时间:2025-03-25 11:23:34


1、判断题 USG是腹膜后大血管病变诊断的金标准。
2、单项选择题
女性,32岁,因停经42天行超声检查,经阴道超声检查提示,初步判断为()
A.宫颈妊娠
B.宫颈囊肿
C.黄体囊肿
D.葡萄胎
E.以上都不对
3、单项选择题
为了计算一个反射物的距离,必须知道()
①传播速度
②脉冲往返时间
③反射因素
A.①②③
B.①②
C.①③
D.②③
E.①
4、单项选择题
患者眼前闪光,视力减退1周。结合超声声像图,最可能的诊断是()
A.局限性脉络膜脱离
B.局限性视网膜脱离
C.完全性视网膜脱离
D.玻璃体后脱离
E.以上均不对
5、单项选择题 一患者心脏检查数据如下:SV86ml,EF0.61,FS30%,E峰流速60cm/s,A峰流速112cm/s,DTE200ms,IVRT144ms,据此,你初步判定该患者心功能属于()
A.心脏收缩和舒张功能正常
B.心脏收缩功能正常
C.心脏收缩功能异常
D.心脏舒张功能正常
E.心脏舒张功能异常
6、单项选择题
某患者左肾超声声像图如下,最可能的诊断为()
A.多发性肾囊肿
B.肾结核
C.多囊肾
D.重度肾积水
E.中度肾积水
7、单项选择题
根据心尖四腔心切面声像图所示,超声诊断为()

A.左房血栓
B.二尖瓣赘生物
C.左房黏液瘤
D.正常声像图
E.以上都不是
8、单项选择题 超声检测深部骨骼选用多少MHz探头()
A.2.5MHz
B.3.0~3.5MHz
C.5.0~7.5MHz
D.7.5~10MHz
E.10~12MHz
9、单项选择题 正常附睾的声像图表现是()
A.附睾头、尾分别位于睾丸的后上方和下极下方,呈半圆形或新月形
B.附睾体最薄,连于头、尾之间
C.其内部回声略低于睾丸回声
D.头、尾与睾丸紧贴,体部疏松相连
E.以上都是
10、判断题 异位妊娠绝大部分发生在卵巢和宫颈。
11、单项选择题 胎盘边缘抬高并见血肿回声,同时伴腹痛阴道出血应考虑()
A.绒毛膜血管瘤
B.边缘性前置胎盘
C.胎盘早剥
D.子宫肌腺症
E.子宫肌瘤
12、单项选择题 以下哪项不符合前列腺恶性肿物声像图改变()
A.局限性高回声
B.腺体普遍性增大
C.局限性低回声
D.不均匀回声和边缘不规则
E.可呈多发性
13、单项选择题
女,42岁,反复上腹疼痛不适多年,加重3天。声像图如图所示,最可能的诊断为()
A.胆囊泥沙样结石
B.胆囊蛔虫
C.胆囊癌
D.胆囊息肉
E.胆汁淤积
14、单项选择题
患者全身骨关节疼痛,有肾结石病史。行超声检查甲状腺,如图。最可能的诊断为()
A.甲状腺腺瘤
B.甲状腺癌
C.甲状旁腺腺瘤
D.甲状腺囊肿
E.以上均不是
15、单项选择题
根据超声图像所示,该病例为哪型肾积水()
A.菱角型
B.烟斗型
C.花朵型
D.调色板型
E.巨大囊肿型
16、单项选择题 羊水量少于多少毫升称羊水过少()
A.300~400ml
B.1000ml
C.15000ml
D.2000ml
E.1500ml
17、单项选择题 试述影响左心房压的直接因素()
A.主动脉压的大小
B.三尖瓣有无狭窄
C.右室压的大小
D.主动脉瓣口有无关闭不全
E.肺静脉对左心房的充盈及二尖瓣口通畅程度
18、问答题 前列腺癌的声像图表现有哪些?
19、名词解释 动态聚焦
20、问答题 乳腺USG检查时应如何注重手法技巧?
21、单项选择题 以下何者为负荷超声心动图适应证()
A.经常规UCG检出有节段性室壁运动障碍者
B.急性心肌梗死
C.心脏扩大并心功能不全
D.伴有明显高血压者
E.常规UCG正常或可疑,而有心绞痛临床症状者
22、单项选择题 M型超声的特点哪项是错误的()
A.单声束取样获得界面回声
B.Y轴代表界面深浅
C.X轴可另加时基扫描线
D.可用于心脏功能的测量计算
E.也可同时用于Z轴上显示的回波
23、单项选择题 传统的前列腺分叶方法将前列腺分为()
A.2叶
B.3叶
C.4叶
D.5叶
E.6叶
24、单项选择题
女性,25岁,停经35周。产前超声检查,图像显示的是胎儿的()
A.脊柱
B.肢体
C.颜面部
D.胸腔
E.胎头
25、单项选择题
图示4所指部位()
A.脾静脉
B.腹主动脉
C.肠系膜上动脉
D.胰头
E.下腔静脉
26、单项选择题 引起月经过多的常见病因是()
A.浆膜下子宫肌瘤
B.粘膜下子宫肌瘤
C.Asherman综合征
D.卵巢畸胎瘤
E.输卵管妊娠
27、单项选择题 有关左心室,以下哪项不对()
A.左心室位于右心室右前方
B.左心室横切时呈圆形
C.左心室壁较右心室壁厚
D.左心室腔内有两组乳头肌附着
E.左心室的右缘为室间隔的左室面
28、单项选择题 正常睾丸附件声像图是()①位于睾丸上、附睾头下方,附着于睾丸白膜上②位于睾丸下、附睾尾下方,附着于睾丸白膜下方③呈有时带蒂的卵圆形略强于睾丸回声小体,大小0.5cm④为不带蒂蚕豆形低回声小体,大小>1.0cm
A.①③
B.②④
C.①④
D.②③
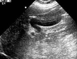
E.①②③④
29、名词解释 多频探头
30、单项选择题 肝内血管纹理减少最常见于()
A.肝硬化
B.门静脉梗阻性疾病
C.布加综合征
D.急性重症肝炎
E.脂肪肝
31、单项选择题 肾囊肿的超声声像图特点是()
A.无回声团
B.包膜完整光滑
C.后方回声加强
D.可伴侧壁回声增强效应
E.以上所述均是
32、单项选择题 引起肾积水的原因有()
A.结石
B.前列腺肥大
C.肿瘤
D.晚期妊娠
E.以上都是
33、问答题 恶性滋养叶疾病的声像图表现有哪些?
