时间:2025-05-24 07:34:44


1、名词解释 脊椎滑脱
2、判断题 髓核脱出以腰椎4~5及腰椎5~骶椎1最多见,患者常有脊髓及脊神经根压迫症状。
3、单项选择题
男,45岁,双足肿痛,晨僵,结合图像,最可能的诊断是()
A.关节结核
B.痛风性关节炎
C.类风湿关节炎
D.牛皮癣性关节炎
E.Reiter综合征
4、问答题 气胸的X线表现有哪些?
5、单项选择题 下列关于左侧上腔静脉的错误描述是()
A.位于主动脉弓外侧
B.下行于肺动脉主干的外侧
C.经左肺门前方进入左房与左室之间的冠状窦
D.增强扫描有助于与淋巴结鉴别
E.右上肢静脉注射造影剂并快速动脉早期扫描可清楚显示
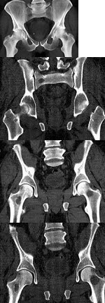
6、单项选择题
男,8岁,右髋疼痛,活动受限,结合图像,最可能的诊断是()
A.股骨头骨骺缺血坏死
B.髋关节结核
C.剥脱性骨软骨炎
D.退行性骨关节病
E.骨纤维异常增殖症
7、填空题 乳腺主要构成基础是_______,它是由_______及_______等构成,有_______个乳腺叶。
8、单项选择题 普通X线摄片,胶片吸收的光能中,增感屏的荧光能量占()
A.75%
B.80%
C.85%
D.90%
E.95%
9、单项选择题 齿状突顶端超过腭枕线多少,可诊断为颅底凹陷症()
A.2mm
B.2.5mm
C.3mm
D.4mm
E.5mm
10、多项选择题 X线摄片中,X线与物质作用的概率的叙述,正确的是()
A.相干散射5%
B.光电效应约70%
C.康普顿效应约25%
D.电子对效应15%
E.光核反应2%
11、单项选择题
女婴,出现持续性呕吐,腹胀,如图所示,最可能的诊断为()

A.肠梗阻
B.肠扭转
C.肠闭锁
D.肠旋转不良
E.肠穿孔
12、单项选择题 常用医用硫酸钡作对比剂的造影部位是()
A.胃肠道造影
B.脑血管造影
C.胆囊造影
D.椎管造影
E.泌尿系造影
13、单项选择题 "眼窝变小"见于下列哪种情况()
A.甲状腺性突眼
B.先天性青光眼
C.组织细胞增生症
D.冠状缝早闭
E.视网膜母细胞瘤
14、单项选择题 下述为节育器在盆腔正位投照时的正常形态,但除外()
A.扁圆形
B.长圆形
C.圆形
D.纵“一”字形
E.横“一”字形
15、单项选择题 关于“单纯性骨囊肿”CT表现错误的是()
A.囊内偶有间隔
B.囊内容物CT值近似水
C.位于肱骨骨干者可有硬化缘
D.位于长骨骨干者骨皮质变薄
E.合并病理骨折时,可出现"碎片陷落征"
16、单项选择题 肺淤血是指()
A.肺动脉血流量增加
B.肺静脉血流量增加
C.肺动脉血流量减少
D.肺静脉血流量减少
E.以上均不是
17、多项选择题 下列哪些是进展性结肠癌的X线表现()
A.粘膜皱襞迂曲
B.粘膜皱襞破坏
C.充盈缺损
D.龛影
E.环形狭窄
18、单项选择题 下列骨质疏松影像表现中,哪项不正确()
A.骨小梁稀少、间隙增宽
B.骨密度减低
C.骨小梁改变首先出现在负重骨小梁
D.骨皮质变薄
E.病理性骨折
19、判断题 尤文(EWing)肉瘤起源于骨髓未分化的间充质支持细胞,恶性程度高,发展快,病程短。
20、单项选择题 下列哪项表现不支持纵隔神经源性肿瘤的诊断()
A.肿物位于后纵隔
B.肿物呈软组织密度
C.肿物有增强
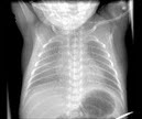
D.肿物内可见空洞
E.邻近结构侵犯
21、单项选择题 对骨巨细胞瘤和动脉瘤样骨囊肿的描述中,错误的是()
A.骨巨细胞瘤较多侵犯脊柱
B.两者放疗效果均好
C.骨骺板对动脉瘤样骨囊肿有限制作用
D.骨巨细胞瘤多发生于成熟期骨骼
E.动脉瘤样骨囊肿既见于生长期也见于成熟期骨骼
22、单项选择题 正位胸片上,胸锁关节相当于()
A.第二后肋水平
B.第四后肋水平
C.第四胸椎水平
D.气管分叉水平
E.左心耳水平
23、填空题 早期食管癌大体病理形态可分为四型,分别为________、_________、_________和____________。
24、名词解释 陈旧性关节脱位
25、单项选择题 下列哪项对溶骨型骨转移瘤的X线表现描述不正确()
A.多呈虫蚀状、鼠咬状骨质破坏
B.可单骨或多骨发病
C.骨膜反应常见
D.可并发病理性骨折
E.可合并软组织肿块
26、单项选择题 下列“骨纤维异常增殖症”描述,哪项不对()
A.可多同时发病
B.发育成熟后,停止生长
C.可恶变
D.常有病理骨折、畸形
E.好发于骨干,病变较局限
27、单项选择题 肺挫伤为()
A.X线胸片呈肺野磨玻璃样变或面纱征
B.X线胸片呈多发边缘锐利、密度均匀高密度影
C.X线胸片呈一侧胸腔一片致密均匀阴影,纵隔向健侧移位
D.X线胸片呈纵隔气肿,大量气胸
E.X线胸片呈心影明显增大,心脏各弧消失
28、多项选择题 下列哪些是观察胆囊生理功能的检查方法()
A.胆囊区平片
B.口服胆囊造影
C.静脉胆道造影
D.T型管造影
E.经皮肝穿刺胆管造影
29、单项选择题 关于“小肠Crohn病”影像的描述,错误的是()
A.环肠壁对称性侵犯
B.鹅卵石征
C.小肠多发狭窄
D.肠壁增厚
E.口疮样小溃疡
30、单项选择题 下列胃肠道造影能证实能明确诊断胆系疾病是()
A.胆囊癌
B.胆囊腺肌增生症
C.胆道蛔虫
D.重复胆囊
E.慢性胆囊炎
31、单项选择题 尾骨前后位,中心线应()
A.向足侧倾斜15°~30°
B.向头侧倾斜15°~30°
C.向足侧倾斜10°
D.与检查床垂直
E.向前沿侧倾斜10°
32、单项选择题 急性胆囊炎最常见的原因是()
A.胆囊管过长、扭曲
B.螺旋瓣异常
C.肿瘤压迫
D.胆石嵌顿
E.蛔虫阻塞
