时间:2025-03-30 02:30:11


1、单项选择题 不符合支气管哮喘的是()
A.肺泡上皮细胞的基底膜薄弱并有缺损
B.所有小的及中等的支气管充满了黏稠的分泌物
C.支气管收缩引起肺的过度膨胀
D.纤毛上皮细胞脱落、基底膜露出
E.肺膨胀、肺气肿,黏液栓塞局部肺不张
2、多项选择题
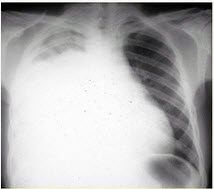
患者男,74岁,慢性咳嗽、咳痰30余年,近10余年来气急并进行性加重,1年前呼吸衰竭经无创机械通气和抗菌等治疗获救。出院后病情尚平稳,但是动则气急。3d前因气候突然转冷而出现咳嗽加重,咳痰不畅、气急伴嗜睡和尿少,再次入院。体检T37.8℃,108次/min,R26次/min。意识尚清,但反应迟钝。气急,辅助呼吸很明显,吸氧下无发绀。球结膜充血、水肿。颈静脉无怒张。桶状胸,两肺呼吸音普遍降低,未闻及干、湿啰音。心脏无异常发现。腹软,肝肋下1.5cm,质中,无触痛,肝-颈逆流试验(-)。脾脏未及。腹部移动性浊音(-),下肢无水肿。血白细胞计数8.5×109/L,中性占0.8。吸氧2L/min下动脉血气分析pH7.28,PaCO280mmHg,PaO268mmHg。胸片示两肺纹理增多,肺动脉阴影增宽。诊断AECOPD,呼吸衰竭。给予面罩BiPA和头孢他啶联合环丙沙星静脉治疗。病情一度改善。但咳痰依然困难,痰多而黏稠。3d后病情出现反复,气急加重,明显发绀。拒用面罩BiPAP。胸片示右下肺大片均匀而浓密的阴影。
此时抗菌治疗调整可以选择()(提示:纤支镜检查见右肺下叶支气管大量黏液脓液,黏膜高度充血水肿。经冲洗吸引后病情改善。吸出物半定量培养:①肺炎克雷伯杆菌(+++),对头孢他啶、头孢曲松、头孢泊肟均耐药;②金黄色葡萄球菌(++),对头孢西丁耐药,替考拉宁和万古霉素均敏感。)
A.亚胺培南/西司他啶+万古霉素
B.亚胺培南/西司他啶
C.厄他培南+替考拉宁
D.厄他培南
E.哌拉西林/他唑巴坦+万古霉素
F.头孢吡肟+阿米卡星
3、单项选择题 可用肺量计直接测得的是()
A.FRC
B.VT
C.RV
D.TLC
E.DLco
4、单项选择题 某患者测得肺活量占预计值百分比为85%,第一秒肺活量百分比为56%,其诊断可能为()
A.弥散功能障碍
B.阻塞性通气障碍
C.限制性通气障碍
D.混合型通气障碍肺功能测验
E.正常
5、单项选择题 患者因心悸气促住院。体检发现脉率90次/分,心率120次/分,第一心音强弱不等,心律绝对不规则。诊断可能为()
A.心房扑动
B.心房颤动
C.过早搏动
D.阵发性心动过速
E.窦性心动过速
6、单项选择题 伴有弥漫性肺泡出血的疾病不属于免疫相关性的是()
A.显微镜下多血管炎
B.系统性红斑狼疮
C.骨髓移植后
D.左房室瓣狭窄
E.Goodpasture综合征
7、单项选择题 男,35岁,慢性呼吸衰竭患者,近1周病情加重,肺部啰音增多,经治疗后,病情好转,但不能改善的是()
A.神经精神症状
B.心律失常
C.肺气肿
D.蛋白尿
E.ALT升高,黄疸
8、单项选择题 患者女,58岁,右胸痛、咳嗽、消瘦2个月余,无明显发热、盗汗、潮热,无咳痰、咯血。近1个月觉胸闷、气促进行性加重,近1周患者夜间不能平卧。既往史:高血压病史10年,3年前有结肠癌手术史。胸部X线检查示右中下肺野均匀致密阴影,上缘呈弧形,外高内低。 该患者在体格检查时不会出现的体征是()
A.右中下肺呼吸音减弱或消失
B.右中下肺叩诊浊音或实音
C.右侧触觉语颤增强
D.右侧呼吸运动减弱
E.右侧肺下界移动度叩不出
9、单项选择题 感染性胸膜炎最常见的病原菌是()
A.肺炎克雷伯菌
B.溶血性链球菌
C.金黄色葡萄球菌
D.结核杆菌
E.绿脓杆菌
10、单项选择题
患者男,73岁。进行性呼吸困难半年,加重2个月。否认吸烟史、粉尘接触史。查体:发绀,杵状指,双肺底闻爆裂音。血常规正常,ERS16mm/h。胸部CT如图所示:

A.COPD
B.UIP
C.肺部感染
D.支气管扩张症
E.NSIP
11、单项选择题 患者,男,34岁,确诊支气管扩张5年,半天前突然咯血数十口,应首选的治疗药物是()
A.呼吸兴奋剂
B.止咳剂
C.镇静剂
D.凝血剂
E.垂体后叶素
12、单项选择题 患者女,35岁,反复咳嗽、咳痰伴喘息1年余,间断伴有发热,院外考虑“哮喘”,给予吸入性糖皮质激素治疗,症状控制不满意,间断口服泼尼松,仍反复咳嗽和喘息,有时咳出白色黏液栓样物,咳出后感觉症状缓解。多次给予“抗生素”治疗,疗效亦不显著。体检:喘息貌,呼吸稍急促,约26次/min,双肺可闻及散在哮鸣间,双肺底可闻及细湿啰音。实验室检查:周围血嗜酸粒细胞增多;胸片示肺部散在浸润病灶,呈游走性;胸部CT提示肺气肿及近端支气管扩张症。霉菌变应原速发性皮肤试验阳性;血清总IgE浓度(>1000ng/ml)升高。 最可能的诊断是()
A.支气管哮喘
B.COPD
C.变应性肺泡炎
D.ABPA
E.间质性肺疾病
13、单项选择题 病例-对照研究的主要评价指标是()
A.发病率
B.患病率
C.治愈率
D.RR
E.OR
14、单项选择题 一临床怀疑患有支气管哮喘的患者,其肺通气功能正常,需进一步做的检查是()
A.清晨PEF监测
B.支气管扩张试验
C.肺弥散功能检查
D.支气管激发试验
E.残气量测定
15、单项选择题 胸片见右肺均匀的高密度影,肺尖稍透亮,纵隔左移的最可能原因是()
A.大量气胸
B.大叶性肺炎
C.干酪性肺炎
D.大量胸腔积液
E.巨大占位性病变
16、单项选择题 肺性脑病狂躁不安的处理()
A.必要时可用吗啡、杜冷丁
B.可给大量安定
C.不宜用水合氯醛保留灌肠
D.可用大量的奋乃静肌注
E.重点改善通气功能
17、单项选择题 慢性肺心病形成肺动脉高压的因素是()
A.呼吸道感染
B.缺氧肺小动脉痉挛收缩
C.气道痉挛
D.肺小血管炎
E.毛细血管床减少
18、单项选择题 持续性心房纤颤患者,最易发生哪种并发症()
A.心内膜炎
B.心源性休克
C.动脉系统栓塞
D.肺部感染
E.下肢静脉血栓形成
19、单项选择题 患者,男,66岁。5月前刺激性咳嗽,右上胸痛,呈进行性加重而就诊。近2周来疼痛沿右肩向右上臂及前臂放射,并出现右额部不出汗、右眼难以睁开。体检:右侧瞳孔缩小,眼球内凹,上睑下垂。右上肺叩浊,呼吸音降低。X线示右肺尖团块影,边缘不清。该例诊断首先应考虑()
A.右肺尖结核
B.右上肺慢性炎症
C.右肺上沟瘤
D.右上肺结核球
E.右上肺转移性肿瘤
20、多项选择题 支气管哮喘发作病人,出现下列哪组情况提示病情严重或有合并症发生()
A.氧疗后紫绀不改善或加重
B.神志改变
C.呼吸困难加重而啰音减轻或消失
D.奇脉
E.哮鸣音增强
21、单项选择题
一患者的动脉血气分析示:pH7.20,HCO220mol/L,PaCO250mmHg,PaO245mmHg。
可能的呼吸功能诊断为()
A.呼吸功能正常
B.Ⅱ型呼吸衰竭
C.Ⅰ型呼吸衰竭
D.低通气
E.通气过度
22、单项选择题 注射毒瘾患者的社区获得性肺炎,第一位的病原体是()
A.肺炎链球菌
B.肠杆菌科细菌
C.铜绿假单胞菌
D.军团菌
E.甲氧西林耐药金黄色葡萄球菌
23、单项选择题 治疗肺源性心脏病心力衰竭的首要措施是()
A.卧床休息、低盐饮食
B.积极控制感染和改善呼吸功能
C.使用小剂量作用缓和的利尿剂
D.使用小剂量强心剂
E.应用血管扩张剂减轻心脏负荷
24、单项选择题
患者男,65岁,2d前洗澡受凉后感不适,时自测体温38.5℃,干咳伴咽痛、胸闷,右胸略感隐痛。既往体健。吸烟300支/年,已戒烟10年。体检:一般情况好,口唇无发绀,心肺无阳性体征发现。白细胞计0.9×109/L,中性0.80。胸片示右心缘模糊影,右侧位片见右中叶片状阴影,呈尖端指向肺门的三角形,肺叶无明显收缩。
经验性抗菌治疗,应选择()A.头孢他啶+阿米卡星
B.环丙沙星+依替米星
C.头孢曲松+克拉霉素
D.青霉素+左氧氟沙星
E.阿莫西林+多西环素
25、单项选择题 支气管肺组织的感染和阻塞所致的支气管扩张症的最常见原因是()
A.肺结核
B.支气管曲菌感染
C.婴幼儿麻疹、百日咳、支气管肺炎等感染
D.肿瘤、异物吸入引起的支气管阻塞
E.有害气体的吸入损害气道
26、单项选择题 男患者60岁,慢支肺气肿20年,冠心病史5年,呼吸困难加重2天,意识障碍1小时来诊。查体:浅昏迷,呼吸困难,口唇发绀,球结膜轻度水肿,BP170/110mmHg,双肺散在干啰音,中下部湿啰音,HR128次/分,节律不整,略大,下肢水肿(±)。
提示:血气分析PaCO2:93mmol/L,PaO2:40mmHg,HCO-3:22mmol/L,PH:7.20,BE:-7mmol/L,提问:为何种酸碱失调()
A.失代偿性代酸
B.失代偿性呼酸
C.失代偿性代碱
D.失代偿性呼碱
E.失代偿性呼酸合并代酸
F.失代偿性呼酸合并代碱
27、单项选择题 慢性支气管炎的临床分期是()
A.急性发作期、慢性迁延期、稳定期
B.急性期、慢性迁延期、缓解期
C.急性发作期、迁延期、临床缓解期
D.活动期、迁延期、恢复期
E.急性发作期、慢性迁延期、临床缓解期
28、单项选择题 患者男,52岁,幼年患麻疹后常有咳嗽。自30岁起咳嗽症状加重,常有脓痰,有过2次中等量咯血史。近年来常年有脓痰,多次痰培养铜绿假单胞菌生长,对常用抗菌药物多数仍然敏感。CT显示左下叶多段囊状和柱状支气管扩张。1周前发热,脓痰增加,X线显示左下叶大片模糊影,白细胞计数1.1×109/L,中性0.80。 最重要的检查是()
A.痰培养+药敏
B.血培养
C.hsCRP
D.血沉
E.CT
29、多项选择题 支气管哮喘的肺功能特点,不正确的是()
A.FVC下降
B.FEV1下降
C.气道反应性下降
D.DLco下降
E.PEF变异率增加
30、单项选择题 肺心病心衰强心剂应用指征是()
A.感染控制,利尿剂无效
B.双肺底湿啰音
C.心率大于120次/分
D.发绀明显
E.下肢明显水肿
31、单项选择题 嗜酸性粒细胞性肺疾病一定具有的特点是()
A.外周血嗜酸性粒细胞增多
B.气道内嗜酸性粒细胞浸润
C.肺实质嗜酸性粒细胞浸润
D.组织嗜酸性粒细胞增多
E.支气管肺泡灌洗液嗜酸性粒细胞增加
32、多项选择题 关于支气管激发试验安全性,描述错误的是()
A.FEV1低于预计值50%时应该做支气管激发试验
B.吸入药物浓度应从大剂量开始,逐步减少剂量
C.试验前应先了解患者的过敏史
D.现场应备有吸入型β2激动剂
E.试验时需有经验的临床医师在场
33、单项选择题 下列哪项不是结节病引起的临床综合征()
A.单侧面瘫
B.口渴与多尿
C.血尿和肾绞痛
D.踝外侧皮肤无痛性溃疡
E.反复出现晕厥且脉搏缓慢规则
34、单项选择题 对限制型肺部病变肺容量特点描述,错误的是()
A.TLC减少
B.VC减少
C.FRC减少
D.FVC减少
E.FEV1/FVC减少
35、单项选择题 关于慢性肺心病心力衰竭的病人使用利尿剂,下列哪项是正确的()
A.出现水肿即可使用
B.浮肿严重者应迅速利尿
C.血钾不高,利尿同时,只要患者有正常排尿即应常规补钾
D.为避免出现代谢性碱中毒,常用醋唑磺胺
E.足量,持续使用有效果较好
36、单项选择题
患者,男性,64岁,有肺心病史5年,经常头痛头晕,1周来咳嗽加重,咳黄痰,呼吸困难,头痛加重,昨日起嗜睡,谵语。查体:神志不清,颜面水肿,球结膜水肿,口唇发绀,颈静脉充盈,双肺广泛干湿啰音,肝肋下4cm,腹腔积液症(+),下肢水肿,膝腱反射减弱,巴宾斯基症(+)。pH7.20,PaCO2100mmHg,PaO240mmHg,HCO-321mmol/L。
提示:CT未见异常,钾:4.6mmol/L,钠:138mmol/L,氯:78mmol/L,血糖:5.2mmol/L。提问:考虑诊断为()
A.高渗性昏迷
B.肺性脑病
C.电解质紊乱
D.脑血管意外
E.高血压脑病
F.低血糖昏迷
37、多项选择题 Goodpasture综合征时,肺病理学和血清学检查为阳性的是()
A.病理学免疫荧光染色显示免疫复合物呈粗糙颗粒状沉积
B.病理学免疫荧光染色显示IgG抗体沿基底膜呈明亮线性沉积
C.血清抗中性粒细胞胞质抗体(ANCA.阳性
D.血清抗核抗体阳性
E.血清抗肾小球基底膜(GBM)抗体阳性
38、单项选择题 患者男,30岁。因咳嗽、胸痛、进行性气促6个月,加重1个月入院。查体:全身浅表淋巴结未及肿大,心率82次/min,双肺呼吸音低,未闻及干、湿啰音及爆裂音。胸部HRCT显示:双肺大量条索状及小结节影,囊状影,伴广泛间质纤维化改变。 患者初步诊断是()
A.特发性肺纤维化
B.淋巴管平滑肌瘤病
C.肺朗格汉斯细胞组织细胞增生症
D.肺囊性纤维化
E.结节病
39、多项选择题 关于慢性肺源性心脏病失代偿期的治疗,正确的是()
A.与治疗左心衰竭原则一致,即强心、利尿、扩血管
B.扩血管治疗可以提高PaO2
C.COPD相关的肺动脉高压及肺心病,治疗以改善通气,纠正缺氧为主
D.当肺心病患者合并左心衰竭时可应用洋地黄