34、单项选择题 关于房间隔,以下哪项不对()
A.是左右心房之间的薄层纤维隔膜
B.其中部浅的凹陷称卵圆窝
C.卵圆瓣位于胎儿右房侧
D.若成人卵圆孔未能闭合称为房间隔缺损
E.以继发性房缺最为多见
35、单项选择题 超声发现胎盘完全遮住子宫颈内口,称()
A.完全性前置胎盘
B.部分性前置胎盘
C.边缘性前置胎盘
D.低置胎盘
E.环形胎盘
36、单项选择题 膀胱内血块和膀胱肿瘤的最佳鉴别方法是()
A.变换体位后团块可否移动
B.用彩色和频谱多普勒检测有无血流
C.区别二者内部回声的特点
D.A+B
E.A+C
37、单项选择题 下列组织对传入的超声障碍最小的是()
A.肌肉
B.脂肪
C.骨
D.血液
E.气体
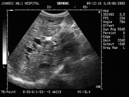
38、单项选择题 胎儿肾发育不全常并发()①肺发育不全②宫内生长迟缓③羊水过少④无羊水
A.①④
B.①②
C.①②③
D.①②③④
E.④
39、单项选择题 妊娠超声检查的适应证是()①诊断妊娠②确定胎位③预测胎龄④多胎、异位妊娠
A.①
B.①②
C.①②③
D.①②③④
E.①③④
40、单项选择题 中等水平回声见于()
A.肝实质
B.骨骼
C.胆结石
D.肌腱
E.血管壁
41、单项选择题 假性妊娠囊的声像图特征是()
A.有双重蜕膜暗区
B.呈单环状暗区
C.有双重蜕膜高回声区
D.呈单环状高回声区
E.呈无回声暗区
42、单项选择题 肾周血肿的病因分类有几类()
A.有3类:外伤性、医源性、自发性
B.有2类:外伤性、医源性
C.只有l类:外伤性
D.有4类:外伤性、医源性、感染性、自发性
E.以上分类均不是
43、单项选择题 下列哪项与多囊卵巢不相关()
A.库兴综合征
B.月经稀发
C.不排卵
D.多毛
E.肥胖
44、判断题 超声在介质中以直线传播,有良好的指向性。
45、单项选择题 以下哪项不符合扩张型心肌病超声表现()
A.左室明显扩大
B.二尖瓣活动幅度增大
C.EPSS增大
D.室壁活动减弱
E.各瓣口血流速度减慢
46、单项选择题 输卵管哪个部位妊娠具有严重的潜在并发症()
A.峡部
B.壶腹部
C.漏斗部
D.间质部
E.以上都不是
47、单项选择题 女性,62岁,急腹症住院,超声检查图像为:胆囊增大,胆囊壁弥漫增厚呈“双边影”表现,胆囊腔内见一强回声光团伴声影,随体位改变而移动,根据声像图表现,可能的诊断为()
A.①②③
B.①③
C.②④
D.④
E.①②③④
48、单项选择题 患者上腹部不适,超声显示胰腺体积轻度缩小,表面不平整,实质回声不均匀,主胰管扩张,呈串珠状,内见结石,提示诊断为()
A.急性胰腺炎
B.胰腺癌
C.胰腺结核
D.慢性胰腺炎
E.胰腺囊腺瘤
49、单项选择题
男,49岁,肥胖,血脂增高。结合超声声像图诊断为()

A.炎性假瘤
B.非均匀性脂肪肝
C.肝硬化
D.肝结节病
E.肝炎
50、单项选择题 肾盂肿瘤声像图表现()①肾盂内边缘不规则的实性团块②肾集合系统扩张③肿瘤浸润肾实质时肾窦回声杂乱④转移时肾门、肾周淋巴结肿大⑤累及输尿管膀胱⑥CDFI:肾血管移位,分布紊乱,50%显示肿瘤内点状血流信号,高阻血流频谱
A.①②④⑤⑥
B.①②④⑥
C.①②③④⑥
D.①②③④⑤⑥
E.①②④⑤
51、单项选择题 下列哪项符合卵巢恶性肿瘤声像图特点()
A.无腹水
B.肿瘤壁薄、清楚、整齐
C.混合性或实性肿瘤壁厚薄不均,不清晰有不规则突起
D.CDFI示肿瘤内和周边无血流信号
E.肿瘤内可见血流信号,RI>0.8
52、单项选择题 患者感心悸、胸闷,过去无心脏病史,最可能诊断()
A.冠心病
B.扩张型心肌病
C.二尖瓣关闭不全
D.主动脉瓣关闭不全
E.肥厚性心肌病
53、单项选择题 最早于妊娠几周可显示胎盘()
A.4周
B.8周
C.10周
D.20周
E.24周
54、单项选择题 平均胆囊含胆汁多少ml()
A.30ml
B.40ml
C.50ml
D.60ml
55、单项选择题 当障碍物的直径大于1/2波长时,将会发生什么反应()
A.反射
B.折射
C.衍射
D.不反射
E.不折射
56、多项选择题 根据棘球蚴囊USG表现特征,可分为()
A.单囊型
B.多囊型
C.囊沙型
D.混合型
E.母子囊型
57、单项选择题 以下哪项病变不会出现声影伪像()
A.胆囊结石
B.皮肤瘢痕组织
C.肝内钙化灶
D.肝肿瘤伴坏死、液化
E.陈旧性动脉粥样硬化性斑块
58、单项选择题
患者男46岁,既往有胆囊结石病史,上腹部疼痛不适年余,加重1个月,皮肤、巩膜轻度黄染,B超检查如图所示,根据超声声像图,诊断为()


A.胆囊结石并胆囊炎,肝血管瘤
B.胆囊结石并胆汁淤积,肝血管瘤
C.胆囊结石并胆囊癌,肝转移性癌
D.胆囊结石并肝癌
E.胆囊结石并胆息肉,肝转移性癌
59、单项选择题 男,37岁,既往有肝炎史,超声发现脾脏显著肿大,肝表面不光滑,肝实质回声不均匀,肝周探及液性暗区.诊断最可能是()
A.慢性肝炎
B.慢性肝炎合并肝硬化,腹水
C.肝硬化合并肝囊肿
D.肝硬化合并肝肿瘤
E.肝硬化合并门静脉高压
60、单项选择题 自然组织谐波的作用是()
A.增加可视帧频
B.增加界面分辨力,清晰度及信噪比
C.增加高频超声的穿透深度
D.提高声输出功率
E.减少超声能量的衰减
61、单项选择题 关于主动脉缩窄,下列哪项不对()
A.好发于主动脉根部
B.上肢血压>下肢血压
C.常伴动脉导管未闭
D.可伴狭窄后扩张
E.狭窄处可录得高速湍流频谱
62、单项选择题 以下哪项是肝细胞肝癌的特异性表现()。
A.类圆形的实性团块
B.局部轮廓隆起
C.外周绕有声晕,内有“块块”或“镶嵌征”
D.绕有强回声边缘的结节
E.外周血管受压
63、单项选择题 关于CDE,以下正确的是()
A.成像对超声入射角的相对非依赖性
B.可显示高速血流
C.可显示血流的方向
D.常出现彩色信号混叠现象
E.对平均速度为零的灌注区血流难以显示
64、单项选择题 下列哪一项常不引起肾积水()
A.肾结石
B.输尿管囊肿
C.前列腺增生
D.前列腺炎
E.神经源性膀胱
65、单项选择题 胎儿双侧肾积水声像图表现是()①膀胱增大②下尿路梗阻③上尿路梗阻④膀胱缩小
A.①
B.①②
C.③④
D.①②③④
E.③
66、单项选择题 下列哪一项不是诊断前置胎盘的条件()
A.膀胱适度充盈
B.显示子宫颈内口
C.观察胎头与子宫颈内口的位置关系
D.显示胎盘下缘
E.观察胎盘下缘与子宫颈内口的位置关系
67、单项选择题 指出混响伪像产生的条件哪项是最正确的()
A.仪器增益灵敏度调节过高
B.仪器的时间增益补偿(TGC)调节不当
C.声束遇到组织内金属异物,在异物中引起来回反射
D.探头声束通过肺气或肠气引起气体反射
E.探头声束垂直投射到平整的界面,在探头与平整界面间引起来回反射。
68、单项选择题
根据声像图表现,诊断是()
A.胸水
B.腹水
C.正常
D.肠梗阻
E.胆囊
69、单项选择题
结合甲状腺横断面超声声像图,甲状腺为()
A.均质体
B.非均质体
C.无界面区
D.强回声区
E.以上均不是
70、单项选择题 腹部超声特定断面扫查时可遇到棱镜伪像,如:肠系膜上动脉或宫内胎囊出现重复图像,下列哪个腹部断面可能出现()
A.正中矢状断面
B.正中旁矢状断面
C.横断面
D.斜断面
E.冠状断面
71、单项选择题 脾静脉位于()
A.腹腔动脉的尾侧
B.腹主动脉的前方
C.肠系膜上动脉前方
