时间:2025-03-30 01:58:36


1、单项选择题 标准立位胸片,气胸线位于肺野外1/4处,提示患肺压缩率为()
A.10%
B.25%
C.50%
D.75%
E.93%
2、单项选择题 原发性肺动脉高压的X线表现主要为()
A.右心室增大和肺动脉增宽
B.右心室增大和肺静脉增宽
C.右心房增大和肺动脉增宽
D.左心室增大和肺静脉增宽
E.以上都不对
3、多项选择题 成人股骨头缺血坏死股骨头密度增高的病理基础为()
A.骨小梁断裂嵌插
B.骨小梁表面新骨沉积
C.骨髓钙化
D.骨皮质增厚
E.骨质吸收
4、多项选择题 胆囊腺肌增生症的主要诊断依据是()
A.胆囊缩小、变形
B.胆囊壁增厚
C.胆囊壁内大小不等的憩室样征象
D.少数憩室内并发小结石
E.病变累及胆囊全部或呈节段性
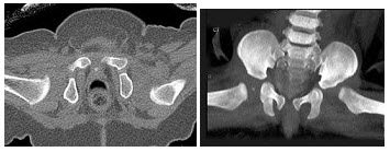
5、单项选择题
男,3岁,走路跛行,两下肢不等长,左脚外展受限,结合图像,最可能的诊断是()
A.髋关节前脱位
B.髋关节后脱位
C.髋关节中心脱位
D.先天性髋内翻
E.髋关节结核
6、单项选择题 关于鼻窦正常解剖的描述,下列哪项不正确()
A.出生时,蝶窦、额窦未气化
B.出生时,上颌窦、筛窦已气化
C.蝶窦由蝶窦中隔分为左右两个窦腔
D.上颌窦前部与鼻腔仅粘膜相隔
E.前组筛窦引流至中鼻道,后组筛窦引流至上鼻道
7、多项选择题 下列有关早期胃癌的分型中,正确的有()
A.Ⅰ型-隆起型
B.Ⅱ型-浅表型
C.Ⅱa型-浅表平坦型
D.Ⅱc型-浅表凹陷型
E.Ⅲ型-凹陷型
8、单项选择题 类风湿性关节炎病变最初是发生在()
A.关节内韧带
B.关节软骨
C.关节滑囊
D.关节囊纤维层
E.关节骨关节面
9、单项选择题 成人心脏摄片的焦-片距为()
A.近距离
B.100cm
C.85cm
D.150cm
E.200cm
10、单项选择题 X线产生中,电子从阴极射向阳极所获的能量,由下列哪个因素决定()
A.X线管灯丝加热电压
B.管电流
C.靶物质的原子序数
D.两极间的管电压
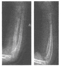
E.阴极灯丝的焦点大小
11、单项选择题
男,28岁,右肱骨上段肿痛1个月,疼痛以夜间明显,摄片如图所示,提示骨肉瘤最为主要的征象是()
A.溶骨性破坏
B.骨膜增生
C.肿瘤骨形成
D.软组织肿块影
E.Codman三角
12、单项选择题
女,30岁,喜欢吃柿子,近日出现腹痛,腹胀,X线检查如图,最可能的诊断是()

A.骶骨肿瘤
B.钡餐检查后钡剂残留
C.肠结石
D.盆腔异位肾钙化
E.盆腔畸胎瘤
13、单项选择题 胸部正位摄片,胸厚测量的正确部位是()
A.第5胸椎水平
B.第6胸椎水平
C.第7胸椎水平
D.第8胸椎水平
E.第9胸椎水平
14、单项选择题 患者上腹胀满、厌食,查体脾大,腹水征阳性。腹部超声,肝硬化,脾大,腹水。 最可能的诊断()
A.腹膜结核
B.肝炎
C.肝硬化,门脉高压征
D.肝癌
E.胃炎
15、单项选择题 下列哪项不是亲骨性转移的肿瘤()
A.鼻咽癌
B.肺癌
C.乳癌
D.肾癌
E.皮肤癌
16、单项选择题 下列哪项是胆管癌的直接征象()
A.扩张胆总管的远端显示肿块
B.肝脏弥漫性肿大
C.阻塞近端胆管明显扩张
D.肝门区显示肿大淋巴结
E.肝内见多发转移灶
17、多项选择题 下列“无紫绀型先天性心脏病”中,哪些疾病的“肺血正常”()
A.肺动脉狭窄
B.主动脉瓣狭窄
C.主动脉缩窄
D.三尖瓣下移
E.以上均为“肺血正常”的“无紫绀型先天性心脏病”
18、单项选择题 脊椎骨折可出现()
A.脊椎后突成角
B.棘突撕脱骨折
C.棘突间隙增宽
D.截瘫
E.以上均可
19、多项选择题 早期食管癌分为()
A.硬化型
B.平坦型
C.溃疡型
D.凹陷型
E.隆起型
20、单项选择题 目前世界公认的医学图像传输与存储的标准是()
A.ACR-NEMA1.0
B.ACR-NEMA2.0
C.DICOM3.0
D.HL7
E.TCP/IP
21、单项选择题 单手正位摄片,中心线应垂直对准()
A.第2掌骨头
B.第3掌骨头
C.第3掌骨头基底部
D.第4掌骨头
E.第5掌骨基底部
22、单项选择题 头颅摄影位置中,经常需要避开颞骨岩部。 瓦氏位是检查以下哪个器官的首选位置()
A.颞骨岩部
B.额窦
C.上颌窦
D.筛窦
E.下颌骨
23、单项选择题 提高早期胃癌诊断率宜选用()
A.粘膜法
B.充盈法
C.加压法
D.气钡双重造影
E.低张气钡双重造影
24、单项选择题 X线管的代表容量又称()
A.热容量
B.额定容量
C.瞬时负荷
D.连续负荷
E.最大负荷
25、单项选择题 下列哪项属于上皮胃的良性肿瘤()
A.胃息肉
B.胃纤维瘤
C.胃平滑肌瘤
D.胃脂肪瘤
E.胃血管瘤
26、单项选择题 筛骨属于()
A.扁骨
B.短管状骨
C.不规则骨
D.长管状骨
E.以上都是
27、单项选择题 梗阻上端有鸟嘴状狭窄,狭窄处粘膜呈回旋状的是()
A.单纯性小肠梗阻
B.绞窄性小肠梗阻
C.单纯性结肠梗阻
D.结肠扭转
E.肠套叠
28、多项选择题 引起阻塞性肺不张常见疾病有()
A.支气管异物
B.支气管肺癌
C.炎性肉芽肿
D.支气管内膜结核
E.血块及痰栓
29、单项选择题
女,45岁,大便习惯改变半年余,粪便变细,黏液血便1个月。结合图像,最可能的诊断为()
A.肠扭转
B.肠套叠
C.降结肠癌
D.肠穿孔
E.降结肠炎
30、单项选择题 关于瓦氏位摄影,以下错误的是()
A.瓦氏位是观察上颌窦的最佳体位
B.又称Water位
C.也可观察额窦和后组筛窦
D.听眦线与暗盒呈73°角
E.若怀疑有上颌窦积液,应站立位摄影
31、单项选择题 额窦摄片,常规位置是()
A.柯氏位(CaldWell’s)
B.瓦氏位(Water’s)
C.斯氏位(Stenever’s)
D.劳氏位(LaW’s)
E.瑞氏位(Rhees’s)
32、单项选择题 下述胃X线解剖知识,错误的是()
A.角切迹至幽门间为胃窦
B.仰卧位检查,胃窦靠背侧,胃体靠腹侧
C.胃大弯粘膜皱襞比胃小弯皱襞粗
D.胃底粘膜皱襞走向不规则
E.侧位片,胃体后壁与脊柱前缘正常间距约1.5个椎体宽
33、单项选择题 早期周围型肺癌的结节阴影指瘤体直径()
A.≤1cm
B.≤1.5cm
C.≤2cm
D.>2cm
E.≤3cm
34、单项选择题 观察外耳道闭锁的最佳摄片体位是()
A.头颅正位(经眶位)
B.颅底顶颌位
C.汤氏位
D.梅氏位
E.许氏位
35、单项选择题 X线自被检者的前方射向后方为()
A.前后方向
B.后前方向
C.冠状方向
D.轴方向
E.切线方向
36、单项选择题 下述哪种征象可作为直接诊断主动脉瓣狭窄的依据()
A.升主动脉中下段局限性扩张
B.左心室搏动增强
C.左心室肥厚
D.心影呈"主动脉型"
E.主动脉瓣区钙化
37、单项选择题 下列关于乳腺病变的钙化特点描述,错误的是()
A.乳腺癌:成堆分布细盐状钙化
B.浆细胞乳腺炎:较大的圆形、卵圆形钙化
C.纤维腺瘤:环状、块状、斑点钙化
D.乳腺导管扩张症:放射状分布、短管状钙化
E.不同的钙化特征诊断乳腺病变的准确性极高
38、单项选择题 有关照射野的描述,错误的是()
A.X线束入射于被照体的曝光面的大小称照射野
