时间:2025-03-29 04:02:50


1、单项选择题 Meckel腔内有()
A.颈内动脉
B.三叉神经节
C.滑车神经
D.舌下神经
E.颈外动脉
2、单项选择题 马蹄肾的影像学表现中,下列哪项不正确()
A.双肾轴线异常
B.双侧肾盂旋转不良
C.峡部位于腹主动脉、下腔静脉与肠系膜上动脉之间
D.峡部位于腹主动脉与下腔静脉的前方
E.峡部不含有肾实质组织
3、多项选择题
女,32岁,左腰部胀痛不适1年余,10年前因右输尿管结石、右肾重度积水行右肾切除术,CT检查如图所示,下列说法正确的是()
A.平扫左肾周可见不规则的环形低密度影
B.增强扫描,肾皮质明显强化而周围的低密度影无强化
C.增强扫描肾实质期,肾实质强化而周围的低密度影无强化
D.增强扫描延迟期,肾实质强化减退而其周围则呈高密度影,对比明显
E.考虑为左侧尿外渗
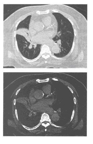
4、单项选择题
女,23岁,胸闷、气促1个月余,左侧锁骨上触及无痛性肿大淋巴结。胸部CT增强扫描片如图,最可能的诊断为()
A.淋巴瘤
B.肺动脉栓塞
C.右上肺肺癌
D.非侵袭性胸腺瘤
E.结节病
5、单项选择题 典型肝脓肿在CT上的表现,除中央低密度脓腔外,脓肿壁可出现三层环状结构,从内至外分别代表()
A.纤维肉芽组织,水肿带,炎性坏死组织
B.水肿带,炎性坏死组织,纤维肉芽组织
C.炎性坏死组织,水肿带,纤维肉芽组织
D.炎性坏死组织,纤维肉芽组织,水肿带
E.纤维肉芽组织,炎性坏死组织,水肿带
6、单项选择题
根据CT图像,最可能的诊断是()
A.肝腺瘤
B.局灶性结节增生
C.囊腺瘤
D.肝癌
E.肝血管瘤
7、单项选择题 大脑中动脉破裂少量出血易出现的部位是()
A.额叶
B.枕叶
C.侧裂池
D.侧脑室
E.四脑室
8、单项选择题
男,21岁,发热,左上肢剧痛半月余,结合影像学检查,最可能的诊断是()
A.骨肉瘤
B.骨样骨瘤
C.骨结核
D.骨巨细胞瘤
E.骨髓炎
9、多项选择题
男,54岁,左侧腰痛,伴间歇性血尿2个月余,结合所示图像,下列哪项描述正确()
A.左侧肾癌
B.肝内多发转移癌
C.肝癌
D.左肾转移癌
E.腹主动脉旁及左肾门区淋巴结转移
10、单项选择题 下列疾病不易形成肺空洞的为()
A.原发性肺结核
B.转移性鳞状细胞癌
C.肺类风湿性病
D.Wegener肉芽肿
E.继发性肺结核
11、单项选择题
男,45岁,头痛2年余,CT所见如图,最可能的诊断()

A.神经纤维瘤病
B.多发转移瘤
C.多发脑出血
D.多发肉芽肿
E.脑结核钙化
12、多项选择题 关于前列腺的说法正确的有()
A.后方借直肠膀胱陷凹与直肠壶腹相邻
B.位于膀胱颈和尿生殖膈之间
C.尿道自底的前部穿入
D.射精管自底的后部穿入
E.周围有前列腺囊和鞘包裹
13、单项选择题 多形性胶质细胞瘤与单发巨大的转移瘤CT表现有何不同()
A.瘤周水肿明显
B.花环样增强
C.有占位效应
D.蝶鞍扩大
E.常见低密度影
14、单项选择题
患者腹痛,便血,有卵巢癌病史,结合图像,最可能的诊断是()
A.原发性结肠癌
B.卵巢癌种植转移
C.子宫内膜异位
D.髓外造血
E.以上都不是
15、单项选择题
男,16岁,咳嗽十余年,结合图像,最可能的诊断是()
A.胸廓内骨软骨瘤
B.周围型肺癌
C.陈旧性肺结核
D.胸膜粘连
E.以上都不是
16、多项选择题 心肌梗死的并发症包括()
A.室壁瘤
B.乳头肌梗死
C.心脏破裂
D.心律失常
E.以上都不是
17、单项选择题 慢性中耳炎引起颅内感染最常累及的部位是()
A.额叶
B.顶叶
C.枕叶
D.颞叶
E.脑干
18、单项选择题 颅脑CT增强扫描,一般作为判断增强效果优劣的参考标准是()
A.大脑镰显影的状况
B.脉络丛显影的状况
C.T增强效果优劣的参考标准
D.Willis环显影的状况
E.小脑幕显影的状况
19、单项选择题
女,64岁,发现双甲状腺肿大1个月余,CT如图所示,最可能的诊断是()
A.结节性甲状腺肿
B.甲状腺腺瘤
C.甲状腺癌并淋巴结转移
D.甲状腺转移瘤
E.甲状腺结核
20、多项选择题 纵隔皮样囊肿可有哪些CT表现()
A.囊性病灶
B.圆形、椭圆形或不规则形
C.囊壁规则,较薄
D.囊壁可有钙化
E.增强扫描,囊壁可有强化
21、单项选择题 在CT图像上,正常双侧内囊对称呈()
A.梭形
B.圆形
C.方形
D.长方形
E.“><”字形
22、单项选择题 脑脓肿病理分期,错误的是()
A.病灶吸收期
B.急性脑炎期
C.脓腔形成期
D.包膜形成期
E.可分为初期、中期、末期
23、单项选择题 下列哪种疾病一般不会出现空洞()
A.大叶性肺炎
B.肺结核
C.转移性鳞癌
D.肺吸虫病
E.韦格纳肉芽肿
24、单项选择题
女,52岁,有高血压病史,半小时前突感头晕,剧烈头痛,CT检查如图,最可能的诊断为()
A.脑梗死
B.脑出血
C.脑膜瘤
D.转移瘤
E.胶质瘤
25、单项选择题 关于肾囊肿的CT表现,错误的是()
A.圆形或椭圆形,边缘光滑
B.注射对比剂轻度强化
C.囊肿和肾实质分界锐利清楚
D.囊内密度均匀接近水
E.囊肿壁很薄不能测出
26、单项选择题
血友病患者突发胸闷,气急,体查见颈静脉显露,嘴唇发绀,影像学检查如图,最可能的诊断为()
A.纵隔自发性出血
B.淋巴瘤
C.结节病
D.纵隔积液
E.胸腺瘤
27、多项选择题 关于髓外硬膜下肿瘤X线造影表现正确者()
A.脊髓受压,向健侧移位
B.脊髓膨大,无移位
C.脊髓受压,向患侧移位
D.脊髓常常无变化
E.阻塞近端蛛网膜下腔呈小杯口状,远端逐渐移行为正常
28、单项选择题
患者腹痛,根据所提供的图像,最可能的诊断是()
A.腺癌
B.类癌瘤
C.淋巴瘤
D.淋巴管瘤
E.囊肿
29、单项选择题 Budd-Chiari综合征的主要病理改变是()
A.肝静脉阻塞
B.肝动脉阻塞
C.第一肝门阻塞
D.门静脉阻塞
E.胆管阻塞
30、单项选择题 多血供性肝转移者,原发灶常为()
A.肺癌
B.胃腺癌
C.结肠癌
D.肾癌
E.乳腺癌
31、单项选择题
女,43岁,左侧腰部不适2年余,结合所示图像,最可能的诊断是()
A.左肾髓样脂肪瘤
B.左肾盏憩室
C.左肾囊肿
D.左肾积水
E.左肾错构瘤
32、单项选择题
女,36岁,无任何症状,体检时超声发现左侧肾上腺区占位,CT扫描如图所示,应诊断为()
A.左肾上腺腺瘤
B.左肾上腺囊肿
C.左肾上腺嗜铬细胞瘤
D.左肾上腺髓样脂肪瘤
E.左肾上腺转移癌
33、单项选择题 脑内肿瘤瘤周水肿属()
A.间质性水肿
B.血管源性水肿
C.细胞毒性水肿
D.梗阻性水肿
E.渗出性水肿
34、单项选择题 结节性硬化的钙化特征是()
A.侧脑室周围,室管膜结节状钙化
B.脑内宽大全层脑回状,齿状或曲线状钙化
C.毛线团样或簇状钙化
D.局限性斑块状钙化
E.基底节区斑片状钙化
35、单项选择题
该病例为少见病,正确的诊断为()
A.局灶性肺气肿
B.肺隔离症
C.肺炎
D.肺胚胎发育变异
E.以上都不是
36、单项选择题
根据所提供图像,最可能的诊断是()
A.骨化性肌炎
B.骨髓炎
C.皮肌炎
D.硬皮病
E.以上都不是
37、单项选择题 胼胝体发育不全的直接征象是()
A.大脑纵裂增宽与第三脑室前部相连
B.室间孔不同程度的扩大和分离
C.第三脑室扩大上升位于侧脑室之间
D.双侧侧脑室扩大、分离
E.以上都不是
38、单项选择题 2岁女性,右侧眼突1个月。CT示右眼球内团块状钙化。视神经增粗,周围有软组织密度阴影,最可能的诊断是()
A.脑膜瘤
B.甲状腺性突眼
C.黑色素瘤
D.视网膜血管瘤
E.视网膜母细胞瘤
39、单项选择题
女,58岁,颈部疼痛,活动受限,结合图像,最可能的诊断是()
A.颈椎退行性变
B.颈椎结核
C.椎缘骨
D.椎间盘突出
E.局限性骨化性肌炎
40、单项选择题