33、单项选择题 “良性骨肿瘤”发病率的顺序依次为()
A.骨软骨瘤>巨细胞瘤>软骨瘤>骨瘤
B.骨软骨瘤>软骨瘤>巨细胞瘤>骨瘤
C.骨瘤>巨细胞瘤>软骨瘤>骨软骨瘤
D.巨细胞瘤>骨软骨瘤>软骨瘤>骨瘤
E.骨瘤>骨软骨瘤>巨细胞瘤>软骨瘤
34、单项选择题 良性骨肿瘤的主要X线表现是()
A.骨质破坏,边缘清楚
B.骨质破坏,边缘模糊
C.明显骨膜反应
D.空腔形成
E.多处虫蛀状破坏
35、单项选择题 下述体表定位标志的描述,哪项不正确()
A.两侧髂嵴连线:第4腰椎水平
B.剑突:第7胸椎水平
C.喉结:第4颈椎水平
D.剑突与肚脐连线中点:第1腰椎水平
E.颈部棘突最长:第7颈椎
36、多项选择题 肝胆显像的临床应用价值()
A.肝移植的监测
B.胆管闭锁及新生儿肝炎的鉴别诊断
C.肠胃反流的诊断
D.黄疸的鉴别诊断
E.胆管旁路手术后检测引流异常及梗阻部位的定位
37、判断题 胫腓骨双骨折时,胫骨骨折部位多比腓骨的高。
38、单项选择题 心脏右前斜位片主要观察()
A.右心房、肺动脉主干
B.左心房、左心室
C.左心房、肺动脉主干和右心室
D.左心室、右心室
E.气管分杈、主动脉窗
39、多项选择题 左心房增大可见于()
A.动脉导管未闭
B.单纯继发孔型房间隔缺损
C.膈上型完全性异位肺静脉引流
D.三尖瓣畸形
E.室间隔缺损
40、填空题 克罗恩(Crohn)病有___________、____________和__________等并发症。
41、单项选择题 影响X线照片影像清晰度的因素,不包括()
A.影像放大率
B.胶片对比度
C.摄片管电压
D.摄片时间
E.是否用造影剂
42、判断题 小肠憩室是指小肠壁局限性突出呈囊袋状。
43、多项选择题 有关摄片距离的叙述,正确的是()
A.焦-片距又称FFD
B.焦-片距增大,模糊度增大
C.焦-物距增大,模糊度增大
D.物-片距减小,模糊度增大
E.焦-物距减小,模糊度增大
44、填空题 耳腭指综合征手 X线表现是:____________________、___________、_________________、______________、______________、_______________、_________________和__________________。
45、填空题 外耳和中耳均由_________发育而来,内耳由________发育而来。
46、多项选择题 变压器油的作用是()
A.吸收水分
B.绝缘
C.降低湿度
D.散热
E.增加重量
47、判断题 肺包虫囊肿病若外囊破裂并与支气管相通,即形成“水上浮莲”征。
48、单项选择题 下列哪种征象提示为肺泡性肺水肿()
A.Kerley A线或B线
B.上肺静脉扩张
C.蝶状阴影
D.叶间胸膜肥厚
E.肺门阴影增大模糊
49、名词解释 Robinow综合征
50、多项选择题 肺不张的范围可以是()
A.一侧性
B.双侧性
C.肺叶性
D.肺段性
E.小叶性
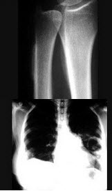
51、单项选择题 下列关于“Albright综合征”描述中,哪项错误()
A.多骨受累
B.骨干变形
C.毛玻璃样密度,偶有钙化
D.平片可见到囊样透亮区
E.少数可恶变
52、判断题 肺包虫囊肿破裂可形成支气管瘘,咳出部分囊液且空气进入囊内后可出现气液面。
53、单项选择题 肺叶内型肺隔离症静脉回流多经()
A.肺静脉
B.下腔静脉
C.上腔静脉
D.奇静脉
E.半奇静脉
54、多项选择题 下列疾病中,哪些钙化少见()
A.矽肺
B.肺癌
C.错构瘤
D.慢性肺炎
E.肺结核
55、多项选择题 下列哪些疾病可引起视神经孔增大()
A.视神经胶质瘤
B.视神经鞘瘤
C.畸形性骨炎
D.蝶骨嵴脑膜瘤
E.颅内疾病
56、配伍题 纵隔气肿可见于()肺气肿可见于()肺下积液可见于()
A.横膈矛盾运动
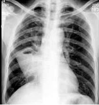
B.横膈连续征
C.横膈下降
D.横膈上升
E.假横膈
57、多项选择题 左心室增大主要见于()
A.高血压病
B.主动脉瓣病变
C.二尖瓣关闭不全
D.室间隔缺损
E.动脉导管未闭
58、单项选择题 锁骨正位片:锁骨显示为∽形弯曲为()
A.肩关节旋转所致
B.肩关节抬高所致
C.肩关节外展所致
D.肩关节内收所致
E.肩关节倾斜所致
59、单项选择题 下列关于正常纵隔的描述,错误的是()
A.后前位胸片,纵隔位于胸部中央
B.主要由心脏、大血管和气管构成
C.肺门位于下纵隔
D.心脏位于中、下纵隔
E.四分法,上纵隔位于胸片柄下缘与第四胸椎下缘连线以上
60、单项选择题 输卵管全长8~14cm,由内向外分为()
A.间质部、壶腹部、伞部、峡部
B.间质部、峡部、壶腹部、伞部
C.壶腹部、间质部、峡部、伞部
D.峡部、壶腹部、间质部、伞部
E.伞部、间质部、峡部、壶腹部
61、单项选择题 用于胃肠道造影的对比剂是()
A.硫化钡
B.氯化钡
C.碳酸钡
D.硫酸钡
E.氰化铂钡
62、名词解释 喷射征
63、名词解释 单纯异位肾
64、单项选择题
成骨不全症需与下列各病进行鉴别诊断,应除外哪一种()
A.软骨发育不全症
B.干骺发育不良症
C.维生素C缺乏症
D.脆骨症
E.维生素D缺乏病
65、单项选择题 慢性肺源性心脏病的X线诊断依据是()
A.心脏突然增大,肺动脉段突出,上腔静脉扩张
B.肺部淤血,肺动脉高压,右心室增大
C.肺血管增粗,右心房增大,肺动脉段突出
D.肺部慢性病变,肺动脉高压,右心室增大
E.肺部充血,肺循环高压,右心房增大
66、名词解释 张力性气胸
67、问答题 骨膜反应对病变的定性诊断价值如何?