D.胰腺后方
E.以上各项均是
72、单项选择题 一患者大腿、小腿和踝部收缩压与上肢收缩压相比明显降低。但整个下肢血压相差不大,此时应进行的检查是()
A.整个下肢的多普勒显像
B.髂血管的多普勒显像
C.运动试验
D.颈动脉的多普勒显像
E.腘动脉多普勒显像
73、单项选择题 中年男性,发现肝炎、肝硬化5年,超声见肝右叶约6×5cm中等回声分叶状肿块,边界尚清楚,可见低回声晕,其内回声不均匀,呈镶嵌样改变。彩色多普勒超声于肿块内记录到高速动脉血流信号,可提示诊断为()
A.肝血管瘤
B.局限性脂肪肝
C.腺瘤
D.炎性假瘤
E.肝细胞肝癌
74、单项选择题 肾的异常声像图表现中,错误的是()
A.肾盂结石:肾窦内有强回声光团伴后方声影
B.肾盂积水:肾窦分离,强回声肾窦一部分或全部为液性暗区替代
C.肾盂肿瘤:肾窦分离,内有低回声区,其后方回声无增强
D.多囊肾:肾实质内单发或多发边缘光滑的液体无回声区,后方回声增强内收
E.较大肾癌:肾实质内低回声肿块,边界较清,后方回声增强
75、单项选择题
患者女53岁,上腹部疼痛不适半年余,皮肤、巩膜黄染进行性加重。B超检查如图所示,根据超声声像图诊断为()
A.胆总管下段癌
B.胰头癌
C.胆总管炎性狭窄
D.胆总管结石
E.胆总管蛔虫
76、单项选择题 关于Roger氏病,以下哪项不对()
A.系室间隔小缺损
B.临床无明显症状
C.左向右分流量小
D.肺血管阻力正常
E.一旦发现需手术治疗
77、单项选择题 对镜面反射体而言()
A.入射角等于反射角
B.入射角大于反射角
C.不取决于声束的角度
D.入射角等于透射角
E.入射角等于折射角
78、名词解释 环阵探头
79、单项选择题 彩色多普勒血流成像时,使用高通滤波器的主要作用是()
A.便于检测低速血流
B.精确显示血流方向
C.增大检测深度
D.增大血流速度显示范围
E.减少低速信号干扰
80、单项选择题 B型显示指的是()
A.基本调制器
B.声束运动
C.声束调制器
D.辉度调制
E.幅度调制器
81、单项选择题 哪种子宫畸形具备下列声像图特点:子宫外形正常,宫底较宽,宫体中央可见条样衰减回声,将子宫分成对称或不对称两部分,各有宫角回声()
A.单角子宫
B.残角子宫
C.双子宫
D.纵隔子宫
E.正常子宫
82、单项选择题
患者,消瘦,于左上腹触及一包块,超声见一大小5×7cm的呈假肾征的光团,如图所示,考虑为()
A.胰腺癌
B.胆囊癌
C.肝癌
D.胃癌
E.左肾癌
83、单项选择题
宫底呈“羊角形”,两角内可见分叶状宫腔线,宫体下段及宫颈形态正常。该超声图像是指()
A.双子宫
B.残角子宫
C.双角子宫
D.纵隔子宫
E.以上均是
84、单项选择题
患儿青紫,存室间隔缺损,如图所示,诊断最可能()

A.肺动脉瓣狭窄
B.主动脉内径增宽
C.法洛四联症
D.法洛三联症
E.房间隔缺损
85、单项选择题 二尖瓣关闭不全最常见的病因是()
A.风湿性心脏病
B.二尖瓣脱垂
C.冠心病乳头肌功能不全
D.感染性心内膜炎
E.外伤
86、单项选择题 超声诊断脑积水(中期)的指征是()
A.双顶径增大,胎儿水肿
B.四肢伸展,脑室扩大
C.羊水过多,头-体比例失调
D.侧脑室率>0.5,脑中线偏移
E.侧脑室率>0.6,脑中线偏移
87、单项选择题 慢性肾功能不全失代偿期超声表现是()①双肾萎缩②双肾皮质回声增强、变薄、皮髓界限不清,皮质厚度与肾功能呈负相关③CDFI:高速低阻型血流④CDFI:低速高阻型血流⑤RI与肾功损害呈正相关
A.①②④⑤
B.①②③⑤
C.①②
D.①②④
E.②③⑤
88、单项选择题 红色箭头所指部位是()
A.后部回声增强
B.声影
C.无回声
D.强回声
E.等回声
89、单项选择题
接收器的功能包括()
①检波
②压缩
③排斥
④放大
A.②③④
B.①②③④
C.②④
D.①②
E.①②③
90、单项选择题 淋巴管囊肿的声像图特征是()①颈背部较大无回声,壁厚内有分隔②全身水肿、浆膜腔积液③颈前囊性包块④胎头颅骨缺损处膨出囊性肿物
A.①
B.①②
C.①②③
D.①②③④
E.①③④
91、单项选择题
患儿,出生3周,喂奶后立即或不久即吐,呈喷射状,吐物为奶及奶块。根据超声中腹部检查如图,最可能的诊断为()
A.先天性肥厚型幽门狭窄
B.先天性胆管狭窄
C.胃溃疡
D.肠套叠
E.正常声像图
92、单项选择题 输尿管中段是指()
A.输尿管与肾盂交界处
B.自肾盂输尿管连接部到跨越髂动脉处
C.髂动脉到膀胱壁
D.膀胱壁内
E.以上都不是
93、单项选择题 无并发症的急性附睾炎声像图特征是()
A.附睾头局限性无回声,内有低回声
B.附睾均匀性增大内回声低于正常
C.附睾均匀性增大内回声高于正常
D.阴囊肿大伴局限性或普遍性附睾增厚
E.附睾均匀性增大,血流稀疏
94、单项选择题
图中标记处为()
A.腹腔积液
B.肾周积液
C.肠管内液体
D.肾结核
E.以上都不是
95、单项选择题 视网膜母细胞瘤常见于()
A.婴幼儿时期的肿瘤
B.青年时期的肿瘤
C.成年时期的肿瘤
D.老年时期的肿瘤
E.以上都对
96、单项选择题 如果用颈内动脉速度/颈总动脉速度作为诊断近端颈内动脉狭窄的指标,以下哪个收缩期峰值流速比值,提示颈内动脉管径狭窄率超过70%()
A.1.5
B.2.0
C.4.0
D.5.0
E.5.5
97、单项选择题 脑中央低回声蝶状结构是指()
A.丘脑
B.大脑脚
C.侧脑室
D.透明隔
E.第三脑室
98、单项选择题 以下哪种情况是彩色多普勒血流显像仪质量好的主要标志()
A.灰阶显像分辨率高
B.检出低速血流的敏感度高,抗低频噪音信号能力强
C.可连接外设多
D.功能多、性能价格比高
E.具备升级潜能
99、单项选择题
某患者右下腹痛,血尿,根据超声声像图,最可能的诊断为()
A.右肾结石
B.右输尿管下段结石
C.阑尾炎
D.膀胱结石
E.输尿管肿瘤
100、单项选择题 彩色多普勒技术不可以与下列哪种技术并用()
A.二维超声显像
B.频谱多普勒
C.三维超声显像
D.M型超声心动图
E.以上都不是
101、单项选择题 由于声速失真伪像,以下哪项病变体积的超声测量最容易出现较大误差()
A.肝囊肿
B.肝细胞癌
C.肝内脂肪瘤
D.肝脓肿
E.肝腺瘤
102、单项选择题
某患者五日前阴囊碰伤,现感右侧阴囊不适,超声声像图如下,最可能的诊断为()
A.睾丸血肿
B.精原细胞瘤
C.睾丸炎
D.睾丸扭转
E.睾丸脓肿
103、单项选择题 心包积液时,超声表现下列哪项不对()
A.当液性暗区超过25mm时,积液量常大于1000ml
B.少量积液即可显示清楚
C.少量积液多见于右室前壁之前
D.大量积液时,下腔静脉增宽
E.坐位探查时心尖部液性暗区加宽
104、单项选择题 胎儿消化道畸形声像图表现,下列哪一项不正确()
A.食管闭锁常合并羊水过多
B.十二指肠梗阻时可见胃泡增大
C.回肠梗阻时,腹部可见多个无回声区
D.十二指肠梗阻“双泡征”,大泡是十二指肠,小泡是胃
E.胎儿异常吞咽动作
105、单项选择题 下列哪一项不是超声诊断胎儿宫内生长迟缓指标()
A.胎头双顶径
B.胎儿头围
C.胎儿腹围
D.胎儿股骨长度
E.胎盘厚度
106、单项选择题
患者,女,42岁。3周前患急性胰腺炎,并给予治疗,现超声复查胰腺如图,诊断为()
A.急性胰腺炎
B.胰腺真性囊肿
C.胰腺假性囊肿
D.后腹膜肿瘤
E.胰腺囊腺癌
107、问答题 肾积水超声声像图表现?