男,52岁,双眼突出2-3年,结合图像,最可能的诊断是()

A.淋巴瘤
B.肌炎型炎性假瘤
C.眼肌发育异常
D.眼型Graves病
E.眼眶血管畸型
41、单项选择题 下列哪种方法是目前肾上腺疾病最佳影像检查方法()
A.USC
B.CT
C.MRI
D.核素显像
E.X线检查
42、单项选择题 以下有关脑池的描述中,错误的是()
A.脑基底池位于颅后窝
B.蛛网膜与软脑膜之间的含脑脊液间隙为蛛网膜下腔
C.滑车神经通过环池
D.胼胝体池位于胼胝体与扣带回之间
E.基底动脉通过桥前池
43、单项选择题 下述疾病中,能够引起盲肠缩短、变形、收缩最常见的原因是()
A.溃疡性结肠炎
B.阿米巴性结肠炎
C.局限性肠炎
D.增殖性肠结核
E.慢性痢疾
44、单项选择题
主诉剧烈腹痛,根据影像图像,最可能的诊断为()
A.憩室炎
B.肠系膜炎
C.胰腺炎
D.主动脉瘤破裂
E.以上都不是
45、单项选择题 脱屑性间质性肺炎的CT特征()
A.斑片状、网状、毛玻璃样密度影
B.不规则形,线状或蜂窝状阴影
C.散在分布斑片状阴影
D.多发5~7mm结节影,半数有空洞
E.钙化
46、单项选择题 男性,因突发呕血、右上腹痛、不能进食2天。CT示十二指肠水平段内5cm×3cm占位,其CT值-30HU,有不均匀点状钙化,增强扫描无强化,最可能的诊断是()
A.十二指肠腺癌
B.十二指肠憩室
C.十二指肠内胆结石嵌顿
D.十二指肠乳头炎
E.十二指肠平滑肌瘤
47、多项选择题 在CT平扫中,肾错构瘤可表现为()
A.脂肪密度
B.水样密度
C.混杂密度
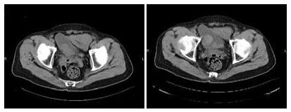
D.软组织密度
E.均匀高密度
48、单项选择题 关于皮样囊肿CT表现的描述,错误的是()
A.圆形低密度影,CT值低于脑脊液
B.囊内可见毛发
C.有瘤周水肿
D.常无强化
E.第四脑室受压移位
49、多项选择题 右上腹部钙化灶可见于下述哪些疾病()
A.肝包虫病钙化
B.肝外胆管阳性结石
C.肝内胆管阴性结石
D.肝内肿瘤钙化
E.胆囊阳性结石
50、单项选择题
男,60岁,咽喉部肿痛半年,CT检查如图,下述说法错误的是()
A.右下咽部见不规肿块影
B.肿块内部密度不匀
C.肿块不均匀强化,右颈部见肿大的淋巴结
D.考虑为淋巴瘤
E.考虑为下咽癌
51、单项选择题
根据所提供的图像,最可能的诊断是()
A.肾细胞癌
B.淋巴瘤
C.生殖细胞瘤
D.转移癌
E.以上都不是
52、单项选择题
男,17岁,右侧颈部包块10余年,近1年来感觉缓慢增大。CT增强扫描图像如下,最可能的诊断为()
A.淋巴结转移
B.感染
C.腮裂囊肿
D.迷走神经肿瘤
E.淋巴结结核
53、单项选择题 关于软组织血管瘤CT征象的描述,不正确的是()
A.肿块边界较清,不均质
B.增强扫描明显强化
C.内有静脉石
D.可引起骨的侵蚀,破坏
E.部分呈脂肪密度
54、多项选择题 少枝胶质细胞瘤需与下述哪些病变相鉴别()
A.星形细胞瘤
B.神经节细胞瘤
C.钙化性脑膜瘤
D.室管膜瘤
E.脑三叉神经综合征
55、单项选择题 下列关于冠状动脉瘤的CT表现哪项是正确的()
A.多层螺旋CT不能显示动脉瘤全貌
B.CT横断面图像不利于观察动脉瘤壁
C.多见附壁血栓
D.动脉瘤壁无钙化
E.CT横断面图像不利于观察动脉瘤壁局限性或弥漫性扩张,形态为囊状、梭形或不规则形
56、单项选择题 典型的单纯性肝囊肿的CT密度是()
A.空气样密度
B.水样密度
C.脂肪密度
D.肌肉样密度
E.肝脏样密度
57、单项选择题 下列颅内出血急性期的描述中,错误的是()
A.发病时间<1周
B.血肿为均匀高密度,呈类圆形、肾形或不规则形
C.有周围水肿
D.有占位
E.增强扫描为不规则形强化
58、单项选择题 上颌窦癌向后外蔓延可累及()
A.筛窦
B.眶下壁
C.颞下窝
D.上齿槽
E.咽旁间隙
59、单项选择题
精索内筋膜对应于腹壁的哪一层()
A.scarpa筋膜
B.腹横筋膜
C.腹横肌腱膜
D.腹内斜肌腱膜
E.腹外斜肌腱膜
60、单项选择题 冠状位CT扫描鼻窦技术中错误的是()
A.扫描体位为头部颌顶位或顶颌位
B.扫描层面平行于上颌窦上缘或与听眦线垂直
C.扫描范围从蝶窦后壁起至额窦前壁止
D.层厚5mm,层间距5mm
E.用非螺旋扫描方式即可
61、单项选择题
女,25岁,持续性无尿1周,有严重外伤史,根据所示图像,最可能的诊断是()
A.狼疮性肾炎
B.急性肾小球肾炎
C.急性间质性肾炎
D.肾外伤性出血
E.急性肾小管坏死
62、单项选择题 有关腺样囊性癌描述,错误的是()
A.好发于气管
B.由腔外向腔内生长
C.多为中心型
D.段支气管少见
E.支气管镜易确诊
63、单项选择题
男,42岁,胸痛1周余,X线片发现肺部阴影,CT检查如图,最可能的诊断为()

A.肺部感染
B.肺放线菌感染并脓胸侵犯胸壁
C.肺类风湿病侵犯胸壁
D.肺结核并胸腔积液
E.肺霉菌感染并脓胸侵犯胸壁
64、多项选择题 下列脾脏病变,哪些可以出现钙化()
A.皮样囊肿
B.脾脏血管瘤
C.脾梗死早期
D.贫血
E.结节病
65、单项选择题
男,40岁,体重减轻,乏力,结合所示图像,最可能的诊断是()
A.淋巴瘤
B.精原细胞瘤
C.结核
D.血管曲张
E.以上都不是
66、单项选择题 国际上CT的英文全称统一采用的名称是()
A.ComputerAidedTomography
B.ComputerTrans-AxialTomography
C.ComputerizedTomography
D.ComputerTomography
E.ComputerizedTransverseTomography
67、单项选择题 空气的CT值()
A.0~20HU
B.30~60HU
C.-60~-90HU
D.1000HU
E.-1000HU
68、单项选择题 “肾胚胎瘤”诊断要点,下列哪项错误()
A.约半数有高血压
B.常因血尿就诊
C.最常转移至肺
D.肿瘤质地不均,可强化
E.可伴尿道下裂、隐睾、偏身肥大等畸形
69、单项选择题
男,65岁,腋下触及肿大包块,全身浅表淋巴结肿大,结合所示图像,最可能的诊断是()
A.双侧肾上腺腺瘤
B.双侧肾上腺增生
C.双侧肾上腺淋巴瘤
D.双侧肾上腺转移癌
E.肾上腺癌
70、单项选择题 立位片上,腹腔游离气体典型影像为()
A.球形
B.半球形,有气-液面
C.新月形
D.与胸腔间距>15mm
E.不规则形
71、单项选择题 排异反应分四型不属于其分型的是()
A.超急性
B.急性
C.亚急性
D.加速性
E.慢性
72、单项选择题 下列哪一项不符合胆管结石的CT表现()
A.胆管内环形或圆形致密影
B.中心密度高,周围低密度形成"靶征"
C.梗阻上方胆总管扩张
D.增强扫描见胆总管内强化影
E.可伴有肝内胆管和胆囊结石
73、单项选择题 不符合脑结核瘤的CT表现的是()
A.多位于幕下
B.早期等密度,不均匀强化
C.中期略高密度,环状强化
D.晚期其中心形成钙化结节
E.早中期可见灶周水肿
74、单项选择题
男,70岁,下腹部腹胀、腹痛、排便困难,逐渐加重,MRI示直肠内不规则充盈缺损,最可能的诊断是()
A.直肠息肉
B.直肠癌
C.直肠间质瘤
D.直肠转移癌
E.直肠淋巴瘤
75、单项选择题 患儿,男,12岁。CT示松果体区肿瘤,内有点状钙化,增强扫描肿瘤和侧脑室室管膜明显强化,最可能的诊断为()
A.松果体瘤
B.生殖细胞瘤
C.畸胎瘤
D.星形细胞瘤
E.室管膜瘤
76、多项选择题 肝海绵状血管瘤的影像学表现中,包括()
A.抱球征
B.树上挂果征
C.早出晚归征
D.灯泡征
E.星状瘢痕征
77、单项选择题 室壁瘤的CT征象有()
A.局部心室壁增厚,并见反向运动
B.局部心室壁变薄,并见反向运动
C.室壁向内凹陷,无反向运动
D.室壁向外膨隆,无反向运动
