时间:2025-03-29 13:11:58


1、单项选择题 下述哪种恶性肿瘤的肺转移可以出现钙化()
A.肝癌
B.乳腺癌
C.成骨肉瘤
D.肾癌
E.黑色素瘤
2、单项选择题 食管异物最易发生的部位()
A.食管中段
B.食管生理狭窄处,以食管入口处最多见
C.食管下端壶腹部
D.易存留于主动脉弓压迹之下方
E.以上都不正确
3、问答题 慢性肺炎的X线表现有哪些?
4、判断题 华氏位蝶骨大翼正常时,边缘骨皮质致密均匀,而蝶骨小翼的边缘骨质菲薄,显影较淡。
5、单项选择题 乳腺单发性肿块表面不光滑应首先考虑()
A.乳腺纤维腺瘤
B.乳腺癌
C.急性乳腺炎
D.乳腺囊性增生病
E.以上都不对
6、填空题 结肠癌依其大体病理分型为________、________和_________。
7、填空题 肾先天性发育异常应包括__________、___________、____________、___________和____________。
8、多项选择题 哪些是慢性胃溃疡恶变的征象()
A.龛影周围出现小结节状充盈缺损,犹如指压迹
B.龛影周围粘膜皱襞呈杵状增粗或中断
C.龛影变为不规则或边缘出现尖角征
D.治疗过程中龛影逐渐增大
E.龛影周围粘膜纠集,呈辐射状
9、单项选择题 下述哪项不符合胸膜结核瘤的影像特点()
A.多位于外侧胸壁、前胸壁或后胸壁
B.可为扁平丘状、半圆形或不规则形态
C.多数为2~5cm大小
D.肿块密度均匀一致
E.多有同侧胸膜炎病史
10、问答题 晚发先天性骨梅毒的X线表现有哪些?
11、单项选择题 乳腺腺体呈不均匀性大片致密影,边缘模糊,脂肪的带状透亮线变窄或消失,下列哪项为该乳腺的特征()
A.少女乳腺
B.青春型乳腺
C.哺乳期乳腺
D.月经期乳腺
E.绝经期乳腺
12、单项选择题 延迟愈合或不愈合少见于()
A.股骨颈
B.胫骨上1/3
C.胫骨下1/3
D.舟骨
E.距骨
13、判断题 慢性球部溃疡多数可以见到典型的龛影征象。
14、单项选择题 前纵隔最常见的肿瘤是()
A.胸腺瘤
B.畸胎瘤
C.胸内甲状腺肿
D.淋巴管瘤
E.支气管囊肿
15、单项选择题 慢性支气管炎早期X线表现为()
A.肺纹理改变
B.肺气肿征象
C.肺动脉高压征象
D.肺部炎症
E.气管剑鞘状改变
16、单项选择题
男,9岁,脸色苍白5月。上腹部不规则疼痛。大便潜血(+),血红蛋白61g/L,结合图像,最可能的诊断为()

A.正常表现
B.胃窦炎
C.球部溃疡
D.十二指肠球炎
E.球后溃疡
17、单项选择题 X线表现为粗大树枝样阴影,尖端指向肺门,应考虑()
A.肺气肿
B.肺不张
C.黏液嵌塞征
D.阻塞性肺炎
E.肺门区及纵隔肿块
18、单项选择题 关于肺内空洞性球形病灶最常见于()
A.肺癌
B.转移性肿瘤
C.良性肿瘤
D.结核球
E.炎性假瘤
19、多项选择题 影响锐利度的因素的叙述,正确的是()
A.对比度与锐利度无直接影响
B.对比度会影响锐利度
C.钡的流动性大,锐利度不好
D.锐利度与胶片感光度有关
E.荧光体颗粒的多焦照射不影响锐利度
20、单项选择题 下列尤文肉瘤的X线表现中,哪项不符合()
A.骨干中心型病灶位于骨干中段髓腔内,呈弥漫性骨质疏松及斑点状、虫蚀样破坏
B.骨干周围型其皮质外缘常呈蝶形破坏,肿瘤多呈卵圆形或分叶状向外扩展
C.干骺中心型位于干骺端中央,骨质破坏与骨质硬化同时出现
D.发生于骨外者表现为大小不等的软组织肿块,边界不清
E.干骺周围型位于干骺端边缘,多呈膨胀性骨破坏
21、填空题 心包囊肿囊肿壁菲薄透明,外壁为______________,内壁为_______________,内含_________或__________液体。
22、判断题 痛风患者关节间隙变窄,仅见于晚期严重病例才可变窄。
23、多项选择题 关于对比剂的叙述,正确的是()
A.对比剂与造影剂不同
B.分为阴性及阳性两类
C.阳性对比剂不易被X线透过
D.阴性对比剂易被X线透过
E.碘剂和钡剂均为有机碘化物
24、单项选择题 前后位的英文缩写是()
A.A→P
B.D→V
C.V→D
D.RAO
E.RPO
25、单项选择题 下列正常肺门解剖的描述,错误的是()
A.气管分叉位于右肺动脉背侧
B.左主支气管比右主支气管长
C.多数右肺静脉位于右肺动脉腹侧
D.右肺门通常比左肺门高1cm
E.上腔静脉越过右肺动脉腹侧
26、单项选择题 急腹症按病变性质分类,不包括()
A.脏器扭转性
B.肿瘤性
C.穿孔性
D.炎症性
E.损伤性
27、单项选择题
男,12岁,右前臂外伤后入院。结合图像,正确的诊断是()
A.Colles骨折
B.孟氏骨折
C.青枝骨折
D.Smith骨折
E.桡骨小头脱位
28、单项选择题 乳腺钼靶常规摄影位置为()
A.轴位+斜位
B.轴位+侧位
C.侧位+斜位
D.轴位+放大摄影
E.侧位+放大摄影
29、判断题 肺动脉段的隆凸,均是右心室流出道增大所引起。
30、单项选择题 X线照片密度影响因素的叙述,错误的是()
A.感光效应与管电压的n次方成正比例
B.感光效应与焦-片距的平方成反比
C.正确选择屏-片匹配
D.密度随被照体的厚度增大而增高
E.密度与显影加工条件有关
31、单项选择题
男,56岁,胸骨后不适3月,吞咽时异物感,如图,最可能的诊断是()

