时间:2025-03-25 13:13:10


1、单项选择题
男,16岁,咳嗽十余年,结合图像,最可能的诊断是()
A.胸廓内骨软骨瘤
B.周围型肺癌
C.陈旧性肺结核
D.胸膜粘连
E.以上都不是
2、单项选择题 肾结核的静脉肾盂造影最早出现的肾盂改变是()
A.肾皮质结核瘤
B.肾柱钙化
C.肾盂狭窄
D.肾乳头及肾小盏破坏
E.肾盂积水
3、单项选择题 CT显示颈椎横突孔骨折,提示()
A.重要神经损伤
B.脊髓损伤
C.椎动脉损伤
D.椎静脉损伤
E.无重要意义
4、多项选择题 腹膜后良性肿瘤包括()
A.脂肪瘤
B.脂肪肉瘤
C.神经纤维瘤
D.恶性畸胎瘤
E.淋巴管瘤
5、单项选择题
患者40岁,男性,如图所示,最可能的诊断是()
A.骨样骨瘤
B.转移瘤
C.内生软骨瘤
D.软骨肉瘤
E.以上都不是
6、单项选择题 先天性支气管扩张的病理基础为()
A.支气管壁组织的炎性病变
B.支气管内压增高
C.邻近肺组织对支气管的外在牵引
D.支气管弹性纤维不足或软骨发育不全
E.以上全对
7、单项选择题 颈部CT扫描的适应证不包括()
A.甲状腺肿瘤
B.颈部各种肿块
C.淋巴结肿大
D.腮腺炎
E.颈动脉体瘤
8、单项选择题
结合所示图像,最可能的诊断是()
A.肾细胞癌
B.移行上皮细胞癌
C.肾静脉栓塞
D.急性肾盂肾炎
E.肾梗死
9、单项选择题 44岁男性,上腹隐痛2月。CT示胰头肿大,密度尚均匀,肝内外胆管无明显扩张,半年后随访,病无明显变化,最可能的诊断是()
A.胰头炎
B.胰头癌
C.胆总管结石
D.十二指肠憩室炎
E.胆管炎
10、单项选择题
男,24岁,左大腿及膝部痛,结合图像,最可能的诊断是()
A.骨巨细胞瘤
B.骨囊肿
C.成软骨细胞瘤
D.动脉瘤样骨囊肿
E.骨肉瘤
11、单项选择题 CT的发明人是()
A.考迈克
B.莱德雷
C.亨斯菲尔德
D.维廉.康拉德.伦琴
E.安博若斯
12、单项选择题 为现代医学影像学的建立开劈先河的是()
A.MRI
B.DSA
C.CR
D.CT
E.DR
13、多项选择题 CT增强扫描显示心肌梗死病灶的强化形式包括()
A.早期增强病灶呈局限性充盈缺损
B.延迟性的残余充盈缺损
C.延迟性强化
D.早期强化
E.以上都不是
14、单项选择题
男,25岁,外伤后摄片,结合图像,最可能的诊断是()

A.肋骨骨折
B.锁骨骨折
C.原发性气胸
D.肋骨骨折伴气胸
E.锁骨骨折伴气胸
15、单项选择题 关于CT扫描方法的叙述错误的是()
A.低剂量扫描:指在保证诊断要求的前提下,降低螺旋CT的扫描参数,降低了病人X线的剂量
B.动态扫描:指静脉团注对比剂后,在极短的时间内对某一组织器官进行快速连续扫描,一边扫描一边重建图像的方法
C.目标扫描:又称靶扫描或放大扫描,是对兴趣区进行扫描的一种方法
D.延迟扫描:指注射对比剂后,等待数分钟,甚至数小时后再行扫描的一种CT检查方法
E.重叠扫描:指层间距小于层厚,使相邻的扫描层面部分重叠的CT扫描
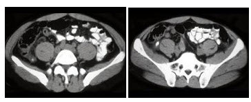
16、单项选择题
女,32岁,右腰部疼痛伴高热,根据所示图像,最可能的诊断是()
A.右肾囊性肾癌
B.右肾结核
C.右肾脓肿
D.右肾囊肿合并感染
E.右侧急性肾盂肾炎
17、单项选择题 CT发现侵袭性胸腺瘤侵犯纵隔脂肪,肿瘤为()
A.一期
B.二期
C.三期
D.四期
E.五期
18、多项选择题
女,64岁,反复尿频尿急尿痛6年余,尿常规检查:红细胞(++),白细胞(++)。CT扫描如图示,下列说法正确的是()
A.右侧输尿管下段管壁增厚,管腔狭窄
B.右肾积水
C.右侧输尿管上段扩张
D.考虑为慢性输尿管炎
E.考虑为输尿管移行细胞癌
19、单项选择题 在轴位图像上视神经直径为()
A.3~4mm
B.5~7mm
C.8~10mm
D.11~13mm
E.2~3mm
20、单项选择题
女,37岁,向心性肥胖2月,结合图像,最可能的诊断是()
A.右肾上腺腺瘤
B.右肾上腺腺癌
C.右肾上腺转移癌
D.右肾上腺嗜铬细胞瘤
E.右肾上腺增生
21、多项选择题
男,57岁,睡觉打鼾,近来加重,CT扫描如图所示,正确的描述或诊断是()
A.鼻咽腔偏右侧可见类圆形软组织块影
B.肿块内密度尚均匀,其上方见较多钙化影
C.肿块边缘大部清楚,邻近结构未见明显受侵
D.鼻咽癌
E.鼻咽部多形性腺瘤
22、单项选择题
女,40岁,眼眶周围软组织发红、肿胀3周,CT扫描如图,最可能的诊断是()
A.左侧眼眶黏液瘤
B.左侧眼眶脓肿
C.左侧眼眶黏液囊肿并感染
D.左侧眼眶脂肪瘤
E.左侧眼眶血管瘤
23、单项选择题
女,35岁,根据所示图像,最可能的诊断是()
A.多囊肾
B.多发性肾囊肿
C.肾癌
D.囊性肾癌
E.单纯性肾囊肿
24、单项选择题 青年男性,无自觉不适,CT平扫示双侧肾锥体对称分布,毛刷样钙化,尿检无明显异常,应首先考虑()
A.双侧髓质海绵肾
B.双肾结石
C.双肾结核
D.马蹄肾
E.双侧肾癌
25、单项选择题 骨样骨瘤瘤巢直径一般不超过()
A.0.5cm
B.1.0cm
C.1.5cm
D.2.0cm
E.2.5cm
26、单项选择题 对探测器性能的叙述,错误的是()
A.对X线射能量具有良好的吸收能力
B.对较大范围的射线强度具有良好的反应能力及均匀性
C.工作性能稳定,有良好的再现性
D.残光少,且恢复常态的时间慢
E.体积小,灵敏度高,少量射线照射,能获得足够大信息强度
27、单项选择题 CT发现左心后区类圆形“肿块”影,内含少量气体,最可能的诊断是()
A.心包囊肿
B.淋巴管瘤
C.膈疝
D.肺隔离症
E.神经源性肿瘤
28、单项选择题 颈动脉体瘤的CT表现中,颈总动脉分叉表现为()
A.无扩大
B.轻度扩大
C.扩大,呈杯状
D.向前移位
E.缩小
29、单项选择题 听眶线与同侧听眦线的夹角约为()
A.5°
B.8°
C.12°
D.15°
E.20°
30、单项选择题 下列关于脑膜瘤的描述中正确的是()
A.男性发病率高
B.青少年多见
C.多为良性
D.多见邻骨质破坏
E.CT增强扫描多无明显强化
31、单项选择题
女,48岁,中上腹不适,CT扫描如图,最可能的诊断为()
A.原发性肝癌
B.胆管细胞癌
C.肝血管内皮瘤
D.肝血管瘤
E.小肠间质瘤
32、单项选择题 关于周围间隙现象的理解,哪个是正确的()
A.周围间隙现象与部分容积效应产生的原因不相干
B.在同一层面上与其相垂直且密度不同的组织,其边缘CT值会出现误差
C.相邻组织中密度高的边缘CT值大
D.相邻组织中密度低的边缘CT值小
E.周围间隙现象并不是CT图像质量控制的重要内容
33、单项选择题 与CT图像密度分辨率无关的是()
A.光子的数量
B.像素噪声
C.焦点尺寸
D.焦点至探测器距离
E.扫描层厚
34、多项选择题
男,35岁,右侧腰部疼痛伴发热,根据所示图像,最可能的诊断是()
A.右侧肾脓肿
B.右侧单纯性肾囊肿
C.右侧囊性肾癌
D.右肾转移癌
E.前列腺脓肿
35、单项选择题
男,58岁,有高血压病史,突发胸背剧痛,CT扫描如图,其最可能的诊断为()
A.主动脉瘤
B.主动脉假性动脉瘤
C.主动脉窦瘤破裂
D.高安病
E.主动脉夹层动脉瘤
36、多项选择题 关于腺性膀胱炎,描述正确的是()
A.慢性感染被认为是其发生的主要诱因
B.膀胱壁无钙化
C.膀胱壁可见蛋壳样钙化
D.膀胱壁呈局限性不规则增厚或弥漫均匀性增厚
E.一般不侵犯肌层
37、单项选择题
患者,女,16岁,偶感头痛,CT图像如下,可诊断为()
A.黏液囊肿
B.鼻窦炎
C.上颌窦癌
D.鼻真菌病
E.黏膜下囊肿
38、单项选择题 女,52岁,右眼突.CT示视神经肿瘤,内有钙化,视神经孔扩大,骨质增生,增强明显,应诊断为()
A.胶质瘤
B.横纹肌瘤
C.脑膜瘤
D.转移瘤
E.炎性假瘤