E.室壁变薄,无反向运动
78、单项选择题 胃癌患者,胸痛1个月,进行性加重,最近出现呼吸困难。CT平扫发现左侧多发散在的胸膜结节,并见大量胸腔积液,CT增强扫描结节明显强化。 下列哪种检查方法能进一步区别胸膜转移瘤与弥漫性胸膜间皮瘤()
A.胸部MRI平扫
B.胸部MRI增强扫描
C.痰检
D.胸膜活检
E.支气管镜检查
79、单项选择题
根据所提供的图像,最可能的诊断是()
A.胰腺癌
B.肝细胞瘤
C.胆管癌
D.胆囊癌
E.以上都不是
80、单项选择题 下列哪种病变诊断中,CT诊断价值优于MRI()
A.骨质疏松症
B.肝内小血管瘤
C.腔隙性脑梗死
D.多发性硬化
E.脊髓空洞症
81、单项选择题
男,56岁,骶部持续性疼痛,夜间加重,结合图像,最可能的诊断是()
A.脊索瘤
B.骨转移瘤
C.骨肉瘤
D.多发性骨髓瘤
E.骨巨细胞瘤
82、单项选择题 脊柱结核发生率最高的是()
A.颈椎
B.上位胸椎
C.下位胸椎
D.腰椎
E.骶椎
83、单项选择题
男,46岁,无痛性血尿2个月,CT扫描如图所示,应诊断为()
A.左侧输尿管结核
B.左侧输尿管炎
C.左侧输尿管癌
D.左侧输尿管结石
E.左侧输尿管血块
84、单项选择题
男,23岁,右耳流脓十余年,右外耳道流脓,鼓膜穿孔,CT检查如图,最可能的诊断是()

A.慢性中耳乳突炎
B.中耳乳突结核
C.中耳癌
D.嗜酸性肉芽肿
E.(海绵化期)耳硬化症
85、多项选择题 下列属侵袭性胸腺瘤特点的是()
A.包膜不完整
B.可引起胸腔积液
C.可引起心包积液
D.可囊变
E.含有大量脂肪成分
86、单项选择题 腰椎间盘突出症直接CT征象是()
A."局限性"软组织影
B.硬膜囊前缘受压
C.硬膜囊外脂肪间隙消失
D.神经根肿胀
E.反应性骨质硬化
87、多项选择题 关于鼻窦囊肿的描述,正确的是()
A.一般分黏液囊肿、黏液腺囊肿和黏膜下囊肿
B.黏液囊肿系鼻窦口阻塞所致
C.黏膜下囊肿好发于蝶窦
D.黏膜下囊肿好发于上颌窦
E.黏液腺囊肿为黏液腺口阻塞所致
88、单项选择题 关于肾CT检查说法,错误的是()
A.扫描前3天禁服钡剂、钙或含金属药物
B.平扫可发现钙化和结石
C.扫描前30分钟口服15%泛影葡胺400ml
D.一般不需做增强扫描
E.扫描前6小时禁食
89、单项选择题 食管静脉曲张不累及下列哪条静脉()
A.胃冠状静脉
B.脐静脉
C.食管下静脉
D.奇静脉
E.肋间静脉
90、单项选择题 CT检查食管裂孔疝采用的方法是()
A.单纯CT平扫
B.平扫+增强
C.单纯增强扫描
D.口服高密度造影剂平扫
E.动态增强扫描
91、单项选择题 下列与CT图像重建有关的器件是()
A.X线管
B.阵列处理器
C.数据采集系统(DAS)
D.硬磁盘
E.低压滑环
92、单项选择题 脊柱横断扫描,对扫描线确定的描述,错误的是()
A.扫描线及扫描计划的确定,从侧位定位像上设计
B.进行椎体扫描时,扫描线应与椎体前后方向的中轴线一致
C.进行椎间盘扫描时,扫描线应是相邻两椎体缘联线夹角的平分线
D.椎体与椎间盘兼扫时,应根据脊柱曲度分段确定
E.脊柱扫描线确立后的扫描为连续扫描
93、单项选择题 新月样空气征见于()
A.肺曲霉菌病
B.肺脓肿
C.农民肺
D.肺泡蛋白沉积症
E.肺类风湿性病
94、单项选择题 下列哪项是颅脑横断面CT扫描常用基线(OM线)()
A.听眶线
B.听眦线
C.听鼻线
D.听口线
E.Mcgregor线
95、单项选择题 女,28岁,产后突发剧烈头疼,视物模糊,一侧肢体轻偏瘫。CT平扫示双侧脑白质大片低密度改变,皮层斑点状出血,脑室变小。最可能的诊断为()
A.静脉窦血栓形成
B.脑梗死
C.出血性脑梗死
D.多发性硬化活动期
E.脑炎
96、多项选择题 脑挫裂伤的CT征象有()
A.损伤区局部呈低密度改变
B.散在点片状出血
C.不合并蛛网膜下腔出血
D.占位及萎缩表现
E.合并脑内血肿等征
97、单项选择题 关于肝脏病变的描述,错误的是()
A.肝硬化为肝实质内结缔组织广泛增生,假小叶形成
B.脂肪肝是由于肝细胞内大量脂肪沉积所致
C.肝脓肿常包括细菌性和阿米巴性两种
D.细菌性肝脓肿液化坏死后脓液呈巧克力色,有臭味
E.阿米巴性肝脓肿实验室检查,粪便中可查到阿米巴滋养体
98、单项选择题 膈脚外侧积液提示()
A.腹水
B.肺内结节
C.心包积液
D.胸水+腹水
E.无定位意义
99、单项选择题 关于颈淋巴管瘤CT表现的描述,错误的是()
A.一侧低密度囊性病灶
B.好发于胸锁乳突肌前方
C.呈圆形或类圆形
D.肿瘤可向周围结构广泛浸润生长
E.增强扫描呈明显强化
100、单项选择题 当螺旋CT的X线管旋转为360度/秒,床速为10mm/秒,准直器为10mm时,其pitch(螺距)比值为()
A.100
B.10
C.1
D.0.1
E.以上都不是
101、多项选择题 下列彼此关联的选项中,哪些是正确的()
A.原发性肺癌——两侧肺门对称性淋巴结肿大
B.矽肺——蛋壳样淋巴结钙化
C.主动脉缩窄——肋骨切迹
D.二尖瓣狭窄——Kerley氏B线
E.大叶性肺炎——支气管充气征
102、单项选择题 肾结核最早的病灶位于()
A.肾乳头部
B.肾小盏内
C.肾小管内
D.肾盏内
E.肾盂内
103、单项选择题 后鼻孔闭锁,最佳检查方法是()
A.副鼻窦瓦氏位
B.副鼻窦柯氏位
C.副鼻窦侧位
D.副鼻窦正位体层
E.副鼻窦横断CT扫描
104、多项选择题 缩窄性心包炎的CT表现为()
A.心包不规则增厚,为5~20mm
B.心包增厚呈弥漫性或局限性
C.心包钙化
D.上下腔静脉扩张
E.增强扫描可见扩张的左、右心房,左、右心室呈管状
105、单项选择题 易出现骨转移的盆腔内肿瘤是()
A.卵巢癌
B.子宫癌
C.膀胱癌
D.前列腺癌
E.精囊癌
106、单项选择题 用肺窗观察肺内病灶,常用的窗宽窗位的CT值范围应在()
A.150~200HU/40~60HU
B.250~500HU/40~60HU
C.700~1000HU/-50~0HU
D.1000~2000HU/-500~-700HU
E.3000~4000HU/-700~-1000HU
107、多项选择题
男,38岁,进行性肾衰竭,有淋巴瘤病史,行腹平片、CT及MRI检查如图所示,下列说法正确的是()
A.CT示双肾对称性增大
B.MRIT1WI示L1椎体可见局灶性低信号改变
C.考虑为肾淋巴瘤,且淋巴瘤累及L1椎体
D.考虑为多囊肾
E.考虑为肾炎
108、单项选择题 有关CT成像过程的论述,错误的是()
A.DAS为数据收集系统
B.图像处理机与控制计算机并行工作
C.计算机可进行重建图像的运算
D.原始数据存储到硬盘
E.探测器输出的是数字信号
109、单项选择题
男,36岁,双眼球突出5月余,CT如图所示,最可能的诊断是()
A.眼型Graves病
B.肌炎型炎性假瘤
C.未见异常
D.眶内脑膜瘤
E.眶内淋巴瘤
110、单项选择题
男,38岁,咳嗽,咳痰,关节疼痛,外周淋巴结肿大,结合CT图像,最可能的诊断是()
A.肺泡蛋白沉积症
B.肺间质病
C.结节病
D.肺结核
E.霍奇金病
111、单项选择题 患者无痛性血尿数周,肾盂造影示肾盂内不规则充盈缺损,首先考虑以下哪种疾病()
A.乳头状瘤
B.移行细胞癌
C.鳞状细胞癌
D.肾腺癌
E.肾腺瘤
112、单项选择题 下述哪一个不是右肝下间隙脓肿的常见来源()
A.肝脓肿破裂
B.脾脓肿破裂
C.十二指肠溃疡穿孔
D.右肾周感染
E.胆囊炎并结石穿孔
113、单项选择题 脑出血CT水肿高峰发生于发病后()
A.12小时
B.24小时
C.72小时
D.4~6天
E.10天左右
114、单项选择题 CT的发明人是()
A.考迈克
B.莱德雷
C.亨斯菲尔德
D.维廉.康拉德.伦琴
E.安博若斯
