时间:2025-03-30 07:56:20


1、单项选择题 关于对比剂引入方法,哪个是不正确的()
A.消化道、尿路逆行对比所用对比剂为直接引入法
B.静脉胆道对比剂,经静脉注入直接到达胆系显影
C.静脉肾盂造影用对比剂,通过生理排泄法显影
D.经皮穿刺肝胆系对比,对比剂为直接引入法
E.心血管对比用对比剂是通过血管直接引入
2、单项选择题 下述骨发育知识,哪项错误()
A.源于外胚层
B.颅骨、面骨属膜内成骨
C.四肢骨、躯干骨为软骨内成骨
D.骨成形主要靠新生骨不断改建、塑形实现
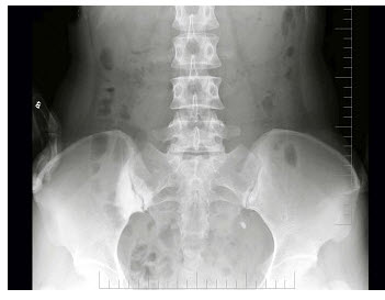
E.源于中胚层
3、单项选择题 属静脉肾盂造影禁忌证的是()
A.肾盂结石
B.膀胱结石
C.尿道狭窄
D.肾动脉狭窄
E.严重血尿
4、单项选择题 下列关于自发性主动脉夹层的描述,错误的是()
A.常有高血压史
B.主动脉真腔变窄
C.病变范围较广泛
D.常伴强直性脊柱炎
E.升主动脉者一般要求手术
5、多项选择题 骨与关节X线摄片检查常规要求()
A.一般摄取正、侧位片
B.两侧对称的骨与关节,改变轻微,难以确诊时,应拍摄对侧相应部位对照
C.应包括周围软组织和邻近的关节
D.脊椎、手足等部位应加摄斜位片
E.髌骨、跟骨可取切线位摄片
6、单项选择题 下列类风湿肺结节影像特点,错误的是()
A.多分布在肺野中内带
B.大小不等,多为1~2cm
C.边缘光整
D.可形成空洞
E.见于重度类风湿关节炎和多发皮下结节者
7、单项选择题 关于“Winberger征”,下列哪项说法不对()
A.是“早发型先天性骨梅毒”特征影像
B.属“梅毒性干骺炎”
C.双侧胫骨上端外侧
D.对称性骨质破坏
E.一般在出生后6个月内出现
8、单项选择题 有关脊索瘤的好发部位和X线主要特点,错误的是()
A.肿瘤好发生于脊柱两端,居中线部位
B.常为膨胀性溶骨性破坏,其中可残存碎骨片或小梁沟隔
C.绝大多数病人可有骨质增生和硬化
D.50%病人可有钙化
E.以上都不是
9、单项选择题 高血压性心脏病最先出现病理改变的结构是()
A.左心室
B.左心房
C.主动脉
D.左、右心室
E.整个心脏
10、单项选择题 下列肿瘤性病变中,不属于椎管髓内肿瘤范畴的是()
A.室管膜瘤
B.血管母细胞瘤
C.星形细胞瘤
D.少突神经胶质瘤
E.神经纤维瘤
11、单项选择题
男,23岁,根据影像图像,最可能的诊断是()
A.骨髓炎
B.骨硬化症
C.骨囊肿
D.骨脓肿
E.骨结核
12、单项选择题
女,26岁,骶髂部疼痛2年余,间歇发作,结合图像,最可能诊断是()
A.致密性髂骨炎
B.化脓性髂骨炎
C.结核性髂骨炎
D.强直性脊柱炎
E.骶髂关节退行性变
13、单项选择题 侧位X线片成人眼眶呈()
A.正方形
B.圆形
C.长方形
D.卵圆形
E.锥形
14、单项选择题 下列多发性肺囊肿的X线表现中,错误的是()
A.多见于一侧肺
B.多为含气囊肿,大小不等
C.囊壁薄而边缘锐利
D.通常伴有胸膜增厚
E.肺体积增大
15、单项选择题
患者,男,23岁,患者自述后枕部隆起3年,枕部见一局部隆起,质硬,无活动,无明显压痛,无局部红肿热痛,拍片如下,最可能的诊断为()
A.骨样骨瘤
B.骨软骨瘤
C.骨瘤
D.颅骨纤维异常增殖症
E.血管瘤
16、单项选择题 颈椎侧位片显示,齿状突和椎体间有横行透光线,边界光滑,局部无错位及骨质增生硬化,最大可能是()
A.齿状突陈旧性骨折
B.寰、枢椎半脱位及齿状突骨折
C.正常变异
D.齿状突横行透亮线为伪影
E.以上都不是
17、单项选择题 符合MPSⅡ型(HUnter综合征)重型的特点为()
A.2~4岁发病,智力障碍及身体畸形
B.可出现进行性耳聋、腕管综合征
C.可出现髋关节退行性改变
D.患者可存活到六七十岁
E.尿内有大量DS和HS
18、多项选择题 肝胆显像的临床应用价值()
A.肝移植的监测
B.胆管闭锁及新生儿肝炎的鉴别诊断
C.肠胃反流的诊断
D.黄疸的鉴别诊断
E.胆管旁路手术后检测引流异常及梗阻部位的定位
19、单项选择题 颈椎右前斜位片,可显示()
A.右侧椎间孔
B.左侧椎间孔
C.右侧横突孔
D.左侧横突孔
E.椎孔
20、单项选择题
男,13岁,因轻微外伤后感左肱骨上部疼痛,软组织肿胀,摄片见左肱骨上段局限性骨质沿髓腔膨胀性破坏,骨皮质变薄,部分骨皮质不连续,最可能的诊断是()
A.左肱骨骨折
B.左肱骨骨囊肿伴病理性骨折
C.左肱骨骨纤伴病理性骨折
D.左肱骨巨细胞瘤伴病理性骨折
E.以上均不正确
21、单项选择题 风湿性心脏病最常见瓣膜病变是()
A.右房室瓣狭窄
B.左房室瓣狭窄
C.左房室瓣关闭不全
D.主动脉瓣关闭不全
E.右房室瓣关闭不全
22、单项选择题 乙状结肠扭转确诊的检查方法是()
A.X线平片
B.CT
C.血管造影
D.口服钡餐造影
E.钡灌肠检查
23、单项选择题 中耳癌的早期X线表现是()
A.听小骨破坏
B.中耳骨壁破坏
C.面神经管破坏
D.乳突骨质稀疏破坏
E.颅骨广泛骨质破坏
24、单项选择题 X线成像主要利用的是X线的()特性
A.荧光效应
B.摄影效应
C.穿透性
D.感光效应
25、单项选择题 与胃的分型无关的是()
A.角型胃
B.袋型胃
C.钩型胃
D.长型胃
E.瀑布型骨
26、单项选择题 CR的缺点是()
A.常规X线摄影信息数字化
B.图像的分辨率、显示力高
C.时间、空间分辨力不高
D.实现X线信息的数字化储存、再现及传输
E.降低X线的辐射量
27、单项选择题 下列哪项不是胃息肉的X线表现()
A.肿瘤周围粘膜正常
B.轮廓光滑
C.胃襞柔软
D.肿瘤区粘膜皱襞消失
E.腔外肿块
28、单项选择题 下述有关骨软骨缺血坏死的命名组合中,哪项错误()
A.跗舟骨缺血坏死——Kōhler病
B.跖骨头骨骺骨缺血坏死——Freiberg病
C.腕舟状骨缺血坏死——Kienbōck病
D.胫骨结节缺血坏死——Osgood-schlatter病
E.股骨头骨骺缺血坏死——Legg-Perthes病
29、单项选择题 易与胰头肿块混淆的是()
A.门腔淋巴结
B.右肾上腺
C.右侧膈肌脚
D.十二指肠
E.胃幽门管
30、多项选择题 下列属于扁骨者为()
A.颅骨
B.肩胛骨
C.脊椎骨
D.颞骨
E.跗骨
31、单项选择题 人体各组织对X线的衰减,由大变小的顺序是()
A.骨、脂肪、肌肉、空气
B.骨、肌肉、脂肪、空气
C.脂肪、骨、肌肉、空气
D.肌肉、骨、脂肪、空气
E.肌肉、脂肪、骨、空气
32、单项选择题 颅脑外伤时,疑有凹陷性骨折应投照()
A.正位片
B.侧位片
C.颅底位片
D.切线位片
E.30°前后位
33、单项选择题 胸部正位摄片,胸厚测量的正确部位是()
A.第5胸椎水平
B.第6胸椎水平
C.第7胸椎水平
D.第8胸椎水平
E.第9胸椎水平
34、单项选择题
患者,男性,39岁,左小腿肿胀、疼痛1个月余,夜间加重。左胫腓骨正侧位片如下,最可能的诊断为()
A.成骨性转移瘤
B.骨肉瘤
C.软骨肉瘤
D.Ewing肉瘤
E.慢性硬化性骨髓炎
35、单项选择题
女,4岁,左腿跛行2个月。结合图像,最可能的诊断是()
A.骨囊肿
B.软骨肉瘤
C.骨肉瘤
D.髋关节结核
E.股骨头骨骺缺血坏死
36、单项选择题 可引起脑脊液鼻漏的骨折是()
A.颅前窝骨折
B.颅顶骨折
C.颅后窝骨折
D.颅中窝骨折
E.以上都是
37、单项选择题 钡餐检查,病理性胃形态为()