68、单项选择题 前后位腹部平片右上腹发现钙化灶,为鉴别其是肾结石还是胆结石,最简单的方法是()
A.全腹部CT检查
B.摄立、卧位腹部平片对照
C.加摄腹部侧位片
D.IVU
E.上腹部MRI扫描
69、多项选择题 胸片上,空洞可见于下列哪些疾病()
A.转移性肺癌
B.原发性肺癌
C.韦格肉芽肿
D.原发性肺结核
E.嗜酸性肉芽肿
70、单项选择题 透光性低密度结石的主要成分是()
A.草酸钙
B.磷酸钙
C.磷酸胺镁
D.胱氨酸钙
E.尿酸类
71、名词解释 结核性指骨炎
72、单项选择题 关于健康成人脊柱的叙述,正确的是()a.枢椎为第1颈椎b.颈椎共7个椎体c.骶椎没有棘突d.肋骨在胸骨处连接e.腰椎呈自然前凸
A.a,b,c
B.a,b,e
C.a,d,e
D.b,c,d
E.b,c,d,e
73、单项选择题 下列关于系统性硬皮病影像表现,错误的是()
A.早期,双下肺网状结节影
B.晚期,蜂窝肺
C.双肺门淋巴结明显增大
D.可有肺动脉高压
E.可合并肺泡癌
74、单项选择题 乳突双15°侧位,亦称为()
A.劳氏位(LaW位)
B.许氏位(Schuller位)
C.伦氏位(Runstrom位)
D.梅氏位(Mayer位)
E.斯氏位(Stenever位)
75、单项选择题 蝶鞍位于下列哪一个骨中()
A.筛骨
B.枕骨
C.颞骨
D.蝶骨
E.额骨
76、单项选择题 易与胰头肿块混淆的是()
A.门腔淋巴结
B.右肾上腺
C.右侧膈肌脚
D.十二指肠
E.胃幽门管
77、单项选择题 后前位胸片上,高血压心脏病患者右心缘第一弓通常由哪种结构构成()
A.上腔静脉
B.升主动脉
C.左室流出道
D.降主动脉
E.右室流出道
78、名词解释 骨折
79、判断题 叶间积液可单独存在,也可与胸腔游离积液并存。
80、单项选择题 关于小儿髋关节摄片技术,错误的是()
A.双侧髋关节摄影在同一张胶片上
B.使用低速增感屏
C.左右标记要准确
D.髋关节及股骨位置左右对称
E.非检查部位用铅皮遮盖
81、单项选择题
男,54岁,咳嗽咳痰,胸痛,痰中带血丝,近2月明显,消廋乏力,有吸烟史30余年,胸片如图,最可能的诊断是()

A.左肺结核瘤
B.肺转移瘤
C.炎性假瘤
D.原发性肺癌
E.结节病
82、名词解释 家族性结肠息肉综合征
83、名词解释 穿透性溃疡
84、单项选择题 下列“多发性软骨瘤”诊断要点中,哪项错误()
A.单侧或双侧发病
B.手足短管状骨罕见
C.5%可恶变
D.圆形、卵圆形密度减低影
E.瘤内散在分布有大量点状钙化
85、多项选择题
男,12岁,上腹痛1周,无规律,无黑便史。体检:剑突下有压痛,结合图像,最可能的诊断是()

A.正常表现
B.胃炎
C.十二指肠炎
D.十二指肠溃疡
E.十二指肠占位
86、多项选择题 空、回肠肿瘤的X线表现有()
A.充盈缺损
B.肠套叠
C.龛影
D.肠袢推移
E.肠梗阻
87、判断题 肺-肾综合征血清学检查抗基底膜抗体常为阴性。
88、单项选择题 高血压性心脏病的X线表现,哪项除外()
A.心脏呈主动脉型
B.主动脉增宽
C.主动脉结膨凸
D.主动脉结缩小
E.左心室肥厚
89、单项选择题 关于胸椎摄影,下列选项中正确的是()
A.上腰椎或下颈椎
B.只需摄待检胸椎局部正侧位片
C.下颈椎
D.上腰椎
E.以上都不对
90、单项选择题 肺动脉高压的典型表现为()
A.出现间隔线
B.残根征
C.肺野透亮度减低
D.多继发于左心衰
E.肺纹理增粗,结构模糊
91、单项选择题 关于CR的工作原理,错误的是()
A.IP由基层荧光体层和保护层构成
B.透过人体的X线光子以潜影形式储存在荧光层的晶体内
C.透过人体的X线光子被IP转换成数字图像
D.IP在读出装置接受激光束扫描
E.激发束激发出的荧光与潜影成正比
92、单项选择题 有关摄片条件选择中可变因素的叙述,哪项不妥()
A.应把不随意运动器官的移动作为移动因素中的主要矛盾处理
B.同一厚度的两个健康人的胸部照片,摄片条件应一致
C.同部位同厚度的慢性骨髓炎与骨结核相比,需要增加摄片条件
D.被照体构成组织比例是摄片条件选择的重要可变因素
E.病理因素对摄片条件的影响十分复杂,较难掌握,应不断积累临床经验
93、单项选择题 成人颅内压增高时,蝶鞍的骨质吸收最早发生于()
A.前床突
B.鞍底
C.蝶鞍下部
D.后床突及鞍背
E.鞍结节
94、单项选择题 关于游走脾的说法,不正确的是()
A.血管造影可明确脾的位置
B.左上腹、脾影消失,脾窝内见肠管影占据
C.肾盂造影,可见左肾向上移位
D.位于正常位置以外的腹腔内其他部位
E.一种常见的先天异常
95、判断题 结核性冷脓肿以腰椎结核最常见。
96、多项选择题 关于CR成像优缺点的叙述,错误的是()
A.X线剂量比常规X线摄片降低
B.可与原有的X线摄片设备匹配工作
C.有后处理功能
D.时间分辨率高
E.空间分辨率高
97、单项选择题
男,5岁,反复呛咳,张口呼吸,有鼾声,鼻腔分泌物多。X线检查如图所示,最可能的诊断是()
A.鼻窦炎
B.鼻息肉
C.扁桃体炎
D.腺样体肥大
E.鼻炎
98、多项选择题 肘部继发性骨化中心包括()
A.肱骨小头骨化中心
B.滑车内侧部骨化中心
C.桡骨小头骨化中心
D.滑车外侧部骨化中心
E.内上髁和外上髁骨化中心
99、单项选择题 以下关于“脊柱硬膜外脓肿”特点中,哪项正确()
A.骶管最常见
B.多位于椎管前方
C.葡萄球菌感染,邻近椎骨常破坏
D.结核感染,邻近椎骨常破坏
E.“制动+抗生素”疗效最佳
100、单项选择题 结核杆菌最多通过什么途径进入骨或关节部位()
A.直接扩散
B.淋巴系统
C.开放性损伤
D.血液循环
E.呼吸道传播
101、单项选择题 下列哪种疾病,无弥漫性肺泡实变改变()
A.肺泡微石症
B.误吸石蜡
C.肺出血性肾小球肾炎
D.肺泡蛋白沉积症
E.成人呼吸窘迫综合征
102、单项选择题 下列肺隔离症影像表现,错误的是()
A.多位于左下叶
B.多为类圆形影
C.病变实质密度,不含气
D.早期明显强化
E.边缘清晰
103、单项选择题 以下选项中,可提高“图像对比度”的因素是()
A.管电压过高
B.使用滤线器
C.被照物体太厚,密度过大
D.使用遮光器
E.胶片过期
104、单项选择题
女,6个月,身体发育异常,眼巩膜呈蓝色,结合图像,最可能的诊断为()
A.成骨不全
B.粘多糖病
C.软骨发育不全
D.佝偻病
E.侏儒症
105、单项选择题 有关锐利度和模糊度的叙述,错误的是()
A.模糊度也称不锐利度
B.模糊度以长度(mm)量度
C.照片的锐利度与模糊值成反比
D.物体越小,照片对比度越低,模糊值小
E.模糊值一定时,随对比度增加锐利度越好
106、填空题 导致胸腺增大的病变主要有__________、________、____________、___________。
107、单项选择题 下列哪项保存方法不会使X线胶片出现灰雾()
A.胶片放置在铅皮破损的铅箱内
B.胶片与化学药品类存放在同一库房内
C.胶片放置在符合要求的完好的铅箱内,并投放了干燥剂
D.胶片存放在热力、煤气管道的地下室库房内
E.胶片在低温、高湿度的霉雨季节启封存放
108、单项选择题 泌尿系统结核最常见的感染途径是()
A.淋巴系统途径
B.呼吸系统途径
C.消化系统途径
D.血行播散
E.接触传染途径
109、单项选择题 急性化脓性骨髓炎的X线片主要表现为()
A.骨膜增生
B.骨质破坏
C.死骨形成
D.新生骨
E.出现钙化
110、单项选择题 下列寄生虫中,哪项不常引起肺部感染()
A.肺吸虫
B.包虫
C.血吸虫
D.绦虫
E.溶组织阿米巴
111、填空题 成人股骨头缺血坏死股骨头塌陷可发生于低密度区出现前后或同时,表现为股骨头_________、________、________、________和___________。
112、单项选择题 骨盆骨折时,易受损的是哪一部分尿道()
A.前列腺部尿道
B.球部尿道
C.膜部尿道
D.悬垂部尿道
E.以上都不是
113、单项选择题 下述除哪项外均为影响骨骼钙代谢的主要因素()
A.血清中钙磷含量的高低
B.体内维生素B含量的高低
C.小肠中钙、磷吸收的多少
D.甲状旁腺毒性与维生素D的比例关系
E.肾脏对Ca的再吸收与排泄作用
114、单项选择题 观察主动脉各部的最佳体位是()
A.右侧位