115、单项选择题 关于空间分辨率,下面哪一组提法是正确的:①鉴别物体空间大小的能力;②通常以百分比来表示;③通常以线对数来表示;④图像重建的算法是一重要因素;⑤密度差别小的组织其空间分辨率相应增高;()
A.①②⑤
B.①③④
C.②④⑤
D.③④⑤
E.②③④
116、单项选择题
患者有一个可疑的肾团块,结合所示图像,最可能的诊断是()
A.肾细胞癌
B.淋巴瘤
C.黄色肉芽肿性肾盂肾炎
D.肾动静脉畸形
E.以上都不是
117、单项选择题 CT扫描注意事项中不包括()
A.CT检查病人应先更衣、穿鞋套
B.不合作患者,CT扫描前应作镇静或麻醉处理
C.需增强扫描的病人常规做碘过敏试验
D.认真阅读申请单
E.根据病人要求确定扫描参数
118、单项选择题 梭形动脉瘤的首要形成原因是()
A.动脉粥样硬化
B.外伤
C.动脉内膜撕裂
D.感染
E.先天发育异常
119、单项选择题 显示野、矩阵、像素值三者关系的描述,哪个不妥()
A.显示野不变,矩阵加大,像素值变小
B.显示野不变,矩阵加大,图像分辨率提高
C.显示野不变,矩阵加大,图像重建时间长
D.矩阵不变,加大显示野,像素值提高
E.矩阵不变,像素值减半,显示野面积缩小4倍
120、单项选择题 肺移植患者,有持久的咳嗽和体重减轻,正确的诊断是()
A.正常
B.曲霉菌病
C.淋巴瘤
D.肺癌
E.结核
121、单项选择题 胸部连续扫描,个别层面CT图像出现重复,多见原因是()
A.操作有误
B.设备故障
C.床动错误
D.呼吸运动
E.心脏搏动
122、单项选择题 对下列哪种骨折,CT诊断价值不及平片()
A.肱骨小头骨折
B.环椎骨折
C.颈椎横突骨折
D.腰椎骨折
E.股骨干骨折
123、单项选择题 男,8岁,头痛CT示松果体区有一1.5×1.5cm稍高密度影,中等增强,侧脑室室管膜明显增厚,增强,最可能的诊断是()
A.松果体细胞瘤
B.恶性胶质瘤
C.生殖细胞瘤
D.淋巴瘤
E.脑膜瘤
124、多项选择题 肾囊肿常用的放射诊断方法是()
A.腹部平片
B.逆行尿路造影
C.静脉尿路造影
D.肾脏CT检查
E.以上都不是
125、单项选择题 边缘叶不包括下列哪项()
A.角回
B.海马回
C.杏仁核
D.扣带回
E.钩回
126、单项选择题 腰椎术后不良综合征原因有()
A.椎间盘再脱出
B.假性脊髓膨出
C.小关节脱位
D.神经受损
E.以上均是
127、单项选择题 关于脾血管瘤,下列哪项说法错误()
A.实性或囊实性肿块
B.边缘清楚的低或等密度区
C.可有大小不等的囊变区
D.增强扫描肿块明显强化
E.发现钙化即可除外血管瘤
128、多项选择题 旋转性寰枢关节半脱位的CT诊断,正确的为()
A.儿童多见,预后良好
B.上呼吸道感染、微小的创伤、先天性畸形、强直性脊柱炎和类风湿性关节炎等均可致病
C.薄层CT横断面扫描并矢状面和冠状面重建可精确显示寰枢椎的相互关系
D.CT是诊断本病的最佳方法
E.儿童寰椎前结节后缘与枢椎齿状突前缘的距离大于4mm,提示横韧带撕裂
129、单项选择题 下面关于四肢骨关节及软组织CT扫描技术的叙述错误的是()
A.双手及腕关节的扫描采用俯卧位
B.双肩关节、胸锁关节的扫描采用仰卧位
C.双膝关节、踝关节和下肢长骨的扫描采用俯卧位
D.双足扫描时应仰卧
E.双髋关节及股骨上段的扫描采用仰卧位
130、单项选择题
患者19岁,肾性高血压,根据图像,对其原因的评价,正确的诊断为()
A.嗜铬细胞瘤
B.肾动脉狭窄
C.肾癌
D.Page(佩奇氏)肾
E.以上都不是
131、多项选择题 下列属于数字化影像设备的是()
A.CT
B.MR
C.B超
D.DR
E.DSA
132、单项选择题 下面对垂体微腺瘤的CT放大动态扫描的特点的叙述错误的是()
A.垂体微腺瘤放大动态扫描能清楚地观察微腺瘤及其与周围组织结构的关系
B.在增强扫描的早期阶段,在增强的垂体组织内微腺瘤呈局限性低密度影,边界多数清楚
C.在晚期阶段,微腺瘤皆为高密度病灶
D.在晚期阶段,微腺瘤可呈等密度或高密度病灶
E.动态扫描可观察微腺瘤血供的全过程
133、多项选择题 肝包虫病特点有哪些()
A.人畜共患寄生虫病
B.约98%为囊性包虫病
C.成虫生活在门静脉内
D.成虫生活在末梢胆管内
E.与囊型包虫病相比,泡型包虫病坏死、钙化率高
134、单项选择题 精索静脉曲张可引起下列哪种情况()
A.输卵管闭塞导致不育
B.输尿管狭窄
C.影响生精功能导致不育
D.输精管闭塞导致不育
E.以上都不是
135、单项选择题 CT诊断椎间盘膨出的特征性表现是()
A.椎间盘局限性超出椎体边缘
B.椎间盘内示气体密度影
C.椎间盘对称性、均匀一致地超出椎体边缘
D.椎间盘后缘出现弧形钙化
E.椎体终板边缘骨质增生
136、单项选择题 盆腔CT扫描技术错误的是()
A.患者仰卧,头先进,侧面定位线平人体正中冠状面
B.定位像为身体盆腔正位定位像
C.扫描范围从髂嵴扫描至耻骨联合上缘
D.盆腔扫描采用标准或软组织模式
E.扫描膀胱和前列腺时采用5mm层厚,5mm间距
137、单项选择题 腮腺混合瘤典型的CT表现是()
A.不增强
B.可增强
C.不均匀增强
D.均匀增强
E.延迟增强
138、单项选择题 RBL是指()
A.眶下线
B.听眉线
C.听眦线
D.听鼻线
E.听眶线
139、单项选择题 以下哪一项CT表现,提示直肠癌失去手术机会()
A.肿块外缘毛糙
B.直肠全周受累
C.直肠周围脂肪内肿大淋巴结
D.直肠周围筋膜增厚
E.直肠周围脂肪密度增高
140、单项选择题 胸膜凹陷征形成的病理基础是()
A.肿瘤瘢痕收缩
B.瘤内含气、扩张的细支气管
C.肿瘤内残存正常含气肺组织
D.肿瘤钙化或包埋原有钙化灶所致
E.癌细胞浸润及间质反应
141、单项选择题 关于“鼻硬结肿”,下列描述哪项不正确()
A.无传染性
B.鼻硬结杆菌感染所致
C.慢性肉芽肿性疾病
D.愈后留瘢痕
E.临床以鼻腔骨壁吸收、破坏和鼻腔内软组织肿块为特征
142、单项选择题
女,57岁,咳嗽,胸闷,胸痛2月余,5年前被确诊为子宫绒毛膜癌,结合影像学检查,最可能的诊断是()
A.肺癌
B.肺结核
C.肺转移瘤
D.结节病
E.矽肺
143、单项选择题 碘过敏试验最可靠的方法是()
A.皮内试验
B.眼结膜试验
C.舌下试验
D.肌内注射试验
E.静脉注射试验
144、单项选择题
患者60岁,血尿,结合所示图像,结合所示图像,最可能的诊断是()
A.膀胱移行上皮细胞癌
B.血凝块
C.动静脉畸形
D.结石
E.结核
145、单项选择题 女,35岁,发现前纵隔囊实性肿块,增强后明显强化,与大血管之间的脂肪层消失,右前胸膜不规则增厚,后肋膈角胸膜可见结节,右侧少量胸水,最可能的诊断是()
A.恶性胸骨后甲状腺肿
B.霍奇金病
C.侵袭性胸腺瘤
D.恶性皮样囊肿
E.纵隔型肺癌
146、单项选择题
男,31岁,发热,白细胞计数增高,肝区疼痛,影像表现如图,最可能的诊断是()
A.肝癌
B.肝腺瘤
C.肝黄色肉芽肿
D.肝结核
E.多发性肝脓肿
147、单项选择题
男,25岁,外伤后行CT检查,最可能的诊断为()
A.脑膜瘤
B.脑挫裂伤
C.蛛网膜下腔出血
D.硬膜下血肿
E.硬膜外血肿
148、单项选择题 青少年患者,踝痛,最可能的诊断是()
A.跟距骨桥
B.脓肿
C.缺血坏死
D.骨结核
E.以上都不是
149、单项选择题 肺部CT图像照片时,对于窗的基本要求是()
A.一般采用双窗拍摄
B.只需拍摄肺窗
C.须要拍摄骨窗
D.须包括肺的宽窗和窄窗各一套
E.须拍摄肺窗和纵隔软组织窗
150、单项选择题 下列“先天性畸形”骨改变特点描述,哪项错误()
A.Turner综合征:掌骨征阳性
B.Marchesani综合征:指/趾异常短小
C.Lobstein病:骨密度均匀性升高
D.Marfan综合征:四肢骨细长,指趾尤其明显
E.Sprengel畸形:肩胛骨高位、脊柱发育异常
151、单项选择题
关于这两幅图像,哪项描述是不正确的()