A.牛角型
B.瀑布胃
C.葫芦型
D.鱼钩型
E.无力型
38、单项选择题
膀胱造影片见下图,你考虑什么诊断可能性大()
A.膀胱炎
B.膀胱癌
C.膀胱结石
D.膀胱息肉
E.以上都不是
39、多项选择题 关于良性骨肿瘤的描述正确的有()
A.生长缓慢
B.大多接近正常组织
C.一般骨皮质保持完整或有受压膨胀性改变
D.无转移
E.无骨膜反应
40、单项选择题
男,72岁,喉部异物感2~3天。体检:咽喉部慢性充血,结合图像,最可能的诊断为()
A.正常表现
B.会厌征
C.颈椎退变
D.食管型颈椎病
E.以上都不是
41、单项选择题 下列有关乳腺癌的描述中,不属X线特征的是()
A.漏斗征
B.酒窝征
C.彗星尾征
D.晕圈征
E.帐篷征
42、单项选择题
男,21岁,曾多次有过骨折史,结合图像,最可能的诊断是()
A.石骨症
B.成骨不全
C.畸形性骨炎
D.转移性骨肿瘤
E.氟骨症
43、单项选择题 腰椎斜位片,正常椎弓及附件的影像呈""猎狗形""。 椎弓崩裂易累及()
A.椎板后部
B.椎弓峡部
C.上关节突
D.下关节突
E.椎弓根
44、单项选择题 颅底凹陷症,标准摄片体位是()
A.颅底颌顶位
B.颅底顶颌位
C.头颅汤氏位
D.高颈椎侧位
E.高颈椎颅底侧位
45、单项选择题 下列说法,哪项是正确的()
A.胃与十二指肠相连的部分为幽门
B.附着于骨骼,起着运动作用的肌肉是平滑肌
C.大肠、小肠均有肠系膜
D.在甲状腺前方有二块甲状旁腺
E.视神经管在眼眶外侧壁
46、多项选择题 韦格肉芽肿的胸部影像包括()
A.肺门淋巴结对称性明显增大
B.两肺大小相等结节影
C.小片状阴影
D.可有厚壁或薄壁空洞,空洞内壁不规则
E.少量胸腔积液
47、单项选择题 我国放射防护标准中规定公众年剂量限值是()
A.5mSv
B.5Sv
C.50mSv
D.50Sv
E.5mGy
48、单项选择题 放射工作人员佩带个人剂量计的正确部位是()
A.上臂
B.上衣兜内
C.裤子兜内
D.左前胸
E.背部
49、单项选择题 关于骨折,下列观点哪项不对()
A.松质骨骨折线多为密度增高
B.平片就能除外骨折
C.骨骼断裂、骨连续性中断
D.仅有骨皮质、骨小梁扭曲也能诊断骨折
E.不同年龄,骨折好发部位不同
50、多项选择题 骨嗜酸性肉芽肿的基本X线改变有()
A.好发于颅骨、长骨、脊柱
B.骨质溶骨性破坏
C.可有骨膜增生
D.晚期病灶可有重新骨化消失
E.常见“悬浮齿”
51、单项选择题 下述“Peutz-Jegher综合征”病理特点,哪项正确()
A.结肠息肉呈弥漫性分布
B.小肠息肉,腺瘤居多
C.结肠内息肉,易恶变
D.没有胃息肉
E.常有结肠梗阻
52、单项选择题
男,24岁,双手疼痛,结合图像,最可能的诊断是()

A.肢端肥大症
B.骨质疏松症
C.类风湿关节炎
D.痛风
E.维生素D缺乏症
53、单项选择题 有关腕部的描述哪项是正确的()
A.八块腕骨近侧排是大多角骨、小多角骨、头状骨和钩状骨
B.远侧排是舟骨、月骨、三角骨、豆骨
C.近侧腕关节由舟骨、月骨和桡骨形成
D.腕部仅有三个具有功能的关节尺桡、腕间、腕掌关节
E.以上均正确
54、单项选择题
男,19岁,双手肿痛2年,晨僵,结合图像,最可能诊断是()
A.痛风
B.强直性脊柱炎
C.类风湿关节炎
D.退行性关节炎
E.未见异常
55、单项选择题 下列关于“成骨肉瘤”诊断要点中,哪项是错误的()
A.最常见的原发性恶性骨肿瘤
B.好发于长骨干骺端
C.可有葱皮样骨膜反应
D.肿瘤内无钙化、骨化
E.肿瘤内既有成骨性,又有溶骨性改变
56、多项选择题 先天性主动脉缩窄的X线表现为()
A.肋骨切迹
B.3字征
C.升主动脉扩张
D.上纵隔阴影增宽
E.降主动脉上段的狭窄后扩张
57、单项选择题 以下良性骨肿瘤,不会恶变的是()
A.软骨母细胞瘤
B.骨母细胞瘤
C.骨巨细胞瘤
D.骨软骨瘤
E.骨脂肪瘤
58、单项选择题 下列肺内病变,哪种最少累及胸膜()
A.葡萄球菌性肺炎
B.肺结核
C.肺脓肿
D.石棉肺
E.支气管扩张合并感染
59、单项选择题 可以累及关节软骨的良性骨肿瘤是()
A.软骨瘤
B.骨巨细胞瘤
C.软骨母细胞瘤
D.骨母细胞瘤
E.以上都不是
60、单项选择题 中颅窝孔、裂由前到后的顺序为()
A.圆孔-棘孔-卵圆孔-破裂孔
B.棘孔-破裂孔-圆孔-卵圆孔
C.卵圆孔-圆孔-破裂孔-棘孔
D.破裂孔-棘孔-卵圆孔-圆孔
E.圆孔-破裂孔-卵圆孔-棘孔
61、单项选择题
女,15岁,发现大腿远端肿块1周,无明显疼痛,结合图像,最可能诊断是()
A.骨质增生
B.软骨瘤
C.骨肉瘤
D.骨瘤
E.骨软骨瘤
62、多项选择题 正常腹主动脉造影可显示腹主动脉及其分支,分支包括哪几部分()
A.腹腔动脉
B.肠系膜上动脉
C.肠系膜下动脉
D.两侧肾动脉
E.睾丸动脉
63、单项选择题 “硬化型”食管癌的特征性影像表现是()
A.食管局限性狭窄
B.食管腔内充盈缺损
C.不规则龛影
D.牵引性憩室
E.食管扩张下端呈鸟嘴状
64、单项选择题 下列哪项不符合股骨头缺血性坏死的表现()
A.股骨头相对密度增高
B.股骨头囊变硬化
C.股骨头压缩变形
D.股骨头蘑菇状变形
E.股骨头无骨质疏松
65、单项选择题 拟诊上颌窦积液的患者应首选的摄影位置是()
A.俯卧瓦氏位
B.站立瓦氏位
C.汤氏位
D.柯氏位
E.头颅侧位
66、单项选择题 关于X线的叙述,错误的是()
A.X线是一种电磁波
B.X线波长,穿透力弱
C.L层比M层产生的X线波长长
D.L层比M层产生的X线波长短
E.X线波长与电子所在壳层有关
67、多项选择题 可引起眶窝小的疾病有()
A.无眼球、小眼球
B.筛窦粘膜囊肿
C.婴儿期眼球摘除术后
D.骨瘤
E.眼球肿瘤
68、多项选择题 下列描述,正确的是()
A.颈肋取正侧位
B.类风湿以腰椎正位为主,包括两侧骶髂关节
C.脊椎裂以腰骶部正位为主
D.脊椎滑脱除常规正侧位外,加照双侧斜位
E.骶尾骨骨折取正位
69、单项选择题 乳腺癌最常见的病理类型为()
A.髓样癌
B.硬癌
C.乳头状癌
D.小叶癌
E.导管癌
70、单项选择题 下述哪项属肺实质()
A.肺泡
B.肺泡间隔
C.小叶间隔
D.支气管周围组织
E.血管周围组织
71、单项选择题 下述为节育器在盆腔正位投照时的正常形态,但除外()
A.扁圆形
B.长圆形
C.圆形
D.纵“一”字形
E.横“一”字形
72、多项选择题 有关消化道疾病的描述,正确的是()
A.静脉曲张只见于食管,胃部见不到
B.食管癌中以鳞癌多见
C.对比造影在胃癌诊断上是重要的
D.十二指肠球部溃疡较升段者多
E.小弯侧较大弯侧的胃溃疡发生率高
73、单项选择题 周围型肺癌累及较大的支气管,以下列哪种类型的癌多见()
A.细支气管肺泡癌
B.小细胞癌
C.不典型类癌
D.鳞腺癌
E.鳞状上皮癌
74、单项选择题 关于灯丝变压器的叙述,错误的是()
A.降压变压器
B.初级电流小,次级电流大
C.初级线数多,次级线数少
D.初级线径小,次级线径大
E.绝缘要求和普通变压器相同
75、多项选择题 肺结核病可以见到的空洞为()
A.厚壁空洞
B.薄壁空洞
C.虫蚀样空洞
D.空洞内有球形内容物
E.偏心性空洞
76、单项选择题 关于“子宫输卵管造影”禁忌证,错误的是()
A.不孕症
B.分娩、流产、清宫术后6周内
C.内生殖器急性炎症
D.妊娠
E.碘过敏
