶
D.肾上腺转移先累及肾上腺髓质,后累及皮质
E.肾上腺单侧肿瘤时,有时难以鉴别是转移瘤或是原发肿瘤
125、单项选择题
患者腹痛,根据所提供的图像,最可能的诊断是()
A.腺癌
B.类癌瘤
C.淋巴瘤
D.淋巴管瘤
E.囊肿
126、单项选择题 中年女性,右上腹隐痛半年,伴黄疸2月。肝内胆管轻度扩张,正常胆囊未显示。其局部见与肝密度相似的软组织肿块影,肿块轻度增强,最可能的诊断是()
A.急性胆囊炎
B.慢性胆囊炎
C.胆囊结石
D.肝癌
E.胆囊癌
127、单项选择题 Meckel腔内有()
A.颈内动脉
B.三叉神经节
C.滑车神经
D.舌下神经
E.颈外动脉
128、单项选择题 “多发性硬化”最常见的类型为()
A.大脑型
B.脑干型
C.脑干小脑型
D.脊髓型
E.以上都对
129、单项选择题
患者,女性,61岁,3年前腰椎手术史,术后开始左下肢感觉减退、麻木、无力,左足隐痛,期间无外伤史,左足拇趾曾不明原因窦道形成,后自愈,现左足持续疼痛、肿胀,加重半个月,左下肢跛行。其X线及CT图像如下,诊断左足病变为()
A.疲劳性骨折
B.退行性变
C.Charcot关节
D.撕脱性骨折
E.化脓性关节炎
130、单项选择题 急性化脓性骨髓炎骨膜下脓肿形成时间一般在()
A.2~3日
B.3~4日
C.5~7日
D.8~10日
E.10日以后
131、单项选择题 脊柱CT扫描不能用于检查下面哪种疾病()
A.椎管狭窄及椎管内占位性病变
B.椎间盘变性或病变
C.椎骨外伤
D.椎骨良恶性肿瘤
E.脊髓灰质炎
132、单项选择题 当肾癌侵犯下腔静脉形成瘤栓,而无淋巴结或远处转移,应分期为()
A.Ⅱ期
B.Ⅲc期
C.Ⅲb期
D.Ⅲa期
E.Ⅳa期
133、多项选择题 肾上腺腺瘤的CT表现,错误的有哪些()
A.边界清楚、密度均匀的软组织肿块
B.肿块呈等密度
C.功能性腺瘤时,对侧肾上腺大小、形态正常
D.增强扫描呈一过性强化
E.肿块易出血、坏死
134、单项选择题
女,19岁,左髋疼痛、活动受限伴跛行6月,无发热、盗汗病史,曾考虑左髋关节结核并抗结核治疗2周,症状有一定缓解,结合图像,最可能的诊断是()
A.骨样骨瘤
B.非骨化性纤维瘤
C.软骨母细胞瘤
D.骨化性纤维瘤
E.骨囊肿
135、单项选择题 要求必须闭眼扫描的是()
A.视神经孔扫描
B.观察眶壁骨折
C.观察球内细小异物
D.眶部毛细血管瘤
E.眶内球外肿瘤
136、单项选择题 下列关于卵巢畸胎瘤的描述,错误的是()
A.绝大多数畸胎瘤为良性
B.发病主要见于青春期前
C.弧形钙化是特征性表现
D.肿瘤内可无脂肪或钙化组织的CT征象
E.肿瘤可为囊实性肿块
137、单项选择题 以脑沟、脑池、脑裂增宽表现为主的“脑萎缩”称为()
A.外周型脑萎缩
B.中央型脑萎缩
C.髓质型脑萎缩
D.混合型脑萎缩
E.以上都不对
138、单项选择题 原发性“癫痫”患者CT扫描,影像上最常见为()
A.颅脑CT无异常发现
B.脑血管畸形
C.脑梗死
D.脑胶质瘤
E.脑穿通畸形
139、单项选择题 男,18岁,CT扫描发现脊柱旁软组织肿块,邻近椎体骨质压迫吸收,增强扫描肿瘤内可见低密度区,首先考虑的诊断是()
A.椎旁血管瘤
B.椎旁神经纤维瘤
C.血肿机化
D.转移瘤
E.淋巴瘤
140、单项选择题 外伤性CCF是指()
A.颈内动脉海绵窦段分支与海绵窦直接沟通
B.颈内动脉岩骨段与海绵窦直接沟通
C.颈内动脉海绵窦段与海绵窦直接沟通
D.颈内动脉岩骨段分支与海绵窦直接沟通
E.颈外动脉与海绵窦直接沟通
141、单项选择题 颅底骨折的间接征象是()
A.硬膜外血肿
B.硬膜下血肿
C.头皮血肿
D.副鼻窦和/或乳突气房出现气-液面
E.脑血肿
142、单项选择题 下列胆管细胞癌CT特点,错误的是()
A.肿瘤无包膜
B.CT平扫,肿瘤为略低密度
C.增强扫描动脉期,肿瘤明显强化
D.常有肝内胆管局限性扩张
E.瘤内可有细小的不规则钙化
143、单项选择题
女性,58岁。突感胸骨后疼痛来院就诊。行胸部CT平扫如图:

A.主动脉夹层(DeBakeyⅠ型或Ⅱ型)
B.主动脉夹层(DeBakeyⅡ型)
C.主动脉夹层(DeBakeyⅢ型)
D.主动脉夹层(StanfordB型)
E.无法确定
144、单项选择题 下列哪项不属于CT机硬件结构范畴()
A.扫描机架
B.扫描检查床
C.X线发生系统
D.多幅照相机
E.自动洗片机
145、单项选择题 咽喉部CT扫描技术中正确的是()
A.咽喉部CT检查适用于咽喉部炎症
B.病人仰卧,使正中矢状面与床面平行,两外耳孔与床面等距
C.定位像为咽喉部正位定位像
D.咽喉部常规检查,一般以横断位、非螺旋扫描为主
E.增强扫描延迟扫描时间35秒
146、单项选择题 颈椎管狭窄的诊断标准为前后径小于()
A.8mm
B.9mm
C.10mm
D.12mm