A.食管炎
B.食管癌
C.贲门癌
D.胃癌
E.食管下段溃疡
32、单项选择题 X线胶片中感光物质是下列哪组()
A.溴化银
B.氯化银
C.溴化银+碘化银
D.碘化银
E.氟化银
33、单项选择题 关于常规手后前位摄片的叙述,错误的是()
A.患者侧坐于摄片床旁
B.暗盒平放于摄片床上
C.被检手掌面向下
D.五指伸直略分开
E.中心线向近端倾斜10°
34、多项选择题 X线检查中对被检者防护,应采取的措施()
A.提高国民对放射防护的知识水平
B.正确选用X线检查的适应证
C.做好非检查部位的屏蔽防护
D.采用恰当的X线质
E.严格控制照射量
35、多项选择题 关于专用X线机的叙述,正确的是()
A.胃肠专用机多配用增强电视系统
B.乳腺机的仟伏调节范围一般30~40kV
C.床边专用机也采用逆变式高压发生器
D.C形臂导管床用于心血管专用机
E.牙科机即口腔全景摄片机
36、多项选择题 二尖瓣狭窄或(和)关闭不全时,胸片可见到的表现有()
A.肺内无结节状影
B.肺内含铁血黄素沉着
C.间隔线
D.上肺静脉增粗,下肺静脉变细
E.肺动脉段凹陷
37、填空题 椎间盘突出应与_______________________、_______________、________和________________作鉴别诊断。
38、单项选择题 有关杜纳(Turner)综合征的X线表现中,哪项错误()
A.掌骨征阳性
B.腕骨角增大
C.胫骨内髁关节面变平面下陷
D.脊柱侧弯后突,腰椎呈方形
E.骨骺发育正常,与骨干联合延迟
39、配伍题 食管上段为()食管中段为()食管下段为()
A.内层环行肌
B.外层纵行肌
C.平滑肌
D.横纹肌
E.横纹肌与平滑肌混合
40、单项选择题 非放射专业学生教学期间,有效剂量当量不得大于()
A.0.2mSv/年
B.0.3mSv/年
C.0.5mSv/年
D.1.0mSv/年
E.1.5mSv/年
41、单项选择题
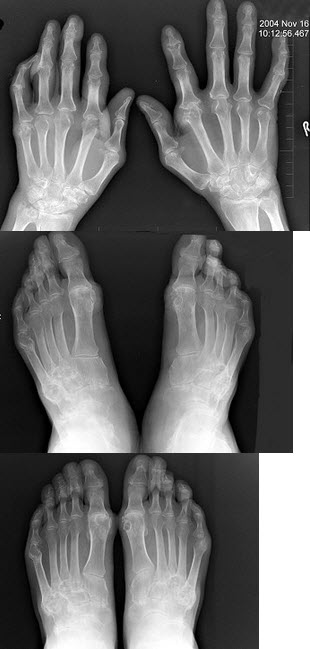
男,72岁,手足小关节红肿热痛,白细胞升高,血沉快,血尿酸升高,结合图像,最可能诊断是()
A.类风湿关节炎
B.退行性骨关节病
C.痛风性关节炎
D.假痛风
E.滑膜炎
42、单项选择题 易与胰头肿块混淆的是()
A.门腔淋巴结
B.右肾上腺
C.右侧膈肌脚
D.十二指肠
E.胃幽门管
43、单项选择题
男,24岁,低热2周,咳少量痰。胸片示右上肺不均密度增高影,其中有空洞形成,血沉45mm/h。
最可能的诊断是()
A.右上肺炎
B.右上肺结核
C.右上肺癌
D.右上肺囊肿
E.右上肺脓肿
44、判断题 脑回压迹增多是儿童颅内压增高的主要X线征象。
45、判断题 低张力胃、十二指肠气钡双重造影可显示胃小区、胃小沟。
46、问答题 肺心病有何X线征象?
47、单项选择题 畸胎类肿瘤的好发部位是()
A.前纵隔中下部,心脏与升主动脉交界处
B.前纵隔中部紧贴心底
C.前纵隔下部心膈角区
D.中纵隔上部气管旁
E.中纵隔肺门区
48、多项选择题 下列摄片用语,错误的是()
A.中心线向肢侧倾斜
B.中心线向手侧倾斜
C.中心线向足侧倾斜
D.中心线向头侧倾斜
E.中心线向地面倾斜
49、单项选择题 下列关于上肢摄影的注意事项中,错误的是()
A.至少包括一个关节
B.幼儿骨关节应摄取双侧
C.必须使用滤线设备
D.焦-片距一般为75~100cm
E.注意X线防护
50、判断题 早期棉尘肺患者胸片即表现为慢性支气管炎征象。
51、单项选择题 下列关于“腕角”、“腕征”不正确的是()
A.“腕角”正常值为131.5°
B.“腕征”阳性,腕角<117°
C.“腕征”阳性,腕角<145°
D.Turner综合征时,“腕征”阳性
E.腕角:舟骨、月骨切线与三角骨、月骨切线夹角
52、配伍题 位于乙状结肠直肠连接部的是()位于降结肠乙状结肠交界处的是()位于脾曲的是()
A.Payr~Strauss括约肌
B.Cannm括约肌
C.Bakki括约肌
D.Rossi括约肌
E.Mouttier括约肌
53、单项选择题 观察左心房收缩期扩张度,最佳体位是()
A.右后斜位
B.左前斜位
C.右前斜位
D.左侧位
E.右侧位
54、填空题 骨折断端移位有以下6种情况,即________、_________、_________、__________、_______和__________。
55、单项选择题
女,50岁,胃体贲门癌术后3月余,自诉进食有梗阻感,结合图像,最可能的诊断为()

A.吻合口通畅
B.吻合口狭窄
C.吻合口溃疡
D.吻合口充盈缺损
E.吻合口穿孔
56、单项选择题 真菌球多见于哪种肺真菌病()
A.肺隐球菌病
B.肺念珠菌病
C.肺奴卡菌病
D.肺放线菌病
E.肺曲菌病
57、单项选择题 关于“骨与骨化中心”,下列描述哪项错误()
A.左右两侧骨化中心出现的时间、数目、顺序一致
B.女性骨化中心出现、愈合时间比男性早1~3年
C.骨龄受内分泌、代谢和发育方面疾病影响
D.仅靠腕骨骨龄估计小儿发育,可靠性有限
E.1岁内儿童,足部、膝部骨龄准确性最高
58、单项选择题 透视发现右前上纵隔有一椭圆形块影,其中有斑点状致密影,可随吞咽动作向上运动,首先应考虑()
A.恶性淋巴瘤
B.胸腺瘤
C.畸胎瘤
D.支气管囊肿
E.甲状腺瘤
59、问答题 儿童骨折有哪些X线特点?
60、单项选择题 下列关于肠结核X线征象,错误的是()
A.盲肠缩窄、收缩及变形
B.回肠末端受侵,粘膜破坏
C.回肠病变近侧端可见钡剂滞留,肠管扩张
D.肠道运行正常
E.回盲部可见跳跃征
61、填空题 Judet分类法将髋臼骨折分为3型,即Ⅰ型为_____________;Ⅱ型为_____________;Ⅲ型为____________。
62、单项选择题 CR的调谐处理参数包括()
A.调谐类型(GT)
B.旋转量(GA)
C.旋转中心(GC)
D.谐调移动量(GS)
E.以上都是
63、单项选择题 下列骨骼中,属于扁骨的是()
A.椎骨
B.股骨
C.肩胛骨
D.上颌骨
E.指骨
64、多项选择题 常为一侧肾影增大的疾病()
A.肾静脉血栓
B.肾细胞癌
C.多囊肾
D.肾动脉狭窄症
E.肾硬变
65、单项选择题 静脉尿路造影第一张照片的摄影时间为()
A.对比剂注射完毕后约3分钟
B.对比剂注射完毕后约7分钟
C.对比剂注射完毕后约10分钟
D.对比剂注射完毕后约15分钟
E.对比剂注射完毕后约20分钟
66、单项选择题 老年患者,呼吸困难,胸痛,上腹部不适,呕吐。X线胸片示:左侧膈肌明显升高至第3~4前肋水平,心脏向右移位,透视膈肌有矛盾运动,最可能的诊断是()
A.膈疝
B.肺下积液
C.膈膨升
D.肺不张
E.膈下脓肿
67、多项选择题 食管裂孔疝直接X线征象为()
A.A环
B.B环
C.隔上出现疝囊
D.食管环形狭窄
E.环形征
68、单项选择题 关于灯丝变压器的叙述,错误的是()
A.降压变压器
B.初级电流小,次级电流大
C.初级线数多,次级线数少
D.初级线径小,次级线径大
E.绝缘要求和普通变压器相同
69、单项选择题 CR系统影像信息具有的动态范围是()
A.1:10
B.1:100
C.1:1000
D.1:10000
E.1:100000
70、单项选择题 下列关于“脊柱结核”描述中,哪项错误()
A.颈椎,后突最少见
B.侧弯,多见于腰椎
C.韧带下型,曲度变化小
D.胸椎,后突最少见
E.椎体嵌入,腰椎最常见
71、单项选择题 先天性骨梅毒的特征表现为()
A.军刀腿
B.Charcot关节
C.Wasp-Waist征
D.长骨广泛型增生、硬化,髓腔消失
E.骨膜下、皮层内局限性骨质破坏
72、单项选择题 以下“解剖结构-最佳显示体位”组合中,哪项不正确()
A.内听道:首选斯氏位
B.眶下缘、泪囊:首选瓦氏位
C.枕骨大孔:首选汤氏位
D.中耳:首选伦氏位
E.视神经孔:首选瑞氏位
73、问答题 气管支气管内阴性异物常有哪些X线表现?
74、名词解释 结肠袋
75、单项选择题 关于间质性肺炎,下列影像哪项不对()
A.肺纹理增多,边缘模糊
B.网状、小点状影
C.可有弥漫性肺气肿
D.可有肺不张
E.特征性“八”字阴影
76、单项选择题 动脉导管未闭与其他左向右分流的先心病具有鉴别意义X线征象是()
A.左心室增大
B.左心房增大
C.主动脉弓增宽
D.右心室增大
E.肺血增多
77、单项选择题 Goodpasture综合征是()
A.植入性非肾性抗原引起的肾小球肾炎
B.循环免疫复合物性肾小球肾炎
C.IgA肾病
D.脂性肾病
E.肺出血-肾炎综合征
78、单项选择题 有关髋关节前后位摄影的叙述,正确的是()
A.双足内收20°
B.双足外旋20°
C.双足尖垂直向上
D.双下肢稍外展,足尖内旋并拢
E.双足跟并拢,足尖自然外旋
79、单项选择题
男,45岁,车祸后左膝部剧痛,活动受限2小时,结合影像学检查,最可能的诊断是()
A.股骨颈骨折
B.股骨下端骨折
C.柯莱斯骨折
D.胫骨骨折
E.腓骨骨折
80、多项选择题 哪些是肝癌肝动脉造影时的表现()
A.肿瘤供血的肝动脉扩张
B.肿瘤湖征
C.肝血管受压拉直、移位或被肿瘤包绕
D.肿瘤内显示异常瘤血管
E.动静脉瘤
81、单项选择题
女,3岁,身高不增,智力正常,结合图像,最可能的诊断是()
A.维生素D缺乏症
B.肾性骨病
C.黏多糖贮积症IV型
D.黏多糖贮积症I型
E.MPSII型
82、单项选择题
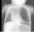
女,6月余,呼吸窘迫,左肺呼吸音弱、偶可闻及哮鸣音,结合图像,最可能的诊断()