A.第一张图像是MIP图
B.第二张图像是VRT图
C.肾内脉管在MIP图像上更清晰
D.肾内脉管在VRT图像上最清晰
E.以上都不是
152、单项选择题 发生在桥小脑角区肿瘤中岩骨有明显骨质增生的是()
A.三叉神经瘤
B.脑膜瘤
C.转移瘤
D.动脉瘤
E.听神经瘤
153、单项选择题 肝细胞癌CT表现,错误的是()
A.肝实质内出现孤立的界限清楚的占位性病变
B.肝实质内见多发的界限清楚的占位性病变
C.增强动脉期显著增强静脉期密度最低平衡期为低密度
D.动脉期为低密度静脉期为高密度迟延扫描仍为高密度
E.肝实质内呈弥漫的界限不清的浸润性病灶
154、多项选择题 蛛网膜下腔出血的间接征象有()
A.脑积水
B.脑水肿
C.脑室内出血
D.脑疝
E.脑梗死
155、单项选择题 动态增强扫描加延迟扫描最常用于的诊断和鉴别诊断()
A.肝硬化和脂肪肝
B.肝囊肿和肝癌
C.肝硬化和血管瘤
D.脂肪肝和肝囊肿
E.肝癌和肝血管瘤
156、单项选择题 男,32岁,反复咳嗽咳痰多年,加重3月,伴咯血10天,CT示左下肺串珠状软组织结节影,可见一小液平,最可能的诊断是()
A.肺支气管动静脉瘘
B.癌性淋巴管炎
C.支气管扩张症
D.支气管肺癌
E.肺内转移癌
157、单项选择题 以下哪项CT表现不支持支气管囊肿的诊断()
A.肿物呈卵圆形
B.肿物内无气体影
C.肿物内有气体影
D.肿物均匀轻度强化
E.肿物边缘光滑锐利
158、单项选择题
结合图像,最可能的诊断是()
A.肾肉瘤样癌
B.肾血管平滑肌脂肪瘤
C.肾腺瘤
D.肾囊肿
E.以上都不是
159、单项选择题 增强扫描动脉早期,脾脏多呈()
A.斑点样强化
B.均匀强化
C.斑马纹样强化
D.不强化
E.结节样强化
160、单项选择题
根据所提供的图像,推断此三维图像的数据是静脉注射后几秒采集的()
A.30s
B.60s
C.90s
D.180s
E.210s
161、单项选择题 Budd-Chiari综合征的CT表现,错误的是()
A.尾叶很小
B.肝大、腹水
C.平扫尾叶和附近左叶密度较高
D.增强早期尾叶和附近左叶明显强化
E.延迟扫描肝密度趋于均匀
162、单项选择题 肾上腺营养不良主要发生在()
A.儿童
B.青年女性
C.青春期
D.中年
E.老年
163、单项选择题 关于脑脓肿的诊断要点,下列描述哪项是错误的()
A.多位于幕上
B.颞叶最常见,约占40%
C.急性炎症期,可无明显强化
D.单发占70%
E.多发者高达70%
164、多项选择题 颅内动脉瘤最常见的临床表现为()
A.瘫痪
B.恶心
C.意识障碍
D.感觉异常
E.突发性头痛
165、单项选择题 CT平扫时,下列哪种肿瘤CT值最低()
A.脑膜瘤
B.胶质瘤
C.胆脂瘤
D.听神经瘤
E.转移瘤
166、单项选择题 CT扫描盆腔占位病变进行定性时,扫描技术不包括()
A.必须做增强扫描
B.增强扫描常规用静脉内团注法再加滴注
C.增强扫描常规用静脉内团注法
D.对比剂总量60~80ml
E.延迟扫描时间30~35秒
167、单项选择题 关于CT伪影的叙述,错误的是()
A.伪影通常无法去除
B.伪影使图像质量下降
C.伪影有时会引起误诊
D.伪影是CT扫描图像中的一种异常影像
E.由系统引起的伪影是不可避免的
168、单项选择题 男,18岁,CT扫描发现脊柱旁软组织肿块,邻近椎体骨质压迫吸收,增强扫描肿瘤内可见低密度区,首先考虑的诊断是()
A.椎旁血管瘤
B.椎旁神经纤维瘤
C.血肿机化
D.转移瘤
E.淋巴瘤
169、单项选择题
结合图像,该病例胰腺团块,最不可能的诊断为()
A.胰腺癌
B.胰岛细胞瘤
C.胰高血糖素瘤
D.肾癌转移
E.胰腺炎
170、单项选择题
女,34岁,反复咳嗽20余年,结合图像,最可能的诊断是()


A.左肺脓肿
B.肺炎
C.先天性支气管闭锁
D.支气管囊肿
E.肺隔离症
171、单项选择题 对于肾脏CT扫描的描述,下列哪项不正确()
A.肾皮质比肾髓质强化早
B.肾盂充盈期,对肾盂结石价值最高
C.强调平扫、动脉期、肾盂充盈期联合扫描
D.动脉期,对肾肿瘤价值高
E.疑结石者,必须平扫
172、单项选择题
患者,男,56岁,无明显诱因突然咯血入院,作CT检查如图,病变的肺叶(段)定位应为()
A.右肺下叶内基底段
B.右肺上叶尖、后段
C.右肺中叶
D.右肺上叶前段
E.右肺下叶后基底段
173、单项选择题 常引起视神经孔增大的病变是()
A.骨纤维异常增殖症
B.畸形性骨炎
C.石骨症
D.眶内血管瘤
E.视神经脑膜瘤
174、单项选择题 单光子发射计算机体层的英文缩写是()
A.X-CT
B.MRI
C.ECT
D.PET
E.SPECT
175、单项选择题 诊断骨缝分离的标准是()
A.>0.5mm
B.>1.0mm
C.>1.5mm
D.>2.0mm
E.>2.5mm
176、单项选择题 决定空间分辨率的主要因素是()
A.扫描方式
B.有效视野
C.重建矩阵
D.显示矩阵
E.探测器数目
177、单项选择题
患者26岁,男性,有慢性肺病,剧烈腹痛,汗液正常,最可能的诊断是()
A.过敏性支气管肺曲霉菌病
B.结核
C.囊性纤维化
D.淋巴瘤
E.以上都不是
178、单项选择题
女,50岁,查体发现纵隔向左移位,行胸部CT扫描如下图。

A.前者患侧肺充气不良程度重
B.后者患侧肺充气不良程度重
C.前者胸廓不对称,患侧胸廓小
D.后者胸廓不对称,患侧胸廓小
E.前者无症状
179、单项选择题
女,47岁,左侧腰部隐痛不适2个月余,结合所示图像最可能的诊断为()
A.左肾癌
B.左肾血管平滑肌脂肪瘤
C.左肾出血性囊肿
D.左肾炎性包块
E.左肾感染性囊肿
180、单项选择题 关于螺旋CT扫描优点的描述,下列哪项不正确()
A.减少图像的运动伪影
B.明显提高空间分辨率
C.可动态扫描
D.减少患者的辐射量
E.缩短扫描时间
181、单项选择题
女,1岁,发育低于同龄幼儿,CT检查如图,最可能的诊断为()
A.透明隔囊肿
B.前脑无裂
C.无脑回畸形
D.胼胝体发育不良
E.无脑回伴胼胝体发育不良
182、单项选择题 确诊胰腺肿瘤的首选影像检查方法是()
A.MRI
B.十二指肠低张造影
C.螺旋CT
D.SPECT
E.超声
183、单项选择题 根据CT工作原理,以下选择哪项是错误的()
A.探测器接收的信号须放大并经过模/数转换
B.模/数转换后的数据为显示数据
C.AP(阵列处理机)处理后的数据为显示数据
D.计算机控制扫描、数据采集、图像重建、显示和存储各个环节
E.图像存储包括摄片、磁带及光盘存储
184、多项选择题 关于脑膜瘤描述正确的有()
A.位于脑外
B.瘤旁水肿明显
C.平扫稍高密度并均一性增强
D.位于脑内
E.可有钙化或小囊变区
185、单项选择题 下列哪项不属于图像后处理技术()
A.多组CT值测量
B.图像局部放大
C.改变窗宽
D.图像反转
E.矢状重建
186、单项选择题
男,75岁,右侧胸痛伴咯血3月余,胸部CT提示右侧中央型肺癌,结合所示图像,该肾上腺疾病最可能的诊断为()
A.右侧肾上腺囊肿
B.右侧肾上腺转移癌
C.右侧肾上腺腺瘤
D.右侧肾上腺癌
E.右侧肾上腺嗜铬细胞瘤
187、单项选择题
男,67岁,呼吸困难半月余,结合影像学检查,最可能的诊断是()
A.胸骨后甲状腺肿
B.淋巴瘤
C.间皮囊肿
D.纵隔畸胎瘤
E.胸腺瘤
188、单项选择题
女,52岁,头痛、恶心、步态不稳,胸部和颅脑增强CT检查如图,最可能的诊断为()

A.星形细胞瘤
B.脑脓肿
C.肺癌脑转移
D.脑膜瘤
E.脑梗死
189、单项选择题 膀胱病变最基本的检查方法是()
A.B超
B.膀胱逆行造影
C.膀胱镜检查
D.静脉尿路造影
E.CT
190、单项选择题 骨膜增生的CT表现,正确的是()
A.CT能显示平片不易发现的扁平骨如肩胛骨和髂骨的骨膜增生