E.肺心病患者利尿过度容易造成代谢性碱中毒,从而加重组织缺氧
40、单项选择题 女性,17岁,咽痛,高热,肌肉酸痛,乏力1天,诊断为流行性感冒。 以下有关流行性感冒的发病机制.哪项不正确()
A.病毒表面有一层脂质包膜,膜上有糖蛋白突起,由血凝素和神经氨酸酶构成
B.病毒核蛋白与上皮细胞核蛋白结合,在核内组成DNA
C.糖蛋白受体暴露,血凝素与受体结合,吸附于纤毛上皮细胞上,继而穿入细胞内
D.流感病毒被吸入呼吸道后,病毒的神经氨酸酶破坏神经氨酸,使黏蛋白水解
E.复制的子代病毒通过神经氨酸酶的作用以出芽形式排出上皮细胞,由此扩散感染,使纤毛上皮细胞变性、坏死和脱落
41、单项选择题 影响肺通气功能的主要因素不包括()
A.气道通畅性
B.血红蛋白浓度
C.呼吸肌肉功能
D.胸廓顺应性
E.受试者的依从性
42、单项选择题 不会出现PET假阴性的是()
A.类癌
B.肺泡细胞癌
C.直径<5mm病灶
D.隐匿性转移灶
E.未分化鳞癌
43、单项选择题 容易并发脓气胸的是()
A.肺炎球菌肺炎
B.支原体肺炎
C.肺炎杆菌肺炎
D.绿脓杆菌肺炎
E.金黄色葡萄球菌肺炎
44、单项选择题 患者,女,35岁。哮喘急性发作时体检发现肺部过度充气体征,与肺气肿十分相似,此时最好的鉴别方法是()
A.拍摄胸片
B.测定FEV1%
C.给予舒张气道药物,待呼吸困难缓解后再拍胸片,测定FEV1%
D.高分辨CT
E.经皮肺活检
45、单项选择题 支气管扩张最有意义的体征是()
A.贫血貌
B.杵状指
C.发绀
D.局部哮鸣音
E.局部湿啰音
46、单项选择题 结核菌素试验反应的原理是()
A.结核菌素引起的局部炎症反应
B.Ⅰ型变态反应
C.迟发型变态反应
D.抗原抗体复合物反应
E.非特异性炎症
47、单项选择题
患者男,64岁,反复咳嗽,咳痰15余年,活动后气短7年,间断下肢水肿1年。加重伴心悸、喘息2周。既往吸烟30余年,戒烟2年。查体:口唇发绀,颈静脉怒张,桶状胸,两肺呼吸音低,散在干性啰音,两下肺可闻湿性啰音,肝肋下2cm。动脉血气分析(吸氧):pH7.50,PaO260mmHg,PaCO260mmHg,HCO-343mmol/L,K+3.0mmol/L,Na+132mmol/L,Cl-70mmol/L。
主要诊断应为()
A.支气管哮喘急性发作、Ⅱ型呼吸衰竭、慢性肺源性心脏病
B.慢性支气管炎急性加重,阻塞性肺气肿、Ⅱ型呼吸衰竭
C.支气管扩张合并感染、Ⅱ型呼吸衰竭、慢性肺源性心脏病
D.COPD急性加重、Ⅱ型呼吸衰竭、慢性肺源性心脏病
E.COPD合并哮喘、Ⅱ型呼吸衰竭、慢性肺源性心脏病
48、多项选择题 慢性阻塞性肺气肿的肺功能检查结果,应是()
A.肺总量增加
B.时间肺活量减低
C.残气量/肺总量比值增加
D.最大通气量减少
E.深吸气量增加
49、单项选择题 在Ⅱ导联出现下列哪项最符合房性早搏的心电图诊断()
A.提前出现变异的P波,P′-R间期为0.16秒
B.提前出现P波P′-R为0.10秒
C.QRS波之前出现逆行P波,P′-R为0.06秒
D.提前出现宽大畸形QRS波
E.提前出现QRS波,其后出现逆行P波,R-P间期为0.20秒
50、单项选择题 有关慢性肺心病的心电图诊断,下列哪项不正确()
A.可有右心肥大的心电图改变
B.可有肺型P波
C.V1至V3导联可出现QS波
D.重度顺钟向转位
E.电轴左偏
51、单项选择题 女患者,21岁,患红皮病,皮肤瘙痒,近一周来寒战,高热,咳嗽,咯血痰,呼吸急促。查体:两肺散在湿性啰音,左下皮肤有破口结痂。胸片示双肺外侧散在小片状阴影,WBC32×10/L,中性颗粒细胞0.90,最可能的诊断是()
A.血源性肺脓肿
B.血行播散性肺结核
C.干酪性肺结核
D.肺转移癌
E.肺结节病
52、多项选择题 对肺炎球菌肺炎诊断,有意义的是()
A.咯铁锈色痰
B.肺实变体征
C.呈肺叶或肺段分布的均匀片状阴影
D.对青霉素治疗反应好
E.血气分析
53、单项选择题 关于结核性胸膜炎的胸液情况,不正确的是()
A.多成草黄色,易自行凝固
B.血性胸液少见
C.蛋白含量>2.5g/dl,胸液蛋白量/血清蛋白量≥0.5
D.细胞成分以淋巴细胞为主,中性粒细胞从来不高
E.胸液LDH>20u,胸液LDH/血清LDH>0.6
54、单项选择题 患者男,45岁,白血病骨髓移植术后50d,开始出现头痛、乏力、肌肉酸痛,之后出现干咳、发热,听诊两肺未闻及异常,胸片见两下肺散在少许片状和明显间质浸润阴影,血WBC正常,以静脉滴注头孢他啶2g,2次/d抗感染治疗5d症状未见好转,呼吸困难明显加重,胸部CT检查提示两肺浸润范围较前明显增加,累及多个肺叶段,均以间质浸润为主。 对该患者可采取的进一步检查是()
A.痰细菌培养
B.血液D-二聚体检查
C.PPD试验
D.外周血淋巴细胞pp65阳性细胞检测
E.肺CT检查
55、多项选择题 患者男,68岁。主诉:反复咳嗽咳痰20多年,劳力性气促5年,加重2d。患者在20年前无特殊诱因逐渐出现咳嗽咳痰,多数为白黏痰,开始症状不严重,没有特殊诊治。咳嗽咳痰症状持续,每年的大多数时间有咳嗽、咳痰。近5年开始出现上楼梯或快速走路时气促,休息后缓解。间歇出现症状加重,多于气候改变或感冒后发生,表现为咳嗽、咳痰和气促加重。近2d无特殊诱因出现气促明显加重,伴有左前胸闷痛,无发热,咳嗽、咳痰无增加。有吸烟史40多年,平均每天1包烟。有高血压病史5年,不规则用药治疗。体温36.5℃,脉搏100次/min,呼吸28次/min,血压160/92mmHg。唇舌无发绀,气管居中,呼吸稍费力,桶状胸,呼吸动度减弱,语颤减弱,叩诊过清音,肺泡呼吸音明显减弱,无干湿啰音。心率:100次/min,律整,心音稍低钝,无杂音。 该患者的气胸类型为()
A.开放性气胸
B.自发性气胸
C.张力性气胸
D.原发性气胸
E.继发性气胸
F.特发性气胸
56、单项选择题 一肥胖男性患者,临床医师高度怀疑其患有OSAHS,并对其进行了两夜的PSG监测,根据其结果得出结论。 下列叙述不够准确的是()
A.此患者有重度OSAHS
B.证实此患者主诉的不安腿与OSAHS有关
C.证明其血压昼夜节律为典型的反勺型
D.证明其夜间存在Ⅱ型呼吸衰竭
E.证实其阳痿与OSAHS有关
57、单项选择题 患者女,53岁。咳嗽、咳痰1年余,伴体重下降12~13kg。既往左侧乳腺癌行手术治疗3年,术后病理为乳头状导管癌,术后三苯氧胺治疗8个月。有粉尘接触史4~5年。常规胸部CT提示右中叶小结节,0.6cm×0.6cm,纵隔见小淋巴结。 下一步应采取的治疗方案是()(提示:患者拒绝外科手术及有创检查,胸部CT随诊病灶渐增大,最大直径达4cm,伴右肺门及纵隔淋巴结明显肿大,且并发上腔静脉阻塞综合征。)
A.外科手术切除
B.支气管镜明确病理类型后行全身化疗
C.局部放射治疗
D.姑息治疗及中药治疗
E.靶向治疗
58、单项选择题 可引起重症肌无力、小脑性运动失调、眼球震颤与精神改变的肺癌是()
A.大细胞未分化癌
B.燕麦细胞癌
C.鳞癌
D.腺癌
E.肺泡细胞癌
59、单项选择题 怀疑为高通气综合征,而血气正常的患者,可进行的实验是()
A.支气管扩张实验
B.组织胺激发实验
C.普萘洛尔(心得安)实验
D.过度通气激发实验
E.多导睡眠图监测
60、单项选择题 患者男,52岁,幼年患麻疹后常有咳嗽。自30岁起咳嗽症状加重,常有脓痰,有过2次中等量咯血史。近年来常年有脓痰,多次痰培养铜绿假单胞菌生长,对常用抗菌药物多数仍然敏感。CT显示左下叶多段囊状和柱状支气管扩张。1周前发热,脓痰增加,X线显示左下叶大片模糊影,白细胞计数1.1×109/L,中性0.80。 经过15d抗菌治疗症状体征大多消失,仍有少量稀薄黄痰。下一步处理应是()
A.继续抗菌治疗直至黄痰完全消失
B.继续抗菌治疗直至X线病灶完全吸收
C.继续抗菌治疗直至痰培养细菌转阴
D.根据药敏改用更敏感的药物联合治疗
E.停抗菌药物观察
61、单项选择题 患者,男,60岁,胸闷伴四肢关节痛,X线胸片示右肺门增大,为确定诊断,最适用的检查宜选()
A.纤维支气管镜检查
B.体层摄片
C.支气管造影
D.肺穿刺活检
E.痰查结核菌
62、单项选择题 突发胸痛患者,可以除外急性肺血栓栓塞症的检查是()
A.下肢超声发现有深静脉血栓
B.心脏超声正常
C.心电图正常
D.ELISA法检测血浆D-二聚体正常
E.心肌酶正常
63、单项选择题 洋地黄中毒最常见的心律失常是()
A.室性早搏二联律
B.室性心动过速
C.心房纤颤
D.三度房室传导阻滞
E.窦性心动过缓
64、单项选择题
患者男,64岁,反复咳嗽、咳痰18年,活动后气短4年,加重伴咳黄痰5d入院。既往:高血压病2年余,服用“降压0号”。吸烟40余年,已戒烟3年。入院后给予吸氧、抗感染、解痉平喘等综合治疗。
该患者血气类型为()(提示:入院时该患者的动脉血气显示:pH7.43,PaCO260mmHg,PaO260mmHg,HCO-337mmol/L。)
A.代谢性酸中毒+代谢性碱中毒,代偿
B.呼吸性碱中毒+代谢性碱中毒,代偿
C.呼吸性酸中毒+代谢性碱中毒,代偿
D.代谢性碱中毒,代偿
E.呼吸性碱中毒,代偿
F.呼吸性酸中毒,代偿
65、单项选择题 患者女,33岁,反复咳嗽、咳痰半年,加重伴气短2个月。胸部CT示“双肺弥漫间质病变呈网状,合并磨玻璃样改变”。曾因贫血有异体输血史。查体:呼吸浅快。双肺未闻及干湿啰音,心脏(-)。实验室检查:HIV抗体2次均为阳性。 对该患者肺部病变治疗的最常用药物是()
A.青霉素
B.复方新诺明(TMP-SMZ)
C.伏立康唑
D.二性霉素B
E.头孢曲松
66、多项选择题 男患者60岁,慢支肺气肿20年,冠心病史5年,呼吸困难加重2天,意识障碍1小时来诊。查体:浅昏迷,呼吸困难,口唇发绀,球结膜轻度水肿,BP170/110mmHg,双肺散在干啰音,中下部湿啰音,HR128次/分,节律不整,略大,下肢水肿(±)。 需做哪些检查()
A.头颅CT
B.血生化
C.血气分析
D.肾功能
E.心脏超声
F.腹部平片
67、多项选择题 淋巴管肌瘤病常用的治疗方法包括()
A.抗雌激素治疗
B.卵巢切除术
C.肺移植
D.化疗
E.对症治疗
68、单项选择题 患者,女,63岁。心悸、闷气2年,晕厥数次,查体:心率44次/分,心电图示窦性心动过缓,窦性停搏,交界性逸搏心律,最佳治疗方法是()
A.静脉滴异丙肾上腺素
B.安装永久性人工心脏起搏器
C.大量应用激素、抗生素
D.静脉应用阿托品
E.含化消心痛
69、单项选择题 结核病患者治疗时使用糖皮质激素的指征应除外()
A.干酪性肺炎
B.结脑患者体温不降
C.结核性胸膜炎胸腔积液量多
D.胸膜增厚粘连
E.急性粟粒型肺结核
70、多项选择题 ICH患者在早期出现较为明显的低氧血症,表明并发()
A.肺癌
B.肺孢子菌病
C.浸润性肺结核
D.巨细胞病毒肺炎
E.放射性肺损伤
71、多项选择题 肺癌因支气管阻塞引起的X线象征有()
A.段或叶的局限性肺气肿
B.阻塞性肺炎
C.段或叶肺不张
D.弥漫性阻塞性肺气肿
E.肺纹理呈残根样改变
72、单项选择题 血源性肺脓肿最常见的病原菌是()
A.大肠杆菌
B.产气杆菌
C.肺炎杆菌
D.金黄色葡萄球菌
E.化脓性链球菌
73、单项选择题 慢性支气管炎急性发作期的治疗,最主要措施()
A.吸氧
B.菌苗注射
C.强心利尿
D.控制感染
E.止咳祛痰
74、单项选择题 对放疗和化疗最敏感的是()
A.鳞癌
B.腺癌
C.大细胞癌
D.小细胞未分化癌
E.鳞腺癌
75、单项选择题 一肥胖男性患者,临床医师高度怀疑其患有OSAHS,并对其进行了两夜的PSG监测,根据其结果得出结论。 为了进一步评估该患者白天嗜睡程度,进行小睡试验,用以判断嗜睡的指标应为()
A.睡眠潜伏时间<1min
B.睡眠潜伏时间<3min
C.睡眠潜伏时间<5min
D.睡眠潜伏时间5~10min
E.睡眠潜伏时间>10min
76、单项选择题 慢性肺心病急性呼吸道感染导致心力衰竭的主要因素()
A.感染高热加重了心脏的负荷
B.心率加快加重了心脏负荷
C.细菌毒素对心肌的毒性作用
D.继发性红细胞增多加重了心脏负担
E.缺O2和CO2潴留引起了肺小动脉痉挛
77、单项选择题 患者男,70岁,因COPD急性加重而住院治疗。经过积极的抗感染、平喘、祛痰等治疗后,症状好转。今晨开始下地行走后,出现明显的气促加重,经过氧疗和雾化吸入支气管舒张剂等治疗后,气促缓解不明显。体检:体温36.8℃,脉搏122次/min,呼吸32次/min,血压140/80mmHg。唇舌轻度发绀(吸氧3L/min状态下),气管无明显偏移,呼吸稍费力,桶状胸,呼吸动度减弱,语颤减弱,叩诊过清音,双侧基本对称,肺泡呼吸音明显减弱,闻及呼气相干啰音,未闻湿啰音。心率:122次/min,律整,心音稍低钝,无杂音。 下列判断正确的是()(提示:胸部X线检查发现右侧气胸,气胸线距离胸壁1.5cm。)
A.症状严重,属于大量气胸
B.属于张力性气胸
C.属于不稳定型气胸
D.气胸伴有心功能不全