A.先天性肺气肿
B.细支气管肺炎
C.胸腔积液
D.先天性囊性腺瘤样畸形
E.支气管囊肿
83、单项选择题 下列关于“Albright综合征”描述中,哪项错误()
A.多骨受累
B.骨干变形
C.毛玻璃样密度,偶有钙化
D.平片可见到囊样透亮区
E.少数可恶变
84、单项选择题 下列哪一个不是骨纤维结构不良的特点()
A.病变区之间骨皮质异常,可见骨膜反应及骨质疏松
B.四肢长骨呈磨玻璃样改变
C.指骨细腰消失呈腊肠状外观
D.骨干以囊状膨胀表现为主
E.病变呈囊状透亮区
85、单项选择题 支气管扩张的正确表现为()
A.后天病因有肺炎、慢性支气管炎
B.看不到气液平面
C.有支气管扩张的肺叶膨胀
D.可发生于各个肺叶,但上叶最多见
E.可有囊状扩张、柱状扩张
86、单项选择题 退行性骨关节病中软骨被侵蚀破坏,在X线片上表现为()
A.骨端硬化
B.关节间隙变窄、消失
C.关节变形及排列不良
D.关节内骨性游离体形成
E.边缘性骨赘形成
87、单项选择题 属静脉肾盂造影禁忌证的是()
A.肾盂结石
B.膀胱结石
C.尿道狭窄
D.肾动脉狭窄
E.严重血尿
88、单项选择题 下列关于“胃窦炎”描述,错误的是()
A.胃窦粘膜粗大
B.粘膜皱襞斜行、横行或交叉排列紊乱
C.肩胛征
D.胃窦张力增高
E.充盈像时,胃窦轮廓呈细齿状
89、多项选择题 有关胃肠道粘膜的说法中,哪些正确()
A.空肠粘膜皱襞常显示为羽毛状影像
B.十二指肠球部粘膜皱襞为纵向、彼此平行的条纹
C.胃粘膜皱襞呈条纹状影
D.食管粘膜皱襞为纤细条纹状阴影
E.大肠粘膜皱襞为纵、横、斜3种方向交划结合的纹理
90、单项选择题 前列腺癌常发生骨转移,其表现为()
A.成骨型、溶骨型
B.混合型
C.混合型、溶骨型
D.成骨型、混合型
E.成骨型、溶骨型、混合型,以成骨型多见
91、单项选择题 甲状旁腺功能亢进的骨骼改变主要表现是()
A.骨膜下骨质吸收
B.骨质密度普遍减低
C.骨内囊状透光区
D.骨骼变形和病理性骨折
E.软组织异位钙化灶
92、多项选择题 急性腹膜炎的X线表现有()
A.小肠、大肠充气和淤张
B.腹脂线增宽、密度增高或消失
C.肠壁增厚与肠管活动受限
D.腹肌松弛
E.腹腔积液
93、单项选择题
女,41岁,纺织工,腕部疼痛无力数周,结合CR和MR,最可能的诊断是()
A.月骨结核
B.月骨缺血坏死
C.骨质疏松
D.骨髓炎
E.骨软骨炎
94、单项选择题 有关乳房摄片加压的叙述,错误的是()
A.使乳房扁平,厚度均匀
B.使乳房面积增大,病灶检出效率高
C.乳房组织越薄,照片清晰度越高
D.肿块较大时,应加大压力,以提高照片清晰度
E.乳房、胶片、增感屏三者紧贴,减小几何模糊
95、单项选择题 下列横膈影像,哪项为异常表现()
A.龟背征
B.表面光滑,可呈波浪状
C.前肋膈角比后肋膈角高
D.前心膈角多为钝角
E.成人,右膈顶常比左膈略高
96、单项选择题
患者,女,46岁,胸闷气短1月,伴全身乏力,咳嗽,发热。胸片示:中上纵隔增宽,右缘呈波浪状改变。白细胞:8.5×10/L。
为明确诊断,进一步做哪项检查()
A.胸部增强CT扫描
B.血沉
C.食管钡餐造影
D.痰细胞学检查
E.胸部MRI检查
97、单项选择题 直肠癌的首选影像学检查方法是()
A.钡餐检查
B.钡灌肠造影
C.B超
D.CT
E.结肠镜
98、单项选择题 腕部外伤,临床上有腕鼻烟窝部压痛及肿胀应考虑()
A.月骨骨折
B.舟状骨骨折
C.三角骨骨折
D.大多骨骨折
E.桡骨远端骨折
99、单项选择题 脐上3cm与哪个椎体同一平面()
A.第12胸椎
B.第1腰椎
C.第2腰椎
D.第3腰椎
E.第4腰椎
100、单项选择题 常用的子宫输卵管造影的对比剂是()
A.40%碘化油
B.70%泛影葡胺
C.20%碘化油
D.50%泛影葡胺
E.以上均不是
101、单项选择题 “急性化脓性骨髓炎”影像中,哪项错误()
A.平行型骨膜反应
B.长条状死骨
C.2周内骨质无异常
D.广泛软组织肿胀
E.斑片状、大片状骨质破坏
102、单项选择题
男,28岁,摔伤后肩部疼痛,活动受限,结合影像学表现,最可能的诊断是()
A.柯莱斯骨折
B.肱骨头骨折
C.肱骨外科颈骨折
D.加莱阿齐骨折
E.蒙泰贾骨折
103、单项选择题 急症腹部平片摄片注意事项的叙述,错误的是()
A.摄片前必须清洁肠腔
B.使用滤线栅
C.FFD为100cm
D.常采用呼气后屏气曝光
E.胶片应竖用
104、名词解释 肺栓塞
105、名词解释 Bergman征
106、单项选择题 下列哪种不是左向右分流的先天性心脏病()
A.房间隔缺损
B.心内膜垫缺损
C.动脉导管未闭
D.室间隔缺损
E.法洛四联征
107、多项选择题 下列属于X线管的固有滤过部分的是()
A.靶面
B.灯丝
C.玻璃壳
D.绝缘油
E.X线窗口
108、单项选择题
如图所示,左侧胸部病变,最可能的诊断为()