B.左侧位
C.后前位
D.右前斜位
E.左前斜位
115、单项选择题
男,15岁,畏寒,高热2周,摄片如图所示,下列描述正确的是()
A.骨质广泛性溶骨性破坏
B.少许骨质增生硬化
C.大量层状骨膜增生
D.以上描述均正确
E.以上描述均不正确
116、单项选择题 女,35岁,右肺上叶后段薄壁空洞,直径3cm,内有较小的液面,空洞周围肺内有渗出病变,右下叶及左肺中下野有多发斑片状渗出影,最可能的诊断是()
A.肺结核病(干酪性肺炎)
B.肺脓肿
C.血源性肺脓肿
D.空洞型肺癌
E.肺霉菌病
117、单项选择题
男,35岁,发热、贫血、血尿,有副鼻窦炎,结合X线图像,最可能的诊断是()

A.肺脓肿
B.周围型肺癌
C.肺转移瘤
D.肺结核
E.韦格肉芽肿
118、单项选择题 外伤间接暴力是指()
A.外力传导
B.坠落
C.砸伤
D.锐器伤
E.撞击
119、单项选择题 胸片上,肺静脉高压最早出现的影像为()
A.下肺静脉收缩
B.间质性肺水肿
C.上肺静脉扩张
D.下肺静脉收缩
E.上、下肺静脉均收缩
120、填空题 鼻真菌病常见致病菌有__________、_________和__________。
121、多项选择题 关节基本病变的X线表现为()
A.关节肿胀
B.关节破坏
C.关节退行性变
D.关节强直
E.关节脱位
122、多项选择题 骨关节病与摄片体位的组合,正确的是()
A.柯莱斯骨折——腕关节正侧位
B.肱骨外科颈骨折——肱骨外科颈正位
C.腕部舟状骨骨折——腕关节尺偏位(外展位)
D.肩胛骨高位症——肩胛骨正位
E.尺神经沟病变——尺神经沟特殊位
123、单项选择题 正常肺腺泡直径为()
A.6~8mm
B.15mm
C.10mm
D.20mm
E.25mm
124、单项选择题 下列哪种疾病肺血异常()
A.马方(Marfan)征
B.特发性肺动脉扩张
C.先天性主动脉狭窄
D.先天性肺动脉瓣关闭不全
E.原发性肺动脉高压
125、单项选择题 下列说法正确的是()
A.颈椎前凸线的弧距小于6mm为颈椎强直
B.颈椎侧位片上,第4、5颈椎椎体前部可稍变窄,轻度楔形变
C.颈左后斜位检查颈椎左侧椎间孔,颈椎右后斜位检查颈椎右侧椎间孔
D.颈椎侧位片上椎间隙宽度约为邻近椎体高度的1/3~1/2
E.正常情况下,第5椎间孔最小
126、单项选择题
女,出生2天,呼吸困难、发绀,结合图像,最可能的诊断是()

A.呼吸窘迫综合征
B.新生儿肺炎
C.法洛四联征
D.新生儿支气管炎
E.胎粪吸入综合征
127、单项选择题
女,45岁,结合图像,最可能的诊断是()
A.类风湿关节炎
B.痛风
C.假痛风
D.牛皮癣性关节炎
E.神经性关节病
128、单项选择题 最易引起有肺气囊的肺炎病菌是()
A.肺炎杆菌
B.葡萄球菌
C.链球菌
D.病毒
E.肺炎链球菌
129、问答题 成人股骨头缺血坏死的X线表现有哪些?
130、单项选择题 关于髋关节正位标准片所见,哪项不确切()
A.照片包括髋关节、股骨近端1/3,同侧耻坐骨及部分髂骨翼
B.股骨头位于照片上1/3正中,大粗隆与股骨颈相重叠1/3
C.股骨颈及闭孔无投影变形
D.髋关节骨纹理清晰锐利
E.小髋关节正位必须双侧对比显示
131、多项选择题 骨折延迟愈合或不愈合常见于()
A.距骨骨折
B.胫骨上1/3骨折
C.舟骨骨折
D.股骨颈骨折
E.肱骨干骨折
132、单项选择题 男,5岁,腹痛,黏液便并偶带血10余天。钡灌肠见乙状结肠远端有1×1cm大小圆形充盈缺损,边缘光滑锐利,有一定活动度。首先考虑的诊断为()
A.结肠息肉
B.结肠息肉恶变
C.结肠癌
D.结肠憩室
E.结肠炎
133、单项选择题
男,46岁,双髋部疼痛,实验室检查血钙升高,尿本周蛋白(+),结合图像,最可能的诊断是()
A.骨髓瘤
B.骨质疏松症
C.骨转移瘤
D.骨囊肿
E.动脉瘤样骨囊肿
134、单项选择题 痛风早期最易侵犯的关节为()
A.踝关节
B.指间关节
C.第一跖趾关节
D.趾间关节
E.第1掌指关节
135、单项选择题 除哪种疾病外,均可出现纵隔增宽表现()
A.胸主动脉瘤
B.纵隔脓肿
C.纵隔血肿
D.慢性纤维空洞型肺结核
E.纵隔肿瘤
136、多项选择题 肺隐球菌病的X线征象有()
A.病灶可单发或多发
B.病灶呈斑片状、圆形或结节炎性浸润
C.病灶的边缘比较模糊
D.肺门和纵隔淋巴结常增大
E.晚期病变可有播散
137、单项选择题 表示空间分辨率的单位是()
A.半值全宽
B.对比度指数
C.百分线对数(LP%)
D.cm线对数(LP/cm)
E.厘米线对数(LP/cm)
138、判断题 特发性含铁血黄素沉着症患者痰中有吞噬含铁血黄素的巨噬细胞,血清抗基底膜抗体为阳性。
139、多项选择题 下列有关子宫肌瘤的描述,正确的是()
A.常见症状为子宫出血,经量多
B.30岁以上妇女有50%患此病
C.是常见的子宫良性肿瘤
D.有的仅因腹部包块就诊
E.以上均正确
140、填空题 右位主动脉弓按降主动脉位置分成两型,即___________________为Ⅰ型,_______________________为Ⅱ型。
141、单项选择题 肺结核的卫星灶的病理改变是下列哪项()
A.渗出灶
B.增殖灶
C.纤维化灶
D.空洞
E.钙化灶
142、单项选择题 正常肺纹理,主要由哪种结构构成()
A.支气管
B.淋巴管
C.肺泡
D.肺间质
E.肺血管
143、单项选择题 骨盆的常规摄片位置()
A.前后位
B.后前位
C.侧位
D.斜位
E.轴位
144、单项选择题 与CT比较,MRI用于心脏的检查,具有下列优势,哪项除外()
A.可获得标准的三维图像和斜位图像
B.对心脏形态、结构和病变的显示能力更高
C.改变扫描序列可提高病变的识别和鉴别能力
D.检查的时间更短
E.无X线的副作用
145、单项选择题 关于胶片的叙述,错误的是()
A.晶体颗粒大,感光度高
B.晶体颗粒分布均匀,对比度高
C.晶体颗粒大小不一,宽容度高
D.晶体颗粒小,分辨率低
E.晶体颗粒小,涂层薄,清晰度好
146、填空题 主动脉夹层DeBakey分型,Ⅰ型_________________________,Ⅱ型_________________________,Ⅲ型_____________________。
147、单项选择题 关于散射线及其影响因素的叙述,错误的是()
A.散射线是指离开原射线线束方向的射线
B.管电压越高,散射线越多
C.增感屏感度越高,散射线越少
D.在一定厚度内,被照物体越厚,散射线越多
E.照射野与散射线有密切关系
148、单项选择题 肺叶外型肺隔离症的供血动脉来自()
A.肋间动脉
B.腹主动脉
C.升主动脉
D.门静脉
E.奇静脉
149、单项选择题 下述哪种疾病的特征影像是反S征()
A.右上肺中央型肺癌
B.右下肺周围型肺癌
C.右下肺肺脓肿
D.左下叶背段结核瘤
E.左上肺错构瘤
150、名词解释 骨折不愈合
151、单项选择题 关于骨盆摄片错误的叙述是()
A.常用于外伤及骨质破坏的检查
B.骨盆侧位可用于检查异物位置
C.中心线应向足侧倾斜20°角
D.成人摄片都需要使用滤线器
E.骨盆整体片应完全包括骨盆诸骨
152、单项选择题 属“生理积聚造影方法”的是以下哪种()
A.钡灌肠检查
B.IVU
C.钡餐检查
D.ERCP
E.PTC
153、单项选择题 X线自左前经右后达胶片称()
A.右前斜位
B.左前斜位
C.左后斜位
D.右后斜位
E.侧位
154、单项选择题 关于桡腕关节的描述正确的是()
A.由桡骨下端的腕关节面构成关节窝
B.属椭圆关节
C.由近侧副腕骨构成关节头
D.伸蜘宙度大于屈,外展的幅度大于内收
E.舟骨、月骨、三角骨、钩状骨均参与构成
155、单项选择题 肺间质性病变的X线表现是()
A.肺实变
B.片状或腺泡结节阴影
C.蜂窝状透光改变
D.肺不张
E.表现为线状、网状、条索状及粟粒状阴影
156、单项选择题 早期胃癌的分型依肉眼形态为()
A.2型和4亚型
B.3型和3亚型
C.3型和4亚型
D.4型和3亚型
E.5型和2亚型
157、填空题 肺炎性假瘤是由__________、_________、____________、__________、____________及_____________等组成的肉芽肿。
158、问答题 在胸部侧位片上哪些征象对疾病的诊断有利?