77、单项选择题 下列组合,哪项是不正确的()
A.二尖瓣-左房与左室之间
B.半月瓣-左室与主动脉之间
C.三尖瓣-右房与右室之间
D.肺动脉瓣-右室与肺动脉之间
E.心室-发出静脉
78、单项选择题 碘过敏试验方法中最可靠的是()
A.口服试验
B.眼结膜试验
C.舌下试验
D.静脉注射试验
E.皮内试验
79、单项选择题 下列哪项不是矽肺的X线征象()
A.矽结节
B.肺门淋巴结蛋壳样钙化
C.胸膜肥厚
D.肺气肿
E.病变晚期肺纹理明显增多
80、单项选择题
女,32岁,髋关节疼痛,结合图像,最可能的诊断是()
A.骨结核
B.骨肉瘤
C.骨软骨瘤
D.骨髓炎
E.骨囊肿
81、单项选择题 颅骨骨折的直接征象是()
A.乳突气房消失
B.骨折线
C.软组织肿胀
D.颅内积气
E.蝶窦积气.液平面
82、单项选择题 下列关于X线球管组件的散热方式不包括()
A.密封管套,空调散热
B.密封管套,自然散热
C.密封管套,风扇散热
D.闭路油循环风冷散热
E.管套内冷水循环散热
83、单项选择题
女,47岁,腰背痛并向髋部和下肢放射,结合图像,最可能的诊断是()
A.腰5压缩性骨折
B.移行椎
C.脊椎裂
D.腰5椎弓峡部不连
E.Klipple-Feil综合征
84、单项选择题 下列属于关节基本病变的是()
A.炎症
B.关节脱位
C.肿瘤
D.损伤
E.以上都是
85、单项选择题 下颌关节间隙正常值为()
A.1.6mm
B.2.0mm
C.2.5mm
D.3.0mm
E.1.8mm
86、单项选择题 膝关节侧位摄影,关节需屈曲多少度()
A.105°
B.115°
C.125°
D.135°
E.145°
87、单项选择题 高血压性心脏病心影呈()
A.二尖瓣型
B.主动脉型
C.横位心
D.滴状心
E.靴形心
88、单项选择题 感光原理是()
A.光水解反应
B.光分解反应
C.光合作用
D.光合成反应
E.以上都不是
89、单项选择题 早发先天性骨梅毒的X线表现中,哪项错误()
A.常累及骨骺
B.Wimberger征
C.骨膜炎
D.干骺炎
E.先期钙化带增宽增浓
90、单项选择题 静脉肾盂造影立位片,左肾位于盆腔内,可上下移动,左侧输尿管长度与右侧相仿,应诊断为()
A.左侧游离肾
B.左侧异位肾
C.左肾下垂
D.左侧重复肾
E.左侧移植肾
91、单项选择题 下述“骨感染性病变”特点,哪项错误()
A.骨结核:很少侵犯邻近关节
B.骨髓炎:很少侵犯邻近关节
C.骨结核:好发于骨骺附近
D.骨髓炎:增生、破坏均明显
E.骨结核:破坏为主
92、单项选择题 “应力性骨折”最好发的部位()
A.第一跖骨
B.第二跖骨
C.第四跖骨
D.第五跖骨
E.跟骨
93、单项选择题 下列关于“腕角”、“腕征”不正确的是()
A.“腕角”正常值为131.5°
B.“腕征”阳性,腕角<117°
C.“腕征”阳性,腕角<145°
D.Turner综合征时,“腕征”阳性
E.腕角:舟骨、月骨切线与三角骨、月骨切线夹角
94、单项选择题 左下叶肺不张的影像特征是()
A.右下三角征
B.横S征
C.心后三角征
D.薄饼征
E.彗星征
95、单项选择题 肾性骨营养不良最常见的特点是()
A.骨质软化
B.纤维性骨炎
C.骨硬化
D.软组织钙化
E.软组织肿块
96、多项选择题 关于心包积液,下列哪些项正确()
A.心尖和主动脉搏动减弱
B.中等量积液见心影普遍增大
C.心影呈烧瓶状
D.上纵隔影增宽
E.心包积液在300ml以下者,心影大小和形态可无明显改变
97、单项选择题
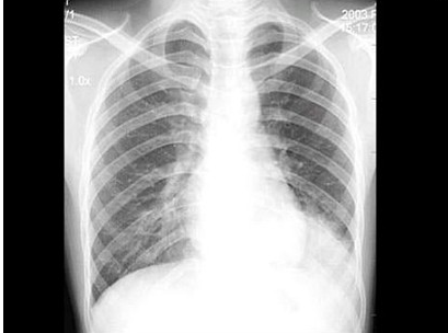
男,74岁,咳嗽,咳痰1月余,咯血丝痰1周伴胸痛,胸片如图,最可能的诊断为()
A.右上肺浸润型肺结核
B.右上肺不张
C.右侧中央型肺癌并右上肺不张
D.右侧包裹性积液
E.右肺上沟瘤
98、单项选择题 日本内镜协会对早期胃癌的定义是根据()
A.肿瘤的大小
B.有无溃疡
C.有无转移
D.有无穿孔
E.肿瘤限于粘膜和粘膜下层
99、单项选择题 肱骨外科颈骨折指骨折部位发生在解剖颈下()
A.2.5cm以内
B.1~3cm
C.1~2cm
D.3~4cm
E.2~3cm
100、单项选择题 关于腰椎侧位标准片的说法,下列哪项不妥()
A.第12胸椎、第1~5腰椎、腰骶关节显示于照片正中
B.诸椎体各缘除经第三腰椎重叠投影外,其余椎体全均呈双边显示
C.照片应包括各腰椎棘突
D.棘突、腰骶关节、各腰椎椎间隙应清晰显示,对比较好
E.诸椎体结构及骨纹理清晰
101、单项选择题 婴幼儿胸片见沿肺纹理走行的小三角形或斑点状密度增高影及泡性小透亮区,最先考虑的诊断为()
A.病毒性肺炎
B.原发性肺结核
C.支原体肺炎
D.支气管肺炎
E.大叶性肺炎
102、多项选择题 关于X线球管的特性,错误的是()
A.灯丝加热为定值时,管电压增加,管电流增加
B.管电压增高,空间电荷减少,管电流减小
C.管电压相同,灯丝电流增加,管电流增加
D.管电压相同,灯丝电流增加,管电流减小
E.管电流相同,管电压高的灯丝加热电流低
103、单项选择题 应力性骨折在发病多长时间内,X线检查可无明显表现()
A.4~6周
B.1~2天
C.3~4周
D.3~4天
E.1~2周
104、单项选择题
男,22岁,膝部酸痛、肿胀,结合图像,最可能的诊断是()
A.纤维性骨皮质缺损
B.嗜酸性肉芽肿
C.非骨化性纤维瘤
D.软骨黏液样纤维瘤
E.骨样骨瘤
105、多项选择题 “慢性胆囊炎”患者,“口服胆囊造影”的表现有哪些()
A.胆囊显影延迟
B.胆囊显影浅淡
C.胆囊壁钙化
D.脂餐后胆囊收缩率60%
E.胆囊结石
106、单项选择题 关于照片锐利度的叙述,错误的是()
A.不锐利的照片有漏掉病灶的可能
B.不锐利的照片影像边界不清
C.不锐利的照片易出现误诊
D.锐利度是模糊度的反义词
E.被照体越靠近胶片,影像越不锐利
107、单项选择题 男,68岁,患“胃炎”20余年,因突然出现全腹剧烈疼痛,病人被动屈曲位,初体温正常,后出现最高体温38.5℃,脉搏110次/分,查体:腹式呼吸减弱,腹肌紧张不明显,全腹压痛、反跳痛,以上腹部为重;X线立位平片示小肠普遍胀气,并见小液气平面,膈下见游离气体。 如暂时以非手术治疗为主,病人体位应是()
A.仰卧位
B.头低足高位
C.平卧位
D.半卧位
E.无特殊要求
108、单项选择题 下列畸形,与“Klippel-Feil综合征”无关的是()
A.脊髓空洞症
B.Sprengel畸形
C.“颈椎间盘突出”发病率升高
D.颈椎融合畸形
E.融合处椎间孔闭合
109、单项选择题 纵隔积气可见于()
A.结核性空洞破入纵隔
B.Marfan综合征
C.肝硬化所致腹腔积液
D.肺泡蛋白沉积症
E.糖尿性酮症酸中毒
110、单项选择题 以下关于胸部影像表现,正确的是()
A.常规胸部CT扫描肺窗显示肺叶间裂呈乏血管带
B.常规胸部MR扫描可以显示肺叶的划分
C.条件合适的胸部X线正位片不应显示胸椎
D.胸部X线正位片上的乳头影位于第5肋间且一定为双侧对称
E.胸部X线正位片上,一般左膈面高于右膈面1~2cm
111、单项选择题 成骨不全症需与下列各病进行鉴别诊断,应除外哪一种()
A.软骨发育不全症
B.干骺发育不良症
C.维生素C缺乏症
D.脆骨症
E.维生素D缺乏病
112、单项选择题 钡餐检查,回肠粘膜皱襞多呈()
A.弹簧状
B.腊肠状
C.雪花状
D.羽毛状
E.鱼骨状