A.包裹性积液
B.恶性胸膜间皮瘤
C.左下肺脓肿
D.左下肺癌
E.左侧胸腔积液
109、单项选择题 诊断左心房衰竭重要的X线征象是()
A.门静脉扩张
B.心房室均增大
C.肺淤血
D.肺泡性肺水肿
E.间质性肺水肿
110、判断题 头颅平片为诊断颅骨损伤的有效方法,所以,颅脑外伤患者不论其病情轻重,应首先摄头颅平片。
111、单项选择题 X线自左前经右后达胶片称()
A.右前斜位
B.左前斜位
C.左后斜位
D.右后斜位
E.侧位
112、单项选择题 喉肉芽肿的早期X线表现为()
A.喉腔狭窄
B.喉内结构不规则增厚
C.喉内结构弥漫肿胀、增厚
D.会厌破坏缺损
E.喉内结构粘连变形
113、单项选择题 脊椎骨折预后可能比较严重的是()
A.棘突骨折
B.椎体压缩骨折,骨性椎管完整
C.骨折片进入椎管内
D.横突骨折
E.单纯上关节突骨折
114、单项选择题 垂柳征最常见于()
A.肺炎
B.慢性纤维空洞型肺结核
C.肺癌
D.肺脓肿
E.结节病
115、多项选择题 用呼气相X线片诊断有重要价值的疾病是()
A.支气管异物
B.肺气肿
C.肺炎
D.细支气管炎
E.胸膜炎
116、单项选择题
女,73岁,吞咽困难2月。体检:咽充血,滤泡增生,最可能的诊断为()

A.会厌征(+)
B.会厌征(-)
C.食管癌
D.食管静脉曲张
E.食管憩室
117、问答题 肺包虫病的X线表现有哪些?
118、单项选择题 下述先天性肺囊肿知识,错误的是()
A.单发囊肿多为液性囊肿
B.可有气液面
C.孤立性囊肿多位于下叶
D.多发性囊肿多为气囊肿
E.常为不均匀厚度的厚壁空腔
119、单项选择题 类风湿性关节炎的晚期表现为()
A.关节变形
B.边缘性骨侵蚀
C.关节间隙变窄或骨性强直
D.关节脱位或半脱位
E.以上都是
120、单项选择题 按骨折的好发部位可将上颌骨骨折分为三型,其中的Ⅲ型,骨折线不能穿过()
A.鼻嵴
B.翼突基底部
C.上颌窦底部
D.颧骨上部
E.眼眶内外壁
121、名词解释 镜面右位心
122、填空题 骨嗜酸性肉芽肿应与____________、__________和__________等疾病鉴别诊断。
123、单项选择题 关于X线照片质量客观评价方法的叙述,错误的是()
A.MTF——调制传递函数
B.LSF——点扩散函数
C.WS——维纳频谱
D.ACF——自相关函数
E.DQE——量子检出效率
124、单项选择题
男,7岁,外伤后突发呼吸困难伴胸痛,结合图像,最可能的诊断是()

A.胸腔积液
B.肺大泡
C.气胸
D.液气胸
E.肺脓肿
125、单项选择题 空回肠良性肿瘤中以哪些常见()
A.腺癌
B.畸胎瘤
C.纤维瘤
D.平滑肌瘤
E.神经源性肿瘤
126、单项选择题
女,50岁,血便10余年,加重1年(连续出血),近2月大便时肛门常滴鲜血,量较多,X线检查如图,最可能的诊断是()

A.直肠癌
B.直肠绒毛状腺瘤
C.直肠淋巴瘤
D.直肠转移癌
E.直肠结核
127、问答题 肾癌的X线表现有哪些?
128、填空题 葡萄球菌肺炎,过度膨胀的小叶破裂而融合较大的含气空腔,称_______,又称________,其壁由一层_________及一层___________所构成,外围为______________,此为该病的特征。
129、单项选择题 胸部摄片常规体位是()
A.站立位
B.仰卧位
C.俯卧位
D.坐位
E.侧卧位
130、单项选择题
女,年龄47岁,膝关节疼痛6月余,曾服用泼尼松(服用时间5个月),有骨性关节炎史,结合图像,最可能诊断是()
A.慢性化脓性骨髓炎
B.骨梗死
C.恶性骨肿瘤
D.内生软骨瘤
E.骨纤维结构不良
131、单项选择题 下列哪种征象提示为肺泡性肺水肿()
A.Kerley A线或B线
B.上肺静脉扩张
C.蝶状阴影
D.叶间胸膜肥厚
E.肺门阴影增大模糊
132、单项选择题 “钡餐检查”前,一般不需要()
A.了解病史,带上以往检查资料
B.清洁灌肠
C.不给予影响消化道功能的药物
D.检查前1周内不吃高密度食物、药物
E.禁食、禁水12小时
133、单项选择题 关于卡氏肺囊虫病,下列观点哪项不对()
A.双侧发病
B.胸膜炎
C.弥漫性支气管肺炎
D.抗生素治疗效果不佳
E.可有空洞
134、单项选择题 曲面体层摄影常用于检查()
A.颧骨
B.筛骨
C.颌骨
D.颞骨
E.蝶骨
135、名词解释 胆脂瘤
136、单项选择题 “应力性骨折”最好发的部位()
A.第一跖骨
B.第二跖骨
C.第四跖骨
D.第五跖骨
E.跟骨
137、单项选择题
7岁,男孩,跛行半年伴疼痛,行双髋关节摄片,如图所示,最佳的诊断是()
A.右髋关节结核
B.右股骨头骨软骨炎
C.右侧扁平髋
D.克丁病
E.右股骨头无菌性坏死
138、单项选择题
患者,12岁,跌倒时手掌撑地。查:肘关节半屈状,肘肿胀压痛,外突畸形,肘后三角存在,桡动脉搏动正常。
摄X线片后,最可能的诊断是()
A.肘关节脱位
B.伸直型肱骨髁上骨折
C.屈曲型肱骨髁上骨折
D.桡骨小头半脱位
E.尺骨鹰嘴骨折
139、单项选择题
男,11岁,左肘外伤,根据所示图像,最可能的诊断是()
A.左肱骨内上髁骨骺Ⅰ度分离
B.左肱骨内上髁骨骺Ⅱ度分离
C.左肱骨内上髁骨骺Ⅲ度分离
D.左肱骨内上髁骨骺Ⅳ度分离
E.左肱骨内上髁骨骺Ⅴ度分离
140、单项选择题
男,根据其正常骨盆影像图像,判断其最可能的年龄()
A.1岁左右
B.4岁左右
C.7岁左右
D.10岁左右
E.13岁左右
141、填空题 绞窄性肠梗阻的常见原因有哪些__________、_____________和_________。
142、单项选择题 放射工作条件在年有效剂量当量有可能超过15mSv/年时,定为()
A.乙种工作条件
B.丙种工作条件
C.戊种工作条件
D.甲种工作条件
E.丁种工作条件
143、判断题 肠梗阻的主要诊断依据是肠管充气扩张。
144、单项选择题 ⅣP的简称是()
A.腹部平片
B.逆行性肾盂造影
C.静脉性尿路造影
D.膀胱造影
E.尿道造影
145、单项选择题 为提高食管静脉曲张的检出率,应用下列哪种方法较好()
A.稠钡有利于病变的显示
B.多做吞咽动作
C.立位比卧位好,不需摄点片
D.少量稀钡,加用Alsava法或应用抗胆碱药物易于显示
E.以上都不是
146、填空题 支气管囊肿病理上其壁的结构与__________类似,囊壁还可以含______、________、___________、______________和__________。
147、单项选择题 不属于胸部摄片位置的是()
A.后前位
B.轴位
C.斜位
D.侧位
E.前弓位
148、单项选择题 下列病变多见于骨干的是()
A.骨囊肿
B.骨巨细胞瘤
C.尤文肉瘤
D.软骨肉瘤
E.以上都不是
149、名词解释 对位不良
150、单项选择题 胃扭转的X线表现是()
A.幽门高于十二指肠球部,胃呈蜷虾状
B.胃呈瀑布状
C.膈上见B环
D.大弯侧呈弧形压迹,胃向左移
E.葫芦状胃
151、问答题 十二指肠、小肠、结肠正常造影时X线表现如何?
152、单项选择题 下列除哪项外均为来自支气管表面上皮的癌()
A.鳞状上皮癌
B.腺癌
C.小细胞癌
D.鳞腺癌
E.大细胞癌
153、单项选择题 在胸部平片上,可见圆形或类圆形的孤立性结节影的是()
A.结节病
B.结核球
C.慢性支气管炎
D.肺泡蛋白沉积症
E.肺不张
154、单项选择题 下述“骨母细胞瘤”的描述,哪项错误()
A.脊柱最常见
B.发生于脊柱者,主要侵犯椎体
C.肿瘤膨胀性生长
D.分中心型、骨皮质型和骨膜型
E.血碱性磷酸酶可升高
155、单项选择题 下述ARDS影像,哪项不对()
A.7天以后:少数数病人可遗留肺纤维化
B.1天以内,多数患者胸片可无明显异常
C.1~3天:大片状融合影,内带分布
D.3~7天:两肺广泛大片影,可合并感染
E.1天以内:肺纹理增多、模糊,有斑片影
156、判断题 颅中窝中央后部为蝶骨和蝶窦,后接枕骨斜坡。
157、名词解释 穿透性溃疡
158、判断题 在吞钡之后,有钡剂残留在会厌谿及梨状隐窝处,把这种现象称为会厌征。
159、判断题 癫痫的大发作及小发作都是原发性癫痫。
160、单项选择题 下述骨骼疾病中,除哪种疾病外均可引起胸椎旁软组织肿胀()
A.胸椎结核
B.强直性脊柱炎
C.嗜酸性肉芽种
D.胸椎肿瘤
E.化脓性脊柱炎
161、单项选择题 乳突许氏位(Schuller’s)摄片,中心线应为()
A.向头侧倾斜15°
B.向足侧倾斜15°
C.向头侧倾斜25°
D.向足侧倾斜25°
E.垂直投射
162、单项选择题 下列可出现爆米花样钙化的是()
A.肺癌
B.结核球
C.矽肺
D.胸膜间皮瘤
E.错构瘤
163、多项选择题 退行性骨关节病中四肢大关节的X线表现是()
A.承重区变凹变扁
B.关节面下囊肿
C.非承重区骨质增生
D.关节腔有游离体
E.关节间隙变窄
164、单项选择题 关于胶片的叙述,错误的是()
A.晶体颗粒大,感光度高
B.晶体颗粒分布均匀,对比度高
C.晶体颗粒大小不一,宽容度高
D.晶体颗粒小,分辨率低
E.晶体颗粒小,涂层薄,清晰度好
165、单项选择题 左下叶肺不张的影像特征是()
A.右下三角征
B.横S征
C.心后三角征
D.薄饼征
E.彗星征
166、单项选择题
男,78岁,进食梗阻2月,结合图像,最可能的诊断为()