E.气胸不一定是气促加重的原因
78、多项选择题 对吸入糖皮质激素治疗反应良好的疾病有()
A.咳嗽变异性哮喘
B.胃食管反流性咳嗽
C.变应性咳嗽
D.嗜酸粒细胞性支气管炎
E.上气道咳嗽综合征
79、单项选择题 重症支气管哮喘发作伴酸中毒时,疗效最容易被减低的药物是()
A.四环素
B.青霉素
C.红霉素
D.激素
E.支气管扩张剂
80、单项选择题 对结核分枝杆菌有抑菌作用的药物是()
A.对氨基水杨酸钠
B.乙胺丁醇
C.二者均是
D.二者均非
E.二者均为一线杀菌药
81、单项选择题 肺动脉高压晚期患者,不宜做肺移植的是()
A.特发性肺动脉高压
B.慢性血栓栓塞性肺动脉高压
C.慢性肺疾病相关性肺动脉高压
D.肺毛细血管瘤
E.结缔组织病患者并发肺动脉高压
82、单项选择题 单侧肺局限性哮鸣音可见于()
A.支气管哮喘
B.阻塞性肺气肿
C.肺炎
D.液气胸
E.支气管肺癌
83、单项选择题 女性,62岁,诊断慢性肺源性心脏病5年,查体双下肢凹陷性水肿,经治疗后感染控制,但出现烦躁、间断性意识障碍,阵发性抽搐,考虑诊断为()
A.肺源性心脏病代谢性酸中毒
B.肺源性心脏病代谢性碱中毒
C.肺源性心脏病并发肺性脑病
D.肺源性心脏病呼吸性酸中毒
E.呼吸衰竭
84、多项选择题 患者女,46岁,间断咳嗽2个月,活动时憋气,胸部X线片未发现明显异常。 可能诊断是()(提示:患者从未做过胸部CT,本次胸部CT检查显示两肺广泛小圆形低密度影。)
A.小叶中心型肺气肿
B.特发性间质纤维化
C.朗格汉斯组织细胞增生症
D.淋巴管平滑肌瘤病
E.转移瘤
F.结节病
85、单项选择题
慢性肺心病患者人工通气过程中测血气,pH7.5,PaCO224mmHg,BE-8mmol/L,对此患者正确的治疗是()
A.不需处理
B.加大吸气压力
C.补充碱性药物
D.补充酸性药物
E.减少潮气量
86、单项选择题 慢性支气管炎的体征,下列哪项不正确()
A.急性发作期常有干、湿性啰音
B.早期可无异常体征
C.可有哮鸣音及呼气延长
D.常在背部出现固定性湿啰音
E.以上都不是
87、单项选择题 哮喘急性发作时,对缓解气道痉挛作用最快的是()
A.茶碱
B.β2受体激动剂
C.色甘酸钠
D.糖皮质激素
E.白三烯调节剂
88、单项选择题 特发性肺间质纤维化(IPF)的呼吸生理变化为()
A.肺总量增加
B.功能残气量增加
C.气道阻力增加
D.肺顺应性降低
E.PaCO2升高
89、单项选择题 患者男,48岁。反复咳嗽、咳痰5年,曾数次就诊,诊断为慢性支气管炎,随病情进展渐出现喘息,平卧位喘息明显,且症状渐加重,查体平卧位右上肺可闻及明显喘鸣音,坐位喘鸣音消失。胸片示右上肺可见片状密度增高阴影。血气分析:PaO252mmHg。有吸烟史10年,每日吸烟20支。 最可能的诊断是()(提示:患者行支气管镜检查示右上叶后段支气管开口息肉样新生物,灰黄色,带蒂,易活动,活检未成功。)
A.肺错构瘤
B.肺平滑肌瘤
C.肺脂肪瘤
D.肺内肉芽肿
E.肺癌
90、单项选择题 肺泡蛋白沉着症患者,支气管肺泡灌洗液的特点有()
A.有大量粉染无定型颗粒物,细胞数目稀少
B.有大量粉染无定型颗粒物,细胞数目很多
C.有大量粉染无定型颗粒物,嗜酸性粒细胞增多
D.大量粉染有一定形态的颗粒物,细胞数目很多
E.大量粉染有一定形态的颗粒物,细胞数目很少
91、单项选择题 男患者60岁,慢支肺气肿20年,冠心病史5年,呼吸困难加重2天,意识障碍1小时来诊。查体:浅昏迷,呼吸困难,口唇发绀,球结膜轻度水肿,BP170/110mmHg,双肺散在干啰音,中下部湿啰音,HR128次/分,节律不整,略大,下肢水肿(±)。 该患者抢救中需特别注意的是()
A.通畅呼吸道
B.大量快速利尿剂
C.迅速纠正心律失常
D.强心利尿扩血管综合措施
E.足量的止血药物及脑保护措施
92、单项选择题 患者女,58岁,右胸痛、咳嗽、消瘦2个月余,无明显发热、盗汗、潮热,无咳痰、咯血。近1个月觉胸闷、气促进行性加重,近1周患者夜间不能平卧。既往史:高血压病史10年,3年前有结肠癌手术史。胸部X线检查示右中下肺野均匀致密阴影,上缘呈弧形,外高内低。 为进一步明确诊断,最重要的实验室检查为()
A.纤维支气管镜检查
B.诊断性胸腔穿刺和胸膜活检
C.PPD皮试
D.痰找抗酸杆菌
E.经皮肺穿刺活检
93、多项选择题 患者男,50岁,慢性咳喘10余年,冬春季易发作,此次咳黄痰,喘息,低热5d来诊。既往吸烟22年,15~20支/d,已戒烟5年。
出院后的长期治疗方案应选择()(提示:患者动脉血气结果:pH7.32,PaCO250mmHg,PaO255mmHg,SO287%。给以面罩吸氧+无创呼吸机辅助通气治疗3d后症状逐渐缓解,脱机后继续给予静脉输液,吸入性糖皮质激素+支气管舒张剂联合治疗,病情继续缓解后出院,出院时复查肺功能:FEV1占预计值的80%。FEV1/FVC为86%)
A.按需使用短效支气管舒张剂
B.长期规律吸入长效支气管舒张剂
C.长期规律吸入糖皮质激素+长效支气管舒张剂
D.规律门诊随访,进行自我病情监测
E.无症状时停药,病情发作后到医院就诊
94、多项选择题
患者男,70岁,因咳嗽20年,心悸、气促5年,加重伴意识不清1d,以慢性支气管炎急性发作、阻塞性肺气肿、肺心病、肺性脑病收入院。入院后经用口面罩无创机械通气、抗感染、解痉祛痰药物治疗8h后意识清楚。维持上述方案治疗48h后,再次出现神经精神症状,调整机械通气参数治疗后,神经精神症状消失,动脉血气分析、电解质、肾功测定见表1:

A.代谢性酸中毒
B.呼吸性碱中毒
C.无酸碱失衡
D.高AG代谢性酸中毒并代谢性碱中毒
E.无呼吸衰竭
F.Ⅱ型呼吸衰竭
95、多项选择题
患者,男性,58岁,肺心病患者,入院咳嗽,呼吸困难,昏迷,气管切开后,症状好转,4天后咳黄痰增加。WBC11×109/L。
提示:患者在气管切开后,给予呼吸机辅助呼吸,治疗后复查血气:PH:7.48,PaCO230mmHg,BE:8mmol/L。提问:可能出现的酸碱失衡是()
A.呼吸性酸中毒
B.呼吸性碱中毒
C.呼吸性酸中毒合并代谢性碱中毒
D.呼吸性碱中毒合并代谢性酸中毒
E.代谢性碱中毒
96、多项选择题 气胸对循环系统的影响包括()
A.心肌收缩力降低
B.回心血量减少
C.心排量降低
D.血压增高
E.严重者可出现休克
97、单项选择题 女性,38岁,患慢性支气管炎、阻塞性肺气肿、肺源性心脏病,神志清楚,发绀明显,动脉血气分析提示代偿性呼吸性酸中毒,给予鼻导管吸氧4L/min,发绀略有减轻,但迅速进入嗜睡状态。 此时首先应采取的措施是()
A.将鼻导管吸氧流量提高到5L/min
B.5%碳酸氢钠100ml静脉滴注
C.20%甘露醇250ml快速静脉滴注
D.将鼻导管吸氧流量减少到2L/min
E.即行气管插管,呼吸机辅助呼吸
98、单项选择题
患者男,46岁,5年来间断咳嗽、咳白痰,近2d来症状加重,伴流涕、鼻塞、咽痛。上午服用酚麻美敏片及头孢氨苄后突然发生喘息、及肺部哮鸣音。
必要的检查是()
A.痰培养
B.血常规
C.血嗜酸细胞计数
D.痰涂片检查
E.鼻息肉检查
99、单项选择题 早期发现肺结核的方法是()
A.胸部X线检查
B.结核菌素实验
C.血清酶联免疫试验
D.纤维支气管镜检查
E.痰找结核分枝杆菌
100、单项选择题 患者女,21岁,左胸痛伴有干咳、发热1周,最高体温39℃。近2d渐觉胸闷,活动后少许气促,夜间喜左侧卧位,但左胸痛有所缓解。体格检查:左侧胸廓较右侧稍饱满,左侧呼吸运动减弱,叩诊浊音,触觉语颤减弱,听诊左侧呼吸音消失。 该患者的症状、体征提示()
A.左侧自发性气胸
B.左侧肺不张
C.左侧胸腔积液
D.左侧肺实变
E.左侧肺气肿
101、单项选择题 患者,男性,67岁,原有肺心病,受凉后加重,咳脓性痰,伴发热,烦躁,呼吸困难,入院前4小时神志模糊,嗜睡。查体:明显发绀,昏迷,BP 100/60mmHg,无病理反射,可能的并发症是()
A.休克
B.肺性脑病
C.弥散性血管内凝血
D.脑血管意外
E.消化道出血
102、多项选择题 患者女,42岁,发作性咳喘5年余,春秋季易发作,每次发作持续1个月,当地医院诊断为“慢性支气管炎”,给予抗菌、镇咳、平喘治疗后可缓解。近2年病情加重,全年均有症状,当地医院诊断“哮喘”,给予“沙美特罗替卡松干粉吸入剂50/250μg,2次/d”治疗,患者自觉效果不佳未规律使用。 患者病情控制不佳的可能原因包括()(提示:体检:T36.7℃,P75次/min,R24次/min,P110/78mmHg。听诊双肺呼吸音粗糙,可闻及散在的干鸣音。胸片显示双下肺纹理重。肺功能检查:FEV1占预计值的72%,使用短效支气管舒张剂后,FEV1可达预计值的87%。)
A.药物治疗不充分
B.是否有持续存在的变应性诱因,如某些变应原或职业因素
C.没有联合使用抗菌药物
D.诊断错误
E.依从性不佳
103、单项选择题
患者男,25岁,反复咳嗽、咳痰、发热1个月余,有吸烟史7年。抗炎治疗无效。查体:两肺呼吸音粗,未闻及干、湿啰音。辅助检查:白细胞11.4×106、中性粒细胞0.763%、血沉:31mm/h,其他均(-)。HRCT:两上、中肺可见弥漫性分布的小囊腔及结节影,纵隔淋巴结不大,血管前间隙可见软组织肿块影,胸片提示出现气胸。
最可能的诊断是()A.支气管扩张
B.淋巴管平滑肌瘤病
C.结节病
D.肺朗格汉斯细胞组织细胞增生症
E.肺结核
104、多项选择题 属于低度恶性肿瘤的是()
A.圆柱瘤
B.细支气管肺泡癌
C.支气管类癌
D.黏液表皮样瘤
E.肺良性透明细胞瘤
105、单项选择题 关于慢性支气管炎的临床表现,下列哪项正确()
A.咳嗽咳痰,白天较夜间明显
B.以脓性痰为主,偶有咯血
C.肺部啰音多在背下部
D.肺部听诊不应该有哮鸣音
E.以上都不对
106、多项选择题 肺栓塞的抗凝治疗,错误的是()
A.可以直接使用华法林抗凝治疗
B.使用普通肝素抗凝,然后过渡到口服华法林
C.使用低分子肝素抗凝治疗5d后,改为口服华法林抗凝
D.使用低分子肝素加口服华法林抗凝,5d后停用低分子肝素
E.使用肝素和华法林抗凝,待INR≥2.0连续2d时,停用肝素治疗
107、多项选择题 患者男,65岁,20年前受凉后出现咳嗽,多咳白色泡沫样痰。此后咳嗽、咳痰不止,多为白痰,时为黄痰,秋冬季或天气变冷时加重,多自服药或者至医院抗感染治疗后好转。10余年前出现进行性气急,活动后加重,近半年反复出现双下肢水肿,尿量减少,本次因为严重呼吸困难入院。 急诊应尽快做的处理包括()(提示:患者2周前受凉后出现咳嗽、咳痰和呼吸困难较前明显加重并有发绀,卧床休息不能缓解。)
A.纤维支气管镜检查
B.肌内注射吗啡
C.肌内注射阿托品
D.静脉推注氨茶碱
E.吸氧
F.雾化吸入β2受体激动剂和(或)抗胆碱能类药物
108、单项选择题 胸骨后痛可见于()
A.胸膜炎
B.心脏神经官能症
C.肺梗死
D.自发性气胸
E.反流性食管炎
109、单项选择题 患者男,42岁。因间断性咳嗽,运动后胸闷、气短、轻度喘息3个月入院。既往抽烟史20年,平均2~3包/d。入院体检一般情况可,神清,巩膜、皮肤无黄染,全身浅表淋巴结未及肿大,心率76次/min,律齐,两肺呼吸音略低,清,未闻及干湿啰音及Velcro啰音。胸片、胸部CT示:两肺纹理增多紊乱,两肺弥漫性小结节、囊状病灶,以两上肺为主。
为进一步明确诊断,最有意义的检查是()(提示:院后查,PPD5U(-);肿瘤五项(-);血气分析:pH7.39,PaCO243.5mmHg,PaO2113mmHg,SaO20.98。肺功能:FEV1/FVC87.3%,FRV1占预计值54.3%,RV占预计值80.1%,RV/TLC30.8%,为限制性通气功能障碍。)
A.支气管肺泡灌洗
B.支气管镜TBLB活检
C.开胸肺活检
D.ACE
E.NCA
F.风湿三项
110、单项选择题 淋巴管肌瘤病组织病理学特点是()
A.小叶中央型肺气肿
B.肾血管平滑肌脂肪瘤
C.平滑肌细胞在淋巴系统、小血管、肺实质等部位病态增生
D.视网膜晶状体瘤
E.颅内钙化
111、多项选择题 患者女,46岁,间断发热3个月,面部红色斑丘疹,伴全身肌肉酸痛,渐出现咳嗽。既往有甲状腺功能亢进史。 为明确肺部疾患,进一步检查包括()(提示:患者出现进行性呼吸困难,咳嗽加重,痰多。)
A.痰培养
B.结核菌素试验
C.胸部HRCT
D.超声心动图
E.血气分析
F.痰找结核菌
112、多项选择题 慢性阻塞性肺气肿常见的并发症是()
A.肺心病
B.肺癌
C.自发性气胸
D.咯血
E.肺不张
113、单项选择题 患者男,36岁,突发左上腹疼痛6h,伴头晕、出冷汗,无恶心、呕吐。查体:T38.5℃,P120次/min,R28次/min,BP110/70mmHg。左下肺呼吸音消失,腹软,左上腹轻压痛。心电图出现SⅠQⅢTⅢ征。
为明确诊断应紧急检查的项目包括()(提示:患者疼痛持续,血气分析:PaO270mmHg,PaCO230mmHg,心脏超声示右心室扩大。)
A.CT肺动脉造影(CTPA.