113、单项选择题 有关骨质增生的描述不妥的是()
A.骨质增生硬化就是骨量的增多
B.大多数机体代偿反应
C.骨质增生硬化是成骨增多
D.骨质增生硬化是破骨减少
E.骨质增生硬化是成骨增多、破骨减少
114、单项选择题 患者,12岁,跌倒时手掌撑地。查:肘关节半屈状,肘肿胀压痛,外突畸形,肘后三角存在,桡动脉搏动正常。 摄X线片后,最可能的诊断是()
A.肘关节脱位
B.伸直型肱骨髁上骨折
C.屈曲型肱骨髁上骨折
D.桡骨小头半脱位
E.尺骨鹰嘴骨折
115、单项选择题 可用于静脉肾盂造影的对比剂是()
A.碘化油
B.碘苯酯
C.泛影葡胺
D.碘化钠
E.胆影葡胺
116、多项选择题 肺动脉段突出可见于()
A.主动脉瓣狭窄
B.瓣膜型肺动脉狭窄
C.漏斗型肺动脉狭窄
D.高血压心脏病
E.肺源性心脏病
117、单项选择题 下列哪种疾病,不是“左向右分流”()
A.隔离肺
B.房间隔缺损
C.弯刀综合征
D.动脉导管未闭
E.完全性异常肺静脉回流
118、多项选择题 骨肉瘤的基本X线表现为()
A.肿瘤钙化
B.骨质破坏
C.骨膜反应
D.软组织肿块
E.肿瘤新生骨
119、多项选择题 下列属于纵隔结构的是()
A.肺动脉
B.左锁骨下动脉
C.半奇静脉
D.膈静脉
E.交感神经链
120、多项选择题 颞骨X线摄片主要用于观察()
A.中耳
B.蝶鞍
C.颞骨岩部
D.颞骨乳突气房
E.鼻窦
121、单项选择题 有关人体平面的叙述,错误的是()
A.水平面又称为横断面
B.水平面垂直于冠状面
C.矢状面垂直于冠状面
D.冠状面将人体前后分割
E.矢状面将人体上下分割
122、单项选择题 图像上相邻两点之间的密度差是()
A.清晰度
B.密度
C.失真度
D.锐利度
E.对比度
123、多项选择题 关节外伤脱位常发生在()
A.肘关节
B.肩关节
C.踝关节
D.腕关节
E.胸椎
124、单项选择题
关于脚气性心脏病,错误的是()
A.肺纹理纤细
B.肺动脉段突出
C.VitB1治疗效益显著
D.心影增大呈球形或烧瓶状
E.肺内散在斑片状模糊影
125、单项选择题 下述“骨母细胞瘤”的描述,哪项错误()
A.脊柱最常见
B.发生于脊柱者,主要侵犯椎体
C.肿瘤膨胀性生长
D.分中心型、骨皮质型和骨膜型
E.血碱性磷酸酶可升高
126、单项选择题 “双侧肺血减少”见于()
A.异物吸入
B.肺隔离症
C.中央性肺癌
D.Ebstein畸形
E.Macleod综合征
127、单项选择题
男,12岁,平时无明显不适,结合图像,最可能的诊断是()
A.正常胸片
B.左旋心
C.右旋心
D.镜面右位心
E.以上都不是
128、单项选择题 支气管破裂最常见的X线征象是()
A.胸腔积液
B.双肺充气不足
C.肺气肿,纵隔增宽
D.肺不张,纵隔移位
E.心脏周围有透亮带,皮下软组织内可见散在透亮区
129、多项选择题 下列哪些可在胸骨正位片上显示()
A.胸骨柄
B.胸骨体
C.剑突
D.胸锁关节
E.全部肋骨
130、单项选择题 城市地下冷库一般都设在()。
A.城市中心
B.郊区
C.地铁站附近
D.汽车站附近
131、多项选择题 在婴儿腹部立位片上见不到“双泡征”的疾病有()
A.环状胰腺
B.胎粪性肠梗阻
C.肥大性幽门狭窄
D.肠旋转不良
E.先天性十二指肠闭锁
132、单项选择题 普通X线胶片采用的卤化银主要是()
A.AgBr
B.AgCl
C.AgI
D.AgF
E.AgBr+AgF
133、多项选择题 “肠套叠灌肠复位”适应证有()
A.全身情况尚好
B.果酱油色便
C.大量血便
D.了解结肠以下低位套叠
E.套叠时间较长
134、单项选择题 在以下胃双重对比技术中,哪项对于病变早期检出没有帮助()
A.用触变性、复混悬性好的钡剂
B.检查前5分钟肌注654-2
C.检查前洗胃
D.服钡前服适量产气消泡剂
E.用高浓度高黏度钡剂
135、单项选择题 关于许氏位摄片的叙述,错误的是()
A.患者头颅呈标准侧位
B.耳廓前折
C.中心线向头侧倾斜25°
D.多用于检查乳突气房
E.中心线入射点为对侧乳突尖上8cm处
136、单项选择题 膈下脓肿的典型X线表现()
A.膈下液平面
B.膈肌活动度受限
C.膈肌局限性凸起
D.膈肌抬高
E.膈面模糊
137、多项选择题 成人股骨头缺血坏死股骨头塌陷的X线征象是()
A.股骨头皮质成角
B.台阶征
C.双边征
D.裂隙征
E.股骨头节裂
138、单项选择题 胸片示肺动脉段凹陷,可除外下述哪种疾病()
A.主动脉缩窄
B.Ebstein畸形
C.法洛四联征
D.三尖瓣闭锁
E.肺动脉漏斗部狭窄
139、单项选择题 以下对于胸片诊断的描述,哪项不正确()
A.有被CT、MRI取代的可能
B.良好的天然对比是胸片检查的有利条件
C.不能检出某些早期或微小病变
D.正位胸片难以显示心后间隙、后肋膈角区病变
E.可诊断大多数胸内病变
140、单项选择题 X线片表现肺血增多,临床表现有发绀者是()
A.二孔型房间隔缺损
B.心内膜垫缺损
C.动脉导管未闭
D.室间隔缺损
E.艾森门格综合征
141、单项选择题 胸片上,肺静脉高压最早出现的影像为()
A.下肺静脉收缩
B.间质性肺水肿
C.上肺静脉扩张
D.下肺静脉收缩
E.上、下肺静脉均收缩
142、单项选择题 下列哪一项与紫绀性先天性心脏病无关()
A.发育迟缓
B.骨龄延迟
C.颅骨板障变薄
D.杵状指
E.肋骨切迹
143、单项选择题 肿瘤的实质由透明细胞组成的是()
A.乳腺髓样癌
B.肝细胞癌
C.直肠腺癌
D.胃黏液癌
E.肾细胞癌
144、单项选择题
女,60岁,左肘关节肿痛1年余,局部无红肿。左肘关节活动受限。结合左肘关节正侧位片,应诊断为()
A.类风湿性关节炎
B.滑膜骨软骨瘤病
C.关节结核
D.神经营养性关节病(Charcot关节)
E.色素沉着绒毛结节性滑膜炎
145、单项选择题 单侧跟骨侧位摄片时,中心线应对准()
A.内踝
B.外踝
C.内踝下2cm处
D.跖骨中点
E.外踝上1cm处
146、单项选择题 以下骨质增生硬化概念表述不妥的是()
A.骨质增生硬化是成骨增多
B.骨质增生硬化是破骨减少
C.多属于机体代偿反应
D.骨质增生硬化是成骨增多、破骨减少
E.骨质增生硬化就是骨量的增多
147、单项选择题
女,45岁,寒战、高热1周,WBC:1.8×109/L,胸片如图,应首先考虑()
A.肺结核
B.肺癌
C.肺脓肿
D.肺隔离症
E.大叶性肺炎
148、单项选择题 原发恶性骨肿瘤的X线表现是()
A.边缘清楚,骨质有破坏,骨膜反应明显
B.边缘模糊,骨质有破坏,骨膜反应不明显
C.边缘模糊,骨质破坏,无骨膜反应
D.边缘模糊,骨质有破坏,骨膜反应明显
E.边缘清楚,骨质有破坏,无骨膜反应
149、单项选择题 关于DR的描述,下列哪项是错误的()
A.较CR成像速度快
B.探测器寿命长
C.曝光量小
D.可透视
E.容易与原X线设备匹配
150、多项选择题 食管癌X线造影的表现包括()
A.粘膜破坏
B.充盈缺损
C.管壁僵硬
D.造影剂通过受阻
E.扩张受限
151、单项选择题
男,38岁,生活在沿海一带,腰背部疼痛半年余,根据所提供的图像,最可能诊断是()
A.石骨症
B.肾性骨病
C.氟骨症
D.成骨性转移瘤
E.骨纤维异常增殖症
152、单项选择题 下列关于胸部右前斜位的观点,错误的是()
A.也称第一斜位
B.可观察左心房
C.可观察右心房
D.可观察右心室
E.可观察食管