A.食管下段癌
B.贲门癌
C.贲门失弛缓
D.胃底癌
E.贲门癌侵及胃底小弯
167、判断题 肺实质是指肺的结缔组织所组成的支架和间隙。
168、单项选择题 观察小儿发育情况,需摄取()
A.腕关节正位
B.腕关节侧位
C.双腕关节斜位
D.双腕关节正位
E.双腕关节侧位
169、判断题 腰椎管矢状径<18mm,即为腰椎管狭窄。
170、判断题 颅锁骨发育不全为全身性骨发育障碍,属常染色体隐性遗传。
171、单项选择题 诊断肾下垂时,应做下述哪项检查()
A.腹部立位平片
B.腹部卧位平片
C.静脉肾盂造影后摄立位全尿路片
D.静脉肾盂造影片
E.逆行肾盂造影片
172、单项选择题 下列哪项因素与X线穿过均匀物质时无关()
A.物质的厚度
B.X线经过的距离
C.X线强度
D.物质的衰减系数
E.物质的面积
173、填空题 _______和_______是诊断乳腺瘤样病变和乳腺癌的主要检查手段。
174、单项选择题 二尖瓣狭窄的X线征象应是()
A.肺动脉段膨隆,肺充血,左心室增大
B.肺动脉段膨隆,肺淤血,左心室增大
C.肺动脉段凹陷,肺野清晰,右心室增大
D.肺动脉段平直,肺血管正常,心搏动减弱
E.肺动脉段膨隆,肺淤血,左心房增大,右心室增大
175、单项选择题 下列说法正确的是()
A.颈椎前凸线的弧距小于6mm为颈椎强直
B.颈椎侧位片上,第4、5颈椎椎体前部可稍变窄,轻度楔形变
C.颈左后斜位检查颈椎左侧椎间孔,颈椎右后斜位检查颈椎右侧椎间孔
D.颈椎侧位片上椎间隙宽度约为邻近椎体高度的1/3~1/2
E.正常情况下,第5椎间孔最小
176、多项选择题 下列肠套叠的X线表现中,正确的有哪些()
A.钡剂排出后附着于粘膜皱襞的钡剂显示为螺旋弹簧状
B.钡灌肠套叠头部呈充盈缺损
C.腹部造影与平片可见软组织块
D.肠套叠有不全肠梗阻或完全性梗阻的表现
E.空气灌肠检查时,套叠头部呈充盈缺损阴影
177、单项选择题 严重烧伤引起的骨损伤最主要的X线表现是()
A.肢体末端骨质坏死、炭化
B.骨质疏松
C.指(趾)骨骨膜炎
D.软组织钙化
E.骨生长发育异常
178、配伍题 石棉肺可见于()婴幼儿胸腺可见于()新生儿纵隔气肿可见于()
A.胸膜斑
B.液弧线
C.船帆征
D.三角帆征
E.胸膜皱缩征
179、多项选择题 硬化型骨髓炎的X线表现不包括()
A.骨质硬化增生
B.骨内膜增生
C.骨外膜增生
D.骨脓肿
E.死骨形成
180、多项选择题 下述溃疡性结肠炎晚期表现,正确的是()
A.结肠缩短
B.肠壁僵硬,蠕动消失
C.激惹征
D.骶前间隙变窄
E.“钮扣样”溃疡
181、多项选择题 头颅侧位摄片,不能显示()
A.内听道
B.颅内钙化
C.枕骨大孔
D.视神经孔
E.蝶鞍侧位形态
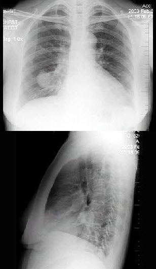
182、单项选择题
女,26岁,咳嗽发热1周,无胸痛胸闷,X线检查如图,最可能的诊断是()

A.右侧大叶性肺炎
B.右侧胸腔积液
C.右肺中叶综合征
D.右侧胸膜肥厚
E.右下肺不张
183、单项选择题
女,54岁,上腹部胀痛1月余,结合图像,最可能的诊断为()