159、问答题 以振动压路机为例,对其制动系统的一级维护(每200工作小时进行)包括哪些作业项目?
160、填空题 支气管肺炎在小叶内可经________及________蔓延,也可通过分隔不全的___________蔓延至邻近小叶,还可经_________蔓延至邻近或远隔小叶。
161、填空题 囊状肺动静脉瘘的典型X线表现为:__________________、___________、____________、______________和_______________。
162、单项选择题 最常用于“子宫输卵管造影”的造影剂是以下哪项()
A.Gd-DTPA
B.钡剂
C.碘泛酸
D.40%碘化油
E.空气
163、填空题 正常迷路骨壁由__________、__________及_________组成。
164、多项选择题 影响辐射损伤的因素是()
A.剂量率
B.照射方式
C.照射部位和范围
D.辐射线性质
E.辐射线剂量
165、单项选择题 反复便秘,右上腹痛,向右肩部放射。立位腹平片见右侧肝膈之间有宽窄不等的横带状透亮区,其内可见半月状皱襞,最可能的诊断是()
A.间位结肠
B.胆囊周围炎
C.慢性肠梗阻
D.膈下脓肿
E.消化道穿孔
166、填空题 肺内出血表现为__________、___________或__________阴影。
167、多项选择题 消化道粘膜的改变包括()
A.粘膜皱襞增粗、扭曲
B.龛影
C.粘膜破坏
D.粘膜皱襞纠集
E.微皱襞的改变
168、多项选择题 放射防护的基本原则是()
A.实践的正当化
B.放射防护最优化
C.个人剂量限值
D.机房的防护
E.患者的防护
169、单项选择题 心脏右前斜位摄片,曝光前须先()
A.口服硫酸钡
B.浅呼吸屏气
C.深吸气屏气
D.平静呼吸屏气
E.腹式呼吸屏气
170、多项选择题 关于股骨正位摄片条件选择,正确的是()
A.使用滤线器
B.平静呼吸方式
C.FFD为75~120cm
D.总滤过≤25mm的铝
E.体表入射剂量≥1.0mGy
171、单项选择题
男,63岁,进行性吞咽困难1月。食管钡餐示:食管下段粘膜不规则充盈缺损,管腔狭窄,贲门扩张欠佳。
发现肝内转移,则转移途径为()
A.直接浸润
B.淋巴转移
C.种植转移
D.血行转移
E.消化道粘膜下浸润
172、单项选择题
男,71岁,脾大、腹水、肝管结石2年,结合图像,最可能的诊断为()

A.正常表现
B.会厌征
C.食管多发憩室
D.食管溃疡
E.食管癌
173、多项选择题 空洞洞壁的成分可以是()
A.坏死组织
B.肉芽组织
C.纤维组织
D.肿瘤组织
E.正常组织
174、配伍题 属于肠系膜上动脉分支的有()属于肠系膜下动脉分支的有()
A.胃左动脉
B.腰动脉
C.肾动脉
D.左结肠动脉
E.右结肠动脉
175、单项选择题 以下属于膜内化骨的骨骼是()
A.颅盖骨及颜面骨
B.四肢骨
C.脊椎骨
D.不规则骨
E.以上均是
176、单项选择题 X线管阴极的作用是()
A.发射电子并聚焦
B.只发射电子
C.只聚焦
D.散热
E.产生X线
177、单项选择题 图像上相邻两点之间的密度差是()
A.清晰度
B.密度
C.失真度
D.锐利度
E.对比度
178、配伍题 肠套叠()新生儿胃穿孔()先天性肥厚型幽门狭窄()先天性十二指肠闭锁()
A.足球征
B.弹簧圈表现
C.双泡征
D.肩样征
E.单泡征
179、单项选择题 胸部后前位摄片胶片下缘应包括()
A.第6胸椎
B.第8胸椎
C.第10胸椎
D.第12胸椎
E.第3腰椎
180、单项选择题 大叶性肺炎的典型影像学变化可见于病变的()
A.充血期
B.实变期
C.消散期
D.消散期之初
E.病变全程
181、单项选择题 老年性和绝经后骨质疏松骨质改变的描述中,下列哪项是错误的()
A.骨小梁纤细而清晰
B.骨小梁有规律吸收消失
C.应力性小梁首先消失
D.骨皮质变薄
E.皮质骨内可见纵行透亮条纹或虫蚀样透亮区
182、单项选择题 摄胸椎侧位片时,中心线应对准以下哪项()
A.胸骨角水平
B.胸廓入口水平
C.剑突水平
D.肩胛骨下角水平
E.剑突下2cm
183、单项选择题 关于支气管哮喘,下列要点错误的是()
A.发作间期,肺功能可正常
B.发作时,胸片示肺动脉高压表现
C.感染时,胸片有明显轨道征
D.发作期,肺血流量、通气量比值有所改善
E.呼气相,中心支气管不对称性萎陷
184、多项选择题 十二指肠炎的影像特征是()
A.球部激惹征
B.球部龛影
C.球部痉挛
D.球部变形
E.球部无明显变形
185、单项选择题 肾结核肾内广泛播散的病理学基础为()
A.肾乳头坏死形成空洞
B.血行播散
C.病变位于肾皮质
D.病变位于肾髓质
E.经淋巴管蔓延
186、单项选择题 可用于静脉肾盂造影的对比剂是()
A.碘化油
B.碘苯酯
C.泛影葡胺
D.碘化钠
E.胆影葡胺
187、单项选择题 可复性食管裂孔疝的典型征象是()
A.膈上出现胃粘膜
B.食管下括约肌上升和收缩
C.食管胃环上升出现在膈上
D.部分胃底位于膈上
E.胃食管前庭管腔增宽
188、单项选择题 头颅侧位摄片,中心线经()
A.外耳孔前上各0.5cm处
B.外耳孔前上各1.0cm处
C.外耳孔前上各1.5cm处
D.外耳孔前上各2.0cm处
E.外耳孔前上各2.5cm处
189、单项选择题 关于心腰的描述,下列观点哪项不对()
A.指心脏左缘第二弓
B.指心脏右缘第二弓
C.正常心腰应略内凹
D.正常心腰由肺动脉段构成
E.肺动脉扩大时,心腰可隆起
190、多项选择题 有关头颅正位摄片的叙述,错误的是()
A.病人呈俯卧姿势
B.听眦线垂直台面
C.矢状面平行台面
D.下颌内收,靠近台面
E.两外耳孔到台距等高
191、单项选择题 下述哪项属常染色体隐性遗传疾病()
A.软骨发育不全
B.石骨症(轻型)
C.皮肤骨膜肥厚症
D.颅锁骨发育不全
E.石骨症(重型)
192、判断题 关节结核的早期X线表现为骨性关节面模糊、中断和消失。
193、单项选择题 造影时病人出现重度碘过敏反应,最有效的措施是()
A.立即请医生处理
B.头高足低左侧卧位
C.平卧或头低足高位
D.头高足低右侧卧位
E.立即停止造影并进行急救