E.13mm
147、单项选择题
女性,43岁,发现左侧颌下包块2年多,近3个月明显增大。行CT增强扫描如图所示:

A.X线平片
B.CT
C.超声
D.MRI
E.DSA
148、单项选择题 女,25岁,左乳痛7天,体温39.5~40℃,局部明显压痛、红肿。 乳腺脓肿切开引流后,下列哪项是终止哺乳的绝对指征()
A.初产妇
B.体温
C.毒血症状明显
D.引流脓液较少
E.引流术后并发乳瘘
149、单项选择题
女,13岁,20天前有外伤史,近1周头痛,CT检查如图,最可能的诊断为()

A.脑膜瘤
B.硬膜下血肿
C.胶质瘤
D.转移瘤
E.颅内原发淋巴瘤
150、多项选择题 关于鞍上池横断面解剖部位正确的是()
A.池内前部有"V"字形交叉
B.位于两个颅中窝之间
C.五角形的鞍上池左缘邻接大脑脚
D.鞍上池可呈"五角形"或"六角形"
E.鞍上池的后角位于后缘中央,为脚间池
151、单项选择题 下列哪项说法与卵巢癌无关()
A.盆腔、腹腔巨大多发囊实性肿块
B.腹水
C.腹腔不规则肿块,肠袢边缘不清
D.盆腔脂肪增多
E.肝周、盆壁、网膜有细小钙化
152、单项选择题 下列哪项CT表现提示有结节病的可能()
A.肺内浸润阴影
B.肺内孤立空洞
C.双肺门淋巴结显著增大
D.胸腔积液
E.气胸
153、多项选择题 动脉瘤样骨囊肿CT表现为()
A.病变呈囊状膨胀性骨破坏,骨壳菲薄
B.破坏区内可见多个含液囊腔
C.可见液液平面
D.囊腔间隔为软组织密度,并可见钙化和骨化
E.增强扫描囊间隔无强化
154、单项选择题
PET示左下肺结节是()
A.良性的
B.不确定
C.恶性的
D.转移
E.以上都不是
155、单项选择题
男,32岁,干咳,呼吸困难半月余,2月前被诊断为艾滋病,结合影像学检查,最可能的诊断是()
A.肺结核
B.卡氏肺囊虫性肺炎
C.肺癌
D.大叶性肺炎
E.间质性肺炎
156、单项选择题 以下“碘过敏反应”中,哪一项最危险()
A.皮肤丘疹
B.喉部发痒
C.打喷嚏
D.皮肤瘙痒
E.面部潮红
157、单项选择题 关于颅咽管瘤的描述,哪项不正确()
A.小儿及青年多见
B.80%为囊性
C.85%有钙化
D.均见于鞍上
E.肿瘤边界清楚
158、多项选择题
男,5岁,消瘦、贫血、纳差和腹部包块3月余,CT检查如图,下列说法正确的是()
A.右侧腹腔内可见一巨大软组织肿块影,其边界欠清楚
B.肿块密度不均匀,可见片状的较高密度,考虑为出血,也可见点状的钙化影
C.该病灶来源于肝脏,考虑为肝母细胞瘤
D.该病灶来源于右肾上腺,考虑为神经母细胞瘤
E.该病灶来源于右肾,考虑为肾胚胎瘤
159、单项选择题 男,30岁,头颅外伤5小时,CT轴位平扫示左额骨骨折,头皮血肿,额顶部双凸形不均匀高密度,中线结构右移,最可能的诊断为()
A.急性硬膜外血肿
B.急性硬膜下血肿
C.急性脑血肿伴硬膜外血肿
D.脑挫裂伤伴硬膜下血肿
E.亚急性硬膜下血肿
160、单项选择题
男,16岁,咳嗽十余年,结合图像,最可能的诊断是()
A.胸廓内骨软骨瘤
B.周围型肺癌
C.陈旧性肺结核
D.胸膜粘连
E.以上都不是
161、多项选择题 关于腺性膀胱炎,描述正确的是()
A.慢性感染被认为是其发生的主要诱因
B.膀胱壁无钙化
C.膀胱壁可见蛋壳样钙化
D.膀胱壁呈局限性不规则增厚或弥漫均匀性增厚
E.一般不侵犯肌层
162、单项选择题 女,14岁,癫痫,1年前蛛网膜下腔出血,CT示右颞叶前部有斑点样高密度灶,中度强化并见曲张血管,最可能的诊断为()
A.海绵状血管瘤
B.星形细胞瘤
C.动静脉畸形
D.少枝胶质细胞癌
E.动脉瘤
163、单项选择题 中颅窝脑膜瘤是()
A.球形肿瘤
B.脑外肿瘤
C.良性肿瘤
D.恶性肿瘤
E.脑内肿瘤
164、多项选择题 平扫天幕与大脑镰可见V、Y、M形,幕上的病灶在()
A.V形外方
B.V形内侧
C.Y形内侧
D.M形内侧
E.M形外方
165、单项选择题 下列哪一项不正确是壁厚性胆囊癌的CT特征性表现()
A.壁均匀增厚超过3mm
B.胆囊壁局限性不对称增厚
C.胆囊壁弥漫性不规则增厚
D.增强扫描显示胆囊不规则增强
E.肝门周围常有淋巴结转移
166、单项选择题 男,20岁,癫痫发作4次。CT示脑实质多发高密度点状影和片状不规则低密度灶,部分低密度区呈0.5~1.0cm环形增强,最可能的诊断为()
A.多发性硬化
B.结节性硬化
C.脑囊虫病
D.脑脓肿
E.病毒性脑炎
167、单项选择题 采用下列哪种方法有助于鉴别小的肾血管平滑肌脂肪瘤与小肾癌()
A.薄层连续扫描以发现脂肪成分
B.增强扫描观察肿瘤强化情况
C.螺旋CT扫描
D.冠状位重建
E.以上都不是
168、单项选择题 患者无痛性血尿数周,肾盂造影示肾盂内不规则充盈缺损,首先考虑以下哪种疾病()
A.乳头状瘤
B.移行细胞癌
C.鳞状细胞癌