39、单项选择题 侵袭性垂体腺瘤的表现为()
A.起源于垂体后叶
B.多显示平直的鞍膈
C.可以经海绵窦上侵及鞍旁
D.不会经海绵窦下侵及鞍旁
E.推移包绕颈外动脉
40、单项选择题 40岁男性,体检发现胆总管局限性扩张,CT增强扫描,扩张的胆总管壁无增厚、强化表现,肝内胆管结构正常,胆总管远端无“截断征”,最可能诊断为()
A.胰头癌
B.壶腹癌
C.化脓性胆管炎
D.先天性胆总管囊样扩张症
E.硬化性胆管炎
41、单项选择题 男,23岁,视力减退3月余,左侧视乳头原发性萎缩,CT平扫鞍区类圆形高密度病灶,蝶鞍扩大,鞍上池闭塞,增强扫描病灶均一强化,边界清楚、光滑、锐利,最可能的诊断为()
A.动脉瘤
B.颅咽管瘤
C.脑膜瘤
D.垂体瘤
E.生殖细胞瘤
42、单项选择题
女,40岁,右眼反复溢泪伴眼球渐进性突出2年余,眼球运动受限,CT检查如图所示,最可能的诊断是()
A.泪腺囊肿
B.泪囊囊肿
C.泪腺血肿
D.泪囊血肿
E.眶内结核
43、单项选择题 冠状位CT扫描鼻窦技术中错误的是()
A.扫描体位为头部颌顶位或顶颌位
B.扫描层面平行于上颌窦上缘或与听眦线垂直
C.扫描范围从蝶窦后壁起至额窦前壁止
D.层厚5mm,层间距5mm
E.用非螺旋扫描方式即可
44、单项选择题 精索静脉曲张可引起下列哪种情况()
A.输卵管闭塞导致不育
B.输尿管狭窄
C.影响生精功能导致不育
D.输精管闭塞导致不育
E.以上都不是
45、单项选择题 以下X线表现,不属于肾周围脓肿的是()
A.患侧横膈位置升高,活动度变弱或消失
B.肾周围脂肪囊消失,肾外形无法显示
C.肾阴影肿大
D.肾内广泛钙化
E.脊椎向对侧侧凸
46、单项选择题 关于慢性胰腺炎CT表现,错误的是()
A.胰腺及胰管钙化
B.假囊肿形成
C.胰管扩张
D.局部软组织肿块
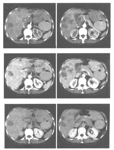
E.胰腺萎缩变小
47、单项选择题 关于“球后炎性假瘤”的分型,下列说法哪项错误()
A.泪腺型
B.球后炎性肿块型
C.眼外肌型
D.泪囊型
E.弥漫型
48、单项选择题 关于腺样体肥大的CT影像特点,下述哪项不符合()
A.密度多均匀
B.平扫呈稍高密度
C.增强扫描显著强化
D.颅底骨质破坏
E.与周围邻近结构界线清楚
49、单项选择题 以下关于降主动脉夹层动脉瘤的CT表现哪项是错误的()
A.内膜钙化内移
B.两个不同增强密度的主动脉腔
C.主动脉夹层真腔较大,假腔较小
D.真腔与假腔直径比<1
E.假腔可无增强
50、多项选择题 动脉瘤样骨囊肿的特征()
A.边缘硬化有液-液平面
B.有钙化或骨化影
C.边缘无硬化无液-液平面
D.无钙化
E.无液-液平面、无增强
51、单项选择题 CT扫描与常规X线体层摄片比较,根本区别是()
A.病人受射线量的多少
B.可获得冠、矢状面图像
C.空间分辨率高低
D.无层面外组织的重叠
E.显示范围大小
52、单项选择题 下列关于鼻窦囊肿的描述,错误的是()
A.黏液囊肿多见于额窦
B.黏液囊肿可引起窦壁骨质吸收
C.黏膜下囊肿好发于上颌窦
D.CT容易区别黏膜下囊肿和黏液腺囊肿
E.额窦黏液囊肿可压迫眼球移位
53、单项选择题
患者右臀疼痛,影像检查如图所示,最可能的诊断是()
A.骨软骨瘤
B.骨梗死
C.骨样骨瘤
D.骨折
E.以上都不是
54、单项选择题
女性,49岁,双肾B超示多发结石,血液生化检查显示血钙升高,血磷降低。甲状腺、甲状旁腺CT扫描如下,最可能的诊断为()
A.左侧甲状腺腺瘤
B.左侧甲状腺癌
C.左侧甲状旁腺腺瘤
D.左侧颈部淋巴结肿大
E.左侧甲状旁腺腺癌
55、单项选择题 后颅窝CT扫描基线取()
A.听眉线
B.听眦线(OML)
C.听眶线
D.听眶线10°
E.听眶线20°
56、单项选择题
男,70岁,下腹部腹胀、腹痛、排便困难,逐渐加重,MRI示直肠内不规则充盈缺损,最可能的诊断是()
A.直肠息肉
B.直肠癌
C.直肠间质瘤
D.直肠转移癌
E.直肠淋巴瘤
57、单项选择题 单发巨大肝占位伴砂粒样钙化,最可能的诊断是()
A.淋巴瘤肝转移
B.肺癌肝转移
C.结肠癌肝转移
D.子宫内膜癌肝转移
E.肾癌肝转移
58、单项选择题 成年男,CT示气管与右主支气管交界处直径4cm圆形肿物,CT值20HU,密度均匀,不增强,最可能的诊断是()
A.支气管囊肿
B.肺癌
C.肺门淋巴结肿大
D.结节病
E.肺门淋巴结结核
59、单项选择题 有关胆囊腺肌增生症的说法,错误的是()
A.胆囊粘膜层和肌层过度增生导致胆囊壁增厚
B.胆囊腔缩小
C.胆囊浓缩和收缩功能正常
D.罗一阿氏窦与胆囊不相通
E.罗一阿氏窦一般2~3mm大小
60、单项选择题
急腹症患者突发腹痛,影像检查如图,最可能的诊断为()
A.出血坏死性胰腺炎
B.尿路梗阻
C.小肠梗阻
D.主动脉瘤破裂
E.以上都不是
61、单项选择题 CT图像中从白到黑的灰度影像,称为()
A.密度分辨率高
B.空间分辨率高
C.灰阶
D.窗宽窗位
E.噪声
62、单项选择题 微小听神经瘤直径()
A.<1cm
B.<2cm
C.<1.5cm
D.1~1.5cm
E.2cm
63、单项选择题 CT探测器的作用是()
A.探测透过射线以获得投影数据信息
B.探测病人位置是否准确
C.探测扫描时散射线的多少
D.探测透过射线以获得正确曝光量
E.以上都不是
64、单项选择题 关于胸腺瘤与胸腺增生的鉴别要点,下列说法中错误的是()
A.胸腺增生多见于青少年
B.胸腺瘤很少发生于20岁以下者
C.伴有重症肌无力者为胸腺瘤,而非胸腺增生
D.胸腺增生多无明显肿块轮廓
E.胸腺瘤可出现坏死、囊变和出血
65、单项选择题 椎管内血管畸形中最常见的是()
A.动脉畸形
B.静脉畸形
C.毛细血管扩张症
D.动静脉畸形
E.混合性畸形
66、单项选择题 有关肝多房棘球蚴病的描述,错误的是()
A.可有血行、淋巴播散
B.囊泡的角皮质层相对较完整
C.大囊肿性病变边缘增强部分为炎性肉芽组织
D.病变边缘部分有星环状拉列的细颗粒状、多结节状或块状钙化
E.可表现为伴有钙化的实质性病变
67、单项选择题 侵袭性曲菌病感染早期,CT扫描在肺部结节周边可见较低密度区域环绕,称作“晕轮征”,其病理基础为()
A.肺不张
B.肺出血
C.肺水肿
D.肺气肿
E.阻塞性肺炎
68、单项选择题 关于脑脓肿的诊断要点,下列描述哪项是错误的()
A.多位于幕上
B.颞叶最常见,约占40%
C.急性炎症期,可无明显强化
D.单发占70%
E.多发者高达70%
69、单项选择题 CTAP检查时,导管应置于()
A.腹腔动脉内
B.肝动脉内
C.肠系膜上动脉或脾动脉内
D.门静脉内
E.肠系膜上静脉内
70、单项选择题 关于胆管细胞癌,下列描述哪项不对()
A.多数患者AFP阴性
B.肝硬化发生率比原发性肝癌高
C.局限性肝内胆管扩张
D.居肝脏原发性恶性肿瘤第二位
E.可有小的不规则钙化
71、单项选择题 肩关节脱位最常见的类型是()
A.肩关节前脱位
B.肩关节后脱位
C.肩关节半脱位
D.肩关节脱位合并外科颈骨折
E.肩关节脱位合并肱骨头骨折
72、单项选择题 后鼻孔闭锁,最佳检查方法是()
A.副鼻窦瓦氏位
B.副鼻窦柯氏位
C.副鼻窦侧位
D.副鼻窦正位体层
E.副鼻窦横断CT扫描
73、单项选择题
男,28岁,左手臂上部可扪及一硬结,有轻压痛,结合图像,最可能的诊断是()
A.骨软骨瘤
B.骨旁骨瘤
C.表面骨肉瘤
D.皮质旁软骨瘤
E.皮质旁软骨肉瘤
74、单项选择题 少枝胶质细胞瘤的特征性CT表现是()
A.混合密度
B.索条状钙化
C.不规则增强
D.可呈低密度
E.以上都是
75、单项选择题 眼及眼眶CT扫描技术适应证不包括()
A.球内和眶内肿瘤
B.炎性假瘤
C.血管性疾病
D.结膜炎
E.眼外伤
76、多项选择题
男,54岁,根据所示图像,最可能的诊断是()
A.左侧肾脓肿