B.摄影时照射野应缩小到能容下被检部位的标度
C.照射野的大小大多用遮线器控制
D.来自中心部分的一条X线为中心线
E.中心线必须垂直于被照体中心
39、单项选择题 腰椎滑脱、腰椎椎弓峡部裂、脊柱裂分别首选的摄影体位是()
A.腰椎前后位、侧位;腰椎斜位;腰椎前后位、骶骨前后位
B.腰椎斜位;腰椎前后位、侧位;腰椎前后位、骶骨前后位
C.腰椎前后位、骶骨前后位;腰椎斜位;腰椎前后位、侧位
D.腰椎前后位、侧位;腰椎斜位;腰椎前后位、侧位
E.腰椎斜位;腰椎前后位、骶骨前后位;腰椎前后位、侧位
40、多项选择题 肺静脉高压的常见X线影像有()
A.间质性肺水肿
B.肺泡性肺水肿
C.肺门减小
D.左房增大
E.含铁血黄素沉着
41、单项选择题 骨样骨瘤由以下哪两部分组成()
A.瘤巢和周围骨质硬化区
B.瘤巢和周围骨质破坏区
C.砂粒样物质和周围骨质破坏区
D.砂粒样物质和周围骨质硬化区
E.瘤巢和砂粒样物质
42、单项选择题 以下哪种胸部检查接受的X线量最大()
A.胸部透视
B.正位胸片
C.胸部CT平扫
D.胸部MRI检查
E.支气管碘油造影
43、单项选择题 慢性肺源性心脏病的X线诊断依据是()
A.心脏突然增大,肺动脉段突出,上腔静脉扩张
B.肺部淤血,肺动脉高压,右心室增大
C.肺血管增粗,右心房增大,肺动脉段突出
D.肺部慢性病变,肺动脉高压,右心室增大
E.肺部充血,肺循环高压,右心房增大
44、单项选择题 单位体积内骨量增多属于()
A.骨内与软骨钙化
B.骨膜增生
C.骨内矿物质沉积
D.骨质增生硬化
E.死骨
45、单项选择题 乳突梅氏位的摄片角度的正确选择是()
A.双25°
B.双35°
C.双45°
D.双55°
E.双65°
46、单项选择题 骨样骨瘤偶见于()
A.胫骨
B.股骨
C.腓骨
D.脊椎
E.颅骨
47、单项选择题
男,52岁,习惯性便秘2年余,结合图像,最可能的诊断为()
A.溃疡性结肠炎
B.结肠憩室病
C.假膜性结肠炎
D.结肠息肉病
E.结肠转移癌
48、单项选择题 男,阴囊下坠不适,胀痛,平卧症状缓解。查体:阴囊下垂松弛,并可触及结节状静脉曲张。 继发病变是()
A.男性不育
B.门脉高压
C.疝气
D.前列腺肥大
E.髂动脉狭窄
49、单项选择题 风湿性心脏病左房室瓣(二尖瓣)病变时肺血管改变()
A.肺充血
B.肺淤血
C.肺缺血
D.肺出血
E.以上都不是
50、单项选择题 下列疾病临床特点描述,错误的是()
A.肿块形态随呼吸、体位改变而变化:胃底静脉曲张
B.胃粘膜巨大皱襞:蛋白漏出征
C.胃淋巴瘤:频发呕吐
D.多发疣状隆起:糜烂性胃炎
E.消化道溃疡:卓艾综合征
51、单项选择题 下述为节育器在盆腔正位投照时的正常形态,但除外()
A.扁圆形
B.长圆形
C.圆形
D.纵“一”字形
E.横“一”字形
52、单项选择题 松果体钙化最常见于()
A.1~5岁
B.新生儿
C.20岁以后
D.15岁以后
E.5~10岁
53、单项选择题 胸部CR摄影时为了显示被肋骨遮蔽的肺部病变,应选用哪种后处理方法()
A.灰阶处理
B.窗位处理
C.能量减影法
D.时间减影法
E.放大摄影
54、单项选择题 诊断早期骨软骨缺血坏死最为敏感的检查方法是()
A.MRI检查
B.X线平片
C.CT平扫
D.CT增强扫描
E.临床体检
55、单项选择题 下述“尤文肉瘤”知识,哪项正确()
A.成年人多见
B.常有骨、肺转移
C.常有特征性骨膜反应
D.好发于长骨干骺端
E.髓腔内可有成骨性改变
56、多项选择题 恶性胃溃疡具有的征象是()
A.放射状粘膜纠集
B.腔外龛影
C.粘膜杵样中断
D.环堤
E.胃壁蠕动消失
57、单项选择题 慢性化脓性中耳乳突炎单纯型X线表现中,下列说法哪项错误()
A.乳突窦及其周围骨质硬化增生
B.锤骨或砧骨骨质破坏
C.乳突气房透光度减低
D.气房间隔骨质增厚、结构模糊
E.乳突气房外围骨质有明显增生
58、单项选择题 下述胰头癌十二指肠曲的X线征象中,错误的是哪一项()
A.球后段出现笔杆征
B.粘膜呈毛刷状尖角状
C.腔边出现反“3”字形改变
D.肠腔内出现充盈缺损
E.肠壁出现双边影
59、单项选择题
男,46岁,双髋部疼痛,实验室检查血钙升高,尿本周蛋白(+),结合图像,最可能的诊断是()
A.骨髓瘤
B.骨质疏松症
C.骨转移瘤
D.骨囊肿
E.动脉瘤样骨囊肿
60、单项选择题 男性,50岁。有动脉粥样硬化病史。突然感到剧烈刀割样胸痛2小时,向背部放射。查体发现主动脉瓣区可闻及舒张期杂音。考虑为主动脉夹层可能。下列哪一项是其常见的胸片表现()
A.主动脉弓部和降主动脉上部影增宽
B.主动脉影狭小
C.主动脉影外形不规则
D.主动脉影位置改变
E.主动脉搏动增强
61、单项选择题
男,7岁,右前臂肿痛20天,发病时皮温较高,体温达39℃。实验室检查:WBC:12.05×109/L,中性粒细胞79%。右尺桡骨正侧位DR片如图

A.骨穿刺活检
B.试验性放射治疗
C.ECT
D.MRI
E.超声成像
62、单项选择题 下列组合中,错误的是()
A.肱骨与桡骨——肘关节
B.掌骨与指骨——指间关节
C.锁骨与肩峰——肩锁关节
D.锁骨与胸骨——胸锁关节
E.股骨与胫骨——膝关节
63、多项选择题 关于X线防护原则,正确的是()
A.合理降低个人受照剂量
B.缩短受照时间
C.建立屏蔽防护
D.缩短照射距离
E.合理降低全民X线检查频率
64、单项选择题 眼球异物定位检查的主要目的是()
A.确定有无异物
B.确定异物的大小
C.确定异物的位置
D.确定异物的性质
E.确定手术方案
65、单项选择题 关于含碘对比剂,以下说法错误的是()
A.不被机体吸收
B.大多由肾脏或肝脏排泄
C.以原形排泄
D.经血管注入的对比剂,一般不能透过血-脑脊液屏障
E.正常可进入脑脊液
66、多项选择题 中等量心包积液时可见的X线征象为()
A.心影普遍增大
B.上纵隔影变短变宽
C.心尖搏动减弱或消失
D.主动脉搏动正常
E.肺纹理正常或减少
67、单项选择题
男,根据其正常骨盆影像图像,判断其最可能的年龄()
A.5岁左右
B.10岁左右
C.15左右
D.20岁左右
E.25岁左右
68、单项选择题 关于一侧肺不发育的X线表现,下列哪项是不正确的()
A.患侧胸部密度均匀增高
B.无血管纹理分布
C.心脏纵隔移向患侧
D.两侧胸廓大小形态对称
E.患侧动脉主干发育不良或缺如
69、多项选择题 单侧肺透亮度增加,可见于()
A.肺含铁血黄素沉着病
B.Macleod病
C.镰刀综合征
D.乳癌根治术后
E.脊柱侧弯
70、单项选择题
男,23岁,膝关节疼痛,结合图像,最可能的诊断是()
A.骨脓肿
B.骨样骨瘤
C.骨肉瘤
D.骨软骨瘤
E.骨囊肿
71、单项选择题 DR与CR相比()
A.时间分辨力和空间分辨力均不足
B.时间分辨力好,空间分辨力不足
C.时间分辨力不足,空间分辨力好
D.时间分辨力和空间分辨力均较高
E.均可进行透视
72、多项选择题 普大型心脏多见于()
A.大量心包积液
B.风湿性多瓣膜损害
C.严重心肌病
D.房间隔缺损
E.室间隔缺损
73、单项选择题 下列有关乳腺癌的描述中,不属X线特征的是()
A.漏斗征
B.酒窝征
C.彗星尾征
D.晕圈征
E.帐篷征
74、单项选择题 下列哪一征象不支持纵隔肿瘤的诊断()