D.肾腺癌
E.肾腺瘤
169、单项选择题 有关听眶线的描述,正确的是哪项()
A.外耳孔与眼眶下缘的连线
B.外耳孔与眼外眦的连线
C.外耳孔与鼻前棘的连线
D.外耳孔与眉弓的连线
E.外耳孔与鼻尖的连线
170、多项选择题 下述部位CT扫描检查需口服对比剂的是()
A.颅脑
B.盆腔
C.鼻咽部
D.腹部
E.肺的高分辨率扫描
171、多项选择题 眼眶炎性假瘤的分型,包括()
A.眶隔前型
B.肌炎型
C.泪腺炎型
D.巩膜周围炎型
E.神经束膜炎型
172、单项选择题
女,38岁,有癫痫发作史,面部有皮脂腺瘤,结合CT检查,最可能的诊断是()

A.神经纤维瘤病
B.脑颜面部血管瘤病
C.脑囊虫病
D.结节性硬化
E.脑剪切伤
173、单项选择题 颌面部CT扫描技术的适应证不包括()
A.腮腺肿瘤
B.甲状腺癌
C.颌面部骨折
D.美容整形
E.化脓性腮腺炎
174、单项选择题 “脑膜瘤”下列CT征象,哪种最少见()
A.瘤体形态不规则、边缘模糊,坏死囊变明显
B.增强:均匀强化
C.邻近颅骨增厚或破坏
D.肿瘤与硬脑膜广基底粘连
E.平扫:等或略高密度
175、单项选择题 以下关于脊索瘤的叙述,哪一项是错误的()
A.脊索瘤起源于脊椎或椎旁残存的脊索细胞
B.好发部位是骶尾部,其次是颅底
C.脊索瘤软组织肿块呈分叶状,50%~90%有钙化
D.几乎都有骨质破坏
E.好发于颈、胸、腰椎
176、单项选择题
患者表现为小肠梗阻,结合图像,最可能的诊断为()
A.小肠癌
B.淋巴瘤
C.卵巢癌
D.子宫平滑肌瘤
E.以上都不是
177、单项选择题 男,32岁,癫痫4月余。CT示左额后叶有一1.0cm×1.5cm囊样低密度影。边界清楚,囊周无水肿,轻度强化,内有点状增强,最可能的诊断为()
A.脑囊虫病
B.细菌性脑脓肿
C.星形细胞瘤
D.结核性脑脓肿
E.胶质母细胞瘤
178、单项选择题
根据影像学图像,该吸毒患者最可能的诊断是()
A.慢性缺血坏死
B.正常结构
C.脉管炎
D.胰腺癌
E.淋巴瘤
179、多项选择题
女,34岁,自诉1个月前咽喉部被鱼刺刺伤,近半个月发热,咽喉部疼痛,CT检查如图所示,正确的描述或诊断是()
A.左侧咽后壁可见低密度肿块影
B.肿块内密度均匀
C.咽后壁脓肿
D.神经源性肿瘤
E.血管瘤
180、单项选择题 CT对甲状腺肿瘤的诊断评价,下列说法哪项不正确()
A.定位较准确
B.有无钙化是鉴别良恶性的依据
C.判断有无淋巴结转移
D.判断有无邻近组织受累
E.鉴别良恶性有一定限度
181、单项选择题
男,67岁,右上腹痛、腹胀,右季肋区叩击痛,体温39℃,CT检查如图,最可能的诊断是()
A.多发性肝囊肿
B.多发性肝脓肿
C.肝包膜下出血伴囊变
D.肝转移癌
E.肝淋巴管瘤
182、单项选择题
男,32岁,上腹部持续性疼痛,放射至胸背部,高热,恶心呕吐,上腹部压痛反跳痛,CT检查如图,最可能的诊断是()
A.急性单纯性胰腺炎
B.出血坏死性胰腺炎
C.慢性胰腺炎
D.慢性胰腺炎急性发作
E.胰腺癌
183、单项选择题 关于进展期胃癌CT的描述,错误的是()
A.胃应适度充盈、扩张,并应用低张药物。
B.异常增厚的胃壁在增强时有较明显强化
C.CT较容易发现肝胃韧带内增大的淋巴结
D.大弯侧癌可沿胃结肠韧带浸润
E.CT易显示肿块,难以显示癌性溃疡
184、单项选择题 真菌性鼻窦炎的CT征象()
A.窦腔内可见软组织密度影,其内可见散在斑片状或沙粒状钙化
B.增强不明显
C.气-液平面多见
D.积液多见
E.多为双侧
185、单项选择题 影响CT密度分辨率的是()
A.扫描层厚
B.X线光子数量
C.滤波函数
D.噪声
E.以上都是
186、单项选择题 卵巢囊肿中最常见的是()
A.皮样囊肿
B.单纯囊肿
C.巧克力囊肿
D.滤泡囊肿
E.多囊病
187、单项选择题
女,61岁,上腹部疼痛1月,食欲减退,消瘦,CT所见如图,最可能的诊断是()
A.肝脓肿
B.肝转移癌
C.胃癌肝转移
D.肝包虫病
E.原发性肝癌
188、单项选择题
男,38岁,下腹疼痛、尿液混浊十余天,结合图像,最可能的诊断是()
A.阑尾周围脓肿
B.慢性膀胱炎
C.憩室炎膀胱瘘
D.结肠间质瘤
E.盆腔脓肿
189、单项选择题
男,67岁,胸骨后撕裂样疼痛1小时就诊。主动脉CT增强扫描图像如下,应诊断为()
A.主动脉未见异常
B.主动脉夹层动脉瘤
C.主动脉弓动脉瘤
D.主动脉硬化
E.以上均不正确
190、单项选择题
男,18岁,咳嗽,咳痰,咯血半月余,CT检查如图,最可能的诊断是()


A.过敏性肺炎
B.支气管扩张
C.原发性肺结核
D.大叶性肺炎
E.肺癌
191、单项选择题
女,55岁,右上腹痛,消瘦乏力3月,结合图像,最可能的诊断是()
A.肝血管瘤
B.肝腺瘤
C.肝癌
D.肝脓肿
E.肝转移癌