B.胃肠造影
C.血清淀粉酶
D.胸片
E.腹部平片
F.心肌酶
114、单项选择题 一患者出现胸骨后和心前区疼痛,仰卧位加重,坐位前倾可以缓解,查体应特别注意()
A.心尖部病理性杂音
B.肺动脉瓣区第二心音
C.握雪感
D.心包摩擦音
E.颈静脉充盈程度
115、单项选择题 患者男,23岁,突发左侧胸痛,为中度的刺痛,伴有胸闷气促12h。轻咳,无痰,无发热等其他不适。平素体健,没有呼吸系统疾病和其他疾病史。体温:36.8℃,脉搏:86次/min,呼吸:20次/min。唇舌无发绀,气管稍右移,呼吸平顺,左胸廓稍膨隆、呼吸动度稍弱、语颤稍弱、叩诊过清音、呼吸音减弱,无干湿啰音。右肺无异常体征。心率:86次/min,律整,无杂音。X线胸片检查发现左侧气胸,气胸线离左侧胸壁的距离为3cm。 如果治疗后气胸量没有改善,下一步考虑的治疗措施是()
A.胸膜固定术
B.持续低负压吸引
C.肋间插管闭式引流
D.手术治疗
E.连接Heimlich单向阀门
116、单项选择题 男性,31岁,1周前咽痛,发热,近2天感右耳疼痛,耳鸣。最可能的诊断是()
A.普通感冒
B.鼻窦炎
C.支气管炎并发中耳炎
D.流行性感冒并发中耳炎
E.急性咽炎并发中耳炎
117、单项选择题 慢性支气管炎严重时可并发()
A.支气管哮喘
B.肺结核
C.阻塞性肺气肿
D.肺癌
E.肺脓肿
118、单项选择题
反复发作咳嗽伴胸闷5年,肺通气功能检查是:FEV1%预计值=53%,FVC%预计值=81%,FEV1/FVC=0.63。暂不适合的检查是()
A.弥散功能测定
B.肺容量测定
C.气道阻力测定
D.支气管激发试验
E.支气管扩张试验
119、单项选择题 判定支气管哮喘的治疗效果,最有意义的指标是()
A.症状和体征
B.X线肺透亮的变化
C.最大呼吸流速—容量曲线
D.血气分析
E.肺活量和一秒率
120、单项选择题 关于小细胞未分化癌,不正确的是()
A.发病年龄较轻,与吸烟关系密切
B.多为中心型,生长快,转移早
C.易产生内分泌症状
D.对化疗与放疗敏感
E.痰检癌细胞阳性率低
121、单项选择题 对肺泡蛋白沉着症有诊断价值的染色方法是()
A.刚果红染色
B.PAS染色
C.CD1a染色
D.奥星蓝染色
E.黏蛋白卡红染色
122、多项选择题 严重缺氧时可发生()
A.颅内压增高
B.心肌坏死
C.SGPT↑,氮质血症
D.脑血流增加
E.扑翼样震颤
123、单项选择题 患者女,25岁。体检行胸片检查示左下肺基底段类圆形结节,约2.5cm×2.8cm,密度不均匀,伴点片状钙化灶,形态呈核桃肉样。 最符合该患者的病理特征是()
A.肿瘤白色,质硬,边缘光整,无包膜,有较多胶原组织呈漩涡状
B.肿瘤呈椭圆形,质硬,包膜透明,瘤内有钙化,甚至骨化
C.肿瘤呈圆形或椭圆形,边界清,包膜完整,质硬,有黏液和囊腔,主要成分有软骨细胞、腺体、平滑肌、脂肪、纤维组织及上皮组织,中心有胆固醇结晶。
D.肿瘤表面有包膜,光滑,可分叶,切面有囊腔,多数为多发性囊腔,少数为单囊,腔内充满皮质、胶冻样物及毛发
E.肿瘤白色,质硬,无包膜。常含多种炎性细胞和间质细胞,如浆细胞、淋巴细胞、黄色瘤细胞、肥大细胞及组织细胞等,病变周围通常发生成纤维细胞增殖
124、单项选择题 患者男,65岁,经胸片、SACE、PPD试验及淋巴结活检,病理确诊为Ⅰ期肺结节病;未用任何治疗,观察至第3个月,出现头痛、双眼胀痛、流泪及视物模糊。 处理方案是()(提示:该患者经眼科检查、结膜活检确诊为结节病性前葡萄膜炎并结膜结节病。)
A.因为是Ⅰ期肺结节病,内科无需治疗
B.除皮质激素眼局部用药外,无需其他治疗
C.皮质激素及抗生素眼部治疗
D.口服泼尼松及皮质激素眼局部治疗
E.口服泼尼松
125、单项选择题 大咯血病人有窒息征象时关键的抢救措施是()
A.立即进行人工呼吸
B.立即使用呼吸中枢兴奋剂
C.立即使用鼻导管吸氧
D.立即采用解除呼吸道梗阻的措施
E.立即输血或输液
126、单项选择题 不能以肺量计直接测定的指标是()
A.RV
B.VT
C.IC
D.VC
E.ERV
127、单项选择题 患者,女,40岁,大量胸腔积液行胸腔穿刺抽液,抽液1200ml,病人气急症状减轻。抽液15分钟后,病人突感胸闷,咳白色泡沫痰。查体:双肺闻及湿啰音,心率120次/分,血压94/50mmHg。此刻处理中哪项是错误的()
A.酒精吸氧
B.静脉推注糖皮质激素
C.静脉用利尿剂
D.皮下注射肾上腺素
E.静脉注射氨茶碱
128、单项选择题
患者男,64岁,反复咳嗽,咳痰15余年,活动后气短7年,间断下肢水肿1年。加重伴心悸、喘息2周。既往吸烟30余年,戒烟2年。查体:口唇发绀,颈静脉怒张,桶状胸,两肺呼吸音低,散在干性啰音,两下肺可闻湿性啰音,肝肋下2cm。动脉血气分析(吸氧):pH7.50,PaO260mmHg,PaCO260mmHg,HCO-343mmol/L,K+3.0mmol/L,Na+132mmol/L,Cl-70mmol/L。
对于肺心病诊断无决定意义的检查是()A.胸部X线正位片
B.心电图
C.超声心动图
D.肺功能
E.肺动脉压测定
129、单项选择题 患者男,21岁,大学生,因反复出现气紧、咳嗽、发热、寒战和全身乏力就诊。患者过去史无特殊。每次发作持续数天,就诊时患者处于恢复期,查体未见异常。X线胸片示:双肺弥漫性斑块影。实验室检查只见血沉加快。肺功能示:肺容量下降。追问病史,患者近期开始进入实验室进行动物试验,且症状出现在开始使用小白鼠进行试验后数天。 对该患者最重要的治疗手段是()
A.糖皮质激素
B.脱离与小鼠的接触
C.抗生素
D.免疫抑制剂
E.抗组胺药物
130、单项选择题 男患者60岁,慢支肺气肿20年,冠心病史5年,呼吸困难加重2天,意识障碍1小时来诊。查体:浅昏迷,呼吸困难,口唇发绀,球结膜轻度水肿,BP170/110mmHg,双肺散在干啰音,中下部湿啰音,HR128次/分,节律不整,略大,下肢水肿(±)。 该患者下列哪项检查对诊断最重要()
A.床头胸片
B.床头心电监测
C.血液肾功离子测定
D.动脉血气分析
E.头部CT检查
131、单项选择题 女性,17岁,咽痛,高热,肌肉酸痛,乏力1天,诊断为流行性感冒。 以下实验室检查中,不支持流行性感冒诊断的是()
A.口腔含漱液分离出病毒
B.鼻咽分泌物分离出流感病毒
C.白细胞升高,中性粒细胞增加
D.血白细胞正常或减低,淋巴细胞相对增加
E.恢复期血清中抗流感病毒抗体滴度比急性期有4倍或以上升高有助于回顾性诊断
132、多项选择题 患者女,36岁,因反复发热1个月伴咳嗽入院。病初有流涕、咽痛,继之发热38℃,伴全身不适。咳嗽无痰,无咯血,呈不规则热型。血白细胞计数9.1×109/L,中性0.75。X线显示两下肺段片状浸润。既往体健。曾应用过β-内酰胺类、大环内酯、喹诺酮类、氨基糖苷类,病情无改善。入院体检无阳性发现。 进一步完善检查项目应包括()
A.hsCRP
B.血沉
C.抗中性粒细胞胞浆抗体(ANCA.
D.抗核抗体
E.结核菌素皮肤试验
F.胸部CT
133、单项选择题
患者男,40岁,1周前因交通事故致脑挫伤、脾破裂、腹腔出血急诊入院,当即行脾切除术,并清除腹腔积血。5d前气急加重,呼吸空气条件PaO254mmHg,胸片显两肺毛玻璃样改变,拟诊ARDS予气管插管机械通气治疗。2d前起发热加重,体温38.5℃,吸出痰液呈黄脓性,涂片见G-杆菌,复查胸片:两肺玻璃样阴影有吸收,未见明确实变阴影。
肺部病变新加诊断应是()A.医院内气管支气管炎(NTB.