A.透视下见肿块随呼吸变形
B.透视下见肿块随呼吸上下移动
C.肿块最大径在纵隔内
D.肿块压迫气管
E.肿块外缘与纵隔交角呈钝角
75、单项选择题 肺下积液所致的“膈升高”膈顶最高点位于()
A.偏外1/3
B.偏外2/3
C.偏内1/3
D.偏内2/3
E.偏外1/2
76、单项选择题 下列尤文肉瘤的X线表现中,哪项不符合()
A.骨干中心型病灶位于骨干中段髓腔内,呈弥漫性骨质疏松及斑点状、虫蚀样破坏
B.骨干周围型其皮质外缘常呈蝶形破坏,肿瘤多呈卵圆形或分叶状向外扩展
C.干骺中心型位于干骺端中央,骨质破坏与骨质硬化同时出现
D.发生于骨外者表现为大小不等的软组织肿块,边界不清
E.干骺周围型位于干骺端边缘,多呈膨胀性骨破坏
77、多项选择题 骨组织内的细胞有()
A.骨细胞
B.破骨细胞
C.成骨细胞
D.未分化的间叶细胞
E.干细胞
78、多项选择题 扩张型心肌病的病理生理改变为()
A.心室舒张功能减低
B.心房舒张功能减低
C.心脏射血分数及心排血量下降
D.心室排血受阻,导致"泵"功能不良
E.继发心肌损害,致"泵"功能不良
79、单项选择题 腹部摄片时呼吸方式为()
A.深吸气后屏气
B.深呼气后屏气
C.连续缓慢浅呼吸
D.平静呼吸
E.以上都不是
80、单项选择题 经眶位摄片,主要显示的影像是()
A.听骨
B.乳突
C.眶下裂
D.内听道
E.眶上裂
81、单项选择题 男,65岁。走路时,不慎摔倒。查体:左下肢缩短,外旋50°畸形。 为明确诊断,首先应进行的检查为()
A.CT检查
B.核素骨扫描
C.X线检查
D.MRI检查
E.关节造影
82、单项选择题 下列有关影像检查的描述,错误的是()
A.过小的病变影像检查可呈阴性
B.不同成像方法间有互补作用
C.影像表现常与临床同步
D.异病同影或同病异影常会遇到
E.某些疾病,影像学无法检出
83、单项选择题 肾结核肾内广泛播散的病理学基础是()
A.血行播散
B.病变位于肾皮质
C.病变位于肾髓质
D.经淋巴管蔓延
E.肾乳头侵蚀形成空洞
84、单项选择题 下述法洛四联征的基本改变,错误的是()
A.主动脉骑跨
B.肺动脉狭窄
C.右心室肥厚
D.高位室间隔缺损
E.三尖瓣下移
85、单项选择题 肺循环阻力增高性肺动脉高压与高流量性肺动脉高压主要不同点在于前者()
A.肺动脉段凸出
B.肺门动脉增粗
C.肺动脉截断征
D.右心室增大
E.肺血管搏动增强
86、单项选择题
男,48岁,常感胸闷气逼,近1月渐加重,X线检查如图,最可能的诊断是()


A.右侧气胸
B.右侧肺大泡
C.两肺肺大泡
D.正常胸片
E.肺气肿
87、单项选择题 骨软骨瘤典型X线特征是()
A.瘤体可随骨骺生长而移至骨干
B.背向关节生长的骨性突起
C.瘤体与载瘤骨相连续
D.瘤帽不规则钙化
E.以上都是
88、多项选择题 常为一侧肾影增大的疾病()
A.肾静脉血栓
B.肾细胞癌
C.多囊肾
D.肾动脉狭窄症
E.肾硬变
89、单项选择题 男性,50岁。有动脉粥样硬化病史。突然感到剧烈刀割样胸痛2小时,向背部放射。体检发现主动脉瓣区可闻及舒张期杂音。考虑为主动脉夹层可能。下列哪一项检查显示内膜钙化内移效果更佳()
A.透视
B.胸片
C.CT
D.MRI
E.DSA
90、单项选择题 以下选项中,“子宫输卵管造影”的最佳时机为()
A.月经前第3天
B.月经前第10天
C.月经期
D.月经后第3天
E.月经后第7天
91、多项选择题 肾阳性结石应与下列哪些病变相鉴别()
A.腹部淋巴结钙化
B.肋软骨钙化
C.胆囊结石
D.肾囊肿
E.以上都是
92、单项选择题
男,22岁,滑冰时摔倒右手撑地时受伤,结合CR片,最可能的诊断是()
A.柯莱斯骨折
B.蒙泰贾骨折
C.加莱阿齐骨折
D.桡骨远端骨折
E.反柯莱斯骨折
93、单项选择题 骨盆的常规摄影位置是()
A.前后位
B.后前位
C.侧位
D.斜位
E.轴位
94、多项选择题 下列胸部疾患X线摄影位置,正确的是()
A.肺下积液-后前位
B.肺癌-常规正侧位加体层摄影
C.慢性支气管炎-后前位深吸气与深呼气位对照
D.包裹性积液-切线位
E.少量胸腔积液-侧卧水平正位或斜位
95、单项选择题 中年男性,全程无痛性血尿半年余,静脉肾盂造影显示肾盂输尿管及膀胱均可见充盈缺损影,最可能的诊断是()
A.移行细胞癌
B.肾癌种植转移
C.肾结核
D.腺瘤
E.转移癌
96、单项选择题 特发性骨质溶解症主要指发生于下述哪个部位的缓慢进行性骨质吸收()
A.跖趾
B.远侧指关关节
C.远侧距间关节
D.腕掌
E.掌指
97、单项选择题
女,41岁,身材矮小,背痛,结合图像,最可能的诊断是()

A.腰椎退行性变
B.腰椎间盘突出
C.软骨发育不全
D.石骨症
E.马方综合征
98、单项选择题
男,8岁,左上臂外伤后疼痛2小时,结合左肱骨正、斜位片,最可能的诊断为()
A.骨肉瘤
B.尤因肉瘤
C.骨囊肿
D.骨嗜酸性肉芽肿
E.非骨化性纤维瘤
99、单项选择题 下述动脉导管未闭的X线表现,错误的是()
A.肺动脉段突出
B.漏斗征
C.主动脉结缩小
D.主动脉结增大
E.肺门影增大
100、单项选择题 关于胃溃疡X线表现,错误的是()
A.龛影
B.小弯短缩
C.粘膜集中
D.充盈缺损
E.砂钟胃
101、单项选择题 减少和排除散射线的方法中,下列哪项错误()
A.缩小照射野
B.用金属后背盖的暗盒
C.用遮线筒或缩光器来
D.选择高电压摄影的方法
E.使用滤线栅
102、单项选择题 儿童颅内压增高较常见可靠的X线征象是()
A.颅缝分离
B.蛛网膜颗粒压迹增大
C.脑回压迹增多
D.颅骨普遍性吸收
E.蝶鞍扩大和骨质吸收
103、单项选择题 X线照片密度影响因素的叙述,错误的是()
A.感光效应与管电压的n次方成正比例
B.感光效应与焦-片距的平方成反比
C.正确选择屏-片匹配
D.密度随被照体的厚度增大而增高
E.密度与显影加工条件有关
104、单项选择题 肺气肿的X线表现,错误的是()
A.桶状胸,肋间隙增宽
B.肺野透亮度增高
C.两侧膈肌升高
D.两肺纹理稀疏
E.心影呈滴状
105、单项选择题 子宫输卵管造影时,出现咳嗽、呼吸困难、咯血及偏瘫或昏迷时,主要考虑为()
A.碘过敏
B.迷走神经兴奋
C.碘油栓塞
D.麻醉药物过敏
E.以上都不是
106、多项选择题 前组鼻窦包括()
A.上颌窦
B.额窦
C.蝶窦
D.直窦
E.前组筛窦
107、单项选择题 原发性肺结核是指()
A.原发综合征
B.胸内淋巴结结核
C.血行播散型肺结核
D.前两者均是
E.前三者均是
108、单项选择题 X线胸片的中肺野是指()
A.第2~4肋骨最低点之间的区域
B.第2~4前肋下缘之间的区域
C.第2~4前肋上缘之间的区域
D.第2前肋上缘、第4前肋下缘之间的区域
E.第2前肋下缘、第4前肋上缘之间的区域
109、多项选择题 骨性鼻中隔的主要组成结构为()
A.筛骨垂直板
B.筛骨筛板
C.犁骨
D.上颌骨鼻嵴
E.腭骨
110、单项选择题 水溶性碘对比剂不包括()
A.碘化油
B.泛影葡胺
C.碘帕醇
D.碘海醇
111、单项选择题 下列组合,错误的是()
A.髌骨骨折--侧位及轴位
B.膝内翻--正位及双侧对照
C.膝关节副韧带损伤--正位及双侧对照
D.胫骨结节骨软骨炎--双侧胫骨结节侧位对照