108、单项选择题
男,有结肠癌病史。结合超声声像图,诊断为()
A.脾转移性肿瘤
B.脾梗死
C.脾血肿
D.脾脓肿
E.脾血管瘤
109、单项选择题 胎儿肾脏最常见畸形是()
A.多囊肾
B.肾脏缺如
C.游走肾
D.肾多发囊肿
E.肾发育不良
110、单项选择题 下列哪种物质具有较高的声阻抗系数()
A.固体
B.液体
C.气体
D.软组织
E.上述各种声阻抗系数相等
111、单项选择题 孕20周后正常胎儿脑室率小于()
A.0.5
B.0.6
C.0.7
D.0.8
E.0.9
112、单项选择题
男性,65岁,排尿困难,尿线细,滴淋,尿后不尽感等症状,如图所示。最可能的诊断为()
A.膀胱癌
B.前列腺增生
C.前列腺肉瘤
D.前列腺癌
E.前列腺炎
113、单项选择题 库肯勃瘤是()
A.良性卵巢肿瘤
B.原发于胃肠道的卵巢转移性肿瘤
C.囊性肿瘤
D.子宫肿瘤
E.卵巢恶性肿瘤
114、单项选择题 下列哪一结构将肾实质分为皮质和髓质()
A.肾盂
B.弓形血管
C.肾脂肪
D.肾小球
E.小叶间动脉
115、单项选择题 声强的准确定义()
A.超声换能器发射脉冲超声,其发出的最大时间峰值
B.描述超声能量大小的一种物理量,即超声束在单位时间通过单位横截面积的超声能量
C.在脉冲重复频率的最长间隔时间内平均声强
D.超声波穿过组织时的强度
E.超声的频率
116、单项选择题
超声引导下经皮经肝穿刺胆管造影应注意()
①需做碘过敏试验
②穿刺日禁食、水
③常用>16G细针
④常用20-23GPTC针
⑤穿刺成功后抽取胆汁送细菌培养及细胞学检查
⑥抽液后直接注入造影剂
⑦抽液后更换注射器缓注入造影剂
⑧术后卧床12小时
⑨术后卧床24小时
A.①②③⑤⑥⑧
B.①②④⑤⑥⑧
C.①②④⑤⑦⑨
D.①②③⑤⑦⑨
E.②③⑤⑦⑨
117、单项选择题 M型超声心动图,正常成人主动脉瓣开放幅度应不小于()
A.10mm
B.30mm
C.18mm
D.20mm
E.16mm
118、单项选择题 下述哪一项是心梗合并症()
A.主动脉瓣撕裂
B.三尖瓣闭锁
C.室间隔瘤
D.乳头肌肥厚
E.室壁瘤
119、单项选择题 用哪种探头可提高轴向分辨力()
A.高频探头
B.低频探头
C.较大的探头
D.低阻尼探头
E.以上均不可
120、单项选择题 超声图像,形成线状高回声的是()。
A.皮肤
B.脂肪
C.纤维组织
D.结石
E.实质脏器
121、单项选择题 彩色多普勒检查时使用低速标尺的主要作用()
A.便于检查流量大小
B.消除彩色信号混叠
C.消除彩色信号的闪烁
D.能显示低速血流
E.能显示高速血流
122、单项选择题 孕几周是胎儿股骨长度的最易测量时间()
A.9~12周
B.14~22周
C.24~28周
D.32~36周
E.37~40周
123、单项选择题 鉴别眼球内的异物为金属还是非金属,最有效的方法是()
A.窗试验法
B.彩阶显示法
C.灰阶直方图法
D.超声磁性试验
E.漂浮试验
124、单项选择题 正常成人(男性)脾脏厚径超声测量标准()
A.<4cm
B.<5cm
C.<6cm
D.<7cm
E.<8cm
125、单项选择题 下列关于反射系数的描述中,错误的是()
A.两种介质声阻抗相同时,反射系数为0
B.两种介质声阻抗相差很大时,反射系数大
C.两种介质声阻抗只要有1‰的差异就会产生反射回波
D.声束垂直于界面入射时可得到最佳反射效果
E.当一种介质声阻抗值很小时,反射系数总是很小
126、单项选择题 在左心长轴切面无法显示下列哪种结构()
A.左心室
B.右心室
C.左心房
D.右心房
E.主动脉
127、单项选择题
该病例最有可能诊断是()

A.原发孔房缺
B.继发孔房缺
C.冠状静脉窦隔缺损
D.部分性肺静脉畸形引流
E.部分型心内膜垫缺损
128、单项选择题 眼球有几个腔,眼球内容物有()
A.眼球为一圆形腔隙,内容物有晶状体、玻璃体
B.眼球有两腔:前房、后房,内容物有晶状体、玻璃体
C.眼球有三腔:前房、后房、玻璃体腔,内容物有晶状体、玻璃体
D.眼球有四腔:前房、后房、晶状体腔、玻璃体腔,内容物有晶状体、玻璃体
129、单项选择题 布—查氏综合征患者合并门脉血栓的比例是()
A.<5%
B.约20%
C.约50%
D.>90%
E.约10%
130、单项选择题 人体组织内引起超声波反射的条件是()
A.相邻两种物质的声阻抗相等
B.两种物质之间声阻抗存在差别(>1/1000)
C.声波与界面平行
D.界面径线小于波长的二分之一
E.以上均不是
131、单项选择题 关于眼球赤道部扫查的描述,正确的是()
A.眼球尽量向上看,探头与眼球赤道平行扫查,可检出晶体、角膜、玻璃体腔、球壁、球后脂肪
B.眼球尽量向下看,探头与眼球赤道平行扫查,可检出玻璃体腔、球壁、球后脂肪
C.眼球尽量向前看,探头与眼球赤道平行扫查,仅可检出玻璃体腔
D.眼球尽量向下看,探头与眼球赤道平行扫查,仅可检出玻璃体腔
E.以上各项均是
132、单项选择题 若怀疑有主动脉瓣狭窄,为取得狭窄的高速湍流,取样容积应置于()
A.心尖部
B.左室流入道
C.左室二尖瓣瓣尖水平
D.主动脉瓣下
E.主动脉瓣上
133、单项选择题 脐动脉S/D比值()
A.在妊娠过程中不断下降
B.不断升高
C.不断波动
D.保持恒定
E.先下降后上升
134、单项选择题 早孕最常并发的盆腔肿块是()
A.子宫肌瘤
B.黄体囊肿
C.皮样囊肿
D.内膜囊肿
E.滤泡囊肿
135、单项选择题 肾长径5cm,内部回声增强,下列除哪一项外均有可能发生()
A.肾血管疾病
B.肾静脉血栓形成
C.慢性肾小球肾炎
D.慢性肾盂肾炎
E.肾病综合征晚期
136、单项选择题 二尖瓣血流频谱呈舒张早期单峰型频谱,提示()
A.二尖瓣狭窄合并关闭不全
B.二尖瓣狭窄合并肺动脉高压
C.二尖瓣狭窄合并房间隔缺损
D.二尖瓣狭窄合并右心功能不全
E.二尖瓣狭窄合并心房纤颤
137、单项选择题
女,28岁,无任何不适,体检。声像图如图所示,诊断为()
A.胆囊结石
B.胆囊息肉
C.胆囊胆固醇结晶
D.胆囊腺瘤
E.胆囊癌
138、单项选择题 输卵管妊娠以哪个部位最多见()
A.峡部
B.漏斗部
C.间质部
D.壶腹部
E.以上都不是
139、单项选择题 声波入射到两个介质的界面上,如果界面的线度远远大于波长,则产生()
A.反射
B.衍射
C.散射
D.衰减
E.增强
140、单项选择题 由超声多次发射而引起的伪像叫()
A.切面厚度伪像
B.混响
C.声影
D.旁瓣伪像
E.折射伪像
141、单项选择题 子宫正常位于()
A.膀胱前方,直肠后方
B.膀胱后方,直肠前方
C.膀胱上方,直肠前方
D.膀胱下方,直肠后方
E.膀胱左侧,直肠右侧
142、单项选择题 正常肝静脉频谱特点()
A.单相
B.双相
C.三相
D.双变
E.复杂
143、单项选择题
患者颈部肿大,可扪及肿块。如图,提示为()
A.甲状腺腺瘤
B.结节性状腺肿大
C.甲状腺癌
D.甲状腺炎症
E.甲状腺囊肿
144、单项选择题 人体中不同组织和体液回声强度通常的分级是()
A.强回声,中等回声,低回声,无回声
B.强回声,中等回声,无回声
C.强回声,无回声
D.强回声,低回声
E.中等水平回声,无回声
145、判断题
根据三维超声所见,图中为双胎妊娠。

146、单项选择题
孕8周时感冒,产前超声检查胎儿心脏见图,最可能的诊断是()
A.单心室
B.房间隔缺损
C.室间隔缺损
D.大动脉转位
E.正常心脏
147、单项选择题
中年女性,中下腹横切面如图,箭头所示为()
A.子宫钙化环
B.宫内节育器
C.子宫肌瘤