A.正常胃
B.胃炎
C.胃窦炎
D.胃癌
E.胃溃疡
184、单项选择题 观察颈椎椎间孔,正确的摄片体位是()
A.正位
B.侧位
C.斜位
D.过屈位
E.颈椎侧位
185、单项选择题 类风湿肺病最常见的X线表现为()
A.胸膜增厚和胸腔积液
B.弥漫性肺间质纤维化
C.类风湿肺结节
D.两上肺纤维化合并空洞形成
E.肺动脉炎和肺动脉高压
186、单项选择题 下列关于支原体肺炎的描述,错误的是()
A.多分布于中、下肺野
B.发病2周后,血冷凝集反应阳性
C.可呈网状阴影
D.抗生素治疗有效
E.浅淡的斑片状阴影,一般不超过一个肺叶
187、单项选择题 胸片可见到乳头、乳房影,但不能显示乳房内肿块,其主要原因是下列哪项()
A.曝光时间不足
B.曝光条件过小
C.肿块形态缺乏特征性
D.肺部结构遮挡
E.肿块与邻近组织间缺乏天然对比
188、单项选择题 下述神经性关节病的X线表现中,哪项不正确()
A.最早的X线表现为关节囊肿胀,轻微半脱位
B.关节间隙逐渐变窄,骨性关节面硬化及侵蚀破坏
C.关节骨端碎裂,并被吸收,以持重骨多见
D.关节腔内出现大量积液和多数游离体
E.不会出现骨质疏松和骨膜反应
189、多项选择题 滤线栅平面中的一条标志线,表示()
A.向球管方向面
B.背球管方向面
C.铅条排列中心
D.铅条排列方向
E.铅条排列密度
190、判断题 腔内型食管癌累及范围较局限,管腔狭窄呈环状狭窄,其上方管腔扩张。
191、填空题 淋巴管瘤在镜下可分3型,即_______________、____________________和________________。
192、单项选择题 化脓性肺炎的X线特征性表现是()
A.蜂窝状薄壁透光区,有时伴有液平面
B.厚壁空洞,周围伴有炎性浸润
C.片状小病灶影
D.炎性浸润灶
E.脓气胸
193、名词解释 轨道征
194、多项选择题 压力整复脱套成功的标准中,哪些是正确的()
A.钡剂或空气进入小肠里
B.盲肠充盈良好
C.疼痛消失,患者安稳有时可渐入睡
D.腹胀减低,腹部包块消失
E.血便消失
195、单项选择题
女,56岁,无任何不适,结合图像,最可能的诊断是()
A.骨结核
B.骨斑症
C.正常骨岛
D.骨脓肿
E.骨囊肿
196、填空题 眼眶异物按异物吸收X线程度可分为__________、___________和_________。
197、单项选择题 对梅毒性心脏病的定性诊断最有价值的是()
A.升主动脉壁的线状钙化
B.主动脉瘤呈线状或弧形钙化
C.主动脉弓部中度扩张
D.左心室增大
E.动脉瘤外形为局限性囊状或梭状阴影
198、多项选择题 X线管按管壳的材料分类有()
A.固定阳极X线管
B.玻璃壳X线管
C.金属X线管
D.陶瓷绝缘X线管
E.旋转阳极X线管
199、问答题 急性粟粒型肺结核的X线特点是什么?
200、单项选择题
男,65岁,胸痛,胸片检查如图,下列诊断中最可能的是()

A.右肺胸膜肥厚
B.右肺不张
C.右侧胸腔积液
D.右肺炎症
E.以上都不对
201、单项选择题 下述肺血减少的X线影像,可不出现的是()
A.肺纹理纤细、减少
B.肺门搏动减弱
C.肺门影缩小
D.肺透亮度增加
E.心腰凹陷
202、单项选择题 关于强直性脊柱炎早期X线征象中,下列错误的是()
A.椎体上、下缘限局性骨质破坏
B.椎体前缘骨质硬化,出现方椎
C.椎旁韧带骨化
D.脊柱骨质疏松
E.关节骨性强直
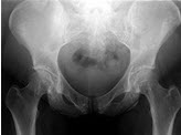
203、单项选择题
男,根据其正常骨盆影像图像,判断其最可能的年龄()
A.68岁左右
B.58岁左右
C.18岁左右
D.48岁左右
E.28岁左右
204、单项选择题 骨肉瘤主要转移途径为()
A.消化道转移
B.淋巴结转移
C.跳跃性转移
D.种植播散
E.血行转移
205、单项选择题 下列哪种肿瘤通常在肺部发生转移之后才被诊断,在X线上表现为多发性、无钙化,边缘整齐的圆形病灶()
A.前列腺癌
B.恶性甲状腺肿
C.绒毛膜上皮癌
D.成骨肉瘤
E.乳癌
206、单项选择题 病人在出现明显症状以前,X线片就能显示转移的是()
A.鼻咽癌
B.乳腺癌
C.肾癌
D.前列腺癌
E.胃癌
207、单项选择题 头颅侧位摄片,中心线经()
A.外耳孔前上各0.5cm处
B.外耳孔前上各1.0cm处
C.外耳孔前上各1.5cm处
D.外耳孔前上各2.0cm处
E.外耳孔前上各2.5cm处
208、多项选择题 肺动脉段突出可见于()
A.主动脉瓣狭窄
B.瓣膜型肺动脉狭窄
C.漏斗型肺动脉狭窄
D.高血压心脏病
E.肺源性心脏病
209、单项选择题 关于头颅后前位摄片的叙述,错误的是()
A.被检者俯卧于检查床上
B.正中矢状面垂直于台面
C.听眦线垂直于台面
D.暗盒竖放
E.暗盒上缘平颅顶
210、单项选择题 结核球的影像学表现()
A.肺内孤立结节,无分叶,边缘有毛刺,发病前有发热史
B.肺内孤立结节,内有爆米花样钙化
C.右上叶后段结节,边缘光整,周围有卫星灶,增强扫描结节无强化
D.肺内孤立结节,有分叶和毛刺,远端有胸膜凹陷征
E.左下叶后基底段肿块,CT增强扫描示胸主动脉分支进入肿块
211、单项选择题 左前斜位,心脏后缘自上而下依次为()
A.左心房、右心室
B.左心房、右心房
C.右心房、左心室
D.右心房、右心室
E.左心房、左心室
212、单项选择题 影响X线照片影像清晰度的因素,不包括()
A.影像放大率
B.胶片对比度
C.摄片管电压
D.摄片时间
E.是否用造影剂
213、多项选择题 下述哪些疾病可引起纤维性椎管狭窄()
A.韧带肥厚
B.椎间盘脱出
C.蛛网膜粘连
D.骨性增生
E.韧带钙化
214、单项选择题 下述骨肿瘤,哪项无多发倾向()
A.转移瘤
B.血管瘤
C.骨母细胞瘤
D.骨髓瘤
E.软骨瘤
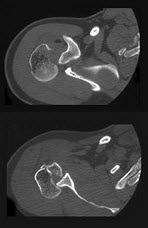
215、单项选择题
男,46岁,双髋部疼痛,实验室检查血钙升高,尿本周蛋白(+),结合图像,最可能的诊断是()
A.骨髓瘤
B.骨质疏松症
C.骨转移瘤
D.骨囊肿
E.动脉瘤样骨囊肿
216、判断题 肾癌典型的临床表现是无痛性血尿和腹部肿块。
217、单项选择题
男,53岁,反复咳嗽,咳痰1月余,伴胸闷,胸片如图,最可能的诊断为()