B.左侧肾囊肿
C.左侧肾积水
D.左侧肾梗死
E.主动脉夹层
77、单项选择题 下列关于脾血管瘤的错误说法是()
A.边缘钙化常为薄蛋壳样
B.可以有大小不等的囊变区
C.均匀的低或高密度肿块
D.增强扫描肿块明显增强
E.常合并肝硬化和脾静脉曲张
78、单项选择题
根据所提供的图像,该患者右肾积水的原因为()
A.肾癌
B.结石梗阻
C.狭窄
D.肾动静脉交叉
E.以上都不是
79、单项选择题
1986年Bosniak根据CT征象提出肾囊性病变四级分类法,下列图像中的肾囊肿属于哪一类()
A.BosniakⅠ类
B.BosniakⅡ类
C.BosniakⅢ类
D.BosniakⅣ类
E.以上都错误
80、单项选择题 注入对比剂后要求15min开始扫描的是()
A.氙气增强CT
B.颅脑增强CT
C.关节造影CT
D.肝脏增强CT
E.脊髓造影CT
81、单项选择题 移行细胞癌最好发的部位是()
A.肾小盏
B.肾盂
C.肾实质
D.输尿管
E.膀胱
82、单项选择题
男,42岁,轻度咳嗽,胸部隐痛2月余,结合CT检查,最可能的诊断是()
A.食管囊肿
B.淋巴管囊肿
C.淋巴管瘤
D.支气管囊肿
E.神经源性肿瘤
83、单项选择题 常引起视神经孔增大的病变是()
A.骨纤维异常增殖症
B.畸形性骨炎
C.石骨症
D.眶内血管瘤
E.视神经脑膜瘤
84、单项选择题 厚壁空洞的壁厚应大于()
A.2mm
B.2.5mm
C.3mm
D.3.5mm
E.4mm
85、单项选择题
女,42岁,经常头痛,近两个月出现抽搐四次,MRA检查如图,最可能的诊断为()
A.颅咽管瘤
B.脑膜瘤
C.动脉瘤
D.垂体瘤
E.颅内血肿
86、多项选择题
男,33岁,反复尿频,尿急,尿痛3年余,排尿困难4月,尿常规:蛋白(+),红细胞0~1个/HP,白细胞(++),CT扫描如图所示,下列诊断哪项正确()
A.膀胱结石
B.膀胱慢性炎性肉芽肿
C.膀胱癌
D.双侧肾积水,双侧输尿管扩张
E.膀胱多发性假性憩室
87、单项选择题 多发性硬化最常见部位是()
A.基底节
B.脑干
C.视交叉及视神经
D.侧脑室周边脑白质
E.小脑白质
88、单项选择题
患者60多岁,男性,胸部不适加重,最可能的诊断为()
A.食管癌
B.肺癌
C.主动脉瘤破裂
D.淋巴瘤
E.以上都不是
89、单项选择题 垂体瘤不会引起的症状是()
A.泌乳闭经综合征
B.Cushing综合征
C.肢体偏瘫
D.肢端肥大症和巨人症
E.视力障碍
90、单项选择题 关于胰腺CT断面解剖论述错误的是()
A.胰腺位于腹膜后肾前间隙中,前为腹膜壁层,后为肾前筋膜
B.胰体、尾层面高于胰头,钩突最低
C.正常胰头宽径最大范围不应超过同层面上椎体的横径
D.胰颈位于胰头、体之间,肠系膜动脉前方,前缘可见边缘凹入
E.胰头在十二指肠内呈圆形或分叶状,下腔静脉在其后方,这是确定胰头的标志
91、单项选择题 小儿CT增强扫描,76%泛影葡胺用量一般为()
A.1.5~2.0ml/kg
B.2.5~3.0ml/kg
C.3.5~4.0ml/kg
D.0.5~1.0ml/kg
E.4.5~5.0ml/kg
92、单项选择题 易出现脓胸或脓气胸的肺炎是()
A.大叶性肺炎
B.支原体肺炎
C.支气管肺炎
D.金黄色葡萄球菌肺炎
E.腺病毒性肺炎
93、单项选择题 女性,30岁,双侧突眼6个月。CT示双侧下直肌和内直肌呈梭形增大,增强扫描呈明显强化,眼环正常,眼球突出约1.0cm,最可能的诊断是()
A.血管性病变
B.细菌性肌炎
C.横纹肌肉瘤
D.甲状腺性突眼
E.炎性假瘤
94、单项选择题
根据所提供的图像,最可能的诊断为()
A.肝癌
B.肝血管瘤
C.局灶性结节增生
D.肝硬化再生结节
E.以上都不是
95、单项选择题 以下关于肾上腺肿瘤的描述,错误的是()
A.对患有恶性肿瘤的患者,如CT检查发现一侧肾上腺占位,有可能为转移瘤或肾上腺原发性无功能肿瘤
B.肾上腺转移瘤最常见来自肺癌,约15%肺癌患者肾上腺可能是唯一转移部位
C.CT表现为正常肾上腺,可排除显微镜下转移灶
D.肾上腺转移先累及肾上腺髓质,后累及皮质
E.肾上腺单侧肿瘤时,有时难以鉴别是转移瘤或是原发肿瘤
96、单项选择题 颅脑病变的非直接征象是()
A.脑室变形、正常结构移位、脑水肿
B.病灶增强,形态、中线结构移位
C.蛛网膜下腔增宽、骨质增生
D.脑室扩张、脑积水、病灶多发
E.病灶的结构、大小、密度
97、单项选择题 男,60岁,头痛,CT示左额叶有一4cm×2.5cm低密度病变,内有斑片样钙化,轻度不均匀强化,灶周轻度水肿,中线右偏,最大可能为()
A.少枝胶质细胞瘤
B.脑膜瘤
C.胶质母细胞瘤
D.转移瘤
E.恶性淋巴瘤
98、单项选择题
女,67岁,乳癌术后1年,胸部CT如图,首先应考虑()
A.石棉肺
B.金葡菌肺炎
C.粟粒性肺结核
D.淋巴瘤
E.肺转移瘤
99、单项选择题
女,39岁,发热、咳嗽1周,WBC:15×109/L,胸部CT平扫如图
同一病例上部层面如图,合理的解释为()
A.支扩并感染
B.大叶性肺炎残余病灶
C.过敏性肺炎病灶
D.肺不张
E.肺气肿
100、单项选择题
男,32岁,手足无力、颤抖、视力减弱,有时眩晕,时好时坏,查体发现四肢肌肉萎缩,CT检查如图,最可能的诊断为()
A.多发脑梗死
B.转移瘤
C.胶质瘤
D.多发性硬化
E.脑囊虫病
101、单项选择题
如图所示,患儿的最可能的诊断是()
A.骨髓炎
B.尤文肉瘤
C.骨肉瘤
D.软骨肉瘤
E.以上都不是
102、单项选择题 肝脏CTA检查时,导管应置于()
A.肠系膜上动脉内
B.脾动脉内
C.肝动脉内
D.腹主动脉内
E.肾动脉内
103、单项选择题
患者60岁,如图所示,该患者的鉴别诊断应除外()
A.脊索瘤
B.浆细胞瘤
C.转移瘤
D.巨细胞瘤
E.以上都不是
104、单项选择题 脑底动脉环(Willis环)不包括下列哪项()
A.颈内动脉
B.大脑前动脉
C.大脑后动脉
D.大脑中动脉
E.后交通动脉
105、单项选择题
男,29岁,因左腹股沟突发肿物3小时入院,左腹股沟皮下环处有一约4cm×5cm的肿物,触痛甚,质软,基底部有一细蒂,左阴囊发育小,睾丸缺如,CT检查如图所示,下列说法错误的是()
A.左睾丸下降不全
B.精索静脉曲张
C.腹股沟直疝
D.腹股沟斜疝
E.左腹股沟区肿块为曲张的精索静脉
106、多项选择题 关于肾细胞癌的影像学诊断方法选择,哪些是错误的()
A.CT检查是首选
B.CT检查不明确者,可做MRI检查,以明确诊断及肿瘤分期
C.超声检查仅作为一种筛查手段
D.肾动脉血管造影一般用于术前了解肿瘤血管的解剖、肿瘤动脉有无栓塞
E.尿路造影诊断价值较大,亦较常应用
107、单项选择题 膀胱肿瘤好发的部位是()
A.尿道嵴
B.尿道内口
C.膀胱颈
D.膀胱三角
E.输尿管间襞
108、单项选择题 心脏搏动引起的影像模糊属于()
A.设备移动
B.生理移动
C.意外移动
D.胶片移动
E.X线管移动
109、单项选择题 鉴别听神经瘤与三叉神经瘤最重要的征象是()
A.瘤体与颅板呈锐角
B.增强幅度
C.合并出血、坏死
D.中、颅后窝骑跨生长
E.岩骨尖骨质破坏
110、单项选择题
男,32岁,有头颅外伤史,结合CT图像,最可能的诊断是()
A.硬膜下血肿
B.硬膜外血肿
C.硬膜下积液
D.蛛网膜下腔出血
E.脑挫裂伤
111、单项选择题
男,36岁,腹胀、消化不良、消瘦、中上腹痛,影像检查如下图,最可能的诊断是()
A.胃间质肉瘤并肝转移
B.胃间质瘤并原发性肝癌
C.内胚窦瘤肝转移
D.胃淋巴瘤伴原发性肝癌
E.胃间质瘤并肝血管瘤
112、单项选择题 Graves眼病最常累及()
A.上直肌
B.上斜肌
C.下直肌
D.外直肌
E.内直肌
113、单项选择题
女,39岁,咳嗽伴轻微胸痛,CT检查如图,最可能的诊断是()
A.右下肺节段性不张