D.孕囊
E.子宫肌瘤钙化
148、名词解释 体位标志
149、单项选择题
某患者收缩期超声心动图所示,提示()

A.二尖瓣狭窄
B.二尖瓣关闭不全
C.房间隔缺损
D.动脉导管未闭
E.以上都不是
150、单项选择题 前列腺的分叶及分区()
A.前列腺分左、右侧叶、后叶、中叶、前叶;内、外腺两区
B.前列腺分左、右侧叶、后叶、中叶、前叶;内腺尿道周围组织和移行区、外腺周缘区和中央区
C.前列腺分左、右侧叶;内、外腺两区
D.前列腺分左、右侧叶;后、中、前区
E.前列腺分左、右侧叶;内、中、外腺三区
151、单项选择题 胎囊的双囊可能是()①双胎妊娠②流产受阻或植入性出血③枯萎卵④两层蜕膜之间的无回声区
A.①
B.①②
C.①②③
D.①②③④
E.②③④
152、单项选择题 计算头围(HC)的公式是()
A.HC=BPD+OFD
B.HC=(BPD十OFD)/2π
C.HC=(BPD+OFD)1.57
D.HC=(BPD+OFD)2/π
E.HC=(BPD十OFD)/2
153、单项选择题 对病人只作横切扫查时,肝尾叶可被错认为是()
A.脾凹面
B.胰
C.右肾
D.胃
E.十二指肠
154、单项选择题
某患者右腰部不适,根据其肾脏超声声像图,最可能的诊断为()
A.正常图像
B.右输尿管下段结石并右肾积水
C.右肾结石并右肾积水
D.阑尾炎
E.右输尿管上段结石并右肾积水
155、单项选择题 关于电子相控阵聚焦的说法,错误的是()
A.利用延迟发射使声束偏转
B.在长轴上对整条声束的回声途径自动、不断地进行全程接收聚焦
C.利用环阵探头进行环阵相控聚焦
D.探头表面贴附有声透镜
E.二维多阵元探头为其新技术
156、单项选择题
如图,为一孕妇34周时,羊水内漂浮所见管道结构(横切),最可能的诊断是()
A.脊柱裂
B.脑膜膨出
C.淋巴管囊肿
D.单脐动脉
E.正常图像
157、单项选择题 彩色多普勒及频谱多普勒显示下腔静脉血流并测速的方法,以下哪项不正确()
A.使声束与血管长轴垂直
B.使声束勿与血管长轴垂直
C.选择适当的血流速度标尺(scale)
D.彩色血流取样框尽可能地缩小
E.使取样容积放置在静脉中央,血流与取样线夹角θ<60°
158、单项选择题 肝脓肿的临床表现包括()①寒冷②发热③右上腹疼痛
A.①
B.①②
C.①②③
D.②③
E.①③
159、单项选择题
根据心尖四腔切面声像图所示,超声诊断为()

A.右房血栓
B.三尖瓣赘生物
C.右房黏液瘤
D.正常声像图
E.二尖瓣脱垂
160、单项选择题 肾脏超声测量正常值是()
A.长6.0~9.0cm,宽3.0~5.0cm,厚4.0~5.0cm
B.长9.0~12.0cm,宽3.5~6.5cm,厚4.0~5.0cm
C.长12.0~15.0cm,宽5.5~7.5cm,厚4.0~5.0cm
D.长8.0~10.0cm,宽5.0~7.0cm,厚3.0~5.0cm
E.以上都不是
161、单项选择题 镜面反射通常出现在下列哪一组织周围()
A.肝脏
B.胆囊
C.脾脏
D.膈肌
E.胰腺
162、单项选择题 下列哪种超声检测方法诊断宫内死胎最可靠()
A.多参数实时扫查
B.多普勒
C.M型
D.音频数据
E.二维超声
163、判断题 孕12周后USG能清晰显示胎头,并可辨认颅内结构。
164、单项选择题 检测末梢小静脉血流,彩色多普勒血流显像速度标尺应选择()
A.用最高速档(例如1.0m/s以上)
B.用较高速档(例如0.8m/s以上)
C.应用低速档(例如0.15m/s以上)
D.随意
E.以上都不是
165、问答题 脾转移癌USG表现有哪些?
166、单项选择题 人体不同组织和体液回声强度是不同的,下列哪一项是错误的()
A.液体均是无回声的,固体均是有回声的
B.实质性组织如肝脾是中等水平回声
C.脂肪组织是低水平回声
D.纤维化和钙化引起组织回声增强
E.脏层胸膜—肺组织(含气)界面产生很强的反射
167、填空题
某患者心脏二维超声示意图,图中异常光团,最可能诊断为________。

168、单项选择题 CDFI检测输尿管膀胱开口处结石的特点()①输尿管膀胱开口喷尿频率减少②输尿管膀胱开口喷尿尿流变短③输尿管膀胱开口喷尿消失④输尿管膀胱开口喷尿频率增多⑤输尿管膀胱开口喷尿尿流变粗
A.①②③
B.④⑤
C.③
D.②③
E.③④⑤
169、单项选择题
图示3所指部位()
A.脾静脉
B.腹主动脉
C.肠系膜上动脉
D.胰头
E.左肾静脉
170、单项选择题 孕几周以后可作胎头测量()
A.9周
B.10周
C.11周
D.12周
E.8周
171、单项选择题
图中睾丸上方囊性回声为()
A.附睾囊肿
B.精索囊肿
C.睾丸附件囊肿
D.附睾附件囊肿
E.附睾炎
172、填空题 正常肾实质USG,当断面未通过肾窦时,肾实质呈_____形回声区,通过肾窦时则为_____形回声区。
173、单项选择题 肾细胞癌的描述,不正确的是()
A.分为透明细胞型、颗粒细胞型和未分化型三种
B.可伴有肉眼血尿
C.2~3cm直径的小肿瘤,有时呈强回声
D.彩色多普勒有助于肾癌诊断
E.不会发生肾静脉和下腔静脉癌栓
174、单项选择题 下列哪一项属于彩色多普勒技术()
A.二维灰阶显像
B.多普勒频谱图
C.造影剂增强血流信号
D.伪彩色编码二维显像
E.能量多普勒血流显像
175、名词解释 成像帧率
176、单项选择题 下列哪一项不是多囊卵巢声像图表现()
A.双侧卵巢呈均匀性增大
B.卵巢一个切面卵泡数目多在10个以上
C.卵泡直径多小于5mm
D.卵巢髓质回声减弱
E.卵巢髓质面积增大,卵泡被挤向卵巢周边
177、单项选择题 下列哪项肿瘤的声像图呈实性回声()
A.子宫肌瘤玻璃样变
B.畸胎瘤
C.卵巢囊腺癌
D.卵巢纤维瘤
E.卵巢囊腺瘤
178、单项选择题 黏液表皮样癌的声像图表现是()
A.腮腺区可探及囊性病灶
B.病灶界限边缘不清,轮廓不完整
C.病灶以液性回声为主,内部可见不均质低回声与致密较强回声交错分布
D.液性回声中出现致密较强回声团块
E.以上都是
179、单项选择题
某女患者子宫附件超声声像图如下,患者月经正常,有痛经及人流史,月经后7天检查。根据病史和图像,最可能的诊断为()
A.巧克力囊肿
B.滤泡囊肿
C.黄体囊肿
D.黄素囊肿
E.正常卵泡
180、单项选择题 关于室间隔缺损,何者不对()
A.膜部缺损最为多见
B.缺口处血流呈连续性高速血流
C.常引起左心负荷明显增加
D.测取缺口血流时,需采用连续多谱勒
E.CDFI显示左向右红色血流
181、单项选择题 肝脏通过肝左、右静脉和门静脉及其走向,把肝分为几个Couinaud解剖功能段?()
A.6个
B.8个
C.10个
D.4个
E.以上都不是
182、单项选择题 下列哪项不是超声成像()
A.B型扫描
B.A型扫描
C.彩色多普勒
D.二次谐波
E.三维重建
183、单项选择题 超声检查半月板,错误的是()
A.后角取俯卧、伸膝或屈膝15°~30°
B.半月板外侧距皮肤近、间隙宽、易显示
C.前角取仰卧、屈膝30°~90°
D.半月板前、中部显示困难
E.半月板内侧表浅、间隙宽,扫查并不困难
184、单项选择题 中年女性,突发上腹疼痛,伴恶心、呕吐,超声显示胆囊多发结石,胰腺肿大,轮廓不清,回声减低,周围见少量液性暗区,最可能的诊断是()
A.急性胰腺炎
B.慢性胰腺炎
C.急性胃炎
D.急性胆囊炎
E.急性胆管炎
185、单项选择题
女,50岁,上腹不适。结合超声声像图,诊断为()
A.肝血管瘤
B.肝癌
C.炎性假瘤
D.肝脓肿
E.肝囊肿