192、单项选择题 对CT准直器作用的论述,错误的是()
A.决定扫描层面的厚度
B.控制X线束的宽窄
C.决定扫描像素的大小
D.消除散射线的干扰
E.减少病人受辐射剂量
193、单项选择题 肾盂癌的Rubenstein分期,错误的是()
A.Ⅰ期:肿瘤限于肾盂内
B.Ⅱ期:肿瘤侵至肾盂肌层或肾实质,但尚未穿破肾被膜
C.Ⅲ期:肿瘤穿破包膜,侵至肾周脂肪囊
D.Ⅳ期:肿瘤已有区域淋巴结转移
E.Ⅴ期:肿瘤已有远处转移
194、单项选择题
女,23岁,日晒后面部出现蝶形红斑,根据所示图像,最可能的诊断是()
A.双肾未见异常
B.急性肾小球肾炎
C.急性肾盂肾炎
D.慢性肾炎
E.狼疮性肾炎
195、单项选择题 关于阴性对比剂的叙述,错误的是()
A.氧气属阴性对比剂
B.空气在器官内吸收较慢
C.二氧化碳的溶解度较低
D.阴性对比剂可用于膀胱造影
E.空气有产生气体栓塞的危险
196、单项选择题 关于结肠癌的描述不确切的是()
A.溃疡型多见
B.腺癌为主
C.升结肠易形成腔内肿块
D.降结肠癌多为浸润型
E.早期结肠癌可呈菜花状
197、单项选择题 下列哪项对库欣综合征描述不正确()
A.属于肾上腺功能亢进性病变
B.70%~85%是由于肾上腺腺瘤,15%~30%是由于肾上腺结节增生
C.主要是由于肾上腺增生引起
D.腺瘤体积小,密度多低于水,呈负值,少数呈等密度
E.增强扫描腺瘤轻度强化
198、单项选择题
男,15岁,下腹疼痛不适,结合图像,最可能的诊断是()
A.结肠和系膜多发性血管瘤
B.结肠癌腹腔淋巴结转移
C.结肠淋巴瘤
D.假膜性肠炎
E.结肠溃疡性结肠炎
199、单项选择题 转移性骨肿瘤溶骨型转移的CT表现中,哪种不对()
A.常有骨膜反应
B.病灶边缘较清楚
C.病灶边缘无硬化
D.常有软组织肿块
E.骨松质或(和)皮质骨的低密度缺损区
200、单项选择题 发生在桥小脑角区肿瘤中岩骨有明显骨质增生的是()
A.三叉神经瘤
B.脑膜瘤
C.转移瘤
D.动脉瘤
E.听神经瘤
201、单项选择题 下列哪一项关于肾盂癌的描述是不正确的()
A.大多数为移行细胞癌
B.平扫示肾窦内软组织肿块
C.增强扫描显示肾窦变形移位
D.不侵犯肾实质和输尿管
E.可合并肾盂扩张、积水
202、单项选择题 下列哪项不是颅脑增强扫描的目的()
A.区分梗死与水肿
B.观察肿瘤的血运情况
C.明确肿瘤边界
D.鉴别脑内外肿瘤
E.观察血脑屏障的破坏
203、多项选择题 在肾上腺疾病影像学检查过程中,CT检查有哪些特点()
A.CT是肾上腺疾病最佳影像检查方法
B.CT空间分辨率高,可以检出小的功能性病变
C.T扫描在肾上腺疾病诊断过程中的重要性。
D.通过重建可以显示病变的解剖关系
E.平扫发现病变者,需行增强扫描以明确诊断
204、单项选择题
患者70岁,女性,背痛,如图所示,最可能诊断为()
A.转移
B.骨髓瘤
C.疲劳骨折
D.骨质疏松症
E.以上都不是
205、单项选择题
男,64岁,患糖尿病,最近3天出现发热,伴颈静脉显露,结合CT图像,最可能的诊断是()
A.坏死性纵隔炎
B.纵隔淋巴瘤
C.侵袭性胸腺瘤
D.恶性畸胎瘤
E.纵隔脓肿
206、单项选择题
女,72岁,上腹部胀痛不适3月余,胃纳减退,体重减轻,黄疸,腰背部疼痛。CT增强扫描可见胰头部肿块,密度不均匀,胆总管及胰管扩张,如图所示,最可能的CT诊断为()
A.胰头癌
B.胰岛细胞瘤
C.壶腹癌
D.胆总管癌
E.十二指肠癌
207、单项选择题 关于肝胆管细胞癌的描述,错误的是()
A.起源于肝内胆管的上皮细胞
B.多为单发肿块
C.有较多的结缔组织间质故质地坚硬
D.一般有肝硬化背景
E.向四周呈不规则浸润
208、单项选择题 关于肝门部结构的描述,哪项不正确()
A.门静脉由脾静脉和肠系膜下静脉汇合而成
B.肝动脉位于门静脉的前内侧
C.肝总管在门静脉的前外侧
D.肝静脉在第二肝门处汇入下腔静脉
E.正常时肝内胆管不显示
209、单项选择题
男,36岁,腹胀、消化不良、消瘦、中上腹痛,影像检查如下图,最可能的诊断是()
A.胃间质肉瘤并肝转移
B.胃间质瘤并原发性肝癌
C.内胚窦瘤肝转移
D.胃淋巴瘤伴原发性肝癌
E.胃间质瘤并肝血管瘤
210、单项选择题
女,24岁,发热,左侧髋骶部疼痛,夜间明显2月余,结合影像学检查,最可能的诊断是()
A.急性骨髓炎
B.转移性神经母细胞瘤
C.尤文肉瘤
D.骨髓瘤
E.骨肉瘤
211、单项选择题
男,19岁,右上臂扪及一硬结,有轻压痛,结合影像学检查,最可能的诊断是()
A.骨肉瘤
B.骨瘤
C.骨巨细胞瘤
D.骨软骨瘤
E.骨髓瘤
212、单项选择题
患儿,男,5岁,CT平扫图像如下,最可能的诊断是()
A.垂体瘤
B.透明隔囊肿
C.颅咽管瘤
D.蛛网膜囊肿
E.Rathke裂囊肿
213、单项选择题 不属于眼及眼眶CT增强扫描技术的是()