A.右中肺大叶性肺炎
B.右中肺不张
C.右中肺栓塞
D.右下肺背段不张
E.右下肺隔离症
218、名词解释 匐行代替
219、单项选择题 腹部平片检查最常用于诊断()
A.胃癌
B.肠梗阻
C.胃溃疡
D.结肠癌
E.食管癌
220、多项选择题 位于前纵隔的肿瘤有()
A.胸腺瘤
B.皮样囊肿
C.畸胎瘤
D.神经纤维瘤
E.支气管囊肿
221、单项选择题 KerleyB线主要分布于()
A.上肺内侧
B.上肺外周
C.下肺内侧
D.下肺外周
E.中肺野
222、单项选择题 下述结核瘤特点,哪项不对()
A.多为2cm以下球形影
B.均匀较高密度,可有钙化
C.可有边缘性空洞形成
D.常有卫星灶、胸壁侧可有粗大毛刺
E.可有浅分叶
223、多项选择题 容易引起肋骨切迹的有()
A.肺静脉异位引流
B.动脉导管未闭
C.引流术后的法洛四联征
D.主动脉缩窄
E.腹主动脉血栓
224、单项选择题 筛骨属于()
A.扁骨
B.短管状骨
C.不规则骨
D.长管状骨
E.以上都是
225、名词解释 长液平征
226、判断题 动力性和血运性肠梗阻在临床上最为常见。
227、判断题 脾淋巴管瘤病理上可表现为毛细血管状、海绵状和囊状。
228、单项选择题 ERCP的正确说法是()
A.逆行肾盂造影
B.逆行性内镜胆胰管造影
C.经皮肝穿胆道造影术
D.静脉法胆道造影
E.口服法胆囊造影
229、多项选择题 下列描述,正确的是()
A.X线的质控制着照片对比度
B.X线管的总滤过也影响着照片对比度
C.射线对比度也影响照片对比度
D.X线量是照片对比度形成的决定因素
E.管电压波形与照片对比度无关
230、单项选择题 一般不引起左心房增大的是()
A.风湿性心脏病,二尖瓣狭窄
B.风湿性心脏病,二尖瓣关闭不全
C.心肌病
D.房间隔缺损
E.以上都不是
231、多项选择题 单纯性小肠梗阻常见原因是()
A.肠粘连
B.小肠扭转
C.炎性狭窄
D.粘连索带压迫
E.肿瘤
232、单项选择题 透视检查的缺点是()
A.多角度进行观察
B.价格低廉
C.可进行动态观察
D.可观察细微结构
E.可立即获取检查结果
233、单项选择题 胎儿受X线照射的主要危害不包括()
A.智力低下
B.皮炎
C.畸形
D.胚胎死亡
E.诱发癌症
234、名词解释 椎体融合
235、单项选择题
女,56岁,痰中带血1月余,X线检查如图,最可能的诊断是()

A.右肺癌
B.右肺转移瘤
C.右肺结核瘤
D.右肺炎性假瘤
E.右肺错构瘤
236、单项选择题 成人的椎体结核和椎体肿瘤在X线上的主要鉴别点是()
A.椎体破坏程度
B.是否有死骨形成
C.椎旁软组织阴影
D.椎间隙是否变窄或消失
E.是否有钙化
237、判断题 骨瘤由分化良好的成熟骨构成,主要起源于膜内化骨。
238、单项选择题 肋骨摄影不宜采用()
A.膈上肋骨前后位
B.膈下肋骨前后位
C.肋骨斜位
D.肋骨切线位
E.肋骨侧位
239、判断题 乳腺导管扩张症,皮肤可呈橘皮状,伴有乳头凹陷或位置异常。
240、单项选择题 肩关节间隙正常宽度约()
A.2mm
B.3mm
C.4mm
D.5mm
E.6mm
241、名词解释 创伤性骨关节病
242、判断题 腰方肌起于第11肋骨,向下延伸至髂嵴,出现率高于腰大肌。
243、单项选择题 有关高原性心脏病的描述,错误的是()
A.双肺纹理增多、紊乱
B.心影增大
C.上腔静脉影增宽
D.肺门影增大,结构欠清
E.仅凭上述表现就能诊断本病
244、单项选择题
女,50岁,手指关节肿痛,晨僵,结合图像,最可能诊断是()
A.关节结核
B.牛皮癣性关节炎
C.痛风性关节炎
D.类风湿关节炎
E.Reiter综合征
245、配伍题 摄照胸骨后前位时()腹部平片摄片时()膈上肋骨后前位时()头颅平面摄片()心脏平片摄片()
A.平静呼吸下屏气
B.深吸气后屏气
C.深吸气再呼出后屏气
D.缓慢连续呼吸
E.平静呼吸不屏气
246、多项选择题 在胸片上表现为肺血增多的心脏病有()
A.室间隔缺损
B.三尖瓣闭锁不全
C.房间隔缺损
D.肺动脉狭窄
E.动脉导管未闭
247、判断题 三尖瓣下移畸形多数伴有心房间的异常孔道,多为卵圆孔未闭。
248、填空题 乳腺可分为_______、_______、_______和_______。
249、多项选择题 良性胃溃疡患者,龛影周围表现中()
A.粘膜水肿
B.粘膜纠集
C.肿块
D.粘膜中断
E.器官变形
250、判断题 怀疑患骨质疏松时,X线检查应包括吸气胸椎侧位像、腰椎侧位像、股骨、骨盆及双手正位像。
251、单项选择题 胸腺瘤是纵隔常见肿瘤之一,下列描述正确的是()
A.胸腺瘤常发于中纵隔
B.常见于儿童及20岁以下者
C.直径>10cm者,恶性变的可能性明显增加
D.只有良性肿瘤内部才能出现钙化
E.只有恶性胸腺瘤才会出现重症肌无力
252、判断题 化脓性肺炎致病菌最常见的是肺炎双球菌。
253、单项选择题 十二指肠球部溃疡龛影的显示,首选以下哪项()
A.压迫像
B.双重像
C.充气像
D.卧位充盈像
E.立位充盈像
254、单项选择题 下列哪些疾病,胸片上“主动脉结缩小”()
A.高血压心脏病
B.动脉导管未闭
C.主动脉瓣狭窄
D.主动脉瓣关闭不全
E.梅毒性心脏病
255、单项选择题 颅骨嗜酸性肉芽肿的特征性X线表现是()
A.多累及额、顶骨,起于板障,渐累及内外板
B.病变破坏外板后可形成软组织肿块
C.病变边缘锐利或呈斜坡样,周边有轻度硬化
D.病变破坏区可跨越颅缝
E.“地图样”颅骨缺损,破坏区内可有"钮扣样"死骨
256、单项选择题 肠腔扩张的标准是()
A.小肠≥3cm,左半结肠≥5cm,右半结肠≥7cm
B.小肠≥3cm,左半结肠≥7cm,右半结肠≥5cm
C.小肠≥4cm,左半结肠≥7cm,右半结肠≥5cm
D.小肠≥4cm,左半结肠≥5cm,右半结肠≥7cm
E.小肠≥5cm,左半结肠≥7cm,右半结肠≥9cm
257、单项选择题 下列关于肺挫伤要点,错误的是()
A.胸痛、咯血、呼吸急促
B.肺内大片状或斑点状密度增高影
C.肺段或肺叶不张
D.液气胸
E.肺部阴影完全吸收需2周时间
258、单项选择题
男,13岁,右跟骨疼痛不适3周,右跟骨侧、轴位摄片如图示,最可能的诊断是()
A.右跟骨结核
B.右跟骨骨囊肿
C.右跟骨骨巨细胞瘤
D.右跟骨血管瘤
E.以上均不正确
259、单项选择题 腰椎椎弓峡部骨折,哪个体位摄片可显示()
A.正位像
B.侧位像
C.斜位像
D.过伸侧位像
E.过屈侧位像
260、单项选择题 易合并恶性间皮瘤的尘肺见于()
A.煤尘肺
B.矽肺
C.炭黑尘肺
D.石棉肺
E.石墨尘肺
261、填空题 机化性肺炎,在体层或过度曝光的照片上,常可见病灶中有小的不规则的透亮区,代表有________和_____________。
262、单项选择题 哪一型进展期胃癌X线表现为胃窦狭窄,壁僵硬、粘膜皱襞固定()
A.浅表型
B.浸润型
C.混合型
D.蕈伞型
E.溃疡型
263、判断题 良恶性病变均可引起膈麻痹。
264、单项选择题 关于"中耳乳突炎",下列说法哪项错误()
A.乳突气房密度增高
B.乳突房壁增厚、结构模糊
C.气房间隔骨质破坏或硬化
D.气房内充满肉芽组织
E.急性者常有胆脂瘤形成
265、配伍题 关于化脓性关节炎的骨质破坏描述正确的是()关于关节结核的骨质破坏描述正确的是()关于风湿性关节炎的骨质破坏描述正确的是()
A.发展迅速,从关节承重面开始,骨质缺损与正常骨质分界不清
B.发展缓慢,从关节承重面开始,骨质缺损与正常骨质分界不清
C.发展缓慢,从关节边缘开始,有虫蚀状骨质破坏
D.发展缓慢,从关节边缘开始,为穿凿样破坏,常累及多个关节
E.发展迅速,从关节边缘开始,为穿凿样破坏,常累及多个关节
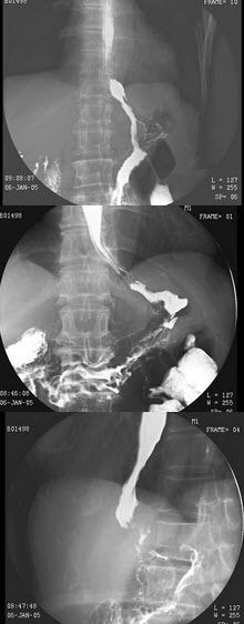
266、多项选择题
男,12岁,上腹痛1周,无规律,无黑便史。体检:剑突下有压痛,结合图像,最可能的诊断是()