186、单项选择题 胃超声检查中正常胃壁由外到内顺序,应该为哪几层()
A.浆膜层、肌层、粘膜下层、粘膜层
B.粘膜层、粘膜下层、肌层、浆膜层
C.粘膜下层、粘膜层、肌层、浆膜层
D.浆膜层、肌层、粘膜层、粘膜下层
E.浆膜层、肌层、粘膜层
187、单项选择题
一患者,发热,右上腹痛,血常规检查白细胞增多。结合超声声像图,诊断为()
A.肝脓肿
B.肝血管瘤
C.肝癌
D.脂肪肝
E.肝囊肿
188、单项选择题
女性,26岁,停经29周,产前B超检查如图,超声诊断为()
A.胎盘早期剥离
B.正常中期妊娠
C.胎儿脐带绕颈
D.胎儿畸形,腹壁裂
E.畸胎瘤
189、单项选择题 关于胰腺假性囊肿的叙述错误的是()
A.由胰腺周围积液组成
B.发病后4—6周形成
C.内壁为上皮组织
D.可合并感染
E.可合并有囊壁钙化
190、单项选择题 淋巴管囊肿是指()
A.甲状腺恶性囊性肿瘤
B.淋巴系统发育异常
C.脑膜脑膨出
D.卵巢良性肿瘤
E.小脑发育异常
191、单项选择题 胎儿头皮与颅骨间距增宽呈低回声,躯干、四肢、皮肤与皮下组织分离呈双线样,横切呈双环征是下列哪种病变的声像图特点()
A.脑积水
B.头皮水肿
C.胎儿水肿
D.脑膜膨出
E.无脑儿
192、单项选择题 胎盘早剥的临床和超声表现,下列哪一项是错误的()
A.妊娠晚期阴道出血
B.胎盘覆盖宫颈内口
C.分为胎盘后与边缘出血
D.可导致早产、胎儿死亡
E.系底蜕膜出血,形成血肿
193、单项选择题 颈内动脉血流频谱形态为()
A.低阻力频谱
B.高阻力频谱
C.舒张期三峰频谱
D.宽频毛刺样频谱
E.窄频三峰递减型频谱
194、单项选择题 关于肾脏炎症性肿块的症状,错误的是()
A.低血糖
B.胁腹部痛
C.寒战
D.发热
E.血尿
195、单项选择题 关于卵巢浆液性囊腺癌,下列哪一项是错误的()
A.成人最常见的卵巢恶性肿瘤
B.肿瘤生长很快,常伴出血坏死
C.多为部分囊性,部分实性
D.经阴道彩色多普勒血流显像,乳头内可显示较丰富血流
E.90%为单侧性
196、单项选择题
如图切面称为哪种超声心动图切面()

A.心尖四腔
B.心尖短轴
C.左室长轴
D.心尖二腔
E.大动脉短轴
197、单项选择题
图中胆囊声像图最为可能诊断为()
A.单纯性胆囊炎
B.急性化脓性胆囊炎
C.胆囊穿孔
D.慢性胆囊炎
E.胆囊癌
198、单项选择题 动态扫查仪的类型包括()①程序②电子③机械
A.①②
B.①②③
C.②③
D.①③
E.③
199、单项选择题 5MHz表示()
A.每秒50万周
B.每秒5千万周
C.每秒5千周
D.每秒5百万周
E.每秒5万周
200、单项选择题 关于超声分辨率的描述,错误的是()
A.超声分辨力受超声波的脉冲宽度、声束宽度和探头类型影响
B.超声的频率越高,轴向分辨力越好
C.理论上轴向分辨力为λ/2
D.超声纵向分辨力与探头厚度方向上声束宽度和曲面的聚焦性能有关
E.超声聚焦声束越宽,侧向分辨能力越好
201、单项选择题
男,63岁,因左侧腰部疼痛不适伴无痛血尿1月余就诊,B超显示左肾集合系统分离3.9cm,如图所示,最可能的诊断为()
A.左输尿管结石
B.左输尿管癌
C.左输尿管炎性狭窄
D.左输尿管畸形
E.左输尿管血块
202、单项选择题
超声检查如图所示,该病例最可能诊断()
A.肾外肾盂扩张
B.肾积水
C.输尿管上段积水
D.肾盂输尿管狭窄
E.输尿管畸形
203、单项选择题
男,47岁,上腹部疼痛不适、腹胀,皮肤巩膜黄疸,进行性加重,皮肤搔痒。声像图如图所示,最可能的诊断为()
A.肝癌
B.肝门部淋巴结肿大
C.肝门部胆管癌
D.肝门部胆管胆汁淤积
E.肝门部转移性癌
204、单项选择题 扫查浅表组织时,探头频率最高可使用多少兆赫()
A.20MHz
B.10MHz
C.7.5MHz
D.5.0MHz
E.3.5MHz
205、单项选择题 妊娠囊的回声是哪种结构的回声()
A.胚胎绒毛膜
B.壁蜕膜
C.羊膜囊
D.卵黄囊
E.血块
206、单项选择题 胎盘分几级,Ⅲ级胎盘绒毛膜板声像图表现是()
A.三级,直而清晰、光滑平整
B.四级,波状起伏
C.四级,切迹伸入胎盘,未达基底层
D.四级,切迹深入基底膜
E.四级,直而清晰,光滑平整
207、单项选择题 下列说法,不正确的是()
A.超声频率越高,波长越短
B.超声频率越高,近场越长
C.超声频率越高,指向性越好
D.超声频率越高,扩散角越大
E.超声频率越高,分辨率越高
208、单项选择题 肾积水最常见于()
A.先天性肾发育不全
B.肾异位
C.输尿管-肾盂集合部梗阻
D.肾囊性肿物
E.肾癌
209、单项选择题 超声诊断恶性滋养细胞肿瘤,应注意()①子宫内或宫旁病灶,因病变侵犯程度不同或血管供应范围不同②不同部位病灶的RI不同③应结合临床、病史、HCG结果④经阴道超声检查阳性率明显高于经腹检查
A.①②
B.①②③
C.①②④
D.①②③④
E.①③④
210、单项选择题 角膜增厚最适宜用哪种技术确诊()
A.M型超声扫描技术
B.B型超声扫描技术
C.A型超声扫描技术
D.超声生物显微镜
E.以上均不是
211、单项选择题 闪烁伪像表现为()
A.无血流但出现彩色信号
B.有血流但彩色信号缺失
C.有血流但彩色信号过多
D.血流方向显示有误
E.血流速度显示有误
212、问答题 多囊肾的声像图表现有哪些?
213、单项选择题
根据超声图像,该病例最可能诊断为()
A.膀胱结石
B.膀胱血块
C.膀胱异物
D.膀胱肿瘤
E.腺性膀胱炎
214、单项选择题 如果总增益降低,那么()
A.施加于患者的能量降低
B.所有回声的强度都降低相同水平
C.探头频率降低
D.仅远场的回声亮度降低
E.分辨力降低
215、单项选择题 腮腺的超声检查方法,最适宜的是()
A.采用7~10MHz频率探头,多切面进行检查
B.理发后,多切面进行检查
C.空腹进行多切面检查
D.主要观察腮腺的血管及神经分布
E.进行纵切面检查
216、单项选择题 频谱多普勒技术可用来监测血流的种类和性质,下列哪一项不能检测()
A.动脉血流
B.静脉血流
C.血流宽度
D.层流
E.湍流
217、单项选择题 下列哪项不是盆腔良性肿瘤()
A.卵巢纤维瘤
B.皮样囊肿
C.库肯勃瘤
D.子宫内膜腺肌瘤
E.子宫浆膜下肌瘤
218、单项选择题 风心病二尖瓣狭窄M型超声心动图叙述正确的是()
A.二尖瓣双峰消失,呈“城垛”样改变,前后叶同向运动
B.二尖瓣双峰消失,呈“城垛”样改变,前后叶逆向运动
C.二尖瓣双峰,前后叶逆向运动
D.二尖瓣单峰,前后叶逆向运动
E.以上都是
219、单项选择题
图中脑室内高回声区域为()

A.室管膜下出血
B.脉络丛
C.肿瘤
D.脑室出血
E.脑室扩张
220、单项选择题 对疑有心内黏液瘤的患者,超声诊断主要应用哪种技术进行确诊()
A.频谱多谱勒检测心腔与大动脉间有无异常血流
B.对心房肿瘤用多谱勒技术检测收缩期血流有无异常
C.二维超声显示肿瘤的部位、大小、活动性与室壁的关系
D.彩色多谱勒观察有无心内分流血流
E.M型超声观察心腔壁的运动
221、单项选择题 囊肿的声像图特征是()
A.边界回声不定
B.外形不定
C.内部无回声
D.后方回声衰减
E.侧缘声影不定
222、单项选择题 中孕,胎儿两大腿之间超声显示下列哪种图像可以肯定是男胎()①阴茎②阴囊③睾丸④前列腺
A.①
B.①②
C.①②③
D.①②③④
E.③④
223、单项选择题 行胆囊超声检查的病人在检查前应禁食几小时()
A.4~6小时
B.6~8小时
C.8~12小时
D.18小时
E.3小时
224、问答题 子宫肌瘤超声声像图表现?