B.早发性HAP
C.晚发性NTB
D.VAP
E.早发性VAP
134、多项选择题 一患者,突然发生胸痛,伴面色苍白、大汗,BP80/40mmHg,对协助早期诊断有意义的检查是()
A.肺通气和灌注扫描
B.心电图
C.胸部X线检查
D.血气分析
E.血常规检查
135、多项选择题 患者男,50岁,慢性咳喘10余年,冬春季易发作,此次咳黄痰,喘息,低热5d来诊。既往吸烟22年,15~20支/d,已戒烟5年。
应尽快给予的治疗措施包括()(提示:肺功能检查结果:FEV1占预计值的57%,使用短效支气管舒张剂后,FEV可达预计值的78%。血气分析(未吸氧)结果:pH7.42,PaCO230mmHg,PaO280mmHg,痰培养标本结果未回报。)
A.静脉点滴抗菌药物
B.口服或雾化吸入支气管舒张剂
C.静脉点滴糖皮质激素
D.鼻导管吸氧
E.口服祛痰药物
136、单项选择题 女性,62岁,哮喘反复发作30年,此次因受凉再发,服氨茶碱及异丙嗪(非那根)无效,哮喘已持续20小时,现在最宜加用的药物是()
A.沙丁胺醇
B.静脉滴注甲泼尼龙
C.氨茶碱静脉滴注
D.肾上腺素
E.硝苯地平
137、单项选择题 患者,男性,48岁,慢性咳嗽史10年,咳少量粘痰,活动后气急4年,体检:唇无发绀,桶状胸,两肺呼吸音弱,无干湿性啰音。胸片示:肺透亮度增加,肺纹理稀少,心影狭长。临床诊断为肺气肿。 该患者实验室检查一般不出现()
A.残气量增加
B.FEV1减低
C.红细胞比积<45%
D.静息时PaO2显著降低
E.PaCO2晚期升高
138、多项选择题 患者男,50岁,慢性咳喘10余年,冬春季易发作,此次咳黄痰,喘息,低热5d来诊。既往吸烟22年,15~20支/d,已戒烟5年。 为明确诊断,需要优先检查的项目包括()(提示:患者喘憋症状加重,夜间不能平卧,听诊双肺满布哮鸣音。)
A.胸部CT
B.支气管镜
C.肺功能
D.痰细菌培养及药敏
E.动脉血气分析
139、单项选择题 患者,男,55岁,咯血1000ml,胸片示右下肺4cm厚壁空洞,追问病史,半年前有肺脓肿史。在止血治疗的同时,应采取的主要措施为()
A.输血
B.血凝系统检查
C.胸部CT
D.纤支镜检查
E.准备胸外科手术
140、单项选择题 引起支气管哮喘气流受限的原因不包括()
A.气道黏膜水肿
B.腺体分泌亢进及黏液清除障碍
C.气道壁炎性细胞浸润
D.气道平滑肌痉挛
E.肺泡弹性回缩力下降及肺泡破坏
141、单项选择题 胸水检查:血性,比重1.020,蛋白定量39g/L,LDH503U/L,葡萄糖定量2.4mmol/L,ADA110U/L,最有可能的诊断为()
A.右心衰胸水
B.结核性胸水
C.癌性胸水
D.丝虫病性胸水
E.结缔组织性胸水
142、多项选择题 以下说法错误的是哪些()
A.COPD患者支气管舒张试验不可能阳性
B.支气管舒张试验阴性并不表示支气管狭窄一定不可逆
C.支气管舒张试验可用于评价某种支气管舒张药物的疗效
D.糖皮质激素需长期应用(如2周),才能观察到其支气管舒张作用
E.支气管舒张试验阳性提示应用舒张药物无效
143、单项选择题 HAP最重要或最常见来源和途径是()
A.(气溶胶)吸入(inhalation)
B.血行传播
C.误吸(aspination)
D.呼吸治疗器械污染
E.消化道G杆菌逆行定植
144、多项选择题 使用前列环素类药物后会使病情加重的是()
A.特发性肺动脉高压
B.肺静脉闭塞病
C.慢性肺疾病相关性肺动脉高压
D.肺毛细血管瘤
E.先天性体-肺分流性肺动脉高压
145、单项选择题
患者,女,15岁,秋游后,低热、乏力、咳嗽2周,偶有黏痰。胸片示两下肺斑点状浸润阴影。血白细胞9.8×109/L。最可能的诊断是()
A.浸润性肺结核
B.病毒性支气管炎
C.支原体肺炎
D.军团菌肺炎
E.念珠菌肺炎
146、单项选择题 慢性支气管炎并发肺气肿早期病理生理改变,下列哪项错误()
A.病变局限于细小气道
B.最大通气量降低
C.闭合容积增大
D.动态肺顺应性降低
E.静态肺顺应性增加
147、单项选择题
一例COPD急性加重患者,动脉血气分析显示pH7.15,PaO250mmHg,PaCO280mmHg,患者意识不清,治疗的基本原则是()
A.应用尼克刹米
B.无创机械通气
C.纠正酸中毒,静点5%碳酸氢钠
D.应用面罩吸氧,纠正低氧血症
E.有创机械通气
148、单项选择题 患者男,50岁,3周前无明显诱因下出现发热,最高达39℃,在外诊断为上呼吸道感染。经头孢替安和利巴韦林治疗后好转,后又反复发热,体温为38~39℃,2周前出现左下肢疼痛,查体:左肺可闻少许湿性啰音,左下肢有局限性红肿结痂区。胸片检查见左肺舌叶,右下心缘旁及右下后基底段处有多个片状密度增深影。胸部CT示左舌叶密度增深影内见透亮区,血常规示:白细胞计数18.1×109/L,中性粒细胞0.90。 对该患者最适用的抗生素是()
A.万古霉素
B.阿奇霉素
C.克拉霉素
D.环内沙星
E.丁胺卡那
149、单项选择题 体液免疫功能受损患者,肺部感染不常见的病原体是()
A.肺炎链球菌
B.流感嗜血杆菌(b型)
C.大肠杆菌
D.金黄色葡萄球菌
E.曲霉菌
150、多项选择题 关于继发性肺结核,哪组是正确的()
A.局部病变反应轻微,不易形成空洞
B.不易发生血行播散
C.常伴肺门淋巴结病变
D.多由内源性感染所致
E.无发热、盗汗症状
151、多项选择题 关于可切除的Ⅲ期局部晚期肺癌,叙述正确的有()
A.N2是指只在手术探查和纵隔淋巴结清扫时才发现的Ⅲa期患者,切缘阳性的患者,可予化放疗和化疗
B.N2是指只在手术探查和纵隔淋巴结清扫时才发现的Ⅲa期患者,切缘阴性的患者可单独化疗加纵隔放疗
C.N2是指术前已知纵隔淋巴结阳性Ⅲa期患者如在初始化学治疗后无进展,可接受手术治疗或手术联合辅助化疗;如术前未放疗,则术后需行放疗
D.N2是指术前已知纵隔淋巴结阳性Ⅲa期患者如疾病进展以及大块N2而不能手术,可只行放疗(如未放疗过)或放疗联合化疗
E.临床诊断Ⅲa期(T1~3N2)患者,应根据纵隔镜病理、支气管镜、骨扫描、脑MRI或PET扫描的检查结果决定治疗方案
152、多项选择题 阻塞性睡眠呼吸暂停低通气综合征的治疗方法包括()
A.CPAP
B.戒烟、减肥、侧卧睡眠
C.口腔矫治器
D.激光和射频消融术
E.口服硝酸异山梨酯(消心痛)
153、单项选择题 下列哪项不能作为肺心病的诊断依据()
A.肺动脉瓣第二心音亢进
B.剑突下心脏收缩期搏动
C.肝肋下3cm
D.肝颈静脉回流征阳性
E.下肢水肿
154、多项选择题 患者男,54岁,因发热,咳嗽,咳黄痰伴左肩疼痛1周余入院,3个月前曾因左侧肺炎,在当地经抗生素治疗后好转。既往有吸烟史30年,20支/d。体检:体温38℃,心率85次/min,左锁骨上可触及黄豆大小淋巴结2个。左肺呼吸音稍低,未闻干湿啰音。 此时应进行的处理是()(提示:胸片检查示左侧胸腔积液,胸腔穿刺抽得脓液。)
A.胸腔穿刺抽液
B.胸腔置管水封引流
C.给予祛痰剂
D.胸腔内注入粘连剂
E.给予利尿剂
F.补液
155、单项选择题
患者,男,68岁,高热3天伴咳嗽胸痛,多量黄绿色脓性痰,白细胞总数20×109/L。X线示右下肺实变,其间有不规则透亮区,叶间隙下坠,伴少量胸腔积液,最可能的诊断是()
A.肺炎链球菌肺炎
B.肺结核
C.克雷白杆菌肺炎
D.肺曲菌病
E.绿脓杆菌肺炎
156、单项选择题 患者,男,44岁,一周前上感伴咳嗽,三小时前突然咯鲜血,量达300ml,无胸痛。既往有痰中带鲜血史。查体:体温37.3℃,血压正常,双肺叩清,右下肺可闻及中小水泡音,心尖部可闻及Ⅲ/6级收缩期吹风样杂音,最可能的诊断为()
A.肺结核伴空洞
B.支气管扩张
C.肺梗死
D.肺炎球菌性肺炎
E.风湿性心脏瓣膜病
157、多项选择题 ARDS是老年患者中常见的呼吸系统综合征,其治疗性研究可采用的临床研究设计方案包括()
A.病例-对照研究
B.自身前后对照研究
C.随机对照研究
D.个案研究
E.队列研究
158、单项选择题 患者,男,42岁,近2周常感心悸,查体:心率140次/分,律齐,按压颈动脉窦后,心率突然减慢至70次/分,运动后又增快至140次/分,可能的诊断是()
A.阵发性室性心动过速
B.阵发性房性心动过速
C.心房扑动2:1房室传导
D.阵发性室上性心动过速
E.窦性心动过速
159、多项选择题 原发综合征的主要表现有()
A.原发病灶
B.淋巴管炎
C.局部淋巴结炎
D.肺空洞
E.粟粒性改变
160、多项选择题 抗结核药物的正确使用是()
A.早期合理用药(应考虑病灶性质和化疗效果)
B.联合用药
C.选用敏感药物
D.坚持按计划有规律地用药(规律、适量、全程)
E.大量
161、多项选择题 关于气胸的胸腔穿刺抽气,正确的是()
A.用于继发性大量气胸
B.适用于稳定型的原发性大量气胸者
C.可以作为不稳定型气胸的开始治疗
D.常用气胸针或细穿刺导管在患侧胸部锁骨中线第2肋间直接穿刺
E.一次抽气量不宜超过1000ml
162、多项选择题 急性嗜酸粒细胞肺炎临床特征包括()
A.急性发热,持续时间常不超过5d
B.低氧血症
C.高二氧化碳血症
D.胸部影像检查示弥漫性肺泡或肺泡-肺间质密度增高影
E.BAL液中嗜酸性粒细胞超过25%
163、单项选择题 肺心病、呼吸衰竭患者行气管切开辅助呼吸,血气分析:PaO275mmHg,pH7.42,PaCO228.5mmHg,BE5.2mEq,HCO-318.3mEq/L,考虑是()
A.正常
B.呼吸性酸中毒(代偿)
C.呼吸性酸中毒(失代偿)
D.呼吸性碱中毒(代偿)
E.代谢性碱中毒
164、单项选择题
患者,男,30岁,因高热、胸痛、咳嗽、血痰4天入院,化验WBC17.5×109/L,中性粒细胞88%,X线胸片见右中肺叶大片均匀致密阴影,诊断首先考虑()
A.干酪性肺炎
B.支气管肺癌并感染
C.肺炎球菌肺炎
D.肺炎杆菌肺炎
E.肺不张
165、单项选择题 确诊支气管扩张最好的诊断方法是()
A.X线胸片
B.CT
C.HRCT
D.痰培养
E.纤维支气管镜
166、多项选择题 导致误吸的因素有()
A.口咽部感染
B.神志改变
C.饮食成分改变
D.食管梗阻
E.新陈代谢增加
167、单项选择题 患者男,35岁,吸烟多年,咳嗽气短。HRCT示两肺弥漫分布囊状影,2~10mm,薄壁,两上肺为著,最可能的诊断为()
A.叶中心型肺气肿
B.先天性肺囊肿
C.肺朗格汉斯细胞组织细胞增生症
D.支气管扩张症
E.肺淋巴管肌瘤病
168、多项选择题 变应性肉芽肿性血管炎患者,应用免疫抑制剂的适应证包括()
A.对激素治疗反应差的患者
B.有致命性合并症的患者,如进展性肾衰或心脏受累的患者
C.出现与疾病进展相关的合并症,如血管炎伴有周围神经病
D.使用糖皮质激素出现严重的不良反应,难以继续服用时
E.对激素产生依赖的患者
169、多项选择题 呼吸衰竭时缺氧的发病机制是()
A.患者无力呼吸
B.V/Q比值失调
C.肺泡弥散功能障碍
D.肢体肌肉氧耗量增加
E.吸入气氧分压降低
170、单项选择题 可能存在肺血栓栓塞症的是()
A.活动时出现呼吸困难,休息时好转
B.活动时出现一侧下肢疼痛、跛行
C.出现心前区闷痛,持续3~5min好转
D.夜间突发呼吸困难,坐起后缓解
E.同时出现双下肢肿胀,以踝部明显
171、多项选择题
患者男,34岁。进行性胸闷、气促1个月余,伴有干咳、右胸隐痛以及消瘦,无咯血、发热、盗汗、潮热等。

A.高流量吸氧
B.给予紧急配血和输血
C.使用糖皮质激素
D.必要时机械通气
E.静脉给予利尿药
F.静脉给予肾上腺素
172、多项选择题 评价小气道功能的指标是()
A.FEV1
B.FEV1/FVC
C.MMEF
D.FEF25%~75%
E.FEF50%
173、单项选择题 估算气胸量时,如果气胸线离胸壁的距离为2 cm,估算气胸量为()
A.20%
B.30%
C.40%
D.50%
E.60%
174、单项选择题 患者,男,30岁。3天前淋雨。昨起畏寒高热,咳嗽,以干咳为主,偶见带铁锈色痰,伴右侧胸痛就诊。查体:热性病容,体温38.9℃。右上肺叩实,闻及支气管呼吸音。心率100次/分,律齐。该病例最可能的诊断是()
A.肺炎链球菌肺炎
B.肺炎衣原体肺炎
C.肺炎克雷白杆菌肺炎
D.肺炎支原体肺炎
E.流感嗜血杆菌肺炎
175、单项选择题 患者,男性,28岁,自12岁起每年春秋季反复出现喘息发作、咳嗽,用抗生素、异丙肾上腺素吸入有效,五天前闻油烟后又发生喘息,不能平卧。查体:大汗淋漓,发绀,脉搏细速,心率120次/分,BP160/100mmHg,T37.6℃,双肺闻散在哮鸣音。
提示:血气:PaCO2:50mmHg,PaO2:50mmHg,WBC 10.1×109/L。判定该病人病情严重的最主要的指标是()
A.双肺哮鸣音
B.血压升高
C.体温升高
D.PaCO2升高
E.WBC升高
176、单项选择题 患者男,50岁,因右肺癌行右侧肺野放射治疗,患者原有糖尿病病史。放疗35d患者出现乏力、干咳、低热并气急症状,右肺底可闻及湿啰音,查血白细胞3×109/L,中性粒细胞0.67,胸片提示右肺弥漫性片状模糊浸润阴影。 最可能的诊断是()
A.细菌性肺炎
B.放射性肺损伤
C.巨细胞病毒肺炎
D.肺结核
E.肺部真菌感染
177、单项选择题 患者男,21岁,发现右颈部逐渐增大的肿块近1个月,并感隐痛、疲乏无力,时有低热及胸闷,胸片显示双肺门纵隔影明显增大。 为明确诊断不需要进行的检查是()
A.PPD皮肤试验
B.胸CT增强扫描
C.淋巴结活检
D.诊断性抗感染、抗结核治疗
E.血ACE检测
178、单项选择题
某慢性呼吸衰竭病人pH7.3,PaCO260mmHg,PaO250mmHg,除改善通气功能外还应选择哪种治疗()
A.注射5%碳酸氢钠
B.注射乳酸钠
C.静注三羟甲基氨基甲烷
D.不给碱性药
E.静滴乳酸钠
179、单项选择题 不具有神经内分泌癌特征的是()
A.大细胞神经内分泌癌
B.类癌
C.小细胞癌
D.APUD细胞癌
E.印戒细胞腺癌
180、单项选择题 关于SCLC分期,叙述正确的是()
A.采用美国退伍军人医院的VALG分期,分为局限期(LD.和广泛期(ED.