E.小儿髋关节脱位--双髋正位
112、单项选择题 钡餐检查,回肠粘膜皱襞多呈()
A.弹簧状
B.腊肠状
C.雪花状
D.羽毛状
E.鱼骨状
113、单项选择题 目前矽肺分期的主要手段为()
A.HRCT
B.高千伏X线胸片
C.薄层胸部CT
D.普通胸部CT
E.正位胸片
114、单项选择题 “结肠扩张”,则可除外()
A.溃疡性结肠炎
B.结肠癌
C.Hirschsprung病
D.间位结肠
E.麻痹性肠梗阻
115、单项选择题 下列哪项不是“软骨发育不全”骨质改变特点()
A.小骨盆
B.短肢型侏儒
C.头颅增大
D.骨质改变为非对称性
E.手指粗短,呈"三叉戟"样
116、单项选择题 肾盂形态有很大差异,但多数呈()
A.壶腹状
B.分支状
C.三角形
D.不规则形
E.树枝状
117、单项选择题 创伤性支气管断裂()
A.X线胸片呈肺野磨玻璃样变或面纱征
B.X线胸片呈多发边缘锐利、密度均匀高密度影
C.X线胸片呈一侧胸腔一片致密均匀阴影,纵隔向健侧移位
D.X线胸片呈纵隔气肿,大量气胸
E.X线胸片呈心影明显增大,心脏各弧消失
118、多项选择题 有关浅表凹陷型早期胃癌的描述,正确的是()
A.粘膜皱襞中断增粗变细融合
B.凹陷部凹凸不平,有时可见岛屿状小隆起
C.浅凹陷中有可认为是破坏了固有肌层的溃疡
D.其大小由数毫米至10mm以上
E.形状不整齐的浅凹陷
119、多项选择题 “继发孔型房间隔缺损”分为哪几型()
A.中央型/卵圆窝型
B.上腔型
C.下腔型
D.周边型
E.混合型
120、单项选择题 十二指肠溃疡的直接X线征象是()
A.龛影
B.球部变形
C.龛影局部压痛
D.幽门痉挛
E.激惹征
121、单项选择题 关于马蹄肾的描述,下列错误的是()
A.左右肾下极联合
B.易并发肾肿瘤
C.有多根肾动脉
D.偶见左右肾上极联合
E.左右输尿管自肾门通过肾联合
122、单项选择题 下列哪项不属于中耳结构()
A.听小骨
B.咽鼓管
C.鼓室
D.前庭
E.乳突窦
123、单项选择题 摄取牙片一般选择的位置是()
A.立位
B.坐位
C.仰卧位
D.俯卧位
E.侧卧位
124、单项选择题 关于支原体肺炎,下列描述哪项正确()
A.抗生素治疗有效
B.血冷凝集试验比值低
C.上肺野分布
D.肺纹增多,网状阴影
E.团块状阴影
125、多项选择题
女,80岁,胃胀痛20多天,体检:剑突下有压痛,结合图像,最可能的诊断为()
A.食管憩室
B.食管癌
C.胃炎
D.胃下垂
E.球部溃疡
126、多项选择题 左心房增大可见于()
A.动脉导管末闭
B.单纯继发孔型房间隔缺损
C.膈上型完全性肺静脉异位引流
D.室间隔缺损
E.三尖瓣畸形
127、单项选择题 影像学表现为“双侧肾影增大”,则可除外()
A.急性肾小球肾炎
B.油灰肾,即结核性肾自截
C.双侧重复肾
D.双侧肾盂积水
E.多囊肾
128、多项选择题 下列中的哪些部位,不适合高电压摄片()
A.纵隔
B.喉
C.胸骨
D.乳腺
E.胸部
129、多项选择题 下列对于椎管关节描述正确的有()
A.扫描层面位于椎间孔上部,可以显示脊神经根
B.扫描层面位于椎间孔下部,可以显示脊神经根
C.脊神经根后根大于前根
D.腰髓神经根大于颈髓神经根
E.脊神经根后根小于前根
130、多项选择题 位于前纵隔的肿瘤有()
A.胸腺瘤
B.皮样囊肿
C.畸胎瘤
D.神经纤维瘤
E.支气管囊肿
131、单项选择题 下列哪种组织结构对X线吸收能力最强()
A.骨骼
B.皮肤
C.肌肉
D.含气肺组织
E.尿液
132、单项选择题 下列名称中,无骨质硬化表现为()
A.骨萎缩
B.骨梗死
C.缺血性坏死
D.骨岛
E.慢性炎症
133、多项选择题 骨转移瘤最多见于()
A.骨盆
B.膝以下
C.脊柱
D.肘以下
E.颅骨
134、多项选择题 “肝内胆管积气”见于下列哪些疾病()
A.胆管消化道瘘
B.Oddi括约肌功能不全
C.Budd-Chiari综合征
D.小肠系膜扭转
E.肠系膜血管栓塞
135、单项选择题
女,根据其正常骨盆影像图像,判断其最可能的年龄()
A.28岁左右
B.18岁左右
C.38岁左右
D.78岁左右
E.58岁左右
136、单项选择题 下列先天性心脏病循环特征描述,哪项不对()
A.主动脉瓣狭窄:肺血正常的无紫绀先天性心脏病
B.肺动脉瓣闭锁:伴肺血减少的紫绀性先天性心脏病
C.完全性大血管转位:伴肺血增多的紫绀性先天性心脏病
D.佛氏窦瘤破入右心室:伴肺血增多的无紫绀先天性心脏病
E.动脉导管未闭:伴肺血增多的紫绀性先天性心脏病
137、多项选择题 关于良性骨肿瘤的描述正确的有()
A.生长缓慢
B.大多接近正常组织
C.一般骨皮质保持完整或有受压膨胀性改变
D.无转移
E.无骨膜反应
138、多项选择题 X线胶片所用的感光物质是()
A.溴化银
B.碘化银
C.氟化银
D.硝酸银
E.氯化银
139、多项选择题 放射防护的基本原则是()
A.实践的正当化
B.放射防护最优化
C.个人剂量限值
D.机房的防护
E.患者的防护
140、单项选择题
男,6岁,睡眠差、夜惊、多汗、出牙较迟、血清磷减低、血清钙减低、碱性磷酸酶升高,结合图像,最可能诊断是()
A.维生素D缺乏病
B.骨质软化症
C.先天性骨梅毒
D.肾性维生素D缺乏病
E.脆骨病
141、多项选择题 软组织基本病变X线表现为()
A.软组织肿胀
B.软组织肿块
C.软组织内气体
D.肌肉萎缩
E.软组织内钙化和骨化
142、单项选择题 肋软骨首先钙化的是下列哪项()
A.第1肋
B.第12肋
C.第3肋
D.第10肋
E.第2肋
143、多项选择题 绞窄性小肠梗阻常见原因()
A.扭转
B.内疝
C.套叠
D.粘连
E.以上都不是
144、单项选择题 下述Goodpasture综合征病理改变特点,错误的是()
A.肾小球肾炎
B.缺铁性贫血
C.肺门淋巴结肿大
D.肺间质性纤维化
E.肺部实变
145、单项选择题 肾性骨营养不良最常见的特点是()
A.骨质软化
B.纤维性骨炎
C.骨硬化
D.软组织钙化
E.软组织肿块
146、单项选择题 关于“肾癌”的影像表现,错误的是()
A.肾影局限性增大
B.肾盂、肾盏移位
C.IVP正常也不能完全除外本病
D.肾盂内可有充盈缺损
E.都有肾盂积水、肾功能降低
147、单项选择题 确定泌尿系统先天性发育异常的主要手段是()
A.尿常规
B.影像学检查
C.血液检查
D.DNA检测
E.激素水平检测
148、单项选择题 “竖发征”不累及哪个部位()
A.枕骨粗隆以下枕骨
B.枕骨粗隆以上枕骨
C.额骨
D.顶骨
E.颞骨
149、单项选择题 X线透视的优点,错误的是()
A.可直接观察器官的运动功能
B.可任意旋转病人的体位,多方位进行观察
C.可观察身体组织的细微变化
D.操作简单,立即可得结果
E.费用低廉
150、单项选择题 下列关于急性肺脓肿的描述,不正确的是()
A.葡萄球菌、肺炎链球菌为常见致病菌
B.常有高热、寒战、大量脓痰
C.邻近胸膜增厚,甚至脓胸形成
D.多数急性空洞为薄壁空洞
E.急性空洞常有“液平面”
151、单项选择题 关于“Apert综合征”,下列描述错误的是()
A.两眼间距过宽
B.第3、4指并指畸形
C.颅内压增高相应表现
D.长骨对称性扩张呈"烧瓶状
E.冠状缝、矢状缝早闭