225、单项选择题 提高肝外胆管下段显示的方法有()①饮水②脂餐③胸膝位④侧转探头
A.①
B.①②
C.①②③
D.①②③④
E.①③④
226、单项选择题 下列骨及软骨的正常声像图哪项错误()
A.骨皮质为平直连续光滑的强回声
B.骨髓若显示,呈弱回声
C.骨的骺端膨大,表面薄而光整
D.纤维软骨为中等回声,透明软骨为强回声
E.骨松质为内部有散在强斑点的弱回声
227、单项选择题 已婚女子,末次月经不详,宫腔探及胎儿回声,头臀长2cm,计算孕龄是()
A.4~5周
B.6周
C.8.5周
D.10.5周
E.7周
228、单项选择题
图示7所指部位()
A.脾静脉
B.胃
C.胰尾
D.第二肝门
E.左肾上腺
229、单项选择题 中孕期超声发现的胎儿畸形有()①无脑儿②脑积水③脊柱裂④脐疝
A.①
B.①②
C.①②③
D.①②③④
E.②④
230、单项选择题 CDFI、PW在阴囊内容物检查中的价值()①可判断有无血管②可观察血管走行方向③可测量血流速度的高低④可测量PI、RI⑤可判断血流是否对称
A.①③④
B.①②③④⑤
C.①②⑤
D.③④⑤
E.②③④
231、单项选择题 下列不符合双胎双顶径测量特点的是()
A.双胎之间双顶径差应在4mm之内
B.双胎之间双顶径的差应在1~2cm之间
C.双胎中甲胎比乙胎双顶径小6mm,应认为甲胎宫内发育迟缓
D.双胎双顶径稍小于单胎双顶径
E.双胎双顶径稍大于单胎双顶径
232、问答题 二维超声心动图常用基本切面的图像有哪些?
233、单项选择题 临床常用的超声探头频率约为()
A.2.5MHz
B.3.5MHz
C.5.0MHz
D.7.5MHz
E.以上都对
234、单项选择题 关于肺动脉瓣狭窄,下列哪项超声检查不对()
A.肺动脉瓣增厚
B.开放受限
C.肺动脉内高速射流
D.可伴有窄后扩张
E.可导致肺动脉高压
235、问答题 三维超声在产科临床的应用价值有多大?
236、单项选择题 肝脏外分泌功能包括产生()
A.糖原
B.尿素
C.肝素
D.胆汁
E.胰液
237、单项选择题 下列关于肾外伤的描述中,哪一项不正确()
A.血尿是肾损伤的主要症状之一,血尿程度与伤情完全一致
B.超声可显示肾周围和肾组织破裂处有无血肿形成
C.声像图表现为肾周或局部实质有血肿暗区存在
D.陈旧性血肿,血块软化,回声增加,可呈类实性改变
E.合并肝脾破裂者,肝区或睥区有血肿暗区,腹盆腔内亦可有暗区
238、单项选择题 识别胆囊解剖位置的最重要标志是()
A.门静脉
B.胆总管
C.肝动脉
D.肝总管
E.胆囊颈部和门静脉右支根部间的线状强回声带
239、单项选择题 急性肾病时,超声检测肾脏大小()
A.没有变化
B.一般增大
C.异常增大
D.减小
E.异常减小
240、单项选择题 下列哪项是左心整体舒张功能的超声测量指标()
A.左室收缩末容积
B.等容收缩时间
C.左室每搏量
D.左室快速充盈分数
E.室间隔收缩期增厚率
241、单项选择题 前列腺增生症,尿道可能发生的形态改变是()
A.尿道内口移位
B.后尿道拉长超过3cm
C.后尿道曲度改变
D.排尿期尿道腔变细或不规则
E.以上均是
242、多项选择题 肝破裂USG的表现中,哪些描述正确()
A.肝内血肿-呈无回声区
B.肝内血凝块-呈低回声区
C.肝急性破裂-呈强回声区
D.肝包膜破裂-呈无回声区
E.肝血肿纤维化-呈低回声区
243、单项选择题 胎儿腹围测量一般用于孕几周,可以补充胎儿双顶径估侧胎龄的不足()
A.9~12周
B.16~20周
C.28~32周
D.36~42周
E.20~28周
244、单项选择题 超声耦合剂最主要的作用是()
A.提高超声波的输出强度
B.克服超声波在人体中的衰减
C.减少超声波在接触面的散射
D.使探头与检查部位声阻抗匹配良好
E.消除显示器上信号闪烁
245、单项选择题 在急性病毒性肝炎早期,病人的肝实质显示为()
A.回声不均
B.回声增强
C.低于正常
D.回声无改变
E.肝实质结节回声
246、单项选择题 下列关于压电效应和压电材料的描述,正确的是()
A.在压电晶片上施加机械压力其表面可产生电荷,这种现象为逆压电效应
B.在压电晶片上施加交变电信号可产生晶片的机械振动,这种现象为正压电效应
C.压电材料的厚度与超声响应频率无关
D.压电材料一般需要磁场极化处理
E.与高频率超声探头相比,低频率超声探头采用较薄的压电材料
247、单项选择题 骨骼肌正常声像图表现()①纵切肌肉边缘呈强回声线②纵切肌肉边缘呈低回声线③纵切肌肉内部纤维呈均匀细线样回声④纵切肌肉内部呈点状均匀回声⑤横切肌肉内部呈点状均匀回声⑥横切肌肉之间呈强回声⑦横切肌肉之间呈低回声
A.①③⑤⑥
B.②④⑤⑥
C.①④⑤⑦
D.②③⑤⑦
E.①③⑤⑦
248、单项选择题 主动脉瓣关闭不全最主要的病理生理变化是()
A.左室充盈减少
B.左室充盈增加
C.左室压力超荷
D.左室容量超荷
E.主动脉运动幅度增大
249、单项选择题 形成胆囊憩室最常见的原因是()
A.术后创伤
B.肿瘤
C.外压
D.流出梗阻
E.结石
250、单项选择题 检查主动脉与降主动脉的连接用什么超声切面()
A.大动脉短轴
B.主动脉弓短轴
C.心尖五腔
D.左室流出道短轴
E.主动脉弓长轴
251、单项选择题 张某,女性,35岁,颈前部逐渐增大、增粗,不对称,超声显示:甲状腺肿大呈多个结节,彩色多谱勒血流显像血流丰富,绕结节而行。最可能的诊断是()
A.毒性甲状腺肿
B.亚急性甲状腺炎
C.桥本氏病
D.结节性甲状腺肿
E.以上都不是
252、单项选择题
某患者,左阴囊肿大,疼痛,数小时前曾与人殴斗。根据超声声像图,最可能的诊断为()
A.睾丸鞘膜积液
B.阴囊内血肿及血块
C.睾丸破裂
D.睾丸扭转
E.睾丸肿瘤
253、单项选择题
女,28岁,经常上腹不适。声像图如图所示,诊断为()
A.胆囊蛔虫
B.胆囊结石
C.胆囊腺瘤
D.胆囊内胆汁淤积
E.胆囊癌
254、单项选择题
某患者高热,肾区疼痛,肾脏超声声像图如下,最可能的诊断为()
A.肾囊肿
B.急性肾炎
C.脓肾
D.肾癌
E.肾结核
255、单项选择题 关于经阴道超声检查方法学的描述,下述哪一项是错误的()
A.子宫肌瘤较大时,应同时进行经腹超声检查
B.卵巢肿瘤位置较高时,应同时进行经腹超声检查
C.经阴道超声检查常用于胎儿心脏畸形诊断
D.与经腹超声相比,常能清晰显示子宫内膜形态
E.检查前需排空膀胱
256、单项选择题 关于眼眶肿瘤的描述,错误的是()
A.良性肿瘤膨胀性生长,有包膜
B.良性肿瘤多呈圆形和椭圆形
C.良性肿瘤边缘清楚、锐利,可见肿瘤声晕
D.恶性肿瘤浸润性发展,有包膜
E.恶性肿瘤形态不规则,边界不清楚
257、单项选择题 A型超声是指()
A.振幅调制型
B.辉度调制型
C.彩色血流显像
D.多普勒血流频谱显示
E.以上都不是
258、单项选择题 下列对肥厚型梗阻性心肌病超声所见的叙述,哪一项是错误的()
A.主动脉瓣收缩中期部分关闭
B.室间隔厚径明显增厚
C.左室后壁厚径增厚,但增厚程度小于室间隔
D.心室壁呈弥漫性向心性肥厚
E.室间隔厚径与左室后壁厚径比值大于1.5
259、单项选择题 超声检测肾脏时,病人通常取什么体位()①站立②侧卧③俯卧④仰卧
A.①②
B.②③
C.②③④
D.①②③④
E.①③④
260、单项选择题 下列哪一项不是早孕超声观察的内容()
A.妊娠囊
B.胎芽
C.胎儿搏动
D.胎儿心脏结构
E.卵黄囊
261、单项选择题 主动脉瓣血流速度加快不见于下列哪项()
A.主动脉瓣狭窄
B.主动脉瓣关闭不全
C.甲状腺功能亢进
D.左心衰竭
E.二尖瓣关闭不全
262、单项选择题 下列不符合子宫增大的原因是()
A.腺肌病
B.先天性子宫畸形
C.子宫肌瘤
D.原发性卵巢功能衰竭
E.子宫体癌
263、单项选择题 镜面反射发生在下面哪种情况下()
A.频率的波长太低
B.引起反射的物质太小
C.反射物与波长相比太大
D.入射角与反射角至少相差30度
E.以上都不是
264、单项选择题 血管内径减少多少是区分颈动脉狭窄为轻度或中度的指标()
A.≥30%
B.≥40%
C.≥50%
D.≥60%
E.≥70%
265、单项选择题
该病例最可能的诊断()

A.主动脉二叶瓣
B.主动脉单瓣
C.主动脉四叶瓣
D.主动脉三叶瓣
E.主动脉五叶瓣
266、单项选择题 眼部超声检查发现:一侧眼球玻璃体内出现双重强回声带,前方的强回声带凸面向前,后面的强回声带凹面向前,两个强回声带下有无回声区。最可能的诊断为()
A.部分视网膜脱离
B.完全视网膜脱离
C.陈旧性视网膜脱离
D.脉脱型视网膜脱离
E.牵引性视网膜脱离
267、问答题 经腹部超声检查盆腔脏器为什么要充盈膀胱?