B.右下肺脓肿
C.右下肺周围型肺癌
D.右下肺炎性假瘤
E.右下肺肺泡细胞癌
114、单项选择题 血管对比剂浓度高,且维持时间长的注射方法是()
A.静脉点滴法
B.团注法
C.滴注--大量快注法
D.大量快注--滴注法
E.多次大剂量急速注射法
115、单项选择题 与普通平片相比,下列哪一项不是CT的优点()
A.密度分辨率高
B.解剖分辨率高
C.空间分辨率高
D.可进行多方位重建
E.增强扫描有利于病灶的定性
116、单项选择题 对四肢进行CT扫描时,如何区分左右肢()
A.双侧对比摆位
B.包括邻近关节
C.包括软组织
D.采用连续扫描法
E.输入注释标记
117、单项选择题 下列关于冠状动脉夹层的CT表现哪项是正确的()
A.CT横断面图像不能显示内膜片,但可见真、假腔
B.CT横断面图像不能显示内膜片,但可见真腔
C.CT横断面图像不能显示内膜片,但可见假腔
D.CT横断面图像能显示内膜片,但不能显示真、假腔
E.CT横断面图像能显示内膜片,亦可以显示真、假腔
118、单项选择题 以下“碘过敏反应”中,哪一项最危险()
A.皮肤丘疹
B.喉部发痒
C.打喷嚏
D.皮肤瘙痒
E.面部潮红
119、多项选择题
下列关于纵隔神经源性肿瘤描述,正确的是()
A.多位于后纵隔,良性肿瘤为主
B.MRI对显示伴椎管内的肿瘤更好
C.CT呈边缘清楚光滑的肿块,密度均匀,CT值与肌肉相仿
D.MRI上T1WI呈中等偏低信号,T2WI呈高信号
E.增强扫描,病灶可有强化
120、单项选择题 诊断支气管扩张,安全无创伤的检查方法是()
A.胸片
B.断层
C.HRCT
D.ECT
E.MRI
121、多项选择题 早期肝癌应与以下哪些疾病进行鉴别()
A.血管瘤
B.肝硬化再生结节
C.转移性肝癌
D.肝腺瘤
E.FNH
122、单项选择题 先天性颅脑闭合畸形,不包括()
A.脑脊膜膨出
B.脑膜膨出
C.胼胝体脂肪瘤
D.无脑畸形
E.无脑回畸形
123、单项选择题 正常小肠能产生逆蠕动的部位在()
A.空肠上段
B.空肠下段
C.回肠近段
D.回肠末端
E.回肠中端
124、多项选择题 主动脉夹层的CT检查可有以下哪些表现()
A.钙化内膜片内移
B.可显示撕裂的内膜瓣片
C.可显示真腔和假腔
D.胸腔或心包积液
E.升主动脉或降主动脉增宽
125、单项选择题
结合图像,该胰腺团块,最不可能的诊断为()
A.肉瘤
B.脂肪瘤
C.胰腺囊肿
D.以上都有可能
E.以上都不是
126、单项选择题 对下列哪种骨折,CT诊断价值不及平片()
A.肱骨小头骨折
B.环椎骨折
C.颈椎横突骨折
D.腰椎骨折
E.股骨干骨折
127、单项选择题 下列关于鼻咽纤维血管瘤的描述,错误的是()
A.好发于10~25岁青少年
B.肿块体积大,呈膨胀性生长
C.多起源于鼻咽顶部枕骨结节及蝶骨翼突内板的骨膜部
D.肿瘤可造成颅底骨质破坏
E.CT增强肿块强化不明显
128、单项选择题 脑三叉神经血管瘤病(sturge-Weber综合征)的特征描述,下列哪项是错误的()
A.前额血管痣
B.面颊血管痣
C.枕叶血管瘤
D.额叶血管瘤
E.癫痫
129、单项选择题 “结节病”,脑CT表现下述哪项不对()
A.增强,脑膜、基底池可强化
B.交通性脑积水
C.平扫,结节密度比脑组织低
D.脑外肉芽肿结节,多位于脑底部
E.脑内肉芽肿结节,常有明显水肿
130、单项选择题 女,46岁。两眼不能完全睁开,全身无力,前纵隔内发现肿块,最可能的是()
A.胸腺瘤
B.畸胎瘤
C.胸内甲状腺肿
D.心包囊肿
E.气管囊肿
131、单项选择题 关于“鼻硬结肿”,下列描述哪项不正确()
A.无传染性
B.鼻硬结杆菌感染所致
C.慢性肉芽肿性疾病
D.愈后留瘢痕
E.临床以鼻腔骨壁吸收、破坏和鼻腔内软组织肿块为特征
132、多项选择题 诊断缩窄性心包炎最重要的三种征象为()
A.上腔静脉扩张
B.心包增厚
C.心包钙化
D.右心房血栓形成
E.室间隔扭曲成角
133、单项选择题
女,54岁,左上腹痛,CT检查如图,最可能的诊断是()
A.脾淋巴瘤
B.脾脓肿
C.脾梗死
D.脾血管瘤
E.脾转移癌
134、单项选择题 下列哪项CT表现是诊断主动脉瓣狭窄的特征性征象()
A.主动脉瓣口缩小
B.主动脉瓣增厚
C.主动脉瓣缩短
D.主动脉瓣钙化
E.主动脉瓣纤维化
135、单项选择题 正常乳腺CT表现中,不包括()
A.乳腺后间隙
B.乳腺悬韧带
C.皮下脂肪
D.导管
E.淋巴结肿大
136、单项选择题 关于“颅内错构瘤”,下列描述错误的是()
A.2岁以下男孩多见,常有性早熟
B.鞍上圆形占位,多≤2cm
C.CT平扫密度与脑组织相仿
D.增强扫描明显强化
E.MRI各序列信号特点与脑灰质类似
137、单项选择题 最有利于脑外肿瘤定位的CT表现为()
A.边界不清楚
B.脑皮层受压内移
C.明显增强
D.中线移位
E.颅骨变薄
138、单项选择题
女,29岁,尿频、尿痛伴寒战高热3天。尿检:白细胞(+++),结合所示图像,最可能的诊断是()
A.左侧肾癌
B.左侧急性肾盂肾炎
C.左侧肾脓肿
D.左侧肾结核
E.左侧肾囊肿合并感染
139、单项选择题 关于颅脑扫描基线和应用的叙述错误的是()
A.扫描基线有听眦线
B.扫描基线有听眉线
C.扫描基线有听眶线
D.头部CT检查常以此听眶线作为扫描基线
E.经听眉线扫描的图像对显示第四脑室和基底节区组织结构较好
140、单项选择题
男童,6岁,因癫痫就诊。查体:面部见血管痣,CT扫描如下图,最可能的诊断为()

A.结节性硬化
B.少突胶质细胞瘤
C.Sturge-Weber综合征
D.弥漫性硬化
E.脑结核
141、单项选择题 肺纹理主要由哪些结构组成()
A.支气管动、静脉和淋巴管
B.支气管
C.淋巴管
D.支气管动、静脉
E.肺动、静脉
142、单项选择题 有关肾脏CT检查的描述,错误的是()
A.正常肾脏CT平扫可区分出肾皮质和肾髓质
B.增强皮质期(开始注药后30~40s),肾皮质显影最清楚
C.正常情况下,CT图像上肾实质密度低于同层面脾脏密度
D.增强实质期(开始注药后60~90s),肾皮质、髓质均显影明显,二者分界不再清晰
E.增强排泄期(开始注药后4~10min),肾集合系统开始显影
143、单项选择题 眼外肌从眶尖的腱环向前行附着于下列哪项组织()
A.角膜
B.虹膜
C.脉络膜
D.巩膜
E.视网膜
144、单项选择题 下丘脑属于()
A.端脑
B.间脑
C.丘脑
D.中脑
E.后脑
145、单项选择题 脑转移瘤好发于()
A.脑髓质
B.小脑皮层
C.脑皮层
D.大脑皮层
E.大脑皮层、皮层下区及皮髓质交界区
146、单项选择题 前臂静脉团注增强扫描,肺动脉的循环时大约为()
A.10±秒
B.20±秒
C.30±秒
D.40±秒
E.50±秒
147、多项选择题 以下关于脂肪肝病因正确的是()
A.糖尿病
B.肝炎
C.肥胖
D.肝癌
E.营养不良
148、单项选择题 鼻咽癌中最常见的类型是()
A.腺鳞癌
B.鳞癌
C.低分化癌
D.未分化癌
E.腺癌
149、单项选择题 CT用含碘造影剂进行增强扫描,关于碘过敏反应,下列哪项不对()
A.用同一批号造影剂做过敏试验
B.属过敏体质的患者,应用前可给以一定量的抗过敏药
C.碘过敏试验阴性则不会发生碘过敏反应
D.检查室应备足抢救设备和药品
E.多见于血管内给药
150、单项选择题 功能性胰岛细胞瘤分泌不同性质的激素,最多见的是()
A.分泌增血糖素瘤
B.分泌促胃液分泌素瘤
C.血管活性肠肽瘤
D.分泌胰岛素的瘤
E.生长激素释放抑制素瘤
151、单项选择题 关于胆囊结石描述,错误的是()
A.泥砂样结石常沉积在下部,密度较高,与上部胆汁形成液平
B.石灰样胆汁胆囊呈造影样高密度
C.结石均呈结节状致密影
D.结石中心可有气体存在
E.结石常合并慢性胆囊炎