152、单项选择题
男,5岁,外伤后致左肩关节疼痛伴关节活动障碍1小时,X线检查如图所示,最可能的诊断是()
A.左肱骨上段骨折
B.肱骨骨纤伴病理性骨折
C.肱骨上段骨囊肿伴病理性骨折
D.左肱骨上段嗜酸性肉芽肿伴病理性骨折
E.以上均不正确
153、单项选择题 在胸部X线诊断中,错误的是()
A.左心室增大——左前斜摄片
B.中叶综合征——侧位摄片
C.肺结核——前弓位摄片
D.肺气肿——呼气时摄片
E.液气胸——卧位摄片
154、单项选择题 人体水平面又称为()
A.横切面
B.矢状面
C.额状面
D.冠状面
E.正中矢状面
155、单项选择题 许莫结节是指椎间盘()
A.向后突出
B.向椎间孔突出
C.向椎旁突出
D.向椎体内突出
E.向前突出
156、单项选择题 吸收X线能力最强的组织结构是()
A.肌肉
B.脂肪
C.骨骼
D.肺组织
E.肝脏
157、单项选择题
女,17岁,背部和正中胸部急性疼痛和带状疱疹感染,结合图像,最可能的诊断是()
A.镰状细胞贫血
B.地中海贫血
C.系统性红斑狼疮
D.类风湿关节炎
E.白血病
158、单项选择题 诊断肠结核最主要的X线征象是()
A.左半结肠袋影消失
B.直、乙状结肠交界处狭窄
C.结肠肝区充盈缺损
D.盲肠缩短狭窄
E.回肠呈节段状腊肠状改变
159、多项选择题 单侧肺水肿可见于()
A.长期一个方向侧卧
B.ARDS
C.缺氧
D.一侧胸腔积液放水过快、过多
E.一侧肺挫伤
160、单项选择题 颅骨骨折的分型为()
A.线样骨折、凹陷骨折、压缩性骨折
B.线样骨折、粉碎性骨折
C.凹陷骨折、粉碎性骨折、穿入骨折
D.撕脱骨折、穿入骨折
E.线样骨折、凹陷骨折、粉碎性骨折、穿入骨折
161、单项选择题 颅脑外伤侧位平片显示鼻咽腔顶软组织肿胀常提示()
A.前颅窝骨折
B.中颅窝骨折
C.后颅窝骨折
D.额骨骨折
E.斜坡骨折
162、单项选择题 以下哪项较少用于胸部成像()
A.胸部平片
B.US
C.支气管分层
D.MRI
E.CT
163、单项选择题 骨盆骨折时,易受损的是哪一部分尿道()
A.前列腺部尿道
B.球部尿道
C.膜部尿道
D.悬垂部尿道
E.以上都不是
164、多项选择题 神经瘤性角皮病的主要表现有()
A.假关节
B.骨发育异常
C.脊柱侧弯
D.听力障碍
E.运动障碍
165、单项选择题 关于产生X线条件的叙述,错误的是 ( )
A.电子源
B.高速电子流
C.阻碍电子流的靶面
D.高速电子与靶物质相互作用的结果
E.X线管的靶面均由钼制成
166、单项选择题 关于结肠正常影像,下列描述哪项错误()
A.结肠粘膜有纵、横、斜3种方向
B.升结肠的结肠袋比降结肠明显
C.左半结肠粘膜皱襞以纵向为主
D.左半结肠比右半结肠粗
E.低张双对比造影可显示无名沟
167、单项选择题 关于食管癌的基本X线征象的说法,错误的是()
A.粘膜皱襞紊乱、破坏
B.不规则腔内充盈缺损
C.管壁僵直,蠕动消失
D.纵隔内软组织肿块
E.恶性溃疡龛影
168、单项选择题 交感神经兴奋时()
A.消化道张力增高
B.胃肠蠕动增强
C.消化道张力减低
D.胃肠蠕动减弱
E.胃肠排空加快
169、多项选择题 关于结肠癌的X线表现,哪些是正确的()
A.腔内不规则龛影
B.腔内充盈缺损
C.肠腔狭窄,局限于一侧或呈环形
D.龛影周围宽窄不一的环堤
E.病变肠壁僵硬
170、单项选择题
男,15岁,右髋部疼痛、红肿,有压痛,皮温增高,结合图像,最可能的诊断是()
A.骨肉瘤
B.急性骨髓炎
C.尤文肉瘤
D.转移性神经母细胞瘤
E.骨结核
171、多项选择题 含气支气管像或细支气管像多见于()
A.鳞状上皮癌
B.鳞腺癌
C.细支气管肺泡癌
D.腺癌
E.大细胞癌
172、单项选择题 下列哪项X线表现可提示主动脉瘤()
A.纵隔增宽
B.与主动脉关系密切的肿块影
C.肿块影可见扩张性搏动
D.肿块影压迫周围邻近器官产生相应表现
E.以上都是
173、单项选择题 下列哪项不构成X线上关节间隙()
A.滑膜
B.关节腔
C.骨性关节面上的软骨
D.骨性关节面
E.以上都不是
174、单项选择题 与剑突至肚脐连线的中点处于同一平面的椎体是()
A.第1腰椎
B.第2腰椎
C.第3腰椎
D.第4腰椎
E.第5腰椎
175、单项选择题 心脏右前斜位摄片,曝光前须先()
A.口服硫酸钡
B.浅呼吸屏气
C.深吸气屏气
D.平静呼吸屏气
E.腹式呼吸屏气
176、单项选择题 男性,56岁。有动脉粥样硬化病史。突然感到剧烈刀割样胸痛2小时,向背部放射。体检发现主动脉瓣区可闻及舒张期杂音,考虑为主动脉夹层可能。夹层内膜撕裂的好发部位是()
A.升主动脉
B.主动脉弓
C.降主动脉
D.主动脉峡部
E.升主动脉根部和主动脉峡部
177、单项选择题 以下骨质增生硬化概念表述不妥的是()
A.骨质增生硬化是成骨增多
B.骨质增生硬化是破骨减少
C.多属于机体代偿反应
D.骨质增生硬化是成骨增多、破骨减少
E.骨质增生硬化就是骨量的增多
178、多项选择题 骨髓瘤X线表现包括()
A.软组织肿块
B.多发性骨质破坏
C.骨质硬化
D.广泛性骨质疏松
E.骨质破坏与骨质硬化并存
179、单项选择题 X线胶片中感光物质是下列哪组()
A.溴化银
B.氯化银
C.溴化银+碘化银
D.碘化银
E.氟化银
180、单项选择题 不能用碘化油做对比剂的造影检查是()
A.瘘管造影
B.椎管造影
C.心血管造影
D.支气管造影
E.子宫输卵管造影
181、单项选择题 下述关于小肠Crohn病的影像表现,错误的是()
A.口疮样小溃疡
B.小肠多发狭窄
C.鹅卵石征
D.肠壁增厚
E.环肠壁对称性侵犯
182、单项选择题 男,28岁,反复右上腹痛1年,进食后可缓解,有时夜间疼痛明显。 若影像学检查显示胃幽门痉挛,开放延迟,胃分泌液增多,最有可能的诊断为()
A.胃癌
B.胃溃疡
C.十二指肠溃疡
D.慢性胃炎
E.慢性胰腺炎
183、单项选择题 肝海绵状血管瘤的X线征中,哪项是错误的()
A.灯泡征
B.树上挂果征
C.早出晚归征
D.抱球征
E.星状瘢痕征
184、单项选择题 下述左心衰的胸片表现,错误的是()
A.左侧心房或心室增大
B.肺静脉扩张
C.双肺门周围"蝶翼样"阴影
D.胸腔积液
E.肺纹理清晰
185、多项选择题 脊椎结核的较常见X线表现有()
A.大块死骨
B.椎间隙变窄或消失
C.后突畸形
D.寒性脓肿
E.骨质破坏
186、单项选择题 心脏左前斜位片,心缘后下部的投影是()
A.左心房
B.左心室
C.肺动脉圆锥
D.右心房
E.右心室
187、单项选择题 “二尖瓣”型心的基本特征是()
A.右心室增大
B.肺动脉圆锥膨隆
C.主动脉结突出
D.右心房增大
E.心尖向左下延伸
188、单项选择题 立位滤线器主要用于()
A.四肢摄片
B.胸部透视
C.胸部摄片
D.骨盆摄片
E.肾盂造影
189、多项选择题 肾先天性发育异常包括()
A.肾数目异常
B.肾位置异常
C.肾形态异常
D.肾旋转异常
E.肾发育不全
190、单项选择题 下列病变,一般不会发生双肺多发钙化的是()
A.肺癌
B.肺结核
C.肺泡蛋白微石症
D.骨肉瘤肺转移瘤
E.矽肺
191、多项选择题 关于心包积液,下列哪些项正确()
A.心尖和主动脉搏动减弱
B.中等量积液见心影普遍增大
C.心影呈烧瓶状