268、单项选择题
图示6所指部位()
A.脾静脉
B.腹主动脉
C.胰尾
D.肠系膜上动脉
E.肠系膜上静脉
269、单项选择题 肝内有三条韧带对超声检查很重要,它们是圆韧带、静脉韧带和镰状韧带。圆韧带是()①存在于左叶间裂②脐静脉的残留③在严重肝硬化时可见再通④在横切面上是一个回声增强光点⑤常见在门静脉之上
A.①②
B.①②③
C.①②③④
D.①③④⑤
E.①②③④⑤
270、单项选择题 女性生殖器结核最先侵犯的部位是()
A.外阴,其次是阴道
B.阴道,其次是宫颈
C.卵巢,其次是输卵管
D.子宫内膜,其次是输卵管
E.输卵管,其次是子宫内膜
271、单项选择题 伪彩功能的主要作用是()
A.增加彩色血流的敏感度,提高信噪比
B.增加彩色血流的信息量,增加彩色血流的充盈
C.增加对灰阶图像的视觉分辨能力
D.能进行定量测量
E.增加低速血流的显示能力
272、单项选择题 彩色多普勒血流显像图最常用于哪一些部位病变()
A.肝
B.胰
C.血管性病变
D.肿瘤
E.囊肿
273、单项选择题 前列腺横切面扫查应注意()
A.成0°角扫查
B.向头侧成15°角扫查
C.探头向头侧成20°角扫查
D.向尾侧成15°角扫查
E.向尾侧成30°角扫查
274、单项选择题 儿童出现黄疸最常见于()
A.肝炎
B.脂肪浸润
C.胆管闭锁
D.肝硬化
E.肝血管瘤
275、单项选择题 因声源与观察者之间的相对运动,被观测到的声波频率相对声源率发生了变化叫什么效应()
A.多普勒
B.佛莱森
C.佛劳霍夫
D.折射
E.主观效应
276、问答题 肾外伤的声像图表现有哪些?
277、单项选择题 角度对超声多谱勒的影响,下列哪项不对()
A.速度矢量与超声夹角影响流速的检测
B.角度增大时,频谱振幅被压缩
C.当角度为零时,频谱无法检测
D.检测时应选择合适部位以减小角度对测量的影响
E.血流量测定,角度造成6%的误差是临床所允许的
278、单项选择题 羊水量少于多少毫升称羊水过少()
A.300~400ml
B.1000ml
C.15000ml
D.2000ml
E.1500ml
279、单项选择题 为避免混叠,脉冲重复频率至少应为最高多普勒频移的几倍()
A.1倍
B.2倍
C.3倍
D.4倍
E.5倍
280、填空题 腹膜后具有水平分隔线(脂-液平面)回声的肿块为_____________________的特征;实质性肿块内有大片液性无回声区,多为____________________的表现。
281、单项选择题 超声波在人体不同组织的衰减程度不同,明显衰减时,其后方回声消失而出现()。
A.反射
B.声影
C.混响
D.折射
E.增强效应
282、单项选择题 一房缺患者,测得三尖瓣返流的最大流速为3m/s,若右房压以10mmHg计,此时估计肺动脉收缩压约为()
A.30~40mmHg
B.40~50mmHg
C.50~60mmHg
D.60~80mmHg
E.>80mmHg
283、单项选择题
患者女,20岁,健康体检如图,根据胆囊声像图,提示()
A.胆囊癌
B.胆泥
C.胆囊泥沙样结石
D.混响伪像
E.以上都不是
284、单项选择题 超声检测甲状腺,其解剖标志是()
A.气管在其内侧,颈长肌在后方,颈动脉和颈内静脉在外侧,带状肌在内侧
B.气管在其内侧,颈长肌在外侧,颈动脉和带状肌在其后方
C.气管和带状肌在内侧,颈长肌在后,颈动脉在下方
D.气管在其内侧,颈长肌在后方、颈动脉及颈内静脉在其外侧,带状肌在其前外侧
E.以上都不是
285、单项选择题
患者,急性胰腺炎治疗后,超声见胰管内多个强回声光团,后伴声影,如图所示,考虑为()
A.胰腺胰管结石
B.胰腺脓肿
C.胰腺肿瘤
D.胰腺假性囊肿
E.胰腺胰管钙化
286、单项选择题 正常情况下,下列哪项不对()
A.主动脉压>肺动脉压
B.左室压>右室压
C.左房压>右房压
D.肺毛压>肺动脉压
E.肺动脉压>肺静脉压
287、单项选择题 正常宫颈测量值为()
A.长度不超过3cm
B.前后径不小于3cm
C.前后径不超过3cm
D.长度不超过5cm
E.以上都不是
288、单项选择题 脾淋巴管瘤USG表现中,哪项应除外()
A.强回声区
B.无回声区
C.壁薄可有声隔
D.境界清楚
E.后壁回声增强
289、单项选择题 女性,24岁,葡萄胎刮宫术3个月,血β-HCG121U/L。对该病例病情判断,下列哪项是错误的()
A.再次妊娠
B.葡萄组织宫内残留
C.绒毛膜癌
D.侵蚀性葡萄胎
E.术后血β-HCG正常下降过程
290、单项选择题
男,60岁,胆囊结石病史多年,脾大小正常,有疫区接触史。结合超声声像图,诊断为()
A.肝血管瘤
B.血吸虫肝
C.肝癌
D.肝硬化
E.脂肪肝
291、单项选择题 下列哪项属于彩色多普勒技术()
A.二维灰阶显像
B.多普勒频谱
C.造影剂增强血流信号
D.伪彩色编码二维显像
E.M型超声(超声心动图)
292、单项选择题
患者,右下腹压痛反跳痛。结合超声声像图,最可能的诊断是()
A.肠梗阻
B.结肠癌
C.正常阑尾
D.阑尾炎
E.肠穿孔
293、单项选择题 用彩色多谱勒技术检测左向右分流的主动脉窦瘤破裂(流向右心室流出道)有什么特征所见()
A.显示有血流信号从窦瘤到左心室
B.显示有血流信号从右心室流向窦瘤
C.显示有血流信号从冠状动脉流向窦瘤
D.显示有血流信号从肺动脉流向窦瘤
E.显示舒张期、收缩期均有从窦瘤流向右心室流出道的信号
294、单项选择题 等水平回声见于()。
A.肝实质
B.骨骼
C.胆结石
D.肌腱
E.血管壁
295、单项选择题
右肝肋缘下向上扫查时常可见到镜面伪像,下列哪项是错误的()
A.正常肝脏:膈下为肝脏实像,膈上为肝脏虚像
B.肝内肿瘤:膈下、膈上各有一个对称的肿瘤,前者为实像,后者是伪像
C.肝内囊肿:膈下、膈上各有一个对称性肿瘤,前者为实像,后者是伪像
D.右侧胸腔积液时,以上镜面伪像更明显
E.右侧胸腔积液时,以上镜面伪像消失
296、单项选择题
女性,27岁,药物流产术后13天,阴道仍有出血。超声检查如图,最可能的诊断为()
A.子宫肌瘤
B.葡萄胎
C.宫腔残留
D.附件炎性包块
E.宫腔积液
297、单项选择题
女性,43岁,因月经时间长就诊。超声检查如图,最可能的诊断为()
A.节育环下移
B.子宫内膜癌
C.子宫肌瘤
D.宫腔残留
E.子宫内膜钙化
298、单项选择题 超声见双蜕膜囊征则有力提示()
A.异位妊娠
B.早孕合并宫内积血
C.假妊娠囊
D.先兆流产
E.以上都不是
299、单项选择题
根据超声图像,最可能的诊断为()
A.附睾炎
B.睾丸扭转
C.卵巢囊肿蒂扭转
D.子宫腺肌瘤
E.以上都不是
300、单项选择题 以下哪项不是诊断急性胆囊炎的标准()
A.胆囊结石
B.Murphy征阳性
C.胆囊壁厚<3mm
D.胆囊积液
E.胆囊内胆泥淤积