153、单项选择题 尘肺的X线描述术语中,错误的是()
A.大阴影
B.小阴影
C.浸润性阴影
D.胸膜斑
E.弥漫性胸膜增厚
154、多项选择题 成人幽门梗阻的常见病因有哪些()
A.幽门管溃疡
B.胃窦癌
C.胃粘膜脱垂
D.十二指肠球部溃疡
E.成人幽门肌肥大
155、单项选择题
男,12天。呼吸困难,哭闹不止。X线检查如图,最可能的诊断为()
A.新生儿胸腔积液
B.新生儿心包积液
C.新生儿白肺
D.新生儿肺炎
E.新生儿气胸
156、单项选择题
男,7岁,右前臂肿痛20天,发病时皮温较高,体温达39℃。实验室检查:WBC:12.05×109/L,中性粒细胞79%。右尺桡骨正侧位DR片如图

最可能的诊断是()
A.骨结核
B.溶骨型骨肉瘤
C.软骨肉瘤
D.骨纤维异常增殖症
E.化脓性骨髓炎
157、单项选择题
患儿,男,1天,生后呼吸困难,羊水见胎粪污染,如图,最可能的诊断为()
A.新生儿肺炎
B.新生儿湿肺
C.新生儿肺出血
D.新生儿呼吸窘迫综合症
E.胎粪吸入综合征
158、多项选择题 下列关于鼻窦开口的描述,错误的是()
A.上颌窦开口于下鼻道
B.额窦开口于上鼻道
C.后组筛窦开口于上鼻道
D.中组筛窦开口于下鼻道
E.蝶窦开口于上鼻道
159、单项选择题 儿童长骨分为4部分,下列哪项是错误的()
A.骨干
B.骨端
C.骨骺
D.骨骺板
E.干骺端
160、单项选择题 关于乳腺癌的X线征象,下列错误的是()
A.肿块,呈毛刺状
B.成簇的钙化
C.皮肤呈橘皮样改变
D.乳头凹陷
E.肿块边缘光滑,见透明晕
161、单项选择题 作为小儿髋关节摄片,哪一项技术措施是不正确的()
A.两侧髋关节应在一张胶片上同时摄片
B.对生殖腺要进行防护
C.两侧髋关节及股骨的位置一定要对称
D.应使用锐利度较高的低速增感屏
E.肢体左右铅号标记要正确
162、单项选择题
男,60岁,左股骨痛1年余,结合图像,最可能的诊断是()
A.骨纤维异常增殖症
B.Paget病
C.髋关节结核
D.股骨头缺血坏死
E.化脓性骨髓炎
163、多项选择题 气管肿瘤的定性诊断应从哪些方面作分析()
A.基底宽窄与夹角大小
B.是否带蒂
C.密度与边缘
D.邻近侵犯情况
E.肿大淋巴结
164、单项选择题 心脏左前斜位片,心缘后下部的投影是()
A.左心房
B.左心室
C.肺动脉圆锥
D.右心房
E.右心室
165、单项选择题 关于小腿前后位摄影的说法错误的是()
A.观察胫腓骨及邻近软组织
B.小腿后部近暗盒
C.足外旋10°~15°
D.中心线经小腿中部射入
E.小腿长轴平行于胶片长轴
166、多项选择题 下列哪几项在乳腺X线平片上可见到()
A.皮肤
B.脂肪
C.乳头
D.乳腺实质
E.淋巴结
167、多项选择题 肺动脉高压时,可见到下列哪些X线影像()
A.肺动脉段突出
B.肺门缩小
C.肺门搏动增强
D.常伴右心室增大
E.蝶翼征
168、单项选择题 以下哪种疾病不发生骨质软化()
A.佝偻病
B.氟骨症
C.骨质软化症
D.甲状腺功能亢进
E.肾功能不全
169、多项选择题 关于黄韧带的断层解剖,正确的是()
A.宽度不超过5mm
B.黄韧带位于关节突和椎板的内侧缘
C.呈尖端向后的“V”形线条影
D.黄韧带后缘紧贴椎管内缘
E.前方与硬膜囊之间隔以低密度的脂肪组织
170、单项选择题 骨盆骨折时,易受损的是哪一部分尿道()
A.前列腺部尿道
B.球部尿道
C.膜部尿道
D.悬垂部尿道
E.以上都不是
171、单项选择题 肺静脉高压诊断的重要指征是()
A.间隔线出现
B.上肺静脉扩张
C.胸腔少量积液
D.钙化灶
E.含铁血黄素沉着
172、单项选择题 黏多糖贮积症Ⅳ型,下述哪个部位可以正常()
A.骨盆
B.脊柱
C.颅骨
D.手部
E.腕部
173、单项选择题 急性化脓性骨髓炎临床表现是()
A.局部压痛
B.高热伴明显中毒症状
C.患肢活动障碍疼痛
D.起病急
E.以上都对
174、多项选择题 腹部泌尿系平片(KUB)诊断学要求可见的结构是()
A.骨骼
B.肾脏轮廓
C.腰大肌影
D.腹壁脂肪线
E.膀胱
175、单项选择题 发病率最高的髓内肿瘤是()
A.少突胶质细胞瘤
B.脊膜瘤
C.血管性肿瘤
D.星形胶质细胞瘤
E.室管膜瘤
176、单项选择题 胃窦部有一圆形溃疡,直径2cm,较浅,边缘不整齐,外形火山口状,最可能的诊断为()
A.急性胃炎
B.早期凹陷型胃癌
C.溃疡型胃癌
D.胃溃疡
E.急性应激性溃疡
177、单项选择题 有关乳腺良性肿块的X线征象中,应除外()
A.肿块多呈圆形或类圆形
B.肿块边缘光滑清晰
C.肿块界限不清,边缘模糊
D.肿块密度较均匀
E.肿块有时可见透明晕圈
178、单项选择题 关于产生X线条件的叙述,错误的是 ( )
A.电子源
B.高速电子流
C.阻碍电子流的靶面
D.高速电子与靶物质相互作用的结果
E.X线管的靶面均由钼制成
179、单项选择题 下述骨骼疾病中,除哪种疾病外均可引起胸椎旁软组织肿胀()
A.胸椎结核
B.强直性脊柱炎
C.嗜酸性肉芽种
D.胸椎肿瘤
E.化脓性脊柱炎
180、单项选择题 位于中颅窝的孔或裂为()
A.盲孔
B.舌下神经孔
C.筛孔
D.颈静脉孔
E.圆孔
181、单项选择题 下述“结节病”的胸部影像,哪项不正确()
A.双侧对称性肺门淋巴结肿大
B.半数病例仅有肺门淋巴结肿大
C.两肺弥漫分布细网状结节影
D.半数为单侧
E.半数伴有纵隔淋巴结肿大
182、单项选择题 眼眶增大的诊断标准为()
A.眼眶上下壁间宽度≥1.5cm
B.眼眶上下壁间宽度≥2.0cm
C.眼眶上下壁间宽度≤2.0cm
D.眼眶上下壁间宽度≤1.5cm
E.眼眶上下壁间宽度≥3.0cm
183、单项选择题 下列哪一种为非离子型对比剂()
A.硫酸钡
B.泛影葡胺
C.碘化油
D.阿米培克
E.泛影酸钠
184、单项选择题 骨瘤好发部位是()
A.肱骨
B.肋骨
C.胸骨
D.颅骨及颜面骨
E.四肢骨
185、多项选择题 副鼻窦病变常见的异常X线征象有()
A.窦腔混浊、密度增加
B.粘膜肥厚
C.窦腔内软组织块影
D.窦腔内液平面
E.窦腔增大或缩小
186、单项选择题 视神经管位(Rhees’s)摄片,正确的定位是()
A.听眉线垂直于台面
B.听眦线垂直于台面
C.听眶线垂直于台面
D.听鼻线垂直于台面
E.听口线垂直于台面
187、单项选择题
女婴,出现持续性呕吐,腹胀,如图所示,最可能的诊断为()
A.肠梗阻
B.肠扭转
C.肠闭锁
D.肠旋转不良
E.肠穿孔
188、单项选择题 下述肺动静脉瘘影像特点,错误的是()
A.单发或多发结节
B.圆形或分叶状
C.病变边缘锐利
D.呼气相病灶体积比吸气相小
E.无钙化
189、单项选择题 下述肺野划分标准,哪项是错误的()
A.肺门位于中肺野内带
B.由内向外,肺野被分为内带、外带
C.第二肋骨前端下缘水平线以上为上肺野
D.第四肋骨前端下缘水平线以上为中肺野
E.第四肋骨前端下缘水平线以下为下肺野
190、多项选择题 关于增感屏对影像效果影响的叙述,错误的是()
A.增加影像对比度
B.降低影像清晰度
C.降低影像颗粒性
D.提高信息传递功能
E.增加影像的层次
191、单项选择题 肺内错构瘤的特征性X线表现是()
A.孤立圆形阴影
B.肿块边缘清楚
C.肿块边缘可分叶
D.肿块内见爆米花样钙化
E.肿块内可形成空洞
192、单项选择题 关于鼻窦正常解剖的描述,下列哪项不正确()