152、单项选择题 下列CT设备进展中,相对应用最早的技术是()
A.双排探测器系统应用
B.螺旋CT扫描设备应用
C.多层螺旋CT应用
D.滑环技术的应用
E.电子束CT技术的应用
153、单项选择题 CT示腰4椎体后缘局限性软组织密度影,硬膜囊前方脂肪层消失,硬膜囊受压变形,神经根增粗,诊断为()
A.神经纤维瘤
B.神经根鞘囊肿
C.椎间盘突出
D.椎间盘膨出
E.椎小关节病
154、单项选择题
男,52岁,贲门癌术后3年,肝脏CT增强扫描如图所示,考虑的疾病为()
A.贲门癌肝转移
B.原发性肝细胞癌
C.肝海绵状血管瘤
D.多囊肝
E.肝囊肿
155、单项选择题 关于侵袭性胸腺瘤的描述,错误的是()
A.CT表现为边缘不清的不规则肿块
B.纵隔受侵犯的主要征象是结构间脂肪层消失
C.可沿胸膜种植到同侧后纵隔、心包、后肋膈角区
D.可通过主动脉裂孔和食管裂孔进入腹腔
E.易发生肺内多发性转移
156、单项选择题
患者背痛,如图所示,最可能的诊断是()
A.转移瘤
B.新鲜外伤
C.骨髓瘤
D.疏松性骨折
E.以上都不是
157、单项选择题 下列不必进行增强扫描的是()
A.鉴别纵隔内结构
B.鉴别血管肿块淋巴结
C.大血管畸形
D.肺肿块合并肺不张
E.畸胎瘤
158、单项选择题
主动脉后的团块是()
A.腺瘤
B.神经纤维瘤
C.主动脉瘤
D.扩大的奇静脉
E.以上都不是
159、多项选择题 少枝胶质细胞瘤需与下述哪些病变相鉴别()
A.星形细胞瘤
B.神经节细胞瘤
C.钙化性脑膜瘤
D.室管膜瘤
E.脑三叉神经综合征
160、单项选择题 关于腹腔游离气体原因,以下哪项不对()
A.剖腹探察术后1周内
B.慢性胃炎
C.输卵管通气检查后第2天
D.消化道溃疡
E.个别正常女性
161、单项选择题 先天性输尿管囊肿最常见的好发部位在()
A.肾盂-输尿管交界处
B.输尿管上段
C.输尿管中段
D.输尿管下段
E.输尿管膀胱壁内段
162、单项选择题
肾血管平滑肌脂肪瘤的病理(CT扫描见下图),错误的是()
A.肾实质内肿瘤
B.由三种组织成分构成
C.有包膜
D.可有肾盂肾盏变形
E.肿瘤容易出血
163、单项选择题
女,55岁,结合所示图像,最可能的诊断是()
A.卵巢癌种植转移
B.间皮瘤
C.良性肿瘤
D.石棉沉积症
E.以上都不是
164、单项选择题 下面对颅脑CT后处理技术应用正确的是()
A.颅脑CT图像常用软组织窗摄影
B.观察脑时用窗宽80~100HU,窗位35HU左右
C.骨窗的窗宽1500~2000HU,窗位300~500HU
D.观察软组织时用窗宽400~500HU,窗位30~60HU
E.疑桥小脑角区病变者用窗宽80~100HU,窗位35HU左右
165、多项选择题 肝脏淋巴瘤通常分()
A.结节型
B.包囊型
C.弥漫型
D.巨块型
E.癌栓型
166、单项选择题
男,50岁,腰骶部疼痛3个月,近期加重,无发热。根据腰骶椎CT平扫片,最可能的诊断为()

A.骨髓瘤
B.骨转移瘤
C.脊索瘤
D.骨肉瘤
E.骨巨细胞瘤
167、单项选择题
女,50岁,中上腹疼痛,消瘦乏力,影像检查如下图,最可能的诊断是()

A.慢性胰腺炎
B.急性胰腺炎
C.胰腺癌并腹膜后淋巴结转移
D.胰岛素瘤
E.腹膜后淋巴瘤
168、单项选择题 应首先排除()
A.胸主动脉硬化
B.主动脉壁内血肿
C.胸主动脉夹层并破裂
D.胸主动脉破裂
E.主动脉炎
169、单项选择题 腹部CT扫描前关于口服对比剂的准备正确的是()
A.常用3%泛影葡胺
B.扫描前50分钟口服该浓度对比剂500ml
C.检查前再口服300~500ml
D.观察肾及肾上腺则要提前60分钟口服
E.腹膜后腔检查则应提前3小时口服
170、单项选择题
女,23岁,胸闷、气促1个月余,左侧锁骨上触及无痛性肿大淋巴结。胸部CT增强扫描片如图,最可能的诊断为()
A.淋巴瘤
B.肺动脉栓塞
C.右上肺肺癌
D.非侵袭性胸腺瘤
E.结节病
171、单项选择题 眼眶CT扫描采用()
A.听眦线25°横轴位和冠状位
B.听眦线30°横轴位和冠状位
C.听眦线横轴位和冠状位
D.听眦线横轴位和矢状位
E.听眦线20°横轴位和冠状位
172、单项选择题 关于CT伪影的叙述,错误的是()
A.伪影通常无法去除
B.伪影使图像质量下降
C.伪影有时会引起误诊
D.伪影是CT扫描图像中的一种异常影像
E.由系统引起的伪影是不可避免的
173、单项选择题
男,55岁,呼吸困难,气喘,查体桶状胸体症,CT如图,最可能的诊断是()
A.双上肺结核
B.左上肺结核,右上肺癌
C.间质性肺炎
D.右上肺癌并肺内转移
E.矽肺
174、单项选择题 与CT扫描伪影无关的是()
A.扫描中病人移动
B.显示器故障
C.探测器故障
D.体内金属异物
E.扫描层面中有高密度骨出现
175、单项选择题 CT与MRI相比,下列哪项是其优势()
A.密度分辨率高
B.直接多轴面成像
C.化学成像,信息量大
D.空间分辨率高
E.无碘过敏危险
176、单项选择题 肝癌患者,平扫见肿瘤边缘更低密度环状带,增强扫描显示低密度环状带于门静脉期和实质期增强,提示多为肝癌的哪一型()
A.巨块型
B.结节型
C.弥漫型
D.外生型
E.空洞型
177、单项选择题 以下哪种病变增强CT检查对其有帮助()
A.胆囊结石
B.肺间质纤维化
C.泌尿系结石
D.肝内占位
E.腰椎间盘突出
178、单项选择题 膀胱三角区正确的描述是()
A.膀胱底部两侧至膀胱颈部区域
B.膀胱顶部两侧至膀胱颈部区域
C.膀胱底部至输尿管开口区域
D.膀胱底部至膀胱颈部
E.膀胱底部输尿管开口至尿道内口区域
179、单项选择题 脑膜瘤肿瘤的好发部位,按从多到少的排列顺序为()
A.矢状窦旁→脑凸面→嗅沟→大脑镰→鞍结节
B.鞍结节→嗅沟→脑凸面→大脑镰→矢状窦旁
C.矢状窦旁→大脑镰→脑凸面→嗅沟→鞍结节
D.大脑镰→脑凸面→嗅沟→鞍结节→矢状窦旁
E.脑凸面→大脑镰→矢状窦旁→嗅沟→鞍结节
180、单项选择题 缺氧所致的颅内出血以下列哪种较常见()
A.蛛网膜下腔出血
B.硬膜窦撕裂出血
C.皮质桥静脉出血
D.脉络丛静脉破裂出血
E.脑内出血
181、单项选择题
男,72岁,右上腹痛1月,AFP阴性,无乙肝病史,CT扫描如图,最可能的诊断是()
A.肝脓肿
B.肝转移癌
C.原发性肝癌
D.肝血管瘤
E.胆管细胞癌
182、单项选择题
女,26岁,全身不适,发热,咳嗽,咯血,有吸毒史,结合CT图像,最可能的诊断是()
A.卡波济肉瘤
B.肺癌
C.肺转移癌
D.肺结节病
E.肺结核
183、单项选择题 女,30岁,左眼球突出,运动障碍7个月。CT平扫示左肌锥内有稍高密度不规则块影。增强扫描示均匀增强,眼肌、眼环正常。诊断为()
A.甲状腺性突眼
B.眼眶蜂窝织炎
C.炎性假瘤
D.海绵状血管瘤
E.转移瘤
184、单项选择题 对于CT的临床应用,以下哪项不对()
A.颅脑肿瘤的检查首选普通X线,次选CT
B.椎间盘突出的检查:首选CT,次选脊髓造影
C.脑梗死的检查:首选CT,次选脑血管造影
D.肝脏肿瘤的检查:首选超声,次选CT
E.椎管内肿瘤的检查:首选CT,次选脊髓造影
185、单项选择题 不属于良性星形细胞瘤征象的是()
A.位置表浅
B.轻度增强
C.轻度水肿
D.钙化
E.有出血,坏死
186、单项选择题 诊断小肠肿瘤最为有效的方法是()
A.常规钡餐造影
B.低张气钡双对比造影
C.腹腔充气造影
D.B超
E.CT
187、单项选择题 对于CT图像空间分辨率的叙述,以下哪项正确()
A.不同重建方法得到图像的空间分辨率不同
B.空间分辨率与探测器大小成正比
C.空间分辨率与被测物体间密度差成反比
D.空间分辨率与探测器数目成反比
E.空间分辨率与螺距无关
188、单项选择题
男,26岁,转移性右下腹痛,麦氏点压痛、反跳痛,结合CT图像,最可能的诊断是()
A.盲肠炎
B.阑尾炎合并结石
C.阑尾脓肿