194、单项选择题 观察儿童骨龄应摄()
A.肘关节片
B.膝关节片
C.腕关节片
D.踝关节片
E.髋关节片
195、单项选择题 对于CR描述,错误的是()
A.对骨骼的细微结构显示良好
B.对肺结节性病变检出率高于传统X线成像
C.对肺间质与肺泡病变不及传统X线成像
D.对胃小区、肠粘膜微小病变显示优于传统X线造影
E.易于显示纵隔结构
196、名词解释 胃小区
197、单项选择题 特发性肺间质纤维化好发于()
A.上叶尖后段或下叶背段
B.胸膜下区
C.双下肺
D.肺门附近
E.双肺弥漫分布
198、单项选择题 有关环枢关节的描述,错误的是()
A.正常儿童齿状突至环椎前弓距离小于4.0mm
B.正常成人齿状突至环椎前弓距离为2.5~4.0mm
C.X线检查不能诊断半脱位
D.环枢关节半脱位可由齿状突发育畸形引起
E.MR检查有助于观察邻近结构的改变
199、单项选择题 影响骨基质代谢的因素中,应除外()
A.生长激素
B.甲状腺激素
C.性激素
D.肾上腺皮质激素
E.甲状旁腺素
200、单项选择题
女,54岁,上腹部胀痛1月余,结合图像,最可能的诊断为()

A.正常胃
B.胃炎
C.胃窦炎
D.胃癌
E.胃溃疡
201、多项选择题 二尖瓣狭窄或(和)关闭不全时,胸片可见到的表现有()
A.肺内无结节状影
B.肺内含铁血黄素沉着
C.间隔线
D.上肺静脉增粗,下肺静脉变细
E.肺动脉段凹陷
202、判断题 脑回压迹增多为颅内压增高最可靠的一种X线征象。
203、问答题 心包积液的X线表现有哪些?
204、单项选择题 腕骨角增大见于下述哪种疾病()
A.骨骺发育异常
B.粘多糖病Ⅳ型
C.软骨骨生成障碍
D.粘多糖病Ⅰ型
E.马德隆畸形
205、单项选择题
患者,女,46岁,胸闷气短1月,伴全身乏力,咳嗽,发热。胸片示:中上纵隔增宽,右缘呈波浪状改变。白细胞:8.5×10/L。
最可能的诊断是()
A.胸内甲状腺
B.胸腺瘤
C.右侧中心型肺癌
D.淋巴瘤
E.畸胎瘤
206、单项选择题 下述关于多发性骨软骨瘤恶变的征象,不正确的是()
A.远处出现转移性病灶
B.软骨帽增厚
C.钙化软骨帽密度变淡,边界不清
D.瘤体内出现透亮区
E.肿瘤生长缓慢或突然生长停止
207、单项选择题 纤维性病变的胸片表现特点是()
A.云絮状浅淡模糊影
B.条索状密度增高影
C.边缘清楚致密影,密度比肋骨低
D.边缘清楚致密影,密度比肋骨高
E.肺透亮度增加,局部肺纹理缺如
208、单项选择题 腰椎斜位标准片所见,错误的是()
A.第1~5腰椎及腰骶关节呈斜位,于照片正中显示
B.各椎弓根投影于椎体正中或前1/3处
C.各椎弓根投影于椎体后1/3处
D.椎间隙显示良好,第3腰椎上下面的两侧缘应重合
E.与椎体相重叠的椎弓部结构,应显示清晰
209、单项选择题
男,12岁,右前臂外伤后入院。结合图像,正确的诊断是()
A.Colles骨折
B.孟氏骨折
C.青枝骨折
D.Smith骨折
E.桡骨小头脱位
210、多项选择题 肺间质包含下述哪些成分()
A.肺泡间隔
B.小叶间隔
C.肺泡管
D.肺泡壁
E.支气管及血管的周围组织
211、单项选择题 先天性骨梅毒的特征表现为()
A.军刀腿
B.Charcot关节
C.Wasp-Waist征
D.长骨广泛型增生、硬化,髓腔消失
E.骨膜下、皮层内局限性骨质破坏
212、单项选择题 恶性肿瘤的钙化特点是()
A.钙化比较分散
B.钙化的密度比较一致
C.钙化一般位于肿块内
D.钙化的边界清楚
E.钙化形态比较规则
213、单项选择题 能显示视神经管轴位像的位置是()
A.劳氏位
B.许氏位
C.瑞氏位
D.汤氏位
E.瓦氏位
214、单项选择题
女,25岁,腕部疼痛,结合图像,最可能的诊断是()
A.肥大性骨关节病
B.骨髓炎
C.骨肉瘤
D.嗜酸性肉芽肿
E.骨膜下出血
215、多项选择题 骨质破坏的病因包括()
A.炎症
B.病理组织直接浸润
C.肿瘤或瘤样病变
D.肉芽肿
E.病理组织间接引起破骨细胞活动亢进
216、单项选择题 X线表现结肠移动度较大,腔内发现边缘欠光滑,加压后可变形的充盈缺损,最可能的诊断为()
A.息肉
B.腺癌
C.血管瘤
D.粪块
E.淋巴瘤
217、单项选择题 下列除哪项外,均为肋骨骨折的继发征象()
A.骨折线
B.气胸
C.液气胸
D.皮下气肿
E.纵隔气肿
218、多项选择题 下列哪些为厌骨性转移性肿瘤()
A.皮肤癌
B.子宫癌
C.食管癌
D.乳癌
E.鼻咽癌
219、单项选择题 男,52岁,右下腹痛,贫血3月,钡灌肠检查见盲肠充盈缺损,肠袋消失,粘膜中断,最可能的诊断是()
A.结肠炎性肿块
B.淋巴瘤
C.平滑肌瘤
D.盲肠癌
E.淋巴结增生症
220、多项选择题 口腔颌面部包括哪些器官和组织()
A.口腔
B.面部软组织
C.颌面骨
D.颞颌关节
E.鼻腔
221、单项选择题 22岁,男性,在体检时发现胸骨左缘第3、4肋间隙有一响亮而尖锐的收缩期杂音,上胸壁有震颤,但无杂音传导,X线检查时可见:左室轻度扩大,结合上述病史最可能的诊断是()
A.动脉导管未闭
B.法洛四联征
C.主动脉缩窄
D.室间隔缺损(Roger病)
E.以上都不是
222、单项选择题 “急性化脓性骨髓炎”影像中,哪项错误()
A.平行型骨膜反应
B.长条状死骨
C.2周内骨质无异常
D.广泛软组织肿胀
E.斑片状、大片状骨质破坏
223、名词解释 支气管扩张
224、单项选择题 下述关于“巨细胞瘤”和“动脉瘤样骨囊肿”描述中正确的是()
A.腰椎受累,常为巨细胞瘤
B.两者放疗效果均较差
C.动脉瘤样骨囊肿,只见于生长期骨骼
D.巨细胞瘤,既见于生长期也见于成熟期骨骼
E.骨骺板对动脉瘤样骨囊肿有限制作用
225、单项选择题 下列“管状骨结核”影像特点中,哪项不正确()
A.成人,骨干常膨胀、增粗
B.圆形、卵圆形、不规则形破坏区
C.多数病灶边缘锐利,有硬化缘
D.儿童短管状骨者,常双侧多发
E.儿童,骨膜反应明显
226、单项选择题 下述支气管肺炎影像,错误的是()
A.肺纹理增多,边缘模糊
B.斑片状阴影,多分布于双上肺
C.可有肺气肿表现
D.空洞、空腔形成
E.胸腔积液
227、多项选择题 关于骨髓瘤的分型,下列哪些正确()