B.局限期(LD.病变局限于一个肺叶,并可被单个可耐受的放射野包括在内,广泛期(ED.为超过局限期的病变范围
C.国内肺癌常用的局限期定义为病变局限于一侧胸腔、纵隔,前斜角肌及锁骨上淋巴结,可以有明显上腔静脉压迫、声带麻痹和胸腔积液
D.同侧恶性胸腔积液及心包积液归属于局限期
E.对局限期SCLC不需进一步按TNM分期
181、单项选择题 在有效抗生素治疗下,影响肺脓肿疗效的主要因素是()
A.脓肿的部位
B.脓液引流不畅,痰液不易排出
C.细菌的种类
D.没有输血
E.没有长期卧床休息
182、单项选择题 诊断肺泡蛋白沉着症除了病理学检查外,最为可靠的检查为()
A.肺功能检查
B.胸部HRCT
C.支气管肺泡灌洗
D.胸部X线平片
E.纤维支气管镜
183、多项选择题
一肥胖男性患者因夜间打鼾前来就诊,查体发现其过度肥胖,BMI32kg/m,咽腔狭小,颈粗短,BP170/100mmHg,双肺(-),A2>P2。
此患者可能的主述有()
A.白天嗜睡
B.困倦
C.乏力
D.头痛
E.记忆力下降
F.注意力不集中
184、多项选择题 肺炎肺实变阶段的体征有()
A.叩诊浊音
B.语音传导增强
C.支气管呼吸音
D.呼吸运动增强
E.哮鸣音
185、多项选择题
患者男,70岁,因咳嗽20年,心悸、气促5年,加重伴意识不清1d,以慢性支气管炎急性发作、阻塞性肺气肿、肺心病、肺性脑病收入院。入院后经用口面罩无创机械通气、抗感染、解痉祛痰药物治疗8h后意识清楚。维持上述方案治疗48h后,再次出现神经精神症状,调整机械通气参数治疗后,神经精神症状消失,动脉血气分析、电解质、肾功测定见表1:

A.CO2排出后碱中毒
B.代谢性酸中毒
C.呼吸性碱中毒
D.呼吸性酸中毒
E.吸O2条件下Ⅱ型呼吸衰竭
F.Ⅰ型呼吸衰竭
186、单项选择题
患者,女,32岁,一周前左足部脓疖,前天开始发热、头痛伴高热寒战,咳嗽,并有脓痰及痰中带有血,胸痛。血白细胞21×109/L,中性0.90,胸片示:两肺有散在密度较淡的圆形病变,部分病灶有中空半液平,应考虑为()
A.支气管扩张伴感染
B.多发性肺囊肿并感染
C.肺炎球菌肺炎
D.金黄色葡萄球菌肺炎
E.转移性肺癌
187、单项选择题 关于支气管扩张试验,正确的是()
A.通气功能正常的患者也可做支气管扩张试验
B.FEV1/FVC可作为支气管扩张试验的评定指标
C.支气管扩张试验阴性,表示支气管反应性一定不高
D.支气管扩张试验阴性表示患者对所有的舒张药物不敏感
E.支气管扩张试验是使用一定剂量的支气管扩张药物使狭窄的支气管扩张,以测定其扩张程度的肺功能试验
188、单项选择题 关于TLC,描述错误的是()
A.TLC=IRV+VT+ERV+RV
B.TLC=IC+FRC
C.TLC=VC+RV
D.TLC=IC+VT+RV
E.TLC=IRV+VT+FRC
189、多项选择题 患者女,26岁。主诉因搬重物后胸痛10h入院,伴咳嗽、呼吸困难。既往有气胸病史。 急诊应尽快做的处理包括()(提示:患者持续胸痛,伴气短。胸部正侧位片示右侧气胸。)
A.胸穿抽气
B.肌内注射吗啡
C.肌内注射阿托品
D.禁食
E.吸氧
F.输液
190、单项选择题 气体扩散速率的影响因素不包括()
A.气体的分压差
B.气体的分子量和溶解度
C.扩散面积
D.扩散距离
E.气体的质量
191、多项选择题 临床上漏出性胸腔积液的常见病因是()
A.肺栓塞
B.充血性心力衰竭
C.肝硬化
D.恶性胸腔积液
E.肾病综合征
192、单项选择题 肺结核传染的主要途径与方式为()
A.饮用未经消毒的病牛牛奶
B.吸入病人咳嗽、喷嚏时排出之带菌飞沫
C.皮肤外伤
D.泌尿生殖道损伤
E.吸入带菌的干燥痰液碎末
193、单项选择题 COPD病理生理改变标志是()
A.吸气气流受限
B.气体交换异常
C.弥散功能障碍
D.肺过度充气
E.呼气气流受限
194、单项选择题
患者男,60岁,慢性咳嗽、咳痰20年,活动后胸闷、气短2年。查体:桶状胸,双肺呼吸音低。超声心动图右心室舒张末内径25mm,估测肺动脉收缩压50mmHg。血气分析:pH7.421,PaO258mmHg,PaCO
A.长期低流量吸氧
B.定时高流量吸氧
C.吸入长效β2受体激动剂
D.双水平正压通气治疗
E.控制感染
195、多项选择题 肺泡蛋白沉着症患者肺功能表现有()
A.限制性通气功能障碍
B.阻塞性通气功能障碍
C.肺泡-动脉氧分压差增大
D.肺内分流增加
E.弥散功能障碍
196、单项选择题 继发性气胸最常见的基础疾病是()
A.肺结核
B.COPD
C.间质性肺疾病
D.肺脓肿
E.正压通气
197、单项选择题 患者男,45岁,间断头晕、头痛6年,症状晨起加重、夜间打鼾伴有胸前不适感和憋气感,日间打瞌睡。诊断高血压5年,应用3种抗高血压药物(其中包括1种利尿性药物)血压仍难以控制在正常范围。血压190/120mmHg、体胖、精神疲乏、心电图左室高电压、胸片心脏向左扩大。 最需要做的实验室检查是()
A.血常规
B.血脂
C.血醛固酮水平
D.多导睡眠图监测
E.24h血压监测
198、单项选择题 患者,男性,33岁,颜面部疖肿2周,近3天高热,咳嗽,咳血痰,脓性痰少量。查体:双肺散在干、湿啰音。WBC27×109/L,中性粒细胞0.92。 提示:此病人胸片示右肺下叶背段大片状阴影。考虑何诊断()
A.肺脓肿
B.肺结核
C.肺癌
D.支气管扩张症
E.肺炎
199、多项选择题 系统性红斑狼疮患者,应考虑合并弥漫性肺泡出血的是()
A.出现咯血、呼吸困难症状
B.胸部X线检查无新出现的肺部浸润影
C.24h内血红蛋白下降>15g/L
D.血性支气管肺泡灌洗液
E.支气管肺泡灌洗液中可见含铁血黄素巨噬细胞
200、单项选择题 ANCA常与血管炎相关,又分为c-ANCA和p-ANCA,正确的是()
A.韦格纳肉芽肿p-ANCA常阳性,镜下多动脉炎c-ANCA常阳性
B.韦格纳肉芽肿c-ANCA常阳性,镜下多动脉炎p-ANCA常阳性
C.韦格纳肉芽肿p-ANCA常阳性,镜下多动脉炎p-ANCA常阴性
D.韦格纳肉芽肿c-ANCA常阴性,镜下多动脉炎c-ANCA常阳性
E.韦格纳肉芽肿c-ANCA常阳性,镜下多动脉炎p-ANCA常阴性
201、单项选择题 患者女,21岁,左胸痛伴有干咳、发热1周,最高体温39℃。近2d渐觉胸闷,活动后少许气促,夜间喜左侧卧位,但左胸痛有所缓解。体格检查:左侧胸廓较右侧稍饱满,左侧呼吸运动减弱,叩诊浊音,触觉语颤减弱,听诊左侧呼吸音消失。 为明确以上诊断的可能性,最有价值的检查是()
A.胸部X线检查
B.血常规
C.痰细菌学检查
D.血气分析
E.肺功能
202、多项选择题 患者男,29岁,1年前在某合金冶炼厂工作,1个月后出现咳嗽及痰带血丝。3个月后离开该厂,咳嗽好转,未再咯血。半年后任驾驶员,经常接触汽油,2个月后再次出现咳嗽、白黏痰带血丝,无发热、呼吸困难。查体重度贫血貌,两肺未闻明显干、湿啰音,心律齐,各瓣膜区未闻杂音,眼睑、下肢轻度水肿。
为明确诊断,还应做的血免疫学检查是()(提示:尿进一步检查:红细胞(RBC)2.9×106/ml,见粗颗粒管型及细胞管型,WBC4~6/HP,尿蛋白6.3g/24h;X胸片:两中下肺野片絮状影及小结节状影;血气正常。)
A.血清抗核抗体
B.肾组织活检
C.血清抗双链DNA抗体
D.抗中性粒细胞胞浆抗体(p-ANCA、c-ANCA.
E.癌胚抗原
F.血清补体C3
203、单项选择题 患者男,21岁,发现右颈部逐渐增大的肿块近1个月,并感隐痛、疲乏无力,时有低热及胸闷,胸片显示双肺门纵隔影明显增大。 本病例不需要考虑的疾病是()
A.非特异性淋巴结炎
B.非结核分枝杆菌病
C.恶性淋巴瘤
D.浅表及肺门纵隔淋巴结结核
E.结节病
204、单项选择题 患者男,65岁,20年前受凉后出现咳嗽,多咳白色泡沫样痰。此后咳嗽、咳痰不止,多为白痰,时为黄痰,秋冬季或天气变冷时加重,多自服药或者至医院抗感染治疗后好转。10余年前出现进行性气急,活动后加重,近半年反复出现双下肢水肿,尿量减少,本次因为严重呼吸困难入院。 此时进一步处理方案是()(提示:经上述治疗后病情好转,痰细菌培养肺炎克雷伯菌,β-内酰胺酶阳性。)
A.第二代头孢类抗生素
B.第三代头孢类抗生素
C.大环内酯类抗生素
D.碳氢酶烯类抗生素
E.万古霉素
F.青霉素
205、多项选择题 下列哪组符合肺炎球菌肺炎的临床表现()
A.急起、寒战、高热
B.咳嗽、咯铁锈色痰
C.病变部语颤增强
D.病变部语音传导减弱
E.咯粉红色泡沫样痰
206、单项选择题 患者,男青年,受凉后突起畏寒,发热(39.0℃)伴左侧胸痛咳嗽,胸透示:左下肺野大片状淡薄阴影,予以青霉素治疗,一天后体温下降,最可能的诊断是()
A.肺炎克雷伯杆菌肺炎
B.金黄色葡萄球菌肺炎
C.肺炎支原体肺炎
D.病毒性肺炎
E.以上都不是
207、单项选择题 慢性呼吸衰竭时,下列哪项不利于呼吸道通畅()
A.应用糖皮质激素
B.雾化吸入祛痰剂
C.大量补液
D.应用快速利尿剂
E.帮助患者翻身拍背
208、单项选择题
患者男,52岁,幼年患麻疹后常有咳嗽。自30岁起咳嗽症状加重,常有脓痰,有过2次中等量咯血史。近年来常年有脓痰,多次痰培养铜绿假单胞菌生长,对常用抗菌药物多数仍然敏感。CT显示左下叶多段囊状和柱状支气管扩张。1周前发热,脓痰增加,X线显示左下叶大片模糊影,白细胞计数1.1×109/L,中性0.80。
经验性抗菌治疗应选择()
A.碳青霉烯
B.头孢曲松+阿奇霉素
C.头孢他啶+阿奇霉素
D.哌拉西林/他唑巴坦+阿米卡星
E.环丙沙星
209、多项选择题 慢性支气管炎肺部体检时可见()
A.无异常体征
B.干性啰音
C.弥漫性哮鸣音
D.湿性啰音
E.支气管呼吸音
210、单项选择题 突然发生的胸骨后疼痛,可放射到背部和肩部,查体在颈部和前胸部可触及握雪感,最可能的诊断为()
A.急性心肌梗塞
B.多发性骨髓瘤
C.夹层动脉瘤
D.纵隔气肿
E.反流性食管炎
211、单项选择题 患者男,21岁,因低热、咳嗽、咯血而就诊,并有肺结核密切接触史,医师疑为活动性肺结核。 该患者最后确诊为菌阳肺结核,须经患者本人或家属同意的是()
A.填写传染病报卡
B.与别的患者隔离
C.将患者转往结核病防治专业机构
D.四联抗结核治疗
E.向同病房医护人员告知
212、单项选择题 ICH肺部感染的特点不包括()
A.起病隐匿或急剧
B.症状多变,易受激素或免疫抑制剂的干扰
C.临床症状多变,高热较为常见
D.胸部X线表现多为双侧或多叶病变
E.肺部感染病灶容易局限化
213、单项选择题 患者女,20岁。反复咳嗽、咳痰2年,一直以慢性支气管炎就诊。2周前行胸片检查示左上肺不张,行支气管镜检查示左固有上叶支气管腔内见疣状肿物,突入管腔,表面光滑。病理活检提示小细胞肺癌可能大。予以CE方案化疗2疗程后行左上肺叶切除术。 该患者术后治疗,正确的是()
A.可考虑干扰素治疗或术后随访观察
B.术后辅助化疗
C.术后辅助放疗
D.为预防复发,可术后特罗凯靶向治疗
E.继续CE方案化疗4疗程
214、单项选择题 患者男,64岁,反复咳嗽、咳痰18年,活动后气短4年,加重伴咳黄痰5d入院。既往:高血压病2年余,服用“降压0号”。吸烟40余年,已戒烟3年。入院后给予吸氧、抗感染、解痉平喘等综合治疗。 你对是否应用氟康唑抗真菌治疗的意见是()(提示:患者入院后第8d体温恢复正常,痰偶为脓性,呼吸困难减轻。这时第1次和第2次痰培养结果回报:“白色假丝酵母菌,对氟康唑敏感”。)
A.不用,应等待第3次痰培养结果,如果仍培养出白色假丝酵母菌就用
B.不用,需要鉴别可能为上呼吸道污染菌群
C.用,两次痰培养为同一种菌,污染的可能性很小
D.不用,患者为免疫健全宿主,真菌感染可以自愈
E.用,可以预防真菌感染
F.不用,应给患者行支气管镜检查,取下呼吸道深部痰重新进行培养后再决定
215、单项选择题 气胸发病过程中,气体进入胸腔的途径,不正确的是()
A.脏层胸膜破裂口
B.胸壁损伤形成通透胸膜腔的通道
C.食管胸膜漏管、纵隔气肿伴纵隔壁层胸膜破裂口
D.医疗途径(如手术等)
E.断裂的粘连带
216、单项选择题
患者男,25岁,反复咳嗽、咳痰、发热1个月余,有吸烟史7年。抗炎治疗无效。查体:两肺呼吸音粗,未闻及干、湿啰音。辅助检查:白细胞11.4×106、中性粒细胞0.763%、血沉:31mm/h,其他均(-)。HRCT:两上、中肺可见弥漫性分布的小囊腔及结节影,纵隔淋巴结不大,血管前间隙可见软组织肿块影,胸片提示出现气胸。
确诊还需做的检查是()A.支气管肺泡灌洗
B.PPD皮试
C.开胸肺活检
D.纤维支气管镜检查
E.肺功能
217、多项选择题 肺结核化疗的效果,主要表现在()
A.痰菌阴转
B.病灶吸收、缩小
C.症状消失
D.血沉率正常
E.体温下降
218、单项选择题 哪种首选的抗结核药物在复治肺结核中仍可继续使用()
A.对氨基水杨酸
B.链霉素
C.异烟肼
D.氨硫脲
E.乙胺丁醇