B.CT常不能显示多层骨膜增生
C.有时不能显示增生的骨膜与骨皮质之间的透亮间隙
D.CT上,有时增生的骨膜和原来的骨皮质混在一起而类似于骨皮质增厚
E.以上均对
191、单项选择题
男,26岁,左髋部疼痛,局部肿胀,无发热,结合图像,最可能的诊断是()
A.动脉瘤样骨囊肿
B.骨巨细胞瘤
C.尤文肉瘤
D.骨肉瘤
E.骨囊肿
192、多项选择题 关于多发性硬化的描述正确的是()
A.多见于年轻男性
B.多见于年轻女性
C.症状多变
D.病灶多位于脑白质
E.无明显占位征象
193、多项选择题 关于上颌窦恶性肿瘤,下列表述正确的是()
A.占耳鼻喉恶性肿瘤的20%
B.发病率仅次于鼻咽癌,居第二位
C.男女比例4:1
D.好发年龄50岁左右
E.上颌窦恶性肿瘤常为转移瘤
194、单项选择题 关于脑肿瘤好发年龄的描述,哪项不对()
A.髓母细胞瘤:10岁以下多见
B.松果体生殖细胞瘤:10~30岁多见
C.脑膜瘤:常为40~50岁中年人
D.脉络膜乳头状瘤:50岁以上多见
E.颅咽管瘤:15岁以下儿童多见
195、单项选择题 女,25岁,左乳痛7天,体温39.5~40℃,局部明显压痛、红肿。 如乳腺病灶形成脓肿,最重要的诊断依据为()
A.局部检查有波动
B.穿刺抽出脓液
C.局部皮温高
D.局部疼痛
E.全身症状重
196、单项选择题 小肝血管瘤与小肝癌的鉴别主要点是()
A.平扫时血管瘤多呈等密度
B.增强后动脉期小肝癌整个病灶强化
C.小血管瘤没有假包膜
D.延迟扫描血管瘤缩小或等密度充填
E.以上都不是
197、单项选择题 眼眶炎性假瘤肌炎型CT表现,以下错误的是()
A.一条或数条眼外肌增粗、肥大
B.多累及下直肌和内直肌
C.整条眼肌弥漫肥大
D.边缘多模糊
E.边缘整齐
198、单项选择题 下列哪项决定骨松质的CT值()
A.红骨髓
B.黄骨髓
C.骨小梁、红骨髓、黄骨髓
D.红骨髓、黄骨髓
E.骨小梁
199、单项选择题 常出现“线样征”的小肠疾病是()
A.节段性肠炎
B.淋巴瘤
C.小肠吸收不良
D.肠结核
E.坏死性肠炎
200、单项选择题 X线球管围绕人体腹背轴(前后轴)旋转的扫描方式称为()
A.横断位扫描
B.冠状位扫描
C.矢状位扫描
D.正位定位扫描
E.侧位定位扫描
201、单项选择题 有关像素和体素不准确的概念是()
A.像素实际上是体素在成像时的表现
B.体素是被按矩阵排列分隔的基本成像单位
C.体素是一个三维概念
D.像素越小,图像的分辨率相对越高
E.CT图像的基本组成单元称为体素
202、单项选择题 近50%的颅内畸胎瘤常发生于()
A.鞍区
B.后颅窝
C.桥小脑角
D.脑室脉络丛
E.松果体区
203、单项选择题 关于肝脓肿脓腔影像,下列描述哪项不对()
A.脓腔不强化
B.急性期可见不到脓腔
C.脓腔CT值多为60~80HU
D.可有“液-液面”
E.脓腔内偶可见到气体影
204、单项选择题 发生于膀胱上皮的肿瘤是()
A.多为恶性
B.均为恶性
C.各占一半
D.均为良性
E.多为良性
205、单项选择题
女,36岁,右上腹痛,有发热,白细胞计数升高,CT检查如图,最可能的诊断是()
A.原发性肝癌
B.肝淋巴管瘤
C.肝脓肿
D.肝黄色肉芽肿
E.肝胆管细胞癌
206、单项选择题
女,48岁,中上腹不适,CT扫描如图,最可能的诊断为()
A.原发性肝癌
B.胆管细胞癌
C.肝血管内皮瘤
D.肝血管瘤
E.小肠间质瘤
207、单项选择题
男,40岁,有血吸虫感染史,腹胀不适,食欲减退,CT扫描所见如图,最可能的诊断是()

A.肝炎后肝硬化
B.血吸虫后肝硬化
C.酒精性肝硬化
D.胆汁性肝硬化
E.脂肪肝
208、单项选择题 5岁男性,有不洁饮食史,自觉胸痛,气急,有果酱色粘痰,CT示肺内多发边缘模糊斑片状影,内有多个空洞,空洞壁厚薄不均,部分空洞内有条状高密度影,最可能的诊断是()
A.过敏性肺炎
B.急性肺脓肿
C.肺吸虫病
D.大叶性肺炎
E.肺钩端螺旋体病
209、单项选择题 关于灰阶与CT值关系的叙述,正确的是()
A.高CT值部分被转换为黑色
B.高CT值部分被转换为白色
C.X线衰减越大,转换成灰阶后颜色越深
D.图像中X线未被衰减,将显示为白色图像
E.改变窗宽,也可改变被显示物体的CT值
210、单项选择题
女,34岁,左耳流脓两个月,脓量多少不等,CT检查如图,最可能的诊断是()



A.乳突癌
B.中耳癌
C.胆脂瘤
D.肉芽肿形成
E.中耳结核
211、单项选择题 关于“脑膜瘤”的病理、影像描述,下列哪项不对()
A.是最常见的脑外肿瘤
B.易引起颅骨增厚,破坏,变薄
C.不发生于脑室内
D.脑膜中动脉供血为主,脉络膜动脉次之
E.囊变、坏死与肿瘤良恶性无关
212、单项选择题 鉴别听神经瘤与三叉神经瘤最重要的征象是()
A.瘤体与颅板呈锐角
B.增强幅度
C.合并出血、坏死
D.中、颅后窝骑跨生长
E.岩骨尖骨质破坏
213、单项选择题 女,14岁,癫痫,1年前蛛网膜下腔出血,CT示右颞叶前部有斑点样高密度灶,中度强化并见曲张血管,最可能的诊断为()
A.海绵状血管瘤
B.星形细胞瘤
C.动静脉畸形
D.少枝胶质细胞癌
E.动脉瘤
214、单项选择题 关于CT值的叙述,正确的是()
A.脂肪的CT值一般比水高
B.CT值标尺中,骨的上限是+2000
C.根据图像显示和诊断的需要,设置的一组数值
D.目前,CT值的百分比标尺是2%
E.是根据X线对人体软组织的衰减而设置的
215、单项选择题
女,36岁,左侧腰痛2年余,CT检查如图所示,下列说法错误的是()
A.左肾下极可见一混杂密度病灶,边界尚清
B.左肾病灶中可见脂肪密度灶,该区增强时无强化
C.右肾中极可见一小类圆形混杂密度病灶
D.考虑为肾癌
E.考虑为双肾错构瘤
216、单项选择题 以下属于气肿性肾盂肾炎CT表现的是()
A.肾外形增大
B.肾功能明显减退或丧失
C.肾实质多处破坏
D.肾内及肾周弥漫性气体与低密度软组织影并存,肾筋膜增厚
E.以上均对
217、单项选择题 喉部常规扫描,正确的屏气状态是()
A.吸气后屏气扫描
B.呼气后屏气扫描
C.平静呼吸状态扫描
D.发"依"声情况下扫描
E.鼓气状态下扫描
218、单项选择题 膀胱肿瘤的CT扫描其主要目的为()
A.早期诊断
B.显示肿瘤突入腔内的情况
C.良恶性肿瘤鉴别诊断
D.肿瘤与非肿瘤性病变的鉴别
E.显示肿瘤侵犯膀胱周围组织和淋巴结转移
219、单项选择题 关于增强扫描腹部脏器的CT检查,错误的是()
A.增强扫描通常在平扫后进行
B.采用静脉内团注法
C.对比剂用量60~80ml,流速2~3ml/s
D.肝脏、脾脏增强通常采用三期扫描
E.肝动脉期延迟扫描时间60秒
220、单项选择题 属于CT数字采集系统的部件是()
A.计算机
B.显示器
C.探测器
D.磁盘机
E.阵列处理机
221、多项选择题 良、恶性胸膜间皮瘤的鉴别()
A.胸膜增厚伴大量胸水,多为恶性
B.纵隔胸膜增厚一起形成环形增厚包绕肺组织,多为恶性
C.胸膜明显增厚超过2cm时几乎都是恶性
D.胸膜增厚呈结节状或肿块状多为恶性
E.纵隔固定无移位,多为恶性
222、单项选择题
男,67岁,排尿困难1年余,加重1个月,结合所示图像最可能的诊断为()
A.膀胱憩室
B.输尿管囊肿
C.膀胱结石
D.膀胱结核
E.膀胱炎
223、单项选择题 发生于视神经外的肌锥内肿瘤,最常见的是()
A.横纹肌肉瘤
B.视神经鞘瘤
C.海绵状血管瘤
D.淋巴瘤
E.视神经脑膜瘤
224、单项选择题 下述肺良性肿瘤较多见的是()
A.血管瘤
B.平滑肌瘤
C.脂肪瘤
D.腺瘤
E.纤维瘤
225、单项选择题 眶内海绵状血管瘤,最有特征的CT表现为()
A.肿瘤位于肌锥内
B.肿瘤增强扫描早期呈不均匀强化
C.肿瘤增强明显
D.肿瘤内致密结节影
E.肿瘤与眼球相邻
226、单项选择题 关于肾淋巴瘤的CT表现,错误的是()
A.无肿块的双侧肾肿大