D.阑尾憩室炎
E.正常阑尾
189、单项选择题 脊椎结核的影像学检查,CT优于X线平片主要是在于显示()
A.骨质破坏
B.椎间隙狭窄
C.骨质增生
D.椎管内脓肿
E.钙化
190、多项选择题
男,20岁,右腰部胀痛不适,MRI如图示,下列说法正确的是()
A.右侧肾盂积水
B.右侧输尿管上段扩张积水
C.右侧输尿管走行异常,呈“S”形向中线移位
D.考虑为右侧腔静脉后输尿管
E.考虑为右侧输尿管自身的扭曲
191、单项选择题 关于面神经管第二段表述,错误的是()
A.又称水平段
B.也称为迷路段
C.位于中耳内
D.位于外半规管以下
E.冠状位CT上可以显示
192、单项选择题 恶性骨肿瘤的诊断依据不包括下列哪一项()
A.浸润性骨质破坏
B.有骨膜反应
C.有软组织肿块
D.有肿瘤骨形成
E.病灶边界清晰
193、单项选择题
男,56岁,突感胸闷,憋气,就诊后行CTA检查如下图,应考虑为()
A.主动脉瘤
B.主动脉夹层(DeBakeyⅠ型)并主动脉瘤
C.主动脉夹层(DeBakeyⅡ型)并主动脉瘤
D.主动脉夹层(DeBakeyⅢ型)并主动脉瘤
E.主动脉血栓
194、单项选择题 对于慢性胆囊炎的CT特征表现是()
A.胆囊大,囊壁水肿,密度低
B.胆囊正常大小,肝内胆管扩张
C.胆囊小,囊壁增厚
D.胆囊大,胆总管扩张
E.以上都不是
195、多项选择题
甲状腺癌转移病例,CT图像如图,正确的描述或结论是()
A.右心室见一不规则低密度充盈缺损
B.该充盈缺损累及右心室流出道
C.未见异常发现
D.考虑为右心室血栓
E.黏液瘤
196、多项选择题 阑尾炎的X线表现有哪些()
A.单指压痛
B.阑尾淤积
C.阑尾扭曲固定
D.阑尾部分显影或不显影
E.回肠末端和盲肠与阑尾粘连
197、单项选择题
因血尿行栓塞治疗,结合所示图像,最可能的诊断是()
A.肾盂肾炎
B.肾梗死
C.正常栓塞术后改变
D.肾癌
E.肾囊肿
198、单项选择题 肺隔离症血供最常见于来自()
A.降主动脉
B.主动脉弓
C.支气管动脉
D.肋间动脉
E.腹主动脉
199、单项选择题 高分辨率CT扫描,层厚必须采用()
A.1~2mm扫描层厚
B.3~4mm扫描层厚
C.5~6mm扫描层厚
D.8~10mm扫描层厚
E.10~20mm扫描层厚
200、单项选择题 下述有关腺病毒肺炎的描述错误的是()
A.病变可坏死
B.气管源性感染
C.累及肺实质较轻
D.早期侵犯大气管
E.吸收较慢
201、单项选择题
男,46岁,外伤后左下颈搏动性肿块,CT如图所示,最可能的诊断是()
A.左颈部血管瘤
B.左颈动脉体瘤
C.左颈静脉球瘤
D.左颈总动脉假性动脉瘤
E.左颈部动静脉畸形
202、单项选择题
男,32岁,几天前踝部扭伤,疼痛,不能行走,结合CT图像,最可能的诊断是()
A.骨囊肿
B.动脉瘤样骨囊肿
C.骨纤维异常增殖症
D.骨巨细胞瘤
E.畸形性骨炎
203、单项选择题 喉部的CT扫描范围应该是()
A.舌骨平面向下至环状软骨下缘
B.会厌部向下至主动脉弓上缘
C.口咽部向下至胸骨柄上缘
D.第三颈椎上缘至第七颈椎下缘
E.声门上方向下至声门下方
204、单项选择题 腮腺混合瘤的典型CT增强表现为()
A.延迟强化
B.不均匀强化
C.不强化
D.可强化
E.均匀强化
205、单项选择题
患者,女,56岁,上腹隐痛半年余,黑便。上腹部CT增强扫描图像如下,最有可能的诊断是()
A.胃癌
B.胃溃疡
C.慢性胃窦炎
D.胃淋巴瘤
E.胃间质瘤
206、多项选择题
男,59岁,反复尿频尿急尿痛4年余,尿常规检查:红细胞(+),白细胞(++),CT扫描如图示,下列说法正确的是()
A.左侧输尿管中下段输尿管管壁增厚,管腔狭窄
B.左侧侧输尿管上段扩张
C.考虑为输尿管结核
D.考虑为慢性输尿管炎
E.考虑为输尿管移行细胞癌
207、单项选择题 螺旋CT与传统CT最主要的区别是()
A.动态扫描
B.体积扫描
C.快速扫描
D.同层扫描
E.以上都不是
208、多项选择题 颅内结核瘤在CT扫描时有以下几种特点()
A.单发或多发结节
B.病灶钙化
C.环状强化的病灶
D.病灶周围有明显水肿
E.靶征
209、单项选择题
患者57岁,男性,最可能的诊断是()

A.淋巴瘤
B.胸腺瘤
C.胸腺增生肥大
D.腺瘤
E.以上都不是
210、单项选择题 肺部CT的应用指征不包括()
A.肺部弥漫性病变
B.肺气肿
C.咯血
D.大范围气胸
E.肿瘤分期
211、单项选择题
对右肺的描述如图,正确的是()
A.右肺分2叶
B.右肺有肺小舌
C.右肺宽且短
D.可分为8个支气管肺段
E.居右侧胸膜腔内
212、单项选择题
男,75岁,右侧肢体麻木无力,言语含糊,CT检查如下,最可能的诊断是()

A.脑腔隙灶
B.大面积脑梗死
C.脑萎缩
D.脑白质稀疏
E.皮层下动脉硬化性脑病
213、单项选择题 胃癌患者,胸痛1个月,进行性加重,最近出现呼吸困难。CT平扫发现左侧多发散在的胸膜结节,并见大量胸腔积液,CT增强扫描结节明显强化。 最可能的诊断为()
A.并发结核性胸膜炎
B.并发液气胸
C.并发肺转移瘤
D.并发胸膜转移瘤
E.弥漫性胸膜间皮瘤
214、单项选择题 关于胆脂瘤特点,下列描述哪项错误()
A.青壮年多见
B.好发于桥小脑角、鞍上池
C.可有脂肪密度结构
D.多为脑脊液密度
E.增强扫描明显强化
215、单项选择题 在HRCT扫描的必备条件中,哪项与降低噪声有关()
A.CT机固有空间分辨率0.5mm
B.扫描层厚为1~1.5mm的薄层扫描
C.图像重建使用高分辨率算法
D.应用512×512以上矩阵采集
E.使用高kV和高mAs扫描
216、单项选择题 胼胝体发育不全的直接征象是()
A.大脑纵裂增宽与第三脑室前部相连
B.室间孔不同程度的扩大和分离
C.第三脑室扩大上升位于侧脑室之间
D.双侧侧脑室扩大、分离
E.以上都不是
217、单项选择题 对于视网膜母细胞瘤的常见CT表现,下列描述错误的是()
A.肿瘤密度较低
B.位于眼球壁上
C.肿瘤呈轻中度强化
D.肿瘤内团块状钙化
E.肿瘤可向眼球外突出
218、多项选择题 大叶性肺炎的CT征象是()
A.病变呈大叶性或肺段性分布
B.病变中可见空气支气管征
C.病变密度不均匀
D.实变的肺叶体积通常与正常时相等
E.消散期病变呈散在的、大小不一的斑片状影
219、单项选择题 脑内肿瘤瘤周水肿属()
A.间质性水肿
B.血管源性水肿
C.细胞毒性水肿
D.梗阻性水肿
E.渗出性水肿
220、单项选择题 关于肾解剖,错误的是()
A.肾实质分为皮质与髓质
B.肾实质外有肾包膜、脂肪、Gerota筋膜
C.肾前间隙有胰腺、十二指肠以及升、降结肠
D.后肾间隙有脂肪
E.肾位于腹膜腔内
221、单项选择题
根据所提供的图像,最可能的诊断是()
A.淋巴瘤
B.腹膜后纤维化
C.胰腺癌
D.肝癌
E.以上都不是
222、单项选择题 脊柱骨转移瘤,CT扫描更重要的是可以明确()
A.有无骨破坏
B.有无软组织肿块
C.有无骨膜反应
D.是否侵犯椎管和硬膜囊
E.有无压缩性骨折
223、单项选择题 右下肺门的主要构成为()
A.右下肺动脉及下肺静脉
B.右下肺动脉及上下肺静脉
C.右下肺静脉及动脉(除后回归支外)
D.右下肺静脉及相应支气管、淋巴结
E.右下肺动脉
224、单项选择题 男,65岁,CT示左额顶叶有一混杂密度病灶,中线结构右移,增强扫描示不均匀环状强化,最可能的诊断是()
A.单发转移瘤
B.少枝胶质细胞瘤
C.出血性梗死
D.胶质母细胞瘤
E.淋巴瘤
225、单项选择题 卵巢囊肿中最常见的是()
A.皮样囊肿
B.单纯囊肿
C.巧克力囊肿
D.滤泡囊肿
E.多囊病
226、单项选择题 鞍区肿瘤平扫示混杂密度影,最可能的诊断是()
A.垂体瘤
B.脑膜瘤
C.颅咽管瘤
D.动脉瘤
E.脊索瘤
227、多项选择题 中耳继发性胆脂瘤的并发症为()