D.上纵隔影增宽
E.心包积液在300ml以下者,心影大小和形态可无明显改变
192、多项选择题 下述疾病中可见关节内游离体的是()
A.色素沉着绒毛结节性滑膜炎
B.滑膜骨软骨瘤病
C.神经性关节病
D.非骨化性纤维瘤
E.退行性骨关节病
193、单项选择题 小叶旁型肺气肿主要分布在()
A.双肺上叶
B.肺内瘢痕病灶旁
C.两肺弥漫分布,以下叶为主
D.局限于胸膜下区域
E.双肺均匀分布
194、单项选择题 图像失真度的概念,正确的是()
A.标准的优质照片不应有任何失真度
B.影像的变形是被照体不等量放大的结果
C.失真度与焦点被照体及胶片三者间位置无关
D.位置变形不是影像的变形
E.放大变形不是影像的变形
195、单项选择题 中、晚期食管癌分型中同时向腔内外侵犯的病理类型是()
A.蕈伞型
B.溃疡型
C.髓质型
D.缩窄型
E.腔内型
196、单项选择题 下列关于眼眶正位片的描述,正确的是()
A.鼻颌位后前45°投照
B.鼻颌位后前23°投照
C.可显示一侧眼眶的所有结构
D.可以显示上颌窦
E.以上都不对
197、单项选择题 膈肌的矛盾运动以哪种体位观察最佳()
A.站立性
B.侧卧位
C.仰卧位
D.俯卧位
E.半坐位
198、多项选择题 关于乳房脓肿切开引流,下列哪些是正确的()
A.一般应作放射状切开
B.乳晕下脓肿应沿乳晕边缘作弧形切口
C.乳腺后脓肿可沿乳腺下缘作弧形切口
D.脓腔较大时,可在脓腔的最低部位另加切口作对口引流
E.以上都对
199、单项选择题 经皮肾动脉腔内成形术简称()
A.PTC
B.PTRA
C.PTCA
D.PCN
E.PTA
200、单项选择题 踝关节正位摄片,中心线应对准()
A.内踝
B.外踝
C.内外踝连线中点
D.内外踝连线中点上1cm
E.内外踝连线中点上5cm
201、多项选择题 骨骼的基本病变包括()
A.骨质疏松
B.骨质增生
C.骨质破坏
D.矿物质沉积
E.骨折
202、单项选择题 关于X线滤过的说法,错误的是()
A.滤过是把X线束中的低能成分吸收掉
B.固有滤过,是指X线管本身的滤过
C.固有滤过用铅当量表示
D.总滤过为附加滤过与固有滤过之和
E.一般对低能量射线采用铝滤过板
203、多项选择题 十二指肠炎的影像特征是()
A.球部激惹征
B.球部龛影
C.球部痉挛
D.球部变形
E.球部无明显变形
204、单项选择题
如图所示,左侧胸部病变,最可能的诊断为()
A.包裹性积液
B.恶性胸膜间皮瘤
C.左下肺脓肿
D.左下肺癌
E.左侧胸腔积液
205、多项选择题 脊椎退行性变的病理改变中,包括哪项()
A.椎间盘退行性变
B.椎间关节退行性变
C.韧带退行性变
D.脊椎骨骼改变
E.脊椎结核、肿瘤病变
206、单项选择题 关于肺动脉高压的描述,错误的是()
A.右心室增大
B.肺动脉段突出,肺门增大
C.右下肺动脉干直径>15mm
D.肺动脉收缩压>3.99kPa
E.主动脉结增大
207、单项选择题 下列胸片影像,哪项与二尖瓣狭窄无关()
A.KerleyB线
B.食管受压
C.肺动脉段凹陷
D.左心缘出现四弓
E.双房影
208、单项选择题 X线片表现肺血增多,临床表现有发绀者是()
A.二孔型房间隔缺损
B.心内膜垫缺损
C.动脉导管未闭
D.室间隔缺损
E.艾森门格综合征
209、单项选择题
女,63岁,胸痛、呼吸困难2月余,咳嗽、发热2天,曾有肺癌手术史,X线检查如图,最可能的诊断是()

A.细支气管肺泡癌
B.肺转移瘤
C.肺水肿
D.两肺炎症
E.结节病
210、单项选择题 皮革胃是属于下列哪种类型胃癌()
A.蕈伞型胃癌
B.溃疡型胃癌
C.浸润型胃癌
D.混合型胃癌
E.平坦型胃癌
211、单项选择题 颅内高压时,可见下述哪条征象()
A.蝶鞍鞍背后床突骨质吸收
B.蝶鞍扩大
C.脑回压迹增多
D.生长发育期和青年各颅缝均可增宽
E.以上均对
212、单项选择题 以下成像方法,哪项对诊断颅脑病变价值最小()
A.CT
B.MRI
C.DSA
D.平片
E.透视
213、单项选择题 原发性骨肿瘤最常见的是()
A.软骨瘤
B.骨瘤
C.骨软骨瘤
D.骨肿瘤
E.骨巨细胞瘤
214、单项选择题 慢性化脓性中耳乳突炎单纯型X线表现中,下列说法哪项错误()
A.乳突窦及其周围骨质硬化增生
B.锤骨或砧骨骨质破坏
C.乳突气房透光度减低
D.气房间隔骨质增厚、结构模糊
E.乳突气房外围骨质有明显增生
215、单项选择题 在胸部后前位上左心缘的下部是()
A.右心房
B.右心室
C.左心房
D.左心室
E.升主动脉
216、单项选择题 椎旁脓肿常见于()
A.胸椎结核
B.颈椎结核
C.腰骶椎结核
D.腰椎结核
E.骶尾椎结核
217、单项选择题 DR使用的检测装置是()
A.影像板
B.影像增强器
C.平板探测器
D.电离室
E.光电管
218、多项选择题 颅底片,能显示的孔有()
A.棘孔
B.破裂孔
C.卵圆孔
D.视神经孔
E.颈静脉孔
219、多项选择题 组成腕关节的骨有()
A.豌豆骨
B.舟骨
C.月骨
D.三角骨
E.桡骨
220、多项选择题 连续X线透过被照体后使()
A.射线平均能量降低
B.射线平均能量提高
C.射线平均能量接近其最高能量
D.低能光子比高能光子更多地被吸收
E.高能光子比低能光子更多地被吸收
221、单项选择题 水痘病毒性肺炎的影像特征()
A.数天内仅见双肺纹理增粗、毛糙
B.病理、影像表现演变快
C.伴弥漫性肺气肿的广泛间质性炎症改变
D.呈典型的支气管肺炎表现
E.间质纤维化伴肺大泡
222、单项选择题 绞窄性肠梗阻的可靠征象是()
A.假肿瘤征
B.足球征
C.空肠换位征
D.肠管双壁征
E.肠曲截断征
223、单项选择题 以下关于膈肌病变的说法,错误的是()
A.婴儿最常见的先天性膈疝为胸腹裂孔疝
B.外伤性膈疝可由开放性或闭合性膈损伤引起,闭合性膈损伤多发生于右膈
C.膈肌麻痹并非在膈神经损伤后立即发生,而是随时间推移逐渐表现为异常
D.膈膨升可发生于任何年龄,以中老年人多见
E.膈麻痹患者的患侧膈肌在呼吸时无运动或反常运动
224、单项选择题 第二斜位又称为()
A.右前斜位
B.左前斜位
C.左后斜位
D.右后斜位
E.侧位
225、单项选择题
男,38岁,生活在沿海一带,腰背部疼痛半年余,根据所提供的图像,最可能诊断是()
A.石骨症
B.肾性骨病
C.氟骨症
D.成骨性转移瘤
E.骨纤维异常增殖症
226、多项选择题 在X线诊断中“肺门”包括以下哪些结构()
A.肺动脉
B.肺静脉
C.支气管
D.淋巴管
E.肺根
227、单项选择题 视神经孔后前轴位摄片,矢状面与台面呈()
A.33°
B.43°
C.53°
D.63°
E.73°
228、单项选择题 40岁女性,进行乳腺癌普查时,下列哪一项检查最合适()
A.近红外线扫描
B.液晶热图检查
C.细针穿刺细胞学检查
D.超声波检查
E.钼靶X线摄片
229、单项选择题 在肾结核早期阶段,下列哪种检查方法最有价值()
A.化验室检查
B.超声检查
C.CT检查
D.MRI检查
E.尿路造影检查
230、单项选择题 鼻骨侧位摄影时与胶片垂直的是()
A.听眦线
B.听眶线
C.听鼻线
D.听口线
E.瞳间线
231、单项选择题 方形椎体可见于()
A.维生素D缺乏症
B.脊柱结核
C.强直性脊柱炎
D.巨人症