A.出生时,蝶窦、额窦未气化
B.出生时,上颌窦、筛窦已气化
C.蝶窦由蝶窦中隔分为左右两个窦腔
D.上颌窦前部与鼻腔仅粘膜相隔
E.前组筛窦引流至中鼻道,后组筛窦引流至上鼻道
193、单项选择题 左心房增大在心脏正位片上的诊断依据为()
A.肺淤血
B.心脏呈"二尖瓣型"
C.心脏呈"主动脉型"
D.右心缘"双弧征"
E.左心耳凸出
194、单项选择题 关于肩关节前后位摄片,错误的是()
A.显示肱骨头与关节盂关节间隙的切线像
B.身体矢状面必须平行于胶片
C.肩胛骨喙突对胶片中心
D.中心线对准喙突投射
E.可检查肱骨近端骨质病变
195、多项选择题 乳腺病变进行导管造影时,可见哪些X线征象()
A.导管扩张
B.导管僵直
C.导管受压移位、分支减少
D.管腔内充盈缺损
E.导管截断
196、单项选择题
患儿,新生儿出生评分8分,出生约6小时后出现呼吸困难,进行性加重,并出现皮肤青紫及吸气性三凹征,胸片如下图所示,下列诊断正确的是()

A.肺出血
B.新生儿肺透明膜病
C.一侧肺不发育
D.吸入性肺炎
E.新生儿湿肺
197、单项选择题 来自细支气管Clara细胞和Ⅱ型肺泡细胞的癌为()
A.腺癌
B.细支气管肺泡癌
C.大细胞癌
D.类癌
E.小细胞癌
198、单项选择题 肝海绵状血管瘤的X线征中,哪项是错误的()
A.灯泡征
B.树上挂果征
C.早出晚归征
D.抱球征
E.星状瘢痕征
199、多项选择题 溃疡型肠结核的X线表现有()
A.肠管边缘呈锯齿状
B.斑点状小龛影
C.激惹征
D.粘膜紊乱呈小息肉状充盈缺损
E.可出现肠梗阻表现
200、单项选择题 视神经管与头颅矢状面的夹角为()
A.30°~45°
B.45°~50°
C.10°~25°
D.20°~30°
E.以上都不是
201、单项选择题 颌顶位又称为()
A.顶颌位
B.下上轴位
C.上下轴位
D.额鼻位
E.后前位
202、单项选择题 动脉导管未闭与其他左向右分流的先心病具有鉴别意义X线征象是()
A.左心室增大
B.左心房增大
C.主动脉弓增宽
D.右心室增大
E.肺血增多
203、单项选择题 关于“急性化脓性鼻窦炎”的影像特点,下列哪项错误()
A.单侧或双侧鼻窦受累
B.可有气液平面
C.黏膜下皮质白线消失
D.窦腔密度均匀增高
E.窦壁黏膜增厚
204、单项选择题 下列有关左心房增大影像表现,哪项不对()
A.后前位,右心缘"双房影"
B.后前位,支气管分叉角度增大
C.左前斜位,左下叶支气管后移
D.左前斜位,心前间隙缩小甚至消失
E.侧位示心后缘上部突出、食管受压
205、单项选择题
女,40岁,右桡骨远端疼痛5月余,局部压痛。结合右腕关节正侧位片,最可能的诊断为()
A.成软骨细胞瘤
B.骨巨细胞瘤
C.骨囊肿
D.动脉瘤样骨囊肿
E.骨纤维异常增殖症
206、多项选择题 右心房增大对心脏形态的影响包括()
A.右心房增大使右心缘向右突,但右心室、左心房或双心室增大均有此现象
B.如伴有右心室增大,引起心脏顺钟向旋转,可使本来向右突的右心缘不显著
C.右心房扩大可首先表现为右心耳扩大,左前斜位25°~30°,此段延长、隆起
D.右心缘的正常高度占主动脉弓至膈的1/2,右心房增大时此段可超过1/2
E.右心房轻度扩张时可在右前斜位上见心后下缘呈圆形向后下方明显突起
207、单项选择题 骨纤维肉瘤中央型的主要X线表现为()
A.生长慢者破坏区可呈囊状,甚至膨胀性骨破坏
B.多骨多发溶骨性骨破坏,同时可伴有内脏和软组织的多发肿瘤
C.骨旁软组织肿块和邻近部位的骨皮质毛糙、压迫性缺损
D.瘤区内无明显骨化及钙化,一般无骨膜反应
E.边缘模糊的溶骨性破坏,周围呈筛孔样改变
208、单项选择题 下列除哪项外均为中央型肺癌转移的表现()
A.膈肌矛盾运动
B.膈膨升
C.肺内结节
D.胸腔积液
E.肋骨破坏
209、单项选择题 骨骺损伤的表述,错误的是()
A.干、骺愈合前骨骺部发生的创伤,也称骨骺分离
B.约30%骨骺损伤继发肢体短缩或成角畸形
C.X线平片表现为骨骺移位、骺板增宽及临时钙化带模糊或消失
D.X线平片可以显示二次骨化中心骨化前的骨骺损伤
E.MRI显示骺板的纤维桥和骨桥最佳
210、单项选择题 下列哪项为组织来源未定的肿瘤为()
A.纤维肉瘤
B.骨巨细胞瘤
C.骨髓瘤
D.尤文肉瘤
E.脊索瘤
211、单项选择题 下列哪一种疾病,一般不出现小叶间隔线()
A.急性高原反应
B.右心衰
C.左心衰
D.肺水肿
E.风湿性二尖瓣狭窄
212、单项选择题 与CT比较,MRI用于心脏的检查,具有下列优势,哪项除外()
A.可获得标准的三维图像和斜位图像
B.对心脏形态、结构和病变的显示能力更高
C.改变扫描序列可提高病变的识别和鉴别能力
D.检查的时间更短
E.无X线的副作用
213、单项选择题 胸片上,双侧肺门影增大可见于()
A.大叶性肺炎
B.慢性纤维空洞型肺结核
C.法洛四联征
D.慢性肺源性心脏病
E.肺隔离症
214、单项选择题 男,65岁,钡剂灌肠检查发现乙状结肠下段呈局限性环形狭窄,肠壁僵硬,与正常肠管截然分界,首先应考虑()
A.溃疡性结肠炎
B.结肠结核
C.浸润型结肠癌
D.溃疡型结肠癌
E.结肠息肉病
215、单项选择题
男,28岁,左髋疼痛不适三年余,结合图像,最可能的诊断是()
A.左髂骨动脉瘤样骨囊肿
B.左髂骨单纯性骨囊肿
C.左髂骨骨巨细胞瘤
D.左髂骨棕色瘤
E.左髂骨骨纤维性结构不良
216、单项选择题 缩窄性心包炎的X线表现中,哪项不正确()
A.心影多为正常大小或轻度增大
B.心脏搏动明显增强
C.心缘变直,各弓分界不清
D.心脏边缘不规则或多边状
E.心影外形多呈三角形
217、单项选择题 DSA成像的叙述,错误的是()
A.DSA——数字减影血管造影
B.Mask片是与普通平片完全相同的图像
C.Mask——蒙片
D.造影图像与未造影图像相减得血管图像
E.血管显影所需的碘量与血管直径成反比
218、单项选择题 男,52岁,右下腹痛,贫血3月,钡灌肠检查见盲肠充盈缺损,肠袋消失,粘膜中断,最可能的诊断是()
A.结肠炎性肿块
B.淋巴瘤
C.平滑肌瘤
D.盲肠癌
E.淋巴结增生症
219、单项选择题 风湿性心脏病左房室瓣(二尖瓣)病变时肺血管改变()
A.肺充血
B.肺淤血
C.肺缺血
D.肺出血
E.以上都不是
220、多项选择题 关于“ERCP”的禁忌证,下列正确的是()
A.严重胆管感染
B.慢性胰腺炎
C.急性胰腺炎
D.胆管肿瘤
E.慢性胰腺炎急性发作
221、单项选择题 佝偻病的常见病因为()
A.饮食性维生素D缺乏
B.日光照射不足
C.消化道疾病
D.肾病
E.以上均是
222、多项选择题 中量游离性胸腔积液的渗液曲线的形成与下述哪些因素有关()
A.胸腔内的负压状态
B.液体的表面张力
C.肺组织的弹性
D.液体的重力
E.液体在胸腔内的虹吸作用
223、多项选择题 胰头癌引起的十二指肠环改变为()
A.降部充盈缺损
B.降部双边征
C.降部小弯侧粘膜皱襞破坏、消失
D.降部出现反“3”征
E.肠环缩小
224、单项选择题 “法洛四联征”中起主导作用的畸形是()
A.肺动脉狭窄+主动脉骑跨
B.肺动脉狭窄+右心室肥厚
C.肺动脉狭窄+室间隔缺损
D.右心室肥厚+室间隔缺损
E.右心室肥厚+主动脉骑跨
225、单项选择题 IVP检查腹部压迫点的位置是()
A.第1腰椎水平两侧
B.第3腰椎水平
C.两侧髂前上棘连线水平
D.脐上两侧
E.耻骨联合上方3cm