A.脑脓肿
B.乳突皮下脓肿
C.水平半规管瘘
D.乙状窦周围脓肿
E.乙状窦栓塞
228、单项选择题
女,56岁,腹胀、腹痛、左下腹包块3月余,无肛门排气,影像检查如图,最可能的诊断是()
A.乙状结肠Crohn病
B.乙状结肠结核
C.乙状结肠腺癌
D.乙状结肠淋巴瘤
E.乙状结肠息肉
229、单项选择题 关于宫颈癌的CT表现,下列说法错误的是()
A.宫颈增大,形成软组织密度肿块
B.肿块内坏死形成低密度区
C.子宫侧壁向外延伸的不规则软组织影提示为肿瘤向盆腔侵犯
D.肿瘤与邻近器官间脂肪消失应诊断为该器官受侵
E.CT未见淋巴结肿大不能排除淋巴转移
230、单项选择题 下述肾脏疾病的CT表现中哪项不正确()
A.肾盂癌-肾窦区肿块,密度高于尿液而低于肾实质
B.膀胱癌-自膀胱突向腔内肿块和(或)膀胱壁局限性不规则增厚
C.输尿管肿瘤-输尿管梗阻端类似肌肉密度的软组织肿块
D.肾撕裂伤-肾脏周围的新月状高密度病变
E.多囊肾-双肾布满多发大小不等圆形或圆卵形水样低密度病变
231、单项选择题 正常输尿管有几个生理性狭窄()
A.3个狭窄
B.2个狭窄
C.5个狭窄
D.4个狭窄
E.6个狭窄
232、单项选择题 关于肝脓肿脓腔影像,下列描述哪项不对()
A.脓腔不强化
B.急性期可见不到脓腔
C.脓腔CT值多为60~80HU
D.可有“液-液面”
E.脓腔内偶可见到气体影
233、单项选择题
男,31岁,急性腹痛、上腹部压痛反跳痛,腹肌紧张,CT扫描如图,最可能的诊断是()
A.上消化道穿孔
B.腹腔积液
C.气胸
D.间位结肠
E.肠梗阻
234、单项选择题
男,22岁,下腹部包块1月,伴低热乏力,浅表淋巴结肿大,影像检查如图,最可能的诊断是()
A.肠淋巴瘤
B.肠粘膜下出血
C.肠癌
D.腹腔脓肿
E.肠结核
235、多项选择题 良、恶性胸膜间皮瘤的鉴别()
A.胸膜增厚伴大量胸水,多为恶性
B.纵隔胸膜增厚一起形成环形增厚包绕肺组织,多为恶性
C.胸膜明显增厚超过2cm时几乎都是恶性
D.胸膜增厚呈结节状或肿块状多为恶性
E.纵隔固定无移位,多为恶性
236、单项选择题 患者,女,26岁,无明显不适,CT平扫发现肝右叶低密度病灶,呈圆形,边界清晰,增强扫描动脉期病灶明显强化,静脉期密度下降,延迟扫描呈稍低密度。 下列哪一项资料对鉴别诊断无意义()
A.AFP升高
B.患者长期服用避孕药
C.腹主动脉旁见肿大淋巴结
D.患者出现腹水
E.上腹部疼痛
237、单项选择题 关于肾筋膜和肾周间隙的描述,错误的为()
A.腹横筋膜和肾后筋膜之间为肾后间隙
B.肾前筋膜和肾后筋膜之间为肾周间隙
C.肾前筋膜、肾后筋膜与侧锥筋膜融合
D.左右两侧肾周间隙不交通
E.肾后间隙内主要为脂肪组织
238、单项选择题 吸入性肺脓肿的好发部位是下列哪项()
A.上叶尖段
B.上叶后段或下叶背段
C.左舌叶
D.右中叶
E.双下肺
239、多项选择题 下列哪几项与鉴别结石、胰头癌及胆管癌引起的梗阻性黄疸有密切关系()
A.胆管及胰管扩张程度
B.胆管及胰管扩张平面
C.胆管形态及管壁厚度
D.肝脏大小及密度
E.有无结石和软组织肿块
240、单项选择题
如图所示,最可能的诊断为()
A.脂肪肉瘤
B.肠系膜炎纤维化
C.肾血管肌肉脂肪瘤
D.肾出血后
E.以上都不是
241、单项选择题 男,70岁,右肢体运动障碍2天,CT示左中央区低密度,内有斑片样高密度,最可能的诊断是()
A.急性脑梗死
B.亚急性脑梗死
C.慢性脑梗死
D.慢性出血性脑梗死
E.急性出血性脑梗死
242、单项选择题
男孩,2岁,双眼疼痛1年,右侧眼球突出。CT平扫如图:

A.视网膜母细胞瘤
B.玻璃体萎缩
C.Coat病
D.视网膜发育不良
E.原始玻璃体增生症
243、单项选择题
男,56岁,有黑色素瘤病史,结合所示图像,最可能的诊断是()
A.肾上腺腺瘤
B.肾上腺髓样脂肪瘤
C.肾上腺癌
D.肾上腺转移癌
E.肾上腺嗜铬细胞瘤
244、单项选择题
女,18岁,1年前患肺结核经抗结核治疗后好转,现发热、咳嗽、体重下降,结合CT图像,最可能的诊断是()
A.肺结核
B.肺炎
C.肺脓肿
D.肺转移瘤
E.细支气管肺泡癌
245、单项选择题 滑环技术的主要功能是()
A.连续曝光
B.连续采集
C.单向连续旋转
D.床面连续移动
E.高压发生器连续旋转
246、单项选择题 男,50岁,因乙肝后肝硬化行原位肝移植术后1个月,抗病毒、保肝及抗排斥治疗。肝功能恢复正常后出院。出院后1周突发黄疸、发热再次住院,检查发现T管引流液内可见絮状物 首选检查方法()
A.B超
B.腹部CT
C.T管造影
D.肝动脉造影
E.肝穿活检
247、单项选择题
女,32岁,腹痛,腹泻便秘交替出现,解黏液血便半年,里急后重,影像检查如图,最可能的诊断是()
A.结肠癌
B.慢性结肠炎
C.过敏性结肠炎
D.溃疡性结肠炎
E.肠结核
248、多项选择题 肝包虫病CT表现()
A.囊肿边缘光整清晰
B.增强后有强化
C.囊内囊
D.水百合花征
E.可有钙化、感染
249、多项选择题 CT对下列哪些疾病有诊断价值()
A.冠状动脉粥样硬化性狭窄或闭塞
B.颅内肿瘤、寄生虫病
C.冠状动脉和心瓣膜的钙化
D.腹膜腔及腹膜后间隙病变
E.鼻窦、中耳小胆脂瘤
250、单项选择题 下列哪种疾病,不会出现“中脑导水管狭窄”()
A.结节性硬化
B.先天性心脏病
C.弓形虫感染
D.炎症
E.Dandy-Walker综合征
251、单项选择题 下面不是CT的扫描方法的是()
A.目标扫描
B.动态扫描
C.延迟扫描
D.高分辨率CT扫描
E.定期扫描
252、单项选择题 CT机房安装空调,主要原因是()
A.病人和工作人员舒适
B.不设窗户,使射线屏蔽更安全
C.设备贵重,保护机器
D.使计算功能正常工作
E.不开窗户,避免灰尘进入
253、多项选择题 脑结核瘤的病理改变包括下述哪些()
A.常位于血运丰富的白质内
B.呈结节状或分叶状,大小2~6cm
C.外围为纤维膜,中间有干酪坏死物质
D.少数有钙化,形成脓液者极少
E.周围炎性细胞少,但有星形细胞增生
254、单项选择题
根据所提供的图像,最可能的诊断是()
A.转移癌
B.肝癌
C.局灶性结节增生
D.血管瘤
E.肝脓肿
255、单项选择题
患者,男,41岁,刺激性咳嗽3个月余,低热1周,近3天咳痰带血丝。胸部CT如图,最可能的诊断为()
A.淋巴瘤肺浸润
B.炎性病变
C.中央型肺癌并左肺下叶阻塞性炎症
D.周围型肺癌
E.细支气管肺泡癌并淋巴结转移
256、单项选择题 海绵窦动静脉瘘的CT表现。不包括()
A.眼上静脉扩张
B.眼球突出
C.增强扫描鞍旁高密度影
D.脑缺血性改变
E.脑出血性改变
257、单项选择题 一端与颅底分离的不稳定骨折又称为()
A.爆裂骨折
B.纵行骨折
C.通过额颧缝与颧骨弓的骨折
D.三角架骨折
E.LeFort骨折
258、单项选择题 关于髓外硬膜内肿瘤的CT脊髓造影扫描,典型表现是()
A.脊髓位置正常,没有变形
B.脊髓移位,没有变形
C.脊髓移位,外形变扁,肿瘤呈圆形
D.脊髓移位,呈圆或椭圆形,肿瘤呈扁平状
E.脊髓移位,脊髓和肿瘤都接近圆形
259、单项选择题
女,31岁,左眼眶外上缘发现一包块,质软,余所见无明显异常,影像所见如图,最可能的诊断是()

A.畸胎瘤
B.错构瘤
C.脂肪瘤
D.表皮样囊肿
E.淋巴管瘤
260、单项选择题 慢性肺炎的CT表现中,错误的是()
A.高密度肺段、肺叶实变影多见于两肺下叶背段及右中叶
B.病灶内可见空气支气管征
C.病灶内有时可见柱状或囊状支气管扩张的管腔
D.病变的肺叶或肺段体积增大
E.有时可见肺门部淋巴结肿大
261、单项选择题 下列哪项不是提示恶性卵巢肿瘤的指征()
A.肿物最大径大于5cm
B.囊壁或分隔的厚度超过3mm,厚薄不均
C.肿物内实性成分多
D.肿物的边缘不清晰