B.肾内有多发结节或局灶性结节
C.肾无功能
D.结节常钙化
E.单发局灶性不规则的肾实质肿块
227、单项选择题
男,74岁,无痛性肉眼血尿1月余,CT扫描如图所示,该疾病最可能的诊断为()
A.膀胱癌
B.膀胱结石
C.膀胱血块
D.膀胱息肉
E.输尿管囊肿
228、单项选择题 患者头痛3年。CT示右小脑桥脑角有一3cm×5cm囊实性占位性病变跨越到鞍旁,实性部分增强,内听道正常。最大可能是()
A.听神经瘤
B.三叉神经鞘瘤
C.转移瘤
D.胶质瘤
E.表皮样囊肿
229、单项选择题
女,75岁,右上颌疼痛肿胀半年余,CT检查如图,最可能的诊断是()
A.造釉细胞瘤
B.牙龈癌
C.上颌骨骨肉瘤
D.混合性牙瘤
E.颌骨转移瘤
230、单项选择题 “罕见于成人”的脑肿瘤是()
A.胶质瘤
B.转移瘤
C.垂体瘤
D.髓母细胞瘤
E.脑膜瘤
231、单项选择题 栅栏样改变是椎体血管瘤的特征性表现,在CT横断位上表现为()
A.大小不等的分隔状
B.肿瘤穿破导致骨小梁的中断
C.边缘清楚、骨质硬化伴点状钙化
D.椎体的溶骨性破坏,伴密度不均
E.椎体骨小梁稀疏,呈增粗的小圆点状
232、多项选择题 肺内网状、蜂窝状阴影可见于下列哪些病变()
A.尘肺
B.间质纤维化
C.间质性肺炎
D.急性粟粒型肺结核
E.含铁血黄素沉着症
233、单项选择题 冠状面CT图像上,中耳胆脂瘤的最早表现是()
A.上鼓室扩大
B.听小骨破坏
C.鼓窦入口扩大
D.鼓膜嵴变钝
E.上鼓室扩大和听小骨吸收
234、单项选择题 前庭与骨半规管相接有几个()
A.2
B.3
C.4
D.5
E.6
235、单项选择题 CT对多发性骨髓瘤检查的首要目的是检出()
A.细小钙化
B.细小骨质增生
C.细小软组织肿块
D.细小骨质破坏
E.细小骨膜反应
236、单项选择题
女,15天。吸吮反射减弱。CT检查,最可能的诊断为()
A.脑水肿
B.新生儿缺氧缺血性脑病
C.脑出血
D.先天性无脑回
E.先天性巨脑回
237、单项选择题 关于腹腔壁层肿瘤,下列说法错误的是()
A.肿瘤沿腹膜面生长,呈板块状
B.肿瘤结节以腹膜壁层为基底向腹内突起
C.腹内脏器表面有肿块或板块状增厚
D.肿瘤结节可多发
E.合并大量积液
238、单项选择题
根据所提供的图像,该病例的最可能的诊断为()
A.胰腺癌
B.无功能胰岛细胞瘤
C.腺病
D.淋巴瘤
E.以上都不是
239、单项选择题 指出下列中纵隔病变的CT鉴别要点:恶性淋巴瘤()
A.非对称性淋巴结肿大
B.气管旁囊状病灶
C.块状病灶,常压迫上腔静脉
D.对称性淋巴结肿大
E.膨胀性搏动肿块
240、单项选择题 下列哪项无法成为马蹄肾的诊断依据()
A.多不伴有肾盂肾盏积水后形态异常
B.双侧肾脏较正常位置低
C.双肾旋转不良
D.输尿管在肾脏前面下行,有一定弧度
E.双肾下极在脊柱前方融合可诊断
241、单项选择题 下列哪项CT表现提示有结节病的可能()
A.肺内浸润阴影
B.肺内孤立空洞
C.双肺门淋巴结显著增大
D.胸腔积液
E.气胸
242、单项选择题 关于肝血管瘤的描述,下列哪项不正确()
A.病理上可分为海绵状血管瘤和毛细血管性血管瘤
B.平扫多呈低密度
C.增强扫描从病灶周边部开始强化
D.病灶边缘增强的密度与同一层面的主动脉密度相似
E.与肝癌相比,血管瘤向病灶中心增强的速度较快
243、单项选择题 CT平扫时,正常脑灰质的CT值为()
A.20HU
B.25~32HU
C.0~10HU
D.30~40HU
E.50~70HU
244、单项选择题 以下哪一项CT表现提示直肠癌失去手术机会()
A.肿块外缘毛糙
B.直肠全周受累
C.直肠周围脂肪内肿大淋巴结
D.直肠周围筋膜增厚
E.直肠周围脂肪密度增高
245、单项选择题
男,31岁,常感觉头痛,CT图像如图,最可能的诊断为()

A.颅脑CT未见异常
B.小脑梗死
C.大枕大池
D.蛛网膜囊肿
E.筛窦炎
246、单项选择题
男,27岁,干咳,呼吸困难半月余,有艾滋病病史半年余,结合CT检查,最可能的诊断是()
A.粟粒型肺结核
B.弥漫型肺癌
C.间质性肺炎
D.矽肺
E.卡波济肉瘤
247、多项选择题 关于过敏性肺炎,下列说法正确的是()
A.病灶具迁徙性
B.症状轻微
C.血中嗜酸性粒细胞增多
D.易出现空洞性结节
E.脱离过敏环境后不经治疗症状即可缓解
248、单项选择题 根据冠状动脉直径减少的百分数可推算出其面积减少的百分数,狭窄直径减少70%相当于面积减少()
A.75%
B.80%
C.85%
D.90%
E.95%
249、单项选择题 颈椎病发病率最高的是()
A.脊髓型
B.椎动脉型
C.交感型
D.神经根型
E.混合型D
250、单项选择题 通常认为内耳道宽度小于多少为狭窄()
A.5mm
B.3mm
C.8mm
D.1mm
E.10mm
251、多项选择题
男,47岁,腰痛、腰胀2月余伴低热、乏力,结合影像资料所示,下列哪项说法正确()
A.右侧输尿管多发性狭窄,呈“串珠样”改变
B.右侧输尿管多发性生理性狭窄
C.右侧肾盂轻度积水
D.考虑为右输尿管占位病变
E.考虑为右输尿管结核
252、多项选择题 在肾上腺疾病影像学检查过程中,CT检查有哪些特点()
A.CT是肾上腺疾病最佳影像检查方法
B.CT空间分辨率高,可以检出小的功能性病变
C.T扫描在肾上腺疾病诊断过程中的重要性。
D.通过重建可以显示病变的解剖关系
E.平扫发现病变者,需行增强扫描以明确诊断
253、单项选择题 小脑血管母细胞瘤可合并()
A.神经纤维瘤病Ⅰ型
B.神经纤维瘤病Ⅱ型
C.Von-Hippel-Lindau’病
D.Chiari畸形
E.结节性硬化
254、单项选择题
男,60岁,曾患乙肝、肝硬化多年,右上腹胀痛1月余,AFP为80.8μg/L,CT检查如图所示,最可能的诊断是()
A.肝硬化结节增生、右肾上腺瘤
B.肝、右肾上腺均为转移癌
C.肝癌右肾上腺转移
D.肝腺瘤、右肾上腺腺瘤
E.肾上腺癌肝转移
255、单项选择题
男,66岁,CT平扫发现右肾上极类圆形等密度的占位性病变,CT增强扫描,病灶明显强化,下列哪项诊断正确()
A.右肾上极癌
B.右肾上极囊肿
C.右肾上极血管平滑肌脂肪瘤
D.右肾上极转移癌
E.右肾上极淋巴瘤
256、单项选择题
结合所示图像,最可能的诊断是()
A.肾盂肾炎
B.肾梗死
C.移行上皮细胞癌
D.肾细胞癌
E.肾囊肿
257、单项选择题 正中孔梗阻引起扩张的脑室是()
A.侧脑室、三脑室、四脑室
B.侧脑室、三脑室、四脑室、六脑室
C.侧脑室、三脑室、五脑室、六脑室
D.侧脑室、三脑室、四脑室、五脑室
E.侧脑室、三脑室、四脑室、导水管
258、单项选择题 骨关节CT检查,一般采用()
A.平扫加增强扫描
B.仰卧患侧横轴位
C.定位像代替平片
D.俯卧双侧横轴位
E.骨窗和软组织窗并双侧骨关节对比观察
259、单项选择题 腹部CT扫描技术的适应证不包括()
A.肝肿瘤
B.脂肪肝
C.胰腺炎
D.肿瘤淋巴结转移
E.肠痉挛
260、单项选择题
女,64岁,发热、咳嗽1周。胸部CT扫描如下图。
患者抗炎治疗2周后,行胸部CT增强扫描检查,如下图,则最具诊断意义的征象为()

A.多发钙化灶
B.多发含气囊腔
C.多发短毛刺
D.供血动脉起自降主动脉
E.供血动脉起自腹主动脉
261、单项选择题 关于脑脓肿的描述,错误的是()
A.细菌侵入引起局限性脑内炎症并形成脓腔,称脑脓肿
B.其主要感染途径是鼻窦和乳突感染逆行进入颅内
C.脑脓肿可分脑炎早期,脑炎晚期,脓肿形成早期和脓肿形成晚期
D.脓肿晚期增强扫描,脓肿壁呈均匀环状强化
E.脑脓肿应该与胶质瘤和转移癌相鉴别
262、单项选择题
患者70岁,恶心、呕吐,结合图像,最可能的诊断是()
A.淋巴瘤
B.胃癌
C.淀粉样变性
D.转移
E.以上都不是
263、单项选择题 对鼻窦扫描基线的设定,哪项错误:()