226、多项选择题 下列关于胃癌的描述,正确的是()
A.胃癌好发于胃窦部,其次为贲门和胃小弯
B.早期胃癌分为隆起型、浅表型、凹陷型
C.中晚期胃癌是指浸润至肌层或超过肌层
D.胃癌淋巴结转移常首先转移至左锁骨上淋巴结
E.胃癌常通过门静脉转移到肝内
227、单项选择题
男,16岁,突感呼吸困难,大汗淋漓,胸片检查如图,最可能的诊断是()

A.右侧肺气肿
B.右侧肺部肿块
C.右侧气胸
D.右侧肺大泡
E.右侧肺挫伤
228、单项选择题 以下正常食管X线解剖的说法,哪项不对()
A.始于颈6椎体水平
B.止于胸11椎体水平
C.通常分颈段、胸段、腹段
D.食管粘膜纹与胃相似
E.青年人有三个生理压迹
229、多项选择题 骨质破坏的原因中,正确的有()
A.良、恶性骨肿瘤
B.骨肿瘤样病变
C.甲状旁腺功能低下
D.炎症
E.肉芽肿性病变
230、多项选择题 下列属于厌骨性肿瘤的是()
A.肺癌
B.皮肤癌
C.胃癌
D.子宫内膜癌
E.乳腺癌
231、单项选择题 下列心脏病变透视特点的描述,哪项不对()
A.缩窄性心包炎:心脏搏动减弱
B.左心室室壁瘤:心脏局部矛盾运动
C.轻度心肌炎:心脏搏动正常
D.主动脉关闭不全:反向搏动点下移
E.主动脉关闭不全:心脏搏动普遍增强
232、单项选择题 X线透视在骨关节疾病诊治中的应用是()
A.金属异物的寻找和定位及外伤性骨折、脱位的整复
B.显示青枝骨折优于摄片
C.对部位厚、层次多的结构显示更佳
D.显示骨小梁结构
E.显示低密度异物和软组织层次
233、单项选择题 在X线摄影中,使用对比剂可以增加组织间的对比,有助于形成影像。 静脉尿路造影时检查前12小时禁食、水的原因是()
A.不需要
B.减轻体重
C.防止过敏反应时呕吐造成窒息
D.防止对比剂与食物发生化学反应
E.防止干扰对比剂显示影像
234、单项选择题 下列造影组合,错误的是()
A.膝关节——空气
B.消化道——钡剂
C.椎管——碘化钠
D.泌尿系——泛影葡胺
E.心血管——复方泛影葡胺
235、多项选择题 肾盂逆流包括()
A.肾乳头管逆流
B.肾小管逆流
C.肾窦逆流
D.肾盂淋巴管逆流
E.肾盂静脉逆流
236、单项选择题 用于读出CR中X线影像信息的光束是()
A.可见光
B.红外线
C.紫外线
D.激光
E.电子线
237、多项选择题 在胸片上表现为肺血增多的心脏病有()
A.室间隔缺损
B.三尖瓣闭锁不全
C.房间隔缺损
D.肺动脉狭窄
E.动脉导管未闭
238、多项选择题 下列属于低压部件的是()
A.自耦变压器
B.延时器
C.空间电荷补偿变压器
D.透视高压接触器
E.稳压器
239、单项选择题 按波长由短到长排列顺序,下列哪组正确()
A.红外线,紫外线,可见光,无线电波,X线
B.紫外线,可见光,红外线,无线电波,X线
C.无线电波,X线,红外线,可见光,紫外线
D.可见光,红外线,无线电波,紫外线,X线
E.X线,紫外线,可见光,红外线
240、多项选择题 滤线栅使用不当,会造成射线切割的是()
A.栅斜置
B.栅反置
C.中心线纵向偏距
D.中心线纵向倾角
E.焦-片距与栅-焦距一致
241、单项选择题 下列哪种疾病,无“肺血减少”表现()
A.法洛四联征
B.三尖瓣闭锁
C.房间隔缺损
D.永存动脉干
E.大血管转位
242、多项选择题 以下关于眼眶内侧壁组成结构的描述,错误的是()
A.额骨眶板、蝶骨小翼
B.上颌骨额突、泪骨和筛板
C.上颌骨、颞骨
D.泪骨、额骨眶板
E.额骨眶突、蝶骨大翼
243、单项选择题
男,27岁,近2月来感胸闷,无咳嗽咳痰,不发热,X线检查如图,最可能的诊断是()

A.右侧包裹性胸腔积液
B.右侧肺不张
C.右侧游离性胸腔积液
D.右侧膈下脓肿
E.胸膜间皮瘤
244、单项选择题 关于脾脏与周围器官的关系错误的是()
A.和左肾上1/3前缘相邻接
B.内缘中1/3邻接胃大弯
C.一般人脾下极平第一腰椎
D.脾膈面与左膈的后外侧弧线一致
E.脾下缘邻接结肠脾曲
245、单项选择题
男,19岁,咳嗽、发热1周余,X线检查如图,最可能的诊断是()

A.左下肺不张
B.左侧胸膜肥厚
C.左下肺炎症
D.左侧胸腔积液
E.左下肺结核
246、单项选择题 膈肌麻痹时,膈肌位置的改变是下列哪一种()
A.两侧膈肌升高
B.两侧膈肌降低
C.单侧膈升高
D.单侧膈肌降低
E.膈肌局限性隆凸
247、单项选择题 有关对比度、锐利度、密度的相互关系,下列哪种说法错误()
A.密度是对比度、锐利度的基础
B.锐利度与对比度无直接关系
C.照片对比度不随密度改变而改变
D.观片灯的亮度也影响对比度的效果
E.在高密度的周围如有对比度小的物体影像,常难以辨认
248、多项选择题 绞窄性肠梗阻的X线征象为()
A.小跨度卷曲肠袢
B.假肿瘤征
C.咖啡豆征
D.空回肠换位征
E.长液面征
249、单项选择题 眼眶内侧壁由哪些结构组成()
A.额骨眶板、蝶骨小翼
B.上颌骨额突、泪骨和筛板
C.上颌骨、颞骨
D.泪骨、额骨眶板
E.额骨眶突、蝶骨大翼
250、多项选择题 成人骨髓炎的特点有()
A.无明显全身中毒症状
B.症状较轻
C.发病缓慢
D.骨质破坏较局限
E.预后较好
251、单项选择题 下列关于“肠结核”影像表现,错误的是()
A.增生型肠结核出现充盈缺损
B.跳跃征
C.溃疡型龛影检出率高
D.增生型肠结核肠管出现短缩、变窄
E.内瘘
252、单项选择题 上颌窦癌最具诊断价值的影像学表现为()
A.上颌窦窦腔密度高伴骨质破坏、周围可见不规则软组织密度肿块
B.上颌窦窦腔密度高伴骨质增生
C.上颌窦窦腔密度高伴骨壁膨胀
D.上颌窦窦腔密度高伴气液面
E.上颌窦窦腔密度高伴同侧鼻腔高密度
253、单项选择题 “良性骨肿瘤”发病率的顺序依次为()
A.骨软骨瘤>巨细胞瘤>软骨瘤>骨瘤
B.骨软骨瘤>软骨瘤>巨细胞瘤>骨瘤
C.骨瘤>巨细胞瘤>软骨瘤>骨软骨瘤
D.巨细胞瘤>骨软骨瘤>软骨瘤>骨瘤
E.骨瘤>骨软骨瘤>巨细胞瘤>软骨瘤
254、单项选择题 放射工作人员应每年进行一次健康检查,其中血液检查不包括哪项()
A.红细胞计数
B.白细胞总数及其分类
C.血红蛋白
D.血压测定
E.全血相对密度(比重)
255、单项选择题 下列关于“胃窦炎”描述,错误的是()
A.胃窦粘膜粗大
B.粘膜皱襞斜行、横行或交叉排列紊乱
C.肩胛征
D.胃窦张力增高
E.充盈像时,胃窦轮廓呈细齿状
256、多项选择题 下列关于肾癌的影像,正确的为()
A.肾影局限性增大
B.IVP正常也不能完全除外肾癌
C.肾盂、肾盏移位
D.均有肾盂积水、肾功能降低
E.肾盂内可有充盈缺损
257、单项选择题 下列肺隔离症影像表现,错误的是()
A.多位于左下叶
B.多为类圆形影
C.病变实质密度,不含气
D.早期明显强化
E.边缘清晰
258、单项选择题 一般不引起肺血管变化的心脏病是()
A.房间隔缺损
B.风湿性心脏病二尖瓣狭窄
C.法洛四联征
D.冠心病
E.室间隔缺损
259、单项选择题
男,72岁,手足小关节红肿热痛,白细胞升高,血沉快,血尿酸升高,结合图像,最可能诊断是()
A.类风湿关节炎
B.退行性骨关节病
C.痛风性关节炎
D.假痛风
E.滑膜炎
260、单项选择题 关于心脏摄影的叙述,下列哪项错误()
A.常规取站立后前位
B.右前斜位应服钡
C.摄-片距为200cm
D.常规取左侧位
E.深吸气后屏气曝光
261、多项选择题 肺血流受下述哪些因素影响()
A.右心搏出量