E.增强扫描时,实性成分无强化或强化不明显
262、单项选择题
青少年患者,臀疼,最可能的诊断为()
A.尤文肉瘤
B.骨肉瘤
C.动脉瘤样骨囊肿
D.骨纤维结构发育不良
E.以上都不是
263、单项选择题
男,52岁,右上腹壁出现5cm×6cm、质硬、无活动、无痛性肿块,CT检查如图,最可能的诊断是()
A.神经纤维瘤
B.上皮样肉瘤
C.骨肉瘤
D.脂肪肉瘤
E.转移癌
264、单项选择题
男,47岁。后吸涕中带血月余,触诊左颈部有质硬包块。CT扫描显示如下,最可能的诊断是()
A.鼻咽纤维血管瘤
B.转移瘤
C.恶性胆脂瘤
D.淋巴瘤
E.鼻咽癌
265、多项选择题
男,73岁,呼吸急促半天,CT扫描如图,正确的描述或诊断是()
A.冠状动脉壁可见钙化影,右侧明显
B.右侧冠状动脉局限性梭形扩张
C.心包肥厚
D.右侧冠状动脉瘤
E.左侧冠状动脉瘤
266、单项选择题
女,33岁,咳嗽,无发热,结合图像,最可能的诊断是()
A.肺结节病
B.淋巴瘤
C.中央型肺癌
D.胸腺瘤
E.支气管囊肿
267、单项选择题 视神经胶质瘤的CT表现()
A.与视神经分界清
B.钙化多见
C.肌锥外肿块
D.视神经柱状增大、视神经管扩大
E.增强呈“路轨”征
268、单项选择题 对于“涎腺肿瘤”临床特点的描述,下列说法哪项正确()
A.病理类型单一
B.颌下腺肿瘤,良性多见
C.腮腺肿瘤,恶性居多
D.腮腺肿瘤占70%~80%,其次为颌下腺肿瘤
E.CT对腮腺恶性肿瘤定性价值较高
269、单项选择题 女,56岁,突感眩晕呕吐,言语不清。查:声音嘶哑,吞咽困难,左眼裂,瞳孔变小,左面部和右半身痛觉减退,左侧指鼻试验不准。 宜选用的治疗方法是()
A.降血压治疗
B.扩血管治疗
C.溶栓治疗
D.20%甘露醇静脉点滴
E.抗生素治疗
270、单项选择题 与鞍上池前外侧角相连的是()
A.侧裂池
B.纵裂池
C.脚间池
D.环池
E.大脑大静脉池
271、单项选择题 额叶下部血肿破裂的动脉是()
A.大脑前动脉
B.颈内动脉
C.大脑中动脉
D.大脑后动脉
E.大脑前、中动脉
272、多项选择题 “肾血管平滑肌脂肪瘤”行CT平扫,可以表现为()
A.脂肪密度
B.软组织密度
C.混杂密度
D.均匀高密度
E.水样密度
273、多项选择题 颅内动脉瘤最常见的临床表现为()
A.瘫痪
B.恶心
C.意识障碍
D.感觉异常
E.突发性头痛
274、单项选择题 食管囊肿的CT征象中,错误的是()
A.发生于后纵隔食管走行区,位于食管旁
B.呈圆形或椭圆形,边缘光滑
C.密度均匀,CT值多在10~15HU
D.变换体位扫描可见尖角征
E.增强检查囊壁明显强化
275、单项选择题 脑萎缩的影像,下列描述哪项是错误的()
A.脑沟增宽
B.脑室扩大
C.侧脑室周围低密度水肿带
D.脑回变窄
E.健侧脑组织向患侧移位
276、单项选择题 哪一种改变能引起继发性椎管狭窄()
A.黄韧带肥厚
B.椎间盘向后膨隆
C.椎体后缘骨质增生
D.椎小关节增生
E.以上都是
277、多项选择题 与听眶线的夹角均为12°的线有()
A.听眉线
B.听眦线
C.听鼻线
D.听口线
E.瞳间线
278、单项选择题 心脏粘液瘤,最常见于()
A.右心房内
B.右心室内
C.左心房内
D.左心室内
E.心包腔内
279、单项选择题
35岁,男,结合图像,最可能的诊断是()
A.淋巴瘤
B.生殖细胞瘤
C.浆细胞瘤
D.脂肪肉瘤
E.转移癌
280、单项选择题 在CT平扫中,视网膜母细胞瘤较具特征的影像表现为()
A.眼球增大、眼球突出
B.眼球内囊性肿块
C.眼球内实质性肿块
D.斑块状或斑点状钙化
E.患侧视神经增粗
281、单项选择题
男,12岁,手指细长,手臂弯曲,全身多发骨折,蓝色巩膜,结合图像,最可能的诊断是()


A.马方综合征
B.成骨不全
C.软骨发育不全
D.石骨症
E.特发性骨质溶解症
282、单项选择题
男,40岁,体重减轻,乏力,结合所示图像,最可能的诊断是()
A.淋巴瘤
B.精原细胞瘤
C.结核
D.血管曲张
E.以上都不是
283、单项选择题 正常肝脏平扫CT值为()
A.0~20HU
B.20~40HU
C.40~60HU
D.60~90HU
E.90~100HU
284、单项选择题 咽喉部CT扫描技术中正确的是()
A.咽喉部CT检查适用于咽喉部炎症
B.病人仰卧,使正中矢状面与床面平行,两外耳孔与床面等距
C.定位像为咽喉部正位定位像
D.咽喉部常规检查,一般以横断位、非螺旋扫描为主
E.增强扫描延迟扫描时间35秒
285、多项选择题 关于脑肿瘤包括以下哪些()
A.神经胶质瘤
B.颅咽管瘤
C.垂体腺瘤
D.脑膜瘤
E.松果体瘤
286、多项选择题 视神经鞘增厚和增强呈“路轨”征见于()
A.视神经鞘炎症
B.视神经鞘出血
C.海绵状血管瘤
D.视神经鞘脑膜瘤
E.转移癌浸润
287、单项选择题 甲状腺CT扫描时,对于病人呼吸状态的要求应是()
A.不要屏气
B.吸气后屏气
C.呼气后屏气
D.平静呼吸状态下屏气
E.以上状态均可
288、单项选择题 肾复合性囊肿不包括()
A.钙化性囊肿
B.不典型囊肿
C.感染性囊肿
D.出血性囊肿
E.囊性肿瘤
289、单项选择题 下列哪种眼部异物,一般不首选CT检查()
A.低密度异物
B.多发异物
C.金属异物
D.眼球壁部边界的异物
E.细小异物
290、单项选择题 胆囊癌病理上最常见的是()
A.肉瘤
B.鳞癌
C.未分化癌
D.腺癌
E.类癌
291、单项选择题 男,18岁,CT扫描发现脊柱旁软组织肿块,邻近椎体骨质压迫吸收,增强扫描肿瘤内可见低密度区,首先考虑的诊断是()
A.椎旁血管瘤
B.椎旁神经纤维瘤
C.血肿机化
D.转移瘤
E.淋巴瘤
292、单项选择题
患者,男,50岁,右上腹痛伴黄疸,超声体检发现腹腔多个液性暗区。CT图像如下,最可能的诊断是()
A.腹腔囊肿
B.先天性胆管囊肿Ⅳ型
C.腹腔皮样囊肿
D.肝囊肿
E.胰腺囊肿
293、多项选择题 关于CT定位扫描的叙述。错误的是()
A.扫描时检查床不动
B.扫描时X球管机架不动
C.扫描时病人不能动
D.定位扫描图像不是横断图
E.扫描时旋转阳极球管的阳极靶面不动
294、单项选择题 CT诊断成人寰枢关节半脱位,标准是环椎前结节后缘与枢椎齿状突前缘的距离大于()
A.1mm
B.2mm
C.3mm
D.4mm
E.5mm
295、单项选择题 下列视神经脑膜瘤和视神经胶质瘤的鉴别,错误的是()
A.脑膜瘤沿脑膜蔓延,而胶质瘤沿视觉通道蔓延
B.脑膜瘤侵犯硬膜,边缘不规则
C.“双轨”征的出现有利于视神经胶质瘤的诊断
D.视神经脑膜瘤可引起邻近眶骨骨质的增生硬化
E.脑膜瘤很薄,并有钙化
296、单项选择题
男,63岁,咽喉部不适约1年,近两个月经常咳嗽,痰中带有血丝,CT如图所示,最可能的诊断是()
A.梨状窝癌
B.声门型喉癌
C.声门下型喉癌
D.声门上型喉癌
E.混合型喉癌
297、单项选择题 下列关于肾癌不正确的说法是()
A.主要症状为无痛血尿和肿块
B.IVP可阴性
C.可继发肾积水
D.肾盏破坏及受压
E.肿瘤无钙化
298、单项选择题
根据所提供的图像,该病灶最好的分期为()
A.Bosniak1
B.Bosniak2
C.Bosniak3
D.Bosniak4
E.以上都不是
299、单项选择题
女,50岁,左下颈部扪及一质软、表面光整的包块,逐渐增大,现感疼痛,CT如图所示,最可能的诊断是()

A.甲状腺癌
B.食管癌
C.喉癌
D.甲状腺原发淋巴瘤
E.颈部神经鞘瘤
300、单项选择题 下列关于HRCT的间质性阴影,描述不准确的是()
A.小叶间隔增厚呈肺外围10~20mm长的线状影或多边形条状影
B.蜂窝阴影可见于早期间质性淋巴管炎
C.串珠状小叶间隔增厚常见于癌性淋巴管炎
D.光滑性小叶间隔增厚常见于间质性肺水肿
E.胸膜下线最初见于石棉肺