A.按发病数目可分为单发和多发性骨髓瘤
B.按是否分泌免疫球蛋白可分为分泌型和非分泌型骨髓瘤
C.分泌型骨髓瘤少见
D.非分泌型骨髓瘤多见
E.分泌型骨髓瘤中,以IgG型多见
228、判断题 腹水型结核性腹膜炎常表现为肠曲间距增宽,小肠呈漂浮状。
229、单项选择题 下述哪组肋骨联合最常见()
A.第1、2肋骨间联合
B.第3、4肋骨间联合
C.第5、6肋骨间联合
D.第7、8肋骨间联合
E.第9、10肋骨间联合
230、多项选择题 关于增感屏对影像效果影响的叙述,错误的是()
A.增加影像对比度
B.降低影像清晰度
C.降低影像颗粒性
D.提高信息传递功能
E.增加影像的层次
231、单项选择题 标准立位胸片,气胸线位于肺野外1/4处,提示患肺压缩率为()
A.10%
B.25%
C.50%
D.75%
E.93%
232、单项选择题 浸润型肺结核是指()
A.原发综合征
B.胸内淋巴结结核
C.结核性胸膜炎
D.以上均是
E.以上均不是
233、问答题 间质性肺炎的X线表现有哪些?
234、单项选择题
男,38岁,左膝痛,受伤时出血较多,结合图像,最可能的诊断是()
A.白血病
B.血友病性关节炎
C.骨巨细胞瘤
D.退行性骨关节病
E.类风湿关节炎
235、单项选择题 一般不引起左心房增大的是()
A.风湿性心脏病,左房室瓣狭窄
B.先天性心脏病,房间隔缺损
C.风湿性心脏病,左房室瓣关闭不全
D.心肌病
E.以上都不是
236、单项选择题
属于颞骨的哪一部分()
a.乳突窦
b.上颌窦
c.蝶鞍
d.筛窦
e.内听道
A.a,b
B.a,e
C.a,c
D.c,d
E.d,e
237、单项选择题
男,15岁,右肩疼痛1月余,结合图像,最可能的诊断是()
A.嗜酸性肉芽肿
B.动脉瘤样骨性囊肿
C.骨样骨瘤
D.血管瘤
E.以上都不是
238、问答题 地中海贫血的X线表现有哪些?
239、单项选择题 下列选择中,张口位不能显示是哪项()
A.齿状突
B.茎突
C.寰椎
D.寰枢关节
E.枢椎
240、多项选择题 克罗恩(Crohn)病发生的常见部位是()
A.十二指肠
B.胃
C.回肠
D.食管
E.结肠
241、单项选择题 转移性纵隔淋巴结肿大,最常见的原发肿瘤是()
A.原发性肝癌
B.成骨肉瘤
C.类癌
D.结肠癌
E.泌尿生殖系统肿瘤
242、单项选择题 下列颅面骨改变,不属“正常变异”()
A.双上颌窦不对称
B.单侧额窦
C.眶上筛窦气房
D.“8”字形视神经孔
E.鼻额缝
243、单项选择题 下述哪项不是“软骨母细胞瘤”影像特点()
A.可跨越骺板
B.骨质无破坏
C.软组织肿块形成
D.常有广泛钙化
E.骨膜反应范围比肿瘤范围大
244、单项选择题 腹部立位片空肠扩张可见()
A.环形皱襞较多
B.半月状皱襞
C.上腹或上中腹偏右
D.中下腹或下腹偏右
E.环形皱襞较少
245、多项选择题 下列中的哪些部位,不适合高电压摄片()
A.纵隔
B.喉
C.胸骨
D.乳腺
E.胸部
246、单项选择题 关于骨性胸廓的组成,正确的是()
A.胸椎和肋骨连接而成
B.胸椎和胸骨连接而成
C.胸骨和肋骨连接而成
D.胸椎胸骨和肋骨连接而成
E.胸骨锁骨和肋骨连接而成
247、多项选择题 肺纹理聚拢见于()
A.肺结核
B.支气管扩张
C.阻塞性肺气肿
D.胸腔积液
E.肺不张
248、单项选择题 胸片示双肺门周围融合影,则可除外()
A.肺泡性肺水肿
B.霍奇金病
C.合胞病毒肺炎
D.卡氏肺囊虫肺炎
E.肺泡蛋白沉积症
249、判断题 肠系膜上动脉压迫是十二指肠瘀滞症的唯一原因。
250、填空题 泌尿系结石由多种成分组成,即_______、_______、_________、_______和_______等。
251、单项选择题 右前斜位,心脏后缘自上而下依次为()
A.左心房、右心房
B.右心房、左心室
C.右心房、左心房
D.左心房、左心室
E.右心房、右心室
252、单项选择题 经皮肺穿刺活检术最常见的并发症是()
A.气胸
B.出血
C.沿穿刺道种植转移
D.刺破大血管或心脏
E.感染
253、单项选择题 出现下列哪项最应考虑“骨软骨瘤”恶变可能()
A.短期内生长迅速
B.“软骨帽”厚大于10mm
C.明显强化
D.MRI未见“软骨帽”
E.骨膜反应
254、名词解释 Dyggve-Melchior-Clausen综合征
255、填空题 颅锁骨发育不全系全身性骨发育障碍,_________和__________的骨骼均受累,表现为___________、__________和_______。
256、单项选择题
男,53岁,反复咳嗽,咳痰1月余,伴胸闷,胸片如图,最可能的诊断为()

A.右中肺大叶性肺炎
B.右中肺不张
C.右中肺栓塞
D.右下肺背段不张
E.右下肺隔离症
257、单项选择题 下述肺肿块鉴别要点,哪项不对()
A.良性肿块的边缘常较光整
B.毛刺征对肿块良恶性鉴别价值不大
C.恶性肿瘤钙化率较低
D.4cm以上肿块则以恶性的可能性较大
E.空泡征多提示为肺癌
258、单项选择题
女,15岁,发现大腿远端肿块1周,无明显疼痛,结合图像,最可能诊断是()
A.骨质增生
B.软骨瘤
C.骨肉瘤
D.骨瘤
E.骨软骨瘤
259、填空题 成年女性的乳腺位于_______,内界为_______,外界可达_______。
260、判断题 骨折临床愈合期一般在骨折4~6周。
261、单项选择题
男,16岁,突感呼吸困难,大汗淋漓,胸片检查如图,最可能的诊断是()

A.右侧肺气肿
B.右侧肺部肿块
C.右侧气胸
D.右侧肺大泡
E.右侧肺挫伤
262、单项选择题 骨软骨瘤典型X线特征是()
A.瘤体可随骨骺生长而移至骨干
B.背向关节生长的骨性突起
C.瘤体与载瘤骨相连续
D.瘤帽不规则钙化
E.以上都是
263、单项选择题 下列肺吸虫病的描述,错误的是()
A.单房或多房囊状透光区
B.圆形或片状模糊影
C.大小不等硬结影,可钙化
D.结节状、片状阴影
E.肺门淋巴结肿大
264、多项选择题 在正常腹平片上,不能显影的软组织影是()
A.肾脏
B.肝脏
C.肾上腺
D.腰大肌线
E.胰腺