A.进行上颌窦横断扫描应以听眶线为基线向下扫描
B.进行鼻咽部横断扫描应以听眶线为基线向下扫描
C.进行蝶窦横断扫描应以听眶线为基线向下扫描
D.进行筛窦横断扫描应以听眶线为基线向上扫描
E.进行额窦横断扫描应以听眶线为基线向上扫描
264、单项选择题 关于CT扫描图像重建技术的理解,下述哪个不妥()
A.CT扫描图像重建是通过过滤函数的计算来完成的
B.过滤函数是CT机内设定的算法,操作者不可选择
C.根据观察不同组织的对比和诊断需选择不同的过滤函数
D.选择适当的过滤函数可提高图像质量
E.过滤函数影响图像空间分辨率与密度分辨率
265、单项选择题 女,22岁。发现左乳下方肿块,活动,光滑,与皮肤无粘连,2个月来,肿块无明显增大,腋窝淋巴结阴性,有乳癌家族史。首选检查是()
A.红外线
B.MRI
C.CT
D.钼靶
E.B超
266、单项选择题 结节病患者CT表现为肺门及纵隔淋巴结肿大,双肺见斑片状磨玻璃影伴纤维条索状影,属于哪一期()
A.Ⅰ期
B.Ⅱ期
C.Ⅲ期
D.Ⅳ期
E.Ⅴ期
267、单项选择题
男,65岁,体检时超声发现双侧肾上腺肿块,CT检查如图所示,结合所示图像,最可能的诊断是()
A.双侧肾上腺转移癌
B.双侧肾上腺结核
C.双侧肾上腺嗜铬细胞瘤
D.双侧肾上腺增生
E.双侧肾上腺腺瘤
268、单项选择题
患者有溃疡性结肠炎病史20多年,结合图像,肠管扩大的原因是()
A.肠梗阻
B.降结肠癌
C.炎性狭窄
D.缺血坏死
E.以上都不是
269、单项选择题 属非离子型对比剂的是()
A.碘化钠
B.碘番酸
C.碘必乐
D.碘酞葡胺
E.泛影葡胺
270、多项选择题 Graves眼病应与下列哪些疾病鉴别()
A.肌炎性炎性假瘤
B.动静脉瘘
C.转移瘤
D.淋巴瘤
E.脂肪瘤
271、单项选择题 喉部的CT扫描范围应该是()
A.舌骨平面向下至环状软骨下缘
B.会厌部向下至主动脉弓上缘
C.口咽部向下至胸骨柄上缘
D.第三颈椎上缘至第七颈椎下缘
E.声门上方向下至声门下方
272、单项选择题 生殖细胞瘤与松果体瘤鉴别,最有利于生殖细胞瘤诊断的CT表现是()
A.肿瘤在三脑室后部
B.松果体钙化被肿瘤包埋
C.松果体钙化受压移位
D.松果体无钙化
E.梗阻性脑积水
273、单项选择题
成年男性,癫痫,颅脑CT平扫图像如下,最可能的诊断为()
A.脑炎
B.脑挫裂伤
C.脑囊虫病
D.脑出血
E.脑脓肿
274、单项选择题 下列哪项不属于CT扫描成像基本步骤()
A.产生X线
B.采集数据
C.重建图像
D.显示图像
E.图像后处理
275、单项选择题 以下哪项对CT图像密度分辨率的影响最小()
A.扫描参数
B.待检物体形状
C.噪声
D.待检物体密度
E.信噪比
276、多项选择题 蝶鞍层面解剖结构可显示()
A.后床突
B.脑桥
C.枕大池
D.四脑室
E.垂体
277、单项选择题 急性硬膜下血肿指损伤后几天内()
A.2天
B.2周
C.2小时
D.>2周
E.3天
278、单项选择题
根据所提供的图像,该病例最可能的诊断为()
A.胆管癌
B.肝细胞癌
C.脓肿
D.梗死、梗塞
E.胆管结石
279、单项选择题
根据所提供的图像,最可能的诊断是()
A.神经纤维瘤
B.血肿
C.脂肪肉瘤
D.转移癌
E.以上都不是
280、单项选择题
根据所提供的CT增强扫描时相的表现图像,最不可能的诊断为()
A.局灶性结节增生
B.胰岛细胞转移癌
C.血管瘤
D.肝细胞癌
E.以上都不对
281、单项选择题 超声发现肾实质内2cm占位,进一步检查应首选()
A.静脉尿路造影
B.尿路平片
C.同位素扫描
D.CT
E.血管造影
282、单项选择题
男,75岁,右侧肢体麻木无力,言语含糊,CT检查如下,最可能的诊断是()

A.脑腔隙灶
B.大面积脑梗死
C.脑萎缩
D.脑白质稀疏
E.皮层下动脉硬化性脑病
283、单项选择题
如图所示,该病例的鉴别诊断包括()
A.淋巴瘤
B.硬纤维瘤
C.肉瘤
D.以上都是
E.以上都不是
284、多项选择题 肝血管瘤的诊断标准为()
A.平扫呈低密度增强等密度充填时间大于7分钟
B.强化区域进行性向病灶中央扩散
C.早期病灶边缘呈高密度强化
D.平扫呈低密度增强后,等密度充填时间大于3分钟
E.延迟扫描病灶呈等密度充填
285、单项选择题 女,25岁,双侧突眼6个月。CT示双侧下直肌和内直肌呈梭形增大,增强扫描明显增强,眼环正常,眼球突出1cm,最可能的诊断是()
A.炎性假瘤
B.甲状腺性突眼(格雷夫斯病)
C.细菌性肌炎
D.血管性病变
E.横纹肌瘤
286、单项选择题
根据所提供的图像,该病例的最可能的诊断为()
A.2条肾动脉
B.肾动脉狭窄
C.肾细胞癌
D.肾梗死
E.以上都不是
287、单项选择题 患者,男,46岁,头痛1周,加重1天,出现喷射性呕吐,无明显发热,有轻咳。其家中多年饲养肉鸽。CT示双肺多发大小不等的斑片状影,无纤维钙化灶。下列最可能的诊断为()
A.肺放线菌病
B.肺吸虫病
C.肺隐球菌病
D.过敏性肺炎
E.肺结核
288、单项选择题 下列关于电子束CT表述,正确的是()
A.有电影成像方式和体积扫描方式
B.有流动成像方式和电影成像方式
C.流动成像方式测定心脏结构异常
D.电影成像方式用作流量分析
E.电影成像方式用来测定左室总体和区域性功能
289、单项选择题 CT诊断成人寰枢关节半脱位,标准是环椎前结节后缘与枢椎齿状突前缘的距离大于()
A.1mm
B.2mm
C.3mm
D.4mm
E.5mm
290、单项选择题 以下CT表现更倾向于硬膜外血肿而非硬膜下血肿的是()
A.血肿不超过中线
B.血肿不超越颅缝
C.血肿为等密度
D.边缘不甚清楚
E.占位效应更重
291、单项选择题 关于“胶质母细胞瘤”的描述,错误的是()
A.增强扫描呈明显强化
B.多位于幕上
C.平扫密度不均匀
D.儿童多见
E.瘤周水肿明显,占位征象显著
292、单项选择题
根据所提供的图像,最可能的诊断为()
A.出血坏死性胰腺炎
B.脓肿
C.急性胰腺炎
D.假性囊肿
E.胰腺癌
293、单项选择题 小脑囊实性肿瘤,壁结节轻度强化,周围轻度水肿,最可能的诊断是()
A.囊性星形细胞瘤
B.室管膜瘤
C.髓母细胞瘤
D.血管网状细胞瘤
E.囊性转移瘤
294、单项选择题
根据所提供的图像,该病例最可能的诊断为()
A.溃疡性结肠炎
B.缺血坏死性结肠炎
C.巨细胞包涵体病毒感染性结肠炎
D.结肠癌
E.淋巴瘤
295、单项选择题
如图所示,患儿的最可能的诊断是()
A.骨髓炎
B.尤文肉瘤
C.骨肉瘤
D.软骨肉瘤
E.以上都不是
296、单项选择题 下列哪项说法与卵巢癌无关()
A.盆腔、腹腔巨大多发囊实性肿块
B.腹水
C.腹腔不规则肿块,肠袢边缘不清
D.盆腔脂肪增多
E.肝周、盆壁、网膜有细小钙化
297、单项选择题
患者,男性,52岁,自述10天前发热,体温:38.2℃。血常规检查WBC:16.3×109/L,尿常规WBC:58.7/ml,增强CT检查如下图,应诊断为()
A.肾细胞癌
B.肾盂癌
C.肾囊肿
D.肾血管平滑肌脂肪瘤
E.肾脓肿
298、单项选择题 患者肾衰晚期,多骨的改变是什么引起的结果()
A.继发性甲状旁腺功能亢进
B.痛风
C.细菌性骨髓炎
D.骨髓瘤
E.以上都不是
299、单项选择题 慢性肺炎的CT表现中,错误的是()
A.高密度肺段、肺叶实变影多见于两肺下叶背段及右中叶
B.病灶内可见空气支气管征
C.病灶内有时可见柱状或囊状支气管扩张的管腔
D.病变的肺叶或肺段体积增大
E.有时可见肺门部淋巴结肿大
300、多项选择题
男,72岁,排尿困难1年余,无手术病史,CT扫描如图所示,下列说法正确的是()
A.一侧肾脏缺如
B.膀胱的后上方可见一囊性肿物,该囊性肿物与膀胱相通
C.考虑为先天性孤立肾
D.该囊性肿物考虑为膀胱憩室
E.该囊性肿物考虑为输尿管囊肿