A.怀疑眶内肿瘤、炎症、血管性病变及眶内肿瘤向眶外侵犯时,需作增强扫描
B.增强扫描可使血管、肌肉和有血供的病变清楚显示,有利于对病变的定性
C.对比剂使用同颅脑增强
D.延迟扫描时间为50秒
E.临床怀疑血管性病变者,还可用动静脉、延迟三期扫描
214、单项选择题 胃癌患者,胸痛1个月,进行性加重,最近出现呼吸困难。CT平扫发现左侧多发散在的胸膜结节,并见大量胸腔积液,CT增强扫描结节明显强化。 下列哪种检查方法能进一步区别胸膜转移瘤与弥漫性胸膜间皮瘤()
A.胸部MRI平扫
B.胸部MRI增强扫描
C.痰检
D.胸膜活检
E.支气管镜检查
215、单项选择题
男,36岁,左大腿可触及软组织肿块,结合图像,最可能的诊断是()
A.脂肪瘤
B.脂肪肉瘤
C.血管瘤
D.淋巴管瘤
E.纤维肉瘤
216、单项选择题
男,21岁,左上肢有外伤史,现感局部疼痛,可扪及包块,结合图像,最可能的诊断是()
A.骨外骨肉瘤
B.骨外软骨肉瘤
C.皮质旁骨肉瘤
D.邻皮质软骨瘤
E.骨化性肌炎
217、单项选择题
患者有浸润性胰腺癌,图像中箭头所指的管状物是()
A.肾静脉分支
B.扩大的肾静脉
C.肠系膜下静脉
D.冠状静脉
E.肠系膜上动脉
218、单项选择题 临床怀疑蛛网膜下腔出血应采用以下哪种扫描方式()
A.增强扫描
B.平扫
C.快速CT扫描
D.灌注扫描
E.动态扫描
219、单项选择题 鞍区CT扫描后处理技术正确的是()
A.窗宽和窗位固定不变
B.若病变和周围组织密度接近时,可适当加大窗宽
C.若伪影较多或需观察局部组织的丰富层次,可调低窗位
D.常用脑窗和骨窗
E.窗宽400~600HU,窗位35~40HU
220、多项选择题 有关肠梗阻的CT表现,正确的是()
A.梗阻远近端肠管直径有明显差异
B.闭袢型肠梗阻时可见"鸟喙征"(beaksign)
C.动力性肠梗阻可见小肠、大肠的弥漫性充气扩张
D.绞窄性肠梗阻肠壁可出现分层改变
E.小肠内只要有液气平面就可诊断肠梗阻
221、单项选择题 下列组合,错误的是()
A.CT血管造影--DSA
B.多平面重组--MPR
C.层厚响应曲线--SSP
D.表面阴影显示--SSD
E.最大密度投影--MIP
222、单项选择题
结合所示图像,最可能的诊断是()
A.肾细胞癌
B.移行上皮细胞癌
C.肾静脉栓塞
D.急性肾盂肾炎
E.肾梗死
223、单项选择题 下列关于肝静脉的描述错误的是()
A.肝静脉包括肝左、中、右静脉
B.肝静脉包括肝左、中、右静脉,肝右后静脉和尾状叶静脉
C.肝左、中、右静脉出肝处称为第二肝门
D.肝右后下静脉和尾状叶静脉出肝处称为第三肝门
E.第二和第三肝门是相互移行的
224、单项选择题 恶性骨肿瘤的诊断依据不包括下列哪一项()
A.浸润性骨质破坏
B.有骨膜反应
C.有软组织肿块
D.有肿瘤骨形成
E.病灶边界清晰
225、单项选择题 不是硬膜下出血原因的是()
A.外伤
B.动脉硬化
C.矢状窦旁桥静脉破裂
D.脑膜中动脉破裂
E.脑皮质撕裂伤
226、多项选择题
女,38岁,低热乏力并消瘦2月余,CT如图所示,下列说法正确的是()
A.左侧肾上腺区巨大的占位性病灶考虑为肾上腺癌
B.左侧肾上腺区巨大的占位性病灶考虑为嗜铬细胞瘤
C.左侧肾上腺区巨大的占位性病灶考虑为肾上腺腺瘤
D.肺内多发小结节病灶,考虑为肺转移癌
E.肺内多发小结节病灶,考虑为肺结核
227、单项选择题
男童,6岁,因癫痫就诊。查体:面部见血管痣,CT扫描如下图,最可能的诊断为()

A.结节性硬化
B.少突胶质细胞瘤
C.Sturge-Weber综合征
D.弥漫性硬化
E.脑结核
228、单项选择题 成年男,CT示气管与右主支气管交界处直径4cm圆形肿物,CT值20HU,密度均匀,不增强,最可能的诊断是()
A.支气管囊肿
B.肺癌
C.肺门淋巴结肿大
D.结节病
E.肺门淋巴结结核
229、单项选择题
男,33岁,颈部包块半年余,可随吞咽上下移动,结合影像学检查,最可能的诊断是()

A.胸腺瘤
B.淋巴瘤
C.纵隔畸胎瘤
D.淋巴管瘤
E.胸骨后甲状腺肿
230、单项选择题 前列腺癌做CT检查可表现为()
A.前列腺内密度稍低的结节为癌结节
B.增强扫描可以确诊前列腺癌
C.前列腺外形轻度隆起是癌肿外侵的征象
D.CT扫描仅可以肯定晚期病变的受侵范围
E.以上都不对
231、单项选择题 房间沟、后室间沟和冠状沟的交叉处称为()
A.心房交点
B.心室交点
C.房室交点
D.心房切迹
E.以上都不是
232、多项选择题 CT在肺癌诊断中的价值是()
A.肺癌术前分期
B.显示隐匿性病灶
C.为纤维支气管镜检作向导
D.筛选行纵隔镜检查的病例
E.CT导向经皮穿刺
233、单项选择题 螺旋CT与非螺旋CT相比,不同的是()
A.纵向分辨率有所下降
B.横向分辨率有所下降
C.高分辨率上升