A.正常表现
B.胃炎
C.十二指肠炎
D.十二指肠溃疡
E.十二指肠占位
267、单项选择题 对于碘过敏反应的说法,下列哪项不对()
A.用同一批号含碘造影剂做碘过敏实验
B.碘过敏试验阴性则不会发生碘过敏反应
C.检查室应备抢救设备和药品
D.造影前用抗过敏药可避免碘过敏发生
E.多见于血管内给予含碘造影剂
268、多项选择题 影响辐射损伤的因素是()
A.剂量率
B.照射方式
C.照射部位和范围
D.辐射线性质
E.辐射线剂量
269、填空题 膈肌位于胸膜腔之间,上面形成______的底,下面形成______的顶,主要有三大裂孔,即___________、____________及__________。还有四个膈孔,两个前称为______________,两个在后称____________,是膈的薄弱环节。
270、名词解释 革袋胃
271、单项选择题 增感屏结构中,吸收层的作用是()
A.提高发光效率
B.提高清晰度
C.改善颗粒度
D.控制量子斑点
E.提高对比度
272、问答题 对骨肿瘤影像诊断有何要求?
273、单项选择题 关于胸椎摄影,下列选项中正确的是()
A.上腰椎或下颈椎
B.只需摄待检胸椎局部正侧位片
C.下颈椎
D.上腰椎
E.以上都不对
274、填空题 骨肿瘤的诊断须结合临床资料,应注意骨肿瘤的_________、_____________、___________和____________。
275、单项选择题 关于普通放射的解释,下列哪项正确()
A.普通放射是高速电子与靶物质的原子核相互作用的结果
B.普通放射是高速电子与靶物质的轨道电子相互作用的结果
C.普通放射中,高速电子的能量没有丢失
D.普通放射的质决定于管电流
E.普通放射与高速电子的能量无关
276、单项选择题 关于颈椎斜位摄片,下列说法哪项错误()
A.用于观察颈椎椎间孔
B.可显示小关节及椎弓根
C.常规摄取左右斜位片
D.冠状面与台面呈25~35°
E.中心线可向足侧倾斜10°
277、名词解释 袖口征
278、判断题 钼铑双金属靶面的乳腺X线机对较致密的乳腺有较好的穿透力,为诊断提供更多的诊断信息。
279、多项选择题 胰头癌低张十二指肠造影的X线征象为()
A.十二指肠曲扩大
B.十二指肠曲缩小
C.十二指肠内缘呈反“3”字征
D.十二指肠内缘双边征
E.十二指肠内侧呈锯齿状
280、多项选择题 泌尿系统结核影像学的典型表现为()
A.肾盏呈虫蚀样破坏,并且累及多个肾盏
B.输尿管的不规则狭窄和扩张呈串珠状
C.膀胱容积缩小,扩张度差
D.膀胱内可见充盈缺损
E.膀胱增大
281、单项选择题 “右侧肾盏结石”主要应与下列哪种疾病鉴别()
A.胆囊结石
B.右侧输尿管中段结石
C.粪石
D.腹膜后淋巴结钙化
E.肝癌
282、单项选择题 不支持纵隔肿瘤诊断的是()
A.透视下转动病人,肿块基底部及边缘与纵隔不能分离
B.深呼吸时肿块随呼吸上、下移动
C.纵隔肿块有宽的基底与纵隔相连
D.肿块的边缘与纵隔边缘之夹角为钝角
E.肿块最大上下径在纵隔内
283、多项选择题 输尿管结石需与下列哪些病变相鉴别()
A.胆结石
B.腹部淋巴结钙化
C.肾结核
D.静脉石
E.肾囊肿
284、多项选择题 铅线易发生部位有()
A.尺桡骨远端
B.胫骨两端
C.股骨远端
D.肱骨近端
E.中部肋骨前端
285、多项选择题 关于乳腺癌治疗的说法哪些正确()
A.手术、化疗、放疗、内分泌治疗均是综合治疗的重要部分
B.术前化疗可以使肿瘤缩小,使更多的患者获得保乳机会
C.术前化疗应选择敏感性化疗方案
D.细针穿刺细胞涂片见到恶性细胞即行术前化疗
E.手术范围越大,乳腺癌的治疗效果越好
286、单项选择题 “双侧肺血减少”见于()
A.异物吸入
B.肺隔离症
C.中央性肺癌
D.Ebstein畸形
E.Macleod综合征
287、单项选择题 胆脂瘤型中耳炎的典型影像特点为()
A.多发生于气化型乳突
B.病变位于乳突气房内
C.病灶有硬化缘
D.病变大小多为3~5cm
E.平片示圆形高密度
288、单项选择题 心脏右前斜位片主要观察()
A.右心房、肺动脉主干
B.左心房、左心室
C.左心房、肺动脉主干和右心室
D.左心室、右心室
E.气管分杈、主动脉窗
289、单项选择题 X线上,在心膈角发现团状阴影,最常见的是()
A.支气管肺炎
B.心包脂肪垫
C.麻疹肺炎
D.心包囊肿
E.心包憩室
290、单项选择题 腹部立位片空肠扩张可见()
A.环形皱襞较多
B.半月状皱襞
C.上腹或上中腹偏右
D.中下腹或下腹偏右
E.环形皱襞较少
291、单项选择题 下列哪项胎儿时期即已出现二次骨化中心()
A.股骨头
B.股骨远端
C.肱骨远端
D.髋关节
E.跟骨
292、单项选择题 下列肺血改变与疾病的对应关系,哪项不对()
A.肺出血:钩端螺旋体病
B.肺淤血:二尖瓣狭窄
C.肺充血:动脉导管未闭
D.肺缺血:肺动脉狭窄
E.肺血正常:法洛四联征
293、单项选择题 IVP检查腹部压迫点的位置是()
A.第1腰椎水平两侧
B.第3腰椎水平
C.两侧髂前上棘连线水平
D.脐上两侧
E.耻骨联合上方3cm
294、单项选择题 肺部X线表现为锁骨下区纤维条索状阴影,应属于()
A.原发性肺结核
B.血行播散型肺结核
C.浸润型肺结核
D.结核性胸膜炎
E.慢性纤维空洞型肺结核
295、单项选择题 下述各项均能在食管上直接形成压迹,但除外()
A.肺动脉
B.主动脉弓
C.左主支气管
D.降主动脉
E.左心房
296、单项选择题 “骨巨细胞瘤”典型影像为()
A.好发于长骨干骺端
B.新骨生成和骨膜反应
C.“皂泡样”改变
D.病变与邻近正常组织分界不清
E.溶骨性或成骨性改变
297、问答题 软骨黏液样纤维瘤的X线表现有哪些?
298、判断题 寰椎前结节后缘与枢椎齿状突前缘的距离成人大于4mm,儿童大于2mm则说明有横韧带的撕裂。
299、单项选择题 静脉肾盂造影检查的禁忌证是()
A.肾盂积水
B.肾结石
C.尿路狭窄
D.肾部肿瘤
E.肾功能严重损伤
300、判断题 骨外骨肉瘤是起源于骨外的、分化程度较高的恶性成骨性骨肿瘤。