219、单项选择题 患者男,21岁,大学生,因反复出现气紧、咳嗽、发热、寒战和全身乏力就诊。患者过去史无特殊。每次发作持续数天,就诊时患者处于恢复期,查体未见异常。X线胸片示:双肺弥漫性斑块影。实验室检查只见血沉加快。肺功能示:肺容量下降。追问病史,患者近期开始进入实验室进行动物试验,且症状出现在开始使用小白鼠进行试验后数天。 患者最可能的诊断是()
A.职业性哮喘
B.变应性肺炎
C.结节病
D.特发性肺间质纤维化
E.病毒性肺炎
220、单项选择题 慢性支气管炎最常见的并发症()
A.呼吸衰竭
B.自发性气胸
C.慢性肺心病
D.慢性阻塞性肺气肿
E.支气管哮喘
221、单项选择题 根据动脉血气分析,判断Ⅱ型呼吸衰竭的标准是()
A.PaO2>60mmHg,PaCO2>50mmHg
B.PaO2<60mmHg,PaCO2>40mmHg
C.PaO2<60mmHg,PaCO2>50mmHg
D.PaO2>60mmHg,PaCO2<50mmHg
E.PaO2<60mmHg,PaCO2<50mmHg
222、多项选择题 患者男,70岁,因COPD急性加重而住院治疗。经过积极的抗感染、平喘、祛痰等治疗后,症状好转。今晨开始下地行走后,出现明显的气促加重,经过氧疗和雾化吸入支气管舒张剂等治疗后,气促缓解不明显。体检:体温36.8℃,脉搏122次/min,呼吸32次/min,血压140/80mmHg。唇舌轻度发绀(吸氧3L/min状态下),气管无明显偏移,呼吸稍费力,桶状胸,呼吸动度减弱,语颤减弱,叩诊过清音,双侧基本对称,肺泡呼吸音明显减弱,闻及呼气相干啰音,未闻湿啰音。心率:122次/min,律整,心音稍低钝,无杂音。 患者气促加重的原因主要考虑有()
A.COPD急性加重
B.心功能不全
C.肺动脉栓塞
D.合并肺部感染
E.合并自发性气胸
F.呼吸肌肉疲劳
223、单项选择题 怀疑非结核分枝杆菌性肺病应进行的检查是()
A.血清抗结核抗体检测
B.纤维支气管镜检查,分侧吸取分泌物送检
C.PPD皮肤试验
D.胸CT增强扫描
E.分枝杆菌培养、菌种鉴定及药敏试验
224、单项选择题
患者女,21岁,反复气喘发作15年,再次发作10h,查体:意识清楚,不能平卧,大汗淋漓,三凹征阳性,双肺哮鸣音,心率124次/min,律齐,胸片未见活动性病变,给予鼻导管吸氧6L/min时,动脉血气为pH7.20,PaO258mmHg,PaCO287mmHg,诊断急性支气管哮喘(重症)。
首选治疗方法()A.负压通气
B.无创正压通气
C.气管切开机械通气
D.经口气管插管机械通气
E.经鼻气管插管机械通气
225、单项选择题 对胸腔积液的患者,若作胸腔穿刺发现脓液并有臭味,应对脓液做下列哪项检查以确定()
A.病因
B.涂片找癌细胞
C.结核菌培养
D.化脓菌培养
E.厌氧菌培养
F.真菌涂片及培养
226、单项选择题 小叶中央型肺气肿的病理改变的特点()
A.呼吸性细支气管扩张,外周正常
B.终末细支气管以下结构全部正常
C.肺泡管、肺泡囊、肺泡全部扩张
D.肺小叶和肺泡囊扩张
E.呼吸性细支气管破坏,肺泡破裂
227、单项选择题 患者,男,28岁。乏力,发作性晕厥3天,心电图示P波与QRS波无关,P波频率80次/分,首选哪种治疗方法()
A.静脉滴注硝酸甘油
B.经食道心房调搏术
C.静脉注射西地兰
D.静脉注射异搏定
E.安装临时人工心脏起搏器
228、单项选择题 患者女,37岁。咯血3个月余。PET提示右肺上叶纵隔旁规则软组织影,3cm×4cm,SUV11.7,右上叶可见小结节,右肺门淋巴结肿大,SUV6.4,支气管镜黏膜活检为鳞状细胞癌,分化较差。脑MRI示左侧额叶孤立占位病灶,1.0cm×1.5cm。腹部超声、骨扫描及颈部、锁骨上淋巴结超声均未见异常。既往体健。其祖父及外祖父均为胃癌。 适宜的药物是()(提示:患者不同意手术及放化疗治疗,要求靶向治疗。)
A.IRESSA
B.Tarceva
C.Avastin
D.C225
E.ZD6474
229、多项选择题 感染后咳嗽常用的治疗药物有()
A.抗组胺药
B.糖皮质激素
C.支气管舒张剂
D.抗生素
E.中枢性镇咳药
230、单项选择题 DPB的主要病变部位为()
A.主支气管
B.叶支气管
C.段支气管
D.终末细支气管
E.呼吸性细支气管
231、多项选择题
一肥胖男性患者因夜间打鼾前来就诊,查体发现其过度肥胖,BMI32kg/m,咽腔狭小,颈粗短,BP170/100mmHg,双肺(-),A2>P2。
进行夜间观察,可能会发现()A.夜间鼾声响亮且不均匀
B.呼吸幅度不稳定,时大时小
C.一次呼吸暂停时间长达60s
D.周期腿动
E.频繁翻身
F.用脚踢人
232、多项选择题 有关肺动脉高压,正确的是()
A.HIV感染者容易发生肺动脉高压
B.门脉高压相关性肺动脉高压患者行急性血管扩张试验推荐使用钙通道阻滞剂
C.先天性体-肺循环分流疾病相关性肺动脉高压患者的预后好于特发性肺动脉高压
D.慢性肺疾病性肺动脉高压应积极治疗原发疾病
E.结缔组织病相关性肺动脉高压和特发性肺动脉高压患者会出现雷诺现象
233、单项选择题 关于肺腺癌下列哪项正确()
A.多见于男性
B.与吸烟关系密切
C.多表现为中心型
D.最易发生胸膜转移
E.对放疗与化疗均敏感
234、单项选择题 肺炎链球菌肺炎胸痛的原因是()
A.炎症累及肋间神经所致
B.病变刺激肺泡所致
C.病变累及胸膜所致
D.并发脓胸所致
E.病变累及血管膜所致
235、多项选择题 右下胸痛,伴发热,可放射至肩部,胸部X线片未发现肺内浸润影,考虑应除外膈下脓肿,符合此诊断的特征包括()
A.下胸壁有握雪感
B.右下肺可闻及管状呼吸音
C.胸部X线检查显示膈肌升高并固定
D.膈下肝上有液性暗区
E.右下肝肺浊音界消失
236、单项选择题 有关OSA患者睡眠结构,叙述错误的是()
A.睡眠结构紊乱
B.REM剥夺
C.REM睡眠减少
D.深睡眠减少
E.浅睡眠减少
237、单项选择题 最容易发生洋地黄中毒的心脏病是()
A.风心病
B.肺心病
C.先心病
D.冠心病
E.高心病
238、单项选择题 下列哪项不是促进院内感染性肺炎发病增多的因素()
A.抗肿瘤化疗
B.辅助呼吸
C.大量肾上腺皮质激素的应用
D.营养不良
E.三代头孢菌素的大量应用
239、单项选择题 肺炎链球菌肺炎的治疗,不正确的是()
A.首选青霉素治疗
B.卧床休息,适当支持治疗
C.青霉素过敏者可选用红霉素
D.抗菌药物的疗程一般为7~10天
E.X线胸片浸润影吸收前需不间断使用抗生素
240、多项选择题 患者女,46岁,间断发热3个月,面部红色斑丘疹,伴全身肌肉酸痛,渐出现咳嗽。既往有甲状腺功能亢进史。 患者可能的诊断为()(提示:AST190U/L,ALT230U/L,CK793U/L,CK-MB76U/L,HDBH645U/L,LDH538U/L。甲状腺功能正常,胸片示双下肺纹理增粗、模糊,肌肉活检:肌纤维萎缩,部分肌纤维变性,间质内未见炎性改变。)
A.呼吸衰竭
B.皮肌炎
C.肺部感染
D.系统性红斑狼疮
E.多发性肌炎
F.肺间质纤维化
241、单项选择题 患者女,64岁。因“痰中带血2个月”就诊。胸部CT提示右中叶近心缘旁占位,直径3cm左右,边界清晰,可见胸膜牵拉征。既往有右侧甲状腺肿大病史20年,左侧卵巢性索-间质肿瘤行手术切除史5年。若患者行外科手术切除病灶,术后病理:(右中叶)肺混合型腺癌,2.0cm×2.0cm×2.5cm,侵及肺膜,未侵及支气管,断端阴性;淋巴结转移:隆突下1/5,R41/2。 以下肺癌的TNM分期,正确的是()
A.cT1N2M0Ⅲa
B.pT1N2M0Ⅲa
C.cT2N2M0Ⅲa
D.pT2N2M0Ⅲa
E.pT2N1M0Ⅱb
242、单项选择题 何谓大咯血()
A.日咯血量>100ml
B.日咯血量>200ml
C.日咯血量>300ml
D.日咯血量>400ml
E.日咯血量>500ml
243、单项选择题 患者男,65岁,20年前受凉后出现咳嗽,多咳白色泡沫样痰。此后咳嗽、咳痰不止,多为白痰,时为黄痰,秋冬季或天气变冷时加重,多自服药或者至医院抗感染治疗后好转。10余年前出现进行性气急,活动后加重,近半年反复出现双下肢水肿,尿量减少,本次因为严重呼吸困难入院。 根据上述结果应考虑的疾病有()(提示:胸片示两肺纹理增粗、紊乱,右下肺动脉干扩张,肺动脉段明显突出,右心室增大征。心电图:窦性心律,肺型P波,右心室大,不完全右束支传导阻滞,顺钟向转位。心脏彩超提示右房扩大、右心扩大、肺动脉高压。)
A.肺栓塞
B.特发性肺动脉高压
C.肺间质病继发肺动脉高压
D.慢性肺源性心脏病
E.室间隔缺损
F.社区获得性肺炎
244、多项选择题 变应性肺炎的主要病理学特点是()
A.细胞性细支气管炎
B.肺间质淋巴细胞浸润
C.巨噬细胞性肉芽肿
D.肺间质纤维化
E.肺泡内中性细胞浸润
245、多项选择题 患者女,42岁,发作性咳喘5年余,春秋季易发作,每次发作持续1个月,当地医院诊断为“慢性支气管炎”,给予抗菌、镇咳、平喘治疗后可缓解。近2年病情加重,全年均有症状,当地医院诊断“哮喘”,给予“沙美特罗替卡松干粉吸入剂50/250μg,2次/d”治疗,患者自觉效果不佳未规律使用。 需要进行的检查包括()(提示:患者职业为教师,变应原检测结果为:猫、狗皮毛中度过敏,但患者及亲属家中未饲养宠物。追问病史,患者因为顾虑激素的不良反应未规律使用,且吸入药物的使用方法错误。经过医师的解释和药物吸入方法的传授后,患者开始规律吸入沙美特罗替卡松干粉吸入剂50/250μg,2次/d,1个月后复查,自述症状有改善,肺功能FEV占预计值的77%,但仍述间断喘息,患者追述近2年间断咳脓痰,有时痰为棕色。)
A.痰细菌培养+药物敏感实验
B.诱导痰细胞分类计数
C.胸部CT
D.支气管镜检查
E.痰涂片抗酸杆菌
246、单项选择题 下列哪项检查对诊断渗出性胸膜炎最有价值()
A.临床表现
B.X线检查
C.胸腔穿刺
D.结核菌素试验
E.超声检查
247、单项选择题 有慢性咳嗽史,查体有肺气肿体征的病人,出现下列哪项改变提示合并早期肺心病()
A.发绀、头痛、嗜睡、神志恍惚
B.肺部干、湿性啰音
C.剑突下心脏收缩期搏动、心音增强
D.血气分析PaO2↓,PaCO2↑
E.心电图示低电压和右束支传导阻滞
248、单项选择题
患者男,34岁。进行性胸闷、气促1个月余,伴有干咳、右胸隐痛以及消瘦,无咯血、发热、盗汗、潮热等。

A.急性肺血栓栓塞症
B.急性呼吸窘迫综合征
C.肺复张后肺水肿
D.胸膜反应
E.医源性气胸
F.急性左心衰竭
249、单项选择题 在哮喘的长期管理中,哮喘分级方法是()
A.病情严重程度分级
B.控制水平分级
C.急性发作期严重程度分级
D.治疗后病情严重程度分级
E.治疗前病情严重程度分级
250、单项选择题 甲型流感病毒结构中,能产生具有较强保护作用抗体的是()
A.神经氨酸酶
B.血凝素
C.M2蛋白
D.核酸聚合酶
E.非结构蛋白
251、单项选择题 肺结核痰菌阳性患者的短期化疗方案最好的是()
A.异烟肼、链霉素加对氨基水杨酸1年
B.异烟肼、对氨基水杨酸加氨硫脲1年
C.利福平、异烟肼3~5个月,头两个月用链霉素或乙胺丁醇强化
D.利福平、乙胺丁醇加对氨基水杨酸1年
E.利福平、异烟肼6~9个月,头两个月用乙胺丁醇和比嗪酰胺强化
252、单项选择题 用糖皮质激素治疗重症哮喘的机制,下列哪项不正确()
A.抑制M胆碱能受体
B.抑制炎症反应
C.减少组胺形成
D.促进β受体数量
E.降低气道反应性
253、单项选择题 鲁米哪用于下列哪种疾病是危险的()
A.肺心病合并肺性脑病
B.心源性休克
C.肺脓肿
D.肺癌
E.干性胸膜炎
254、单项选择题 肺结核化学药物治疗,判断疗效最重要的指标是()
A.病灶吸收好转
B.痰结核菌转为阴性
C.体温恢复正常,体重增加
D.临床症状消失
E.血沉恢复正常
255、多项选择题 印象诊断Ⅰ期肺结节病,活检方法宜选择()
A.颈前斜角肌脂肪垫
B.开胸活检
C.胸腔镜下肺门淋巴结活检
D.纤支镜下支气管黏膜及淋巴结活检
E.经皮肺活检
256、单项选择题 肺炎球菌肺炎的基本病理特点()
A.肺泡内水肿和浆液渗出
B.肺泡内红细胞渗出
C.肺叶或肺段实变
D.没有肺泡壁损伤、坏死或溃疡
E.形成多发性肺脓肿
257、单项选择题 A/H5N1病毒感染宿主细胞时,主要的识别和结合受体为细胞表面的()
A.易和任何受体结合
B.糖苷唾液酸
C.α-2,6-糖苷唾液酸
D.α-2,3-糖苷唾液酸
E.α-2,6-糖苷唾液酸和α-2,3-糖苷唾液酸均易结合
258、单项选择题 阻塞性肺气肿的病理分型()
A.小叶中央型、全小叶型、周围型
B.弥漫型、局限型、混合型
C.间质型、代偿型、局灶型
D.小叶中央型、全小叶型、混合型
E.小叶中央型、全小叶型、旁间隔型
259、单项选择题 X线胸片透亮增强,肺纹理增粗,膈肌降低,肋骨走向变平,肋间隙增宽。时间肺活量降低,残气量增加。肺有散在湿啰音,考虑下列哪种病变()
A.双侧肺大疱
B.慢性支气管炎
C.支气管哮喘发作