E.转移瘤
232、单项选择题 食管癌X线表现中哪项是错误的()
A.食管黏膜中断破坏
B.管腔向心性狭窄,管壁僵硬
C.管腔内不规则充盈缺损
D.恶性龛影
E.食管下端漏斗状狭窄,蠕动微弱
233、单项选择题 肺血减少见于下列哪种先天性心脏病的()
A.动脉导管未闭
B.室间隔缺损
C.房间隔缺损
D.艾森门格综合征
E.法洛四联征
234、单项选择题 男,6岁,临床需查骨龄。 若摄腕部正位片,正常情况下不能显示的腕骨为()
A.头状骨
B.钩骨
C.三角骨
D.豆骨
E.月骨
235、多项选择题 下列哪些是肺炎性假瘤的X线特点()
A.可发生于两肺的任何部位,以肺表浅部位多见
B.形态不一,可呈圆形、椭圆形或类圆形
C.多数直径在2~4cm,少数甚至大于10cm
D.一般为中等密度,大多均匀
E.可在数年之内无明显增大
236、单项选择题 X线上,在心膈角发现团状阴影,最常见的是()
A.支气管肺炎
B.心包脂肪垫
C.麻疹肺炎
D.心包囊肿
E.心包憩室
237、单项选择题 急腹症危重患者观察腹腔少量游离气体,应采用的摄片体位是()
A.立位
B.仰卧位
C.俯卧位
D.左侧卧位水平投照
E.右侧卧位水平投照
238、单项选择题
男,根据其正常膝关节影像图像,判断其最可能的年龄()
A.61岁左右
B.51岁左右
C.11岁左右
D.21岁左右
E.31岁左右
239、单项选择题 在典型的胃良性溃疡与恶性溃疡鉴别要点中,哪一项是良性溃疡的特征()
A.蠕动减弱
B.粘膜皱襞紊乱
C.龛影位于胃轮廓之内
D.龛影突出于胃轮廓之外
E.局部胃腔狭窄
240、单项选择题
男,13岁,运动后膝关节疼痛,结合图像,最可能的诊断是()
A.正常影像
B.动脉瘤样骨囊肿
C.骨软骨瘤
D.成骨细胞瘤
E.骨样骨瘤
241、多项选择题 凡康尼(Fanconi)综合征的特点为()
A.高磷血症
B.氨基酸尿
C.糖尿
D.高磷尿
E.高氯性酸中毒
242、单项选择题 脑外肿瘤向内压迫脑皮质,使之受压变平的现象,称为()
A.脑灰质塌陷征
B.脑外征
C.硬膜外征
D.脑实质受压征
E.脑白质塌陷征
243、多项选择题 硬化型骨髓炎的X线表现不包括()
A.骨质硬化增生
B.骨内膜增生
C.骨外膜增生
D.骨脓肿
E.死骨形成
244、单项选择题
男,23岁,根据影像图像,最可能的诊断是()
A.骨髓炎
B.骨硬化症
C.骨囊肿
D.骨脓肿
E.骨结核
245、单项选择题 关于X线机高压交换闸的错误叙述是()
A.机械强度要求高
B.用来切换正负高压
C.可用一般继电器代替
D.用来切换灯丝电压
E.必需浸在绝缘油中使用
246、单项选择题 下列哪项描述最符合过敏性结肠炎的结肠造影表现()
A.降结肠呈线样,粘膜无破坏
B.降结肠边缘呈锯齿样,充盈像见腔内多发小充盈缺损,粘膜破坏
C.乙状结肠局限性狭窄,粘膜消失,管壁僵硬,其内见龛影
D.回盲部、回肠末端呈线样,钡剂通过呈“跳跃”征,粘膜皱襞紊乱破坏
E.回肠、结肠呈节段性狭窄,粘膜破坏,见“卵石征”,有瘘管形成
247、单项选择题 骨膜增生的病因包括()
A.肿瘤
B.骨膜下出血
C.炎症或外伤
D.血管性病变
E.以上都是
248、单项选择题 关于X线机空间电荷抵偿原理的正确推论是()
A.kV↑→管电流↑
B.kV↓→灯丝电压↓
C.kV↑→管电流↓
D.kV↑→灯丝电压↑
E.kV↑→灯丝电流↑
249、多项选择题 关于肾盂,正确的说法是()
A.最佳显影时间是注入对比剂后15~30分钟
B.肾盂上连肾大盏,下连输尿管
C.肾盂大部分位于肾门区
D.肾盂形态差异不大
E.肾盂无蠕动
250、多项选择题 X线摄片时,应注意中心线的()
A.入射点
B.中心线的能量
C.射入胶片的位置
D.投射的方向
E.入射的角度
251、单项选择题
女,48岁,常感中上腹不适,无返酸、嗳气及黑便史,结合图像,最可能的诊断为()
A.正常肠圈
B.十二指肠炎
C.球部溃疡
D.降段憩室
E.水平段憩室
252、多项选择题 腰椎后缘软骨结节在侧位片上可表现为()
A.椎体后上(下)缘有弧状或切迹状骨质缺损区
B.骨质缺损区边缘硬化或毛糙不整
C.与缺损区相对应,有类圆形、锥形骨块翘起并突入椎管内
D.骨块可全部或部分与椎体分离
E.好发于腰4的下角,常单椎体发病
253、单项选择题
男,71岁,背部酸痛,低热,乏力,消瘦2月余,结合影像学表现,最可能的诊断是()
A.脊柱转移瘤
B.化脓性脊柱炎
C.脊椎结核
D.椎体压缩骨折
E.阻滞椎
254、单项选择题 多发性骨髓瘤的X线诊断,下列摄片部位选择哪个没有意义()
A.腰椎
B.肋骨
C.颅骨
D.长骨
E.骨盆
255、单项选择题 关于骨盆摄片错误的叙述是()
A.常用于外伤及骨质破坏的检查
B.骨盆侧位可用于检查异物位置
C.中心线应向足侧倾斜20°角
D.成人摄片都需要使用滤线器
E.骨盆整体片应完全包括骨盆诸骨
256、单项选择题
男,38岁,口干,多饮多尿消瘦2月,结合图像,最可能的诊断为()

A.正常表现
B.胃憩室
C.胃溃疡
D.胃窦炎
E.胃癌
257、单项选择题 尾骨是由几块椎骨组成()
A.3块
B.4块
C.5块
D.6块
E.4节退化椎骨融合成1块
258、单项选择题 X线的产生,下述哪项不正确()
A.需要有自由电子群
B.电子群高速由阴极向阳极行进
C.绝大部分(99%以上)动能转变为X线
D.高速电子流突然受到阻挡
E.同时产生了大量的热能
259、单项选择题 下述关于“巨细胞瘤”和“动脉瘤样骨囊肿”描述中正确的是()
A.腰椎受累,常为巨细胞瘤
B.两者放疗效果均较差
C.动脉瘤样骨囊肿,只见于生长期骨骼
D.巨细胞瘤,既见于生长期也见于成熟期骨骼
E.骨骺板对动脉瘤样骨囊肿有限制作用
260、单项选择题 关于头颅摄片的叙述,错误的是()
A.头颅后前正位,中心线向足侧倾斜23°经眉间射入
B.头颅后前正位,中心线垂直经眉间射入
C.头颅侧位,中心线垂直蝶鞍处射入
D.蝶鞍体表定位于外耳孔前3cm,再向上2.5cm处
E.蝶鞍体表定位于听眦线中,后1/3交点处
261、多项选择题 观察气液平面或腹腔内游离气体可采用()
A.腹部仰卧前后位
B.腹部仰卧水平侧位
C.腹部站立前后位
D.部俯卧后前位
E.腹部左侧卧后前位
262、单项选择题 骨瘤Gardner综合征包括()
A.骨瘤、软组织肿瘤、结肠憩室
B.骨样骨瘤、软组织肿瘤、结肠息肉
C.骨样骨瘤、软组织肿瘤、结肠憩室
D.骨瘤、软组织肿瘤、结肠息肉
E.骨纤维异常增殖症、软组织肿瘤、结肠息肉
263、多项选择题 右下叶支气管的分支包括()
A.内基底支
B.前基底支
C.外基底支
D.后基底支
E.背支
264、单项选择题 颈椎左前斜位摄片,观察的是()
A.右侧椎间孔
B.左侧椎间孔
C.近片侧椎弓峡部
D.远片侧椎弓峡部
E.以上都能观察
265、单项选择题
男,22岁,膝部酸痛、肿胀,结合图像,最可能的诊断是()
A.纤维性骨皮质缺损
B.嗜酸性肉芽肿
C.非骨化性纤维瘤
D.软骨黏液样纤维瘤
E.骨样骨瘤
266、多项选择题 有关冠状面的叙述,错误的是()
A.冠状面与地面平行
B.冠状面与矢状面垂直
C.冠状面将人体左右等分
D.冠状面与横断面垂直
E.冠状面将人体前后等分
267、单项选择题 用胸片估计胸腔积液量,下列描述哪项不对()