265、单项选择题 腹部平片对显示哪种肾先天性发育异常没有价值()
A.单纯异位肾
B.肾缺如
C.分叶肾
D.马蹄肾
E.侏儒肾
266、单项选择题
男,65岁。走路时,不慎摔倒。查体:左下肢缩短,外旋50°畸形。
该患者最可能的诊断为()
A.左粗隆间骨折
B.左股骨颈骨折
C.左髋关节脱位
D.左髋软组织挫伤
E.左髋臼骨折
267、填空题 眼眶异物按异物吸收X线程度可分为__________、___________和_________。
268、判断题 任何关节疾病造成关节破坏后均能发生病理性脱位。
269、填空题 肺尘埃沉着病的影像学表现可概括分类为_____________、____________、__________和__________等4种。
270、单项选择题 骨转移瘤最常来自于()
A.腺癌
B.肉瘤
C.皮肤癌
D.食管癌
E.以上都不是
271、填空题 骨肉瘤据瘤骨多少可分为__________、________和_________。也可据肿瘤性骨样组织、肿瘤性软骨组织和纤维组织以及血腔的有无及多少分为_________、___________、____________、__________和______________。
272、单项选择题 常于早期即发生淋巴转移的肺癌是()
A.鳞状上皮癌
B.小细胞未分化癌
C.腺癌
D.大细胞未分化癌
E.细支气管肺泡癌
273、单项选择题 关于仰卧位摄片,下列组合中哪个是不正确的()
A.骶髂关节正位——中心线向头侧倾斜15°~30°
B.骶髂关节斜位——人体矢状面倾斜15°~20°
C.骶髂关节左后斜位——显示左侧骶髂关节
D.腰椎左后斜位——显示左侧椎间关节
E.胸椎右后斜位——显示右侧椎间关节
274、单项选择题 下列大叶性肺炎早期影像,哪项不对()
A.局限性肺纹理稍多
B.支气管气相
C.患肺透亮度略减低
D.发生于下叶者,邻近膈肌动度减低
E.大叶性肺炎早期,影像表现缺乏特征性
275、填空题 骨转移瘤的X线表现可分为__________、________和__________,以_________多见。
276、单项选择题 下述哪项不属于毛细血管通透性增高引起的肺水肿原因()
A.高原性肺水肿
B.吸入刺激性气体
C.成人型呼吸窘迫综合征
D.淹溺
E.弥散性血管内凝血
277、单项选择题 40岁男性,因上腹隐痛,大便隐血3周入院。胃低张双对比造影示胃窦近小弯处2cm大小龛影,双对比造影示局部胃壁呈“白、毛、僵”表现,龛影周围有结节状透亮影,最可能的诊断是()
A.良性胃溃疡
B.疣状胃炎
C.胃淋巴瘤
D.胃窦部溃疡型胃癌
E.胃窦息肉
278、名词解释 激惹征
279、单项选择题 肾下垂的诊断,应选择以下哪种检查()
A.静脉肾盂造影
B.逆行肾盂造影
C.腹部立位片
D.立、卧位造影
E.腹部侧位片
280、配伍题 慢性支气管炎可出现()肺癌可出现()间质性肺水肿可出现()
A.支气管憩室征
B.支气管截断征
C.空气支气管征
D.支气管宽径征
E.支气管周围袖套征
281、单项选择题 典型急性粟粒型肺结核的患者,发病初期的X线征象是()
A.肺纹理增强
B.肺纹理稀疏
C.“三均匀”现象
D.肺野透光度降低
E.胸膜反应
282、单项选择题 升主动脉扩张一般不见于()
A.动脉导管未闭
B.继发孔型房间隔缺损
C.主动脉瓣狭窄
D.梅毒性主动脉炎
E.Marfan综合征
283、单项选择题
男,63岁,进行性吞咽困难1月。食管钡餐示:食管下段粘膜不规则充盈缺损,管腔狭窄,贲门扩张欠佳。
最可能的诊断是()
A.食管下段炎症
B.食管下段溃疡侵及贲门
C.食管下段癌侵及贲门
D.食管下段静脉曲张
E.以上都不对
284、单项选择题 前臂骨折需要首先纠正的错位是()
A.侧方错位
B.旋转错位
C.成角错位
D.短缩错位
E.分离错位
285、名词解释 间位结肠
286、单项选择题
男,23岁,左侧胸壁刺伤3小时,呼吸窘迫,结合胸片检查,最可能的诊断()

A.肺气肿
B.气胸
C.纵隔气肿
D.肺挫伤
E.胸腔积液
287、多项选择题 白血病骨关节改变的X线表现包括()
A.骨质疏松
B.弥漫性斑点状、虫蚀样骨质破坏
C.骨皮质糜烂、变薄
D.骨膜反应及软组织肿胀
E.白血病带
288、单项选择题 X线管的代表容量又称()
A.热容量
B.额定容量
C.瞬时负荷
D.连续负荷
E.最大负荷
289、多项选择题 关于对比剂的叙述,正确的是()
A.对比剂与造影剂不同
B.分为阴性及阳性两类
C.阳性对比剂不易被X线透过
D.阴性对比剂易被X线透过
E.碘剂和钡剂均为有机碘化物
290、判断题 胰多肽瘤属胰岛非B细胞发生的肿瘤。
291、单项选择题 慢性阑尾炎最主要的X线表现是()
A.盲肠钡剂滞留
B.阑尾压痛
C.阑尾滞留钡剂
D.阑尾粘连固定
E.阑尾结石
292、单项选择题
男,根据其正常手的影像图像,判断其最可能的年龄()
A.16岁左右
B.26岁左右
C.36岁左右
D.76岁左右
E.56岁左右
293、判断题 若肺透亮度及心影等均正常,可完全排除气管内异物的存在。
294、单项选择题 软组织摄片中X线管阳极的靶面材料是下列哪项()
A.钨
B.铅
C.铜
D.铝
E.建筑材料
295、多项选择题 下列会引起肾盏肾盂破坏的疾病为()
A.肾囊肿
B.肾血肿
C.肾结核
D.肾盂癌
E.肾癌
296、单项选择题 X线穿过均匀物质时,其强度呈下述何种方式衰减:()
A.对数关系
B.指数关系
C.线性关系
D.无任何关系
E.以上都不是
297、名词解释 袖口征
298、单项选择题
男,24岁,低热2周,咳少量痰。胸片示右上肺不均密度增高影,其中有空洞形成,血沉45mm/h。
病灶好发部位是()
A.右肺上叶前段
B.右肺上叶尖后段
C.右肺上叶尖段
D.右肺上叶后段
E.右肺下叶背段
299、多项选择题 X线检查,室间隔缺损可表现为()
A.低位小缺损,胸片可正常
B.高位大缺损,肺血常增多
C.右心房常增大
D.可有肺门舞蹈
E.左心房常增大
300、单项选择题
男,45岁,胸痛,痰中带血2月余,胸片检查如图,最可能的诊断是()

A.右肺结核瘤
B.右肺不张
C.右肺癌
D.右肺炎性假瘤
E.右肺错构瘤