B.全心搏出量
C.肺血管阻力
D.肺泡内压
E.肺弹力
262、多项选择题 石棉肺患者易并发()
A.肺炎
B.胸膜间皮瘤
C.肺癌
D.支气管扩张
E.肺源性心力衰竭
263、单项选择题 特发性肺间质纤维化好发于()
A.肺门附近
B.上叶尖后段或下叶背段
C.胸膜下区
D.双下肺野
E.双肺弥漫分布
264、单项选择题
男,62岁,咳嗽、胸痛1月余,X线检查如图,最可能的诊断是()
A.右下肺炎症
B.右下肺不张
C.右肺癌
D.右肺转移瘤
E.右肺错构瘤
265、单项选择题 滑膜骨软骨瘤病最常见于()
A.膝关节
B.髋关节
C.肘关节
D.踝关节
E.腕关节
266、单项选择题 足前后位摄影是临床经常使用的摄影位置。 足前后位摄影中心线应对准()
A.第三跖骨头
B.第三跖骨基底部
C.第三跖趾关节
D.内、外踝连线中点
E.距骨中点
267、单项选择题 下述哪种疾病不能见到肺门舞蹈征()
A.慢性肺源性心脏病
B.高原性心脏病
C.克山病
D.房间隔缺损(1孔型)
E.房间隔缺损(2孔型)
268、单项选择题 影响钙磷代谢的主要因素为()
A.甲状旁腺素
B.维生素C
C.甲状腺激素
D.性激素
E.维生素A
269、单项选择题 心脏左前斜位,冠状面与胶片的夹角是()
A.30°~50°
B.45°~55°
C.55°~65°
D.70°~80°
E.85°
270、单项选择题 肺动静脉瘘的X线表现中,以哪项诊断价值最大()
A.异常血管影
B.单发或多发结节状影
C.瘤囊搏动
D.大小可改变
E.肋骨下缘压迹
271、单项选择题 有关杜纳(Turner)综合征的X线表现中,哪项错误()
A.掌骨征阳性
B.腕骨角增大
C.胫骨内髁关节面变平面下陷
D.脊柱侧弯后突,腰椎呈方形
E.骨骺发育正常,与骨干联合延迟
272、单项选择题 绞窄性肠梗阻的可靠征象是()
A.假肿瘤征
B.足球征
C.空肠换位征
D.肠管双壁征
E.肠曲截断征
273、单项选择题 心房间隔缺损主要X线征象是()
A.主动脉结缩小或正常
B.肺门舞蹈征
C.右心房增大
D.左心室增大
E.肺动脉段突出
274、多项选择题 腹部X线摄影时,右膈下见到气体影的有()
A.内脏转位症
B.肝硬化
C.胃癌
D.肾癌
E.消化道溃疡穿孔
275、单项选择题 以下哪项较少用于胸部成像()
A.胸部平片
B.US
C.支气管分层
D.MRI
E.CT
276、单项选择题 腐蚀性食管炎病变较重者的X线表现中,应除外()
A.可侵及全部食管
B.早期食管明显痉挛与不规则收缩
C.食管边缘呈锯齿状与串珠状
D.食管粘膜正常或增粗扭曲
E.狭窄段常起于主动脉弓下方,呈向心性
277、多项选择题 先天性肛门闭锁腹部倒立位摄片,主要目的是()
A.提供手术指征
B.观测直肠的气体
C.观察腹部胀气情况
D.观察肛门闭锁情况
E.测量直肠末端到肛门间的距离
278、单项选择题 左心室增大一般不出现于下列哪项()
A.二尖瓣狭窄
B.主动脉瓣狭窄
C.二尖瓣关闭不全
D.主动脉瓣关闭不全
E.高血压心脏病
279、单项选择题
下列关于胸膜斑知识,哪项正确()
A.接触石棉15年左右出现
B.常累及壁层胸膜
C.10cm2以上
D.多数厚度大于2cm
E.边缘模糊
280、单项选择题 以下选项中,哪项不能提高“图像清晰度”()
A.加大物片距
B.加大焦片距
C.小焦点技术
D.缩短曝光时间
E.使用滤线器、遮光器
281、单项选择题 最常见的侵袭性胸腺瘤转移扩散途径为()
A.血行转移
B.沿胸膜腔种植性转移
C.淋巴转移
D.经支气管扩散
E.直接侵犯肺和横膈
282、单项选择题 肺动脉高压的典型表现为()
A.出现间隔线
B.残根征
C.肺野透亮度减低
D.多继发于左心衰
E.肺纹理增粗,结构模糊
283、多项选择题 CR的空间频率处理,减影处理的叙述,正确的是()
A.空间频率处理是系统对空间频率响应的调节
B.频率处理三个参数:RN、RT、RE
C.可完成血管造影与非造影影像的减影职能
D.时间减影是作对比剂注射前后的影像减影
E.能量减影是两幅以不同能量曝光的影像
284、单项选择题
乳腺癌TNM分期中,T2肿瘤直径不超过()
A.1cm
B.2cm
C.3cm
D.4cm
E.5cm
285、单项选择题
患者突发胸痛气急,呼吸困难,胸片如图,最可能的诊断为()

A.右侧肺大泡
B.右侧气胸
C.右侧中央型肺癌并阻塞性肺气肿
D.肺气肿
E.右肺肺炎
286、单项选择题 下列肾形态无临床意义的是()
A.马蹄肾
B.驼峰肾
C.侏儒肾
D.海绵肾
E.多囊肾
287、单项选择题 关于结肠正常影像,下列描述哪项错误()
A.结肠粘膜有纵、横、斜3种方向
B.升结肠的结肠袋比降结肠明显
C.左半结肠粘膜皱襞以纵向为主
D.左半结肠比右半结肠粗
E.低张双对比造影可显示无名沟
288、单项选择题 后组鼻窦是指()
A.筛窦+蝶窦
B.筛窦+上颌窦+蝶窦
C.后组筛窦+蝶窦
D.后组筛窦+上颌窦+蝶窦
E.上颌窦+蝶窦
289、多项选择题 适合高电压摄片检查的部位为()
A.喉
B.肺
C.胸骨
D.乳腺
E.鼻咽部侧位
290、单项选择题
女,71岁,左肩痛,系统性红斑狼疮服用高剂量的类固醇半年,结合图像,最可能的诊断是()
A.化脓性关节炎
B.类风湿关节炎
C.骨纤维肉瘤
D.肱骨头缺血坏死
E.肩关节结核
291、单项选择题 外伤间接暴力是指()
A.外力传导
B.坠落
C.砸伤
D.锐器伤
E.撞击
292、多项选择题 龛影可见于哪些病变()
A.贲门失弛缓征
B.胃溃疡
C.十二指肠憩室
D.肠结核
E.食管静脉曲张
293、单项选择题 有关神经系统的组合,错误的是()
A.中枢神经系统-脊髓
B.中枢神经系统-脑
C.中枢神经系统-脑神经
D.周围神经系统-交感神经
E.周围神经系统-内脏神经
294、单项选择题 关于切线投影的叙述,错误的是()
A.将中心线从被检部位边缘通过,称切线投影
B.此法可使相邻部分X线吸收差异减小
C.对于某些边缘凸出,可采用此法
D.对某些边缘凹陷,可采用此法
E.对某些表面病灶,可采用此法
295、单项选择题 急性化脓性骨髓炎的特征性X线表现为()
A.软组织充血、水肿
B.骨质破坏
C.骨质增生
D.死骨形成
E.软组织有窦道形成
296、单项选择题 诊断额窦恶性肿瘤时,下列哪种位置摄影最佳()
A.华氏位
B.前额切线位
C.头颅侧位
D.柯氏位
E.汤氏位
297、单项选择题
早产儿,男,生后12小时,生后8小时出现呼吸困难,如图,最可能的诊断为()
A.新生儿肺炎
B.新生儿湿肺
C.新生儿肺出血
D.新生儿特发性呼吸窘迫综合症
E.胎粪吸入综合征
298、单项选择题 当肺静脉压力大于3.33kPa(25mmHg)时,不应出现下列哪一项表现()
A.少量胸腔积液
B.KerleyA线
C.KerleyB线
D.两肺门不对称,右肺门小于左肺门
E.肺纹理模糊和增粗
299、单项选择题
男,14岁,偶然发现双膝部肿块1天,双膝关节摄片如图,最可能的诊断是()
A.骨瘤
B.骨软骨瘤
C.局限性骨皮质增厚
D.软骨肉瘤
E.以上均不正确
300、多项选择题 早期胃癌浅表型(Ⅱ型)的X线表现为()
A.肿瘤呈类圆形凸向胃腔,高度超过5mm
B.肿瘤表浅、平坦,沿黏膜皱襞及皱襞下层生长
C.形态不规则,多数病变边界清楚
D.三个亚型隆起与凹陷均不超过5mm
E.双重法及压迫法呈不规则颗粒状杂乱影