D.密度分辨率下降
E.空间分辨率保持不变
234、单项选择题
结合所示图像,最可能的诊断是()
A.纤维瘤
B.卵巢皮样囊肿
C.卵巢囊腺瘤
D.脓肿
E.卵巢囊肿
235、单项选择题 在CT图像上,颌后静脉是以下哪些结构分界的解剖标志()
A.腮腺与颌下腺
B.腮腺与腺样体
C.腮腺与腭扁桃体
D.颌下腺与腭扁桃体
E.腮腺深叶与浅叶
236、单项选择题 海绵窦动静脉瘘的CT表现。不包括()
A.眼上静脉扩张
B.眼球突出
C.增强扫描鞍旁高密度影
D.脑缺血性改变
E.脑出血性改变
237、单项选择题
女,36岁,左侧腰痛2年余,CT检查如图所示,下列说法错误的是()
A.左肾下极可见一混杂密度病灶,边界尚清
B.左肾病灶中可见脂肪密度灶,该区增强时无强化
C.右肾中极可见一小类圆形混杂密度病灶
D.考虑为肾癌
E.考虑为双肾错构瘤
238、单项选择题 与X线平片相比较,CT诊断脊椎结核的优点,下列说法哪项不正确()
A.容易显示轻微的骨质破坏
B.容易显示椎旁脓肿
C.容易显示椎管是否受累
D.容易显示轻微的椎间隙狭窄
E.静脉注射对比剂可以显示椎旁脓肿有环形增强
239、单项选择题 多形性胶质细胞瘤与单发巨大的转移瘤CT表现有何不同()
A.瘤周水肿明显
B.花环样增强
C.有占位效应
D.蝶鞍扩大
E.常见低密度影
240、单项选择题 女,28岁,产后突发剧烈头疼,视物模糊,一侧肢体轻偏瘫。CT平扫示双侧脑白质大片低密度改变,皮层斑点状出血,脑室变小。最可能的诊断为()
A.静脉窦血栓形成
B.脑梗死
C.出血性脑梗死
D.多发性硬化活动期
E.脑炎
241、单项选择题 下列关于肝癌CT平扫检查概念错误的是()
A.大多数病灶为较低密度
B.脂肪肝或肝硬化时,肝与病灶间密度差缩小
C.肿瘤细胞分化越好,其密度与正常肝差异越大
D.可发生坏死、出血和钙化
E.脂肪肝特别显著时病灶成为较高密度
242、单项选择题 与普通平片相比,下列哪一项不是CT的优点()
A.密度分辨率高
B.解剖分辨率高
C.空间分辨率高
D.可进行多方位重建
E.增强扫描有利于病灶的定性
243、单项选择题
男,42岁,头痛、恶心半年余,逐步加重,右侧肌力减弱,CT检查如图,最可能的诊断是()

A.脑膜瘤
B.胶质瘤
C.转移瘤
D.畸胎瘤
E.室管膜瘤
244、多项选择题
女,44岁,突发性胁腹部绞痛并向会阴部放射伴血尿一次,CT扫描如图所示,下列说法正确的是()
A.右侧肾盂肾盏扩张
B.右输尿管中上段扩张
C.右输尿管内可见沿输尿管走行的高密度影
D.右输尿管结石
E.左肾输尿管未见异常
245、单项选择题 脑梗死最常见的CT增强表现形式为()
A.轻度均匀强化
B.点线样强化
C.片状强化
D.薄壁环形强化
E.脑回状强化
246、单项选择题 关于胸腺瘤与胸腺增生的鉴别要点,下列说法中错误的是()
A.胸腺增生多见于青少年
B.胸腺瘤很少发生于20岁以下者
C.伴有重症肌无力者为胸腺瘤,而非胸腺增生
D.胸腺增生多无明显肿块轮廓
E.胸腺瘤可出现坏死、囊变和出血
247、单项选择题
男,66岁,CT平扫发现右肾上极类圆形等密度的占位性病变,CT增强扫描,病灶明显强化,下列哪项诊断正确()
A.右肾上极癌
B.右肾上极囊肿
C.右肾上极血管平滑肌脂肪瘤
D.右肾上极转移癌
E.右肾上极淋巴瘤
248、多项选择题
关于膀胱癌的诊断,下列哪些说法正确()
A.膀胱癌的诊断主要靠膀胱镜检查
B.超声检查作为对膀胱癌筛选和诊断的首选影像学检查方法,但判断分期欠佳
C.CT检查、MRI检查常用于膀胱癌术前分期,后者鉴别T3a、T3b更敏感
D.尿路造影用于了解双侧肾功能情况
E.膀胱造影、血管造影一般较少应用
249、单项选择题
根据所提供的图像,最可能的诊断()
A.骨结核
B.多发性骨转移
C.骨血管瘤
D.退行性变
E.骨质疏松
250、单项选择题 某患者,CT随访观察见肺部病灶,有多样性、多变性的特点,临床上伴有肾脏或其他多个脏器损害,有呼吸道症状及持续高热,而抗感染治疗无效。应首先考虑的诊断是()
A.真菌病
B.韦格肉芽肿病
C.肺结核
D.肺脓肿
E.肺癌
251、单项选择题
女,31岁,左眼眶外上缘发现一包块,质软,余所见无明显异常,影像所见如图,最可能的诊断是()

A.畸胎瘤
B.错构瘤
C.脂肪瘤
D.表皮样囊肿
E.淋巴管瘤
252、单项选择题 下述哪一个不是右肝下间隙脓肿的常见来源()
A.肝脓肿破裂
B.脾脓肿破裂
C.十二指肠溃疡穿孔
D.右肾周感染
E.胆囊炎并结石穿孔
253、单项选择题
女,57岁,咳嗽,胸闷,胸痛2月余,5年前被确诊为子宫绒毛膜癌,结合影像学检查,最可能的诊断是()
A.肺癌
B.肺结核
C.肺转移瘤
D.结节病
E.矽肺
254、单项选择题
男,51岁,右上腹隐痛2月余,CT扫描如图,最可能的诊断是()