D.肺气肿合并感染
E.肺囊肿
260、单项选择题 肺炎球菌的主要致病作用在于()
A.产生毒素
B.产生溶血素
C.产生杀白细胞素
D.产生组织坏死物质
E.荚膜对组织的侵袭力
261、单项选择题 通气血流比值增大,表明肺内出现()
A.解剖无效腔增大
B.生理无效腔增大
C.肺泡无效腔增大
D.解剖动静脉短路
E.功能性动静脉短路
262、单项选择题 患者男,51岁。咳嗽伴头痛3个月。胸部CT提示双肺多发小结节影,双下肺背侧胸膜多发局限性增厚。脑MRI示枕骨占位伴骨质破坏。既往有甲状腺乳头状癌行甲状腺右叶全切及左叶大部分切除术,术后以优甲乐替代治疗。 若患者行胸腔镜肺活检证实为腺癌,下列说法正确的是()
A.大多数原发性腺癌TTF-1和转移性腺癌TTF-1几乎都阳性
B.甲状腺癌肺转移TTF-1阳性,原发性肺癌肺内转移TTF-1阴性
C.甲状腺癌肺转移TTF-1阴性,原发性肺癌肺内转移TTF-1阳性
D.甲状腺癌肺转移及原发性肺癌肺内转移患者甲状腺球蛋白(TG)均阳性
E.甲状腺癌肺转移患者甲状腺球蛋白阳性,原发性肺癌肺内转移患者甲状腺球蛋白阴性
263、单项选择题
患者男,64岁,反复咳嗽,咳痰15余年,活动后气短7年,间断下肢水肿1年。加重伴心悸、喘息2周。既往吸烟30余年,戒烟2年。查体:口唇发绀,颈静脉怒张,桶状胸,两肺呼吸音低,散在干性啰音,两下肺可闻湿性啰音,肝肋下2cm。动脉血气分析(吸氧):pH7.50,PaO260mmHg,PaCO260mmHg,HCO-343mmol/L,K+3.0mmol/L,Na+132mmol/L,Cl-70mmol/L。
该类患者最常伴发的心律失常为()A.紊乱性房性心动过速
B.频发室性期前收缩
C.二联律
D.尖端扭转室速
E.房室传导阻滞
264、多项选择题 慢性支气管炎病人进行胸部X线检查的目的是()
A.除外其他肺部疾病
B.寻找病因
C.观察有无并发症
D.确定诊断
E.了解心脏情况
265、单项选择题 以下病原菌均可引起原发性非典型性肺炎,除了()
A.衣原体
B.支原体
C.化脓性球菌
D.病毒
E.立克次体
266、单项选择题
一患者肺功能检测结果如下:FVC=81%Pred,FEV1=38%Pred,FEV1/FVC=55%。请判断其肺功能()
A.中度阻塞性通气功能障碍
B.中度混合性通气功能障碍
C.重度阻塞性阻塞性通气功能障碍
D.极重度阻塞性通气功能障碍
E.重度混合性通气功能障碍
267、单项选择题 患者男,29岁,右胸痛1周伴发热38.5℃,有干咳。胸痛开始为尖锐针刺样,深呼吸时及咳嗽时加剧;近3 d觉胸痛减轻,但活动后出现气促。体检右下肺叩诊浊音,听诊呼吸音减弱。最可能的诊断是()
A.大叶性肺炎
B.右侧自发性气胸
C.肺栓塞
D.右侧胸腔积液
E.肝脓肿
268、多项选择题 支气管哮喘的预防措施有()
A.去除原因和诱因
B.用色甘酸二钠或噻呱酮
C.抗原脱敏
D.免疫抑制剂
E.应用抗生素
269、多项选择题 患者男,50岁,慢性咳喘10余年,冬春季易发作,此次咳黄痰,喘息,低热5d来诊。既往吸烟22年,15~20支/d,已戒烟5年。 可能的诊断包括()(提示:体检:T37.9℃,P89次/min,R24次/min,BP120/85mmHg。听诊双肺呼吸音粗糙,可闻及散在的干湿啰音。外周血常规:WBC12.0×109/L,N0.79。胸片显示双上肺透光度增强,双下肺纹理重。)
A.慢性支气管炎急性发作
B.支气管扩张急性发作
C.支气管哮喘急性发作
D.大叶肺炎
E.慢性阻塞性肺疾病(COPD.急性加重
270、单项选择题 对于特发性肺纤维化急性期患者最有效的治疗是()
A.抗感染治疗
B.支气管肺泡灌注
C.持续低流量吸氧
D.应用糖皮质激素治疗
E.支气管扩张剂治疗
271、单项选择题 支气管扩张症出现咯血时,一般不主张应用()
A.镇咳药
B.镇静药
C.抗生素
D.止血药
E.中草药
272、单项选择题 支气管扩张症的治疗主要是()
A.手术治疗
B.气功锻炼
C.保持呼吸道畅通和控制感染
D.治疗鼻窦炎和上呼吸道感染
E.预防应用气管炎菌苗
273、多项选择题 支气管扩张继发感染选用细菌敏感抗生素,其使用方法与一般肺炎抗感染治疗的区别包括()
A.剂量要充分
B.疗程应较长,宜10~14d或更长
C.应短疗程
D.铜绿假单孢菌可合并雾化吸入氨基糖苷类抗生素治疗
E.常规应用美洛培南治疗
274、单项选择题 对慢性阻塞性肺气肿非紫绀型患者的描述,哪项不正确()
A.以慢性支气管炎为主
B.多见于老年人
C.呼吸困难明显
D.血气分析正常或改变不明显
E.X线片示心影小
275、多项选择题 ICH肺部浸润,诊断时需要加以鉴别的常见非感染性原因有()
A.放射性肺损伤
B.药物性肺损伤
C.肿瘤肺部浸润
D.肺血栓栓塞症
E.肺水肿
276、单项选择题 患者女,39岁,因“食欲减退、乏力、消瘦、闭经2年,恶心、呕吐伴腹泻1d”来诊。查体:T36.6℃,P120次/min,BP70/50mmHg;意识模糊;乳房萎缩,腋毛、阴毛稀少;心、肺、腹均(-)。实验室检查:血糖2.4mmol/L,血钠125mmol/L。 对该患者的治疗,最重要的措施是()
A.立即使用升压药,继以补充0.9%氯化钠溶液
B.立即大量补液、补充高浓度氯化钠溶液
C.立即补充胶体溶液、静脉输注高糖并大量补液,补充甲状腺激素
D.立即静脉输注高糖、0.9%氯化钠溶液,大剂量补充肾上腺皮质激素
E.立即抗炎治疗和大量补液
277、单项选择题 需要入住ICU的社区获得性肺炎,最常见的病原体是()
A.铜绿假单胞菌
B.肺炎链球菌
C.甲氧西林耐药金黄色葡萄球菌(MRSA.
D.病毒
E.军团菌
278、单项选择题 下列哪项不是“干性支气管扩张”的特点()
A.反复咯血
B.平时无咳嗽
C.一般无脓性痰
D.多位于引流不畅的部位
E.不易感染
279、单项选择题 患者,男性,50岁,肺气肿病史6年,1小时前突然呼吸困难加重,右侧胸痛,大汗,发绀,诊断首先考虑()
A.干性胸膜炎
B.急性心肌梗死
C.自发性气胸
D.细菌性肺炎
E.急性肺栓塞
280、单项选择题 结核性胸膜炎治疗时应用乙胺丁醇,最易出现的不良反应是()
A.皮疹
B.药物热
C.胃肠道刺激
D.肾功能损害
E.球后视神经炎
281、多项选择题 慢性纤维空洞型肺结核的X线表现是()
A.广泛纤维组织增生,空洞壁较厚
B.肺门上提,肺纹呈垂柳状
C.支气管播散病灶
D.肺气肿,胸膜肥厚,并发支气管扩张
E.病变周围有毛刺
282、单项选择题 下列各项有助于肺结核与肺炎球菌肺炎的鉴别,其中支持前者的主要依据()
A.有无先期发热病史
B.X线病灶部位与密度
C.白细胞数
D.痰细菌学检查
E.青霉素治疗反应
283、单项选择题 肺容量检测的方法不包括()
A.氮冲洗法
B.氦稀释法
C.体积描记法
D.慢肺活量法
E.功能残气量
284、单项选择题 患者,52岁,急性起病,寒战、高热、全身衰弱,痰稠呈砖红色胶冻状,胸部X线检查结果为右侧肺,可见实质阴影及蜂窝状脓肿,叶间隙下坠.下列哪项诊断和治疗最适合()
A.金葡菌肺炎,选用万古霉素治疗
B.军团菌肺炎,选用红霉素治疗
C.支原体肺炎,选用红霉素治疗
D.肺炎克雷白杆菌肺炎,选用半合成广谱青霉素加氨基糖苷类
E.厌氧菌肺炎,选用青霉素G治疗
285、单项选择题 年轻患者,反复发作喘息1年,伴有阵发性剧烈咳嗽,痰量较大,为泡沫痰或黏液性脓痰,查体可闻及散在哮鸣音。曾2次发现肺内浸润影,分别位于左上肺野和两侧中上肺野。最可能的诊断为()
A.ABPA
B.支气管哮喘
C.慢性支气管炎合并感染
D.肺嗜酸粒细胞浸润症
E.外源性变应性肺泡炎
286、单项选择题
患者男,80岁,慢性咳嗽、咳痰10余年,加重伴活动后气促3年,近2d咳白色黏稠痰液。体格检查:桶状胸,双肺呼吸音低,呼气延长,可闻及干啰音。肺功能:吸入支气管扩张剂后FEV1/FVC36.9%,FEV10.62L,FEV1占预计值27.70%。动脉血气分析:pH7.40,PaO258mmHg,PaCO247mmHg。
在治疗过程中,低氧明显改善,血气分析:pH7.2,PaO268mmHg,PaCO259mmHg,首选治疗是()
A.静脉推注氨茶碱
B.高浓度吸氧
C.无创机械通气
D.静滴碳酸氢钠
E.呼吸兴奋剂
287、多项选择题 患者女,42岁,发作性咳喘5年余,春秋季易发作,每次发作持续1个月,当地医院诊断为“慢性支气管炎”,给予抗菌、镇咳、平喘治疗后可缓解。近2年病情加重,全年均有症状,当地医院诊断“哮喘”,给予“沙美特罗替卡松干粉吸入剂50/250μg,2次/d”治疗,患者自觉效果不佳未规律使用。 针对此症状,处理方案是()(提示:痰细菌培养、痰涂片找抗酸杆菌均无阳性发现,胸部CT示左侧肺门区可见多处囊性透亮区。痰中嗜酸粒细胞比例>32%。)
A.抗菌药物静脉滴注
B.外周血嗜酸粒细胞计数
C.血清总IgE和烟曲菌特异性IgE水平检测
D.痰真菌培养和痰涂片找真菌
E.支气管镜检查
288、单项选择题 肺炎球菌肺炎形成铁锈色痰的原因是()
A.痰内有大量红细胞
B.痰内混有大量肺泡巨噬细胞
C.是纤维蛋白和红细胞结合的产物
D.红细胞破坏后释放含铁血黄素
E.以上都不是
289、单项选择题 患者,女,62岁,慢性肺心病有水肿、心力衰竭,经治疗后感染控制,但出现烦躁、间断性意识障碍,阵发性抽搐。诊断考虑()
A.肺心病代谢性酸中毒
B.肺心病并发肺性脑病
C.肺心病代谢性碱中毒
D.肺心病呼吸性酸中毒
E.呼吸衰竭
290、单项选择题 某青年,肺门淋巴结肿大,OT(1:2000,5U)试验肿结节直径15mm,伴水泡,最可能诊断()
A.结核病
B.结节病
C.淋巴瘤
D.肺癌
E.硅沉着病
291、单项选择题 患者女,25岁,公司办事员,既往体健,近2年来经常哮喘发作并咳嗽咳痰,呼吸困难,胸部体检双肺散在哮鸣音,诊断支气管哮喘,但治疗无效,且有加剧趋势并时有血痰,胸片未见明显异常。 需要进行鉴别的疾病是()
A.变应性支气管肺曲菌病
B.慢性支气管炎
C.气管、支气管结核
D.支气管扩张
E.心功能不全
292、多项选择题 淋巴管肌瘤病侵犯的部位有()
A.腹膜后组织
B.肾
C.纵隔
D.肺
E.脑
293、单项选择题
患者男,34岁。进行性胸闷、气促1个月余,伴有干咳、右胸隐痛以及消瘦,无咯血、发热、盗汗、潮热等。

A.右侧大量胸腔积液
B.右侧气胸
C.右侧肺不张
D.右侧液气胸
E.右侧大叶性肺炎
F.肺血栓栓塞症
294、单项选择题 闭合性气胸排气疗法,正确的是()
A.积气量少于该侧胸腔容积的30%,不抽气
B.积气量多时,应尽快将气抽尽,恢复肺功能
C.积气量多时,应立即行胸腔闭式引流
D.积气量多时可每日或隔日抽气一次,每次小于1L
E.积气量多时可一日多次抽气,每次1L,直至抽尽
295、单项选择题 一支气管肺癌病人,近来出现头面部、颈部和上肢水肿。查体可见颈静脉怒张,其发生是由于()
A.下腔静脉梗阻
B.上腔静脉梗阻
C.癌转移致心包积液
D.癌转移致胸腔大量积液
E.以上均有可能
296、单项选择题 患者,男性,33岁,颜面部疖肿2周,近3天高热,咳嗽,咳血痰,脓性痰少量。查体:双肺散在干、湿啰音。WBC27×109/L,中性粒细胞0.92。 该病人应选用的抗生素是()
A.链霉素
B.氟康唑
C.甲硝唑
D.万古霉素
E.克林霉素
297、单项选择题 患者女,20岁。反复咳嗽、咳痰2年,一直以慢性支气管炎就诊。2周前行胸片检查示左上肺不张,行支气管镜检查示左固有上叶支气管腔内见疣状肿物,突入管腔,表面光滑。病理活检提示小细胞肺癌可能大。予以CE方案化疗2疗程后行左上肺叶切除术。 最可能的诊断是()(提示:若患者术后病理提示肿瘤呈疣状,瘤细胞呈鳞状上皮细胞形,肿瘤含有结缔组织基质,有大量淋巴细胞浸润,瘤表面完全被有纤毛或无纤毛的柱状上皮细胞或鳞状上皮细胞覆盖,也可夹杂多层间变鳞状上皮细胞及分化较好的鳞状上皮细胞。)
A.肺鳞状细胞癌
B.肺腺鳞癌
C.单纯乳头状瘤
D.炎性息肉
E.鳞状细胞乳头状瘤
298、单项选择题 结核引起的支气管扩张啰音多见于()
A.左肺下部
B.右肺下部
C.肩胛间区
D.右肺中叶区
E.以上均不是
299、单项选择题 患者男,65岁,20年前受凉后出现咳嗽,多咳白色泡沫样痰。此后咳嗽、咳痰不止,多为白痰,时为黄痰,秋冬季或天气变冷时加重,多自服药或者至医院抗感染治疗后好转。10余年前出现进行性气急,活动后加重,近半年反复出现双下肢水肿,尿量减少,本次因为严重呼吸困难入院。 目前应主要考虑的治疗有()(提示:使用面罩无创机械通气后,尽管纠正缺氧,但是CO2潴留进行性加重,并出现重度意识障碍,血气分析pH7.10)
A.纤维支气管镜吸痰
B.有创机械通气
C.肌内注射阿托品
D.静注氨茶碱
E.继续无创机械通气,提高吸氧浓度
F.继续无创机械通气,调大潮气量
300、单项选择题 我国常见的咯血原因()
A.肺结核
B.肺吸虫
C.肺梗死
D.肺淤血
E.肺癌