A.微量积液:后肋膈角略钝
B.少量积液:液面低于第三前肋下缘
C.中量积液:液面低于第二前肋下缘
D.大量积液:液面超过第二前肋下缘
E.中量积液液面大于第四前肋上缘
268、单项选择题
男,18岁,右髋关节肿胀,疼痛1月余,经抗感染治疗,疗效不佳,结合图像,最可能的诊断是()
A.右髋关节软骨肉瘤
B.右髋关节滑膜肉瘤
C.右髋关节纤维肉瘤
D.右髋关节化脓性关节炎
E.以上均不是
269、单项选择题 关于肺泡蛋白沉积症的诊断,下述哪项最有价值()
A.血尿和脓尿
B.Kveim试验阳性
C.ACE升高
D.糖原PAS染色阳性
E.尿钙升高
270、单项选择题 对影像半影模糊的控制阈值为()
A.0.05mm
B.0.20mm
C.0.25mm
D.1.0mm
E.1.5mm
271、多项选择题 属于腹膜间位器官的有哪些()
A.盲肠
B.升结肠
C.降结肠
D.横结肠
E.乙状结肠
272、单项选择题 关于心脏和大血管的摄片检查,错误的是()
A.能了解心内变化
B.资料能保存供复查时参考
C.可作会诊使用,可供仔细观察与测量
D.可以初步观察心脏形态,估计各房室大小和肺循环异常的类型
E.不能了解动态变化和测算血流动力学情况
273、单项选择题 某患者右髋痛1个月,需进行髋关节摄影检查。 检查小儿髋关节脱位、复位情况的体位是()
A.髋关节前后位
B.髋关节侧位
C.髋关节侧斜位
D.髋关节蛙式位
E.髋关节后前斜位
274、单项选择题 创伤性心包出血()
A.X线胸片呈肺野磨玻璃样变或面纱征
B.X线胸片呈多发边缘锐利、密度均匀高密度影
C.X线胸片呈一侧胸腔一片致密均匀阴影,纵隔向健侧移位
D.X线胸片呈纵隔气肿,大量气胸
E.X线胸片呈心影明显增大,心脏各弧消失
275、单项选择题
男,28岁,轻咳2个月,有盗汗。胸片如图

A.过敏性肺炎
B.嗜酸性肉芽肿
C.支气管扩张
D.肺隔离症
E.肺结核
276、多项选择题 黏多糖贮积症最常见的酸性黏多糖主要有3种,即()
A.硫酸类肝素
B.硫酸皮肤素
C.硫酸角质素
D.硫酸软骨素C
E.硫酸软骨素A
277、单项选择题 下述“转移性骨肿瘤”的描述错误的是()
A.骨髓转移以红骨髓居多
B.常为多发转移
C.偶可呈弥漫性骨硬化改变
D.无骨膜反应和软组织肿块
E.髂骨转移多见
278、单项选择题
男性,70岁。因呼吸困难,咳出泡沫样痰入院。胸部X线平片如下图。右中肺野斜行线状影(箭头)为()
A.KerleyA线
B.KerleyB线
C.KerleyC线
D.盘状肺不张
E.胸腔积液
279、单项选择题 肺源性心脏病主要表现是()
A.右心房增大
B.左心室增大
C.右心室肥大
D.右心房、右心室增大
E.左心房、右心室增大
280、单项选择题 某患者外伤,临床怀疑椎弓峡部断裂。 照片显示的是哪一侧的椎弓峡部()
A.左侧
B.右侧
C.靠近摄影台面侧
D.远离摄影台面侧
E.双侧
281、单项选择题 X线平片上可见部分骨小梁与压力方向一致,部分与张力方向一致者为()
A.股骨干
B.股骨近端
C.肱骨干
D.胫骨近端
E.髂骨
282、单项选择题 肝静脉汇入下腔静脉处为()
A.第一肝门
B.第二肝门
C.第三肝门
D.第四肝门
E.以上都不是
283、单项选择题 关于肾癌的影像学表现,下列描述不正确的是()
A.肾影局限性增大
B.IVP正常也不能完全除外本病
C.肾盂、肾盏移位
D.都有肾盂积水
E.肾盂内可有充盈缺损
284、单项选择题 可引起脑脊液鼻漏的骨折是()
A.颅前窝骨折
B.颅顶骨折
C.颅后窝骨折
D.颅中窝骨折
E.以上都是
285、单项选择题 下列正常X线平片表现,哪项不正确()
A.出生24小时后结肠内就可有气体
B.婴儿消化管内可有“气液面”
C.成人正常小肠管径应小于4cm
D.成人正常左半结肠管径应小于5cm
E.正常女性偶可见到“腹腔游离气体”
286、单项选择题
患者,女,46岁,胸闷气短1月,伴全身乏力,咳嗽,发热。胸片示:中上纵隔增宽,右缘呈波浪状改变。白细胞:8.5×109/L。
为明确诊断,进一步做哪项检查()
A.胸部增强CT扫描
B.血沉
C.食管钡餐造影
D.痰细胞学检查
E.胸部MRI检查
287、单项选择题 诊断左心房衰竭重要的X线征象是()
A.门静脉扩张
B.心房室均增大
C.肺淤血
D.肺泡性肺水肿
E.间质性肺水肿
288、单项选择题 提示骨折不愈合下列哪项是错误的()
A.骨折端膨大,密度增高,骨折面硬化
B.骨折端吸收,萎缩
C.骨皮质增厚,髓腔闭锁,骨折端有梭形软组织肿块
D.骨折面硬化,但无骨桥连接
E.骨折端因有血肿,软组织膨隆
289、单项选择题 股骨颈嵌入骨折的表述,错误的是()
A.老年人,特别是绝经后妇女多见
B.股骨颈嵌入型骨折占10%,属不稳定骨折
C.X线片上不易显示骨折线,易漏诊
D.可仅表现为部分骨小梁中断及重叠
E.骨折愈合时仅表现为骨折线模糊和骨小梁通过
290、多项选择题 X线质的表示方法主要有()
A.半价层
B.管电压
C.管电流
D.管电流量
E.阳极靶面物质原子序数
291、多项选择题 胸膜凹陷征多见于哪种病理类型的周围型肺癌()
A.腺癌
B.鳞状上皮癌
C.类癌
D.小细胞癌
E.细支气管肺泡癌
292、单项选择题
男,30岁,右膝关节酸胀,疼痛不适5个月,X线检查如图所示,最可能的诊断是()
A.骨巨细胞瘤
B.骨囊肿
C.骨血管瘤
D.动脉瘤样骨囊肿
E.以上均不正确
293、单项选择题 有关乳腺摄片配套设备的叙述,错误的是()
A.使用单页增感屏
B.只用后屏
C.高分辨率胶片
D.特制或自动压迫装置
E.铝质暗盒
294、单项选择题 右前斜位吞钡检查,食管前缘见不到的压迹是()
A.主动脉弓压迹
B.左主支气管压迹
C.肺动脉段压迹
D.左心房压迹
E.降主动脉压迹
295、单项选择题 下述哪种疾病仍把X线检查当作首选方法()
A.胃肠道肿瘤
B.颅脑外伤
C.四肢外伤
D.肺部肿瘤
E.泌尿系炎症
296、单项选择题 22岁,男性,在体检时发现胸骨左缘第3、4肋间隙有一响亮而尖锐的收缩期杂音,上胸壁有震颤,但无杂音传导,X线检查时可见:左室轻度扩大,结合上述病史最可能的诊断是()
A.动脉导管未闭
B.法洛四联征
C.主动脉缩窄
D.室间隔缺损(Roger病)
E.以上都不是
297、单项选择题 下列哪项不是佝偻病的X线征象()
A.骺板先期钙化带不规则变薄、模糊
B.干骺端增宽,中央部凹陷呈杯口状
C.干骺端骨小梁稀疏、粗糙、紊乱呈毛刷状
D.骺板先期钙化带向两旁突出于干骺端之外,形成骨刺样改变即骨刺征(Pelkan征)
E.骨骺骨化中心出现延迟、密度低、边缘模糊
298、单项选择题 继发性肺结核以渗出浸润为主型的X线表现,下列哪项不正确()
A.散在或较广泛的支气管播散灶
B.肺门淋巴结常增大
C.可见薄壁、张力和纤维空洞
D.病灶为斑片状或云絮状
E.病多位于两肺锁骨上、下区域
299、单项选择题 下述关于“非骨化性纤维瘤”的描述,错误的是()
A.5~20岁多见
B.多位于股骨、胫骨干骺端
C.卵圆形、多囊样密度减低区
D.无硬化缘
E.无骨膜反应和软组织肿块
300、单项选择题 跖骨头骨骺缺血坏死好发部位是()
A.第一跖骨头
B.第二跖骨头
C.第三跖骨头
D.第四跖骨头
E.第五跖骨头