A.胆囊癌伴肝门胰头周围转移
B.胆囊息肉
C.胆囊黄色肉芽肿
D.慢性胰腺炎并胆囊息肉
E.胆囊腺瘤及慢性胰腺炎
255、单项选择题
男,47岁,四肢无力,增强CT检查如图,最可能的诊断为()

A.脑脓肿
B.脑膜瘤
C.胶质瘤
D.转移瘤
E.脑出血
256、单项选择题 有关CT成像过程的论述,错误的是()
A.DAS为数据收集系统
B.图像处理机与控制计算机并行工作
C.计算机可进行重建图像的运算
D.原始数据存储到硬盘
E.探测器输出的是数字信号
257、单项选择题 有关肝脂肪变性的描述,不正确的是()
A.肝硬化脂肪变性与单纯脂肪沉积的病理基础相同
B.肝脾CT值之比<1即可诊断脂肪肝
C.CT平扫肝实质密度明显下降,肝内血管影显示不清或不能显示
D.增强特征与正常肝脏一致,但仍低于增强后的脾脏
E.肝内血管有时受挤压变细,但无推移包绕现象
258、单项选择题
女,36岁,左胸部疼痛不适5天,CT图像如图,应诊断为()
A.胸膜间皮瘤
B.胸腔积液
C.腹腔积液
D.胸膜增厚
E.胸膜钙化斑
259、单项选择题 男,41岁,颈部持续性疼痛1月余,夜间加重,3月前确诊为鼻咽癌,结合影像学检查,最可能的诊断是()
A.椎体压缩性骨折
B.脊椎结核
C.脊椎转移瘤
D.化脓性脊柱炎
E.骨髓瘤
260、单项选择题 属无机碘的对比剂是()
A.碘必乐
B.碘化油
C.碘番酸
D.碘化钠
E.碘苯酯
261、单项选择题
患者50岁,右上腹痛,结合图像,最可能的诊断是()
A.气肿性胆囊炎
B.急性胆囊炎
C.慢性胆囊炎
D.胆囊癌
E.以上都不是
262、单项选择题 关于嗜铬细胞瘤的常见表现,下列说法哪项不正确()
A.均有血清儿茶酚胺增高
B.90%发生于肾上腺区
C.CT及血管造影均有明显染色和增强
D.可有钙化
E.可有中心区坏死及瘢痕
263、单项选择题 大脑中动脉破裂少量出血易出现的部位是()
A.额叶
B.枕叶
C.侧裂池
D.侧脑室
E.四脑室
264、单项选择题 除神经鞘瘤外,腹膜后其他少见良性肿瘤不包括()
A.副神经节瘤
B.血管瘤
C.淋巴管瘤
D.脂肪瘤
E.炎性假瘤
265、单项选择题 男,60岁,右侧肢体功能障碍2小时,CT平扫正常,24小时后复查,CT示左颞叶大片模糊低密度,最可能的诊断为()
A.左颈内动脉支配区急性脑梗死
B.前交通动脉支配区急性脑梗死
C.左大脑中动脉支配区急性颞叶脑梗死
D.左大脑前动脉支配区急性颞叶脑梗死
E.左大脑后动脉支配区急性颞叶脑梗死
266、单项选择题
患者足痛,如图所示,最可能诊断为()
A.骨髓瘤
B.痛风
C.转移
D.骨髓炎
E.骨结核
267、单项选择题
女,24岁,发热畏寒数天,右眼睛疼痛,PE:右眼睑肿胀,结膜充血,伴右眼突出,CT如图所示,最可能的诊断是()
A.Coats病
B.炎性假瘤
C.淋巴瘤
D.眼眶蜂窝织炎
E.眼型Graves病
268、单项选择题 前臂静脉团注增强扫描,肺动脉的循环时大约为()
A.10±秒
B.20±秒
C.30±秒
D.40±秒
E.50±秒
269、单项选择题
女,54岁,腰背部隐痛不适1月余,根据所示图像,最可能的诊断是()
A.左侧单纯性肾囊肿,右肾未见异常
B.左侧肾盂积水合并右侧肾血管平滑肌脂肪瘤
C.左侧单纯性肾囊肿合并右侧肾癌
D.左侧肾盂积水合并右侧肾癌
E.左侧单纯性肾囊肿合并右侧肾血管平滑肌脂肪瘤
270、单项选择题 当咽鼓管和咽隐窝同时张开,在轴位图像上,鼻咽腔可以呈()
A.三角形
B.长方形
C.方形
D.圆形
E.双梯形
271、单项选择题 对该病术前评价和术后随访的最佳方法是()
A.X线平片
B.DSA
C.MSCTA
D.超声成像
E.MRI
272、单项选择题 关于灰阶与CT值关系的叙述,正确的是()
A.高CT值部分被转换为黑色
B.高CT值部分被转换为白色
C.X线衰减越大,转换成灰阶后颜色越深
D.图像中X线未被衰减,将显示为白色图像
E.改变窗宽,也可改变被显示物体的CT值
273、单项选择题 脑外、脑内占位性病变的最主要鉴别点是()
A.增强扫描
B.中线结构的移位
C.脑室大小的改变
D.病变周围的脑皮髓质的移位及局部蛛网膜下腔的改变
E.病变密度
274、单项选择题 关于“神经纤维瘤病”最常见、最特征的脑肿瘤为()
A.视神经胶质瘤
B.双侧听神经瘤
C.多发脑膜瘤
D.三叉神经瘤
E.室管膜瘤
275、单项选择题 脑脓肿的CT表现分为四期,脓肿壁形成晚期是指发病()
A.7天后
B.14天后
C.21天后
D.28天后
E.60天后
276、单项选择题 男,8岁,头痛CT示松果体区有一结节状稍高密度影,明显增强,侧脑室室管膜明显增厚,最可能的诊断为()
A.畸胎瘤
B.脑膜瘤
C.恶性胶质瘤
D.松果体细胞瘤
E.生殖细胞瘤
277、单项选择题
女,1岁,发育低于同龄幼儿,CT检查如图,最可能的诊断为()
A.透明隔囊肿
B.前脑无裂
C.无脑回畸形
D.胼胝体发育不良
E.无脑回伴胼胝体发育不良
278、单项选择题
女,3岁,右耳出生至今耳聋,结合图像,最可能的诊断是()


A.外耳畸形
B.内耳畸形
C.中耳畸形
D.右侧胆脂瘤
E.未见异常
279、单项选择题 颈动脉体瘤的增强特点()
A.早期明显增强,但低于或接近大动脉,停止注射后瘤内造影剂存留时间较动脉长
B.稍有增强
C.明显增强,同血管一致
D.不均匀增强
E.不增强
280、单项选择题
男,56岁,骶部包块7月余,持续性隐痛,结合图像,最可能的诊断是()
A.骨巨细胞瘤
B.血管瘤
C.骨转移瘤
D.淋巴瘤
E.脊索瘤
281、单项选择题 关于胆囊结石的表述,错误的是()
A.CT检查能反映结石的化学成分
B.口服胆囊造影CT检查可表现为低密度充盈缺损
C.CT可作为胆囊结石的常规检查手段
D.结石的中心可由蛔虫皮或虫卵构成
E.泥沙样结石可与胆汁形成密度不同的液平面
282、单项选择题
女,36岁,右上腹痛,有发热,白细胞计数升高,CT检查如图,最可能的诊断是()
A.原发性肝癌
B.肝淋巴管瘤
C.肝脓肿
D.肝黄色肉芽肿
E.肝胆管细胞癌
283、单项选择题 关于CT扫描技术哪项不正确()
A.普通扫描
B.增强扫描
C.高分辨力扫描
D.造影剂均为水溶性有机碘剂
E.造影剂的运用方法有团注法静滴法等
284、单项选择题 以下骨结构或病理改变中,X线或CT上表现为低密度的是()
A.骨皮质
B.骨髓腔
C.矿物质沉积
D.钙化
E.死骨
285、单项选择题 成骨肉瘤好发于()
A.0~10岁
B.10~20岁
C.20~30岁
D.30~40岁
E.40~50岁
286、单项选择题 颅脑CT没有病理意义的钙化是()
A.侧脑室三角区内球形钙化
B.额—颞部脑回状钙化
C.室管膜下结节状钙化
D.灰白质交界小环形钙化
E.松果体直径>10mm不均匀钙化
287、单项选择题 急性脑梗死发病后,CT可无异常发现的时间段为()
A.0~6h
B.0~24h
C.10~12h
D.14~18h
E.32~36h
288、单项选择题 内分泌性突眼CT的表现为()
A.泪腺增大
B.眼球壁增厚
C.视神经增粗
D.眼外肌增厚以肌腱附着处明显
E.眼外肌增厚以肌腹肥厚为著
289、单项选择题 下列哪项不属于CT扫描成像基本步骤()
A.产生X线
B.采集数据
C.重建图像
D.显示图像
E.图像后处理
290、单项选择题
男,68岁,胸闷、气逼1年余,加重1周,右胸有手术史,结合CT图像,最可能的诊断是()
A.右侧气胸并皮下气肿、左侧肺气肿
B.右侧气胸并皮下气肿、左侧肺不张
C.双侧肺气肿
D.右侧气胸并皮下气肿
E.右侧肺间质病变、左侧肺气肿
291、单项选择题 关于CT值的叙述,正确的是()
A.脂肪的CT值一般比水高
B.CT值标尺中,骨的上限是+2000
C.根据图像显示和诊断的需要,设置的一组数值
D.目前,CT值的百分比标尺是2%
E.是根据X线对人体软组织的衰减而设置的
292、单项选择题 胰腺癌最好发于哪个部位()
A.胰头
B.胰颈
C.胰体
D.胰尾
E.胰体、胰尾交界处
293、单项选择题 最容易损伤脊髓的外伤是()
A.横突孔骨折伴其它附件骨折
B.椎体压缩性骨折伴横突骨折
C.胸椎骨折伴肋骨骨折
D.下腰椎骨折,骨折碎片进入椎管
E.胸椎附件骨折,骨折碎片进入椎管
294、单项选择题 胸部CT常规为仰卧位,需同时采用俯卧位的是()
A.肺癌的分期诊断
B.观察肺内肿物形态
C.测量肺内病变大小
D.了解胸水流动性
E.对肺弥漫性病变观察
295、单项选择题 鼻咽鳞状细胞癌的下列描述,错误的是()
A.可破坏邻近组织
B.倾向于血行转移
C.倾向于淋巴道转移
D.与EB病毒感染有关
E.颈深上部淋巴结转移最常见
296、单项选择题
根据所提供图像,最可能的诊断是()
A.骨髓炎
B.骨肿瘤
C.外伤
D.肺癌
E.结核
297、单项选择题 关于重组图像的原理,正确的叙述是()
A.重组图像就是图像重建
B.用计算机对原始数据进行运算得到显示数据矩阵
C.用计算机将各不同层面的像素重新排列的技术
D.重新组成三维的图像
E.重新组成三维空间中任一平面的图像
298、单项选择题 侵袭性垂体腺瘤的表现为()
A.起源于垂体后叶
B.多显示平直的鞍膈
C.可以经海绵窦上侵及鞍旁
D.不会经海绵窦下侵及鞍旁
E.推移包绕颈外动脉
299、单项选择题 胰腺癌CT主要的直接征象是哪项()
A.肿瘤侵犯胰周脏器
B.胰管阻塞
C.胆总管阻塞
D.胰腺局部增大、肿块形成
E.肿瘤侵犯胰周血管
300、单项选择题 “轨道征”常见于下列哪种病变()
A.黑色素瘤
B.视神经鞘脑膜瘤
C.眶内炎性假瘤
D.视网膜母细胞瘤
E.视神经胶质瘤